Um site sobre doenças dentárias e seu tratamento

Cárie

O que é importante saber se a cárie dentária destruiu tecidos internos profundos do dente ...
O que é importante saber se a cárie dentária destruiu tecidos internos profundos do dente ...

Se a cárie não puder ser curada no estágio inicial de seu desenvolvimento, na maioria dos casos a cárie dentária continuará, como resultado dos quais os tecidos sob o esmalte serão afetados. Muitas vezes, isso está associado à formação de cavidades profundas: em termos simples, os pacientes nesse caso falam de cárie "interna", embora os médicos nunca o chamem assim. Falaremos sobre como a cárie pode ser perigosa quando a cavidade cárie se afunda profundamente no dente e como detectá-la antes que leve a sérias conseqüências.

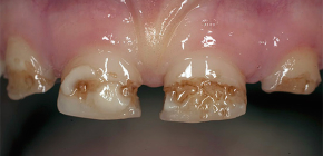
Características da cárie por fissura: do diagnóstico ao tratamento
Características da cárie por fissura: do diagnóstico ao tratamento

Uma das doenças dentárias mais comuns é a cárie por fissura. Em alguns casos, essa doença pode destruir imperceptivelmente um dente, porque nem sempre é facilmente diagnosticada e não causa dor intensa em um paciente em um determinado estágio. Vamos ver quais são as características da cárie por fissura e como proteger os dentes de seus efeitos destrutivos ocultos ...

Sobre cárie negligenciada: o que fazer se houver sinais de cárie em quase todos os dentes
Sobre cárie negligenciada: o que fazer se houver sinais de cárie em quase todos os dentes

A cárie negligenciada ou múltipla é muito perigosa, pois afeta ao mesmo tempo um grande número de dentes e pode levar à perda de toda a dentição. Além disso, ele pode se desenvolver tanto pela atitude irresponsável do paciente em relação aos dentes, quanto à alta sensibilidade dos dentes a fatores cariogênicos e sérios distúrbios metabólicos no corpo. Vamos ver o que causa o desenvolvimento da doença e o que fazer em tal situação.

Cárie profunda e seu tratamento, bem como por que um dente pode doer após o enchimento
Cárie profunda e seu tratamento, bem como por que um dente pode doer após o enchimento

Na maioria dos casos, com o aparecimento de cáries iniciais, não há sintomas pronunciados que possam motivá-lo a procurar um dentista imediatamente. Com o aumento da profundidade e área da cavidade, surgem dores pronunciadas de vários irritantes, que interferem direta ou indiretamente na vida normal. No entanto, mesmo com esse desenvolvimento de eventos, as pessoas nem sempre correm para a clínica para tratamento. Cedo ou tarde, as complicações da cárie levam a sérias conseqüências: da dor intensa e insuportável, que não para nos analgésicos, aos processos purulentos em torno da raiz do dente, até a ocorrência de “fluxo” e extração do dente. Vejamos a ocorrência de cárie profunda e seu tratamento com mais detalhes.

O perigo de cárie localizada sob a gengiva e as características de seu tratamento
O perigo de cárie localizada sob a gengiva e as características de seu tratamento

A cárie que se desenvolve sob as gengivas é tão insidiosa e perigosa quanto qualquer outra forma oculta de cárie. Esse processo é difícil de diagnosticar nos estágios iniciais e, portanto, sua detecção na maioria dos casos é acompanhada pela instalação de um selo. Porém, a principal característica dessa forma de cárie é a dificuldade nas táticas de tratamento, devido à necessidade de dissecar as gengivas e possível sangramento durante o trabalho com o dente. Falaremos sobre os recursos da cárie em uma localização e sobre como impedir seu desenvolvimento ...

Cárie de esmalte: do diagnóstico aos métodos de tratamento
Cárie de esmalte: do diagnóstico aos métodos de tratamento

Por que a cárie de esmalte, apesar da profundidade insignificante da lesão, é tão perigosa? O fato é que, quando se trata de cárie, significa "destruição". A cárie ocorre nos dentes somente sob certas condições na cavidade oral e, mesmo nos estágios iniciais de seu desenvolvimento sem tratamento, são criados os pré-requisitos para problemas sérios no futuro. Qual? Vamos acertar.

Causas de cárie em crianças e seu tratamento
Causas de cárie em crianças e seu tratamento

Assim que os primeiros dentes de leite do bebê entrarem em erupção, os pais devem tomar todas as medidas para evitar o aparecimento da chamada cárie de mamadeira, que em alguns casos pode levar a consequências muito graves.Que tipo de patologia é essa, como é perigosa e como é caracterizada, do que surge e como está sendo tratada nas clínicas dentárias hoje, falaremos mais adiante.

Quais dentes podem ser afetados por cárie: vamos nos concentrar nos livros dos sonhos
Quais dentes podem ser afetados por cárie: vamos nos concentrar nos livros dos sonhos

Sonhos com dentes ruins são associados há muito tempo a pessoas com dificuldades e provações futuras. Além disso, na vida real, quase todas as doenças dentárias simbolizam certos problemas (longe de serem sempre agradáveis), associados à necessidade de abordar sua saúde mais de perto. Vamos tentar descobrir como exatamente a imagem da cárie é interpretada em um sonho por livros, psicólogos e médicos sobre sonhos ...

Como escolher creme dental de cárie: selecionamos a melhor opção
Como escolher creme dental de cárie: selecionamos a melhor opção

Toda pessoa civilizada usa cremes dentais, e a maioria dos compradores está interessada em pasta para cáries. Escolher essas pastas corretamente é uma tarefa bastante difícil, pois elas possuem composição diferente, funcionam de maneira diferente e devem ser usadas apenas nas situações a que se destinam. Na prática, muitas vezes acontece que, devido à ignorância, uma pessoa compra macarrão para branquear ou cola com enzimas bactericidas - para fortalecer o esmalte. Como não cometer esses erros (que às vezes podem até prejudicar seus dentes) e como escolher creme dental especificamente para a sua situação - vamos falar sobre isso com mais detalhes ...

É possível se livrar da cárie dentária em casa?
É possível se livrar da cárie dentária em casa?

Para começar, vamos descobrir o que significa livrar-se da cárie dentária em casa ... Se estamos falando em prevenir a ocorrência de cárie dentária nos dentes, ao executar certas medidas em casa, é bem possível conseguir isso e obter excelentes resultados, mas livrar-se da cárie dentária que já surgiu na superfície do dente , em casa é possível apenas em casos muito raros e apenas nos estágios iniciais do desenvolvimento da doença. Porém, para isso, é necessário realizar uma quantidade muito grande de trabalho com os dentes, e os procedimentos em si devem ser realizados regularmente e sistematicamente. Na maioria dos casos, a cárie é apenas um sinal de falta de cuidados sistemáticos para os dentes e, portanto, para combatê-lo, você terá que mudar seriamente seus hábitos e, possivelmente, seu estilo de vida. Se você estiver pronto para essas alterações em prol da saúde bucal, examinemos esses problemas com mais detalhes.

 

 

Para cima

© Copyright 2025 stomatology.expertexpro.com/pt/ | chinatownteam2016@gmail.com

Política de privacidade | Contrato do usuário

Comentários

Mapa do site

Cirurgia

Cárie

Dor de dente