
O tratamento dos canais dentários é uma manipulação de alta tecnologia que requer do dentista não apenas conhecimentos teóricos relevantes, mas também habilidades comprovadas no uso de métodos e ferramentas especiais específicos para terapia endodôntica. Simplificando, esse procedimento é complexo e envolve muitos erros médicos possíveis.
Infelizmente, muitas vezes há situações em que o dente continua a doer após remover o nervo (polpa) e limpar os canais. Às vezes, a dor é tão forte e não passa por um longo tempo que uma pessoa é forçada a tomar analgésicos por vários dias.
E aqui é necessário entender: por que um dente “morto” machuca - afinal, depois de limpar os canais, parece que não tem nervos? .. E quanto tempo isso pode durar, vale a pena esperar um pouco em casa ou você precisa imediatamente procurar o médico para procurar um médico? recepção.

De um modo geral, todas as dores que ocorrem após o tratamento e o preenchimento adequado dos canais são chamados pelos dentistas de "dores pós-preenchimento". Além disso, alguns médicos acreditam que essa dor é uma complicação de 100%, mesmo que o raio-x mostre que os canais estão fechados sem erros. Outros dentistas são da opinião de que a dor no dente após a remoção do nervo, limpeza e enchimento de alta qualidade dos canais é uma condição dentro da faixa normal, mas apenas se a dor permanecer por não mais que 5-7 dias.
Nota
A dor pós-preenchimento após a limpeza dos canais pode ser constante e surgir apenas ao morder ou pressionar o dente, o que complica bastante a refeição. Na maioria das vezes, a dor ocorre espontaneamente várias horas após o procedimento de tratamento e é constante.

É aceitável preservar pequenas sensações dolorosas até 2-3 semanas, se a sua intensidade for caracterizada por uma diminuição gradual a cada semana. Porém, um aumento acentuado da dor alguns dias após o tratamento requer diagnóstico urgente e, possivelmente, re-tratamento e limpeza dos canais.
Mas o que uma pessoa deve fazer se o dente continuar a doer por um longo tempo depois de remover o nervo e tratar os canais? Bem, em tal situação, você precisa marcar uma consulta com urgência com um médico para avaliar a adequação de um segundo tratamento.
Em primeiro lugar, nesses casos, a dor é frequentemente um indicador de complicações no dente que surgiram devido a erros cometidos pelo médico durante o tratamento. Em segundo lugar, deve-se conhecer o "inimigo" (complicação) na face para poder corrigir a situação a tempo e salvar o dente da extração. A inação aqui é inaceitável.

Então, vamos entender por que, depois de remover os nervos e limpar os canais, o dente pode continuar doendo ...
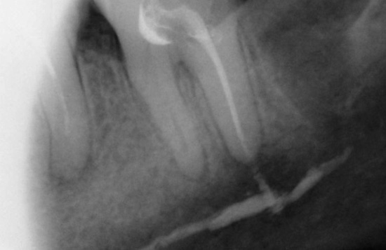
Material de enchimento removido no ápice da raiz do dente
Dentre todas as complicações que surgem após a limpeza e o preenchimento dos canais, a remoção do material de preenchimento fora da raiz é provavelmente um dos primeiros locais, apesar dos sistemas de controle dentário para a precisão desse procedimento. Quase todos os dentistas com experiência de mais de 10 anos, pelo menos uma centena de vezes, enfrentam essas situações quando, após remover o nervo e remover o material de preenchimento fora do ápice da raiz, o dente do paciente começa a doer severamente no dia do tratamento.

É possível diagnosticar tal complicação somente depois de estudar os dados de raios-X ou visográficos em um computador. Porém, a radiografia panorâmica de ambas as mandíbulas nem sempre permite um exame detalhado da parte superior das raízes dos dentes tratados e identifica o problema.
Ao remover o material de preenchimento além da raiz, o dente pode doer por muito tempo - até 5-6 meses. Tudo depende de quanto material é liberado nos tecidos moles circundantes, de que material é e também de que tipo de reatividade do corpo da pessoa (afinal, o material de preenchimento é um corpo estranho ao qual existe uma resposta imune, cuja gravidade será diferente para pessoas diferentes) .

É interessante
Em 1935, o dentista A.A. Anishchenko propôs um método de preenchimento dos canais dentários com cimento fosfato e sugeriu que a melhor maneira de restaurar o osso destruído ao redor da raiz com periodontite é trazer o material fora da raiz para esse foco patológico. Os dentistas modernos consideram esse método de tratamento uma zombaria do paciente, porque mesmo que resultados positivos sejam alcançados devido à forte vedação do canal dentro e fora do tampão de cimento, no qual as bactérias não podem se multiplicar, no entanto, imediatamente após o término da anestesia, uma pessoa começará experimentando dores infernais. Eles podem ser ainda mais fortes do que antes do tratamento dentário.
A solução de ácido fosfórico, que faz parte do cimento fosfato, tem um forte efeito irritante, e a própria massa endurecida de cimento é um conglomerado estranho que nunca "resolve" quando está fora da raiz. Por razões desconhecidas, na terrível odontologia soviética, esse método é usado há mais de 30 anos!
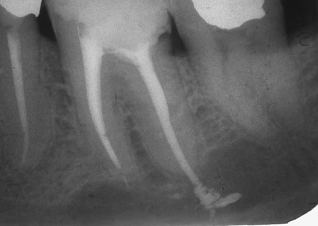
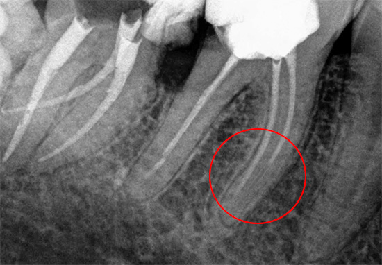
Atualmente, os cimentos são extremamente raramente utilizados no tratamento de canais, e a remoção de qualquer material de preenchimento no topo da raiz é considerada uma complicação. Devido ao salto no progresso científico, os dentistas começaram a usar pinos de guta-percha e o sistema Thermafil para obturação (preenchimento) de canais e seus ramos.
Se o comprimento do dente de trabalho for determinado incorretamente, não há ênfase apical, o pino de guta-percha não é dimensionado corretamente, o material é removido para a raiz do tecido circundante. Ao mesmo tempo, é possível observar no raio-x como a faixa branca do material de enchimento passa dentro da raiz, atinge seu ápice e continua. Mesmo uma pessoa que não é completamente avançada em odontologia pode diagnosticar facilmente o erro de um médico quando o alfinete de guta-percha se estende além da raiz em 4-5 milímetros ou mais.
Não vale a pena esperar que a dor passe. É lamentável, mas às vezes a solução mais eficaz é entrar em contato com outro médico se o dentista que permitiu a remoção do material fora da raiz não corrigiu a situação e não a corrigiu, dizendo que está tudo bem e que a dor passará mais cedo ou mais tarde eu mesmo.


Os materiais de enchimento modernos são frequentemente removidos sem problemas, desde que a clínica esteja adequadamente equipada. Assim que o excesso de material é removido e o dente é selado corretamente, a dor passa imediatamente ou dentro de 2-3 dias.
É interessante
A fonoforese com hidrocortisona, um laser de hélio-neon, correntes flutuantes, microondas e UHF às vezes é usada como métodos fisioterapêuticos para aliviar a dor no dente após a remoção do nervo e a limpeza do canal. Esses métodos são adequados tanto para dores pós-preenchimento “clássicas” quanto como um tratamento adicional para a dor após eliminar as conseqüências de várias complicações.
Canal selado incorretamente
Se o dente começar a doer ao remover o material de preenchimento além do ápice da raiz em um futuro próximo, o preenchimento insuficiente do canal ou dos canais poderá não reagir. Como regra, quando um dente não dói em tal situação, é criado um efeito de bem-estar imaginário. E a questão aqui é o quanto ele não pode ficar doente após um tratamento tão ruim.

Comentário do dentista
Na minha prática odontológica, tenho enfrentado repetidamente a retirada de dentes, que às vezes não eram completamente preenchidos dentro dos canais, ou o material de preenchimento era simplesmente "manchado" ao longo de suas paredes por um período de 5-6 meses a 7-8 anos ou mais. Se o próprio paciente veio pedir ajuda, as queixas foram mais ou menos assim:
“Há muitos meses (anos), eu tratei (tratei) um dente e, estando morto, ele não doeu (ou quase não incomodou) até o outro dia em que houve uma forte dor espontânea, principalmente ao pressionar o dente tratado enquanto mastigava com força comida ... "
Em muitos desses casos clínicos, devido à multiplicação de bactérias em canais vazios ou meio vazios, ocorreram algumas alterações no tecido ósseo próximo ao topo da raiz do problema: de uma ligeira descarga de tecido ósseo à formação de granuloma ou mesmo cisto.
Vyacheslav, dentista, Samara

Quanto mais cedo o preenchimento da raiz for removido e o dente for resgatado, mais rapidamente as dores passarão (se houver) e não haverá condições para o crescimento e a reprodução da infecção nos canais com a transição para a área próxima à raiz.
Lascando uma ferramenta em um canal
Se o dentista encontrar pela primeira vez uma complicação como uma quebra do instrumento no canal, na maioria dos casos o médico entrará em pânico (o momento psicológico é acionado - afinal, isso é um erro médico). No entanto, isso, embora não seja o mais frequente, mas, no entanto, um erro de trabalho bastante comum, pode ser corrigido, levando em consideração tecnologias e métodos modernos, e o dente pode ser salvo.

Se durante a limpeza do canal uma parte do instrumento endodôntico se romper nele, se for deixado no canal, o dente começará a doer imediatamente ou após algum tempo. Isso se deve ao fato de que um pedaço do instrumento preso no canal não dá ao médico acesso ao ápice da raiz, devido ao qual permanece uma parte do nervo ou uma infecção não tratada que começará necessariamente a se multiplicar e pode levar a problemas muito grandes no futuro.
A quebra da ferramenta ocorre com mais freqüência devido à falha do médico, e aqui as seguintes razões são possíveis:
- pressão excessiva é aplicada a um instrumento afiado;
- a técnica de uso do instrumento é violada;
- os géis lubrificantes não são utilizados para evitar "congestionamentos" no canal;
- as antigas “agulhas” são usadas repetidamente para limpar e expandir canais (exemplos e arquivos), que passaram pelas etapas de processamento muitas vezes e não são mais adequados.

Mesmo em canais estreitos e fortemente curvados, você pode trabalhar com precisão e corretamente, sem quebrar a ferramenta.
Para evitar possíveis complicações futuras, a remoção imediata dos detritos é realizada usando vários métodos. Por exemplo, o método ultrassônico de "nocautear" um fragmento é atualmente usado ativamente. Outro método de extração é passar um canal ao lado de uma ferramenta presa, expandir, enxaguar, agarrar e removê-lo.

Se for impossível extrair, métodos cirúrgicos conservadores podem ser usados quando a parte passada do canal é selada com cimento e a parte onde o fragmento está localizado é ressecada (a ponta da raiz do dente é cortada).
O método dúbio ainda é o método de impregnação para eliminar a complicação, quando uma poderosa mistura anti-séptica (mais frequentemente resorcinol-formalina) é derramada no canal sobre os detritos do instrumento e um selo é colocado. Geralmente, depois de algum tempo, esses pacientes recorrem novamente ao dentista com uma pergunta - eles dizem que removeram o nervo do dente, mas ainda dói. O método especificado com o uso de pasta de resorcinol-formalina nem sempre resulta, é muito mais confiável remover uma ferramenta quebrada do canal.
Perfuração da raiz do dente
Uma analogia grosseira, mas compreensível, desse termo terrível é "um buraco na raiz". De um modo geral, as estatísticas sobre o número de perfurações feitas nas raízes dos dentes dos pacientes nas clínicas modernas aumentam a cada ano.Isso se deve ao fato de que cada vez mais dentistas estão migrando do tratamento rotineiro de canais dentais manualmente para técnicos de máquina, quando, em vez dos instrumentos intracanal habituais, são usadas dicas endodônticas para passar, expandir e limpar os canais, que giram a parte de trabalho do instrumento sob o controle de um dispositivo especial.


Devido à falta de experiência do médico, pode ocorrer um atolamento de uma ferramenta de rotação rápida ou simplesmente uma passagem aproximada do canal, resultando em perfuração de sua parede. Às vezes, um conjunto de ferramentas incorretamente selecionado também leva à passagem do canal não ao longo de sua curvatura real, mas diretamente, ou seja, na parede com acesso aos tecidos moles ao redor da raiz.
Se a perfuração for realizada após a remoção do nervo e a limpeza inicial do canal com ferramentas manuais, ocorrerá um sangramento intenso do dente e dor (embora a anestesia o suavize ou bloqueie quase completamente). Se essa complicação for ignorada, ao encher o canal da maneira usual, o material de enchimento geralmente sai da raiz no local onde há um “buraco” na parede.

O resultado disso em quase 100% dos casos é dor aguda que ocorre imediatamente após a anestesia. Um dente após a remoção do nervo com essa complicação pode ser muito doloroso por 2-3 semanas ou mais.
Das observações do dentista
No momento da perfuração radicular, a maioria dos pacientes sente uma “injeção” mesmo com anestesia severa, após a qual a dor pode não ocorrer até que o médico volte a ultrapassar os limites da parede radicular. Geralmente, os pacientes competentes descrevem esse momento como se "o instrumento entrasse na gengiva", e mais dores após passar o "congelamento" são facilmente associadas ao erro deste médico.
Para que uma dor de dente grave em um dente morto tratado com uma raiz “perfurada” não se torne um pesadelo, e também para evitar supuração em torno da raiz, é importante detectar o erro a tempo e eliminá-lo.
Para um resultado favorável, o dentista deve passar por todos os canais do dente, limpá-los dos restos da polpa e da infecção, sem afetar a falsa passagem na parede radicular. A perfuração da raiz deve ser fechada com material que contenha cálcio (para o fechamento de tais perfurações, mostrou-se excelente, por exemplo, material ProRoot MTA).
Alergia ao material de enchimento
Atualmente, os casos de alergias a vários materiais e substâncias são quase um “clássico do gênero”, e os materiais de preenchimento para canais de preenchimento não são exceção. Quando são introduzidos no canal dentário a uma pessoa propensa a alergias, pode ocorrer dor intensa nos tecidos ao redor do dente, que às vezes nem param com os analgésicos.

Nesses casos, ocorre uma reação alérgica em resposta ao material localizado no canal dentário (e principalmente quando se estende além da raiz). A manifestação local de alergias é inchaço das gengivas, dor intensa em um dente morto e às vezes inchaço dos lábios e bochechas.

O inchaço local das gengivas pode não diminuir por mais de uma semana, e a dor aumenta significativamente com a pressão no dente, como resultado do qual o paciente não pode comer completamente. Às vezes, o dentista, diante dessa complicação, não consegue entender nada: durante o trabalho com os canais não houve problemas, os canais foram preenchidos perfeitamente e o dente com o nervo removido do paciente continua a doer e fica mais forte a cada dia.
Os pacientes geralmente pedem ao médico que remova urgentemente um dente doente, para que ele não o atormente mais. É claro que um dentista-terapeuta, confiante em suas habilidades, geralmente não concorda com isso, mas por ignorância, muitas vezes escolhe o mesmo material de preenchimento ao tratar um dente, do qual o dente continua a doer.
Somente a substituição do material de preenchimento por outro alternativo, com composição qualitativamente diferente, pode eliminar todos os fenômenos de alergias e a dor de dente severa associada.
Um vídeo interessante sobre as possíveis causas de dor em um dente morto sob um recheio
Remoção de um fragmento de um instrumento quebrado de um canal dentário

Olá Há algumas semanas, fui ao dentista com dor em dois dentes, um deles foi tratado, apenas um recheio caiu, e no segundo dente o canal foi limpo dos meus nervos e preenchido com um preenchimento temporário. Ao sair, ela não notou nada disso ... No começo da noite, começaram as dores, como se ela não tivesse ido a lugar algum. Voltei no dia seguinte ao médico. Ela disse que vem em uma semana. Eu vim já depois de uma semana e meia. A dor não diminuiu ... Ela me disse para lavar a boca, as gengivas doloridas. Não quero voltar para ela, mas já dei o dinheiro! Como ser, me diga ?! Sob minha coroa, além disso, o início da dor ((
Bom dia Estou escrevendo para você em 31/10/15, a última visita ao dentista com o preenchimento resultante foi no dia 28 do mesmo mês. Há três dias que não consigo comer nem dormir. O efeito dos analgésicos está caindo rapidamente e a dor se intensifica. Juntamente com o dente do qual o nervo foi removido, são observadas dores em vários vizinhos, no ouvido do mesmo lado e na metade da cabeça do outro lado. Mesmo um leve toque nos dentes da mandíbula superior causa uma dor incrível, às vezes me deixando em pânico. Até movimentos espaciais e mudanças de temperatura causam dor. Eles removeram o arsênico, sem anestesia, na odontologia gratuita. Mas as imagens mostraram que os canais estavam fechados normalmente. Seria mais agradável agora aprender de alguma maneira sobre a normalidade e a duração dessas dores insuportáveis. As informações no artigo são ainda mais exaustivas, mas ainda assim. Parece que tudo é normal, não é uma alergia, não é um erro médico ... Mas, no entanto, a dor tem um caráter crescente. O médico disse que esse inferno durará na região de 2 meses, o que, receio, levará à minha morte, porque não há mais urina para suportar e, se a dor não diminuir, mas se intensificar no ritmo normal, minha morte será muito rápido Ajuda com conselhos ou informações mais avançadas, se houver essa oportunidade.
Olá Sophia! Obviamente, seria bom ver as imagens - pelo menos para entender se os “canais estão realmente selados corretamente”. A natureza crescente da dor que dispara no ouvido e causa sofrimento insuportável todos os dias não é a melhor opção para continuar uma vida normal, pois você terá que beber regularmente analgésicos, e um longo curso de drogas é um certo risco. Existem duas sugestões sobre o seu problema. O primeiro diz respeito ao preenchimento áspero, quando o material introduzido irrita deliberadamente o ápice das raízes do dente. Esses materiais são mesmo na odontologia extra-orçamentária: bonitos nas figuras, mas, trazidos até o final da raiz da figura, são considerados criados. Entenda o fato de que o orifício de saída da raiz geralmente não coincide com a ponta do raio-x, para que os tecidos do topo se adaptem por muito tempo a um material grosseiro "semelhante ao cimento". O conselho do seu médico também pode indicar isso: aguarde "na região de 2 meses". Há uma segunda suposição de que ainda há um dente estragado.Enquanto você sofre de dor ao morder um dente tratado, há um dente doente que não foi encontrado imediatamente, embora essa versão seja menos provável, mas para uma instituição de orçamento ocorre devido à pressa dos médicos. Se a dor realmente provocar o material, para aliviar os sintomas e até reduzir a inflamação traumática, você pode tentar procedimentos fisioterapêuticos, como: terapia por ultrassom, microondas, eletroforese de analgésicos, laser.
É aconselhável consultar um médico no consultório de fisioterapia para você pessoalmente para o procedimento específico. É possível que na sua cidade existam serviços que possam facilitar sua situação. No entanto, seria aconselhável ver as fotos com outro dentista, para uma opinião objetiva.
Eu tive a mesma situação. O médico também não pôde dizer nada. Tudo doía e descontroladamente estava do lado direito da cabeça: todos os dentes, orelha, cabeça, músculos. Osteopata trouxe de volta à vida. Não me lembro exatamente do que tinha e, naquele momento, não tinha entendimento, mas uma visita a um osteopata competente voltou à vida. Parece que era um nervo comprimido, ou algo mais de uma boca longa e aberta.
Eu tinha algo parecido, vou lhe dizer imediatamente que você pode estar enganado em um dente em particular. Quando tais dores ocorrem, parece-lhe que este é este dente, e a razão está em um dente completamente diferente. Quando cheguei ao dentista, eu realmente não sabia dizer da dor em que dói, tudo dói e tudo cedeu no meu ouvido. O médico tirou fotos de quase todos os dentes daquele lado da orelha e olhou até que ela estivesse convencida de onde estava a causa da dor! Além disso, ela identificou corretamente o dente problemático, mas não tinha 100% de certeza! Já é: bom, vamos verificar este, embora o preenchimento esteja completo e não houvesse sinais de cárie, e uma infecção começou dentro do dente, o que causou dores infernais no ouvido. Procure uma razão, antes de fazer algo, tire fotos com todos os dentes do lado em que dói!
Boa tarde Eu fui despovoado há mais de 2 anos, o canto inferior esquerdo de 6 ku. O dente continua doendo às vezes, mas eu sempre pensei que fosse algo como “dores fantasmas” (como o dentista me disse). E agora por uma semana o dente dói quase sem parar. Eu bebo um anestésico (tirei o top 8, ainda bebo disso). Eu acho - posso removê-lo ou repará-lo? ((Ou ainda é a norma?
Olá Infelizmente, sem uma imagem diagnóstica do “canto inferior esquerdo 6”, é impossível dizer exatamente que erro foi cometido no tratamento dos canais. No entanto, se o seu dentista acreditar que não há sinais no campo de visão dele que possam dizer com precisão a causa da dor, considere cuidadosamente os dentes adjacentes e até a condição dos dentes na mandíbula superior. Freqüentemente, os sintomas da dor "aguda" aparecem nos dentes que ainda não foram tratados nos canais, mas se estendem aos dentes despolpados. Se a extração dentária ocorrer, poderá ocorrer dor intensa por 3-4 dias devido à alveolite - "supuração" do orifício, e a dor irradiará ("ceder") para o mesmo nível inferior 6. Conclusão: sem um diagnóstico detalhado, você não pode remover o 6-ku inferior esquerdo nem reparar. Desejo-lhe saúde e uma solução rápida para os problemas!
Boa noite Há 8 semanas foi excluído. Três dias após a remoção do 8-ki, decidi tratar o 7-ku, pois era sensível ao comer. Eles limparam os canais, fechados com cálcio. Por três dias, o dente doeu até a morte, a dor passou para o ouvido, a têmpora e a garganta. Hoje eles removeram o cálcio, abriram o dente, tiraram fotos. Conclusão: os canais estão limpos, está tudo bem, mas o médico não consegue entender a razão pela qual o dente dói. Dor especialmente intensa ao clicar no dente, bem como quando a ferramenta toca o topo. Estou acordado há 4 noites, bebo Nise. Eu também tenho uma doença cardíaca congênita, sinto como isso começou a doer. Hoje, o médico receitou o antibiótico Azitral, mas não ficou mais fácil.Diga-me, quais são meus próximos passos? O dente está aberto, é prescrito um enxágüe na forma de refrigerante com sal. Obrigado pela dica.
Olá Infelizmente, sem uma imagem diagnóstica do 7º dente, nada pode ser dito sobre possíveis erros no seu tratamento ou, em geral, sobre a perspectiva de seu tratamento intracanal. Se você está falando do 7º dente, que estava próximo ao dente extraído, podemos assumir alveolite - inflamação purulenta da cavidade dentária, que, em termos de sintomas, se estende até aos dentes normais. Em outras palavras, após a extração do dente (imediatamente ou após algum tempo), os dentes adjacentes podem ser extremamente sensíveis, mas isso não significa que seu tratamento seja urgentemente necessário. Na maioria das vezes, é importante cuidar da cura bem-sucedida do buraco. Honestamente, sem ver fotos do seu dente e ter dificuldade em adivinhar as táticas do seu médico, as ações relacionadas à sequência parecem duvidosas: introduzir uma preparação de hidróxido de cálcio no canal dentário, seguida de enxaguar os canais abertos com refrigerante e sal, que agora é considerado até “prejudicial” para as medidas , uma vez que a infecção penetra novamente nos canais. Suas ações são simples: consulte um cirurgião-dentista sobre o furo de um dente removido, tire fotos do 7º dente e encontre um bom dentista-terapeuta para formar uma opinião e uma posição diferentes no tratamento endodôntico de canais do que no seu caso. Desejo que você lide com o problema o mais rápido possível. Desculpe pela resposta longa.
Olá Minha situação é a mesma! Retirei a parte inferior direita 8, diagnosticada pulpite da vizinha 7. Imediatamente após o término da anestesia, a metade direita da mandíbula ficou doente. Uma semana depois, ela chegou ao tratamento 7. Depulped, cheia de cálcio, colocou um selo temporário. No mesmo dia, voamos para o mar. Hoje são 3 dias após o tratamento e a dor não diminui. Estou com HB, beba ibuprofeno, o efeito é fraco. Muito atormentado.
Problema 1 em 1, como você tem.
Tratei meus dentes recentemente, em 2 eles removeram o nervo, limparam os canais. Eles fizeram tudo bem, em uma empresa paga, com um médico de confiança. Os dentes estão localizados lado a lado, o lado inferior. No dia seguinte, os dentes inferiores da frente começaram a gemer. Já se passaram dois dias ((Ajuda, o que poderia ser? ((Quando eu empurro a mandíbula para frente, algo puxa desagradável desses dentes.
Olá Camila! Sem fotos de dentes tratados, é difícil julgar a qualidade do seu tratamento intracanal. No entanto, assim, os dentes anteriores inferiores não choramingam. Na maioria das vezes, vale a pena procurar um dente problemático que ainda não tenha sido tratado por você pelos canais, porque, por causa disso, a dor pode "ceder" aos dentes vizinhos. Você ainda não indicou a natureza da dor dolorosa: por irritantes (quais?), Independente ou ao "morder" um dente? Por favor, escreva com mais detalhes os sintomas com base nos meus critérios, caso contrário, o diagnóstico não será preciso.
Olá Tirei o nervo no 8º dente, limpei os canais. No dia seguinte, esse dente e outros dentes começaram a doer. O que poderia ser?
Olá Eliza! Na maioria das vezes, a dor ocorre no contexto da reação pós-preenchimento do dente tratado. Isso não pode ser chamado de norma, no entanto, na maioria dos casos, isso não afeta a perspectiva de preservação do dente. Se você sentir dor ao clicar no (s) dente (s), em alguns dias eles deverão desaparecer gradualmente completamente. No entanto, vale lembrar que os sintomas (ou a ausência deles) nem sempre podem ser um indicador da qualidade do trabalho do médico nos canais, principalmente porque o oitavo dente é tão difícil de tratar. Aqui, a análise das imagens dos dentes e um estudo detalhado da qualidade da passagem e preenchimento (preenchimento) dos canais são importantes. Seu futuro por muitos anos depende disso.
Boa tarde, o que fazer já - eu não sei.Meu tormento começou há 20 dias, os sete se romperam e no dia seguinte uma dor aguda começou. Na odontologia regional orçamentária, eles colocam a pulpite 6 e 7 no canto inferior esquerdo, abrem e colocam arsênico. No dia seguinte, a dor apenas se intensificou e a gengiva ao redor dos dentes ficou cinza. No mesmo dia, voltou a procurar a clínica regional, onde outro médico já havia feito outro diagnóstico: necrose de arsênico nas gengivas. Eles removeram o arsênico, lavaram-nos com antídotos, removeram os nervos, colocaram um antibiótico e colocaram um enchimento temporário. Uma semana depois, os canais foram preenchidos e os recheios foram colocados sob anestesia. A dor apareceu assim que a anestesia se foi. Todos os dias dói mais e mais (a dor é constante, as sete dói mais, mas também irradia para a orelha e a mandíbula inferior. É impossível - a dor se intensifica com a pressão. Eles fizeram um raio-x, tudo parece estar bem, o médico diz que vai passar.
Olá Infelizmente, você se depara com uma situação em que um erro levou a uma cadeia de certas falhas no tratamento de um dente. O fato é que o próprio método arsênico de desvitalização da polpa é considerado duvidoso em termos de perspectiva de preservação do dente (principalmente prejudica os tecidos ao redor de sua raiz), principalmente quando essa pasta é colocada perto da gengiva. É por isso que pode ter um efeito negativo no tecido ao redor do dente. No entanto, mesmo em tal situação, é possível realizar um tratamento intracanal completo e salvar a situação. No seu caso, por algum motivo, isso não aconteceu. Talvez não tenha sido realizada uma limpeza completa do sistema do canal da polpa e (ou) fator microbiano, ou pode haver um enchimento excessivo dos canais / não levando o material a um estreitamento fisiológico da raiz. Existem outras complicações que podem levar às suas reclamações. De qualquer forma, as dores pós-preenchimento não são a norma em si, mas na prática, mesmo que ocorram, elas definitivamente não devem se intensificar todos os dias, mas exatamente o oposto. Aqui, o conselho é muito simples: aplicar com fotos dos canais dentários tratados a 1-2 médicos para explicar todos os detalhes, já que em 80-90% dos casos você pode ver a razão da deterioração após o tratamento endodôntico nas fotos.
Olá, ontem meu nervo foi removido, estava tudo bem. O médico disse que ele podia doer, gemer um dente. Ele disse que, neste caso, você pode beber o comprimido Tempalgin. Eu bebi não ajuda. Os locais de injeção ainda doem. Ajude-me a responder. Eu imploro.
Olá Anastasia! De fato, o local da injeção do anestésico pode causar algum desconforto, uma vez que este ainda é um trauma artificial da “gengiva”, a fim de excluir qualquer dor durante o tratamento dos canais dentários. Quanto mais o médico faz "injeções", maior a probabilidade de dor, que normalmente desaparece em 1-2, no máximo 3 dias. Após o tratamento do canal, de acordo com um protocolo de tratamento conduzido adequadamente, o dente não deve doer. No entanto, na prática, verifica-se que, durante o processamento dos canais, podem surgir algumas dificuldades que o médico não pode enfrentar por várias razões: falta de experiência, conhecimento de métodos, materiais, tempo, etc. geralmente aceitos Às vezes, podem ocorrer erros graves, com os quais o médico lida ou não. Como resultado, no primeiro dia após o tratamento, ocorrem dores de natureza diferente, que às vezes nem param os analgésicos. No entanto, se os canais são selados de acordo com todas as regras da imagem do dente, isso não é motivo para excitação: a dor dentro de 2 a 3 dias desaparece gradualmente e as dores ao "morder" o dente tratado desaparecem completamente em 5 a 10 dias. Seja saudável!
Olá, enfrentei esse problema há uma semana: eu estava no dente do dentista, onde o nervo havia sido removido antes, o canal não estava completamente selado e tudo foi refeito novamente para mim. Eles não fizeram anestesia.Quando o dentista inseriu a agulha no canal, houve uma sensação da agulha caindo na gengiva (anteriormente sentida) com uma dor aguda irradiando para o ouvido. Após a conclusão do procedimento, o queixo, o lábio e vários dentes inferiores ficaram dormentes (e trataram os 7-ka inferior esquerdo). Depois de um dia, a dormência não desapareceu e depois de uma semana também. O médico diz que isso não pode ser. O dente dói ao morder, mas o lábio, o queixo e os inferiores 1, 2 e 3, que permanecem dormentes, trazem mais desconforto. Mesmo debaixo da língua, deste lado, a glândula inchava e a dor sob a mandíbula, como se estivesse com um machucado. Por favor, me diga o que pode ser e o que fazer?
Olá Victoria! Infelizmente, você não forneceu fotos dos dentes tratados para estudo, e eles quase sempre ajudam a determinar a principal causa do sofrimento. Tenho certeza de que a sensação de "colocar uma agulha na gengiva" não passa de uma saída do instrumento além do ápice da raiz. Muito provavelmente, o cenário foi o seguinte: durante o processamento dos canais, a abertura da raiz apical foi excessivamente expandida e o material de preenchimento foi removido. Às vezes, é preciso um pouco para causar dor, como evidenciado pela proximidade exclusiva (para a sua situação) do canal mandibular às raízes do dente tratado. Talvez, portanto, o médico esteja perplexo. Existem casos mais raros em que ocorre dormência devido ao tratamento com jato anti-séptico dos canais dentários sob alta pressão. Assim, o tecido ao redor do dente é ferido. Um momento ainda mais incidental: se o médico, supostamente, esquecer que a foto pode estar boa, mas o selador (pasta, como uma adição aos pinos de guta-percha) é realmente levado para fora, mas não radiopaco. Ou seja, o médico analisa apenas os pinos visíveis aos olhos, e o material adicional que é removido por engano em excesso não é exibido.
Sob certas condições de trabalho em vários dentistas, e isso é possível. Também se pode dizer que a dor “expulsa além da raiz” ao “morder” um dente, principalmente porque esse médico a refez devido a um erro de outro médico (um canal não selado) e tentou (talvez até com entusiasmo excessivo) fazer muito trabalho vezes melhor do ponto de vista da "imagem" de raios-X - uma imagem.
Quanto à dor na mandíbula e à sensação de um "tumor" - isso é uma grande preocupação, pois no processo de tratamento de um dente, eles costumam lidar com uma infecção que foi deixada para os canais vazios. Com algumas nuances, o dente mais calmo pode responder ao tratamento com exacerbação. Em outras palavras, um dente ficou em pé e silenciosamente "apodreceu" por dentro, o dentista processou os canais, os selou (talvez em algum lugar que ele violou os momentos de protocolo do tratamento), e jogar a infecção para fora da raiz levou ao acúmulo de exsudato purulento sob a gengiva. Ou seja, esse ponto deve ser excluído. Aqui, o edema devido à infecção, ou em resposta ao tratamento e ao material de preenchimento, como uma forma de "reação alérgica" com a produção de certas substâncias que provocam esses sintomas.
É importante consultar, levando em consideração as fotos e reclamações no momento de entrar em contato com um médico externo e descobrir sua opinião.
Olá. O nervo do último dente de mastigação foi removido e preenchido. 2 dias foi desconforto, chegou à recepção, arquivado em cima! Após um mês e meio, o desconforto reapareceu, aumentando a cada dia. Aberto, re-limpo. Tomei oletetrina e lavei o dente aberto com refrigerante e sal, como o médico disse. Eles tiraram uma foto, disseram que estava tudo bem. E o dente dói mais e mais. Dá ao templo e ao ouvido. Na segunda consulta, eles registraram tsifran e Nise + rinse. Eles disseram que se depois de 5 dias não passar, então a remoção. Como salvar um dente ?! Obrigada
Olá Se você escreveu corretamente que era o "nervo que foi removido", então claramente um mês e meio depois de encher os canais do dente, surgiu uma complicação - uma exacerbação do "processo inflamatório na raiz", grosso modo.A razão para isso foram os erros cometidos durante o tratamento dentário (se realmente havia um "nervo" no início do tratamento). O resto que aconteceu com você é o desejo dos dentistas de se livrar de você como um cliente difícil. Um antibiótico + enxágüe com analgésicos, e mesmo por 5 dias com a expectativa de remover ou não remover um dente, é apenas uma sentença para o dente. Obviamente, no contexto dos antibióticos, o corpo pode lidar com uma exacerbação, levando o processo a um processo profundamente crônico ("ele deixará de ferir"). Mas você sabe quanta infecção da cavidade oral irá penetrar nos canais do dente? Acontece que, mesmo que a dor passe, ainda não há nada bom com o preenchimento de um dente fechado sem tratamento adequado do canal (talvez até com pastas temporárias tratadas com hidróxido de cálcio) e subsequente preenchimento de protocolo de todo o sistema de canal do dente. É apenas uma questão de tempo.
Se você tem o último dente que o dentista tratou, é um dente do siso (oitavo), então não deve segurá-lo se houver uma ameaça real da propagação da infecção purulenta e (ou) lá for realmente impossível tratar o dente de forma conservadora. Remova o dente do siso sem dúvida com esta opção.
Se você quis dizer com o último dente - o sétimo ("sete"), então vale a pena lutar por isso, mas o melhor de tudo em outra clínica. No entanto, existe uma alta probabilidade de que a correção dos erros que os médicos identificarão possa custar-lhe financeiramente.
Ontem o nervo foi removido, um selo temporário foi colocado. Hoje eu não consigo comer, um dente cai enquanto mastiga, ocorre uma dor intensa. Depois de remover o nervo, o médico tirou uma foto e disse que o canal estava bem fechado. Diga-me, deveria haver tanta dor ou não?
Olá Lyudmila! Nesse caso, estamos falando de dores pós-preenchimento. É oficialmente reconhecido como uma complicação. Mais frequentemente ocorre no contexto de tratamento traumático de canais dentários. Existem muitos fatores de perturbação: desde o processamento excessivo de canais (os instrumentos vão além da raiz) e a violação de sua técnica de expansão até a liberação de uma pequena quantidade de material além da raiz. Obviamente, tudo depende de como o canal foi selado. Alguns seladores (isto é, “ingredientes” adicionais ao material sólido mostrado na imagem) podem se estender além da raiz, mas não são visíveis no raio-x, pois não são radiopacos. No entanto, na prática, em 80-90% dos casos, a dor pós-preenchimento não leva a consequências negativas. Exceções são casos em que o canal que não foi concluído ou não foi selado é sobreposto ao canal tratado na imagem: os canais principais são excelentes e os canais adicionais não são encontrados. Se você não tiver esse caso, as dores "ao morder" passam sozinhas sem tratamento após 6-7 dias. No entanto, na prática de um médico, tudo acontece individualmente: às vezes um dentista pode observar a duração da dor em até 10 a 15 dias. O único critério em termos de sintomas é uma diminuição da sensibilidade todos os dias. Ou seja, 1-3 dias a dor pode ser significativa, mas mais adiante o dente está ficando cada vez mais fácil de pressionar todos os dias. Se você não deseja esperar e o conforto já é necessário, várias instituições médicas para esses casos estabeleceram fisioterapia (UHF, microondas, etc.).
Olá Há pouco mais de um ano, dois últimos dentes de pulpite na mandíbula foram tratados, eles limparam, encheram os canais e, finalmente, um preenchimento leve. E agora, com comida e chá, a dor começa por vários dias, depois diminui e assim por diante. O que fazer
Olá Eu tenho um problema, o dente fica mais quente. O dentista tratou, realizou a despolpação, limpou os canais, fechou-o e entrou e saiu. É simplesmente impossível de suportar. De acordo com as fotos, está tudo bem, o médico foi testado por anos. O que poderia ser?
Olá Catherine! Como você não forneceu as fotos, precisará informar as duas versões principais mais comuns. A primeira versão diz respeito ao dente despolpado diretamente, que foi verificado por um médico de confiança. Acontece que os pacientes (e até os médicos) não têm muita sorte com as fotos. Em outras palavras, é impossível considerar os canais tratados em diferentes projeções. Se você tratou o sexto dente superior, por exemplo, nem todos os médicos podem encontrar o quarto canal adicional frequentemente encontrado (e o quinto canal também é raro). Se o médico tratou com uma desvitalização preliminar do “nervo”, ou seja, ele colocou uma pasta (arsênico ou não arsênico), na maioria das vezes os canais despercebidos por muitos anos não se manifestaram de forma alguma. Mas se ele realizou imediatamente o tratamento do canal em sua primeira visita, a responsabilidade é enorme: um canal extra pode ser estreito, mas precisa de atenção. Escusado será dizer que o "nervo" morre dentro de um curto período de tempo, mas o canal está vazio e a reação ao calor é apenas um indicador de tais situações.
Conclusão: você deve tirar fotos em diferentes projeções. Um visógrafo pode ajudar, o que transfere a imagem para um computador e pode ser aumentado com uma mudança de contraste.
Quanto à segunda versão ... Acontece que um dente vizinho começa a responder a coisas quentes. Tenho certeza de que você sabe exatamente de onde vem a dor, mas deve considerar cuidadosamente o diagnóstico e estudar em detalhes os dentes vizinhos nas fotos. Se, especialmente ao lado do seu dente (digamos aproximadamente), possivelmente problemático, houver 1 ou 2 dentes “mortos”, você terá que pensar e analisar.
Olá. Há 2 dias, o dente começou a responder ao frio e ao calor. Depois é impossível tocá-lo. Dente tratado anteriormente. Cárie normal sem intervenção radicular. Fui ao dentista, limpei a raiz e coloquei o remédio e um preenchimento temporário. De manhã, o lábio superior estava levemente inchado. O dentista removeu o medicamento, deixando o dente aberto. O dente ainda dói quando pressionado ... O que devo fazer? Dente superior 8. Mesmo quando limpei a raiz pela segunda vez, havia uma dor de caráter dolorido. Agora eu lavo o segundo dia: refrigerante, sal.
Olá Julia! Infelizmente, o médico tem um problema com a limpeza de alta qualidade do canal e (ou) seu tratamento anti-séptico. Não sei ao certo se isso se deve às qualificações de um médico ou a um "dente difícil", mas, de qualquer forma, o que você está fazendo em casa agora atrasou a remoção do dente do siso por algum tempo.
Os dentes do siso superiores muitas vezes precisam ser removidos, mesmo completamente intactos, se "não ficarem nivelados", "interferem no paciente", "cambaleiam" ou simplesmente "a pedido do paciente". Em princípio, os 8 dentes superiores geralmente “não se sustentam com muita firmeza” e são úteis para próteses com pontes em 15 a 30% dos casos.
Eu acho que é melhor para você e o médico não adiar a extração dentária, caso contrário, uma infecção purulenta se espalhará para o subperiosteum e será mais difícil fazer anestesia (dói) e obter um bom efeito. Além disso, em uma situação normal, os dentes do siso superiores são removidos em quase 95-100% dos casos rapidamente e sem dor. Apenas raramente os 8 dentes superiores têm raízes curvas.
Se você ou o seu médico pensam que um dente do siso deve ser preservado em princípio, entre em contato com outro dentista com vasta experiência em preservar os complexos oitavos dentes superiores. Nessa situação, seu médico assistente mostra sinais de que ele não sabe mais o que fazer com você: ele tem medo de lhe oferecer uma solução qualitativamente nova para o problema.
Tome a decisão certa - e seja saudável!
Olá Ontem o canal foi preenchido (dente - odnorka), o medicamento foi previamente colocado sob um enchimento temporário. Nada doeu, não incomodou, durante o preenchimento foi um pouco doloroso, depois não houve muita dor, depois de algumas horas. Por um dia, uma dor dolorosa tem sido perturbadora, não intensa.A gengiva também dói, aproximadamente no final da raiz, mas apenas quando pressionada. Após o preenchimento, eles fizeram um raio-x, disseram que estava tudo em ordem. Diga o que poderia ser?
Olá Margarita! Se estamos realmente falando sobre um dente de canal único (“odnerka”), então com um alto grau de probabilidade, você sente dor pós-preenchimento em meio a tratamento endodôntico traumático. A dor pós-preenchimento é, obviamente, uma complicação, mas passa frequentemente sem manipulações adicionais. A duração da dor é geralmente de 5 a 7 dias, mas geralmente a dor "ao morder" desaparece em alguns dias. Às vezes, a dor dolorida no dia seguinte tem um lugar para se estar, mas é muito provável que você esteja mordendo um dente tratado. O principal é que todos os dias a dor diminui e você chega à versão clássica da existência indolor de um dente "morto". Caso contrário, você precisará consultar um dentista e possivelmente preencher novamente o canal dentário.
Muito obrigado pela sua resposta!
Olá. Há uma semana, ela tratou um dente, primeiro o nervo foi removido e depois os canais foram limpos. O dente foi tratado em três doses, estava tudo bem, mas eles colocaram um enchimento permanente, o dente começou a doer quando pressionado e mastigando. E parece que as gengivas e uma pequena orelha doem, e o dente dói, até você escove os dentes. Isso já dura três dias. O que fazer
Olá Alla! Se já passaram mais de 7 a 10 dias, e a dor durante a mastigação está se tornando mais forte, então isso é um desvio da norma. Alguns médicos acreditam que a dor ainda vai desaparecer em algumas semanas ou meses. Provavelmente será assim, mas se o médico se colocasse no lugar do paciente: ele suportaria a impossibilidade de mastigar normalmente por mais de 3-5 dias?
Para ajudá-lo com qualquer conselho, sugiro as seguintes soluções para o problema:
1. Consulte um outro dentista (de terceiros) sobre um raio-X do dente (ou mesmo informações do disco sobre os canais dentários tratados) e certifique-se de que tudo seja feito corretamente: sem erros e complicações;
2. Se tudo for feito corretamente, é aconselhável observar com cuidado o seu selo na mordida: ele pode ser exagerado. Em casos extremos, você pode até removê-lo ligeiramente em altura. Os médicos podem discordar de mim, porque o dente está menos envolvido na mastigação, ou seja, sua função é ignorada, mas então, talvez, você comece a viver uma vida plena.
Olá Ajude-me a descobrir. O dente estava sem cárie, há dois anos havia um pequeno buraco que foi curado sem remover o nervo. Cerca de quatro dias atrás, comecei a reagir ao toque. Fui ao dentista, abri o dente, tirei o nervo, limpei, coloquei uma vedação temporária. Na manhã seguinte, o lábio estava inchado. O dente da frente superior é grande, eu não entendo os quartos. Os selos foram removidos, limpos. Enxágüe com refrigerante. Todo dia eu vou limpar o canal. Ao limpar, como o médico diz, a raiz está limpa, mas a dor não desaparece. Também dói morder comida. Segunda-feira será de 5 dias. O que eu faço? Durante a manipulação, sinto algo sobre o dente na gengiva. Eu não quero perder o dente da frente.
+ para o comentário. O dentista perfurou o ápice da raiz. Como dito - para a saída de pus. O inchaço desapareceu um pouco, mas há um sentimento de plenitude. Embora não haja pus durante a limpeza. Estou confusa
Olá Julia! Eu acho que quando o médico colidiu com o seu dente da frente (como eu o entendo), o estágio purulento já estava em andamento, e o dentista não conseguiu, usando os meios disponíveis e a técnica aplicada, eliminar a flora microbiana, que provocou “pus”. Portanto, tudo piorou, e o médico não teve escolha a não ser abrir o canal e prescrever lavagens. É impossível deixar um dente aberto por um longo tempo e, de fato, a tática de tratar um dente fechado + incisão ao longo da dobra de transição é mais correta agora.Em princípio, um tratamento ideal do canal anterior envolve tratamento sem incisão.
"Sensação de plenitude" não é considerada a norma. Tenho certeza de que seu dente "não está confortável" por estar nesta fase do tratamento. Para não perder o dente da frente, é importante que o médico tenha uma abordagem competente e os materiais necessários. Não posso escrever aqui o que é verdadeiro e o que está errado, mas, de acordo com suas descrições, há dúvidas sobre as perspectivas de tal tratamento. É muito próximo ao gerenciamento odontológico de rotina barato. Mesmo que seja bem-sucedido, não antes de alguns meses, e mesmo assim você corre o risco de simplesmente traduzir o processo infeccioso em um processo crônico e assintomático. E isso significa que a exacerbação pode ocorrer novamente em seis meses ou um ano.
Olá Em 10 de março, eles realizaram cirurgia nos 1,2 dentes superiores esquerdos, removeram o cisto e as pontas das raízes dos dentes. Antes da operação, os canais foram recuperados durante o dia e os dois dentes foram limpos, estava tudo bem na imagem. Tomei antibióticos e cálcio, as suturas foram removidas em 17 de março. E desde ontem, um dente (odnerka) dói quando pressionado. O que pode ser, diga-me, por favor, eu realmente quero manter o dente, mas estou em pânico novamente com medo de ir para a cirurgia ...
Olá Provavelmente, essa é uma carga banal: você simplesmente parou de ter medo de pressionar um dente, e o tecido ao redor das raízes ainda não se recuperou. Talvez você nem tenha notado como o cortador foi carregado, mas você notou a reação dos tecidos quando o dente se moveu. No entanto, seria melhor consultar o seu médico sobre outras táticas. Eu não acho que seus medos sobre a reoperação sejam justificados. De qualquer forma, a última palavra é apenas para o seu dentista.
Olá Há uma semana, virei-me para o dentista sobre cárie 7 mais baixa, coloque arsênico, depois de 2 dias foi removido, mandado vir em uma semana. Ontem eles começaram a remover o nervo com lidocaína, conseguiram removê-lo apenas do canal 1, o médico disse que ela não podia entrar no segundo canal e colocou o remédio para expandir os canais sob um selo temporário. À noite, depois de descongelar, o dente começou a gemer e a beber analgin. Dor quando pressionado e se tocado. Hoje a dor se intensificou, bebeu nimesil. O selo deve ser removido amanhã. A dor em um dente morto é a norma?
Olá Olga! Dor em um dente morto não é a norma, mas o resultado de uma complicação durante o tratamento. Uma complicação é pular um canal. A propósito, nos 7 dentes inferiores, de acordo com as estatísticas, na maioria das vezes existem 3 canais e, em casos raros, podem haver 4 canais, dois canais e até um. Se o seu médico souber com certeza ou, para certos sinais, sugerir a presença de outro canal no dente, esse tratamento incompleto + o "nervo" restante que se decompõe no canal causam dor.
Sua lógica é bastante compreensível: o "nervo" foi morto pelo arsênico e o dente para de responder. Mas isso não acontece com todos. Obviamente, existem pessoas que removem o curativo temporário com uma pasta que mata os nervos e pode crescer um cisto no dente por meses sem consequências graves. A infecção que permanece nos canais perdidos é um gatilho para os sintomas. Mesmo que o médico tenha removido o "nervo", mas não enxaguou bem o canal e (ou) o deixou vazio (sem material), muitas pessoas têm sintomas desagradáveis. Pode até não ser dor intensa, mas é impossível mastigar confortavelmente com um dente tratado.
Seria bom, idealmente, se você encontrar os canais, lavá-los de acordo com o protocolo e selá-los. Caso contrário, o dente se tornará uma fonte de infecção e, mais cedo ou mais tarde - um candidato à remoção.
Olá, diga-me, houve uma dor intensa em um pequeno molar abaixo, que fica ao lado de um grande molar. Em 4 de março, eles perfuraram na recepção, colocaram arsênico, no dia 6 removeram o arsênico e prescreveram o tratamento em 15 de março, mas o dente começou a doer e foi a uma consulta paga com outro médico.O nervo foi removido, um preenchimento temporário foi colocado, após a foto que o médico disse que havia "preenchido", ou seja, uma pequena cauda destaca o extra da raiz do dente (eu li isso quando o excesso de material não estava no lugar certo). Assim que colocam um recheio permanente, o melhor e o mais caro, o dente começa a doer, a semana passa, é impossível machucar, dói à noite, dá a cabeça em todo lugar à esquerda, no ouvido. Hoje, o médico disse que, se não passar, então para o cirurgião, porque desculpe, eles fizeram tudo bem ... Nomeado UHF e amosina. O que fazer, a partir do dente, a parede sozinha quase desapareceu após o arsênico e a perfuração, todo mundo aumentou o enchimento, mas você precisa limpar o canal novamente? Eu não quero cortar. Sob a bochecha, você sente um selo, dói. Agradecemos antecipadamente.
Olá Olga! Infelizmente, nem todas as pessoas podem ter sorte em relação ao enchimento excessivo dos canais. O fato é que existe um conjunto de materiais de preenchimento para os canais, que vão além dos pinos (cuja “cauda” você viu), que criam uma forma aberta de complicação ou que uma pessoa se adapta a eles ao longo do tempo.
Então você lê que remover material é uma complicação. No entanto, os médicos da clínica esperam que você pertença a 60-70% das pessoas que ficam doentes e param. Realmente pode ser, mas é água pura - falta de vontade de corrigir um erro. UHF, Amosina e muito mais - é apenas um emplastro. Ajudará alguém, tendo ganhado um pouco de tempo se acostumando com o corpo de um corpo estranho, e alguém (como você) a esperar no mar não é tolerável.
Eu recomendaria não apenas remover o material (todo) do canal e além dele, mas também colocar uma preparação à base de hidróxido de cálcio (pasta) no canal. É necessário tratar o dente com o diagnóstico de Periodontite fibrosa crônica, uma vez que você está sem sorte duas vezes: na primeira vez que "lavou" o dente com arsênico e na segunda vez que cometeu um erro, exibindo material agressivo (para você, antes de mais) .
Boa tarde Eu imploro por conselhos. Durante um mês, com alguma periodicidade, o primeiro dente superior frontal reagiu ao dente frio. Fui ao dentista, à odontologia comum (esse foi o meu erro), o dente foi aberto, o nervo foi removido imediatamente e o canal foi imediatamente preenchido (eles estavam cheios de tubos, não sei como se chama), e o dente tem o habitual "preenchimento leve". De manhã, um inchaço grave do lábio apareceu e uma fístula se abriu diretamente acima do dente. Ela foi ao dentista novamente, tirou uma foto, o canal estava bem fechado, havia um ligeiro rendimento de material de preenchimento no ápice da raiz (o ápice passando pelo próprio dente). Prescrição de antibióticos, anti-histamínicos e enxágüe com sal. Através desta fístula por 3 dias, o material de enchimento foi saindo pouco a pouco, não houve descarga de pus. O dente começou a doer no terceiro dia ao tocar, no quinto dia (hoje) já havia uma dor constante constante + dor ao tocar no dente. A dor é agravada pela queda de temperatura (ar frio na rua). As gengivas têm um leve inchaço, a fístula começa a se arrastar. Mas a dor é constante, às vezes dolorida, depois latejante. Imediatamente após o aquecimento com enxágüe com sal, a dor diminui, mas após 15 a 20 minutos ela aparece novamente. Parece que o dente adjacente está começando a doer. Ao pressionar sob o nariz, também sinto dor. Por favor, diga-me outras opções de tratamento para este dente. Agradecemos antecipadamente.
Olá Julia! Se você realmente removeu o “nervo” do dente anterior superior e não havia nada interessante na imagem, exceto a remoção do material, ouso sugerir que houve um tratamento traumático da abertura da raiz apical. Poderia ir além da raiz repetidamente com uma "agulha" de grande diâmetro e estender demais a saída. Durante esse processo + tratamento medicamentoso, pode haver vazamento do conteúdo do canal e serragem além da raiz.
Como resultado, a infecção se juntou ao fator traumático.Eu suponho que sem danos à parede do canal não poderia fazer. Como é muito estranho a formação de uma fístula em pouco tempo, característica da periodontite de granulação crônica ou de sua exacerbação. Ou seja, o médico não conseguiu encontrar imediatamente o canal e fazer um buraco "falso" na direção das gengivas, embora até agora isso seja apenas uma suposição.
100% de certeza de que a fonte do problema é o erro (ou erros) do tratamento, embora o incisivo central seja o mais fácil para a terapia. Obviamente, é difícil oferecer opções de ajuda, sem saber completamente, o que levou a consequências tão graves devido à "remoção do nervo com pulpite simples".
Do meu ponto de vista, as táticas devem ser as seguintes:
1. Vá a outra clínica e identifique as verdadeiras causas da complicação (erros, possivelmente ocultos pelo médico);
2. Com base nisso, é melhor realizar o tratamento com materiais à base de hidróxido de cálcio, inicialmente tratando bem o canal. É uma pasta temporária que pode ser aplicada por um período de 1-2 semanas a vários meses;
3. Se um “buraco” for encontrado na parede radicular, haverá material para o tratamento de perfurações, o que quase sempre permite solucionar o problema;
4. Em um último recurso, uma abordagem cirúrgica conservadora pode ser necessária: ressecção do ápice da raiz.
Peço que você não se envolva com essa condição e o mais rápido possível para encontrar a causa dos erros cometidos durante o tratamento e corrigi-los.
Olá, provavelmente vou fazer uma pergunta estúpida. Hoje eles removeram o nervo e selaram temporariamente, o médico disse que após o término da anestesia, haverá dor. Mas a anestesia acabou, mas não há dor, não sei se isso é normal ou não?
Olá Mary! A questão é bastante natural. A ausência de dor após o tratamento dos canais (se tudo for feito corretamente) é um indicador da norma. No entanto, existe o conceito de sensibilidade individual, que pode ser de qualquer fator. Além disso, isso nem sempre levará a problemas com um dente tratado no futuro. Por exemplo, esses fatores podem ser o tratamento medicamentoso ativo do canal com a liberação de um anti-séptico no ápice da raiz, a saída de "agulhas" durante a passagem e expansão dos canais, etc.
Se nada tão agressivo acontecesse, e mesmo o material no canal não se estendesse além do ápice da raiz e não irritasse os tecidos ao redor da raiz, então, naturalmente, não haveria dor depois de encher os canais.
Penso que o seu médico assistente tem ocasiões em que ocorrem dores pós-preenchimento; portanto, para evitar distúrbios por parte dos clientes, o médico "sofre" antecipadamente sobre possíveis dores que geralmente desaparecem dentro de 2 a 5 dias. No entanto, se não houver problemas, significa que não há problemas (desde que o canal tenha sido "preenchido" com o que é necessário e de acordo com as regras).
Olá. Três semanas atrás, fui ao médico sobre um granuloma, que foi descoberto de acordo com os resultados de K.T. em um dente tratado há muito tempo. O médico limpou os canais dos recheios antigos e colocou a pasta de cura. Ele propôs ao mesmo tempo tratar o próximo dente vivo (ele não me incomodou), dizendo que já havia um enchimento ruim. O dente (5 na parte superior) foi despolpado, e o canal ficou bifurcado lá. No processo, foram tiradas 3 fotos. Quando eles descobriram um galho na raiz, senti uma dor aguda, como um furo. O médico disse que o canal foi longe. Eles colocam pasta médica no dente. Dentro de uma semana, os dentes doíam ao morder. Na visita seguinte, os canais dos dois dentes foram lavados. No dente, que está com granuloma, coloque uma pasta com um recheio leve (como temporário). Eles a corroeram, disseram para ela enxaguar a boca e lembraram que ainda não haviam colocado um enchimento temporário nela, o dente estava aberto. Concluído. À noite, esse dente começou a doer, latejar, principalmente à noite. Agora ele estava doente intensamente, não apenas ao morder. 8 dias se passaram, a situação melhorou um pouco, mas o dente dói ao escovar os dentes e palpar o palato, também dói à noite.O médico disse para vir para o preenchimento quando o dente se acalmar. O que eu faço?
Olá Olga! A julgar pela sua história, você não confia mais no seu médico? De fato, um sentimento duplo surgiu. Por um lado, é sentida a situação da clínica (preenchimentos fotopolimerizáveis caros e temporários, importantes para o aperto, 3 imagens durante o tratamento, disseram honestamente que foram além do ápice da raiz). Por outro lado, 3 fotos para 5 dentes - isso pode ser o resultado de algo dando errado. Além disso, se você tiver certeza de que, a princípio, o dente estava “vivo”, depois da despolpação, as pastas “curativas” não são colocadas nos canais normalmente.
Muito provavelmente, surgiram algumas complicações e esse diagnóstico foi feito de acordo com o princípio do tratamento complexo de um dente com granuloma. Infelizmente, não sei o que seu médico assistente está escondendo sobre o quinto dente, mas se você sentir dor subjetiva ainda depois de 8 dias - obviamente algo está errado.
Especialmente embaraçoso é o fato de o médico ter dito "venha ... quando o dente se acalmar". E não se acalme - então nem venha. A dica é aproximadamente clara. Acho que você não poderá provar nada ao médico, pois já assinou um documento de consentimento que "não culpará ninguém". Meu objetivo é tentar entrar em contato com seu médico primeiro - haverá sinais de recusa em continuar o tratamento - mude seu médico.
Olá, Svyatoslav Gennadievich! Já escrevi para você em 25 de março. Infelizmente, minha história continua. A seu conselho, eu me virei para outra clínica. Doloroso 5 foi aberto, um antibiótico foi administrado, a dor começou a diminuir. Eles tiraram fotos, encontraram inflamação em 6 e 5 dentes. Uma semana depois, um enchimento temporário foi removido do sexto dente, um cheiro apareceu e uma fratura foi encontrada. Eu me pergunto por que não visto nas fotos? Dente removido. Tratei a inflamação um mês por 5. Preparado para próteses com uma guia de culto, mas eles ainda não decidiram corrigi-la. E eu realmente me preocupo com a pergunta, e os meus 5 dentes? A intensidade das sensações não muda em nenhuma direção. Desconforto moderado ao morder, mas ele foi retirado da área da picada. Dor ao tocar, especialmente do lado adjacente ao quarto dente. As fotos foram tiradas várias vezes, a inflamação perto do dente desapareceu, permaneceu no lugar dos 6. removidos. Diga-me, por favor, o que está acontecendo, tenho medo de perder esse dente.
Olá Olga! É bom que médicos experientes tenham decidido sua difícil situação clínica e tenham começado a avançar em direção à dinâmica positiva. Pelo que entendi, agora não há mais dores severas que o incomodaram e não lhe permitiram dormir e viver normalmente. Agora estamos falando de dor ao morder um dente, que já dura cerca de um mês. Eu acho que devemos analisar a situação de todos os lados e não entrar em pânico. Em primeiro lugar, após a extração do dente, os dentes adjacentes a ele quase sempre reagem ao morder: a princípio podem ser dores intensas que assustam muitos e, em seguida, o grau de dor diminui significativamente. Eles são completamente eliminados quando a ferida cicatriza. Se foi uma questão de difícil remoção, a cicatrização do buraco pode terminar em 2 a 4 meses, mas isso não significa que demorará tanto tempo para o final de suas sensações no “5 dente”. Ainda existe a possibilidade de que na clínica onde você teve um dente, eles não gostem de "meias medidas", ou seja, processaram e encheram os canais com esses materiais que dão belos resultados (indicativos) nas fotos, mas deixam dores pós-preenchimento prolongadas (isso é apenas "dor" quando morder "). Essa não é a norma, é claro, mas praticamente não afeta a perspectiva de preservação do dente: os canais são idealmente limpos e herméticos (às vezes até “demais”). Eu citei apenas 2 opções comuns que ocorrem com tais manifestações. De acordo com a figura de 5 dentes, eu diria muito mais precisamente.Se você tiver dores ao morder menos o dente todos os dias, estará perto da vitória (se as fotos forem super). Em termos gerais, comparando a situação passada e isso, não vejo nada fora do comum, mas ajustado pelo fato de que você enviará um instantâneo para análise. Saúde para você!
Olá Eu peço ajuda. Há 3 dias eles trataram um dente, removeram um nervo, colocaram um selo, antes disso eu fui com remédio e um selo temporário 10 dias, estava tudo bem. Agora, no terceiro dia, o dente pulsa ou os vizinhos, a gengiva, a bochecha dói, dá para o templo, a orelha e, quando mordida, a dor é insignificante. Estou grávida, com 27 semanas, tomo analgésicos e enxágue. Parece que o local da injeção ainda está doendo. 2 noites acordo e tomo pílulas. Parece que não é inchado, mas dor terrível, é impossível suportar. O médico é jovem e muito rude, eu realmente espero que tudo isso seja devido à sua grosseria. Eles não fizeram um raio-x, remodelar um dente para mim é um tormento, não sei o que fazer! Mais uma vez, vá ao médico ou espere?
Olá Dina! Se você quer ouvir de mim que o dente vizinho é o culpado, então direi que 99% - não. Não acredito em coincidências tão loucas.
Se você espera que a dor passe, há uma chance, mas os riscos de que ela se repita com força ainda maior em uma semana, mês e ano também são de 99%.
O fato é que, por todas as indicações, você tem uma complicação após o tratamento dos canais dentários. Com um alto grau de probabilidade de machucar o "nervo" que ainda não está vivo por algum motivo no canal não encontrado, ou a periodontite começa no contexto de canais também mal limpos.
Você escreve que o médico é "jovem" e já "rude". Lembre-se de como no poema de S. Yesenin:
"... Os rudes recebem alegria,
A gentileza é dada aos gentis ... "
Isso significa que, na sua situação, é extremamente importante levar o assunto à sua conclusão lógica, ou seja, eliminar o foco inflamatório (infeccioso). Isso pode ser conseguido preservando o dente. Caso contrário, se você não quiser ser tratado, remova-o: pelo menos, você e a criança evitarão infecções desnecessárias e a opção de ficar com a bochecha inchada no hospital.
Se você deseja manter um dente - vá a outro médico. Você tem medo de mudar alguma coisa ou não quer levá-lo a lugar nenhum por causa da incapacidade de fazer um raio-X e diagnosticar onde o jovem médico estragou tudo - remova o dente.
Não quero assustá-los com antecedência, mas "esperar é como a morte", especialmente no seu caso, quando você é responsável não apenas por sua saúde!
Se você ainda tiver dúvidas, terei prazer em respondê-las, mas no conceito de não ir ao médico e "ainda estar esperando" - não participo do ponto de vista profissional e humano.
Há 3 anos, um nervo foi removido no dente molar inferior (7), os canais foram limpos e preenchidos. E agora ele começou a doer quando mastigou e pressionou. O que poderia ser?
Olá Olga! Existem várias opções para complicações após o tratamento de canais do tipo retardado. O mais comum é o desenvolvimento de periodontite em meio a distúrbios no processamento de canais e (ou) preenchimento. Nesse caso, a figura deve mostrar a "descarga" do tecido ósseo ao redor da raiz. As dimensões e sua forma podem não afetar a força da dor.
Uma opção mais rara para estatísticas é abrir os canais em três anos. O que quero dizer: se os canais não foram selados com firmeza e (ou) não foram completamente (para o topo), o material líquido (pasta) por 3 anos simplesmente foi "lavado" e o sólido (pinos de guta-percha) simplesmente "pendurou" nele.
O dente na maioria das pessoas reage ao vazio nos canais. É apenas uma questão de tempo. Nesse caso, pode não haver alterações na imagem, mas muitas vezes alguns desvios da “imagem” já são encontrados.
É necessário: determinar a causa da dor no dentista, tirando uma foto do "dente 7 inferior" e, de acordo com o diagnóstico, tratar a periodontite ou sua exacerbação pelo método disponível nesta clínica (recomendado pelos padrões de tratamento).Existem muitas opções para o tratamento correto no momento, mas vou me concentrar na "lavagem" dos canais, que devem durar pelo menos uma hora nesses dentes, para que não ocorram recaídas no futuro distante.
“Não é por acaso que muitos dentistas líderes aderem ao seguinte princípio em seu trabalho: ele não desempenha um papel significativo, como o canal é selado, é importante o quão bem ele é preparado.” (Citação do selo 911).
Naturalmente, a densidade e a profundidade do preenchimento são levadas em consideração, uma vez que as dores do “vazio” também ocorrem com certa frequência, mas ocorrem.
Ajuda doutor! O último dente na mandíbula inferior à esquerda tinha 24 anos sob a coroa. Decidimos torná-lo um dente de suporte para a ponte, (próteses) para 4 dentes. Remova e recoloque a coroa em cada visita ao médico. Encontramos dois canais nele, matamos 2 nervos, primeiro fizemos um preenchimento temporário (todos foram feitos por um médico), ontem o outro médico continuou - ele fez um preenchimento permanente dos canais e recolocou a coroa no dente. E ele balançou o dedo descontroladamente neste dente, depois fez um raio-X - 2 canais são claramente visíveis (brancos) e, acima dos canais acima, há simplesmente muito branco. Parece-me que ele apenas preencheu muito mais, pressionado diretamente e, mostrando-me a foto, ficou feliz - como é bom e muito material.
À noite, a explosão começou sob a coroa neste dente morto. Ela trabalhou no segundo turno, o ibuprofeno bebeu no trabalho. No dente sob a coroa estourando, a dor passa para a gengiva e a bochecha. A noite atormentou - a sensação de plenitude, a sensação de que o dente era enorme e logo voltei ao trabalho. Não há mais dentes neste canto da boca, fica no canto inferior esquerdo. Há apenas um desejo - correr para o médico e pedir que ele vomite. Mas como é que é - um dente sob a coroa e nervos nos canais são mortos, e uma dor! Ajuda, como salvar um dente ?!
Não tenho para onde ir: os médicos são alemães, já que estou na Alemanha, falo alemão mal. Por que ele se sentiu tão mal por um dente ?! Depois disso, um dente com nervos mortos começou a doer.
Olá Natalia! Você contou diretamente uma história desde a Segunda Guerra Mundial: a tortura da Gestapo. Mas, falando sério, a odontologia alemã "por boatos" sempre foi considerada uma das melhores, mas eu não achava que exista essa divisão do trabalho: um médico realiza obturações temporárias, o outro - permanente. E perguntar com quem? )
Apesar do fato de você ter descrito muito pitoresca a “tortura”, onde pressionou um dedo na coroa, tenho certeza de que a razão da dor não é de maneira alguma que você foi “pressionado na mandíbula” (isso é difícil de conseguir). Mas o fato de muito material ultrapassar os limites da raiz - você ilustra isso maravilhosamente. Até os sintomas correspondem à saída do material além do ápice. Receio que seus médicos tendam a fazer isso com frequência se tiverem um sorriso de alegria pelo que fizeram. Provavelmente, eles lidaram com um dente do siso (apenas dois canais), e é extremamente difícil “encher” o material corretamente (conforme o esperado) neles.
Como os canais não completamente preenchidos são considerados um erro de arqui no círculo dos dentistas, o menor dos dois males é escolhido: ou seja, eles "empurram" exclusivamente para a imagem Rg, às vezes esquecendo o bem-estar do cliente.
A pergunta mais difícil é "por que ele picou o dente assim?" Eu acho que, de fato, você quer saber o que fazer? Definitivamente, posso dizer que os dentes com material extraído podem se adaptar até 1-2 meses. Na minha prática, não tento trazer um monte de material, mas me confino à zona do ápice da raiz fisiológica. Em qualquer caso, pequenas dores pós-preenchimento às vezes ocorrem até 3-5 dias.
Posso dizer que a extração dentária é uma medida extrema. A cura correta de um dente para um estado confortável é ideal. Mais conselhos podem afetar as já frágeis relações interétnicas, a tolerância e tudo mais. Eu acho que se você é "nossa" pessoa, então você entendeu minhas linhas de pensamento.
Parece que hoje em dia é mais fácil, e hoje à noite fiquei doente de novo, decidi - fui, surgiram feridas nas gengivas, disseram eles, herpes dentário. Sim, minha imunidade diminuiu, mas não tenho vírus no sangue, estou inclinado a acreditar que o médico trouxe - aqui é o nosso remédio gratuito, bem, o que fazer, serei tratado - Valtrex foi prescrito. Obrigado pela consulta.
Olá A metade esquerda da mandíbula doeu por três dias, depois por dois dias a dor concentrou-se no sexto e sétimo dente. Eu estava na sétima semana de gravidez, um médico sugeriu ser paciente, mas como não conseguia comer e dormir, fui forçada a procurar um médico novamente, meu ouvido já estava dolorido, meu queixo estava difícil de abrir e a dor latejante em minha têmpora. Ontem, o médico abriu o sexto dente, foi bloqueado há dois anos e enviado para casa para enxaguar. Hoje, um segundo dente foi aberto, os dois foram tratados com anestesia, segundo um médico seguro. Eles limparam os canais, colocaram o remédio e o fecharam com um selo temporário por uma semana. Hora da noite, e minha orelha esquerda dói mais e mais e começa a bater no templo novamente. Dentes e mandíbula quase não doem, apenas no local da injeção. De alguma forma, é possível aliviar a dor de ouvido com segurança para mim? Você acha que o tratamento é correto, desde que você não possa fazer um raio-x?
Olá Tamara! Tratamento sem fotos - definitivamente segue o princípio de "que sorte". Eu li muita literatura sobre esse assunto e estudei do ponto de vista da física nua. Do ponto de vista da lógica médica, eles tentam não tirar fotos na primeira metade da gravidez de acordo com o princípio "aconteça o que acontecer, caso contrário a mãe do bebê entrará com uma ação judicial".
Do ponto de vista do senso comum, 2-3 horas atrás de um monitor ou TV antigo (que não seja LCD) são equivalentes a cerca de uma imagem em um radiovisiograma (o dispositivo é tão moderno, com um sensor para exibir uma imagem de dente em um computador). Um vôo de 2-3 horas de avião é equivalente a cerca de 10 a 15 fotos em uma visografia.
O visiograph se compara favoravelmente com o raio-x do filme, pois é 10 vezes menor que a dose de radiação. Estudos demonstraram que um adulto (não grávido) pode ser tomado por ano em uma dose segura para o corpo cerca de 500 imagens em uma visografia. Infelizmente, nem todos os médicos estão prontos para realizar um exame visográfico dos canais, o que é importante para o tratamento adequado do dente, pois você ficará cansado de provar que não se importava.
Você pode aliviar a dor de ouvido apenas entendendo com que diagnóstico o médico está lidando no 6º e 7º dente e tratando corretamente os canais. Perfeitamente trabalhada e selada proporcionará mais conforto. Se uma imagem de computador mostrar que um dos dentes tem um problema além do escopo das opções de tratamento, é aconselhável remover um dente e finalizar o tratamento do outro.
O tratamento sem uma imagem no visiógrafo apenas leva a infecção, na melhor das hipóteses, a uma forma crônica (adormecida). Enquanto os médicos que tratam são "covardes", você está desmascarando os resultados. Sim, vejo que os dentes apenas atormentam o princípio de “que sorte”, mas, de certa forma, posso entender meus colegas e simpatizar com sua escolha em favor de uma produção tão rotineira.
Quanto ao alívio temporário da dor - não tenho certeza de que exista um medicamento analgésico absolutamente seguro para uma mulher grávida, ainda mais por um curto período de tempo. Posso dizer com antecedência que me deparei com situações mais de uma vez, na esperança de algo (um milagre), as mulheres grávidas comerem maços de analgésicos, causando danos químicos à criança e a si mesmas, com medo do médico, dor, raios-x e assim por diante. O medo tem olhos grandes.
Acho que estabeleci prioridades, e apenas o especialista com letra maiúscula que não terá medo de assumir a responsabilidade por todas as imagens seguras na visografia e o tratamento direcionado com competência em sua base fornecerão ajuda real a você. Caso contrário, há grandes riscos de remover esses dentes em ordem na instituição em que você está atualmente em terapia.
Por favor, informe.Fui ao médico com uma dor no dente, que já havia sido tratada com preenchimento de canal. Na gengiva ao lado do dente há uma "fístula". O médico decidiu inicialmente descolar e limpar os canais. Durante duas recepções e tentativas de passar pelos canais, apenas uma em cada três foi completamente concluída. Ao mesmo tempo, durante a segunda recepção, nenhum milímetro de canal foi passado. A situação com um dente ruim não mudou muito. A fístula permaneceu, a dor retrocedeu um pouco. O médico sugere remover o dente. Eu gostaria de deixar um dente. Posso fazer alguma coisa? Existem dificuldades intransponíveis com a limpeza dos canais ou devo procurar outro médico?
Olá Alexander! Na minha prática, o retratamento de canal para outros médicos não é comum, por causa do dever que você tem que trabalhar na recepção obrigatória de seguro médico na GBU, e para esses casos de longo prazo, existem estruturas privadas que têm ultra-som em seu arsenal, medicamentos para "dissolver" os materiais no canal e assim por diante.
Do ponto de vista das capacidades do seu médico e do nível do equipamento em seu consultório, ele ofereceu uma proposta honesta e correta neste contexto: remover um dente, pois a fístula não desaparecerá sem a passagem e o preenchimento adequados de todos os canais, e a infecção não é para o bem do corpo. Uma alternativa para você pode ser a sugestão feita por você "vá a outro médico". Eu acho que em uma clínica com bons equipamentos e uma abordagem profissional nessa área, eles vão lidar com canais “não passíveis de passar”.
A única coisa que você arrisca nesse caso é pagar após o fato as “amostras” de destravamento e não obter o resultado. Isso é comum nas clínicas quando ainda é necessário dinheiro para "tentativas", por exemplo, de 2 a 3 a 5 a 10 mil rublos, dependendo do número de "tentativas" e dos equipamentos e materiais utilizados. Naturalmente, um excelente resultado de tratamento pode ser muito caro, pois os médicos tomam um caso ALIEN e COMPLEX desde o início.
A propósito, sua dor teria passado mesmo sem tentativas de tratamento, uma vez que a fístula tende a inchar (então a dor incomoda) e "esvaziar" (então a dor desaparece com o pus liberado).
E, finalmente, meu aforismo que deve ajudá-lo: não há canais intransitáveis reais - há uma pobreza "intransponível" da Odontologia e (ou) uma falta intransponível de tempo, experiência e profissionalismo de um médico combinado ".
Bom dia Há 3 dias, eles limparam o canal do 8º dente no lado direito da mandíbula, limparam-no para formar um inchaço na área dos gânglios linfáticos (parece que eles me perfuraram). Como estar nesta situação? Então deveria ser? Acima de tudo, o inchaço é alarmante, pois fica abaixo da mandíbula ((
Olá Ruslan! Uma imagem altamente ambígua dos seus sintomas. Não importa o que define um "inchaço": um linfonodo ou infiltração purulenta. De qualquer forma, a sensação é de que é uma complicação purulenta após o tratamento dos canais. A falta de sucesso no tratamento do dente do siso inferior é uma desculpa para removê-lo o mais rápido possível.
A tendência atual, de acordo com o manejo correto desses dentes, é remover imediatamente o problema do oitavo dente, a fim de evitar que a infecção se espalhe profundamente nos espaços da mandíbula, até graves complicações que, se negligenciadas, ameaçam a vida. Nessa situação, eu aconselho você a ir ao departamento cirúrgico maxilofacial da odontologia e remover o dente, independentemente de quem é o culpado pela complicação: o médico ou a estrutura do dente o recebeu e (ou) um diagnóstico. Esta é uma ajuda de emergência - você não será negado 100%.
Olá Em 30 de março, eles colocaram arsênico no meu dente, fecharam com um enchimento temporário, disseram-me para vir em 8 de abril ou, se estiver doente, para vir mais cedo. Por 4 dias, o dente não incomodou ou machucou.Hoje (4 de abril) ele adoeceu bastante, depois de 3 horas eu estava sentado na cadeira do meu médico. Ela abriu o selo, removeu o nervo, limpou os canais, como eu entendi. Então ela colocou algo novamente, se não me engano, cálcio (?), Fechou com um selo temporário. Ela me disse para vir em 8 de abril, ou mais uma vez, mais cedo, se sentiriam dor.
Então, qual é a essência: as dores que senti hoje e sinto agora (depois de todas as manipulações) de um personagem estranho. O dente em si não dói, se você pressionar com o dedo, não dói; se você fechar os dentes com força, também não dói. Apenas algumas vezes (!) Com o contato fraco das mandíbulas, uma dor aguda e aguda passa imediatamente e o dente não incomoda mais até o próximo "ataque" dessa dor. O que é isso "Ataques" cerca de uma vez por hora, às vezes mais fortes, às vezes mais fracos, com mais freqüência - com menos frequência. Por favor, diga o que poderia ser? Esta é a minha primeira vez e isso me assusta muito. Obrigada
Olá Catherine! O caso, para dizer o mínimo, é interessante. Se “de acordo com as palavras do autor, está escrito corretamente”, o arsênico foi colocado por muito tempo - daí a dor no dia 5, embora tenha sido definido por apenas 48 horas. Como resultado, quando eles colocavam arsênico, havia pulpite no dente, e o médico criou artificialmente uma periodontite médica. Ou seja, em vez de tratamento e preenchimento final dos canais, ele agora coloca uma preparação de cálcio para eliminar a complicação. Nesse contexto, é claro, na primeira vez em que as dores pós-preenchimento podem perturbar, embora formalmente esse seja apenas material temporário no canal. Também pode haver uma reação semelhante a ela.
O fato de o dente reagir exatamente dessa maneira com você - acho que essa é uma resposta puramente individual. Na minha prática, precisamente esses casos não foram identificados, mas em meus muitos anos de experiência - eu simplesmente não ouvi mais nada: eles acordam durante o rangido dos meus dentes e batem no dente com um garfo - dói e a sensação de "material" no dente, desconforto ao falar etc. É possível enumerar por um longo tempo, uma vez que cada momento subjetivo e nuances são muitos. Vamos insistir no fato de que, no seu caso, vale a pena focar nas táticas do médico em geral e esclarecer a situação com a imagem do dente. Afinal, sempre vale a pena saber inicialmente - para que diagnóstico estamos tratando alguma coisa?
Olá. Eu tenho 21 anos Tal problema: foi à clínica (pago) com dor e fluxo agudos. O cirurgião abriu o fluxo, limpou tudo lá, deixou a gengiva. Mas antes disso, ela enviou ao terapeuta para tratar um dos dois dentes sobre o fluxo. Ele foi despolpado com sucesso, colocou um remédio e um selo temporário. O segundo dente é mostrado para remoção. Eu bebi o curso de antibiótico Augmentin, lavado com clororgixidina. E, ao que parece, está tudo bem, o corte foi adiado, os dentes naquele lugar não doeram. E os médicos cuidaram do resto dos dentes. Como eles disseram, os dentes estão à beira de cáries, cáries circulares, gengivite e tudo mais no contexto das minhas doenças (pielonefrite, hemotúria, artrite reumatóide, vasculite).
Delineou um plano de tratamento: arranhar toda a cavidade oral, remover desnecessariamente, curar o que pode ser salvo e colocar coroas, mas fazer uma gengivectomia. E agora os dentes foram tratados de presa em presa, eu vou ao ortopedista hoje e ... A apresentação da luz começou. Alguns dias depois da noite, na área desses dois dentes, novamente fortes dores irradiavam para o pescoço e para a orelha. À esquerda, entre a mandíbula e o pescoço, os linfonodos estão inflamados, a temperatura é sentida. De 37 a 37,8. Um dos dentes "suspeitos" está quebrado, será removido quando o cirurgião voltar das férias e eles disseram que ele ainda não apresenta nenhum perigo (esse dente foi tratado terrivelmente na época na clínica gratuita, o que causou a queda do selo). O dente curado foi novamente aberto, limpo, mesmo sem anestesia, tirou uma foto - está tudo em ordem. Novamente um selo temporário. Somente o terapeuta percebeu que o edema naquele local estava desaparecendo muito. Disseram-me para esfregar com metrogil ou crisálida, enxaguar com miramistina e, é claro, escovar os dentes com uma escova de dureza média, sem medo de sangrar as gengivas. Cumprir todas as prescrições. Mas a dor naquele lugar não desaparece.O resto dos dentes curados não dói, e nesse local há algum tipo de horror, é impossível dormir. Existe apenas uma foto panorâmica no primeiro tratamento com fluxo. E o que está acontecendo lá, eu não entendo. Eu não quero um fluxo repetido. Diga-me, por favor.
Olá Mary! Obrigado pela longa história da doença. Na verdade, não preciso aconselhar muito. Você já solicitou a resposta indiretamente. Com uma alta probabilidade de dor e outros sintomas, o dente "suspeito" será removido. É estranho que não haja cirurgião que precise resolver o problema imediatamente: você não pode curar, médicos - exclua como deveria. O que puxar - eu não entendo? Pelo menos 10 dentes são tratados lado a lado - do mesmo modo, isso não dará resultado, desde que o dente continue a "apodrecer na raiz", exigindo remoção imediata.
É claro que, após a remoção, também pode haver sintomas nos primeiros dias, mas isso é pelo menos algum movimento na direção certa. Eu acho que "emparelhar" definitivamente não faz mais sentido. Isso eu digo sobre cura e retratamento, banhos, lavagens, etc. É possível lavá-lo às vezes, se a causa da doença for eliminada.
Olá Os sete inferiores ficaram doentes. O médico colocou a pasta não arsênico por 4 dias. Nos dois primeiros dias, o dente se acalmou e não doeu, no terceiro ficou um pouco doloroso de morder e no quarto não conseguiu morder. Cheguei no dia marcado. Eles começaram a limpar os canais. Ao limpar um deles, senti uma dor intensa. A sensação era de que o nervo estava vivo. Eles fizeram uma injeção de anestesia intracanal. A dor quase faiscou dos olhos. Eles disseram. que os canais foram limpos, mas a dor só aumentou. Eles não começaram a enchê-los, depositaram cálcio e selaram temporariamente. Eles disseram para vir em uma semana, o dente deve se acalmar. Nos dois dias seguintes, ela viveu em Nurofen, com dores no ouvido e na testa e sob o queixo. Dentro de uma semana, a dor quase desapareceu. Veio para selar os canais. Mais uma vez a dor quando os canais foram limpos, em algum lugar no final do canal. Não sei, todos ou um (havia apenas três). Selado, tirou uma foto. É verdade que o recheio foi muito estranho. Quase todo o dente foi preenchido com alguma substância, que foi derretida com um ferro de solda especial e um recheio leve foi colocado em cima. Como resultado, no dia seguinte acordei com a sensação de que não conseguia fechar a mandíbula até o fim, o dente parecia estar levantado, doía morder o dente. O segundo dia é ainda mais doloroso. Dá no ouvido, templo, sob a mandíbula. Por favor, informe o que fazer? Enquanto eu aguento, estou esperando, talvez isso resolva. E qual é a causa da dor após a aplicação da pasta e também após a remoção dos nervos?
Olá Marina! Infelizmente, acontece que durante o tratamento dos canais pode haver dor durante sua passagem. Eu acho que aqui você precisa pecar com alívio insuficiente da dor. Não posso me espalhar pelos motivos agora, mas o fato de que, com anestesia insuficiente, a dor geralmente se refere à passagem traumática dos canais é um fato. Ou seja, você apenas sentiu a saída das "agulhas", um anti-séptico além da raiz.
Você escreveu absolutamente correto que, no “final do canal”, isso é quase 100% não um problema com a remoção do nervo, mas, por si só, você sofre de analgesia insuficiente e violação da técnica de tratamento de canais. Não posso dizer que isso seja uma violação grave, mas normalmente tudo deve ser indolor e sem uma saída traumática além da raiz. Aqui, minha tarefa é dizer como deve ser, e não com que frequência ocorre na prática em clínicas de níveis completamente diferentes: de um hospital econômico a odontologia cara.
Sobre o "ferro de soldar". Eu acho que você foi selado com o método moderno usando guta-percha aquecida. Em um dia, não é recomendável colocar imediatamente um selo depois de encher os canais, mas é o caso da Rússia. Definitivamente erros foram cometidos.A única questão é: elas são grosseiras ou sem consequências do ponto de vista da perspectiva de preservação dentária? Aqui, sem uma foto, não posso dizer à revelia o que aconteceu depois de preencher os canais, mas formalmente você pode dizer que sua suposta complicação é uma dor pós-preenchimento ao fundo ... Ainda há um mistério (sem foto). Aumentar a dor todos os dias não é muito bom, pois deve ser o contrário: da dor intensa ao relaxamento diário e passagem completa em 5 a 10 dias.
Nem um único médico está a salvo de erros, mas o paciente ainda sofre. Seu direito é consultar um médico e colocar todos os pontos sobre a correção do seu tratamento. Além disso, se você pagou muito dinheiro, assinou um documento e recebeu certas garantias.
Olá. Um dente doía muito - nos seis inferiores, havia um selo. Tirei uma foto, o médico abriu o lacre, disse que os nervos apodreceram. Limpei os canais, o dente depois disso não doeu. Quatro dias se passaram, hoje eles limparam os canais novamente (fizeram uma injeção). Depois que a ação da anestesia terminou, o dente doeu ainda mais, a dor não desapareceu, eu não sei o que fazer ... Os canais ainda não estavam cheios, o médico disse que eles deveriam ser limpos e limpos.
Boa tarde Há 6 dias, o nervo no dente foi removido. Os canais foram selados, um selo foi colocado - em geral, tudo é padrão. Nos últimos 6 dias, porém, a dor no dente tem sido perturbadora, e a dor aparece apenas quando pressionada, mas aguda (não consigo mastigar a lateral do dente tratado). Notei que, quando pressionados, os dentes vizinhos também doem agora. Com o que isso poderia estar conectado? Obrigada
Olá Maxim! Com uma alta probabilidade, você se depara com uma complicação após o tratamento - dores pós-preenchimento. No contexto do que eles estão acontecendo, a questão é extremamente complexa. Sem uma imagem, você pode dizer apenas aproximadamente.
Se não foram cometidos erros graves, como: quebrar a ferramenta no canal, remover o material fora da raiz ou não levá-lo ao estreitamento fisiológico da raiz, perfuração da raiz, criar um canal falso, canal ou canais não encontrados etc. etc. 3-7 dias, tudo ficará bem. As dores pós-preenchimento duram muito tempo no contexto de um tratamento grosseiro: a liberação de um anti-séptico agressivo e “agulhas” além do ápice da raiz durante o tratamento do canal, o uso de materiais irritantes para o preenchimento de canais, etc.
Ao mesmo tempo, a imagem pode ser muito boa, mas as dores se preocupam por um longo tempo: há casos que duram de duas a três semanas e até um mês. Tolerar, esperar o tempo próximo ao mar ou lidar com a causa do problema é da sua conta. Eu apenas descrevi alguns aspectos e fiz alguns sotaques.
Olá, 08/04/16 virou-se para uma clínica gratuita, perturbou periodicamente a parte superior esquerda 7 e 8. Havia dor em algum lugar entre esses dentes, apenas ao mastigar alimentos sólidos. Externamente, os dois dentes estavam intactos. Na figura 7, eles encontraram uma grande cavidade. O médico abriu a cavidade, colocou arsênico e um selo temporário por três dias. Durante todo o fim de semana eu fui atormentado por uma dor latejante, havia uma sensação de que me sinto como um algodão que foge com arsênico sob um enchimento pressionando um dente, minha bochecha está inchada. Vi cetorol. Na segunda-feira, voltei-me para a odontologia paga com reclamações, esclareci tudo. O médico abriu um enchimento temporário, começou a se expandir, perfurar o dente. Senti dor, eles disseram que meus nervos não foram mortos. Eles removeram os nervos sob ultracaína, limparam três canais e tiraram uma foto (ela disse que exagerou, mas não explicou o que). Selado os canais, coloque um selo leve por cima. Nos próximos 8, descobri que a cárie é rasa, ao lado de 7, coloque um pequeno selo lá.
Então, por que o pano de fundo: a anestesia após 4 horas passou em algum lugar, houve uma dor terrível. Todo o maxilar superior do lado esquerdo dói, a sensação de pulsação, pressão no dente tratado, o maxilar fecha dolorosamente. O dente inferior 7 sob a parte superior tratada também começou a doer. Eu bebi cetorol - não ajuda.O que eu faço? Esta é a norma, você precisa esperar três dias ou tirar fotos novamente? Ao pressionar os 6, 7, 8 superiores, é precisamente o morto tratado 7. que dói.Em 6, também, há uma grande vedação, já três vezes.
Olá Mary! Eu acho que provavelmente estamos falando de uma complicação, que o médico mencionou casualmente - “exagerou”. Muito provavelmente, muito material foi removido na parte superior da raiz, e quanto mais agressivo o material, maior a dor após o tratamento. Após o tratamento do canal, muitos médicos imediatamente colocam um selo permanente neste dia. A maioria dos especialistas, versados nas nuances da endodontia, não tem certeza de que isso afeta favoravelmente o dente.
Agora você tem dores pós-preenchimento no fundo do material retirado no ápice. É possível que exista geralmente uma ervilha inteira de massa semelhante a cimento fora da raiz. O fato de dentes vizinhos e até inferiores começarem a reagir ao morder apenas confirma que esse é um resultado sério de um erro grave.
8 dente também pode afetar. Lá, no entanto, um "nervo" foi deixado e, quem sabe, talvez o dente também tenha sido superaquecido durante o tratamento de uma pequena cavidade. Obviamente, esse é um caso menos provável. No entanto, a maioria dos sinais indica a remoção de uma quantidade significativa de material da parte superior.
Meu conselho pessoal é obter uma avaliação objetiva de um médico independente (fora) sobre a imagem e a condição de 6, 7, 8 dentes e melhor: ênfase máxima em 7 dentes. Não acho que ele tenha sido completamente "arruinado", mas é tudo desagradável.
Bom dia Conselho de ajuda. Há 4 dias, os canais do 8º dente foram limpos pela primeira vez. Então, por assim dizer, uma ferramenta quebrada foi descoberta em um dos canais. Desde que doeu ao limpar um canal. O médico decidiu remover o dente. Após a remoção, o ouvido doeu imediatamente. Todos os dentes deste lado estão doendo. Analgésicos não ajudam por muito tempo. Talvez a orelha tenha soprado? Uma vela fito pode ser usada para tratar um dente? O médico disse que no banho você não pode lavar e aquecer. E a dor no ouvido não desaparece.
Help, uma dor de dente, foi ao médico, limpou os canais, removeu os nervos. Durante três dias, o dente dói periodicamente, não apenas ao morder. Quando você bate em um dente, dói, a dor é fraca, mas longa. O que fazer
Eu tenho a mesma história, se você encontrar uma solução para o problema, escreva-me de volta. Por favor, o dente realmente dói.
Olá. Eu tenho essa situação. Virei-me para o dentista local (durante a gravidez) com o fato de que um dente se rompeu, 6 do canto inferior esquerdo e, às vezes, houve pequenas dores ... O médico, na minha história, diagnosticou pulpite. Abri o dente selado, disse que o dente estava sangrando e não podia fazer nada com ele, apliquei o remédio e enviei para casa. Uma semana depois, ela removeu um enchimento temporário e enxaguou ... Uma semana depois, começou a limpar os canais, mas foi muito doloroso para mim (a anestesia na forma de lidocaína, 1 cubo, não ajudou). Ela novamente colocou um remédio, fechou-o com um selo temporário e a mandou para casa sem hora marcada, porque como muitos clientes ... cheguei em 1,5 semanas com dores muito fortes (eu não conseguia nem apertar minha mandíbula), ela voltou a aplicar algum remédio e a mandou para casa. O dente doeu imediatamente após sair do consultório, sofri 4 dias (2 dias de folga). O olho esquerdo se contraiu, a orelha, era impossível pressionar o dente.
Então me virei para um dentista pago com uma recomendação. Eles tiraram uma foto, aconteceu que eu limpei 1 canal em três e deixei uma agulha no canal, além disso, toda a minha gengiva foi corroída pela ação das drogas. O dentista limpou os canais restantes sem tocar no canal com um objeto estranho, colocou um remédio, um selo temporário. O dente parou de doer. No compromisso seguinte, os canais foram selados e um selo temporário foi colocado. O dente também não doeu. Alguns dias depois, eles me colocaram um enchimento temporário de “japonês” e mandaram para casa até maio para restaurar as gengivas, porquea gengiva foi corroída até os ossos e uma passagem foi formada entre o dente e a gengiva. O dente ficou doente na primeira noite. Fui ao médico novamente, abri uma parte da gengiva entre os 6º e 7º dentes e pedi para aplicar solcoseril ... À noite, meu dente doeu novamente, tanto que eu não consigo comer, dormir, nem segurar minha mandíbula, torcer meus olhos e ouvidos e o analgésico não ajuda em nada ... Talvez isso tenha me atormentado com o canal da agulha? O que fazer Talvez aconselhar alguma clínica? Não tenho mais forças para suportar, sofro há 2 meses, constantemente em analgésicos e, além de tudo, grávida. Agradecemos antecipadamente por seus conselhos.
Olá Anna! Na verdade, não posso aconselhar a clínica apenas porque quase 100% não vivem e não trabalham na cidade onde você se depara com um problema. Portanto, não sei qual clínica nesta unidade territorial é capaz de salvar seu dente.
Aqui, é definitivamente uma questão de salvar o dente, já que uma série de erros (e até graves) levou a complicações. Eles não permitem que você durma em paz e viva confortavelmente. Sem remover um fragmento de ferramenta, é impossível superar o problema. Não tenho certeza se o dente é o único problema. Você deve procurar os locais das clínicas da sua cidade para tentar tratar esse dente. O fato de você precisar ser tratado é 100% compreensível, pois um dentista pago apenas facilitou sua vida por um curto período de tempo. O tratamento de acordo com o princípio do "cataplasma morto" é a aproximação de um dente à remoção. Encontre rapidamente uma clínica que avalie corretamente a situação e ofereça opções para salvar o dente. Caso contrário, tendo ponderado os prós e os contras, remova-o para evitar uma propagação purulenta mais grave (fluência) da infecção e, em seguida, protética.
Espero que este conselho o ajude na atual situação difícil.
Olá doutor, peço ajuda em outras ações: há 4 dias senti dor no 6º dente, estava selado, havia uma mancha preta no lado e era sensível a mim. Fui imediatamente ao meu dentista, tirei uma foto panorâmica e um apagão foi encontrado nesse dente. O médico disse que estas são bactérias nas raízes e precisam de um tratamento prolongado. Ele abriu o selo, limpou, colocou o remédio e colocou um selo temporário. Ele disse que, em princípio, eu posso andar com ela, mas não o tempo todo. Recebi o tratamento de acompanhamento dos canais somente após 2,5 meses. Mas depois que a anestesia terminou, senti uma dor no dente. Mas a dor sob a mandíbula é mais preocupante, a mandíbula também coça e há desconforto ao engolir. No dia seguinte, fui ao médico novamente, abri novamente, limpei o remédio e prescrevi antibióticos. Mas a dor não parou e no fim de semana tive que ir a outro médico: ele retirou o lacre, colocou o remédio e fechou com algodão, recusou-se a removê-lo. Eu moro na alemanha Muito obrigada.
Olá Alexandra! Normalmente, a dor aguda não deve estar no estágio do tratamento, uma vez que a implementação de todos os seus protocolos pode conseguir a eliminação de um agente infeccioso provocador, além de reduzir a reação do foco inflamatório fora do canal. Eu acho que na fase de tratamento houve erros que levaram a problemas com a perspectiva de tratamento intracanal. Havia uma pergunta sobre a adequação de “torturar” mais o dente, incluindo você, se o médico tecnologicamente e profissionalmente simplesmente não lidar com a tarefa terapêutica.
Gostaria de ver uma imagem antes do tratamento e em seu estágio, pois isso nos permitiria abrir pelo menos um pouco o véu dos segredos das complicações durante o tratamento e geralmente reconhecer aproximadamente o princípio da terapia. Devo dizer imediatamente que a odontologia moderna adere ao princípio: lavar os canais de acordo com os protocolos por cerca de 1,5 a 2 horas. Não vou citar o esquema, pois ele será um anúncio dos medicamentos, mas eliminar a infecção é o principal problema de vários dentistas que desistem e não conseguem salvar um dente.Quando todos os canais forem encontrados, passados, lavados com ultra-som, dilatados e selados com uma preparação à base de hidróxido de cálcio, uma pessoa normalmente não deve sentir dor aguda, desconforto máximo dentro de 1-2 horas após a terapia. Posteriormente, a alteração do medicamento ocorre após 1-2 semanas (2-3 meses), com monitoramento do efeito em relação à região apical.
Não sei que tipo de diagnóstico você teve inicialmente, mas o fato de estar preso à rotina do trabalho médico e, não menos provável, de uma série de erros é um fato. Desejo-lhe paciência e a oportunidade de encontrar um médico que quebre essa cadeia de terapia malsucedida dos canais. É realmente um mito que a Alemanha seja pioneira em odontologia, um país de odontologia e inovações nessa área?
Se você tiver um problema de um plano que não seja encontrar um bom médico, remova o dente do pecado, porque, pelo que entendi, este é o sexto dente inferior e a mandíbula inferior é a mais insidiosa em termos dos riscos de "deixar" a infecção profundamente na mandíbula com sérias complicações.
Sinceramente, desejo-lhe boa sorte!
Olá Há um ano fui tratado com um dente, seis. Eles removeram todos os nervos, tiraram uma foto, havia um vácuo embaixo da raiz, colocaram o remédio, ao que parece, ajudou. Então, quando os canais foram preenchidos, algum material de enchimento foi além do ápice. A mandíbula nesta área começou a doer. Os dentes não respondem ao frio e calor, as gengivas são normais. A dor pode ocorrer e desaparecer sem motivo. Pode não doer por vários dias e depois volta novamente. Fui ao médico, ela verificou, disse: preciso ter paciência, provavelmente fiquei com frio ... Agora a dor vai para a mandíbula superior, depois para o outro lado, dá para as têmporas. O que poderia ser? Inflamação do nervo trigêmeo (quantos)? Cisto? (Anteriormente, não era um cortador, talvez como uma predisposição ...) Ou, talvez, devido à liberação de material de preenchimento no topo da inflamação? (Embora o ano não tenha incomodado nada, ficou um pouco por lá). Espero sua ajuda 🙂
Olá Verifique cuidadosamente os dentes adjacentes quanto à presença de uma cavidade cariosa e inflamação do "nervo". Ao eliminar esse fator, você pode lidar ainda mais com possíveis causas no dente tratado. Em princípio, a dor aguda no dente tratado apresenta outros sintomas de confirmação: dor com percussão (toque no dente), dor durante a palpação das gengivas, etc. Você deve examinar cuidadosamente o dente na cavidade oral, tirar uma foto, analisá-lo. Você não forneceu dados de raio-x.
No entanto, os dentes não tratados são frequentemente "dados" aos tratados, ainda mais com erros no canal, embora vários médicos não considerem a conclusão do material uma complicação séria, o que de alguma forma pode se preocupar no futuro. Envie fotos e fotos do dente na cavidade oral - vamos entender, pois o médico manda você esperar até que a "exacerbação passe" ...
Bom dia Na última sexta-feira, fui diagnosticado com 27 dentes com pulpite.
1. Às 12.00 Eles colocam o assassino de um nervo. O dente doeu por mais 12 horas e depois parou.
2. Um dia depois, os canais, três peças foram limpas, alguns medicamentos foram inseridos e um selo temporário foi instalado.
3. Durante 3 dias, o dente quase não incomodou, a gengiva doeu devido às injeções. No quarto dia, a dor apareceu. É doloroso tocar o dente. Se ontem foi doloroso tocar todo o dente - hoje sensações dolorosas apenas por dentro e por obturações. Todos os dentes deste lado da mandíbula também começaram a doer. Isso de uma só vez - depois, por sua vez. Sem tumor gengival, sem temperatura. O médico saiu de férias até 16 de maio. Dito isto, se houver dores graves, marque uma consulta com outro especialista.
Olá Para entender o que pode acontecer no quarto dia após o tratamento dos canais, você deve analisar os dados da imagem. Se os canais estiverem selados corretamente na imagem, o trabalho do médico deve ser analisado. Se o médico cometer erros graves, tudo estará na imagem, à vista.Normalmente, a dor ao morder um dente pode aparecer 2 dias após o tratamento do canal. O quarto dia é diretamente algum tipo de reação atrasada, que leva a maus pensamentos. Se o médico alertou que poderia haver dor intensa, isso também sugere essas considerações. De qualquer forma, outro médico analisará sua situação. Eu acho que ele terá que lutar pelo seu dente se minhas suspeitas forem confirmadas.
Olá, tenho 14 anos, escrevo, 2 dias depois de visitar o dentista. Meu médico curou 3 canais, muito bom. Ele disse que é bom na foto, selou com um selo comum, não inseriu o pino, não sei por quê. Então, estava tudo bem, mas três horas depois do médico o selo começou a doer! Não posso morder, comer, tocar - dói. Diga-me o que fazer? Depressa, por favor, é muito doloroso e desculpe pelo dinheiro pago por um dente!
Esqueci de dizer que, ao tratar os canais, o médico ligou a gengiva e rasgou, isso pode afetar a dor do dente? A dor se forma quando pressiono o recheio e o próprio dente não dói.
Olá Você experimentou uma dor pós-preenchimento que muitos pacientes experimentam. No entanto, para a maioria das pessoas, elas desaparecem dentro de alguns dias ou há uma tendência persistente de diminuir a dor ao morder todos os dias após o preenchimento. É muito cedo para falar sobre perder dinheiro.
Na maioria das vezes, essa reação ocorre no contexto de erros médicos do médico e da saída excessiva de "agulhas" fora do canal. Tais lesões não são a norma, mas, em termos gerais, não prejudicam a existência adicional do dente se outros erros não tiverem sido cometidos: quebrar a ferramenta no canal, a saída do material de enchimento além da raiz ou um forte "rebaixo", o canal é esquecido etc.
Forneça fotos para uma análise completa da situação e especifique: você teve imediatamente um selo permanente ou existe um selo temporário?
Há um preenchimento permanente, mas o médico não deu as fotos e o dente doeu e eu esqueci de perguntar.
Olá Dmitry! Se esse problema continuar a atormentá-lo, faça o seguinte: tire uma nova foto do dente em outra clínica privada e obtenha o aconselhamento de um especialista independente no local. Após uma explicação em tempo integral do dentista, você pode fornecer fotos aqui no site, e tentarei avaliar a qualidade do processamento e do preenchimento dos canais em um futuro próximo. Com duas análises especializadas à mão, você pode agir da maneira certa: aguardar com calma as dores pós-preenchimento ou ir à clínica para tratamento dos canais dentários sob garantia. Afinal, a odontologia, que tem uma boa reputação, sempre satisfará a exigência do cliente por um trabalho bem feito. Além disso, você pagou exatamente por esse N-ésimo valor.
Olá Meu dente doía quando pressionado, após o que o médico removeu 3 nervos e colocou um enchimento temporário. O dente começou a reagir fortemente ao frio e ao calor. O médico olhou, tirou uma foto: os canais estão fechados, as gengivas estão limpas. Novamente um selo temporário. Então agora eu reagi à água fria (nunca meus dentes doem tanto, a dor é muito forte) ... O que poderia ser?
Olá Se suas palavras estão escritas corretamente e o médico realmente passou pelos canais, quase 100% desse dente nunca responderá ao frio. Mesmo um tratamento medíocre no canal elimina ainda mais a dor no frio (talvez quente).
Portanto, na prática, este é um bom sinal de diagnóstico para mim: você deve procurar cuidadosamente um dente causador, ou seja, o dente que responde a um dente frio. Dirijo a água da unidade odontológica para a área de um possível dente ruim.Se você escolher entre um dente "morto" e um "vivo", é mais fácil descobrir: um dente que ainda não foi tratado nos canais responde a um dente frio.
No seu caso, eu diria apenas a água em direção ao dente cheio: se a dor aparecer, devemos examinar cuidadosamente as partes coronais adjacentes ao dente “morto” para a presença de cárie oculta ou defeitos cervicais. Penso que com dificuldade é possível tirar uma foto de um grupo diagnóstico de dentes. Espero que o seu médico se concentre em encontrar exatamente esse dente. Não sofra dor - consulte imediatamente um dentista! Saúde para você!
Obrigada
Olá, há meio ano, retirei o nervo e limpei tudo, coloquei algodão com iodo e outra coisa (sem alergia ao iodo) no dente, e um preenchimento temporário no topo. Eu realmente não gosto de hospitais e médicos, porque eles trataram o dente por quase um mês. Eu não os procurei no dia seguinte, estava tudo bem e o dente não machucou ou machucou, há apenas fluxos o tempo todo, já é o quarto ou terceiro semestre e, às vezes, o dente fica no caminho. Diga-me, ainda posso ter tempo para ir ao hospital e o que todos os fluxos aparecem e aparecem. Eu direi que o fluxo não é muito grande, então, médio. Por que eles aparecem se o dente está coberto de algodão?
Olá Valery! É simples: você violou o tratamento em estágios, de modo que o dente está periodicamente na fase aguda, ou seja, o recém-formado processo purulento - "fluxo". O ponto é que as táticas de tratamento do seu dente não implicaram em falta por algum tempo (mesmo que curto), pois tratava-se de uma vedação confiável do dente. Um enchimento temporário com algodão produz esse efeito por um período extremamente curto (e isso não é fato). Nos próximos dias, através de microfissuras e falhas óbvias no contato entre o preenchimento e as paredes do dente, centenas de milhares de micróbios penetram nos canais da cavidade oral, que retomam todos os processos anteriores ao tratamento, às vezes com uma força dobrada e triplicada. O tamanho do "fluxo" afeta apenas sua existência confortável ou não muito digerível. Quanto à perspectiva de preservação dentária: apenas uma análise cuidadosa da situação e as táticas corretamente selecionadas para preservar o dente com essa complicação revelarão. Em várias clínicas odontológicas, depois de analisar a situação clínica nesse momento específico, pode-se decidir remover o dente. No entanto, muitas vezes o dente pode ser poupado ao custo de muitas horas de tratamento repetido e altos custos financeiros. De qualquer forma, a última palavra é a opinião do seu médico e seu consentimento para esta ou aquela intervenção. Não adie a solução do problema por um longo tempo, pois caso contrário, poderá haver sérios riscos à saúde e à vida em geral.
Olá Eu tenho esse problema: depois de limpar os canais e remover os nervos, os CANAIS NÃO estavam cheios, o médico disse para enxaguar o dente com refrigerante por 5 dias e chegar à recepção (isso foi há 6 dias). O dente começou a doer por 1 dia após a escovação e dói muito quando pressionado, à noite parece que está pulsando, disparando no ouvido. Tenho medo de ir à recepção porque dói. E o médico disse que viria quando o dente deixasse de doer. Pode doer por tanto tempo depois de limpar os canais?
Olá Anastasia! Em geral, o método de enxaguar os dentes com refrigerante e sal com canais abertos não é bem-vindo pela maioria dos especialistas. E você ilustra isso claramente com seu caso clínico. Em primeiro lugar, os canais abertos não são uma panacéia para a dor, pois a infecção continua a circular da boca para os canais e para as costas. Em segundo lugar, os canais quase sempre começam a ficar entupidos com comida e se tornam não apenas uma “lata de lixo”, mas também um risco de repetida “hermeticidade”.Simplificando, o médico despressurizou os canais, facilitando a lavagem e, após a primeira refeição, pepinos e tomates entupiram os canais, como antes. Em terceiro lugar, para muitas pessoas, os canais vazios não causam conforto completo: sim, talvez a fase aguda da dor lacrimejante se esvai, mas algumas dores ainda estão presentes. Daí a conclusão: você deve manter o dente no espírito de novas tradições e protocolos de tratamento - sem canais abertos, mas com tratamento medicamentoso e mecânico completo dos canais por mais de 1 hora, medicamentos modernos com fechamento hermético subsequente dos canais com materiais (possivelmente temporários). Infelizmente, muitas vezes esse tratamento competente e profissional custa custos financeiros consideráveis. Se não houver tais oportunidades, não faz sentido “conduzir” a infecção com canais abertos ou não muito mais e aguardar possíveis complicações do dente - remover o dente (uma decisão triste, mas pelo menos alguma ajuda para o corpo).
Olá. Eu tenho um problema. Os nervos do dente superior foram removidos, próximo ao olho. No início, o médico disse que não conseguia obter o nervo; depois, na próxima vez em que disse que o havia removido. Coloque um selo temporário. No começo, ele estava doente com pressão. Então a dor, como tal, se foi. Mas estou muito preocupado com as gengivas inchadas nas quais o sangue se acumula. Eu já faço isso há um mês. Duas vezes eu fui ao médico, fiz a limpeza. Ele não abriu o selo. Ele disse que isso acontece. Ele me disse para andar por mais duas semanas. Tenho muito medo de perder um dente saudável. Não piora, mas não desaparece. Aconselhar o que fazer? Obrigada
Olá Penso que, no contexto do tratamento, surgiu um agravamento devido ao processamento inadequado do canal. No entanto, é aconselhável confirmar esse fato com uma imagem do dente. Além disso, o "tumor" das gengivas há mais de um mês não é a norma. Eu acho que, para não perder um dente, você deve entrar em contato com outro dentista com uma foto para analisar os resultados do tratamento e planejar um possível tratamento. Se você me enviar um instantâneo para análise, posso lhe dar uma opinião preliminar, mas você poderá perder um tempo precioso.
Boa tarde Meu dente começou a doer sob o recheio (permaneceu por 10 anos). O dentista enviou um raio-x, depois removeu o nervo, limpou os canais, instalou o pino e fez uma “extensão”. Dentro de 3-4 dias, a dor intensa não parou, apenas os analgésicos foram salvos. Após outro raio X, nada "terrível" foi encontrado, embora houvesse um leve inchaço na bochecha. Foi feita uma incisão nas gengivas, o chamado "arranhão", com a instalação de uma gengiva de drenagem. Na autópsia, não era esperado que o pus aparecesse. Por um dia, lavando com todo o possível, prescreveu o antibiótico Linkomicina. Após a remoção da gengiva, a dor não para, sem a dor dos analgésicos (sem brilho e latejante) é impossível de suportar. Por favor, diga-me se o dentista fez a coisa certa instalando um alfinete e um selo imediatamente após a delegação em uma visita e quanto tempo a dor pode durar?
Olá Não está certo! Embora tenha ouvido repetidamente de meus colegas que vários dentistas continuam (e conseguem) colocar pinos de restauração no canal recém-selado. Os pesquisadores nesse assunto tendem a acreditar que a maioria das técnicas de preenchimento não é compatível com essa política e geralmente leva a complicações. Estou familiarizado com a opinião autorizada de um professor de odontologia e um doutor em ciências, que tem 100% de certeza de que o dente deve ser "estendido" somente na próxima visita. No entanto, após o preenchimento dos canais, a restauração temporária sem um pino deve ser realizada com materiais baratos, para que, após alguns dias, seja substituída por uma permanente.
O edema do lado da gengiva pode ser desencadeado por uma exacerbação infecciosa próxima à raiz ou algo como uma reação alérgica.A reação dos tecidos ao redor do dente a uma intervenção desse tipo pode levar a um problema + uma combinação desses fatores com restauração simultânea e possível empurrão do "corpo estranho" para além da raiz.
Obviamente, após a primeira visita, o dente precisava de paz, e não de restauração. No entanto, ele está mais do que confiante de que o dentista pratica essa política há muito tempo, por isso está confiante demais. Se a imagem é realmente tão bonita quanto é apresentada, é bem possível que o médico esteja realmente lutando com edema traumático-alérgico. É provável que uma infecção seja transmitida além da raiz durante o processamento dos canais, e a imagem pode ter um belo "padrão". Se o material for removido na parte superior, a dor poderá ser bastante longa: até 1-2 meses. Eu recomendo tirar uma foto e obter conselhos sobre a foto de um dentista especialista independente.
Olá, há 2 dias, o nervo dos seis superiores foi removido e selado. Por dois dias, não foi particularmente forte, mas hoje a dor ficou um pouco mais forte e o dente começou a responder ao frio. O que poderia ser?
Olá Jess! Com um alto grau de probabilidade, seu outro dente responderá a um dente frio. O fato é que um dente no qual até o "nervo" foi removido, no mínimo, não responde ao frio. Somente dentes absolutamente "vivos" podem reagir ao frio. O fato de seu dente tratado doer - provavelmente, era uma questão de dores pós-preenchimento. Eu recomendo que você consulte imediatamente um dentista e tire uma foto do dente para esclarecer o diagnóstico e controlar a qualidade do tratamento dos canais.
Olá. Em fevereiro, um nervo foi removido sob anestesia em um dente saudável, 3. Para próteses, o cermet foi planejado. O médico instalou adicionalmente um pino. Em março, o dente começou a doer. Eu fui a outro médico. Removido o pino, todo o material de enchimento. Deixou um dente aberto, ordenado a enxaguar com sal e refrigerante. Tornou-se ainda pior, o dente dói, como se fosse um abscesso. Agora vou ao laser por 2 dias. Não é mais fácil. Diga-me o que fazer? Agradecemos antecipadamente.
Olá Eu acho que estamos falando sobre o tratamento errado do canal 3 do dente. Se bem entendi, o que você está escrevendo sobre presas? Este é um dente de canal único, por isso é difícil fazer algo ruim nele. Às vezes, afinal, existem complicações que levam a consequências como a sua. É uma pena que você não tenha salvado as fotos após o primeiro tratamento dos canais. Agora, as imagens só podem ajudar a determinar a condição em torno da raiz do dente. Os procedimentos físicos são bons apenas com o tratamento adequado do canal. Portanto, é tão importante cuidar de um canal adequadamente processado com material de enchimento terapêutico.
Uma metodologia aberta para o tratamento de um canal dentário é agora criticada pela maioria dos dentistas, pois uma infecção da cavidade oral polui novamente. Eu acho que você deve recusar um tratamento de rotina e consultar um dentista que tenha técnicas para tratar canais com ativação de hipoclorito e ultrassom, seguido de tratamento com preparações de hidróxido de cálcio. Então você vai economizar seu dente. Não esqueça que é importante identificar possíveis complicações: perfuração da raiz, superexpansão do ápice da raiz, etc.
Olá Em dezembro de 2015, os dentes ficaram doentes. A dor "atravessou" todos os dentes, rosto e cabeça. Houve uma alta sensibilidade em quente (semana), depois frio (outra semana). O dentista disse que os pescoços dos dentes estavam abertos e prescreveu "Metrogil". A dor diminuiu. Em fevereiro de 2016, o dente 7 inferior e o 8 superior se romperam à esquerda. Eu não consegui chegar na recepção, não. ela pegou um resfriado e ficou doente durante todo o mês de março. Mas não houve dor. Em meados de abril, o dia 8 foi removido. Depois das férias de maio, ela tratou 7-ku, mas o médico tratou o 6-ku superior e colocou arsênico no 7-ku por dois dias. O arsênico foi removido a tempo e colocado um selo temporário. Depois de mais 3 dias, eles finalmente começaram a se curar.Ela disse que tudo está inflamado. Fez uma eletroforese muito dolorosa e os dentes cheios doíam. Então, três dias depois. Eles colocaram um remédio e um selo temporário. No dia seguinte, os canais foram selados. Mas durante o recheio (ao colocar a pasta) houve muita dor, mesmo com anestesia. Eu não conseguia nem chorar de dor. O médico estava infeliz por eu não ter dado. Ela disse que está tudo bem, apenas esses dentes sensíveis. Agora, todos os dentes esquerdo e da frente doem, o remédio para dor não ajuda. Herpes saiu. À noite havia temperatura e suor frio. Isso é tudo, talvez minhas características do corpo? E eu também tenho um direito selado 6 com um granuloma. Não sei o que fazer com isso - tratar ou remover. Obrigado pela resposta!
Olá Julia! O tratamento não deve trazer dor e sofrimento - neste contexto, recomendo mudar seu médico. Obviamente, nem um único médico novo irá lidar com você sem imagens de diagnóstico dos dentes problemáticos. De fato, precisamos de uma análise cuidadosa das imagens dentárias: o que já foi feito, como isso foi feito, existem erros e em que direção seguir em frente.
Obviamente, o estresse em meio ao medo da dor e assim por diante pode causar qualquer reação negativa do corpo. Estou certo de que você precisa quebrar os estereótipos prevalecentes e tentar encontrar um médico que trabalhe de forma mais construtiva e (muito importante) sem dor. Este é agora um certo padrão de tratamento de qualidade.
Olá. Diga-me, por favor, eu tenho um problema: há um ano, peguei um dente de cinco no canto superior esquerdo, fui à clínica, eles encheram tudo bem. Alguns meses se passaram, os seis seguintes ficaram doentes, foram novamente, eles selaram, tudo parece estar bem. Após 3 meses, a imagem com o primeiro dente se repete - foi, agora está limpa, os canais estão fechados. E depois de algum período de repetição com um segundo dente. Agora, após o lapso de tempo, novamente sinto 6 dores (doloridas na natureza, reagem ao frio / calor). Eu fui a outro médico, tirei fotos. Ele diz que o dente é despolpado e há um escurecimento do seio maxilar, ele enviou ao médico otorrinolaringologista. Tirei uma foto dos seios maxilares, não há sinusite. Eu não consigo entender nada. Agradecemos antecipadamente.
Olá Como a pergunta é complexa, é melhor enviar fotos de dentes com canais tratados (você pode vincular ao Yandex-Disk). Isso tornará possível avaliar a qualidade do tratamento médico e entender se há motivos para pensar em processos inflamatórios no seio maxilar.
Olá. Três dias atrás eu tratei os cinco últimos. O médico selou o canal e tirou uma foto. Era claramente visível que o material de enchimento ia além do topo do canal. O médico disse que o canal é menor do que deveria ser. Ela disse que o dente doeria por três dias e somente quando mordido. Hoje sinto que o dente está doendo, mesmo sem morder. O que fazer Costumava ser com outro dente. Doente por um longo tempo (mais de seis meses), cedeu no ouvido, mesmo na garganta houve uma sensação de desconforto. Então, gradualmente, tudo foi embora. Mudou o médico, e agora, novamente! Diga-me o que fazer, consulte um médico ou ele desaparecerá sozinho?
Olá Elena! Penso que em seus "lugares" eles têm uma opinião cruel: é melhor mostrar uma bela "imagem" na imagem do que alcançar o bem-estar de um paciente. Na minha prática, não uso materiais para preenchimento, que são irritantes quando são removidos para o topo. Ao mesmo tempo, conduzo uma condensação detalhada deles no canal, ou seja, fecho-a estritamente de acordo com o protocolo. Seus médicos, com quase 100% de certeza, usam resinas epóxi para canais: os médicos modernos e inovadores se apegam às suas capacidades de hermeticidade e criam um belo contorno nos canais. Tais drogas não toleram erros, mas os médicos continuam teimosamente a empurrá-los para o ápice, para que seus colegas não "repreendam".Mais medo da raiva do mal "tio" do dentista ortopédico (que protético). De fato, é esse especialista que pode verificar criticamente o trabalho dos colegas e encontrar falhas nos canais parcialmente vazios da imagem. É por isso que os médicos de muitas clínicas estão prontos para canalizar o máximo possível dessa "beleza em benefício da imagem" no canal. Acredite, existem muitos desses casos (você precisa consultar um semelhante um dia depois). No entanto, na minha prática, as dores ao morder são raras e, se ocorrem ao remover uma pequena quantidade de pasta (não pinos!), Elas duram não mais que 5-7 dias. Você acabou de cair nas garras dos negócios.
Olá Svyatoslav Gennadievich, por favor, informe sobre minhas ações adicionais. O problema é que há dois meses fui tratado com cárie de 16 dentes com a remoção dos nervos e a limpeza dos canais. Imediatamente após o tratamento, o dente começou a doer, principalmente quando pressionado. Com o tempo, a dor diminuiu, permanecendo apenas ao morder. Quando a foto foi tirada, descobriu-se que o material de preenchimento (alfinete de guta-percha) ultrapassava a ponta da raiz do dente e, o pior de tudo, acabava no seio maxilar. O que devo fazer agora ?!
Olá Se você tem uma idéia desses detalhes, tenho certeza de que só precisa confirmar a direção dos pensamentos de meus colegas. Eu não acho que serei original nesta questão: o alfinete de guta-percha retirado nem sempre causa dor, no final - geralmente tudo normaliza. No entanto, ninguém cancelou o fato de ser uma complicação após o tratamento intracanal e ser considerado um problema para o futuro. A proximidade do seio maxilar neste caso definitivamente complica a situação, mas existe uma solução. É necessário entrar em contato com o dentista-terapeuta com fotos e determinar a possibilidade de tratar esse dente. Dependendo do material com o qual o pino guta-percha foi instalado no canal, o nível de dificuldade na extração do material será interpretado. Com o equipamento adequado, é possível fazer isso: remova completamente o pino retirado, trate o canal com medicação (ou canais, se houver algum erro neles também) e, em seguida, encha o canal estritamente até o ápice. Às vezes é necessário colocar materiais temporários especiais (à base de hidróxido de cálcio) antes do enchimento final do canal. De qualquer forma, após algum tempo, o selo raiz terá que ser instalado. Se o canal estiver fechado corretamente, não haverá motivo para preocupação. A questão de uma possível infecção do seio maxilar pelo tratamento é resolvida no local: um diagnóstico detalhado, uma pesquisa e um tratamento competente da principal fonte do problema - é isso que você precisa no momento.
Olá Svyatoslav Gennadievich, seguindo seu conselho, eu me virei para outra clínica (a única tecnicamente equipada em nossa cidade). O médico que trabalha com o microscópio não retirou o dente, explicando pelos resultados de um OPTG com função CT que não era mais odontologia e para remover o material de preenchimento é necessário realizar sinusotomia endoscópica em Moscou. É possível tratar o seu dente? Responda-me por favor. Deixo meu endereço de e-mail: [... somente o médico vê o endereço para correspondência ...]
Olá Eles trataram 8 dentes, pulpite, colocaram arsênico por 2 dias. Ele veio à recepção e um dos canais, quando uma agulha é inserida, é doloroso de tratar. E depois das injeções, eles colocaram mais arsênico nesse canal. Você acha que isso ajudará na dor e não é assustador colocarem arsênico duas vezes? E qual é a causa da dor mesmo após injeções no canal? Agradecemos antecipadamente!
Colocamos arsênico por um dia e pedimos para vir de manhã.
Olá Vadim! Eu acho que as táticas do médico são um tanto rotineiras. Eu não estava atrás da cadeira, mas só posso analisá-la em termos gerais e puramente na minha “torre sineira”.
Em primeiro lugar, o médico está bem feito ao tomar um dente do siso (8), que muitos dentistas propõem agora remover devido a muitas nuances (lista longa). Em segundo lugar, a reposição de pasta de arsênico não é proibida; no entanto, essa pasta agora não é recomendada nem mesmo pela primeira vez. De acordo com muitos estudos, a pasta superexposta piora extremamente a condição periodontal ao redor das raízes do dente. Uma pasta não arsênico é considerada a melhor opção, embora haja muitos apoiadores da primeira técnica (geralmente essa é a "velha guarda" dos médicos que não conseguem imaginar seu trabalho sem arsênico).
Terceiro, ninguém cancelou uma boa anestesia. Se o seu médico não pode "congelar" o dente qualitativamente para tratar os canais sem dor, isso já é um problema. Se você confia no seu médico, não importa o que aconteça, basta confiar no método de tratamento de rotina dele. Sua perspectiva depende apenas das táticas adicionais do médico. Boa sorte e paciência!
Olá. Eu tinha cárie em um dente de mascar. Ele foi curado com remoção de nervo. Tudo é padrão. Mas eles não alertaram sobre possíveis dores. Uma semana e meia já se passou desde o dia da viagem à clínica odontológica. A dor começou a desaparecer. Mas, no momento, o dente começou a doer novamente e já está mais forte. Mastigar e tocá-lo dói. Eu não diria que as dores são terrivelmente infernais e impossíveis de suportar, mas o desconforto está claramente causando. Por favor me diga o que poderia ser? Vale a pena ir ao dentista ou apenas precisar de mais tempo para se acalmar? Agradecemos antecipadamente a sua resposta.
Olá Geralmente, tudo começa com uma radiografia do dente, na qual foi realizada a "remoção do nervo". O fato é que essa exacerbação espontânea (especialmente em data tão precoce) pode ser o resultado de erros de um médico no tratamento endodôntico: canal não encontrado, perfuração da raiz ou parte inferior do dente, fratura do instrumento no canal, canal não selado etc. Depois de analisar a imagem, são tiradas conclusões. Se a imagem não pode ser prejudicada com o tratamento, é importante encontrar um dente realmente problemático. Muitas vezes acontece que, dentro de um curto período de tempo após o tratamento, outro dente começa a doer, tendo uma cárie profunda. Às vezes é escondido do dentista.
Portanto, definitivamente vale a pena ir ao dentista para pontilhar todo o i. É melhor não perder o problema e não adiar para complicações sérias. Saúde para você!
Olá. Diga-me, por favor, um dente ruim pode causar leve balançar a cabeça, algo como tremor e tremor nos olhos? Há sete anos, eu sofro tanto balanço, acompanhada de dor de cabeça. A ressonância magnética da cabeça e pescoço fez. Há uma ligeira saliência, mas não tão forte. Pulpite recentemente descoberta do quarto dente superior. Começou o tratamento.
Olá Tais casos não são registrados na odontologia. Eu acho que você tem um problema neurológico, e a pulpite é um problema específico que merece atenção apenas como uma doença adicional. Portanto, consulte um neurologista para encontrar a causa raiz.
Boa tarde Meu marido removeu o nervo há 10 anos, limpou os canais e instalou uma coroa. Recentemente, cerca de três dias atrás, fui ao médico - a coroa cambaleou. Anteriormente, ele visitou o médico, ele foi cimentado e colocado a coroa novamente. E desta vez outro médico disse que não havia selado completamente o canal e precisava fazer tudo de novo. Eles também disseram que esse procedimento é muito complicado e será realizado por um especialista. Como resultado, a especialista fez todas as manipulações em pouco menos de 8 minutos, de acordo com o marido - uma escova duas vezes subi lá e mandei para casa. Começou a quebrar a gengiva e ele recebeu remédios para dor. A dor não passou, apenas pela duração do medicamento para dor.No dia seguinte, houve uma sensação de plenitude e a bochecha começou a inchar ((agora todo o lado direito dele nadou com os olhos, a dor não desapareceu, houve uma temperatura. Agora a bochecha está quente, a temperatura diminuiu. O médico não pôde aceitar ontem e agendado para hoje. Isso é um erro médico) ou isso acontece? Obrigado.
Olá Se, de acordo com o seu cônjuge, "está escrito corretamente" e o trabalho no canal durou apenas de 8 a 10 minutos, provavelmente é uma falha do médico ou um erro (erros). O ponto é que o retratamento do canal dentário não deve demorar menos de 30 a 40 minutos com um tratamento detalhado do canal e a lixiviação da infecção. O fato de o canal problemático ter sido perturbado (não havia meio sem ele) causou uma exacerbação do processo crônico. O resultado dessa exacerbação foi "no rosto" do seu cônjuge. No entanto, estou inclinado a acreditar que este é um defeito médico multifatorial. Além disso, o canal quase 100% realmente precisava de um reenchimento profissional e mais do que certo, até de terapia anti-inflamatória. É melhor olhar para a situação no local, mas já é assustador para o resultado e a perspectiva de uma abordagem desse tipo para o tratamento de dentes tão complexos e o tratamento de dentes com essas lesões infecciosas ocultas é um evento extremamente controverso para muitos dentistas.
Olá. Minha situação é a seguinte ... Há 6-7 anos, uma ponte foi instalada nos dentes 5, 6 e 7, se não me engano. Recentemente, ele começou a cambalear, foi ao dentista, tirou uma foto, apareceu um cisto, disse que era necessário tratar e reinstalar a ponte. Abriram os canais selados, limpos sem congelamento. Durante a limpeza, houve dor ao inserir a agulha (principalmente no final), a dor desapareceu no mesmo dia! A dose seguinte foi tratada com medicamento, um selo temporário foi colocado. Além disso, ao trabalhar com uma agulha, era doloroso, já mais forte. As dores são terríveis quando se trabalha com uma agulha, como se perfurado com corrente elétrica! Um dente doeu naquele dia e no dia seguinte também (sem interrupções, apenas Nimesil salvou). À noite, fui à recepção - eles removeram o lacre, limparam o canal do remédio, lavaram-no (novamente picaram com uma agulha durante a limpeza), disseram para enxaguar com sal e refrigerante. Mas mesmo depois disso, as dores não desapareceram ... Por vários dias, eu não durmo à noite, durante o dia a dor me atormenta terrivelmente, 3-5 comprimidos de analgésicos por dia. Fui a outro dentista hoje (ele não trabalha no sábado), tirei uma foto e disse que a dor ao inserir a agulha no canal era devido a atingir o nervo que corre horizontalmente (de onde saem os nervos até os dentes). E, em geral, esse dente precisa ser removido, dizem eles, paredes finas, um fundo fino para colocar uma coroa nele.
Diga-me, o que causou dor constante: o erro de um médico ao limpar com uma agulha ou, talvez, o que mais? Agradecemos antecipadamente!
Olá Oleg! É claro que dentes vivos nunca podem ser encontrados em um dente com cisto - este é um axioma. Esses dentes inicialmente têm polpa morta ou foram previamente preenchidos nos canais, mas de baixa qualidade. O médico tratou ou tratou esse dente, mas enfrentou uma série de erros: ele não criou condições confortáveis para o paciente (normalmente tudo deveria ter acontecido sem dor) e também permitiu que ferramentas endodônticas e (ou) anti-sépticos deixassem a raiz durante o trabalho. Erros em um estágio tão importante do tratamento + a incapacidade de criar as condições mais estéreis nos canais levaram ao fato de que você não pode prescindir de analgésicos. É claro que o médico provocou uma exacerbação nesse dente, mas não conseguiu, por si só, garantir que esse processo não fosse além dos limites permitidos.
Quanto à consulta de outro médico, posso dizer que as acusações do primeiro médico de que ele poderia "atingir o nervo que passa horizontalmente", em outras palavras, o nervo mandibular, não são confirmadas ou comprovadas.E sobre a necessidade de remover o dente - essa é uma pergunta difícil: você precisa ver a situação em todos os sentidos "pessoalmente" e de todos os ângulos.
A razão da sua dor é que, em algum momento, o médico cometeu erros. Talvez o erro seja que as evidências se resumem à extração dentária, e o médico está tentando tratar, embora na maioria das vezes esses dentes possam ser "arrancados" à custa de profissionalismo, equipamento necessário e assistência do paciente.
Olá Eu quero consultar você. Quatro dias atrás, um dente foi arrancado, os sete superiores. Foi realizado: radiografia computadorizada, uso de anti-sépticos, tratamento de pulpite, tratamento ultrassonográfico do canal radicular, postura terapêutica no canal radicular, remoção do preenchimento antigo. Mas o dente dói quando você clica nele ou quando você morde a comida. Em um estado calmo não dói. Eu não toco nele, ele sou eu. O que pode ser e o que fazer para não machucar? Obrigada
Olá Olga! Pelo que entendi, você se concentra no fato de ter sido tratado com um tratamento totalmente de elite com todas as vantagens modernas da odontologia, sem as quais é difícil tratar um dente, como deveria, ou seja, por toda a vida. As dores pós-preenchimento que você tem não devem ser normais. No entanto, na maioria das vezes com tratamento realizado corretamente do ponto de vista da tecnologia + imagem, esses desvios desaparecem independentemente após 5-7 dias, às vezes após 10-14. Para responder com mais precisão, você precisa saber pelo menos: o que o médico fez lá do ponto de vista do raio-x. As consultas vêm daqui: se tudo estiver em ordem, o médico poderá prescrever fisioterapia ou lavagens; caso contrário, você não poderá prescindir da correção do material no (s) canal (is).
Olá Eu realmente espero pelo seu conselho, por favor ajude. Há 10 dias, os 4 dentes superiores à direita começaram a doer, com cárie. Naturalmente, ela correu para curar. O médico removeu o nervo e deixou o canal aberto, disse enxaguar com sal. Então eu fiz. Ontem eu vim fechar o canal. A propósito, não houve dor após a remoção do nervo. Enchi o dente e, como sempre, fui para casa. Mas, após a anestesia, começou uma dor terrível, que eu não senti antes do tratamento. Como resultado, eu me inflou no lado direito em uma bola. Eu fui novamente ao médico. Ele abriu o canal e o mandou para casa novamente, prescrevendo um antibiótico. A dor não desapareceu, o edema não diminui, mas aumenta. O médico disse que o meu corpo é o culpado. Eu acho que não. Radiografado: tudo está limpo na imagem. O que você acha que está acontecendo comigo? Dor intensa, inchaço intenso, boca torcida, cobriam os olhos. Diga-me, por favor.
E seria visível na imagem, se houvesse um acúmulo de pus?
Olá Erros do médico neste contexto são difíceis de especificar. Você precisa conhecer sua situação de e para: pelas fotos, pela situação da inspeção geral e até mesmo verificando os canais em busca de complicações. Afinal, o médico poderia ter processado o canal de maneira inadequada, deixado um fragmento do instrumento no canal, medicamentos insuficientes para cuidar do canal, não removido a camada infectada do canal, etc.
Obviamente, de acordo com a sua história, existem muitas dicas sobre a incompetência do médico em várias questões. No entanto, não posso e não tenho o direito de culpar o médico por não conhecer sua situação clínica por todos os lados e, de acordo com a descrição, você pode ser muito tendencioso sobre o médico e seu trabalho.
De acordo com sua história, as perspectivas de preservação dentária para este médico são pequenas, portanto a situação está próxima de mudar de médico. Outra questão é se o novo médico irá corrigir a situação após a anterior (muitos não gostam disso). De qualquer forma, vale a pena esclarecer o curso do tratamento, porque não apenas a vida futura do dente depende disso, mas também sua saúde geral.
Olá Dois dias atrás, os seis primeiros começaram a doer ao morder. O dente estava morto, o quinto e o sétimo também foram curados há alguns anos.À noite nos seis, a dor já apareceu sem morder. O dentista abriu o dente, tirou fotos. Segundo ela, os canais são curados bem, não há nada para machucar lá. Enviado ao médico otorrinolaringologista para excluir sinusite, disse que tenho um seio adjacente à raiz. Sinusite não está confirmada. No segundo dia, a dor é muito forte, não apenas o dente dói, mas as gengivas acima dele quando pressionadas. A temperatura é 37, o rosto à esquerda está inchado, a têmpora e a orelha doem. Muito reminiscente de uma condição iniciada, se não for para dor. Diga-me, por favor, o que é isso? Canais mal curados? O dente está selado.
Olá É claro que estamos falando de uma exacerbação da periodontite crônica. No entanto, a coisa mais difícil aqui é determinar o dente causador. Eu acho que seu médico está enfrentando um problema de diagnóstico, o que é muito ruim. Se o dente é determinado incorretamente, não faz sentido esperar um resultado positivo. Devo dizer imediatamente que é extremamente difícil determinar se há erros nos dentes tratados por meio de consultas on-line. Se você tivesse instantâneos dos canais em suas mãos, poderia dizer mais ou menos, mas teria que treinar apenas um dente. Apenas problemático. Dois dentes em uma exacerbação ao mesmo tempo são um disparate. Você precisa descobrir isso mais cedo, caso contrário, haverá muitos problemas, até a extração do dente (talvez até um inocente no processo inflamatório).
Muito obrigado pela sua resposta! Sim, temos dificuldades com o diagnóstico. A cidade é pequena, nem um único dentista tem nada, exceto um raio-X. Hoje foi novamente ao médico. Mais uma vez, depois de revisar as imagens, confirmou que, segundo elas, não vê a patologia, mas pode não ver o possível canal adicional. Ainda assim, acho que o ponto está precisamente nos "seis", porque desde o início, depois de tratar os canais, ele foi de alguma forma alarmante. Não havia dor aguda, mas ao tocá-la, algo era alarmante, havia sensibilidade. O médico sugeriu que eu fiz um visiograma ou ortopantomograma. Tem que ir para outra cidade. Mais uma vez obrigado pela resposta! De qualquer forma, embora on-line, a opinião de outro médico é importante para mim!
Olá. Dois dias atrás, eu estava no dentista que limpou os canais e devolveu o selo. Mas antes disso, ela também as limpou para mim, colocou o remédio e um selo temporário. Então, agora estou com uma dor terrível. Não consigo tocar meus dentes com dentes, e parece que eles me machucaram e estão inflamados. A dor é tanta que choro de desesperança. Não sei mais o que fazer. Dê dinheiro por esse tratamento em vão. Eu já acho que você é alérgico ao material, ou tudo desaparecerá em uma semana. Já quero remover esse dente, porque é insuportável suportar tanta dor. Mas o mais estranho é o fato de o dentista ter dito que tenho dentes de leite aos 21 anos e que, se forem removidos, outros não crescerão. Por favor, diga-me, isso acontece ou não?
Olá Em casos raros, os dentes de leite não mudam para permanente. Isso é verificado através de instantâneos. Você pode fazer um raio-x (filme) regular do dente, bem como imagens na visografia. Uma idéia geral da condição dos dentes é dada por radiografia panorâmica. Tudo o que listei pode confirmar as palavras do médico ou refutá-las. Quanto ao tratamento do canal: situação semelhante. Para descobrir se foram cometidos erros durante o tratamento dos canais, isso é possível apenas pelas imagens. Até agora, direi à revelia que você encontrou dores pós-preenchimento no fundo ... Mas isso é verificado apenas por fotos.
Olá doutor! Sua consulta é urgentemente necessária. O dente 37, os sete inferiores, está localizado no lugar dos oito. Eles removeram a polpa, colocaram a pasta na boca dos canais e a fecharam com um selo temporário. Depois de tentar entrar nos canais, mas 2 canais foram muito dolorosos, exceto o 3º. Eles também colocam remédios.Um belo dia, eles foram anestesiados para esse dente, começaram a limpar os canais com limas e fecharam o canal menos doloroso com endometasona (na minha opinião, era medial). Outros canais não começaram a tocar, apenas limpos, não selaram. Eles colocaram o medicamento novamente e o fecharam. No dia seguinte, o dente começou a doer, sofrendo dores, às vezes me parece que até latejava. Ao morder, dói. Às vezes a dor diminui, às vezes mais forte ... Os anestésicos ajudam temporariamente. Ele foi ao médico, ela removeu o enchimento temporário e queria selar o canal, mas é tão doente que, ao tocar na boca desse canal, causa dor intensa. Sem mencionar que quando ela queria entrar ... Dor no cérebro. Sob anestesia, ela não encheu e voltou a fazer radiografia (esta é a terceira). Ele diz que não há perfuração e em 3 de agosto ele deseja preenchê-lo, talvez sob anestesia.
O que devo fazer, me diga, doutor? É possível preenchê-lo com essas dores terríveis? A dor dolorosa também desaparecerá depois disso quando mordida? Então o que devo fazer? Muito obrigado antecipadamente.
Eu forneço a última foto (apenas um canal foi selado, o médico tentou entrar no segundo, mas não conseguiu por causa da dor, até um pouco de material é visível na boca) [... o link é visível apenas para o médico ...]
Olá Penso que este médico, no plano profissional, sofre antes de mais com a técnica da anestesia de qualidade. A técnica está completa: torusal, mandibular, infiltração, intraligamentar, intratulpariana, etc. No nível adequado, a combinação de vários métodos de anestesia possibilita o tratamento indolor dos canais. O tratamento do canal indolor é a norma. De acordo com a sua história, o médico não pode passar pelos canais por causa da polpa viva. A única saída para ele nessa situação é atormentar o dente com remédios e esperar o tempo à beira-mar. Eu acho que é impossível economizar um dente assim. Um dentista não pode "congelar" corretamente um dente, tem medo de complicar na forma de perfuração e outras ninharias, o que pessoalmente me deixa uma impressão negativa do trabalho realizado mesmo nesta fase. O único medo: ao trocar de dentista, é importante explicar corretamente a situação ao novo médico para que não haja situações de conflito.
Olá Há três dias, os nervos foram removidos dos seis e sete inferiores à direita e colocados obturações temporárias. Os dentes em si não doem agora, apenas quando mordidos. O problema é que você não toca na mandíbula inferior onde esses dois dentes se assentam. Então deveria ser? Anestesia conduzida. Do trabalho realizado: expansão do canal com perfis de níquel-titânio, tratamento medicamentoso dos canais, obstrução de um canal da raiz do dente (guta-percha) e imposição de preenchimento temporário com Tsiprospad. Tiramos fotos duas vezes (e era claramente visível que o material de obturação foi removido além do ápice da raiz do dente, e o próprio dentista, assim que falei sobre a dor que apareceu no dente antes da colocação do preenchimento temporário, disse que o material foi além da parte superior do dente).
Olá Se você está firmemente convencido de que se limitou à anestesia de condução e não adicionou infiltração (perto da raiz desses dentes), deve pensar apenas no material extraído, não há outras hipóteses. Se o médico adicionar anestesia perto dos dentes, o local da injeção poderá ser sentido ao tocar as gengivas na bochecha por até 5 a 10 dias. Às vezes, com uma administração traumática de um anestésico, esse tempo é estendido para um mês. Se você negar o fato da anestesia por infiltração, poderá colocar todos os pontos em consulta com um especialista independente. Por que, neste caso, é difícil para mim ajudá-lo: é importante "sentir" a mandíbula, a gengiva e examinar cuidadosamente a membrana mucosa, o dente etc. Se essas informações novamente não fornecerem nada de valor, depois de analisar a imagem, apenas o resultado de uma complicação poderá ser reconhecido - removendo o material de preenchimento na parte superior.Este é o problema de muitos dentistas, é possível lidar com isso, mas difícil. Esperar que ela passe, ou agir, pode ser solicitado pelo médico que não fez esse trabalho. O médico assistente nem sempre está pronto para entender a situação de dentro para fora, admitindo seu erro e de bom grado encontrar um compromisso.
Olá 24/07/2016 removeu os nervos dos sete, no canto inferior direito. Hoje existe um preenchimento permanente (depois de temporário), as dores não são tão intensas quanto nos primeiros 3-4 dias, mas a dor não diminui. As coroas deveriam ter sido colocadas juntas imediatamente (para um dente de 6 a 7), pois já existem recheios grandes e paredes finas. Eu tenho medo porque o dente ainda dói. Ela fez um raio-x e mostrou a vários dentistas. Todo mundo diz que está tudo bem, que os canais estão todos bem fechados. A única coisa que eles dizem é que meus bolsos são muito fundos, o que sempre criará desconforto. Antes disso, ela repetidamente tratava os dentes, sempre a dor passava. Por favor, informe o que fazer, talvez remova o dente? De alguma forma, posso enviar uma foto para que eu possa ver?
Olá Obviamente, você pode enviar a foto por correio na seção "Comentários" ou fornecer como um link. Eu acho que ele vai lançar luz sobre esta circunstância. Eu não acho que você tenha uma dor tão longa após o preenchimento, você deve estudar a imagem e entender o verdadeiro motivo. Quanto aos bolsos periodontais - não ouvi dizer que isso de alguma forma afeta fundamentalmente. E quantos anos você tem? Os médicos fizeram um diagnóstico como "gengivite" ou "periodontite"?
Boa tarde 19/07/16 terminou o tratamento dos sete inferiores direitos. Eles removeram os nervos, selaram os canais, colocaram um selo permanente. Vi uma foto do preenchimento dos canais: como o médico disse, está tudo bem ... A dor após o tratamento persistiu por cerca de duas semanas (primeira constante, depois apenas com pressão no dente). Então tudo morreu, o dente não se incomodou. Mas nos últimos três dias, a dor voltou. Dói ao pressionar este dente, e também houve dor (não aguda!) Em toda a mandíbula, onde o dente está localizado. Às vezes a dor é uniforme no ouvido. O que é isso Eu li os comentários anteriores e fiquei chateado. Isso é uma complicação?
Olá Anna! Eu gostaria de acreditar que seu médico não o enganou e tratou não apenas qualitativamente, mas encontrou todos os canais no sétimo dente. Obviamente, na maioria das vezes existem 3 canais no dente 7 inferior, mas às vezes 4. Pode afetar o retorno da dor, ou seja, recaída. É por isso que, do ponto de vista do que a dor causa no ouvido (e a dor se intensifica à noite ou à noite?), Posso sugerir que procure os 7 dentes vizinhos: 8 ou 6 dentes como um problema. Afinal, muitas vezes há cárie oculta no dente, que posteriormente se transforma em pulpite ou periodontite. O ponto é que você primeiro precisa se certificar do dente (geralmente o dentista sente falta do dente causador, mas, do ponto de vista dele, cura o dente problemático, mais adequado para os sintomas). Acontece que, por exemplo, um dente que causa dor aguda é tratado e todos os sintomas desaparecem, mas ao lado dele, ao lado da gengiva (na lacuna), o dente vizinho de forma crônica de repente se agrava depois de algumas semanas. Você precisa procurá-lo, tratá-lo nos canais e os sintomas novamente desaparecem. Alguns pacientes em minha clínica, que iniciaram dentes duros, foram tratados com uma frequência de 2 semanas por mês: até que todas as lesões de cárie profunda parassem de provocar dor após o tratamento dos canais. Portanto, uma busca bem-sucedida de dentes por você e se você quiser verificar os canais dos 7 tratados, não deixe de dar um link para a imagem - vou olhar e comentar. Saúde para você!
Boa noite Obrigado pelo seu comentário. A imagem do dente após o preenchimento dos canais permaneceu na base da clínica. Eu acho que esse é o meu erro que eu nunca pedi ao médico para baixar uma foto para mim em qualquer meio.Eu farei isso com certeza!
Até o momento, a dor dolorida na sétima medida já desapareceu e a dor permanece apenas quando a pressão é aplicada a ela. No entanto, não posso dizer que à noite a dor se intensifique.
Estudei os dentes adjacentes por sua sugestão (até agora de forma independente e apenas visual). No dia 8, tudo parece estar bem: o dente nunca foi tratado, nunca foi incomodado e, na minha opinião, limpo, branco ... Mas nos seis há uma coroa (é o segundo ano, apenas nele, sem ponte). Talvez sob a coroa de um problema?
Num futuro próximo, definitivamente voltarei à clínica. Vou examinar 6, 7, 8 dentes. Se necessário, vou tirar novas fotos. Vamos ver qual era o problema ... Temos que "trazê-lo para a água limpa"! Obrigada
Houve um buraco no dente, reagiu ao frio, e ele ficou muito doente, dois dias seguidos. Então ele parou de doer, e havia uma sensação de que o dente estava no caminho, era doloroso pressionar, mas já no próximo. Diagnosticado com periodontite. Parece que eles mataram um nervo, foram selados temporariamente mais tarde. Então ela veio selar os canais, antes que ela colocasse agulhas, e como se em um canal ela parecesse pressionar muito com esta agulha, era doloroso. Ela disse que, provavelmente, se houver dor, não há necessidade de preenchê-la. Como resultado, ela encheu os canais com pasta, colocou um curativo, como ela disse, e agora a dor é insuportável. Dói muito, e a dor é a mesma de quando ela enfiou a agulha profundamente. Muito atormentado, muito. Responda por favor!
Olá Provavelmente, estamos falando sobre as táticas de tratamento erradas. Se o médico já encontrou periodontite, é importante prestar muita atenção ao tratamento medicamentoso dos canais e à limpeza da dentina "suja". Se isso não for feito, ou durante a operação, as ações do médico levarão a eventos traumáticos (as "agulhas" vão além da raiz, empurrando o conteúdo do canal para além do ápice, etc.), o dente ficará muito dolorido. Às vezes, essas dores não desaparecem. De fato, "curativos" - este é um evento duvidoso, a julgar pela sua descrição. Portanto, é melhor entrar em contato com outro dentista, pois há preocupações sobre a possibilidade de maior preservação do dente.
Boa tarde A unidade superior ficou doente, deu uma semana a toda a mandíbula, nem conseguia entender qual dente dói. Após exame do médico, verificou-se que um nervo apodreceu na unidade e a inflamação começou. Diagnosticado com periodontite. O médico limpou o canal, deixou-o aberto por vários dias, prescreveu lavagens com refrigerante. Enquanto o dente estava aberto, não havia dor ou desconforto. Depois, colocaram um recheio temporário com o remédio e no dia seguinte o dente voltou a ficar doente. A conselho de um médico, abri um buraco e a dor parou por um dia e depois retomei. No sétimo dia de tratamento, o médico disse que você não pode andar muito com o canal aberto e selar o canal e o próprio dente. As fotos foram arranjadas para ela, mas nelas, segundo ela, a inflamação era visível. Ela disse que sou saudável terapeuticamente, mas a inflamação pode não diminuir, portanto o enxágüe com refrigerante deve continuar e, se o dente for severamente atormentado, você não deve entrar em contato com ela, mas com o cirurgião, para que ele faça uma incisão para sair da infecção. O dente começou a doer imediatamente após o preenchimento, e a dor não para por um dia, mesmo ao tomar Nise, ela se intensifica à noite, dá para o lado direito da mandíbula, pulsa. Área inchada perto das narinas, dor quando pressionada. Entendo que essas podem ser dores pós-preenchimento, mas tenho medo de agravar a situação e perder um dente. Quanto tempo devo esperar antes de precisar consultar um médico?
Olá Nesse momento, você foi instruído a fazer uma incisão laxante no dentista-cirurgião se o inchaço começar. O inchaço já é evidente, ou seja, "na face", então não faz sentido "crescer" ainda mais.
No entanto, pessoalmente duvido das táticas corretas do seu médico assistente.O método de tratamento de rotina é claramente aplicado, o que pode não levar à preservação do dente a longo prazo. Ou seja, com a ajuda de uma incisão e lavagem, os sintomas podem desaparecer, mas o "crescimento de cisto" na parte superior da raiz começará e continuará nos próximos anos.
O médico claramente não criou as condições para interromper a reprodução da infecção no canal. O grupo anterior dos dentes superiores é perfeitamente tratado, mesmo com periodontite: o canal teve que ser "lambido": lavado com anti-séptico por 30-40 minutos, confere uma forma cônica com excisão de toda a parede suja das paredes do canal. Normalmente, a endodontia desses dentes leva cerca de uma hora. Eu acho que você conseguiu um curto período de tempo e, por assim dizer, impediu a infecção. Receio que, deste ponto de vista, uma incisão dê apenas um efeito temporário.
Eu recomendo obter tratamento de alta qualidade de qualquer outro especialista (qualificado), pois seu médico, por um motivo ou outro, não pode satisfazer os estágios do protocolo de gerenciamento de doenças periodontais, como uma doença dentária, mas isso deixa você com esperança. Mas você tem que sofrer?
Boa tarde, por volta de 7 de agosto, o dente da frente superior começou a doer tanto que cedeu por todo o lado direito da mandíbula. Virei-me para a odontologia estadual, abri o dente, limpei os canais (puxei algo preto, como um nervo), deixei-o aberto, disse para enxaguar e voltar em três dias. A dor desapareceu, veio em três dias, novamente todos limpos (sem anestesia já doía periodicamente), após o que colocaram algum remédio e selaram temporariamente. Nos primeiros 2-3 dias, houve um pequeno desconforto, uma sensação de plenitude, depois tudo passou e o dente parou de responder a qualquer coisa, tornou-se como todos os outros saudáveis. Na consulta médica em 23.08, 2 dias antes da consulta, parte do preenchimento temporário caiu, mas ainda não havia desconforto e dor. Fui ao médico, tirei o resto do lacre, limpei alguma coisa novamente (não houve dor), depois que tudo começou a ser apagado, algumas coisas estranhas, como a fiação, foram colocadas nos canais, outra coisa, talvez eu não saiba, coloque selo de luz. Na noite do mesmo dia, o desconforto começou, o dente começou a pulsar e parecia coçar por dentro, e as gengivas próximas ao dente também, ao pressionar o dente, ocorrem dores. Fui ao médico, ele disse que isso poderia ser uma variante da norma e disse para observar o dente por mais 5 dias, e também parecia que um pedaço de chiclete estava entorpecido sobre o dente, como na anestesia. Essa poderia ser a norma? E o que devo fazer?
Olá Penso que a maior parte da informação seria dada por uma imagem de dente com um canal tratado. O resto são pontos controversos. Por exemplo, em um dia para selar o canal e imediatamente colocar um selo leve - não é uma boa prática, especialmente para odontologia estadual. Em geral, o diagnóstico de periodontite não é apressado, pois é importante monitorar o dente, sua condição e as perspectivas de conservação.
Agora você descreve os sintomas aproximados de um dos dois cenários:
1. Remoção excessiva do material de enchimento no ápice da raiz;
2. Preservação da infecção no canal devido ao seu processamento descuidado, devido ao qual a sensação de "rebentamento" perto da raiz e dos tecidos circundantes fala apenas de uma nova exacerbação.
Tudo isso é quase 100% semelhante a uma complicação após o tratamento. Sua gravidade pode ser verificada apenas na consulta na cadeira do dentista, ou você pode abrir o véu de sigilo do tratamento com a ajuda de uma foto.
Olá, há três dias eles trataram os 6 inferiores, removeram os nervos, limparam os canais e selaram com um selo leve. Agora, ao morder, os 6 superiores doem, embora o médico não tenha encontrado nenhum problema durante o exame. É possível que estas sejam as consequências do tratamento dentário inferior?
Olá Vera! Eu, como você, não acredito em tais coincidências: é mais provável que uma forte dor pós-preenchimento após o tratamento dos canais do dente inferior 6 simplesmente crie essas sensações: parece que o problema e o oposto estão no sexto superior. Eu acho que é importante entender por que houve dor pós-preenchimento. Se você tiver uma foto em mãos, poderá fornecê-la pelo correio do site para analisar a qualidade do tratamento do canal. Se você confia no seu médico, pode verificar os dentes superiores e inferiores novamente (ou pode fazer isso com qualquer outro dentista). Isso é fácil de fazer: se não houver dor durante a percussão (batida) do sexto dente superior, com um alto grau de probabilidade, o problema estará apenas no dente inferior tratado 6. A única coisa, repito, é que é importante saber por que essa “complicação” surgiu nele (oficialmente considerado assim). Saúde para você!
Olá. Na 11ª série (17-18 anos), o dente foi tratado, os canais foram removidos. Agora tenho 21 anos. Há uma semana, ele começou a reclamar fortemente à noite. 2 dias atrás eu fui ao médico. 1) Eles tiraram uma foto em 3D, torceram, viram que um dos canais não estava selado, havia inflamação no topo da raiz. 2) Eles iniciaram o tratamento, colocaram anestesia, colocaram o cofre, limparam os canais, usaram ultrassom e ouviram falar do parque mais de uma vez. Eles tiraram uma foto no processo e continuaram. 3) Eles fecharam o selo temporário. À noite - uma gengiva azulada, inflamação no palato e nas bochechas, a bochecha está inchada, virei um hamster.
Ontem: 1) o objetivo é expandir os canais, entregar o medicamento. 2) Eles administraram anestesia, foi doloroso por essas inflamações e cianose. Eles colocaram um cofre. 3) Não senti que nem uma foice nem um dente estavam dormentes, era doloroso colocar ensecadeiras. A anestesia não pareceu tomar. 4) Começamos a tratar sob um microscópio. Havia sensações constantes de “pequenos pára-choques”, tão fortes que todo o meu rosto já estava doendo e eu automaticamente derramo lágrimas. Insuportavelmente doloroso. Anestesia repetida duas vezes, não ajudou, um após o outro, esses "inchaços". Vamos para a foto novamente. Algo estava errado, eles me levaram para remover a saliva, o médico ficou olhando a foto. Chegou em 5 minutos e disse que outro médico deveria olhar a foto. Claro, algo deu errado.
Meu médico entrou e disse algo novo - não consigo chegar ao topo. Aquele médico sentou-se atrás de um microscópio e disse - O que você é, há muito tempo, no topo. De suas ações não houve "solavancos". Meu médico sentou-se novamente, solavancos, dor. Ela usou o parkan, colocou as “bolas”, fechou-o com um selo temporário. Ela disse para apertar os dentes para que o selo assumisse a forma desejada. Eu disse - a dor é intensa, não posso. Ela disse que isso se deve à expansão dos canais.
5) Ao chegar em casa, descobri que a gengiva não é azul, mas quase preta, como se no cruzamento com o dente parecesse estar se afastando, e geralmente há escuridão. Minha bochecha estava inchada. A dor é intensa, pois ontem tomei 3 saquetas de nimesil e 1 comprimido de cetanas. Enxáguei a boca com tantum verde e manchei o metrogil do dente. DOR MANTIDA. Eu simplesmente não sou capaz de morder. A cianose foi coberta com um filme cinza. Desna não está mais se afastando. A dor não diminui.
Eu tenho uma pergunta para você: que perguntas diretas devem ser feitas na recepção em duas semanas e faz sentido esperar duas semanas? Parece-me seus cardumes, não sei como expressar com precisão meus pensamentos. O médico tinha credibilidade, mas ontem duvidei dela e parece que ela estragou tudo e não disse nada. Eu já paguei, como estudante, esse valor foi difícil para mim, quase 20 mil rublos.
1) Ela permitiu a perfuração do dente? 2) O que devo fazer se ela ultrapassar repetidamente o topo da raiz? 3) A cianose é uma conseqüência de um bonde mecânico, não é possível ao instalar uma represa de borracha ou uma reação à anestesia? 4) Por que a anestesia não foi realizada após 4 vezes, pois ela foi injetada em vários orifícios? 5) É possível salvar um dente, este é o 6 dente superior. Eu preciso dele para instalar aparelhos. 6) Como você checa a fidelidade do trabalho dela? E sobre a perfuração, se houver, e fechou a parte superior do dente corretamente, não saiu nada? Tenho a audácia de fazer qualquer pergunta e perguntar ao monitor com um instantâneo e ver tudo sozinha. Eu entendo um pouco nas fotos, eu posso torcer o dente em 3D não com as mãos.
Agradecemos antecipadamente a sua resposta. Eu quero acreditar no médico, uma garota boa e legal. Ela disse que realmente quer economizar um dente, porque aparelho e um sorriso saudável são muito importantes. Eu não quero mudar isso para outro médico, todo mundo está enganado. Apenas verifique tudo, pergunte novamente e ajude ela e ela mesma.Afinal, ela deve aprender e lembrar o melhor possível, se ela errou. E se não estiver certo, já vou pedir desculpas a ela por interrogatórios e arrogância. Agradecemos antecipadamente a sua resposta, realmente ansioso por sua resposta!
Olá Quando os pacientes me dizem que o dente começou a doer apenas à noite e não apresentam mais sintomas (dores durante o dia, dor ao morder o dente enquanto se come, etc.), o primeiro pensamento é procurar um dente "vivo" (que ainda não tratado). Novamente, seria útil esclarecer se as dores noturnas desapareceram após o tratamento ou se a dor se tornou regular (sensação de plenitude dia e noite)? Isso é importante.
Se você começou a tratar o dente errado por engano, o problema duplica. Não apenas o dente da pulpite pode continuar produzindo calor, mas aquele morto no estágio de retratamento com possíveis erros (talvez nem mesmo totalmente culpado) estava “agitado” no contexto de entrar nele e até fazer algo errado.
Em outras palavras, um dente morto definitivamente tem uma exacerbação total da periodontite crônica. Pelo que entendi, o caso vai para a periostite. Sem vê-lo, é difícil avaliar a gravidade da situação. Se eles estivessem na cadeira, talvez diriam remover o dente com urgência para não aumentar a infecção. Você faz muitas perguntas sobre a definição de "cianose" - o que é? Infelizmente, isso requer pelo menos uma foto (se possível, envie uma foto da gengiva inflamada pelo correio). E então, acabará dizendo apenas aproximadamente.
Quanto à determinação do erro: você precisa de uma imagem com canais selados ou com algo instalado neles, contraste de raios-x. Se algo como material de preenchimento foi introduzido nos canais, sua saída para o lado pode ser determinada por uma imagem em um computador ou durante a impressão.
Mas já posso dizer à revelia que a complicação é óbvia, pois o retratamento de dentes mortos normalmente não deve ser acompanhado de edema, cianose da gengiva, dor intensa e difícil de interromper com analgésicos. Aqui, ou um batente óbvio de um médico, ou jogando uma infecção além da raiz com lascas sujas das paredes dos canais dentários (isso também é consequência de táticas de tratamento incorretas, violação do protocolo para manter esses dentes complexos).
Também há especulações sobre uma queimadura química periodontal de parkan. Em geral, há uma complicação - essa definitivamente não é a norma, então você pode perguntar ao seu médico. Se o médico não quiser doar dinheiro para tratamento malsucedido, a situação pode levar a abscessos e fleuma. Sei que alguns médicos esperam que o dente se acalme gradualmente e que o problema se transforme em um processo crônico persistente, e quando ocorrer uma nova exacerbação lá, será outra história. Ao mesmo tempo, como você conta, seu caso clínico - táticas de expectativa (principalmente, 2 semanas) - é um jogo de roleta russa.
Não vendo você, não posso garantir pelo menos uma coisa. Muito dinheiro para o tratamento, por esse valor os diretores de grandes empresas estão nos tratando. Em geral, de acordo com a sua história, a pessoa tem a sensação de que existe um tipo de "confusão de ratos" e responsabilidade mútua. Eu sinceramente me preocupo com sua saúde.
Posso receber seu e-mail? Vou tirar fotos e enviar.
Em relação à cianose, fui a um periodontista em outro hospital, não havia fotos em minhas mãos e ele não sabia dizer algo mais preciso sobre a condição do tecido ósseo na área afetada. Em relação ao hematoma, ele acredita que essa é uma pressão da caverna. Agora não há machucado - há um buraco escuro (buraco), que será visto com mais precisão na foto. Enxáguei o tântum verde e deitei Solkoseril. Mas parece-me que isso não é de um dique de borracha, mas de algum tipo de solução, porque o dique de borracha foi trocado várias vezes, aparentemente foi rasgado e vazou um pouco, sentiu-se amargura.
As dores da noite passaram, agora dói ao morder e bater. Mas aqui está a inflamação das gengivas do lado de fora, se você tocar, é como se fosse um osso. Permaneceu assim e foi assim antes do tratamento.
Olá Envie uma foto para o correio do site (consulte Comentários).Quanto ao instantâneo, essa é uma parte importante do diagnóstico. Sem isso, o destino do dente não pode ser determinado. Eu acho que a versão sobre a queimadura continua válida, mas quanto ao tratamento correto dos canais, a imagem pode ser mostrada.
Olá Em uma clínica, os nervos dos seis primeiros foram removidos e os canais foram limpos para construir uma ponte. Depois disso, o dente dói quando pressionado. Eu fui para outra clínica. Eles fizeram um raio-x, limparam os canais, colocaram o remédio. Após 2 semanas não houve melhora, o procedimento foi repetido. Depois de mais duas semanas, o médico fez um raio-x duas vezes, disse que eu tenho periodontite e aqui leva tempo para o dente se acalmar. Ela colocou um enchimento permanente e uma coroa temporária em cima, para que a gengiva não se machucasse. Mais uma semana se passou, não há melhorias. O dente dói apenas quando pressionado. Há uma imagem de raio-x, posso enviá-la. Se eu tiver periodontite, ele certamente não passará. Que tipo de médicos nós temos? E o que devo fazer? Indo para clínicas esperando encontrar um dentista normal?
Olá Penso que o instantâneo é necessário para uma análise precisa - envie-o para o correio (consulte Comentários), se não for difícil. Por enquanto, vou falar sobre meus palpites. Tenho quase certeza de que você sofre de dores pós-preenchimento no contexto da competição: "mais rápido, mais alto, mais forte". Ou seja, médicos sem lesões não podem mais corrigir os erros ou pequenas imprecisões de seus colegas. Cada novo dentista deseja polir o dente por dentro, de modo que apenas “manchas” permaneçam nas paredes, procure lavar a infecção, mas empurra o anti-séptico para o topo, onde cria uma queimadura periodontal. Um dente com pressão pode machucar por até 2 a 3 meses, e por 5 a 6 meses, pode haver desconforto ou um dente que não é seu.
Diferentemente de você, gostaria de dizer um pouco de outra maneira: “Por que temos esses médicos - é realmente impossível refazer o trabalho dos colegas deliberadamente para que o dente não sofra com o zelo excessivo do dentista, devido à não conformidade com a tecnologia do trabalho ou devido à excelente síndrome do aluno”. Alguém disse: "Bom demais - também ruim".
Embora seja muito cedo para tirar conclusões finais, é necessário avaliar a condição dos canais periodontal e tratado da imagem e depois pensar no diagnóstico.
Olá Caro Svyatoslav Gennadevich, peço que você comente sobre a seguinte situação: aproximadamente dois meses atrás, sua esposa tratou seis dentes de uma só vez. Embora o especialista selecionado trabalhe em uma clínica regular, não tenho dúvidas sobre sua competência e consciência (usei repetidamente seus serviços, estou muito satisfeito com os resultados depois de muitos anos).
Assim, de todos os dentes tratados, apenas um ainda está preocupado - o penúltimo inferior direito. Havia um grande buraco, um nervo foi removido, um preenchimento temporário foi preenchido e os outros tratados, ele foi tratado por último. Como resultado, eles fecharam o selo, tiraram uma foto - o médico gostou dos resultados. Mas até agora, dói ao morder (ou se você bater nele ou com o frio), além disso, é especialmente preocupante que a dor se espalhe ao longo da mandíbula e também até o lado da têmpora e no ouvido. E o ouvido dói de maneira estável pela manhã. Dentro de meia hora ou mais em algum lugar. Então passa. Às vezes, à tarde (tarde), pode ficar doente. A dor pode ser bastante substancial.
Eu li a sua explicação aqui, parece remover material para o ápice da raiz, pressiona o nervo. Mas o que fazer - suportar e esperar, ou já passou muito tempo, e esses são sintomas alarmantes?
E mais uma pergunta - ela reclama da sensibilidade muito forte dos dentes (todos em geral, não apenas tratados) ao frio. Ao mesmo tempo, ela de alguma forma conecta seu aumento de intensidade com o tratamento (a sensibilidade ao frio se intensifica após o tratamento, assim como depois de enxaguar os dentes com água muito fria várias vezes no país). Ele diz que mesmo a água fria quase à temperatura ambiente pode machucá-la. Mesmo quando o ar atrai os dentes, dói.
P.S.Obrigado por responder às perguntas de maneira tão completa e geralmente dedicar seu tempo a manter este blog.
Olá Apresso-me a analisar sua situação de maneira médica. Definitivamente, você peca com um dente inocente: um dente com canais tratados nunca responde ao frio - este é um axioma. Como a dor do seu cônjuge apareceu após o tratamento de 6 dentes, você pode procurar com segurança um dente "vivo", no qual o tratamento foi limitado apenas a um preenchimento. Ao tratar a cárie em um dos dentes, o dentista cometeu alguns erros (superaquecimento do dente, pressão excessiva durante a preparação, efeito tóxico do material etc.), mas isso também se refere ao dente que ficou com "nervos". há, tudo indica que o dente tem pulpite e é necessário tratamento urgente dos canais. O mais difícil agora é identificar o dente causador, que começou a ter inflamação pulpar: tudo isso terá que ser decidido pessoalmente na consulta do dentista. em outras ações, mas agora você não deve procurar e tratar um dente de pulpite Boa sorte!
Boa tarde Eu estava na consulta com o dentista, vim para remoção, fui convencido a curar. Eles começaram a limpar os canais, não entrevistaram para a presença de alergias. No momento em que começaram a desinfetar (com hipoclorito de sódio), senti uma forte sensação de queimação, o gosto de "alvejante" na língua. O médico lavou tudo e foi imediatamente com ela para a recepção. Quando eu estava no balcão, comecei a sentir que minha bochecha estava ficando mais pesada do lado onde o dente estava sendo reparado. Ao que eles responderam que é possível um ligeiro inchaço. Cheguei em casa, comecei a sufocar, escorri do nariz - tomei anti-histamínicos, me senti melhor. À noite a temperatura subiu 37,6. Pela manhã, não me reconheci no espelho, o inchaço subiu aos olhos. Corri para o médico, ela disse: não tem problema, vamos consertar tudo ... Pegue o dinheiro e venha. Recorreu a outra clínica - enviada a um hospital para remoção. Depois que ela se voltou para a odontologia convencional na clínica, onde eu fiz uma incisão nas gengivas, drenagem. Agora a situação no meu rosto não é tão deplorável, o edema diminui. O dentista da clínica não explicou claramente o que havia de errado comigo, mas respondeu que não havia pus e não havia. Por que então inchaço? E mais um momento. Na primeira consulta naquela clínica muito particular, ouvi um médico falar com uma assistente que eles pegavam os arquivos errados, era necessário não 21, mas 14. 14. Pelo que entendi, ela inseriu agulhas do tamanho errado nos canais?
Agradecemos antecipadamente, Atenciosamente Maria P.
Olá A alergia do tipo retardado é apenas sintomática. Mas, na verdade (opinião pessoal), você teve uma complicação no contexto do tratamento. Como opção:
1. Lavagem grosseira dos canais com hipoclorito: expulsar uma grande quantidade de anti-séptico para fora do canal e queimadura química do periodonto;
2. Jogar o conteúdo infeccioso do canal (serragem das paredes do dente, exsudato) para a redistribuição da raiz. Possivelmente, houve uma tática errônea de processar os canais - a seleção de ferramentas não é menos importante do que aderir à tecnologia de processamento anti-séptico (medicamentos) dos canais e seu preenchimento.
Se o dentista da clínica tem certeza de que não há exsudato purulento, estou inclinado à versão de violações graves do trabalho com hipoclorito de sódio pelo método a jato, sua “ejeção” além da raiz. Inchaço neste caso pode ser significativo. Talvez valha a pena falar sobre o componente alérgico dessa complicação, porque o corpo definitivamente não vai gostar se a composição solúvel em proteína for introduzida, como um agente estranho, no tecido.
Eu acho que isso já prova que algo será difícil. Talvez você se consola com a esperança de devolver o dinheiro gasto na clínica? Tenho quase certeza de que eles se protegeram de força maior, embora nem sempre os dentistas honestos estejam prontos para sacrificar sua reputação em prol de um único escândalo por causa de um caso como o seu.
Diga-me, por favor: eu estava no consultório do dentista, 1 anterior, removi o nervo, limpei o canal, mas não o selei. O médico disse para enxaguar por vários dias. No dia seguinte, houve uma leve inflamação, a bochecha e os lábios estavam levemente inchados. O médico alertou para a dor, mas sobre o tumor lá! A dor não se intensifica, o inchaço no lábio se foi. Porque E então eu estou muito preocupado.
Olá As táticas de enxágue estão um pouco desatualizadas e geralmente são realizadas na odontologia de baixo orçamento por falta de capacidade de processar o canal dentário de maneira longa e de alta qualidade para fechá-lo imediatamente. Seu diagnóstico, por si só, não é o mais fácil, a menção da presença de um “nervo” é errônea, porque após a despolpação, o dente não é deixado aberto. Se o médico deixou um dente aberto, que estava vivo no dia do tratamento, é melhor trocar de médico.
É difícil para mim dizer se esse método de rotina de preservar um dente tem uma perspectiva, mas o fato de, mesmo sendo aberto, ainda provocar a formação de edema no rosto, pode indicar que o médico não o abriu. Se havia exsudado no canal, então, para sua saída normal, é necessário um bom processamento preliminar do canal, expansão da boca e, às vezes, até o forame apical. Isso eu digo no contexto deste método de tratamento.
Se os métodos deste dentista não derem a chance de preservar o dente, recomendo trocar de médico. O fato é que os dentes superiores da frente, mesmo no caso de processos inflamatórios graves, são removidos como último recurso, pois as características estruturais de seu canal e tecidos circundantes nos permitem encontrar muitas opções para eliminar a infecção e, juntamente com ela - sintomas (dor, inchaço, temperatura, etc.). Saúde para você!
Boa tarde Os sete no canto superior direito ficaram doentes. Eles abriram o grande selo existente, o médico, dizendo que os nervos ficaram brancos e se extinguiram, os removeram. Coloquei algum tipo de macarrão e coloquei um selo temporário. Depois de alguns dias, abri o selo e comecei a procurar canais. Eu encontrei dois, o terceiro não conseguiu passar. Substituiu a substância para procurar o canal e selar temporariamente. Na próxima vez que processei os canais, exceto um, não consegui entrar nele. Fiz um raio-x três vezes, mas ainda não consegui inseri-lo. Coloquei os termófilos em dois canais e colei mais um pouco para o canal não passado. Coloque um selo temporário. Permanente, ela disse, em alguns dias. Agora é o segundo dia, o dente ficou doente com uma mordida, sem dor em repouso. Como você avalia a situação e a adequação do tratamento, bem como o prognóstico para o terceiro canal não tratado? Como você pode enviar fotos?
Olá Você pode enviar a foto pelo correio especificado na seção "Comentários" e, quando estiver mordendo, eles podem dizer isso. Em primeiro lugar, eles podem ser causados pela terapia de canais que acabaram de ser percorridos no contexto de pequenas imprecisões ao preencher com Termafil. Em segundo lugar, um canal que não foi atravessado também pode provocar esses sintomas, uma vez que provavelmente foi carregado com um agente mumificante (possivelmente uma mistura de resorcinol-formalina), que possui propriedades agressivas irritantes.
O prognóstico para não processar o terceiro canal depende da estrutura individual dos canais dentários. Às vezes, os dentes podem "perdoar" os erros de alguns médicos e permanecer semi-tratados por toda a vida, mas com mais freqüência, mesmo que por muitos anos não se façam sentir, um processo inflamatório se desenvolve na (s) raiz (s). Se o dente tiver 2 a 3 raízes, o processo infeccioso será limitado ao ápice da raiz, onde o canal problemático está localizado. Posso dizer que no sétimo dente superior há, às vezes, 4 canais, mas quando eles “convergem” no principal risco de problemas para o futuro, há pouco, mas existe, se você pular o adicional.
Portanto, é melhor encontrá-lo e ir a uma clínica onde existe um microscópio e outros equipamentos para tratamento endodôntico profissional. Definitivamente, essa não é uma opção de orçamento, pois os erros dos médicos anteriores são punidos pelos "novos" dentistas com o rublo (pacientes). Aqui estamos falando de retratamento, para que os médicos que assumem um risco de trabalho tão difícil de várias maneiras.
A opção de orçamento é deixá-lo como está, mas sobre os possíveis riscos para o futuro na forma de cistos, granulomas, fístulas e, por trás deles, os possíveis fluxos, que já mencionei.
Olá Há dois anos, ela tratou um dente, removeu um nervo e encheu tudo. Depois disso, um inchaço apareceu na gengiva acima do dente. Ela estava doente com pressão, mas não muito. E eu também estava preocupado, mas não o suficiente. Dois anos se passaram e, de repente, o inchaço adoeceu para que minha mãe não chorasse! Eu não consigo dormir! Fui à clínica, o médico me disse que ela tinha o mesmo problema, que era a vida toda, e a única coisa que me ajudaria era tentar não ficar com frio, mas beber analgésicos e enxaguar com refrigerante em caso de dor intensa. O médico disse que se ela me perfurar um dente tratado, isso só piorará, porque o dente é selado com alta qualidade! Oh meu Deus, posso realmente tolerar essa inflamação a vida toda e, no meu caso, nada pode ser feito? Ajuda!
Olá Tenho certeza de que o dente foi mal tratado. O tratamento qualitativo não provoca edema e dor durante a palpação das gengivas, e o que você descreve determina com precisão a exacerbação da periodontite crônica, cujo mecanismo de gatilho é a atividade microbiana no sistema do canal e fora da (s) raiz (s). Obviamente, nem todos os canais podem causar essa atividade. Um canal com um "gato em um puxão" é suficiente.
Admito que, de acordo com a imagem que o médico assistiu, tudo estava visualmente normal. Mas há uma enorme mas. Freqüentemente, um médico comum (especialmente no setor público) não encontra outro no tratamento de canais. Por exemplo, em 6 dentes (especialmente os superiores), geralmente existem 4 canais (raramente - até 5 canais). Vários dentistas nem sabem disso. Acostumamo-nos ao fato de haver 3 canais e eles não soprarem no bigode. E estatísticas sobre 6 dentes superiores, por exemplo: 40% - três canais e 60% - quatro. Alguns dentistas têm outras estatísticas: 80% - 4 canais e 20% - três. Isso significa que em outros dentes geralmente há um canal adicional: no 5 dente superior (não um, mas mais frequentemente dois), no sétimo dente superior (geralmente 4), nos incisivos inferiores (geralmente dois canais). Os médicos da velha escola quase sempre não procuram canais adicionais e, na imagem, os canais adicionais que não foram aprovados são sobrepostos aos tratados - eles simplesmente não são visíveis. Acontece que este é um diagnóstico falso.
Eu gostaria de ver sua foto habitual para garantir que o dentista não se incomodasse com a qualidade do tratamento realizado pelos canais e, em seguida (se confirmado), solicite que você tire fotos no visiógrafo para poder "tirar uma foto" através de um computador de 3-4 perspectivas e determinar a causa do edema e da dor é quase sempre encontrada. A maneira mais segura de conhecer os batentes do dentista em termos de canais é uma tomografia computadorizada, mas para os dentes é um diagnóstico muito cortante do ponto de vista financeiro. Embora para muitas pessoas seja importante saber qual é a perspectiva de preservação de um dente, independentemente do preço. Mas essas são as nuances.
E, quanto às respostas do médico, ela "sofre por si mesma" e aconselha a não entrar nos canais, aconteça o que acontecer - essa não é uma abordagem profissional e cotidiana, longe da medicina científica. Obviamente, se você tratar de maneira não profissional como os canais existentes do dente tratado por você e seu médico, é claro que o resultado provavelmente será uma tentativa de suportar dores e inchaços intensos. No entanto, existem muitos bons médicos com capacidade técnica e profissional para fazer tudo de forma qualitativa e sem consequências sérias. Custa, é claro, caro, os especialistas quase sempre trabalham no nível da cidade (isto é, não nas aldeias).
Eu enfatizo mais uma vez que vale a pena começar com o diagnóstico - o processamento e o preenchimento de alta qualidade dos canais não implica exacerbação. Isso não faz sentido. Fotos que você pode enviar por e-mail na seção "Comentários" - eu definitivamente as considerarei de forma abrangente e objetiva (honestamente). Obrigado pela pergunta.
Olá, há 3 anos eu estava tratando os seis primeiros, está tudo bem, mas recentemente ele ficou doente. Não muito, dor dolorosa. Eles tiraram uma foto, descobriu-se que três canais não estavam completamente selados e há mais quatro canais. Eles encontraram o canal 4 na odontologia estadual, limparam e os três restantes limparam, colocaram o remédio e disseram que voltariam em uma semana. Mas o dente doía e doía, em geral não percebia a diferença antes e após o tratamento. A dor é a mesma e não desaparece, eu bebo nurofen infantil, porque amamentação. Por que a dor permaneceu? O médico disse que ela não ficará doente.
Olá Eu acho que durante o tratamento houve erros que provocaram uma exacerbação. De fato, interferir nos canais tratados é uma etapa arriscada que muitas vezes leva a isso. Quanto mais profissional e eficaz for o tratamento endodôntico, menos riscos haverá dor e ainda mais - temperatura, inchaço etc.
Pode haver muitos fatores: ou o médico trabalhou agressivamente com os canais e anti-sépticos, ou o componente infeccioso não foi removido do sistema do canal ou a infecção foi lançada pela raiz; no caso extremo, o "medicamento" está mostrando seus efeitos colaterais ou até para você não vem ".
Não levo em consideração a possibilidade de complicações nos canais, como o dentista lhe disse com confiança que tudo estava em ordem. Eu não acho que o médico enganaria deliberadamente.
Posso dizer brevemente por que a dor permaneceu: distúrbios no trabalho com canais. Isso não significa que a dor permanecerá: geralmente as ações agressivas do médico durante o tratamento dos canais são compensadas e tudo se torna normal.
Você não pergunta, quais são as perspectivas de economizar um dente? Uma imagem com canais prontos ajudaria aqui, mas antes disso você precisa confiar no médico e passar pelo estágio de tratamento anti-inflamatório com o mesmo “medicamento”, embora em uma determinada situação seja possível alterar o médico e a clínica: de estadual para particular.
Boa tarde A situação é aproximadamente a seguinte. Há pouco mais de uma semana, havia uma dor dolorosa na parte superior esquerda da mandíbula, que posteriormente se espalhou para a parte inferior. Eu não conseguia entender o que era, porque a dor não era constante, era dada a diferentes zonas (ou a um dente específico, depois à base da mandíbula, agora tudo acabara uma vez e tudo, depois a uma reação de frio / calor). Além disso, uma sensação estranha apareceu na gengiva superior - não inchou, mas ficou muito sensível. Decidi começar a procurar um problema com um dentista: fui ao meu médico. Ela encontrou um orifício entre os 5 e 6 dentes superiores, disse que poderia haver dores de caminhada por parte dela. Eles foram tratados em duas etapas (retiraram o nervo, limparam os canais, colocaram um selo temporário - após 2 dias, estabeleceram um selo permanente). Enquanto eu andava com um enchimento temporário, as dores diminuíram, mas quando pressionadas / mordiscadas, elas surgiram novamente. No dia em que eles colocaram um selo permanente, nada doeu. Eles fizeram um raio-x repetido de acordo com o resultado do trabalho - está tudo bem (meu olho não percebeu nada de criminoso, o médico também disse que estava tudo bem). E aqui começa a diversão.
Após a convergência da anestesia, o dente começou a doer - atribuído às “dores pós-preenchimento” conhecidas por mim. Mas no dia seguinte surgiram dúvidas. A anestesia funcionou por tanto tempo, ou algo assim - a dor tornou-se idêntica à original. Mais uma vez, "caminhar" por todo o lado esquerdo da mandíbula, não constante, impulsivo - não machuca nada, mas como vai morder aqueles que se deitam e morrem. Não dou para dentes de concreto, mas literalmente sinto como o dente curado "pulsa".É muito difícil - roçar / pressionar o dente traz um novo "lampejo" de dor, embora pareça ser mais fácil do que no primeiro dia. Mas tudo isso não parece além do escopo das “dores pós-preenchimento”, com exceção de duas coisas muito embaraçosas: cinco curadas (havia um buraco nele, o próximo não é afetado) e os dentes ao seu redor estão dormentes, eu os sinto de alguma forma estranhos até agora, a anestesia não passou (apesar de tudo pulsar com dor), e a gengiva ao seu redor também está dormente. Aqui está um trocadilho estranho: os dentes e as gengivas estão dormentes, mas eles doem e doem. Visualmente, a própria gengiva é uma cor normal, não inflamada. Dentro dos prazos: 3 dias se passaram desde o momento do tratamento final (eu sei que pode ser muito cedo para entrar em pânico, mas todos os outros dentes que venho tratando nunca tiveram problemas desse tipo). Os analgésicos ajudam, em parte, as diferenças nas sensações de dor entre a primeira e a de hoje - não, ainda mais - começaram a dar ao templo e à área ao redor dos olhos. Estou tentando entender - essas coisas acontecem após o tratamento ou já está acontecendo alguma coisa? Ou seja: vale um pouco mais de paciência ou é hora de tocar o alarme?
Olá Aparentemente, os dentes superiores adjacentes devem ser verificados quanto à presença de uma cavidade cariada oculta. É possível que eles não tenham encontrado um dente ruim. O fato de que esse é o topo é confirmado pela irradiação no templo e na área ao redor dos olhos; portanto, é melhor iniciar a pesquisa a partir daqui. Uma foto deve ser tirada em 4, 5, 6 e talvez até 7 do dente superior na área em que você tratou os canais. Por que é importante tirar uma foto de um dente tratado? Isso ajudará a eliminar os fatos de complicações durante o tratamento dos canais. A comparação e análise de dentes adjacentes certamente esclarecerá a situação real. Você pode tirar fotos e enviá-las para o correio do site (consulte a seção "Comentários"): verificarei com certeza. Se o tempo estiver acabando e a dor não puder ser tolerada, não perca tempo, mas procure outro dentista ou até dois para uma consulta presencial mais precisa e, se encontrar um dente causador, inicie o tratamento imediatamente. Saúde para você!
O nervo dos quatro superiores esquerdos foi removido e um selo temporário foi colocado. O dente doía - eles limparam os canais novamente, colocaram o selo novamente. Eu esperei alguns meses, ainda o dente dói. Faz três semanas que eles colocam um enchimento permanente e os dentes doem. E no dia 7 de novembro eu tenho que ir e montar uma ponte, já que os cinco e os seis foram removidos. O que fazer
Olá Penso que, a princípio, vale a pena avaliar os canais tratados a partir da imagem: se eles foram tratados de boa fé e sem erros, os próximos dentes devem ser avaliados, começando com o exame e terminando com percussão, quebra de mobilidade, etc. Embora não haja 5º e 6º, o exame de outros dentes não pode ser descartado. Só para que o dente não lamente. Se o dente no qual os canais foram selados estiver dolorido, um período tão longo já lança dúvidas sobre as dores pós-preenchimento usuais (a menos que, é claro, uma grande quantidade de material tenha sido retirada da raiz). É por isso que você precisa de um instantâneo. O material no canal também afeta o futuro do dente: quanto mais agressivo, maior a chance de algumas pessoas não se sentirem confortáveis com esse tratamento. Isso não é uma alergia, mas algo semelhante a essa reação. Em princípio, os 4 dentes superiores não são difíceis de tratar: eles quase sempre têm 2 canais, que também são facilmente transitáveis e podem ser preenchidos com facilidade. Conclusão: faz sentido começar examinando uma imagem de 4 dentes para um possível erro do médico ou pequenas imprecisões.
Olá, diga-me, por favor, o que posso ter. O dente à direita, próximo ao canino, foi preparado sob a coroa. Selado o canal, tudo ficou perfeito por uma semana. Absolutamente nenhuma dor. Em seguida, fez a preparação para a inserção do pino. Imediatamente senti algum tipo de explosão, mas não dei importância. Depois disso, um dente doeu tanto neste quanto no próximo.E dói morder, especialmente o próximo a ela embaixo da coroa. Na foto antes do tratamento, estava tudo bem com esse dente. O médico olhou, substituiu o selo temporário, não vê nada "assim". Eu bebo, mas é tudo o mesmo desconforto, especialmente quando como dolorosamente (parece desistir de algo). E, de alguma forma, a parte superior da gengiva dói sobre o dente com uma coroa ao lado. Estou muito preocupada
Olá Se tudo estava perfeito durante a primeira semana após o preenchimento do canal, então claramente na fase de preparação da aba do toco ocorreu alguma complicação. Sua gravidade sem uma imagem é difícil de avaliar. Pode ser qualquer coisa: do superaquecimento do periodonto (queimadura) através das paredes finas da raiz do dente até empurrar o material dentro do canal para além da raiz. Isso acontece em casos raros. De acordo com a sua descrição, parece claramente que o trabalho do médico levou a uma exacerbação. Não existe outro nome para isso: você sente a inflamação do lado da gengiva no nível da projeção da parte superior da raiz do dente tratado na gengiva. O aparecimento de dores pós-preenchimento (ao morder) também indica um processo inflamatório na área periodontal. O que exatamente está errado, sugeriria uma imagem "fresca" do dente. Obrigado pela pergunta.
Olá Há alguns dias, tratei um dente. A frente, em cima, olhou para a numeração - na maioria está registrada como a 22ª. Eu já tinha um selo nele, que caiu alguns meses atrás e ele começou a lamentar um pouco à tarde. Na consulta, verificou-se que era necessário remover o nervo. Perfurado, o nervo removido. Após a remoção, ele sangra muito. O médico, a julgar pelas palavras dela, parou o sangue e selou temporariamente. Eu estava originalmente com um raio-x novo, o médico fez mais dois no processo. Colocamos um selo temporário. Agora o dente não dói, mas com a menor pressão explode com dor aguda. Fui avisado que isso poderia ser. Isso é normal? Depois de amanhã para colocar um selo permanente, o médico disse que ela apenas perfuraria sem anestesia e o colocaria. Estou muito preocupado que tudo seja de alta qualidade e competência (
Olá Você pode avisar o dentista de que há dor após o preenchimento e adiar a consulta 3-4 dias depois, para que não haja desconforto possível com a vibração do boro durante a preparação do dente. Quanto à qualidade do trabalho - é julgado pela imagem e pelo conforto da existência do dente no futuro. Escusado será dizer que a dor ao morder um dente não é a norma, mas também não é uma tragédia se o canal estiver selado qualitativamente na imagem (neste caso, a dor passará rapidamente por si só). Obrigado pela pergunta.
Muito obrigado pela sua resposta. Eu segui o seu conselho e está tudo ótimo)
Ajuda, há 2 semanas 5 dentes doíam. Eles foram despolpados, depois que o dente não parava de doer, toda a metade esquerda doía: tanto na parte superior quanto na inferior. Tirei uma foto panorâmica, mostrei ao segundo médico - as raízes estão bem seladas. Ela voltou ao médico, removeu todo o material de enchimento, limpou tudo (de repente a reação ao material), mas a dor continuou. Estou em ibufen pela segunda semana, não posso beber outra, amamentando. Hoje eu coloquei arsênico por precaução (embora ela tenha certeza de que não havia mais nada lá). O que fazer Realmente excluir?
Olá Eu encontrei repetidamente casos como o seu. Um exame individual para descobrir a causa da dor não pode ser dispensado. Encontrar o motivo quando o paciente está na cadeira do dentista às vezes leva cerca de uma hora. Pessoalmente, primeiro tento encontrar um possível dente “doente”, já que um dente afiado é mais frequentemente provocado por um dente vivo do que por um dente despenteado.
Eu não acho que o médico possa "estragar" o quinto dente, por isso não é tão difícil para o tratamento endodôntico. Além disso, o médico está confiante de que os canais estão bem fechados.Existem duas opções: tente encontrar o dente causador (isso é difícil, pois uma cárie oculta pode estar em qualquer dente que ainda não tenha sido tratado) ou remova todos os materiais do quinto dente e coloque Eugenol (líquido).
Demasiado pressa com a extração do dente nesta situação não vale a pena. Em casos extremos, você pode entrar em contato com outro dentista experiente para obter consultas adicionais (em período integral).
Olá Em 29 de outubro, eu abri os canais no sexto dente superior, coloquei o remédio, um selo temporário e fui designado para encher os canais no dia 7.11. Em 31 de outubro, o dente começou a incomodar, principalmente quando se come comida quente e volta para o quarto da rua. A dor é suave, ondulada, com disseminação para os dentes superiores e inferiores inferiores. 2.11 a dor não diminui, mas se intensifica ao retornar da rua. A dor diminui um pouco, depois de 40-50 minutos, enxaguar com água fria ajuda. Liguei para o médico, ela disse para tomar analgésicos e disse que, provavelmente, outro dente dói, porque Desde então, meu nervo foi sacrificado pela ação do medicamento, embora ainda não tenha sido removido. Diga-me, essas dores são normais e devo procurar outro dentista para encher os canais? Além disso, os canais não são visíveis no raio-X, porque dente no seio maxilar. Eu nem sei como ele será tratado ...
Olá Eu acho que há uma tática errada do médico assistente. Existem várias opções:
1. A pasta para a desvitalização da polpa está instalada incorretamente (longe da polpa, por exemplo);
2. Ou a pasta é colocada no dente, na qual a polpa já está em fase de destruição, portanto, a partir dessa pasta, a supuração apenas se intensifica. Ou seja, com este diagnóstico, ele (pasta) geralmente age negativamente.
É por isso que não vejo a razão no outro dente, mas mais como o início de um processo purulento no dente em que o tratamento foi iniciado. O restante pode ser esclarecido mais especificamente com o médico na cadeira. Eu recomendo fortemente que você visite um dentista o mais rápido possível, a fim de evitar o "fluxo".
Olá. Por favor me ajude. Há um ano, ela protetizou os dentes abaixo: 4º (nervo removido), 5º (guia), 6º (articulado - não há dente embaixo). Em setembro deste ano, a prótese caiu junto com toda a aba. O médico limpou a prótese e recolocou-a simultaneamente com a aba. Há 3 dias, inicialmente havia uma dor tolerável, que agora se transformava em uma dor aguda ao morder e suar profundamente. A dor diminui apenas após tomar Ketorol, que dura de 5 a 6 horas. Foi na consulta com o protético e o dentista. De acordo com as fotos, está tudo bem, tudo está bem na boca e a dor, como era, nunca desaparece sem pílulas. Eu já estou atormentando há 3 dias. Agradecemos antecipadamente.
Olá Não tenho certeza de que a opinião dos médicos atendentes no contexto do seu problema seja a verdade suprema. É necessário verificar cuidadosamente as imagens dentárias, a fim de identificar possíveis erros no tratamento dos canais, bem como a presença de um processo inflamatório na raiz. A inflamação na raiz do dente pode se desenvolver como resultado da sobrecarga da prótese, talvez, em geral, já estamos falando sobre a superestimação dos dentes protéticos. Gostaria que você fornecesse imagens dentárias na área do problema (envie para o correio indicado na seção "Comentários") e, em seguida, já é possível tirar conclusões. Obrigado pela pergunta.
Olá Há uma semana, eles removeram meus nervos no sexto dente inferior, limparam os canais e selaram temporariamente. E então o dente começou a doer quando pressionado, e mesmo quando tocou. Embora se eu não o tocar, ele não me incomoda muito, ele apenas me cheira um pouco. O médico prescreveu uma lavagem com sal. Hoje eu tive que colocar um selo permanente, mas não o fiz, porque o dente dói. Olhei para a foto, disse que o material foi um pouco além do canal, mas não é assustador, tudo vai passar em uma semana. Ela prescreveu um RAY de 5 sessões e enxaguou com sal. Uma semana depois, na recepção.Diga-me se isso está correto, porque, pelo que entendi, a dor durante a pressão deve diminuir, mas não diminuirá nem um pouco. O que eu faço? Obrigada
Olá Ao remover qualquer material além do ápice da raiz da dor, eles passam rapidamente. De um modo geral, de acordo com o protocolo de tratamento endodôntico, nenhum material pode ser removido do ápice da raiz, mas isso geralmente acontece. Somente as chamadas pastas "eugenólicas" durante a remoção não causam complicações (na maioria das vezes), mas elas se dissolvem silenciosamente, mas com epóxis (as mais populares agora) é mais complicado. Esses materiais não possuem propriedades anti-inflamatórias, anestésicas e anti-sépticas; sua consistência é muito mais difícil em contraste com os materiais dos canais com Eugenol. Portanto, os epóxis são considerados pelo corpo como um corpo estranho mais afiado. No entanto, isso não significa que você não deva trabalhar com esse material - é considerado o melhor se as mãos do médico estiverem afiadas, ou seja, existe um nível adequado de profissionalismo. Eu acho que sua reação pós-preenchimento, que não está diminuindo, é o resultado de uma combinação não tão bem-sucedida (material epóxi + alguma inexperiência do médico).
Eu gostaria de analisar uma imagem do dente e entender como tudo está ruim em termos dessa complicação. Estou certo de que o material por trás do ápice "brilha com seu brilho doentio" na imagem. Se desejar, envie as fotos para o correio especificado na seção "Comentários". Então eu posso aconselhá-lo mais especificamente sobre o que fazer.
Sem uma imagem, posso apenas supor que você deva trocar de médico, remover o material fora da raiz e selar os canais para um estreitamento fisiológico, conforme o esperado.
Olá Há uma semana, eles colocaram arsênico no 7-ke inferior, dois dias depois removeram o nervo e colocaram o remédio - como que para tratar as gengivas irritadas e colocar um enchimento temporário. Os canais foram limpos apenas, não selados. Por dois dias tudo correu bem, no terceiro dia o dente começou a doer e, em seguida, um pesadelo começou - toda a mandíbula ao lado do dente dói, o queixo, a orelha, o pescoço. Para ir ao hospital apenas à noite, não dá certo antes. Diga-me, isso é normal? O que poderia doer tanto? Na aparência, a gengiva não inchava, não corava, e até me dói engolir. Agradecemos antecipadamente!
Olá O dentista pode administrar uma droga que agora irrita a gengiva ou o tecido dentário localizado próximo ao topo das raízes. Se a princípio tudo estava bem após a instalação da pasta de arsênico, o médico não se confundia com um dente estragado. Outra pergunta: por que o tratamento dos canais do 7º dente piorou a situação? É evidente que vale a pena verificar a qualidade do tratamento dos canais, pois existem algumas violações graves. Até agora, de acordo com seus dados, não posso dizer mais nada.
Obrigado pela ajuda!
Olá Eu realmente preciso do seu conselho! Tudo começou há 6 meses. Fui ao dentista em uma clínica particular para um exame de rotina. Eles disseram que é necessário trocar o selo nos seis no canto inferior direito. O buraco é profundo, muito próximo ao nervo, mas decidiu não removê-lo. A vedação foi trocada e imediatamente o dente começou a doer ao morder alimentos sólidos, reagindo um pouco ao frio e ao calor. O médico disse que passaria, mas nada aconteceu ... Tudo estava em ordem nas fotos, tentei comer no lado esquerdo e aguentei por seis meses. Há algumas semanas, o dente começou a chorar à noite e reagiu mais fortemente às mudanças de temperatura. Eu fui para outra clínica, tirei o nervo. Um dos três canais era muito sangrento e o nervo era edemaciado. Eles colocaram um remédio e um selo temporário. O dente começou a doer à noite, gemendo e depois puxando. Eu bebi analgésicos. De manhã, a orelha e a garganta doíam, os gânglios linfáticos aumentavam ... À noite, a dor se intensificou novamente e começou a puxar e atirar. Eu fui ao médico. Eles abriram um dente e daquele terceiro canal fluiu ... O edema não passou.Eles lavaram os canais, está tudo bem na imagem. O médico me disse para beber Nimesil e, se ela ficar muito doente de novo, retire o próprio enchimento, retire o algodão (os canais estão vazios) e enxágue com uma solução de sal, refrigerante e iodo. O dente deixou de doer completamente, mas exatamente por um dia. Acordei à noite de dor, analgésicos não ajudam. Provavelmente vou abrir o dente, embora realmente não queira ... Diga-me, o tratamento está sendo realizado corretamente? E o que devo fazer? Obrigada
Olá Eu acho que você está em uma série de circunstâncias desagradáveis. Em primeiro lugar, é possível que não houvesse necessidade urgente de trocar o selo. Bem, suponha que o selo ainda precise ser trocado. Além disso, foram cometidos erros em relação ao tratamento do dente no princípio do "preenchimento de cárie". Talvez houvesse superaquecimento da polpa ou queimadura química, violando a técnica de trabalhar com material fotopolimerizável, como resultado, a polpa dentro dos canais foi danificada. A seguir, você descreve o tratamento dos canais do dente. E, aparentemente, após a remoção do "nervo" dos canais (o diagnóstico de pulpite), após o início do tratamento, por algum motivo, a periodontite começou a se formar gradualmente. Sejam erros durante o manejo da pulpite ou se o médico foi inicialmente confrontado com periodontite - em qualquer caso, há uma sensação de uma opção de tratamento muito rotineira: por exemplo, no momento em que você foi solicitado a "esticar o algodão e enxaguar com refrigerante e sal, se necessário".
Se durante os próximos dias você estiver ainda mais convencido do fato de que o tratamento não está indo bem, mude imediatamente o dentista.
Caro Svyatoslav, ajude com conselhos, é isso: um ano atrás, a borda do dente caiu, no canto inferior direito, último, mas um. Ele foi tratado e colocou um selo, mas depois de um tempo o selo caiu e foi decidido remover o nervo com arsênico. Depois de remover o nervo, estava tudo bem, nada incomodou, mas vários meses se passaram e ontem, após uma longa estadia no frio, meu dente começou a doer bastante (entrei em uma sala quente e comecei a beber chá). O que pode ser um problema e como um dente pode ser tratado? Eu também gostaria de perguntar se isso é considerado um erro médico, e o médico que removeu o nervo deve curar o dente de graça? Muito obrigado!
Olá É difícil dizer algo específico de acordo com seus sintomas. Como regra geral, definitivamente não é o dente no qual o "nervo" foi removido que dói com o frio, mesmo que o tratamento dos canais não fosse totalmente perfeito. Mas isso é verdade apenas quando se trata do efeito direto de um estímulo frio (então, em quase 100% dos casos, um dente que ainda não foi tratado nos canais dói). Se estamos falando sobre o fato de o dente ficar doente após uma “longa permanência no frio”, é perfeitamente possível assumir um dente tratado nos canais, que apresenta sérios erros durante o trabalho do dentista. Ou seja, podemos dizer que essa é uma exacerbação da periodontite crônica. Isso às vezes acontece.
Mas, novamente, a descrição de seus sintomas não é suficiente para reconhecer o trabalho como um erro médico. Eu faria o seguinte: colocá-lo em uma cadeira e na área onde o dente problemático está supostamente localizado, verificaria todos os vizinhos em busca de cárie oculta e, se necessário, o diagnosticaria com água fria. Se não houver detalhes específicos, eu definitivamente encaminhá-lo-ei a uma imagem de um dente tratado nos canais para identificar um erro médico (endodontia de baixa qualidade). Depois de analisar a imagem, pode-se falar se o dente deve ou não ser tratado. Em princípio, é possível tirar imediatamente uma foto do dente, pois os dentes vizinhos serão visíveis, e a presença ou ausência de uma cárie nesses dentes ainda pode ser observada na imagem de suas partes coronais. Somente após o diagnóstico adequado é possível planejar um tratamento adicional.
Olá. Por favor me ajude. Um ano depois, um recheio caiu e meu dente ficou doente.Hoje fui ao médico e os canais foram limpos novamente, a dor foi sentida mesmo através de uma injeção anestésica. Eles colocam um selo temporário e prescrevem injeções. Mas, no mesmo dia, depois de visitar o dentista, comecei a ter dores que nem mesmo analgésicos aliviam. Poder-se-ia dizer que as dores não são constantes, periódicas, mas frequentes. Começaria e, após 5 minutos, deixaria de funcionar e, provavelmente, a cada meia hora. Agora, fiquei acordado a noite toda, porque quando vou dormir, a dor começa imediatamente. Levanto-me, pareço e, tipo, passo por um tempo e depois novamente. Por favor, escreva com o que pode estar conectado? Agradecemos antecipadamente a sua resposta.
Olá Eu acho que no seu caso vale a pena conferir dois pontos:
1. Possíveis erros cometidos pelo médico na fase de retratamento do canal;
2. Determine se há algum problema no dente adjacente.
Para diagnosticar corretamente, você precisará de uma imagem do dente tratado com os dentes adjacentes. Além da imagem, os sinais que confirmam o diagnóstico podem ser: exame externo dos dentes, sondagem, percussão, palpação das gengivas na projeção das pontas das raízes dos dentes, etc. Por isso, na busca por erros do dentista na fase do tratamento, ou em geral, de outro dente em que ocorreu o processo inflamatório, é importante realizar diretamente na recepção. Sem medidas de diagnóstico abrangentes no seu caso clínico, a determinação da causa raiz da dor é problemática.
Olá, eu imploro, ajuda. Eu não posso, em 3 de junho os dentes do siso foram removidos e depois que minha têmpora direita começou a doer - fortes dores agudas. Os médicos disseram que isso passará depois de um tempo, mas a dor não desapareceu, mas se intensificou. Eles fizeram um raio-x, disseram ter pulpite e limparam os canais de 1 dente. A dor desapareceu imediatamente, mas após 20 dias recomeçou, mas ainda mais forte. Agora, tomei apenas 2 analginas e estou escrevendo para você, porque os médicos não sabem qual é o motivo, mas simplesmente não consigo. Ele diz que removeu todos os nervos, tudo está limpo e não entende. Um dentista, tipo, experiente, mas não sabe o que fazer. Dor intensa e aguda, é impossível suportar, onde está o templo certo.
Olá Eu acho que você deve tirar uma foto panorâmica, já que em uma situação tão difícil que você não consegue adivinhar os grãos de café. Como alternativa, você pode tentar diagnosticar dentes controversos em uma visografia. Vale a pena começar com os dentes inferiores direito, depois de examiná-los (na cadeira do dentista) para possíveis cavidades ocultas. O fato de que após a remoção do “nervo” o dente não doeu por 20 dias, sugere que também há uma alta probabilidade de outro dente de pulpite. Se o dente causador não puder ser encontrado após o diagnóstico cuidadoso das imagens, o próximo passo é uma visita a um neurologista (neurologista) para verificar neuralgia ou neurite. Até agora, não posso dizer mais nada sobre o seu caso.
Ao remover o nervo no terceiro dente, um material de preenchimento foi removido na parte inferior do ápice radicular. Um mês se passou, o dente não dói, mas pulsa perto da raiz. Foi tratado por eletroforese, bebeu o antibiótico Tsifran ST. Ondulação não passa. Devo colocar uma coroa com uma aba neste dente? Perto do dente é bom, não há mais dentes na mandíbula inferior. Haverá uma ponte. Receio que, quando removerem esse dente, o bom também se soltar. Eu fui para outra clínica, eles não começaram a tratar. Esse dente pode ser curado ou é melhor removê-lo? Peço que responda.
Olá Para responder à sua pergunta, preciso analisar uma imagem da raiz do dente (você pode enviá-la para o correio do site). A remoção de material no ápice da raiz é uma complicação bastante desagradável após o tratamento do canal, e na maioria das vezes uma grande quantidade de material fora da raiz é ruim.Um dente vizinho pode ser estimado a partir da imagem: talvez seja importante prepará-lo antes da prótese, é possível que haja uma razão para sua dor. Portanto, não pretendo fazer previsões sem uma imagem dos dentes a partir da descrição fornecida, pois a ajuda será inútil ou até prejudicial.
Boa noite Por favor me ajude a descobrir. Em outubro, ela procurou o dentista para verificar se havia dois dentes, 6 e 7 no canto inferior direito, cárie e os preenchimentos foram trocados. No dia seguinte, o sexto dente doeu, removeu o preenchimento e removeu os nervos, e novamente a dor! Eles abriram novamente, encontraram um canal oculto, contaram um total de 5, tratados (eu pensei que meus olhos se arrastariam para fora das sensações). Bem, eles fizeram tudo, deixados abertos, lavados com refrigerante + sal + iodo. Depois eles encheram os canais e colocaram um selo temporário. E então a dor recomeçou, bebeu analgésicos, não ajudou. Eles abriram um dente, andaram por cerca de três semanas com algodão e enxaguaram, ele parou de doer. Bem, quando vim colocar um selo permanente, tudo correu bem, em princípio, mas quando o médico o lavou com água fria, houve momentos dolorosos e bastante fortes, mas nada mais. Colocamos um selo e o tempo passou. E depois de 3 semanas a dor voltou a aparecer! A médica tirou a foto, disse que era um canal muito estreito, ela tentou levar a pasta até o fim e tudo parecia estar bem. Agora ela me ordenou que bebesse Nise 3 vezes ao dia por 5 dias. Diga-me, por favor, o tratamento está ocorrendo corretamente ou é possível que os dentes vizinhos doem? Estou ficando louco de dor e pílulas em breve! Muito obrigado!
Olá De um dente frio, mesmo um dente morto mal tratado não responde. É altamente provável que esta seja uma reação dolorosa de um dente vivo adjacente. Confunde o número de canais nos 6 dentes inferiores: na maioria das vezes existem 3 canais, um pouco menos frequentemente - quatro. E cinco ou mais canais (ramificações dos principais) podem ser encontrados usando um microscópio, mas o método de tratamento com soda, sal e iodo com canais abertos em seu nível (antigo) não é muito combinado ao tratamento endodôntico sob um microscópio (abordagem moderna), no qual Não coloque um "velo" no dente. Portanto, é um pouco duvidoso com essa descrição do tratamento que o canal 5 foi encontrado. É por isso que gostaria de analisar a imagem do dente tratado, a fim de tirar mais conclusões e julgar possíveis erros no tratamento e complicações (a imagem pode ser enviada para o correio do site). Muitas vezes, podem ser detectados erros na imagem, e imagens de dente em diferentes projeções (em 2-3) são especialmente úteis para o diagnóstico.
Olá, Svyatoslav Gennadievich. Em 29 de dezembro, no top 4, o médico limpou o canal e imediatamente colocou um selo de fotopolímero. Agora, esse dente dói quando a pressão sobre ele é um alimento sólido (dói morder). Diga-me, isso é normal e quanto tempo vai doer? Obrigado pela resposta.
Olá A maioria dos dentistas acredita que isso pode estar dentro dos limites normais se não forem cometidos erros graves durante o tratamento da cárie dentária (superaquecimento do dente, abertura acidental da polpa, etc.). Além disso, geralmente não é possível entender imediatamente se um erro foi cometido. Portanto, quando se trata de sensibilidade pós-enchimento, a dor ao morder deve desaparecer dentro de 1-2 semanas. Todos os dias a dor ao morder deve diminuir. Outros sintomas não devem ser normais. Se durante esse período piorar ou aparecerem sintomas mais graves, consulte um dentista imediatamente.
Olá Um dente morto ficou recentemente doente (dor quando tocada). Na odontologia, uma foto foi tirada - verificou-se que um canal não estava completamente selado. Tratei esse dente em 2013.
Ele foi tratado novamente, com apenas um canal havia um problema - o médico disse por muito tempo que o líquido (?) Estava saindo dele. No final, ela disse que colocaria um selo e é isso.Alguns dias atrás (uma semana depois), o dente começou a doer novamente, novamente se tocado por baixo. Por alguma razão, isso acontece apenas depois de comer. Nenhuma foto foi tirada no final do tratamento, apenas no processo.
Diga-me, o dentista poderia deixar o canal vazio? Se não, por favor me diga a causa da dor. Atenciosamente
Olá É bastante razoável supor que o dentista não possa lidar com esse canal problemático - daí a recaída. Outras razões podem ser esclarecidas apenas com a ajuda de uma foto de controle. Se a dor não passou, existem certas razões para isso (e provavelmente nos canais). Vale a pena analisá-los e planejar algo já baseado em diagnósticos: retratamento ou apenas esperar um pouco antes de passar a sensibilidade pós-preenchimento.
Muito obrigado!
Recentemente, escrevi sobre um dente que doía ao clicar nele, e por 10 dias, e um belo dia, ele parou de doer. Mas da próxima vez vou ao dentista, a quem visitei o tempo todo. Meus dentes nunca doíam após o tratamento (fui tratado por um dentista particular a quem fui por 10 anos). A última vez foi tratada em uma clínica estadual. Eles pegaram, é claro, de forma barata, mas provavelmente o médico cometeu alguns erros, já que o dente doeu outros dez dias após o preenchimento do canal. Agora, graças a Deus, nada dói e não dói morder. Eu não sabia que era tão difícil tratar um dente.
No início de dezembro, os dentes da frente doíam, voltaram-se para a clínica. Eles abriram o canal, limparam e enviaram para o raio-x. Na recepção, uma semana depois, ao mesmo tempo, escreveram Tsifran e enxaguavam com refrigerante e sal. A dor continuou. Depois de uma semana, eles limparam, removeram o nervo, colocaram o remédio e o enviaram novamente para raio-x. Depois de uma semana, eles limparam e selaram, enquanto a dor não parava, todo o lado direito começou a doer. O dente tratado dói muito, especialmente quando tocado logo acima do dente, começou a cambalear. As dores são infernais, não consigo dormir à noite, analgésicos não ajudam mais. Ao mesmo tempo, o médico respondeu à minha pergunta o que fazer, não há nada a machucar, você precisa de um neurologista. O neurologista receitou alguns comprimidos para beber por 3 semanas, sem decifrar nada.
Pelo segundo mês desse tormento, o que devo fazer? Mais 3 semanas para serem tratadas, sem saber o quê, o que e como? Diga-me o que fazer?
Olá De acordo com a sua descrição, existe o medo de que o médico trabalhe de acordo com o método rotineiro de tratamento da doença periodontal, o que não garante a preservação do dente. Quando, na fase do tratamento, há tantos sinais de uma manifestação sempre nova de exacerbação purulenta, não há necessidade de falar sobre a qualidade do trabalho. O dentista pode tentar mudar a responsabilidade para outro especialista, mas sua saúde é alguma coisa. Tenho certeza de que é urgente mudar de médico e obter outra consulta presencial especializada para o seu caso: deve haver todas as imagens do dente antes do tratamento, no estágio e depois (se feito). Penso que salvar o dente já é impossível sem um método cirúrgico conservador - a ressecção do ápice da raiz, mas a palavra final é para o dentista que "desemaranhará" o trabalho do anterior. É muito cedo para tirar conclusões, mas você definitivamente não deve se desesperar: tudo pode acontecer, porque existem diferentes nuances no trabalho e às vezes você pode facilmente sair de uma situação difícil com uma abordagem profissional e conhecimento do assunto.
Eles colocaram uma coroa no meu dente há um ano e, quando toco o dente, tenho sensações desagradáveis, como se o nervo não tivesse sido removido. Mas o médico olhou para tudo, agora colocamos o remédio, mas até agora sem alterações. O que há com um dente?
Olá Para responder à sua pergunta, você precisa de pelo menos uma foto do dente (antes, durante e após o tratamento). Pelo menos uma dessas imagens para entender que tipo de diagnóstico apareceu no seu caso clínico.E só posso esboçar as suposições:
1. O médico não removeu o "nervo", mas ao mesmo tempo preparou o dente vivo sob a coroa tão mal que, no final, a inflamação da polpa começou;
2. O médico removeu o "nervo", mas selou mal os canais;
3. O médico removeu o "nervo" apenas parcialmente e mal processou os canais;
4. O dentista pode cometer vários erros no canal (interromper a ferramenta, perfurar a parede, criar um canal falso, remover o material além do ápice da raiz, etc.);
5. Há um ano, o processo inflamatório no ápice da raiz estava ausente.
Portanto, como você vê, sem um instantâneo, só pode haver suposições. E quanto mais imagens forem fornecidas para análise - com mais precisão eu posso dizer o quão ruim tudo está, mas por enquanto só posso confiar no médico, que, como você diz, “coloca o remédio”.
Olá. Cerca de três semanas atrás, ela começou a tratar os sete inferiores à direita. Eles colocaram o remédio duas vezes - o dente estava bom. Há uma semana, os canais estavam cheios. A anestesia não foi realizada. Eles fecharam o enchimento temporário, o dente doeu imediatamente. E, literalmente, depois de 15 minutos, senti uma dormência nos lábios, que desceram até o queixo. No telefone, o médico disse que está tudo bem - tudo vai passar. Mas um dia depois, o linfonodo sob a mandíbula começou a doer deste lado, depois a dor começou a ser causada na área da orelha e da têmpora, outros dentes estavam ganindo. Hoje fui ao médico, tirei uma foto. Como resultado: “Bem, sim, o material de enchimento foi além da raiz do dente. Mas agora ele nunca vai te inflamar, tudo é feito bem. Claro, você pode ir a outro médico e eles podem pedir para remover tudo isso, mas será um trauma ainda maior para o nervo e eu não o recomendaria. Enquanto isso, beba ibuprofeno e aqueça o queixo. Quando tudo se acalma, em algumas semanas chega para colocar um selo permanente. Tudo vai passar.
Para ser sincero, estou mais preocupado com o fato de minha cabeça doer, esmagar meu uísque. Por favor, informe o que fazer?
Olá Eu acho que uma resposta diferente não deveria ser esperada de um médico cujo trabalho levou a uma complicação - remoção do material de preenchimento além da raiz, o que, por sua vez, trouxe consequências negativas: de uma dor intensa de natureza irradiante à dormência. Existe o risco de você ter parcialmente preenchido o canal mandibular (parte do material de preenchimento nele penetrado). As fotos do dente tratado ajudariam a avaliar a gravidade da situação - você pode enviá-las para o correio do site, comentarei. É possível que nem tudo seja tão ruim.
Para aconselhar o que exatamente fazer, essas mesmas fotos são necessárias. Se o material de preenchimento estiver no canal mandibular, você precisará procurar ajuda na cirurgia maxilofacial. Se não houver muito material no topo, talvez seja necessário apenas tratamento fisioterapêutico. A decisão final é com o especialista dental independente. Definitivamente, não vale a pena procurar aconselhamento do seu dentista em tal situação, pois será difícil para ele avaliar objetivamente seu próprio trabalho.
Olá, olhe, por favor, tenho perfuração lateral? O dente não dói, mas reage à pressão e como um estranho. 12 dias se passaram. Obrigada (O link é visível apenas para o médico).
Olá Elena! Analisei sua foto: sim, esta é a perfuração da parede no local onde a parte coronal passa para a raiz. Não é a pior perfuração, na verdade, mas o incômodo é que os pinos de guta-percha estão "carregados" decentemente. Se você forneceu essa imagem como controle ou, em outras palavras, a final, o canal ainda não foi passado: o médico tomou essa perfuração como canal - decentemente foi tão longe do acesso real aos principais canais.
Se o canal não passou, é muito ruim e se os pinos da perfuração não foram removidos (isso é tecnicamente simples) e a saída não foi fechada com um orifício, isso é muito ruim.O prognóstico mais provável é a perda dentária devido a uma exacerbação do processo crônico.
Se o médico não fez nada para interromper essa complicação após essa imagem, o tratamento pode ser considerado malsucedido. Mesmo que as dores desapareçam, uma exacerbação purulenta está chegando, ou simplesmente haverá um cisto no topo das raízes do dente ou na área da bifurcação das raízes.
Obrigada Hoje é assim. O médico diz que o material acabou de atingir a gengiva. Estou muito atrasado para tratar, remover? Ou procure outro médico para refazer? 14 dias se passaram.
Esta é uma pergunta difícil. Não acho que os últimos 14 dias sejam fortemente influenciados aqui: outra pergunta é se você encontrará um profissional que assumirá esse trabalho ingrato. Talvez isso leve à perspectiva de preservação do dente por muitos anos, mas isso é muito trabalhoso. Ainda assim, vale a pena tentar. Nesse caso, você precisa procurar outro médico sem ambiguidade, pois é improvável que o médico anterior o ajude.
Suas suposições estão muito próximas da verdade. Era impossível entrar nos canais, era uma questão de mumificação (eles costumavam fazer isso comigo às vezes, não havia problemas) e, em seguida, o resultado eram 2 canais "selados". Eu fui a mais dois médicos. Diz-se (de acordo com uma tomografia computadorizada feita antes do tratamento) que inicialmente era possível não tratar, porque a cavidade cariosa ficou baixa, quase até a raiz, e isso já é inútil de tratar. Outro é levado para tentar. Ele encontrou no CT outro canal 4. Seu primeiro médico não considerou nada. Enquanto isso, o dente se acalmou, não dói nem mesmo pressionar. Opiniões muito diferentes, nem sei o que fazer.
Olá É difícil tratar esses dentes, mas é possível. Se o médico é realmente um profissional, você deve confiar. Este é um procedimento caro, mas se você conseguir salvar um dente tão complexo - será maravilhoso. Eu acho que você deve pesar os prós e os contras e depois tomar uma decisão. Tentar economizar, é claro, é preferível, mas o mais provável é que o dentista não dê uma garantia para o tratamento de um dente mumificado.
Diga-me, por favor, ontem eu tive um dente cheio de periodontite sem anestesia, primeiro o canal estava um pouco dolorido, depois ela verificou se o canal havia desaparecido completamente - um desapareceu completamente e no segundo eu senti uma dor aguda ao passar. O dentista disse que havia pus e logo surgiria uma fístula. Essa dor é possível com a inflamação das raízes? Ou ainda é perfuração? Os canais passaram por um endomotor. AINEs, metronidazol e amoxicilina foram prescritos.
Olá Bem, sem anestesia, em princípio, é doloroso passar pelos canais, embora o próprio dentista decida a questão: fazer anestesia ou não, pois o fato de não haver polpa viva permite tratar sem alívio da dor. Empurrar a serragem e o anti-séptico durante o tratamento para mais perto do ápice da raiz pode causar dor ainda mais intensa. Tudo depende da sensibilidade. Com a perfuração, a dor é aguda e ocorre sangramento do canal. É difícil dizê-lo à revelia: foi ou não. Aqui você pode acompanhar pelas figuras, mas precisa de diagnóstico (com pinos guta-percha) ou controle, onde existe uma opção para visualizar a qualidade do tratamento do canal. Se desejar, você pode enviá-los para o correio do site, comentarei.
Boa tarde Ajuda, por favor, não há forças para suportar. Cerca de 2 meses atrás, começou a dor intensa, a mandíbula superior à esquerda. Especialmente depois de caminhar. A dor está ficando insuportável. Dor maçante à noite. Suspeita de 6 ou 7 dentes. Ambas são tratadas e mantêm-se muito firmes, com frequência a comida fica presa entre elas e a gengiva. O médico sugeriu que ainda estava no 8º dente. Abri o selo, limpei os canais, saí por uma semana com remédios e um selo temporário. Na segunda visita, ela novamente limpou os canais e novamente um selo temporário. Na terceira visita, limpeza e enchimento permanente novamente.Tudo ficou bom. Uma semana se passou desde a última visita e hoje, depois dessa caminhada, esses 8 pacientes estavam insuportavelmente doentes. Dor, como antes, depois de voltar do frio ao calor. Muito forte Não toque no dente, principalmente na mastigação e nas superfícies internas. A questão é complicada pelo fato de eu ser uma mãe que amamenta e limitada no uso de drogas. O que fazer depois?
Olá Uma pergunta difícil: se a dor desapareceu por uma semana, então o médico dificilmente se enganava no dente causador e tratava o errado. No entanto, é útil analisar a qualidade do tratamento dos canais de acordo com a imagem - talvez tenham sido cometidos erros. Você pode enviar esta foto para o correio do site, vou comentar.
Boa tarde Eles não tiraram uma foto. Na abertura do 8 dente havia um odor podre. Certamente o dente precisava de tratamento. Vou tentar tirar uma foto e enviar para você.
Ola doutor Eu tenho essa situação: um nervo foi removido em um dente, as lontras do mar foram limpas, tudo estava normal nas fotos. Coloque um selo temporário. No dia seguinte, uma dor muito intensa no dente, não conseguia dormir. Como o médico alertou que os dentes doíam (especialmente considerando que eu tenho canais muito estreitos), decidi aguentar. No dia seguinte, a situação não melhorou - o dente começou a doer ainda mais e também quase não dormiu. De manhã corri para o médico. Ela tirou tudo do meu dente, limpou, parece ... Em geral, houve algumas manipulações que eu não vi. Quando ela enfiou uma agulha em um dos canais, ela soou com dor, sobre a qual eu falei, e em resposta recebeu "nada, acontece". Ela colocou o remédio, disse que, se o dente começar a doer mais, venha e limpe o remédio (caminhe um tempo com um buraco no dente).
Conclusão: o dente começou a doer menos, já consigo dormir. Eu também não posso comer do lado de um dente doente, pois imediatamente a dor aguda e a dor mostraram uma leve coceira e a dor / coceira cede na mandíbula (e coceira - um pouco na orelha, se não parece). O que deveria ser?
Dois dias se passaram desde que o medicamento foi instalado.
Olá Sem uma imagem aqui, como se costuma dizer, só se pode adivinhar os grãos de café. Ou seja, como você colocou corretamente na pergunta, podemos apenas assumir:
1. Nem todos os canais do dente foram passados;
2. A técnica de processamento de canais foi violada (aproximadamente ou ligeiramente);
3. Houve queimadura química periodontal ao trabalhar com um anti-séptico (por exemplo, hipoclorito);
4. Houve uma quebra da ferramenta no canal;
5. Durante a passagem dos canais, houve perfuração da parede dentária.
Etc.
Informações mais precisas podem ser obtidas nas fotos. Se desejar, você pode enviá-las para o correio do site, comentarei.
Olá Há uma semana, um nervo foi removido, um dente foi preenchido, um selo foi colocado. O médico é muito experiente, toda a família vai até ele. Parece que ele limpou bem todos os canais para mim, removeu o nervo, mas o dente ainda dói. Depois de uma semana, como devo estar?
Olá “Parece que ele limpou bem todos os canais para mim” - aqui você precisa entender que não há garantia de que o médico em sua situação clínica funcionou perfeitamente. Que tal encher os próprios canais? Existe a possibilidade de que eles:
1. Selado com a remoção do material no ápice da raiz;
2. Selado até a metade ou até menos (e a infecção permaneceu na parte não selada);
3. Selado com material para o qual você é alérgico ou hipersensível.
O último raramente acontece, mas causa problemas significativos, especialmente em combinação com o primeiro parágrafo.
O problema mais comum após o tratamento endodôntico é a chamada dor pós-preenchimento. Na metade dos casos, não há perigo potencial para o futuro, mas nem todos os pacientes têm força para aguentar de 3-5 dias a 2-3 meses, e isso está errado.
Você não descreveu a natureza da dor - só pode adivinhar e especular, o que eu fiz. A melhor opção é enviar um instantâneo do dente com canais selados para o correio do site, após o que há uma chance de solicitar com precisão suficiente o que está errado com o seu tratamento.
Olá Há dois anos, o médico me curou seis. Segundo ele, o preenchimento ficou muito próximo do nervo, mas ela decidiu não removê-los para deixar o dente vivo. Após o tratamento, o dente doeu por vários meses, mas a dor desapareceu. Em janeiro deste ano, ela foi ao dentista procurar possíveis causas de faringite persistente. E aconteceu que neste dente há uma forte inflamação sob o recheio. O dente foi resgatado com remoção dos nervos e limpeza dos canais. Após o tratamento, houve dor com pressão por 5-7 dias, depois passou. Após 3-4 semanas, o dente começou a doer novamente. Dor ao pressionar e desconcertar um dente. O que poderia ser? Na véspera da exacerbação, comi carne áspera e mastiguei com esforço com este dente em particular. Talvez eu tenha perturbado o dente? O tratamento dentário foi realizado sob controle radiológico. Obrigada
Olá Isso às vezes acontece devido a algumas nuances no tratamento. Por exemplo, ao remover até uma pequena quantidade de material de preenchimento além do ápice da raiz. Não se parece com uma lesão periodontal aguda, pois você acabou de mastigar alimentos ásperos, mas não havia fato de que um osso ou qualquer outra coisa muito dura atingisse seu dente. Ou seja, não houve carga crítica instantânea. Eu acho que algumas pequenas coisas no tratamento foram perdidas ou houve alguns erros, então houve uma “mini-exacerbação”, se assim posso dizer.
Para tomar uma decisão informada sobre outras ações, você precisa de uma imagem de um dente com canais tratados. E sem isso, apenas suposições, e não se pode dizer para o futuro se é perigoso e quanto tempo vai durar. Você pode enviar um instantâneo para o e-mail do site, comentarei.
Após dois recheios, o terceiro dente superior se rompeu, o dente não doeu, mas quando pressionado sob o nariz, doeu. ENT disse que o problema é dental. O dentista, tirando uma foto, disse que o nervo apodreceu. Tirei o nervo sem anestesia, coloquei o remédio. Não houve dor, apenas continuou a doer quando pressionado perto do nariz. Cinco dias depois, o canal foi selado. Quando terminei o preenchimento, ao empurrar o material de enchimento, senti dor no ápice da raiz do dente. Eles tiraram uma foto, o dente está completamente cheio. A nomeação está agendada para cinco dias - para colocar um selo permanente e um alfinete para fixar ainda mais a coroa. No terceiro dia, o dente começou a doer no ápice da raiz, mesmo sem pressão. Ou seja, a dor se intensifica. A médica é muito experiente, ela é tratada há muitos anos, você pode confiar nela, mas colocar um preenchimento permanente e um alfinete em um dente que dói, eu acho, é perigoso. Por favor, informe o que fazer? Obrigada
Olá Obviamente, é mais conveniente colocar um preenchimento permanente ou construções ortopédicas (aba, coroa) apenas em um dente confiável, ou melhor, "calmo". A presença de dinâmica negativa, a julgar pelos sintomas, requer que o dentista analise a situação com as causas exatas da dor. Pessoalmente, eu primeiro verificaria a imagem de um dente com um canal tratado. Se o material não estiver sequer fora da raiz, mesmo em uma quantidade mínima, outras causas serão investigadas, os dentes vizinhos serão verificados quanto a processos cariados ocultos, etc.
Você pode me fornecer um instantâneo através do e-mail do site, e talvez eu possa lhe contar mais detalhadamente.
Olá Há alguns anos, tratei o dente 6 inferior, os nervos foram removidos. Depois de um ano, o selo caiu, não havia tempo para ir ao dentista e, como resultado, fiquei com o dente aberto por cerca de um ano, mas ele não estava doente, em geral, não se incomodou.Agora há uma oportunidade de consultar um dentista - eles diagnosticaram "periodontite fibrosa crônica". Antes do início do tratamento, uma foto foi tirada - o restante do instrumento foi encontrado no canal 4, mas porque o canal acabou sendo muito estreito; O médico disse que o dente pode ser preservado, feito o preenchimento dos três canais de AN plus, Adsel, 2 Seal, Guttasiler plus, Epoxidina (guta-percha, expansão dos canais), sem preenchimento. Eles colocaram um selo temporário e marcaram uma reunião após 5 dias. Nos primeiros 2 dias, o dente foi retirado, mas suportável, apenas à noite. Não tomei analgésicos, pensei que essa era uma condição normal após a anestesia e o dente estava ferido. Mas no dia 3 (hoje), à noite, o dente ficou muito dolorido e eu quero remover o selo temporário, porque ocorre pulsação e a bochecha parece entorpecida. Eu tenho muito medo de que um fluxo apareça. Amanhã quero ligar para o médico para me receber mais cedo, não aguento mais dois dias e tenho medo de complicações. Diga-me, qual é o problema? E como aliviar a dor até a manhã?
Olá Infelizmente, os modernos materiais de preenchimento não são uma panacéia, e o principal papel é desempenhado pelas habilidades profissionais de um médico. De grande importância é a qualidade dos canais de lavagem. O fato de haver um canal no qual existe um fragmento do instrumento possivelmente melhora a dinâmica negativa - portanto, a ondulação e tudo mais. Além disso, a dor pode estar associada não apenas à infecção nos canais e no periodonto, mas também ao trabalho duro do médico nos canais que acabaram indo para o ápice. Para aliviar temporariamente a dor, eles geralmente recorrem a analgésicos, se não houver contra-indicações.
No seu caso, você pode confiar no médico e esperar um pouco, ou imediatamente ir à clínica, onde é possível realizar o tratamento endodôntico ao microscópio. É mais caro, mas mais promissor.
Ola doutor Por favor, ajude com conselhos! Meu problema tem mais de seis meses ((em meados de agosto de 2016, meus dentes estavam cheios (apenas cárie, os canais nunca haviam me tratado antes)) - vários de uma só vez, boro sem resfriamento de água.
Imediatamente após o procedimento, 7 adoeceram no canto superior esquerdo. O médico costurou o selo, disse que passará. Depois drenei outros recheios, substituí-os, colocando cálcio sob eles ... Então, quando o chão do crânio, pescoço e até um pouco do lado oposto já estavam doendo, e eu bebia analgésicos por 2 meses, finalmente puxei o top 7 (não sem com a ajuda deste site, fiz uma pergunta sobre um possível dente causador e disse ao médico - exclua-o; no dia 7 ela não tinha certeza de que era o motivo, mas imediatamente ficou mais fácil depois disso). Já era no começo de outubro ... Desde então eu vou com canais vazios. Eles o excluíram da maneira de viver, então algo foi estabelecido, depois de alguns dias, e depois de 10 a 14 dias. Cada vez que um selo temporário. Após a terceira vez, as pausas aumentaram - o médico trabalha por conta própria, geralmente registra e depois cancela (acontece, 2-3 vezes seguidas). Como resultado, recebi uma consulta cerca de uma vez por mês. Eles foram lavados várias vezes com lincomicina e colocados turunda umedecidos sob o selo.
Há cerca de um mês, eles discutiram a fase final com o preenchimento dos canais, mas todos esses meses sinto desconforto - não consigo mastigar algo sólido ou duro (carne, maçã) deste lado. E o dentista diz que o dente deve estar completamente calmo, então a última vez (cerca de duas semanas atrás) foi revisada - coloque um remédio, feche-o com um enchimento temporário. Este medicamento deu uma desagradável amargura na boca por dois dias, o dente após esse período começou a doer, embora antes disso quase não fosse sentido. Três dias atrás, a dor se intensificou ainda mais, tornou-se doloroso tocar o dente com a língua. Eles tiraram o selo, prescreveram o enxágue e o tamparam com algodão à noite e durante as refeições.
O médico diz: flora anaeróbica. Eu andei assim por dois dias, hoje eles lavaram com lincomicina, novamente colocaram turunda e fecharam com um selo temporário.À noite, o dente doía terrivelmente, até as lágrimas, quando acidentalmente bateu os dentes um contra o outro. O médico chamou: "Escolha o selo, lave." Assim que ela fez, ficou imediatamente mais fácil. Ele diz anaeróbios e precisará ser tratado por vários dias sem selar.
Mas aqui você lê isso sem selar - atavismo e dano. Eles fizeram o raio-X apenas em setembro - tudo é periapical com calma, apenas em um dente abaixo há uma grande cárie sob o selo (eles queriam limpá-lo desde o início, achavam que doía) ...
P.S. Pus não foi a última vez que esteve doente e os canais foram lavados.
Desculpe pela história muito longa ... Eu sou um daqueles que tem medo de mudar alguma coisa com o pensamento: "Não vai piorar" (estou falando sobre mudar de médico). A queima da polpa já é um erro desagradável (eu tento tratar os dentes a tempo, não levando à despolpação, e até o fato de alguns já terem cárie profunda devido ao fato de o meu médico frequentemente cancelar a gravação) é muita dor e, em seguida, alívio da dor. isso amenizou minha raiva do médico. Mas aqui estamos falando de economizar um dente em geral, pelo que entendi? ((
Atualização em 19 de março de 17: Tirei uma foto hoje em outra clínica. Eles disseram que o intervalo periodontal, periodontite foi aumentado, era necessário tratar caro sob um microscópio e lavar tudo bem, o que não me tratou corretamente. É necessário tirar uma imagem tridimensional, disseram eles, antes de tirar o endodonte. Não tirei a foto, vou para o 3D ...
Olá Tudo bem, eles disseram que as táticas do médico estão erradas - em alguns casos, esse tratamento é bem-sucedido, embora exista um grande risco de desenvolver periodontite crônica (bem-estar imaginário). O que exatamente está errado:
1. Exagerado demais com enxaguamentos de canais abertos;
2. Lavagem dos canais com lincomicina (não acho que seja adequado aqui);
3. Terapia "droga" suspeita;
4. Omissão (cancelamento) de admissão e terapia excessivamente rotineira;
5. Parece-me que você começou a ser tratado de pulpite e, como resultado, a periodontite acabou (suposição).
Agora você tem que consertar tudo. Sob o microscópio - é caro, mas confiável.
Obrigado pela resposta. Diga-me, por favor: em outra clínica, limpamos os canais, passamos por vários instrumentos (de mão e algum tipo de borozinho quieto) sob o controle de um localizador de ápice, os lavamos com hipoclorito, usamos barragem de borracha (não havia nada disso na clínica anterior, apenas ferramentas manuais e " enxaguar-cuspir ") ... Mas todo o trabalho foi feito sem um microscópio, sob o microscópio, o médico só olhou para o final por cerca de 20 minutos ou menos e disse - você tem três canais clássicos (para minha pergunta, o que não vejo na tomografia computadorizada? - respondeu que é claro que não) ...
Colocaram cálcio, disseram que encheríamos os canais em duas semanas. Eles têm um fotopolímero de enchimento temporário, mas no recibo apenas têm a linha “tratamento sob o microscópio”. O preço é muito decente (até agora pagou apenas um terço do valor). Todo o tratamento não deve ir ao microscópio? Não é apenas a inspeção-controle da passagem de canais? Ou isso é importante apenas na fase de preenchimento dos próprios canais? Em geral, gostei de tudo na clínica, exceto pelo preço e pelo recibo estranho. Em outras clínicas (é mais fácil monitorar os preços com um furo no dente), manipulações semelhantes são um terço a menos do que nesta clínica ... E os amigos dizem que são criados por dinheiro. Essas ações da equipe são realmente uma farsa?
E mais uma coisa: eles me oferecem para selar os canais com o material "sobre a raiz". Mas eu li que é usado para restaurar áreas danificadas. Eles me oferecem selar completamente os canais. Existe esse método? + Sobre a raiz em outra (na terceira) clínica foi oferecida. Neste, em que os canais foram lavados, guta-percha.
Olá Quanto à TC - com sua ajuda, é bem possível ver três canais, no entanto, o uso de um microscópio aumenta a confiabilidade do tratamento.O orifício não é material constante, para concluir o trabalho nos canais deve-se encher guta-percha de acordo com o método moderno. Você pode escolher entre frio, condensação quente ou Termafil.
Nem todas as etapas do tratamento são realizadas sob um microscópio - acho que o microscópio foi mais importante para o médico na fase de preenchimento, pois a passagem dos canais não foi difícil.
Em uma clínica cara, eles podem oferecer muitos serviços diferentes e nem sempre claramente necessários, mas isso não significa que seja uma farsa. As suspeitas sobre o "dinheiro por dinheiro", é claro, não são infundadas, mas você não deve se desesperar: tenho certeza de que o dente será salvo. Você o tem agora na fase de tratamento da periodontite com um medicamento à base de hidróxido de cálcio?
Obrigado por sua atenção ao meu problema)) Sim, agora eles colocaram cálcio com iodofórmio - como eles disseram, especificamente não para todo o comprimento dos canais, mas até cerca da metade (isso é certo?). Em algum lugar do templo ou perto do dente, às vezes ainda sinto algum desconforto, apesar de já estar tomando cálcio há 10 dias. Estou esperando um salário, então irei selar os canais.
Na clínica onde o pró-buraco foi oferecido, o médico disse que ela só encheria os canais com eles (completamente! Como, guta-percha é apenas "borracha", e o pró-buraco é perfeitamente adaptado ao tecido dentário). E ela intimidou, porque então eles não serão capazes de perfurar os canais, não apenas tomar a guta-percha e retirá-la, então "prepare-se para o fato de que você pode soprar a gengiva mais tarde com seu antigo problema, e então você precisa drenar a gengiva e tomar antibióticos". Eu perguntei - talvez eu não devesse usar esse material, pois "com o meu problema de longa data" o risco de tal resultado aumenta (bem - toda a minha vida trabalha com um abscesso periapical ou remove um dente?). Mas o médico não entendeu minha pergunta ou não queria entender e começou a dizer algo completamente deixado - então eu não parei por aí. Mas não consegui encontrar informações para que o buraco pudesse ser usado para selar completamente os canais. Talvez algum tipo de tecnologia super nova?
Olá Geralmente, materiais temporários para os canais são colocados em toda a extensão, mas no seu caso, isso provavelmente não afetará a qualidade do tratamento. Pode ser difícil entregar esse material de acordo com todas as regras, pois é difícil controlar seu progresso.
Quanto ao Pro Ruta, como material permanente para a obturação dos canais, posso dizer que esse é um "know-how" desconhecido do público em geral ou a iniciativa do médico no nível dos experimentos.
Olá novamente! Obrigado pelas respostas informativas e competentes! Hoje, os canais (guta-percha quente) foram selados para mim - eles não usavam um microscópio, somente quando lavavam os canais que eles procuravam por cerca de cinco minutos e isso é tudo. Na verificação é a linha "tratamento sob o microscópio" com uma quantidade bastante grande. Até onde eu entendi, era uma farsa e a clínica não tinha o direito de levar esse dinheiro para um preenchimento normal, sem microscópio, de canais? (ligaram para o telefone, perguntaram quantos canais preencheriam o 27º dente - ligaram o preço três vezes mais baixo). Também anexo um p-snapshot - eles disseram que está tudo bem, embora o snapshot não seja exatamente de um bom ângulo, as raízes são "esticadas". Avalie, estou confuso com a etapa de uma das raízes [a foto foi enviada para o correio do site].
Eu também queria perguntar quantas fotos de um dente são permitidas para tirar em que período de tempo? E acontece que, desde o outono de 2016, eu já tirei 5 imagens p de filme, 2 em uma visografia e 1 TC ... ((A radiação é considerável, presumivelmente. Além disso, tomei radioiodo há menos de um ano sobre o câncer de tireóide).
Olá Ksenia! Eu acho que não foi por coincidência que Prut estava falando. Sim, essa borda no canal pode ser criada por um canal falso ou perfuração mais ou menos normalmente fechada. De qualquer forma, o dentista enfrentou uma complicação que o médico havia feito antes dele ou a criou em um dos três canais.As bordas das partes superiores das raízes são quase invisíveis, mas próximas de 100%, o que, em termos gerais, é feito qualitativa e profundamente, com um máximo - pode-se encontrar uma falha (com boa qualidade de imagem) para a possível remoção de guta para o ápice. Mas, novamente, não é bem visível na imagem: a imagem é alongada.
Mesmo se eu lhe disser que você foi enganado com um microscópio, você pode apresentar algo a esta clínica? Não há evidências claras - na melhor das hipóteses, apenas suspeitas.
Em relação ao número de disparos, você fez uma pergunta muito séria no contexto de sua doença. Se você não adicionou informações sobre oncologia e tratamento em radiologia, não há dúvidas: esse número de imagens da queda é bastante inofensivo. Tanto quanto sei do meu radiologista, um mês você pode tirar com segurança até 5 imagens de dentes. No entanto, isso é para casos clássicos. Mas você teve um tratamento tão sério. Pela experiência amarga de meus entes queridos, sei que, após um curso de tratamento, o oncologista fixa a dose que o paciente recebeu. Para o futuro: fazer algo sob a forma de imagens e tomografia computadorizada é possível somente após sua consulta. O número exato de imagens, tomografias computadorizadas, etc., que não é contra-indicado por algum tempo, é estabelecido por esse especialista. Isso é muito importante, pois somente ele conhece as especificidades do seu tratamento, as características da "exposição" e o nível de risco possível de outras influências.
Olá. Fui tratado de pulpite no baixo 8-ke há um ano. Mas o canal não estava completamente cheio e o dente doía com períodos todo esse tempo. Eu fui a outro médico, ele disse que existe uma flora patogênica e um canal com uma curvatura, ele não o alcançou e, eventualmente, encheu o medicamento e disse que viria em duas semanas. No 1º dia, o dente doía, e à noite e no segundo dia pulsava o dia inteiro. Escrevi para ele e descrevi todos os sintomas, e a resposta foi que isso é normal, o principal é que não deve haver inchaço. Às vezes, a dor é muito forte, depois libera, a mandíbula não fecha, para não machucar o dente. Não tomo analgésicos, pois há principalmente ibufeno e há problemas com o trato gastrointestinal em contra-indicações.
E agora meu uísque começou a doer, depois sobre a orelha do lado oposto. Em geral, não sei se ele está conectado ao dente ou já está nos nervos. Devo suportar essa dor por 2 semanas, é uma hora normal? Estou pronto para arrebatá-lo para que não me incomode. Mesmo em um raio-x, notei que uma faixa branca passava por um canal dobrado. Eu li que você descobriu que ele entrou em tecidos moles.
Atualização em 28 de março de 17: diga-me, se o médico não conseguiu e limpou o resto por causa da raiz curvada, houve algum motivo para segurar esse dente? Afinal, ele ainda estará sujeito a remoção no futuro com a menor dor? E essa pergunta me incomoda ainda mais, o tempo passará, haverá algo a lamentar, você não prestará atenção, e a que essa falha pode levar?
Olá Os dentes do siso (oitavos) costumam ser problemáticos: canais curvos e intransitáveis com um número desconhecido deles. É por isso que a terapia malsucedida de canais com sintomas graves (dor, inchaço, febre etc.) fala a favor da remoção de um dente do siso. Em mais de 80-90% dos casos, o paciente não perde nada em termos de funcionalidade. Oitavo dente raramente tem valor prático, mas é retido sempre que possível e, em alguns casos, isso não é ruim, por exemplo, para mastigar, se houver um dente antagonista. Se não der certo, eles são removidos para que não haja mais complicações, cujas possíveis consequências em seu significado não são comparáveis à perda de um dente.
Além disso, no seu dente, ao que parece, há uma periodontite no estágio de exacerbação no contexto de vários erros: incluindo a perfuração. Eu recomendaria não se torturar ainda mais. O principal é encontrar um dentista-cirurgião ou cirurgião maxilofacial competente que possa remover profissionalmente um dente que possui canais complexos: talvez o dente nesse contexto também tenha raízes frisadas (curvas).Eu não gostaria que você se queimasse com a remoção analfabeta de um dente do siso especial.
Olá. Meu nome é Alexey, tenho 34 anos. No exame preventivo de um mês atrás, o médico não gostou do pequeno orifício no canto inferior direito fechado 7, na fronteira com o 6. O dente não estava doente e não perturba. Depois de instalar um pequeno recheio, o dente começou a perturbar - um ligeiro gemido, e havia uma sensação de que havia comida atolada na área do recheio. Reclamado, o médico perfurou ainda mais profundamente esse buraco e colocou um selo maior. As sensações não mudaram. Após 5 dias, o médico decidiu remover o nervo. O nervo foi removido, o remédio foi colocado, a sensação de queixa leve não desapareceu e, além disso, houve dor ao morder a comida com esse dente. Ele procurou o médico novamente, o médico novamente, sem saber o que fazer, limpou o canal e colocou o remédio com as palavras de que estava tudo bem e não deveria doer. E, em geral, ela me olhou como uma idiota.
Ao lado desse dente, eu tinha uma figura oito em erupção, que também, se pressionada com força, estava doente - pensei nisso e fui de desespero e dor contínua de remoção, embora o dente do siso (antagonista) tenha sido removido há muito tempo e o contato não fosse foi. O dente foi removido normalmente há 6 dias, ele bebeu o antibiótico azitromicina, 3 comprimidos e todos os dias alguns comprimidos de cetorol - a dor foi extinta e era relativamente tolerável. Anteontem, parei de beber ketorol e tentei comer com 7. Havia uma dor terrível, agora não consigo nem roer os dentes à direita - dói para que você fique louco e não saiba como tomar a decisão certa. O médico colocou o remédio pela última vez em um mês, disse: como você remove o dente, vem, coloca o selo. É possível colocar um dente que é insuportavelmente doloroso quando pressionado? E se não, então o que fazer? Não consigo dormir por causa da dor, logo enlouquecerei ... Por favor, informe o que é mais lógico para mim nessa situação? Obrigada
Esqueci de acrescentar: é possível tratar o 7 quando arrancado há 6 dias e ainda não curou completamente um buraco de 8?
Olá Alexey! Todos vocês dizem corretamente: um selo não pode ser colocado com sintomas agudos de origem desconhecida. Penso que parte desses sintomas é consequência da recente remoção do dente do siso, cujo orifício está localizado próximo ao problema sete. Não faria mal verificar o trabalho do médico com a ajuda de uma foto (se desejar, você pode enviá-la para o correio do site - comentarei). Se tudo for feito nos canais do dente, como esperado, talvez seja necessário aguardar a cicatrização do buraco. É bom que você já esteja próximo do estado de conforto "primário" quando o orifício após a remoção complexa do dente do siso deixa de ser sentido seriamente por 7 a 10 dias, mas os efeitos residuais (ao mastigar) ainda podem estar presentes.
A opção mais eficaz em tal situação é entrar em contato imediatamente com outro médico para uma consulta, para tirar uma foto e entender qual é o problema no local. Com uma probabilidade de cerca de 80%, o problema ocorreu devido a ações incorretas do médico.
Após identificar as causas do problema, o sétimo dente deve ser tratado sem falhas.
Olá doutor! Meu problema é esse. Nos 4 e 6 dentes superiores (esquerda), tenho uma ponte. Em 7 de fevereiro, uma protuberância purulenta apareceu sobre um dente de 4 na gengiva. O médico recomendou a remoção dos dentes, pois havia uma grande infecção ao redor deles. Antibióticos prescritos antes da remoção. No terceiro dia após tomar antibióticos, apareceu uma espécie de pressão perto do nariz (esquerda). Eu pensei que após a extração dos dentes isso passará.
Em 14 de fevereiro, os dentes foram removidos, o médico escovou por um longo tempo e disse que havia muita infecção. Mas a pressão perto do nariz não passou e até começou a subir como se fosse o olho. O médico disse - espere, deve passar, isso não é uma infecção. A ferida começou gradualmente a se arrastar, a não apodrecer, tudo parecia estar melhorando, dada a remoção pesada.Mas em 6 de março, houve uma dor dolorosa no lugar dos dentes extraídos, não está claro onde exatamente.
O médico novamente prescreveu antibióticos. Após uma semana de tratamento, a dor pareceu desaparecer, mas a pressão perto do nariz trouxe desconforto. E aqui novamente a dor de 1º de abril. Imagens de dentes vizinhos - e agora um dente inteiro de três dentes (que está próximo dos removidos) acabaram sendo problemáticas. Alegadamente, ele está morto e você precisa limpar o canal, e a partir dessa suposta pressão está perto do nariz. Pareceu-me que não apenas três, mas o resto dos dentes superiores doía. Mas, supostamente, em um raio-X, ele vê um problema com apenas 3 dentes.
Bem, o fato de eu estar em pânico é compreensível. Fui a outro médico para confirmar o diagnóstico, novamente as fotos e os mesmos conselhos que o canal deve ser limpo. Eu concordei. Ontem, 10 de abril, o canal foi limpo, disse que o nervo estava morto. Mas a pressão ao longo do nariz não foi a lugar nenhum. Mesmo que se tornasse mais. Seu conselho é realmente necessário. Eu ficaria grato.
Olá Nesses casos, é difícil dizer algo específico sem medidas de diagnóstico e seus dados. Pode haver essa opção, quando o médico inicialmente cometeu um erro com a escolha de um dente problemático. É necessário analisar as primeiras imagens (antes do tratamento, remoção) e as imagens subsequentes em conexão com a ineficácia da terapia. Se, mesmo após um raio-X, é difícil resolver alguma coisa, você pode fazer um EDI dos dentes para procurar um dente doente.
Estou confuso com a "pressão ao longo do nariz" descrita por você - esta é uma manifestação clara de edema purulento ou (menos provável, mas vale a pena conferir) um sintoma de inflamação do seio maxilar (maxilar). É necessário verificar a condição de maneira abrangente: do exame externo e do exame na cavidade oral ao exame radiológico e EDI. Definitivamente, uma situação tão difícil não é objeto de uma solução remota para o problema.
Olá Há uma semana, o dente mais baixo à direita estava despolpado. Após o segundo tiro, o médico disse que estava tudo bem. Após 2 dias, a dor apareceu. Ontem, no sétimo dia, a bochecha inchou. Antes do fim de semana, o que fazer?
Olá Se o dente foi realmente despolpado, significa que houve um diagnóstico de pulpite e, portanto, o inchaço após a terapia de canal implica erros graves durante o tratamento. Se você foi guiado por um diagnóstico diferente - “periodontite”, não estamos falando de despolpação, já que o “nervo” nessa doença não existe mais no dente, ele se decompõe. Esse tratamento geralmente pode causar inchaço após o fechamento dos canais, principalmente quando não são completamente tratados.
Portanto, dada sua descrição do problema, você precisa fugir do seu médico sem olhar para trás, pois a despolpação não termina com edema. É necessário salvar o dente analisando a imagem. No entanto, neste contexto, você não deve confiar no médico que esteve envolvido em seu tratamento.
Caso você se engane ao falar sobre a despolpação de um dente periodontal, não haverá queixas tão graves contra o médico. Você deve verificar o tratamento com um instantâneo e tirar as seguintes conclusões.
Em setembro de 2016, um nervo foi removido do sexto dente inferior devido ao fato de um selo ter saído e, ao remover um novo nervo, ele foi aberto. Selo temporário limpo, na próxima visita selo permanente mais pino. Antes disso, não havia problemas com a remoção do nervo. Ao remover, a limpeza foi usada "arrumada com eletricidade", bem, algumas fotos. Segundo o médico, está tudo bem.
Em dezembro, a dor não desapareceu, o nervo foi removido em outro dente, do qual o selo caiu, e olhou para este. Eles ofereceram fisioterapia a laser e bebiam nimesil. Após o segundo saquinho nimesil, me senti mal, parece algum tipo de reação alérgica. Não uso pílulas, mas me incomodei não poder comer do lado certo por três meses.
Agora é maio de 2017 e um dente sem nervos dói. Mais precisamente, até comermos do outro lado - é normal, mas como comer, há problemas imediatamente. Dói exclusivamente com a pressão e este dente em particular.Nenhum vizinho doeu. Um ponto positivo agora é que, talvez por causa da dor, a mordida havia mudado e parte da vedação no topo estava hesitante. Como resultado, o pino já está saindo acima da superfície e você pode senti-lo se o segurar com o dedo.
O que poderia ser? E o mais importante, o que deve ser feito como uma questão de prioridade?
Olá Inicialmente, vale a pena tirar fotos dos dentes que você indicou nos canais e verificar a veracidade das palavras do médico. Se tudo estiver realmente bom, vale a pena conferir os dentes adjacentes. Estou certo de que, com a ajuda de imagens e exames na cavidade oral, há uma causa do problema. Também é útil comparar a dor da percussão em cada dente, a fim de tirar conclusões e fazer um diagnóstico.
Em princípio, a situação que você está descrevendo não é a norma. Às vezes, isso ocorre devido à sobrecarga dentária, razão pela qual o selo se desintegra. Você pode verificar isso com tiras oclusais e examinar a mordida. A melhor correção de selo é levar em consideração a imagem, para não perder de vista as nuances importantes.
O que poderia ser? A questão é complexa, mais frequentemente há um erro de tratamento nos canais, menos frequentemente - os dentes vizinhos têm cavidades cariosas ocultas que "expressam" seu problema de tal maneira que a dor irradia para dentes inocentes (mesmo os "mortos"). Mencionei também uma opção de sobremordida que pode causar ferimentos, o que também é importante verificar. É necessária uma abordagem integrada; um especialista também deve aplicar uma boa nessa abordagem. Procure um médico experiente e verifique as imagens novamente (não com o médico que tratou - isso é importante). Boa sorte
Olá Eu tinha material de preenchimento por cima da raiz. Há uma semana, um dente está incomodando você. Ao pressionar a gengiva sensações muito desagradáveis e bochecha inchada. Como ser Obrigada
Olá Nesse contexto, é uma complicação clara, com manifestação grave na forma de edema, mais provavelmente alérgica, mas a opção infecciosa também é possível (pode depender do diagnóstico do dente: pulpite ou periodontite e que tipos de erros nos canais poderiam ter sido cometidos ) Nem toda clínica pode recuperar o material de preenchimento; em algumas situações, limita-se apenas ao tratamento fisioterapêutico, embora em muitos aspectos essa não seja a ocupação mais promissora e, às vezes, duvidosa.
Em princípio, é importante entender o que exatamente é tirado fora da raiz: se é guta-percha, é necessário extraí-lo e, se é selador, qual é a sua origem? Se é algo como endometasona, então certamente não é assustador. Porém, ao remover materiais à base de resina epóxi (por exemplo, AN +), será problemático para o futuro, uma vez que o material é "semelhante ao cimento". E extrair esse material será difícil.
Assim, a escala da tragédia só pode ser avaliada especificando o que exatamente foi retirado da parte superior da raiz do dente, até que ponto foi retirado e o que está acontecendo atualmente com a gengiva. Se você fornecer uma imagem do dente (no correio do site) - isso ajudaria a entender a profundidade do material, mas a natureza do material só pode ser aprendida com o médico assistente (ou no prontuário médico).
Olá, o dente 21 começou a doer quando eu clico nele. Fui ao dentista, disseram pulpite. Limpamos os canais e colocamos um selo temporário por um mês. À noite, as gengivas começaram a inchar, o médico disse que isso era possível ...
No dia seguinte, minha bochecha estava inchada, para que eu não pudesse falar. Fui novamente ao dentista, fiz uma incisão nas gengivas e fiz um dreno. Tudo parece estar bem, após 2 dias, o inchaço diminuiu, mas há um ligeiro inchaço na gengiva acima do dente. Ele começou a cambalear e um pouco de dente exposto.
Diga-me por que isso aconteceu? Nunca houve problemas com os dentes. Obrigada
Olá O fato é que isso é uma complicação como resultado de um erro médico, ou há razões objetivas para as dificuldades em manter esse diagnóstico. A condição que você descreveu não é a norma. A mobilidade dentária em meio a uma exacerbação do processo purulento e à recessão gengival na região cervical é um mau sinal do ponto de vista de um prognóstico posterior. Vale a pena tirar fotos, obtendo conselhos de mais de um dentista para um consenso de especialistas. Talvez já valha a pena pensar no método cirúrgico conservador de preservar o dente - ressecção do ápice da raiz, uma vez que esses dentes (21) são mais fáceis de tratar com esta opção de tratamento.
Olá, diga-me, por favor: removeu os nervos em 6 ke, selados, depois o dente continuou a doer. O dentista disse que até um mês essa dor é a norma. Três meses se passaram, mesmo assim, ao morder e quando você toca em um dente, dói. Eu vim até ela, contei tudo, ela me enviou um raio-X, disse que estava tudo bem por lá. Tirei o lacre e, durante uma semana, andei sem lacre. Então ela veio, tirou uma foto novamente (eu vou jogar fora), o dentista disse que eu estava inventando - nada poderia machucar lá, os canais foram limpos e tudo estava bem nos raios-X. Em geral, ela me colocou um selo temporário e, aparentemente, algum tipo de medicamento. Mas agora o dente começou a incomodar ainda mais, como se uma pedra muito pesada tivesse sido inserida nele, um sentimento. E também dói ao morder. Diga-me, por favor, o que devo fazer com isso, o que poderia ser?
E outra pergunta: o raio X mostra, se a raiz está inflamada, um cisto se formou?
Olá Pode haver várias opções relacionadas a erros ou imprecisões no tratamento do canal. Por exemplo, pode haver as seguintes opções: 1. Um canal adicional não foi encontrado (uma projeção da imagem pode simplesmente não estar visível); 2. Produziu uma grande quantidade de material fora da raiz; 3. Existe um processo inflamatório no ápice da raiz; 4. Existe perfuração do fundo ou da parede radicular.
Eu acho que vale a pena consultar com outro dentista, e não com o seu médico (por objetividade). É desejável que as imagens tenham sido verificadas em diferentes projeções, de preferência em uma visografia. Se os médicos encontrarem uma causa específica, o dente deverá ser tratado. Se a causa não for encontrada, há um risco de perder um dente devido a complicações da periodontite.
Nas radiografias, o processo inflamatório em muitos casos clínicos pode ser observado.
Muito obrigado 🙂
Olá, há 2 anos, um dente ficou doente. Eles removeram o nervo, colocaram os recheios. Um ano depois, o selo caiu. Estou sem um selo há um ano, nada doeu e agora há 2 dias a dor apareceu quando eu pressionei um dente. O que pode ser e o que precisa ser feito? Excluir?
Olá É o melhor que pode acontecer em termos de sintomas quando um dente é deprimido, através do (s) canal (es) em que a infecção da região perapical começou. Na maioria das vezes, esses dentes se manifestam sob a forma de dores intensas que não podem ser interrompidas por analgésicos e edema (bochechas, lábios, etc.).
O fato é que, quando uma infecção entra nos canais após o preenchimento, ela se acumula gradualmente na área do ápice da raiz, limitando-se a tecidos saudáveis. Enquanto houver uma compensação pelo organismo desse processo inflamatório na raiz, o dente pode não doer nem por anos, mas em certas situações, ao entupir o canal com restos de comida ou traumatismo dentário ao mesmo tempo e terminar com estresse ou doença geral (SARS, por exemplo), uma espécie de gatilho o mecanismo, isto é, um dente ainda mais cedo tratado nos canais, exacerba a periodontite crônica.
É possível tratar esses dentes, embora em muitos casos seja tecnicamente difícil e exija muito dinheiro do paciente. É necessário determinar a forma da periodontite e a escala da tragédia a partir do quadro.Se a inflamação foi longe demais, o dente terá que ser removido. Se você estiver determinado a manter um dente mesmo em uma situação difícil, será útil obter uma consulta imediatamente na cadeira do dentista em várias clínicas.
Ao mesmo tempo, a opinião dos médicos pode ser dividida: alguém recomendará a remoção urgente e vários especialistas estarão prontos para economizar um dente, mas sem a garantia de que tudo funcionará 100%, e alguém até dará uma garantia de sucesso.
Boa noite No final de abril, ela foi ao médico com dores nos dentes. O diagnóstico é pulpite. Eles colocaram arsênico, que foi removido dois dias depois e selaram temporariamente. Eu tive que sair com urgência e não pude visitar um médico para remover um nervo. Só consegui uma consulta depois de três semanas. Limpei os canais e em 24 de maio coloquei um selo temporário com o composto de tratamento. Atire no dia 14 de junho. O fato é que, após 10 dias, comecei a sentir dores latejantes na área deste dente, é impossível fechar a mandíbula nesse local, a sensação de que o dente está solto e a gengiva inchada. A dor é constante. Eu vim para a sala de exame, disseram para enxaguar, o dente não cambaleia. Eles dizem que isso é normal com um enchimento médico temporário. Diga-me, por favor, isso é normal?
Olá É claro que você agiu de maneira muito precipitada que não tratou os canais a tempo, transferindo pulpite para periodontite. E então o dentista, por várias razões, não conseguiu tirar o dente do estágio de exacerbação da periodontite purulenta. No momento, não há efeito positivo objetivo do tratamento.
O fato de você sentir a mobilidade do dente fala apenas sobre o processo purulento, e não sobre a mobilidade real do dente, mas o restante descrito por você não pode ser chamado de norma. Obviamente, acontece que o corpo lida com a exacerbação (especialmente se o médico prescreve antibióticos) e o dente se acalma, mas na maioria das vezes com esse desenvolvimento a situação piora a cada vez, e então estamos falando sobre extração dentária. Aconselho que você faça uma consulta em outra clínica (duas de uma vez): deixe o dentista estudar as imagens como um indicador da progressividade do tratamento e tente salvar o dente de acordo com a análise. Caso contrário, você ainda pode sofrer por muito tempo, mas nunca obtém um resultado positivo.
Quando ela estava tratando um dente, o médico disse que um dente vizinho também não faria mal para curar, os buracos eram muito pequenos. Bem, e depois de quase dois meses, decidi finalmente curar este dente. Ele não me incomodou e nem ficou doente. Veio - acabou a cárie profunda. Eles limparam tudo e encheram, o nervo não foi removido. Um dia depois, ao comer, ou seja, ao pressionar esse dente em particular, ele estava doente. Eu pensei que ela estaria doente, duas semanas se passaram assim. No entanto, ela foi ao médico, removeu o selo e disse que removeríamos os nervos. Mas tudo começou a sangrar lá, e ela colocou arsênico e disse que chegaria dois dias depois. O dente começou a doer ainda mais. Então ela removeu o arsênico, limpou os canais, deixou o dente aberto e disse para enxaguar com refrigerante e, enquanto come, fechar com algodão. Agora eu tenho um preenchimento temporário, mas o dente ainda dói quando pressionado. Ela disse que amanhã virá, eles farão um selo normal. E por que, se a dor não desaparece? Quando ela penetrou uma agulha especial profundamente na raiz para arrancar um nervo, foi muito doloroso. O que poderia ser? Afinal, antes do tratamento, ele não estava doente.
Olá Aconselho você a mudar de médico, pois suas táticas de tratamento não atendem aos requisitos modernos (protocolos) de tratamento endodôntico e terapêutico em geral. Vou indicar as razões dessa opinião:
1. A cárie entrou em pulpite após o tratamento (ou pulpite não foi diagnosticada em tempo hábil);
2. A pasta de arsênico foi usada, embora atualmente não atenda aos requisitos de tratamento moderno e de alta qualidade, causando frequentemente problemas periodontais futuros;
3)Deixar o dente aberto é considerado de várias maneiras uma violação do protocolo de tratamento ou uma maneira desatualizada de resolver o problema, criando um problema ainda maior - os canais são reinfectados, pelo menos. E por que deixar os canais abertos 2 dias após encontrar a pasta, quando é suficiente usar os antídotos de arsênico devido ao seu efeito negativo (tóxico), deixando o dente em condições herméticas por um dia, no máximo dois;
4. Se houve dor durante o tratamento dos canais e remoção do "nervo", o médico não conhece as técnicas de anestesia. E, ao mesmo tempo, deixa o dente aberto, como na periodontite, substituindo um diagnóstico por outro.
Existe um método de tratamento de rotina, geralmente levando à extração dentária: embora não nos próximos meses, mas depois de seis meses ou um ano - com alta probabilidade. Eu recomendo mudar o médico, tirar fotos, entender se o médico anterior tem erros mais graves, tratar os canais, preenchê-los de acordo com o protocolo e fechar hermeticamente o dente com um preenchimento permanente ou uma aba + coroa. Tudo depende do volume de perda da coroa do dente: se for maior que 1/2, recomenda-se uma aba ou aba + coroa.
Olá, eu fui ao médico ontem com dor aguda no dente. Quando ele estava limpando os canais, ele disse que eles eram muito estreitos e colocaram um comprimido em seu dente. E isso acontece há 4 dias, e o dente está muito dolorido.
Olá Quando um médico diz que não pode lidar com o problema de canais estreitos, isso geralmente significa que ele também tem certas dificuldades de um plano diferente. Por exemplo: 1. O médico não consegue encontrar o canal ou os canais (o acesso a eles não é criado e o (s) canal (is) permanece (s) inflamado (s) ou mesmo já “nervo em decomposição”, causando dor). 2. Houve uma quebra da ferramenta no canal. 3. Houve uma perfuração da raiz. 4. Um canal falso foi criado. 5. Como resultado do processamento incorreto, o canal estava entupido de serragem, ou uma borda foi criada, ou mesmo muitas bordas.
Menos comuns são os casos associados apenas a canais estreitos, quando o médico encontrou todos os canais, passou por eles em maior extensão, mas para a perspectiva de preservar o dente por um longo tempo, coloque um líquido ou gel em seus canais para passagem e expansão. No entanto, não deve haver dor aguda, principalmente por vários dias. Nas clínicas onde não há microscópio para terapia de canal, às vezes é difícil fazer tudo de acordo com o protocolo para que mais tarde não haja problemas.
Sem conhecer as nuances do trabalho do médico e sem ver as fotos, é difícil para mim julgar o que exatamente deu errado. Mas a dor intensa pode falar de violações no tratamento de canais. Eu recomendo visitar uma clínica onde um microscópio é usado para tratamento endodôntico.
Após remover o nervo e instalar o preenchimento, o dente continuou a puxar e, quando pressionado, foi criada uma sensação de nervo nu. Sofri 1,5 mês. Após entrar em contato com o dentista, foram realizados 5 procedimentos a laser. Nenhuma melhoria veio. Eles abriram o selo. Várias vezes um medicamento foi colocado com um enchimento temporário. Hoje eles novamente colocaram um selo permanente. O dente não se contrai, mas permanece desagradável.
Olá Sem fotos, é difícil para mim determinar a gravidade dos erros do dentista. E eles, provavelmente, foram admitidos e sua eliminação é frequentemente uma tarefa bastante difícil. Os erros durante o tratamento podem ser diferentes: um canal perdido, mau processamento dos canais, a formação de perfuração (simplesmente buracos) na parede do dente, uma peça quebrada de um instrumento dental no canal durante o processamento, etc.
Se o problema ainda estiver resolvido, gradualmente o nível de desconforto começará a diminuir. Se não houver dinâmica positiva ou, pelo contrário, houver deterioração, é necessário consultar novamente um médico com urgência, pois sem eliminar a causa do problema, você pode perder rapidamente o dente.
Muito obrigado.
Boa tarde Eu tenho atormentado pela terceira semana.Os nervos à esquerda de 7 e 8 foram removidos e os canais foram empacotados. A mandíbula inteira começou a lamentar no lado esquerdo. Às vezes, assa tanto que dá ao templo e ao ouvido. Mais frequentemente, a cabeça começou a doer - às vezes se acalma por três ou quatro horas, mas a dor quase todos os dias me esgota, não tenho força. Todos os médicos olham para a foto e dizem que não há o que reclamar, tudo é perfeito. Fui ao médico, ao cirurgião e ao periodontista. Pode sugerir neuralgia. Mas então de onde veio? Imediatamente após a selagem.
Olá A situação não é simples e, sem fotos, é difícil acrescentar algo à opinião dos médicos que o viram em primeira mão. Se você se inscreveu em clínicas e opiniões diferentes (isso é importante), são as mesmas, então talvez haja outra opção: é possível que um dente causador tenha sido encontrado, causando dor aguda. Raramente, mas acontece que a dor de um dente doente não detectado irradia para aqueles já tratados.
Se você foi aos três médicos mencionados na mesma clínica, tente entrar em contato com outra clínica. Uma opinião independente é importante aqui.
Sobre a origem da neuralgia após o tratamento dentário: Tenho um ceticismo em relação a esse diagnóstico. Mas, como se costuma dizer, quantos especialistas, tantas opiniões.
Boa tarde 4-5 anos atrás, o nervo na unidade superior foi removido, nada incomodado. Mas dois dias atrás, o dente começou a gemer, mais e mais, especialmente sensações desagradáveis estão localizadas na gengiva. A temperatura não subiu, não houve alteração na aparência das gengivas, não houve vermelhidão, nada estava inchado. A dor não depende da hora do dia. Diga-me, por favor, o que poderia ser?
Olá Inicialmente, é importante que o dentista verifique: o problema é realmente em 1 dente, e não no vizinho, no qual, por exemplo, uma cavidade cariosa pode estar presente. Após o exame na cavidade oral com dificuldade ou especificação do diagnóstico, é feita uma captura instantânea da própria "unidade", onde são verificadas a qualidade do preenchimento do canal e a presença do processo inflamatório fora da raiz. Na maioria das vezes, se a razão está precisamente nesse dente "morto", a imagem mostra uma rarefação do tecido ósseo próximo ao ápice da raiz.
Aqui é importante coletar o máximo de informações possível para diagnosticar a causa da dor e, em seguida, delinear um plano de tratamento. Se um dente vivo vizinho estiver perturbando, o tratamento endodôntico do canal será realizado. Se você estiver certo, e o motivo estiver na "unidade", o dente será tratado. Se for impossível preservar o dente, é possível removê-lo (embora, considerando as tecnologias modernas, isso não seja realizado com frequência).
Olá Espero sua resposta! Preparado para as próteses com cermet, o médico tirou uma foto do canino superior e, em seguida, um nervo foi despolpado sob anestesia. No processo, algo foi inserido, como medir o comprimento, como se diz, 26 mm. Depois de todas as manipulações, eles tiraram uma foto - o médico disse que ela não havia chegado ao topo. Mais uma vez, ela repetiu todas as manipulações, durante as quais houve uma dor aguda de curto prazo, a que o médico disse que ela havia alcançado, e novamente tiraram uma foto. O médico disse que está tudo bem. À noite, descobri que, quando clico em um dente, há um leve desconforto. No dia seguinte, liguei para o médico, ela receitou Nurofen. Eu bebo no segundo dia, as sensações, ao que parece, são as mesmas. Um dia depois, vá para a clínica, coloque um alfinete. Aconselhar o que fazer? Eu leio tudo, tenho medo de perfuração de dente. E também colocar uma ponte sobre este dente. Deu dinheiro, e considerável!
Olá A probabilidade de ocorrência de uma complicação durante o tratamento endodôntico do canino tende a zero, pois esse dente não é difícil de despolar: um canal cônico amplo (mas longo). Um grande comprimento de canal no canino pode ser um problema para médicos com pouca experiência de trabalho ou equipamento insuficiente.
No seu caso, para fazer o trabalho perfeitamente, o médico tentou preencher o canal de acordo com o protocolo, ou seja, antes do ápice. Não acho que haja medo pelo futuro do dente, mas como não tenho uma foto, seria incorreto dizer inequivocamente. Se você ainda estiver com medo, meu conselho é tirar uma foto e consultar outro médico na foto, pois seu médico pode não lhe dizer de maneira honesta e objetiva como o trabalho é feito.
A clínica quase sempre dá uma garantia no trabalho, portanto, com recibos e um acordo, você não pode se preocupar. Em geral, a perfuração canina é uma raridade. Ocorre em pacientes idosos, mas não na juventude. Então não se preocupe.
Olá Seis meses atrás, eu tratei 46 dentes. Eles removeram o nervo, limparam os canais e o selaram. Após o tratamento, a dor diminuiu, o dente permaneceu sensível (se você bater com a unha, ao contrário de outros dentes). Três meses depois, começou a doer um pouco quando meu queixo se apertou (especialmente na manhã seguinte ao sono). Começou a reduzir periodicamente o músculo embaixo da língua à direita. Um mês depois, esse músculo começou a inchar, aparentemente. Além disso, após o uso de “Dolgit”, o inchaço desapareceu por cerca de duas horas.O dente doeu não muito, mas o desconforto e a sensibilidade persistiram.
Eu fui ao médico que estava tratando. Na foto, tudo parece bem. Enviado ao cirurgião maxilofacial para excluir a doença da pedra salivar. Ele não encontrou uma patologia. O dentista selou o dente e os canais. Ele colocou a pasta anti-séptica e colocou um enchimento temporário, que no dia seguinte caiu na cavidade do dente, e também prescreveu ciprolet para excluir linfadenite reativa. Uma semana se passou. O dente permanece sensível quando batido (os dentes adjacentes são absolutamente indolores). O médico disse que, após uma semana de macarrão, você pode se encher novamente, mas estou em dúvida. Se não passou (embora não diminua muito agora, mas costumava ser de tempos em tempos), vale a pena preenchê-lo novamente, voltaremos para onde começamos?
Olá A pergunta é complicada, não tenho suas fotos, então não há como comentar sobre a qualidade do tratamento dentário: de repente, ocorreram complicações após a remoção do nervo e a passagem dos canais, e o médico não percebeu isso ou ocultou esse fato de você.
Mais perto de 90%, você tem uma exacerbação de periodontite crônica no dente tratado: se o tratamento não produziu efeito, esse diagnóstico geralmente é feito. Às vezes, durante uma restauração dentária, a reação da dor aumenta um pouco, mas, como regra, a dor desaparece após alguns dias. Para ter mais confiança na correção do tratamento, você pode obter uma consulta em outra clínica, já que hoje isso pode ser feito de graça ou por um valor mínimo.
Ajuda doutor! Há 3 semanas, nossos médicos estão zombando de mim! Acordei à noite com uma dor intensa nos dentes. De manhã, os dentes superiores atingiram os inferiores. Dores terríveis começaram na mandíbula, na orelha, na têmpora e no linfonodo. Fui a um neurologista, comecei a esfaquear e diagnosticado com neurite trigeminal de 3 ramos. Não parei por aí e fui à clínica odontológica. O dentista abriu meus 4º e 5º dentes, limpou os canais e colocou obturações leves. As dores não diminuíram, já no quarto dia começaram a colocar conta-gotas e injetar hormônios. Mais alguns dias se passaram, e novamente fui ao dentista. Dessa vez, o chefe da clínica começou a me bloquear. Há 5 dias ele está injetando remédios nas minhas gengivas, mas não há melhorias. Na segunda-feira, enviado ao hospital regional (em Odessa). Imagens nos dentes mostraram que 4 dentes não estavam completamente preenchidos. Não há distorções no rosto. Preciso abrir 4 dentes e refazer a vedação no canal?
Olá Seu caso é complexo e longe do padrão.Aqui, sem exame e análise das imagens, é impossível tirar conclusões e, mais ainda, aconselhar o início do tratamento de 4 dentes. É necessária uma abordagem integrada, diretamente na cadeira do dentista, e não à revelia. Eu recomendo que você encontre um bom médico e confie nele.
Olá Voltei-me ao fato de que o dente reagia a frio e calor, havia um buraco. Anteriormente, esse dente era tratado, era apenas necessário trocar a vedação. Mas desde Só consegui uma consulta depois de um mês, é claro, a dor se intensificou. O médico tratou, colocou um selo, esfregou algo para deixar o dente menos sensível. Mas à noite, a dor apareceu imediatamente ao morder. Eu fui ao médico, eles disseram curar com calor. Mas a dor ao pressionar o selo não desapareceu. O dente começou a responder ao frio. Substituiu o médico. Ele removeu o nervo, limpou os canais, colocou um selo, disse que o dente pode lamentar um pouco, mas vai passar. Por dois dias fiquei feliz, nada me incomodou, mas no terceiro dia houve dor durante a mastigação. À noite, o dente começou a responder a frio e calor. No dia seguinte, fui ao médico, mas novamente prescrevi tratamento térmico. E eu já não consigo comer, o dente reage à água em temperatura ambiente. O que fazer O médico se recusa a dar um segundo tiro, referindo-se ao fato de ter realizado o trabalho qualitativamente. Ajuda!
Olá A situação é complicada e, em certo sentido, não-padrão. Por um lado, o alívio após dor prolongada pode indicar que um dente causador foi encontrado e, por outro lado, a retomada da reação do dente ao frio (!) E quente determina o oposto. O fato é que, após a despolpação (remoção do "nervo"), o dente nunca mais reage ao frio. É possível que o dente problemático não tenha sido encontrado e o fato de o dente ter se acalmado foi apenas um período de curta remissão. Ou havia dois dentes doentes com problemas relacionados em um grau ou outro.
Eu recomendo fazer uma consulta presencial com um médico desinteressado (o seu médico parece não estar pronto para admitir erros no tratamento). Também pode valer a pena procurar um dente problemático sem se concentrar em um que já foi tratado.
Boa tarde Por favor, ajudem, há duas semanas fui ao médico e meu nervo foi removido. Tudo correu bem, ela até me mostrou, no final, ela disse que havia inflamação, havia muito sangue, ela colocou algum tipo de medicamento e disse: venha para esse dente mais duas vezes. Eu vim hoje, ela pegou meu remédio e começou a limpar alguma coisa lá, e doeu. A dor não é muito forte, algo em torno de 4/10. Mas eu gritei toda vez que ela pressionou lá. Eu estava com medo, porque, assim, não deveria ser, porque o dente já está morto ?! O médico também ficou surpreso, ela disse que, talvez, devido à inflamação, ainda dói. Ela entregou o remédio novamente e disse-lhe para voltar em duas semanas.
Por favor me diga o que poderia ser? (o próprio dente não dói e não dói).
Olá No seu caso, isso é claramente um truque de rotina: muitas manipulações injustificadas. Por exemplo, com um diagnóstico de pulpite (você diz que o médico mostrou um "nervo") por algum motivo, vários medicamentos são administrados, embora quase sempre (com raras exceções), os canais sejam selados na primeira visita. O máximo que é feito com o sangramento é que um medicamento hemostático é colocado até o dia seguinte ou o sangramento dos canais para na mesma consulta.
De acordo com a sua descrição, tive a sensação de que o médico não tem experiência suficiente ou que a clínica não possui um bom equipamento. Eu recomendo entrar em contato com outra clínica - pelo menos uma consulta para avaliar a correção do tratamento.
Boa tarde Por favor, imploro que ajude! Há 3 dias, tive um dente cheio de três canais.No terceiro dia após o preenchimento, tive que fazer um vôo e imediatamente após o vôo meu dente começou a doer. Observo que imediatamente após o preenchimento, o dente não doeu e começou a doer apenas imediatamente após o voo (ou seja, no terceiro dia após o preenchimento). Diga-me, a dor pode estar relacionada ao vôo? Nesse caso, algo pode ser feito neste caso? Estou em outro país no momento e é extremamente difícil entrar em contato com um médico agora.
Agradecemos antecipadamente e espero seus comentários.
Sim, esqueci de dizer que logo após o preenchimento, eles fizeram um raio-X, era claramente visível na imagem que os canais estavam completamente cheios. Mais uma vez obrigado!
Olá A primeira menção do efeito de um vôo em dentes com canais selados da minha prática pessoal remonta a 2000-2002, quando se tratava da ocorrência de dor durante o vôo devido aos chamados "bolsos" que contêm ar (em outras palavras, são cavidades que não preenchido com material de enchimento). Não excluo a possibilidade de o seu médico não ter visto as áreas sem preenchimento (ou visto quase imperceptível, mas não o disse).
Além disso, muitas vezes o dente pode ter uma reação pós-preenchimento logo após o preenchimento - isso geralmente acontece.
Seja como for, você precisa observar um pouco da dinâmica e depois tirar conclusões sobre a qualidade do tratamento. Se não houver melhorias, é melhor não adiar a visita ao dentista.
Olá. Cerca de um ano atrás, um nervo no meu primeiro dente inferior foi removido. Literalmente, há três semanas, ele começou a doer ao morder (quando os dentes colidem uns com os outros quando pressionados). Sofri 3-5 dias, e agora não há mais dor. Vale a pena notar que eu uso aparelho, mas acho improvável que isso possa afetar o primeiro dente. O que poderia ser?
Olá Sem um raio-X, não posso responder inequivocamente. No entanto, acho que a causa do problema deve ser buscada em duas direções:
1. Na figura, veja quão bem o dente está selado (para excluir a opção de exacerbação da periodontite crônica);
2. Avalie se há um dente doente (adjacente ao tratado), que pode apresentar sintomas de pulpite gangrenosa ou já periodontite.
De qualquer forma, não aconselho que você se acalme que a dor passou: o diagnóstico oportuno é melhor do que problemas com um processo infeccioso purulento no futuro.
O aparelho também pode dar essa reação nos primeiros dias após o aperto das travas, principalmente quando elas são excessivamente apertadas.
Olá Em algum lugar em 2009, 26 dentes foram tratados (um selo foi colocado). Em 18 de julho de 2017, a parte lateral do 26º dente se partiu durante a refeição. Não houve dor. Na consulta mais próxima, o dentista era diagnosticado com pulpite (ao remover os recheios antigos do dente havia um odor podre). Eles colocaram um remédio que mata um nervo.
22/08/2017 o nervo foi removido, os canais foram limpos, o cálcio foi liberado. Depois de um dia (24.08), o dente começou a doer ao morder e pressionar a gengiva, dando à orelha esquerda e à esquerda da cabeça. Não é uma dor infernal, mas o desconforto já dura cinco dias.
Idealmente, haverá um preenchimento de canal, um alfinete e uma vedação permanente. Diga-me, faz sentido continuar o tratamento de um dente problemático se a dor nele não diminuir?
Olá O odor pútrido e cálcio no canal não podem ser combinados com o diagnóstico de pulpite. Ou seja, com esta técnica, não estamos falando sobre a remoção do “nervo”, portanto, pelo que entendi, o médico está tratando você com canais com diagnóstico de periodontite. A eficácia deste evento relacionada à colocação de hidróxido de cálcio nos canais depende diretamente de quão bem o médico lavou os canais e de que forma está ocorrendo periodontite.
Desde que você escreveu que o dente começou a doer, existem as seguintes suspeitas:
1Diagnóstico ou tratamento incorreto (pouco adequado aos processos que ocorrem nos canais e além);
2. Nesta clínica ou consultório, não há equipamento e (ou) equipamento suficiente para realizar esse diagnóstico.
Sua pergunta sobre a adequação do tratamento contínuo - para continuar o tratamento, tentando salvar o dente da remoção, é claro, vale a pena.
Olá, há 6 dias, o médico colocou arsênico para matar um nervo, no dia seguinte ele começou a remover o nervo e o encher. Durante muito tempo, limpei o canal (disse que havia apenas um esmalte), coloquei uma vedação e, durante todos esses 5 dias, o dente doeu. Os primeiros dias doíam, agora paravam de lamentar, mas dói ao morder (dente a dente) e bater com uma colher. Então deveria ser, ou devo ir ao médico?
Olá Isso geralmente ocorre após o tratamento traumático do canal endodôntico. As dores pós-preenchimento desaparecem gradualmente e sua presença nos primeiros dias não é crítica para a existência de um dente no futuro distante. Portanto, vale a pena determinar a tendência: se essas dores tendem a diminuir todos os dias e passar dentro de uma a duas semanas, no máximo em um mês, provavelmente tudo estará em ordem.
Boa tarde Há um ano, um nervo foi removido, os canais foram selados, mas há alguns dias esse dente começou a doer terrivelmente. A dor passa para todo o lado esquerdo da cabeça, orelha, temperatura 37. O dentista disse que era pulpite. Diga-me, o que poderia ter causado isso? Erro do dentista ao preencher?
Olá Ou você entendeu mal o médico ou o seu médico não está dizendo nada. O fato é que dentes com nervo removido, com erros no tratamento, às vezes causam exacerbação de periodontite crônica. Mas não se fala em pulpite em dentes já "mortos". Se o seu médico vê a causa em outro dente (ainda não tratado), é perfeitamente possível que essa seja a pulpite primária. Mas o dente que já foi tratado nos canais normalmente não pode apresentar os sintomas que você descreveu (a menos que, é claro, tenha sido tratado qualitativamente).
Portanto, é importante realizar um diagnóstico completo: usando uma imagem e usando o exame instrumental na cavidade oral para encontrar uma relação causal, e somente então:
1. Trate (ou, em casos extremos, remova) um dente previamente tratado nos canais;
2. Ou, trate inicialmente um novo dente nos canais, o que causa dor (uma cavidade cariosa oculta pode estar presente no dente, o que nem sempre é fácil de encontrar).
Boa tarde Eu decidi colocar uma ponte, 3 ... 123 mais baixa. 4 dentes foram despolpados. No segundo dia, ao tomar água à temperatura ambiente, o maxilar inteiro reage, ou seja, TODOS os dentes começam a doer com uma dor tão intensa - 1 minuto e passam. Quando mordido e apenas os dentes não incomodam. Eu mastigo e os mordo sem problemas. Não há reação ao calor. Dois dias depois, vá ao limite e faça o elenco. O que poderia estar causando meu desconforto? Eu tenho um motivo de preocupação? Agradecemos antecipadamente a sua resposta.
Boa tarde 17/08/2017 no 22º dente superior, o nervo foi removido, os canais foram limpos, o dente foi aumentado. Não houve dor após o tratamento. Após um mês, o dente tornou-se sensível quando ocorre pressão. O que poderia ser?
Boa tarde Há 7 dias fui ao dentista. O oitavo dente inferior estava doente. O médico abriu o selo antigo, fez um raio-X antes disso - ela disse que estava inflamada por dentro, colocada arsênico. Após 2 dias, ela removeu o arsênico, removeu os nervos sob a injeção e disse que havia três canais. Coloque "anti-séptico" nos canais e um selo temporário. Após a anestesia, um dente começou a doer, assim, não como mastigar. Ela lavou com refrigerante e sal (como o médico disse) e começou a beber flemoxina. Dois dias depois, ficou um pouco melhor, mas não consigo mastigar, muito menos mastigar.
Hoje, cinco dias após a aplicação do anti-séptico, o dentista bateu no dente, eu disse que dói, ela decidiu não fazer nada até agora. Diz que vamos esperar mais 5 dias e colocar a pasta nos canais e selar. Enxágüe com refrigerante e sal. É normal que um dente dói quando pressionado e é impossível mastigá-lo com este anti-séptico? E tenho grandes dúvidas de que a dor vá embora nesses cinco dias. É possível aplicar colar e preencher com isso? Por favor, ajude com a resposta.
Olá Eu tenho um problema: há dois anos, no meu segundo dente (canto superior direito), o nervo foi supostamente removido e selado. Um ano depois, coloquei uma coroa e, um ano depois, senti uma alta sensibilidade à palpação neste dente e na lombalgia. Os médicos dizem que tenho um problema trigêmeo. O lumbago começa com esse dente e termina do zero (eu removi 6).
Finlepsina foi prescrita. Quando o medicamento é eficaz, a sensibilidade do dente é muito fraca e o lumbago é pouco observado. Não posso provar nada ao dentista. Acredito que, se o nervo for removido, de que tipo de sensibilidade podemos falar? É apenas um tronco sem vida, e acho que o dentista provavelmente não removeu completamente o nervo. A imagem mostra as raízes em perfeitas condições. Desna também.
Diga-me o que fazer, porque por causa do lumbago você pode enlouquecer.
Olá Eu posso dizer ponto por ponto. Mesmo quando o "nervo" é completamente removido, o dente ainda pode começar a doer no futuro: na maioria das vezes é dolorido ao morder o dente, gengivas doloridas ou até mesmo inchaço. Isso nem mesmo está associado aos restos do "nervo", mas aos canais (ou canais) que não foram completamente concluídos, que não foram processados, como deveriam, não foram selados, etc. As complicações após o tratamento dos canais podem provocar dor tardia no dente ou condições mais graves (temperatura, inchaço facial). Portanto, esse aparentemente "toco sem vida" pode muito bem se tornar um terreno fértil para a infecção se o trabalho do médico for realizado com defeito.
Entendo que dezenas, talvez até centenas de milhares de pessoas em nosso país tenham dentes tão maltratados nos canais, e eles não têm nada acontecendo por muitos anos, mas, novamente, tudo depende de quantos problemas o médico causou durante o tratamento e quais imunidade no paciente. Quando um dente começa a responder ao “morder”, geralmente é um sinal de exacerbação da periodontite crônica. Esse diagnóstico geralmente é feito quando se trata de problemas em um dente já tratado nos canais. Não importa: há uma semana, um mês, um ano ou 20 anos depois.
Há outra opção - quando um dente vizinho dói e a dor irradia para "morta". Você pode entender a situação apenas examinando e analisando uma imagem de dente. Uma foto é necessária aqui, já que se trata de verificar a consistência de um dente e a aptidão do seu médico assistente. Você escreve que a imagem foi verificada: aqui você precisa considerar quem a verificou - a pessoa em questão (o médico que o tratou) ou um médico independente de outra clínica? Se o médico estiver tratando você, eu recomendo, apenas no caso, procurar aconselhamento adicional de outro especialista. Obrigado pela pergunta.
Olá. Eu peço ajuda. Há duas semanas, um dente ficou doente - a dor apareceu quando pressionada. O dente está retificado, como o médico disse. Eles removeram o nervo sob anestesia, colocaram o remédio e mandaram entrar três dias depois. O dente doeu. Eles a limparam novamente, a deixaram aberta e ordenaram a lavagem com refrigerante. Após 3 dias, eles novamente limparam e novamente colocaram o medicamento e um selo temporário. Após 3 horas, ele voltou ao médico, porque a dor era insuportável. O médico abriu e cortou a gengiva. Ela deixou tudo aberto, nomeou ciprolet, nise e enxágüe com refrigerante.
A dor permaneceu com pressão e batidas, mas havia inchaço na bochecha e um hematoma sob os olhos. Antes de receber mais 2 dias. Tudo corre como deveria? O que eu faço?
Olá Este tratamento ocorre com dinâmica negativa. Além disso, por um motivo ou outro, o dentista utiliza uma abordagem rotineira do tratamento, que, à luz das idéias modernas, muitas vezes leva a um fiasco. Eu recomendo entrar em contato com outra odontologia de nível superior. A perspectiva atual (se nada for alterado) é visitas constantes ao dentista + uma alta probabilidade de extração dentária em um futuro próximo.
Boa tarde Há uma semana, a gengiva dos molares estava muito inflamada, a dor pulsava em 26 dentes. Eu tenho uma consulta com um cirurgião. Ele fez uma incisão na gengiva, lavou-a com clorexidina e drenou, prescreveu antibióticos e me enviou imediatamente para tratamento. O terapeuta, vendo que a gengiva está inflamada, fez uma injeção anestésica e começou a perfurar o dente. Narcose não funcionou. Então ela acabou de colocar o arsênico e mandou para casa antes que a inflamação fosse removida. Uma semana depois, a inflamação passou. Na consulta com outro terapeuta, eles abriram um dente, limparam os canais e injetaram o medicamento, colocaram um enchimento temporário. Um dia depois, ela mordeu um biscoito com esse dente e sentiu uma dor aguda. Qual é o problema? Precisa correr urgentemente para a recepção, ou essa dor é a norma?
Olá Com relação à dor ao morder objetos duros após o tratamento do canal, essa é uma variante da dor pós-preenchimento e pode ter várias razões (por exemplo, um médico pode remover muito material de preenchimento além do topo da raiz do dente). Para um diagnóstico preciso, é importante ter uma imagem do dente tratado. Se desejar, você pode enviá-lo para o correio do site, e eu irei comentar. Na maioria dos casos, a dor pós-preenchimento desaparece dentro de uma a duas semanas, mas com erros graves cometidos no tratamento de canais, pode durar meses.
Boa noite, estou tratando os dentes, o último permanece (31 dentes anteriores inferiores com cárie radicular profunda, além de pulpite). Alergia a articaines, tratados sem anestesia. Antes do tratamento, um dente inteiro doía quando batido. 2 vezes coloque uma pasta para matar os nervos, porque depois da primeira vez foi doloroso. Hoje limpamos os canais e os selamos. Eles colocam um selo temporário, mas o dente também dói quando batido. Com o que isso poderia estar conectado?
Eles também tiraram uma foto, não há saída de materiais além da raiz, além de ferramentas abandonadas.
Olá Você escreveu que é alérgico à articaína, mas há, por exemplo, mepivacaína e (em casos extremos) lidocaína. Não creio que seja impossível encontrar uma alternativa ao Artikain.
Quanto à dor ao bater no dente - após um tratamento endodôntico, a dor desse tipo (assim como ao morder) pode persistir por vários dias, isso geralmente é encontrado. De fato, do dente, de fato, o feixe neurovascular foi arrancado, o que é uma lesão.
No entanto, se as dores pós-preenchimento persistirem por um longo período (mais de 7 dias), não será supérfluo verificar o trabalho do médico quanto a erros graves. O fato de a clínica lhe dizer que tudo está em ordem pode se tornar uma informação tendenciosa - seria melhor obter informações em outra odontologia para organizar todas as correntes sobre i. É útil ter em mente que, às vezes, existem dois canais nos incisivos centrais inferiores, por isso é importante olhar a imagem de diferentes ângulos.
Boa tarde Em meados de fevereiro, o nervo foi removido do dente, o inferior 6 à esquerda (médico experiente, de uma clínica particular). Eles o removeram em três doses: o nervo foi removido na primeira dose, um medicamento e um enchimento temporário foram colocados. No segundo, eles limparam e selaram os canais, colocaram o remédio e um selo temporário. No terceiro - coloque um selo permanente. Assim que um selo foi colocado, o dente começou a doer. A clínica disse que tudo estava em ordem e que poderia estar. Duas semanas depois, fui a outra clínica, tirei um raio-x (estou lhe enviando uma foto pelo correio).O médico disse que tudo está muito bem selado e é muito estranho que doa. A dor diminuiu por 3 dias, mas ainda doía ao morder. Após 3 dias, a dor retornou. Eu fui a outro (já terceiro) médico, ele olhou e disse que estava tudo em ordem, talvez eu estivesse resfriado (embora não houvesse sintomas) e não precisasse refazer nada.
Mas a dor não passa, a dor é constante, a qualquer hora do dia, no frio que lateja. Diga-me, isso é possível? Quão perigoso é isso e o que fazer a seguir? Não há força para suportar a dor.
Olá. O selo interferiu e foi verificado se havia exagero? As dores pós-preenchimento geralmente desaparecem dentro de uma semana (em casos muito raros, podem durar meses se houver uma remoção significativa do material de preenchimento fora do ápice da raiz). Na situação atual, pode haver uma superestimação do preenchimento, também é possível que o dente adjacente seja perturbador - por exemplo, com cárie oculta. Se você tem certeza de que o dente que foi recentemente preenchido está dolorido, vale a pena realizar um método de pesquisa adicional - CT. A imagem (impressa) que você forneceu não é muito informativa; às vezes, tudo fica muito bem com elas, embora uma tomografia computadorizada possa mostrar um defeito não detectado.
Para escolher as táticas de tratamento adicional, faça uma tomografia computadorizada - talvez isso esclareça a situação em que três (!) Médicos dizem que está tudo bem, embora seja óbvio que há uma patologia em algum lugar.
Olá, há alguns dias eles removeram o nervo dos oito inferiores, selaram os canais, colocaram um selo permanente. O dente dói constantemente e sinto uma dor aguda quando pressionado. Eu li o que deveria passar com o tempo. Mas outra pergunta me excita: ao encher o canal, apesar da anestesia, senti um “tiro” e uma dor aguda notável quando o médico trabalhou com o instrumento. O médico pediu para ser paciente e disse que é bom, eles chegaram ao osso. Existem sensações de dor ao encher os canais?
Considerando que existem grandes perguntas sobre obturações permanentes, não tenho mais certeza das qualificações do médico. No segundo dia, tomo analgésicos, até ficar mais fácil.
Olá Anastasia. Os métodos modernos de tratamento de canais realmente envolvem a remoção da polpa sem o uso de pastas de arsênico - sob anestesia. Ao encher o canal, mesmo apesar da anestesia, é permitida uma leve dor na forma de uma leve “injeção”, uma vez que a raiz do dente é cercada por tecidos que podem responder a qualquer impacto mecânico. As dores pós-preenchimento são bastante comuns, normalmente desaparecem dentro de 3-5 dias. Se a dor durante esse período não passar, eu recomendo, por precaução, consultar um médico.
Olá. Por favor, responda minha pergunta, obrigado antecipadamente. Na segunda-feira, meus nervos (pulpite) foram removidos. Então, quando eles foram removidos e limpos dos canais, coloque um selo temporário e peça para vir em 2 semanas para colocar um selo real. Durante dois dias tudo correu bem, mas no terceiro dia o dente começou a doer um pouco. Não no sentido de que a dor é insuportável - quando você não toca em um dente, isso não incomoda. Mas se você bater com os dentes superiores, dói e a dor desaparece. O que poderia ser? Talvez eu tenha causado uma irritação nos dentes ou algo assim?
Olá Gleb. A presença de dor nos primeiros dois dias após a instalação de um material compósito temporário, em regra, é explicada pelo efeito de medicamentos incorporados nos canais dentários - essa é uma variante da norma. No entanto, a dor não deve se intensificar ao longo do tempo. Se a dor se intensificar, não recomendo esperar duas semanas, é melhor consultar um médico antes desse período.
Olá.Eu tenho esse problema: há algumas semanas eu estava tratando dois dentes - os sete superiores à esquerda e os sete inferiores à direita. Os problemas eram os mesmos - pulpite. Com o dente superior, está tudo bem, praticamente não doeu após o tratamento, mas o inferior ... Sofremos com isso por muito tempo (o que sou eu, que dentista). Eles não conseguiram remover imediatamente os nervos e selar os canais, pois tudo estava correndo muito. Eles colocaram arsênico e, alguns dias após a remoção do arsênico, começaram o tratamento. Tudo pronto.
Após o tratamento, o dente foi perturbado apenas por uma semana e depois apenas com a mastigação ou pressão no dente. O dentista disse que isso é normal e que em poucos dias tudo desaparecerá. Mas uma semana após o tratamento, a dor tornou-se a mesma de antes do tratamento. Dor dolorosa em algum lugar dentro, cede à orelha e ao lado direito da cabeça. O que poderia ser? Afinal, após exame e pelas fotos, o médico disse que tudo estava normal. Tiramos fotos várias vezes.
Olá Valéria. As razões para a preservação e até mesmo o aumento da dor no seu caso podem ser diferentes - canal não encontrado (perdido) no dente, canal não completamente selado, perfuração da parede do dente durante a passagem dos canais, remoção excessiva do material de preenchimento na parte superior da raiz do dente, etc. uma combinação de várias razões. Não vale a pena adivinhar e esperar até que tudo corra sozinho - é melhor ir a outras 1-2 clínicas, fazer uma tomografia computadorizada e descobrir a causa da dor.
Em março, um dente foi despolpado (cinco acima). O diagnóstico foi de pulpite ulcerosa. Após a despolpação, o dente doeu e machucou, o medicamento e os antibióticos foram trocados várias vezes (9 dias). Outro médico o refez, disse que tudo estava lavado e o material de enchimento saiu facilmente do canal. Ela fez três procedimentos de despoforese para mim, tratamento a laser. Mas o dente ainda falha. Agora, entreguei algum tipo de medicamento novo com o qual ando há dois meses.
Em geral, o dente está dolorido há pouco mais de quatro meses. Houve aconselhamento médico: espere ou faça uma ressecção do ápice da raiz ou remova-o. Fui a outro dentista - eles disseram que o material foi removido para o topo da raiz. O que fazer e quanto tempo esperar? Na clínica em que ela começou a tratar, eles dizem que a remoção do material não é uma complicação no tratamento e por que eles nem sabem o que dói. Embora eu repita, eles aconselham esperar ou fazer uma ressecção. Não consigo mastigar desse lado, a dor é intensa. Ficaria muito grato pelas recomendações e conselhos.
Olá Elena. Após o preenchimento dos canais, é permitida uma pequena dor, que deve passar em um curto período de tempo (geralmente uma semana). Dor longa indica a presença de um processo inflamatório. O motivo é geralmente a remoção do tecido infectado do canal além do ápice da raiz, juntamente com o material de preenchimento. Nesse caso, o próprio material de preenchimento desempenha o papel de uma espécie de lasca nos tecidos ao redor da raiz. Em casos raros, a dor pode persistir por meses, uma vez que o material de enchimento não se resolve.
A ressecção do ápice da raiz do dente pode ser eficaz no caso de total confiança de que todo o canal esteja vedado qualitativamente, ou seja, firmemente. Eu recomendaria que você fizesse tomografia computadorizada (tomografia computadorizada) para avaliar completamente a situação e fazer uma previsão. Se desejar, você pode obter uma consulta gratuita em nossa clínica.
Olá. Há dois anos, havia pulpite no 6º dente inferior. Seis meses atrás, o dente começou a doer por causa do calor. Eles abriram um dente, limparam os canais e disseram para enxaguar com refrigerante e sal. No segundo dia, começaram as dores latejantes (houve um cisto no dente e a periostite começou). Vi antibiótico, lavado. Duas semanas depois, re-limpou os canais. Novamente, começou a dor latejante no dente. Depois de uma semana lavando e bebendo antibióticos, eles limparam os canais e colocaram o remédio por uma semana. Todo esse tempo havia dores doloridas.Em seguida, o remédio foi removido, os canais foram preenchidos (com pasta de resorcinol-formalina) e um selo temporário foi colocado.
Após o preenchimento, a dor se intensificou. No segundo dia, a dor diminuiu, mas seu caráter mudou - houve uma sensação de dor, ceder no pescoço, orelha. Um mês depois, coloque um selo permanente.
4 meses se passaram. Durante esse período, o dente não dói, mas dores no pescoço, ouvido, queixo, ossos da bochecha, há uma sensação de ruptura das glândulas salivares. Eu não mastigo deste lado. Às vezes, se eu tentar mastigar algo macio, a dor se intensifica, se eu não mastigar, apenas periódica. Não há alterações visíveis e vermelhidão das gengivas.
Fiz um raio-x - há uma leve remoção da composição de preenchimento além das duas raízes dentárias (a terceira raiz não pôde passar). Para remover um dente ou não? Essa dor poderia ser de outro dente?
Olá, esperança! A dor no seu caso pode ocorrer por vários motivos:
- superestimação de obturações por mordida;
- ou obturação do canal radicular de baixa qualidade;
- ou reações alérgicas a medicamentos localizados nos canais radiculares (além disso, você escreve que parte do material foi além da raiz).
Ou uma combinação desses motivos. Eu recomendo que você entre em contato com mais 1-2 especialistas e esclareça a necessidade de correção de obturações por mordida. Se isso não for necessário, deve-se considerar o retratamento de canal usando um microscópio endodôntico. E só então, se nada ajudar, já discuta com o médico a opção de intervenção cirúrgica (pode ser possível conviver apenas com uma ressecção do ápice radicular e não remover todo o dente).
Bom dia, por favor responda. Fui ao médico, tirei o nervo, encheu o dente. Então, à noite, a mandíbula começou a doer - em cima de 2 dentes, abaixo de 2 dentes (grande, esquerdo e direito). O que fazer Essa é a norma?
Olá, Cyril! A sensação de dor imediatamente após o tratamento endodôntico e o preenchimento dentário é bastante normal, pois os ramos nervosos são danificados durante o procedimento. Essa dor geralmente é dolorida e dura, em média, cerca de três dias (às vezes até uma semana). Com enchimento adequado, diminui diariamente. Mas existem outras causas de dor, como:
1. Uma reação alérgica com intolerância aos componentes individuais do material, o que é bastante raro.
2. Selo de mordida muito caro.
Se dentro de 2 a 3 dias não houver dinâmica positiva, vale a pena entrar em contato com a clínica para resolver o problema.
Boa tarde 29/08/2018 virou-se para um dentista pago com dor aguda. Eles abriram um dente, limparam os canais, colocaram algum tipo de medicamento (como eu entendi, por inflamação, desde que o médico diagnosticou pulpite). Impondo um selo temporário e enviado para casa. Após o procedimento, era impossível morder um dente, é claro, mais a gengiva doía, pois eu estava muito picada (eles fizeram 3 doses de anestesia, é chamado de alguma forma em D, eles disseram que era baseado em Artikain).
31/08/18 chegaram à recepção novamente, novamente receberam 3 injeções de anestésico, injetaram toda a gengiva (como eu entendi, os médicos são inexperientes ou analfabetos, porque avisei o médico em outra consulta que tenho um limiar baixo de dor e preciso anestesiá-lo para que o sexo do rosto fique estritamente entorpecido, ou seja, para entrar no nervo ou na terminação nervosa ou onde eles o injetam) ... Como resultado, limpamos os canais, verificou-se que eu tenho quatro nervos nos seis inferiores. Durante o preenchimento do canal, o médico os encheu tão profundamente que a anestesia não ajudou, e no momento do toque houve dor intensa. Após o tratamento, o médico alertou que ela pode estar temporariamente doente, pois o material de enchimento cria pressão no dente. Foi assim que, nos primeiros 2 dias em que não pude morder um dente, ficou mais fácil.
E hoje a dor apareceu novamente ao morder alimentos não muito sólidos, mas com o passar do tempo, também dói com a percussão dos dentes.O médico não marcou para tirar fotos - antes e depois do tratamento. Então, não sei dizer como os canais são selados. A gengiva também dói, mesmo com a pressão do lado da bochecha (pelo que entendi, isso é por injeção). Eu estava tratando em outra cidade, não há possibilidade de ir a esse médico novamente, eu dei muito dinheiro.
Diga-me, por favor, o que poderia ser? Talvez você deva tirar uma foto e verificar como os canais estão planejados? Ou correr para o médico? Ou passará por si só?
Olá Natalya! O tratamento do canal radicular é uma operação traumática e dolorosa e, depois disso, a dor no dente pode persistir por até uma semana ou mais (de maneiras diferentes para todos). A julgar pela sua descrição, a situação como um todo se encaixa no caso clássico da dor pós-preenchimento. No entanto, se a dinâmica for negativa, as fotos não farão mal para verificar a qualidade do preenchimento do canal radicular.
Boa tarde Hoje eu procurei um médico para obter ajuda. O sexto dente superior à direita dói. Não há nervo no dente, ele foi preenchido anteriormente. O médico removeu o selo antigo (disse que era fino) e limpou os canais. Ela disse para enxaguar com refrigerante e sal. O dente não é selado, de uma maneira simples - um buraco. Agora eu posso comer apenas no lado esquerdo, porque não consigo pressionar um dente aberto, dói muito. O médico disse para vir em 3 dias. Tudo bem?
Eles fizeram um raio-x mais cedo, disseram que os canais estavam bem fechados (o preenchimento do dente durou 10 anos). Por favor me diga por que ele ficou doente? É realmente porque o selo é muito fino? Obrigada
Olá Olga. A julgar pela sua descrição e reclamações, o problema está associado ao processo inflamatório no ápice de uma ou mais raízes. Depois de limpar os canais, o dente pode realmente doer por vários dias, então isso pode ser considerado uma variante da norma. Mas, por que um dente tratado anteriormente ficou doente, é difícil dizer com certeza sem ter um raio-X na mão. Embora eles tenham lhe dito que "os canais estão bem fechados", não é verdade que sim. Além disso, é impossível excluir uma fratura ou fenda no dente que apareceu uma vez devido ao estresse mecânico excessivo em um dente morto.
Boa tarde O dente ficou gravemente doente quando pressionado. Eu fui ao médico - o médico disse que era pulpite, eles removeram o nervo. Colocamos um selo temporário no canal. Após 1,5 semanas, um enchimento permanente foi colocado no canal. E após 2 dias, o dente estava completamente cheio. Após o tratamento, o dente não se incomodou por um par de dias, então começou a incomodar ao morder alimentos sólidos, a dor passa imediatamente. Fui ao dentista - ela disse que o selo pode estar interferindo e o prejudicou levemente.
Mas a situação não mudou. O que poderia ser, isso é normal? Um selo permanente foi colocado há um mês.
Olá Svetlana. A julgar pela sua descrição, o problema mais provável é a qualidade insuficiente do preenchimento do canal radicular - é possível que ele não esteja selado no ápice da raiz. Nesse caso, uma infecção pode persistir na cavidade esquerda, o que com o tempo causa um processo inflamatório na região do ápice. Faz sentido tomar uma injeção objetiva, por isso recomendo marcar uma consulta com um médico (é melhor não com quem tratou - obter uma opinião independente).
Boa noite Diga-me, por favor: o nervo foi removido, a anestesia desapareceu e a dor está. Essa é a norma ou vale a pena entrar em pânico? Muito preocupada
Olá Elizabeth. Após o tratamento dentário endodôntico, a dor pode durar até uma semana. Muitas vezes, é doloroso morder um dente. No entanto, se durante esse período a dor não desaparecer ou houver uma dinâmica negativa (aumento da dor), consulte o seu médico.
Olá Por favor me diga. Os nervos nos seis inferiores foram removidos há um mês. Dores graves não incomodavam, apenas nos primeiros dias quando pressionadas. Agora, existem dores de tração fracas no dente. Com o que isso poderia estar conectado?
Olá, Olesya. De sua pergunta, não está claro se o tratamento dos canais está completo. Por exemplo, pode ocorrer dor se o processamento dos canais foi mal executado ou se um dos canais não foi encontrado (isso também acontece). Pode haver muitas razões. É necessário um diagnóstico completo (provavelmente, será necessário um raio-X). Eu recomendo consultar seu médico para esclarecer a situação.
Olá Ela tratou os dentes antes de instalar o aparelho. Ao tratar um dente (de acordo com o médico, no dia 37), primeiro o médico não removeu o nervo, mas disse que se ela estivesse doente, então o removeríamos, o que aconteceu. Depois de remover os nervos, o dente começou a doer, embora inicialmente esse dente não doesse, o próprio médico aconselhou remover a cárie. Então o médico tentou repetidamente limpar os canais por duas semanas, colocou o remédio, deixou meu dente aberto e eu o enxaguei. Mas a dor não passou.
Como resultado, fui ao gerente, ela fez um diagnóstico e descobriu-se que partes dos instrumentos quebrados foram deixadas nos três canais. O gerente removeu os instrumentos dos 2 canais, limpou-os e do terceiro - disse que era impossível removê-lo, e até o microscópio não iria para lá, porque a raiz é longa e curva. No momento, ela me colocou remédio e colocou um selo temporário, disse que chegaria a ela em uma semana. O dente continua doendo, eu bebo analgésicos pelo 17º dia. Peço-lhe, diga-me, por favor, o que os médicos devem fazer a seguir com este dente? Vou tirar a foto agora para o correio do site. Seja gentil, ajude.
Querida Daria, olá. De fato, o caso não é simples e o tratamento não foi da maneira mais favorável. A julgar pela descrição, o médico provavelmente fez todo o possível para preservar o dente. A extração de detritos de instrumentos dos canais radiculares requer muita experiência e, ao quebrar um instrumento no terço inferior do canal, raramente é possível extraí-lo. Se a ferramenta não puder ser removida, isso eliminará o processamento e a vedação corretos do canal. Portanto, o dente continua a doer e há uma alta probabilidade de formação de um cisto radicular no futuro.
Na situação atual, existem opções: visite outro endodontista experiente e, usando um microscópio, tente ainda remover o chip do canal. Se isso ainda não puder ser feito, observe o dente dinamicamente. Se a dor não desaparecer por um longo tempo ou até crescer, considere a ressecção do ápice da raiz enquanto remove os detritos. Se a dor passar rapidamente, o dente ainda precisará ser observado regularmente, às vezes tirando fotos - um cisto pode se formar na raiz ao longo do tempo, e você terá que lidar com isso já.
Olá. Fui tratado por cárie em um molar grande, meus neurônios foram removidos, minha pulpite foi curada, meus canais foram limpos. Após o tratamento, por algumas semanas tudo correu bem, e começaram a fortes dores de tiro e latejantes ao beber líquidos quentes, quentes e frios. O médico tirou uma foto, mas está tudo bem na foto, apenas um canal é intransitável e, pelo que entendi, não foi completamente limpo. Eles não abriram o dente, porque não acreditavam que havia problemas, porque a imagem não mostrava nada. Eles também checaram um dente em busca de uma reação quente (eles aqueceram uma ferramenta e a aplicaram) - e eu não senti nada lá. Mas beber e comer ainda é doloroso ((Enviado para casa. Diga-me o que poderia ser? Poderia ser por causa de um canal imundo e intransitável? Obrigado!
Anastasia, olá.É necessário verificar cuidadosamente a condição de todos os dentes do lado da dor - acima e abaixo, pois é possível que outro dente dói (pode haver uma irradiação da dor). E somente excluindo pulpite em dentes adjacentes, será possível decidir abrir um dente previamente tratado para revisão. Além disso, se se trata de uma autópsia, faz sentido fazê-lo em outra clínica - não na onde o canal não pode ir ao topo. É desejável que a clínica tenha um microscópio endodôntico (odontológico); é útil esclarecer com antecedência.
Olá. Em junho de 2016, eu tinha um selo, após o qual um dente foi removido e um selo foi colocado na clínica. Imediatamente após a geada sair, a dor tornou-se insuportável, bebeu analgésicos, mas a dor não desapareceu. Uma semana depois, ela foi ao médico, aconselhou a enxaguar com sal e refrigerante e disse que dói porque havia canais estreitos e ela os expandiu. Após 1,5 meses de ingestão diária de comprimidos de Nise, a dor diminuiu. Mas periodicamente renovado. Fui a outros médicos, mas todos disseram que está tudo bem, está tudo selado e não sei por que reajo com dor neste dente. E ela sofreu por mais de 2 anos até que uma fístula se formou e a gengiva do dente se afastou. O médico perfurou a fístula, espremeu pus e fez a mesma recomendação: sal, refrigerante. Após duas semanas de dor terrível, fui novamente, mas a outro médico que determinou que o septo inter-radicular foi perfurado durante o tratamento e o pino havia entrado nos tecidos moles. O dente não pode ser tratado, apenas pode ser removido. O que fazer Tenho 7, o único dente que mastiga.
Olá Valentine! Infelizmente, levando em consideração sua descrição, não tenho nada para tranquilizá-lo - nesses casos, o dente realmente precisa ser removido, pois é impossível curá-lo. No entanto, após 3-4 meses, será possível restaurar os grupos mastigatórios de dentes usando implantes dentários.
Olá. Em 2011, o nervo foi removido. Primeiro, os recheios antigos foram removidos, o arsênico foi inserido por 2-3 dias, os canais foram limpos, o nervo foi removido e os recheios foram preenchidos com recheios ultravioleta.
Alguns dias atrás, começou a dor no dente em que o nervo foi removido. A dor aumentou, era impossível suportar mesmo em repouso (quando a dor fria diminuía). Papai tem um problema com as gengivas - doença periodontal, os dentes não são submetidos a tratamento e simplesmente caem. Os pinos também não se sustentam (de acordo com os médicos). Eu realmente não quero que seja assim também. Diga-me, por favor, o que poderia ser? Agora outro dente está começando a doer, que foi tratado em segundo (também removeu o nervo). Eu pensei que os dentes do siso estavam subindo, porque havia tremores e uma crise desse lado ...
Durante o tratamento, eles limparam as pedras (a área mais popular são os dentes inferiores do palato). Não notamos pedras nos dentes superiores e inferiores dos lábios. Após esse tratamento, o desejo de ir à clínica desapareceu completamente. Eu moro em Novosibirsk. Não sei para onde ir a uma clínica boa e leal. Tanto quanto ouvi dizer, ao preencher os dentes, eles agora estão tirando fotos antes de polimerizar o preenchimento para saber se ele está localizado corretamente. Nas clínicas comuns, isso não é feito. Qual é a probabilidade de minha dor ter começado devido a um dente do siso?
Boa tarde, Anna! Para descobrir as causas da dor em um dente tratado anteriormente e fazer um diagnóstico, você precisa tirar uma foto direcionada desse dente. A julgar pelo quadro clínico que você descreveu, há um processo inflamatório na região do ápice da raiz do dente (isso é mais provável do que uma conexão com o dente do siso). Mas a natureza e o grau de desenvolvimento do processo podem ser determinados somente após um raio-x. Eu recomendo consultar um médico o mais rápido possível, pois se se trata de inflamação, só pode piorar.
Boa noite No top 5 depois do chocolate, meu dente doía.No dia seguinte fui ao médico. Ela tirou uma foto e disse que precisava remover o nervo. Eles me deram anestesia e arrancaram nervos no mesmo dia. Depois disso, ela me colocou remédio e um selo temporário. Fui assim por uma semana e estava tudo bem. No compromisso seguinte, eles começaram a limpar meu canal e naquele momento senti uma dor aguda. A médica imediatamente parou, tirou um tampão do dente e disse que eu ainda não conseguia encher o canal de choro e o dente. Ela colocou cálcio no meu dente com algum remédio e me mandou para casa por mais 2 semanas. Então eu vim, limpei o canal e enfiei no material de enchimento (como eles diziam, endófilo). Depois disso, fui fazer um raio-x de controle. O médico olhou para ele, disse que tudo estava normal e encheu completamente o dente. Eu já olhei para a foto em casa e vi que o material foi além. Você pode olhar as fotos e me dizer se isso é muito assustador? À noite, minha temperatura subiu para 37,2 e depois de 4 horas eu dormi. Algumas vezes, pela narina oposta, ela soprou coágulos sanguíneos. Estou muito preocupado agora com as complicações desse tratamento. Agradecemos antecipadamente a sua resposta.
Boa tarde, Julia! Sim, você pode enviar fotos para o correio do site indicado na página de comentários: https://stomatology.expertexpro.com/pt/obratnaya-svyaz
A remoção de material além do ápice da raiz pode ser justificada em algumas situações clínicas. Se não houver dor ao pressionar o dente, não há nada de errado nisso. Quanto ao sangramento da metade oposta do nariz, isso não pode ser associado ao tratamento terapêutico, ou seja, não há necessidade de se preocupar com danos ao seio maxilar.
Boa tarde Após a sinusite (em maio), uma semana após o término do tratamento, a dor apareceu à esquerda na mandíbula superior e começou a bloquear a metade esquerda do nariz. Na radiografia dos seios, havia edema parietal residual do seio maxilar - prescritos sprays anti-inflamatórios hormonais, o que não ajudou. Mas a dor na mandíbula diminuiu. Além disso, até hoje, há uma sensação de pressão e estupro na metade esquerda do nariz. As dores no nariz não desaparecem após o tratamento com antibióticos e hormônios. Em tomography de raio de cone de dentes e raio x de dentes - tudo é normal. Mas havia um desconforto na mandíbula, foi a outro dentista e encontrou um blecaute sob o selo no canto superior esquerdo - descobriu-se que havia pulpite!
Na tomografia computadorizada dos seios do nariz, foram encontrados cistos nos seios (esquerdo, 11 * 18 mm e 9 * 11 mm) e manchas de descarga heterogênea em torno de 6 dentes superiores - como um cisto, mas não foram confirmados no tomograma de feixe cônico dos dentes. Durante o tratamento do quinto dente da pulpite, a dor apareceu - dolorida, coze como se estivesse acima da raiz do dente. Essa dor foi a última vez, intensificada quando um enchimento permanente foi feito. Antes disso, o metronidazol era colocado nos canais, mas, como a dor não diminuía, os canais foram abertos por 5 dias - tornou-se um pouco melhor. Então eles colocam cálcio nos canais por uma semana - também sem melhora. É fornecida uma vedação permanente com um pino.
Agora, as dores persistem, o médico bate e pressiona o dente e a gengiva - a dor é a mesma dor, não piora com a pressão. O dentista diz que a dor não é característica do dente e que o cisto no seio provavelmente dói. Como ser Faça sinusotomia maxilar para remover cistos? E se a dor não desaparecer?
Nos seis próximos aos cinco, há um grande selo antigo. Não há problemas nas imagens e na tomografia computadorizada, ao tocar e pressionar não dói, embora quando a gengiva é irritada por alimentos duros, ela marca. Pode ser um problema se as imagens e as tomografias forem boas? O selo é grande, e eles não querem curar com boas figuras, pois será necessário despolpá-lo. Agradecemos antecipadamente!
Olá Lena! Com base na descrição da situação, posso apenas concluir que nem 5 nem 6 dentes são fontes de infecção nessa situação.Provavelmente, inicialmente a dor na mandíbula foi o resultado de um processo inflamatório crônico no seio maxilar. Eu recomendo a continuação do tratamento com um médico otorrinolaringologista - isso parece mais correto do que depilar um sexto dente inocente, pois a tomografia computadorizada e o exame visual não confirmam a presença de um problema nele.
Boa tarde No meu dente da frente a borda foi estendida. Com o tempo, ele apagou e começou a responder ao ar frio. Fui ao médico, meu dente estava coberto com material compósito. Mas os sintomas não desapareceram (o dente também respondeu ao frio). Eu tive que ir novamente, eles me disseram que era pulpite e removeram o nervo. No começo estava tudo bem, mas depois de um mês ele começou a responder à pressão (e à dor). Agora eu tenho uma pergunta: vá ao mesmo médico novamente ou vale a pena mudar de clínica?
Olá Julia! Eu ainda recomendaria entrar em contato com seu médico e a clínica onde você está em tratamento, pois é o seu médico que conhece as nuances anatômicas dos canais do seu dente, conhece os meandros do tratamento anterior e tem uma garantia para você. E somente se não houver absolutamente nenhuma confiança no médico, vale a pena procurar outro.
Olá. Há 2 dias, visitei o dentista, pois ela estava doente 7 na mandíbula inferior. Eles tiraram uma foto - os 6 selados ficaram inflamados. Decidimos destruir o selo e limpar os canais. De lá foram pus. Eles colocaram o medicamento e um selo temporário por 2 semanas. No mesmo dia, depois do dentista, nada doeu - como se nada tivesse sido feito (apenas com pressão). Mas no dia seguinte, uma dor leve e dolorosa começou, somente à noite a dor se intensificou um pouco. Tomei uma pílula - parece que passou. E hoje novamente sem dor. A dor ao morder também passou (a pílula ainda funciona ou o dente realmente passou). Mas o dente próximo (5) começou a doer quando batido. Estou preocupado que a inflamação possa ir até ele, embora ele não me incomode mais. Eu gostaria de entender que, em geral, pode ser, é a norma ou não?
Olá Catherine! Com periodontite purulenta, que, a julgar pela descrição, estava no seu sexto dente, a radiação da dor nos dentes vizinhos é frequentemente observada, inclusive ao morder. Portanto, é muito cedo para pensar em problemas no 5-ke. O tratamento do seu dente está apenas começando (uma saída de pus é dada), continue o tratamento conforme planejado. Um ponto importante: mesmo que nada doa, é necessário terminar o tratamento dentário com o preenchimento dos canais.
Olá. Um cisto foi encontrado no 7º dente. O médico colocou o remédio com iodo, mas o dente continua doendo tanto que mesmo analgésicos não ajudam. É possível salvar um dente em tal situação ou ainda precisar removê-lo?
Olá Elvira! Eu recomendaria que você fosse novamente à clínica (não sofra dores). O médico irá reconduzir o tratamento medicamentoso dos canais radiculares, verificar sua permeabilidade e substituir o medicamento. Se a gengiva inchar, o médico fará uma incisão e instalará a drenagem.
Se todas essas medidas falharem, apenas a questão da extração dentária deve ser considerada.
Olá Há um mês, o canino superior foi tratado. O nervo foi removido. Primeiro, o médico colocou o remédio ali sob um enchimento temporário, porque o dente estava sangrando. Eu fui com o medicamento por 2 semanas. Mas ele reagiu a um dente quente e frio. Após o tratamento, a mesma dor. Reação a frio e quente. Ao morder, o dente não dói, mas ao pressionar a parede do dente na frente, há dor. O que poderia ser? Como prosseguir? Eu li que depois de remover um nervo, um dente pode doer por até dois meses. Responda por favor.