
Perguntas sobre as causas, intensidade e duração da dor durante e após o tratamento da cárie são talvez um dos primeiros lugares entre as perguntas populares do dentista-terapeuta. O tratamento de cárie profunda é geralmente a manipulação mais difícil no tratamento de outras lesões de cárie; portanto, infelizmente, nem sempre é sem dor aqui.
De acordo com a classificação da profundidade do processo de cárie, são distinguidos os seguintes tipos de cárie:
- Inicial;
- Superficial;
- Médio
- Deep.

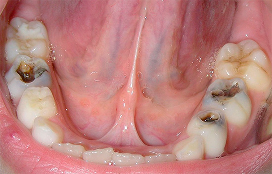
O último estágio do desenvolvimento do processo carioso envolve a proximidade de tecidos dentários danificados e infectados a uma polpa saudável ("nervo"). Como resultado disso, sempre existe o risco de confusão entre cáries profundas e o aparecimento de complicações na polpa de um dente quando uma infecção cariada entra nele. Portanto, nesses casos, o tratamento deve ser realizado somente após um diagnóstico detalhado da etapa do processo.
Fatores para o surgimento de cárie profunda
As causas de cárie em geral, incluindo profundas, estão diretamente relacionadas à atividade de microrganismos cariogênicos na cavidade oral. Durante a fermentação dos carboidratos, as bactérias das espécies de Streptococcus mutans (e algumas outras) produzem ácidos orgânicos que causam as formas iniciais de destruição do esmalte (manchas de cárie), com uma transição gradual do processo patológico para o tecido da dentina.

Nesse caso, a dentina amolece devido à liberação de componentes minerais (cálcio, fósforo, compostos de flúor), seguida pela dissolução da matéria orgânica (colágeno) sob a ação de enzimas bacterianas. A formação de uma cavidade como cárie média com dentina infectada amolecida, sem tratamento, leva inevitavelmente a um aprofundamento do processo patológico e a um aumento na área de destruição. Se nesta fase você não tratar cáries profundas, poderá perder tempo e haverá uma complicação na transição da infecção para tecido pulpar não protegido ("nervo") dentro do dente.

Infelizmente, nem tudo depende da própria pessoa. Há outro fator importante que algumas pessoas encontram ao lidar com um dente problemático: a ocorrência secundária de cárie em um recheio no caso de várias violações nele ou embaixo. Se algumas etapas do tratamento de cárie profunda por várias razões foram realizadas com um erro, a cárie profunda ocorre sob o selo. Isto é especialmente verdade para defeitos e lascas de vedantes mal colocados.
Nota
O tratamento injusto de cárie profunda por um dentista geralmente está associado aos seguintes fatores:
- Com uma cavidade cariada mal limpa da dentina infectada e amolecida, quando o preenchimento não pode ficar elementar nos tecidos moles do dente.
- Com mau isolamento da área de trabalho da saliva, líquido gengival e sangue. Frequentemente, durante o trabalho, os meios necessários de isolamento e preparação para o preenchimento não são utilizados, e a maioria dos materiais para o preenchimento, como você sabe, não é suficientemente firme em um ambiente úmido. Com resultados a longo prazo, isso leva à perda de todo ou parte do selo, lascas, rachaduras, violações do ajuste marginal, etc. De qualquer forma, o processo de cárie dentária geralmente continua após esse tratamento.
- Violando as instruções para o material de enchimento selecionado ou com a escolha incorreta do material em uma situação clínica específica. Devido à variedade de recheios modernos, são possíveis erros na fase de definição do material, geralmente associados ao prazo do médico. Qualquer ninharia para recheios "leves" modernos é especialmente importante e determina sua garantia e durabilidade.



Localização de cavidades em cárie profunda
Hoje, para a conveniência de tratar cáries profundas, os médicos usam a classificação de Black de cáries, dependendo de sua localização nos dentes da mastigação e da frente.
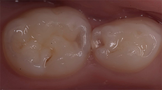
Classe I. Localização do processo carioso em locais de fossa natural e fissuras de pequenos, grandes molares e incisivos.
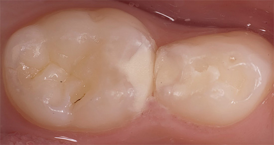
Classe II Localização de lesões nas superfícies de contato (laterais) de molares e pré-molares (molares grandes e pequenos).
Classe III A localização da cavidade nas superfícies de contato (laterais) dos caninos e incisivos, mantendo a aresta de corte e os cantos das coroas.
Classe IV A localização do processo carioso nas superfícies de contato (laterais) dos caninos e incisivos com uma violação da aresta de corte e dos cantos das coroas.
Classe V. Localização de lesões de cárie no pescoço de todos os grupos de dentes.

É interessante
A classificação das cavidades foi introduzida por Black em 1896 para padronizar os métodos de preparação e preenchimento de cavidades e existir até hoje. No entanto, os materiais modernos “fotopolimerizáveis”, cuja base é baseada no princípio de “ligações químicas” com os tecidos dos dentes, permitem não aderir às regras e técnicas de preparação de acordo com Black. Apesar disso, os dentistas o utilizam ativamente em várias situações clínicas, a fim de tratar adequadamente a cárie profunda.
Também é digno de nota que, após a morte do autor, foi adicionada outra 6ª série, que eles começaram a chamar oficialmente "de acordo com Black". Inclui cavidades nas arestas de corte de incisivos e presas e tubérculos de molares. A maioria dos dentistas considera que essa classe foi erroneamente adicionada à classificação principal, uma vez que o autor não deu consentimento.
Os principais sintomas de cárie profunda
Antes de tratar a cárie profunda, o dentista examina cuidadosamente as queixas do paciente, pois nesta fase já é possível confirmar ou negar o diagnóstico.

Se coletarmos estatísticas de histórias de casos de cárie profunda, entre as queixas mais comuns e seus recursos, será possível distinguir o seguinte:
- Imperfeição estética ou deformação do dente.
- Dor causada por irritantes da temperatura (quente e fria), química (principalmente doce) e mecânica (quando alimentos sólidos entram na cavidade).
- Natureza de curto prazo da dor. A dor desaparece rapidamente após a eliminação do irritante.
- Violação do preenchimento (fragmentação, deslocamento, perda) e cárie relacionada, procedendo de forma assintomática ou com a síndrome de dor de curto prazo acima mencionada, quando o dente doe periodicamente.
Critérios para a escolha do material de enchimento antes do tratamento
Após o diagnóstico, o tratamento da cárie profunda é realizado de acordo com o protocolo aceito. Antes da preparação (tratamento) da cavidade cariosa, o dentista determina previamente o conjunto aproximado de materiais de preenchimento necessários nessa situação clínica.
Agora vamos falar sobre quais são os principais materiais e, nesse caso, os preferidos.
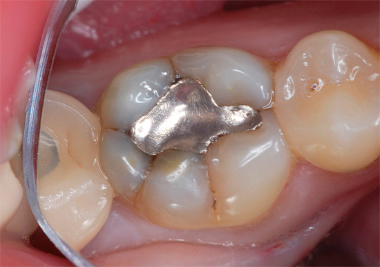
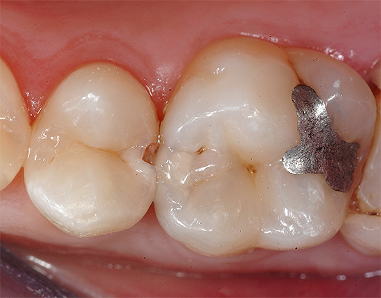
Um tipo obsoleto de material de enchimento são as amálgamas (prata e cobre). Não podem ser utilizados nos dentes da frente, por não serem estéticos, portanto a área de uso é nas classes Black 1, 2 e 5, bem como nos dentes cobertos com coroas.


É interessante
Para o tratamento de cárie profunda no século XX, as amálgamas eram um material de enchimento indispensável que ainda é encontrado. Praticamente não há obturações, exceto amálgama, que possui uma existência segura de 20 a 30 anos no dente. O amálgama de prata é um selo metálico com um efeito antibacteriano ativo da prata (e mercúrio). As possibilidades de sua retenção são quase infinitas.
Infelizmente, na Rússia foi cancelada às pressas devido à probabilidade de infecção do corpo com mercúrio, uma vez que o pó de prata foi amassado nele.Os dentistas americanos provaram com sucesso o oposto: eles conduziram uma série de estudos e não identificaram a possibilidade de envenenamento por mercúrio, mesmo para a equipe, enquanto observavam os padrões de conservação. Segundo os dados mais recentes, desde 2000, os dentistas americanos vêm realizando anualmente uma amálgama para vários milhões de dentes. Na Rússia, o amálgama quase nunca é usado, embora o tratamento de cárie profunda com seu uso seja bastante eficaz.
Um tipo mais moderno de materiais de envase é o chamado cimento de ionômero de vidro (SIC). Na maioria das vezes, o SIC é usado no tratamento de cárie profunda como material de revestimento para restaurações ou restaurações de compósitos, quase todas as classes negras (tudo depende da classe do material), para preenchimento de todas as classes de dentes de leite, fissuras de vedação, coroas de fixação etc.



O médico pode dar preferência a este material nos seguintes casos:
- péssima higiene bucal;
- cárie múltipla nos dentes;
- a localização da cavidade cariosa abaixo do nível da gengiva (sob a gengiva);
- a impossibilidade de isolar a área de trabalho da umidade.
Outro tipo de materiais de vedação são os compósitos. Não vamos nos deter em detalhes sobre seus tipos, apenas observamos que existem compostos de fotopolimerização e fotopolimerização.
As clínicas modernas dão preferência a materiais de cura por luz funcionais e estéticos que se provaram no tratamento de cáries profundas. Eles são colocados em cavidades cariosas de qualquer classe, de uso conveniente, fácil e firmemente presos aos tecidos dos dentes e bastante duráveis com a execução exata dos detalhes técnicos da produção.

Infelizmente, cada empresa produz compostos com um conjunto de propriedades que podem ter aspectos positivos e negativos. O preço desses materiais também varia. Em qualquer caso, eles são indesejáveis para uso em cavidades profundas subgengivais, quando não há possibilidade de seu isolamento da umidade. Esse tratamento para cárie profunda pode não ser eficaz.
Etapas do tratamento de cárie profunda
O tratamento da cárie profunda consiste em uma série de etapas realizadas pelo dentista na ordem necessária para a situação clínica em questão.
- Anestesia Este é um estágio importante do alívio da dor na perda de dentes durante a fase de tratamento. Permite que o paciente se sinta confortável e não tenha medo.

- Tratamento mecânico de cavidades de tecidos cariados (preparação), irrigação medicamentosa com anti-sépticos.
- Almofada de tratamento à base de hidróxido de cálcio - às vezes usada no tratamento de cárie profunda e colocada na parte inferior da cavidade cariosa para evitar os riscos de pulpite (inflamação dos tecidos moles). Sua atividade antibacteriana é conhecida há muito tempo.
- Colocação de juntas isolantes. Ao preencher com uma amálgama ou compósito (exceto cimentos de ionômero de vidro), é necessário o isolamento do material da dentina, a fim de evitar o efeito tóxico dos componentes incluídos na composição de preenchimento. Para a colocação no tratamento de cárie profunda, aplique: cimentos de fosfato de zinco, cimentos de ionômero de vidro, compômeros (combine as propriedades de SIC e compósitos), etc.
- E, finalmente, a formulação do selo, selecionado de acordo com as características da cavidade a ser preenchida.
O vídeo a seguir mostra um exemplo de tratamento para cáries profundas:
De fato, ocorre o tratamento de cárie dentária (da perfuração à instalação de um selo)
Comentário de especialista
A maioria dos especialistas chegou à conclusão de que o uso de uma almofada médica com cárie profunda seguida de fechamento da cavidade com selo em uma visita é um risco irracional a longo prazo. O fato é que o desaparecimento de uma junta à base de hidróxido de cálcio foi comprovado por um curto período de tempo. A dentina absorve ativamente a junta com a formação de um espaço sob o selo. Isso, por sua vez, causa encolhimento e danos ao preenchimento, levando à infecção do tecido dentário através de microfissuras.
Os pesquisadores concordaram que é melhor usar uma junta médica sob um selo temporário e, depois de um tempo (5 a 14 dias), instalar uma junta isolante e um selo permanente sem ela, ou não usar uma junta médica mesmo com cárie profunda. Na maioria dos casos, isso não afeta a qualidade do tratamento, em conformidade com as tecnologias modernas.
Possíveis complicações após o tratamento
Às vezes, uma pessoa sente uma dor bastante perceptível após o tratamento de cárie profunda ou dor de dente. Quase sempre - este é o resultado de certos erros por parte do médico assistente. Normalmente, a dor não deve ser.
Em alguns casos, a dor desaparece dentro de 1-2 semanas. É chamada de sensibilidade pós-operatória (pós-enchimento), caracterizada por:
- dor com pressão no selo;
- sensibilidade a estímulos de temperatura (mais a partir do frio);
- desconforto.

Se você tiver dor de dente após o tratamento de cárie profunda, você deve definitivamente consultar um médico. É especialmente importante aparecer imediatamente na recepção após a colocação do selo nos seguintes casos:
- Dor aguda (paroxística e espontânea).
- Dores dolorosas pronunciadas que não podem ser removidas mesmo com analgésicos.
- Reações do lado da gengiva perto do dente tratado (edema).
- Sinais óbvios de superestimação do selo e reação ao fator traumático. Se, por algum motivo, o dentista não polir completamente uma mordida no preenchimento, o que interfere no fechamento dos dentes e na mastigação, a dor logo surge e uma reação ao fator traumático se desenvolve com a ocorrência subsequente pulpite traumática ou periodontite. Não faz sentido esperar o selo "esfregar", como alguns pacientes acreditam, isso não acontecerá por si próprio. É necessária uma visita ao médico assistente.
Essa dor após o tratamento de cárie profunda geralmente indica suas complicações: pulpite, periodontite, periostite ou mesmo trauma dentário agudo ou crônico no contexto de superestimação do preenchimento.
A assistência oportuna pode não apenas prevenir sérias conseqüências para o dente, mas também salvá-lo após tratamento adequado por toda a vida. A ajuda que um dentista pode fornecer na recepção para complicações de cárie profunda:
- Substituição de juntas e vedações por outras opções (para dores pós-enchimento).
- Tratamento dentário em canais com posterior colocação de preenchimento na segunda visita.

- Correção de um selo com seu exagero, se não houver conseqüências sérias de tal lesão.
- Tratamento dos canais dentários e procedimentos cirúrgicos adicionais (incisão, ressecção radicular, hemissecção, etc.) para salvar todo ou parte do dente no orifício usando o método combinado.
Para resumir: se você sentir dor no dente após tratar uma cárie profunda, não precisará aguentar e esperar pelas consequências, é sempre melhor procurar o conselho do seu médico.
Perguntas ao dentista
Olá Três dias atrás, ele estava no dentista e perfurou meu dente tão profundamente que atingiu meu nervo, embora o dente não doesse. Não senti nada, pois uma injeção foi aplicada na gengiva. Peço-lhe que responda a duas perguntas: por que o médico decidiu remover o nervo do dente vivo, mas não estava doente, e também explica o motivo da curta dor que ocorreu após o tratamento ao mastigar o dente, principalmente carne e fruta?
Alexander, Moscou
Terapeuta-dentista: Olá, Alexander! Infelizmente, os pacientes frequentemente apresentam problemas tão tarde que não é possível tratar um dente com um diagnóstico de cárie profunda. Isso ocorre devido à cárie dentária grave, com o envolvimento do "nervo" no processo infeccioso. Portanto, para que o dente não fique doente durante o preenchimento, o médico o despula (remove o "nervo") e depois de um certo tempo (com menos frequência - imediatamente) instala o selo. Em alguns casos, nos primeiros dias após o tratamento, dor ou sensibilidade pós-operatória (pós-preenchimento) podem ocorrer devido ao processamento e preenchimento dos canais.
Isso ocorre devido às manipulações nos próprios canais e com menos frequência - a erros na sua implementação. Geralmente a dor desaparece dentro de 2-5 dias. Se a dor durar mais - você deve consultar um médico para uma consulta antes da visita prevista para um preenchimento permanente. Você também deve entrar em contato com seu dentista imediatamente após:
- Alta temperatura;
- Edema na área do dente tratado nos canais;
- Dores pulsantes fortes e insuportáveis em um dente cheio;
- Dormência na mandíbula após o tratamento.
Características de preço do tratamento
O preço do tratamento de cárie profunda depende de muitos fatores:
- o número de visitas que você faz na clínica;
- materiais utilizados;
- estado clínico;
- nível de preparação do médico;
- e até os custos de marketing da clínica.
O tratamento da cárie profunda é um complexo de manipulações complexas; portanto, o preço também será determinado pela localização da cavidade cariosa de acordo com Black: por exemplo, recheios nos dentes da frente costumam ser mais caros do que nos molares. Isto é devido à exigência de forma e estética. Você precisa usar materiais caros para criar uma cópia exata do dente.
Cuide dos seus dentes e seja saudável!
Vídeo interessante: preparação de uma cavidade cariosa da classe 1 segundo Black
Como se livrar do medo de um dentista - dicas práticas



Olá Se houver cárie severa no dente posterior, mas não doer, e o dente se romper um pouco por dentro, que ações serão tomadas durante o tratamento por um médico? Não precisa colocar uma coroa?
Boa noite, há três semanas fechei o sexto dente superior esquerdo. Os nervos não foram removidos, o buraco era pequeno e lateral, mas o médico cortou quase metade do dente, restando apenas a parede traseira e uma pequena frente. Dentro de uma semana, o dente não doeu. Eu comi secando e peguei esse dente, depois disso periodicamente o dente começou a doer, o que poderia ser?
Olá Eu acho que ainda estamos falando sobre a dor pós-preenchimento padrão, que foi simplesmente minimamente expressa antes de ficar duro com o dente. É improvável que seja possível um deslocamento ou dano na forma de uma rachadura (microcrack) do selo, mas vale a pena verificar contatando seu médico. Em princípio, no momento não há razão para não confiar no seu dentista (mesmo com uma lesão de cárie visualmente pequena ao preparar um dente, você geralmente precisa limpar quantidades significativas de tecido de cárie amolecido). Obrigado pela pergunta.
Olá Diga-me, um dente pode reagir ao frio e ao doce se uma junta médica feita de cálcio for colocada sob o selo para não matar o dente?
Olá Não, isso é praticamente impossível. Muito provavelmente, estamos falando do fato de que o dente causador nunca foi encontrado. Ou seja, próximo a, nas proximidades, ou na mandíbula oposta, há um dente com uma cárie, que responde a um estímulo externo (frio, doce) com sensações dolorosas de curto prazo.Eu recomendo entrar em contato com um dentista e trabalhar juntos para encontrar um dente causador.
Boa tarde Há um mês, fui ao dentista, remodelei um recheio defeituoso, havia uma cárie embaixo dele (um médico completamente diferente fez, e antes disso havia um recheio antigo no mesmo dente e também havia cárie). O buraco era fundo e, após o tratamento, o dente reagia a tudo: água, suco de frutas, mastigação. Por outro lado, o médico disse que a dentina secundária deve se formar, e isso geralmente acontece dentro de dois meses. O segundo já está passando, o dente não responde tanto à pressão e quase não reage à água, ao suco, mas a sensibilidade ao frio e ao calor não desapareceu completamente. Diga-me, vale a pena refazer o selo? Como não tenho apenas medo dos médicos (o quarto já está tratando esse dente), ainda há suspeitas de que eles não me deram uma junta - eles derramaram algo, mas eu não sei. E eles fizeram um buraco profundo para mim, mas o selo em si não é completamente polido, me sinto áspera. A cor difere da cor do dente, bege mais escuro.
Olá É possível que você estivesse com medo de polir o selo por causa de suas queixas sobre a instalação anterior do selo com uma cárie profunda, no meu entender. Como a dinâmica é claramente positiva, a julgar pela sua descrição, ainda não vale a pena refazer o selo. Você pode tentar flúor nas bordas do esmalte perto do selo. É de curta duração e de baixo custo: geralmente 2 sessões são suficientes. Você deve abandonar a pasta de clareamento (se usada) por 1 a 2 meses e se concentrar em uma pasta contendo fluoretos, pelo menos no nível de 1500 ppm, sem nenhum efeito de clareamento. Você pode adicionar enxaguamentos com flúor, conforme acordado com o dentista. Como não vejo o quão bem a vedação foi instalada do ponto de vista do ajuste marginal, meu conselho é sobre a sensibilidade pós-preenchimento e (possivelmente) uma moagem levemente excessiva das paredes dos dentes próximas ao preenchimento com boro quando sua altura foi ajustada pela mordida.
Quanto à “fossa profunda”: com uma alta probabilidade, podemos dizer - não há culpa do médico que houvesse tantos tecidos cariados que precisaram ser excisados para evitar recidivas de cárie ou mesmo complicações - pulpite.
Boa noite, Svyatoslav Gennadievich! Esta é Elena, eu escrevi para você. Atualmente, estou em Moscou e trouxe a foto do dente comigo. Se você pode consultar ou entrar em contato com você, compartilhe seus contatos, se possível. Feliz Ano Novo! Obrigada
Olá Eu não moro em Moscou, mas posso aconselhar totalmente sobre uma foto de dente - você pode enviá-la para o correio do site e, depois de um tempo, descreverei tudo como está (sem enfeites, como os médicos às vezes fazem nas clínicas).
Olá, hoje eu tratei dois dentes com cárie profunda em um médico. Após o término da anestesia, todos os dentes sob anestesia começaram a gemer. Liguei para odontologia, o médico disse que era porque não matava o nervo, dizia algo sobre dentina secundária e que a dor deveria desaparecer após 3-5 dias. Sugeri vir amanhã a um fisioterapeuta, de graça, em apenas alguns minutos.
Eles colocaram uma compressa medicinal embaixo das focas, eu não sei qual.
De alguma forma, você pode comentar se devo me preocupar ou isso é normal? A dor é bastante forte, mas tolerável, dá à têmpora, à frente, dois dentes superiores, embora apenas os dois inferiores e mais distantes tenham sido tratados.
Olá Com dor nos dentes inferiores, a dor pode irradiar para a têmpora e os dentes superiores - isso é bastante normal do ponto de vista da inervação.Se sua dor é espontânea e dura muito tempo, agravada por outros irritantes, então, infelizmente, há uma probabilidade muito alta de que um dos dois dentes precise ser despolpado. A maior dificuldade: decidir qual dente tem um problema de polpa em resposta ao tratamento. E havia cárie profunda - talvez houvesse sinais de início ou pulpite crônica? Ele simplesmente não apresenta sintomas pronunciados - o médico poderia ter perdido esse momento.
Agora, algumas palavras para o caso de as dores ainda não desaparecerem (isto é, se a pulpite for confirmada). Se o dentista insistir na remoção de ambos os dentes, você deve procurar ajuda na clínica onde há EDI. Em muitos casos, é difícil descobrir qual dente dói: bem, a menos que o estágio do processo inflamatório dentro do canal atinja a forma em que é possível apontar com precisão para o dente, ou o médico possa "sentir" algo usando o método de exame instrumental. O eletrodontodiagnóstico (EDI) não é realizado em todas as clínicas, mas os dois dentes são despolpados para não adivinhar o “camomila” - sacrilégio.
Olá, Svyatoslav Gennadievich! Ontem eu tratei os cinco primeiros por cárie profunda, o dente não estava despolpado. Agora dói pressionar um dente. Tudo bem? Ou devo consultar um médico?
Olá Pode ser uma dor pós-enchimento padrão ou dano ou infecção da polpa. A primeira opção pode ser bastante inofensiva - como regra, a dor diminui a cada dia. No entanto, não existe um período exato em que a dor passe completamente: vários médicos acreditam que é aconselhável esperar não mais do que 2-3 semanas, enquanto os sintomas diminuem e novos não aparecem (dores intensas, latejantes, quentes, frias, noturnas etc.) .d.).
Se a clínica tiver EDI, entre em contato agora, caso contrário, poderá verificar se o médico cometeu erros ou não, observando o dente tratado. Se de 3 a 4 dias se tornar mais fácil pressionar o dente, é bem possível esperar um pouco e observar. Se os sintomas da dor aumentarem, procure o médico.
Olá, Stanislav Gennadievich. Hoje troquei o recheio, voltando para casa, descobri que agora o fio dental não passa. Liguei para o meu médico, ela disse que era necessário que ela fizesse esse contato, era muito convincente. Nem sei quantas vezes ouvi e li que isso não deveria acontecer. Uma médica experiente (a médica chefe da clínica), antes que não houvesse problemas, suas obturações permaneciam por mais de 12 anos, uma ainda nova. E eu não sei o que pensar. Confie no médico e pare de se preocupar, ou ainda insista em encher demais (o que eu não quero fazer). O que você aconselha? Obrigada
Olá Em termos de padrões, este trabalho não é considerado de alta qualidade. O fio deve ser inserido no espaço interdental com pouco esforço. A ausência de uma lacuna não é a norma, embora em todos os casos nem sempre esses preenchimentos "densos" sejam um grande problema. Pelo contrário, esses recheios representam um perigo no futuro devido à subsidência na papila gengival. Frequentemente, durante a mastigação, mais cedo ou mais tarde, pode ocorrer uma "cunhagem" espontânea de dentes, surgirá uma lacuna e o benefício desse momento para o futuro será duvidoso.
Após a restauração da superfície lateral do dente, ele deve estar perfeitamente liso, ter uma forma característica deste dente, com a possibilidade de uma higiene adequada sem ferir o espaço gengival. Do ponto de vista do trabalho do médico, posso dizer que às vezes é difícil recriar uma lacuna que atenda a todos os critérios de qualidade. Ou seja, às vezes esse ponto de contato por várias razões pode ser recriado, de acordo com o protocolo, apenas de forma ortopédica: aba, coroa, etc.Existe também um método combinado de fabricar uma impressão e aplicar um fotopolímero na cavidade preparada usando matrizes especiais que excluem possíveis problemas com pouco espaço interdental.
Antes de insistir em um reenchimento, é importante saber se é possível fazê-lo com um determinado médico de uma maneira diferente. É possível que você precise alterar o médico e a clínica.
Hoje ela estava tratando um dente, o médico achou que eu tinha pulpite, mas havia cárie superficial. Durante o tratamento, o dente começou a doer periodicamente (anestesiado três vezes). Quando a anestesia passou, o dente continuou a doer sem motivo: não muito, mas desagradável. Devo correr de volta ao médico?
Olá Se durante o tratamento a anestesia funcionou mal, isso significa que, com uma alta probabilidade, o médico não possui técnicas de anestesia de alta qualidade ou não possui um anestésico importado. Quanto às dores pós-preenchimento, a razão para elas pode ser muito diferente. Se durante o tratamento não houve complicações sérias, essas dores passam sem deixar vestígios, normalmente em 3-10 dias. Se desejar, você pode enviar uma foto do dente para o e-mail do site - comentarei com mais detalhes.
Olá É necessário remover os dentes do siso?
Olá Não é de todo necessário, mas muitas vezes é necessário fazer isso de acordo com certas indicações. O fato é que os dentes do siso em muitas pessoas (geralmente mulheres) não se encaixam na mandíbula durante a dentição; portanto, eles entram em erupção "tortos" ou não podem entrar em erupção, o que causa dor intensa, inflamação e osteomielite. Não vale a pena remover os dentes do siso normalmente orientados na mandíbula em uma ordem preventiva (para prevenção), pois quando são dentados corretamente, eles geralmente participam da mastigação e até (periodicamente) são úteis em uma situação difícil para próteses fixas (pontes, por exemplo). Ou seja, os dentes do siso são removidos apenas se ameaçarem a saúde humana ou interferirem no tratamento ortodôntico ou ortopédico. Em outros casos, é aconselhável tentar salvá-los.
Olá. Mais de um mês atrás, fui tratado de cárie profunda (em uma visita) em lugares diferentes, e ainda dói pressionar os dois dentes. Hoje liguei e o médico disse - provavelmente há um nervo próximo, faremos um raio-x. Nesse caso, você terá que remover o nervo.
É justificável matar um nervo saudável (sem pulpite) devido à proximidade do selo? Eu li sobre essa dor - que não é suficiente ou o dente está muito seco. É possível então outra saída, e não a remoção do nervo? E o médico agora é obrigado a corrigir o problema de graça se ele der uma garantia por um ano?
Devido à instalação incorreta do selo, cáries se formam sob ele. O médico sugere remover o dente e começar imediatamente a se preparar para a implantação. Existem outras opções? Será possível remover o dente agora e colocar o implante em um ano?
Olá Anastasia. E por que o médico sugere imediatamente a remoção do dente? Se houver apenas cárie sob o preenchimento, ele poderá ser eliminado e um novo preenchimento, ou aba ou coroa, dependendo do grau de dano ao dente.
Quanto à extração dentária e implantação subsequente - é melhor fazer isso simultaneamente, se a condição do tecido ósseo permitir (espessura e altura da crista). Ou atrasado, 4-6 meses após a remoção. Se você andar sem dente por um longo tempo, ocorrerão atrofia do tecido ósseo e deslocamento do dente em relação ao defeito (síndrome de Popov-Godon).
Boa noite Há 4 dias, eles trataram 6 com cárie profunda. Eles fizeram tudo sem anestesia, aproveitaram - está tudo bem. Cheguei em casa, comecei a reclamar um pouco.O médico disse que poderia haver uma reação ao material que ela colocou. Ela me aconselhou a beber anti-histamínicos alguns dias e Nimesil. A dor dolorosa passou. Agora reage ao morder ... Essa é a norma? Poderia ser isso? E sim, é como reagir a doces. E às vezes se mexe um pouco lá ...
Olá A dor pós-preenchimento não é tão rara nos pacientes, principalmente após o tratamento de cárie profunda. É necessário observar e, com um aumento da dor, fazer um raio-x para esclarecer as causas da dor. O dente pode incomodar por um mês, mas a dor deve diminuir gradualmente. Se, pelo contrário, se intensifica, o dente reage ao frio e ao calor - isso significa que, muito provavelmente, será necessário remover o dente (remover o "nervo").