
Em seguida, você aprenderá:
- O que afeta o custo do tratamento da cárie em primeiro lugar;
- Qual é a relação entre o preço final e o grau de negligência do processo cariado;
- A dependência do custo do tratamento dos métodos e tecnologias utilizadas;
- Quantos recheios de diferentes tipos custam hoje (cimento, de um composto químico e a chamada "luz");
- Como dentistas que não são honestos o suficiente, podem extrair dinheiro extra de um paciente;
- Quais nuances são importantes a considerar ao tratar a cárie em crianças, especialmente quando se trata de uso de anestesia ou sedação;
- 5 truques simples com os quais você pode economizar significativamente no tratamento de cárie ...
A prática mostra que uma grande parte da população hoje está literalmente assustada com mitos sobre o alto custo do tratamento da cárie e, em muitos casos, é por esse motivo que a viagem ao dentista é excessivamente longa. De repente, o preço será alto demais - por exemplo, 10 vezes mais alto do que o planejado originalmente?
E, de fato, por que acontece que algumas pessoas podem receber um selo por apenas 500-1000 rublos, enquanto outras têm que pagar de 4 a 7 mil rublos e ainda mais pelo mesmo serviço?

De fato, o preço da terapia odontológica é formado levando em consideração muitos fatores, levando em consideração que você pode economizar muito ao obter um serviço de qualidade com o máximo benefício. Falaremos sobre isso mais tarde e com mais detalhes ...
Nota
A cárie é um processo local de destruição dos tecidos duros dos dentes, que começa com a desmineralização focal e termina com a formação de uma cárie. Na ausência de tratamento, ele passa para outras doenças (complicações da cárie) - pulpite e (ou) periodontite.
Existe uma conexão entre o custo do tratamento e a negligência do processo de cárie?
Para entender a política de preços na maioria das instituições odontológicas, é útil imaginar como os dentistas classificam a cárie, desde suas etapas, ou seja, o grau de negligência do processo cariado, em 70 a 80% das listas de preços são tomadas como base para determinar o custo final.
Assim, para facilitar o registro do trabalho dos dentistas, foi proposta a seguinte classificação dos processos cariados pela profundidade da lesão dentária:
- Cárie inicial (desmineralização focal);
- Cárie superficial;
- Médio
- Deep.
Nas listas de preços, na maioria das vezes, apenas os três últimos tipos são indicados e, na prática, o trabalho é realizado com apenas dois: cárie média e profunda. O fato é que, na maioria dos casos, as pessoas recorrem à odontologia mesmo quando a cavidade cariosa se torna visível a olho nu, ou até sensações dolorosas aparecem (dor de curto prazo causada por um resfriado doce).
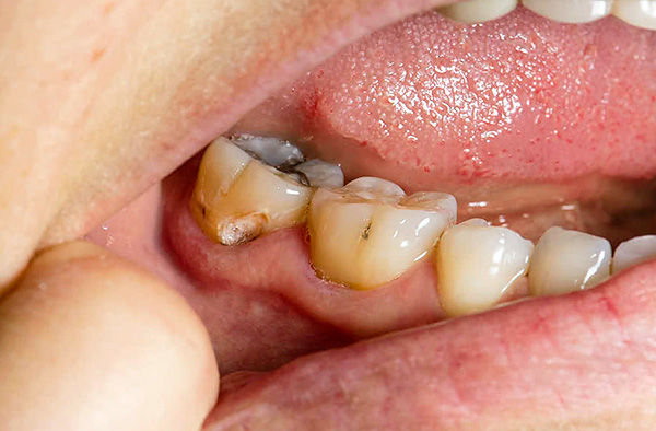
A foto abaixo mostra um exemplo de cárie profunda na área cervical de um dente para mastigar:

Portanto, em 90-95% de todas as aplicações, os dois primeiros pontos de classificação nem aparecem no trabalho de um médico, mas ainda precisam ser mencionados.
Agora vamos ver por que o grau de negligência do processo carioso afeta tão fortemente o custo do tratamento:
- Quanto mais fundo o dente é destruído, mais trabalhoso e profissionalmente o tratamento é difícil. É fácil entender que, com cárie média, a cavidade cariosa tem uma profundidade rasa e permite ao médico lidar com a tarefa de maneira mais rápida e eficiente, trazendo menos riscos e dificuldades em relação à proximidade da polpa ("nervo") durante a operação com uma broca.Pelo contrário, com cáries profundas, o dentista está lidando com um “buraco” decente em forma e profundidade, que não atinge a câmara pulpar em questão de milímetros, e às vezes até uma fração de milímetro! É preciso muito esforço e habilidade do médico para lidar com a tarefa difícil: processar a cavidade cariosa com a mais alta qualidade, removendo todas as áreas infectadas, mas não abra a câmara pulpar e evite o superaquecimento do feixe neurovascular nela (caso contrário, mais tarde, após a instalação do selo, ocorrerá pulpite). Portanto, uma das razões da diferença de preço entre o tratamento de cárie média e profunda é a preparação especial (tecnologia) antes do preenchimento. Em média, a diferença é de 300 a 1000 rublos;
- Além disso, quanto mais forte o processo de cárie é iniciado, geralmente há mais superfícies do dente envolvidas. E com cada superfície o médico precisa trabalhar, incluindo sua restauração.
É interessante
Alguns dentistas, para não perder clientes, ignoram a dependência do custo do tratamento no número de superfícies dentárias afetadas pela cárie.
Assim, em grupos de dentes mastigatórios, as “paredes” frontais e distantes quase sempre são afetadas, além da superfície mastigatória, que o médico pode combinar facilmente no tratamento e colocar um enchimento monolítico e resistente à carga em vez de “esculpir” para aumentar o custo da lista de preços 2-3 e mais obturações por dente.
A situação é mais complicada com os dentes da frente, em relação aos quais são aumentados os requisitos para a cor e a forma do dente restaurado.
Nesse caso, o médico deve explicar ao paciente antes do tratamento que o trabalho será realizado nas superfícies laterais do dente, o que complica e prolonga bastante o tempo. Sem mencionar o consumo de material e fundos adicionais importantes no trabalho. Como o preço geralmente indica o tratamento de uma parede de cárie adicional com um preço significativamente reduzido, geralmente não surgem problemas.
A dependência do custo do tratamento com os métodos e tecnologias utilizados
Quanto às cáries iniciais e superficiais, elas não são encontradas com tanta frequência na maioria das clínicas. E parece que o preço para o tratamento de tais defeitos deve ser significativamente menor do que para o tratamento de cáries médias e profundas. No entanto, aqui nem tudo é tão simples quanto parece à primeira vista.
Por exemplo, o tratamento de cárie no estágio de uma mancha branca (o estágio inicial de desmineralização do esmalte) usando a moderna tecnologia ICON custa em média de 2.000 a 6.000 rublos. Pode parecer um pouco caro, mas aqui o paciente paga pela oportunidade de se livrar de manchas de cárie nos dentes, bem como manchas de etiologia diferente, sem brocas e injeções de anestesia (o que simplesmente não é necessário).
Um exemplo do tratamento de cárie no estágio de uma mancha branca usando a tecnologia ICON:

Nota
Uma alternativa não muito cara à tecnologia ICON é o tratamento conservador das cáries iniciais, usando aplicações de soluções remineralizantes, fluoretação profunda e eletroforese de íons cálcio, fósforo e fluoreto. O significado desses procedimentos é que uma preparação é aplicada ao local de cárie, que satura a superfície do esmalte afetado com elementos perdidos como resultado da atividade de bactérias cariadas. Esse tratamento é realizado sem anestesia, sem broca, quase sempre requer vários procedimentos. O processo de restauração do esmalte desmineralizado geralmente leva várias semanas, e o grau em que um resultado positivo é alcançado depende do caso clínico e do profissionalismo do médico.
O principal método para o tratamento da cárie é atualmente a preparação de um dente com uma broca, seguida pela instalação de um recheio. E aqui, a tecnologia moderna pode contribuir para o custo do procedimento: as unidades odontológicas são aprimoradas a cada ano, o conforto durante o procedimento aumenta - os pacientes também precisam pagar por isso.

Cabe ressaltar que a alta qualidade da unidade odontológica determina não apenas o conforto do paciente durante o tratamento da cárie e suas complicações, mas também cria condições favoráveis ao trabalho do médico. Os dispositivos de orçamento (geralmente chineses) geralmente criam muitas dificuldades para o dentista durante a consulta: o equipamento é difícil de instalar, são possíveis quedas de pressão no sistema, são possíveis quebras de sistema - tudo isso pode afetar diretamente a qualidade do tratamento.
O maior impacto no resultado do trabalho é exercido pelas pontas da broca. Opções de ponta caras não apenas permitem trabalhar quase silenciosamente, mas também criam condições ideais durante a cárie a partir da cárie: sem vibração e com um suprimento abundante de água. Dispositivos baratos (especialmente na faixa de 1 a 3 mil rublos) não apenas assustam os pacientes com barulho alto, mas também apresentam sérios riscos durante a preparação dos dentes relacionados a danos à polpa (principalmente devido ao calor excessivo).
Nota
Na pior das hipóteses, quando um médico usa uma unidade odontológica barata, o cenário, em regra, é o seguinte: uma pessoa chega à clínica para tratar cáries médias ou profundas normais e, como resultado desse tratamento, um dente selado começa a se tornar insuportavelmente doloroso nos próximos dias. O preço da emissão é a necessidade de re-tratamento, somente neste caso já é necessário remover o "nervo", limpar os canais e só então colocar um lacre. E tudo isso, é claro, é muito mais caro do que simplesmente curar cáries.
Também vale a pena dizer algumas palavras sobre a chamada odontologia a laser.
Usar um laser para preparar um dente é uma ótima alternativa para quem não suporta o som de uma broca e está disposto a tentar algo especial e caro (embora algumas clínicas agora possam oferecer descontos e promoções por serviços semelhantes ao preço de uma técnica tradicional).

No entanto, com todo o conforto e indolência do procedimento, nem sempre é possível eliminar completamente o uso de uma broca. Ou seja, pode acontecer que o cliente tenha sido atraído para o tratamento de cárie com laser e, como resultado, a pessoa receba tratamento combinado, mas seu custo é muito maior em comparação com a opção tradicional.
Quanto custam os recheios agora?
O preço dos consumíveis é um dos problemas mais graves, não apenas para o médico, mas também para o paciente. O fato é que, nas listas de preços das clínicas, é possível ver não apenas o custo de um serviço específico, mas também a dependência desse custo do material usado: de cimentos (que, no entanto, são extremamente raros) e compostos químicos a compostos fotopolimerizáveis populares.
Por exemplo, na lista de preços, pode ser assim:
- selo de cimento - 200 rublos (1 mês de garantia);
- selo de um composto químico - 500 rublos (garantia de 3 meses);
- selo de luz "Gluma Charisma" - 800 rublos;
- Filtek Z-250 - 1200 rublos.;
- GRADIA DIRECT - 2200 rublos.
Etc. A aritmética é simples: quanto maior o preço de compra do material, mais caro custará o selo.

É interessante
Por exemplo, o preço de compra de 1 seringa Glum Charisma é de cerca de 1000 rublos (para cerca de 15 a 25 selos) e a Filtek é de cerca de 2000 rublos para uma seringa (o custo é aproximadamente o mesmo). Grad vale cerca de 3 mil rublos.
Hoje, os cimentos valem um centavo em comparação com os materiais de enchimento modernos.
Os compostos químicos podem ser comprados por 2-3 mil rublos, mas com um desses pacotes você pode curar cerca de 100 lesões de cárie: uma economia significativa para o médico! No entanto, você não pode colocar esses materiais em certos grupos de dentes (por exemplo, na frente com a destruição do ângulo da coroa e da borda incisal), bem como com uma grande perda de paredes dentárias.
O consumo de material é de grande importância, portanto, as clínicas fornecem no preço a profundidade das lesões de cárie e o número de superfícies danificadas pela cárie.Além disso, são cobradas categorias adicionais de serviços.
Por exemplo, o preço também pode indicar o preço das juntas sob o selo - materiais especiais que protegem a polpa dos efeitos nocivos do compósito e têm efeitos terapêuticos e antibacterianos. Existem juntas feitas de cimento fosfato "comum" (barato), há cimento de ionômero de vidro com cura química e também "leves" - todos têm preços de compra diferentes.
Nota
Em sites odontológicos, muitas vezes é possível encontrar uma frase com um problema, sobre esse tipo: "Tratamento de cárie secundária - a partir de 800 rublos". De fato, é quase 100% provável que o paciente pague uma vez e meia, ou até o dobro da quantidade especificada, uma vez que o máximo desses 800 rublos é o tratamento de 1 superfície, falta de anestesia e o material mais barato (às vezes até cimento ) E somente na consulta o médico recomendará "opções" adicionais e expressará seu custo.
Felizmente, também existem clínicas que especificam honestamente inicialmente o preço, que, entre outras coisas, levará em conta o número de superfícies tratadas durante a cárie dentária. Na maioria das vezes, o princípio é o seguinte: cada parede dentária tratada adicional custará metade do preço básico do tratamento da cárie.
Não esqueça que, além do preenchimento, o preço do tratamento de cárie também é formado pela anestesia - um dos itens de renda favoritos de muitas clínicas.

Preço de compra aproximado de anestésicos:
- Septanest (França) - 250 rublos (10 unid.);
- Ubistezin (Alemanha) - 350-400 rublos (10 unid.);
- Artikain, 1: 100.000 (Brasil) - 150-200 rublos (10 unid.)
Ao mesmo tempo, o custo de 1 injeção de anestesia para um paciente, em média, custará de 300 a 500 rublos.
A opinião do dentista praticante
Alguns donos de dentistas compram a Artikain brasileira por 150 rublos (10 unid.), Mas nesse caso eu pensaria nos possíveis riscos e segurança do medicamento.
1001 maneiras de enganar um paciente com um dentista no tratamento da cárie dentária
Um dentista (se desejado) pode transformar o tratamento de cárie convencional no procedimento médico mais caro? Embora hoje em dia poucas clínicas recorram a esses métodos para manter os clientes e torná-los constantes e agradecidos, no entanto, é útil que os pacientes conheçam algumas técnicas.

Dos tipos oficiais de "engano", pode-se citar a imprecisão da formulação do custo final de um serviço de tratamento odontológico. Muitas vezes, você pode ouvir do administrador que esse procedimento custará tantos rublos ou, como opção, está "dentro do alcance". E então o paciente fica surpreso e desapontado ao ouvir como o dentista começa a considerar tudo minuciosamente, precificando cada pequena coisa da lista de ações executadas. Por exemplo:
- Recheios de polimento - 200 rublos;
- Verniz especial para proteção - 300 rublos;
- O uso de tiras abrasivas para polir uma parede dentária - 100 rublos;
- O uso de cunhas - 100 rublos por cunha.
Etc. Essas "pequenas coisas" são adicionadas ao custo dos componentes básicos: anestesia, preenchimentos - levando em consideração o número de superfícies tratadas e com ênfase na profundidade da lesão.
Nota
O mais importante: o médico, sentado em uma cadeira, deve anunciar de forma acessível e compreensível qual será o custo final do procedimento (mais ou menos 300-500 rublos) antes do tratamento. Se isso não acontecer, você deve perguntar diretamente ao médico, caso contrário, o dentista terá muito "espaço para criatividade" e a fatura apresentada para pagamento pode ser desagradavelmente surpreendente.
Além disso, geralmente é difícil para o paciente entender por si próprio se existe realmente cárie dentária. E também pode ser difícil avaliar: o que o dentista vê no espelho dental (mesmo que o médico dê o espelho e sugira olhar por conta própria). Às vezes, um médico pode "erroneamente" (ler - intencionalmente) contar a pigmentação de um dente para cárie, ou encontrar deliberadamente de 3-5 dentes cariados em sua boca, embora externamente eles não pareçam doentes para a pessoa - isso não pode deixar de ser alerta.

Estatísticas
Investigações de jornalistas sentados na cadeira do dentista para exame em 10 clínicas de uma metrópole (econômica e privada) para identificar problemas dentários foram realizadas nesta ocasião.O número máximo de dentes cariados foi encontrado na odontologia particular dispendiosa e, no orçamento (hospitais, clínicas), pelo contrário, eles ignoraram as reais áreas cariadas nos dentes.
Então, nesse caso, às vezes você precisa procurar um meio termo!
De qualquer forma, se o médico oferecer repentinamente tratamento para aqueles dentes que lhe parecem bastante saudáveis, faz sentido consultar pelo menos mais uma clínica para esclarecer a situação (Felizmente, hoje essas consultas podem ser obtidas gratuitamente ou pelo menor preço).
Tratamento de cárie em crianças e seu custo
Atualmente, os pais de bebês sabem que dentes bonitos e saudáveis não são apenas garantia de uma vida confortável e gratificante, mas também uma contribuição para o futuro socioeconômico da criança. Para proteger o bebê de consequências indesejáveis, os pais estão prontos para pagar muito dinheiro pela prevenção e tratamento da cárie nas fases iniciais.

Ao mesmo tempo, muitas pessoas não levam em conta que a melhor maneira de manter os dentes de uma criança saudável é começar a cuidar deles com o primeiro dente que foi rompido. São as medidas de higiene doméstica, e não um dentista, que são a base de um belo sorriso.
Mas, é claro, os procedimentos em casa nem sempre ajudam 100% devido a diferentes nuances (preguiça dos pais, falta de tempo e conhecimento) e, enquanto isso, uma mancha de cárie se forma nos dentes do bebê sob uma espessa camada de placa. Tendo em conta a idade da criança, a situação clínica específica e a carteira dos pais, diferentes tipos de tratamento podem ser selecionados: remineralização e fluoretação, fissuras de vedação com retificação preliminar do esmalte afetado, técnica ICON, processamento com broca seguida de preenchimento, tratamento a laser etc.
Nos hospitais e policlínicas orçamentárias, onde o transportador para a admissão de pequenos pacientes trabalha, a maior parte do serviço é gratuito e não atende aos critérios de qualidade: recheios baratos entregues à cárie não completamente extirpados terminam no segundo dia. Isso acontece mesmo depois de visitar uma pequena odontologia particular - por culpa do médico e como resultado da incapacidade da criança de se relacionar adequadamente com o que está acontecendo no consultório (medo de pânico de um jaleco branco - o bebê chora, grita, morde).
Portanto, o médico pode sugerir tratamento usando anestesia geral (sob anestesia geral) ou sedação (a criança permanece consciente, mas permanece relaxada). Tudo isso aumenta muito o custo do procedimento, mas às vezes é a única opção possível para tratamento dentário no bebê.

Nota
Por exemplo, a anestesia com xenônio com duração de 1 hora pode custar em média cerca de 25.000 rublos. Uma sedação profunda usando medazolam está na faixa de 8000 a 10000 rublos (também por 1 hora).
Além disso, os chamados recheios coloridos apareceram no arsenal dos médicos, para o qual várias clínicas fazem uma margem extra, embora este seja um material comum, conveniente para o tratamento de cáries apenas porque as crianças podem mais tarde se gabar de recheios de cores na frente de seus amigos. O desejo de obter um selo tão bonito pode ajudar o bebê a superar seu medo do procedimento.

Na odontologia pediátrica, especialmente para o tratamento de dentes permanentes, os compósitos fotopolimerizáveis têm se mostrado bem - um material estético e confiável para o qual é dada uma garantia (a um preço muito baixo do orçamento).
É interessante
As vedações "leves" estão em uma seringa de plástico com uma tampa de um lado e um pistão rosqueado especial do outro. O material nessas seringas pode estar em forma de pasta ou em fluxo. Quando o pistão gira no sentido horário, o material é espremido suavemente e o dentista pode usar a ferramenta especial (espátula) para pegar a porção necessária para cada camada dos futuros recheios e introduzi-los um a um na cavidade preparada no dente.Compósitos fluidos são úteis em casos especiais - em particular, para recriar a parede do dente o mais próximo possível da fenda.
Encontrar serviços odontológicos de qualidade por menos
Os residentes das megacidades dificilmente podem se surpreender com o fato de todos os anos grupos de visitas dentárias serem formados entre voluntários (na maioria das vezes de Moscou, São Petersburgo, menos frequentemente de Ecaterimburgo e outras cidades). Além disso, muitas vezes esses passeios têm um programa cultural e de entretenimento que combina com sucesso com uma visita ao dentista e o tratamento da cárie dentária muito mais barato do que em uma megalópole.

Por exemplo, o custo médio da implantação dentária em Moscou é tal que o mesmo procedimento realizado, por exemplo, em Murom, Novgorod ou Cherepovets, pode custar várias dezenas de milhares de rublos mais baratos. Economias podem ser obtidas com outros serviços odontológicos, incluindo o tratamento de cáries.
Hoje, entre os moradores de Moscou e da região, Ryazan e Tver estão ganhando grande popularidade como destinos turísticos semelhantes. Esses passeios são realizados por empresas licenciadas para organizar esses eventos. Os contratos assinados com as melhores clínicas odontológicas em uma cidade pequena permitem que as clínicas tenham um fluxo constante de pacientes, e a empresa que organiza os passeios pode se beneficiar do pagamento de viagens e da publicidade para dentistas.
Assim, foram analisados os preços dos dentistas em Moscou e Ryazan (um total de cerca de 60 clínicas), e foi determinada a faixa do custo do tratamento da cárie por dente:
- Em Moscou, de 1.500 a 13.000 rublos;
- Em Ryazan - de 800 a 4000 rublos.
Além disso, em Ryazan, várias clínicas podem tratar cáries usando a tecnologia ICON por cerca de 2000-2500 rublos, e em Moscou o custo desse procedimento é próximo de 5 a 8 mil, embora a escolha de clínicas seja muito maior (muitas dezenas).
Nota
Deve-se ter em mente que o preço excessivo, tanto em Moscou quanto em qualquer outra cidade, pode estar cheio de armadilhas. A clínica é capaz de economizar em equipamentos, materiais, ferramentas, salários de médicos, administradores, etc. Uma combinação de vários desses fatores pode levar à insatisfação do paciente e à necessidade de tratamento já com dinheiro sério em outros lugares.
5 maneiras de economizar no tratamento da cárie
O cumprimento das recomendações simples a seguir economizará muito dinheiro a longo prazo, o que de outra forma poderia ser direcionado ao tratamento de cárie e suas complicações:
- Vamos começar com o ponto mais simples e óbvio - realize regularmente a higiene bucal (use uma escova de dentes, pasta de dente e também um irrigador para limpar os espaços interdentais ou fio dental). A prática mostra que a aparente simplicidade engana aqui: na Rússia, apenas cerca de 3% da população usa regularmente fio dental (e menos pessoas usam irrigador). Nesse caso, a cárie muitas vezes começa precisamente na região cervical na parede lateral do dente - isto é, no espaço interdental;

- Realize higiene bucal profissional no dentista 1-2 vezes por ano. Os dentistas recomendam remover regularmente os depósitos dentários (pedra e placa), e a taxa de formação desses depósitos é individual para cada pessoa;
- É extremamente importante não atrasar o tratamento nos estágios iniciais de uma lesão de cárie. É um paradoxo, mas para economizar dinheiro com tratamento odontológico, eles precisam ser tratados o mais rápido possível quando uma lesão de cárie aparecer. Se o dente for "iniciado" e não prestar atenção aos sintomas (dor de doce, frio, quente) ou à crescente amplitude e profundidade da cavidade cariada, o destino futuro do dente dependerá da natureza do desenvolvimento de complicações da cárie - pulpite ou periodontite. É possível que você precise ir além da odontologia terapêutica e familiarizar-se com as próteses, cujos preços são uma ordem de magnitude mais alta (especialmente se estamos falando de próteses em implantes);
- Não custa nada olhar para promoções e descontos, que hoje são frequentemente encontrados em quase todas as clínicas;
- Não tente chegar à clínica, que certamente serve café, e as TVs estão na sala de espera e no próprio escritório. Primeiro de tudo, você precisa se concentrar em encontrar um bom médico, não uma clínica de elite (Você pode procurar um bom dentista pelas avaliações e recomendações de amigos e conhecidos). Existem muitos médicos que são profissionais de alto nível que tratam de altíssima qualidade, de baixo custo e, ao mesmo tempo, nunca se permitem extrair dinheiro extra do paciente por motivos egoístas.
Cuide dos seus dentes e seja saudável!
Se você tem experiência pessoal em tratamento de cárie, deixe seu comentário na parte inferior desta página. Quanto custou o procedimento e quanto você ficou satisfeito com a qualidade do tratamento.
E aqui está a visão do dentista sobre os preços em odontologia
Vídeo útil: quanto "selo" vive



Artigo muito bom! Obrigado 🙂
Olá. As obturações localizadas na superfície interna dos incisivos são ligeiramente visíveis através dos meus dentes da frente. Eles se parecem com semicírculos entre dois dentes, especialmente sob luz forte. Esses recheios são normais em si mesmos, não marrons, apenas a espessura da parede frontal do dente já é pequena e isso é visível. O que fazer para que os dentes da frente fiquem sem recheios translúcidos?
Trocar selos? Mas existe algum material hoje que tenha a mesma transmissão de luz que o material do dente? E a parede frontal do dente se tornará ainda mais fina se os recheios forem trocados.
E se você colocar facetas, precisará moer um monte de dentes, não apenas dois na frente?
Olá Eugene! Obviamente, é necessário trocar os selos. Por exemplo, no arsenal de nossa clínica, há um material de preenchimento com um grau diferente de transparência, e o médico escolheria aquele que melhor se adapta aos seus dentes. No caso de uma parede fina, os dentes são preparados com extrema cautela; os tecidos saudáveis são minimamente afetados. Se a destruição dos dentes for significativa o suficiente e for impossível obter um alto efeito estético, será considerada a opção de fabricar facetas ou coroas. Ao mesmo tempo, você não precisa moer alimentos saudáveis.