
Surpreendentemente, muitos pais ainda estão convencidos de que os dentes de leite (temporários) de uma criança não precisam ser tratados, em vez de dentes permanentes. Mães e pais inconscientes afirmam que não tratam cáries em seus filhos apenas porque esses dentes ainda caem. Existem casos frequentes que não tratam atempadamente e pulpite dos dentes decíduos, apesar da dor intensa na criança.
Essa idéia de tratamento opcional de dentes decíduos é absolutamente errada; além disso, é uma ignorância muito perigosa!
Pulpite dentes temporários em crianças na maioria dos casos se desenvolve em segundo plano cárie não tratada a tempo. Quando um dente de leite começa a doer, a criança sente menos dor do que os adultos com pulpite de dentes permanentes. Às vezes, os pais procuram maneiras de ajudar o bebê com métodos improvisados, muitas vezes enchendo de “química” (analgésicos), que muitas vezes simplesmente não ajudam, mas o mais importante, eles não resolvem o problema em si.

Dependendo da imunidade da criança, a pulpite em um dente de leite sem tratamento adequado pode ter complicações (periodontite, periostite e outras) em poucos meses e em um dia. Houve casos em que o bebê morreu de complicações da pulpite devido a envenenamento do sangue, desde a primeira dor de dente com pulpite até inchaço grave da face e morte subseqüente em apenas alguns dias.
Para evitar problemas sérios, é necessário tratar a cárie em crianças a tempo, mas se a pulpite tiver sido adiada e iniciada, o tratamento deve ser feito imediatamente, você não deve suprimir a dor com pílulas e esperar até que o dente desça por si próprio.
Sintomas de pulpite aguda de dentes decíduos
Em crianças pulpite aguda nos dentes de leite é menos comum do que crônico, mas se manifesta de forma mais agressiva do que em uma mordida permanente. A forma aguda é dividida em estágios serosos e purulentos, que determinam a condição do bebê, a natureza da dor, bem como a intensidade e a duração dos ataques.
A pulpite serosa aguda de um dente de leite é semelhante no quadro clínico à pulpite focal aguda em dentes permanentes. Por via de regra, pela primeira vez, a dor ocorre à noite. Muitas vezes, uma criança reclama de dor durante as refeições.
Na pulpite serosa aguda, um processo inflamatório se desenvolve nos tecidos pulpares, levando à falta de oxigênio (hipóxia) da polpa. Como resultado, aparece o chamado exsudado seroso ou fluido seroso, que preenche os canais.
Nesses casos, a dor geralmente é única na natureza, dentes temporários com raízes não formadas ou absorvíveis são afetados. Dentro de 4-6 horas após os primeiros ataques de dor, a pulpite serosa aguda passa para o estágio purulento, o que quase sempre faz com que os pais se voltem para um dentista pediátrico.

A severidade da forma purulenta da pulpite, além de serosa, é amplamente determinada pela formação das raízes do dente de leite, pela reatividade do corpo da criança (imunidade), pela atividade de micróbios que causam inflamação do "nervo" dentro do dente e por alguns outros fatores. Por exemplo, às vezes a dor não é expressa, se a criança tiver boa imunidade, os micróbios no interior do dente ficam enfraquecidos e há uma saída de pus através grande cavidade cariadaque se comunica com a câmara pulpar
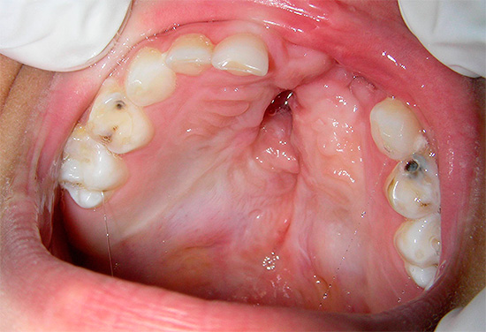
A foto mostra um dente de leite com pulpite com uma cárie profunda:

No entanto, na maioria das vezes a clínica de pulpite purulenta é brilhante. Não parece uma clínica de pulpite aguda em um adulto e geralmente ocorre com sinais característicos de periodontite: febre, exsudato purulento no canal, dor intensa ao mastigar.
Entre sintomas predomina dor prolongada intensa com intervalos curtos entre crises. Muitas vezes, um ataque de dor aguda em um dente de leite ocorre durante as refeições devido a flutuações de temperatura. Às vezes, o bebê não pode indicar exatamente qual dente dói, uma vez que a dor pode ser causada nos dentes vizinhos, na mandíbula superior.
Se os pais não forem ao dentista a tempo de tratar a pulpite do dente de leite, a criança poderá gradualmente piorar a saúde geral: a temperatura aumenta, o sono é perturbado, o bebê pode se recusar a comer devido à dor constante. Pode ser muito doloroso tocar o dente, as gengivas ao redor dele também se tornam dolorosas.

Da prática do dentista
Quando eles vêm para uma consulta com dores pulpíticas, quase sempre há uma profunda cárie no dente de leite. A sondagem do fundo e a extração da dentina cariada amolecida podem ser muito dolorosas. Após a abertura (com ou sem anestesia) da camada que cobre o "nervo", uma gota de pus é liberada da cavidade, mas ainda pode haver uma polpa viva nas profundezas. Além disso, ela freqüentemente sangra dolorosamente.
A pulpite purulenta aguda às vezes é complicada por periodontite, linfadenite, bem como periostite ("fluxo"), e geralmente em um período muito curto de tempo, às vezes em um dia. Algumas dessas complicações são frequentemente acompanhadas de intoxicação severa, quando todos os sistemas do corpo enfraquecido da criança sofrem e até a ameaça de morte do bebê aparece.
Foto do fluxo na gengiva de uma criança:

Abordagens tradicionais para o tratamento da pulpite de dentes temporários em crianças
Com base no fato de que a pulpite aguda de um dente de leite é um estado de inflamação do “nervo” que pode levar a consequências muito trágicas, o objetivo principal do tratamento é eliminar esses riscos. Por um lado, a extração dentária é mais fácil, mas a extração dentária quase sempre é um trauma para a psique frágil do bebê, é uma operação cirúrgica e, no final, pode haver uma má oclusão permanente no futuro.
Vejamos como os dentistas pediátricos tratam os dentes de leite para pulpite em algumas organizações orçamentárias: hospitais ou clínicas no local do implante. Para tratar a pulpite de dentes temporários, ainda é usado o método antediluviano de amputação desvital, que, no entanto, ainda é popular em algumas clínicas particulares.

Este método é até certo ponto delicado para a psique da criança, uma vez que não requer exposição a ferramentas nos canais de dente de leite. Em vez disso, uma pasta de arsênico por um período de 24 a 48 horas, ou uma pasta desvitalizante que não contém arsênico, por um período de até 7 dias ou mais, é colocada no "nervo" aberto na primeira visita.
Na segunda e nas visitas subseqüentes (1-2), o “bombeamento” da mistura resorcinol-formalina e, em seguida, a pasta é eliminado no início dos canais do dente de leite. A pasta mumifica efetivamente a polpa infectada, impedindo sua decomposição putrefativa. Geralmente, na terceira ou quarta visita a um dente temporário, é estabelecido um preenchimento permanente.
Nota
Quase todos os dentistas na Rússia encontraram direta ou indiretamente e muitas vezes continuam a obter resultados tratamento da pulpite em adultos e crianças com o método desvital, durante o qual a pasta de resorcinol-formalina foi usada. Após esse tratamento, os dentes depois de um tempo ficam manchados em qualquer tom de vermelho: do rosa ao vermelho escuro e marrom.
Devido ao fato de, ao longo dos anos, essa pasta criar um "tampão" nos canais dos dentes permanentes, quase sempre é difícil ou impossível treinar novamente esse dente. Cirurgiões-dentistas especializados em extrações quando confrontados com dentes semelhantes alertam os pacientes com antecedência de que há sérios riscos de extrações complexas e demoradas, uma vez que a pasta de resorcinol-formalina, além de "estreitar os canais" por muitos anos de existência, também solda as raízes do dente ao redor. o osso dele. Muitas vezes, nessas situações, a raiz do dente se desintegra e deixa o buraco em pequenas partes.
A foto mostra como um dente permanente se parece em um adulto vários anos após o tratamento da pulpite com o uso da mistura de resorcinol-formalina:

Métodos e meios modernos de tratamento da pulpite dos dentes decíduos
Para crianças calmas que podem suportar tratamento prolongado de pulpite de dentes de leite com raízes formadas, é aplicada extirpação vital ou desvital (tratamento em duas ou três visitas). No primeiro caso, o “nervo” é imediatamente removido dos canais e, com extirpação devital, a pasta desvitalizante é colocada primeiro na polpa aberta na primeira visita para matá-la.
Fotografia do "nervo" dental removido:

Após tratamento mecânico e medicamentoso completo dos canais do dente de leite com a extração da polpa infectada e a criação de esterilidade, os canais são preenchidos com pasta, que tem um efeito anti-inflamatório e, eventualmente, se resolve com as raízes ao trocar o dente temporário. Na maioria das vezes, os dentistas pediátricos usam pasta de zinco-eugenol como preenchimento de raiz, mas a pasta, preferida por colegas estrangeiros, Magipex, provou-se bem.
Estudos demonstraram que apenas uma boa limpeza do sistema do canal radicular leva a um resultado normal, preservando o dente de leite da ativação repetida da infecção nele até a mudança fisiológica. No entanto, existem muitos defensores de um método igualmente eficaz e moderno: amputação vital, que envolve apenas a remoção parcial da parte superior (coronal) do "nervo", e um medicamento especial é instalado na polpa radicular.

Preparações previamente usadas à base de pasta de eugenol e hidróxido de cálcio foram substituídas com sucesso pelo Pulpotec (Pulpotek), fabricado na Suíça, e pelo seu análogo russo Pulpotent (VladMiva), que têm um longo efeito anti-inflamatório e anti-séptico e cobrem hermeticamente o coto da raiz da polpa.
Nota
O pó de Pulpotec contém iodofórmio (um forte anti-séptico), polioximetileno (para desnaturação das proteínas da superfície) e óxido de zinco, e o líquido contém acetato de dexametasona (efeito anti-inflamatório), formaldeído (efeito anti-séptico e mumificante), além de antissépticos fenol e guaiacol.
Os medicamentos podem não apenas manter a polpa da raiz em um estado viável, mas também impedir o desenvolvimento da dor durante e após o tratamento. Ao contrário da pasta de resorcinol-formalina, Pulpotec e Pulpodent não mancham o dente e não são tão tóxicos para o corpo, reduzindo ao mínimo o número de visitas à criança.
As especificidades do tratamento da pulpite de um dente de leite com raízes não formadas
Para entender melhor como é tratada a pulpite de um dente de leite com raízes não formadas, você deve primeiro entender os termos. Raízes não formadas são as raízes de um dente temporário que possui um ápice não fechado após a erupção de um dente de leite. A formação completa das raízes geralmente dura vários anos, bem como sua reabsorção durante mudança fisiológica dos dentes.

Se uma infecção entra da cavidade na câmara pulpar, a pulpite pode se desenvolver, que deve ser tratada imediatamente para evitar o desenvolvimento de complicações que passam ao rudimento de um dente permanente.
Uma característica da escolha do método de tratamento da pulpite no caso de raízes não formadas é a impossibilidade de aplicar métodos de extirpação, ou seja, extração completa da polpa e processamento de canais ao longo de todo o comprimento da raiz. É por isso que os dentistas pediátricos preferem tratamentos biológicos e de amputação para esses casos.
Considere primeiro um método biológico para o tratamento da pulpite em um dente decíduo (conservador). Esse método envolve a preservação de toda a polpa em um estado viável, no entanto, possui muitas contra-indicações e requer a observância de assepsia e anti-sépticos ideais durante a operação para evitar dores repetidas.
Primeiro, sob a anestesia, a cavidade cariosa é limpa de tecidos necróticos, e uma pasta terapêutica (geralmente baseada em hidróxido de cálcio) é aplicada no fundo da cavidade ou diretamente na polpa aberta por vários dias. Após a cessação da dor, um enchimento permanente é colocado no dente de leite.

Graças ao método biológico de tratamento, o dente permanece vivo, ou seja, a polpa armazenada permite suprir seus tecidos com nutrientes, mantendo alta resistência. Mas um dente com um "nervo" removido ao longo dos anos se torna cada vez mais frágil e propenso a lascar as paredes com o selo.
Os métodos de amputação para o tratamento da pulpite de dentes decíduos com raízes não formadas ou absorvíveis são muito populares entre os dentistas. A essência de tais métodos segue seu nome - a polpa infectada é simplesmente amputada, removida da câmara pulpar.
Nesse caso, podem ser usados os dois métodos “antigos” de amputação desvital pelo método resorcinol-formalina, bem como técnicas modernas de amputação vital (sob anestesia e sem arsênico) com revestimento terapêutico da polpa radicular com antibióticos, enzimas, preparações contendo cálcio, etc. Preparações com pulpoteque e pulpodente "Também adequado para o tratamento da pulpite de dentes decíduos com pontas de raiz descobertas.
Na foto - enchimento temporário contendo arsênico no dente:

É interessante
A amputação desvital é um método de tratamento da pulpite, que envolve primeiro “matar” a polpa e depois mumificá-la com pastas potentes e frequentemente tóxicas. Para curar a pulpite com esse método "antigo", você não precisa de uma visita, mas três ou mais. Os resultados a longo prazo, levando em consideração muitos anos de experiência com esse método, costumam ser negativos.
Possíveis erros no tratamento e como eles ameaçam a criança
Durante o tratamento da pulpite dos dentes de leite em crianças, erros médicos são mais comuns do que na odontologia adulta. Isso ocorre devido às especificidades da admissão de crianças, quando a criança frequentemente interfere com o médico para realizar todas as manipulações necessárias com a devida precisão e na íntegra. Para minimizar a gravidade dos erros e para crianças violentas, os dentistas infantis podem recorrer à amputação desvital com o método resorcinol-formalina, pois, de outra maneira, a criança simplesmente não dá a oportunidade de salvar o dente de leite até sua mudança fisiológica.

Na odontologia pediátrica, para o tratamento da pulpite de um dente decíduo, existe, por exemplo, um erro como uma pasta colocada incorretamente para a desvitalização da polpa. O resultado mais difícil desse erro é tolerado se a pasta for arsênico. Se a criança não permite que o dente seja tratado qualitativamente, o médico o coloca não no "nervo" aberto, mas no fundo macio da cavidade preparada, por causa do qual muitas vezes não só não funciona, mas também causa dores ainda mais graves. Uma ajuda urgente nesse caso é recolocar a pasta.
Há casos em que a pasta desvitalizadora é colocada próxima ou diretamente sobre a gengiva, uma vez que em crianças a cavidade cariosa é frequentemente ocupada pela gengiva crescida ou localizada perto da papila gengival. A conseqüência é dor intensa e, com a chegada da criança ao médico, uma queimadura causada pelos componentes da pasta é encontrada na gengiva. A prevenção de tal complicação é aderir à técnica de formulação da pasta e, quando você queimar, precisa prescrever géis ou pastas anti-inflamatórias para cicatrização de feridas.
Durante o tratamento de canais em um dente de leite com pulpite, o sangramento pode ocorrer devido ao fato de os topos das raízes não terem sido formados ou já terem sido ligeiramente reabsorvidos, e o dentista poder remover com força as limas dos canais (agulhas especiais) fora da raiz, ferindo os tecidos adjacentes . É difícil parar de sangrar mesmo com medicamentos especiais.

Às vezes, um médico inexperiente pode cometer erros como perfuração da raiz e interromper um instrumento no canal dentário. Como os canais nos dentes de leite são quase sempre muito amplos, a porcentagem de complicações é muito baixa, mas a gravidade é a mesma que no caso de dentes permanentes em um adulto. Como resultado da perfuração da raiz do dente e da fratura do instrumento no canal, a periodontite ou a periostite podem se desenvolver posteriormente devido à inflamação dos tecidos ao redor da raiz.

Para evitar essas complicações, o dentista pediátrico remove um chip do canal de maneira acessível e fecha as perfurações com material especial, por exemplo, ProRoot MTA. Em alguns casos, por falta de equipamentos e materiais necessários, o médico simplesmente mumifica os canais com o método resorcinol-formalina.
A foto mostra um exemplo de uma ferramenta quebrada em um canal dentário:

Como preparar uma criança para o tratamento
Para que a criança não tenha medo de tratar os dentes (mesmo com fortes dores durante a pulpite), é necessário muito antes disso para fazer a primeira visita preventiva ao dentista pediátrico. O sucesso da primeira visita depende igualmente do dentista e dos pais do bebê.
A visita deve ser apenas para orientação. Durante esse período, a criança se familiariza com a nova atmosfera do gabinete, com ferramentas, mostrando apenas curiosidade, não medo, mas mesmo essa visita exige preparação.

Antes de ir ao dentista, siga estas recomendações:
- converse com a criança antes da visita preventiva, 1-2 dias antes de ouvir “histórias de horror” de colegas;
- conte ao seu filho apenas sobre experiências positivas;
- Não enfatize a importância do evento, pois cuidar da saúde é um procedimento comum;
- conte-nos sobre sua futura visita ao dentista e como encontrar um novo amigo;
- brincar "no dentista" com toda a família: mostre um exemplo de que você não tem medo do médico;
- não use palavras dentárias assustadoras;
- não engane a criança que não vai doer, é melhor dizer que provavelmente será inicialmente desagradável, mas o dente não vai doer;
- Não sinta medo e entre em pânico, isso não será transmitido ao bebê;
- a melhor opção para uma visita ao dentista é a manhã em que a criança dormia, comia bem e estava ativa;
- é melhor se você for ao dentista com seu brinquedo favorito para que a criança se atrapalhe constantemente nas mãos;
- deixe o médico encontrar contato com seu filho sem a sua ajuda;
- se a criança resiste, interfere com a recepção, não deve ser intimidada, ameaçada, implorada, etc.
- você deve tentar ganhar a confiança da criança; portanto, se a situação estiver fora de controle, é melhor adiar a próxima vez.
Se a criança é inicialmente incontrolável e ansiosa, muitas vezes cai em histeria, ela deve estar medicamente preparada, aliviando o estresse que se aproxima. Um medicamento sem receita, Tenoten Children's, é ideal para isso. 20 minutos antes do tratamento da cárie ou pulpite dos dentes decíduos, a criança deve receber um comprimido embaixo da língua para reabsorção.

Com estresse alto ou moderado, Tenoten alivia a tensão, causando inibição de processos mentais. Por via de regra, depois de 20 a 30 minutos, a criança dá todas as manipulações necessárias.
Para que a criança se sinta confortável na cadeira odontológica, é necessário idade precoce iniciar uma visita ao dentista para fins de prevenção. Com o nível adequado de higiene, exames preventivos oportunos e controle de qualidade da escovação, é possível evitar não apenas a pulpite, mas também a cárie e salvar os dentes do bebê até sua mudança fisiológica.
Um vídeo interessante sobre a importância do tratamento da pulpite em dentes decíduos
Algumas explicações mais úteis do médico sobre pulpite de dentes decíduos
