
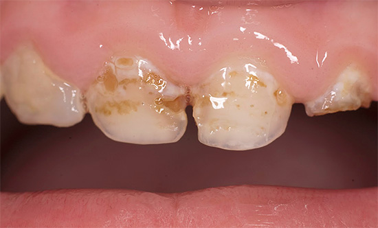
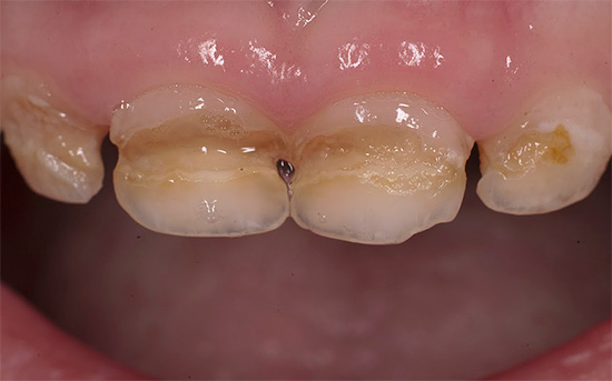
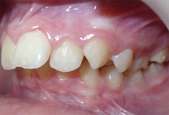
Os dentes de leite com cárie em crianças devem ser curados. A abordagem de alguns pais "Eles caem de qualquer maneira, não há nada para atormentar uma criança e gastar dinheiro" é um crime diante da saúde do bebê.
O tratamento oportuno da cárie de dentes decíduos é ainda mais relevante do que o tratamento de dentes permanentes. E aqui está o porquê:
- A erupção normal dos dentes permanentes e a formação de uma mordida depende em grande parte da saúde e da mudança oportuna dos dentes decíduos. Um conjunto completo de dentes de leite forma o tamanho correto da mandíbula. Se eles são destruídos por cáries e caem ou são removidos antes do tempo, a mandíbula pode não ser formada da maneira correta. É altamente provável que isso leve a uma má oclusão no futuro ou a uma curvatura dos dentes, sua localização feia. Como resultado, para uma cárie não tratada em um dente de leite, uma criança, amadurecida, será paga na melhor das hipóteses com aparelho, na pior das hipóteses - com dentes desconcertados e complexos psicológicos.

- A cárie nos dentes de leite pode ser complicada por pulpite e periodontite, por causa dos quais cistos podem aparecer na zona basal, e o rudimento de um dente permanente também pode ser afetado.
- Cárie negligenciada muitas vezes motivo de ridículo na equipe infantil.
- Além disso, não esqueça que a aparência de cárie é um sinal de violação das regras de higiene bucal, dieta inadequada ou falta de minerais na dieta e, às vezes, sintoma de problemas de imunidade. Se você ignorar esses problemas no início de sua vida, no meio do filho poderá surgir sem dentes saudáveis e com um conjunto de doenças concomitantes.
- Com a remoção precoce dos dentes de leite para mascar, a criança não poderá mastigar os alimentos normalmente. Como resultado, um nódulo alimentar insuficientemente processado entra no trato gastrointestinal, o que pode levar a distúrbios digestivos.

Da prática do dentista
Muitas vezes, os pais nem sequer tratam formas graves de complicações da cárie, e a periodontite em uma criança pode se transformar em periostite, osteomielite, abscesso ou fleuma. Além disso, a taxa de mortalidade entre crianças por complicações de cárie é maior que nos adultos, pois, com certos fatores de imunidade enfraquecidos, o processo de pulpite a abscesso e fleuma em uma criança pode levar vários dias e até ocorrer dentro de um dia.
Portanto, a primeira coisa a fazer ao detectar cáries de dentes decíduos em uma criança é entrar em contato com um dentista pediátrico. Após o exame, o médico informará como e quais dentes devem ser tratados, quais métodos e meios devem ser usados para isso e como tornar o tratamento o mais confortável possível para a criança.

Nota
Somente em casos muito raros, a cárie dentária pode realmente ser deixada sem tratamento. Geralmente, o médico toma essa decisão se a troca de dentes da criança já tiver começado, houver cárie dentária no dente, que provavelmente cairá dentro de seis meses, e a própria doença for lenta e crônica. Nesse caso, a cárie simplesmente não tem tempo para levar a sérias conseqüências. No entanto, repetimos: essa decisão só pode ser tomada por um dentista profissional com base em um exame da criança.
Características específicas do tratamento de dentes decíduos
Tratamento cárie de dentes decíduos em crianças É realizado levando em consideração a estrutura específica e o ciclo de vida dos próprios dentes.
Assim, por exemplo, os dentes de leite são rapidamente apagados. Este é um processo normal que deve ser considerado ao selecionar o material do selo. Se o material for mais duro que o próprio dente, depois de um certo tempo, o preenchimento começará a se projetar além dos tecidos circundantes e impedirá a criança de mastigar.



Normalmente, os cimentos de ionômero de vidro são usados no tratamento de cáries em dentes de leite. Nesse caso, além da abrasão do preenchimento, que ocorre naturalmente simultaneamente às paredes dos dentes adjacentes, os fluoretos se infiltram nos tecidos ao redor do preenchimento, o que, por sua vez, contribui para sua mineralização e fortalecimento adicionais.
Além disso, as crianças costumam ter mamadeira e cárie de florescênciaque estão se desenvolvendo muito rápido. Embora os pais tenham tempo para perceber a doença e levar a criança ao médico, o processo patológico pode se espalhar para a maioria dos dentes e danificar alguns deles especialmente. Como resultado, quase todos os dentes terão que ser tratados, e isso precisará ser feito em várias sessões e a terapia em si será muito cansativa para a criança.

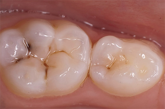
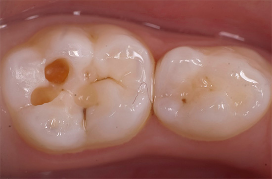
Métodos para tratar a cárie em diferentes estágios da doença
Nos estágios iniciais da cárie, quando apenas o esmalte do dente é danificado, a terapia remineralizante conservadora geralmente pode ser dispensada. Uma broca não é usada: as áreas desmineralizadas dos dentes são limpas primeiro e depois tratadas com preparações especiais que permitem restaurar o esmalte danificado.

Hoje, a tecnologia ICON também é amplamente utilizada para tratar a cárie inicial: a tecnologia ICON é aplicada: um material compósito especial é aplicado na área danificada do dente, preenchendo todos os poros resultantes de uma lesão de cárie. Este material endurece e fornece proteção confiável e de longo prazo da área tratada contra destruição adicional.
Graças à tecnologia de tratamento de cárie da ICON, exames dentários regulares de uma criança se tornam ainda mais relevantes. Tratar cáries de dentes decíduos nos estágios iniciais sem broca e obturações é muito mais eficaz e mais fácil do que atormentar um bebê posteriormente no caso de uma destruição de longo alcance do esmalte e da dentina.


No entanto, deve-se ter em mente que, para defeitos cervicais localizados próximos à margem gengival, a técnica ICON é limitada ao uso devido ao esmalte muito fino e fracamente mineralizado (a dentina não pode ser infiltrada com os medicamentos utilizados). Crianças menores de 3 anos não devem usar a técnica.
Dicas para os pais
Os exames regulares de dentes em uma criança permitem não apenas revelar processos cariados ocultos e determinar a situação cariogênica na cavidade oral, mas também designar para os pais um conjunto de regras necessárias para salvar superfícies dentárias não afetadas por cárie. É importante iniciar a limpeza já com o aparecimento do primeiro dente de leite. Nesse caso, basta limpar o dente com toalhetes especiais ou usar uma escova de dente na ponta dos dedos para esse fim.
A primeira escova de dentes verdadeira comprada por uma criança deve ser:
- Com cerdas muito macias;
- Com uma cabeça arredondada pequena e não traumática;
- Com pega confortável para segurar.
O ensino da escovação deve assumir a forma de um jogo. Vale a pena começar de 1 a 1,5 anos. O monitoramento da limpeza de todas as superfícies acessíveis à escova e a ajuda da criança são realizadas por adultos. A combinação de escovas com cremes dentais para crianças é recomendada não antes de 2 anos, quando a criança aprende a cuspir.
Outro método de tratamento conservador de cárie de dentes decíduos sem broca, o prateado, é cada vez mais reconhecido moralmente obsoleto hoje. Com ele, sais de prata são aplicados em áreas cariosas, o que leva à morte de bactérias aqui (a prata possui propriedades bactericidas) e, posteriormente, à proteção dessas áreas contra lesões de cárie repetidas.
A partir de sais de prata na superfície da área tratada, a prata metálica finamente dispersa, de cor cinza escuro, é restaurada. Isso estraga muito a aparência dos dentes e, com eles, a boca da criança não parece melhor do que a cárie. Além disso, o prateamento deve ser repetido uma vez por mês, o que pode ser bastante problemático.


Em geral, a eficácia do prateamento dos dentes, como forma de impedir o desenvolvimento de cárie, é bastante baixa.
Com a penetração de cárie sob o esmalte e a derrota da dentina, a cavidade infectada é excisada, desinfetada e preenchida com material de preenchimento. Em algumas clínicas, os danos cariados são eliminados sem uma broca, usando um jato de material abrasivo ou substâncias especiais que dissolvem o tecido afetado. Além disso, em algumas clínicas, um laser é usado para remover o tecido afetado, mas para prescrevê-lo a um médico, a idade da criança e as especificidades de uma situação clínica específica devem ser levadas em consideração.
Em casos raros, por exemplo, em formas graves de cárie muito antes da troca dos dentes, as coroas são instaladas usando uma tecnologia especial (o dente não é virado). Para mastigar dentes, essas coroas são geralmente feitas de metal e para incisivos - de materiais compósitos. A instalação da coroa nesse caso é realizada em uma visita ao dentista, e as coroas nos dentes da frente são instaladas em apenas 20 a 25 minutos.


Anestesia, anestesia local e tratamento sem dor: aspectos psicológicos da terapia em crianças
Não menos difícil do que a terapia de cárie real é o controle do paciente durante o procedimento de tratamento. As próprias crianças estão inquietas, e mantê-las paradas em uma cadeira por pelo menos meia hora é incrivelmente difícil.
O problema é agravado se a criança tem medo do dentista ou da broca e espera que doa. Ele pode simplesmente não abrir a boca. E quanto mais jovem a criança, mais grave é esse problema. É resolvido de várias maneiras:
- Muitas crianças acima de 6-7 anos são bastante obedientes e a presença no escritório de um dos pais lhes permite sentar-se em silêncio.
- A presença no consultório de elementos que distraem o design (por exemplo, desenhos nas paredes, brinquedos embaixo do teto), uma TV perto da cadeira, um roupão brilhante do dentista - tudo isso distrai e mantém a atenção da criança, que pode se dedicar a examinar esses objetos ou assistir ao desenho o tempo todo. .

- O uso de recheios coloridos. Se uma criança sabe o que é, ela aceita isso o tempo todo, apenas para conseguir esse selo e depois se gabar para seus amigos.

- Anestesia local para crianças com medo de dor durante o tratamento odontológico. Antes da injeção, a criança é tratada com gel anestésico na gengiva, e o bebê não sente nenhuma injeção ou dor durante os trabalhos futuros.
- Sedação de óxido nitroso, em que a criança relaxa, seu sentimento de medo é entorpecido, um sono curto pode ocorrer.
- Anestesia
É a anestesia que os pais geralmente têm mais medo. Isso está errado: a maioria dos medicamentos usados hoje para anestesia geral é segura. Além disso, antes do próprio tratamento, a criança é testada e o exame necessário é realizado para garantir que ela não tenha contraindicações individuais ao uso da anestesia. E o próprio médico usa anestesia apenas se outros meios e métodos não permitirem a manipulação.

Muitos pais têm medo de que a anestesia possa afetar o desenvolvimento mental da criança, piorar sua memória e levar a um atraso no desenvolvimento da fala. Teoricamente, essas situações são possíveis, mas são extremamente raras. As estatísticas mostram que essas complicações da anestesia em crianças são extremamente raras e, em muitos casos, a causa do distúrbio do desenvolvimento não é a anestesia propriamente dita, mas um forte susto no hospital ou as conseqüências de uma doença tratada sob anestesia.
Comentários
“Na Suécia, além da anestesia, não há opções. Ela tem três anos, confia em um médico, senta-se em uma poltrona, não chora, mas simplesmente diz que não. Ela disse que o médico não. É impossível forçá-la, pois isso é violência contra a criança, e ela se recusa. Eu tive que fazer anestesia.Ela saiu disso por muito tempo, mas não houve consequências. ”
Anna, Malmo
Nos casos de cárie em crianças menores de 3 anos, a anestesia é a única oportunidade de realizar manipulações. Para o tratamento, pode levar pelo menos 2-3 horas e é impossível forçar o bebê a ficar imóvel o tempo todo em um ambiente desconhecido.

De qualquer forma, a decisão final é sempre tomada pelos pais. O próprio médico não fará anestesia e realizará cirurgia se tiver preocupações sobre as consequências do uso da anestesia para a criança.
A prática mostra que, na grande maioria dos casos, o senso comum vence e os pais concordam com a anestesia, em vez de arriscar a saúde e a beleza da criança no futuro.
Comentários
“Meu filho tem 4,5 anos e minha filha tem 2 anos. Fomos para um exame, dois pequenos orifícios foram encontrados no meu filho e na minha filha - em 5 cáries de dentes, há uma placa e um dente já está sem topo. O médico imediatamente nos ofereceu anestesia. Embora a clínica seja boa, eu estava de alguma forma assustada. Eu li sobre Sevoran em casa, parece que não há nada errado com isso, mas de qualquer maneira anestesia por 2,5 horas - isso é mais do que apendicite! Eles decidiram recusar, eles lidaram com o filho. E os desenhos mostravam a ele, e prometiam tudo no mundo, e eles liam contos de fadas, mas curavam os dentes, um para cada visita. E Sasha nem abriu a boca. Ela disse que não, só isso. O que há para fazer? Eu tive que fazer anestesia, mas tudo estava em ordem, nada aconteceu. ”
Eugene, Moscow
Por que tratar os dentes de leite se eles caem de qualquer maneira? Nota dos pais
Nuances interessantes sobre o tratamento de dentes decíduos sob anestesia geral



