
Certamente você já ouviu falar de um sistema de medidas destinadas a impedir o desenvolvimento de cáries - seus médicos chamam de prevenção primária. No entanto, há também uma chamada prevenção secundária de cárie em adultos menos conhecida: refere-se a métodos de tratamento dessa patologia e a algumas de suas complicações. Além disso, existe uma prevenção terciária de cárie: inclui todas as medidas destinadas a restaurar a integridade da dentição, ou seja, de fato, são próteses.
Obviamente, a maioria das pessoas estará mais interessada na prevenção primária de cárie, métodos que, quando executados adequadamente, são capazes de manter os dentes de um adulto médio saudáveis e fortes até a velhice (mesmo na presença de pequenos defeitos e lascas).

É sobre essas medidas preventivas que falaremos mais adiante.
"Pílula" de cárie
Os métodos mais eficazes de prevenção primária de cárie dentária são o sistema endógeno e exógeno de medidas. A prevenção endógena de cárie (isto é, envolvendo a ingestão de algo dentro) está associada ao consumo de produtos ou medicamentos que podem fortalecer a estrutura mineral dos dentes.
Os "três pilares" a seguir podem ser distinguidos, nos quais se baseia a prevenção de cárie livre de drogas e endógena:
- Dieta adequada (especialmente no que diz respeito ao conteúdo de carboidratos);
- Dieta adequada (quantas vezes você come, faz lanches);
- Uso profissional e doméstico de agentes profiláticos especiais.
Nota
Para proteger os dentes da cárie, um adulto não é suficiente para usar medicamentos especiais sozinho para prevenção. Além disso, com seu uso impensado, há uma probabilidade de efeitos tóxicos de substâncias no corpo.
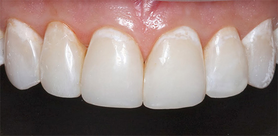
A foto abaixo mostra um exemplo de cárie inicial, que em 99% dos 100 casos poderia ser facilmente evitada com medidas preventivas:

É necessário esclarecimento para entender o princípio da profilaxia endógena da cárie. Se compararmos a profilaxia de cárie endógena e exógena em adultos, a primeira é a mais longa. Isso requer implementação sistemática e controle rigoroso.
A eficácia da prevenção de cárie endógena depende em grande parte do nível de ingestão de carboidratos, frequência e dieta. Na maioria dos casos, o maior problema cárie múltipla nos dentes está associado ao consumo excessivo e regular de doces, principalmente entre as refeições e, pior ainda, à noite, sem higiene bucal. Nesses casos, mesmo a droga mais fortificada com esmalte pode se render sob o ataque de microorganismos cariogênicos que liberam ácidos orgânicos durante a fermentação de carboidratos.
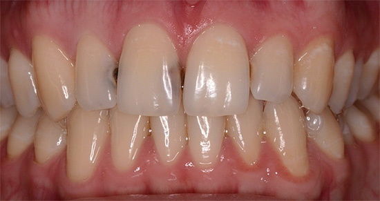
A foto mostra um exemplo de cárie em execução:

Ninguém precisa excluir carboidratos da dieta. Na maioria dos casos, para um adulto evitar cáries, basta não abusar do doce, excluir carboidratos dos intervalos entre as refeições e, se possível, não hesitar em limpar a boca depois de comer.
Um papel especial é desempenhado pela inclusão na dieta de alimentos duros, por exemplo, frutas e legumes, cujo efeito preventivo é frequentemente subestimado. Em primeiro lugar, esses produtos são fontes de vitaminas e minerais necessários ao organismo. Em segundo lugar, eles conduzem o processo de auto-limpeza das superfícies dos dentes a partir de detritos alimentares, e uma vez entre os povos antigos, eles eram a única e insubstituível "escova de dentes".

Produtos que podem fortalecer adicionalmente o esmalte dos dentes:
- Gergelim.As sementes de gergelim são ricas em cálcio, e o cálcio ajuda a prevenir a cárie dentária.
- Queijo Os cientistas provaram que os queijos duros são bons para fortalecer o esmalte dos dentes, pois contêm uma boa combinação de cálcio e fósforo.
- A cebola. Apesar do fato de que após a cebola um odor desagradável da boca aparece, foi comprovado que seus componentes são capazes de fortalecer dentes e gengivas, além de conter vários compostos antibacterianos que melhoram a situação cariogênica na cavidade oral.
- Leite e queijo cottage também são ricos em cálcio.
- Nozes - sempre têm um alto teor de nutrientes para muitos sistemas do corpo (não apenas a dentição). No entanto, não esqueça que todas as nozes são ricas em calorias.
Assim, podemos concluir que muitos métodos de profilaxia endógena para cárie livre de drogas não são apenas eficazes, mas também benéficos para o corpo como um todo.
O uso de drogas também é uma prevenção endógena da cárie e suas complicações. Isso inclui, entre outras coisas, o sistema de métodos para a prevenção do fluoreto de cárie. Essas medidas sistemáticas incluem:
- O uso de água fluorada, sal, leite;
- Curso de uso de comprimidos de flúor (geralmente fluoreto de sódio);
- Curso de uso de preparações de cálcio (por exemplo, gluconato de cálcio).
A imagem abaixo mostra sal fluorado, que às vezes é prescrito pelos médicos para compensar a falta de flúor no corpo:

Cada região possui uma certa concentração de flúor na água potável, bem como seu nível de consumo, dependendo do clima. Com níveis normais de concentração de flúor na água potável, na maioria das vezes não é necessário usar comprimidos de flúor, sal ou leite.
Somente um dentista pode ajudar a entender a adequação do uso desses ou daqueles métodos de profilaxia endêmica da cárie sistêmica, uma vez que é provável que danifique os dentes e o corpo como um todo pela automedicação. Apesar do importante papel dos fluoretos em nosso corpo (inclusive como parte da prevenção de cáries), esses compostos podem ser muito prejudiciais em altas concentrações. É por isso que o método endógeno de profilaxia com flúor é limitado ao uso gratuito.

O melhor remédio para a cárie dentária é a higiene bucal adequada
A profilaxia exógena de cárie livre de drogas (ou seja, associada à exposição externa) inclui o uso de escovas de dentes, pastas, fios e enxaguamentos.
Escovas de dentes
Estudos mostraram que a melhor maneira de prevenir a cárie em adultos é simplesmente “perturbar” a placa com uma escovação mecânica.
Ao escolher uma escova de dentes, deve-se ter em mente que existem vários tipos: macio, médio duro e duro. Para dentes e gengivas absolutamente saudáveis, uma escova dura pode funcionar. Leve é usado em adultos com gengivas problemáticas e em crianças pequenas. A rigidez média do pincel na maioria dos casos é ideal.

A cabeça da escova não deve sobrepor mais de três dentes (tamanho 25-35 mm). Uma opção ideal para pincel é com tufos de diferentes comprimentos e com seu arranjo em forma de X (veja a foto). A conexão flexível da cabeça e da alça permite ajustar a pressão e evitar danos ao esmalte e gengivas.

A vida útil ideal da escova não é superior a 3 meses, pois está desgastada mecanicamente, o que não permite uma limpeza eficaz da placa. Além disso, os microrganismos podem se acumular nas vilosidades em quantidades cada vez maiores.
Pastas de dentes
Em primeiro lugar, deve-se prestar atenção aos cremes dentais terapêuticos e profiláticos com viés no fortalecimento do esmalte (sua remineralização) e na profilaxia da cárie. Além disso, a pasta sempre tem um efeito adicional de limpeza e atualização.

Às vezes, a pasta de cárie pode conter toda uma gama de substâncias para prevenção de cárie:
- flúor
- cálcio
- fósforo
- oligoelementos
- enzimas que reduzem a formação de placas
e outros
As pastas de dentes com fluoretos são amplamente reconhecidas em todo o mundo, pois os íons fluorados, que saturam o esmalte dos dentes, formam a chamada fluorapatita - um dos compostos mais difíceis e quimicamente inertes da estrutura cristalina do esmalte. Isso aumenta a força dos dentes à ação de ácidos de microorganismos e reduz significativamente o risco de formação de cárie, bem como seu desenvolvimento posterior, se ele já existir.

Para adultos, por exemplo, os seguintes cremes dentais para profilaxia com flúor de cárie podem ser recomendados:
- President Classic: contém fluoreto de sódio, xilitol e extratos de sálvia, camomila e erva-cidreira. O efeito anti-carioso da pasta de dente é combinado com anti-inflamatório contra as gengivas.

- Silca. Dois tipos de pastas Silca Herbal Complete e Silca Natural Extrakte contêm igualmente fluoreto de sódio para a profilaxia com flúor de cárie em adultos, mas diferem em suplementos de ervas com efeito anti-inflamatório.

- Elmeks Caries Protection. O nome da pasta de dente fala por si. Ideal para uso diário, pois contém aminofluoreto e não possui anti-sépticos, antibióticos e enzimas em sua composição, o que sugere apenas o uso em curso devido à possível adaptação de bactérias a eles.

Lavagens para prevenção de cárie dentária
Isso inclui principalmente agentes de enxágue com compostos de flúor: geralmente é aminofluoreto ou fluoreto de sódio. É importante garantir que a concentração de flúor não exceda 250 ppm. Além disso, enxaguatórios bucais, que também incluem anti-sépticos, não podem ser usados por mais de 2-3 semanas.

Abaixo estão alguns dos condicionadores mais comuns que são bastante adequados para a prevenção de cárie em um adulto:
- Enxágue a proteção Elmex Caries. Durante o enxágue, contribui para a saturação do esmalte dentário com flúor, tornando-o mais resistente à ação de fatores cariogênicos. O agente de lavagem não contém álcool, bem como antibióticos e anti-sépticos. Além de adultos, também é recomendado para crianças acima de 6 anos de idade.
- Abrilhantador President Classic Plus. Também não contém álcool, além de fluoreto de sódio, contém extratos de erva-cidreira, camomila e sálvia. Ideal para uso em cursos complexos por adultos na prevenção de cárie dentária e redução de doenças gengivais.
A foto abaixo mostra exemplos de abrilhantador:


Fio dental (fio dental)
Este produto de higiene é um componente importante da limpeza completa das superfícies de contato dos dentes (no meio), onde a cárie se desenvolve com mais freqüência, pois é longe de sempre possível limpar esses locais com uma escova de dentes. Assim, o uso do fio dental é uma boa medida preventiva contra cárie interdental.
Você pode aprimorar ainda mais o efeito anti-cariado deste procedimento, se usar fio dental embebido em flúor.
A imagem a seguir mostra um exemplo de fio dental Splat:

Nota
Se a limpeza de uma superfície dentária com uma escova de dentes na maioria das vezes não apresenta dificuldades, a maioria das pessoas tem uma péssima idéia de como usar o fio dental adequadamente. O algoritmo de ação é o seguinte:
- Primeiro, você precisa obter cerca de 30 a 40 cm de fio dental da fita.
- Depois, enrole a maior parte do fio no dedo médio da mão esquerda;
- Em seguida, o restante do fio deve ser enrolado no dedo médio da outra mão, deixando um espaço entre os dedos com cerca de 10 cm de comprimento.
- Depois disso, insira cuidadosamente o fio entre os dentes.
- A superfície de contato deve ser limpa na direção da aresta de corte do dente ou na superfície mastigatória.
- É necessário limpar cada superfície de contato entre todos os dentes.
Um procedimento de fio dental realizado com competência geralmente leva muito tempo (20 a 30 minutos),mas permite uma prevenção muito eficaz da cárie em adultos nas áreas de desenvolvimento mais frequente de cárie - nos espaços interdentais (veja o exemplo na foto abaixo).

Não se pode deixar de mencionar a goma de mascar como um dos métodos mais controversos da profilaxia exógena de cárie livre de drogas. Existem vários estudos que têm base científica e não são comerciais, graças aos quais uma certa cultura do uso de chiclete com benefício para dentes e gengivas foi desenvolvida. O ponto principal aqui - mascar chiclete deve ser usado somente depois de comer e não mais que 10 minutos.
É interessante
Os mais eficazes para a prevenção de cárie são as gomas de mascar com xilitol. O xilitol não apenas possui um sabor doce, mas também pode interromper o crescimento e o desenvolvimento de bactérias cariogênicas Streptococcus mutans, cujo papel no desenvolvimento de cárie é considerado um dos principais. O xilitol também aprimora o trabalho das glândulas salivares, que tem um efeito benéfico no esmalte dos dentes, pois satura naturalmente os componentes minerais da saliva.
As gomas de mascar, quando usadas corretamente, melhoram a circulação sanguínea nas gengivas, facilitam sua massagem, limpam o esmalte dos resíduos alimentares, prevenindo exogenamente a cárie.
Prevenção ocupacional no dentista
A prevenção exógena e endógena de cárie dentária requer controle profissional e monitoramento dos resultados no dentista. Para eliminar fatores cariogênicos na cavidade oral e fortalecer o esmalte dentário em adultos, é utilizado o seguinte:
- Limpeza profissional de depósitos dentários (placa, pedra).
- Prevenção de cárie por agentes remineralizantes (por exemplo, "R. O. C. S. Medical Minerals").

- O método de profilaxia com flúor da cárie, incluindo métodos de fluoração profunda do esmalte ("Gluftored", "Líquido de vedação de esmalte", "Líquido de vedação de dentina" etc.)

- Eliminação de anomalias dentoalveolares (apinhamento dos dentes, irregularidades na dentição) e patologias de oclusão que impedem a limpeza normal dos dentes da placa bacteriana.

A higiene bucal profissional permite literalmente em uma visita eliminar o principal fator no desenvolvimento de doenças de cárie e gengiva: tártaro e placa bacteriana. Na consulta do dentista, a limpeza ultrassônica com um scaler é mais frequentemente usada. Na odontologia moderna, a tecnologia de escovação da Air Flow também se difundiu.
Da prática do dentista
O princípio do fluxo de ar é a limpeza da placa bacteriana (e parcialmente do tártaro) de todas as superfícies dos dentes, inclusive as de contato, com uma mistura de pó ar-água à base de bicarbonato de sódio que sai do bico sob alta pressão. Os pós têm um sabor agradável e, na maioria dos casos, o procedimento em si é indolor. Ideal para remover o chamado ataque de "fumantes", bem como chá e café. Além disso, com a ajuda do aparelho de fluxo de ar, chaves, cabeças de implantes, facetas de cerâmica são limpas, a superfície do dente é limpa antes da restauração com um preenchimento, antes da fluoração e antes do procedimento de clareamento.

Soluções especiais de remineralização e géis à base de compostos de cálcio, fósforo e magnésio são amplamente utilizados como agentes para a prevenção de cárie em adultos.
Por exemplo, R.O.C.S. Medical Minerals é um sistema remineralizante que permite que os dentes sejam saturados com cálcio e fósforo sob a supervisão de um dentista em uma consulta profissional, bem como em casa. Devido à composição especial, os componentes do gel se difundem com relativa facilidade no esmalte do dente, saturando-o com os elementos necessários.
Após a higiene bucal profissional, o dentista aplica o gel nos dentes levemente umedecidos, então um protetor bucal individual pré-fabricado de acordo com a mordida do paciente é colocado e o paciente fecha a boca com o protetor bucal (protetores bucais) por 10 a 15 minutos. O gel é seguro para engolir.
Após a aplicação, você não precisa beber ou comer 30 a 40 minutos. Uso adicional de gel R.O.C.S. Os minerais médicos podem ser realizados em casa (conforme combinado com o médico). Curso recomendado: 2 vezes ao dia por 12 a 14 dias (2 cursos por ano).
Por que gravidez e cárie são quase "sinônimos"
As questões de prevenção de cárie são especialmente preocupantes para as mulheres no período mais crítico de sua vida - durante a gravidez e imediatamente após o nascimento da criança.

Um exemplo de pergunta ao dentista:
Olá doutor! Uma mãe de dois filhos escreve para você: seu filho tem 2 anos e sua filha um ano e três meses. Há muito que me preocupo com a questão de por que, antes da gravidez, todos os meus dentes eram inteiros e bonitos, e mesmo quando eu era um filho grávida, pontos pretos apareciam em muitos dentes e, mais perto do parto, o dentista encontrou buracos em cinco dos meus dentes. Após o parto, curei todos os dentes e vivi calmamente por quase dois anos até engravidar do meu segundo filho. A história se repetiu, mas sete dentes já foram destruídos e, entre eles, já foram tratados. Você poderia me explicar em detalhes por que, durante e após a gravidez, os dentes começam a rolar dessa maneira?
Marina, Samara
Para entender como prevenir adequadamente a cárie dentária durante e após a gravidez, você deve primeiro determinar as causas do problema.
Para o esqueleto de uma criança se desenvolver completamente, ele precisa de cálcio e em grandes quantidades. Com uma deficiência de cálcio no corpo da mulher, esse elemento de construção é, de fato, lavado dos ossos e dentes, uma vez que a prioridade no fornecimento do corpo da futura mãe é dada ao feto. Da mesma forma, fósforo e magnésio entram no feto.
A composição mineral da saliva de uma mulher grávida pode mudar significativamente, a saber, uma deficiência aguda de cálcio e outros macro e microelementos importantes para os dentes ocorrem na saliva. Como resultado, cálcio, fósforo, magnésio e flúor quase nunca retornam da saliva para o tecido dentário. Como resultado, a cárie se desenvolve a uma taxa acelerada.

Dos métodos exógenos e endógenos acima prevenção de cárie para grávidas eficaz e seguro para as mulheres é:
- adesão à dieta, restrição de carboidratos (exclusão de lanches);
- uso ativo de alimentos que contenham cálcio;
- métodos caseiros de prevenção de cárie (escovas de dentes, pastas, fio dental, enxágües);
- técnica adequada de escovação e uso do fio dental;
- regularidade e higiene bucal sistemática;
- prevenção de cárie por remineralizadores no dentista e em casa;
- fluoretação profunda do esmalte dentário com vernizes e géis (por recomendação do dentista).

O uso de métodos de profilaxia com flúor para cárie em mulheres grávidas (por exemplo, comprimidos de flúor), bem como sal e leite fluorados, é limitado ao uso, pois pode causar efeitos tóxicos do flúor no feto.
A verdade sobre remédios populares para prevenção de cáries
Em várias publicações e na Internet, existem muitas informações disponíveis sobre a prevenção de cárie e suas complicações usando a medicina tradicional. Infelizmente, quase todos esses métodos são úteis não apenas para os dentes, mas também francamente prejudiciais. Apenas uma pequena parte das lavagens das ervas pode reduzir a atividade das bactérias cariogênicas, mas não resolve completamente o problema.
Muitas vezes, você pode encontrar as seguintes dicas prejudiciais emitidas para a prevenção e tratamento de cárie com remédios populares:
- Lavar a boca com formulações contendo mel ou aplicá-las nos dentes. Nesse caso, o mel é um carboidrato de fácil digestão, que é um excelente meio nutritivo para microrganismos cariogênicos. Nenhum de seus papéis anti-sépticos pode substituir o próprio fato da natureza de carboidratos do mel.

- Enxaguatório bucal com álcool. Evidentemente, as soluções concentradas de álcool podem desempenhar um papel antibacteriano, mas à custa de queimaduras constantes da mucosa oral, com a possível formação de erosão, rachaduras e úlceras.
- Escovação com leite em pó em pó.Infelizmente, o leite também pode atuar como um local fértil para bactérias, especialmente se for "esfregado" ativamente nos dentes, como recomendado nas receitas populares. Isso só contribuirá para o crescimento da placa.

É importante lembrar: a profilaxia da cárie deve ser abrangente, individual e segura. Se você decidir fazer isso de perto, seguir esses três princípios ajudará a manter os dentes saudáveis e bonitos. De qualquer forma, a porta do dentista está sempre aberta para qualquer consulta importante. Cuide dos seus dentes e seja saudável!
Vídeo útil: abordagens modernas para prevenção de cáries
Como escolher uma pasta de dente






O tratamento dentário é um prazer bastante caro. Portanto, é melhor monitorá-los o tempo todo e visitar o médico a cada seis meses para um exame de rotina. Eu tinha um mau hálito, então corri rapidamente para o médico. Acabou que a cárie começou. Tudo estava curado e o cheiro se foi.
Oksana, aqui estou agora tratando meus dentes, mas o cheiro não desaparece. Acontece que a causa pode ser os resíduos de bactérias que vivem na boca, e não apenas doenças. Eu comprei recentemente um abrilhantador e agora lavo a boca de manhã e à noite depois de escovar os dentes. De manhã à noite (até o final do dia útil), a ação de um abrilhantador é suficiente para mim, pois remove com sucesso esses resíduos de bactérias. E não há cheiro desagradável.
Eu tenho um parente da aldeia - um alcoólatra de primeira marca. Então, ele nunca teve cárie. Ao ser submetido a um exame médico para um serviço militar de registro e alistamento, o dentista perguntou-lhe: "Como escovar os dentes?" Que você tenha todos saudáveis e não tenha cárie, nem nada mais. " Ele respondeu: "Eu nunca os limpei na minha vida". Esses são milagres. E é verdade que nenhum animal escova os dentes. Em um corpo saudável - dentes saudáveis, provavelmente sim.
Em nossa família, todo mundo tem cárie. Embora sigamos os dentes, limpamos todos os dias. Aparentemente, isso não é suficiente. Meu filho tem 7 anos, seus dentes já são pretos. Que medidas preventivas o ajudarão a evitar cáries profundas? Quero que meu filho não conheça a "alegria" dos dentes postiços aos 30 anos ...
Olá Olga. Em primeiro lugar, é necessário tratar todas as cáries. Em segundo lugar, um curso de remineralização do esmalte dentário em um dentista pediátrico (uma vez a cada seis meses) pode ser útil. Para impedir o desenvolvimento de cárie, cremes dentais contendo flúor também ajudam. Além disso, é muito importante ensinar à criança as regras de higiene (é melhor consultar um higienista dental, pois há muitas nuances). Também é útil descobrir o conteúdo de flúor na água potável da sua região.