
A remoção de um dente do siso (na maioria das vezes o inferior) é um evento bastante complicado e muito importante. Como o dente do siso (oitavo) pode ter o número mais imprevisível de raízes com curvas complexas e uma localização não padrão dentro da mandíbula, como regra, essas remoções se qualificam na odontologia cirúrgica exatamente como complexas. E, é claro, a pergunta mais popular feita por pessoas que enfrentam a necessidade de arrancar um dente assim - é doloroso removê-lo?
Se o tratamento dentário não levou ao resultado desejado, ou existem certas contra-indicações para a terapia como um todo, por exemplo, um “cisto” na raiz, localização inadequada na dentição e, em seguida, recorra à remoção cirúrgica. A prática mostra que muitos pacientes não entendem a essência da próxima manipulação e geralmente têm medo de procurar um dentista-cirurgião, sugerindo que o dente será muito doloroso de remover.

No entanto, deve-se ter em mente que as consequências da supuração de um dente do siso podem ser muito, muito graves: por exemplo, o pus pode deixar a raiz sob a mandíbula tão profundamente que às vezes leva ao desenvolvimento de um abscesso, fleuma ou sepse. Tais complicações podem ser fatais. Infelizmente, muitas mortes de pacientes são conhecidas precisamente pelo dente do siso inferior.
A seguir, consideraremos pontos interessantes e importantes em relação à remoção cirúrgica de um dente do siso. Também dedicaremos uma atenção considerável à questão da dor do procedimento e das dores pós-operatórias subsequentes, que às vezes podem durar uma semana ou mais.

As etapas básicas de uma extração simples de dente do siso
A remoção de um dente do siso pode ser simples e complexa, refletida nas tabelas de preços das clínicas dentárias. Vamos falar sobre a exclusão simples primeiro.
A simples remoção de um dente do siso implica o uso de apenas pinças e (ou) elevadores como instrumentos cirúrgicos. Ao mesmo tempo, não há incisões nas gengivas, separação das raízes com alguma coisa ou perfuração de um dente no osso. Como a remoção simples, realizada profissionalmente e com precisão, é uma operação menos traumática, é após uma simples remoção do dente do siso que a mandíbula e as gengivas doem menos.

Como em qualquer operação para remover o dente, o primeiro passo é fazer uma anamnese, ou seja, esclarecer as possíveis alergias do paciente a medicamentos, a presença de doenças concomitantes, avaliar a pressão arterial etc. - Todas essas informações podem afetar a segurança durante e após a exclusão.
No segundo estágio, a anestesia é realizada. A maioria das instituições odontológicas remove os dentes do siso sob anestesia local, mas existem clínicas que testemunham extrações simples e complexas sob anestesia quando uma pessoa está inconsciente.

É interessante
Os dentes do siso superiores podem ser "congelados" muito mais fácil e mais rápido que os inferiores. Isso se deve à estrutura das mandíbulas: a mandíbula superior não é tão maciça quanto a mandíbula e possui mais orifícios onde os vasos e nervos saem. É por isso que, para remoções simples e muitas vezes complexas, elas só podem ser feitas lascando as gengivas na área da projeção do ápice radicular do oitavo dente superior. Mas, após a anestesia para o dente do siso, há uma sensação de que todo o lado da face é "retirado": a bochecha, metade do lábio, a ponta da língua e até a orelha e parte da garganta. Como regra, 10 a 15 minutos após a anestesia total, a remoção real é realizada.
O terceiro estágio da remoção simples de um dente do siso é o procedimento para extraí-lo do buraco usando pinças e elevadores. Muitas pessoas estão menos familiarizadas com os elevadores, mas na verdade é uma ferramenta simples.Esse elevador consiste em uma alça em forma de pêra, um eixo e uma peça de trabalho reta ou curva, usando o princípio de uma alavanca que é anexada ao dente que está sendo removido ou à sua raiz, e a parede do orifício ou o dente adjacente serve de ponto de apoio.

Normalmente, uma remoção simples dura de 1-2 a 10-15 minutos (às vezes até 30-40 minutos), após o que eles avançam para a fase final.
No último estágio, as partes infectadas do dente são extraídas, que podem permanecer acidentalmente na gengiva após a remoção de todas as raízes. Nesta fase, a ferida é lavada com anti-sépticos (de acordo com as indicações), às vezes é usado um agente anti-inflamatório e protetor (Alvostaz ou Alvogyl).
Depois disso, vários médicos preferem fechar a ferida para aproximar suas bordas e evitar os riscos de reinfecção e o desenvolvimento de sangramento espontâneo do orifício (isso não dói, pois o anestésico ainda está agindo). Após a remoção do dente do siso, o dentista faz recomendações para o cuidado do orifício.
Extração de dentes sofisticada: o que você realmente deve ter medo
Pacientes que pelo menos uma vez experimentaram o procedimento de extração complexa de um dente do siso (especialmente em uma organização orçamentária) no futuro com muito medo se relacionam com a extração de dente em geral, e por várias razões: devido a, para dizer o mínimo, aumento da dor do procedimento, sua duração, trauma (muito sangue) e difícil cicatrização do buraco, quando a gengiva dói por um longo tempo após a remoção.

O principal significado da “complexidade” da remoção é pré-preparar o dente e, mais frequentemente, suas raízes, para extração com pinças ou elevadores. Para fazer isso, a parte da gengiva é excisada e o volume do tecido ósseo do orifício ao redor do dente é reduzido ou as raízes são separadas. Para esses fins, atualmente é usada uma broca com um conjunto de brocas especiais, além de vários instrumentos cirúrgicos adicionais.





Por que as pessoas da "velha escola" têm tanto medo de remover os dentes?
Nos tempos soviéticos, devido ao pouco equipamento das salas cirúrgicas e, muitas vezes, à estreiteza das habilidades profissionais, os cirurgiões-dentistas usavam a separação das raízes com a difícil remoção de qualquer dente (incluindo a sabedoria) usando um cinzel e um martelo. Se a parte da coroa do dente foi parcial ou completamente preservada, seus restos ou todos foram quebrados com uma pinça. Em seguida, o médico colocou a parte de trabalho da broca no septo inter-radicular do dente extraído e a enfermeira (ou o próprio dentista) bateu com um martelo no punho. Com destreza adequada, era possível obter a separação das raízes em 1-2 golpes, mas às vezes o procedimento de "bater", como parecia para alguns pacientes "na cabeça", era adiado para 1-2 horas! Felizmente, em quase toda odontologia moderna, essa manipulação, que é perigosa em relação a lesões e fraturas da mandíbula e desagradável em todos os sentidos, não é realizada há muito tempo.
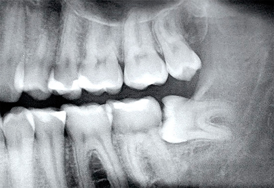
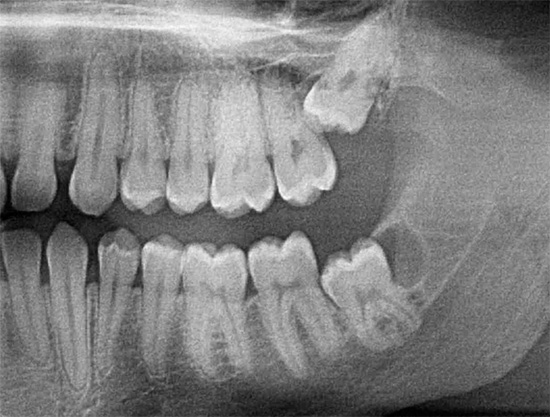
Como o dente do siso costuma ter uma localização não padrão e um grande número de raízes, um raio-X é sempre realizado antes da remoção complexa. Muitos cirurgiões-dentistas não realizam a remoção de um dente do siso sem uma imagem, exceto nas situações mais emergenciais ou quando não é possível fazê-lo imediatamente por várias razões.

Após coletar uma anamnese, os preparativos necessários para a remoção (por exemplo, remover uma pedra e placa de um dente sendo removido, enxaguar a boca com anti-sépticos fracos, etc.), a anestesia é realizada para tornar o processo de extração dentária indolor por um longo tempo. A remoção complexa pode levar de 15 a 20 minutos a 2-3 horas.
Depois de cortar as gengivas, separar as raízes com uma broca e extraí-las do buraco, o buraco é limpo de “sujeira”: resíduos de ossos, pedaços de dentes cariados, resíduos de raízes, serragem. Para fazer isso, as bordas afiadas do buraco são suavizadas com pinças de osso ou uma broca, a ferida é lavada com soluções anti-sépticas, um medicamento é colocado no buraco (de acordo com as indicações) e as bordas da ferida são suturadas. Recomendações são dadas ou é marcado um acompanhamento para monitorar a qualidade da cura.
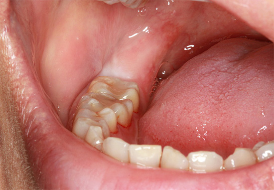
Deve-se prestar atenção especial a uma coluna na lista de preços, como a remoção de um dente retardado (não cortável) e meio dente (parcialmente aparecido). Normalmente, essa categoria reflete o problema comum que muitas pessoas enfrentam quando um dente do siso corta com apenas um ou dois tubérculos através da gengiva devido à falta de espaço ou está localizado sob a gengiva ou no osso.

Isso não traz muita preocupação para a maioria das pessoas, mas, em alguns casos, há situações clínicas em que o dente do siso repousa sobre o próximo sétimo dente, causando dor intensa à medida que o "empurra". A dor também pode ocorrer quando um dente do siso parcialmente aparecido é coberto com uma capa de gengiva, que supina constantemente e seriamente. Tudo isso e várias outras situações requerem intervenção cirúrgica imediata.
A natureza da complexidade da intervenção é determinada pelo cirurgião-dentista em uma instituição especializada e, como observado acima, a remoção nunca começa sem um raio-X. A complexidade de sua remoção depende da natureza da localização do dente no orifício. Se o dente estiver localizado completamente no osso e quase estiver ao longo da mandíbula, a operação poderá demorar muito tempo, à medida que as gengivas forem excisadas, o osso será cortado com a separação da coroa e das raízes dos dentes, seguido de uma extração em fases do orifício ósseo.

Métodos modernos de remoção de um dente do siso sem dor
Para remover os dentes do siso não foi doloroso, existe todo um conjunto de anestésicos que são escolhidos em várias situações clínicas. Na época, o medicamento Novocaine era muito popular, com baixa toxicidade, mas, como se viu, tem uma alta probabilidade de desenvolver várias complicações (por exemplo, alergias, até choque anafilático). Hoje, drogas muito mais eficazes e mais seguras que a novocaína foram desenvolvidas para anestesia.

É interessante
O anestésico da cocaína abriu a era do alívio da dor, mas devido ao fato de ser viciante e muito tóxico, atualmente não é mais utilizado como medicamento em odontologia.
A lidocaína ainda é usada em muitos dentistas, principalmente no orçamento, e mostra bons resultados em força e profundidade de ação, superior à novocaína em 2-3 vezes. Alergia a isso é rara, no entanto, para alcançar indicadores de anestesia persistente e eficaz, é necessário tomar a quantidade do medicamento, e não a qualidade de sua administração.
Como meio para administrar lidocaína, são usadas seringas convencionais de plástico de 2-5 ml com agulhas longas e muitas vezes sem corte. A solução é injetada na zona de anestesia em um volume de 2-3 mililitros a 10 ou mais, a fim de obter um resultado normal.

Com anestesia adequada, remover o dente do siso não fará mal. No entanto, como você já entendeu acima, após a operação, quando a ação do anestésico termina, a gengiva pode doer bastante e por muito tempo. Às vezes, a garganta e a orelha também doem.
Nota
Muitos pacientes experimentaram (e muitas vezes ainda experimentam em clínicas orçamentárias! ”) As“ alegrias ”da anestesia soviética, a partir da sensação de“ esmagamento ”durante a ruptura do tecido durante a introdução de novocaína ou lidocaína na área de“ congelamento ”e terminando com complicações na forma de tonturas, palpitações, medo, etc. Isso geralmente ocorre devido ao fato de uma gota de adrenalina ainda ser adicionada à solução “a olho nu”, o que ajuda a manter a solução anestésica na área de injeção pelo período necessário para remover o dente do siso. Mas o dentista pode erroneamente adicionar muita adrenalina (por exemplo, uma gota e meia - isso já é 50% maior que o normal), o que leva a momentos desagradáveis e até perigosos.
Para evitar todos os "encantos" de trabalhar com anestésicos soviéticos, os dentistas preferem escolher os medicamentos da série articaína (Ultracain, Ubistesin, Septanest e outros), disponíveis para anestesia carpul. O carpule com anestesia é carregado na seringa e a técnica de injeção é praticamente indolor.Ao mesmo tempo, o anestésico na cárpula já está diluído com adrenalina exatamente na dosagem necessária para esse outro caso de remoção (geralmente 1: 100.000).

Se uma operação de longo prazo não for necessária, assim como pacientes de grupos de risco (idosos, crianças, mulheres grávidas, pessoas com deficiência), a anestesia é administrada em carpas, mas sem adrenalina ou com sua diluição aumentada, por exemplo, 1: 200.000. Uma droga do grupo amida Mepivacaína também pode ser uma alternativa. (Scandonest), que não causa vasodilatação na zona de injeção e é liberado sem o conteúdo de substâncias vasoconstritoras (adrenalina), que também é adequado para pacientes debilitados.
O que você pode esperar depois de remover um dente do siso
Depois de remover um dente do siso, muitos pacientes encontram dores de origem incompreensível (para eles), quando nem a causa do problema é clara nem quanto tempo vai doer. Na maioria dos casos, a ocorrência de conseqüências desagradáveis está diretamente relacionada ao trauma dos tecidos ao redor do dente extraído e do próprio orifício.

No entanto, mesmo após a remoção complexa, às vezes não ocorre dor, que é determinada pelo limiar de dor de uma pessoa, parâmetros e técnicas individuais durante a operação.
Uma pequena porcentagem de pacientes após a remoção de um dente do siso queixa-se ao médico de que a gengiva e a bochecha na área de extração e até os dentes adjacentes ao buraco estão doloridos há muito tempo. Muitas vezes nos primeiros dias extração do dente do siso dor ao engolir, dor de garganta, ouvido e até toda a cabeça.
A causa do problema é quase sempre determinada pelo fato de a remoção ser um trauma, e o trauma está associado a um processo inflamatório que ocorre com um certo conjunto de sintomas, dois dos quais são inchaço e dor. É claro que isso é desagradável, mas o "inchaço" na gengiva e na bochecha, especialmente se for pequeno, passa por si só depois de alguns dias. O suficiente depois de retirar um dente do siso, siga rigorosamente as recomendações do médico.

Às vezes, dores de natureza diferente após a retirada de um dente do siso podem durar uma semana ou mais. Em casos raros, a dor é tão intensa que uma pessoa toma analgésicos constantemente.
Às vezes, uma dor aguda que se estende para o ouvido ou para a têmpora se desenvolve após a remoção do dente do siso somente após 1-3 dias: o mal-estar aparece, a temperatura do corpo aumenta, há um cheiro desagradável no orifício. Isso indica o desenvolvimento de uma doença como alveolite - inflamação no buraco.
É interessante
Geralmente, a coisa mais séria acontece supuração no poço após a remoção do dente do sisoquando se torna doloroso engolir no lado da remoção, a abertura da boca fica gradualmente difícil, a gengiva e a bochecha ficam muito doloridas, a dor geralmente causa no ouvido. Nesses casos, a temperatura pode subir para valores altos, e o processo purulento pode penetrar profundamente nos espaços da mandíbula com o desenvolvimento de complicações sérias e até fatais: osteomielite, abscesso, fleuma, linfadenite, sepse e outros. Urgente ver um médico!

Uma visita oportuna a um médico ajudará a evitar complicações graves. Na maioria dos casos, só será necessário limpar o orifício de um coágulo sanguíneo infectado, fragmentos de um dente removido, tecido ósseo, goma traumática, contaminação bacteriana. Além disso, se necessário, pode ser realizado tratamento anti-séptico com a formulação de medicamentos (Alvogyl), suturando as bordas da ferida com a indicação de agentes anti-inflamatórios, antimicrobianos e enxaguamentos anti-sépticos.
Para que após a remoção a gengiva não dói
A fim de evitar dor intensa após a remoção de um dente do siso e impedir o desenvolvimento de alveolite e outras complicações associadas à supuração no orifício e gengivas com cicatrização insuficiente, o dentista-cirurgião fornece recomendações padrão ou também outras que são adequadas apenas para uma situação clínica específica.

Após a remoção simples ou complexa, geralmente leva 20 minutos para segurar um cotonete estéril com os dentes para parar o sangramento gengival. Não coma deve demorar cerca de 2-3 horas. Isso é especialmente verdadeiro após a remoção do dente do siso, pois a anestesia dura várias horas e você pode morder fortemente a bochecha "congelada".
Nas primeiras horas após a remoção, recomenda-se tomar analgésicos (Ketanov, Ketorol, Nise ou outros) e, no dia da remoção, para não fumar, beber álcool, alimentos condimentados e quentes, atividade física e procedimentos de água quente (banho, sauna, chuveiro quente) para profilaxia de hemorragia. Em alguns casos, essas recomendações se estendem por alguns dias após a remoção, uma vez que o aumento da pressão arterial em algumas pessoas provoca sangramento tardio, o que pode ser difícil de interromper por conta própria.

De acordo com o depoimento, o médico prescreve enxaguamentos anti-sépticos com decocções de ervas (camomila, sálvia), soluções quentes de permanganato de potássio, furatsilina, géis anti-inflamatórios e protetores são frequentemente prescritos para aplicação doméstica em um cotonete de gaze estéril por poço: Metrogil Denta, adesivo dentário Solcoseryl ou dr.
Se a remoção do dente do siso for realizada devido a supuração severa ao redor do dente, de acordo com o tipo "fluxo", ou a operação for complicada, o médico prescreverá um antibiótico por 5-7 dias para combater infecções purulentas e evitar complicações repetidas.
Nota Dicas
Dói remover um dente do siso, quanto tempo uma gengiva pode machucar após sua remoção, por que tudo isso acontece - a maioria de vocês já recebeu respostas para essas perguntas. Para aqueles que querem aprofundar, abaixo está uma breve visão geral com dicas úteis.

- Não será possível evitar completamente nem mesmo uma leve dor durante a administração da anestesia na maioria das clínicas, pois nem todos os dentistas possuem novas seringas computadorizadas com controle de qualidade do medicamento.
- Alguns pacientes podem nem ter o chamado anestésico "importado". É por isso que o médico geralmente resolve o problema aumentando a quantidade do medicamento administrado, usando 2-3 ou mais carpules para aliviar a dor, o que aumenta levemente os riscos de desenvolver complicações da anestesia.
- Depois de remover um dente do siso, quase todo mundo precisa de analgésicos para evitar a dor. É melhor tomar a primeira pílula antes do momento em que a ação da anestesia termina, em cerca de 30 a 40 minutos, para que ela já inicie a ação.
- Quanto mais difícil a remoção, mais frequentemente as reclamações sobre dor no buraco depois de remover o dente do siso. Isso ocorre devido a lesões significativas nos tecidos ao redor do poço.
Revisão de "experiente"
“Literalmente, cerca de um mês atrás, experimentei a remoção do G8 superior direito. Eu posso dizer que isso é mais assustador do que doloroso. O cirurgião me deu uma injeção. A injeção em si estava doente, uma vez que eu já vim com uma gengiva levemente inchada, mas era possível suportar. Como o médico disse, minhas raízes não eram muito - elas cresceram em direções diferentes e quase no seio maxilar, então elas literalmente as levaram para mim em partes. Não senti dor ao mesmo tempo. Então o médico costurou a ferida. Após cerca de uma hora, a injeção começou a diminuir e, em seguida, a mais grave começou, houve dores intensas. No dia seguinte, ela também estava muito doente, principalmente quando tentou comer alguma coisa. Salvo por Ketorol. Agora está tudo bem.
Alla, Kozelsk
Vídeo interessante: é assim que a remoção do dente do siso oculta sob a gengiva
O que pode e o que não pode ser feito após a extração do dente ...

Em 21 de maio, o dente do siso foi removido, os oito. O dente, juntamente com a raiz, lembrava a forma de um camarão. Após a remoção, as suturas foram colocadas na gengiva. No mesmo dia à noite, a temperatura subiu 39, e à noite a mesma. No dia seguinte, era menos - 38 era uma vez à noite e tudo se fora, mas as gengivas ainda doíam. Eu bebo Kitolol. Diga-me, o que deve ser após a remoção? As costuras, disse o médico, serão removidas em uma semana.
Minha gengiva ainda dói, há uma semana dores muito severas. O que isso significa?
Marina, e quais foram as sensações quando ocorreu o processo de extração dentária? E quanto tempo levou? Agradecemos antecipadamente a sua resposta! Eu também tenho que fazer isso, apenas com os dentes inferiores ((
Julia! Eles removeram o fundo para mim. Cortar. Ele estava no chiclete, descansou contra os sete e se incomodou. Provavelmente administrado em uma hora, levando em consideração a expectativa de um efeito analgésico. Não havia sentimentos, exceto o medo.
Você não sente dor com uma injeção) Mas os trabalhadores são sim. Meu dente inferior 8 foi removido, dói de engolir, não consigo abrir a boca, debaixo da mandíbula, da qual os lados foram removidos, está inchado e dolorido. Estou me salvando com cetanos.
Quantos sintomas você já passou?
Fui removido por 1 hora. Ele segurou a mandíbula com as duas mãos, para não quebrar.
Hoje removemos o dente do siso (maxilar inferior, na posição horizontal para os outros). Eu estava com muito medo. 2 dias antes da remoção, lágrimas caíram. Excluído para Butovo. Toda a remoção levou 45 minutos (graças ao médico). Ele disse que amanhã virá (eles removerão um chiclete). Espero que cure rapidamente ...
Foi uma remoção difícil do dente do siso inferior esquerdo, um raio-X não foi feito, não foi completamente cortado e havia cárie nele. Isso não o incomodou; se você não começou a mexer, eles disseram que era melhor removê-lo. Eles injetaram analgésicos de diferentes lados, sentiram a injeção, foi um pouco desagradável. Depois de alguns minutos, tudo ficou entorpecido, transferido para a próxima sala, eles disseram que estavam sendo removidos aqui. O médico e seu assistente estavam martelando um cinzel e um martelo (não sei como são chamados na medicina), a zaragatoa era desagradável - como se batessem na cabeça, pensei que os dentes vizinhos também caíssem. Então eles se retiraram lentamente, em algum lugar em 30 minutos. Eles disseram que eu tive sorte, eles dizem, alguns voltam a essas exclusões. O dente ficou muito grande, até os médicos ficaram surpresos - 3-4 cm, mais do que o que você tem nas fotos. O médico colocou remédio no buraco, desinfetou com algo desagradável, quase vomitei com o cheiro desagradável. Eles colocaram um cotonete, deram recomendações, prescreveram uma prescrição de suprastina, dexalgin e outros antibióticos, mas disseram-lhe para comprá-lo apenas com complicações. Depois de várias horas, a anestesia foi liberada em casa e a diversão começou, ele foi salvo por analgésicos, não comeu nada o dia todo, foi bom que ele adivinhou comer antes da remoção. Às vezes já dói 5 dias, dói para comer, às vezes engole. Em uma palavra, nada de bom.
Ontem tirei o dente do siso inferior, e o médico, sem esperar pela ação da anestesia, puxou-o violentamente e rapidamente para mim ... Havia uma dor insuportavelmente infernal, enfiei com ataduras, não processei, o sangue foi chicoteado - esse inferno é esse odontológico de baixo custo! Sem exagero, mas a dor era tão intensa que até gritei em casa e não sabia onde me colocar. Meu marido me apunhalou com analgésicos, depois de apenas uma hora comecei a sentir um pouco de alívio. Há um grande inchaço na minha boca, espero que tudo acabe em breve.Boa sorte a todos que vão participar dos oito, paciência e saúde! )))
Incentivado)
Tirei o "oito" inferior, injetei um anestésico (eles esperaram até metade da língua, metade dos lábios e bochecha ficarem dormentes). Eu estava com muito medo de que fosse doloroso enquanto retirá-lo, todos estavam esperando que fosse doloroso. Mas não doeu nada, eles rapidamente removeram com uma ferramenta semelhante a uma grande agulha de tricô com uma alça, colocaram um anti-séptico e um cotonete grande por cima. Eles não costuraram a goma, mas a empurraram cuidadosamente para dentro do buraco. No segundo dia - não há mais anestesia, as gengivas puxam dolorosamente, mas é doloroso e tolerável engolir do outro lado. O médico disse que esta é a norma, alguns dias devem ser pacientes. Você pode beber analgésico. Os primeiros 2 dias não enxaguam e nem sobem lá.
Hoje eu tenho que remover os oito inferiores. A gengiva inchou perto do dente, agora tenho medo de que a anestesia funcione ...
Seis meses atrás, os oito inferiores esquerdos foram removidos, anteontem - o caminho certo. Na primeira vez em que removeram 15 minutos, após 20 minutos ficou tão doloroso que até virar o pescoço foi acompanhado por lágrimas. Era impossível engolir, com a cabeça levantada, joguei um cetorol na garganta, tentei engolir por mais 5 minutos. Após a pílula, a dor desapareceu quase completamente, mas no dia seguinte uma surpresa desagradável aguardava: úlceras embaixo da língua apareciam, como na estomatite, apenas sem febre. Fui ao médico, fui tratada, por mais 6 dias não consegui comer nada além de kefir.
Anteontem, havia o mesmo procedimento ... Removido em dois minutos, não mais. Somente à noite apareceram calafrios e cãibras, a temperatura subiu para 39,2. Uma ambulância chegou, picada. À noite, a temperatura voltou, mas menos - 38,5. O dia seguinte também não passou. Eu já tenho medo do que vai acontecer a seguir.
Recentemente, retirei dois dentes - colocaremos coroas. Então, no mesmo dia da noite, as gengivas ficaram inflamadas. Liguei para o médico, ela diz que o dentista ajuda muito. Ela começou a enxaguá-los e tudo rapidamente passou.
Tudo é descrito de maneira tão terrível. Removido os oito primeiros, desmoronou muito, removeu cerca de 15 minutos. Não senti dor durante a remoção, apenas uma crise. Depois disso, fui trabalhar, depois que a anestesia passou, o buraco se afogou um pouco, mas tudo é tolerável. Não tomei analgésicos, não havia temperatura, comi apenas um pouco à noite. Tudo vai ficar bem, não tenha medo de nada, o principal é recorrer a uma boa clínica.
Não compare os inferiores com os superiores.
Removido há cerca de 7 horas. O médico disse que o caso é complicado, porque dente grande (mais precisamente, as raízes). Ele tomou anestesia por uma taxa (245 r). Injetado - não doloroso, um pouco desagradável. Começou a remover, disse que não tenha medo de sons crocantes 🙂
Primeiro, a coroa do dente se rompeu (o dente estava podre), mas o médico retirou a raiz em cerca de 8 minutos. Não foi doloroso, é um fato (estou convencido mais uma vez de que geralmente dói apenas depois que você não precisa mais ter medo da remoção). O sangue ainda flui em períodos, mas apenas um pouco (sem sangrar, há um coágulo, então há efeitos residuais na forma de uma coloração fraca da saliva).
O médico encontrou um bom (a propósito, um estado. Clínica, uma sala de emergência no sábado), um jovem.
Durante a remoção, tonto, escurecido nos olhos, deixado deitar com amônia, tudo correu rapidamente. Psicológico, isso geralmente acontece comigo.
Mais uma vez - não tenha medo! No pátio não é uma idade da pedra, é removido quase sempre bem e rapidamente.
No negativo: temperatura 37,5, tremendo. Mas, novamente, tive a mesma coisa depois de remover a pedra do ducto da glândula salivar (reação individual). Vai passar)
Trate seus dentes IMEDIATAMENTE! E seja saudável 🙂
Obrigado por compartilhar. Eu não terei medo.
Removido o fundo há oito meses e meio atrás.Não fiquei doente, não havia inflamação, tinha um dente completamente saudável, não saí da gengiva, os restos de comida caíram sob a gengiva e um odor desagradável apareceu. Eu decidi removê-lo. Eu vim para a clínica, fiz um raio-x, anestesia e outra coisa. Não doeu. Claro, eu tive que cortar a gengiva, puxei por um longo tempo, porque Eu não cortei. Limpei tudo, tirei o cisto, inseri uma esponja com remédio no buraco. Há algo com iodo no olfato e no paladar. Eu também não costurei. Antibióticos prescritos necessários. Para analgésicos - beba o que geralmente ajuda na cabeça. Eu bebi ibuprofeno. A dor da operação até o fim diminuiu após uma semana. Mas não me lembro das dores do inferno, era bastante desconfortável puxar e dormir, não posso fazê-lo nas minhas costas e está doente na minha bochecha. Agora, o único problema é a dor quando alimentos muito quentes ou frios caem nesse local. Junto com isso, um dente próximo reage. O orifício está sendo apertado.
Quero dizer uma coisa, não tenha medo, você terá que suportar um pouco o período de cura, mas é melhor sofrer uma semana do que sofrer dores e desconforto por meses. Se houver os mesmos problemas com os outros oito, sem hesitar, irei para a exclusão. E escolha boas clínicas. Economize um pouco, mas você pode se divertir bastante.
Seja saudável!
O dente inferior 48 entrou em erupção aos 45 anos. Antes disso, ela removeu todos os 8s aos 18 anos. E este teve dores no clima e nas secreções. Perguntei ao médico qual era a descarga e ela respondeu que era um lubrificante. Então eu vivi com graxa por 13 anos. Eu não percebi como o dente se fechava com chiclete. Quando próteses, pergunto ao médico sobre dores. E ele ri: que tipo de lubrificação? Acontece que 13 anos envenenei meu corpo. Agora eles a removeram: cortaram a gengiva, costuraram com suturas absorvíveis, mas poderiam ter avisado que congelaria quando a anestesia começasse a diminuir. Eu teria bebido analgésico com antecedência. Pode-se dizer: não durma nessa bochecha, porque aquece à noite e começa o sangramento. Hoje é o sexto dia, o curativo será realizado no dia 8, ou seja, trocar gaze com remédio no buraco, onde não é costurado. Então você tem que engolir o medicamento. Mas tudo passa, e isso vai passar. Desejo a todos boa saúde e paciência.
Hoje à noite tirei o canto superior direito 8. Tremia de tal maneira que o pobre médico ficou assustado. Os joelhos dela tocavam de medo, não conseguiam segurar as mãos (isso é literalmente). O médico colocou 1 injeção de ultcain e foi dar um passeio, deixando-me sozinho. Depois de 8 minutos, ele veio e acabou de remover meu dente dolorido. A remoção levou exatamente 1 minuto ... Felizmente, cresceu uniformemente)) Não foi doloroso, a única coisa foi a pressão sobre as gengivas, como se elas estivessem pressionando com o dedo.
Removidos todos os 4 dentes em 3 semanas. Sem dor. Anestesia em tempo integral. Empilhados em 10 mil para todos os 4 dentes.
Eles removeram 4 raízes em dois dias.
3 vezes após um resfriado, um dente do siso inflamado. Inferior. Então eu decidi removê-lo. Eu me inscrevi para remoção quando a dor foi aliviada e o tumor desapareceu. Removido em 5 minutos em uma clínica de orçamento. O hospital não foi entregue. Recomendações também. Já 5 dias em cetorol, 4 comprimidos por dia. Dor intensa, dá para o templo, orelha e mandíbula. Fui ao pagador por 3 dias. Lascou a gengiva e limpou o buraco. Ele disse que a dor deveria desaparecer gradualmente. Bem, estou esperando ... nunca removerei o segundo dente do siso. É apenas lata. Por causa de um dente estúpido, 5 dias foram perdidos. E quanto mais vai doer não está claro.
Alexander, olá! Quanto mais você tinha? Sinto dores intensas pelo quinto dia, e o médico diz que está tudo bem ((
Meu chiclete dói pela terceira semana. Eu bebo cetanas. O fim da dor não é visível ...
O menor oito, não estava doente, mas a descarga era fedorenta por baixo das gengivas. O dente não cortou completamente e deixou na bochecha ... Reuniu, anestesiou, cambaleava, cambaleava, achatava-se em uma poltrona, mas arrancava-o inteiro.Cetanos, antibióticos por uma semana e antialérgicos prescritos, banhos com clorexidina ou refrigerante. No dia seguinte, ela subiu na parede e foi salva por analgésicos. Depois de uma semana de dor incessante (o nervo foi tocado, se as raízes estiverem em direções diferentes - isso não é surpreendente), ela se arrastou até o médico. Nomeado uma coisa eficaz - fisioterapia, aquecimento a laser frio. Cada vez que a dor desaparece. O principal é manter um buraco com um coágulo de sangue, não enxaguar, não mastigar do lado da remoção, reduzir a atividade física. E se a dor dói, consulte um médico. Saúde!
Ela removeu os dentes do siso de uma maneira moderna - com enxerto ósseo e sutura da ferida na boca. Muito satisfeito. Nada doeu depois e não houve inchaço. 4 dentes do siso foram arrancados de uma só vez por 1 vez. O material do osso artificial foi colocado em um buraco nos dentes e foi suturado. Ao costurar, nada entra no buraco do dente, e o osso artificial cura rapidamente e tudo é restaurado muito rapidamente. Isso é feito em muitas clínicas na Europa. Aconselho aqueles que têm medo de remover e valorizar sua saúde e tempo.
4 dias atrás removeu os oito inferiores. A remoção foi difícil com a perfuração e, em seguida, foi aplicado 1 ponto. O sangue fluiu por 9 horas até inserir uma esponja de colágeno para interromper o sangramento. Praticamente não havia edema, a temperatura era 37,3 após 3 horas, no dia seguinte pela manhã 37,4. Ketanov bebeu minha garganta doía, era impossível abrir a boca normalmente, no segundo dia de um banho com clorexidina ou tintura de eucalipto. No terceiro dia, o dente adjacente (7) começou a doer e foi completamente selado com os canais. Uma substância branca formada no buraco, disse o cirurgião, deve ser assim. Em suma, está tudo bem, você pode aguentar, mas o dia 7 começou a se esforçar, esse não é um momento muito agradável, é realmente necessário fazer algo com isso?
Há três dias, ele imediatamente removeu 4 dentes do siso de acordo com a técnica com enxerto ósseo! Devo dizer que li comentários na Internet e fiquei com muito medo! Mas tudo correu bem, graças ao médico pelo profissionalismo! Após a remoção dos dentes, os orifícios foram preenchidos com osso artificial, processados com laser e costurados. Sentimento de desconforto agora, mas sem dor, sem temperatura, sem sangue fluindo. Eu acho que tudo já curou. A boca se abre bem, a garganta não dói. Como resultado, entendo que fiquei com muito medo em vão, não me arrependi do dinheiro por nada e eles o removeram com replantio! Eu recomendo.
A remoção é desagradável. Mas os migrantes são horror, eu quero morrer.
4 dentes foram arrancados de cada vez. A operação demorou muito tempo, 2 horas, no final, senti dor. É estanho; não desejo isso ao inimigo. Não tenha medo, não dói se rápido. Dói - quando a enfermeira faz as injeções às 6 da manhã.
11.24.15 Ela removeu o canto inferior esquerdo oito, cresceu incorretamente, a dor começou, a ponto de não conseguir abrir a boca. Excluído no estado. clínica, mas por uma taxa. Ele era um jovem médico, fez tudo rapidamente, aplicou uma injeção termonuclear, meia cabeça foi tomada)) Ele não cortou, também não cortou em partes, retirou-o como um todo. No total, juntamente com os 15 minutos em que esperei a anestesia funcionar, demorou cerca de 25 minutos.O dente era grande, o buraco era enorme, o osso da mandíbula ainda dói, mas não há inflamações ou inchaço dos tecidos moles da própria gengiva. Periodicamente eu vou, eu apareço. Mas já cansado de analgésicos. Ainda temos que rasgar o primeiro, também o número oito, não sei quando vou decidir agora.
Três horas atrás, removeu o canto inferior esquerdo "oito". Eles apagaram a hora com um pouco, não doeu nada, mas por causa do medo de que doesse, eu fui golpeada e torcida em uma poltrona. Eles perfuraram, quebraram, escavaram, como se com um perfurador, que eles simplesmente não fizeram, mas tudo desmoronou. Como resultado, retirado em partes. Eles colocaram o remédio e o serviram. O médico receitou antibióticos, suprastina, nise e imudon.Parece que está tudo bem, apenas a anestesia começou a retroceder e subi nas paredes novamente, como dizem, esperei por dor) Bebi um nise, ao que parece, deixo ir, espero o próximo ataque. Exatamente há um ano, eu removi o "oito" inferior direito em 10 minutos, esperava, e então ele daria uma carona, não mais. Em geral, quero dizer: curar, pessoas, dentes na hora certa, e tudo ficará bem, e o mais importante, tenha medo - tudo é suportável! (Parir cem vezes mais doloroso). Quero agradecer ao médico - Ganina Marina Valentinovna - este é um médico de Deus! E para cuidar da Natasha. Muito obrigado pelo seu trabalho e bons corações! Ecaterimburgo
Não sei, não sei, excluí 8, quando meu filho tinha apenas 3 meses de idade, ou seja, as lembranças estão frescas em minha memória e, por algum motivo, pareceu-me por algum tempo que era mais fácil dar à luz)) E seria melhor se eu desse à luz novamente do que sofresse essa dor depois de remover o dente do siso. Apesar de terem feito anestesia para mim e, não esperando que ela parasse completamente em ação, quando cheguei em casa, imediatamente me dei uma injeção de dexalgin ... Mas doeu muuuuito que lágrimas rolaram no saraiva ((
Como eu te entendo! A criança tem 6 meses de idade. Fui para a remoção do canto inferior esquerdo 8. Tudo correu rápido, as raízes estavam normais, o dente também, 2 anestesia - uma realmente não funcionou. Removido às 18:00. À noite, às 12 horas, começou ... Dói muito, eu queria gritar, não posso tomar analgésicos, já que alimento o bebê com leite. Estava entrando no templo, a cabeça estava quebrando, o templo estava correndo, de modo que era impossível dormir em uma posição normal. Esta noite foi mais dolorosa do que trabalho de parto e parto, com certeza))
Hoje, o dente do siso superior direito foi removido na policlínica habitual da cidade livre em Togliatti. Raisa Andreevna Abramova - uma médica de Deus, não tenho medo de grandes palavras. Eu a procuraria de qualquer outro lado do mundo. Não mais que 5 segundos, tudo durou, o dente doeu e foi deformado pelo selo solto. A anestesia já trabalhou em casa, mas não é mais importante. Procure bons cirurgiões e ficaremos felizes por você.
P.S. Antes de tomar o coração doía de medo))
Há uma semana, tirei dois dentes do siso à direita, estava com medo, embora por natureza sou uma pessoa calma, porque Eu tenho medo de médicos desde a infância e até desses dentes. Mas tudo correu bem, graças aos maravilhosos médicos em 1 mel. (São Petersburgo). Embora meus conhecidos me assustassem aqui com histórias sobre a extração de seus dentes, e minha mãe também sofria terrivelmente. Eles escavaram um dente, provavelmente 40 minutos, até que ele saiu. Ele também era grande e estava muito doente. E a minha de baixo saiu rapidamente, e a da direita até triturou um pouco. Demorou 40 minutos. As feridas foram suturadas com suturas absorvíveis. Após a retirada da anestesia, tudo também doeu, e no dia seguinte doeu, mas ela pediu medicação para dor apenas uma vez. Eles tiraram uma foto depois e fisioterapia. Antibióticos prescritos e terapia com exercícios. Agora é melhor, você só precisa fazer um check-up. Não tenha medo, o principal é encontrar um cirurgião experiente, e tudo ficará bem.
E os dentes estão retidos. Agora, quando sarar, vou remover os 8s esquerdos. O épico está apenas começando.
Hoje retirou o direito oito. Eles fizeram anestesia, depois de 10 minutos eles ligaram. A remoção em si levou cerca de 3 minutos, fiquei com mais medo, não senti nada. Eles colocaram um curativo no buraco e mandaram para casa. Eles disseram que 2 horas não comem e não enxaguam. Agora que a anestesia já passou, pequenas dores dolorosas começaram. Mas tudo é tolerável, eu não tomo analgésicos.
O canto inferior esquerdo dói após a remoção, eu bebo analgésicos. Espero que passe rapidamente, a gengiva já dói há três dias.
Removido recentemente um dente do siso na mandíbula inferior à direita. A remoção não foi nada dolorosa, apenas assustadora. Ela também fez um raio-x. A raiz era plana, então não havia problemas. Eu acho que sim. E amanhã eu vou remover o dente à esquerda. O raio X mostra que a raiz não é muito uniforme. Muito medo de remoção.
Removido o fundo oito horas e meia! Então um colapso nervoso, tremendo de tudo. Ossos serrados, ocos, serrados, arrancados em partes, três vezes radiografaram. Foram feitos quatro pontos, depois os compromissos padrão e voltamos para casa! Uivar de dor, uivou mesmo, nem podia chorar. Clínica paga. Agora eu acho que o médico rukozho * ️ dente pouco ou realmente tão complexo ((
Eles removeram o dente do siso inferior, não doeu, mas quando a injeção acabou, doeu. Dói onde eles injetaram, babar é doloroso de engolir. O que fazer
Removidos os oito primeiros, no Daguestão) Removidos em 5 minutos, e sem complicações.
Onde exatamente foi removido, não conte?
Não sei como os outros sabem, mas minhas gengivas e dentes ao meu lado doem. E tirei o fundo há oito dias atrás ... O período pós-operatório é complicado, ainda tomo o remédio para dor Nise e enxágüe com Estomatófito.
Hoje, 16 de fevereiro, eles removeram a figura oito à minha direita. Os analgésicos ainda não desistiram. Uma noite divertida por vir. O médico colocou dois pontos. No ano passado, saiu e saiu sem costuras, mas desta vez algo não é tão fácil.
Três dias atrás, eles removeram o canto inferior esquerdo oito, fizeram na clínica de orçamento em Yevpatoria, esta é a Crimeia. Eles fizeram anestesia, esperaram cerca de dez minutos. Quando o médico começou a remover, senti dor, avise-o, ele também acrescentou anestesia. Removido com pinça e elevador. Era suportável. Agora dói muito, ajuda Nurofen. Em geral, tudo correu mais ou menos, graças ao médico, sobrenome Turkach. Espero que tudo cure em breve 🙂
Mas já consegui remover os oito melhores anos atrás e tudo foi maravilhoso! Desna estava doente, mas sem ela, porque é uma operação. E hoje, removidos os oito inferiores, as sensações são diferentes. Foi um pouco doloroso quando o médico o arrastou, mas suportável. Eu sou um péssimo covarde e me ajustei mentalmente para remover o dente de hoje! Por dois anos inteiros. Era necessário remover mesmo assim a pergunta seria encerrada! Agora a anestesia ainda está ativa, mas eu bebi Ketorol. Não tenha medo e, se necessário, arranque esses dentes estúpidos! )
Ah, eu tinha muito medo de dentistas até recentemente, porque a anestesia nem sempre me levou durante o tratamento e quase todo o tempo eu sentia dor e desconforto. No ano passado, me mudei para morar em Moscou e, consequentemente, mudei de dentista. Por recomendação de uma amiga, ela se voltou para a clínica e percebeu que ir ao médico pode ser não apenas indolor, mas também agradável. Quando dois dentes do siso foram removidos, pedi anestesia e eles foram submetidos à anestesia, na qual fiquei consciente, mas o medo desapareceu completamente. Então agora eu e o medo dos dentistas somos duas coisas completamente opostas.
Tirei a 8ª no dia 10, tudo correu em cerca de 10 minutos, e havia algo em casa: temperatura, dor, deglutição geralmente são insuportáveis. É o lado direito que sofre, cede no ouvido, a boca quase não se abre. Fui ao médico - disse que tudo está limpo, bom da parte dele! O fato de que dói de engolir não é tempo suficiente. E se você for para otorrinolaringologista, também não está claro como ele olhará para a garganta se a boca dele mal se abrir. De alguma forma, até agora, tudo é triste!
Acabei de remover os oito. A coisa mais dolorosa foi a injeção - foi alguma coisa. Agora ainda não sinto nada, um tampão com remédio no buraco. E uma lembrança de dente como um prêmio reconfortante. Removido pelo elevador, não doeu nada. A única coisa é que está muito quente, provavelmente a temperatura. Vou pegar o segundo no outono '
Foram removidos 8, seis meses dor de garganta neurológica inferior, dormência das gengivas, língua - não vida, mas horror. Amanhã na consulta com o cirurgião maxilofacial.
Hoje eles puxaram um oito perfeitamente saudável à direita, enquanto coçavam fortemente suas bochechas ((apenas machuca a bochecha ... Eles puxaram por mais de cinco minutos e demorou mais de dois anos para se preparar para isso) 🙂 Deus, todas as regras serão. Anestésico não é necessário.
Hoje retirou um dente do siso na parte superior da cavidade oral esquerda. Dor atormentada nas gengivas. Eles fizeram uma injeção, que começou a agir desde os primeiros minutos. Verificado mesmo na bochecha, um pouco, embora 🙂 Dente puxado após 15 minutos. O processo de extração do dente levou 3-4 minutos, não parecia nada, era estranho que houvesse tantas experiências, mas, na realidade, tudo se mostrou muito indolor e rápido) Depois de uma hora, o efeito da anestesia começou a declinar. Como você não pode comer e beber por 2-3 horas, tive que sofrer um pouco. Tomei um comprimido de Nise e é isso, menos de 12 horas se passaram desde que o dente foi arrancado e não sinto dor e desconforto. Pah-pah-pah. E ela fez tudo isso na odontologia gratuita, eles nem levaram dinheiro para uma injeção.
Hoje, o dente do siso foi removido (a gengiva começou a doer há quase uma semana, a supuração apareceu nos últimos dias). O dente foi removido na clínica de KMK Novokuznetsk.
O médico administrou uma injeção de analgésico (não senti dor) e, após 10 minutos, eles começaram a removê-lo. Pareceu-me que não passavam mais de um minuto desde o início da remoção completa. Não senti dor no processo, nem percebi que o dente foi removido até o ver no fórceps.
5 dias atrás, removeu o 8-ku inferior à esquerda. Não foi doloroso vomitar e você não sentiu nada, exceto que o cirurgião pressionou com toda sua força masculina o dente com uma pinça, ela pensou que iria quebrar nafig. Ok ... Os moradores eram geralmente terríveis, não comiam nada, o tumor começou à noite (mas isso é compreensível, porque a gengiva foi cortada). O tumor desapareceu em 4 dias. Mas estou preocupado com esta pergunta: amigos, por favor, me digam, alguém já fez e fez, ou preciso procurar um médico - ainda não consigo abrir a boca e ter uma normal, parece que estava do lado em que eu estava o dente é removido, a articulação quando você clica nos dedos, exatamente como aqui. Ele quer clicar, mas não pode. E ainda: não há tumor, mas na bochecha ou na gengiva, não consigo entender, um inchaço duro. Obrigada Esperando por suas respostas.
Olá Danos à articulação com remoção complexa (especialmente com pressão excessiva na mandíbula) são bem possíveis. Eu acho que você já teve problemas com a articulação (é um clique quando mastiga), mas por esse período de tempo eles pioraram. Não deixe de entrar em contato com o cirurgião maxilofacial, é melhor para outro - um médico independente que se concentrará no diagnóstico de um possível problema na ATM. Quanto à gengiva: posso dizer à revelia que após a remoção (especialmente como você a descreve), os tecidos esmagados e “rasgados” não são reunidos tão rapidamente e nem sempre tão suavemente quanto gostaríamos. Daí a "protuberância", embora um exame na cavidade oral seja bom. Não deixe de consultar um médico para que a cura desapareça sem problemas. Obrigado pela pergunta.
Ontem removi o top 8. Assim que cheguei em casa, a temperatura 37.9 se tornou, meus ossos estavam tremendo e estourando. E à noite a temperatura é 39. Agora ela salta a cada meia hora, calafrios, quebra ossos, não consigo andar. Hole estava doente ontem, sentou-se em analgésicos, foi doloroso para comer. Após 6 horas tentei, engoli estupidamente, não conseguia mastigar. A ferida não foi suturada, embora a gengiva tenha sido cortada, não saiu, eles a retiraram por meia hora. Agora estou deitado com uma dor nos ossos e uma temperatura, prescrevi um amoxiclav e banhos de sal com soda com iodo.
Há 7 dias excluiu os oito últimos. O dente saiu no meio do caminho. Dente escavado, afrouxado. Após 20 minutos, o todo se arrastou para fora. Bebi os primeiros 3 dias de analgésicos. A partir do terceiro dia, lavo com camomila. Ainda não consigo abrir a boca normalmente e a ferida está doendo ou o dente adjacente - não consigo entender.Diga-me, por favor, isso é normal?
Olá Após a remoção complexa do dente do siso, a cicatrização do alvéolo ocorre com sintomas inconvenientes. A criticidade da situação pode ser evidenciada pela alta temperatura, inchaço, incapacidade de abrir a boca, mesmo para ingerir alimentos líquidos, hálito pútrido e dor persistente que pode nem parar com os analgésicos. Apesar disso, com base em minha experiência, recomendo que meus pacientes venham ao exame do buraco para controlar mesmo sem sintomas. Aconselho que consulte o seu médico para ajustar o tratamento ou obtenha uma consulta completa. Obrigado pela pergunta.
Durante 3-4 dias, fui atormentado por fortes dores ao engolir, minha boca não conseguiu abrir mais de 1,5 cm, parei de comer, vivia apenas tomando um anestésico. Eu pensei, deslocando a mandíbula inferior, pois ela perdeu a mobilidade anterior. Com dor aguda, ela procurou o médico de cirurgia maxilofacial em Nizhnekamsk, que recomendou a remoção urgente de um dente do siso purulento. Ela não conseguiu dormir antes da operação, depois de ler todos os filmes de terror de remoção. Hoje ele removeu os oito inferiores)) O mestre de seu ofício, rápida e profissionalmente em 5 minutos, retirou-o como um todo, sem contar os 5 minutos gastos em anestesia. As raízes do dente eram curvadas e espalhadas em diferentes direções. A vida é bela quando você pode engolir saliva sem analgésicos! E quando há médicos por perto em quem você pode confiar!
Ele excluiu dois oitos de uma só vez, sob anestesia geral no CHLH. Serrado, oco, mas arrancado. Eles cresceram em um ângulo de 90 °. Após a operação, duas horas depois, ele estava comendo)) Três ou quatro dias no hospital, uma semana depois ele foi trabalhar. Se você está preocupado, rasgue sem pensar!
Então Me dê os 8 últimos ontem. Posição deitada. O caso é muito complicado, as raízes estão enroladas, o dente fica a 3 cm na minha boca pequena. Então Eles injetaram 6 injeções em mim, porque ao perfurar um dente em partes, senti muita dor. Eles arrancaram um dente o melhor que puderam. O queixo pareceu quebrar. Todo o processo em algum lugar levou 1,5 horas, incluindo anestesia. Após a última injeção, não senti mais nada. Apenas fadiga e medo. Depois que eles costuraram a gengiva e disseram para virem para o curativo. E assim, ontem foi sexta-feira, hoje é sábado. Uma bochecha dói como o inferno, dói de engolir. No interior, nos locais de injeção, contusões, é impossível dormir. Comi levemente com grande dificuldade. Apenas anestésico ajuda. Eu bebo Nurofen. A propósito, eu ainda estou na GV. Na segunda-feira, é claro, eu vou para o hospital. Mas, apesar de toda a deplorabilidade, fico feliz por ter removido esse dente. Ele também estava doente quando tentou sair e pressionou o 7º. Em geral, a dor só precisa ser sobrevivida e tudo ficará bem)
Olá Alguns dias depois de comer, especialmente depois de um doce, os oito mais baixos dói. Depois de enxaguar com refrigerante e sal e uma pasta de metrogil dent, a dor diminui. Quando você clica em um dente - sensível. Como ser
Olá Até agora, de acordo com seus sintomas, parece que isso é cárie ou os primeiros sinais de pulpite, mas o aparecimento de dor ao pressionar um dente é um pouco confuso. Talvez seja uma combinação de dentição difícil. Pessoalmente, prefiro os dentes do siso normalmente em erupção para curar como esperado. Seu tratamento geralmente não é tão complicado quanto muitos pacientes pensam. Mas se a figura oito não se encaixava normalmente na dentição, causa uma mordida na bochecha, não corta até o fim, etc., faz sentido pensar em removê-la, embora a última palavra esteja aqui para o seu médico.
Em geral, para os dentes do siso, a pergunta é "como lidar com eles?" muito individual. Existem muitos médicos que defendem a remoção com base no princípio de uma frase bem conhecida do filme: "Corra para o inferno sem esperar peritonite!" Ou seja, mesmo os dentes do siso localizados corretamente são propostos a serem removidos para prevenção, pois no futuro eles costumam causar problemas. Eu pessoalmente advogo uma abordagem diferente (como muitos médicos): primeiro examine o dente, analise sua condição, entenda a posição do paciente e chegue à conclusão final - o que fazer.Expliquei isso a você uma abordagem possível, e cabe a você e ao médico decidir se deve tratar ou remover. By the way, contornando 3-4 médicos para uma consulta em tempo integral, você pode obter opções completamente diversas para resolver o problema.
Excluídos os oito e sete inferiores esquerdos. Os sete eram necessários e os oito para a empresa: sem cortes, deitados na horizontal. Eles o injetaram três vezes, a dor nos oito ainda era sentida, mas suportável. Os sete foram removidos em 3 minutos, os oito foram removidos por cerca de uma hora: dente grande, raízes tortas. Eles cortaram as gengivas, serraram do osso, arrancaram em partes. Parece assustador, mas se você não abrir os olhos, é como se nada)) Costurado, parece decente.
Algumas horas após a operação, começou a doer. O suficiente para um comprimido de analgésicos. O edema atingiu o pico no terceiro dia e depois começou a diminuir. A temperatura ficou em 37,1 por dois dias. No terceiro dia, o cheiro desagradável da ferida e a dormência da bochecha e dos lábios estavam preocupados. Pareceu ao cirurgião, ele disse, está tudo bem, não há sinais de inflamação, é melhor enxaguar, a comida permanece. Fiz o que disse - parece que o cheiro desapareceu. A dormência passou por si só quando o inchaço começou a diminuir.
Hoje é o sexto dia. A mandíbula dói ocasionalmente. Não muito, mas intrusivo.
Para todos que estão com medo, olá)) Por que você está com medo? )) Portanto, se você o lê, antes de ter a perspectiva óbvia e próxima de remover os oito e tem medo, caso contrário, você não o leria. Então, eu sou um adulto, 40 anos, criado na época soviética por dentistas soviéticos com estomatopofobia clara. Tenho medo de dentistas, não, não tenho medo, mas estou entrando em algum tipo de frenesi e não consigo me conter. Mas hoje, pressionado pelas circunstâncias e pelo fato óbvio de que, se não o excluir, também perco os sete, fui remover os oito primeiros, como um cordeiro no matadouro. Reli vários sites, resenhas, sei muito sobre o procedimento de remoção que, se estivesse em uma ilha deserta, poderia fazer tudo sozinho))) Mas isso é humor, mas na verdade ...
Chegando na hora marcada, fiz um esforço incrível para mim mesma, para não cair imediatamente sob nenhum pretexto e entrar na clínica. Declarei imediatamente que se agora eles não derramarem algo em mim ou desligarem minha consciência, afastados em algum lugar pelo medo mais próximo da minha bunda, então não posso me certificar e estou pronta para provar isso imediatamente, desmaiei. Aparentemente, eu não sou o único, eles me olharam com o sorriso de um médico olhando para um idiota, espirraram um valocordin, os colocaram em uma cadeira e, sob o barulho das minhas mandíbulas (por medo), começaram a preencher alguns pedaços de papel que eu voluntariamente inscrevi e responsabilidade entender e aceitar))
Um médico de tremendo entendimento e com um grande coração, até me permitiu apegar-me à música para que eu não ouvisse barulho em meus cantos dentais e comecei a ser sacerdotal ... Tudo, isso é um rubicon, não há como voltar atrás, e eu relaxei e me rendi à vontade do destino.
Eles fizeram uma injeção, não dói nada, a única coisa que você sentirá é uma injeção leve e depois no palato. Tudo, não haverá mais nada, não espere, nenhuma sensação. Sério, aparentemente não dói, a anestesia é tal que eu poderia remover facilmente metade dos molares e não entenderia nada. Em geral, não dói, nem um pouco, nem um pouco, em geral! Fiquei surpreso, dirigi mais, depois de uma hora eu já estava sentado tão feliz quanto um elefante, e me senti como Colombo, que descobriu a América)) É isso. O fim da história. Comprei Nise, um monte de pílulas prescritas por um médico, e estou sentado no trabalho. Vá e não tenha medo, você não sentirá nada, garanto.
Para comentar o respeito, o horror ecumênico foi substituído pelo menos pelo medo que tudo consome))
Tirei os oito, o mais recente dos 4! E o mais desajeitado, o dente sobressaiu apenas parcialmente, tudo estava embaixo da gengiva. Eu estava muito preocupado com a forma como seria extraído. O cirurgião foi transportado por tempo suficiente, mas ele não precisou cortar a gengiva, o que o agradou.Ele arrancou um dente e pedaços de raízes. Eles não fizeram nada - disseram que apenas dissolvem os comprimidos de Trachisan lentamente para aliviar a dor e aliviar a inflamação. Afogado apenas alguns dias, a temperatura não estava de todo. Agora tudo está cheio lá.
Eu apaguei os oito inferiores, na horizontal, na quarta-feira, 11 de maio. Um pequeno pedaço, no entanto, espreitava pelas gengivas. Em princípio, ela não me incomodou, com exceção dos pontos de higiene - a comida entrou na brecha entre eles. Tendo lido e visto o suficiente sobre esses dentes, percebi que, mais cedo ou mais tarde, tive que me separar. Tirei uma foto e fui para a clínica. Mas eles me disseram para ir ao hospital regional do ChLH. Chorei que tudo estava tão sério e me acalmei por quase um ano. Mas esse dente era uma lasca no meu cérebro, mas não havia coragem suficiente.
E agora, quase um ano após a foto, minha gengiva estava inflamada, começou a engolir, mastigar dolorosamente. E eu percebi - chegou a hora. Eu fui a uma clínica particular (para outra) e o médico, olhando minha foto, disse que ele faria tudo. Tudo correu em 25 minutos. Até a injeção em si não foi dolorosa. Todos tremeram de medo. Ela sentiu pressão, chocalho. Então ela abriu os olhos e percebeu que eles já estavam suturando (nos fios que pairavam diante de seus olhos) - não doía. Então doeu, é claro. Não se falava em comida.
Hoje (no dia 5), apenas o pão do chá conseguiu absorver. Não consegui abrir a boca, tudo parecia doer: tanto a língua quanto o pescoço e todos os dentes desse lado, era doloroso falar, engolir era insuportavelmente doloroso. 2 dias seguidos, fui ao médico, ele sentiu tudo: dentro e fora. Picada de cefriaxona prescrita. Eu ainda miramistin irrigar a cavidade e absorver a laripront. Hoje é o quinto dia - ainda sinto dores (toleráveis) na gengiva, às vezes no ouvido e em algum momento na garganta. Mas, como o médico disse - você precisa abrir a boca para preencher os tecidos e músculos com suprimento de sangue, em geral, para que funcionem. Espero que seja melhor em breve.
Quão normais as gengivas e o buraco podem doer / machucar depois de remover os oito inferiores? Eles escrevem nos sites por 1 a 2 dias, mas eu já fiz 3.
Todos individualmente.
Olá A duração da dor após a extração do dente nem sempre se encaixa em 1-2 dias. É diferente para todos - alguns têm dores mais rápidas, outros mais lentos. Além disso, qualquer efeito no orifício de cura (mecânico, químico, temperatura) pode causar irritação, acompanhada de sensações dolorosas.
Se, além das dores doloridas, não houver outros sintomas que possam suspeitar de um desvio da norma (alveolite, por exemplo), você não poderá ir ao dentista, mas siga as recomendações e fique calmo. Caso contrário, é necessária uma consulta ao dentista.
Comentários legais. Eu leio tudo Sobre a remoção das histórias reais de "plantio"? Se assim for, então isso é maravilhoso. Resolva tudo de cada vez. Em breve, também removerei meus oito para corrigir a mordida, pois foram os oito do lado direito que afetaram a mordida e, do lado esquerdo, já estava triste. Espero que minha lógica esteja correta.
Hoje retirou o oito inferior direito. Minutos 3 no máximo, não doeu, embora o médico tenha dito que ele precisaria mexer (o dente estava orientado para a bochecha). 3 horas se passaram, a injeção está saindo, estou esperando o que acontecerá a seguir ...
Suprastin foi prescrito para a noite e Augmentin, lavagem disse não fazer.
Há uma semana, eles removeram os oito no canto superior esquerdo. Policlínica estadual em Naro-Fominsk, de acordo com a apólice de seguro médico obrigatório. O médico é excelente, a atitude é excelente! 5 dias injetado um antibiótico, bebeu Suprastin. Se é possível remover gratuitamente, por que não ?! Aliás, quase todos os médicos que trabalham em hospitais públicos também praticam em hospitais particulares. Boa sorte a todos!
Tirei um dente do siso inferior da maneira usual e o segundo com ultra-som. A diferença é gigantesca! Depois de remover os oito inferiores da maneira usual, houve dor intensa por 2 semanas, um grande inchaço e uma boca aberta por apenas 5 mm. Após a remoção do dente do siso, o ultrassom mostrou dor leve por 3 dias, que eu removi com Nise, o edema foi insignificante por 3 dias - meus colegas nem perceberam no trabalho, minha boca se abriu normalmente. Se você não deseja problemas ao remover um dente do siso - remova-o com ultra-som. Somente a clínica precisa ser encontrada normalmente.
Compartilharei meus sentimentos após a remoção de ontem do dente do siso. Gente! Nunca faça isso em clínicas dentárias públicas. Isso é horrível! Você não pode economizar nisso. Sinto muito por ter decidido economizar 2 mil. Quando cheguei ao consultório, pedi uma injeção paga, ele não funcionou totalmente. Quando o médico começou a manipular o dente, eu disse que me machucou, ao qual o médico respondeu: “O que posso fazer? Seja paciente! " E oh horror! A hora do tormento começou com lágrimas e uivos de dor, às quais o médico disse: “O que, sente pena de si mesmo? Você está brigando? Você volta para casa e sente pena de si mesmo lá. ” Além dessas observações, ela me pressionava o tempo todo - sentava-se de um jeito ou de outro, fazia tudo casualmente, desleixada. E mesmo quando, depois desse inferno, tentei sair da cadeira, ela chutou minhas pernas com as palavras que ela ainda não tinha me permitido levantar e agora ela vai me dar recomendações para outras ações
E também esqueci de dizer que, no processo de extração dentária, o médico usou ativamente um martelo. Na minha opinião, ela usou todas as ferramentas que tinha em mim. Quando, finalmente, ela conseguiu arrancar esse maldito dente, ela quebrou meu lábio superior com um instrumento no processo.
Eu tenho 38 anos Eu sou mãe de 2 filhos. E nunca experimentei tanto inferno na minha vida. Em geral, cheguei em casa em um estado terrível e deprimido, com a bochecha inchada e o mesmo lábio inchado e quebrado! Minha família estava em choque, como eu realmente estava. Antes desse incidente, tive a experiência de extração dentária em uma clínica particular. É apenas o céu e a terra. Tudo é limpo e estéril lá, a equipe é simpática lá - eles se acalmarão e darão água para beber e abrirão a janela se ficar ruim. Eles trabalham com ferramentas e materiais modernos. EU NUNCA VOU ENTRAR EM ORÇAMENTO! E eu não aconselho você.
No terceiro dia, quando as raízes do dente do siso inferior à esquerda foram removidas (o dente foi selado e desintegrado com o tempo). Eu o removi de um dentista local em uma clínica local (o pagamento é 5 vezes mais barato do que de um comerciante particular). Eu vim com uma foto do dente, o tempo para o paciente foi reservado por meia hora (com hora marcada). A remoção das raízes levou de 15 a 20 minutos (eu tive que escolher a raiz quebrada). A anestesia foi realizada por injeção de goma ubistizina (sabor amargo, ação após 5 minutos). Praticamente não houve dor (foi sentida quando o médico pressionou o osso com uma ferramenta no buraco). O dentista trabalhava sozinho, não há assistente na equipe. Durante as manipulações, as pessoas entram no escritório e se distraem com perguntas. Em uma clínica particular, não é, remova os dentes em uma sala separada. A atitude do especialista é normal, durante a exclusão ele explicou todos os pontos. Então, com um cotonete na boca, ela voltou para casa com grande alívio que tudo estava por trás. Em casa, li na internet sobre outras ações após a extração dentária ... O médico não teve tempo de pintar tudo, porque o próximo paciente foi à consulta. Posteriormente, não tomei analgésicos, a dor é tolerável. Ontem e hoje eu tomei banho com caldo de camomila (você só precisa manter um caldo quente na boca por um minuto)
O dente estava muito desintegrado?
Obrigado pela informação útil!
É necessário beber um antibiótico se houver temperatura por 2 dias após a extração dentária 37,5-38,7?
Olá Oleg. A recepção de antibióticos é realizada apenas em estrita conformidade com a indicação do médico assistente, que conhece todos os detalhes do quadro clínico. A presença de temperatura no segundo dia após a extração dentária não é o único fator determinante.