
Foi estabelecido que as primeiras tentativas de tratar a cárie já poderiam ter sido feitas há cerca de 8.000 anos, o que é eloquentemente revelado pelos crânios de pessoas cujos dentes individuais foram perfurados claramente com uma ferramenta manual. Infelizmente, nenhum manuscrito sobre métodos antigos de tratamento de cárie chegou até nós.
Os primeiros registros de sucesso do tratamento de dentes afetados por cárie remontam aos tempos do Império Romano, quando o médico do imperador Archigen realmente realizou o procedimento de tratamento perfurando um dente doente com uma ferramenta semelhante à atual furadeira manual.

É interessante
No século XV, na tentativa de curar a cárie dentária, Giovani Arkolani queimou a cavidade, enchendo-a de ouro. Antes disso, por muitos anos, o tratamento dentário era limitado apenas à remoção de tecidos doentes, geralmente com o próprio dente (se os métodos da medicina tradicional não ajudassem).
Com o advento da primeira broca, que encontrou aplicação prática graças ao médico francês Fauchard, o tratamento da cárie dentária tornou-se mais eficaz e muito produtivo para a época.
A cada ano, equipamentos e materiais eram aprimorados, novas abordagens e idéias apareciam. Falaremos mais sobre como a cárie é tratada hoje e o que um paciente pode esperar no Kremlin do dentista.
E o que, de fato, estamos tratando?
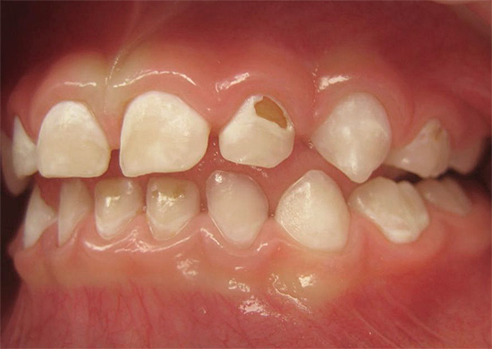
A cárie é um processo patológico local, geralmente começando sob placa como resultado da fermentação (fermentação) de restos alimentares de carboidratos por microorganismos (o principal papel é atribuído ao Streptococcus mutans anaeróbico, embora outras bactérias também contribuam). Como resultado da atividade bacteriana, ácidos orgânicos são liberados, o que “corroem” o esmalte dos dentes com a lixiviação de minerais, o que, por sua vez, leva à formação de poros. Esta é uma desmineralização focal do esmalte (cárie no estágio spot) - o primeiro estágio de destruição.

Se não for oportuno tratamento de cárie inicial, formam-se defeitos nos tecidos dentários: cavidades cariosas superficiais, médias e profundas. Esse processo de destruição gradual pode ser assintomático ou com a ocorrência de dor de curto prazo por estímulos externos (doce, frio, etc.), passando rapidamente após eliminar a fonte de irritação.


Assim, o tratamento da cárie envolve a restauração das propriedades funcionais dos tecidos duros do dente: por exemplo, a superfície do dente era branca, lisa e dura e, em vez disso, apareceu um buraco de cor escura no qual, além disso, os tecidos duros perdiam sua dureza. Consequentemente, o tratamento terá como objetivo eliminar esse orifício, remover tecidos amolecidos e substituí-los por estruturas sólidas de pleno direito que seriam parte integrante do dente.
Esta é uma explicação simplificada; de fato, existem muitas nuances interessantes aqui (veja abaixo).
Princípios gerais para o tratamento da cárie
Atualmente, existem duas abordagens fundamentalmente diferentes para o tratamento da cárie:
- Terapia conservadora sem preparação (isto é, sem excisão de tecidos com uma broca);
- Tratamento com a preparação de tecidos de dentes duros (ou seja, supõe-se que todos saibam a "perfuração" dos dentes).
Técnicas conservadoras são métodos não invasivos para o tratamento de cárie. Eles são usados tanto para as formas iniciais na fase de desmineralização focal (manchas) quanto para cavidades já formadas.

É interessante
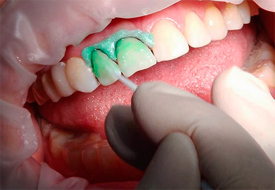
Atualmente, antes do início do tratamento odontológico, incluindo cárie, é necessário o consentimento informado do paciente para esse procedimento.A manipulação não pode ser iniciada sem ele, pois primeiro é necessário assinar um documento que explique ao paciente os aspectos médicos e legais que protegem seus interesses. E também este documento protegerá o médico em caso de tratamento malsucedido, não associado a danos intencionais. Além do consentimento, o histórico médico é necessariamente preenchido no cartão do paciente, onde todas as manipulações associadas ao tratamento da cárie são registradas em detalhes.
O tratamento da cárie usando a técnica de preparação de tecidos consiste nas seguintes etapas:
- Preparação da cavidade oral. Isso pode incluir não apenas remover a placa ou pedra do dente planejado para o tratamento, mas também geralmente conduzir a higiene profissional de todos os dentes.

- Anestesia (se necessário). Na maioria dos casos, o tratamento da cárie é realizado sob anestesia local, mas às vezes, por exemplo, com múltiplas lesões dentárias ou com pânico em pacientes jovens, o tratamento é realizado sob anestesia, ou seja, com o "desligamento" da consciência. Esta é uma opção mais arriscada, mas justifica-se se houver uma indicação médica para isso.

- Preparação. Esta etapa envolve a remoção de tecidos destruídos da cavidade e o tratamento medicamentoso subsequente com soluções especiais de anti-sépticos. Isso permite criar todas as condições para que as bactérias não se multipliquem no futuro preenchimento e não caiam devido à recidiva de cárie (as chamadas cáries secundárias).

- Formação de cavidade. Esse estágio é importante para criar uma forma dessa cavidade, o que criará condições adicionais para manter a vedação. Muitos materiais utilizados no tratamento de cárie requerem uma configuração específica da cavidade formada. No entanto, entre os materiais de enchimento modernos, existem aqueles que se ligam quimicamente ao dente e não exigem a criação de meios mecânicos de retenção.

- A imposição de uma almofada médica ou isolante (de acordo com a situação clínica). Esse estágio é especialmente importante para obturações que são colocadas durante cáries profundas, quando é necessário ter um longo efeito anti-inflamatório e antimicrobiano no “nervo” localizado bem próximo ao fundo da cavidade formada usando compressas médicas especiais. As juntas isolantes sob as vedações são colocadas na maioria dos casos, uma vez que quase todos os materiais têm um efeito irritante na polpa.

- Enchimento de cavidade. Durante a instalação, os recheios determinam sua cor (ao trabalhar com materiais estéticos), isolam a superfície de trabalho do restante da cavidade oral com um dique de borracha ou rolos simples de algodão e, em seguida, levam o material para dentro da cavidade de acordo com as instruções. Nesse caso, várias ferramentas adicionais são frequentemente usadas para melhorar a qualidade e as condições de trabalho: matrizes para criar um espaço entre os obturadores e os dentes adjacentes, cunhas para formar um ponto de contato ideal, rosca de retração para corrigir as gengivas próximas à área de trabalho, etc.

- E, finalmente, o final. Após a instalação do selo, um pré-requisito é sua correção, retificação e polimento. É importante que o preenchimento não danifique o dente, não cause desconforto e dor, não tenha rebarbas, não acumule placa, tenha brilho característico de um dente normal, etc. Para isso, por exemplo, eles usam discos especiais, cabeças de polimento, acabamentos ou polimentos.

O vídeo a seguir mostra um exemplo de tratamento para cáries profundas:
Tratamento de broca para cárie profunda
Terapias clássicas com preparação
Muito antes do surgimento dos modernos materiais de preenchimento, o tratamento da cárie foi realizado utilizando uma preparação (método invasivo) e a formação de uma cavidade cariosa para os materiais utilizados na época. Ao mesmo tempo, para fixar e segurar com segurança as vedações, era necessário cumprir várias condições relacionadas a:
- com uma grande área de preparação;
- com a necessidade de cumprir certos ângulos de transição das paredes e a forma do fundo;
- com uma configuração específica da cavidade;
- com a criação de cáries adicionais e o processamento de tecidos dentários saudáveis;
- com a aplicação de cortes e aparas de boro.
Esse tratamento de cárie exigia certas habilidades, destreza e muito tempo.

A seguir, são apresentados os materiais "clássicos" usados anteriormente na odontologia e ainda utilizados nas organizações orçamentárias para obturações permanentes:
- Cimentos minerais (Silicin, Silidont e alguns outros);
- Materiais acrílicos e epóxi (por exemplo, óxido acrílico);
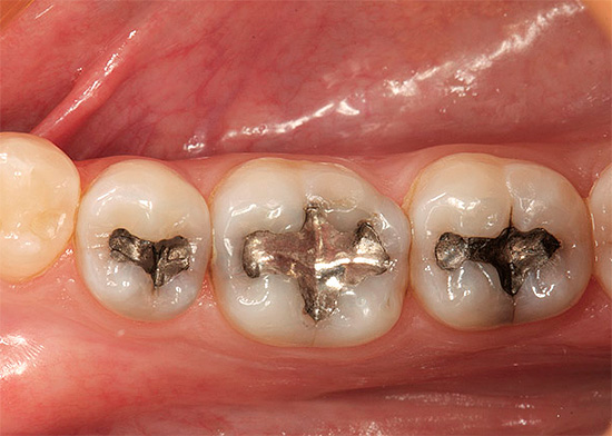
- Recheios de metais (amálgamas).
Foto de recheios de amálgama:

Obviamente, antes que os métodos modernos de tratamento da cárie aparecessem, foram necessários anos de trabalho com o uso de materiais de preenchimento "clássicos" - muitas pessoas ainda usam esse tipo de material.
Nota
Durante a Grande Guerra Patriótica, o cirurgião Ivan Ivanovich Scheglov usou amplamente o método de curar até as feridas mais graves, usando loções com solução hipertônica de cloreto de sódio. Em apenas alguns dias, as feridas ficaram limpas, rosadas, sem apodrecer, o que reduziu significativamente a mortalidade entre os feridos. No futuro, havia evidências separadas de que o método Shcheglov pode ser usado com sucesso para tratar cáries complicadas, mais precisamente, para aliviar a inflamação e dor intensa naquelas condições em que não há como usar métodos mais eficazes.
Materiais modernos para obturações dentárias
Desde os tempos de anestésicos e difíceis de corrigir cimentos e amálgamas, mais de uma dúzia de anos se passaram. A odontologia moderna exigia novas soluções no tratamento da cárie e elas surgiram.
Antes de tudo, a tendência levou à rejeição do tratamento excessivo da cavidade cariosa e à diminuição do volume de tecidos saudáveis removidos pelo boro, que antes era necessário apenas para a retenção mecânica de restaurações "antigas".

Além do método mecânico para tratar a cavidade cariosa com boro (isto é, uma "broca"), outros métodos também apareceram:
- Químico-mecânico (dissolução de “cáries” por meios químicos e sua remoção com ferramentas manuais);
- Ar abrasivo (jateamento da cavidade);
- Limpeza ultra-sônica da cavidade;
- Preparação a laser.
Surgiram técnicas adesivas associadas ao uso de produtos químicos especiais (“adesivos”), que permitem abandonar os métodos rotineiros de preenchimento de restaurações e aumentar dezenas de vezes a adesão do material às superfícies dos dentes. Foram desenvolvidos materiais biocompatíveis com os tecidos dos dentes e adesão confiável com preparação mínima e criando um formato de cavidade arbitrário.
As classes mais populares de materiais para o tratamento de cárie:
- Compósitos;
- Cimentos de ionômero de vidro;
- Compômeros;
- Ormokers.

No entanto, dentro de cada classe de materiais já existem categorias usadas apenas de maneira limitada na odontologia moderna para o tratamento de cáries, em virtude da ineficiência comprovada nas últimas décadas. Alguns materiais foram transferidos para o campo da odontologia orçamentária.
Cada um dos materiais listados possui seu próprio conjunto individual de propriedades que podem e devem ser combinadas para alcançar o resultado ideal para o tratamento de cárie de leite e dentes permanentes a longo prazo. Além disso, mais de uma técnica foi desenvolvida para sua combinação e introdução competentes na cavidade.
Abordagens modernas para o tratamento de cáries profundas
A cárie profunda está sempre associada a cáries dentárias muito graves. E se o estágio do ponto cariado muitas vezes não requer tratamento mecânico da cavidade (método não invasivo de tratamento) e com cárie superficial e moderada, você pode limitar-se a técnicas de preparação delicadas com excisão mínima do tecido, então a cárie profunda geralmente requer um tratamento de cavidade a longo prazo do médico, modos de preparação especiais e tratamento e juntas isolantes para vedantes.

A possibilidade de preservar a polpa viva (“nervo”) é determinada através da realização de uma série de manipulações importantes para que a cárie não apareça novamente após o tratamento. Tais manipulações incluem:
- Trabalho preciso com brocas, levando em consideração a anatomia do dente;
- Trabalho alternado com pontas de alta velocidade e uma ponta para um micromotor a baixas velocidades na parte inferior da cavidade para evitar o risco de abertura acidental da câmara pulpar;
- Uso de detectores de cárie (indicadores) para reconhecimento de tecidos cariados na cavidade;
- Ar-resfriamento de água para proteger contra superaquecimento do dente;
- O uso de absorventes médicos à base de hidróxido de cálcio;
- O uso de juntas isolantes (na maioria das vezes são cimentos de ionômero de vidro);
- O uso da técnica para o tratamento de cáries profundas em várias consultas com o controle do efeito terapêutico das preparações utilizadas à base de hidróxido de cálcio.

Da prática do dentista:
Os seguintes são amplamente representados no mercado de materiais para juntas médicas:
- Suspensão aquosa à base de hidróxido de cálcio (Calradent, Calcicur, Calasept, Hidróxido de Cálcio, Calcipuipe);
- Vernizes à base de hidróxido de cálcio (Contrasil);
- Cimentos de salicilato de cálcio de cura química (Septocalcine Ultra, Calcesil, Dycal, Life, Calcimol, Alkaliner, Reocap);
- Materiais fotopolimerizáveis à base de polímeros combinados com hidróxido de cálcio (Esterfil Ca, Calcesil LC, Ultra-Blend, CalcimolLC,).
Estudos demonstraram que o maior efeito terapêutico é demonstrado por preparações à base de uma suspensão aquosa de hidróxido de cálcio, mas são aplicadas sob enchimento temporário e podem curar cáries profundas em apenas algumas visitas, diferentemente dos cimentos de salicilato de cálcio, aplicados imediatamente sob enchimento permanente, mas com efeito terapêutico eles são menos pronunciados. Muitos dentistas tendem a acreditar que vernizes e compressas médicas fotopolimerizáveis têm efeitos anti-sépticos e anti-inflamatórios fracos na polpa do dente.
Tratamento de cárie sem broca
Hoje, muitas pessoas estão preocupadas com a possibilidade de tratar cáries sem usar uma broca. E a odontologia moderna realmente tem em seu arsenal métodos que permitem que isso seja feito.

Listamos os principais:
- Tratamento da superfície dentária com compostos remineralizantes;
- Usando tecnologia ICON;
- Técnica ART.
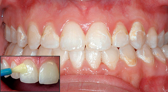
A terapia remineralizante é, de fato, a restauração de uma estrutura de cristal de esmalte parcialmente destruída, o reabastecimento de seus componentes minerais durante a desmineralização focal. Em casa, é difícil selecionar independentemente a combinação necessária de medicamentos e sua concentração para o tratamento seguro e eficaz das cáries no estágio local, por isso é altamente recomendável consultar um dentista.

A terapia remineralizante consiste em eventos sistêmicos e locais. Os sistêmicos incluem, por exemplo, a nomeação de sal fluoretado, leite, comprimidos de flúor, etc. E para os locais - tratamento da superfície do dente com soluções remineralizantes especiais ou géis contendo compostos de cálcio, flúor e fósforo e, às vezes, vários outros minerais importantes em várias combinações para mineralização acelerada do esmalte.
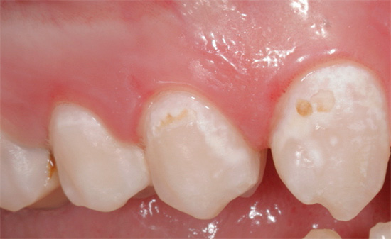
Exemplos de preparações para o tratamento de cárie na fase de uma mancha branca:
- Multifluoreto;
- Bifluoreto;
- Belak F;
- Glufthored;
- Líquido de selagem de esmalte;
- Belagel Ca / P, Belagel F.

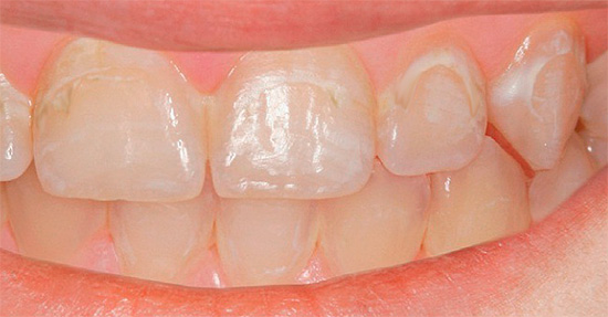
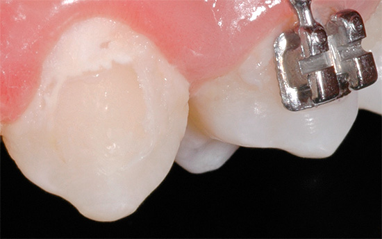
Quanto à tecnologia ICON, é uma das mais promissoras no tratamento de cáries no estágio inicial. Além disso, por exemplo, com o uso prolongado de aparelhos, a desmineralização de certas áreas do esmalte também pode ocorrer: nesse caso, será necessário tratamento após a remoção dos aparelhos ortodônticos.

A essência da tecnologia ICON: depois que o infiltrante é aplicado e polimerizado por uma lâmpada UV, a superfície do esmalte adquire sua cor original, uma vez que o líquido à base de resinas poliméricas "flui" para as zonas da treliça de cristal de esmalte danificada e realmente "obstrui" os microporos. O método de infiltração das estruturas de esmalte afetadas com os compostos incluídos no ICON permite alcançar o resultado na primeira visita.

A principal condição para o tratamento da cárie com o ICON é usá-lo apenas no esmalte, uma vez que a dentina não pode ser infiltrada.
Nas fotos abaixo, você pode observar algumas etapas do tratamento da cárie usando a tecnologia ICON:


Agora, algumas palavras sobre o chamado método ART para o tratamento de cárie.
A técnica de TARV “clássica” é um tratamento restaurador atraumático ou tratamento não invasivo para cárie. Foi desenvolvido na Holanda. Em vez de uma broca para o tratamento de cárie, são usadas escavadeiras - ferramentas manuais especiais que podem literalmente "raspar" tecidos infectados por cárie do fundo e das paredes da cavidade. Em seguida, a cavidade é preenchida com cimento de ionômero de vidro, que libera flúor no tecido e impede a cárie.

Não se lisonjeie e procure um médico que esteja pronto para lhe dar um tratamento de cárie usando o método ART. Uma ferramenta manual geralmente não é capaz de remover com eficiência todos os tecidos pigmentados e infectados da cavidade, o que geralmente leva à necessidade de ressuscitação dentária. A propósito, ao mesmo tempo, a OMS recomenda uma metodologia de TARV para implementação ativa de residentes de regiões pobres, emigrantes, refugiados, etc.
Em alguns casos, você pode aplicar essa técnica a pessoas com medo de pânico de uma broca.
Opções promissoras para o tratamento da cárie: uma técnica de sanduíche
Hoje, todo dentista competente possui informações sobre modernos materiais de preenchimento para o tratamento de cárie dentária. A possibilidade de combinar durante o trabalho 2-3 materiais diferentes oferece benefícios inestimáveis, pois isso permite maximizar os benefícios de cada opção.
Uma das opções de tratamento mais promissoras para a cárie é a técnica de sanduíche, ou, de fato, a técnica de "sanduíche".
É interessante
A justificativa para o uso da tecnologia sanduíche deve-se ao fato de que os compósitos de fotopolimerização ou, caso contrário, recheios “leves”, apresentam várias desvantagens:
- Altas taxas de encolhimento ou deformação, que eventualmente levam ao aparecimento de um "orifício" no local do selo;
- Falta de efeito anticariogênico;
- Falta de biocompatibilidade com os tecidos dos dentes (tem um efeito tóxico no tecido da polpa através do fundo da cavidade).
Todas essas desvantagens são compensadas com sucesso pelos cimentos de ionômero de vidro (SIC). Além disso, uma técnica de sanduíche é entendida como uma combinação de compósitos e compômeros, bem como amálgamas e compósitos, mas eles são usados com menos frequência.

Por exemplo, os seguintes algoritmos são possíveis para a colocação de cimento de ionômero de vidro no tratamento de cárie pelo método sanduíche:
- Sanduíche fechado: a junta não atinge as bordas da cavidade, o que significa que não entra em contato com o fluido oral;
- Sanduíche aberto: uma junta se sobrepõe a uma das paredes e está em contato com o ambiente da cavidade oral.
Vantagens da técnica:
- Possibilidades de colocação da SIC por muito tempo para liberar flúor no tecido dentário, o que reduz o risco de cárie secundária;
- Redução do encolhimento da vedação do compósito, uma vez que o SIC o compensa de forma confiável;
- Melhorar as características naturais das cores das restaurações futuras devido à cor da SIC, simulando dentina mais escura na parte inferior;
- Possibilidades de SIC para suprimir o crescimento de microrganismos cariogênicos;
- Usando essa técnica, muitas vezes a única maneira confiável de preencher defeitos cervicais e subgengivais, especialmente com cárie radicular. Devido à baixa adesão dos compósitos a apenas uma dentina, à incapacidade de criar uma superfície perfeitamente seca das restaurações gengivais e subgengivais, os SICs possibilitam criar uma base idealmente forte para eles, além de fornecer a conexão do preenchimento principal com os tecidos dos dentes através de cimentos de ionômero de vidro.
A foto abaixo mostra o dente antes e após o tratamento da cárie com enchimento pelo método sanduíche:


Possíveis complicações do tratamento da cárie: algo que pacientes muito impressionáveis não devem saber
Durante o tratamento de cárie com um ou uma combinação de vários fatores (equipamentos inadequados, materiais, nível de treinamento, anatomia dentária complicada, cavidade cariada localizada de maneira inconveniente, etc.), às vezes surgem complicações. Listamos os mais populares deles:
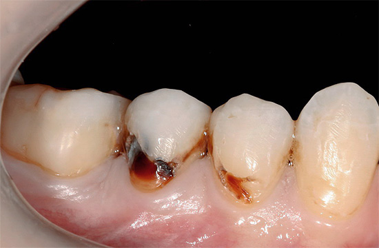
- Perda de enchimento ou cárie ao seu redor. Na maioria das vezes, são os erros médicos que fornecem a causa dos recheios. Isso ocorre devido à má limpeza da cavidade do tecido solto, não à remoção da dentina infectada e pigmentada e aos restos de esmalte desmineralizado.

- A ocorrência de dor no dente. Para curar a cárie (especialmente profunda), o médico deve seguir absolutamente todas as instruções, desde um bom resfriamento com água e ar na preparação do dente, até a secagem precisa da dentina (a dentina deve ser "brilhante" ou levemente úmida) e o trabalho correto com compressas médicas. Sobreaquecimento dos dentes, sobredentagem da dentina, abertura acidental da câmara pulpar, ausência almofadas de tratamento para cárie profunda e outros erros levam a dores no dente de natureza diferente, até o aparecimento de pulpite ou periodontite devido à morte do "nervo" danificado.
- Falta de ponto de contato. Em alguns casos, no tratamento de cárie, alguns médicos não restauram ou restauram mal os espaços naturais entre os dentes, sem os quais o funcionamento normal do dente é impossível. Isso afeta especialmente a papila gengival no espaço entre os dentes, que é espremida pelo preenchimento incorreto e sangra constantemente, o que leva à periodontite local - reabsorção do septo ósseo alveolar nos dentes adjacentes ao preenchimento. Esse fato pode levar à mobilidade dentária com risco de extração dentária.
A figura abaixo mostra esquematicamente exemplos de erros cometidos pelos médicos no tratamento de cárie (e não nos piores):


Para não ter que “atormentar dolorosamente” o tratamento dos dentes, é importante prestar atenção considerável à prevenção de cárie. Na maioria dos casos, basta seguir várias regras simples para se livrar da cárie para sempre:
- Executar escovação de dentes com escovas com pastas contendo fluoretos e espaços interdentais - com fio dental embebido em compostos de flúor e após cada refeição.
- Siga a técnica correta de escovação e, se necessário, ajuste essa habilidade com o dentista.
- Se possível, limite sua ingestão de carboidratos (doces, bolos ...)
- Pelo menos uma vez a cada 6 meses, faça uma limpeza profissional dos dentes a partir de placas, pedras e elabore um plano individual de acordo com a situação cariogênica da cavidade oral e o nível de resistência à cárie (condição do esmalte dos dentes e sua mineralização, composição da saliva e quantidade).

Nota
Nem toda pessoa pode decidir escovar os dentes imediatamente com um creme dental após comer. A maioria das pessoas procura estender o prazer de comer comida deliciosa o maior tempo possível. Além disso, a cultura do comportamento, estabelecida desde os dias da União Soviética, sempre ditou regras irracionais: escovar os dentes de manhã e à noite, esquecendo que também existem almoços e lanches durante o dia, quando é importante remover a placa em formação a tempo e eliminar a cariogênica situação na cavidade oral.
Observando essas regras simples, você tem uma chance significativa de manter os dentes saudáveis até a velhice e se salvar do tratamento de cárie por toda a vida.
Vídeo interessante: parece tratamento de cárie sob um microscópio
Restauração em caso de cárie profunda nos dentes superiores dianteiros








Artigo maravilhoso! Fotos, vídeos, quase tudo é mastigado até o chão. Respeito.
Obrigado, o autor é um milagre)
Um artigo interessante e muito informativo.
Obrigada Muito informativo.
Obrigada Não foi informado sobre o tratamento a laser.
Em muitos dentes, tenho, por assim dizer, passos profundos na área da gengiva (defeitos em forma de cunha, como o médico disse). Eles não machucam, mas não parecem muito bons e parece-me que o dente está enfraquecido por causa deles, como se cortados e se houver uma carga pesada, ele pode quebrar ao longo da linha do passo. Preciso fazer algo com esses defeitos em forma de cunha ou eles não precisam de tratamento?
Olá anônimo! Um defeito em forma de cunha é uma lesão não cariosa do tecido dentário, que, no entanto, pode progredir lentamente. No estágio inicial, se não houver dor desagradável e defeito estético, o tratamento não é necessário. Se esses problemas existirem, os defeitos em forma de cunha devem ser selados.
A ameaça de fratura dentária (devido a um defeito em forma de cunha) durante o exercício ocorre extremamente raramente, exceto em estágios muito tardios.