
É sabido que os principais fatores no desenvolvimento da cárie incluem falta de higiene bucal e falta de cálcio, fósforo e flúor no organismo, que são os principais componentes dos tecidos duros dos dentes. No entanto, também existe uma opinião de que a cárie é transmitida através de um beijo e elas podem literalmente ser infectadas por outra pessoa.
Realmente é assim, é cárie contagiosa ou é um mito - vamos tentar entender essas questões com mais detalhes ...
Para começar, as causas profundas das mudanças de cárie estão realmente diretamente relacionadas aos processos bioquímicos que ocorrem sob a placa e em seu volume devido à atividade dos microrganismos. A presença de um grande número de bactérias na placa leva à fermentação ativa de carboidratos (por exemplo, açúcar), que se transformam em ácidos orgânicos. Sob a influência de ácidos, o pH na superfície do esmalte do dente diminui e sua desmineralização ocorre - em outras palavras, a lavagem do esmalte dos dentes de cálcio e fósforo.

Como resultado, chegamos à conclusão preliminar de que a cárie está diretamente relacionada à atividade vital das bactérias. E, nesse caso, surge a questão lógica: a cárie é contagiosa e pode ser transmitida através de um beijo?
A cárie é contagiosa?
Estudos demonstraram que as bactérias Streptococcus mutans apresentam a maior atividade cariogênica na microflora da cavidade oral. Este é um dos poucos microrganismos especializados (junto com o Streptococcus sobrinus, por exemplo) que possuem formações especiais na parede celular que fornecem forte ligação ao esmalte dos dentes - os chamados receptores.


Também foi estabelecido com segurança que o Streptococcus mutans pode ser transmitido por beijo, por exemplo, de pais para filhos. Eles também são transmitidos de adulto para adulto, mas isso não é tão crítico, como será discutido abaixo.
É interessante
O Streptococcus mutans é uma bactéria anaeróbica gram-positiva que converte sacarose em ácido lático. Além dessa divisão de sacarose, a bactéria também sintetiza um polissacarídeo extracelular, que é de natureza química próximo aos dextranos, é um composto adesivo do qual a placa é formada. Curiosamente, a sacarose é o único carboidrato a partir do qual o microorganismo é capaz de criar esse polissacarídeo.
No entanto, não tenha muito medo, com medo de contrair cáries por meio de um beijo. Se você tem mais de 3 anos, na cavidade oral há muito tempo essas mesmas bactérias criogênicas que estão presentes na boca de quase todos os adultos.
Outra questão é que sua atividade destrutiva em relação ao esmalte dentário pode se manifestar mais forte em alguém e em alguém mais fraco - dependendo de muitos fatores. Por exemplo, se uma pessoa escova os dentes regularmente, quanto açúcar consome, se há cálcio suficiente em sua dieta.
Mas os pais podem "transmitir a cárie" para a criança através de um beijo: a infecção das crianças com as bactérias acima geralmente ocorre quando a criança tem de 1 a 3 anos de idade.
O perigo de infectar crianças com cárie através de um beijo de seus pais
Antes de tudo, vale a pena notar que a cárie é um processo patológico que leva à destruição dos tecidos dos dentes duros. Você só pode se infectar com uma bactéria, mas não com cárie, porque está longe de ser formado uma cárie no dente como resultado da atividade vital do microrganismo.

Em outras palavras, é importante ter em mente que um conceito como “infecção por cárie” é uma grande simplificação, que beira o absurdo do ponto de vista de um dentista profissional.No entanto, como essa terminologia é bastante compreensível e próxima de uma pessoa comum, é nesse entendimento simplificado que continuaremos a falar sobre "infecção por cárie".
Então, a cárie é transmitida através de um beijo de pais portadores de Streptococcus mutans na cavidade oral para crianças pequenas que ainda não possuem essa bactéria? A resposta é clara: sim, é transmitida. Mas quão perigoso é isso? .. Cedo ou tarde, a infecção acontecerá de qualquer maneira.
É aqui que reside toda a essência do problema - mais tarde do que antes. Vamos ver por que a infecção bacteriana tardia é menos perigosa:
- uma criança mais velha já pode ingerir alimentos sólidos (que, em certa medida, limpam mecanicamente a placa bacteriana);
- as crianças já têm o hábito de escovar os dentes e enxaguar a boca depois de comer;
- é estabelecida uma capacidade normal de tampão salivar (capacidade de neutralizar o ácido), imunoglobulinas e outros fatores de proteção da cárie aparecem na saliva.

Em outras palavras, quanto mais tarde o bebê se familiarizar com bactérias cariosas, melhor será para seus recém-formados dentes de leite.
Deve-se entender que a cárie não é tão contagiosa (contagiosa) quanto, por exemplo, o vírus influenza ou a varicela. Você não pode ter medo de infectar o bebê com eles por gotículas no ar. Mas você pode infectar, por exemplo, beijos ou lamber uma colher de criança, ou se você tentar o chá da caneca dele.
Nota
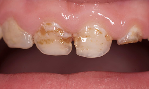
Apenas alguns minutos após a ingestão de alimentos ricos em açúcar, sob a influência de estreptococos e lactobacilos que formam ácidos, o pH do meio na superfície dos dentes diminui de 6 para 4. Além disso, além do ácido lático, também são formados fórmico, propiônico, butírico e outros.
A destruição do esmalte já começa em pH 4,5 e aos 4 acelera ainda mais. O esmalte dos dentes, composto por aproximadamente 96% de minerais, perde ativamente o cálcio.

O que pode ser feito para impedir que uma criança sofra cárie da mãe, pai ou avó?
Para proteger seu bebê de uma exposição muito precoce às bactérias responsáveis pela cárie dentária, você não precisa muito - observe as regras básicas de higiene:
- não é necessário comer da colher do bebê (às vezes os pais experimentam a comida, verificando sua temperatura e depois a alimentam com a mesma colher);
- se o mamilo caiu ou ficou sujo, ele precisa ser lavado e não lambido (também uma situação comum);
- idealmente, a criança deve ter seus próprios utensílios de mesa - uma caneca, prato, colher;
- e mais ainda, a criança deve ter sua própria escova de dentes, que não é usada por outras crianças mais velhas.

Comentários:
"A cárie é uma infecção e é muito contagiosa, porque é uma bactéria prejudicial. É por isso que, múmias, você não precisa lamber o mamilo do bebê - você está lançando seus monstros cariados nesta pobre boca do bebê dessa maneira. E você ainda fica surpreso que os dentes de leite do bebê são cárie e pretos. ”
Marina, Moscou
No entanto, na sua tentativa de não transmitir a cárie, a cárie não deve ir ao extremo. Por exemplo, você não precisa processar a louça do bebê ou o mamilo com álcool ou peróxido de hidrogênio a cada vez, não deve proibir os avós de se comunicarem com ele, mesmo que tenham algum problema com os dentes.

Lembre-se de que, mesmo que as bactérias correspondentes na cavidade oral da criança apareçam, está longe do fato de que isso levará à cárie. Como observado acima, existem muitos fatores que causam cáries, e a presença de bactérias cariosas é apenas um deles. Um fator muito mais importante é o atendimento odontológico inadequado ou a falta dele.
É possível obter cárie através da escova de dentes de outra pessoa
Agora que você já imagina que a cárie não é transmitida através de um beijo (com exceção das nuances acima em relação às crianças pequenas), a questão da possibilidade de infecção por cárie usando a escova de dentes de outra pessoa também está sendo esclarecida.Ou seja, é teoricamente possível “pegar” uma bactéria viva, mas para um adulto que há muito tempo tem as bactérias mais cariosas na boca, isso não significa nada.

Outra coisa é que, além do Streptococcus mutans relativamente inofensivo, pode haver bactérias ou vírus muito mais perigosos na escova de dentes de outra pessoa ...
Comentários:
“Talvez pareça absurdo, mas acidentalmente, sem olhar, escovei os dentes com a escova de outra pessoa! Estava com pressa de manhã e pegou o pincel, como se viu depois, pela minha sogra (ela tem quase o mesmo que o meu). Parece que ela não tem infecções terríveis, como AIDS, hepatite, tuberculose, sífilis, etc. E ela é uma mulher idosa geral bastante positiva. Agora, pelo fato de eu ser apenas desagradável por ter acontecido tão terrivelmente, tenho medo de que de repente eu tenha sido infectada por algo ... Parece que ela tinha algo com oncologia, embora parentes me dissessem que isso não foi transmitido. Eu quero perguntar, o que você acha, eu preciso fazer alguns testes agora?
Kryvyi Rih, Sagalova Daria
Na revisão acima mencionada, é claro, uma situação bastante cômica é descrita e é improvável que algo ameace a garota. No entanto, cada membro da família deve ter sua própria escova de dentes. Usar a escova de dentes de outra pessoa é inaceitável e não do ponto de vista de uma possível infecção por cárie (isso é impossível), mas por considerações gerais de higiene.

Em conclusão, vale ressaltar que existem muitos fatores muito mais significativos que afetam a aparência de cárie em um adulto e bebê do que beijos banais. E o medo de contrair cárie ou transmiti-la a alguém não deve ser uma desculpa para desistir de beijos em geral.
Cuide dos seus dentes, cuide deles e viva uma vida inteira!
Vídeo interessante: é possível ter cárie e como isso acontece
Como tratar cáries sem broca
Métodos eficazes para a prevenção de processos cariados

Besteira cheia - que supostamente todas as pessoas têm bactérias cariosas, mas para algumas elas não funcionam. A cárie está presente ou ausente, e a bactéria é transmitida da cárie para a saudável. E deve ser removido com urgência, alvejante, antibiótico.
E em pessoas saudáveis não há bactérias cariadas. Portanto, o conceito de "beije sua saúde" não é mais. Infelizmente.
Sério. Quanto mais você beija, mais cárie. Se tudo estiver bem com a memória, qualquer pessoa dirá que desde a infância, mesmo depois dos beijos mais inofensivos com os lábios fechados, a cárie logo se desenvolveu. Além disso, quanto mais próximo o contato da microflora, mais forte será a manifestação.
Beije no jardim de infância nos lábios - conheça a cárie. Beije no limiar da maturidade em um chupão - encontre pulpite e coroas. Beije constantemente e com todos em uma fileira - prepare-se para os implantes.
Sim, a cárie é contagiosa, assim como a sífilis e outras doenças! Além disso, o tempo passará e os cientistas provarão que o câncer também é contagioso. Há 100 anos, foi provado por um cientista em seu próprio corpo que uma úlcera estomacal é uma doença infecciosa e é tratada com as triquópoles habituais, mas, por alguma razão, elas se lembraram disso.