
Muitos ouviram falar sobre o uso de touca pelos atletas para proteger os dentes, mas poucos sabem que hoje as toucas ortodônticas especiais também são usadas com sucesso para corrigir a mordida - tanto na infância quanto na idade adulta. Além disso, em alguns casos, sua eficácia na correção da má oclusão não é inferior aos sistemas de braquetes, ou seja, o mesmo resultado é alcançado quase ao mesmo tempo.
Este dispositivo pode parecer, por exemplo, uma cobertura transparente nos dentes, ajustando-se firmemente a eles e quase repetindo a forma da dentição (com pequenos desvios definidos especificamente pelo médico):

Mas isso está longe de ser a única opção para um limite que permite corrigir a mordida.
Vamos ver que tipos de capas ortodônticas existem hoje, quais são seus prós e contras e também falar sobre as nuances do uso desses dispositivos em diferentes idades.
Por que a condição dos músculos da mandíbula é tão importante para uma mordida adequada e onde o bocal
Os ortodontistas prestam muita atenção à condição dos músculos da região maxilofacial do paciente, pois seu mau funcionamento é frequentemente uma das causas da má oclusão. Normalmente, os músculos estão em boa forma, quase relaxados, mas a qualquer momento prontos para trabalhar. Portanto, é importante que, ao mastigar, engolir e falar, sejam precisamente esses músculos que devem funcionar no momento.
Se houver um desequilíbrio no trabalho dos músculos maxilofaciais, as ações usuais podem causar desconforto e dor (incluindo dores de cabeça), em alguns casos, forçando-o a abandonar alimentos sólidos e a recorrer a analgésicos frequentes. Às vezes, uma pessoa pode nem entender por que sua cabeça dói com tanta frequência. A mordida também sofre muito.

Em tal situação, o tratamento no sistema de braquetes pode fazer mais mal do que bem. Portanto, após examinar o paciente, os médicos, se indicados, escolhem uma opção de tratamento com o uso de bonés especiais que, quando usados regularmente, relaxam os músculos e minimizam os pré-requisitos do paciente para má oclusão.
Em cada caso, os protetores bucais ortodônticos são selecionados individualmente após um exame detalhado do paciente.
Além do relaxamento muscular, você também pode mover os dentes para a posição correta nos protetores bucais, o que ajuda a suavizar a mordida. Ou seja, nesse caso, a tampa pode executar parcialmente a mesma função que o sistema de braçadeiras.
A foto abaixo mostra um exemplo de capa ortodôntica na mandíbula superior e inferior, um conjunto que o paciente usa sequencialmente do kit durante o curso do tratamento, substituindo cada vez que o resultado intermediário necessário é alcançado:

Em média, o processo de mover os dentes para a posição final desejada leva vários meses, geralmente mais de um ano. Durante esse período, os músculos também conseguem se reconstruir e se acostumar com as mudanças na dentição.
É interessante
Um caso foi registrado quando um estudante de matemática decidiu corrigir de forma independente sua mordida usando a tampa, que ele fez em uma impressora 3D. Ele ensinou independentemente uma impressão de suas mandíbulas, após o que calculou quanto e em que direção ele precisaria para mover cada dente. Tendo obtido modelos de mandíbulas encenados, o jovem fez protetores bucais que usava até alcançar a posição desejada dos dentes.
Com a ajuda de um boné, é possível eliminar as mais diversas patologias no estado da dentição:
- Quando um ou vários dentes estão na posição errada na dentição (inclinados ou estão do lado, ou acima ou abaixo da posição normal);
- Em crianças - quando é necessário equilibrar a mordida devido a maus hábitos e (ou) dentição inadequada;
- Em adultos - com espaços muito grandes entre os dentes, ou apinhamento, ou quando, após a extração dos dentes, os vizinhos começam a inclinar-se para o defeito na dentição;
- Com uma mordida cruzada ...
E em muitos outros casos. Freqüentemente, o tratamento dos protetores bucais é combinado com o uso de sistemas de braquetes - inclusive para consolidar os resultados alcançados.
Agora vamos nos familiarizar com as variedades mais populares de capas ortodônticas, que hoje são usadas com mais frequência em clínicas odontológicas.
Sistema de treinamento ortodôntico
Um treinador é um aparelho que treina os músculos da região maxilofacial (a palavra "treinador" em inglês significa um simulador). Esse dispositivo geralmente é prescrito para crianças com tratamento ortodôntico e, nesse caso, a ênfase está no treinamento dos músculos maxilofaciais, e não no movimento ativo dos dentes.


As indicações para o uso do dispositivo são:
- Respiração bucal;
- O hábito de chupar dedos, lábios, bochechas, objetos estranhos;
- Colocando a língua entre os dentes e sugando-a;
- O tipo infantil de deglutição - com esse tipo de deglutição, a criança estica o músculo circular da boca e morde o lábio inferior, como se estivesse imitando a sucção. Assim, os lábios e as bochechas exercem pressão excessiva sobre a dentição, forçando os dentes da frente a se desviar da posição normal;
- Mordida distal, isto é, quando os dentes superiores se projetam excessivamente; ...
- Bem como a mordida aberta da frente. ...
O sistema de treinadores geralmente é prescrito para crianças de 2 a 5 anos.
De fato, um aparelho ortodôntico é uma tala de silicone para mandíbula dupla (geralmente transparente). A foto abaixo mostra um exemplo:

O treinador em seu design possui escudos vestibulares e orais, impedindo que objetos estranhos entrem na boca da criança e posicionem a língua na posição fisiológica correta. Afastando os lábios e as bochechas dos dentes, o dispositivo relaxa os músculos tensos da região maxilofacial. Tudo isso junto ajuda a eliminar fatores negativos que violam a mordida normal.
Nota
Para as crianças cujo médico determinou o tipo de respiração oral, são feitas aberturas especiais na boca para passagem de ar.
Contra-indicações para o uso de instrutores ortodônticos são:
- A impossibilidade de respiração nasal (por exemplo, com doenças dos órgãos ENT);
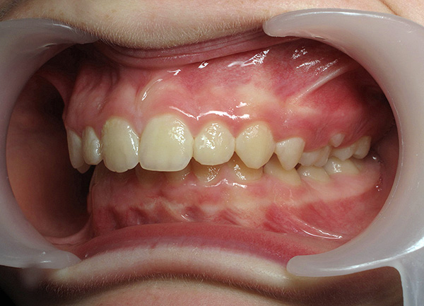
- Classe III de má oclusão angular (a chamada mordida mesial);

- Mordida cruzada.

O ortodontista indica o modo de usar o dispositivo, mas, em média, as recomendações são as mesmas - 2 horas durante o dia e à noite, ou seja, a criança deve dormir com o treinador na boca.
Nota
Durante o período de adaptação, você deve usar um treinador por 10 a 15 minutos, aumentando gradualmente o tempo até duas horas.
Às vezes, os instrutores ortodônticos também são usados com sucesso em pacientes adultos durante o tratamento no sistema de braquetes, quando o médico vê a necessidade de realizar um trabalho muscular equilibrado, evita a sobrecarga da articulação temporomandibular devido ao movimento ativo do dente e também quando é necessário reduzir o tempo de tratamento. aparelho.
Como em qualquer outro aparelho ortodôntico, para fazer os protetores bucais e elaborar um plano de tratamento completo, você deve primeiro obter impressões dos maxilares (ou, como costumam dizer, aplicar moldes). Para as crianças, isso pode ser um teste completo devido à falta de compreensão e ignorância do que está acontecendo. Um médico com experiência, é claro, sabe como encontrar uma abordagem para um paciente pequeno, mas às vezes leva muito tempo e esforço adicionais, tanto do ortodontista quanto dos pais, portanto, você deve se preparar para isso com antecedência.
Invisalign Eliners (Invisaline)
O sistema Invisalign de aparelhos ortodônticos consiste em um conjunto de gotas sólidas (rígidas, sem silicone), cujo número no conjunto para cada paciente pode ser diferente e é determinado pela complexidade da patologia que precisa ser corrigida (quanto mais gotas, mais tempo será o tratamento).

Nota
Eliner é um aparelho ortodôntico removível na forma de um protetor bucal. As linhas Inviseline são transparentes, o que as torna quase invisíveis nos dentes. O desenvolvedor do sistema é a empresa americana Align Technology.
Hoje, os protetores bucais ortodônticos Invisiline são posicionados como um substituto completo dos sistemas de braquetes para a maioria dos casos clínicos. As indicações de uso são:
- apinhamento de dentes;
- lacunas muito grandes entre os dentes;
- mordida distal;
- mordida aberta;
- mordida cruzada;
- mordida direta (os incisivos superiores e inferiores se fecham com as bordas cortantes);
- e até a mordida mesial (a mandíbula inferior se projeta para a frente em relação à superior).


Quando comparados aos aparelhos, as tampas ortodônticas Invisiline realmente têm várias vantagens:
- eles são removíveis;
- menos perceptível nos dentes;
- não prejudique a dicção;
- realizar sua higiene mais conveniente (basta remover e limpar);
- não esfregue os tecidos moles da cavidade oral;
- o tratamento geralmente requer menos visitas ao ortodontista do que o tratamento nos sistemas de braquetes.
No entanto, existem desvantagens:
- resistência ao calor reduzida dos elinadores Invisiline (se a água quente entra em um material sólido transparente, ela é irreversivelmente deformada);
- representação ainda relativamente baixa no mercado (longe de todas as clínicas, você pode encontrar o serviço correspondente);
- um grande número de marcadores no kit complica o tratamento (além disso, muitas vezes os pacientes perdem ou danificam os protetores bucais individuais);
- como o Invisiline é um aparelho ortodôntico removível, seu uso é adequado apenas para pacientes disciplinados; caso contrário, o resultado será mal expresso (na prática, nem todos os pacientes usam protetores bucais de maneira disciplinada exatamente no modo prescrito pelo médico);
- às vezes, é necessário colar nos dentes dos chamados pontos de retenção (ganchos) - um pouco, mas pode ser desagradável, principalmente quando o protetor bucal é removido, pois esse gancho pode esfregar a membrana mucosa das bochechas.

Agora, algumas palavras sobre como o tratamento é realizado com o uso de tampas ortodônticas Invisiline.
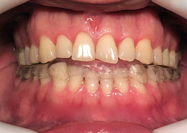
Depois de examinar o paciente e determinar o tipo de mordida, um ortodontista certificado treinado para trabalhar com o sistema elabora um plano de tratamento futuro. Em seguida, são tiradas impressões dos dentes do paciente, uma varredura por computador dos modelos de gesso das mandíbulas - esse é o modelo 3D das mandíbulas. Este modelo é processado em um programa de computador especial e o médico pode mostrar imediatamente ao paciente qual será o resultado final após o tratamento.
Se o paciente concordar com o tratamento, as impressões são enviadas para um laboratório nos Estados Unidos, juntamente com o resultado final planejado, que o ortodontista deseja obter. No laboratório, os técnicos dentários modelam o movimento de cada dente, fazendo sequencialmente modelos intermediários das mandíbulas em uma impressora 3D - é obtido um conjunto inteiro desses modelos, em cada um dos quais dentes individuais são movidos para uma posição pré-calculada, cada vez mais próxima da correta.
Como resultado, para cada modelo intermediário da mandíbula, é feito um protetor bucal, cuja quantidade depende do tipo de mordida e da gravidade da patologia com a qual o paciente entrou em contato.

O custo do tratamento com o uso dos aparelhos ortodônticos Invisalign começa em cerca de 170 mil rublos. Os preços podem variar significativamente - por exemplo, dependendo do nível da clínica.
Da prática de um ortodontista
Cada bocal deve ser usado por 2 semanas e depois alterado para o próximo.Muitas clínicas dão ao paciente 4 capas por dois meses de uma vez para reduzir o número de visitas ao médico. No entanto, outras clínicas, pelo contrário, agendam uma visita a cada duas semanas para garantir que o tratamento esteja ocorrendo corretamente.
Vale ressaltar que, a julgar pelas revisões disponíveis na Internet, nem todos os pacientes submetidos ao tratamento com o Invisalign eliners conseguiram alcançar o resultado desejado e previsto pelo médico. Alguns pacientes após o tratamento com protetores bucais tiveram que usar um sistema de suporte.
Também existem análogos menos populares dos alinhadores Invisiline no mercado: Air Align, 3D Smile, OrthoSnap, Star Smile etc. Atualmente, protetores bucais transparentes podem até ser comprados em farmácias, mas lembre-se de que, apesar das garantias de publicidade, esses aparelhos ortodônticos são aplicáveis a todos - não em todos os casos - em várias situações clínicas, pode ser necessária intervenção cirúrgica e (ou) tratamento no sistema de braquetes.
Comentários:
“Eu também fui tratado no sistema Invisiline. No início, eles enviaram 20 pares de gotas para cada mandíbula. Tudo está bem, eles são quase imperceptíveis, desgastados, como o médico disse. Mas quando tudo acabou, ficou claro que a mordida nem chegava ao fim. Então o médico e eu levamos os modelos novamente, outros 15 pares foram enviados para nós. Ela os vestiu novamente por um longo tempo. O resultado tornou-se muito melhor, mas ainda imperfeito. Meu médico diz que são meus dentes inferiores que se afiaram durante o período de má oclusão. E que este é o melhor resultado que pode ser obtido ... "
Julia, Moscou
Sistema MyObrace (Miobrace)
Este sistema de correção da mordida foi desenvolvido pelo ortodontista australiano, Dr. Chris Farrell. Inicialmente, ele criou vários tipos de dados de limite para vários estágios da formação da mordida de uma criança, mas hoje esses dispositivos também são usados em adultos.
As indicações de uso são as mesmas dos treinadores ortodônticos descritos acima. Recomendado, inclusive para uso noturno.
A foto abaixo mostra a touca de bebê inicial MyObrace Starter:

Existem duas modificações no protetor bucal: duro e macio. Na bandeja inicial, não há células para os dentes, há um para-choques labiais, um retalho para a língua - para colocá-lo na posição correta. A tarefa deste protetor bucal é alcançar a função muscular adequada e combater a respiração oral.
Um elemento estrutural importante do bocal é o arco incorporado para expandir a dentição. A idade da criança para usar o dispositivo é de 8 a 12 anos.
Outra variedade - o MyObrace Core com um arco embutido (quadro), está disponível em sete tamanhos universais e permite que o médico escolha com precisão o dispositivo certo para a criança. Uma característica desta série é precisamente o arco, que permite expandir a dentição e construir os dentes na posição anatômica correta. Nesta série de boquilhas, além dos pára-choques e abas labiais para a língua, também existem células especiais para cada dente - elas, aplicando um pouco de pressão, movem os dentes gradualmente, colocando-os uniformemente.
O dispositivo pode ser usado durante um turno e o início de uma mordida permanente e, como afirma o autor do sistema, a idade ideal para o uso da tampa é de 11 a 15 anos.
Outra variação - MyObrace No Core (MioBrace sem arco) - é usada durante o período de tratamento no sistema de bráquetes e é bastante popular entre os ortodontistas.

O uso desse protetor bucal relaxa os músculos maxilo-faciais, enfraquece a carga na articulação temporomandibular, corrige a posição da língua e permite que o aparelho elabore de maneira mais completa e precisa o programa estabelecido neles. Esses dispositivos também podem ser usados no período de retenção, ou seja, após a remoção das chaves - para manter o resultado alcançado.
Infelizmente, a presença de uma mordida mesial é uma contra-indicação absoluta ao uso do sistema de tampa MyObrace. Geralmente, essa patologia da mordida requer tratamento complexo usando combinações de técnica fixa.
Comentários:
“Usei aparelho por dois anos e, depois de usá-lo, você precisa corrigir o resultado. O médico sugeriu que eu usasse o treinador MioBrace, é um burl de dois lados, macio, que não risca nada. Eu costumava usar pratos, mas depois o abandonei. Inconvenientemente, ele interfere na boca, eu quero constantemente removê-lo. Mas agora entendo que o treinador é ainda mais inconveniente de usar, e os pratos não são nada comparados a ele. O treinador é grande, as mandíbulas estão fechadas o tempo todo, não há como conversar com essa engenhoca na boca, é muito inconveniente. Mas a pressão efetiva e boa deles é sentida ... "
Oksana, Ecaterimburgo
Protetores bucais ortodônticos com "rearranjo" de dentes individuais
Esses dispositivos são fabricados pelo próprio ortodontista (não praticado em todas as clínicas). Como regra, a decisão sobre o uso dessa tampa é tomada pelo médico e pelo paciente juntos, se após o tratamento no sistema de braquetes, o paciente recorrer a anomalias devido à liberação do retentor.

Nota
O retentor é um importante projeto ortodôntico, usado após o tratamento no sistema de braquetes e permite consolidar o resultado. Se não for utilizado, os dentes tendem a retornar à sua posição incorreta original.
O retentor é colado na parte de trás da dentição, portanto não é visível para os outros. O médico no processo de colagem sempre verifica se o retentor não interfere no paciente e não o morde durante a mastigação e a fala, pois isso pode levar ao seu desapego. No entanto, se o retentor se soltar, o paciente deve informar imediatamente o médico e logo marcar uma consulta para colá-lo.
Infelizmente, o retentor geralmente deve ser usado por um período muito longo (3-6 anos) e, em alguns casos clínicos, mesmo por toda a vida.
Portanto, muitos médicos também fazem protetores bucais para o paciente para evitar movimentos dentários indesejados.
Se muito tempo se passou após o uso do sistema de braçadeiras, e os dentes mudaram de posição, os protetores bucais com o "rearranjo" dos dentes estão meio que fora da situação.
Depois de receber as impressões e fazer o modelo de gesso da mandíbula, o ortodontista corta cuidadosamente o dente desejado no modelo e o reorganiza na melhor posição, fixando-o com cera. Em seguida, este modelo com dente reorganizado é prensado em uma prensa a vácuo especial - o plástico acrílico aquecido comprime o modelo sob pressão. A capa resultante repete com muita precisão a forma do modelo de gesso.
O paciente usa kapu por 2 semanas para mover os dentes, depois outras 2 semanas para consolidar o resultado. Depois de um mês, se o resultado desejado não for alcançado, um novo protetor bucal é feito. Às vezes, esse processo pode ser bastante demorado, o que requer certa persistência, tanto do médico assistente quanto do paciente.
Sistema de escudos ortodônticos e placas vestibulares
Em alguns casos, para normalizar a mordida em crianças pequenas, é usado um sistema de escudos vestibulares - eles parecem mamilos e as crianças se acostumam rapidamente. O uso de um escudo deve afastar o bebê do mau hábito de puxar tudo na boca.

O design do aparelho inclui:
- Escudo vestibular;
- Suporte de anel;
- Furos para respirar durante o período viciante.
O mecanismo de operação de tal protetor bucal:
- Permite combater maus hábitos (chupar dedos e outros objetos estranhos);

- Evita morder os lábios e bochechas;
- Limita a pressão muscular excessiva nos dentes;
- Atrasa o crescimento do segmento anterior da mandíbula;
- Estimula o crescimento dos fragmentos posteriores e laterais da mandíbula;
- Normaliza a função de fechar os lábios.
Indicações de uso:
- Prevenção de formação de mordida aberta;
- Prevenção da formação de patologias das classes I e II de acordo com Engle;
- Regulação das funções dos lábios e bochechas e criação de equilíbrio miodinâmico;
- Treinar os músculos circulares da boca.
Da prática de um ortodontista
Para fabricar o dispositivo, você precisa fazer transmissões. Como as crianças têm medo, choram e surgem, os pais precisam estar lá. Ao receber impressões de médicos muito pequenos, os ortodontistas usam uma massa rígida de silicone, que permite obter uma impressão clara, mesmo que a criança esteja muito desconfortável.

Existem versões de fábrica desses dispositivos com vários elementos adicionais (por exemplo, um obturador para a língua), eles são produzidos em vários tamanhos. Um ortodontista de escudo vestibular pronto pode pegar a criança imediatamente.
Tanto ao usar uma bandeja ortodôntica pronta (padrão) quanto individualmente, podem surgir alguns problemas. Os dispositivos podem esfregar a mucosa da boca, lábios e bochechas da criança. Sim, e pode ser desagradável para a criança usar.
Muitos pais, vendo que a criança se sente desconfortável com o dispositivo, começam a sentir pena dele e simplesmente permitem que ele o use com menos frequência. Nesse caso, a eficácia do tratamento é bastante reduzida. Se ficar claro que as bordas do dispositivo interferem e esfregam a criança, faz sentido se inscrever no ortodontista em um futuro próximo para resolver o problema.
Tratamento de doenças da ATM com tampa
As doenças da articulação temporomandibular (ATM) podem se manifestar de diferentes maneiras, provocando:
- Dor muscular ao falar, mastigar;
- Dores de cabeça;
- Abrasão dos dentes;
- O fenômeno da "migração" dos dentes - eles tendem a mudar para o espaço vazio resultante, violando ainda mais a mordida;
- Doença gengival;
- Exposição dos pescoços dos dentes e sua sensibilidade excessiva a alimentos frios ou quentes;
- Subluxação da articulação pode levar ao maxilar e incapacidade de fechar completamente a boca;
- Perda dentária precoce devido ao alongamento excessivo dos ligamentos do aparelho de suporte.

Muitas vezes, os pacientes recorrem a diferentes médicos para obter ajuda, mas a terapia proposta não traz alívio.
Uma das opções de tratamento mais eficazes para os distúrbios da articulação temporomandibular é o chamado tratamento oclusal funcional, utilizando tala de dente dissociada (terapia de tala).

Nota
O Splint é um bocal ortodôntico especial feito de plástico rígido e que cobre uma das dentições: a superior ou a inferior. Tem uma espessura não superior a cinco milímetros e agarra firmemente as bordas da dentição. Seu objetivo é relaxar os músculos da articulação temporomandibular, separando a dentição.
Como parte da terapia com talas, os protetores bucais ortopédicos são populares atualmente na odontologia neuromuscular, permitindo que você defina a altura da mordida necessária e mantenha a mandíbula na posição correta.

Para obter o melhor resultado, o médico também pode realizar o procedimento de retificação seletiva do esmalte dos dentes - com a ajuda de uma ferramenta de corte, pontos nos dentes que podem ser um obstáculo para os movimentos corretos das mandíbulas são polidos suavemente.
A tala deve ser usada dia e noite, removendo apenas com alimentos. A princípio, o paciente pode sentir desconforto com o uso de protetores bucais, provocando dores nos músculos. Mas se o modo de usar o pneu for respeitado, o desconforto desaparecerá gradualmente e com eles a gravidade da patologia da ATM diminui. Alguns pacientes observam que, depois de se acostumarem com o pneu, sentem-se desconfortáveis sem ele.
Concluindo, vale ressaltar que, juntamente com as tecnologias e métodos descritos acima, hoje existem muitos sistemas similares, tanto empresas nacionais quanto estrangeiras. O próprio ortodontista escolhe por si mesmo qual sistema é mais conveniente para ele trabalhar. Portanto, se repentinamente em uma clínica você foi informado de que, na sua situação, a mordida pode ser corrigida apenas com a ajuda de um sistema de braquetes, isso não significa que em outra clínica o mesmo problema não será resolvido nas brocas ortodônticas.
Por outro lado, um médico pode insistir no uso de um sistema de bonés, enquanto outro especialista apenas balança a cabeça e diz que o boné é uma tecnologia ineficaz, e apenas aparelhos fixos corrigem a situação.
Seja como for, escolha não apenas a tecnologia, mas antes de tudo um bom médico experiente, siga as recomendações dele - e você certamente alcançará o resultado desejado.
Seja saudável!
Revisão em vídeo de perepetov ao corrigir a mordida nos delineadores
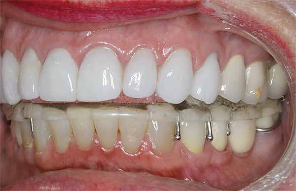
Um resultado claro do tratamento nas linhas Inviseline




