Um site sobre doenças dentárias e seu tratamento

Cárie

O que é cárie dentária?
O que é cárie dentária?

Sabe-se que as primeiras tentativas de tratamento da cárie foram feitas de 8 a 9 mil anos atrás, como evidenciado por evidências encontradas no Paquistão (foi aqui que um crânio foi encontrado com um dente com um furo plano feito por uma broca de mão). Assim, as pessoas aprenderam sobre cárie há muito tempo, mas ainda não entendiam os motivos de sua aparência ou como lidar com ela corretamente. Hoje, um grande número de nuances interessantes foi revelado em relação às características do desenvolvimento desse processo patológico e às abordagens para seu tratamento. Falaremos mais sobre o que é cárie do ponto de vista da odontologia moderna, como ela aparece, o que é perigoso e como ela pode ser resistida ...

Tratamento de cárie em casa: é realmente possível?
Tratamento de cárie em casa: é realmente possível?

Tratar cárie em casa é bastante difícil e, se realizado incorretamente, geralmente é uma tarefa arriscada. No entanto, os temerosos estão constantemente tentando remover tecidos cariados, por exemplo, com lixa ou uma agulha de aço. Alguns até tentam tratar a cárie dentária com alvejante e água oxigenada, esperando que as áreas escuras dos dentes voltem a ficar brancas e saudáveis. Vamos ver se a cárie pode ser curada em casa e, em caso afirmativo, como fazê-lo corretamente ...

Cárie durante a gravidez: é possível tratá-lo e como isso afeta o feto
Cárie durante a gravidez: é possível tratá-lo e como isso afeta o feto

Há uma opinião de que a cárie durante a gravidez não pode ser tratada. Mesmo sem entender os motivos e sem verificar a exatidão dessa afirmação, muitas gestantes o utilizam com segurança para violar o regime de visitas preventivas ao dentista e para justificar a situação negligenciada na boca. Mas, de fato: é necessário e possível tratar a cárie durante a gravidez, é perigoso para o feto e o que os especialistas dizem sobre isso? Vamos descobrir ...

Tratamento de cárie cervical
Tratamento de cárie cervical

Diante dos problemas associados à cárie cervical (e não são tão poucos) e da necessidade de tratamento urgente, muitas pessoas experimentam estresse por várias razões. Em primeiro lugar, apesar da abundância de informações acessíveis e úteis na rede e na mídia sobre cárie, os recursos e as especificidades dos defeitos cervicais nem sempre são cobertos na medida necessária para entender a essência do problema e sua solução rápida. Em segundo lugar, a localização do processo carioso na região cervical dos dentes da frente cria os pré-requisitos para distúrbios visuais estéticos e complexos psicológicos. Portanto, vamos examinar mais de perto as questões do tratamento da cárie cervical, incluindo medidas que podem ter um efeito positivo, mesmo em casa ...

Em detalhes sobre a cárie cervical e as razões para o seu desenvolvimento
Em detalhes sobre a cárie cervical e as razões para o seu desenvolvimento

A cárie cervical (cervical), como uma das formas mais ativas da doença, é bastante comum. A maioria das pessoas descobre um defeito de cárie na região cervical já no estágio inicial de desenvolvimento. Além disso, prestam atenção especial à doença quando associada a graves distúrbios estéticos. Muitos, temendo intervenções dentárias, estão prontos para suportar desconforto e até dor em um dente em decomposição por um longo tempo; no entanto, se ocorrer um defeito cosmético nos dentes da frente, eles consultam imediatamente um médico. Além disso, a principal característica dos defeitos cervicais é a perda ativa de tecido dentário com a formação de grandes cáries, até a ocorrência de complicações graves sem tratamento oportuno. O que fazer se surgir cárie cervical, quais são suas causas e como não misturá-lo com outras doenças dentárias? Vamos examinar esses problemas com mais detalhes.

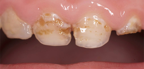
Como pode ser a cárie dentária: fotos
Como pode ser a cárie dentária: fotos

Quase todo mundo entende como deve ser a cárie dentária.Os visitantes freqüentes das clínicas dentárias provavelmente tiveram a oportunidade de examinar atentamente e minuciosamente as cáries nos dentes, não apenas no espelho, mas também nos raios-x, e às vezes até nos dentes extraídos. E, no entanto, em muitos casos, as pessoas, examinando os dentes, não prestam atenção aos sinais de cárie que são óbvios para o médico. E alguém pode ficar muito surpreso ao saber que horror às vezes acontece sob um pequeno buraco, à primeira vista, no esmalte. Como é a cárie em todas as suas formas? Vamos ver as fotos.

Cárie de dentes decíduos em crianças e seu tratamento: o que é importante para os pais saberem
Cárie de dentes decíduos em crianças e seu tratamento: o que é importante para os pais saberem

O tratamento da cárie de dentes decíduos tem características próprias e pode ser ainda mais complicado que o tratamento de dentes permanentes. Isso é complicado pela atitude dos pais em relação ao processo: alguns não sabem se vale a pena tratar cáries e atormentar uma criança na cadeira odontológica se os dentes ainda caírem mais cedo ou mais tarde, enquanto outros não entendem como tratar os dentes em uma criança de 2 a 3 anos, que às vezes é apenas problemática alimentação devido à hiperatividade. E muitas pessoas têm medo de anestesia, o que em alguns casos não pode ser evitado. Devemos ter medo de tratar cáries de dentes decíduos e o que você precisa saber sobre isso - vamos descobrir juntos ...

O uso de marcadores de cárie (indicadores) em odontologia
O uso de marcadores de cárie (indicadores) em odontologia

Os marcadores de cárie apareceram relativamente recentemente no arsenal dos dentistas domésticos e, graças à conveniência e simplicidade de trabalhar com eles, rapidamente se tornaram assistentes permanentes dos médicos no diagnóstico e tratamento de cáries. Os próprios pacientes praticamente não estão familiarizados com esses medicamentos, porque não podem ser usados ​​em casa, e os médicos os usam apenas como adjuvantes que facilitam o tratamento da cárie e tornam o tratamento mais eficaz. Por que os marcadores de cárie são tão úteis e como são usados? Vamos acertar.

Quão doloroso é tratar a cárie e é possível evitar o desconforto?
Quão doloroso é tratar a cárie e é possível evitar o desconforto?

Na maioria dos casos clínicos, a cárie se desenvolve e é negligenciada porque o paciente tem medo de ir ao dentista e sente dor antes do próximo tratamento. Quando surge um problema, ele encontra um motivo para não procurar ajuda, provando para si mesmo que, se o dente dói pouco e nem sempre, então não há necessidade urgente de marcar uma consulta com o médico: ele se convence de que esse é apenas um fenômeno temporário. A razão para isso é a memória de como a cárie foi tratada na infância, com a ajuda de exercícios antigos e sem anestesia. Portanto, uma visita ao dentista na maioria dos pacientes está associada precisamente à dor no tratamento de lesões de cárie aparentemente menores. Qual é a situação hoje? É doloroso tratar cáries em boas clínicas com equipamentos odontológicos modernos? Vamos ver o que os pacientes dentistas "experientes" dizem sobre isso ...

Como proteger os dentes da cárie: uma revisão de métodos eficazes
Como proteger os dentes da cárie: uma revisão de métodos eficazes

A maioria das pessoas pensa em prevenção de cáries quando todos os prazos já passaram. Para uma proteção eficaz contra lesões de cárie, é necessário cuidar dos dentes constantemente, regularmente e todos os dias. No entanto, mesmo que a cárie já tenha levado uma pessoa ao dentista e causado a instalação de vários obturações, ainda não é tarde demais para lhe proteger. Ainda existem muitos dentes saudáveis ​​na boca, e os já tratados precisam ser protegidos contra recaídas. Portanto, vejamos como até os sinais iniciais de cárie podem ser evitados de maneira eficaz e confiável ...

 

 

Para cima

© Copyright 2025 stomatology.expertexpro.com/pt/ | chinatownteam2016@gmail.com

Política de privacidade | Contrato do usuário

Comentários

Mapa do site

Cirurgia

Cárie

Dor de dente