Um site sobre doenças dentárias e seu tratamento

Cárie

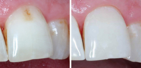
Cárie crônica em adultos e crianças
Cárie crônica em adultos e crianças

A cárie crônica é tão insidiosa que muitas vezes o paciente não pode prestar atenção à cárie dentária a tempo. As características específicas dessa patologia, na forma de um curso lento e prolongado, contribuem para o fato de que os problemas são frequentemente atribuídos à “má ecologia”, “terrível hereditariedade” etc. etc. devido a que outras formas de lesões de cárie se desenvolvem. Então, vamos entender em detalhes qual é exatamente a especificidade da cárie crônica e como lidar com ela corretamente ...

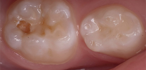
Em detalhes sobre as cáries ocultas, bem como seus exemplos na foto
Em detalhes sobre as cáries ocultas, bem como seus exemplos na foto

A cárie não é apenas manchas escuras nos dentes brancos e saudáveis. Em muitos casos, essa doença se desenvolve de tal maneira que o dono dos dentes, e às vezes até o dentista, não percebe. Acontece que a cárie se faz sentir apenas pela dor na polpa afetada e, nesse estágio, já é necessário remover o nervo do dente e fazer um grande preenchimento. Nesses casos, eles falam sobre cárie oculta - uma forma da doença na qual ela não é visível durante um exame visual. Falaremos mais sobre cáries ocultas e seus recursos mais tarde ...

Cárie dentária em forma descompensada
Cárie dentária em forma descompensada

A forma mais perceptível de cárie com prognóstico mais desfavorável é a forma descompensada. É com ela que uma situação se desenvolve quando vários dentes são destruídos ao mesmo tempo, às vezes - até tudo, o paciente é constantemente atormentado por dores de dente e, para tratar cada dente, é necessário remover os nervos ou até colocar coroas. Vamos ver por que essa forma de cárie se desenvolve e como lidar com esta doença.

Existe um remédio ou cura eficaz para a cárie dentária?
Existe um remédio ou cura eficaz para a cárie dentária?

Segundo as estatísticas, quase nove em cada dez habitantes do planeta enfrentam cáries em suas vidas, e para muitos essa doença causa perda dentária em uma idade bastante jovem. Obviamente, muitos gostariam de comprar uma ferramenta eficaz para cárie, mas ... eles não encontram esses produtos à venda. Existem curas para cárie e, em caso afirmativo, quais são? Vamos ficar juntos.

Como reconhecer a cárie dentária: métodos básicos de diagnóstico
Como reconhecer a cárie dentária: métodos básicos de diagnóstico

O diagnóstico de cárie é o procedimento principal durante exames regulares no dentista. Basicamente, o dentista examina-os cuidadosamente com um espelho e os examina com uma sonda para procurar dentes afetados por cárie. Na maioria dos casos, isso é suficiente para identificar as áreas afetadas. Mas há situações em que a cárie é diagnosticada apenas com a ajuda de métodos mais complexos e tecnologicamente avançados. Falaremos mais sobre todos os métodos de detecção de cárie, depois dos quais você entenderá bem por que o médico usa esse ou aquele dispositivo na clínica.

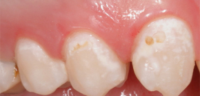
Cárie inicial na fase local e seu tratamento
Cárie inicial na fase local e seu tratamento

Antes de se fazer sentir plenamente, a cárie em seu desenvolvimento passa pelo estágio inicial associado à desmineralização gradual do esmalte dentário. Esse processo possui características interessantes e a cárie inicial correspondente é caracterizada por um quadro clínico especial e métodos de diagnóstico. Falaremos sobre o que causa o processo carioso, como ele é tratado no estágio inicial e como podemos nos proteger dele.

Características da cárie radicular e seu tratamento
Características da cárie radicular e seu tratamento

Sabe-se que a cárie dentária se distingue por sua insidiosidade entre outros tipos conhecidos de cárie. Como a cárie dentária ocorre sob a gengiva, nem sempre é possível determinar imediatamente o problema. No entanto, complicações nesses casos podem levar a consequências realmente graves ...

Características do diagnóstico e tratamento da cárie dentinária
Características do diagnóstico e tratamento da cárie dentinária

Existem várias etapas no desenvolvimento do processo cariado: primeiro, o esmalte do dente é afetado, depois a dentina é envolvida no processo de destruição e depois a polpa. E se nos estágios iniciais as alterações patológicas ainda são reversíveis (estágio pontual) e podem ser curadas com procedimentos remineralizantes, então o tratamento da cárie dentinária sem o uso de uma broca geralmente não é mais possível. Falaremos sobre as características da cárie nesta fase, sobre como ela é diagnosticada e tratada, e falaremos ...

A cárie pode ser transmitida através de um beijo e é possível que elas sejam infectadas?
A cárie pode ser transmitida através de um beijo e é possível que elas sejam infectadas?

Existe uma crença popular bastante difundida de que a cárie pode ser transmitida de pessoa para pessoa através de um beijo e que pode ser infectada, como qualquer outra infecção, em contato com a transportadora. Para alguns, pelo contrário, essa versão da cárie parecerá ridícula e até absurda. Bem, vamos ver se a cárie pode realmente ser infectada através de um beijo ou ainda é um mito que não tem base científica ...

 

 

Para cima

© Copyright 2025 stomatology.expertexpro.com/pt/ | chinatownteam2016@gmail.com

Política de privacidade | Contrato do usuário

Comentários

Mapa do site

Cirurgia

Cárie

Dor de dente