
A dentição dos primeiros dentes de uma criança é um feriado para os pais orgulhosos, mas, ao mesmo tempo, também causa uma série de preocupações, porque mesmo na fase de formação de uma mordida de leite, algumas vezes surgem certos problemas que exigem uma solução precoce.
Portanto, vamos examinar em detalhes as perguntas mais frequentes dos pais jovens relacionadas aos primeiros dentes do bebê e cuidar deles. E veja também qual é a norma e em quais casos você deve entrar em contato com os especialistas.
Etapas da formação de leite e mordida permanente
Os ortodontistas decidiram dividir os estágios da formação da mordida de uma criança em vários períodos específicos, e cada um deles tem suas próprias características importantes.
Como você sabe, normalmente uma criança nasce sem dentes - em vez deles, o recém-nascido tem apenas sulcos gengivais redondos. As estruturas da articulação temporomandibular ainda não foram desenvolvidas, no entanto, a criança pode sugar o peito da mãe ativamente, o que, por sua vez, contribui para o crescimento e desenvolvimento das mandíbulas.

Os primeiros dentes temporários começam a entrar em erupção no bebê por 6 a 10 meses. Existe uma certa sequência e momento da erupção de cada dente - os valores aproximados correspondentes em meses são apresentados na figura abaixo:

De um modo geral, os desvios dos termos de erupção por 2-3 meses são considerados dentro da faixa normal.
Para entender que o bebê logo terá o primeiro dente de leite, geralmente pelos seguintes sinais:
- Na maioria dos casos, a criança aumenta a salivação;
- Se você olhar mais de perto, poderá ver protuberâncias nas gengivas correspondentes à forma dos dentes nos tecidos moles. Esses espessamentos podem ser palpados, ou seja, eles se sentem bem ao toque;
- A criança durante esse período fica inquieta e chorosa mais do que o normal;
- Tudo o que cai embaixo do braço, o bebê puxa a boca, massageando as gengivas e estimulando a erupção dos dentes de leite;
- Frequentemente (mas nem sempre) a temperatura da criança aumenta.

Nota
Antes, os dentistas usavam o termo “febre dos dentes” para descrever os sintomas da febre durante a dentição em crianças, mas hoje esse termo está desatualizado. Normalmente, a temperatura do bebê pode subir para 37,0-37,5 graus. Se a temperatura subir acima desses valores e houver sintomas como dor e vermelhidão na garganta, coriza, tosse, provavelmente essas são manifestações de infecções infantis que coincidiram com o aparecimento do primeiro dente.
O que os pais devem fazer para ajudar o bebê nesse período difícil para ele? Não é necessário baixar a temperatura abaixo de 38 graus de medicação, basta monitorar regularmente a condição da criança, certificando-se de que a temperatura não suba mais. Nesse momento, é especialmente importante não sobrecarregar a criança (como costumam ser os pais que cuidam demais), e o bebê precisa receber líquido suficiente para compensar a perda de água devido ao aumento da temperatura corporal e salivação excessiva.
Se a temperatura da criança é de 38 graus ou mais, eles geralmente usam drogas antipiréticas na forma de supositórios e xaropes (nesse caso, você deve consultar seu pediatra com antecedência para encontrar o remédio certo para a idade e o peso da criança).
O período de oclusão dos dentes de leite, começando, como já observado acima, a partir dos seis meses de idade, continua até a erupção de qualquer primeiro dente permanente. Os dentistas acreditam que o estágio dos dentes temporários dura em crianças em média até 3-3,5 anos.
Uma pergunta comum dos pais sobre quais dentes estão faltando e quantos dentes estão na mordida de leite do bebê? Portanto, há um total de 20 dentes em uma mordida cheia de leite, dez em cada mandíbula. Na mordida temporária, não há pré-molares, ou seja, 4 e 5 dentes - seu lugar é ocupado por molares de leite.
Abaixo na foto, você pode ver como é um conjunto completo de dentes decíduos na mandíbula inferior:

Normalmente, os ossos da mandíbula da criança têm uma forma semicircular, os dentes estão espaçados e estão em contato íntimo, a dentição superior se sobrepõe à inferior. As superfícies posteriores dos molares temporários estão localizadas no mesmo plano, uma em relação à outra.
Nota
A fórmula dental de uma mordida de leite (e também permanente) é geralmente indicada por algarismos romanos: I, II, III, IV, V ou árabe 5, 6, 7, 8; por exemplo, 51 dentes são o primeiro incisivo central da mandíbula superior.
Após o aparecimento do primeiro dente de leite em uma criança, os pais têm uma pergunta completamente natural - como cuidar desse primeiro dente e se deve ou não cuidar dele. É preciso ter cuidado: hoje a indústria faz muitas opções para as pontas dos dedos e cremes dentais de silicone, apropriadas para a idade do bebê.
Um exemplo é mostrado na foto abaixo:


Como mostra a prática, uma ponta do dedo feita de silicone não é adequada para todos e nem imediatamente, porque uma criança pode não gostar do material em si e da aparência deste produto. Nesse caso, você pode tentar enrolar um pedaço de gaze no dedo ou comprar uma versão de tecido pronta na ponta dos dedos na farmácia e suavemente, em movimentos circulares, limpar o dente (no início, isso pode ser feito mesmo sem colar).


Gradualmente, quando o bebê se acostumar com o procedimento de limpeza, você pode ir à ponta do dedo de silicone com pasta de dente. Não tenha medo de que a pasta de dente das crianças prejudique o dente frágil ou o corpo do bebê como um todo - pois abrasivos muito pequenos e algumas substâncias quimicamente ativas que fazem parte de muitos cremes dentais para adultos são especialmente excluídas da composição da pasta de dente. Os cremes dentais para crianças de alta qualidade são feitos inicialmente, levando em consideração o fato de que os bebês, de acordo com os resultados da pesquisa, podem engolir até 40% da pasta de dentes enquanto escovam os dentes.
Nota
Às vezes, existe um conceito absolutamente errado dos pais de que, como os dentes de leite são temporários, você não precisa cuidar deles. Eles dizem que vão cair de qualquer maneira, e então já será possível fazer uma higiene mais completa. Com essa abordagem, a condição dos dentes do bebê em um bebê pode ser verdadeiramente catastrófica:
É importante entender que problemas na mordida do leite inevitavelmente terão um efeito prejudicial na mordida permanente e, às vezes (mesmo com processos inflamatórios graves), até os rudimentos de futuros dentes permanentes podem ser danificados.
Anomalias de dentição e troca de dentes decíduos
Analisaremos a situação quando o tempo passar e os dentes que, ao que parece, deveriam ter aparecido há muito tempo, não querem entrar em erupção.
Pode haver várias razões para isso - tanto de natureza geral, quando um mau funcionamento do corpo leva a um atraso nos processos normais de desenvolvimento da criança quanto local -, nesse caso, o atraso pode ser causado por trauma ou outros efeitos específicos, levando ao não corte de dentes de leite individuais.

Nota
Um papel importante entre as causas de natureza geral é desempenhado pela hereditariedade: se na família de um dos pais a ausência prolongada de certos dentes na infância é característica, há uma alta probabilidade de que esse recurso possa ser transmitido através de gerações a uma criança.
Entre as causas de natureza sistêmica, podemos distinguir doenças como:
- A síndrome de Down é uma mutação genética específica dos cromossomos, como resultado da formação de um cromossomo 47 adicional no conjunto de células.A síndrome de Down se manifesta pela presença de certos sinais na criança, como a forma atípica do crânio, a face achatada e o atraso do bebê no desenvolvimento mental e físico. O momento normal do desenvolvimento de uma mordida de leite também é violado;

- A disostose clavicular-craniana (displasia clavicular-craniana) é uma doença genética bastante rara, caracterizada pelo subdesenvolvimento das clavículas e ossos do crânio, que se manifesta pelo fechamento prolongado da fontanela em uma criança, uma forma alterada do crânio e, em particular, um atraso no desenvolvimento da região maxilofacial como um todo;

- Fenda congênita de lábio e palato - um defeito congênito no qual, durante o desenvolvimento intra-uterino, a cavidade oral e a cavidade nasal não são completamente separadas uma da outra, como resultado da existência de uma anastomose não fechada entre elas. Isso interfere na alimentação, crescimento e desenvolvimento normais da criança, o sistema dentofacial não pode ser formado adequadamente - tudo isso requer a intervenção de um ortodontista junto ao cirurgião maxilofacial para a correção necessária;

- Raquitismo - o desenvolvimento dessa condição é determinado por distúrbios metabólicos devido à falta de vitamina D. A doença se manifesta por deformações ósseas de todo o esqueleto, fragilidade e fragilidade dos ossos. Em crianças com raquitismo, existem certas alterações na forma dos ossos da mandíbula, bem como desvios sérios do desenvolvimento normal da mordida do leite.

Quanto às causas locais que podem levar a anomalias na erupção e alteração dos dentes de leite, podemos destacar:
- Adentia congênita (devido à falta de rudimentos de dentes individuais) - esse recurso pode ser hereditário ou causar trauma intra-uterino ao feto, ou algum efeito no corpo da mãe durante a gravidez. A colocação dos primórdios dentários começa às 6-7 semanas de desenvolvimento fetal, e a formação da região maxilofacial e do esqueleto começa com 1-2 meses de gravidez. Consequentemente, qualquer efeito adverso grave no corpo de uma mulher grávida durante esse período (tomar certos medicamentos, especialmente antibióticos, doenças infecciosas prévias, ingestão excessiva de álcool, fumar) pode causar danos irreparáveis à condição futura dos dentes e do esqueleto da criança;
- Dilaceração - este termo se refere à estrutura anormal da raiz do dente, na qual a raiz começa a crescer em ângulo em relação à coroa. Na maioria das vezes, essa condição se desenvolve após uma lesão em um dente já em erupção ou em seu embrião. Na maioria dos casos, os dentes com dilaceração devem ser removidos;

- Posição anormal do germe dentário. Às vezes, o motivo das patologias da mordida do leite e dos chamados "dentes tortos" reside no fato de que o germe dentário foi originalmente formado fora do lugar. Isso pode ocorrer no estágio de desenvolvimento intra-uterino e também pode resultar de trauma durante os cuidados obstétricos e a aplicação de fórceps na cabeça do bebê. Além disso, tumores e formações semelhantes a tumores da mandíbula podem deslocar os rudimentos dos dentes. Esse desvio pode ser suspeitado por um especialista durante o exame e a palpação da dentição da criança, ou, mais provavelmente, essa patologia pode ser instalada em um raio-x;

- Violação primária da dentição - essa patologia é caracterizada pela ausência do processo de dentição, como tal, nos dentes que não se fundiram com o osso subjacente. Ou seja, um dente de leite (ou permanente) localizado no osso não pode superar o obstáculo na forma de tecido ósseo, porque o mecanismo necessário de amolecimento da gengiva para isso não ocorre. Tal anomalia pode ser, por exemplo, uma conseqüência do preenchimento inadequado dos dentes decíduos, após o qual a raiz do dente temporário não absorve, sendo um obstáculo à erupção de um dente permanente.
Além disso, com alguma cautela, os médicos se relacionam com anomalias como:
- O nascimento de uma criança com dentes natais - isto é, uma criança já nasce com dentes individuais na cavidade oral. Como regra, esses são os incisivos inferiores. Tais casos requerem observação cuidadosa - geralmente os dentes natais rapidamente se tornam estáveis e não representam uma ameaça ao desenvolvimento normal adicional da mordida do leite. Se o dente cambaleia (pode cair e entrar no trato respiratório) ou interferir significativamente na alimentação (arranha o mamilo da mãe), ele deve ser removido;

- Um cisto de dentição (uma cavidade preenchida com líquido) - quando um dente de dentição às vezes está descascando a camada subjacente da gengiva, forma-se um espaço preenchido com sangue, linfa ou, em casos graves, produtos de deterioração, ou seja, pus. A decisão sobre ir ou não ao médico nessa situação é tomada dependendo das condições gerais da criança. Basicamente, um cisto passa sem consequências, mas às vezes requer a intervenção de um especialista;

- Distopia - a dentição está deslocada. A distopia pode ser uma conseqüência da falta de espaço na dentição ou é formada devido à colocação inadequada de rudimentos dentários ou devido a uma predisposição genética;

- Macro e microdentia são uma anomalia no tamanho dos dentes quando eles são muito pequenos ou muito grandes, causando assim uma incompatibilidade no tamanho dos ossos e dentições da mandíbula. Por via de regra, é hereditário.

Se os tempos de dentição de dentes individuais já chegaram, você pode usar algum tipo de estimulante de dentição. Por exemplo, em farmácias e lojas infantis, vários brinquedos de borracha grossa ou silicone são vendidos, brincando com os quais o bebê faz massagem nas gengivas e estimula a dentição.

Nota
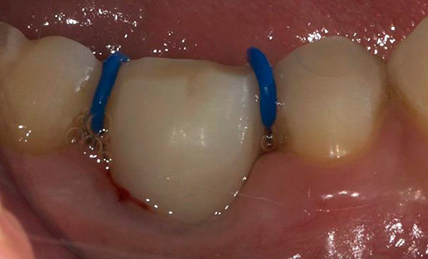
Para facilitar a erupção dos dentes de leite, os ortodontistas usam anéis de separação especiais, que são instalados no espaço entre os dentes existentes. Assim, a pressão exercida sobre o dente causa uma erupção completa. Este método pode ser usado quando a coroa estiver na metade do osso.
Se houver suspeita de atraso ou patologia de dentição temporária, entre em contato com o dentista pediátrico ou diretamente com o ortodontista.
Para esclarecer as razões, o médico pode enviar a criança para um raio-x (o estudo é realizado estritamente de acordo com as indicações, para não prejudicar o corpo da criança com radiação excessiva). Os ortodontistas, por via de regra, enviam crianças para radiografias pela primeira vez aos 4-5 anos de idade para ver como a dentição é formada e que ações podem ser tomadas agora.
Antes de tudo, o médico está interessado em saber se todos os rudimentos do leite e dos dentes permanentes estão presentes, se eles estão localizados em seus locais anatômicos, que obstáculos no caminho do dente o impedem de deixar o osso. Junto com isso, chama-se a atenção para a estrutura do seio maxilar, canal mandibular e outras estruturas importantes da região maxilofacial.
Perda prematura de dentes decíduos e quais problemas isso pode causar no futuro
Segundo muitos pais, a perda de dentes de leite não é um problema, porque, mesmo assim, eles serão substituídos por permanentes. De fato, a perda prematura de um único dente de leite pode ter sérias conseqüências e causar uma mordida anormal na criança.

É interessante
Como se costuma dizer, a natureza não tolera o vazio e, de acordo com essa lei, os dentes geralmente mudam para o espaço livre formado: por exemplo, os dentes superiores permanentes ao mover o leite podem sair do osso não estritamente para baixo, mas um pouco para o lado, tentando preencher o vazio existente.
Agora vamos ver em detalhes o que a perda prematura de dentes decíduos individuais pode ameaçar.
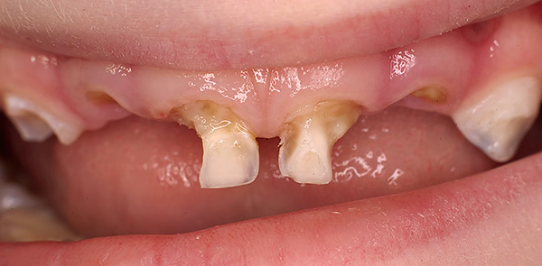
Incisivos de leite: a perda de incisivos pode fazer com que as presas se desloquem em direção ao defeito, bem como a rotação e inclinação dos dentes restantes.
Presas leitosas: De um modo geral, presas são dentes muito importantes. Em primeiro lugar, eles carregam uma carga funcional importante, têm uma raiz maciça e uma coroa com uma ponta pontiaguda, presas são projetadas para arrancar pedaços de comida. Em segundo lugar, além do importante papel funcional, as presas são importantes do ponto de vista da estética, porque estão na zona do sorriso.

Do ponto de vista da ortodontia, a perda de leite canino é um problema bastante sério, pois sempre leva ao deslocamento dos incisivos em relação à linha média da face.
Nota
A linha média do rosto, ou centro cosmético, é uma linha condicionalmente desenhada que divide o rosto de uma pessoa em duas metades. Idealmente, deve passar entre dois incisivos centrais.
A mudança do centro cosmético pode estar associada a contatos patológicos entre os dentes, sobrecarga e abrasão prematura.
Primeiros molares de leite (mastigar dentes): a perda de um molar temporário em um lado da dentição pode causar uma mudança no centro cosmético da face. Para evitar essa complicação, alguns ortodontistas oferecem a chamada remoção de equilíbrio, ou seja, a remoção do dente com o mesmo nome do outro lado da dentição (mas, a propósito, muitos pais se recusam a remover um dente saudável da criança).

As crianças com a perda do primeiro molar de leite devem estar sob a supervisão de um médico e, se a mistura da linha média da face ainda ocorrer, é melhor resolver o primeiro molar, por outro lado.
Segundos molares lácteos: quando um segundo molar é removido, existe a chance de o dente permanente se deslocar para a frente durante a dentição, formando uma mordida patológica.
Se, no entanto, a remoção de qualquer dente de leite por um motivo ou outro não puder ser evitada, é melhor entrar em contato imediatamente com um ortodontista e avaliar a necessidade de tratamento adicional. A tarefa do médico nesse caso será manter um local na dentição para a erupção normal dos dentes permanentes. Para esse fim, para a formação de uma mordida normal, são utilizados vários dispositivos removíveis e não removíveis, que permitem que novos dentes ocupem seu devido lugar.
Dentes de leite retidos
Se o cronograma de troca de dentes temporários por permanente se desvia por seis meses ou mais, isso geralmente é um sinal de algum motivo oculto que impede o processo natural de trocar os dentes de leite. Nesse caso, é recomendável consultar um médico e realizar um exame de raio-x para garantir que haja rudimentos nos dentes permanentes.

Se houver rudimentos, surge a questão de remover o antecessor do leite, o que impede a saída de um dente permanente.
Em alguns casos, a remoção deve ser feita o mais rápido possível, por exemplo:
- Os molares de leite imersos nas gengivas são um fenômeno quando um dente não atinge o dente na mandíbula oposta, permanecendo preso na gengiva. Basicamente, esses molares são os primeiros na mordida do leite com todos os dentes e depois afundam gradualmente nas gengivas. Se o molar estiver abaixo do nível da gengiva no final da formação da raiz do dente permanente, esse molar deverá ser removido (pois, caso contrário, não permitirá que o dente permanente entre em erupção normalmente). Em outros casos, os médicos deixam esses molares sob observação;
- O impacto dos molares permanentes é um fenômeno em que um molar permanente não pode entrar em erupção, pois é bloqueado por dentes temporários ou permanentes adjacentes. Você pode tentar ajudar o dente a cortar usando os anéis de separação de borracha mencionados anteriormente ou usando uma ligadura de metal, que o médico coloca no espaço gengival entre os dentes.A pressão exercida dessa maneira contribui para a saída do dente das gengivas (para criar o espaço necessário, um dos dentes que bloqueia o causador deve ser removido);

- Dentes super completos - na maioria dos casos, causam problemas de oclusão (aglomeração, diastema, ou seja, o espaço entre os incisivos centrais, bem como a inclinação e rotação dos dentes na arcada dentária). Dentes extragrandes às vezes podem ser detectados acidentalmente após um raio-x. Na dentição, os dentes supranumerários geralmente apresentam uma forma anormal e são quase sempre removidos.
A foto abaixo mostra um exemplo da presença de um dente na mandíbula:

Nota
Existem também os chamados dentes extras - em sua forma, eles se assemelham aos de um determinado grupo e, em regra, estão no final do grupo correspondente.
Se não houver rudimentos nos dentes permanentes, os dentes de leite devem ser mantidos no lugar. Nesse caso, após a fase preparatória de usar o suporte do sistema e criar um local, o paciente é substituído pela anomalia existente por um implante dentário.
Princípios de tratamento na mordida de leite
Já no estágio de formação de uma mordida de leite, pode ficar óbvio que precisa ser corrigido, porque, caso contrário, pode levar ao desenvolvimento incorreto de toda a dentição, sem mencionar as óbvias desvantagens estéticas.

Em particular, é necessário corrigir uma mordida de leite nos seguintes casos:
- com forte apinhamento dos dentes (quando não têm espaço suficiente na mandíbula, começam a crescer "aleatoriamente");
- com atraso ou falta de dentição de dentes individuais;
- em situações em que você vê que os dentes da criança ficam tortos;
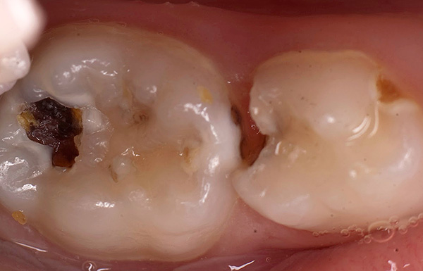
- após a remoção forçada de molares de leite ou outros dentes temporários devido a cárie e suas complicações;
... e outros
Em todos esses casos, você precisa consultar um médico, ele avaliará o estado da mordida e, se necessário, enviará a criança para a foto e, em seguida, decidirá se deve intervir nesse estágio ou se seria melhor levar a criança sob observação para não perder. hora certa de iniciar o tratamento.
Para crianças muito pequenas, um ortodontista pode oferecer um boné ortodôntico transparente (tênis) - para preservar o espaço disponível na dentição após a perda de um dente ou dentes.

Em seguida, a bandeja é substituída por um aparelho de placa com um parafuso de expansão e dentes artificiais que substituem um defeito na linha. Um exemplo é mostrado na foto abaixo:

Nota
Para melhorar a fixação de dispositivos em pequenos dentes com erupções incompletas ou em uma boca sem dentes, os ortodontistas recomendam o uso de meios especiais - géis, cremes. Eles são aplicados no sentido horário na parte do aparelho adjacente ao céu, após o que são pressionados contra o céu, e aguardam cerca de 30 segundos.
Alguns pais reclamam que os dispositivos não ajudam a corrigir a mordida do leite. E, quando questionada, a criança se recusou a usar o protetor de prato ou boca, chora e os pais, na melhor das hipóteses, colocam o dispositivo na criança por uma hora ou apenas algumas dezenas de minutos por dia. Enquanto isso, quanto mais você usar o dispositivo, mais rápido a criança se acostumará e, no futuro, se sentirá mais confortável usando um disco na boca do que sem ele.
Em uma idade mais adulta (3,4, 5 anos), você pode ensinar seu filho em um jogo a um conjunto especial de exercícios que ajudam a corrigir a mordida - os chamados mioginásticos.
Por exemplo, para normalizar o trabalho do músculo circular da boca com uma mordida aberta emergente, você pode executar os seguintes exercícios:
- Puxe os lábios, coletando-os com um tubo, e como se soprar uma vela;
- Infle as bochechas e, em seguida, pressione-as com as mãos e estique os lábios, assopre-as.
O médico seleciona um conjunto de exercícios individualmente para cada paciente, levando em consideração uma má oclusão específica.
Às vezes, em uma mordida de leite, é necessário usar equipamentos fixos, ou seja, fixar o suporte do sistema ou vários dispositivos de arco de arame em anéis feitos individualmente.

O uso de dispositivos não removíveis é necessário, por exemplo, com malformações congênitas, no caso de rotações e inclinações de dentes que não podem ser fixadas com dispositivos removíveis. E também para a correção da mordida removível, quando a criança usa dispositivos removíveis irregularmente ou se recusa a usar as placas.
Em conclusão, talvez valha a pena notar esse momento. Como hoje o tratamento ortodôntico é bastante caro, muitos pais preferem não fazer nada, esperando que o problema com os dentes da criança em crescimento se resolva. Portanto - uma decisão semelhante dos pais pode causar problemas sérios para uma criança em idade adulta, começando com problemas de mastigação e fala e terminando com baixa auto-estima, isolamento e depressão (quando uma criança anda com os dentes tortos por anos e fica com vergonha de até sorrir - isso deixa sua marca às vezes pelo resto da minha vida).

Ao mesmo tempo, até mesmo problemas muito graves de oclusão podem ser corrigidos rápida e qualitativamente em uma mordida de leite, mas apenas se os pais (e a própria criança) estiverem seriamente interessados e sintonizados com o tratamento. E é melhor prestar a devida atenção a esse problema no estágio inicial, durante a mordida de dentes temporários, para que no futuro a criança não tenha problemas desnecessários a esse respeito.
Saúde para você e seus filhos!
Vídeo interessante: como preparar uma criança para um dentista
Sobre o momento da dentição nos bebês













