
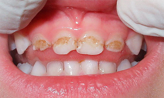
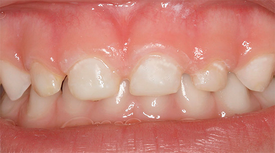
Segundo as estatísticas, em quase todos os terceiros filhos na maioria das regiões da Rússia, os dentes começam a deteriorar-se imediatamente após a dentição, ou seja, dos 5-6 meses de idade. Muitos pais culpam a má água, a genética e até o bebê, mas, na verdade, eles são os maiores culpados, porque não iniciaram a prevenção da cárie a tempo durante a dentição dos primeiros dentes temporários.

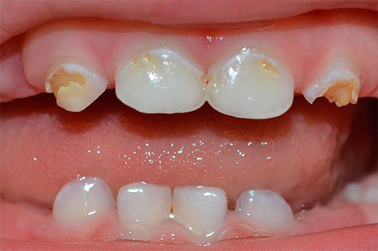
Sabe-se que a doença é mais fácil de prevenir do que tratar, mas, como mostra a prática, nem todos seguem os mandamentos dessa verdade simples e, por algum motivo, são bastante negligentes na prevenção de cárie em seus filhos. Tal descuido muitas vezes leva a sérias conseqüências: Depois de algum tempo, os dentes de leite são destruídos a tal ponto que começam a trazer um sofrimento severo para a criança, muitas vezes, muitos dentes simplesmente não podem ser preservados.
A remoção prematura quase sempre leva à luxação do dente, violação da dentição e formação de uma má oclusão, o que sugere seu tratamento ortodôntico longo e muitas vezes caro no futuro (aparelhos, placas). Bem, se aqui tudo é deixado ao acaso e a mordida não é corrigida, a criança que já está no período pré-escolar começa a formar complexos que traumatizam sua psique, além de defeitos de fala. Além disso, o formato do rosto pode mudar.

Isso é apenas parte das possíveis conseqüências indesejáveis que podem ser facilmente evitadas se alguém adotar a prevenção de cárie a partir do momento em que o bebê tiver o primeiro dente de leite decíduo e suplementar de forma competente as medidas necessárias à medida que o bebê cresce.
Cuidados pré-natais e sua importância para a mãe e o bebê ainda não nascido
Infelizmente, muitos casais jovens nem percebem que a prevenção de cárie no feto deve começar durante a gravidez. A profilaxia pré-natal é um sistema de medidas que visa prevenir futuras cáries em uma criança e já é realizado no estágio de desenvolvimento intra-uterino de rudimentos dentários.

É no período pré-natal que é muito importante como o feto formará tecidos de futuros dentes, quanto serão mineralizados. Por exemplo, devido à falta de minerais no corpo de uma mulher grávida, toxicose durante a gravidez, vários problemas de saúde, o bebê às vezes tem dentes que não são muito resistentes à cárie.
Para garantir a colocação correta dos rudimentos dos dentes temporários em um feto e, assim, para a prevenção de futuras cáries em um bebê, a mulher precisa tomar uma série de medidas específicas durante o período pré-natal. É importante ter em mente que você precisa tomar cuidado não apenas com os dentes do futuro bebê, mas também com os seus, já que durante a gravidez eles podem começar a quebrar rapidamente devido a uma diminuição nas propriedades remineralizantes da saliva.

- Observe a dieta correta e os padrões alimentares: aumente a quantidade de alimentos que contêm cálcio na dieta, limite a ingestão de carboidratos (doces, produtos de farinha), especialmente entre as refeições.
- Siga a higiene bucal: faça uma limpeza mecânica das superfícies dentárias da placa por escovas e fio dental.
- Faça um exame médico abrangente, não apenas durante o planejamento da gravidez, mas também durante o planejamento.
- Realizar a prevenção e o tratamento (saneamento) de lesões de cárie no dentista, uma vez que os microrganismos que se multiplicam podem ter um efeito negativo a longo prazo no desenvolvimento do feto.
- Realizar escovação profissional em um determinado trimestre da gravidez, por recomendação de um médico.
- De acordo com o médico, use complexos vitamínicos-minerais destinados a prevenir a deficiência de nutrientes - tanto para garantir a saúde da própria mulher quanto para o desenvolvimento adequado dos rudimentos dos dentes fetais, a fim de aumentar sua resistência à cárie no futuro.

Nota
Muito complexos de vitaminas condicionalmente podem ser divididos em três grupos:
- Classe econômica: Mãe complacente, saúde da mãe do alfabeto, etc;
- Classe média: Vitrum pré-natal, multi-tab perinatal e outros;
- Classe Premium: Elevit Pronatal, Materna, etc.
Como alimentar um bebê para proteção extra contra cárie
Para prevenir a cárie em crianças em idade pré-escolar e escolar, foram desenvolvidos sistemas endógenos e exógenos de medidas preventivas.
A profilaxia endógena visa saturar os dentes com importantes componentes minerais por dentro, ou seja, quando certos produtos ou medicamentos são tomados por via oral. No entanto, antes de alimentar uma criança com complexos prontos para a prevenção de cárie, você deve primeiro ajustar a dieta como um todo.

Assim, por exemplo, é importante entender que os produtos que contêm carboidratos, em sua maioria, provocam cárie, pois são alimentos para bactérias cariogênicas. Portanto, limitar o consumo de doces até os 3-4 anos de idade é uma solução bastante eficaz para o problema.
Se for problemático remover doces e outros produtos de confeitaria da dieta da criança, eles devem ser limitados pelo menos parcialmente e especialmente excluídos dos intervalos entre as refeições. Assim, o tempo gasto pelos resíduos de carboidratos na superfície dos dentes da criança será reduzido e também serão criadas condições para o retorno de minerais perdidos dos dentes pela saliva (a saliva tem propriedades mineralizantes naturais em relação aos tecidos duros do dente).
Além disso, existem produtos adequados para a limpeza da boca - são frutas e legumes sólidos. Durante a mastigação, os restos de comida são removidos e a saliva é liberada, o que elimina o fator microbiano.

Nota
A prevenção da cárie em crianças em idade pré-escolar e escolar em certos casos pode ser complementada pelo uso de água fluorada, sal, leite e comprimidos contendo flúor. Esses métodos sistêmicos de prevenção só podem ser utilizados após consulta a um dentista que pode prescrevê-los, por exemplo, com baixa concentração de flúor na água potável em uma região específica.
Como parte da prevenção de cárie, será útil recusar sucos de frutas doces, bem como refrigerantes em favor de água mineral ou chá não muito forte. Muitas substâncias úteis para os dentes são encontradas em peixes com baixo teor de gordura e em frutos do mar (especialmente fósforo e vitamina D, o que contribui para uma melhor absorção de cálcio).
Os produtos que contenham cálcio (queijo cottage, queijo, leite, creme, etc.) são ideais para prevenção de cáries em crianças, no entanto, vale lembrar que é necessário escovar os dentes da criança após cada refeição, uma vez que os laticínios são um excelente meio para a propagação de bactérias cariogênicas.

Para melhorar a ação do fator sistêmico, após consulta com o pediatra, complexos multivitamínicos e minerais também podem ser levados à dieta principal, que também contribui para a prevenção de cárie (por exemplo, Junior Neo, Junior Big Big, Multi-Tabs Calcium Kid, VitaMishka cálcio +).
O segredo para uma higiene eficaz através de uma abordagem integrada
Além de limitar o consumo de nutrição açucarada e equilibrada para prevenir a cárie em crianças em idade pré-escolar e escolar, é necessário aplicar os chamados métodos exógenos de prevenção.

Estes incluem:
- Higiene bucal completa e controle dos pais sobre sua implementação;
- O uso de cremes dentais e enxágües para crianças, bem como fio dental para a limpeza de espaços interdentais;
- Higiene bucal profissional no dentista (remoção de placa e pedra);
- Remineralização do esmalte e sua fluoração profunda para a prevenção e tratamento de cárie no local da mancha (realizada no consultório do dentista).
A higiene bucal regular e completa é um elo muito importante na prevenção de cáries em crianças, uma vez que, sem a remoção mecânica constante da placa, não haverá efeito, mesmo com a nutrição adequada e a tomada de preparações contendo flúor.

Conselho de Odontopediatria
Em nenhum caso a criança deve ser forçada a escovar os dentes à força, pois isso formará uma atitude negativa em relação à higiene por toda a vida. Incentivar o bebê a tomar medidas preventivas é recomendado de uma maneira descontraída e divertida.
Nesse caso, você deve comprar um pincel recomendado para a idade do seu filho, por exemplo, com uma forma engraçada na forma de um animal ou personagem de desenho animado. A maioria das crianças começa a repetir rapidamente quando vê como mamãe e papai ficam felizes em escovar os dentes de manhã depois de comer e à noite - antes de dormir.

As pastas de dente nos primeiros anos de vida de um bebê, com idade entre 3-4 anos, não contêm flúor, mas ajudam na limpeza mecânica dos dentes, criando uma espuma. Os fluoretos são excluídos da composição de tais cremes dentais porque a criança pode engolir frequentemente até 30% da pasta de dente usada.
A cada ano subseqüente, nas pastas recomendadas por uma determinada faixa etária, aparece um pequeno conteúdo de fluoretos, fortalecendo o esmalte infantil e impedindo sua desmineralização sob a influência de fatores cariogênicos. Freqüentemente, anti-sépticos e enzimas também são introduzidos nos cremes dentais das crianças para combater bactérias e reduzir a taxa de formação de placas. Essas pastas devem ser aplicadas em um período não superior a 2 semanas, uma vez que a microflora da cavidade oral pode gradualmente se tornar resistente à sua ação.

A higiene bucal profissional (ou seja, no consultório do dentista) é especialmente importante para a prevenção de cárie em crianças em idade escolar, pois é nesse período que você pode encontrar não apenas placas pigmentadas, mas também tártaro. Freqüentemente, após a remoção da placa dentária, você pode detectar focos de cárie inicial e, assim, conseguir impedir seu desenvolvimento.
Como observado acima, para a prevenção de danos cariados ao leite e aos dentes permanentes em crianças, pode ser realizada a remineralização do esmalte dentário e sua fluoração profunda (em termos simples, é a saturação dos tecidos duros dos dentes com componentes minerais). Para a prevenção de cárie em crianças em idade pré-escolar e escolar, soluções especiais, vernizes e géis são utilizados para esse fim.

Os vernizes podem ser aplicados nos dentes com escovas especiais ou no protetor bucal, o que é mais eficaz. Freqüentemente, para obter um resultado rápido, a eletroforese de compostos de cálcio e flúor é usada: compostos úteis penetram no esmalte mais facilmente devido a correntes baixas
A alternância de preparações para remineralização (por exemplo, Remodent) e para fluoração profunda (por exemplo, líquido de vedação de esmalte e dentina) na consulta do dentista permite proteger o esmalte dos dentes das crianças contra danos por cárie por um longo tempo.
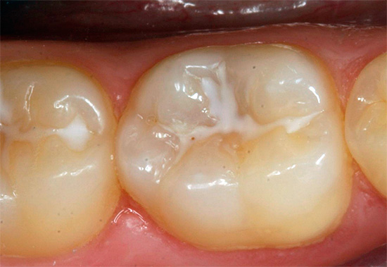
Dentes saudáveis "selados" da cárie dentária
O chamado selamento de fissuras é o procedimento de "selar" a superfície mastigatória dos dentes com um selante especial (silano), que permite a prevenção eficaz e a longo prazo da cárie, tanto em crianças em idade escolar quanto em idade pré-escolar. O procedimento é realizado na consulta do dentista para determinadas indicações, a principal das quais é a presença de fissuras profundas e fechadas.

Dependendo da mineralização das fissuras (grau de saturação com os componentes minerais do esmalte), a vedação é realizada:
- imediatamente após a dentição (com mineralização normal);
- com preparação obrigatória do dente para vedação por tratamento especial com vernizes fluoretados e retirada de produtos e preparações contendo cálcio e flúor (com um grau médio de mineralização do esmalte);
- ou selantes de ionômero de vidro são usados sem condicionar o esmalte com ácido (com baixa salinidade).
Com uma alta mineralização de fissuras, a vedação pode ser omitida. Na maioria dos casos, a vedação da fissura é realizada com 6-13 anos de idade.

Importante saber
Especialmente importante é a vedação do sexto dente permanente, que entra em erupção em uma criança a partir dos 6 anos de idade e tende a se deteriorar mais rapidamente do que todos os outros dentes permanentes. Ao mesmo tempo, a mordida normal, sua altura etc. dependem em grande parte desses dentes.
A vedação preventiva de fissuras é realizada com preparações especiais: ionômero de vidro e materiais compósitos são mais frequentemente usados como selantes. Existem métodos de vedação não invasiva (sem preparação) e invasiva (usando brocas de fissurotomia para abrir as fissuras antes da vedação).
Para vedação não invasiva, use selantes líquidos, endurecendo-se ou à luz de uma lâmpada. As principais etapas da vedação não invasiva:
- Tratamento dentário para restos de placas e alimentos;
- Isolamento e secagem de saliva;
- Aplicação de solução de ácido fosfórico na superfície da fissura;
- Enxágüe com água destilada;
- Secagem e aplicação de selante líquido nas fissuras;
- Aguardando o endurecimento ou ativação do silano usando uma lâmpada;
- Remoção de excesso de material e selos de controle de qualidade do selante;
- Controle obrigatório de vedação após 3-6 meses.
O procedimento leva em média 10 a 40 minutos e não produz quase nenhuma dor.

O efeito preventivo da vedação é proporcionado pelo fechamento de seções de esmalte em fissuras que não são protegidas contra cáries de influências ambientais externas, bem como compostos de flúor introduzidos no selante. O efeito de vedação e, consequentemente, a prevenção de cárie nessa área do dente, é alcançado por um período geralmente de 1-2 a 7-8 anos.
Programa educacional para os pais: desmascarando alguns mitos sobre os dentes das crianças
Na consulta odontológica, cada médico deve responder regularmente às perguntas dos pais dos bebês. Muitas dessas perguntas para os médicos parecem muito repetitivas, estranhas, engraçadas, chatas e até anedóticas, mas esse é o caso quando o paciente está sempre certo, e a mais popular delas pode e deve ser decifrada.

Então ...
Por que manter os dentes do bebê se eles caem de qualquer maneira?
Talvez essa seja a pergunta mais popular, que muitas vezes determina o nível de educação de uma pessoa. O fato é que a proteção dos dentes de leite é uma contribuição para a saúde dos permanentes. Muitas vezes, a deterioração da cárie pela criança causa danos irreparáveis ao rudimento de um dente permanente, e pode não aparecer. A cárie é uma infecção; portanto, a imunidade da criança às vezes não pode lidar com outras feridas se for constantemente carregada e explorada. A violação da dentição devido à extração prematura dos dentes é um desastre para a mordida futura, a psique da criança e dos pais que, após o fato, aprendem sobre o componente financeiro da solução desse problema. Portanto, a prevenção de cárie é uma contribuição inestimável para a saúde dental e a saúde geral das crianças.
Com que idade uma criança pode escovar os dentes?
Os dentistas infantis aconselham iniciar a prevenção de cáries no bebê antes do aparecimento dos dentes: as gengivas são limpas com uma compressa de gaze embebida em água fervida quente de manhã e à noite. Com a aparência do primeiro dente (cerca de 6 a 10 meses), a mãe ou o pai o limpam com uma escova especial na ponta dos dedos - é feita de borracha hipoalergênica e é usada no dedo.As cerdas macias de silicone removem perfeitamente a placa bacteriana e evitam cáries em crianças pequenas. E a criança deve estar acostumada à escova de dentes entre 1,5 e 2 anos.

O que devo fazer se meu filho não tiver a oportunidade de escovar bem os dentes, pois eles são desiguais?
Infelizmente, quando os dentes de leite entram em erupção incorretamente ou ocorrem irregularidades nos rudimentos dos dentes permanentes, uma mordida incorreta pode se formar ou surgir problemas com a posição dos dentes na dentição. Nesses casos, muitas vezes é impossível limpar completamente todas as superfícies dos dentes e, assim, impedir com segurança o desenvolvimento de cáries. É necessária a ajuda de um dentista ortodontista, que poderá avaliar a situação clínica e definir um horário em que estruturas corretivas (por exemplo, aparelhos) podem ser instaladas.
Como você pode ver, a importância da prevenção de cárie na infância dificilmente pode ser superestimada, e depende dos pais se os dentes da criança serão saudáveis e bonitos no futuro. Tome nota disso e ... aja!
Um vídeo interessante sobre os métodos de prevenção de cárie em crianças
O que é importante para os pais saberem sobre cárie nos dentes de leite

Fotos muito desagradáveis.