
É possível tratar a cárie em casa apenas em certas fases da doença, quando é possível restaurar o esmalte e sem remover os tecidos afetados pela cárie. Uma luta tão independente contra a doença requer uma metodologia e regularidade sérias, e seu sucesso depende em grande parte de qual estágio da cárie de desenvolvimento foi descoberto e se os meios para combatê-la foram corretamente selecionados.
No entanto, muitas vezes há demônios tentando remover os tecidos afetados pela cárie do dente em casa, por exemplo, com uma lixa ou apenas raspá-los com uma agulha. Alguns até tentam usar água sanitária ou água oxigenada, considerando seriamente que as áreas escuras após esses procedimentos se tornarão novamente brancas e saudáveis. A seguir, consideraremos como essas abordagens ao tratamento são eficazes e seguras para a saúde.

É importante entender que, em casa, é possível tratar a cárie apenas no primeiro estágio inicial, quando uma lesão dentária parece um ponto brilhante. Nesta fase, com a ajuda de medidas e meios especiais, é completamente possível interromper a destruição adicional do esmalte e, além disso, garantir a introdução de componentes minerais nele para restaurar o estado saudável inicial.
Importante!
É bastante difícil distinguir em casa a doença no estágio inicial da cárie superficial, que não pode mais ser tratada sem um dentista. Ao mesmo tempo, métodos e ferramentas que podem ser eficazes no início do desenvolvimento da doença, um pouco mais tarde, não produzirão o resultado desejado (nesta fase, não apenas o cálcio, o flúor e o fósforo são lavados do esmalte, mas sua matriz proteica também é parcialmente destruída). Portanto, um dentista deve ser consultado pelo menos para garantir que o médico determine exatamente se a cárie pode ser curada sem a perfuração de um dente. A propósito, um bom dentista nunca removerá o tecido danificado que ainda pode ser reparado pelos métodos de remineralização. E o médico poderá descobrir a causa da devastação que surgiu e encontrar meios eficazes para tratar a cárie em casa.

Além disso, durante o tempo gasto em evitar uma visita ao médico e tentar tratar de forma independente a cárie, a doença pode ser complicada por pulpite ou, pior, periodontite. Em tal situação, uma pessoa, em vez de colocar um selo puro há alguns meses, será forçada a se submeter à remoção da polpa (nervo) ou tratamento da gengiva.
A maioria dos problemas que as pessoas costumam criar para si mesmas. Muitos dentistas podem citar vários casos de sua prática quando os pacientes tentavam moer a cárie, raspar com um objeto duro ou embranquecê-lo com algum produto químico doméstico. Como resultado, eles ganharam, na melhor das hipóteses, danos adicionais ao esmalte dos dentes e, na pior, complicações graves de cárie ou queimaduras na boca. E se cada um desses médicos caseiros soubesse com antecedência quando a cárie não poderia mais ser tratada em casa, haveria muito menos casos tristes.

Portanto, antes de tudo, é necessário descobrir se a cárie pode ser curada em casa no seu caso particular ...
Comentários
“Quando servi, tínhamos um tenente na unidade que não reconhecia dentistas e removia pedras dos dentes com uma simples agulha cigana. Ele fez muito bem, mas algumas vezes foi tal que a cárie apareceu. Também nesse caso, ele abriu um buraco com a mesma agulha e depois lavou-o com água oxigenada. É verdade, xingando muito, porque realmente dói.A primeira vez que ele foi levado ao hospital com inflamação - alguns dias após uma operação caseira, seu rosto foi esmagado duas vezes. E na segunda vez, ele não conseguiu nem limpar tudo, porque, aparentemente, o início de um dente começou muito forte. ”
Sergey, Ulyanovsk
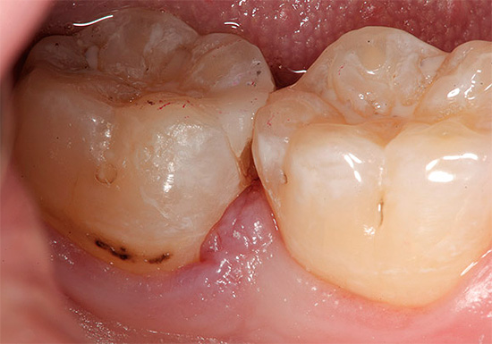
O que parece ser uma cárie que pode ser curada em casa
Em cada estágio do desenvolvimento, a cárie se manifesta como um certo conjunto de manifestações e sintomas externos. Você pode tratar a doença em casa se:
- O dente não dói e, mesmo que a água fria e o fluxo de ar por inalação entrem nele.
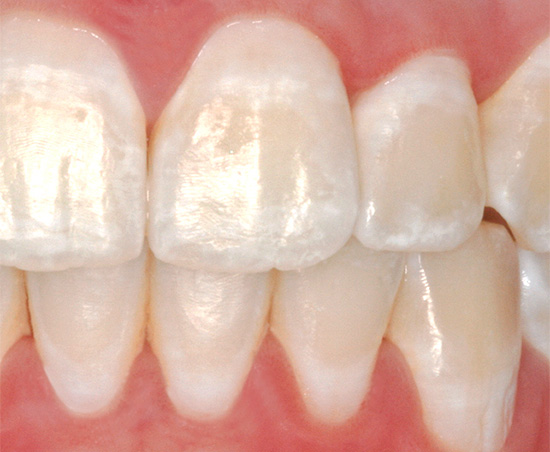
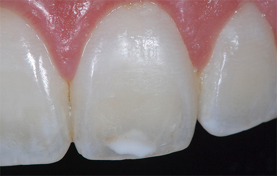
- A cárie em si se parece com um ponto branco liso.
- Não há pontos e traços pretos (os últimos são característicos de cárie de fissura).

Se houver um orifício no esmalte (cavidade), definitivamente não será possível curar um dente sem obtê-lo. Em muitos casos, essas lesões de cárie que só podem ser tratadas por um dentista se apresentam como manchas marrons ou pretas distintas.
Isso é especialmente verdadeiro para fissuras, onde esses pontos às vezes podem ser muito pequenos e não se incomodam com nada, e é por isso que muitos não os percebem como um problema sério. Enquanto isso, a área da lesão sob essa mancha já pode penetrar profundamente na dentina.

Devido ao pequeno tamanho das áreas escuras na área da fissura, muitos acreditam que esses pontos podem simplesmente ser clareados ou lixados em casa, e a cárie dentária como se isso fosse curado. De fato, essa mancha é apenas um sinal de que a cárie não pode ser curada sem preenchimento.
Não faz sentido tentar remover os tecidos escuros dos dentes cariados por métodos mecânicos por conta própria. Pode parecer que, se você limpar as áreas escuras com uma agulha ou triturá-las com algum material abrasivo (lixa, lima), o próprio espaço limpo ficará "cheio". Este é um erro grave: a cárie nunca se recuperará por si própria e, com uma alta probabilidade, o tecido dentário nessa área continuará se deteriorando após a limpeza.

É interessante
Uma mancha branca no dente é formada durante a desmineralização de uma fina camada de esmalte na superfície. Seus principais componentes - hidroxiapatites e fluorapatitos - são dissolvidos por ácidos da cavidade oral e lavados. Se você reduzir a quantidade desses ácidos e aplicar regularmente nos dentes as substâncias das quais se formam os apatitos secundários, em particular compostos de flúor e cálcio, essa camada de esmalte poderá ser restaurada.
Se o tratamento não for iniciado a tempo, a matriz proteica do esmalte começa a se decompor, o que garante ordem no arranjo das partículas de flúor e hidroxiapatita. Nesta fase, a força do esmalte diminui, torna-se áspera. Em locais onde a matriz proteica está danificada, o tecido não será mais restaurado - os componentes minerais não serão mais organizados em ordem entre as fibras de colágeno.
O que você pode fazer você mesmo?
O tratamento da cárie em casa deve ter como objetivo restaurar o esmalte que começou a quebrar e melhorar a situação cariogênica na cavidade oral.
Para isso, na maioria dos casos, será útil:
- Para se exercitar e observar rigorosamente o regime de escovar os dentes, escolha uma pasta de dente adequada. Isso interromperá ou diminuirá os danos dentários causados por bactérias na boca e pelos ácidos que elas produzem.
- Para restaurar o esmalte usando métodos de remineralização - os dentes são tratados com géis mineralizantes especiais. Estes incluem, por exemplo, R.O.C.S Medical Minerals, GC Tooth Mousse, Fluocal Gel e outros. Ao usá-los, a área danificada é saturada com componentes minerais necessários para a restauração do esmalte.


- Use agentes de lavagem que destroem bactérias cariogênicas (compostos de flúor que contribuem para a mineralização de tecidos danificados por cárie também podem ser incluídos nessas lavagens).
- Siga uma dieta com uma quantidade limitada de alimentos doces e ricos em amido.
- Desenvolva uma dieta adequada, sem lanches entre as refeições e um enxaguatório bucal obrigatório após cada refeição.
- Na dieta, aumente a quantidade de alimentos com alto teor de cálcio e, em alguns casos (conforme indicado pelo médico), sal e água com quantidades adicionais de flúor.
Mas o tratamento de cárie com remédios populares sem o controle de um dentista, na maioria dos casos, será mais perigoso do que útil ...
Quando o tratamento de cárie em casa dói
Não é recomendável usar os seguintes remédios populares para o tratamento da cárie:
- Leite em pó - aumenta significativamente a taxa de crescimento bacteriano na boca.
- Aplique mel nos dentes - pelo mesmo motivo.
- Enxágüe a boca com vodka com rábano - apesar das certas propriedades anti-sépticas dessa tintura, seu efeito benéfico será mínimo, mas pode prejudicar a membrana mucosa da boca.
- Peróxido de hidrogênio, que muitos tentam branquear áreas danificadas. Mesmo que ocorra algum clareamento e você não sofra queimaduras, o efeito terapêutico deste procedimento será mínimo - o tecido do dente branqueado continuará a colapsar.

Também não faz sentido tentar calar a boca buracos cariados com própolis - não possui propriedades redutoras, e os carboidratos contidos nele são um excelente terreno fértil para bactérias.

O que a automedicação pode levar a: erros que não podem ser repetidos
As conseqüências mais tristes geralmente surgem naqueles casos em que o proprietário de um dente doente tenta se livrar da cárie sem um dentista nos estágios do desenvolvimento da doença, nos quais o médico precisaria fazer muito esforço.
Da experiência do dentista
Infelizmente, há casos frequentes de consulta com um dentista após o autotratamento de um dente. Às vezes, as pessoas com cárie colocam um cotonete umedecido com colírios anestésicos ou anestésicos, que são retirados livremente na farmácia. Isso permite que você coma, beba água fria e quente com segurança, sem sinais de cárie (dor de irritantes), mas o resultado dessa automedicação geralmente ocorre no melhor caso, cárie profunda e, no pior, suas complicações: pulpite, periodontite ou formas purulentas graves de doenças que envolvem a raiz tecido dentário (periostite, osteomielite, abscesso, etc.).
Alguns pacientes até usam conspirações de cárie (especialmente mulheres mais velhas), que por algum motivo desconhecido traduzem a forma aguda da doença em crônica. O resultado desse tratamento bioenergético que ainda não foi estudado é a internação tardia no dentista (5 a 20 anos após o início da formação de uma doença dentária) com múltiplas raízes na cavidade oral e problemas iniciais no tecido ósseo, até sua deformação devido a doenças crônicas. osteomielite no contexto de um número tão grande de raízes infectadas com granulomas e cistos. Portanto, é melhor não tratar a cárie com conspirações e orações: apesar de uma possível "pausa", o resultado é muito deplorável.

Os seguintes casos são conhecidos:
- Remoção de cárie ou tártaro em casa com uma lixa ou um arquivo. Nessas situações, o paciente às vezes até sente dores intensas, mas continua a "curar" (ou melhor, destruir) o esmalte, facilitando assim a derrota da dentina localizada sob ele, mais vulnerável à cárie.
- Tentativas de limpar cáries com uma agulha simples. Essa abordagem nunca produz um resultado duradouro - mesmo que você consiga limpar a área escura, a destruição (e pigmentação) neste local continuará.
- O uso de alvejantes e alvejantes para remover manchas escuras nos dentes. Esse "tratamento" caseiro é muito perigoso devido à possibilidade de uma queimadura grave da mucosa oral, e é simplesmente inútil, pois não é possível clarear um dente por esses meios de maneira eficaz.
- Tentativas de remover danos em dentes cariados usando essência de vinagre concentrado.Também é um procedimento muito perigoso, que simplesmente acabará com o esmalte já parcialmente destruído.

Todos esses métodos são perigosos e ineficazes. A prática mostra que em todos os casos, após essa automedicação, uma pessoa ainda se encontra na cadeira do dentista, mas com problemas significativamente maiores do que aqueles que ele queria resolver em casa.
Comentários
“... eu recomendo que você desista de todas essas tentativas de se livrar da cárie dentária. Sim, talvez em algum lugar das aldeias esquecidas por cárie ainda seja tratado com vodka, mas você é uma pessoa civilizada e tem a oportunidade de desfrutar de todos os benefícios da civilização. Também em Jack London, nas histórias, os dentes foram removidos com um martelo e um prego, então você também se rasgará dessa maneira hoje? Minha sogra molhou um dente com alvejante em sua juventude para embranquecer a cárie dentária. Então ela ficou no hospital com uma queimadura na boca e na laringe, rouca por toda a vida por causa disso ... "
De correspondência no fórum
É muito importante ser honesto consigo mesmo e estar ciente de que você está tentando encontrar uma maneira de tratar a cárie em casa apenas porque tem medo de ir ao médico ou não deseja gastar dinheiro.
Provavelmente, você já perdeu o estágio em que a cárie pode ser curada sem um médico. E agora o dente dói ou "agrada" a você com uma mancha preta não fotogênica. Se você tentar tratá-lo em casa, isso o machucará muito ou corre o risco de ganhar pulpite ou periodontite, e os procedimentos no dentista serão muito mais longos e mais caros para você.


Ao mesmo tempo, a cárie dentária é tratada absolutamente sem dor e por dinheiro que é bastante elevado para quase todas as pessoas, e evitar esse tratamento é condenar-se a uma deterioração permanente na condição do dente. Portanto, mais uma vez, dê uma olhada nas suas cáries e inscreva-se o mais rápido possível no médico.
Seja saudável!
Vídeo interessante: como curar cáries sem ir ao médico
Restaurando o esmalte dentário em casa



É horrível, fu fu, sou muito desagradável.
Bem, eu tratei de cárie assim: mordi um galho de cinzas da montanha, peguei com um pedaço de pau e comi tudo. E você sabe - acabou! Sou mãe de muitos filhos e todos os meus filhos são tratados assim.
E, assim, a cárie pode passar de um ramo das cinzas das montanhas? Besteira.
Certo? E então eu não quero ir ao dentista, tenho medo dele. Eu tenho 9 anos 🙂
Melhor prevenir do que tratar os dentes. Faço tudo o que é recomendado no artigo: uso fio dental, lavo a boca depois de comer, escovo os dentes de manhã e à noite com uma boa pasta de ROCKS Uno Calcium.
Senhoras e senhores, assim como adolescentes e crianças. Isso é tudo bobagem e auto-sugestão, não remédio! Não permita cáries, tente escovar os dentes com mais frequência e consulte o dentista a cada seis meses. E crianças, você não tem medo de cárie ou dentista, mas de dor. Basta conversar com sua mãe ou pai sobre esse assunto, deixe seu médico consultá-lo. E vai doer, é verdade, mas apenas durante a injeção. E então não.
Beterraba (beterraba) destrói biofilmes, incluindo cárie. Você pode comer durante o tratamento. Mas a beterraba em si não substitui o tratamento e os cuidados adequados. Esta é apenas uma boa ferramenta adicional.
Minha pensão de velhice é de 10 mil. Temos um problema com os dentistas na região de Kaliningrado devido aos preços altíssimos do tratamento. Em média, o tratamento e a colocação de um recheio custam cerca de 5 mil rublos. Você não pode ficar sem um empréstimo. E com o pagamento mensal de uma dívida em um empréstimo, o dinheiro de uma pensão permanecerá apenas para água e pão. Neste caso, apenas a gordura de porco poupará da fome, como em todos os momentos difíceis do nosso país. É triste e decepcionante assistir à crescente máfia dental em nosso país. O estado lançou esse problema por conta própria. Na mesma Alemanha e em muitos outros países da União Europeia, as pessoas pobres têm recheios e tratamentos gratuitos. Temos um seguro de saúde obrigatório para tratamento odontológico gratuito. Mas na verdade não funciona. Ou uma fila enorme para esses médicos, ou má qualidade do serviço.
Preços insuportáveis. Em nossa região, para curar a cárie média, você precisa pagar a partir de 2000 e, se com a remoção de um nervo, a partir de 4000 rublos. Então as pessoas com dentes ruins andam por aí até pressionarem 🙁
Você já tentou tratar cáries com nutrição adequada? Você precisa comer fígado de bacalhau, pelo menos 2-3 latas por semana (existe óleo de peixe, a vitamina D é importante para a absorção de cálcio). E você também precisa beber água comprada com fluoreto natural - como o aquanika ou o frutonyan (mas há menos flúor). Você pode Borjomi (não mais que um copo por dia). O fluoreto é prejudicial apenas quando entra no corpo em uma quantidade superior a 10 mg por dia. E você precisa de 3 mg por dia, ou seja, 2 litros de água de 1,5 mg de flúor - total 3. Fígado de bacalhau - um must! Melhor não tomar sorvete.
Odontologia é apenas um negócio. Quase todas as pastas são prejudiciais aos dentes.