
Em termos simples, a mordida distal é tal má oclusãoem que os dentes do maxilar superior estão fortemente avançados para a frente em relação aos dentes do maxilar inferior. Bem, como expresso na linguagem dos ortodontistas, uma mordida é considerada distal, na qual os primeiros molares da mandíbula superior e inferior se fecham na segunda classe de Engle, ou seja, a mandíbula inferior com tamanho reduzido fica atrás da mandíbula superior dominante.
De um modo geral, esse arranjo das mandíbulas não é tão raro e ocupa cerca de 30% da prevalência entre a população européia da Terra.
Vejamos, qual é, de fato, a mordida distal ruim, quais são as razões de sua aparência e também se é necessário lidar com a prevenção do desenvolvimento da mordida distal e do tratamento, se já se formou ...
Tipos de mordida distal e problemas criados por ela
Antes de tudo, deve-se ter em mente que as mordidas distais são, por assim dizer, diferentes - respectivamente, e os problemas em pessoas com essa anomalia também diferem.
Ao diagnosticar uma oclusão distal, os ortodontistas distinguem duas subclasses: a diferença se deve à posição dos dentes da frente, ou seja, os incisivos, e a inclinação dos incisivos geralmente afeta muito o curso das patologias e táticas de tratamento do paciente.
Assim, por exemplo, durante a primeira subclasse da mordida distal ou, como também é chamado, o tipo horizontal da mordida distal, os incisivos da mandíbula se apoiam com suas arestas de corte nas superfícies palatais dos incisivos superiores, que, por sua vez, estão inclinados em direção ao lábio superior.

No grau 2, subclasse 2 ou, em outras palavras, o tipo vertical da mordida distal, as bordas cortantes dos incisivos inferiores encostam-se ao tubérculo palatino dos incisivos superiores, enquanto os incisivos centrais superiores são inclinados para a cavidade oral. Às vezes, os dentes superiores da frente descansam contra a gengiva, resultando em trauma (mordida traumática).

A inclinação dos incisivos afeta não apenas o formato do rosto da pessoa, que pode eventualmente ficar longe do normal, mas também nos problemas específicos que frequentemente acompanham a mordida distal.
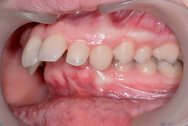
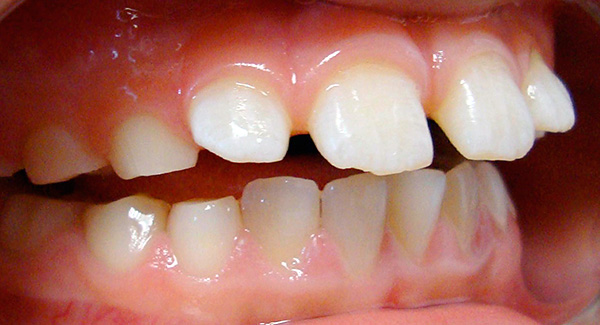
Por exemplo, a formação de uma mordida aberta na seção anterior (a primeira subclasse da classe II), ou seja, quando os dentes superiores dianteiros se projetam para a frente, leva a uma pronúncia sonora prejudicada, dificuldade em comer e, às vezes, a problemas com o trato gastrointestinal.
A foto abaixo mostra um exemplo de mordida aberta:

Na segunda subclasse da classe II, a situação é oposta: uma mordida profunda é formada na seção anterior, ou seja, os dentes superiores dianteiros afundam no interior. Os pacientes observam coceira, em alguns casos, as crianças reclamam de uma lesão causada pelos incisivos inferiores em contato com o palato mole - essas feridas não cicatrizam por muito tempo, pois os tecidos moles são constantemente lesionados ao mastigar.

Entre outros problemas comuns que acompanham a mordida distal, os pacientes observam problemas com a articulação temporomandibular (ATM): existem dores ao abrir a boca, dores na mastigação, dores de cabeça, trituração e cliques na articulação. Esses distúrbios articulares ocorrem devido à posição inadequada da cabeça da mandíbula na fossa articular, compressão dos ligamentos articulares e sobrecarga dos músculos mastigatórios. Com o tempo, na ausência de tratamento adequado, os sintomas podem progredir, forçando uma pessoa a recorrer à administração regular de analgésicos.
A recessão gengival e os defeitos em forma de cunha também são conseqüências freqüentes de uma mordida distal: devido à posição inadequada dos maxilares e dentes, ocorre uma sobrecarga involuntária do aparelho mastigatório e uma perda compensatória do tecido gengival mole. Por sua vez, tudo isso leva à sensibilidade dos dentes ao escovar, ao ingerir alimentos frios, ácidos e sólidos.
Na foto - recessão gengival na base dos dentes inferiores:

Nota
Uma conseqüência desagradável da longa presença de uma mordida distal, especialmente na infância, é o desenvolvimento de problemas psicológicos - em particular, baixa auto-estima: a criança é tímida devido à falta de dentes em pé, tem medo de sorrir. Na ausência de tratamento adequado oportuno (correção da oclusão), esses problemas psicológicos podem acompanhar uma pessoa no futuro ao longo de sua vida adulta.
Além disso, com o tempo, se a mordida distal não for tratada, complicações como abrasão prematura dos dentes, mobilidade patológica e perda prematura às vezes são observadas.
Como o rosto de um paciente pode mudar devido a uma mordida distal (características faciais)
Com o desenvolvimento de uma mordida distal, o rosto de uma pessoa geralmente passa por alterações apropriadas, e não para melhor. No entanto, essas alterações são amplamente reversíveis: após o tratamento, o perfil da face na maioria dos casos retorna a um estado próximo da norma fisiológica - em outras palavras, a pessoa começa a parecer mais bonita (isso é claramente visível ao comparar fotografias antes e após o tratamento da mordida distal).

Portanto, isso geralmente dá uma mordida distal imediatamente ao olhar para o rosto de uma pessoa:
- O perfil côncavo é o chamado "rosto de pássaro". Isso ocorre devido ao fato de a mandíbula inferior estar na posição traseira em relação à superior, como resultado da criação de um degrau visível entre o lábio superior e a base do queixo. A foto abaixo mostra um exemplo desse perfil:

- Dependendo das inclinações dos incisivos, o lábio superior com uma mordida distal pode avançar para a frente quando o lábio inferior é retardado e esticado, ou o lábio superior pode ficar preso com o lábio inferior levemente estendido para a frente. A segunda opção é compensar uma mordida aberta na parte anterior da dentição, quando o paciente, na presença de uma fissura sagital (o espaço entre os dentes da mandíbula superior e inferior), é forçado a forçar o lábio inferior para fechar a boca;
- Um sinal característico da picada distal também pode ser uma dobra intensa pronunciada do queixo - com uma fissura sagital média e grande (3-6 mm ou mais), a dobra do queixo está constantemente em tensão com a boca do paciente fechada.
Nota
Às vezes, para uma compreensão completa do quadro clínico e da construção das táticas de tratamento, o ortodontista pode realizar testes clínicos específicos, por exemplo, o teste de Ashler-Bitner, que permite determinar qual dos maxilares é "culpado" pela mordida anormal.
Para o teste, o médico lembra ou fotografa o perfil do paciente em repouso e, em seguida, pede para empurrar a mandíbula para frente, para a posição fisiológica dos primeiros molares. Se o perfil da face melhorar, a causa da formação da mordida distal é o subdesenvolvimento e a posição inadequada da mandíbula inferior, e se o perfil piorar, o déficit de crescimento da mandíbula superior causa um problema. Se o perfil da face melhorar primeiro e depois piorar, a mordida distal é causada por um desequilíbrio no crescimento das duas mandíbulas.
Razões para a formação da patologia
Vamos ver por que ocorre uma mordida distal - o que faz com que a posição dos maxilares e da dentição comece a se desviar da norma.
- As doenças endógenas transportadas por uma criança na primeira infância podem levar ao desenvolvimento de uma mordida distal. Por exemplo, o raquitismo causa alterações nas estruturas ósseas de todo o organismo, influenciando bastante o processo de seu desenvolvimento. Portanto, a mandíbula inferior em crianças submetidas ao raquitismo geralmente é reduzida em tamanho, em comparação com a norma. A imagem mostra a chamada mordida instável (aberta);

- Doenças da nasofaringe, aumento das amígdalas faríngeas, resfriados freqüentes, curvatura do septo nasal - tudo isso faz a criança respirar pela boca, o que, por sua vez, afeta diretamente a oclusão formada. Devido à respiração oral frequente, a mandíbula superior e inferior são deslocadas na direção anteroposterior, a língua afunda no fundo da cavidade oral, criando uma mordida aberta na parte anterior e uma mordida distal na área lateral da dentição;
- Lesões na região maxilofacial: quedas, golpes fortes na face da criança durante o período de crescimento ativo podem desacelerar ou até atrapalhar o desenvolvimento dos ossos da mandíbula, principalmente a mandíbula. Como o tecido ósseo em crianças ainda é bastante mole, mesmo um golpe insignificante do ponto de vista de um adulto pode fazer com que a mandíbula se mova para sua posição posterior e reduza seu tamanho relativo em um futuro próximo com a formação de uma mordida distal;
- Maus hábitos - sustentar o queixo com o punho, chupar um dedo, lápis e outros objetos estranhos. Se esse é um processo repetitivo involuntário diário, torna-se um tipo de força ortodôntica direcionada "na direção errada". Em particular, isso faz com que a mandíbula se mova gradualmente para trás sob a influência da pressão, enquanto, entre outras coisas, é formada uma mordida aberta: os dentes da frente da mandíbula superior e inferior se inclinam para os lábios, uma fissura sagital aparece;


- Não devemos esquecer o fator da hereditariedade - a mordida, como outras características fenotípicas (cor dos olhos, cor do cabelo), é herdada pela criança dos pais. Às vezes, a incompatibilidade no tamanho das mandíbulas se deve ao fato de uma mandíbula se desenvolver como a de um pai e a outra - como a mãe;
- A extração dos dentes na infância devido à cárie e suas complicações provoca o deslocamento dos dentes adjacentes em direção aos removidos, porque a natureza não tolera o vazio. Assim, às vezes grupos inteiros de dentes são deslocados para substituir o espaço aparecido. Para evitar esse fenômeno (e se você ainda precisar remover o dente), o dentista pediátrico envia a criança ao ortodontista para fabricar um aparelho especial que economiza espaço para mais erupções nos dentes permanentes;

- O desmame tardio do mamilo também pode causar uma mordida distal. O reflexo de sucção na infância contribui para o crescimento e desenvolvimento da mandíbula inferior, mas se o mamilo durar mais de 1 a 1,5 anos, já começará a causar danos. A mandíbula inferior enquanto chupa os mamilos se move para trás, sob a ação dos lábios e da língua, os dentes da frente da mandíbula superior se inclinam para a frente, formando uma mordida aberta;
- A presença de alimentos excepcionalmente macios na dieta da criança leva a uma diminuição no tamanho das mandíbulas, porque a dentição da criança não experimenta a carga adequada, necessária para estimular o crescimento e o desenvolvimento dos ossos da mandíbula. Como resultado, há um estreitamento e achatamento dos maxilares, especialmente o maxilar inferior.
Princípios para o tratamento da oclusão distal em crianças
Uma maneira muito eficaz de tratar uma mordida distal em crianças é a mioginástica - desde que a criança realize exercícios regularmente.
O primeiro exercício com mioginástica: você precisa empurrar a mandíbula para frente para que os incisivos inferiores se sobreponham aos superiores. Nesta posição, você precisa segurar a mandíbula por alguns segundos. O exercício é realizado até que os músculos estejam cansados.

O segundo exercício: levante a língua para entrar em contato com as superfícies palatinas dos dentes superiores.
Em combinação com o uso de dispositivos removíveis especiais, o tratamento de uma mordida distal pode ser bastante reduzido em termos de tempo, e o resultado alcançado será o mais estável possível. Por exemplo, em uma mordida removível precoce (leite), dispositivos removíveis com um parafuso são usados para expandir e controlar o crescimento de ambas as mandíbulas. Um exemplo de um desses aparelhos é mostrado na foto abaixo:

O médico também pode sugerir que a criança use uma tala de silicone para mandíbula dupla que relaxa os músculos e empurra a mandíbula para a posição correta para a frente. Tais dispositivos incluem treinadores, ativadores lineares.
Nota
Aparelhos ortodônticos removíveis são eficazes tanto na mordida do leite quanto durante a troca de dentes. Por exemplo, com uma mordida distal em uma criança de 10 anos de idade, o uso de treinadores, corretores e outros pneus de silicone pode servir como uma preparação para o estágio do tratamento ortodôntico ativo do sistema de braquetes, reduzindo assim o período de uso do aparelho.
Os dispositivos removíveis são capazes de exercer o efeito terapêutico necessário apenas com a estrita observância do regime de uso prescrito pelo médico. Assim, por exemplo, o modo de uso de dispositivos de silicone geralmente é de 2 horas durante o dia e a noite toda.

Na idade relativamente "adulta" da criança (8 a 10 anos), os ortodontistas usam dispositivos como o Twin block - este é um sistema composto por duas placas que, formando um bloco entre si, empurram a mandíbula para a frente.
Nota
Para a fabricação de aparelhos com blocos emparelhados, além de tomar moldes, o estágio de determinação de uma mordida estrutural é importante. Para fazer isso, o médico pede ao paciente que empurre a mandíbula para a frente até que a condição de primeira classe seja atingida nos molares. O ortodontista corrige essa posição usando padrões de mordida de cera ou usando material de silicone. Em seguida, esses modelos, juntamente com os modelos, são enviados ao laboratório para a fabricação do aparelho.

Às vezes, o ortodontista prefere fixar parcialmente o aparelho nos dentes permanentes já em erupção: o sistema de suporte permite alinhar a dentição e colocar os dentes na posição correta. No sistema de braquetes, é mais conveniente mover os 6º e 7º dentes com a ajuda das molas para a posição traseira - distalize-os para a posição Angle class I (conforme a norma).

Em crianças e adultos nos estágios finais do tratamento da mordida distal, se a posição correta da mandíbula inferior não for alcançada, o ortodontista pode sugerir o uso do aparelho de Herbst e suas modificações. Este aparelho consiste em dois módulos de mola: a parte superior do módulo é fixada nos 6os dentes da mandíbula superior e a parte inferior é fixada no canino ou no pré-molar da mandíbula. As molas empurram a mandíbula inferior para a frente, enquanto a mandíbula superior se move levemente para a posição traseira.

Tratamento para oclusão distal em adultos
Nos adultos, dependendo da gravidade da patologia, vários estágios do tratamento ortodôntico da mordida distal podem ser distinguidos. A primeira etapa é a preparação para a fixação de equipamentos ativos (sistema de suporte). Para reduzir o tempo de tratamento dos aparelhos, além de alcançar um resultado estável e esperado, os ortodontistas iniciam o tratamento com a fixação de vários dispositivos de estrutura.
Por exemplo, o Distal Jet é bastante popular hoje:


Esse aparelho ortodôntico permite mover os primeiros molares da mandíbula superior para a posição traseira, até que a proporção dos molares na primeira classe Angle, ou seja, a norma, seja alcançada.
Os elementos estruturais incluem:
- Anéis pré-arranjados pelo médico para molares e pré-molares;
- Arco palatino - elementos do arco que vão dos anéis nos pré-molares ao centro da coroa das presas. Assim, é criada a estabilização do segmento anterior da mandíbula superior e a possível extensão dos dentes anteriores;
- O botão Nanase é um elemento de placa da base adjacente ao meio do céu e, com o ajuste correto do dispositivo, 0,5 mm atrás dele;
- Além de dois módulos de molas que realizam a distalização dos molares.
Nota
Dispositivos deste tipo são fabricados individualmente, de acordo com o modelo das mandíbulas do paciente no laboratório odontológico.O médico recebe o design final no modelo da mandíbula, encaixa-o na cavidade oral do paciente e o ajusta, se necessário, para que o dispositivo fique corretamente e maximamente desempenhe sua função. Em seguida, o médico fixa os anéis nos dentes com cimento dental.
Os termos de uso deste dispositivo, em média, são de três a seis meses. Em seguida, o ortodontista fixa o arco palatino nos primeiros molares para manter a posição alcançada, e o sistema de braquetes é fixado nos dentes restantes, o que, de fato, completa o tratamento iniciado.

Ao corrigir uma mordida distal, o primeiro e o segundo molares podem ser deslocados sem os dispositivos indicados, usando as chaves imediatamente. Para fazer isso, na fase de fixação dos dentes em arcos retangulares, o médico amarra rigidamente os dentes com uma ligadura de metal e coloca uma mola entre 6 e 7 dentes. As molas são substituídas por molas mais fortes a cada 2-3 semanas.
Outra maneira eficaz de distalização dentária é o uso do arco facial com a tipóia e a tração palatina. O paciente usa o arco facial por 2-3 horas por dia e à noite.
A foto abaixo mostra um exemplo dessa correção:


Para definir a mandíbula inferior na posição frontal usando tração elástica intermaxilar. Se as recomendações do médico forem seguidas, o resultado poderá ser alcançado em cerca de 3-4 meses de tratamento.

Se não foi possível alcançar o resultado desejado após a nomeação da tração maxilar, o médico corrigiu o aparelho de Herbst descrito acima.
Com um grau severo de mordida distal, quando sua causa está nas anomalias fortemente expressas do desenvolvimento e correlação dos ossos da mandíbula, é preciso recorrer à ajuda do cirurgião maxilofacial e corrigir a mordida cirurgicamente. Se o paciente concordar com a cirurgia, o ortodontista, juntamente com o cirurgião, elabora um plano conjunto para preparar o paciente para cirurgia e reabilitação no pós-operatório.
Em vários fóruns hoje em dia, muitas vezes é possível encontrar disputas sobre concordar ou não com essa operação. As pessoas frequentemente criticam o plano de tratamento proposto para outras pessoas, esquecendo que o plano de tratamento de um paciente em particular é elaborado pelo ortodontista com base no histórico médico, na gravidade da doença e no resultado que o paciente procura.
Nota
Nesse caso, estamos falando da operação ortognática, que é realizada na sala de operações. O cirurgião faz uma incisão nos tecidos moles para expor o osso subjacente e, em seguida, o osso é serrado e estendido para a posição desejada, após o que a mandíbula é fixada em uma nova posição com a ajuda de placas de metal feitas de níquel-titânio. No hospital, o paciente passa de 5 dias a uma semana para monitorar a condição.
Apesar da descrição aparentemente bastante assustadora, na realidade, uma operação ortognática é hoje um procedimento bem estabelecido e não perigoso.


Se, com um grau severo de mordida distal, o paciente discordar totalmente da fase cirúrgica do tratamento, o ortodontista corrigirá a mordida apenas parcialmente: para que os arcos dentários sejam uniformes. No entanto, a posição dos ossos da mandíbula em relação à base do crânio permanece inalterada neste caso, ou seja, o perfil do rosto do paciente não muda.
Como impedir o desenvolvimento de uma mordida distal
Para evitar a formação de uma mordida distal, é necessário, em primeiro lugar, monitorar o desenvolvimento da criança desde a primeira infância. Em tempo oportuno, evite que ele use um mamilo, chupe um dedo, apoie o queixo com o punho, introduza frutas e legumes frescos (e, portanto, bastante difíceis) na dieta. Corrija outros maus hábitos.
Não inicie a condição dos dentes de leite, acreditando que, como são temporários, não é necessário tratá-los - na verdade, pelo contrário, eles precisam ser tratados em tempo hábil para que não haja problemas com os dentes permanentes.Uma tarefa importante é preservar os dentes de leite até sua mudança natural, sem levar à sua remoção devido a cárie ou pulpite.

Também é útil visitar o ortodontista para controlar o crescimento e desenvolvimento da dentição em geral.
Então, para resumir. A mordida distal é uma patologia muito comum da população da Europa e da parte européia da Rússia. O estado do sistema dentofacial formado por uma mordida distal requer tratamento, e você não deve pensar que, se não intervir, não haverá nada de errado e tudo de alguma forma "resolverá". Infelizmente, isso não vai resolver.
No futuro, uma mordida distal não corrigida pode causar uma violação da função da articulação temporomandibular (dores de mastigação, dores de cabeça regulares), abrasão anormal dos dentes (não haverá nada para mastigar na velhice) e, em alguns casos, pode causar perda precoce de dentes e problemas psicológicos. Além disso, muitas pessoas com uma mordida distal nem percebem que poderiam parecer mais atraentes se o perfil do rosto não tivesse sido distorcido pela má oclusão.
Portanto, se você perceber sinais de um problema em si ou no seu filho, não perca tempo, é melhor resolvê-lo nos estágios iniciais.
Seja saudável!
Quais são as consequências de uma má oclusão?
Um vídeo interessante sobre as causas da má oclusão







Obrigada Tudo está muito claro. Encontrou respostas para todas as suas perguntas!