
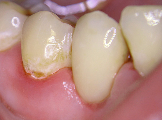
Três partes são distinguidas em um dente: raiz, pescoço e coroa. A coroa anatômica está normalmente localizada acima da gengiva, e o pescoço e a raiz são cobertos pelos tecidos circundantes. É por isso que a cárie, localizada na borda da gengiva e perto do pescoço do dente, é chamada cervical (caso contrário - cervical).
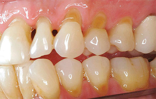
Abaixo estão algumas fotos com exemplos de cárie cervical:


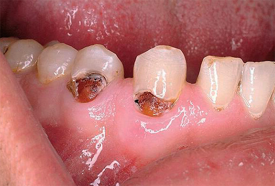
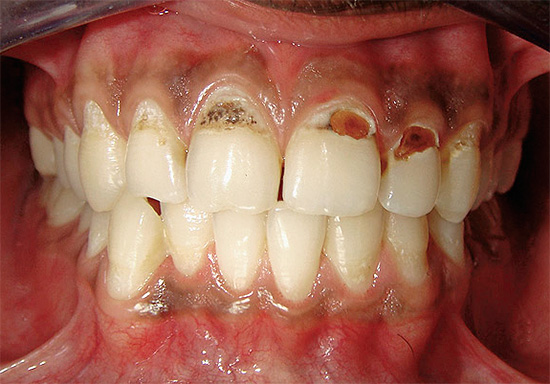
Muitas pessoas começam a levar a cárie cervical a sério e as razões que a causam somente quando o problema é claramente evidente no reflexo no espelho e causa inconvenientes estéticos naturais. A zona de sorriso para pessoas que precisam de comunicação para implementar determinadas tarefas é de particular valor. E como a cárie cervical geralmente é localizada precisamente nos dentes da frente, há uma necessidade urgente de devolver o componente estético.
A foto abaixo mostra um exemplo típico de cárie cervical nos dentes da frente:

Ao mesmo tempo, surgem muitas perguntas sobre as causas de tais problemas e, é claro, sobre possíveis métodos para eliminar a cárie cervical, que discutiremos mais adiante.
As principais causas de cárie cervical
As principais razões para o desenvolvimento de cárie cervical em geral não diferem muito das causas que causam outras formas de danos aos dentes cariados. Eles estão relacionados:
- Com a natureza e dieta: a quantidade e frequência de consumo de alimentos que contêm carboidratos facilmente fermentáveis.
- Com um fator microbiano: a atividade sob placa e em seu volume é predominantemente bactérias da espécie Streptococcus mutans. Nesse caso, as bactérias fermentam carboidratos com a formação de ácidos orgânicos, que atuam nas camadas superficial e subsuperficial do esmalte, com a formação de focos de desmineralização. Como resultado, o cálcio, o fósforo e o flúor são lavados, a treliça de cristal mineral do esmalte é quebrada com a formação gradual de um ponto cariado.
- Uma causa muito comum de lesões de cárie também é a falta de higiene bucal adequada (habilidades manuais adequadamente formadas para a limpeza das superfícies dos dentes, o modo e a frequência desse procedimento).
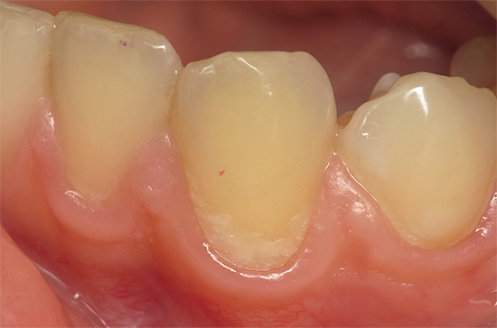
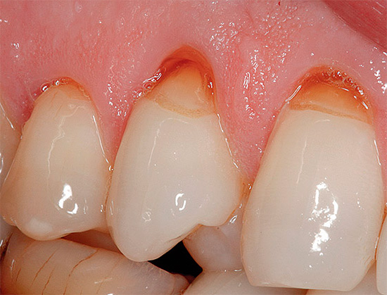
Fotografia cárie primária na área cervical do dente:

Da experiência do dentista
Muitas vezes, as pessoas me fazem perguntas como: "Por que, então, meu irmão come tão doce quanto ele quer e quando quer por muitos anos, e ele nem escova os dentes, mas eles ainda estão intactos e eu tenho recheios sólidos?"
O fato é que, embora as causas da cárie sejam as mesmas para todos, elas afetam a todos de maneira diferente. Um papel significativo na prevenção de cárie é desempenhado pela composição e quantidade de saliva, suas propriedades remineralizantes, estado funcional do corpo, influências ambientais, sensibilidade de cárie na superfície do dente, estrutura individual dos tecidos dentários, determinada pela genética e hereditariedade.
No entanto, a região cervical do dente também possui uma série de características que contribuem para o fato de que o processo de cárie aqui pode passar muito rapidamente do estágio inicial da cárie para o profundo ...
Variedade de apresentação clínica
No seu desenvolvimento, a cárie cervical passa pelos mesmos estágios que qualquer outro:
- Cárie na fase local;
- Superficial;
- Médio
- Deep.

Uma peculiaridade da cárie cervical (cervical) é que muitas vezes é difícil determinar em que estágio de destruição o esmalte e (ou) a dentina estão. É especialmente difícil distinguir entre cárie no estágio local e cárie superficial, bem como entre médio e profundo.
Isso se deve ao fato de que, na fronteira da transição da coroa do dente para o pescoço, há um esmalte fino e geralmente fracamente mineralizado. Como resultado, a região cervical tem uma tendência a abrasão excessiva devido a escovação inadequada, estresse excessivo na escova e uso de cremes dentais altamente abrasivos (geralmente chamados de clareamento).
Como resultado, ao longo dos anos, a espessura do esmalte na área cervical se torna cada vez menor. E assim que essa zona deixa de experimentar um fator de limpeza, então, com a combinação de vários mecanismos cariogênicos, a cárie cervical se desenvolve rapidamente.

Nota
Muitos pacientes, erroneamente, chamam defeitos cervicais como cáries dentárias. Do ponto de vista da classificação das cáries, essas formas não existem, mas o médico, ao pedir ao paciente para curar "cáries cervicais do dente anterior", entende facilmente que ajuda é necessária a ele (e muitas vezes nem se trata de cáries, mas de defeitos em forma de cunha). falamos depois).
Cárie gengival é sinônimo de cervical. É importante apenas distinguir entre subgengival e subgengival. O primeiro se desenvolve diretamente acima da gengiva e o segundo - nas áreas do dente que estão abaixo da gengiva.
A maioria das pessoas com manchas de cárie nos dentes na região cervical (estágio inicial) já pode sentir desconforto: desconforto, dor e até certas dores características dos dentes hipersensíveis, mas isso é menos comum. Basicamente, a cárie no estágio de mancha é assintomática e é determinada apenas visualmente na forma de uma mancha branca ou pigmentada.
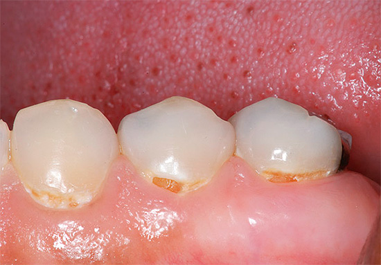
Abaixo está uma foto de cárie cervical no estágio local:

Nas cáries superficiais, a dor geralmente ocorre por irritantes químicos (salgados, doces) e pela temperatura (frio). Externamente, nesta fase, a doença se assemelha à cárie no local da mancha, mas ao sondar um dentista com um instrumento afiado especial (sonda), uma zona de rugosidade é detectada no centro do local vasto.
A cárie cervical média e profunda é frequentemente caracterizada por toda uma paleta de sintomas de dor de todos os tipos de substâncias irritantes. Às vezes, eles podem se juntar à dor causada por influências mecânicas, quando a comida dura entra, mas isso é raro devido ao formato dos dentes, que protege as zonas cervicais dos alimentos que caem sob a borda da gengiva.
Cervical cárie dos dentes anteriores freqüentemente causa dor ao inalar ar frio.

Comentários
Há um mês, ele foi forçado a consultar um dentista quando seus dentes da frente caíram. Primeiro, as da frente estavam ligeiramente escurecidas perto das gengivas e depois as presas também. Isso não terminou aí. Poucos dias antes de visitar o dentista, comecei a sentir fortes dores nos dentes da frente por água fria e, às vezes, por doces. Tentei beber água morna e comer menos, mas não consegui continuar dessa maneira. Fui à clínica, onde por cinco visitas meus dentes da frente foram reparados e depois minhas presas. Eles disseram que esta é uma cárie cervical negligenciada. A cor, no entanto, não combinava perfeitamente, mas economizou o dinheiro.
Maxim, Tolyatti
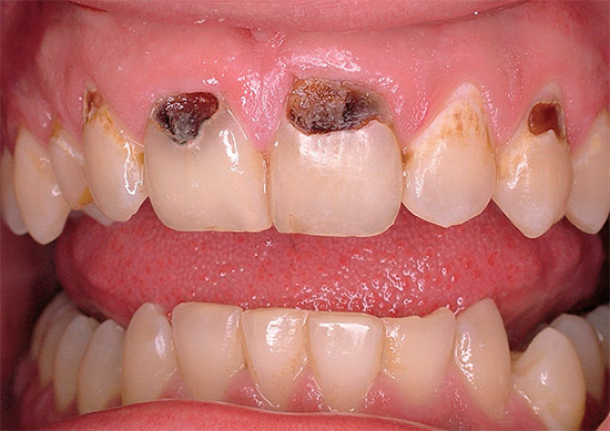
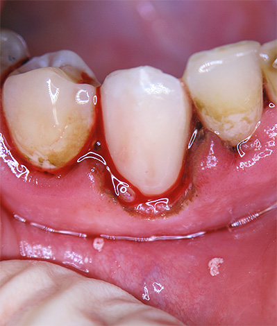
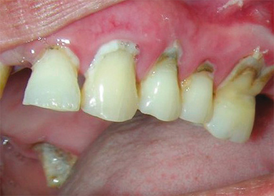
A foto a seguir mostra claramente a cárie profunda na região cervical:

Cárie cervical e circular: semelhanças e diferenças
A seguinte zona de lesão é característica da cárie cervical: as áreas subgengivais das superfícies vestibular (bucal) e lingual (palatina) dos dentes laterais e da frente.
Se as causas da patologia não são eliminadas, há um aumento nos limites da cárie na região cervical para as superfícies de contato com a cobertura do dente na forma de um anel - neste caso, estamos falando de cárie circular. Ou seja, cárie circular pode ser chamada condicionalmente de "complicação do colo do útero".
Em maior medida, a cárie circular afeta os dentes de leite, especialmente em crianças enfraquecidas.Também é chamado de "anular" ou "anular".
Na foto abaixo, você pode ver um exemplo de cárie circular nos dentes do bebê:

É fácil adivinhar que a cárie circular, por ser mais agressiva, geralmente ocorre com sintomas clínicos graves e, às vezes, leva a fraturas ou lascas da coroa do dente afetado. No entanto, em alguns casos, mesmo esses defeitos graves podem não causar dor intensa, pois produzem dentina de reposição que protege a polpa da irritação.
Possibilidades de diagnóstico diferencial de cárie cervical
Em casa, é difícil determinar exatamente que tipo de educação sobre o dente estraga a estética ou causa dor. Manchas, derrames, defeitos, recuos na região cervical - tudo isso pode caracterizar os seguintes tipos de patologias:
- Na verdade, cárie cervical.
- Doenças dentárias de origem não cariosa (fluorose, hipoplasia, erosão, defeito em forma de cunha, etc.).
- Várias opções para placa pigmentada (colorida), até a chamada “placa do fumante”.
Abaixo a foto mostra as manchas nos dentes com fluorose:

De todas essas opções, a cárie cervical ocupa o primeiro lugar no número de visitas de pessoas ao dentista. Outros tipos de patologias são menos comuns.
Somente um médico pode fazer um diagnóstico final corretamente, mas você pode se orientar corretamente antes mesmo de consultar um dentista. Na maioria das vezes, surgem dificuldades ao comparar cárie com fluorose e hipoplasia do esmalte.
A idade de existência de manchas ou manchas no esmalte, bem como sua localização em diferentes partes da coroa dentária, pode indicar hipoplasia (sua causa é o subdesenvolvimento do esmalte dentário, causado mesmo no estágio de desenvolvimento do feto no corpo da mãe). Para confirmar o diagnóstico, o dentista mancha a mancha com uma solução a 2% de azul de metileno. Se a mancha não mancha, trata-se de hipoplasia do esmalte e não de cárie cervical no estágio de uma mancha branca.

A fluorose é mais difícil de distinguir de cárie e outras lesões não cariosas. É importante conhecer o nível de flúor na água potável nesta área ou na área de residência precoce. Se estiver elevado, a natureza múltipla das manchas localizadas nos dentes com o mesmo nome ao mesmo tempo indica fluorose. A cárie cervical geralmente se desenvolve como um único local cariado.
É importante distinguir entre um defeito em forma de cunha e cárie cervical: eles diferem em que o primeiro está na forma de uma cunha ou em forma de V. Com um defeito em forma de cunha, as paredes da cavidade são densas, lisas e brilhantes, o que não se pode dizer sobre a destruição cariosa do dente na região cervical.
Apesar de a localização dessas doenças ser a mesma, a aparência da cavidade sempre informa ao médico o diagnóstico correto. Além disso, as formas iniciais de cárie e um defeito em forma de cunha podem ser reconhecidas quando manchadas com indicadores especiais de cárie.
Não existe cárie dentária em forma de cunha. Este é o nome comum para um defeito em forma de cunha.
Na foto, você pode comparar o defeito em forma de cunha e a cárie cervical:


Comentários
Fui ao dentista sobre a estranha destruição dos dentes da frente e de trás, à esquerda. Eu já tenho mais de 50 anos, quase todos os meus dentes, não sofria de cárie, ao contrário dos meus parentes, mas recentemente senti dor de água fria e comecei a examinar meus dentes na frente do espelho. Eu encontrei alguns furos perto das gengivas no canino e em outros dentes apenas no lado esquerdo.
O médico disse na recepção que estes são defeitos em forma de cunha nos três dentes à esquerda, e não são de cárie. A possível razão era que eu era destro e sempre escovava os dentes com força e por um longo tempo, então apaguei o esmalte no lado esquerdo, pois é mais conveniente escovar lá. O dentista me mostrou que também existem defeitos iniciais em forma de cunha à direita, mas eles ainda não foram expressos.
Sergey, Volokolamsk
Métodos de tratamento modernos e especificidades da escolha de materiais para recheios
Dependendo da profundidade da lesão, a tática de tratamento apropriada é escolhida.
O tratamento domiciliar para cárie cervical pode ser um complemento para identificar a terapia de cárie em estágio. Nesse caso, aplique:
- cremes dentais e géis contendo fluoretos em altas concentrações, bem como compostos de cálcio e fósforo;
- fio dental embebido em fluoretos;
- enxágüe novamente com fluoretos (já que esse elemento em particular promove de maneira muito eficaz a mineralização do esmalte dos dentes).
O uso de complexos contendo flúor por conta própria, sem consulta prévia ao dentista, pode ser perigoso para a saúde. Qualquer prescrição de medicamentos ou fundos adicionais é baseada no diagnóstico, atividade do processo cariado, área da lesão, resultados a longo prazo e possíveis riscos.

A cárie cervical no estágio local geralmente é passível de tratamento conservador, ou seja, sem o uso de uma broca. No entanto, devido à proximidade do tecido gengival, vazamento constante de líquido gengival na área de trabalho e uma fina camada de esmalte, são criadas algumas dificuldades para a aplicação de algumas novas técnicas.
Por exemplo, a moderna tecnologia ICON minimamente invasiva (Aikon), devido à localização próxima da dentina na região cervical, é limitada ao uso, uma vez que as substâncias utilizadas não podem afetar a dentina. É difícil determinar quão fino é o esmalte na região cervical de uma pessoa em particular, portanto, essa técnica raramente é usada para cárie cervical.
Produtos químicos relacionados à terapia remineralizante e fluorinação profunda do esmalte são amplamente utilizados.

Atualmente, na odontologia adulta e pediátrica, os seguintes medicamentos são usados ativamente no tratamento da cárie cervical inicial:
- Glufthored;
- Líquido de selagem de esmalte;
- Belagel Ca / P, Belagel F.
- Remodent.
O tratamento da cárie cervical superficial, média e profunda com a impossibilidade de terapia conservadora é realizado na seguinte sequência:
- Anestesia (anestesia) para garantir manipulação indolor.
- Limpar um dente cariado da placa dentária para reduzir a carga infecciosa.
- Preparação (usinagem) do dente para remover tecidos cariados e pigmentados.
- Tratamento medicamentoso da cavidade com soluções fracas de anti-sépticos.
- A formação da cavidade de acordo com o material selecionado para uma vedação permanente.
- Preenchendo uma cavidade formada.

A complexidade da escolha do material para o enchimento é determinada pela localização direta da cavidade formada perto da margem gengival. Quanto mais próxima a cavidade da goma, mais difícil é estabelecer o material de uma maneira de qualidade. A razão para isso é a possibilidade de umidade, fluido gengival e sangue entrar na superfície de trabalho.
Opinião do dentista
Os mais difíceis para obturações de alta qualidade não são nem as cáries subgengivais, mas sua combinação com as cavidades subgengivais. As formas combinadas não são tão raras e estão associadas à atividade do processo cariado em um dente específico. Freqüentemente, a cárie cervical dos dentes anteriores é complicada por defeitos subgengivais, que, como resultado da preparação, podem ser difíceis de isolar do líquido (sangue), mesmo usando a ensecadeira. Nesse caso, o médico escolhe um material que pode ser inferior em força e estética, mas endurece de forma confiável em um ambiente úmido.

Devido às especificidades da localização de cáries, a escolha dos dentistas é reduzida ao uso de cimentos de ionômero de vidro (SIC), que são mais resistentes à umidade em comparação com materiais compósitos estéticos de fotopolimerização. De particular interesse são os CCI híbridos.
Nota
Um dos cimentos de ionômero de vidro mais amplamente utilizados para preencher cavidades em cáries cervicais é o VITREMER (Vitremer). Este é um dos poucos SICs com uma ampla gama de cores, um mecanismo de cura triplo e alta resistência.No tratamento da cárie cervical, este material compete com materiais compósitos fotopolimerizáveis.
Técnicas e tecnologias modernas tornam possível combinar cimentos de ionômero de vidro com compósitos para obter o máximo efeito. A implementação adequada das instruções para os materiais utilizados possibilita o uso vantajoso das propriedades positivas de cada material subsequente quando introduzido na cavidade formada, criando uma vedação com fixação confiável, maior tempo de retenção, resistência e estética.
Um exemplo de dentes cheios após o tratamento da cárie cervical é mostrado abaixo na foto:

Infelizmente, muitas organizações orçamentárias não podem se gabar da possibilidade de usar tecnologias e materiais modernos. O equipamento de hospitais e clínicas geralmente se limita apenas a materiais com seguro médico obrigatório, onde não há caixa, ejetor de saliva, moderno e conveniente para trabalhar com defeitos cervicais do centro de testes, compostos fotopolimerizáveis - tudo o que é necessário para um trabalho de alta qualidade a longo prazo.
Comentários
Há uma semana, diante de um espelho, encontrei no dente superior da frente uma mancha escura perto das gengivas. Não houve dores, mas o medo da perspectiva de andar com um dente preto parecia-me, como professor de física na escola, mais forte do que o medo do dentista desde a infância. Eles aconselharam um bom médico em um pequeno consultório particular, onde, após examinar a mancha, o médico disse que era a cárie cervical, que já havia destruído todo o esmalte e ficou um pouco embaixo da gengiva. Verificou-se que o medo tinha grandes olhos: eles fizeram uma boa injeção de importação, perfuraram um pouco, colocaram um selo de cada vez, e até a cor do selo, pode-se dizer, quase como um real, nem sequer pode ser distinguido do lado de fora.
Alexander, Omsk
Características do diagnóstico precoce e prevenção de cárie cervical
Entre os métodos de diagnóstico comuns para cárie cervical estão os seguintes:
- Métodos visuais. Eles são usados ativamente pelo médico e pelo paciente. Quando a cárie ocorre nos dentes da frente, não é tão difícil reconhecer defeitos (especialmente na forma avançada). Nesse caso, o médico precisa apenas de um espelho dental e uma sonda.

- Diagnóstico a laser. Não é uma técnica menos popular, especialmente quando se trata de cárie oculta ou cárie radicular zona. Um dos dispositivos - "Diagnodent" - usa o princípio de alterar as características de um raio laser refletido nos tecidos dos dentes afetados por cárie. Assim que a cárie cervical ou cárie radicular é encontrada, o dispositivo emite um sinal sonoro.
- O método de coloração vital de pontos cariados. Ideal para dúvidas do médico no diagnóstico de cárie. A maneira mais fácil e confiável é manchar a mancha com um marcador especial de cárie (indicador), que, por exemplo, é usado, por exemplo, em uma solução de corante a 2% de azul de metileno. Se ocorrer uma mancha - esta é a cárie inicial. Também podem ser utilizados outros corantes químicos bem conhecidos: solução de vermelho de metileno a 0,1%, solução de carmim, congorota, tropeolina, nitrato de prata.
- Transiluminação A técnica, usada com muito menos frequência, mas permite identificar as formas iniciais de cárie cervical quando os dentes são expostos a um raio de luz brilhante. Nesse caso, a formação da sombra é avaliada à medida que o feixe passa através de tecidos saudáveis e afetados por cáries.
A prevenção moderna de cáries visa eliminar as causas de seu desenvolvimento:
- Primeiro, você precisa quebrar a cadeia de “carboidratos - um fator microbiano” (que interromperá o desenvolvimento não apenas da cárie cervical, mas também geralmente melhorará a situação cariogênica na cavidade oral).
- Em segundo lugar, é necessário fortalecer a estrutura mineral do esmalte.

Para implementar a primeira direção, as seguintes etapas devem ser seguidas:
- Observe o regime alimentar e a natureza, enfatize alimentos sólidos e moderadamente ásperos, aumente a quantidade de frutas e legumes (principalmente após a refeição principal), limite o consumo de carboidratos facilmente fermentáveis de qualquer forma (bolos, biscoitos, doces, pães, etc.) .).
- Siga as regras importantes de higiene: escove todas as superfícies dos dentes acessíveis com escovas, cremes dentais e fio dental pelo menos duas vezes por dia e enxague a boca imediatamente após cada refeição. É importante entender que escovar os dentes antes de comer não dá um bom resultado, pois uma placa dentária semeada de germes se forma em questão de horas após um lanche.
Nota
O uso do fio dental não é uma perda de tempo, mas uma limpeza completa das superfícies de contato mais inacessíveis, especialmente na região cervical, onde a cárie geralmente começa a se formar.
A foto mostra um exemplo do uso do fio dental:

Para fortalecer a estrutura mineral do esmalte, basta combinar os métodos acima com várias formas de medicamentos para remineralização e fluorinação em casa. A gama de produtos que contêm componentes minerais (flúor, cálcio, fósforo) em suas várias combinações é enorme. O dentista ajudará você a descobrir o que é melhor para a saúde de seus dentes e também terá menos riscos quando você o usar.
Os mais populares para a profilaxia caseira de cárie cervical são: cremes dentais com flúor e cálcio, enxágue (com flúor) e fio dental embebido em flúor.
A combinação correta e segura de métodos e meios de prevenção geralmente é selecionada na consulta de um dentista. Dentro de 20 a 40 minutos, o médico pode falar sobre os prós e os contras de cada um deles, determinar a opção mais adequada para você, levando em consideração parâmetros individuais (suscetibilidade do automóvel, nível de higiene e condição da região cervical).
Um vídeo interessante sobre as características da cárie cervical
Um exemplo do tratamento de cárie cervical profunda usando uma broca


Muito informativo, obrigado!
Assustador, mas é necessário tratar.
Muito interessante Eu nem sabia que existem diferentes tipos de cárie. Vamos tratar um pouco. Embora agora um dentista não seja um prazer barato.
Muito interessante, eu aprendi muito. Quando meus dentes doíam, fui aconselhado na farmácia a enxaguar com múmia e pasta sensodyn. E depois de 2 dias a dor diminuiu. Mas, é claro, não me recuperei até o fim, estou procurando um dentista experiente.
Um artigo muito bom Um dente já estava cheio. Somente quando eles perfuram dolorosamente, e então - nada.
Até 2012, ela tratava os dentes com VHI. No mínimo, havia dentes, eu podia comer, beber, sorrir. Então, tendo perdido o VHI, ela passou pelo seguro de saúde obrigatório até a clínica do distrito, onde eles me perfuraram sem ter anestesiado dentes suficientes. Pago não foi possível tratar. 6 anos se passaram.Agora tenho 50 anos ... E tenho cárie cervical e metade dos dentes. Século 21 ... Você precisa jurar nas clínicas ou apodrecer vivo. Esta situação é na odontologia e em outras áreas médicas.