
Na maioria dos casos, a cárie radicular ocorre em pacientes idosos com mais de 60 anos. Esta categoria ocupa cerca de 60-90% de todos os casos de revelação de uma doença na consulta de um dentista.
De acordo com a classificação amplamente utilizada, dependendo da parte afetada do dente, são distinguidos os seguintes tipos de cárie:
- cárie dentária do dente;
- cárie cervical;
- cárie dentária;
- cárie radical.
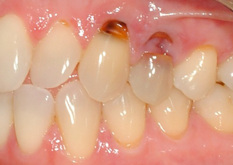
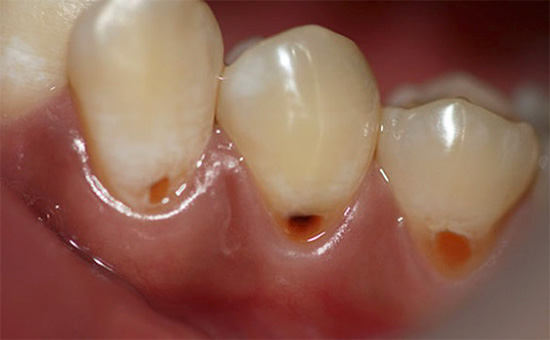
Qual é a diferença entre cárie radicular e cervical e radical? A cárie dentária está localizada bem abaixo da gengiva, violando a integridade dos tecidos da raiz nua e invisível durante um exame visual.
As cavidades cariosas do colo do útero se desenvolvem apenas perto da margem gengival tanto na superfície vestibular quanto nas superfícies labiais do esmalte. Ou seja, são áreas visíveis aos olhos.
A foto abaixo mostra uma comparação de cárie cervical com cárie radicular:


Quanto à cárie basal, é formada ao longo das raízes expostas dos dentes nas superfícies lingual, de contato e bucal. Isso significa que, neste caso, também podemos ver com os olhos as áreas de cárie dentária.
Resumir o resultado preliminar. A cárie dentária é uma cárie dentária, não visível aos olhos, mas pode levar a sérios problemas. Agora considere as nuances importantes com mais detalhes.
As principais causas de cárie radicular
A cárie dentária sob a gengiva geralmente se desenvolve nas pessoas devido a doenças gengivais graves: atrofia, processos distróficos nos tecidos ou complicações após o tratamento. Caso contrário, a cárie dentária é chamada de "cárie de cimento". Normalmente, a destruição começa com a zona cervical na superfície aberta da raiz (veja a foto).

É interessante
Os microrganismos e produtos de sua atividade vital penetram no cimento radicular e lavam os componentes minerais dele. Nesse caso, os componentes orgânicos (colágeno) são preservados. Com o tempo, a atividade ativa da microflora sob a gengiva leva à destruição de uma camada de cimento diluído que não possui uma base mineral confiável. Está desenvolvendo processo cariado oculto na raiz do dente.
Vamos considerar com mais detalhes as principais causas de cárie radicular:
- Freqüentemente, a cárie radicular se desenvolve com a formação de uma bolsa gengival e o acúmulo de detritos alimentares nela. A bolsa gengival é uma conseqüência de uma violação do apego normal das gengivas à parte cervical do dente, quando a gengiva pode literalmente "se afastar" da zona basal. Nesse caso, o tártaro e a placa bacteriana podem ser encontrados com mais frequência lá. A atividade de microrganismos que se alimentam de resíduos de carboidratos da placa facilita a formação de um processo de cárie em uma raiz não revestida, com a subsequente formação de uma cavidade.
- Além disso, a cárie radicular pode ser causada por complicações da cárie cervical. Ou seja, a destruição do esmalte visível aos olhos se aprofunda gradualmente para dentro: do colo do dente até a raiz.
- Além disso, a causa da cárie radicular pode ser um tratamento tardio das principais cáries, quando não apenas a coroa do dente e a parte cervical são destruídas, mas também a própria raiz.

- E, finalmente, a cárie radicular pode ocorrer quando a coroa é colocada mal no dente ou após a data de vencimento. Nesse caso, é formada uma lacuna entre a borda da coroa e a gengiva, da qual o dente espreita. É nessa área que a placa acumula ativamente e com o tempo uma pedra se forma. Destruição do dente neste momento pode até levar à ruptura da coroa do dente.
Manifestações clínicas características
A principal característica da cárie radicular é a ausência de queixas na maioria dos casos nos estágios iniciais do início da cárie. Oculto lesão cariosa sob a gengiva Por um longo tempo, pode não ser capaz de se detectar, mas depois de "expor as gengivas" ou formar uma cavidade grande, os seguintes sintomas aparecem:
- Dor causada por estímulos térmicos (frio, quente), estímulos químicos (principalmente a partir de doces) e mecânicos (quando alimentos sólidos ficam sob a gengiva).
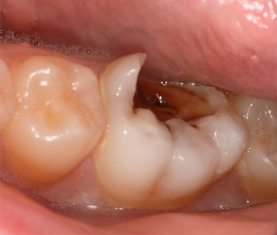
- Perturbações estéticas visíveis aos olhos. Isso se deve ao aumento da área da lesão e à unificação da cárie na base da raiz com defeitos cervicais. A foto a seguir mostra um exemplo:

- Desconforto ao comer. Isso geralmente é causado por extensões dentárias e suporte prejudicado do aparelho ligamentar que o prende no encaixe. Nesse caso, a mobilidade se desenvolve com o aparecimento de sensações desagradáveis associadas à mastigação dos alimentos e à sua entrada na cavidade da cárie radicular.
Nota
Como nos estágios iniciais da destruição é praticamente impossível sentir cárie na base radicular, você deve consultar um dentista para fins de diagnóstico uma vez a cada 6 meses, especialmente se houver alterações sérias nas gengivas relacionadas à idade, bem como com fenômenos dolorosos com os itens acima. sintomatologia.
Características de revelar cáries ocultas
Para detectar com sucesso a cárie radicular, o dentista utiliza várias técnicas.
Por exemplo, a detecção usando uma sonda afiada é amplamente usada. Um requisito obrigatório para esta técnica é a remoção preliminar de pedra e placa de todas as superfícies dos dentes, uma vez que focos ocultos são encontrados precisamente sob a espessura dos depósitos dentários.
Uma sonda aguda é um instrumento dental seguro para tecidos dentários saudáveis, para examinar e diagnosticar focos ocultos de cárie dentária. Ao examinar a sonda com uma sonda, o médico a insere cuidadosamente nos focos ocultos para detectar aspereza do esmalte, lascas, defeitos médios e grandes.

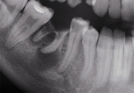
Além disso, métodos de pesquisa radiológica são frequentemente usados para diagnosticar cárie radicular. Eles são ideais para as formas iniciais de cárie radicular, mesmo quando não há cavidade cariada. Nesse caso, usado com mais frequência:
- Roorgenograma de asa de mordida;
- Método de radiografia paralela;
- Orthopantomogram.
A foto mostra um exemplo de raio-x com uma patologia claramente visível na raiz do dente:

Importante saber
É necessário cumprir todas as recomendações do dentista sobre o diagnóstico de focos ocultos, uma vez que o tempo gasto em uma longa busca pela destruição da raiz será recompensado com o início do tratamento dentário e a prevenção de complicações graves, muitas vezes levando à sua perda.
Métodos modernos de tratamento da cárie radicular
Dependendo da localização da cárie, sua área, profundidade, gravidade do processo, a situação geral da cavidade oral, etc., o dentista escolhe as táticas ideais, que consistem nos princípios gerais para o tratamento da cárie radicular. Estes incluem:
- Higiene bucal profissional. Este é um passo importante para alcançar os resultados necessários, pois na maioria das vezes apenas a eliminação de depósitos dentários permite acessar a cavidade cariosa, tratá-la nas condições mais limpas sem um foco infectado adicional.

- Eliminação dos fatores de atraso da placa nas coroas artificiais e nas raízes expostas: correção de obturações que ultrapassam a margem gengival, substituição de próteses ruins, eliminação de anomalias dentoalveolares (por exemplo, apinhamento de dentes que interferem na higiene bucal normal por escovas e pastas).
- Tratamento de cárie inicial e superficial da base radicular sem preenchimento. A maioria dos dentistas possui um amplo arsenal de preparações contendo flúor (vernizes e géis) com ou sem anti-séptico.
É interessante
Medicamentos comprovados que contêm 0,05-2% de fluoreto de sódio, aminofluoreto, 4% de fluoreto de titânio com 1-5% de clorexidina ou triclosan, 0,4% de fluoreto de estanho.A fluoretação profunda envolve o uso de um líquido selador de dentina que contém cristais de fluoreto e íons cobre no diagnóstico de cárie radicular. É aconselhável usar fluoretos em combinação com preparações de cálcio (solução de gluconato de cálcio a 10% e solução de fluoreto de sódio a 0,5-1% para aplicações no local da lesão radicular).

Também deve ser observado o tratamento de cárie superficial e profunda com uma técnica de preenchimento. Quando se trata de cavidades subgengivais, surge uma situação difícil: a incapacidade de isolar um local para um futuro preenchimento bem de saliva, fluido gengival, sangue, etc.
Como resultado, o médico protege cuidadosamente a gengiva contra danos desnecessários: pode realizar diatermocoagulação (remoção do excesso de gengivas com uma ponta aquecida a altas temperaturas), retração (correção de bordas salientes) das gengivas com fios especiais embebidos em uma solução hemostática. Todo o procedimento é realizado, é claro, com boa anestesia para alcançar ótimos resultados finais no tratamento de cárie radicular.

O tratamento da cavidade é realizado sob o resfriamento com água do dente, uma cavidade oval limpa de cárie e a infecção é formada mais frequentemente com áreas adicionais para melhor fixação dos futuros recheios. É tratado com anti-sépticos e selado.
Atualmente, a complexidade da escolha de um material para preenchimento está associada a diferentes tipos de localização da cavidade, sua forma, presença de vários fatores interferentes: saliva, sangue, fluido gengival etc. É difícil colocar o material “seco” e o compósito moderno (“leve”) recheios são muito sensíveis ao ambiente úmido.
Materiais de vedação aceitáveis atualmente:
- Amálgamas. Infelizmente para os dentistas, esse material é cada vez menos utilizado devido à complexidade da organização da mistura do material. Esses são os recheios mais duráveis que são misturados ao mercúrio e, portanto, exigem a criação de condições para a proteção do pessoal.

- Compômeros. Estes são materiais que combinam as propriedades positivas de compósitos e cimentos de ionômero de vidro. No entanto, há momentos em que as propriedades dos compósitos neles interferem na “captura” bem-sucedida da vedação do compômero para garantir a fixação no dente.
- Cimentos de ionômero de vidro. Essa é a melhor opção para selar defeitos subgengivais profundos, pois esse material é melhor colado em um ambiente úmido. Além disso, fluoretos são introduzidos nele para restaurar a estrutura mineral normal do dente por um longo período de tempo.
Protéticos para defeitos profundos
Além do tratamento com técnicas tradicionais de preenchimento, também são utilizados os métodos protéticos das cavidades com abas e coroas. Uma aba é, de fato, um enchimento artificial feito de metal ou cerâmica, feito por um técnico de prótese dentária, e o dentista ortopédico fixa cimento ou adesivos especiais em uma cavidade cariada preparada e limpa.
A conveniência é que a aba substitua cavidades grandes por mensagens com a parte subgengival, e os riscos de fixação são mínimos. Como a aba possui um toco - “cauda”, que é fixado na raiz do dente, ele permanece cimentado de maneira confiável e desempenha suas funções na íntegra.
Uma coroa é uma tampa artificial feita de metal ou uma combinação de metal e cerâmica, que é firmemente fixada ao dente e cobre todas as suas superfícies dos efeitos da infecção da cavidade oral.
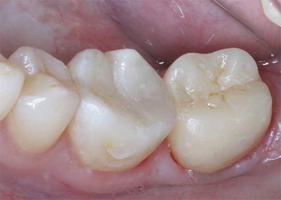
A figura abaixo mostra um exemplo de restauração de um dente cariado usando a aba e a coroa:

Uma inserção ou coroa posicionada corretamente fornece excelente proteção do dente contra possíveis complicações da cárie radicular: fratura, fratura da coroa, “cárie”, vários distúrbios gengivais. No entanto, vale lembrar que antes de colocar a coroa, o dente é preenchido de acordo com a tecnologia usual ou a guia é fixada nele e, em seguida, a coroa. Somente isso dá um resultado positivo a longo prazo.
Preços da clínica
Com base nos critérios da moderna política de preços da maioria das clínicas, é útil ter em mente os seguintes pontos.
- Para qualquer material, existem certas indicações. Um bom médico nunca fará o trabalho de dente contra-indicado nessa situação clínica. Se for suficiente colocar um enchimento barato feito de cimento de ionômero de vidro, o médico o consertará e, se o dente estiver danificado tanto que você precise de uma inserção ou selo + coroa, o dentista elaborará um plano de tratamento, explicará o custo e salvará o dente por completo.
- Os materiais de preenchimento são sempre mais baratos que os materiais protéticos. As vedações são muito mais baratas que coroas estéticas e funcionais ou incrustações. No entanto, existem exceções.



O tratamento oportuno da cárie radicular é um passo importante na preservação do dente, prevenindo complicações graves dos tecidos ao redor do dente, dos dentes adjacentes e da mordida como um todo. Na presença dos menores sinais de anormalidades por parte da gengiva ou suspeita de uma cárie oculta sob a gengiva, você deve entrar em contato imediatamente com um dentista profissional para obter ajuda.
Nas condições normais da cavidade oral, basta visitar o consultório do dentista uma vez a cada 6 meses, com a finalidade de um exame de rotina para detecção precoce de cárie. Cuide dos seus dentes e seja saudável!
Vídeo interessante: complicações do tratamento radicular
Um exemplo do tratamento de cárie profunda
Ressecção do ápice radicular





Nos dentes superiores, como entendi no seu artigo, cárie cervical, como é tratada? E é possível fazer algo sem rasgá-lo? (embora não haja desconforto, mas tenho medo das consequências).
Existe um complexo de tratamento: moagem de cárie especial e instalação de obturações fotográficas. Visitar um médico 2 vezes por ano. Para realizar profilaxia: polimento, aplicação de gel de limpeza e fluoretação. Escove os dentes depois de comer. Dentes saudáveis!
Nos meus dentes inferiores da frente, as gengivas estão se afastando, os depósitos foram removidos, mas as gengivas também estão se afastando. O que pode ser feito para fortalecer? Tenho medo de perder os dentes. FRENTE, isso é um desastre. E temo que a cárie dentária apareça nas raízes.
Olá Olga! Eu acho que você deve consultar um periodontista. É especialista no tratamento de doenças das gengivas e mucosa oral. O plano de tratamento será elaborado com base em um exame clínico completo. Quase sempre, o processo é um conjunto de medidas destinadas a restaurar a inserção periodontal. Por exemplo, você pode precisar de reparação gengival, curativos periodontais para gengivas, curetagem de bolsas periodontais, etc. A escolha das táticas de tratamento pertence ao médico após um exame em tempo integral. Saúde para você!
Eu tenho quatro dentes frontais inferiores triturados ... Posso restaurá-los? A viagem ao técnico em odontologia não fez nada.
Olá Parece-me que você está confundindo um técnico em odontologia com um dentista ortopédico ("protético"). Acho que você foi ao ortopedista, que não lhe ofereceu nada adequado.Se estamos falando de abrasão dentária, é extremamente difícil restaurá-los. O fato é que sua mordida provavelmente é conveniente para você; portanto, aumentar a altura dos dentes se tornará uma opção traumática para ela. Parece-me que as razões do dentista ortopédico estavam lá para recusar você. Tenho certeza de que você deve procurar outro ortopedista, que tem a capacidade de "elevar" gradualmente a mordida com a ajuda de gorros especiais que deverão ser usados para fins médicos. Assim, a mordida se forma gradualmente a tal ponto que algo pode ser feito com um aumento na altura dos dentes inferiores da frente. Na maioria das vezes, isso já é feito com coroas na última etapa do tratamento. No entanto, essa abordagem leva em média de 6 a 12 meses: tudo depende dos milímetros de altura necessários.
Olá, eu tenho cárie do dente da frente, com a borda de dois maiores ... Em geral, a gengiva acima desse dente é mais escura e levemente inchada. Eu acho que a cárie também está embaixo da gengiva. Será excluído para mim ou posso ser salvo?
Olá O veredicto final de acordo com a sua descrição será feito apenas pelo dentista, colocando-o em uma cadeira. Tudo depende da profundidade, área da lesão, mobilidade dentária, sua posição, mordida e outras nuances que determinam o destino do futuro. Posso dizer imediatamente que na maioria das vezes o dente da frente pode ser salvo. Muitas vezes, a conservação é complicada por nuances técnicas: tratamento do canal, processos inflamatórios na raiz, restauração subsequente do dente com ou sem um alfinete, etc. Um método alternativo ou mais confiável de preservar um dente pode ser criar uma aba nele + coroas. Antes disso, o médico obtém o canal de maneira confiável e prepara o dente para o trabalho ortopédico. Em geral, cada médico pode ter sua própria opinião sobre a possibilidade de preservar um dente específico com suas características de lesões de cárie, etc. Pela minha parte, aconselho: tendo recebido o veredicto "extração dentária", recomendo que você faça mais 1-2 consultas em outras clínicas para ter algum tipo de objetividade em sua situação clínica. Tenha um bom diagnóstico e tratamento!
Olá Eu tenho pedras nos meus quatro dentes inferiores. Em um dos dentes, metade da raiz caiu, na mesma cárie dentária começou e depois disso a cárie cervical começou. Este dente ficou muito fraco, mesmo quando atingido com um teste suave, começa a doer terrivelmente. Eu tenho muito medo de perdê-lo. Por favor, diga-me, os médicos podem ajudar esse dente se ele começar a causar dor quando fica muito macio? O que acontecerá se um instrumento dentário atingir? Um dente pode cair completamente.
Olá De fato, a dor causada por substâncias irritantes ao comer não é um problema. O dente sempre pode ser despolpado e a sensibilidade desaparece. No entanto, se você tiver periodontite, é improvável que o médico consiga não o dente da frente inferior mais "forte", embora tudo isso seja decidido individualmente. No momento, o mínimo de informação é sobre a mobilidade dentária: não posso avaliar tanto o seu "impressionante" quanto o grau de "exposição" de sua região cervical e a extensão da coroa clínica. Tudo isso é avaliado pelo dentista e, como resultado, faz um veredicto. Esses dentes são salvos de acordo com a situação (a necessidade dele como um todo em relação à mordida, outros dentes, etc.). A abordagem neste caso é complexa: começa com o tratamento do canal e seu preenchimento e termina com o trabalho com os dentes adjacentes e com a imobilização dos mesmos. Dentes vizinhos também costumam ser tratados.
Olá. Fui diagnosticado com cárie dentária. Nenhum tratamento foi oferecido. O dente não doeu por conta própria. Somente quando o médico bateu nele com um instrumento. Eles sugeriram removê-lo para evitar complicações. O dente foi removido, mas não vejo cárie na raiz, como na foto. Eu vejo Guta Percha saindo da raiz.Será que o dente foi removido em vão? Ou talvez cárie dentro de um enchimento temporário?
Olá Eu acho que suas suspeitas não são em vão sobre a extração de um dente que não tem cárie radicular, mas a complicação após o tratamento é a retirada da guta-percha do topo da raiz e também, possivelmente, a perfuração do fundo do dente.
Parece-me que a situação era a seguinte: o dentista decidiu tratar esse dente, mas encontrou alguns obstáculos. Ele não poderia superá-los com a ajuda de outras táticas conservadoras, e a única saída correta nessa situação para impedir que seu tormento futuro fosse remover o dente.
Você escreve sobre um preenchimento temporário e guta-percha, o que indica que o dente foi tratado intracanal. Eu acho que definitivamente não era uma questão de cárie radicular, mas havia algo sério. Talvez os colegas não quisessem substituir seus próprios colegas, ou havia outra coisa, mas que diferença isso faz agora se o próprio fato da remoção for concluído e será difícil provar alguma coisa agora. O dente que você tem em suas mãos pode ser enviado para exame, porque a guta-percha removida fora da raiz já é uma complicação que o primeiro médico que tratou seus canais conseguiu. Quanto ao resto, isso ocorre somente após a remoção do curativo temporário e a avaliação da condição da parte inferior do dente extraído. Bem, a imagem não doeria naquele momento em que o dente ainda estava em seu lugar na dentição - como justificativa para o fato de haver indicações claras para a remoção.
Olá, eu fiz um raio-x de um dente 6 (3-6), no qual foi encontrada cárie radicular. O médico perfurou um dente e colocou o remédio para matar um nervo. O dente doía, a gengiva ficava cinza e se afastava do dente. Após 2 dias (já que era um fim de semana), fui novamente ao dentista. Ela disse que esse medicamento passava pela cavidade no dente e porque parte da raiz foi exposta, a curou (não vi a cavidade, informações de suas palavras). Depois disso, ela cortou parte da gengiva, dizendo que se recuperaria melhor e colocou o remédio. Na visita seguinte, ela tentou limpar as raízes, mas depois de passar de 5 a 7 minutos (os outros nem olharam), disse que as raízes eram finas e que não as viam e, em geral, não era necessário abri-las. Colocou uma pomada “mumificante” (nas palavras dela, secaria os nervos remanescentes nas raízes) e selou, dizendo que, se dói, deve ser removido.
Uma semana se passou, o dente dói ao morder. Não quero excluí-lo. Você pode comentar sobre o fracasso do tratamento radicular? Talvez por causa deles o dente continue doendo? E isso pode levar à inflamação das raízes?
Olá Eu acho que esse é um método rotineiro de tratamento. Provavelmente, existem certos problemas nesta instituição. O método de mumificação não é a melhor opção para salvar um dente. Durante o tratamento, houve também um erro grave que levou a uma complicação. Não vou culpar o médico - não sei em que condições ele tem que trabalhar.
O dente dói ao morder com um alto grau de probabilidade devido à agressão da pasta mumificante introduzida no início dos canais não passados. Também existe o risco de o dente doer devido a um processo infeccioso.
É difícil para mim comentar sobre a recusa do tratamento do canal, não sei se os canais são objetivamente tão complexos ou se tudo isso é resultado da abordagem de rotina do tratamento disponível na clínica. Este tratamento pode muito bem levar à inflamação. Em alguns casos, esses dentes podem ficar gravemente doentes após 1-3-5-10 anos. Tudo depende de quão bem eles são mumificados. Sim, essa antiga metodologia também possui regras, sem violar as quais é possível obter algum sucesso com todas as desvantagens que forçaram muitos países a abandonar esse medicamento e o método de preservação dos dentes.
Meu conselho é o seguinte: trate de acordo com métodos modernos, antes que seja tarde demais, um dente de um médico altamente qualificado em uma clínica onde haja bons equipamentos e tempo para trabalhar normalmente, talvez em seus complexos sistemas de canais. Em princípio, isso é bastante real, e a questão do preço é puramente individual e é discutida previamente com o dentista.
Na minha linha superior de dentes, cárie da raiz anterior. O médico da odontologia municipal se recusou a tratar - disse, excluir. E sinto muito pelo dente, o que fazer, ajude!
Olá Uma instituição pública geralmente recusa dentes complexos por várias razões: não há financiamento, motivação, desejo, materiais, habilidades, experiência nessa direção, etc. Por isso, recomendo entrar em contato com uma clínica particular ou com várias clínicas para ter uma visão mais completa das possibilidades de preservação de um dente, bem como os preços de várias opções. Muitas vezes, durante a cárie dentária, um dente é despolpado e uma coroa é colocada para garantir a confiabilidade. Há também outra maneira de economizar: retração gengival e tratamento de cárie com cimentos de ionômero de vidro ou (menos comumente) compósitos. Tudo depende da sua situação clínica e da condição dos dentes adjacentes, levando em consideração a mordida. Em geral, muitas coisas afetam, portanto, é necessário um exame por um especialista experiente. Portanto, recomendo obter aconselhamento em diferentes clínicas, pois em mais de 50% dos casos, as consultas são posicionadas como gratuitas ou baratas.
Olá Eu tenho os canais nos sete inferiores sob seguro VHI. A imagem mostra claramente que o material de enchimento saiu em um fino fluxo abaixo da raiz em 2 canais. A mandíbula abaixo não doe muito e cede no ouvido. Acima está um selo temporário. No colo deste dente há um orifício aberto para a limpeza de cáries. O preenchimento temporário não é válido.
O que fazer se o dente não se acalmar e como o selo permanecerá no colo do dente?
Olá O fato de o material ser retirado da raiz é uma complicação. Se isso resultará em algo sério para o futuro, mesmo que os sintomas desapareçam em algumas semanas, não se sabe (para prever pelo menos aproximadamente, você precisa saber de que material é derivado). Dentistas competentes se opõem à remoção de materiais além do ápice da raiz.
Quanto à possibilidade de realizar o preenchimento na região cervical - é claro, existem algumas nuances, mas geralmente o material escolhido é o cimento de ionômero de vidro ou o enchimento fotopolimerizado. Ao executar a tecnologia de trabalho com essa área, o selo permanece por anos sem problemas.
Olá Após a tomografia computadorizada, fui diagnosticado com cárie dentária na raiz do sétimo dente. Quatro meses antes, eu removi um dente com 8 dentes (extração traumática e complicada), e também fiz uma tomografia computadorizada e com 7 dentes tudo estava em ordem. Existe uma cárie, a culpa é do médico? Tenho que remover outros dentes, não sei se devo procurar outro, pois o próprio médico ficou muito satisfeito.
Olá Por 4 meses, a cárie radicular dificilmente se formaria, mas não o fato de que atualmente ela geralmente tenha um lugar para estar. Eu poderia comentar com mais detalhes se tivesse fotos em minhas mãos. Se você confia no médico - confie completamente, caso contrário, verifique de acordo com os dados da imagem. Nesse caso, lembre-se de que na cadeira do dentista é muito mais fácil entender a situação clínica do que na ausência (ou seja, você precisa entrar em contato com outro médico para uma consulta em pessoa, e é melhor ir a outra clínica).
Se, por culpa do médico, você quer dizer alguma complicação durante a remoção do 8º dente, o que implicou cárie da raiz no 7º dente, isso é impossível.Se essa lacuna entre os dentes na presença de um dente do siso estava constantemente "entupida" com comida, a cárie radicular no 7º dente se desenvolveu ao longo dos anos e, após a remoção do dente final, tornou-se claramente visível (especialmente se a cavidade for profunda). Pela imagem, até um pequeno processo de cárie na zona da gengiva pode ser detectado. Talvez este seja apenas o seu caso.
Então, aqui, confie no médico ou verifique. Escolha você.
Olá, virei-me para uma clínica gratuita outro dia, eles removeram a raiz cariosa e a própria coroa há muito foi destruída. E essa raiz começou a incomodar à noite. E agora entendo que poderia ter sido salvo em uma clínica paga. Eles também planejam remover o dente do siso e enviá-lo para raio-x. Sabe, eu não quero perder os dentes aos 26 anos. O que você aconselha a fazer? E o que devo colocar no lugar de uma goma viva? Eu li sobre pontes e implantação, me pareceu uma saída melhor. Não quero perder mais dois dentes por causa da ponte. Tão assustador é tudo ...
Olá A implantação seria a melhor opção, para não processar dentes adjacentes sob as coroas da ponte. No entanto, existem contra-indicações para implantação, o que pode se tornar um sério obstáculo ao enxerto ósseo do implante, de modo que as opções protéticas ideais em cada caso sejam selecionadas individualmente.
No que diz respeito à necessidade de remover um dente do siso, é impossível responder a essa pergunta sem informações adicionais, pois depende muito da condição do dente (seja retinado ou semi-retardado, pois está localizado no osso da mandíbula, prejudica a membrana mucosa da bochecha, há algum processo inflamatório nas raízes, etc.) .d.) Eu recomendo encontrar um bom médico em uma clínica paga (pergunte a amigos, por exemplo) e tome uma decisão conjunta com ele.