
Para a maioria das pessoas, um sorriso bonito não é apenas um indicador da boa saúde dental e da saúde geral, mas também um elemento importante de uma carreira, sucesso e namoro rentável. O aparecimento de cárie nos dentes da frente pode não apenas estragar os planos para o futuro, mas também causar sérios problemas no sistema dentofacial com várias complicações possíveis (que muitos nem percebem até que se deparem).
Com o aumento e o aprofundamento da cárie no dente da frente ou entre eles, ocorrem frequentemente lascas da parte do esmalte ou mesmo toda a parte da coroa do dente, complicações da cárie com desenvolvimento de dor intensa (pulpite, periodontite), violação da dentição (deslocamento em relação à localização natural), dicção prejudicada (coceira ) e violações graves da estética. Muitas vezes, existem casos de até distúrbios mentais com múltiplas cáries nos dentes da frente, quando o problema de uma pessoa se torna muito doloroso, constante e ocupando uma parte significativa de seu tempo livre e pensamentos.

Sobre como você pode reconhecer, com o tempo, os primeiros sinais de cárie nos dentes da frente, quais opções de restauração existem hoje e quais devem ser preferidas, além de quanto pode custar em termos de dinheiro - todas essas e outras questões interessantes serão discutidas mais adiante por você em mais detalhes.
Sinais característicos de cárie dos dentes anteriores
Os dentes anteriores são caracterizados por uma organização mais fina dos tecidos dentários: na região cervical (gengival), o esmalte é insignificante em espessura, portanto, é mais fácil destruir as bactérias causadoras de cárie com a formação de cárie cervical. Frequentemente, a cárie cervical se espalha aqui para a área das paredes laterais do dente e até para a superfície interna com a formação dos chamados cárie circular - Esta é uma forma grave e cariosa, na qual é possível lascar e romper quase toda a parte visível do dente afetado.
A foto abaixo mostra exemplos de circulares cárie nos dentes decíduos anteriores criança:


Como os incisivos frontais são necessários para uma pessoa morder enquanto escreve, quando estão próximos um do outro, os resíduos alimentares ficam entupidos entre os dentes, causando frequentemente cáries (contato) aproximadas ou, mais simplesmente, cáries entre os dentes da frente. Nesse caso, a parede do incisivo danificado pela cárie acaba ficando escura, quase preta, e mais cedo ou mais tarde a “casca” do esmalte acima desaparece com a formação cavidade cariada profunda.
Fotografia de cárie nas superfícies de contato dos dentes da frente:

No entanto, todos esses são exemplos de destruição cariosa de longo alcance. O processo pode começar à primeira vista muito inofensivo - apenas nos dentes ou na área entre eles há uma mancha esbranquiçada. Muitas vezes, isso não tem significado algum, mas em vão: o clareamento do esmalte já indica claramente o início de sua desmineralização e é nesse momento que é preciso tomar medidas urgentes para salvar o dente de mais destruição. Falaremos sobre isso um pouco mais tarde.

Nota: “Por que os recheios do dente anterior mudaram de cor tão rapidamente?”
O fato é que a estabilidade das cores dos compósitos fotopolimerizáveis depende do médico e do paciente. Os motivos mais comuns para uma rápida mudança na cor do preenchimento devido à falha do médico são: violações da técnica de preparação da cavidade (restos de tecidos cariados) e da própria restauração, uso de materiais de baixo nível, pressa, conhecimento insuficiente do trabalho com o material e não informar o paciente sobre as recomendações após a restauração.
Os motivos da mudança de cor devido à falha do paciente: falha no cumprimento das recomendações do médico (não tome corantes por 1-2 horas), falha em aparecer após 5-6 meses para controle de qualidade da restauração e polimento do preenchimento, etc.
Variedade de formas e possíveis manifestações cariosas
A cárie nos dentes da frente pode parecer muito diferente, dependendo da forma clínica, tipo e natureza do curso. Assim, por exemplo, os seguintes tipos de cárie são diferenciados, dependendo da profundidade da destruição do tecido:
- inicial (no estágio spot);
- superficial (cárie de esmalte);
- meio;
- profundo.
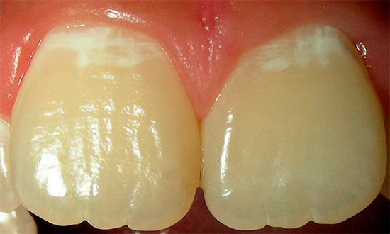
A foto a seguir mostra um exemplo de cárie no estágio spot:

Além disso, dependendo do curso da doença (ativa ou inativa), cárie aguda e crônica são distinguidas. Quando um grande número de lesões de cárie aparece, vários dentes são diagnosticados com múltiplas cáries ao mesmo tempo, e as cáries cervical (complicação circular) e proximal são diferenciadas pela localização nos dentes da frente.
Existe uma classificação de cáries de acordo com Black, dependendo da sua localização. Nesse caso, são distinguidas 5 classes, as duas primeiras descrevendo a cárie dos dentes posteriores e as três últimas caracterizando as cáries nos dentes da frente.
No caso de cárie dos dentes da frente, estamos falando das seguintes classes:
- Classe III. Cárie que afeta as superfícies laterais (de contato) de incisivos e caninos, mas sem violar a integridade do ângulo da coroa e da aresta de corte.
- Classe IV. Cárie, na qual, além das superfícies laterais de incisivos e caninos, a aresta de corte e o ângulo da coroa também são capturados.
- Classe V. Cárie, que ocupa a região cervical (subgengival) de todos os grupos de dentes, mas em maior extensão - no anterior, na superfície vestibular (externa).

É interessante
Após a morte do próprio autor, a classe VI foi adicionada à classificação de trabalho de cáries de acordo com Black, que é usada por dezenas de milhares de dentistas, o que inclui danos de cárie apenas nas arestas de corte de incisivos e caninos, bem como nos tubérculos dos dentes posteriores. Essa inovação causou uma tempestade de emoções ambíguas e vários dentistas protestaram contra a decisão não autorizada de introduzir uma seção adicional, uma vez que o próprio Black não podia mais influenciar essa decisão. Além disso, na prática, nem a cárie das arestas cortantes dos dentes anteriores nem a lesão cariosa dos tubérculos dos dentes mastigatórios são praticamente encontradas.
Características da restauração dos dentes da frente
As características do processo carioso nos dentes da frente, em particular sua localização e grau de negligência, determinam em muitos aspectos as abordagens do tratamento: estágios do tratamento da cárie, equipamentos utilizados e materiais utilizados. Se você já está fazendo uma visita à clínica odontológica para tratamento, provavelmente estará interessado em saber o que pode esperar lá ...

Então a opção mais “favorável” para os dentes da frente é a cárie inicial ou, de outra forma, a cárie no estágio inicial, ou seja, quando a patologia mal afeta o esmalte e ainda não se aprofundou nos tecidos duros. A primeira etapa do processo de cárie, quando uma pessoa pode ver de forma independente o processo de cárie dentária, é uma desmineralização focal do esmalte ou, mais simplesmente, o aparecimento de uma mancha fosca ou pigmentada (amarela, marrom) na superfície do dente anterior. A prática mostra que geralmente em pacientes futuros, nesses casos, surgem pensamentos: é possível, de alguma maneira, clarear, polir ou de alguma forma tratar esse local nos dentes da frente da casa.
Bem, a cárie no estágio inicial pode realmente ser tratada em casa, mas é muito mais rápido, mais eficiente e mais seguro fazer isso sob a orientação de um dentista.

É interessante
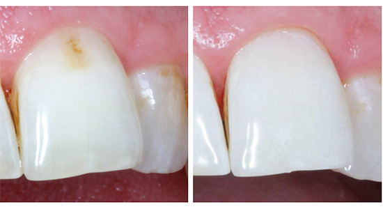
Uma abordagem moderna para o tratamento de cárie no estágio local sem broca é a tecnologia Icon (Aikon).Este tratamento microinvasivo é indicado para cárie inicial dos dentes anteriores com localização nas superfícies anterior e de contato dos incisivos (isto é, entre os dentes). Essa técnica é especialmente relevante após a remoção do aparelho, quando em quase 60 a 80% dos casos são detectadas manchas em um ou em todos os dentes da frente. O procedimento de tratamento geralmente não leva mais de 20 minutos, não requer alívio da dor. O uso consistente dos medicamentos incluídos no conjunto de ícones permite curar cariado local por visita.
Foto do dente anterior antes e após o tratamento da cárie usando a tecnologia Icon:

Cárie superficial. Para o tratamento de cáries superficiais nos dentes da frente, é comum o desgaste simples de discos e polidores, se o processo não tocar as camadas profundas do esmalte. Se o resultado desejado não puder ser alcançado, a tecnologia clássica para o tratamento da cárie já está aplicada.
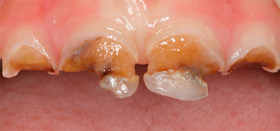
Cárie média e profunda. Se o processo de cárie vai além do esmalte e atinge a dentina, então estamos falando de cárie média. Com cárie profunda, uma cavidade é formada na fronteira com a câmara pulpar. Em todos esses casos, é necessário tratamento da cavidade.
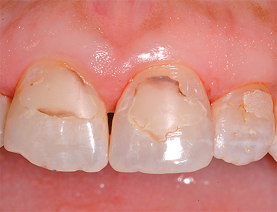
Foto de cárie profunda no dente da frente:

O método mais popular de tratamento de cárie nos dentes da frente na odontologia moderna é o mecânico, utilizando brocas e ferramentas manuais. A dissecção (tratamento da cavidade) usando uma broca permite excitar tecidos cariados de forma máxima, para evitar a recorrência da cárie e criar um preenchimento estético.
O método abrasivo a ar que utiliza o jateamento de areia na cavidade permite o uso de um spray com uma substância abrasiva para processar suavemente pequenas áreas cariadas nos dentes da frente.
O método a laser para odontologia ainda não é amplamente utilizado devido ao fato de que nem todas as clínicas podem comprar equipamentos caros. Além disso, alguns pesquisadores têm dúvidas sobre a eficácia do tratamento a laser em certos casos clínicos de cárie.

Nota: "O que devo fazer se uma parte do dente da frente se romper com um golpe?"
Uma necessidade urgente de entrar em contato com um dentista para radiografia da raiz do dente. O fato é que, como resultado de um impacto, não apenas a parte da coroa, mas também a parte da raiz podem ser danificadas; portanto, é importante identificar uma fratura da raiz a tempo, a fim de implementar uma abordagem integrada ao tratamento. Se a raiz estiver em ordem e o "nervo" não for afetado, eles fazem uma restauração simultânea do dente da frente; se houver danos nos tecidos moles dentro do dente, eles tratam o canal e só então o preenchem.
Um método mecânico para o tratamento de cárie nos dentes anteriores com uma broca fornece excisão máxima não apenas dos tecidos cariados amolecidos, mas também dos pigmentados. Isso se deve à posição fundamental em relação à estética futura. De fato, se apenas uma pequena área de dentina pigmentada ou uma mancha escura no esmalte for deixada, ao lado do selo, pelo menos a aparência da restauração será interrompida e, no máximo, cáries repetidas sob o selo logo ocorrerão.

No vídeo abaixo, você pode seguir as principais etapas do tratamento de cárie profunda no dente da frente usando uma broca:
Vídeo interessante: um exemplo do tratamento de cárie profunda no dente da frente
Durante o tratamento mecânico da cavidade, um componente importante do tratamento é o suprimento de jato de água ao dente, uma vez que, nos dentes da frente, finas camadas de tecido (esmalte, dentina) e a proximidade da câmara pulpar determinam os graves riscos de superaquecimento, até a necrose. Nesses casos, o dente começa a doer sob o preenchimento e, no futuro, será necessário remover o “nervo” dental.
Da prática do dentista
Muitas vezes, os pacientes chegam ao consultório do dentista com queixa de dor intensa no dente da frente e pensam que essa cárie "ficou doente", embora na verdade a infecção já tenha atingido o "nervo" do dente e a pulpite tenha começado.Os sintomas que surgem neste caso em um dente ruim às vezes podem ser bastante semelhantes a uma clínica de cárie: a dor pode ser pequena ou nenhuma, os estímulos externos não provocam uma reação dolorosa no dente ou são fracos. No entanto, se o médico descobrir que é pulpite, não há como se livrar de um selo ...
Primeiro, a anestesia é obrigatória; depois, a cavidade cariosa é limpa dos tecidos infectados, a amputação e a extirpação do “nervo” são realizadas (extração do canal radicular). O canal é lavado com vários anti-sépticos (peróxido de hidrogênio, hipoclorito de sódio, etc.) e selado na parte superior, ou seja, no estreitamento fisiológico da raiz, com material de enchimento endurecido com ou sem pinos de guta-percha. O trabalho no tratamento completo da pulpite pode ser realizado em uma ou várias consultas, dependendo do nível do equipamento técnico da clínica, das características do próprio dente, do profissionalismo do médico e da abordagem que ele pratica nesses procedimentos.

Após anestesia, esclarecimento da cárie, tratamento medicamentoso com soluções anti-sépticas e formação de uma cavidade para o material utilizado, é determinada a cor da futura restauração. Os materiais utilizados para restauração dos dentes anteriores durante a cárie são, na maioria dos casos, compostos fotopolimerizáveis. Cada kit produzido por uma empresa específica tem suas próprias características de cor (conjuntos de seringas com uma cor específica).
Antes da restauração, o dentista avalia:
- transparência, tom dos dentes e esquema de cores;
- tons de dente por zonas: na parte cervical, na área do corpo do dente e na aresta de corte;
- características dentárias individuais (manchas de hipoplasia, presença de fissuras).
Idealmente, após a restauração, sua superfície não deve se parecer com um "pedaço", como era nos tempos soviéticos. O trabalho final deve ter um conjunto de características individuais para que, após o polimento do preenchimento, apareça uma característica de brilho natural do esmalte, cada zona dentária tenha sua própria tonalidade de cor, o dente tenha as mesmas linhas características, microfissuras, manchas congênitas translúcidas. A restauração artística do dente da frente geralmente leva até 2 horas ou mais.

Nota
Existem várias abordagens para avaliar o resultado final: existe uma opinião de que a restauração ideal após o preenchimento deve estar em harmonia com o dente da frente simétrico a ele. Em outras palavras, se houver fossa, manchas, linhas etc. naturais no incisivo central simétrico, eles também serão recriados no dente restaurado devido à cárie.
Vários especialistas são de opinião que a restauração final do dente anterior deve corresponder em forma e cor ao dente restaurado e ao dente adjacente, mas não mais. Ao mesmo tempo, os erros que a natureza criou em um cortador simétrico e que parecem naturalmente de lado não se repetem ao restaurar um selo. Isso não quer dizer que essa técnica de restauração seja considerada não popular.
É aconselhável previamente (antes do tratamento) concordar com o médico sobre o resultado que você mais gosta e desenvolver as características individuais do dente.
O papel da prevenção na manutenção dos dentes da frente
Atualmente, a prevenção da cárie dentária nos dentes da frente está levando a manter uma bonita zona de sorriso. O complexo de tais eventos pode ser dividido em aplicativos sistêmicos e locais.

As medidas preventivas sistêmicas incluem:
- limitar a ingestão de carboidratos e a prioridade das frutas e legumes para limpar os espaços entre os dentes da frente, onde a placa e os alimentos se acumulam;
- o uso de alimentos que contenham cálcio em grandes quantidades (leite e derivados);
- profilaxia com flúor sob a supervisão de um dentista usando água fluoretada, sal ou leite, além de tomar comprimidos contendo flúor.
Medidas preventivas locais:
- limpeza dos dentes anterior e lateral com pastas de flúor e cálcio após cada refeição;
- o uso de enxaguatórios bucais com flúor (veja o exemplo abaixo na foto);

- terapia remineralizante e fluoretação profunda dos dentes da frente na consulta odontológica e no futuro - uso doméstico de géis ou soluções mineralizantes especiais.
Quanto pode custar o tratamento?
Comparado ao tratamento de cárie nos dentes posteriores, a restauração dos dentes anteriores é um prazer caro. O preço da clínica depende do tipo de cárie (inicial, média, profunda), sua localização (cervical, aproximada) e a área de destruição. Isso determina a complexidade e a duração do tratamento.

O nível de equipamento técnico da clínica, os materiais utilizados para a restauração dos dentes da frente (classe econômica, classe executiva, etc.), o profissionalismo do dentista, bem como a abordagem escolhida para o tratamento da cárie e a técnica do trabalho são importantes.
Por exemplo, se o tratamento de cárie no incisivo frontal da clínica não levar mais de 20 a 30 minutos, o melhor composto de fotopolimerização for selecionado, o "adesivo" usual do selo, que geralmente é marcante para outras pessoas, pode se tornar um resultado natural desse tratamento. Nesse caso, não é preciso falar sobre um sorriso lindo.
A restauração de arte geralmente tem um custo aumentado, mas o resultado é um trabalho individual que outros somente após um exame atento à vista poderão detectar, e mesmo assim nem sempre.
Há também uma restauração de direitos autorais. É a mesma restauração artística, mas as realizações pessoais do dentista, técnicas originais, técnicas exclusivas usadas durante o trabalho, uma combinação de materiais e algumas outras técnicas estão incorporadas. O preço da questão aqui às vezes é proibitivamente alto para um simples leigo, mas dentes bonitos podem realmente valer a pena.
Vídeo interessante: um exemplo de restauração dos dentes da frente com cárie profunda
Como lidar com a cárie dentária


Estanho. Eu tenho cárie e tenho muito medo ...
Curado?
Se você estiver com medo, peça uma injeção e depois nos sentamos, relaxe e "desfrute". A coisa mais dolorosa é uma injeção, mas você não tem medo de injeções? )))
A injeção está doente, mas você pode tolerar. Mas a boca não abrirá por 3 dias, machucará e a bochecha inchará. Então eu não sei ...
Eu também tenho cárie no dente da frente, mas tenho medo de ir ao dentista. Sabendo que será ainda pior.
Olá Eu recomendo que você consulte um médico para não causar dor intensa e posteriormente a extração dentária. As meninas recorrem frequentemente ao dentista principalmente do ponto de vista da cosmetologia. Quando o dente da frente cariado viola a estética, o preenchimento em 1-2 visitas permite retornar ou até melhorar a cor e a forma do dente da frente. Se você não tomar um dente agora, a condição dele só vai piorar.
Hoje, quase tudo é feito com anestesia (embora você possa recusar anestesia) - o dentista cuida da paz do paciente para que não doa. Então não tenha medo.
Eu já tenho um buraco, estou deprimido ((
Não é doloroso de tratar, nem mesmo uma injeção é necessária!
Isso é pipeta ... Eu geralmente preciso salvar meus dentes da frente, preciso trabalhar. Eu não consigo sorrir Devemos correr para o médico ...