
O tratamento ortodôntico moderno é todo um complexo de medidas destinadas a normalizar a mordida do paciente, tanto do ponto de vista da restauração de toda a função da mastigação quanto do ponto de vista estético. O papel mais importante é desempenhado por dispositivos especiais que o ortodontista usa para corrigir a mordida.
Aos 12-14 anos, durante o período de oclusão dos dentes temporários, bem como sua substituição por dentes permanentes, os médicos usam uma variedade de aparelhos ortodônticos removíveis e fixos, que permitem não apenas mover os dentes para a posição desejada, mas também (importante) para expandir o tamanho da mandíbula uma criança A necessidade de aplicar esse ou aquele desenho depende do tipo específico de oclusão do paciente, e os aparelhos ortodônticos são usados não apenas para tratar as anormalidades existentes, mas também para evitar a formação de uma oclusão anormal e consolidar os resultados alcançados do tratamento.
Então, vamos dar uma olhada nos dispositivos de correção de mordida mais frequentemente usados na prática ortodôntica hoje ...
Dispositivos para prevenir a formação de oclusão anormal em crianças
Já na infância, começa a formação ativa do sistema dentofacial - o desenvolvimento e o crescimento dos maxilares ocorrem devido ao ato natural de sugar. No entanto, existem vários fatores que podem ter um impacto negativo nesse processo, o que é importante para a mordida futura.

Por exemplo, a alimentação artificial conduzida incorretamente, que por um motivo ou outro é recorrida pelos pais, bem como o sono de uma criança, principalmente de apenas um lado, contribui para a ocorrência de desvios.
Para minimizar o impacto negativo da alimentação artificial no desenvolvimento da dentição dos dentes, foi inventado um mamilo ortodôntico especial para a mamadeira (na verdade, esse mamilo é o dispositivo ortodôntico mais simples para evitar a formação de má oclusão no futuro).
A foto abaixo mostra um bico ortodôntico de silicone para uma garrafa:

Em forma, o produto se assemelha ao mamilo da mãe e cria condições ideais para alimentação conveniente e sucção adequada (portanto, esses mamilos também são chamados de anatômicos). Os bicos vêm em vários tipos - dependendo da idade do bebê e da natureza dos alimentos.
Tamanhos padrão:
- 1º - de 0 a 6 meses;
- 2º - de 6 a 18 meses;
- 3º - após 18 meses.
Número de furos:
- Um - até 2 meses;
- Dois furos - a idade de 2-3 meses;
- 4 furos - para atingir 6 meses de idade.
Diâmetro do furo:
- S - um pequeno orifício para alimentos líquidos (suco, leite, água);
- M é o orifício do meio para misturas de leite seco;
- L - Para alimentar alimentos espessos (sopas, cereais).
Da prática de um ortodontista
Deve-se ter em mente que os bicos das garrafas podem ser feitos de látex ou de silicone. Se você suspeitar de uma reação alérgica em resposta ao uso de mamilos de látex, o ortodontista aconselhará principalmente um mamilo de silicone. Sinais de alergia no bebê são prurido, vermelhidão da mucosa oral, ansiedade durante a alimentação e recusa em comer. Por via de regra, a propensão a certas reações alérgicas é herdada dos pais para a criança - preste atenção ao escolher um mamilo.
Os dispositivos mais simples para a prevenção da má oclusão em crianças também incluem chupetas ortodônticas (veja o exemplo na foto abaixo):

Esse mamilo fornece um efeito terapêutico:
- Estimula o crescimento da mandíbula superior, bem como a formação do arco do palato;
- Fornece a configuração do idioma na posição correta;
- Promove a formação de uma mordida fisiológica.
Contra-indicações ao uso de chupeta ortodôntica são os defeitos congênitos da crista e do palato alveolar.
Os ortodontistas recomendam o uso de chupetas até o primeiro dente temporário irromper e, gradualmente, começam a afastar a criança desse hábito. 12 a 18 meses é o prazo para o uso desses dispositivos e, após um ano e meio, a sucção de vários objetos, incluindo chupetas, contribui para a formação de oclusopatias.
Na prática, é bastante difícil separar uma criança de um manequim por conta própria; portanto, se necessário, você pode consultar um médico para selecionar dispositivos de substituição - por exemplo, várias modificações dos escudos vestibulares em homenagem aos seus inventores (por exemplo, o escudo vestibular Kerbitz). Os escudos vestibulares são projetados para treinar os músculos circulares da boca, bem como para combater os maus hábitos de chupar dedos, lábios, bochechas e objetos estranhos.

Os escudos podem ser usados em crianças de um ano até o início da mudança de dentes temporários para permanentes.
Tal aparelho se encaixa perfeitamente nas superfícies labiais dos dentes, normaliza seu fechamento, melhora a respiração, ensinando uma criança a respirar pelo nariz. Além disso, o escudo vestibular ajuda a impedir o desenvolvimento de uma mordida aberta (desde que os dentes estejam localizados nas partes laterais da dentição).
Nota
Contra-indicações ao uso de escudos vestibulares são o hábito de colocar a língua entre os dentes, a disfunção da língua, bem como a impossibilidade ou dificuldade grave da respiração nasal.
Os dispositivos removíveis para corrigir e prevenir a má oclusão em crianças também incluem instrutores ortodônticos (instrutores). Os treinadores são bonés de silicone que lembram o boxe, têm um tamanho padrão e os seguintes recursos de design:
- Escudo vestibular;
- Escudo oral;
- Orifícios de ar para o período de adaptação;
- Língua;
- Spikes.


O mecanismo de ação de um desses aparelhos para a normalização da oclusão é o seguinte:
- O dispositivo relaxa os músculos do sistema dentofacial e contribui para sua reestruturação adequada na presença de patologias;
- Ajuda a eliminar maus hábitos (por exemplo, chupar os dedos com frequência é um péssimo hábito para uma mordida);
- Impede a colocação da língua entre os dentes (caso contrário, também causaria um forte efeito negativo na formação da mordida na criança);
- Fornece restrição do crescimento da mandíbula superior na seção anterior;
- Corrige a posição do idioma.
A idade padrão de uma criança para usar um aparelho ortodôntico é de 2 a 5 anos. As indicações mais freqüentes para o uso são as anormalidades de classe II de ângulo (a chamada mordida distal, quando os dentes da mandíbula estão fortemente avançados para a frente em relação à inferior), especialmente com uma tendência a abrir a mordida (ou seja, quando a dentição não pode fechar completamente - existe um espaço entre eles).

Além disso, o dispositivo pode ser usado para corrigir uma mordida em crianças com queixa de dor na articulação temporomandibular (ATM).
Nota
O modo de uso dos treinadores ortodônticos é de 2 horas durante o dia e a noite toda. Na primeira semana, é permitido usar o dispositivo por 15 a 20 minutos por dia e removê-lo. Aumente gradualmente o tempo de uso e tente adormecer com um protetor bucal. Uma criança pode cuspir reflexivamente em um sonho - isso é normal, e se você continuar a usá-lo, o bebê se acostumará gradualmente.
Várias modificações de treinadores para o tratamento de mordidas profundas e abertas também são usadas em adultos.
Dispositivos removíveis terapêuticos para correção de mordidas
Há um grande número de variedades de aparelhos ortodônticos removíveis usados para tratar a má oclusão. A escolha de um método de tratamento específico depende da situação clínica específica, da experiência e das habilidades do médico, bem como da disposição do paciente em cumprir com a prescrição do médico.

Durante o período de uma mordida removível dos dentes, o tratamento das anomalias de oclusão visa principalmente modificar o crescimento dos maxilares e criar condições favoráveis para a erupção dos dentes permanentes. A expansão do atraso no crescimento da mandíbula pode ser alcançada em dispositivos fixos removíveis e fixos na boca.
Em seguida, considere os projetos mais usados.
Máquinas de dentes passivos
A peculiaridade desse grupo de aparelhos ortodônticos é que o efeito terapêutico é realizado treinando os músculos da região maxilofacial em combinação com a extensão forçada da mandíbula (ou língua) até a posição desejada.
Para corrigir o crescimento (expansão) da mandíbula superior e o alinhamento dos dentes na seção anterior, por exemplo, uma placa na mandíbula superior com molas em expansão se destina:

O dispositivo consiste em:
- Base lamelar;
- Molas no meio;
- Elementos de suporte e retenção - grampos;
- Arco de metal nos dentes da frente.
O mecanismo de ação de tal prato:
- Expansão da mandíbula superior na frente;
- Estimulação do crescimento da base apical da mandíbula superior.
Idade de uso: mordida temporária e removível dos dentes.
Além disso, uma placa para a mandíbula superior com empurradores de mola é freqüentemente usada para definir a posição desejada dos dentes individuais (por exemplo, se os incisivos da mandíbula superior estiverem localizados atrás dos incisivos da mandíbula inferior).
Um exemplo é mostrado na foto abaixo:

Mecanismo de ação:
- A placa permite inclinar este ou aquele dente na direção da cavidade oral;
- Você pode girar o dente em torno de seu eixo pelo ângulo desejado;
- O aparelho também permite que os dentes da frente sejam movidos em direção à cavidade oral.
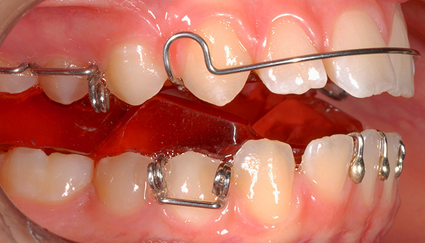
Uma mordida anormal profunda, por via de regra, é combinada com patologias nas partes laterais dos maxilares (classe II e III da oclusão de Engl, correspondendo a mordidas distais e mesiais). Para corrigir essas patologias, são utilizados dispositivos de placa de garra dupla.
Por exemplo, o ativador Klammt do segundo ou terceiro tipo para o tratamento da mordida distal e mesial:

O design inclui:
- Blindagem na área dos dentes posteriores para alongar e relaxar os tecidos moles das bochechas;
- Almofadas oclusivas nas superfícies mastigatórias dos molares para separar a dentição;
- Arco palatino - um fio de metal no meio adjacente ao palato (para expandir a mandíbula superior);
- Molas que se prolongam sob os dentes anteriores superiores (a força das molas empurra os dentes para frente);
- Arco nos dentes da frente.
O mecanismo de ação do ativador Klammt é devido à implementação dos seguintes efeitos ao usar o dispositivo:
- Extensão da mandíbula inferior;
- Inclinação dos incisivos inferiores em direção aos lábios;
- Encurtando a frente da mandíbula;
- Alongamento dos maxilares laterais.
Indicações de idade: mordida temporária, intercambiável e permanente (durante o período de crescimento ativo dos maxilares). Uma contraindicação ao uso desse aparelho ortodôntico é a ausência de presas.
Também vale a pena notar o dispositivo removível de duas mandíbulas atualmente bastante popular com blocos emparelhados (dispositivo de "bloco duplo"):


Esse design é popular entre os ortodontistas na Rússia e no exterior - o motivo dessa popularidade é a rápida adaptação da criança a ele. O dispositivo consiste em duas placas removíveis que se encaixam na área das placas laterais - este é o nome do dispositivo (blocos de plástico emparelhados são interconectados durante o uso). Assim, a fixação da mandíbula inferior e sua extensão para uma posição normal.Uma característica é que, durante o processo de tratamento, o médico pode adicionar plástico para aumentar a altura das compressas.
Máquinas de dentes ativos
Os dispositivos de dentição ativos amplamente utilizados para correção de mordidas são placas nas quais existe um parafuso ativo para expandir as mandíbulas e, se necessário, o médico pode adicionar quaisquer elementos inerentes aos dispositivos passivos ao projeto.

O parafuso é ativado pelos pais ou pela criança de forma independente (com uma chave especial, inserida nos orifícios no tambor do parafuso).
Nota
Se a criança for esfregada por um prato ou ocorrer um colapso, tente marcar uma consulta com o médico o mais rápido possível. Se você simplesmente parar de usar o dispositivo, ele rapidamente deixará de se encaixar normalmente nos dentes. Como resultado, você terá que pegar os modelos novamente e fazer o design novamente. Isso se deve ao fato de a criança estar crescendo rapidamente e, como resultado, os elementos de alívio da cavidade oral estão mudando rapidamente seu padrão e tamanho. É importante que esse crescimento ativo seja direcionado pelo dispositivo na direção certa, a fim de obter o máximo benefício para a futura mordida permanente.
Máquinas de reparo de mordidas extra-orais
Os aparelhos ortodônticos extra-orais para correção oclusal são um tipo especial de dispositivos médicos que possuem os seguintes componentes em seu design:
- Elementos especiais de arco metálico fixados nos orifícios dos anéis ortodônticos previamente fixados nos molares da mandíbula superior;
- Além de pressionar os módulos de força elástica.
Os dispositivos extra-orais podem ser usados independentemente para correção da má oclusão e como estágio preparatório para o tratamento no sistema de braquetes, ou durante a fase ativa do tratamento nos braquetes.
Os elementos de força e suas partes de fixação são fixados no rosto do paciente (pescoço, região parieto-occipital, testa). As partes do arco facial podem ser removidas - o médico ensina essa criança e seus pais.
Por exemplo, a foto abaixo mostra a aparência da chamada funda do queixo:

O design da funda do queixo inclui uma bandagem de pressão feita de um tecido denso (ou plástico), um boné de cabeça e tiras de conexão.
Indicações para usar esse dispositivo:
- Aumento do tônus muscular, empurrando excessivamente a mandíbula para frente (ou seja, se houver uma tendência a formar uma mordida mesial);
- E também quando a taxa de crescimento da mandíbula inferior prevalece sobre a taxa de crescimento da mandíbula superior;
Idade de uso da tipóia do queixo: mordida intercambiável e permanente dos dentes.
Outro tipo de dispositivo ortodôntico extra-oral para correção da mordida é uma máscara facial:


O design da máscara facial inclui:
- Almofadas de apoio (no queixo e na testa);
- Parafusos de fixação;
- Armação de metal.
Mecanismo de ação:
- Esticar a mandíbula superior para a frente;
- Alterando a proporção vertical dos dentes da frente.
Indicações para uso de máscara facial ortodôntica:
- Subdesenvolvimento ou posição posterior da mandíbula superior;
- Mordida mesial devido à posição anterior do queixo.
A máscara facial é usada para corrigir a mordida durante o período de uma mordida permanente temporária, intercambiável e formadora (que corresponde à idade da criança 4-6 e 9-12 anos).
O próximo tipo de dispositivo extra-oral para correção da oclusão em crianças é o arco facial ortodôntico:

Consiste em uma parte do dente intra-oral, fixada em um tubo adaptado para esse fim, e uma parte frontal extra-oral, nas extremidades, nas quais existem ganchos para fixação da tração elástica com um batente no pescoço.
O arco frontal é feito em três tamanhos padrão - pequeno, médio e grande.
Opções de direção de empuxo:
- Occipital - a tampa do tipo de tipoia é fixada na coroa da cabeça;
- Cervical (com foco cervical) - é fixado na parte de trás do pescoço;
- Tração combinada.
Mecanismo de ação:
- Graças ao arco facial, o crescimento da mandíbula superior é atrasado;
- Os molares superiores são estadiados de acordo com a classe I de Engle (ou seja, na posição fisiológica ideal);
- Os dentes da frente são inclinados em direção à cavidade oral.

Indicações clínicas de uso - a segunda classe de oclusão de Engl (ou seja, uma mordida distal quando os dentes da mandíbula superior estão fortemente avançados).
A idade de uso do dispositivo é uma mordida permanente removível e em formação.
O regime para o uso de aparelhos ortodônticos extra-orais deve idealmente ser de 14 a 16 horas por dia. A duração do tratamento é de vários meses a um ano ou mais.
É interessante
Ao observar o modo adequado de usar dispositivos extraorais, eles são reconhecidos como muito eficazes e, em muitos casos, seu uso evita a fixação de aparelhos. Nos Estados Unidos, as crianças costumam frequentar a escola em dispositivos - isso é considerado bastante normal e não causa uma reação negativa nas pessoas. Na Rússia, é improvável que seja possível encontrar hoje crianças com desenhos semelhantes.
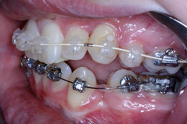
Estruturas fixas para correção de mordidas
Este grupo de dispositivos inclui várias versões dos conhecidos sistemas de braçadeiras, devido aos quais a mordida é gradualmente alinhada, bem como estruturas de estrutura para expandir as mandíbulas, que são fixadas em anéis molares.
Vale mencionar separadamente os princípios de auto-ajuda e dieta ao usar aparelho.

Portanto, existem vários problemas que quase todos os pacientes com aparelho ortodôntico enfrentam de uma maneira ou de outra:
- O arco começa a esfaquear, deixando as travas nos últimos dentes. Isso se deve ao fato de o arco endireitar ao longo do tempo a sua posição original, pois os dentes tomam o lugar certo. Se isso acontecer, você precisa ligar para o médico e explicar o que exatamente aconteceu - o médico o convidará a cortar as extremidades do arco. Se não houver como chegar rapidamente ao seu médico, você pode fechar temporariamente a ponta do arco com uma cera ortodôntica especial. Essa cera é vendida em farmácias, bem como em lojas on-line;
- O arco saiu do último castelo. Nesse caso, você pode tentar preencher cuidadosamente o arco com pinça. Ou use cera e cole essa parte do arco para não ferir a bochecha antes de visitar o ortodontista;
- O suporte saiu. Se possível, o braquete deve ser preservado, o ortodontista deve ser informado e, tendo acordado a hora, deve colá-lo.
Enquanto estiver usando o aparelho, é imperativo que você siga as regras especiais para comer: corte a carne, as maçãs e todos os alimentos duros em pedaços pequenos e mastigue suavemente com os dentes laterais. Morder os alimentos pode fazer com que o suporte descasque. Gomas de mascar, sementes, chocolate com nougat são completamente excluídos, pois podem desatar as fechaduras ou fazer com que o arco saia do castelo.
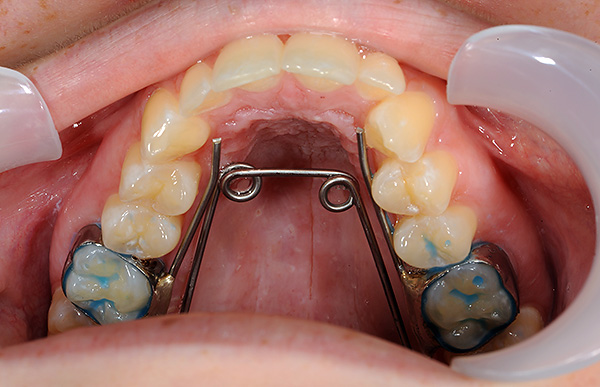
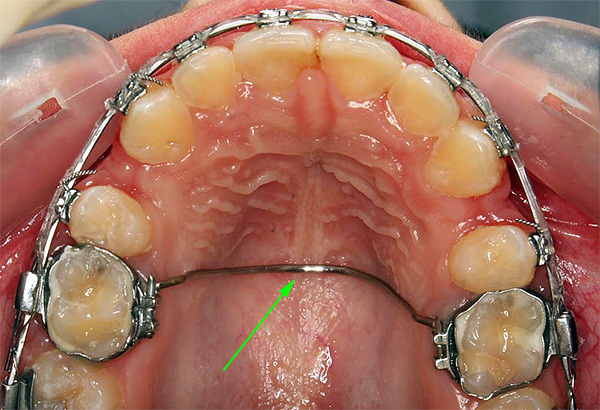
Entre os aparelhos ortodônticos fixos para correção da oclusão, há também uma estrutura para a rápida expansão da sutura palatina:

O design inclui:
- Anéis nos primeiros molares e pré-molares (6 e 4 dentes);
- Hastes;
- Parafuso para abrir a sutura palatina (é ativada pela própria criança ou pelos pais usando uma tecla).
O mecanismo de ação do aparelho é implementado devido a:
- Revelações da sutura palatina;
- Extensões da dentição superior;
- Encurtando a frente da dentição superior.
A idade de aplicação da estrutura ortodôntica para expandir a sutura palatina é uma mordida removível e permanente.
Indicações de uso - classe I, II, III de acordo com Engle, bem como malformações congênitas da região maxilofacial com estreitamento da dentição em mais de 5 mm.
Outro dispositivo não removível é o quadrohelix:

Muito eficaz para expansão palatina lenta da mandíbula superior. O andaime pode ser ajustado para obter maior expansão na parte anterior da dentição.A ativação é feita por um médico.
Também vale mencionar o fecho palatino:

É usado para ajustar a forma da arcada dentária e impedir o movimento indesejável dos molares.
Todos os produtos da estrutura são fixados no cimento dental aos dentes do pilar.
Sobre o uso de dispositivos de retenção
Os dispositivos de retenção são utilizados no final do tratamento ortodôntico para manter a oclusão alcançada. O fato é que tecidos moles e ligamentos tendem a retornar à sua posição habitual e, portanto, os dentes, sob a influência dos tecidos circundantes, também podem assumir sua posição patológica anterior.
Como retenção, podem ser usados os dispositivos médicos acima que não são mais ativados.
São utilizados protetores bucais de retenção feitos após a remoção do aparelho ortodôntico de acordo com o molde final dos dentes do paciente:

Nos primeiros 3-6 meses, esses protetores bucais devem ser usados o maior tempo possível, removendo apenas com alimentos. Depois, você pode alternar para o modo de uso apenas à noite.
Nota
Nos burls de retenção, não é recomendável beber café, chá, vinho ou fumaça, porque o plástico do burl pode manchar e perder sua transparência.
Após o estágio de usar aparelho, é frequentemente usado um retentor de metal. Este aparelho ortodôntico simples é um fio torcido várias vezes, fixado no lado lingual e palatino dos seis primeiros dentes do material de obturação:

Importante saber
Se você sentir que o retentor se desprendeu do dente ou de vários dentes ao mesmo tempo, ligue para o ortodontista e cole a estrutura o mais rápido possível, porque os dentes podem mudar rapidamente de posição.
Dependendo da situação clínica, cada médico escolhe o desenho ortodôntico, que, na sua opinião, será o mais eficaz dado em um caso específico. Além disso, em muitos aspectos, o sucesso do tratamento depende do próprio paciente - de sua disciplina e da devida observância de todas as recomendações do ortodontista.
Se você tem experiência pessoal com o uso de certos aparelhos ortodônticos para correção de mordidas, compartilhe as informações deixando sua opinião na parte inferior desta página (na caixa de comentários).
O que é importante saber sobre a correção da mordida em crianças
Vídeo útil: é possível corrigir uma mordida sem placas e aparelhos?
