
A pulpite fibrosa crônica é mais frequentemente o resultado de formas de pulpite. Entretanto, às vezes o curso crônico primário da doença é possível, quando a fase da inflamação aguda é de curta duração e desaparece sem os sinais clássicos associados à dor intensa.
A forma crônica é um tipo de compensação quando ocorre degeneração fibrosa do tecido pulpar ("nervo") com exsudação mínima, ou seja, a formação de fluido no canal. Nesse caso, o tecido conjuntivo fibroso cresce dentro dos canais dentários com uma diminuição correspondente na sensibilidade pulpar.

Alterações estruturais na polpa sem deterioração e a formação de pus são o resultado da reatividade do corpo, quando o estado de inflamação dos tecidos do "nervo" permite que você não sinta dor aguda. Na maioria dos casos, isso contribui para cárie dentária até a câmara pulpar, quando a saída do excesso de fluido ocorre através de uma abertura na cavidade.
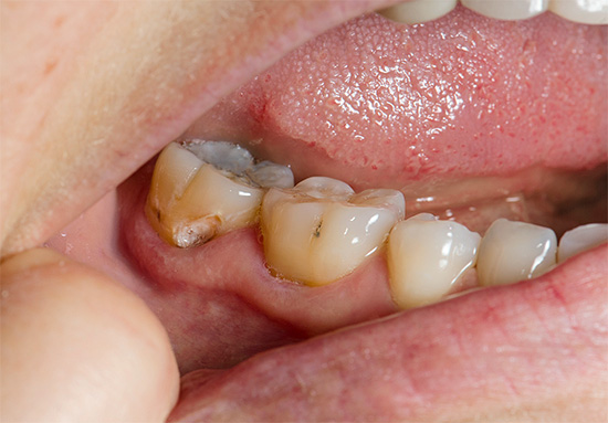
Foto de um dente com uma cárie profunda que atinge a câmara pulpar:

Veja também o artigo: Como pode ser a cárie dentária: fotos.
No entanto, com pulpite fibrosa crônica, apesar da ausência de dores agudas, não há necessidade de falar sobre o bem-estar do dente. E a condição é, na maioria dos casos, temporária, já que mais cedo ou mais tarde uma parte da polpa pode morrer com fenômenos gangrena "nervo"ou necrotização de toda a polpa com a passagem de inflamação purulenta para o tecido ao redor da raiz.
O processo purulento agudo, por sua vez, pode se espalhar sob o periósteo e causar um "fluxo", que muitas vezes leva à extração dentária. De um modo geral, a transição da fase fibrosa para a gangrena pulpar é desagradável em todos os sentidos: um odor podre da boca aparece, o dente fica cinza, reage fortemente ao calor e surgem riscos adicionais de complicações graves.

É por isso que é tão importante iniciar o tratamento da pulpite fibrosa o mais rápido possível, mesmo antes da transição da forma crônica da doença para aguda.
História e dinâmica da pulpite fibrosa crônica
A pulpite fibrosa crônica entre outras formas de pulpite ocorre com mais frequência e tem um histórico médico característico. Geralmente, uma pessoa é incomodada por dores de vários tipos de substâncias irritantes (alimentos frios e quentes), que não desaparecem por muito tempo, mesmo depois de eliminar a fonte de irritação. Muitas vezes, dores doloridas são sentidas nos casos em que a temperatura ambiente apenas muda: por exemplo, quando se muda para uma sala quente devido ao frio.
Sujeito a disponibilidade cavidade cariada profunda, que se comunica com a câmara pulpar, as dores podem não incomodar ou aparecer apenas ao mastigar alimentos duros devido à irritação mecânica do "nervo". Histórias de casos semelhantes com pulpite fibrosa crônica são observadas no caso da localização da cavidade cariosa além do acesso de substâncias irritantes, por exemplo, sob a gengiva (cárie radicular).

Por que as dores dolorosas prevalecem à noite e à noite?
De fato, sabe-se que a dor de dente se manifesta com mais brilho à noite e principalmente à noite. Apesar do fato de que na pulpite fibrosa crônica existem apenas dores leves, no entanto, à noite e à noite, muitas vezes se tornam mais intensas.
Existem várias versões sobre isso. Segundo o primeiro deles, as dores noturnas estão associadas ao fato de que durante o dia uma pessoa é ativa e, nesse contexto, não presta atenção à dor leve; à noite e à noite o corpo relaxa e as dores são sentidas de forma mais aguda.De acordo com outra versão, as dores noturnas devem-se ao fato de os ramos nervosos associados ao nervo vago se aproximarem do dente, e a noite é chamada de "reino vago", ou seja, um aumento na atividade desse nervo em particular, de modo que o dente dói mais precisamente nesse momento. Para os dentistas, no entanto, a explicação é mais próxima, devido ao fato de que à noite e durante o sono os processos metabólicos se enfraquecem, a taxa de saída de toxinas da polpa diminui, causando inchaço e compressão no interior do dente. Como a polpa é um feixe neurovascular, sua compressão prolongada causa dor intensa.
Foto de polpa removida de um dente:

Caso da prática.
Um homem de 42 anos procurou o dentista com queixas de cárie no dente superior esquerdo, devido à dor ao comer, além de um aumento gradual da dor causada pelo frio. O paciente focou na violação do espaço entre os dentes, pois durante a comida há dor nas gengivas e você deve remover os restos de comida com palitos de dente.
Da história médica: cerca de um mês atrás, dores paroxísticas agudas apareceram neste dente, que o paciente removeu Analgésicos de cetorol.
Objetivamente: após inspeção visual, determina-se uma cavidade profunda cariosa, preenchida com dentina amolecida e pigmentada, no quinto dente superior esquerdo (2.5). A parede de contato medial e a superfície mastigatória de 2,5 dentes são destruídas por um processo carioso. Na sondagem, é determinado o ponto de abertura da cavidade do dente, no qual a polpa é visível. Quando a sonda toca nesse ponto, a polpa sangra dolorosamente.
Para esclarecer o diagnóstico, foram realizadas percussão do dente, EDI e radiografia. Com a percussão dentária, não há dor, os dados do EDI são de 40 μA. Na radiografia, há uma mensagem da cavidade cariosa com a câmara pulpar, não foram detectadas alterações nos tecidos periapicais.
Diagnóstico: pulpite fibrosa crônica 2,5 dentes.
Tratamento:
- anestesia por infiltração com SEPTANEST 1: 100.000 (1,7 ml) foi realizada na projeção dos topos das raízes de 25 dentes nas gengivas;
- preparação e usinagem da cavidade cariosa a partir de dentina amolecida;
- tratamento medicamentoso com clorexidina a 2%;
- fissura de abertura boro acesso à boca dos canais radiculares:
- amputação de polpa coronal;
- extirpação da polpa da raiz por um extrator de polpa;
- abertura da boca dos canais medial e palatino com brocas Gates Glidden;
- estabelecer e fixar o comprimento de trabalho dos canais;
- passagem e expansão de canais com arquivos K do nº 15 ao nº 40 com tratamento alternado por jato de drogas de canais de uma seringa endodôntica com hipoclorito de sódio a 3,25%;
- secar os canais com alfinetes de papel;
- controle localizador de ápice dos comprimentos de canal;
- canais de enchimento para um determinado comprimento usando condensação lateral fria de guta-percha (nº 35-40, 4 conicidade) com endometasona N.
Um preenchimento temporário de cura com clipe de luz é instalado no dente. O paciente está agendado para a próxima consulta após 3 dias.
Recepção repetida. Um curativo temporário foi removido e as paredes da cavidade foram corrigidas. Utilizou-se a técnica de sanduíche aberto: foi instalada uma matriz seccional entre 2,4 e 2,5 dentes com cunhas para restaurar o ponto de contato medial.
O cimento de ionômero de vidro vitrebond de fotopolimerização foi adicionado ao fundo da borda esmalte-dentina, as propriedades estéticas e funcionais do dente foram restauradas com a restauração fotopolimerizável Filtek Z-250, retificação e polimento com discos, polidores e escovas com pasta Detartrine Z.
O controle do selo instalado está programado para uma semana.

Diagnóstico de pulpite fibrosa crônica
Finalmente, o diagnóstico de pulpite fibrosa crônica é feito apenas após estudos confirmatórios adequados.
Geralmente, no dente, há uma cavidade profunda e cárie com dentina infectada amolecida, que freqüentemente se comunica com a câmara pulpar.Para esclarecer a presença dessa mensagem, o dentista usa uma sonda - um instrumento de metal curvo e afiado no final da sondagem.
Durante esse procedimento, fica claro se há uma mensagem no fundo da cavidade com a polpa do dente. Se houver uma mensagem, depois de sentir a polpa, muitas vezes começa a sangrar dolorosamente.

É interessante
Atualmente, os dentistas raramente recorrem ao método de sondagem profunda por razões de humanidade, ou o implementam com muito cuidado. A geração mais velha pode contar muitas histórias de que um dentista inescrupuloso durante o diagnóstico "cutucou" um dente com algo afiado, de modo que "faíscas caíram de seus olhos". Infelizmente, esses casos são registrados hoje, principalmente na recepção de clínicas orçamentárias.
A prática mostra que a dor intensa durante o procedimento de detecção ocorre quando a ponta da sonda coloca pressão excessiva no fundo da cavidade no contexto de pulpite agudaao invés de crônico. Por via de regra, na forma crônica, investigar o “nervo” já ferido com alimentos não traz dor insuportável, embora os dentistas modernos, dados os métodos de diagnóstico humano, recusem esse método arriscado.
A palpação das gengivas perto do dente doente é sempre indolor, e a percussão (batida) no dente da pulpite com a ponta cega da sonda ou espelho dental não causa dor.
Uma das etapas importantes do diagnóstico também é a termometria - determinando a reação de um dente a estímulos de temperatura. Assim, por exemplo, se, quando um dente é exposto à água fria quando é fornecido de uma seringa com uma agulha rombuda, a dor não desaparece por um longo tempo, mesmo após eliminar o irritante, isso indica um "nervo" vivo dentro do dente e sua inflamação crônica.

Como parte do diagnóstico diferencial, o eletrodontodiagnóstico (EDI) é talvez o método mais informativo e permite determinar com precisão não apenas o estágio crônico da inflamação com degeneração fibrosa dos tecidos dentro do dente, mas também distingui-lo de outras formas crônicas (gangrena pulpar e sua hipertrofia). Como uma polpa saudável começa a responder a uma corrente de 2-6 μA (com cárie profunda - até 20 μA), todos os desvios sérios desse valor indicam um estado particular de inflamação da polpa. Com pulpite fibrosa, o "nervo" responde com excitação e dor com uma força atual de 35-50 μA.
A foto abaixo mostra um dispositivo para realizar diagnósticos elétricos:

O diagnóstico por raio-X também é importante. Na pulpite fibrosa crônica, uma cavidade profunda de cárie, que quase sempre se comunica com a câmara pulpar, geralmente pode ser observada na radiografia de um dente doente. Às vezes, uma ligeira expansão do espaço periodontal (o espaço entre a raiz e o osso dos alvéolos nos quais está fixado) é fixada.
O diagnóstico diferencial de pulpite fibrosa crônica é realizado com cárie profunda, pulpite aguda e pulpite gangrenosa crônica. É com essas doenças que a pulpite fibrosa é mais semelhante.
A cárie profunda nunca se comunica com a polpa do dente, e a sondagem é dolorosa no fundo, e não em um ponto. A dor desaparece rapidamente com a eliminação do estímulo, em contraste com a pulpite fibrosa. As indicações de EDI para cárie profunda não são superiores a 20 μA e para pulpite fibrosa a partir de 35 μA.
A forma aguda da pulpite é facilmente confundida com a crônica. As maiores diferenças são reveladas no estudo da história médica, pois na pulpite fibrosa crônica não há queixas de dor espontânea aguda e dor irradiando em algum lugar (para o templo, ouvido, nuca, etc.). O paciente indica que todos esses sinais costumavam existir, mas com o tempo desapareceram e apenas permanecem dores dolorosas prolongadas. Ao investigar o fundo da cavidade em segundo plano pulpite aguda na maioria das vezes não há comunicação da cavidade cariosa com o "nervo", em contraste com a pulpite fibrosa.

A pulpite gangrenosa (gangrena pulpar) pode ser confundida com fibrosa, mas sua diferença fundamental é a aparência do dente (tom acinzentado), odor putrefativo da cavidade, cárie na boca dos canais e dor ao sondar os canais. Além disso, o principal indicador no diagnóstico neste caso são os dados EDI, que atingem 60 μA com gangrena pulpar.
Tratamentos cirúrgicos para pulpite fibrosa
Como a pulpite fibrosa é uma inflamação irreversível do tecido pulpar, o tratamento envolve intervenção cirúrgica: extração parcial ou completa da polpa dos canais. Você pode ler sobre as emocionantes nuances deste procedimento aqui: Como remover um nervo de um dente e que problemas podem surgir.

É interessante
Fontes literárias no final do século passado informam que, com pulpite fibrosa crônica, um método de tratamento biológico (conservador) pode ser usado, no entanto, a maioria dos autores praticantes de artigos científicos modernos chegou à conclusão de que o efeito desse tratamento é muito duvidoso e o prognóstico para o futuro não é favorável. Alterações estruturais nos tecidos pulpares não permitem que ele retorne ao seu estado anterior, mesmo devido a medicamentos fortes baseados em antibióticos e hidróxido de cálcio.
A remoção parcial da polpa como método de tratamento da pulpite fibrosa crônica é extremamente rara, pois é difícil diagnosticar se há alterações fibrosas graves na polpa radicular. Afinal, é a polpa da raiz com esse método de tratamento que é salva e os medicamentos são colocados para aliviar a inflamação. A dificuldade de manter a esterilidade perfeita na área de trabalho e a possibilidade de inflamação repetida dos resíduos pulpares não permite que os dentistas tenham sucesso nesse tipo de tratamento, e a perspectiva de refazer o trabalho novamente determina a escolha em favor do método de remoção completa da polpa do sistema radicular.
A extração completa da polpa dos canais radiculares permite livrar o dente com segurança da fonte de infecção que provoca dor no dente. Para fazer isso, aplique o método de extração simultânea do "nervo" seguido de purificação dos canais com anti-sépticos ou com desvitalização preliminar (morte) da polpa usando pasta de arsênico ou análogos livres de arsênico.

É interessante
Graças às explicações não mais competentes dos dentistas, as pessoas ainda acreditam que, após a primeira visita a um médico no tratamento da pulpite, um “medicamento” é estabelecido pela primeira vez no dente. Para aqueles que tiveram azar com o médico, esse "medicamento" também causa dor intensa, pois essa pasta de arsênico foi instalada incorretamente na cavidade cariosa e, em vez de matar a polpa, apenas a irrita muito. Essa pasta, é claro, não possui propriedades do medicamento e, às vezes, torna-se venenosa nas mãos de um dentista inexperiente para o dente e o corpo como um todo.
Os dentistas modernos para o tratamento da pulpite fibrosa crônica de qualquer dente escolhem o método de extração completa da polpa dos canais sob anestesia eficaz. Após um bom "congelamento", a parte coronal do "nervo" é removida primeiro e, em seguida, a raiz é removida com a ajuda de extratores de polpa (agulhas finas que permitem a remoção da polpa devido a ganchos especiais). Depois disso, o dentista realiza a passagem e expansão dos canais com limas (ferramentas com arestas de corte e alça para segurar), juntamente com o tratamento medicamentoso de todos os ramos do canal com soluções anti-sépticas.


Geralmente, o tratamento da pulpite fibrosa crônica leva 1-2 visitas, dependendo das táticas do médico.Em certas situações clínicas, o dentista pode colocar soluções ou pastas com fortes anti-sépticos no sistema do canal para melhorar a esterilização do canal e evitar a exacerbação em um dente já morto, para que uma visita adicional apareça.
Características do tratamento da pulpite fibrosa de dentes decíduos em crianças
Atualmente, para o tratamento da pulpite fibrosa em crianças, diferentes métodos são utilizados, dependendo de:
- nível de organização odontológica (orçamento ou particular);
- caso clínico (raízes formadas ou não);
- dentista profissional
etc.
Na maioria das vezes para o tratamento de fibrose pulpite de dentes decíduos com raízes formadas, é utilizada uma técnica que não difere da dos adultos. O único ponto distintivo é que, em crianças, devido às especificidades do tratamento (atividade excessiva e timidez), a pasta é frequentemente colocada para desvitalização preliminar da polpa (geralmente não arsênico) para preparar a extração na próxima visita.

Nota
Como uma pasta desvitalizante em crianças, por exemplo, o Devit-C é usado, ou - uma pasta desvitalizante potente que não contém arsênico. Como substância ativa, contém paraformaldeído, que "mata" de forma confiável a polpa. Para definir esta pasta para pulpite crônica em um dente de leite, é necessário abrir bem o acesso à câmara pulpar. Normalmente, uma pasta do tamanho de uma semente de milheto é suficiente, mas para dentes de leite com raízes múltiplas, a dose é aumentada individualmente. As massas são colocadas em média por 3-5 dias e, às vezes, até uma semana.
Devido ao fato de as crianças na maioria das vezes não realizarem todas as manipulações completas para o tratamento do canal, o que requer muito tempo para obter um resultado positivo, os dentistas pediátricos, especialmente em clínicas orçamentárias, às vezes escolhem métodos de amputação desvital, ou seja, remoção da polpa coronal após a desvitalização da pasta e mumificação da raiz. Preservar a polpa "morta" da raiz após o uso de agentes mumificantes potentes é um evento bastante arriscado, uma vez que o "nervo" mumificado pode causar inflamação crônica na raiz, até o aparecimento de fístulas nas gengivas ou cistos na raiz do dente de leite, e isso afetará direta ou indiretamente o rudimento de um dente permanente.
Informações adicionais podem ser encontradas em um artigo separado: Tratamento da pulpite de dentes decíduos em crianças.
Da experiência do dentista
Em algumas clínicas odontológicas, a pasta resorcinol-formalina e seus análogos na forma de preparações acabadas, que são proibidas em todos os países, exceto na Rússia, ainda são usados como agentes mumificantes. Os dentes (leite ou permanente), curados por esse método, parecem, para dizer o mínimo, não muito bonitos: depois de algum tempo, toda a parte da coroa do dente é pintada em um tom de rosa ou vermelho, o que é muito marcante para outras pessoas se o dente tratado estiver na zona do sorriso.


Problemas que podem surgir durante o tratamento
Durante o tratamento da pulpite, pode haver complicações leves e graves. As complicações leves incluem aquelas que são mais fáceis de corrigir e que não são tão perigosas para a saúde e a vida humana.
Por exemplo, os erros mais comuns no tratamento da pulpite fibrosa são o preenchimento insuficiente dos canais dentários. O padrão de qualidade para o tratamento de canais permite o preenchimento de todo o comprimento com firmeza e o ápice - constrição fisiológica. Se o canal não estiver selado na marca indicada, no futuro poderá haver grandes problemas associados à ativação da infecção nos vazios do canal. É especialmente perigoso quando o canal é apenas 20-50% selado.


Além disso, os dentistas se deparam com situações em que, no orçamento (gratuito) da odontologia, eles não enchem os canais ou os retêm com pastas espalhadas nas paredes dos canais, posando como um tratamento final. Naturalmente, em quase 100% dos casos, seus colegas refazem o trabalho devido a dor ou desconforto após tratamento inadequado.
É mais difícil corrigir o erro associado à remoção do preenchimento de material intracanal além da raiz.Às vezes, esse erro vale a saúde do paciente se o material penetrar profundamente no seio maxilar (ao tratar os canais do dente superior) ou no canal mandibular (ao tratar o dente inferior).


Nesses casos, o material de enchimento removido atua como um corpo estranho, irritando os tecidos e provocando fortes dores. A sinusite se desenvolve no seio maxilar e a neurite no canal maxilar. A ajuda oportuna na forma de intervenção cirúrgica por um dentista-cirurgião para extrair o excesso de material economiza saúde e, muitas vezes, vida ao paciente. Por razões óbvias, um dente com essa complicação geralmente precisa ser removido para fornecer melhor acesso a materiais estranhos.
Tratamento fisioterapêutico
Os métodos fisioterapêuticos para o tratamento da pulpite fibrosa são utilizados durante e após o tratamento. Durante o tratamento do canal, por exemplo:
- diatermocoagulação do "nervo";
- eletroforese transcanal de iodo.
Diathermocoagulação é a desnaturação da proteína pulpar ou, em outras palavras, sua coagulação térmica. Devido à ponta muito aquecida da agulha introduzida no canal, é gerado calor, que produz necrose pulpar em questão de segundos (2-4 segundos), reduzindo assim o risco de sangramento ao ser removido. Além disso, os microorganismos morrem, o que impede a penetração da infecção além da raiz.

Eletroforese transcanal de iodo: esse método é usado em canais pouco transitáveis com um objetivo bactericida, ou seja, destruir micróbios em locais de difícil acesso. Essa técnica permite evitar riscos futuros de complicações na forma de periodontite apical - inflamação dos tecidos ao redor da raiz.
Se a dor após o preenchimento estiver preocupada após o término do tratamento do canal, mas não houver sinais graves de erros na imagem que exijam correção, serão utilizados eletroforese anestésica, terapia por ultrassom e laser, além de radiação de microondas. Tudo isso permite que você remova rapidamente a dor traumática.
Para resumir um breve resumo. A busca oportuna de ajuda para pulpite fibrosa crônica permite evitar complicações futuras na forma de gangrena do "nervo" com subsequente fusão purulenta, o que significa salvar o dente da remoção. Graças aos modernos avanços da odontologia, hoje é possível tratar completamente os canais sem dor com um preenchimento estético e duradouro. Portanto, não faz sentido suportar a dor e beber com analgésicos, é muito mais fácil curar um dente e dormir em paz.
Vídeo útil: o que é importante saber sobre pulpite
Tratamento de pulpite ao microscópio

Meu filho foi diagnosticado com uma consulta paga em uma clínica odontológica: pulpite fibrosa crônica de um dos dentes. Em uma recepção de orçamento, esse dente é designado como cárie. Em quem acreditar?
Olá Olga! Dada a escassez de seus dados, você fez uma pergunta altamente provocativa e controversa.Por um lado, alguém poderia pensar que, em uma recepção orçamentária, a complicação da cárie - pulpite fibrosa - foi negligenciada por negligência, uma vez que há pouco tempo para um diagnóstico detalhado e não há desejo de mexer em várias etapas do tratamento. Por outro lado, uma clínica paga geralmente está interessada em tratamentos intra-canal caros. Infelizmente, a pulpite fibrosa nem sempre apresenta sintomas, por isso é importante ver como o dente está danificado e se há uma mensagem na cavidade cariosa com a câmara pulpar onde o "nervo" está localizado. Às vezes, uma pista pode ser dados sobre dores agudas que ocorreram anteriormente, que gradualmente se tornaram doloridas e prolongadas. Qualquer informação que possa confirmar um diagnóstico específico é importante para mais conclusões.