
Quando ocorre cárie cervical, muitas pessoas, em vez de correrem para a clínica para tratar um dente o mais rápido possível, atrasam esse momento indesejável. Isso se deve em parte a várias informações conflitantes na rede sobre a possibilidade de tratar a cárie cervical, mesmo em casa (com suas formas iniciais), sobre a possibilidade de usar cremes dentais remineralizadores e outros meios disponíveis que supostamente ajudam a restaurar efetivamente o esmalte dos dentes e, assim, salvar uma pessoa de problemas
Sobre onde está a verdade e onde está o mito, quais métodos de tratamento da cárie cervical são realmente eficazes e o que pode ser feito em casa, falaremos mais adiante. E também considere o mecanismo de desenvolvimento de patologia e características associadas à localização de cárie na zona cervical do dente.

Características de cárie cervical e quadro clínico característico
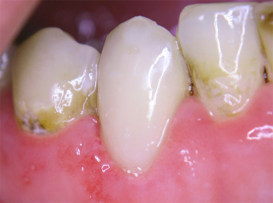
A cárie cervical aparece, em geral, pelas mesmas razões que qualquer outra cárie, e está associada à atividade vital de microorganismos que convertem carboidratos em ácidos orgânicos. Por via de regra, a patologia é formada no contexto de falta de higiene bucal e progride muito rapidamente sem tratamento oportuno
A falta de habilidades de escovação formada desde a infância e a negligência do fio dental (a partir da adolescência) levam ao fato de que as superfícies mais sensíveis aos dentes são afetadas, onde a placa se acumula abundantemente.

Nota
O fator microbiano no desenvolvimento de cárie no fundo do uso de produtos que contêm carboidratos facilmente fermentáveis (principalmente sacarose) foi comprovado em 1884 por Miller. Esta teoria químico-parasitária do desenvolvimento de cárie com pequenas alterações sobreviveu até os dias atuais. A desmineralização focal das camadas subsuperficiais do esmalte começa sob a placa, como resultado da fermentação de carboidratos por bactérias da espécie Streptococcus mutans com a formação de vários ácidos orgânicos que “corroem” a estrutura do esmalte. Ao mesmo tempo, a composição mineral da estrutura cristalina dos prismas de esmalte é violada com a formação dos chamados "microporos", e visualmente isso se manifesta pela formação de, por exemplo, cárie cervical no estágio local.

Muitos dentistas tendem a acreditar que a cárie cervical é uma forma bastante agressiva de doença dentária, devido a vários fatores.
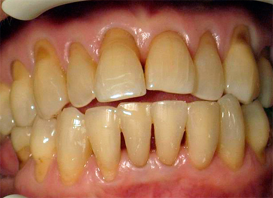
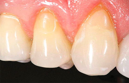
- A área de lesão por cárie cervical possui uma pequena espessura de tecidos protetores e, muitas vezes, o esmalte não é suficientemente mineralizado. Um dente consiste em uma coroa, um pescoço e uma raiz. O colo do dente está normalmente localizado sob a borda da gengiva, e toda a área próxima à borda do pescoço é chamada de “cervical”. A cárie seletiva dessa zona fraca em particular geralmente envolve a destruição ativa do esmalte e da dentina, até a polpa ("nervo"), com o rápido início de sensações dolorosas características de cada estágio do distúrbio. É por esse motivo que a cárie cervical, sem tratamento oportuno, pode começar em um curto período de suas complicações: pulpite, periodontite, etc.
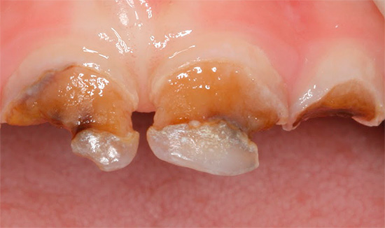
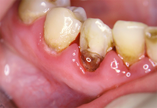
- Defeitos combinados. A especificidade da localização e disseminação da lesão é que freqüentemente os defeitos cervicais "espalham-se" por toda a região cervical, atingindo o meio da coroa dentária, aprofundando-se sob a gengiva ou capturando superfícies de contato com a transição para as chamadas cáries circulares. Nesses casos, o dente é coberto por cárie em um círculo que, sem tratamento, geralmente leva à ruptura de parte ou de toda a coroa.
A foto abaixo mostra um exemplo de cárie circular de dentes decíduos:

Uma peculiaridade da cárie cervical também é o fato de que os defeitos geralmente se localizam na “zona do sorriso”. Se as áreas de destruição estiverem localizadas no grupo lateral de dentes ou em superfícies inacessíveis ao olhar, na maioria das vezes isso não causa sérias conseqüências e experiências estéticas; no entanto, é possível a dor de curto prazo causada por vários irritantes e os riscos de cárie em suas complicações sem iniciar o tratamento.
Quando o colo do útero cárie nos dentes da frente (especialmente na "zona do sorriso"), problemas psicológicos sérios geralmente surgem, até um colapso nervoso. Isso é especialmente verdade para pessoas cujo trabalho está associado a contatos comerciais ou atividades públicas constantes (jornalistas, artistas, gerentes, professores, médicos, etc.).

Os sintomas da cárie cervical podem ser muito diversos, mas todos se enquadram na regra geral: as dores são sempre de curto prazo e desaparecem rapidamente após a remoção do irritante. É esse aspecto que permite fazer o diagnóstico preliminar correto e não confundir com as complicações da cárie.
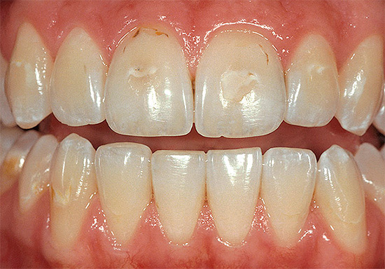
A cárie cervical no estágio local, por via de regra, se manifesta apenas visualmente: alterando a cor do esmalte na região cervical: de uma mancha branca para uma pigmentada, dependendo da atividade da cárie e das opções de coloração com corantes nos alimentos. Às vezes, há uma sensação passageira de irritação por substâncias químicas (especialmente ácidas). Nesta fase, o tratamento é possível com métodos conservadores, sem a preparação do dente com uma broca.
A cárie cervical superficial sem tratamento oportuno pode causar um quadro clínico mais diversificado, com o desenvolvimento de dor por frio, calor e doce, embora às vezes também se desenvolva de forma assintomática.


Se você não iniciar o tratamento, outras cáries cervicais da forma superficial vão para o meio e depois profundas. Nesse caso, a dor ocorre com mais freqüência por substâncias químicas (salgadas doces), temperaturas (frias e quentes) e mecânicas (se houver comida sólida) irritantes. Vale ressaltar mais uma vez que todas as dores são de natureza de curto prazo e passam rapidamente quando o fator causador que as causa é eliminado.
Comentários
Quando havia dores no dente da frente por água fria - a princípio não entendi o que estava acontecendo. Ele olhou no espelho e ficou horrorizado: perto da gengiva perto do dente superior, havia uma mancha escura quase imperceptível que se estendia sob a gengiva. Fui a um dentista familiar para tratamento. Ele me disse que isso é cárie cervical. O tratamento demorou cerca de 40 minutos, coloquei um selo parecido com a cor do meu dente, agora eu bebo água fria, o quanto você quiser ...
Valery, Tambov
Tratamento da cárie cervical em casa: realidade ou mito?
Para muitas pessoas, o próprio fato da possibilidade de tratamento da cárie cervical em casa permite não procurar um dentista durante muito tempo (por exemplo, por causa do medo das crianças de ter dor de dente terrível durante o tratamento com uma broca). Bem então a boa notícia para essas pessoas é que certas terapias domésticas realmente não têm sentido.

A cárie cervical no estágio local pode ser curada em casa por um longo tempo usando produtos de higiene e preparações com concentrações aumentadas de fluoretos e cálcio para saturar a estrutura enfraquecida do cristal de esmalte na zona de sua alteração de cor (são possíveis contra-indicações). Você pode, por exemplo, usar géis remineralizantes, além de cremes dentais especiais de cárie cervical.
No entanto, com esse tratamento, alguns pontos importantes devem ser considerados:
- A cárie cervical e suas características são individuais para cada pessoa: localização, profundidade do dano, área, estrutura do esmalte, etc.Além disso, o processo de cárie na região cervical (regiões) geralmente ocorre no contexto de vários fatores agravantes, que podem incluir falta de higiene bucal, idade, presença de outros problemas com os dentes e saúde geral. Não há garantia de que escolha independente tratamento de cárie em casa, levará em consideração todas as nuances não apenas da cavidade oral, mas também de características não menos importantes gerais, das quais depende o sucesso da terapia direta ou indiretamente.

- A gama de produtos (preparações) para tratamento profissional e doméstico e prevenção de cárie cervical é muito diversa e ampla. Novamente, não há garantia de que a escolha independente de um ou outro remédio seja tão bem-sucedida que não apenas resolverá o problema do tratamento da cárie cervical no estágio local em pouco tempo, mas também não prejudicará o estado geral da saúde e da saúde bucal em altas concentrações, por exemplo, fluoretos (que pode ser perigoso se usado incorretamente).

- A cárie cervical pode ser tratada com métodos conservadores apenas na fase local. E com que probabilidade você pode supor que seu defeito cervical é cárie no estágio local e não superficial, médio ou profundo (ou uma doença de origem não cariosa em geral - hipoplasia do esmalte, fluorose, defeito em forma de cunha ou depósitos dentários comuns - placa pigmentada ou pedra)?
Da experiência do dentista
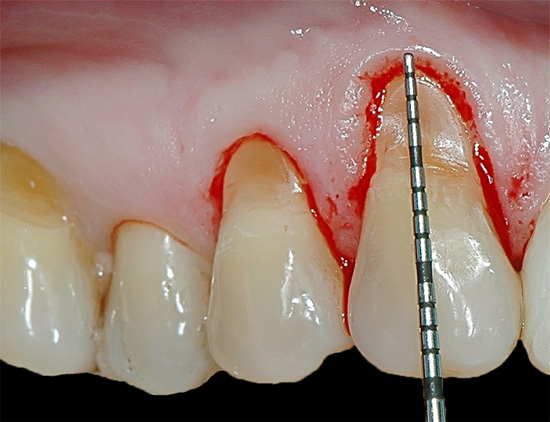
Mesmo um dentista em uma consulta profissional para esclarecer o diagnóstico realiza não apenas diagnósticos clínicos (interrogatório, exame, sondagem), mas também métodos de pesquisa especiais (coloração com corantes, raios-x, MOE, transiluminação etc.). Às vezes, leva de 10 a 15 minutos a 60 minutos. De fato, as táticas corretas para o tratamento posterior da cárie cervical dependem do diagnóstico correto.
Muitas vezes, sob a cárie cervical, no estágio local, são mascarados os defeitos dos tecidos profundos (camadas profundas de esmalte e dentina), além de complicações comuns da cárie - pulpite e periodontite. Quando a pulpite (ou periodontite) é detectada, as táticas de tratamento se resumem ao tratamento do canal dentário com a eliminação do processo infeccioso. A colocação de um preenchimento na região cervical sem processar e encher o (s) canal (ais) logo levaria a complicações ainda mais graves, incluindo a perda dentária.
Remédios populares populares para o tratamento de cárie cervical
A cárie cervical é frequentemente acompanhada de sensações dolorosas que podem não durar muito tempo até que a causa que as causa seja eliminada: doce, frio, quente - tudo isso pode causar dor com graus variados de intensidade. Às vezes, pode causar dor muito intensa durante as refeições, o que já é característico de cárie cervical profunda.

Na medicina popular, existem muitas maneiras de se livrar temporariamente da dor, se a consulta com o médico por circunstâncias intransponíveis for adiada por algum tempo.
Entre os métodos populares de tratamento da cárie, os remédios populares distinguem:
- Infusões para enxaguar a boca: de sálvia, erva-cidreira, mirtilos, folhas de amora, capim-malva, capim-knotweed, orégano;
- Decocções para enxaguar a boca: da casca de carvalho, aspen, violetas tricolores, ramos floridos de absinto, valeriana;
- Raízes para mastigar: angelica vulgaris, calamus;
- Tintura de própolis para lavagem, previamente diluída em água.
Receita popular para dor na cárie
Um dos remédios populares mais simples para se livrar das dores durante a cárie é a infusão com sálvia. É necessário preencher 2 colheres de sopa de grama seca com meio litro de água fervente e depois insistir por cerca de 30 minutos em um recipiente fechado. O produto resultante deve ser filtrado e lavado com uma solução quente 4-5 vezes ao dia, principalmente após a ingestão. Isso não restaurará os dentes, mas permitirá aguentar um pouco antes de ir ao dentista para tratamento normal.


O alívio da dor na cárie cervical após o uso de remédios populares é temporário e pode até mascarar problemas sérios, por exemplo, a transição da cárie cervical para a pulpite. Portanto, tenha cuidado e tente entrar em contato com um especialista o mais rápido possível.
Características do preenchimento de um defeito gengival no dentista
A cárie cervical é uma das lesões de cárie mais complicadas da clínica.
A maneira mais fácil é tratar a cárie cervical no local spot com um método conservador, ou seja, sem o uso traumático de uma broca e preenchimento. Os remédios mais comuns são os preparativos para a remineralização da terapia e a fluoretação profunda.


- Glufthored;
- Líquido de selagem de esmalte;
- Gel de remineralização R.O.C.S. para uso em escritório;
- Belagel Ca / P, Belagel F;
- Remodent;
- "Fluorodente";
- "GC Tooth Mouss."
E outros
O tratamento da cárie cervical no estágio spot com o método de remineralização da terapia inclui as seguintes etapas:
- Higiene bucal profissional com limpeza dental da placa dental (placa, pedra).
- Aplicação de géis remineralizantes ou aplicação de preparações contendo flúor em 2-3 visitas com os intervalos exigidos pelas instruções.
- Uso doméstico de preparações prescritas pelo dentista e produtos de higiene para fortalecer ainda mais o esmalte.
Apesar da visão geral boa da cavidade cariosa para o médico e da conveniência da abordagem, o local da gengiva apresenta muitos problemas no tratamento de cáries cervicais superficiais, médias e profundas usando tratamento mecânico da cavidade, a saber:
- localização inconveniente da cavidade do defeito cervical para preenchimento (especialmente quando combinada com cárie subgengival);
- umidade no campo de trabalho;
- penetração do sangue da borda inflamada ou lesionada das gengivas no campo de trabalho.

Listamos os princípios básicos do tratamento da cárie cervical usando os métodos de limpeza mecânica da cavidade cariosa e subsequente preenchimento:
- Limpeza das superfícies dentárias da placa dentária;
- Isolamento do campo de trabalho com cofferdam (rabberdam) com bom equipamento clínico;
- Dissecção da cavidade com resfriamento ar-água com excisão de tecidos cariados e pigmentados;
- A formação de uma cavidade para o material selecionado para o selo;
- Instalação de material de enchimento de acordo com a técnica de enchimento;
- Correção de vedação: retificação, polimento.
Entre os principais materiais modernos para o tratamento de cárie cervical com preenchimento, podem ser observados cimentos de ionômero de vidro (SIC), compósitos fotopolimerizados, compômeros e ormocers (cerâmica organicamente modificada).


É interessante
Um representante proeminente dos ormokers é Admira. Ormoker é um grupo de materiais de restauração fotopolimerizados ou cerâmica organicamente modificada. Eles têm alta biocompatibilidade, são mais fáceis de modelar e apresentam menor retração do que os clássicos "recheios leves", são resistentes à abrasão. Eles são usados para preencher defeitos de todas as classes, inclusive com cárie cervical.
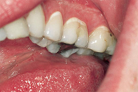
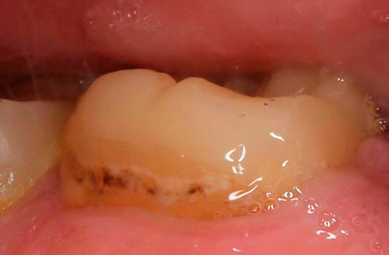
Atualmente, tecnologias combinadas que utilizam 2-3 materiais diferentes são usadas para preencher a cárie cervical para maximizar a extração das propriedades positivas de cada um e minimizar os efeitos negativos. Isso possibilita não apenas lidar com situações clínicas complexas associadas à localização subgengival ou subgengival de cáries, mas também permite restaurar os parâmetros estéticos e funcionais do dente, ou seja, preservar um dente bonito por muitos anos.
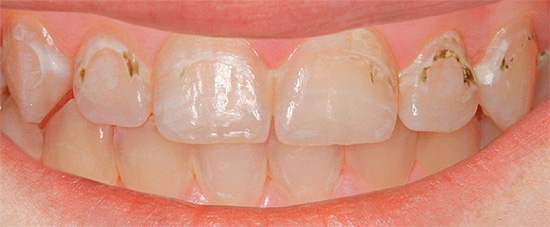
A foto mostra como os dentes cuidam do tratamento da cárie cervical profunda:

Prevenção é a melhor proteção contra cárie cervical
A prevenção de cárie cervical é muitas vezes melhor e mais lucrativa do que qualquer tratamento.No entanto, a maioria das pessoas não conhece o básico ou negligencia as regras elementares que podem proteger os dentes da cárie cervical, mesmo para quem é propenso ao desenvolvimento dessa patologia.
Se o mecanismo de desenvolvimento da cárie é conhecido há mais de cem anos, basta quebrar os elos que levam a ele, a saber:
- Limite o uso de carboidratos facilmente fermentáveis com alto processamento culinário (doces, produtos de farinha). Isso permitirá não apenas uma maneira útil de ajustar a dieta, mas também reduzirá os riscos de cárie dentária.
- Observar a cultura da ingestão de carboidratos, se não for possível recusá-los completamente: em nenhum caso eles devem ser ingeridos nos intervalos entre as refeições principais, em grandes quantidades, e ainda mais à noite sem higiene bucal.
- Aumente o consumo de alimentos ásperos (sólidos), especialmente no final da refeição. A alternância de frutas duras (maçãs) e legumes (cenouras) cria um procedimento de autolimpeza para as superfícies dos dentes, o que não é uma inovação, mas era uma cultura alimentar até mesmo dos antigos eslavos.
- Após uma refeição, os dentes devem ser escovados como um procedimento obrigatório. Escovar os dentes antes do café da manhã é um procedimento quase inútil, pois a placa depois de comer começa a se formar durante as primeiras horas.
- Assim que possível, ajuste suas habilidades de escovação no dentista (higienista) ou com a ajuda de um vídeo de treinamento. O nível de higiene e a proteção dos dentes do colo do útero e de qualquer outra cárie depende da devida observação da técnica de limpeza das superfícies acessíveis à escova.
- É imperativo incluir fio dental na lista de procedimentos de higiene, devido à sua alta eficácia contra cárie cervical que ocorre nas superfícies de contato entre os dentes, que não são totalmente acessíveis para uma escova de dentes.

Ferramentas especiais proteção de cárieque pode ser usado em casa:
- Pastas dentárias de cárie cervical com uma concentração de fluoreto de 1000 a 1500 ppm;
- Fio dental embebido em fluoretos;
- Enxágüe com flúor.
A maioria dos produtos de higiene para proteger os dentes do colo do útero e de outros tipos de cárie disponíveis no mercado (por exemplo, cremes dentais) são seguros para os dentes e para a saúde humana em geral, mas sempre há riscos. Em cada faixa etária, dependendo da situação cariogênica na cavidade oral, da estrutura do esmalte dentário, do nível de higiene, do número de obturações e dos dentes removidos, da concentração de flúor na água potável em uma área específica, da saúde geral e da presença de patologias concomitantes, etc., um indivíduo é selecionado um conjunto de ferramentas para fortalecer e proteger os dentes em casa e profissionais contra cáries cervicais e outros tipos. Podem ser pastas, géis e soluções.
Essa é a abordagem sistemática competente em relação à saúde do dentista do paciente. Portanto, se você não tiver certeza da exatidão de suas ações em relação à prevenção, entre em contato com um especialista para obter aconselhamento profissional.
Um vídeo interessante sobre as características da cárie cervical
Causas de cárie e métodos eficazes de proteção contra ela



Por alguma razão, vários dentistas não me aconselharam a tocar nesse tipo de cárie, porque após a intervenção da broca, a sensibilidade do dente aumenta, você concorda com isso? Minha cárie cervical já é marrom, outro dentista recomenda um selo, acho que devo concordar ...
Dizem que na região cervical do dente, nenhum preenchimento é realizado (exceto cimentos de craqueamento rápido)! Dizem que é melhor remover e inserir imediatamente a prótese.
Eu tenho cárie cervical no mesmo estágio. E também todo mundo diz coisas diferentes - em quem acreditar? Sou um paciente disciplinado: quando o médico argumenta razoavelmente, o que fazer, eu faço. Mas quando eles mesmos não sabem ... Mas esse problema não apareceu ontem, durante esse período eles melhoraram o aparelho, as coroas - só isso, mas a questão da cárie cervical não incomoda ninguém: ((É mais lucrativo colocar implantes!
Exatamente você está falando! Quantos não foram a dentistas, ninguém quis tratar. TOTAL de cárie profunda que é tarde demais para tratar. É uma pena as lágrimas!
Isso é desumano, a mesma história. O fluoreto, remineraliza, não come farinha - esse é o conselho deles. Ainda assim - verifique com o endocrinologista. E o que verificar, eu tenho um pâncreas doente, eles não querem tratar nada. Ficar sem dentes ou algo assim ... Para que eles aparecessem.
Concordo que é mais lucrativo para os médicos amantes de dinheiro arrancarem um dente e inserirem um novo por dinheiro. Um bom médico fará de tudo para salvar um dente! Mas os preguiçosos e os selos não resistem e fazem um tapa, e geralmente não vêem o problema. Vários médicos disseram sobre minha cárie cervical - deformidade do esmalte, e apenas um médico disse que era necessário tratar.
A cárie cervical é uma conseqüência da desmineralização do tecido ósseo. Nesse caso, o implante pode não se enraizar. Você deve entrar em contato com seu endocrinologista, fazer um exame de sangue para vitamina D, cálcio, fósforo, magnésio. Eu tenho uma deficiência de vitamina D e magnésio. Assim que comecei a compensá-los - uma semana depois, houve uma dor cortante e errante na área da mandíbula.
O dentista afirmou apenas o fato de cáries cervicais enviadas ao periodontista. Ele confirmou e enviou ao endocrinologista. Bem, e então foi descrito acima.
Eu tenho o mesmo problema Médicos inequivocamente dizem que é necessário tratar, colocar um selo. Como fiz, não me arrependo.
Eu também sofro de cárie cervical. Para 2 dentes especialmente afetados, coloco obturações que caem periodicamente, porque em tal lugar, por definição, eles não podem ficar por muito tempo. Este é um negócio caro e desagradável, e nem todos os dentistas podem. Eu tenho ido a um médico por muitos anos. "Mudou" algumas vezes com outros dentistas, querendo economizar. 1 vez teve muito sucesso e, na segunda vez, eles ficaram tão mal que é assustador de assistir e até caíram muito rapidamente. Eu escrevi um pedido de reembolso por serviços de baixa qualidade. Depois de receber o dinheiro, ela adicionou e voltou ao dentista. E, no entanto, de alguma forma, na recepção, um médico idoso e muito experiente não recomendou a colocação de selos. Diz limpo com uma escova macia e manuseie delicadamente.
Agora você não encontrará pincéis macios à venda, todos com dureza média, tudo para as pessoas ((
Quando tive os primeiros sinais dessa cárie, o dentista de uma clínica particular não disse nada para fazer. Agora eles me dizem que o tempo está perdido, coloque coroas, porque recheios cairão. É assim que eles "nos tratam".
O começo do artigo é estranho: "As pessoas atrasam o tratamento". Na clínica por 10 anos, eles se recusaram a tratar a cárie cervical. Ela perguntou o que fazer, eles responderam: "nada pode ser feito".Quando a cárie corroeu o dente nas profundezas, eu me virei para uma consulta paga - por 1700 rublos e eles o encheram por 15 minutos. Eles diriam imediatamente que não são tratados de acordo com o seguro médico obrigatório, do que recusar completamente o tratamento e prejudicar a saúde. Agora outros 2 dentes apareceram, a mesma história - "nada pode ser feito".
Uma escova macia é muito propícia à recuperação; depois de cada refeição com uma pequena quantidade de pasta, escove os dentes, mas apenas corretamente! (de cima para baixo)
Vasya, cárie não está sujeita a recuperação. O orifício no dente não será retardado pela escovação com uma escova macia e dura. A menos que você seja um rato. Aqui em roedores, os dentes crescem a vida toda, como cabelos. Mas para as pessoas, infelizmente, não é assim. Se a cárie aparecer, apenas um selo o ajudará.
Limpei-o com Splat pela primeira vez e percebi que a pasta estava fria. Eu sou uma pessoa que fuma. E entre os dois dentes superiores, dado que eles estão imperfeitamente localizados um em relação ao outro, forma-se placa. Se você não monitorar isso intensivamente, a placa se tornará tártaro. Mas Splat - o branqueamento direto, branco-prateado, amolece a pedra, de modo que em algumas semanas eu a raspei com um palito de dente. E antes disso, tentei com uma tesoura magra, embora saiba que você não pode sherud metal com esmalte. Mas estou sem fanatismo e pedregoso.
Em suma, aqui está o meu conselho: Splat “queima”, percebi isso em 2012, comprei na Ucrânia. Isso é porque eles já podem fingir, provavelmente. Embora a pasta pareça ser nossa! Mas agora tudo está exatamente colidido com o tártaro, mas tudo é fumaça e ecologia. Se você não pode fazer nada com o hábito, tente fumar não de um lado, no meio, do lado esquerdo das presas, do lado direito, mas é melhor parar. Como resultado, os dentes sofrem, e você com eles - tanto fisicamente quanto esteticamente. Além disso, coma comprimidos de cálcio. Todos os sorrisos agradáveis e bonitos!
Obrigado pelo artigo, acalmei-me um pouco. Como estava no vídeo - a cárie cresceu rapidamente, descoberta por acidente. O problema é que não há dente por perto - nem remova nem coloque uma coroa; triture imediatamente tudo e a ponte. Há um bom médico. Ela parecia ter feito tudo lindamente, mas se antes da visita tinha medo do aparecimento de um dente, agora às vezes a gengiva dói - um "enchimento" no pescoço (provavelmente pressiona) ... E ele começou a responder ao frio - mas o médico diz que isso é normal. Como recomendado às vezes, a fluoretação profunda, ou em casa - é burra. Provavelmente, o próprio médico fez tudo certo de uma vez. Foi surpreendente que ela dissesse para não usar fio dental e um irrigador.