
O tratamento da cárie há muito tempo é um serviço completamente sujeito a relações de mercado. Isso significa que os pacientes preferem visitar os consultórios nos quais os dentes são tratados, primeiro, qualitativamente e segundo - sem dor. Em alguns lugares, os escritórios com equipamentos antiquados e médicos da velha escola que ainda acreditam que é melhor para o paciente tolerar alguns "tiros" do que pagar por uma injeção de anestésico ainda são preservados.
Na maioria das clínicas hoje tratar cáries não dói completamente, e esse procedimento às vezes é associado apenas a situações desagradáveis menores que podem ser rapidamente eliminadas. Por exemplo, se a primeira anestesia não funcionou, outra é feita. Mas, nesses casos, a dor durante o trabalho do dentista definitivamente não é mais intensa do que em casa quando se come com um dente ruim.

Comentários
“Provavelmente tive sorte e, antes dos vinte anos, nunca tive um dentista. Lembro-me de que algumas vezes na infância estava rasgando os dentes de leite, mas nunca tive que tratar nada. Quando fui trabalhar depois da faculdade, pela primeira vez meu dente doía com comida. De alguma forma, não pensei particularmente se era doloroso tratar cáries, só entendi que teria que tratá-las de alguma forma, mas quanto antes isso for feito, melhor. Portanto, ela procurou o médico assim que a dor se tornou regular. Na verdade, acabou por ser cárie. Eu tenho um bom médico, ela disse imediatamente que seria necessário perfurar, mas não deveria parecer algo particularmente terrível e, portanto, não vai doer e é melhor não fazer anestesia. De fato, ela só trabalhou lá por alguns minutos com uma máquina de escrever, e eu só fui esfaqueado uma vez. Não havia nada mais desagradável. Mas, em geral, o escritório em si era bom, o equipamento era tão novo, limpo e a água era constantemente pulverizada da própria broca durante o trabalho, o que, na minha opinião, reduz a dor. "Três anos se passaram desde então, visitei o dentista mais uma vez, com apenas mais um dente, e tudo era igualmente indolor".
Inna, Ecaterimburgo
Mas cerca de vinte anos atrás, tratar cárie era realmente doloroso. Hoje, mesmo a sua forma mais negligenciada é tratada de tal maneira que o paciente não sente nem metade da dor que ele poderia ter sentido nos tempos soviéticos. Portanto, andar com um dente que causa sofrimento e ter medo de ir ao dentista para se livrar da dor em 20 a 30 minutos é pelo menos não lógico e, considerando o risco de complicações da cárie, também é perigoso.

Comentários
“O tratamento da cárie é, na minha opinião, a coisa mais simples e sem medo que pode ser feita em um consultório odontológico. Ainda encontrei momentos em que não havia pulverizador com água fria na broca e, mesmo que eu fosse ao médico a tempo, ele não atingia a dor. Bem, talvez em algum lugar lá fora, o médico toque em algo doente, mas passa acidental e rapidamente. Mas como você se sente bem quando um dente dói por uma semana e depois novamente - e não há problemas. Recentemente, em minha viagem de negócios, o selo caiu velho, meu dente doía, fui ao médico, ele disse que precisava remover o nervo. Parece um procedimento complicado. Mas também não há nada errado. Eles fizeram uma injeção, esperaram alguns minutos - e isso é tudo, não há sensação alguma na boca. "
Andrey Tomilin, Cheboksary
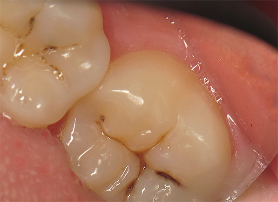
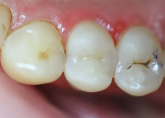
Tipos de cárie e sensações no tratamento
A cárie em diferentes estágios de seu desenvolvimento requer tratamentos diferentes, e as sensações do paciente com elas também variam um pouco.

No caso de cárie no estágio local, o local da lesão do esmalte é tratado primeiro com materiais especiais de retificação e, em seguida, são aplicadas preparações redutoras de esmalte. Esses procedimentos são indolores e parecem semelhantes à escovação completa dos dentes com uma escova de dentes.

Às vezes, antes de tratar a cárie dentária, o médico precisa remover a placa bacteriana. Ao mesmo tempo, sensações dolorosas praticamente não ocorrem.
Importante!
Com a cárie no estágio inicial, a anestesia (injeção) não é feita, o que a maioria das pessoas tem medo injustificável. No entanto, é sempre a anestesia que elimina completamente a aparência de sensibilidade mínima.
Com cárie superficial, duas opções de tratamento são possíveis:
- se a mancha da lesão estiver localizada na parede lisa do dente, é simplesmente retificada e uma terapia restauradora é realizada de acordo com o exemplo de procedimentos com cárie no estágio da mancha.
- Se a cárie superficial se desenvolver em fissuras, o médico geralmente decide abri-las de acordo com o protocolo e preenchê-las. Se a área de destruição não tiver tempo para alcançar a dentina, esse procedimento não causará dor. Se houver um indício de dor ou imediatamente a pedido do paciente, o médico anestesiará imediatamente o dente.


Comentários
"Eu tive tal cárie nos dentes da frente superiores. Além disso, logo abaixo da borda da gengiva, apareceram linhas escuras. O médico nem fez anestesia, apenas os limpou com uma máquina de escrever e os selou. Foi um pouco desagradável enquanto eu estava trabalhando com uma furadeira, mas as sensações eram as mesmas de quando eu inalei o ar com o lábio levantado antes disso. Em geral, está tudo bem. ”
Olga, Kiev
A dor no dente pode ocorrer quando a área da dentina é coberta por um processo patológico. Despir-se com uma broca pode irritar as terminações nervosas dentro dela. Portanto, nesta fase do desenvolvimento da cárie (é chamada média), o trabalho é realizado com mais frequência sob anestesia local. Em alguns casos, os pacientes podem recusar a anestesia durante o tratamento de cárie secundária, pois a profundidade da cavidade ainda não é crítica e a dor leve pode ser tolerada.
E aqui tratamento de cárie profunda necessariamente acompanhada de anestesia, pois nesse caso a destruição pode atingir as bordas da câmara pulpar, onde um grande número de células nervosas está concentrado. A anestesia local permite que você faça o procedimento de tratamento do início ao fim, indolor e confortável.
Anestésicos e desconforto
Para anestesia local em odontologia, são utilizados vários medicamentos, dos quais o médico escolhe aquele que fornecerá anestesia pelo período de tempo necessário.

Normalmente, os seguintes tipos de analgésicos são usados nas clínicas:
- Novocaína, Mepivacaína - anestésicos de ação curta (cerca de meia hora);
- Lidocaine, Artikain - anestéticos de duração média (de uma hora a uma hora e meia);
- Etidocaína, Bupivacaína - medicamentos de ação prolongada (mais de uma hora e meia).
Da prática do dentista
A novocaína na odontologia está lenta mas seguramente saindo no passado distante. Na maioria das megacidades e cidades, eles deixaram de usar a novocaína como anestesia devido à sua ineficiência e ao aumento do risco de uma reação alérgica a ela. Foi inventado há mais de 100 anos e tornou-se obsoleto como anestésico, embora sua importância na medicina moderna não possa ser subestimada (bloqueio de novocaína, alívio de vasoespasmo, diluição de medicamentos, etc.).
A novocaína e seu sucessor, a lidocaína, que substituiu o anestésico "antigo", são diluídos com uma solução de adrenalina a 0,1% para aumentar a duração e a profundidade da ação, mas, infelizmente, muitas vezes a olho. A maioria dos dentistas afastou-se deliberadamente de uma prática tão cruel, escolhendo anestésicos importados, já diluídos com adrenalina (epinefrina). Isto é devido a complicações passadas de uma overdose de adrenalina. Se você deseja adicionar uma média de 1 gota por 5-10 ml de solução, é muito fácil administrar uma overdose de adrenalina.
As complicações surgem imediatamente na forma de medo, falta de ar, tremores, arritmias cardíacas, até perda de consciência e hemorragia cerebral.Por que arriscar sua própria autoridade, a reputação da instituição e, o mais importante, a vida do paciente, quando existem anestésicos importados que estão completamente prontos para uso, possuem certificados de qualidade que praticamente não causam complicações e reações alérgicas, são eficazes para várias técnicas de anestesia em odontologia ...

Os anestésicos são injetados com uma seringa (geralmente karpulnogo) e, dependendo do grupo do dente e sua localização, são picados em diferentes áreas:
- na dobra de transição mais próxima da projeção da raiz do dente (infiltração) para desligar os “nervos” periféricos adequados para o dente (de fora e de dentro).
- Na área da saída do "nervo" principal para um "desligamento" completo dos impulsos de dor para vários dentes (anestesia de condução). Por exemplo, no tratamento de molares inferiores, costuma-se fazer anestesia torácica ou mandibular, o que permite tratar 3-5 dentes imediatamente sem dor enquanto ela atua.
- A anestesia intraligamentar (intracircular) é realizada no ligamento periodontal com uma seringa especialmente desenvolvida para esta técnica. Nesse caso, é alcançada alta eficiência da anestesia.
É importante entender que pacientes diferentes têm limiares diferentes para sensibilidade à sensibilidade e suscetibilidade à anestesia: alguns normalmente toleram a limpeza da cavidade cariada com cárie moderada sem anestesia, outros são dolorosos no tratamento da cárie dentária, mesmo ao polir o esmalte danificado. Portanto, o próprio médico durante o trabalho toma uma decisão sobre qual medicamento e em qual local a picada.
De um modo geral, hoje as cáries são tratadas com os métodos mais suaves. Nas pontas das brocas modernas, existem canais de irrigação do local de trabalho do boro com água fria, e as brocas são feitas de ligas únicas com pó de diamante, o que permite literalmente operações de joalheria dentro do dente. Além disso, hoje em clínicas individuais existem brocas a laser que podem aliviar completamente o paciente da dor, se a cárie não se espalhar para a área pulpar.

Comentários
“Nenhuma anestesia me leva. Isso é algum tipo de pesadelo. Venho ao médico apenas para fechar um buraco no dente, ele corta minhas gengivas, abre o dente e começa a atirar em mim. Lamento adicioná-lo, ele acrescenta, mas sem resultado. E isso não importa, na mandíbula superior ou na parte inferior. Não sei, talvez seja tão doloroso para mim tratar cáries - tenho um medo terrível de dentistas desde a infância ... "
Olga Vereshchagina, Tver
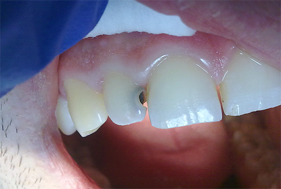
Quando a cárie é realmente dolorosa?
No entanto, no tratamento de cárie, pode ocorrer desconforto. Se a anestesia não for realizada, o paciente poderá sentir desconforto ou dor ao limpar a cárie, quando as áreas de dentina localizadas próximas à polpa forem perturbadas pelo boro.



Se durante o processamento as paredes do dente estiverem danificadas, o médico precisará colocar uma matriz especial. Além disso, ele às vezes corrige a gengiva durante a instalação, o que também causa desconforto e às vezes até dor e sangramento leve.
Se a anestesia for feita, a injeção em si pode parecer dolorosa para pacientes especialmente sensíveis, mas comparada com as dores que o paciente pode experimentar durante o tratamento da cárie, a própria anestesia causa uma dor menor.
Ocasionalmente, quando um paciente é intolerante a analgésicos, todas as operações devem ser realizadas sem anestesia. Esta é talvez a única situação em que o tratamento dentário pode ser muito doloroso. Mas mesmo nesses casos, é possível realizar todo o trabalho sob anestesia quando a consciência está desligada.

Tratamento de cárie com os olhos do paciente
Em geral, ter medo da dor na cadeira do dentista e adiar a visita por causa disso significa aumentar o risco de danos graves aos dentes e gengivas próximas a ela e se comprometer com procedimentos médicos complexos e altos custos financeiros no futuro.Na primeira aparição de dor no dente, você deve consultar imediatamente um médico - o tratamento nesse caso pode ser quase indolor.

Já na cadeira não tenha vergonha de fazer perguntas ao médico. Ele deve explicar ao paciente a situação com o dente, mostrar a patologia no espelho ou na imagem, descrever o curso do próximo tratamento.
Diferentes dentistas têm atitudes diferentes em relação à anestesia nos estágios iniciais da cárie e, em algumas situações, o médico sugere iniciar a abertura do esmalte sem injeção. Vale a pena confiar em seu profissionalismo, mas concorda que, se a dor aparecer ou se tornar muito intensa, ele fará anestesia.
Nota
Muitas vezes, durante a cárie, é muito difícil estabelecer a natureza da lesão interna do dente sem abrir o esmalte. Nesses casos, o médico precisa começar a tratar a cavidade cariosa e, quando a extensão do problema ficar clara, ele decidirá sobre o alívio da dor. Além disso, se o paciente nunca recebeu anestesia local antes de visitar a clínica, alguns médicos têm medo de correr riscos, pois em casos muito raros, analgésicos podem causar uma reação alérgica aguda. É por isso que sempre há um kit de primeiros socorros anti-choque no consultório do dentista para oferecer uma oportunidade de salvar uma pessoa, mesmo no caso de manifestações graves sob a forma de choque anafilático. No entanto, não tenha medo: o risco de sua ocorrência é mínimo.
Após o procedimento de processamento e limpeza da cavidade, o médico procede às manipulações "inofensivas" (em termos de risco de dor) associadas à preparação e colocação de materiais de preenchimento no dente. Na maioria dos casos, os anestésicos modernos funcionam perfeitamente e permitem executar todas as etapas do tratamento, incluindo a potencialmente mais dolorosa - a inicial, sem dor. O profissionalismo do próprio dentista, o conhecimento das técnicas básicas e adicionais da anestesia, as possibilidades de combiná-las para atingir esse objetivo são importantes aqui.
Em geral, se você confia no médico, não precisa se preocupar desde o início: ele fará todo o possível para que você não se machuque durante o tratamento.
Vídeo interessante: tratamento de cárie sem dor
Um exemplo da preparação de uma área cariosa com um laser

Tenho 16 anos, havia um buraco no dente na mandíbula inferior. Ela puxou, puxou, até o dente começar a doer terrivelmente, principalmente depois do doce. Deus atirou assim, não quero que ninguém se sinta assim! Fui selar: não havia dor, embora o nervo estivesse aberto, o médico é muito bom, embora jovem. Parecia não haver experiência ainda, mas ainda assim. Ele limpou e encheu meu dente. Um selo voou depois de 2 anos, o buraco era enorme, mas eu o abandonei porque estava com medo. Estúpido, é claro, então a bochecha estava inchada demais, um dente levantado - não conseguia comer nem falar! O pus estava nas gengivas, uma vez passado rapidamente, lavado com uma solução de refrigerante e água. Fui ao dentista, ele limpou os canais, mas novamente ficou inflamado, só nas férias. Fiquei terrivelmente atormentado, por três dias seguidos fiquei atormentado, gemi, andei, não dormi. Nada ajudou! Então o pai assustou-se e chamou um amigo e pediu para pegar uma quantia arrumada, é claro. A injeção foi a mais cara, porque a bochecha com pus foi muito dolorosa.E então eles ainda se retiraram, e eu senti tudo, nunca esquecerei isso. Portanto, não espere, mas vá direto ao hospital, pois é muito mais fácil tratar os dentes na fase inicial do desenvolvimento da doença. Seja saudável!
E o que foi mais doloroso, preenchimento ou extração dentária? Um dente com uma raiz arrancada? Eu já tive um dente removido na mandíbula inferior, mas, por outro lado, há um dente com cárie e o nervo já está aberto, e me pergunto se é mais difícil preencher ou remover, já que eu já o removi e sei o que é.
Eu tinha três pulpites, é quando a cárie atinge o nervo e o atinge. Então, com o recheio me deparei. Parece-me que é mais doloroso arrancar um dente (eu já consegui encarar isso aos 13 anos). Se a cárie dentária chegar ao nervo, sem anestesia local não há como, então você não sentirá nada. Eles arrancam os dentes, mais ou menos, sem anestesia. De qualquer forma, se você se sentir desconfortável, pode pedir ao dentista para lhe dar anestesia))
Gostaria de saber onde é que está arrancando os dentes sem anestesia? Parece que não vivemos na Idade da Pedra))
Querida Catherine, se seus nervos estão abertos, provavelmente pulpite. Em uma visita, sob anestesia, você pode curar seu dente sem dor). Não tenha medo.
Eu tive que remover um dente, e eles removeram sem injeção, eles simplesmente puxaram para fora.
Em teoria, se seu nervo estava aberto, você já deveria ter removido o nervo e limpado o canal. Afinal, a infecção já penetrou no canal.
Ele removeu um dente esta semana, que tinha cárie. Durante muito tempo não entendi por que minha mandíbula doía, fui à odontologia municipal - eles disseram que não havia nada. Então, imaginei uma dor infernal, depois meu irmão me levou à clínica "dele" e lá, durante a ortopantomografia, tudo acabou. Eles disseram que se ele tivesse chegado mais cedo, o dente poderia ter sido salvo.
Amanhã vou encher um dente, a dor é infernal! Estou com muito medo. Eu daria tudo por um dente saudável. Espero que não doa.
Em princípio, nem sempre é doloroso, mas às vezes eles dão uma injeção e a boca inteira fica entorpecida, exceto pelo próprio dente ...
Eu já tratei o dente da frente. Se eu limpar os canais, eles ainda os limparão para mim?
Sim, eles vão limpar novamente ...
Eu tenho 12 anos Só não esquecerei quando fui ao dentista duas vezes. Em geral A história sobre o primeiro dente não foi agradável. Quando comi alguma coisa, comecei a sentir dor na gengiva superior direita. No começo eu não prestei atenção nisso. Então ficou muito pior! Eu não conseguia nem mastigar comida comum sem açúcar. Ela contou tudo para sua mãe. Ela me disse para ir ao dentista. Aí fiquei tão histérica que não consigo ver. Ainda assim, nós fomos. Foi-me dito que o buraco já é bastante grande e toda a sujeira já está nos canais e eles precisam ser limpos. Mamãe me confortou. Ela disse, eles dizem, não é doloroso nem assustador! Embora eu me acalmei, mas ainda doía. E, no entanto, dentro de mim, alguém disse que tudo ficará bem. Foi uma mentira tão completa! Não quero assustar ninguém, mas foi terrível. Eu fui lá por três dias terríveis. A dor é insuportável, não desejo o inimigo. Uma vez, mesmo depois de tudo isso ter passado, tive um pesadelo. Quanto sangue e lágrimas. Você não pode imaginar.
Mas isso não é tudo. Meu terceiro canal simplesmente não conseguiu encontrar! E eles enfiaram uma agulha no meu dente e me forçaram a ir com ela constantemente para um exame. Ou o que seja ... Onde está a foto da raiz do dente. E assim todo tempo maldito. E então, devido a uma longa ausência, outro médico veio e enfiou outra agulha na minha gengiva! Essa dor infernal! Simplesmente não pode ser transmitido. Eu gritei em todo o hospital e assustou todas as crianças. Não desejo a ninguém assim, honestamente.Quando, finalmente, tudo acabou, eles me disseram que outro dente tinha que ser curado. Mais um! Eu doía novamente. Sim, doía tanto que não era fácil transmitir. Eu convenci minha mãe a não ir lá novamente no dia seguinte e, surpreendentemente, ela concordou. Tudo isso se arrastou até maio. E a mãe lembrou-se do dente que precisa ser curado. Bem, nós fomos. E eles me disseram que é tarde demais. É necessário rasgar. E eu estava com medo, mas em vão. Arrancar - embora esteja perdido (como, perder um dente para sempre), mas não é tão doloroso. No começo eu chorei. Eu pensei que seria ainda mais doloroso, mas não. Fui chamado para o escritório e colocado em uma cadeira. O médico pegou uma seringa muito longa. Por que tenho ainda mais medo. Então ela puxou algo nesta seringa e me deu três injeções nas gengivas. Gente, não dói nem um pouco! Não tenha medo dessas injeções. Então me acalmei e pensei: “Sério, mas isso não passa de uma picada de mosquito!” Depois que meu maxilar superior começou a tomar o que foi injetado. Depois de cinco ou três minutos, meu queixo ficou como um de madeira e minha mãe e eu rimos dele. E eu me acalmei muito. Então eles começaram a escolher um dente para mim. Três raízes. Não dói nada!
Mas ... Antes de sair do hospital, notei que a cárie começou abaixo do dente e não contei à minha mãe. É 6 de julho. E ainda não contei a ela desde aquele momento. Tenho muito medo das primeiras sensações quando limpei os canais. O próprio dente não havia quebrado, como naquele tempo. E acho que não vai doer tanto. Mas ainda tenho medo de contar à mãe. E eu entendo perfeitamente que só vai piorar se eu não disser. Mas o medo é mais forte.
Em geral, pessoal. Ninguém desejaria tanta dor. Ainda assim, eu sempre sei que os dentistas querem nos ajudar. E irei reclamar novamente que em breve tudo acontecerá novamente.
Eu tenho 3 dentes que doem, estou morrendo de dor. Isso é terrível, então eu quero dizer, trate seus dentes nos estágios iniciais 🙂
Eu também estava interessado nessa questão, hoje fui perfurado 1 dente, pulverizado com algum tipo de spray, pois não queria dar uma injeção. E algo realmente não ajudou, doeu, por isso não aconselho o uso de todos os tipos de sprays. Amanhã eles furarão novamente, desta vez pedirei uma injeção. Eu sei que uma injeção anestesia mais, porque uma vez puxei um dente de leite com uma injeção e quase não havia sensações. Oh, mas um pouco assustador.
Eu tenho muito medo de ir tratar um dente. O buraco, ao que parece, é pequeno, mas dói mastigar com esse dente. Anestesia nem sempre ajuda.
Olá Na odontologia moderna, já existem significativamente menos casos quando o tratamento odontológico é acompanhado por dor. Hoje, é difícil encontrar dentistas que tratam os dentes sem anestesia, mesmo quando uma pessoa está ferida, ou eles não sabem como fazer anestesia de uma maneira de qualidade. O médico não está interessado em torturar o paciente para alcançar o resultado desejado do tratamento. Não faz sentido que o paciente interfira na qualidade do trabalho do médico.
É por isso que aconselho você a encontrar o dentista que, de acordo com as avaliações de seus parentes, amigos e conhecidos, se tornará adequado em todos os aspectos. Desejo que você lide com o problema o mais rápido possível, caso contrário, o dente no futuro se tornará uma fonte de infecção ou simplesmente um objeto para remoção.
Se eles me anestesiarem, o tratamento do estágio inicial da cárie será completamente indolor?
Olá Se o dentista não conhece perfeitamente as técnicas de anestesia, em particular infiltração e condução, o tratamento de até os estágios iniciais da cárie pode ser doloroso. No entanto, na maioria das vezes, os médicos ainda têm um bom domínio da anestesia, por isso aconselho a não ter medo e confiar em um profissional.
Fiz um enchimento temporário, hoje fui ao médico para tratamento, eles me deram anestesia. Minha língua e bochecha estavam dormentes e senti um dente - foi uma dor, quando eles subiram uma agulha lá, fiquei exausta.E por que é doloroso, se um tiro foi dado? Eu não tinha mais forças para curar, e eles novamente colocaram arsênico até a próxima vez.
Olá Quase 100% de certeza de que seu médico, por algum motivo, não pode realizar anestesia de alta qualidade: erros técnicos, nenhuma experiência com diferentes tipos de anestesia (condução, infiltração etc.). Se você não quiser sofrer mais, é melhor trocar de dentista, pois a opção de recepção de rotina descrita por você não é uma abordagem moderna do protocolo de tratamento da pulpite. E o “arsênico” não é atualmente citado, uma vez que a pasta de arsênico é prejudicial ao dente periodontal.
Resumindo: seu sofrimento durante o tratamento está diretamente relacionado a uma violação da técnica de anestesia e à incapacidade do médico de usar opções alternativas de anestesia (intraligamentar, intrapulpar, por exemplo, etc.).
Eu tenho um caso muito avançado, tenho medo de ir ao dentista. Podemos dizer que no chão do dente em preto, respectivamente, os nervos estão todos abertos. O dente não dói, mas se você clicar na própria cárie, ela se torna dolorosa.
Se eles colocarem anestesia, vai doer?
Olá Não quero assustar você, mas não darei informações falsas. Será o mais verdadeiro possível: hoje, quase todos os dentistas sabem como fazer anestesia de alta qualidade, poucos não sabem como, e também existem médicos que demonstram suas emoções nos pacientes. Os maus médicos são muito menos que bons. Na medicina privada, é muito menos provável que você encontre o fato de que o tratamento dos canais dentários será um pouco doloroso.
Um dentista pode até tornar a anestesia invisível com anestesia superficial antes mesmo da anestesia "principal" ser realizada. Encontrar um bom dentista não é tão difícil hoje. Basta aprender com seus amigos seus médicos favoritos. Acredite, entre seus parentes e amigos, há muito mais pessoas que confiam no médico e experimentam muito menos medos do que há 20 a 30 anos. Na consulta com um dentista profissional, mesmo aqueles que antes tinham medo de injeções de anestesia e dor durante o tratamento, ao final do procedimento, fica agradavelmente surpreendido que tudo correu tão bem. Costumava ser diferente: ou eles não faziam anestesia e os faziam suportar, ou usavam Novocaine, que era como um cataplasma morto.
É muito mais seguro usar os serviços de um bom dentista-terapeuta agora do que apertá-lo antes que um dente seja removido por um dentista-cirurgião. A escolha é sua!
Meu selo caiu. E há um nervo aberto. Há algo preto na metade da coroa e no nervo. Se eu tratar um dente com anestesia, vai doer?
Olá Antes de tratar a pulpite, o dentista sempre realiza anestesia. Este é considerado um estágio obrigatório de tratamento adequado associado à remoção do "nervo". No entanto, em casos raros, o médico não pode realizar anestesia de alta qualidade - não existem muitos médicos, na maioria das vezes isso ocorre em organizações orçamentárias com um grande fluxo de pacientes, fornecimento terrível de medicamentos e equipamentos e a mesma atitude do médico assistente em suas enfermarias. Agora, esses hospitais estão se tornando cada vez menos, portanto a probabilidade de encontrar um médico assim é mínima. Desejo-lhe boa sorte! O principal não é impedir que o médico faça seu trabalho, mas com certas dúvidas, você tem o direito de interromper o "tormento" e simplesmente se levantar e sair.
Olá, meu dente da frente se dividiu pela metade. Bem, os médicos me assustaram, disseram, como se você tivesse algum tipo de doença por lá. Não me lembro de como eles conversaram lá. Eles vieram para remover o dente, e o médico disse: o que, você não tem nada lá, apenas a raiz é ruim, então é melhor remover o dente. Bem, concordaram, eles removeram este dente.
Mas nas costas eu tinha mais 2 dentes ruins, nós também os removemos. Um dente foi removido há duas semanas e o outro ontem. Então, o que foi removido há duas semanas, já foi concluído comigo (embora fosse permanente comigo).
Agora precisamos tratar mais alguns dentes. Estou com muito medo, embora, na minha opinião, seja mais doloroso remover o dente, porque eles não removeram o dente, mas simplesmente o retiraram, porque não havia nada para agarrar. Embora eles fizeram isso com analgésicos. Agora, no local onde meu dente foi removido ontem, as gengivas doíam terrivelmente.
Minhas perguntas são:
Quanto mais vai doer para mim (quero dizer, o dente que foi removido ontem)?
Vai doer quando eles tratam um dente? Não sei se o remédio para dor vai me ajudar, porque Ontem me machucou muito - talvez esse remédio para dor não tenha funcionado comigo ontem?
E mais um. Posso fazer o dente da frente crescer, porque um já entrou em erupção e o da frente nem pensa em entrar em erupção? Bem, como se costuma dizer: a esperança morre por último. Esperamos que cresça ainda mais, esperemos mais um mês e meio. E quem se separou - talvez cortar.
Olá Como você não indicou sua idade, só posso adivinhar: o dente era exatamente permanente? É possível que você tenha entre 12 e 14 anos, quando ainda há uma chance de ter dentes decíduos. Se a idade é muito jovem, o dentista precisa de ainda mais profissionalismo - estou falando principalmente da técnica da anestesia. Para fazer anestesia qualitativa, você precisa não apenas da ajuda do paciente (adequação, tranquilidade etc.), mas também das habilidades do médico, bem como de um anestésico eficaz de alta qualidade (o que não é o caso em todas as clínicas).
Agora eu respondo perguntas mais especificamente:
1. Após a extração do dente, o buraco dói em média de 1 a 3 dias. Novamente, não se trata de dor aguda (eles passam no primeiro dia de remoção), mas de dor ou irritação. De substâncias irritantes (quando você pressiona a gengiva), elas podem durar de 5 a 7 dias. É bastante normal e bem tolerado.
2. Não fará mal tratar um dente se o médico estiver bem preparado. No entanto, se na véspera o médico não lidou com a tarefa de aliviar a dor, é alto o risco de que isso aconteça novamente.
3. Sobre a última pergunta: novamente, duvido que você tenha idade. Existe alguma chance de ter dentes temporários ... Se você continuar com novos dentes, poderá verificar com uma imagem panorâmica se existem dentes refinados. Então será possível descobrir se a dentição está planejada.
Olá Eu tenho dois dentes com um pouco de preto, aqui está uma tira de preto. Mas os dentes não machucam. Eu vou ao médico amanhã. Vai me machucar tratá-los?
Olá Muito provavelmente, não vai doer. Agora, os dentistas têm muitos bons anestésicos para anestesiar qualitativamente um dente. Além disso, às vezes essa “faixa de escuridão” em um dente indica tártaro (ou seja, nem sempre é cárie). Então, aqui você precisa verificar se, em geral, a anestesia é necessária ou não.
Eu tenho 2 cáries, vai doer para limpá-lo?
Olá Atualmente, os dentistas têm todo um arsenal de anestésicos importados que funcionam efetivamente em quase todos os pacientes. Em segundo lugar, com habilidades adequadas no trabalho com anestesia, o dentista pode tornar qualquer procedimento odontológico indolor, começando com o tratamento da cárie e terminando com a remoção de complexos dentes do siso.
Ao mesmo tempo, em um médico inexperiente (ou negligente), mesmo com um "congelamento" importado, o tratamento costuma ser doloroso e, em alguns casos, as emoções negativas do paciente o beneficiam: para que ele não o carregue com trabalho de rotina (isso preocupa instituições orçamentárias). Esse fenômeno é - é inútil negar, mas há muito mais bons dentistas que são rentáveis para você obter apenas emoções positivas pelo seu dinheiro.Portanto, a chance de cura indolor de cárie (ou outras doenças dentárias) é muito maior que vice-versa. Resta aconselhá-lo a descobrir através de parentes, conhecidos, amigos, colegas, onde um bom especialista trabalha, e sinta-se à vontade para procurá-lo, sem medo de que algo dê errado.
Se o médico for uma mulher jovem, cuidadosa e gentil, não dói.
7 não dói de cima, não reage de maneira alguma à comida (quente ou fria), mas há um buraco no dente do lado. Não me lembro se eles o trataram ou não, tenho medo de tratá-lo. Qual é a probabilidade de que já não haja nervos? Vai doer para curar?
Olá Quanto à probabilidade, essa é uma pergunta difícil. O fato é que eu não conheço a escala da tragédia, ou seja, qual o tamanho desse "buraco" que você descreve. Mesmo com defeitos significativos em alguns casos, a reação dentária pode não ser devida à deposição de dentina substituta. É claro que, na maioria das vezes, essa reação (ao frio, quente, doce etc.) ainda existe.
É melhor confiar no médico: deixe que, depois de avaliar visualmente a condição do dente ou faça uma imagem de diagnóstico, verifique se o dente é tratado nos canais e quão bem esse tratamento foi realizado. Se o dente não for tratado nos canais, o médico decidirá por si próprio se vale a pena ser retirado ou tratado com um diagnóstico de cárie.
Quanto à dor no tratamento: se o dente é despolpado e tratado bem, não fará mal ao tratamento (devido ao fato de o dente estar morto, nem a anestesia é feita). Se o dente está vivo, geralmente é tratado com anestesia, especialmente quando se trata de despolpação. Quando o médico é um profissional, o tratamento é indolor. A propósito, sete dentes superiores são um dos mais responsivos ao “congelamento”; até um médico pode lidar com habilidades comuns, mesmo que haja um desejo.
Quanto à ressuscitação do canal, se já foram tratadas anteriormente, mas não deu muito certo (ou há um processo inflamatório nas raízes), mais frequentemente isso é feito com anestesia, de acordo com o mesmo princípio que descrevi acima. Procure um bom médico e não tenha medo!
Olá, tenho 13 anos. Amanhã vou tratar um dente. Seu selo ficou preto, tenho muito medo de tratá-lo. Eu me encorajo, nós concordamos em uma injeção. Isso vai me machucar? Tratei meus dentes em uma clínica gratuita e lá eles me deram uma injeção ruim e não foi muito, mas dolorosa.
Olá A clínica paga recebe todo o necessário e, na maioria das vezes, lida com a tarefa: alta qualidade e não dói. Em princípio, depende disso se você deseja voltar (e devolver seu dinheiro) ou não. Portanto, você pode confiar em um profissional com segurança e falar com o menor desconforto sobre seus problemas, para que o médico responda prontamente a isso. Se o dente estiver na parte superior ou da primeira à quinta, abaixo de 90%, o procedimento de tratamento será completamente indolor. Abaixar os dentes 6, 7 e 8 inferiores é um pouco mais difícil, mas, novamente, com a habilidade do médico e o alto nível de preparação, tudo também dispara. Seja tratado o mais rápido possível e seja saudável!
Olá. Cárie curada sem tratamento de canal. Eles colocaram um recheio + anestesia, levou 3000 rublos. É caro ou não para o tratamento de cáries secundárias? Qual é a soma disso?
Olá Depende da região em questão. A verificação média de megacidades é de 2-3 a 4-5.000 rublos para cárie média, dependendo dos "sinos e assobios" da clínica odontológica. Na província, você pode manter até 2 mil rublos, mas não mais barato que 1 mil rublos - isso é certo, já que a parte de compras baseada em materiais agora é um item de despesa bastante grande.
Quanto aos componentes dessa quantidade:
1. O custo da anestesia é de 150 a 500 rublos (dependendo do medicamento escolhido);
2)A qualidade do selo (produto químico - em média, cerca de 300-800 rublos, selo leve - 500-3000 rublos);
3. Material de colocação (algumas clínicas consideram-no separadamente. Dependendo do material - 100-500 rublos).
A lista de preços também pode incluir uma categoria relacionada à localização da cavidade cariada, uma vez que a complexidade do trabalho depende disso. Por exemplo, cavidades convenientes com 4 paredes em uma superfície de mastigação podem ser carregadas juntamente com o material utilizado. Pode ser escrito: "Tratamento de cárie secundária, classe Filtek - Z250 I, de acordo com Black - 1800, sem levar em consideração a anestesia". Se estamos falando de romper a parede lateral com a mesma cárie média, o preço será mais caro, já que o médico usa matrizes especiais para restaurar uma boa lacuna entre os dentes. O tratamento dos dentes anteriores devido aos requisitos estéticos (restauração de uma forma e cor bonitas) pode sair muito mais caro, embora a lista de preços possa simplesmente refletir: "Restauração de um dente anterior com cárie média Filtek-Z250 - 2500 rublos sem anestesia" ou "Restauração do dente anterior" com cárie média com violação da integridade do ângulo da coroa do dente Filtek-Z250 - 3.000 rublos, excluindo a anestesia. "
Ou seja, a "fuga de pensamento" aqui nas clínicas é tão individual que às vezes pode ser abusada, embora um paciente mais experiente, conhecedor das peculiaridades do preço, possa entender mais ou menos quando 3.000 rublos por cárie média são caros e quando é uma verificação comum na cidade.
Por fim, não posso dizer que vários dentistas ainda tenham preços adicionais para qualquer cárie: uso de laser, ultrassom, cafeteria, ejetor de saliva, aplicação de “esmalte de verniz” após o tratamento, restauração artística do dente (modelagem de fossa, tubérculo, ângulos da coroa de acordo com a mordida e etc.) Além disso, com a mesma cárie média, nenhuma superfície é afetada em um dente, mas 2 ou mais - por exemplo, na mastigação e perto da gengiva (cervical), ou seja, haverá dois recheios, o trabalho é mais difícil e o preço é muito mais alto .
Muito obrigado pela resposta abrangente! Hoje eu fiz o segundo dente, o custo do tratamento é o mesmo - aparentemente, esse é o custo do tratamento da cárie secundária. Gostaria de observar o alto profissionalismo do dentista. E dizer que em nosso tempo com anestesia não é doloroso tratar dentes, além disso, não há sequer o menor indício de dor. Pessoas, não tenham medo de tratar cáries, qualquer manipulação com anestesia é absolutamente indolor!
Tratei de cárie profunda sem anestesia, e não dói, mas tudo é tolerável. Eles perfuram um minuto, no máximo dois!
Olá Eu tenho um problema, após o nascimento, os dentes começaram a desmoronar, cárie cervical dos dentes superiores. Eu tenho muito medo de machucar curar.
Tenho pontos e listras pretas nos dentes. Você pode dizer se vai doer curar? Me disseram que isso é cárie e que a dor será insuportável.
Olá Alexander. Você foi informado incorretamente. Na odontologia moderna, o tratamento odontológico é realizado sob anestesia local e, na maioria dos casos, os pacientes não sentem dor ao se preparar com uma broca.
Quanto aos pontos e listras pretos nos dentes - ainda não é fato que isso seja cárie. Eu recomendo que você comece com higiene oral e diagnóstico profissional.
A pigmentação pode estar associada, por exemplo, à presença de placa dentária.
Diga-me, por favor. Um dente sob a coroa ou um dente vizinho em que a cárie profunda foi tratada dói. Para onde você pode enviar a foto - talvez você veja com o que a dor está conectada (
Olá Elena. Você pode enviar um instantâneo para o e-mail do site - indicado aqui https://stomatology.expertexpro.com/pt/obratnaya-svyaz