
Apesar da ampla prevalência de cárie e de métodos bem estabelecidos para seu tratamento, ainda não foi criado um remédio para a cárie que o ajudaria a tratá-la com um processo patológico já existente e de longo alcance. A razão para isso é a irreversibilidade da destruição profunda do esmalte e da dentina: se eles foram gravemente danificados, o corpo não poderá mais restaurá-los por conta própria.
Além disso, no futuro, os tecidos dos dentes sob lesões existentes deteriorarão constantemente e sua taxa de destruição será determinada por uma combinação de muitos fatores desfavoráveis: a natureza da dieta, a quantidade e a qualidade dos procedimentos de higiene bucal, as condições gerais do corpo, a hereditariedade e outros.

Como resultado, na maioria dos casos, o tratamento da cárie é realizado por métodos operacionais: abertura do esmalte, remoção da dentina danificada pela cárie e instalação de uma vedação. Em casos graves, é necessário remover a polpa (nervos), encher os canais, etc.
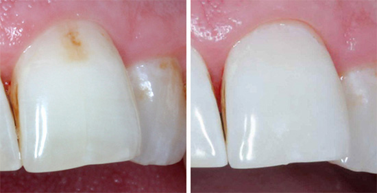
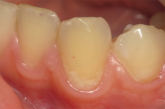
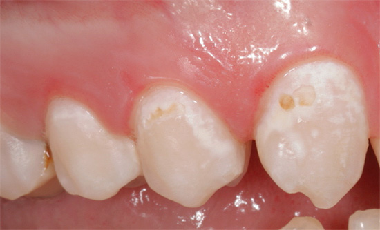
O único estágio em que a doença pode ser efetivamente curada sem abrir um dente usando certos remédios anti-cárie é o estágio da mancha de esmalte (pode ser branco ou até já pigmentado em marrom). Durante esse período, a cavidade cariosa nela ainda não se formou e, com tratamento adequado, o próprio processo patológico é interrompido, e os danos iniciais à estrutura mineral do esmalte podem ser restaurados.


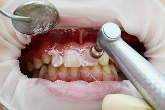
Mas o principal: apenas um médico pode realizar todos esses procedimentos. Mesmo com a cura para cárie na mão, é impossível preparar um dente para sua aplicação e usar preparações auxiliares sem equipamento especial. Por exemplo, em termos gerais, a terapia remineralizante para a restauração do esmalte durante a cárie na fase do ponto de giz é a seguinte:
- Dente com detectado cárie inicial na fase da mancha, ela é primeiramente cuidadosamente limpa por métodos mecânicos de películas e placas.
- Em seguida, o local do dano é tratado com ácido concentrado, por exemplo, 40% de ácido cítrico. Este não é um remédio para cárie, mas apenas uma maneira de limpar e preparar ainda mais a superfície para processamento adicional.
- Depois disso, a própria cárie já é aplicada no local de cárie - várias preparações remineralizantes, por exemplo, gluconato de cálcio a 10% ou cloridrato de cálcio, soluções de fosfatos minerais, sais contendo flúor. Preparações especiais prontas, como Remodent, também podem ser usadas. Geralmente, os agentes são aplicados pelo método de aplicação, mas às vezes a eletroforese é usada.

As aplicações são repetidas por vários dias (geralmente 10 a 20 procedimentos são suficientes). No caso de cárie inicial no estágio de uma mancha branca com alta probabilidade, o esmalte é quase completamente restaurado.
Se um orifício já se formar no esmalte e a cárie se espalhar para as estruturas internas do dente, o tratamento exigirá a remoção de áreas danificadas com uma broca.
Todos os outros remédios para cárie, incluindo aqueles que podem ser usados em casa, destinam-se principalmente à prevenção de doenças e à proteção dos dentes contra danos. Existem muitas medidas profissionais preventivas contra a cárie, que, quando usadas corretamente, previnem com segurança o aparecimento da doença.
Preparações de fluoreto e cálcio na luta contra a cárie dentária
Ao escolher o que ajuda na cárie dentária, primeiro você deve prestar atenção aos fundos à base de flúor ou cálcio.Combinando ambos os tipos de agentes, em alguns casos, um resultado mais pronunciado pode ser obtido do que quando usado separadamente (o esmalte dos dentes consiste principalmente no composto mineral fluorapatita, que contém cálcio, fósforo e flúor em sua estrutura cristalina).

Das substâncias que contêm flúor e cálcio, o seguinte pode ser atribuído a um tipo de "medicamento" para cárie:
- Fluoreto de sódio, que na forma de uma solução aquosa diluída é aplicado nos dentes a cada poucos dias. Os íons flúor, incorporados na estrutura cristalina do esmalte dos dentes, o tornam mais resistente aos ácidos orgânicos.
- O fluoreto é uma ação semelhante. É aplicado 1-2 vezes por semana nos dentes.
- Sal com alto teor de flúor. Pode ser adicionado à comida em vez de sal comum, além de enxaguar a boca com água e adicioná-la várias vezes ao dia.
- Água fluorada.
- Preparações de cálcio: gluconato, glicerofosfato, lactato, utilizados em comprimidos.
- Fio dental contendo flúor. Ao escovar os dentes com a ajuda deles, o flúor aplicado permanece no esmalte e é incluído em seus componentes.
- Fitin, uma ferramenta com alto teor de cálcio e fósforo.
- Comprimidos de cárie contendo flúor que podem ser tomados conforme indicado pelo seu dentista.


Esses fundos podem ser usados independentemente em casa, conforme indicado por um médico. Água com alto teor de flúor e sal fluorado pode ser incluída na dieta por conta própria, mas você não deve abusar dela: um excesso de flúor no corpo também pode ser prejudicial.

Dentistas para prevenção de cárie ferramentas profissionais podem ser usadas. Isso inclui, por exemplo, o seguinte:
- Discos de papel e parafina contendo compostos de flúor. O dentista coloca esse disco na ponta da broca em vez de boro e em baixa velocidade processa o dente com ele. O flúor permanece no esmalte.
- Soluções remineralizadoras especiais com alta concentração de compostos de flúor e cálcio (centenas de vezes maior que o conteúdo na saliva humana).
Todas essas ferramentas fornecem uma aplicação fácil e rápida dos ingredientes ativos no dente. Mas eles também têm uma desvantagem: o flúor e o cálcio são rapidamente lavados do dente quando usados e, portanto, muitas vezes é necessário o uso desses medicamentos. Portanto, para uma prevenção mais confiável, os dentistas usam adicionalmente vernizes e selantes especiais.
Vernizes e Géis para Cáries
Os vernizes para cárie são remédios relativamente novos que os dentistas usam com alguma cautela. O verniz mais famoso hoje é o ícone alemão. É incolor e após a limpeza a mancha de cárie é aplicada diretamente no esmalte. O verniz preenche imediatamente todas as microcavidades do esmalte, depois brilha com uma lâmpada e endurece, formando uma barreira confiável para agentes cariogênicos na superfície do dente.

Importante:
Aplicar verniz de cárie é aconselhável apenas na fase da mancha. Com a derrota da dentina, eles deixarão de produzir um efeito.
A principal desvantagem de tal ferramenta é seu alto custo. Atualmente, o custo de uma porção de ICON no tratamento de cárie é de cerca de 4000 a 5.000 rublos, mas pode ser difícil para um médico explicar ao paciente para que é gasto o dinheiro: não há ferimentos no dente e, puramente visualmente, o dinheiro não é pago por nada.
Nota
Devido à transparência dos vernizes, o paciente deve sempre ter seu cartão com ele: o dentista poderá determinar o número de vernizes aplicados apenas pelos registros. Até certo ponto, isso vincula o paciente a uma clínica.
Mas os géis da cárie dentária são meios bastante adequados para a auto-prevenção. Eles são aplicados nos dentes após a escovação com creme dental regular. Exemplos de tais géis são:
- Misture-a-med;
- Fluodente;
- Elmex (Elmex);
- ROCS Medical Minerals (Rox Medical Minerals);
- Fluocal.


Os géis de cárie podem ser comprados e usados independentemente.Com um uso justo e adequado, eles reduzirão significativamente o risco de danos aos dentes. Esse remédio para cárie pode ser comprado em quase qualquer farmácia.
Selantes como proteção dentária
Os selantes de cárie, segundo o princípio de sua ação, se assemelham a vernizes, mas destinam-se ao tratamento de fissuras de dentes perfeitamente saudáveis. Por sua natureza, são resinas compostas que, quando aplicadas nos dentes, endurecem quando expostas ao ar ou radiação especial.
Os selantes tratam os locais com o desenvolvimento mais provável de cárie: fissuras, juntas de recheios com esmalte, locais aos quais os aparelhos são fixados. Os selantes Fissurit, Helioseal, Pit Fissure Sealant são muito famosos. Esses fundos são aplicados por um certo período durante o qual são gradualmente apagados e removidos da superfície do dente de maneira natural.

Que cremes dentais devo usar para proteger meus dentes de cárie?
Tão eficaz proteção de cárie cremes dentais que contêm flúor são adequados (a menos que os compostos de flúor sejam contra-indicados). Mas mesmo uma pasta simples de apenas usá-lo e limpar os dentes dos restos de comida ajuda a evitar cáries. As pastas com ingredientes ativos fortalecem o esmalte e reduzem ainda mais o risco de danos aos dentes.

Não é necessário comprar cremes dentais necessariamente caros, apenas é importante prestar atenção à sua composição básica e à presença de componentes auxiliares. Mas, como mostra a prática, são os pastores PresiDENT, Silca, Blend-a-Med, Splat e Colgate que têm a composição mais equilibrada.

Gomas de mascar de cárie: são eficazes?
Gomas de mascar promovidas como remédio confiável para cárie não são adequadas. No entanto, eles até certo ponto contribuem para a remoção de partículas de alimentos das rachaduras entre os dentes após a ingestão. Eles não têm um efeito acentuado de fortalecimento no esmalte dos dentes e, com entusiasmo excessivo pela goma de mascar, contribuem até para a abrasão e o desgaste dos dentes.
O xilitol, que muitos consumidores aprenderam apenas com a publicidade da Orbit e Dirol, é um simples substituto do açúcar neutro para o esmalte dos dentes. Não traz benefícios pronunciados para os dentes, nem prejudica, e na goma de mascar sua tarefa é tornar o sabor agradável e não ser um possível substrato para o crescimento de microrganismos cariogênicos, como, por exemplo, sacarose.

Da prática do dentista
Existem opiniões diferentes sobre os benefícios do xilitol para os dentes. Por exemplo, eu tive um professor de odontologia pediátrica: professor, doutor em ciências. Ao longo de cinco anos de treinamento, ela nos disse a frase: "O xilitol é um contraceptivo para o Streptococcus mutans" (esse é seu aforismo pessoal) ... É possível confiar nessa médica, já que ela quase foi removida nos últimos anos porque se recusou a assinar documentos em a fluoretação da água em favor da lavagem de dinheiro, proibiu algumas pastas anunciadas, etc. Em geral, um especialista independente e uma avó de ferro do temperamento soviético. Sua monografia, inclusive com um artigo sobre as propriedades positivas da goma de mascar com xilitol, ainda está em minha posse. A única coisa é a probabilidade de falsificações de chiclete, mas esse é outro caso legal.
Em geral, as gomas de mascar podem ser usadas imediatamente após uma refeição ou em momentos cruciais para refrescar o fôlego. Mas contar com eles como remédios eficazes para a cárie dentária não vale a pena.

A cultura do uso de chiclete também é importante. Em particular, recomenda-se o uso de chiclete com xilitol depois de comer apenas por 10 a 15 minutos. Isso aumenta a salivação, fornecendo lixiviação de resíduos alimentares da superfície do esmalte, melhora a mineralização e o retorno do flúor e do cálcio de volta ao esmalte (já que a saliva é, em termos simples, "esmalte líquido"). O uso prolongado não é recomendado devido ao esforço excessivo dos músculos mastigatórios, etc.
É proibido o uso de um elástico entre as refeições, pois isso leva a um mau funcionamento do trato digestivo: é possível desenvolver gastrite no contexto da mastigação constante na ausência de alimentos no estômago.
Remédios populares que definitivamente não ajudarão
Mas a maioria das receitas folclóricas, que são ativamente defendidas pelos curandeiros da aldeia e que os pacientes que têm medo de exercícios esperam, não trabalham contra a cárie dentária. Esses remédios populares para cárie incluem, por exemplo, o seguinte:
- O tratamento de cárie com refrigerante dificilmente é uma medida eficaz. Os pré-requisitos populares para isso são os seguintes: a principal causa de cárie é o dano ao esmalte dentário por ácidos. Parece que o refrigerante neutraliza os ácidos; portanto, quando ingerido, deve produzir saliva alcalina. Isso é uma falácia. A composição da saliva não muda quando o refrigerante é usado e, ao enxaguar a boca com refrigerante, embora aumente o pH na cavidade oral, o efeito disso é de curta duração. Portanto, o refrigerante de cárie praticamente não ajuda. Mas, a propósito, não trará muito mal.

- Própolis e cárie de cárie também são inúteis. Além disso, essas substâncias são um meio nutritivo para bactérias cariogênicas. Sua presença regular na cavidade oral aumenta o risco de cárie dentária. Ao mesmo tempo, zabrus e própolis de cárie são igualmente ineficazes.

- O mel de cárie é ainda menos eficaz e até certo ponto ainda mais perigoso. Contém carboidratos de fácil digestão (glicose, frutose), que apenas aumentam a atividade das bactérias na boca. O postulado de que a cárie tem medo do mel é um franco absurdo anticientífico, promovido às massas por apicultores especialmente empreendedores, bem como tratamento de cárie própolis ou tuberculose - tintura de mariposa de cera.

- Cavalinha, vodka e leite em pó são os mesmos remédios inúteis anti-cárie.
Dos remédios populares realmente úteis contra a cárie, você pode chamar o leite fresco natural, que, quando usado regularmente, ajuda a suprir o corpo como um todo, e os dentes em particular, com cálcio.
Vacinação contra cárie: realidade ou ficção científica?
A vacina contra cárie não existe hoje. Em 2011, cientistas chineses disseram ter desenvolvido uma vacina contra bactérias cariogênicas na cavidade oral. No entanto, depois disso, não há notícias do Reino do Meio.

Além disso, as próprias informações sobre essa vacina contra cárie levantam muitas questões. Por exemplo, não está claro o que exatamente conterá anticorpos projetados para combater bactérias. De fato, em outros casos, as células do sistema imunológico treinadas pela vacina lutam com agentes infecciosos no sangue ou na linfa. E na cavidade oral, eles simplesmente não serão capazes de atingir seus objetivos em quantidades suficientes (embora as imunoglobulinas estejam contidas na saliva). Portanto, a vacina contra cárie ainda é muita ficção científica.
Mas o desenvolvimento de novos remédios para cárie continua. Por exemplo, os americanos estão trabalhando em um gel que bloqueia o mecanismo de bactérias que produzem ácidos na cavidade oral; os franceses estão tentando criar um medicamento hormonal que desencadeie o mecanismo de formação de esmalte. Mas todos esses desenvolvimentos até agora não vão além dos muros dos laboratórios das universidades, e apenas roedores experimentais estão "felizes" com eles. Portanto, os cidadãos comuns precisam confiar no consultório do dentista e prestar muita atenção aos dentes para se proteger contra cáries.
Um vídeo interessante: a cárie pode ser curada sem ir ao médico?
O que é importante saber sobre a cárie na infância e como lidar com ela corretamente




Classe, ajudou.
O que exatamente?