
Curiosamente, mas hoje ainda existe um equívoco generalizado entre as pessoas de que, embora o dente não doa, não é necessário tratá-lo, em geral. No entanto, não se deve esquecer que a cárie é frequentemente assintomática ou com sintomas leves, até o dente entrar em colapso tão profundo que a infecção microbiana se aproxima da câmara pulpar do dente e depois penetra nela (ou seja, o chamado "nervo dental") .
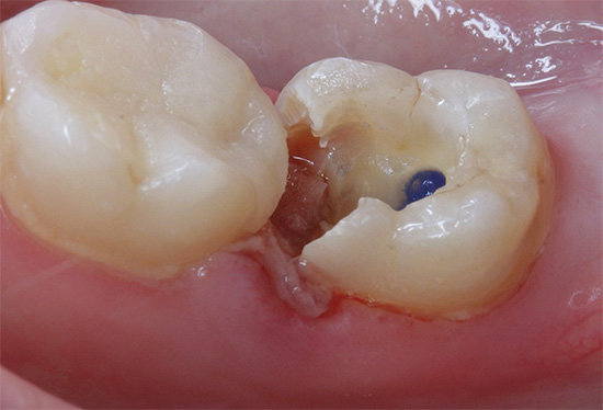
A foto abaixo mostra uma seção de um dente com uma cárie através da qual a infecção entrou na câmara pulpar:

Quando há uma dor pulsátil aguda no dente, esse já é um sinal claro de tratamento imediato, indicando na maioria dos casos o desenvolvimento de pulpite. Mas é muito estranho que, mesmo nesse caso, algumas pessoas conscientemente decidam suportar a dor na esperança de que elas passem, que tudo de alguma forma "resolva" e tentem adiar o tratamento da pulpite por tempo indeterminado.
Em alguns casos, isso acontece por razões bastante simples: nem todas as pessoas sabem o que é pulpite e, mais ainda, sobre como é tratada (e ainda mais, não são atormentadas por temores sobre possíveis complicações, caso contrário, teriam ido imediatamente à clínica). Seguindo a expressão “consciente - significa armado”, todos devem ter pelo menos uma idéia geral da pulpite e seu tratamento, embora a fim de preservar seus dentes em situações críticas.
Por que a pulpite é tratada?
Imagine uma pessoa para quem uma carreira, uma constante falta de tempo ou outro motivo dão, ao que parece, um motivo razoável para não se apressar no tratamento da pulpite, apesar da dor regular e intensa no dente. Os fundos vêm em socorro KetanovNurofen, Ketorolac, Baralgin, Nise e outros relacionados a analgésicos.

É importante entender que, mesmo que a dor diminua, um grande número de bactérias continua na câmara pulpar do dente e conduz seu trabalho destrutivo. Alterações irreversíveis ocorrem gradualmente no interior do dente, mais cedo ou mais tarde, levando à morte do "nervo" com a formação de pus nos canais radiculares.
Quando o pus se estende além da raiz em direção às gengivas, ocorre um "fluxo". De fato, isso pode ser expresso não apenas no ligeiro inchaço das bochechas, às vezes o rosto pode literalmente inflar com uma forte violação da simetria. Em casos graves, não se trata apenas de preservar o dente, mas também pode se desenvolver uma inflamação purulenta derramada - phlegmon. E isso é apenas parte dos possíveis problemas; na realidade, existem muito mais opções para complicações graves, incluindo danos ao osso da mandíbula, envenenamento do sangue, etc.
A foto mostra phlegmon - uma terrível complicação da pulpite:

Para evitar complicações da pulpite, é muito importante iniciar o tratamento a tempo. Em alguns casos clínicos, durante o tratamento, todo o feixe neurovascular pode ser preservado sem recorrer à sua extração do canal, mas com mais freqüência é realizada amputação (extração parcial) ou extirpação (remoção completa) da polpa.
O significado do procedimento de remoção da polpa é livrar completamente o dente da fonte de infecção e impedir a propagação de bactérias pelas raízes até as gengivas. Esta é a única maneira de proteger o dente e seus tecidos circundantes de problemas adicionais.

Nota
Muitos anos atrás, havia um método popular de tratamento da pulpite com o método resorcinol-formalina, que ainda é relevante em algumas instituições. Muitas vezes, as pessoas procuram dentistas com esses dentes - rosa e vermelho, mais cedo ou mais tarde começam a incomodar.É difícil ou impossível curar um dente em estágio avançado (em exacerbação) após esse tratamento. Quanto mais cedo você começar a substituir a pasta de resorcinol-formalina e eliminar o canal de “infecção”, mais fácil será evitar que o dente seja removido inevitavelmente.
Métodos clássicos e abordagens para o tratamento da pulpite
Todos os métodos conhecidos de tratamento da pulpite podem ser divididos em dois grandes grupos:
- tratamento com preservação total da polpa viva no dente;
- e tratamento de remoção de celulose.
O último grupo ainda é subdividido em extração de polpa parcial (amputação) e completa (extirpação).
A foto abaixo mostra a polpa removida do dente:


Para avaliar a possibilidade de aplicar esse ou aquele método e abordagem ao tratamento da pulpite, é necessário entender primeiro qual condição o “nervo” está no canal dentário. O método de tratamento biológico mais gentil para a polpa pode ser aplicado apenas se não houver inflamação ou se estiver no estágio inicial.
É interessante
O método biológico de tratamento da pulpite, além de observar indicações estritas e regras de assepsia e anti-sépticos (esterilidade durante o trabalho), possui ainda mais de 10 requisitos básicos, desde a tenra idade do paciente e sua ausência de doenças infecciosas agudas, até o uso efetivo do resfriamento com água e ar , um grande número de brocas estéreis etc. É por isso que na maioria dos consultórios odontológicos esse método não é usado no tratamento da pulpite, uma vez que altos riscos de falha (dor repetida na pulpite) levam os médicos a usar métodos que visam a remoção completa polpa dos canaispara evitar situações de conflito.
Os tratamentos cirúrgicos para pulpite, como observado acima, incluem métodos para a remoção parcial ou completa da polpa do dente:
- se a remoção parcial do "nervo" (um método de amputação de tratamento da pulpite) for realizada imediatamente sob anestesia, essa é uma amputação vital;
- se no primeiro estágio do tratamento da pulpite for colocada uma pasta desvitalizante (para "matar um nervo" primeiro), o método será chamado de amputação desvital.
Da mesma forma, a extirpação, ou seja, a remoção completa da polpa, é dividida em vital e desvital.

Nota
A amputação vital, como um dos métodos mais difíceis de implementar no tratamento da pulpite, também possui todo um conjunto de indicações e requisitos rigorosos para a observação das condições necessárias durante o procedimento. Isso inclui: um periodonto saudável (um complexo de tecidos ao redor do dente), um limite de idade de até 45 anos, adesão à esterilidade ideal durante o trabalho e outros.
A amputação da polpa exige um trabalho meticuloso, seguido pela formulação de medicamentos (poderosos anti-inflamatórios). A maioria dos dentistas (exceto as crianças), que há muitos anos praticam com sucesso a remoção de todo o "nervo" (extirpação), já percebendo o risco de não observar a máxima esterilidade do campo de trabalho, quando o paciente tem milhões de micróbios na boca, não está pronto para realizar trabalhos complexos e demorados. remoção parcial da polpa.
A extirpação vital e desvital há muito tempo é incluída na odontologia prática como os métodos mais eficazes e confiáveis para o tratamento da pulpite. Uma diferença significativa entre eles é que a extirpação vital, ou a extração completa da polpa dos canais, é realizada imediatamente e sob anestesia eficaz. E a extirpação desvital pode ser realizada sem anestesia (embora na prática também seja realizada com mais frequência), mas com configuração preliminar durante a primeira visita a uma pasta especial para matar o "nervo".

Um lugar especial na odontologia russa é ocupado pelo método de amputação desvital, que nos tempos soviéticos em muitas instituições odontológicas era a única maneira possível de curar pulpite e manter o dente diante da escassez de medicamentos importados, falta de tempo, falta de conhecimento do dentista sobre a pesquisa e o processamento de canais, etc. Essa técnica é surpreendente em sua simplicidade e eficácia falsa.
A remoção apenas da parte do feixe neurovascular que está dentro da coroa dentária com preservação parcial ou completa da polpa radicular cria as condições para o desenvolvimento contínuo da infecção. Apesar do uso de várias soluções e pastas potentes para a polpa radicular, que podem transformá-la em uma espécie de "múmia" (cordão anti-séptico seco), a presença de vazios no canal tratado com os restos de microflora morta e enfraquecida criaram todas as condições para um fluxo lento na raiz ou raízes, inflamação prolongada ao longo dos anos com a dissolução gradual do tecido ósseo.

Fatos inexplicáveis
Na maioria das vezes, pasta resorcinol-formalina mumificante, que há muito tempo é proibida em muitos países do mundo por causa de seus efeitos cancerígenos irritantes, tóxicos e até possíveis possíveis (ou seja, a capacidade de provocar a formação de células cancerígenas). A Rússia, nesse sentido, é um dos poucos países que ainda não levou em consideração os resultados de pesquisas de cientistas mundialmente famosos.
Nesta foto, você pode observar como o dente cuida do tratamento da pulpite usando o método resorcinol-formalina (amputação desvital):

O tratamento combinado da pulpite é o uso de, regra geral, dois métodos, por exemplo, extração de toda a polpa radicular de canais acessíveis (extirpação desvital) e remoção parcial do "nervo" (amputação desvital) de canais com anatomia complexa, por exemplo, fortemente curvada ou quebra da ferramenta e a impossibilidade de removê-la. Ao contrário da amputação desvital, com o método combinado o prognóstico é mais favorável, mas apenas se a maioria dos canais for coberta ao longo de todo o comprimento e selada com materiais de enchimento confiáveis.
Também é útil ler sobre os problemas que às vezes surgem ao remover o "nervo" dental.
Nuances importantes do procedimento de tratamento
A odontologia moderna e o mercado odontológico têm como objetivo implementar programas para melhorar o tratamento da pulpite por extirpação vital - ou seja, a remoção completa da polpa sem antes matá-la. Todos os anos, existem novas ferramentas e dispositivos destinados a evitar erros durante o tratamento e a conveniência de um dentista.
Graças aos anestésicos e dispositivos modernos para sua administração controlada, não é mais necessário colocar a pasta para desvitalização no "nervo" aberto - o chamado "arsênico". Como a anestesia é eficaz, até o tratamento intracanal dos molares grandes inferiores, difíceis de “congelar”, associados à extração de polpa do sistema de canais, agora pode ser realizado com segurança em uma visita.

A remoção da polpa é realizada sob anestesia local, para a qual as preparações em série de articaína são mais usadas: Ubistesin, Alfacain, Septonest, Ultracain, etc. Depois que o dente atinge um "congelamento" estável, o dentista primeiro amputa a polpa (por boro ou escavadeira) e depois a extirpa, removendo-a a partir do canal, o feixe neurovascular é imediatamente inteiro ou em partes. Depois disso, começa o estágio mais crítico do tratamento da pulpite, quando, com a ajuda de pequenas "agulhas" (bordas e limas), o médico passa os canais por todo o comprimento, os expande e os trata simultaneamente com medicamentos com soluções anti-sépticas.
Não é por acaso que muitos dentistas líderes aderem ao seguinte princípio em seu trabalho: ele não desempenha um papel significativo no selamento do canal, é importante o quão bem preparado ele está.Apenas essa "qualidade" inclui um trabalho longo e meticuloso de lavar toda a "sujeira" dos canais: os micróbios dos vivos e dos mortos, serragem das paredes internas infectadas do canal, impurezas do sangue, resíduos nervosos de todos os canais, etc.


Os canais dentais podem ser comparados a uma árvore que possui numerosos galhos grandes e pequenos. Com a ajuda de “agulhas” (extratores de polpa, limas etc.), é possível remover o nervo apenas dos canais principais (máximo de 4 a 5), mas é difícil limpar mecanicamente ramos finos que se estendem dos principais até a espessura das paredes dos dentes. É por isso que o tratamento medicamentoso com anti-sépticos modernos permite não apenas tornar o canal estéril, mas também dissolver os resíduos nervosos na zona inacessível. Isso leva tempo e uma quantidade suficiente de solução anti-séptica.
É interessante
Entre os anti-sépticos mais eficazes usados no tratamento da pulpite, a solução de hipoclorito de sódio ainda permanece. Podem ser usadas soluções de 3% e 5%. O processamento bem-sucedido do canal consiste no processamento preciso e seguro de jato de tinta de uma seringa especial. Profissionalismo, controle de hardware do trabalho, falta de pressa, etc. evita erros graves na forma de remover a solução além da raiz, onde pode ter um forte efeito irritante.
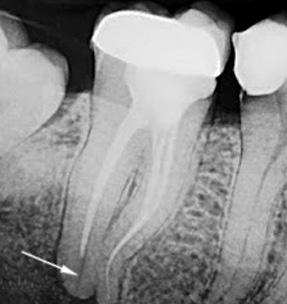
O tratamento dos canais termina com o seu preenchimento até o ápice - estreitamento fisiológico ou ponto máximo de estreitamento.
Os materiais de enchimento populares são as pastas para amassar massas (endometasona, AN Plus etc.) e os pinos de guta-percha. A alta classificação de aplicação permanece com a técnica de vedação volumétrica de todos os ramos do canal do sistema quente de guta-percha “Termafil”. Como regra, de acordo com o protocolo, a pulpite de cura é obtida em 2-3 visitas.
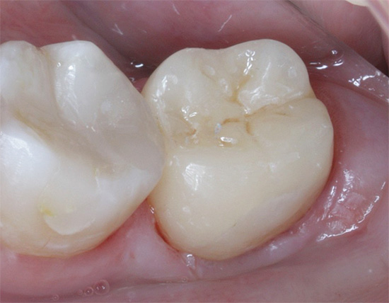
Foto de um dente de pulpite no início do tratamento e após a sua conclusão:


A remoção da polpa com seu abate preliminar tem os mesmos princípios e etapas de tratamento para a pulpite, mas somente durante a segunda visita. E na primeira visita com ou sem anestesia, um pequeno pedaço de pasta (arsênico ou não arsênico) é colocado no corno aberto da polpa.
A pasta de arsênico é colocada por 24 horas (tratamento de dentes de raiz única) e por 48 horas (tratamento de pulpite multi-raiz) Devido ao fato de que esse tipo de tratamento é difícil de controlar e, muitas vezes, o paciente pode aparecer depois do tempo determinado, existem casos frequentes de atendimento de emergência com o efeito tóxico do arsênico na raiz do dente. As constantes queixas dos pacientes e o estudo do efeito da pasta nos tecidos ao redor da raiz levaram os médicos a concluir que é melhor abandonar o uso de substâncias que contêm arsênico no tratamento da pulpite em favor de pastas alternativas sem arsênico.

Novas técnicas e dispositivos para o sucesso do tratamento da pulpite
Se os dentistas pediátricos continuarem a usar ativamente no tratamento da pulpite laticínios e dentes permanentes com raízes não formadas, amputação vital e desvital, para a população adulta os métodos mais aceitáveis de remoção completa da polpa. Para criar a máxima esterilidade nos canais, o mercado odontológico lança novos dispositivos e medicamentos todos os anos, e novos métodos de tratamento da pulpite são desenvolvidos, permitindo que você salve o dente por toda a vida.
A desinfecção aprimorada dos canais pode ser realizada usando dispositivos e ferramentas de ultrassom e laser. A despoforese do hidróxido de cobre-cálcio também é considerada um método de tratamento eficaz.

É interessante
O hidróxido de cobre-cálcio não só tem um efeito bactericida, mas também destrói esporos e fungos nos canais. Devido ao efeito destrutivo das proteínas, até pequenos ramos do canal são limpos de qualquer forma de vida.
A fisioterapia para pulpite, bem como para periodontite, é um método mais frequentemente usado para tratar dores pós-preenchimento, que geralmente surgem no contexto da adaptação ao material de preenchimento. No âmbito dos procedimentos fisioterapêuticos, por exemplo, podem ser utilizados o dispositivo DiaDENS, aparelho de darsonvalização, Amplipulse e outros. Em geral, deve-se notar que a fisioterapia raramente é usada no tratamento da pulpite.
Erros comuns no tratamento da pulpite e como ela pode ameaçar
Os métodos modernos de tratamento da pulpite permitem evitar a maioria dos erros cometidos pelos dentistas do século passado durante o processamento e o preenchimento de canais dentários. Apesar disso, por várias razões (por exemplo, pressa, falta de profissionalismo, equipamento precário da clínica), esses erros aparecem como uma violação da integridade do canal, interrupção do instrumento, preenchimento incompleto ou preenchimento excessivo.

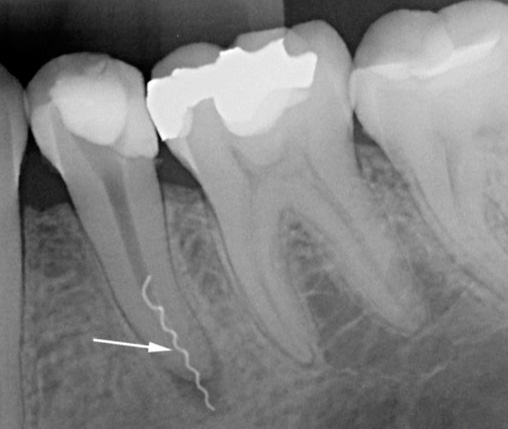
A violação da integridade do canal é talvez uma das complicações mais problemáticas durante o tratamento da pulpite: isso cria um furo ou perfuração falsa em um determinado nível radicular: no início, no final e no meio. Nesse caso, a ferramenta para passar ou expandir o canal acidentalmente aparece fora da raiz nos tecidos circundantes. Essa complicação complica o processamento e o preenchimento normal do canal real e também provoca a presença de um foco de inflamação no lugar da “ferida” na raiz no futuro.

É interessante
Durante a perfuração, o paciente geralmente se nota, como se o médico tivesse perfurado a gengiva, se afastado do dente, "tocado a carne". Isso se manifesta como uma dor repentina em algum lugar profundo. Além disso, o sangue aparece frequentemente na escarradeira ao cuspir.
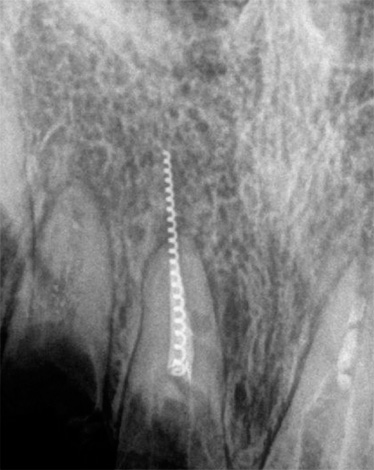
Instrumento quebrado no canal: se operado incorretamente com pequenos instrumentos endodônticos, é possível atolar o final da “agulha” com sua subsequente quebra, o que não permite curar qualitativamente a pulpite. Parte do canal não é processada e não é selada. Se os micróbios continuarem a se multiplicar nos espaços vazios da raiz, isso causará a dor da periodontite, indicando inflamação da raiz.


Um canal incompletamente selado: normalmente deve ser selado a um estreitamento fisiológico, ou seja, não atingindo o ápice radiológico visualmente determinado da raiz do dente em cerca de 1-2 mm. Independentemente do material escolhido, esse requisito deve atender ao protocolo de tratamento da pulpite. Caso contrário, ocorrerá inflamação da raiz.

Um canal excessivamente selado: ao remover uma grande quantidade de material de preenchimento além da raiz, o dentista corre o risco de dar ao paciente além de dor de dente severa após o tratamento da pulpite, também grandes problemas no futuro. O fato é que os padrões para o tratamento da pulpite proporcionam um preenchimento claro do canal de acordo com seu comprimento de trabalho, medido com uma régua, usando um dispositivo especial, raio-X etc. Quando o material atinge o ápice da raiz, é percebido como um corpo estranho, o que acarreta uma resposta e provoca inflamação dos tecidos ao redor da raiz.

Muito raramente, mesmo casos de remoção de material de preenchimento no seio maxilar com o desenvolvimento de sinusite e no canal mandibular com dormência da mandíbula por um longo tempo são registrados. Tudo isso é bem sério.
Agora vamos falar sobre os preços para o tratamento da pulpite ...
Quanto custa a cura da pulpite?
O custo do tratamento da pulpite é determinado em parte pela localização geográfica da instituição odontológica. Por exemplo, o tratamento em uma cidade pequena pode diferir acentuadamente no preço pelos mesmos serviços, mas já em São Petersburgo ou Moscou. Para entender melhor o que você está realmente pagando, é útil conhecer um pouco da política de preços das clínicas.
A maioria dos dentistas inclui no custo do tratamento da anestesia por pulpite dentária, passagem de canais, uso de ferramentas para seu tratamento mecânico e medicamentoso, material para o "preenchimento radicular", material de preenchimento no final do tratamento, além de outras etapas e materiais utilizados. As organizações de baixo orçamento quase não incluem publicidade, serviço alto, nível de conforto etc. no preço do tratamento da pulpite.

Das observações do dentista
Alguns pacientes avançados que não têm uma boa vida durante o tratamento da pulpite agem como o verdadeiro Ostap Bender. O tratamento de canal mais difícil, que exige muito tempo, um alto nível de equipamento, profissionalismo médico, controle de qualidade na forma de fotos, eles passam em uma boa clínica em um nível decente. Ao mesmo tempo, uma pessoa pede a um dentista para tratar a pulpite sem preenchimento, para que possa instalá-la gratuitamente ou por uma taxa mínima em uma instituição orçamentária (clínica ou hospital). Infelizmente, esse evento pode estar fadado ao fracasso, uma vez que a baixa qualidade de um preenchimento orçamentário geralmente afeta a possibilidade de os micróbios entrarem na cavidade oral em um sistema de canal bem vedado alguns anos ou mais cedo. O resultado é um retratamento caro e repetido do dente.
Vários dentistas tratam pulpite de uma só vez, com pagamento imediato por isso. Estudos demonstraram que o desejo comercial da clínica de receber rapidamente o valor total pelo difícil trabalho realizado está repleto de complicações futuras para o paciente, uma vez que a maioria das instituições de odontologia trabalha com um conjunto de materiais que podem não ser combinados ou não aderem bem durante o preenchimento dente imediatamente após o tratamento. Também existe o risco de microencolhimento ("queda") da vedação quando o material colocado nos canais começa a endurecer, e a vedação cai naturalmente nos vazios formados com a formação de rachaduras nas bordas.
A melhor maneira de evitar um tratamento dispendioso é prevenir a pulpite. É composto de oportuna tratamento de cárie em qualquer fase do processo, higiene bucal profissional a partir de placa e pedra, bem como a formação de uma cultura alimentar adequada, com restrição de doces de todos os tipos, escovação regular e regular dos dentes, uso de fio dental e condicionadores.
Um vídeo interessante mostrando o que você pode esperar na clínica durante o tratamento da pulpite
Remoção de um instrumento quebrado do canal do dente

Trabalhei como dentista por cerca de 40 anos e posso dizer sobre o método resorcinol-formalina que esse método se comprovou ao longo das décadas de seu uso em odontologia. O único ponto negativo é a coloração do dente, mas os dentes curados por esse método permanecem por décadas e até o fim da vida dos pacientes. Outra coisa é que esse método é barato, e agora todo mundo quer obter o máximo de dinheiro possível do paciente, e estão sendo introduzidos medicamentos importados caros.
O método, é claro, é barato, mas mancha o dente e, além disso, o dente se torna quebradiço. Isso pode afetar negativamente ainda mais a capacidade de perceber a carga mastigatória e, se você precisar removê-la, a remoção será difícil. O dente desmorona constantemente, o que significa que precisará ser cortado da mandíbula. E depois suturar, etc.
Sim, meu amigo durante seus estudos no instituto tratou os dentes dessa maneira, eles ficaram manchados assim. Tendo estado por mais de 5 anos, eles começaram a ficar inflamados! Ainda mãe daquele médico da odontologia urbana. Havia apenas esses dentes pintados ...
Quando os nervos são removidos dos canais, o dente fica morto, gradualmente se tornando mais frágil e em colapso. Entendo que mais cedo ou mais tarde ele entrará em colapso e precisará ser removido? Portanto, não é mais fácil remover imediatamente esse dente sem tratar a pulpite e inserir um artificial?
Olá Uma citação de um filme que ainda não foi filmado: "Se morrermos de qualquer maneira, não é mais fácil imediatamente ..."
Em primeiro lugar, você está certo, um dente se torna mais frágil do que um dente vivo (com polpa), mas isso não significa que ele se desintegrará durante a vida. Em segundo lugar, um dente morto com 4 paredes completas (ou seja, um selo está no meio do dente) pode entrar em colapso completo sem correção em 10 a 20 anos, e essa não é a opção de dizer: "não é mais fácil remover imediatamente esse dente ? "
Além disso, os estudos provaram: embora seja difícil criar algo melhor do que os dentes em termos de anatomia e funcionalidade, e com mais frequência fica mais caro. Você nem imagina quantas pessoas se apegam justamente a cada um dos dentes, tentam tratar, mesmo que dure apenas alguns anos. Em terceiro lugar, sobre os dentes que não possuem paredes completamente confiáveis ou que não existem muitas: fazem uma restauração dentária em um pino, ou (o que é justificado e mais confiável, mas mais caro) coloca um toco no canal dentário e depois uma coroa . Com a manipulação correta, isso prolonga a vida útil de um dente morto em 15 a 20 anos ou mais. Obviamente, ninguém discute com o fato de que o trabalho odontológico deve ser revisado uma vez a cada 1-3 anos.
Eles me diziam com mais calma ainda: "Não é mais fácil remover todos os dentes e inserir implantes, próteses?" Para raciocinar assim, você precisa ter pelo menos 400-800 mil rublos ou mais, já que toda a boca de implantes de alta qualidade é cara ou se preparar para contrapartes mais baratas, onde os problemas podem esperar a cada passo. Então, o que você está falando pode levar a despesas financeiras precipitadas (na melhor das hipóteses) ou decepção com a perda de seus dentes.
Mesmo que você tenha curado a pulpite de acordo com o protocolo, não há garantia de que o dente não dói quando você resfria, congela etc. Como regra, a dor aparece no dente tratado, o que indica que é muito difícil manter a esterilidade nos canais durante o tratamento. Sim, a pasta de endometasona e os pinos de guta-percha atingirão o topo das raízes, mas isso, infelizmente, não é garantia de uma cura completa da pulpite residual. Absorventes, arquivos, protapers, etc. - tudo é estéril somente quando não está desembalado. Tudo tem relativa esterilidade. Muitas vezes, é simplesmente impossível manter essa esterilidade, com base nas regras de assepsia e anti-sépticos. O consultório do dentista não é uma grande sala de operações, onde o ar é constantemente esterilizado, onde o paciente é coberto com lençóis esterilizados, onde apenas instrumentos esterilizados são servidos, onde médicos e irmãs em vestidos esterilizados, capas de sapatos, máscaras, etc. Há muita infecção na cavidade oral. Portanto, a eficácia do tratamento da pulpite nem sempre é alta e, às vezes, as queixas dos pacientes após tratamento dentário para dentes ou médicos são irracionais. É melhor tratar a cárie e não trazer pulpite, periodontite, e não há muito doce.Seria bem entendido por especialistas e juízes que participam da análise de "voos".
Eu fui a uma clínica particular para tratar pulpite. Somente para a reorganização e preenchimento dos canais, eles me informaram o preço - colocar todo o salário do mês (eu tenho um salário médio, não o menor). E isso é com um selo temporário, embora um polímero. Constantemente definido - pague separadamente ... Por esse tipo de dinheiro, fiz uma operação na glândula tireóide em uma clínica estadual + 5 dias de hospital e exames. Portanto, levando esse tipo de dinheiro, eles poderiam ter fornecido esterilidade ao máximo e não perder o contrato no caixa - "Não tenho queixas em caso de complicações". E eu limpo meus dentes a tempo, tente. Não é minha culpa que eu tenha queimado uma polpa do nada, embora a cárie não tenha sido muito profunda (foi tratada inicialmente em uma clínica particular barata).
Folha de flandres
Como entender de todas as complicadas listas de preços da odontologia quanto vai custar o tratamento da pulpite? Todas as fases de mim, como simples leigo, são de pouco interesse, para ser sincero. É importante para mim:
a) Ao máximo, mantenha o dente vivo (e não como antes, mesmo há 10 anos - para remover os dentes no tratamento de qualquer cárie e, em seguida, moer e colocar a coroa).
b) Que o custo de todo o trabalho não é dobrado. Com o salário de um funcionário do estado no salário mínimo, como se pode definir esses preços para o tratamento? E agora, mesmo para o seguro médico obrigatório, tudo é pago, e não há materiais da geração anterior e médicos 🙁
Olá Veronica! O custo do tratamento só pode ser calculado após o estudo da sua foto e do exame em pessoa. Fazer você mesmo (com antecedência, sem consultar um médico) será bastante problemático.
Depois de estudar a história e o exame radiológico, será possível julgar - salvar a polpa do dente (nervo) ou removê-lo. Isso afeta muito o custo do tratamento. O custo também é significativamente afetado pelo número de canais dentários. E sem executar procedimentos de diagnóstico, a faixa de preços prováveis para o tratamento será muito ampla - de cerca de 2.000 rublos a 10.000 rublos.