
Segundo as estatísticas, é a cárie média, como diagnóstico, que ocorre com mais frequência na prática de um dentista. Apesar da aparentemente insignificante patologia e de seu grau "médio" de gravidade, isso pode levar a problemas muito sérios (se medidas não forem tomadas a tempo).
Para uma melhor compreensão do fato de que o processo já está em execução, é útil ter uma idéia sobre os estágios condicionais da cárie, o que acontece:
- Inicial (às vezes dizem sobre o estágio de uma mancha branca ou de giz - nesse estágio, apenas ocorre uma desmineralização do esmalte dentário);
- Superficial (esmalte dentário destruído);
- Médio (já existe dentina ativa sob esmalte protetor);
- Profundo (o processo patológico se aproxima da câmara pulpar do dente).
Se as duas primeiras formas são às vezes difíceis de diagnosticar e geralmente semelhantes à pigmentação congênita normal nos dentes, o que não leva a consequências negativas, a cárie média é quase sempre fácil de identificar.

Nota
Muitas vezes, a cárie na fase inicial pode ocorrer de forma compensada (no estado "adormecido") por mais de 5 a 10 anos, praticamente não se desenvolvendo mais e não levando a problemas. Enquanto a cárie média geralmente não é crônica: em geral, a patologia progride rapidamente, a cavidade cariosa se aprofunda e se expande. Como resultado, como primeira consequência (e não a mais perigosa), a pulpite dentária se desenvolve, caracterizada por dor intensa.
Acontece que o paciente costuma ir ao dentista apenas quando problemas claramente visíveis já foram descritos nos dentes. Felizmente, nem tudo é tão ruim - a cárie média, levando em consideração a especificidade e a profundidade dos danos nos tecidos, é exatamente a forma quando você pode:
- Determine com precisão sua localização (com exceção de situações específicas). Ou seja, na maioria dos casos, é possível correlacionar os sintomas que um paciente apresenta com um dente específico durante um exame por um dentista;
- Para preservar o tecido dentário, tanto quanto possível (a preparação com uma broca é realizada a uma profundidade relativamente rasa);
- Colocar uma vedação sem dor e com custos mínimos de tempo ou realizar uma restauração artística de alta qualidade do dente anterior em uma visita;
- Conduzir tratamento com custos financeiros mínimos por parte do paciente (em comparação com as complicações da cárie - pulpite ou periodontite, cujo tratamento pode custar até 10 vezes mais). Além disso, o tratamento de cárie secundária, em contraste, por exemplo, de profundidade, geralmente elimina o uso de absorventes médicos, bem como visitas desnecessárias ao dentista.
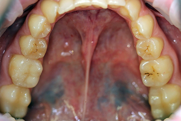
A foto abaixo mostra a cárie média localizada na região da fissura (fossa) dos molares:

Nota
Quando a preparação de um dente é necessária, o tratamento de qualquer grau de negligência da cárie é acompanhado pelo uso de resfriamento com água e ar, mas nem em todas as clínicas seu nível é perfeito. É por isso que a "perfuração" de um dente com cárie profunda é repleta de superaquecimento de uma polpa próxima (o chamado "nervo"). Com cárie moderada, também é necessário o uso de resfriamento, mas os riscos de pulpite após esse tratamento são praticamente reduzidos a zero devido à cavidade rasa.
Preservar um dente com uma polpa saudável e animada é a solução mais preferível, em contraste com o caro tratamento intracanal, que quase sempre é realizado em várias visitas. Além disso, um dente “morto” (sem polpa) pode escurecer com o tempo, tornar-se quebradiço e significativamente menos resistente ao estresse.Portanto, é melhor não adiar e executar a reorganização planejada (eliminação completa dos focos de cárie) aos primeiros sinais de um processo de cárie.
Os principais sinais de cárie secundária: como identificar o problema a tempo
Se as formas iniciais e superficiais de cárie muitas vezes passam despercebidas, a cárie média pode ser facilmente detectada, mesmo em casa.
Aqui está um exemplo do início de um histórico médico padrão:
"O paciente se queixava de dores periódicas por frio e frio, que surgiram dois dias atrás desde o momento do tratamento ..."
Qual é o diagnóstico do dentista primeiro? Obviamente, a cárie média, como a patologia mais comum para esses sintomas: qualquer irritante, uma vez exposto à dentina, pode causar dor a curto prazo. A irritação das terminações nervosas da dentina pode ser química (salgada, doce, azeda), mecânica (alimentos sólidos) e temperatura (fria, quente). Visualmente, um defeito superficial de cárie, geralmente de cor escura e irregular, é determinado no dente.

Nota
Em casa, esses defeitos nem sempre podem ser identificados corretamente - eles podem parecer manchas acinzentadas ou marrons, pontos, ranhuras. Se esse defeito estiver no espaço interdental, pode ser difícil perceber. Defeitos nos molares pequenos e grandes inferiores são claramente visíveis (um exemplo é dado na fotografia abaixo).

Às vezes, as queixas de dor podem não estar presentes, mas a aparência de pontos cariados muda para pior a cada mês - e este é um indicador de 100% de defeitos não adquiridos, mas adquiridos, ou seja, cárie. Somente o dentista pode esclarecer o estágio do processo cariado, coletando informações adicionais: especificando o histórico médico, examinando a cavidade oral e sondando o dente cariado. Às vezes, métodos instrumentais de pesquisa (diagnóstico por raios X, EDI) também podem ser aplicados.
Da prática do dentista
No momento do diagnóstico, a coincidência dos sintomas do paciente com o quadro clínico na cavidade oral é crucial. Se as queixas estão relacionadas a dores agudas e (ou) prolongadas - espontâneas ou prolongadas dos irritantes listados acima -, quase 100% estamos falando de complicações de cárie (pulpite ou periodontite). Não importa se houve tais dores no passado, ou elas fazem você "escalar a parede" em um determinado momento, e não é mais importante, uma grande cavidade cariosa ou quase imperceptível.
Pelo contrário, se o paciente se concentrar apenas na dor recente e de curto prazo causada por irritantes, e o dente tiver uma cavidade de cárie bem definida e "bem definida", então, apesar dos sintomas, o médico trata não média, mas cárie profunda, ou mesmo (se necessário) tratamento dentário intracanal.
Hoje, os principais métodos de diagnóstico são: diagnóstico por EDI (eletroodontodiagnóstico) e raios-X. Ao sondar cáries secundárias, uma sonda afiada fica presa na cavidade cariosa, e muitas vezes o paciente relata dor quando a sonda expõe a borda esmalte-dentina. Os valores de EDI neste caso são de 2 a 6 μA e uma cavidade cariosa de pequena profundidade é determinada em um raio-X.
E o que, de fato, acontece com um dente durante a destruição cariosa?
Sob certas condições, muito antes de a cárie se tornar visualmente perceptível, começam os processos que acionam o mecanismo de “cárie” do dente. A velocidade desses processos depende de muitos fatores.

Além da estrutura de esmalte geneticamente determinada, também existem fatores gerais e locais que afetam diretamente a saúde dental.
Aqui está um exemplo simples: a vida de uma pessoa estava em ordem com os dentes toda a sua vida, mas de repente, por um motivo ou outro, a xerostomia se desenvolve (diminuição da salivação). E, literalmente, nos próximos meses, várias cáries se desenvolvem nos dentes - desde o estágio inicial até o estágio médio e profundo. A razão, neste caso, é que a saliva (que geralmente é chamada de "esmalte líquido dos dentes"), que contém um complexo de componentes minerais muito importantes para a saúde dental, parou de fluir para o esmalte dos dentes. Em outras palavras, o equilíbrio acabou sendo perturbado, e os dentes rapidamente "borrifaram".
Como regra, o desenvolvimento da cárie não é completo sem a principal causa local de desmineralização focal - causada por carboidratos e placas (essa combinação libera ácidos orgânicos na superfície do esmalte que dissolvem sua estrutura cristalina). Vale a pena considerar que a placa é formada poucas horas após a escovação dos dentes, e os carboidratos absorvidos (especialmente em grandes doses) são a comida favorita das bactérias, principalmente do grupo Streptococcus mutans. A transformação biológica de açúcares na placa provoca a introdução de ácidos orgânicos (lático, pirúvico, etc.) nas camadas superficiais do esmalte com a formação de um local de desmineralização focal.
Desmineralização focal do esmalte - é a cárie inicial, que visualmente começa a ser determinada como um ponto fosco, branco ou já ligeiramente pigmentado na superfície do dente.
A foto mostra um exemplo de cárie no estágio de uma mancha branca nos dentes da frente de uma criança:

É essa etapa do processo carioso que pode ser revertida com um conjunto oportuno de procedimentos de recuperação - remineralização e fluorinação. Com o amolecimento adicional do esmalte, sua estrutura é destruída irreversivelmente, a cárie superficial é formada e, com o tempo, as bactérias começam a destruir a dentina.
Na fase de cárie secundária, via de regra, é observada uma destruição bastante rápida da dentina, cuja estrutura porosa é preenchida com muitas bactérias cariadas. No entanto, a forma mais grave e negligenciada de cárie é a forma profunda, quando uma cavidade profunda e cárie se forma no contexto da rápida destruição da estrutura da dentina. Ao mesmo tempo, apenas alguns milímetros (muitas vezes até frações de milímetro) permanecem na polpa, e o fundo da cavidade é coberto com tecidos dentários amolecidos, pigmentados e deteriorados. A cárie profunda nominal é a mais perigosa em termos de transição para uma doença mais grave - a pulpite.
É assim que uma cárie profunda se parece:

É interessante
Há um mito de que um dente ruim pode "infectar" com cárie nos vizinhos vizinhos. Esse pensamento errôneo é inspirado pelo fato de que, ao tratar um dente no adjacente, também é freqüentemente encontrada uma lesão de cárie.
De fato, a cárie é um processo patológico exclusivamente local. Durante o uso de carboidratos facilmente fermentáveis, os espaços entre os dentes ficam literalmente entupidos com restos de comida. E como a cultura de limpar as lacunas dos dentes na Rússia ainda não se enraizou suficientemente, a parede do dente começa a se dissolver com a aparência de cavidades ainda maiores para retenção de alimentos. Além disso, a parede adjacente, mesmo levando em conta a estrutura mineral inicialmente normal, começa a deteriorar-se após um "depósito de resíduos alimentares" tão franco.
A propósito, é exatamente por isso que as pessoas com grandes lacunas entre os dentes geralmente não sofrem de cárie nas paredes laterais. Bem, para aqueles que usam o fio dental ou o irrigador regularmente e corretamente, além de escovas.
Como aliviar rapidamente a dor sem recorrer a pílulas
A cárie média pode ser assintomática, mas na maioria dos casos há manifestações clínicas características da doença.Se mesmo a dor de curto prazo causada por doce, quente e (ou) frio aparecer, é importante consultar um dentista o mais rápido possível para não levar o assunto à pulpite.
Se em uma clínica particular ainda puderem se encontrar, marcar uma consulta em um futuro muito próximo, então em uma instituição orçamentária poderão colocar uma fila: por uma semana ou até por um mês - dependendo da carga de trabalho do dentista. Isto é especialmente verdade para a recepção obrigatória de seguro médico (ou seja, gratuitamente).
Em outras palavras, a maioria das pessoas com problemas de dentes precisará esperar um pouco antes de visitar um médico. Vamos ver como, durante esse período, você pode reduzir a dor para se sentir o mais confortável possível antes de visitar um médico.
Com cárie moderada, as dores podem durar pouco, mas às vezes são bastante fortes. Um clássico do "gênero" é a ingestão de doce (por exemplo, caramelo) nas fissuras (fossa) do dente de mascar. Nesse caso, estamos falando sobre o aparecimento de dor nos doces, que é eliminada pela rápida remoção do estímulo: ao enxaguar a boca com água morna, os açúcares são evacuados da área do defeito cariado, e a dor passa instantaneamente.

Nota
Com cáries profundas, fechar a cavidade na cavidade com um pedaço de lã ajuda e substitui-a periodicamente várias vezes ao dia.
Com dores regulares de frio e calor, existe apenas uma saída correta - por um tempo, evite tomar alimentos e bebidas quentes e frias (antes do tratamento). Não é aconselhável tomar analgésicos nesta situação.
É interessante
Um defeito de cárie pode ser localizado não apenas na superfície mastigatória de molares e pré-molares, mas também na região cervical - ao lado da gengiva, ou até um pouco abaixo dela. A partir daqui, também é importante remover os irritantes alimentares, para não provocar o aparecimento de dor.
Além disso, como observado acima, cáries cariosas estão frequentemente presentes nas superfícies de contato dos dentes (em outras palavras, entre os dentes em que a escova não penetra). Além disso, em alguns casos, verifica-se que uma pessoa pode sentir dor prolongada, uma vez que não está ciente de eliminar o espaço do dente do “lixo”, que pode ser doce, carne e pão de gengibre. Para aliviar rapidamente a dor, basta usar palitos de dente, fio dental, escovas especiais ou um irrigador.
O que pode causar cárie média se for retardado com o tratamento dentário
Deve-se entender que a cárie média já corresponde à destruição irreversível dos tecidos dos dentes (esses tecidos não podem ser restaurados, mas você só pode colocar um lacre, que de certa forma os substituirá). Sempre que um dente é preparado, ele enfraquece - às vezes levemente e às vezes em grande parte. E quanto mais você adiar o tratamento, mais cavidade será, mais tecidos necróticos o médico terá que consumir e menos duráveis serão as paredes dos dentes.
Se, com o tempo, você não iniciar o tratamento, geralmente a cárie leva primeiro à formação de um defeito profundo com a subsequente penetração da infecção na câmara pulpar, onde causará inflamação do feixe neurovascular. O resultado é pulpite ou periodontite. Na maioria das vezes, a sequência é a seguinte: primeiro, a pulpite ocorre no dente com dores espontâneas agudas e depois de algum tempo a dor desaparece - o “nervo” do dente morre e um centro de inflamação se forma na raiz do dente (periodontite).

O momento da transição da cárie secundária para a pulpite é individual. É bem possível entrar na categoria de “sortudo” (e isso é encontrado na prática de um dentista), quando todos os estágios da cárie dentária passam de forma assintomática ou praticamente sem dor. Depois de algum tempo, apenas um dente morto podre permanece na boca com bolsas de pus nas raízes (cistos) - como regra, o médico pode apenas sugerir sua remoção.
Também existem muitos exemplos em que a cárie não tratada em poucos meses passa para uma forma de pulpite, na qual o paciente pode literalmente tomar analgésicos, mas eles não o ajudam. E mesmo que a pulpite entre em periodontite, isso ainda não significa uma diminuição da dor. A periodontite geralmente é um processo purulento, quando a face se torna assimétrica e, na melhor das hipóteses, o pus é secretado na cavidade oral através da fístula;
A fotografia abaixo mostra uma fístula na gengiva acima do dente da frente “morto”:

Da prática do dentista
É muito difícil conduzir anestesia para esses pacientes no local onde o exsudato purulento está localizado. Freqüentemente, várias abordagens precisam ser feitas para injetar pelo menos alguma solução anestésica, uma vez que a área próxima à raiz simplesmente não contém fisicamente o excesso de líquido. É por isso que vários dentistas são limitados à primeira consulta apenas com um corte ao longo da dobra de transição, para que, na próxima consulta, lide com condições mais confortáveis durante o tratamento (principalmente para o paciente).
Além de pulpite e periodontite, existem outras consequências negativas. Em particular, uma infecção cariosa pode afetar negativamente a saúde geral:
- Minando o sistema imunológico;
- Provocando doença cardiovascular;
- Iniciando processos inflamatórios nas articulações.
Separadamente, vale a pena mencionar um erro grave dos pais que deliberadamente não tratam cárie nos dentes do bebê em crianças, guiados pelos seguintes princípios:
- Se dói muito, então vamos tratá-lo ou retirá-lo - mesmo assim, afinal, os dentes de leite caem;
- Por que tratar dentes de leite se eles são substituídos por dentes permanentes?
Infelizmente, um grande número de pessoas ainda segue esses princípios, colocando em risco a saúde de seus filhos (e não se trata apenas da saúde bucal). O fato é que, em crianças com dentes de leite, os estágios da cárie "voam" em questão de semanas, e um dente pode se tornar uma ameaça de infecção se espalhando por todo o corpo dentro de 1-2 meses. Nesse caso, uma infecção purulenta pode ser irreversivelmente danificada e os rudimentos dos dentes permanentes, que nunca serão cortados.

A deterioração inicial, média ou profunda oportuna dos dentes decíduos em odontopediatria não apenas protegerá o rudimento de um dente permanente dos efeitos negativos da infecção, mas também protegerá a criança de momentos difíceis de tratamento difícil em caso de dor aguda, remoção prematura e, em alguns casos, de phlegmon, sepse e outras complicações odontogênicas com risco de vida.
O que o espera no consultório do dentista: etapas do tratamento da cárie secundária
Quando um médico faz um diagnóstico de “cárie média” (ou, no caso da designação de acordo com a CID-10, “cárie de dentina”), o tratamento geralmente é realizado em uma consulta.
Ao mesmo tempo, talvez a pergunta mais incômoda que interessa aos pacientes - quão doloroso será o procedimento? Portanto, tudo depende da situação clínica específica - em alguns casos, uma injeção de anestésico antes do tratamento da cárie pode não ser feita.
Anteriormente (na odontologia soviética), essa pergunta era quase sempre decidida por um médico. Como resultado, muitas pessoas ainda têm um certo estereótipo de que a anestesia é feita apenas para remover o dente ou remover o "nervo". Agora tudo mudou fundamentalmente: muitas vezes os pacientes, com medo de uma injeção de pânico, pedem ao dentista para tratar cáries secundárias sem anestesia; ou, inversamente, eles são solicitados a dar uma injeção, mesmo que seja necessário o uso mínimo da broca.

Nota
Como as unidades odontológicas modernas são equipadas com refrigeração ar-água com parâmetros mínimos de vibração da ponta, em cerca de metade dos casos, mesmo sem anestesia, durante a preparação de um dente com cárie moderada, a dor não ocorre.
Posso escolher a anestesia no tratamento de cárie?
A anestesia geral (anestesia) praticamente não é usada no tratamento de cárie (com raras exceções, quando existem várias indicações - por exemplo, intolerância aos anestésicos locais, um reflexo de vômito pronunciado que interfere nas manipulações, medo de pânico de qualquer procedimento odontológico). A escolha da anestesia apenas por capricho traz muito mais riscos do que o uso da anestesia local.
Na maioria das vezes, eles usam sedação quando o paciente está consciente e é capaz de executar os comandos do médico, mas permanece em um estado relaxado (o uso de sedação na odontologia pediátrica é especialmente importante).
Entendido com anestesia (este é o primeiro estágio) - agora vamos passar à consideração dos estágios adicionais do tratamento da cárie:
- Preparação dos dentes. Em outras palavras, é uma limpeza da "cárie", ou seja, dos tecidos que são amolecidos e infectados. Trata-se de um esmalte escuro (preto), dentina amolecida e pigmentada, etc. Depende da qualidade da implementação desta etapa se a cárie sob o selo continuará ou não. Se o médico não prestou atenção à limpeza da cavidade de tudo o que é supérfluo, depois de algum tempo você pode observar um escurecimento sob o selo e ao seu redor, perda do selo e, em casos mais graves, o desenvolvimento de pulpite ou periodontite;

- Tratamento medicamentoso da cavidade preparada. Esta é uma etapa importante no projeto final da cavidade para o futuro enchimento, que envolve o tratamento médico do fundo e das paredes com anti-sépticos. Uma das mais populares atualmente é a solução aquosa de clorexidina a 2% e as preparações baseadas nela (Consepsis, por exemplo), compatíveis com os materiais compósitos fotopolimerizáveis modernos;
- Fazendo uma almofada isolante sob o selo. Esse estágio é relevante apenas ao usar materiais de enchimento que possuem componentes que atuam agressivamente na polpa do dente. Atualmente, em conexão com o uso de tecnologias modernas para preenchimento de materiais “leves”, com a observância de protocolos para trabalhar com sistemas adesivos, não é necessário assentamento (revestimento). Os sistemas adesivos são adesivos especiais que permitem conectar materiais diferentes;
- A etapa final no tratamento da cárie é a colocação de um preenchimento (preenchimento) ou restauração estética.

Nota
Aqui vale a pena dizer algumas palavras sobre a diferença entre preenchimento e restauração estética. Quando se trata de preenchimento, queremos dizer materiais ou tecnologia que não permitem restaurar suficientemente a estética perdida do dente. Em primeiro lugar, isso se aplica a obturações que não podem ser feitas em camadas, ou seja, o trabalho com elas ocorre de acordo com o princípio: amassado - introduzido na cavidade - esperado e, quando endurecido - polido, polido. Se a função ainda puder ser retornada de alguma forma com esses materiais (cimentos, amálgamas, compostos químicos), a estética e a forma original não poderão ser restauradas exatamente.
Para restaurar a forma e a cor únicas do dente, é possível apenas com compósitos fotopolimerizáveis adequados para restauração. Especialmente valiosos são os materiais para restauração artística. É a restauração artística que nos permite criar todos os aspectos únicos da forma e das características de cores do dente, para que ele não possa ser distinguido do seu próprio dente, mesmo após um exame mais minucioso. Freqüentemente, esses trabalhos são protegidos por direitos autorais e esse tratamento de cárie é demorado.
O que afeta o custo do tratamento
Do ponto de vista da lógica e do senso comum, o preço do tratamento de cárie deve consistir no custo dos materiais gastos (anestesia, material de preenchimento etc.) e no custo do serviço.

Nas instituições orçamentárias, não existem tais categorias com entrada franca, mas geralmente não há interesse do médico em realizar um trabalho de qualidade, nem materiais necessários para isso. A exceção ocorre nos casos em que são utilizados materiais e preparações que não estão incluídos na categoria de seguro médico obrigatório e permitem que o médico faça sua porcentagem do trabalho e o paciente - tenha uma garantia para este serviço na forma de um recibo.

Nas clínicas particulares, o preço do tratamento odontológico às vezes é imprevisível, e é absolutamente impossível adivinhar como o custo final é formado para uma pessoa longe da medicina. Além disso, mesmo os médicos das clínicas vizinhas às vezes não conseguem descobrir todos os truques dos preços de uma organização em particular.

Além da qualidade dos materiais para obturações e anestesia (mais baratos, mais caros), há vários pontos que também afetam a classificação. Por exemplo:
- Classe de defeitos de cárie negra. Dependendo da localização da cavidade e da configuração da área afetada, o preço é determinado para cada classe, pois o tratamento em alguns casos é significativamente complicado e requer materiais e tempo adicionais;
- O número de superfícies restauradas dos dentes. Muitas clínicas até cobram pelo tratamento de cárie secundária, não apenas de acordo com as classes de cáries, mas também levam em consideração o número de superfícies dentárias com as quais trabalhar. Por exemplo, se a superfície de contato do molar for destruída, o preço para a segunda classe de acordo com Black é um e, se não apenas a frente, mas também a superfície traseira do dente estiver envolvida no tratamento, a clínica poderá solicitar separadamente um preenchimento adicional;
- O uso de juntas sob o selo. Fazer uma almofada isolante antes de colocar um selo também pode afetar o custo do tratamento;
- Manipulações adicionais. Por exemplo, é frequentemente observado nas listas de preços das clínicas que, em certas categorias, é utilizado um laser para preparação de dentes, tratamento anti-séptico ultrassônico para aumentar a esterilidade, retificação e polimento de restaurações, etc.
Além disso, quanto maior o status da clínica, o nível de organização e equipamento, bem como maior o profissionalismo e (ou) quanto maior o número de diplomas (certificados) no dentista, maior o preço médio do tratamento.

Note-se também que o custo dos serviços odontológicos em diferentes regiões da Rússia é significativamente diferente - de acordo com os níveis de bem-estar financeiro da população. Por exemplo, em Moscou, um tratamento ideal de cárie secundária pode custar de 3 a 4 mil rublos, enquanto em Voronezh ou Izhevsk o custo dos mesmos procedimentos pode caber entre 1500 e 2000 rublos. Se você trata muitos dentes, obtém uma economia decente. Portanto, existe o turismo dentário.
Da prática do dentista
Muitas pessoas acreditam erroneamente que a qualidade do trabalho é quase 100% determinada pela qualidade (custo) do material de enchimento. De fato, a maior parte do sucesso do tratamento depende, antes de tudo, da habilidade do médico, das condições de trabalho e do equipamento adequado. Você pode explicar com um bom exemplo da prática.
O médico-tia trabalha no hospital estadual, que paga a Filtek, um dos melhores e mais caros materiais. Ao mesmo tempo, cabe 15 a 20 minutos do tempo previsto para a admissão de um paciente (isso é muito pequeno). Como resultado, o paciente recebe um selo feito de excelente material com tecidos cariados deixados sob ele (o médico simplesmente não tem tempo para cada paciente limpar cuidadosamente tudo). E então alguém tem sorte: alguém tem um selo que dura mais, alguém menos. Então, os pacientes andam por aí - eles refazem de ano para ano.E no próximo escritório particular, um tio coloca lentamente os selos, que são mais baratos de comprar que o Filtek - do Charisma Gluma Comfort Bond. Ao mesmo tempo, os recheios mantêm-se bem e o dente embaixo deles não se deteriora nem machuca, como no primeiro caso.
Se você tem experiência pessoal de “namorar” com cárie - compartilhe suas impressões deixando seu comentário na parte inferior desta página. Quão ruim é a situação e você vai tratar os dentes? A cárie causa algum inconveniente ou não se manifesta de forma alguma? Milhares de pessoas estão na mesma situação e talvez essa informação seja útil para elas.
Um vídeo interessante com um bom exemplo do tratamento da cárie nos dentes inferiores da mastigação: todas as etapas do processo são mostradas
Acontece que você pode ter cárie?

