
Então, suponha que você tenha uma bochecha inchada após a extração do dente e não saiba o que fazer - isso é normal ou é uma complicação perigosa que precisa urgentemente ser consultada com um médico novamente? Infelizmente, nem todos os cirurgiões-dentistas informam suficientemente seus pacientes sobre o que podem esperar após o procedimento de extração dentária, já em casa, o que é considerado a norma e o que é um desvio grave.

Mesmo no estágio da anestesia na região dos dentes posteriores (isto é, mesmo antes de o médico pegar os instrumentos), quase todos os pacientes observam o efeito de "inchaço da bochecha". Às vezes, isso causa um leve pânico, e solicitações padrão parecem permitir que você se olhe no espelho (especialmente para a mulher). É claro que, nesta fase, nenhum paciente verá um tumor real no espelho se ele ainda não recebeu uma consulta com a bochecha inchada - e este é o primeiro ponto que você deve observar.
A anestesia realmente cria uma sensação subjetiva de que a bochecha está inchada e essa sensação pode persistir após o procedimento, o que é normal. À medida que o anestésico prossegue, a sensação de inchaço e dormência desaparece rapidamente.

Mas nem sempre tudo é tão suave. Um tumor, desta vez já “real” e bem definido, pode aparecer já após a extração dentária, quando os efeitos do “congelamento” já passaram há muito tempo. Na maioria das vezes, o inchaço da bochecha não aparece imediatamente, mas apenas no dia seguinte ou alguns dias após a extração do dente.
O que fazer se a bochecha estiver inchada, quão perigoso é e como ajudar a nós mesmos nesses casos - falaremos sobre isso mais tarde.
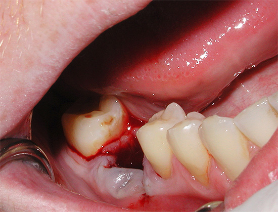
Por que a bochecha geralmente está inchada após a extração do dente?
A extração dentária é uma operação bastante traumática, durante a qual os tecidos duros e moles ao redor de um dente doente são danificados em um grau ou outro. Como resultado, uma nova ferida permanece no lugar do dente extraído e, mesmo que seja tratado com um poderoso anti-séptico e pontos sejam colocados nas bordas, o corpo ainda responde à lesão e ativa os mecanismos que impedem o desenvolvimento de infecção na ferida.

Sinais de inflamação na forma de edema, dor e vermelhidão (às vezes com febre) podem acompanhar o processo de cicatrização por mais de um dia. Felizmente, devido aos muitos vasos sanguíneos e à estrutura especial dos tecidos da mucosa oral, a regeneração (restauração) ocorre aqui em alta velocidade - muito mais do que se você, por exemplo, machucasse o braço ou a perna.
De um modo geral, existem vários fatores adicionais devido aos quais a bochecha pode ficar muito inchada após a extração do dente. Observe alguns deles:
- Remoção complexa. Muitas vezes, durante a remoção complexa devido à falha do médico, há um trauma significativo nos tecidos ao redor do dente que está sendo removido, às vezes a técnica de trabalhar com as ferramentas é interrompida, força e pressão excessivas são aplicadas. No entanto, mesmo com separação complexa (serragem) e remoção das raízes, mesmo das mais imprevisíveis em estrutura e localização na mandíbula da operação do dente do siso, pode ser realizada com tanta precisão (com trauma mínimo) que o inchaço da gengiva e da bochecha quase não ocorre após a remoção.

- Já começando ou formado inchaço da bochecha. Se o paciente se sentar na cadeira do cirurgião-dentista com a bochecha inchada, depois da extração dentária, o inchaço quase sempre aumenta no dia seguinte, pois a reação inflamatória não pode ser interrompida imediatamente e, além disso, o edema traumático do tecido também aparece.

- Remoção do dente do siso retardado inferior (isto é, que não pode cortar adequadamente). Como regra, a operação para removê-lo é bastante traumática, durante a qual o médico disseca a gengiva e, às vezes, para um melhor acesso, expande bastante a ferida.Devido ao grande número de tecidos bem supridos de sangue, removendo o dente do siso inferior freqüentemente ocorre sangramento abundante e, com lesões significativas nos ossos e na gengiva, um inchaço na bochecha ocorre no primeiro dia após a remoção do dente "sábio".

- Hipertensão Pessoas com pressão alta são mais propensas a edema.
- Uma espessa camada de gordura subcutânea no rosto. Pacientes obesos, assim como obesos, estão predispostos ao desenvolvimento de um tumor na bochecha após a extração dentária, uma vez que a gordura subcutânea é caracterizada por um bom suprimento sanguíneo.
- A supuração de um coágulo sanguíneo e a inflamação das paredes do buraco (alveolite) também contribuem para o desenvolvimento de edema.

Comentários:
“No ano passado, minha filha e eu estávamos no departamento de cirurgia maxilofacial e uma mulher foi colocada em nossa enfermaria. Ela parecia ter cerca de 40 anos. Tudo estava inchado, já terrível, alguns terrível. Fui ao médico com um pedido para transferir eu e minha filha desse alcoólatra inchado para outra enfermaria, que o médico riu por um longo tempo. Aconteceu que dentes do siso complexos foram arrancados, após o que as bochechas e o rosto inteiro estavam inchados, e o médico também disse o que precisava ser feito sob anestesia geral, pois muitos dentes ruins foram removidos imediatamente. Minha filha e eu nos acalmamos e, literalmente, uma semana depois, aconteceu um milagre: o tumor diminuiu e ela se mostrou tão bonita (ela foi injetada com antibióticos 4 vezes por dia durante uma semana para reduzir a inflamação). Aconteceu que ela tinha apenas 27 anos e nem 40, como eu pensava a princípio. ”
Valentina Nikiforovna, 47, Tobolsk
Quando o inchaço das bochechas não ameaça a saúde
Acima, examinamos muitos fatores devido aos quais, após a extração do dente, a bochecha pode inchar bastante. Antes de fazer algo para remover o tumor, você deve avaliar a escala do problema e o nível de seu perigo para a saúde e a vida.
Se a bochecha estiver inchada em um futuro próximo após a extração do dente (durante o dia), com alta probabilidade de o tumor ainda não ser um sinal de uma complicação formidável, no entanto, vários sinais de diagnóstico devem ser avaliados ao mesmo tempo.
A primeira coisa a fazer é medir a temperatura do seu corpo. Se estiver na faixa de 37,0 a 37,5 graus, isso pode ser considerado normal, uma vez que um leve aumento na temperatura corporal é a resposta padrão do corpo à lesão e à inflamação leve.

A ausência de temperatura elevada ou seu ligeiro aumento sem tendência a aumentar é, talvez, o principal indicador de cicatrização normal, mesmo na presença de um tumor pronunciado da bochecha após a extração do dente. É importante não apenas medir a temperatura uma vez, mas também realizar seu monitoramento regular pelo menos uma vez a cada poucas horas para determinar o estado atual do corpo.
O segundo passo pode ser considerado um exame externo periódico das bochechas e gengivas. Cada pessoa pode avaliar a condição de um tumor na bochecha após a extração do dente e sua dinâmica não é pior do que um médico. Se o inchaço das gengivas e bochechas não for muito pronunciado e não tender a crescer, correlacionando outros fatores de diagnóstico, isso poderá ser considerado um estado dentro dos limites normais.
Nota
É por isso que é útil lembrar o que aconteceu com o rosto ontem e como sua forma mudou hoje. Nesses casos, você pode tirar uma foto do seu rosto - uma selfie popular no mundo moderno para comparar os estados "antes" e "depois". Essas fotos também podem ajudar o médico se o problema piorar.

O terceiro estágio, que não é o último no diagnóstico, é uma avaliação da presença de vários sintomas adicionais que podem aparecer após a extração dentária imediatamente ou nos dias seguintes. Nesse caso, atenção especial deve ser dada aos seguintes sinais de complicações:
- sangramento prolongado do buraco;
- hálito pútrido desagradável em combinação com um revestimento cinza sujo no local de um coágulo de sangue no buraco;
- a aparência de pus quando você clica na gengiva perto do dente extraído;
- dificuldade severa em abrir a boca;
- dor intensa ao engolir na lateral da mandíbula onde o dente foi removido.
Esta é uma lista aproximada de condições que, mesmo no contexto de um ligeiro inchaço das gengivas e bochechas, são um indicador do desenvolvimento de doenças graves. complicações no orifício após a extração do dente.
Os especialistas geralmente recomendam observar sua condição durante o primeiro dia; no entanto, se você identificar os sinais óbvios de patologia acima, não deve esperar tanto tempo, é melhor consultar um médico o mais rápido possível.

O que pode ser feito em casa se a bochecha ainda estiver muito inchada
Se não se trata de um inchaço da bochecha todos os dias, mas de um inchaço banal que ocorre poucas horas após a extração do dente, você não deve entrar em pânico e correr imediatamente para o dentista com gritos de ajuda. Para começar, você deve tentar maneiras simples de reduzir o edema, a maioria das quais está incluída nas recomendações obrigatórias de um dentista-cirurgião após a extração dentária e pode ser usada em casa.
É sabido que, com uma lesão, é útil fixar algo frio na área danificada para que não haja inchaço ou que não seja tão pronunciado. No nosso caso, uma compressa fria é adequada não apenas para a prevenção de um tumor na bochecha após a extração do dente, mas também diretamente para a remoção do inchaço que já surgiu. Para uma compressa, você pode usar qualquer recipiente com água fria, uma almofada de aquecimento com gelo ou até uma toalha umedecida em água fria.


É interessante
Isso pode parecer para alguém que agora está claro o que precisa ser feito se a bochecha estiver muito inchada - e agora a pessoa já está correndo para a cozinha, pega a carne congelada do freezer e a coloca na bochecha ... No entanto, antes de fazer isso, você deve levar em consideração uma série de nuances.
O frio é realmente uma ótima maneira de reduzir a dor e o inchaço, e isso se deve ao estreitamento dos vasos sanguíneos em um local resfriado e à diminuição do suprimento sanguíneo. No entanto, para evitar problemas adicionais, é necessário levar em consideração o tempo de exposição a baixas temperaturas e a própria temperatura. Para evitar o congelamento, você não pode afetar diretamente o tecido com um objeto retirado do freezer - você deve necessariamente envolvê-lo com alguma coisa.
Troque a compressa fria a cada 2-3 minutos com intervalos curtos e, para obter o efeito, é suficiente 20 minutos.
Como observado acima, a pressão alta é um dos fatores que provocam o desenvolvimento de edema. Portanto, imediatamente após a extração do dente, para que a bochecha não inche muito, às vezes é útil tomar medicamentos específicos que diminuem a pressão arterial se ela estiver elevada (após consultar um médico primeiro).
Muitas vezes acontece que o edema provoca a própria pessoa com suas ações erradas. Sem realmente saber o que fazer após a extração do dente, quando a dor começa na gengiva e nas bochechas, algumas pessoas do lado de fora aplicam uma almofada de aquecimento quente semelhante a outras dores (por exemplo, no ouvido), e então se perguntam por que essa bochecha fica subitamente inchada ainda mais ... Existem até casos graves de desenvolvimento de grandes tumores das gengivas e bochechas no contexto de aquecimento descontrolado - devido a um aumento no suprimento de sangue para os tecidos.

É impossível aquecer a bochecha do lado de fora após a extração do dente, pois isso apenas contribui para o desenvolvimento de edema e, em caso de infecção da ferida, pode agravar ainda mais a situação.
Quando consultar um médico
Imagine que você arrancou um dente, após o que sua bochecha está inchada - em que momento você precisa consultar um médico? A resposta a esta pergunta já foi parcialmente dada acima, mas consideraremos mais detalhadamente essa situação.
A principal coisa que você precisa prestar atenção ao decidir ficar em casa ou se apressar com o dentista para uma consulta detalhada é uma avaliação da dinâmica do edema e dos sintomas associados. Se dentro de um dia o inchaço da bochecha começar a diminuir e não houver sintomas que ameacem a saúde, você poderá estar em casa com segurança.
Quando consultar um médico imediatamente:
- com dor crescente e aumento de inchaço das gengivas e bochechas todos os dias;
- no caso de aumento da temperatura corporal para valores altos (acima de 38,0 ° C) e preservação prolongada com mal-estar grave, diminuição do apetite, dores de cabeça e outros sinais de intoxicação geral do corpo;

- quando um odor desagradável e putrefativo emana do orifício remanescente após a extração do dente;
- com grave violação da abertura da boca, dificuldade em engolir e mastigar alimentos;
- em caso de suspeita de inflamação do orifício, quando é possível examinar a ferida: placa cinza suja na gengiva, falta de coágulo sanguíneo ou decomposição, secreção de pus à palpação das gengivas, etc.
Comentários
“Fui à clínica na semana passada para remover o dente do siso, ele se desintegrou e cresceu na direção errada. O cirurgião brincou com ele por um longo tempo (30-40 minutos). Quando o dente foi rasgado, não foi doloroso, mas depois que o arrancaram, minha bochecha já estava inchada no dia seguinte.
Se no primeiro dia após a extração dentária havia apenas fraqueza e uma bochecha inchada, de manhã me tornei como Irina Muravyova do filme “Carnaval”, quando ela estava dizendo trava-línguas com nozes na boca. Só com a diferença que eu apenas soprei uma bochecha. E à noite me senti muito mal, a temperatura subiu, dores apareceram em todo o meu corpo e as gengivas, onde havia um dente do siso, começaram a doer terrivelmente. Então eu tive que ir ao médico novamente. Lá eles congelaram novamente com uma injeção e limparam o pus, depois prescreveram lavagens domésticas. Agora quase não há tumor e a gengiva mal dói.
Oksana, Kazan
Como um médico pode ajudar com uma bochecha inchada
Se houver sinais associados ao desenvolvimento de complicações no orifício do dente extraído, na maioria das vezes é a alveolite (inflamação das paredes do orifício), que geralmente aparece nos próximos 2-3 dias após o procedimento. A alveolite se manifesta por sintomas característicos da supuração da ferida: dor, halitose, formação de placa cinza ao redor da cavidade dental, supuração da mesma, inflamação dos gânglios linfáticos, intoxicação do corpo com aumento da temperatura corporal.
Externamente, o desenvolvimento de alveolite geralmente é acompanhado pelo fato de que, algum tempo após a retirada do dente, o inchaço da bochecha ou lábio de uma pessoa:
- após a remoção dos grupos laterais dos dentes, ocorre um inchaço da bochecha;
- e após a remoção dos dentes da frente, o lábio incha.
Se a alveolite for diagnosticada, o dentista realiza anestesia de alta qualidade e realiza curetagem (purificação) do orifício a partir de um coágulo de sangue em decomposição e, às vezes, também a partir de restos não removidos anteriormente de partículas de um dente doente, granulomas, cistos, com a lavagem dos poços com soluções anti-sépticas. Se necessário, a ferida pode ser suturada. Depois disso, são prescritos medicamentos antibacterianos, na maioria das vezes para uso tópico na forma de lavagens ou pomadas.

Se, de acordo com a radiografia, o dentista vê a raiz deixada no orifício pelo médico anterior, o que causou supuração contínua das gengivas e o inchaço resultante da bochecha após a extração do dente, a raiz é extraída primeiro, a curetagem e a ferida são lavadas. Dependendo da gravidade da situação clínica, os antibióticos às vezes podem ser prescritos.
Muito raramente, um inchaço da bochecha ocorre como resultado de uma fratura acidental da mandíbula durante o trabalho duro do médico durante a extração do dente (aproximadamente 0,3% de todos os casos de fraturas da mandíbula). Essa complicação não pode ser percebida imediatamente, mas dentro de um período bastante curto, há uma violação significativa da mastigação dos alimentos, abertura da boca, deglutição e edema grave no lado da gengiva e bochecha. Nesses casos, o dentista tira uma foto da mandíbula, coloca os ossos quebrados na posição correta, repara com pneus e depois prescreve antibióticos e terapia anti-inflamatória.
Vídeo útil: o que não pode ser feito após a extração do dente, bem como algumas palavras sobre o inchaço que ocorre alguns dias após o procedimento
Sobre supuração de um buraco dentário, que pode levar a dor e inchaço (alveolite)





Não é necessário colocar fotografias desagradáveis no artigo.
Boa hora do dia. Alguns dias atrás, eu tinha uma extração pesada de 2 dentes (devido ao crescimento inadequado de um dente do siso, ele destruiu um dente por perto). A remoção foi dolorosa, mesmo sob anestesia muscular. Meu rosto estava inchado agora e eu estava pronto para correr para o médico em fuga, mas depois de olhar as fotos durante o artigo, percebi que a cura estava indo bem! E se não fosse a foto, eu teria me machucado! Eu não discuto - eles são nojentos, mas você pode manter seu "Phi" para si mesmo.
O que somos gentis?
Olá, tenho 17 anos. Depois que acordei de manhã com a bochecha inchada, fui à clínica no dia seguinte e eles arrancaram uma raiz do dente. A bochecha dói um pouco, sangra e a bochecha também está inchada. Diga-me o que fazer?
Olá Vladislav! O fato é que a consulta principal é sempre feita pelo médico assistente após a extração do dente. No entanto, muitas vezes em uma instituição orçamentária não há tempo para tais coisas, e ele, em virtude de 15 minutos por paciente, de acordo com os padrões aprovados, ignora a consulta. Se durante a extração dentária não ocorrerem erros que possam levar a complicações (isso é confirmado por fotografias e exame externo da cavidade), a terapia antibacteriana + anti-histamínicos + regime poupador e banhos orais com anti-sépticos (ou enxágue de acordo com a situação) levarão a um resultado positivo. Antibióticos, anti-sépticos, etc. devem ser prescritos individualmente por um médico após a coleta de uma anamnese. Não posso deixar de dizer que, no momento da extração dentária, há um "inchaço das bochechas" e assim por diante, então o rosto não volta imediatamente ao normal. Cada paciente deseja que a simetria retorne nas primeiras horas após a extração do dente, no entanto, esse processo é individual e leva ao resultado desejado com o cuidado adequado do orifício e controle pelo médico assistente (ou outro dentista) em cerca de 2-5 dias. Às vezes, é preciso esperar mais: tudo depende do nível de dificuldade de um problema específico. Desejo-lhe uma rápida recuperação!
Esperando o ano novo.
Por favor, diga-me o que fazer se, depois de remover dois molares na mandíbula superior, uma semana depois, surgir um edema, uma bolha no céu acima da remoção. Não há temperatura. O que poderia ser?
Olá Qualquer educação que apareça na área de remoção requer um estudo cuidadoso. É importante ver pelo menos alguma imagem para confirmar um ou outro diagnóstico. Portanto, neste caso, é necessária uma fotografia do edema ou de uma bolha suspeita na cavidade oral, pois até agora isso não se encaixa perfeitamente na situação clássica de cicatrização normal dos furos após a remoção.
Se também forem fornecidas fotografias de raios-X dos orifícios após a extração do dente, isso determinará a qualidade da remoção e mais uma vez excluirá complicações nesse contexto.
Olá. Em agosto de 2015, um dente foi removido. Não sabedoria, cresceu dentro da boca.Tudo curou normalmente, mas na semana passada, já em 2016, uma bolha foi inflada no local onde o dente foi removido, estourou e a gengiva empurrou uma lasca do dente. Ele começou a apodrecer. Na segunda-feira, eles o removeram com uma incisão na gengiva. Hoje, o segundo dia após a remoção da bochecha está muito inchado, e quando você toca as gengivas, a sensação de pedra dificulta tudo e causa dor maçante. O pus sai das gengivas (não no local da extração do dente). Hoje vou ao médico, mas gostaria de saber como eliminar adequadamente o tumor e o pus. Não há temperatura elevada.
Olá Marina! No seu caso clínico, o controle radiológico da remoção realizada é importante. O fato é que a lasca é uma lasca, mas é importante conhecer a limpeza por raio-x do poço após a extração do dente. Qualquer "corpo" estrangeiro abandonado pode dar nutrição infecciosa. Se houver um problema com o orifício, mesmo após a limpeza repetida, o médico deve fazê-lo novamente. Se a causa da infecção for alveolite (geralmente as gengivas são supurativas por 3-4 dias com esse diagnóstico, mas fazemos ajustes para imunidade e momentos individuais), esse diagnóstico deve ser cuidadosamente considerado: o médico deve passar por curetagem e tratamento anti-séptico da área subgengival, caso contrário você sofrerá recaída não vai deixar ir.
Em casa, sem diagnóstico, você só pode causar danos. Além disso, a suspeita de que você ainda tem fragmentos das raízes ou mesmo partes das raízes sob a gengiva + uma pitada de alveolite (outra versão) é, no entanto, apenas suspeitas. Por exemplo, existem outros exemplos relacionados à supuração após a remoção problemática: se o dente foi formalmente removido durante a remoção, mas há uma massa cística (não entraremos em detalhes). Ou seja, não há raízes, e a infecção "circula" no osso, fazendo com que "se dissolva", que é definido na figura como um ponto arredondado escuro (preto) próximo ao orifício ou mesmo próximo às raízes dos dentes adjacentes.
Nenhum médico à revelia tem o direito de prescrever um antibiótico ou enxaguar. Acabei de descrever várias opções para problemas que 100% não conseguem, com a ajuda de enxaguantes (camomila, furatsilin, miramistin etc.) ou comprimidos, desaparecem. Se você deseja "estupidamente" remover os sintomas da supuração por um tempo, então, teoricamente, um antibiótico e / ou um medicamento antimicrobiano ajudará (não imediatamente, já que a dose terapêutica no sangue deve acumular), mas sem fazer um diagnóstico e tratamento na boca, você não se mexerá , mas apenas obtém bem-estar imaginário, que muitas vezes não é apreciado pelas pessoas mais míopes. Não caia neste grupo, caso contrário, conduza a infecção para o estágio de "destruição" do corpo. Seja tratado corretamente!
Olá Eu tenho 15 anos Ontem, puxei o molar inferior. Cuspindo sangue a noite toda. Eu fui dormir De manhã, encontrei sangue e uma bochecha inchada no travesseiro. Desna dói. Agora, ao que parece, o sangue está fluindo novamente. Diga-me, por favor, isso é normal?
Olá Catherine! O fato é que, no seu caso, tudo se presta à lógica. Uma das recomendações do dentista após a extração do dente é não dormir do lado do dente e / ou não colocar a mão na bochecha durante o sono. Neste momento, há aquecimento e pressão na área da operação, o que provoca vasodilatação local e sangramento repetido do orifício. Obviamente, isso não pode ser chamado de norma, mas isso certamente não é uma complicação séria. O edema ocorre quase sempre no dia seguinte (em diferentes graus de gravidade), como resposta a uma intervenção (lesão).
O sangramento pode ser eliminado segurando firmemente um cotonete de gaze estéril no orifício (melhor umedecido com solução salina) por 10 minutos com os dentes superiores. Não se esqueça de controlar a pressão arterial e limitar a atividade física neste momento. Você não deve enxaguar o buraco e, depois de comer, é bem possível limitar-se a banhos orais de anti-sépticos (é melhor decoctar camomila ou sálvia).
Enquanto você formar uma sucessão (que, em princípio, não está mais sangrando), não deve ter medo do estado do buraco. Em geral, quando uma pequena quantidade de sangue é extraída do poço por 1-2 dias após a remoção, a cura é o mais confortável possível (alguns pacientes dizem até que é indolor). Como regra, um coágulo sanguíneo é gradualmente formado de qualquer maneira e é uma defesa biológica contra a infecção. Se estivermos falando de sangramento grave, mesmo após guardanapos de gaze prensados, você deve entrar em contato com o dentista e descobrir a causa. Muitas vezes, está associado à saúde geral. Desejo-lhe uma rápida recuperação!
O molar da mandíbula inferior desabou. A bochecha estava inchada e algum tipo de compactação se formou na mandíbula. Após a radiografia, o médico removeu o dente, prescreveu ciprofloxacina, tricopolita, suprastina, cetana para dor. A dor é leve. A temperatura está normal. Mas o tumor não está caindo bem e o selo não desaparece, o que me incomoda. Enxágüe com refrigerante e permanganato de potássio. Esses compromissos são suficientes? E no que devo prestar atenção?
Olá Valentine! Infelizmente, você não indicou quanto tempo se passou desde a exclusão. Em geral, a redução do edema é uma característica individual em cada caso. Portanto, não entre em pânico imediatamente, mas é importante consultar um dentista para obter orientação. Refrigerantes e permanganato de potássio não são lavagens confortáveis. A maioria dos dentistas os trata negativamente, uma vez que o refrigerante irrita e lixivia um coágulo sanguíneo, e o permanganato de potássio, se não for adequadamente diluído, cria queimaduras e, em geral, seca as mucosas decentemente.
Olá. Na quinta-feira, um molar foi removido. O primeiro dia houve sangramento, mas isso é normal. Mas na manhã do segundo dia um cheiro forte saiu da minha boca, muito forte. Pelo cheiro e pela cor, podemos dizer que era como pus. Cuspa a cada 5 minutos. Bochecha inchada. No sábado fui ao médico. Ele disse que o coágulo está no lugar, está tudo bem, a bochecha vai passar e colocar o remédio no buraco, que deve se dissolver. O dia inteiro na boca foi o sabor e o cheiro deste medicamento. Mas o sabor residual desse odor desagradável ainda permaneceu ((Hoje é segunda-feira, quase não há odor, mas as gengivas ainda doem, até bebem analgésicos. O inchaço se foi. Não havia temperatura. Diga-me, por favor, isso é considerado normal? (Especialmente o cheiro de muito obrigado pela sua resposta com antecedência!
Olá Mary! É pouco provável que ocorra alveolite em um período tão curto de tempo, devido ao sangramento protetor. Portanto, podemos apenas assumir a ativação de um processo purulento independente. O que eu quero dizer ...
Infelizmente, você não escreveu no contexto em que removeu o molar. Provavelmente, você já teve um inchaço ou um processo purulento começando. Após a extração dentária, a evacuação do pus ocorre em benefício do corpo. Evidentemente, o pus tem um odor desagradável. A resposta do corpo na forma de formação de exsudato seroso-purulento ou purulento é uma condição dentro da faixa normal, levando em consideração o fato de que todas as medidas foram realizadas corretamente. Quero dizer que o médico removeu todas as raízes, removeu os fragmentos da cavidade cariosa e (ou) os crescimentos granulomatosos. Em geral, ele limpava cuidadosamente o buraco e estava firmemente convencido de que não havia alimentação infecciosa adicional. O fato de sua temperatura estar normal agora é uma grande vantagem. Reduzir o edema também é uma tendência positiva. Atualmente, o odor da boca pode ser causado por restos de comida que permanecem no buraco. Como você já tem o quarto dia de remoção, é bem possível realizar lavagens suaves com uma decocção de camomila ou sálvia 4-5 vezes ao dia. É especialmente importante realizar esses procedimentos depois de comer. Você não deve brigar com o cheiro, mas garantir uma cicatrização confortável do buraco. Para uso tópico, existem várias preparações bem conhecidas para o tratamento de gengivas.São géis ou pomadas para reduzir a contaminação bacteriana após a extração do dente (os anúncios não são publicados).
Boa tarde 03.03 da manhã, retirei o fundo de 5 ku. À noite, a parte inferior da bochecha estava inchada e ficava dura. A própria gengiva não se incomoda. Há um revestimento branco no buraco. Não havia temperatura, só hoje subiu para 36,9. O inchaço não diminui. Diga-me, preciso correr para o médico com urgência?
Olá Lyudmila. Penso que não há nada de errado com a sua situação, mas uma consulta com um dentista nunca é supérflua, porque um dentista competente e profissional está interessado em resultados a longo prazo - para que tudo seja maravilhoso em todas as fases da cura. Em teoria, o edema cheio de líquido deve, pelo contrário, ser leve. Provavelmente, no contexto da extração dentária, você teve uma reação normal à lesão tecidual - inflamação local, que apresenta um estágio de edema em um grau ou outro.
Formalmente, muitos não percebem isso no rosto, mas após um exame mais detalhado, esse fator ocorre em 1-2 dias após a remoção. O que você sente é difícil, apenas sua mandíbula pode estar no fundo de um pequeno inchaço devido a um trauma. Não acho que, com o restante dos indicadores normais, isso seja algo purulento que vá além da costumeira cura do buraco. Desejo-lhe uma rápida recuperação!
Depois de remover o dente, o médico colocou um tampão com o remédio no buraco e disse-lhe para não retirá-lo, ele se resolveria. O que é isso Parece uma esponja.
Olá Olga! Muitos dentistas em sua prática aplicam com sucesso compressas anti-sépticas nos orifícios - medicamentos especiais introduzidos para a prevenção e tratamento da alveolite. No seu caso, o médico colocou este medicamento, que é uma esponja para a prevenção da "supuração" do buraco. Se as táticas estiverem corretas, quase sempre o orifício cicatriza no modo mais poupador e a remoção da compressa não é necessária, pois a esponja se dissolve ("é rejeitada") por um curto período de tempo. No entanto, existem oponentes de métodos que estão relacionados à inserção de esponjas ou flagelos no buraco: afinal, eles teoricamente podem se tornar fontes de infecção se o alimento persistir ali. Independentemente disso, aconselho a ouvir as táticas do médico, mas se você suspeitar de fenômenos negativos (temperatura, cheiro putrefativo do orifício, inchaço, dor intensa etc.), consulte um médico e siga uma tática de tratamento alternativa.
Olá, tirei as raízes de um dente cariado. Após a remoção por um longo tempo, mantive a gaze no lugar da remoção e, em seguida, ela foi substituída. Quando perguntado sobre a desinfecção, o médico me proibiu de lavar qualquer coisa e escovar os dentes. O terceiro dia é agora um sabor adocicado na boca e o local do buraco dói quando pressionado. Como posso remover o cheiro e a dor?
Olá Alexey! De fato, “pressionar” a dor é uma reação normal na fase de cicatrização, pois o terceiro dia após a extração do dente não é um indicador do desenho final da ferida. Geralmente, dores dessa natureza passam de 10 a 20 dias após a remoção. O sabor na boca está provavelmente associado à falta de higiene. Acho que é possível fazer uma escovação cuidadosa dos dentes e até mesmo enxaguar com uma decocção de camomila ou sálvia (5-6 vezes ao dia). Não acho que você lavará o coágulo da ferida, principalmente porque já é o quarto dia após a remoção do dente, embora a opinião do seu médico seja bastante justificada em relação à segurança da ferida. O que quero dizer: com base na sua descrição, a higiene é um pouco mais importante aqui.
Olá, Svyatoslav Gennadievich. Diga-me por favor. Na sexta-feira 03/04/16, o dente do siso superior foi removido, um mês antes, ele reagiu e ficou doente periodicamente. Há uma semana, o dentista decidiu curá-lo, perfurou um buraco que já estava lá (ele começou a desmoronar) e deixou o medicamento.Como resultado, uma semana eu me atormentei com a dor e decidi retirá-la. Resumindo: na sexta-feira eles tiraram, não sentiram muita dor, no sábado acordaram da mesma maneira, sem alterações, apenas machucou minha bochecha, nem mesmo que doía, mas reagiu como se estivesse mastigando ou conversando, como se houvesse um pequeno machucado lá. Hoje é domingo, acordei com a bochecha inchada e já estou reagindo mais dolorosamente a tudo. Por outro lado, no qual agora não há dente, a mastigação está doente e, com qualquer deglutição de saliva, sinto uma sensação desagradável e dolorosa na área da bochecha. Não foi fácil arrancar o dente, o dentista estava nervoso, mas arrancou sem nenhum resíduo. Mas ... A bochecha dói mais e mais. Diga-me, talvez eu deva pelo menos começar a enxaguar com alguma coisa, desde as férias, e certamente não consigo encontrar um médico, e ainda há três dias pela frente. E algo que eu tenho um pouco de medo ... Não há temperatura, mas acordei hoje com uma sensação de uma doença leve com um resfriado, e como se algo estivesse me parando entre a bochecha e a gengiva. Diga-me, por favor, preciso me preocupar, ou ainda é uma conseqüência da remoção de um dente complexo?
Olá amor! Obrigado por descrever o histórico detalhado de sua doença. Devo dizer imediatamente que definitivamente não vale a pena lamentar que não foi possível salvar o dente do siso (especialmente o superior), uma vez que, muitas vezes, é mesmo removido completamente exteriormente normal.
Como houve uma remoção complexa, sugiro, no entanto, tirar uma foto diagnóstica do furo após a remoção e determinar exatamente se existem fragmentos. Se essa foto já tiver sido tirada, não se preocupe.
O principal é proporcionar a cura mais confortável. Eu acho que a intensificação da dor todos os dias pode ser um sinal de alveolite incipiente, mas muitas vezes o próprio corpo para o palco, impedindo manifestações purulentas. A sensação de “interferência” entre a gengiva e a bochecha requer exame e consulta com um dentista.
As férias são um obstáculo para o médico. Portanto, quanto ao enxágue, posso dizer que vários médicos os tratam negativamente, além de pomadas e géis. No entanto, tudo isso é puramente individual. Existem lavagens anti-sépticas bastante econômicas com uma decocção de camomila ou sálvia (cerca de 4-5 vezes ao dia, especialmente após as refeições). De qualquer forma, o enxágue deve ser suave, sem fanatismo e sugando o conteúdo do furo. Enxaguamentos alternativos são géis locais.
Os mais populares são: gel Metrogil Denta e adesivo dental Solcoseryl para o processamento da gengiva marginal ao redor do orifício. É claro que esse assunto deve ser abordado do ponto de vista da limpeza e precisão. Desejo lidar com o problema em breve!
Olá, fui removido um dente do siso abaixo de 5 dias atrás. Havia meio dente. Pelo que entendi, ele perfurou ou cortou o resto do dente para mim. Puxado em pedaços. O fato é que minha gengiva e uma bochecha levemente inchada ainda doem. É assim que deve ser? Agradecemos antecipadamente.
Olá, Olya! A remoção complexa com uma broca não é inacreditável. Essa é uma maneira moderna de remover 2-3 dentes de raiz, em oposição ao método de “martelo e cinzel” usado anteriormente.
Infelizmente, você não descreveu a dinâmica, e isso é a coisa mais importante na determinação de novas táticas. A remoção complexa com grande perda de ossos e tecidos moles leva a uma cura longa e muitas vezes não muito confortável. Nem se trata de infecção, mas de uma ferida mal formada. Eu acho que o processo inflamatório local em você continua a existir. Uma infecção da cavidade oral muitas vezes nutre e causa dor na fase de cicatrização durante e vários minutos após a mastigação.
Eu acho que vale a pena ir ao dentista para avaliar a condição externa do furo e (se necessário) fazer um controle de raios-X (se não tiver sido feito após a remoção) para diagnosticar possíveis fragmentos das raízes ou coroa do dente extraído.
Olá Hoje, minha sobrinha foi remover seu dente inferior primário (permanente). Ele e a mãe foram ao dentista no dia anterior, e ali o médico, olhando o dente, disse que tentaria preservar a raiz, embora houvesse pus. O pus foi liberado um pouco, não sei como, e o médico deixou uma cavidade aberta. Nomeado para 9 de março, mas ontem ela andou e molhou as pernas. O dente ficou doente e a bochecha quebrou. Esta manhã, o dente foi removido. O médico disse que, no início, surgiram muitos pus. Após 2 horas, a temperatura subiu 40 e um pouco mais alta, estava batendo diretamente. De alguma forma derrubou a temperatura. Então, até a noite, ela não se levantou. Por volta das 21 horas, ela começou a se levantar novamente. A bochecha está inchada. Diz que não dói. É normal que a temperatura salte assim? Isso não é consequência do processo inflamatório? Obrigada
Olá Marina! Tanto quanto eu entendo, a idade da sobrinha é bem jovem? Cerca de 10 a 15 anos? A remoção dos molares inferiores em crianças é muitas vezes repleta de muitas dificuldades. Como o dente, que serviu tudo, deve ser removido de acordo com as indicações, ele não vai deixar seu "abrigo" assim. Uma infecção purulenta em torno da raiz do dente geralmente ajuda um pouco na cirurgia, mas ainda assim: a remoção traumática + o processo inflamatório purulento fornece esses resultados. A temperatura (especialmente à noite) pode subir para valores altos, pois o trauma + pus excita a resposta imunológica ativa da criança, por isso é certo que você esteja lutando contra a "consequência". A causa dos problemas é o dente que você removeu.
Agora sua tarefa é a seguinte:
1. Avalie possíveis infecções concomitantes: a criança ficou resfriada ao molhar os pés?
2. Se a temperatura subir novamente, consulte um dentista e / ou pediatra, dependendo da adesão do ARVI.
3. Se você não tiver a oportunidade de implementar os dois primeiros pontos, precisará executar (como faz) tratamento sintomático.
Apenas um médico pode prescrever um antibiótico, eu mesmo não estaria envolvido na antibioticoterapia. Eu quero especialmente focar na imagem de diagnóstico do orifício do dente extraído: acontece que durante a remoção complexa os fragmentos permanecem sob a gengiva da coroa do dente. Eles podem alimentar um processo inflamatório purulento passageiro.
As consultas por correspondência em matéria de saúde privada (odontológica) e geral da criança só podem ajudar se o médico tiver feito tudo corretamente e (ou) o corpo da criança puder lidar com a cicatrização do buraco sem qualquer ajuda, bem como se sua sobrinha também não "pegar a infecção" .
Olá Ontem (14 de março), o molar inferior foi removido. O dente foi previamente preenchido e no momento da remoção havia um nódulo do tamanho de uma ervilha na gengiva. A remoção foi difícil. O médico prescreveu o tratamento: lincomicina, 2 cápsulas 2 vezes ao dia; Nise, 1 comprimido 2 vezes ao dia; suprastina, 1 comprimido à noite. Realizo todas as tarefas, a bochecha inchada por baixo. Hoje à noite, com uma pressão inadvertida (moderada) na bochecha dos dentes removidos, houve um sangramento intenso por cerca de 1 minuto. Lavou levemente a ferida com clorexidina, gradualmente o sangramento parou. Estou interessado em saber por que o sangue ficou tão duro. Preciso de uma consulta médica? Não há dor (só sinto quando pressiono a bochecha), não há temperatura.
Olá Após a remoção complexa, os resultados de lesões graves e uma nova ferida, mesmo com exposição à luz, podem começar a sangrar. Se o seu sangue parar rapidamente - isso indica coagulação normal e não há motivo para preocupação. Além disso (opinião pessoal), que um pequeno sangramento episódico durante a cicatrização nos primeiros 1-3 dias pode reduzir significativamente a dor, até uma completa ausência de dor. Eu acho que a consulta de um dentista não é necessária, principalmente porque o médico recomendou toda a gama de preparações necessárias.Um bom coágulo sanguíneo o protegerá da alveolite - inflamação do orifício. E todos os sintomas perigosos são descritos neste artigo, então você só precisa monitorar cuidadosamente a cicatrização das gengivas e logo se recuperar!
Boa noite Eu tenho que remover o dente na segunda-feira, eu preciso remover 4 no total. Posso excluir tudo de uma vez? Os dentes são um no canto superior esquerdo, um no canto inferior esquerdo e dois no canto inferior direito. Posso beber valeriana ou outros sedativos antes da remoção, pois tenho muito medo?
Olá Olga! Eu acho que é aconselhável remover não mais que 2-3 dentes, mas tudo depende da remoção da técnica que o acompanha. Se você remover vários dentes em uma fileira e formar suavemente uma ferida, até a sutura para eliminar riscos, ou pelo método de adicionar biomateriais e medicamentos ao poço para preservação com sutura das bordas da ferida, isso excluirá a opção de uma ferida aberta a todas as infecções e reduzirá o risco de infecção inflamação e dor intensa. Ou seja, esse trabalho arrumado pode se qualificar para a opção de remover 4 dentes de uma só vez.
Quanto aos sedativos: na verdade, quanto mais calmo você se comportar na recepção, mais eficaz será a anestesia e o médico funcionará melhor (mais rápido e progressivamente).
Obrigada Eu queria saber mais.
1. Se apenas dois são excluídos para mim, depois de quanto tempo os outros podem ser excluídos?
2. Quando tudo é removido, após quanto tempo os dentes restantes podem ser tratados?
3. Quanto tempo posso colocar um implante após a extração do dente?
4. E você pode colocar o implante em 1 a 2 anos após todo o tratamento, o que acontecerá com outros dentes saudáveis? Eu li que eles divergem, e então a implantação fica difícil?
Olá Olga! Vou tentar satisfazer sua curiosidade, no entanto, as táticas de tratamento ainda pertencem ao médico assistente. É claro que você sempre pode analisar as informações por si mesmo e recusar um ou outro método de tratamento. Então, em ordem:
1. Geralmente, a distância entre as remoções é adequada por 3-7 dias, dependendo da complexidade e da localização dos dentes extraídos. Sem dúvida, a precisão da técnica e a prevenção de feridas abertas desempenham um papel importante.
2. Muitos dentistas são da opinião de que é aconselhável iniciar o tratamento planejado após a remoção, o mais tardar após 1-2 semanas, quando os riscos de infecção do orifício são mínimos. O fato é que, durante a preparação da cavidade cariosa, a infecção se espalha por toda a cavidade oral e o buraco pode ser indiretamente infectado.
3. Esta questão é uma das mais difíceis. O fato é que há um implante imediato, quando o implante é inserido imediatamente após a extração do dente no orifício formado. Além disso, as técnicas envolvem implantação e, a longo prazo, isto é, atrasadas. É importante aqui que não apenas o seu desejo coincida, mas também as indicações para uma ou outra implantação e as capacidades da clínica + o profissionalismo do cirurgião.
4. E esta pergunta é mais do que correta. Se você não deseja próteses, mas está preparando a boca para implantes futuros, é aconselhável fazer próteses removíveis temporárias para a "borboleta" ou, em outras palavras, dentaduras intermediárias para as quais você não precisa "ranger" os dentes. Agora existe uma técnica para tornar essas micropróteses extremamente estéticas e funcionais. Eles realmente não permitem que os dentes adjacentes se desloquem em direção aos dentes removidos e também evitam outras más oclusões. No entanto, esses são designs temporários, portanto terão que ser alterados a cada poucos meses. Em princípio, não há nada de errado nisso, mas não creio que seja adequado às suas próprias custas alterar o design por até 2 anos. É melhor implementar próteses de implantes dentro de 1 ano.
Olá. Hoje eles removeram meu dente do siso (E 28) devido a um granuloma. Embora ele fosse bom, nem sequer treinou ainda.Acabado de remover, o buraco não foi limpo. À noite, ainda dói, mas não muito, não há inchaço, mas a boca não abre bem. Talvez minha mandíbula tenha se machucado? Devo ir ao médico novamente - se sim, então a quem, ao cirurgião ou apenas a um dentista? E o que posso comer - um caldo, sopas ou mingau de aveia?
Olá Maxim! Devo dizer imediatamente que os dentes do siso superiores (especialmente) raramente são bons. Se no seu caso já havia um “granuloma”, significa que havia uma cavidade cariada oculta neste dente, o que levou a uma complicação.
Geralmente à noite após a remoção, apenas o buraco também dói. A boca não abre bem devido à interconexão da ferida e dos tecidos circundantes, que podem ser danificados durante a remoção. É improvável que, ao remover o dente superior, a sabedoria possa danificar a mandíbula; isso em casos raros está associado à remoção dos molares inferiores. É melhor ir ao seu médico, pois não vejo sinais de desconfiança no cirurgião associados a erros graves.
Nos dois primeiros dias após a remoção, é importante fornecer descanso para o poço, portanto, recomenda-se uma nutrição poupadora: quente, suave e não irritante. Caldo, sopas e cereais são bastante adequados para isso. Tudo isso é temporário, então você pode tolerar um pouco por uma meta alta.
Obrigada Eu também quero perguntar.
Superei a dor, abri mais a boca e olhei para o buraco. É apenas ofigel - não é na parte inferior, como deveria, mas no lado da gengiva, olhando para a bochecha. Como isso aconteceu? Primeiro eles tiraram meu dente e depois o removeram? É doloroso abrir a boca?
Ele tocou com a língua - o buraco é amargo. Porque
E você escreveu no artigo que o granuloma deve ser limpo, mas eles não limparam nada para mim. Então, quando o buraco estiver cheio, esse problema permanecerá tão interno?
Na maioria dos casos, o "granuloma" permanece no topo da raiz removida e o médico pode vê-lo bem. Muitos médicos "não se preocupam" com a limpeza adicional do orifício e, em geral, tudo é maravilhoso. Os riscos que "esse problema se tornará interno" são mínimos.
O buraco é amargo, porque, talvez, o médico colocou algo nele para prevenção? Nem sempre o paciente pode controlar todas as manipulações do médico. A ferida está do lado da gengiva, uma vez que houve uma remoção difícil, e o médico reduziu parcialmente o volume da gengiva para uma revisão completa. É mais simples dizer que uma lesão na gengiva não foi realizada, mas não é fatal. É doloroso abrir a boca em meio a toda a complicada cicatrização do buraco. Eu acho que as recomendações permanecem as mesmas.
Olá, ontem eu apaguei o 6º de baixo. Eles foram removidos devido à bochecha e gengivas inchadas. Eles não puderam salvar o dente. Um coágulo sanguíneo está no lugar, mas a bochecha se torna ainda maior. Eu amamente, você não pode beber antibióticos. Faço banhos com furatsilin, coleção dental, clorexidina. Eu deveria me preocupar? Estou fazendo tudo certo?
Olá Looney! Após a remoção, no contexto de edema existente, geralmente nos primeiros dias pode haver uma sensação de que o tumor "aumentou". No seu caso, à revelia, é difícil falar se há riscos ou não.
O fato de você tomar banho é uma grande vantagem. O que surgiu do ponto de vista de uma abordagem integrada e versátil é um ponto discutível. Por exemplo, muitos dentistas já não gostam de furatsilin no que diz respeito ao efeito na membrana mucosa. No entanto, a velha guarda dos médicos pode muito bem ser a clorexidina, furatsilina, refrigerante e até mesmo o "permanganato de potássio". Parece-me que é aconselhável que você examine o orifício com um dentista e ajuste as recomendações. Se puramente minha opinião é importante para você, você pode se limitar completamente a banhos de ervas (camomila, sálvia), e os banhos podem ser feitos 5-8 vezes por dia - ervas são ervas. Em geral, normalmente o buraco deve cicatrizar muito bem sem enxaguar.
Olá Há 3 dias o dente n ° 36 foi removido (toda a parte superior do dente estava quase destruída), não havia tumor antes da remoção, apareceu à noite no primeiro dia. No segundo e terceiro dia eles limparam o buraco. Um raio X mostra que nenhuma partícula de goma permaneceu na goma. No entanto, a dor não para (embora diminua e ceda ao ouvido; há placa branca no orifício; é difícil mastigar, mas consigo falar e engolir quase sem tensão; o tumor não passa). Todo esse tempo eu lavo minha boca com furatsilinom. Diga-me, meu maxilar pode ser danificado (deslocado) quando removido?
Olá Irina! Se a mandíbula fosse deslocada, a boca não fecharia 100%. O processo alveolar da mandíbula pode ser danificado no contexto de remoção complexa e grandes lesões, mas isso também é extremamente raro.
Provavelmente, você recebe alveolite (inflamação), que você nutre periodicamente com enxaguaduras com furatsilinom. O fato de um revestimento branco no buraco não significar nada. Você apenas tem o efeito "buraco seco" de qualquer maneira. Está vazio, e esses buracos curam mal e dolorosamente.
Eu recomendo que você consulte um outro médico. Devo dizer imediatamente que muitos médicos são extremamente negativos em "enobrecer" o trabalho de outra pessoa. No entanto, seu médico assistente não pode lidar com o tratamento de um buraco seco e recomenda que você também tenha vários "furatsilin". É melhor não arriscar e tentar ouvir uma opinião diferente depois de examinar o buraco com um cirurgião, explicando a situação para ele. Tenho certeza de que as recomendações serão ajustadas, é possível que elas curem os poços, forme um coágulo, prescreva terapia antibacteriana + banhos (se houver necessidade). Idealmente, um bom coágulo sanguíneo é o caminho para a cura normal das gengivas após a extração do dente.
Urgentemente! Hoje fui designado para um ataque em cadeia. Estamos na GV. O bebê tem 10 meses. Disseram à GV para não parar e dar à criança 5 gotas de hilak forte.
Olá Há uma semana, fui removido 6 no canto inferior esquerdo. Ela sabia que o dente precisava de intervenção, mas sofreu. Até o momento em que ele começou a choramingar à noite, e na manhã seguinte ele inchou um pouco ... Ela não pegou o congelamento imediatamente, fez e fez, injeções 5, provavelmente ... Eles removeram o dente - estava sem tampa, por sinal, estava. Descobriu-se que existem muitos pus e muitos cistos. Tudo limpo e polvilhado com algo, aparentemente, um medicamento. Cheguei em casa e adormeci. Acordei com um enorme inchaço na bochecha. Todo dia e noite, esse inchaço doía cada vez mais. A pele parecia estourar, como se cortada. Começou a doer ao redor da orelha, pescoço, mandíbula superior, templo. Não aguentei no final de semana, fui ao oficial de serviço, que disse que a alveolite e o inchaço com o linfonodo foram afetados ... Ele colocou o remédio no buraco, receitou um anestésico. Faz 6 dias desde a remoção e as dores são infernais. Ketanov ajuda por um curto período de tempo, o inchaço dói. Bata na mandíbula inferior, o selo não passa. Eu já injeto antibióticos, não há resultado. Boca não aberta, tudo dói. Dentro da bochecha, está a gengiva, que quase fecha o buraco - então tudo está inchado. O que fazer e como reduzir a dor e o inchaço? E então não é preciso nada ((
Olá, Oksana! Eu acho que o médico de plantão se limitou às manipulações padrão no seu caso, o que não trouxe um resultado positivo. Ou seja, obviamente a alveolite progride e de acordo com dados preliminares - isso causa uma complicação.
Tudo o que você está fazendo atualmente é uma medida "superficial". Eu acho que não vale mais a pena procurar o médico de plantão para obter assistência abrangente: é importante atualizar o buraco. Isso significa que, sob anestesia local, é realizada uma curetagem detalhada da ferida, os restos de partes não removidas do dente, osso “apodrecido”, alimentos, fragmentos etc. são removidos. A ferida é lavada, um coágulo se forma, uma compressa anti-inflamatória com uma pomada antibacteriana é aplicada.De acordo com a situação, uma pequena incisão pode ser feita ao longo da dobra de transição, onde está localizado o edema, com a provisão de drenagem para a liberação de exsudato purulento e aceleração de um resultado positivo.
Melkom 2 anos, ontem removeu dois dentes da frente, hoje a noite inchada metade do rosto. Antibióticos prescritos e nurofeno, embora não haja temperatura. Eles disseram que se piorar, eles nos colocarão em um hospital. O que eles vão fazer lá? É possível remover o edema com frio?
Olá Nastya! Eu acho que a natureza desse edema é um pouco diferente, para que você possa se limitar ao frio. Grosso modo, ao “congelar” uma infecção, você não obterá um resultado promissor, e o processo infeccioso e inflamatório continuará a progredir. É claro que, puramente teoricamente, o edema também pode estar associado à reação usual do corpo à anestesia, trauma, feridas, estresse etc., mas você foi solicitado a não arriscar a vida da criança (de qualquer maneira), mas monitorá-la para nível altamente qualificado - em um hospital. O que eles vão fazer lá? Eu acho que tudo será padrão: um “entalhe” ao longo da dobra de transição, onde há edema purulento, com sistema de drenagem, injeções de antibióticos, terapia restauradora (“sistemas”) e, principalmente, monitoramento da saúde a cada hora. Não creio que, neste contexto, faça sentido duvidar da direção dos pensamentos dos médicos assistentes.
Olá. Ontem eu removi até 4 dentes seguidos. Havia um cisto purulento em um, o restante em mau estado. Hoje acordei, minha bochecha ficou maior ... Esse é um processo normal? Parece inchaço. Como eu devo ser?
Olá Elena! Eu acho que você "aqueceu" sua bochecha durante a noite do lado da remoção, ou é apenas uma resposta a esse "trauma". O edema é o resultado de uma reação inflamatória. Acontece que essa reação ocorre violentamente, com a disseminação do pus.
Para evitar complicações, é aconselhável consultar seu médico e se acalmar se tudo estiver em sua opinião. Se você não confia no seu médico, sempre pode descobrir a opinião de um especialista terceirizado (independente).
Olá, há três dias, meu molar distal foi removido. Quando o médico deu uma injeção, então, como ele disse, ele ficou nervoso, porque era insuportavelmente doloroso e os olhos derramaram lágrimas. Ao remover, o médico afrouxou muito o dente e a raiz quebrou, ele também o removeu. Agora eu tenho uma bochecha inchada e o inchaço não diminui, dói quando pressiono a bochecha, mas não no local da remoção, mas mais perto do nariz. Há dor ao abrir a boca, o buraco está limpo e não há febre. O que fazer para reduzir o inchaço e é perigoso?
Olá Para evitar edema no primeiro dia após a remoção, uma compressa fria é aplicada de acordo com um determinado método. No entanto, estamos falando do quarto dia, portanto esse método não é relevante. O edema é o resultado de uma reação a um processo inflamatório local. Se estamos falando de complicações, pode ocorrer um edema significativo. É importante entender corretamente o que realmente causa edema. É a partir disso que se pode avaliar o perigo de edema.
Você pode realmente avaliar sua condição somente após uma consulta presencial com um dentista. Se o médico identificar as causas do edema, ele as eliminará. Existem medicamentos para reduzir o edema e a atividade da flora microbiana (anti-histamínicos, antibióticos), mas são prescritos pelo médico após um exame detalhado.
Olá O filho tem 6 anos. 16/04/16 no dente da noite doía. Chorou. Deu sinepar ao filho, ele adormeceu. No dia seguinte, visitamos o médico: bem, há cárie. Eles removeram os top 4 e 5 seguidos ... Por dois dias meu filho estava vomitando. 18/04/16 parou de rasgar e a bochecha estava inchada. 19/04/16 estávamos com este médico, ele examinou e prescreveu um antibiótico: injeções de cefozalina por 5 dias, duas vezes ao dia, furatsilina e agisept.Agora, hoje é o quarto dia em que injetamos cefozalin, o inchaço não diminui, não há temperatura, come normalmente. Já no quinto dia, o inchaço não desaparece. Hoje, o médico estava novamente no médico, ele realmente não disse o que estava lá e por que o edema não desapareceu! Ele nos dirigiu a outro médico (cirurgião da mandíbula), segundo ele, seu filho tem pus na garganta (em amígdalas) ... Isso é possível? O que fazemos? Obrigada
Olá No contexto de tal situação no corpo (estresse, feridas na cavidade oral, etc.), a resposta imune da criança foi ativada tanto que o processo inflamatório temporariamente "adormecido" nas amígdalas foi ativado. Eu acho que existe uma relação causal, mas ambos os processos terão que ser tratados, pois você não precisa alimentar a infecção.
Eu recomendo entrar em contato com um otorrinolaringologista pediátrico para eliminar esta lesão. Se o otorrinolaringologista diz que o principal motivo é odontológico, você deve consultar um médico, mesmo com outro dentista pediátrico. Estou certo de que dessa maneira (abrangente) pode resolver o problema. Além disso, não há temperatura e a condição é estável, e o edema é uma questão individual: não ocorre imediatamente. Alguém precisa de 2 a 3 dias e alguém de 5 a 7 dias.
Desejo ao seu filho uma rápida recuperação!
Olá. No meu caso, o dente do siso inferior esquerdo foi removido. Após a remoção, a bochecha inchou no dia seguinte. O tumor cresceu, a temperatura apareceu. Virei para o dentista novamente, e lavei o coágulo sanguíneo em algum lugar e fui infectado (acabou sendo um buraco seco). Ele limpou a ferida, colocou remédio, prescreveu antibióticos. A temperatura voltou ao normal, o dente parou de doer. Mas a bochecha cresceu e continua a crescer. O que fazer Isso é normal ou não?
Olá Em princípio, essa não é a norma, mas muitas vezes os pacientes percebem o "deslize" do edema para baixo como crescimento. Obviamente, o edema não diminui rapidamente, mas nem sempre desaparece lindamente. Em um processo infeccioso agudo, a temperatura geralmente está presente. Se o seu corpo já não tem motivos para combater a infecção, provavelmente há uma tendência positiva. De qualquer forma, recomendo que você consulte um dentista para obter conselhos para excluir até os riscos mais mínimos.
Boa tarde 05/05/16, o dente molar foi removido do canto inferior direito, o dente estava quase desaparecido, estava podre e uma tala sobressaltada) Fiquei doente por um dia e minha bochecha estava um pouco inchada, decidi ir imediatamente ao dentista e removê-lo. O dente foi removido sem problemas, doeu após a anestesia, mas no dia seguinte a bochecha estava inchada, as gengivas doíam ... fui ao médico novamente, ela fez uma incisão e colocou a gengiva na ferida e disse que tinha acúmulo de sangue. Antibióticos prescritos, amoxiclav e enxágüe com refrigerante. Apenas anestésico ajuda. Já é o quarto dia, e ainda dói e minha bochecha está inchada, o inchaço é uma sensação, abrir minha boca é um pouco doloroso e comer é doloroso. O que poderia ser? Por que dor e inchaço não desaparecem? E quanto tempo isso pode durar? Agradecemos antecipadamente!
Olá Eu acho que o dentista já fez tudo o que deveria ser. É especialmente bom que você tenha uma drenagem próxima ao dente extraído: isso excluirá a opção de acúmulo de exsudato purulento próximo ao orifício. No entanto, é provável que você tenha desenvolvido alveolite. É importante avaliar a condição do coágulo sanguíneo. Quanto pior a ferida, mais tempo leva para curar e mais dor. Eu acho que em cada estágio deve ser monitorado por um dentista. Nesse caso, a tarefa do médico é avaliar cuidadosamente a condição geral e o próprio buraco para excluir alveolite e, se possível, tratar a ferida com medicação. Além disso, em breve você precisará remover a drenagem. Saúde e bem-estar!
Muito obrigado! )
Olá, cerca de um mês atrás, dois dentes inferiores foram removidos, 3 e 4 à esquerda, contra a periodontite. Estilhaços ressaltaram, a dor apareceu, voltou-se para outra clínica, onde limparam tudo, cortaram as bordas afiadas e costuraram cuidadosamente. À medida que a cura progredia, descobriu-se que, para próteses adicionais, era necessário cortar exostoses. Em 24 de abril, as exostoses foram cortadas. Agora tudo se arrasta, parece arrumado, não há inchaço. A propósito, nunca tenho pus e edema com problemas dentários, mas é sempre a condição geral que sofre de periodontite e outros problemas dentários. E agora a temperatura é mantida em 37,1-37,3 durante o dia, que desaparece à noite, náusea, falta de apetite. As gengivas na área desses dentes são mais vermelhas do que as saudáveis.
Esqueci de escrever que a dor persiste quando clico na mandíbula no local da remoção.
Olá O fato é que vale a pena analisar a situação de maneira abrangente. Primeiro, você deve tirar uma foto da área de remoção para possíveis processos inflamatórios e os restos de algo estranho. Se esse fato não for confirmado, será mais difícil. A dificuldade é que, sem exame cuidadoso na cavidade oral, palpação das gengivas, etc. nenhuma conclusão pode ser tirada. Em geral, a situação não é totalmente clássica: você deve prestar atenção à imagem, ao estado da ferida, aos dados de um exame objetivo etc.
Se nenhum problema for identificado do lado da remoção, teremos que monitorar o estado geral de saúde: um exame geral de sangue, bioquímica seletiva, consulta com um imunologista, terapeuta, etc. Até que o problema se manifeste claramente. Sem saber o verdadeiro motivo, o tratamento não pode ser planejado.
Muito obrigado pela sua resposta.
Olá O médico dentista tratou o dente, presa e depois disse que estava podre e o removeu. 11 dias se passaram, não havia temperatura. Há um ligeiro inchaço da bochecha, quando pressionado, dói ao longo do canino, onde há uma borda. O orifício do dente anterior não cicatriza, uma mistura acinzentada perto do orifício. Se o peróxido for aplicado a esta mistura, ela ferve. O médico disse que aplicou um dent metrogel. Minha pergunta é: será que dentro dela apodrecerá, um cisto se formará, mas eu não sentirei isso. E quais são os sintomas?
Olá Galina! Eu acho que a alveolite pode ser, mesmo apesar de um período tão longo após a remoção. Embora seus sintomas sejam lubrificados. Tive a sensação de que você é um pouco, mas se automedica. Tenha cuidado - as concentrações de certos medicamentos podem causar queimaduras e problemas adicionais. É melhor se proteger e tirar uma foto do orifício após a remoção, com uma consulta mais aprofundada do cirurgião-dentista. Estou certo de que a imagem pode responder à maioria das perguntas que você suspeita.
Quanto à preservação do cisto: se um granuloma ou cisto sai e permanece após a remoção, na maioria das vezes causa uma reação violenta, mas às vezes o processo “adormece”. Um instantâneo pode ajudar a diagnosticar essa complicação. Desejo-lhe boa saúde!
Olá Eles removeram o 6º da parte inferior esquerda em 13 de maio ... Fui ao médico sem dor e eles me disseram que o dente não podia ser restaurado. Apenas uma pequena parte do dente permaneceu no topo, o resto da raiz estava com cárie e cheirava mal ... Imediatamente pela manhã a bochecha estava inchada e havia uma flor cinza-amarelada no coágulo sanguíneo, havia um cheiro podre desagradável na boca. Então outro dia se passou. Eu queria ir ao médico, mas tive um fim de semana. Fui até ela no início da manhã, na segunda-feira, dia 16, e ela, mesmo sem realmente olhar, escreveu pílulas - isto é tsifran e tsetrin, deixei o laser de lado. Fui ao laser, comprei pílulas e bebi imediatamente. Mas à noite a dor se intensificou e fui à cirurgia maxilofacial de emergência no hospital ... Lá fiz uma incisão e uma drenagem. Eles disseram limpar em um dia, aqui, amanhã eu vou limpar.Eu tomo esses comprimidos no segundo dia e fui ao laser pela segunda vez hoje, mas não há efeito ((a bochecha também está inchada e mais firme, mas a dor é tolerável).
O que devo fazer a seguir? ((A bochecha ainda não passou do quarto dia. Hoje ela também a tinha, mas aparentemente estava indo para casa, sem roupão ... E estendeu a mão sem luva, apenas lavando as mãos, isso é normal?) Vale a pena fazer uma reclamação sobre ela?
Olá Sem luvas, você nem consegue se aproximar do paciente. Há motivos para reclamação, mas esses documentos geralmente permanecem sem atenção. Se a câmera estava no escritório, mas através da mídia, e assim - é inútil, como regra. Mas você pode tentar.
O inchaço na maioria das vezes não é tão rápido quanto os pacientes desejam. Que a drenagem seja boa é bom, mas é importante estabelecer o nível de limpeza da ferida. Você deve tirar uma foto do poço após a remoção e entrar em contato com um especialista independente. Se eu fosse você, eu obteria conselhos de 2 dentistas exatamente pessoalmente. Uma imagem e um exame na cavidade oral são importantes. Parece-me que você precisa realizar uma curetagem do buraco e tratar cuidadosamente as partes possivelmente deixadas do dente ou fragmentos de osso.
Olá Em 10 de abril, ela removeu as cinco explosões de cima, devido a granulações, o buraco foi limpo no dia 20. Então, ela ficou no hospital para colecistectomia e, após a alta, descobriu que havia um crescimento aparecendo de um buraco curado. Acabou novamente a granulação. Mais uma vez, o médico realizou uma curetagem. Isso foi sexta-feira. Hoje é quarta-feira, tenho inchaço e dor frenética. A imagem está limpa, o buraco está bom. Inchaço do palato e cede no ouvido. O médico disse que isso se devia a sangramentos prolongados, eles até colocaram uma esponja hemostática em mim. Eu não prescrevi antibióticos. A dor está me deixando louco, talvez eu deva recorrer a outro especialista?
Olá Elena! O ouvido geralmente dói devido à irradiação dos dentes inferiores, mas acho que estamos falando de dor intensa da alveolite após um tratamento mal sucedido da ferida - o efeito de um buraco seco.
Os médicos às vezes confundem granulação com cicatrização convencional de feridas. Geralmente, geralmente não é necessário limpar o poço de tecidos suspeitos suspeitos. Há riscos de você se tornar vítima de uma confluência de circunstâncias: o buraco é simplesmente "torturado" e, com ele, você. Eu acho que vale a pena entrar em contato com outro especialista e apenas criar um bom coágulo sanguíneo: apenas a proteção biológica cria um certo nível de conforto. Muitas vezes, a ferida é estreitada por meios especiais para reduzir a conexão do orifício com a cavidade oral. Medicamentos adicionais apenas ajudam a curar um pouco. Consulte outro médico; você pode estar certo ao avaliar seu tratamento.
Boa tarde Tirei os oito primeiros um par de semanas atrás, depois de três a quatro dias notei um leve inchaço, não há temperatura, não dói, a ferida não sangra, o inchaço não aumenta. Às vezes até parece que ela já se foi, e às vezes parece que ela aparece depois de comer. Ela olhou para o médico, disse que não havia inflamação, mas o cirurgião precisava aparecer. A remoção não foi difícil, nos primeiros dias não houve problemas. Como constantemente no lado do dente extraído, pois, por outro lado, os dentes estão preparados para a instalação da ponte. Obrigada
Olá Olga! Você não tem nenhuma pergunta como tal, mas os sintomas são "embaçados". Eu acho que as bordas dos alvéolos do buraco estão no estágio de "reabsorção" e, com a pressão na gengiva na zona de remoção, pode haver uma lesão nas bordas. Então, no interior da gengiva, aconteceu algo de um processo inflamatório local. O processo alveolar da mandíbula na área de remoção ficará suave em cerca de 4-7 meses, mas isso não é motivo de preocupação: após as próteses, a carga nas duas mandíbulas se tornará adequada e não haverá sobrecarga na área de remoção. Isso significa que a ansiedade desaparecerá.
Olá, tenho 22 anos.Em 16 de maio, o dente molar inferior foi removido. Não sei qual deles pelos números. Só posso dizer que este é o segundo após o dente do siso à direita. Então, eles removeram por um longo tempo, dolorosamente, aos poucos)
No quinto dia, fui ao dentista-cirurgião que estava removendo o dente, reclamando de dores terríveis nas gengivas. Ele (o médico) disse que está tudo bem, aguenta e bebe analgésicos. Já se passaram quase 10 dias (se você contar a partir do dia da operação). A gengiva dói terrivelmente (bebo antibióticos e analgésicos), minha bochecha um pouco, mas há um inchaço, por assim dizer. O buraco é irrealisticamente grande, isso é normal? Agradecemos antecipadamente.
P.S. Confio no meu médico, mas corro para ele a cada dois dias ... acho que isso é supérfluo.
Olá Eu acho que você tem alveolite em meio a cirurgia traumática. O médico deve ter cuidado com o buraco - se for muito grande após a remoção, é melhor fechar a ferida. Caso contrário, torna-se um "lixo" para a infecção da cavidade oral e dos alimentos. Eu recomendo entrar em contato com outro dentista, fazendo uma curetagem da ferida com a formação de um bom coágulo sanguíneo. Isso impedirá a propagação adicional do processo inflamatório.
O fato de você ir ao médico é normal. O monitoramento de cura permite o sucesso.
Olá Eles removeram o 8 superior da esquerda, afrouxaram o dente ao remover, as raízes se tornaram ganchos, não quebraram, mas a partição teve que ser removida. Nos primeiros dias após a remoção, não houve problemas. No segundo dia, o inchaço da bochecha apareceu, aumentou durante o dia, a temperatura foi de 36,8. Ao comprimir a mandíbula, não há dor, não há cheiro na boca, mas a sensação de plenitude e dor dolorida está na bochecha. Eu fui ao médico novamente, eles recomendaram beber ciprolet, eu também tomo analgésicos. Pergunta: Quanto tempo pode aumentar o inchaço? E quais são meus próximos passos?
Olá Eu acho que isso é resultado de uma manipulação traumática - o edema simplesmente aumentou gradualmente o ritmo. A duração deste processo depende de muitos fatores: imunidade, grau de "esmagamento" dos tecidos, abertura de uma ferida, condição de um coágulo sanguíneo, etc. Você pode tirar uma foto para diagnosticar sua "pureza". Se a imagem não mostrar fragmentos, granulações, raízes residuais, etc., siga as recomendações. Consulte seu dentista para esclarecer meus dados e sugestões de correspondência.
Boa tarde Na terça-feira, 24/05/16, os oito primeiros foram removidos. Eles puxaram e afrouxaram a coisa toda por meia hora - o dente imediatamente começou a ruir por cima, mas aqui a raiz estava firme, o cirurgião teve que fazer um grande esforço para retirá-la. Eles colocaram um pedaço de gaze e jogaram fora, como esperado, após cerca de 40 minutos. No mesmo dia após o término da anestesia, percebi que havia uma sensação desconfortável - inchaço das gengivas na região do dente extraído, do lado de fora (aquele até a bochecha). Mas pensei que talvez por injeções (a agulha era bem grossa) e a remoção fosse difícil. Mas o inchaço não desapareceu após 2 ou 4 dias, como resultado, hoje fui ao médico novamente (mas, infelizmente, não cheguei na pessoa que o excluiu, parecia diferente). Ele não olhou atentamente, apenas tentou tocar, disse: "a borda do osso, não se preocupe, à medida que o buraco cresce, ele passa, apenas não toca e não enxágua nada". No entanto, isso não me tranquilizou - o que significa "borda óssea" e o que o cirurgião quis dizer? Será que esse inchaço permanecerá ou deforma a mandíbula ou causará outras complicações? Em geral, eu me preocupo com a forma como esse "galo" não ficaria lá. Por favor, esclareça!
Olá Eu acho que o cirurgião que você identificou a borda afiada dos alvéolos no contexto de uma remoção complexa. O fato de ele "se destacar" e "afiar" não é a norma, pois piora as condições de cura.Idealmente, o orifício deve ser formado da seguinte maneira: saliências afiadas são lixadas ou removidas com pinças ou pinças de ossos, e a gengiva é bem colocada e as bordas são unidas. Para isso, eles geralmente recorrem à sutura. Isso não deve ser assustador - é para o benefício do paciente, a fim de reduzir os riscos de infecção do orifício.
Se você proteger o cirurgião, podemos dizer que ele depende do tempo e da possibilidade das gengivas crescerem na direção do "vazio". De qualquer forma, é lento e nem sempre é confortável. Mesmo na maioria das vezes, não é confortável e traumático, especialmente durante a mastigação.
Olá novamente! Muito obrigado pela resposta! Felizmente, tive sorte, não era um alvéolo, com o buraco em si está tudo bem. Desci novamente, já para o cirurgião que o estava removendo. Ele examinou cuidadosamente o buraco e a gengiva e disse que não havia com o que se preocupar. Como se viu, ele me "afia" quando movo ativamente minhas bochechas de um lado para o outro - a borda do dente 7, costumava cobri-lo com 8 e não o sentia, agora é, mas acho que não é um problema (na pior das hipóteses, vou arquivar / moer mais tarde ou algo assim). Um inchaço na gengiva na direção da bochecha (pouco mais ou menos 7) não é perigoso, como o médico disse: "esta é a reação do corpo - sua imunidade - a danos, remoção pesada, vai demorar cerca de uma semana, o principal é não tocar e deixar o buraco crescer silenciosamente". Bem, dado que não há dor, também não há sabor, o inchaço na gengiva começou a diminuir e o desconforto mais importante, como se viu, causou a borda do 7º dente, acho que está tudo bem. Embora eu ainda monitore a condição nos próximos dias e, se houver alguma coisa, voltarei ao médico novamente (mas espero que tudo dê certo =)
Boa tarde Ontem o top 4 foi removido, fui ao médico com edema e dor aguda, a raiz estava podre. Hoje, todo o lado direito tem olhos inchados e inchados. Esta é uma situação normal? Não há temperatura, bebo cetanas, pois a dor está presente. Obrigada
Olá Olga! Sim, inchaço e descendo na ascensão na mandíbula superior e descendo - na inferior. Um hematoma é uma questão comum. A falta de temperatura sugere que o corpo não tem com o que lutar. As consequências de já ter edema desaparecerão completamente em 3-5 dias. Pareça ao médico para controle (já que é normal rastrear a cicatrização do buraco no dentista) e se recuperar em breve.
Olá, na segunda-feira, o 8º dente foi removido, no primeiro dia houve um pequeno inchaço, no dia 3 ficou maior. Na área de remoção, há dor e uma bochecha inchada. Não há temperatura, nem mau hálito, a deglutição não é dolorosa, mas a mastigação é desconfortável e um pouco enjoada. No terceiro dia, o médico colocou o remédio no buraco e disse que o tumor havia se formado devido ao buraco vazio, que prescreveu antibióticos e banhos de refrigerante. Eu tomo um antibiótico e tomo banho pelo segundo dia, mas não há melhorias. Devo ir ao médico novamente?
Olá Lily! Eu acho que vale a pena ir ao dentista para uma consulta. O processo de cicatrização após a remoção complexa não é o mais fácil. Seja paciente e vá ao médico para remover todas as suspeitas.
Olá, o tumor quase desapareceu! As dores também pararam, mas há um pequeno nódulo na gengiva e nas bochechas. O que poderia ser? A goma no local da remoção está quase fechada, mas o nódulo ainda não passa!
Olá Eu acho que o processo inflamatório está desaparecendo gradualmente. Os efeitos residuais da intervenção traumática aparecem como um selo. Parece-me que vale a pena observar por 2-3 dias. Caso contrário, não será supérfluo aparecer ao médico, uma vez que a palpação da formação é uma importante medida diagnóstica e, pelo menos, não há como remotamente conduzi-la.
Olá, eu já escrevi em 13 de maio.Após a extração dos dois dentes inferiores, houve dor ao pressionar a gengiva. Fui novamente ao médico com queixas dessas dores e descrições de minhas sensações de arestas cortantes quando senti as gengivas. Ela fez a operação seguinte para remover bordas afiadas, duas semanas se passaram e, em um local onde a operação foi realizada, tudo praticamente se curou em mim e, no outro, houve dor aguda quando pressionada. Não posso dizer que a borda é muito afiada lá, mas a gengiva das minhas palpações é irritada. Por outro lado, no estado normal do osso, a gengiva dificilmente seria ferida quando pressionada ... A médica disse que não sentia arestas vivas e que era necessário aguardar a cicatrização. Mas não sinto dinâmica positiva. A dor aguda quando pressionada persiste. Como entender patologia ou apenas uma cura prolongada?
Olá Rastrear, infelizmente, é quase impossível. Na figura, a condição do remo ósseo, como regra, não é exibida no contexto necessário. Obviamente, os testes para um poço individual foram suficientes no último mês. Eu acho que o médico não vai enganar você. Provavelmente, você já se encerra com antecedência, por isso é importante se acalmar e esperar um pouco. Pelo menos, acompanhe a dinâmica da próxima semana.
Muito obrigado pela resposta.
Olá O dente foi selado, doeu, empurrou e acabou indo para a ambulância à noite. Eles sugeriram fazer uma incisão na gengiva, porque havia pus! Recusei-me, de manhã vim para a odontologia com a bochecha inchada, eles puxaram para mim. Agora, a bolsa está pendurada na bochecha abaixo, pequena, e o endurecimento é aparentemente pus, e o círculo é vermelho na bochecha. Não há temperatura, ontem à noite tinha 37 anos. Dói quando mordo, minha bochecha e um pouco de dor de gengiva! Diga-me, isso é normal? E é possível aplicar levomekol na bochecha? Eu bebo antibióticos, lavo com refrigerante.
Olá Eu fortemente não recomendo a automedicação. Quaisquer compromissos são formados somente após um exame minucioso, palpação e métodos de pesquisa adicionais (se necessário). Não acho que qualquer dentista que entenda o material e pense com a cabeça possa escrevê-lo com uma mão leve com base apenas na sua descrição: "deve ser assim, é normal".
Por exemplo, fico envergonhado com a frase "bolsa pendurada na bochecha". Sem vê-lo, posso assumir qualquer coisa, mas, de fato, sempre há um risco de erro no diagnóstico. É por isso que, apenas para cuidar da saúde de meus pacientes, é nesses casos especiais que recomendo vir e mostrar seu problema na cadeira. Freqüentemente, o paciente chama coisas comuns após a remoção com todo tipo de palavras assustadoras, mas às vezes inofensivas, com as mesmas palavras, “umbigo” é uma complicação após a remoção.
Acho que agora não vale a pena explicar por que já é tão importante, na fase de cicatrização, consultar o seu médico, que prescreverá os medicamentos necessários, se necessário.
Olá Svyatoslav! Tenho 28 anos, ontem eliminei um dente sábio, a princípio estava sangrando e hoje parou. Mas agora o problema é diferente: inchaço das bochechas, temperatura e meu dentista não consultou para que eu pudesse fazer procedimentos em casa. O que fazer
Olá Sintomas como o seu não são incomuns após a remoção. O problema é que qualificá-los como uma complicação que leva a consequências negativas só é possível após uma análise cuidadosa. Primeiramente, não sabemos o quão bem a remoção do dente do siso foi realizada. Afinal, não é segredo para ninguém que às vezes os cirurgiões dentistas “esquecem” a raiz, parte dela no buraco, ou não raspam granulomas qualitativamente (se houver).
Portanto, para uma análise objetiva, seria bom tirar uma foto do poço.Se tudo estiver em ordem na imagem, o próprio buraco e o estado do edema já serão examinados: localização, tipo, condição etc. Obviamente, você já entendeu até que ponto minha abordagem no trabalho é a nomeação de procedimentos em casa. Até verificar se tudo está bem, nunca prescreverei antibiótico, sulfanilamida, anti-histamínicos, pomada anti-inflamatória etc. E não me arrependo de enxaguar, pois eles costumam lavar um coágulo de sangue - uma defesa biológica para o buraco. No entanto, cada médico tem sua própria abordagem. Consulte o seu dentista que prefere uma abordagem abrangente e abrangente.
Após a remoção dos 2 dentes superiores com um cisto, há um inchaço nos olhos e uma temperatura de 37,7. Este é o segundo dia. Remova os pontos em uma semana. Eu quero temporariamente colocar uma prótese removível, mas depois quero colocar um implante com um dente. Quanto tempo devo esperar para me lembrar, e acho certo? Há um momento desagradável - quando o cisto foi removido, eles queriam construir um osso, mas, como tudo estava apodrecendo, não o fizeram. Quanto tempo esperar pelo reparo ósseo ou já se acumular na implantação? Agradecemos antecipadamente a sua resposta.
Olá As táticas dos médicos estão corretas: você não pode colocar nada no foco da inflamação purulenta, pois há riscos altos e o buraco pode ser bloqueado para uma saída normal de exsudato. Em geral, sua pergunta não está totalmente correta. O médico prossegue em termos de normalizar sua condição e a condição do buraco após a remoção. Portanto, você terá que esperar tanto tempo até que seu corpo se recupere dos indicadores necessários: em geral e em particular (na cavidade oral). Em média, é de 7 a 14 dias. Quanto à elevação do seio (ou construção óssea), posso dizer que este é um procedimento realizado antes da implantação. No entanto, os implantes podem ser entregues no dia da elevação do seio, ou de 3 a 6 meses depois. Verifique com seu médico sobre a tecnologia que você está usando.
Boa tarde Há pouco mais de uma semana, eles removeram os oito inferiores retiniados. Durante vários dias houve um ligeiro inchaço, sem temperatura. Agora (de acordo com as sensações) a ferida está se recuperando bem. Não há inchaço visual, mas parece que a bochecha do lado da remoção ficou um pouco mais grossa que a outra e há um pequeno inchaço duro na mandíbula. A boca se abre normalmente, mas falar, sorrir e comer é um pouco difícil, porque no lugar dessa formação sólida, é sentida uma certa rigidez e rigidez.
Você deve se preocupar e ir ao médico, ou isso é normal e passará com o tempo?
Olá Não será redundante o aparecimento de um dentista. Em princípio, posso assumir que após uma remoção difícil, as bordas gengivais não são bem unidas, de modo que um buraco (por assim dizer) com uma gengiva triturada se abre, que, após uma cura bem-sucedida, se tornou um pouco mais denso do que no outro lado da mandíbula. Não tenho outra explicação sem um exame detalhado na cavidade oral. É por isso que o monitoramento após a extração dentária no seu médico é tão importante.
Olá Um dente foi removido há 4 dias, o dentista disse que a extração era difícil, o dente desintegrou-se, o pus foi retirado (demorou cerca de 30 minutos para ser concluído). Fui receitado antibióticos. O inchaço da bochecha no dia seguinte após a remoção (as gengivas não me incomodaram, não doeram, houve apenas uma pequena dor no dia seguinte). No segundo dia, o tumor diminuiu e agora há apenas um ligeiro inchaço. Por favor, diga-me isso é normal? Eu já quero voltar para a clínica hoje, estou muito preocupado.
Olá Após a remoção, uma ferida foi formada e um processo inflamatório local surgiu no contexto de uma lesão. A inflamação é sempre acompanhada de inchaço, dor, febre local e função prejudicada.Para alguns, isso é mais pronunciado, e para alguém, em menor grau. O dentista fez o possível para corrigir tudo, mas algumas nuances deixam sua marca. Parece-me que visitar o médico assistente não será supérfluo, mas de acordo com as sensações internas - até agora tudo está dentro dos limites normais. Saúde para você!
Boa tarde Removidos 6 abaixo (sob a coroa, a raiz quebrou em duas partes). Voltei para casa, tirei o absorvente interno e começou um sangramento grave - estou de volta à clínica. 3 horas lutaram para parar o sangue. Eles colocaram uma esponja medicamentosa, mas à noite ainda havia uma anêmona. No dia seguinte, a bochecha inchada abaixo e, como se fosse uma formação redonda, dura e dolorosa, foi muito doloroso abrir a boca e o próprio buraco estava dolorido. Fui novamente à clínica - disseram que era normal, não havia pus, os linfonodos não estavam aumentados. No dia seguinte, o tumor diminuiu um pouco, mas a dor permaneceu intensa - eu estava novamente no médico, algum tipo de fraqueza, sem temperatura ... O médico disse que voltaria em um dia. Eu não entendo: vim sem tumor e dor e agora estou sofrendo. O que devo fazer a seguir? Talvez um raio-X, porque existe um selo abaixo, embora tenha diminuído. Ou ir para outra clínica?
Boa tarde Eu apelo a você novamente. Estava no médico hoje, 5 dias após a remoção, e dores constantes. Ela abriu o buraco e pegou, a dor é muito intensa. Então ficou em silêncio por um longo tempo. Ela disse que não pus, beba Nise. Por que a dor dura tanto tempo? Talvez em outro lugar para virar? Faça um raio-x? Por favor me diga como ser? Tirei um dente em uma clínica particular, talvez eles não queiram estragar sua reputação ou simplesmente admitir um erro. O médico deu um espelho e eu olhei: havia sangue dentro do buraco. Ela disse que isso é normal - a ferida cicatriza. Estou muito preocupado porque estou com dor.
Olá Peço desculpas que, devido ao grande emprego em odontologia prática, não consegui responder em pouco tempo. O fato é que, em termos gerais (como você descreve), não há motivos para pensar que sua cura está ocorrendo com violações graves. Além disso, o dentista mostrou cuidados especiais: o máximo possível excluiu a possibilidade de mais processo inflamatório no orifício. A formação de um novo coágulo é uma das opções mais promissoras para o sucesso do tratamento da alveolite. O fato de a dor ser uma característica individual e, para cada pessoa, poder sinalizar diferentemente, é na sua situação clínica à revelia que será extremamente difícil entender esse sintoma sozinho. A resposta para sua última pergunta está na superfície: você pode verificar o trabalho de seus médicos tirando fotos do buraco após a remoção em uma clínica próxima. Freqüentemente, e em um hospital estadual (clínica, centro), você pode obter consultas extremamente informativas (com e sem fotos), encontrando a causa da dor. Parece-me que sua principal tarefa é seguir as recomendações do médico e, se necessário, ninguém cancela o direito de receber uma consulta cara a cara com outro dentista. Estou certo de que você simplesmente não tem uma correção competente de tratamento. Verifique a ferida quanto a fragmentos e restos ósseos, raízes, granulomas, etc. na ausência de dinâmica positiva, seria útil.
Muito obrigado pela sua resposta. De fato, a dor continua, as gengivas ao redor são vermelhas, mas podemos dizer que a dor todos os dias é um pouco menor. Muito provavelmente, esse é realmente o meu recurso. Talvez eu vá à clínica estadual amanhã, faça um raio-x lá ...
Após a extração do dente, eu sempre tenho uma temperatura de salto. À noite 36,4 - à tarde até 37,4, taquicardia. Eu li na internet uma descrição de pessoas em situações semelhantes, elas dirigem todo mundo como uma bola de futebol, segundo vários especialistas, mas ninguém reconhece a conexão dessa temperatura com os dentes. E, em geral, porque na Internet está escrito sobre alveolite que há uma temperatura.Você virá aos médicos, tudo é como partidários: não pode haver temperatura, vá ser examinado. Isso é uma conspiração? O corpo realmente não deve responder à remoção da raiz inflamada, por exemplo? Aqui leio sua correspondência, a maioria tem inchaço e pus, sem febre. E aqui eu tenho uma condição geral imediatamente ligada. Qual é este tópico para a dissertação de alguém?
Olá Não tenho certeza se este é um tópico para uma dissertação. Ele removeu repetidamente dentes permanentes que não podem ser preservados em adolescentes. A imagem é aproximadamente a mesma: mais perto da noite, no primeiro dia de remoção, a temperatura subiu para valores altos. No dia seguinte, tudo se estabiliza e quase sempre não ultrapassa os 37,3. O padrão que você descreveu é, em teoria, o oposto. Eu acho que essa resposta imune a uma lesão (ferida) é puramente individual. Honestamente, eu tinha a opinião, como cirurgião clínico geral em uma recepção mista, de que a maioria das pessoas não realiza termometria após a remoção. Em princípio, se uma pessoa é "salsicha" após a remoção, então ela definitivamente diz, mas quase sempre não especifica qual era a temperatura.
A maioria das pessoas não tem febre no local, mas muitas vezes os pacientes contam cerca de 3-4 dias após a remoção, e algumas vezes até 2-3 semanas atrás. Outros não o medem por causa da preguiça banal. Gostaria de escrever uma dissertação em sua ocasião, mas, infelizmente, não há dados suficientes sobre a história de suas doenças, anamnese de vida, saúde e assim por diante. Tudo isso poderia lançar luz e, quase certamente, explicaria a natureza dos saltos de temperatura de maneira diferente da maioria.
Muito obrigado pela resposta detalhada.
Três semanas atrás, o canino superior direito foi removido. Havia algum tipo de inflamação, então a pálpebra superior no canto do olho já estava inchada. Três semanas se passaram. Cura mal. Portanto, o buraco tem uma aparência rosada, mas ao escovar os dentes ainda, se eu acidentalmente bater nele com uma escova, ele começa a sangrar. Eles tiraram uma foto, tudo está limpo. Por que ainda está sangrando?
Olá Porque o processo inflamatório na gengiva regional ainda não foi concluído. O fato de não haver sintomas comuns não significa nada. O tecido no buraco, por assim dizer, "cresce", novas fibras são formadas, o que por si só determina a possibilidade de sangrar quando ferido por uma escova. Não vendo você, é difícil responder inequivocamente à pergunta, mas estou inclinado ao fato de que até agora a cura complexa determina esse sintoma. Então, só posso aconselhá-lo a ajustar levemente a técnica de escovar os dentes, tornar os movimentos nesta área mais suaves.
E quando você começará a primeira etapa da prótese e já fez uma prótese artificial (prótese de borboleta)?
Obrigado pela resposta. Enquanto faz sem uma borboleta. Eu serei protético após a cura.
Olá, em 2 de setembro, o resto do dente foi removido (quase nada restou) e a raiz. A remoção foi rápida. Hoje, no dia 5, a bochecha está inchada. A dor é muito fraca. Com a pressão na bochecha fica mais forte. Ainda devo ir ao médico ou isso é normal?
Olá Claro, sim, desde que o inchaço começou a ocorrer, pelo que entendi, 3-4 dias após a remoção. Estou certo de que a alveolite deve ser excluída. Se o dentista diagnosticar alveolite, será necessária a curetagem do orifício, seu tratamento anti-séptico e a formação de um novo coágulo sanguíneo. Às vezes, é necessária uma fotografia após a remoção para confirmar que o médico deixou o poço "limpo". Desejo-lhe uma rápida recuperação!
Olá doutor! Diga-me, por favor, o que poderia estar no meu caso. Ontem removeu os seis inferiores à direita. Com a introdução da anestesia, o médico bateu com força no osso com uma seringa e, quando o medicamento foi administrado, a língua era como uma forte descarga elétrica.O dente era resorcinol-formalina; ao tentar removê-lo, desintegrou-se, o médico cortou as raízes e as removeu em partes (uma das raízes também quebrou). O médico colocou 3 pontos. Em geral, o dente foi removido, o sangue não parou por 4 horas, até eu me injetar dicinona. Na manhã seguinte, a bochecha inchou bastante. E tudo não seria nada, a goma no buraco é leve, mas um revestimento branco apareceu. Mas o mais assustador é que, ao lado do buraco na gengiva, apareceu um explorador com a cabeça branca! O que poderia ser? O edema ainda não diminuiu. Hoje é domingo, e o médico só funcionará na terça-feira depois das 14. O que fazer
Olá Eu acho que essas são as consequências da remoção traumática. É difícil dizer sem um exame, mas também pode haver uma continuação de um processo inflamatório purulento. A alveolite ainda é muito cedo para surgir, mas vale a pena verificar a qualidade da remoção. Um instantâneo de um poço poderia lançar luz sobre a "pureza" da extração dentária. Não faz sentido esperar; você deve consultar um dentista de plantão para obter orientação.
Ola doutor Em meados de agosto, meu dente ficou muito doente (6, canto inferior direito). Este dente está “morto” há muito tempo, colocou um selo há 4 anos. Eu me virei para a odontologia de emergência, onde na manhã seguinte eles me encaminharam para um raio-x. Após esse exame, verificou-se que meus canais estavam mal fechados, e o cisto cresceu todo esse tempo, e depois que eu peguei um resfriado, ele também ficou inflamado. Em geral, eles limparam meu selo, limparam os canais, fizeram uma incisão, colocaram um dreno, prescreveram antibióticos e me mandaram para casa, disseram em 2 semanas. Mas como eu estava em outra cidade e em um futuro próximo eu voltaria para casa, não cheguei mais a eles. Ao chegar em casa, fui imediatamente à clínica odontológica no local de residência (a propósito, removi a drenagem após 3 dias, como o médico me disse). Limpei novamente os canais e coloquei um selo médico. E antes disso, é claro, eles fizeram o raio-x novamente. Fui com esse selo por uma semana e depois o substituíram por um novo (já que houve alguma dor durante a limpeza dos canais). Porém, literalmente, dois dias depois, minhas gengivas incharam; à noite, um abscesso se formou e, quando pressionado contra a gengiva, se abriu, muito pus fluiu, mas nem todo pus saiu. De manhã, fui novamente ao meu dentista, ela espremeu os restos de pus para mim, tomou outra injeção e me mandou para casa. Voltei a ela com hora marcada alguns dias depois, e as mesmas manipulações foram repetidas (limpar os canais, encher os selos; embora ela tenha dito que ainda era melhor remover o dente). Um dia depois, apareceu um abscesso, foi aberto periodicamente, passei assim por 4 dias. Na segunda-feira (12 de setembro de 16), ela voltou ao médico e me enviou a um cirurgião, e ele seguramente arrancou meu dente. Então, a pergunta é: ele deveria ter cortado minha gengiva e colocado drenagem nela? Afinal, existe um processo purulento, onde sair com pus? O inchaço das gengivas, anterior à extração do dente com pus, permaneceu. O próprio médico disse que havia apodrecido parte do osso, mesmo quando foi limpo estava dolorido, embora o anestésico fosse forte. Parece-me que essa inflamação será difícil de curar apenas com antibióticos; é necessária uma saída de pus. O que você me aconselharia? Agradecemos antecipadamente a sua resposta.
Olá A drenagem é uma medida recomendada, mas não obrigatória. Se estamos falando de periostite e complicações semelhantes, a drenagem é quase sempre estabelecida, uma vez que o exsudato purulento não é evacuado pelo orifício do dente removido com a mesma eficácia que gostaríamos. O ditado correto na cirurgia é: "Onde houver pus, abra-o". No entanto, muitas vezes sem cortes, tudo pode ser normal. Como eu não estava de pé atrás das costas do médico, é difícil para mim julgar por que o dentista escolheu a opção sem uma incisão. Aconselho você a seguir a dinâmica e, se houver sinais de aumento de edema ou alveolite, consulte imediatamente um dentista para obter ajuda.
Obrigado pela sua resposta.A cura ocorre normalmente, sem sinais de intoxicação, o orifício está atrasado, o coágulo sanguíneo é completamente substituído por fibrina (embora a princípio eu pensasse que era pus). Obviamente, o inchaço das gengivas ainda permanece, mas não tão pronunciado. Ele me incomoda, mas o médico disse que com tanta inflamação, como eu, está na ordem das coisas.
Boas noites! Hoje eles removeram 8 de mim, foi uma remoção difícil, o médico me colocou analgésicos e alguma outra esponja e colocou 4 pontos. Ela me avisou que minha garganta poderia doer, como na angina, e isso é normal. Depois de voltar para casa, minha bochecha começa a inchar, fica dura, quando pressionada dói, é compreensível, uma lesão. Mas a pergunta é: por quanto tempo a bochecha ficará inchada? O que pode ser feito para reduzir a dor de garganta? Atualmente, estou em posição, 1 trimestre.
Olá O edema após a remoção diminui em média 3-5 dias, com menos frequência - até uma semana. Um aumento no edema ou dinâmica negativa da condição geral (temperatura, dor, fraqueza, incapacidade) sugere que você deve consultar imediatamente um médico para obter ajuda. Quanto à gravidez, esse é um grande sinal negativo para a opção de tratamento antibacteriano. Quase todos os medicamentos que ajudam a lidar rapidamente com os problemas após a remoção não são recomendados ou contra-indicados. Portanto, precisamos de uma consulta conjunta entre o ginecologista e o dentista que o trata, a fim de encontrar um comprometimento no tratamento dos medicamentos, levando em consideração a avaliação de sua saúde e a gravidade da doença (após a extração dentária).
Uma pergunta para o médico: uma semana após a extração do dente (6) e 4 pontos no orifício, são observadas 2 manchas cinzas (aparentemente, um coágulo com fibrina onde as raízes estavam), fios brancos e bordas brancas do orifício coberto de vegetação. A vista é terrível, porque parece pus - isso é normal? Há um odor desagradável. Mas o inchaço das bochechas e da mandíbula e sensações dolorosas, felizmente, já passaram. Espero que tudo esteja indo bem, mas as peças brancas no topo do buraco e um pouco de dor ainda são muito irritantes. Está tudo bem com o meu buraco? Eu realmente quero colocar um implante lá, é por isso que estou preocupado.
Olá Penso que, no contexto da alveolite em curso, o implante está contra-indicado até agora. Antes de colocar qualquer coisa, é importante obter a aprovação do cirurgião maxilofacial. Em princípio, sem ver o buraco, não posso dizer mais nada, nem bom nem ruim. Com suas palavras, tenho quase certeza de que a alveolite foi, mas no momento suas manifestações são mínimas. Eu recomendo coordenar minha consulta com seu médico.
Aqui, aparentemente, eu perdi alguma coisa. Eu não percebi que tinha alveolite, ou seja, a dor no orifício não era forte, não havia pus pronunciado, a higiene era observada sem enxágüe, fiz banhos de camomila e clorexidina. Eu acho que as peças brancas no topo do buraco são fios que ainda não foram resolvidos. Só agora, outra pergunta me incomoda. Sob uma densa camada branca (acho que é um fio), uma parte do orifício é fechada, uma das raízes do dente e a segunda é a parte visível, onde a segunda parte da raiz estava quase vazia. Pode ser - parte do orifício está cheia de coágulo e parte não é? E o que fazer a seguir? E, em geral, o que os médicos competentes fazem nessas situações? Para mim é muito importante. Eu realmente quero colocar um implante em 3 meses.
Olá Antes da implantação, é necessário cuidado especial com o furo. É importante preenchê-lo com material osteoplástico, aparas autólogas, etc., para que os ossos dos alvéolos não percam devido ao encolhimento, sem mencionar a atitude cuidadosa com as paredes do orifício durante o procedimento de remoção. Em geral, a forma do futuro leito para o implante é importante aqui, o sucesso da implantação depende em grande parte da preparação.Não é por acaso que, após deleções não muito precisas (bem como após deleções realizadas há muitos anos), o implantologista precisa fazer levantamento do seio (não apenas quando o seio maxilar está fechado), pois é necessária uma certa altura do processo alveolar. Em geral, minha posição em relação aos furos é a seguinte. Em geral, existem muitas abordagens para a questão de como devem ser os orifícios "bons" antes da implantação. Tudo depende da competência do dentista.
Olá. 1,5 meses atrás, eles removeram um complexo de 8 ku. A remoção levou 2 horas, 6 injeções de anestesia. Depois que essa dor insuportável começou, todo o lado direito da cabeça doía. A bochecha imediatamente inchada, o queixo e o lábio inferior perderam a sensibilidade. Desde o primeiro dia, recebi um antibiótico e cetorol. Periodicamente, eu visitava o dentista, a resposta era uma: tenha paciência comigo, tudo vai passar. Fui a um neurologista (por todos os sintomas, decidi que o problema estava no nervo trigêmeo), ele me prescreveu um antibiótico novamente, apenas em injeções (2 vezes por dia) e ele foi acusado de injeções (1 vez por dia). Estou esfaqueando há uma semana, a dor diminuiu ou simplesmente não a sinto sob a influência de voltaren, mas o inchaço não desaparece. Tirei uma foto panorâmica, 3 dentistas diferentes afirmam que está tudo bem e que o buraco também cura. O exame de sangue é normal. Tudo está bem, mas eu não sou melhor. Todo esse tempo eu estou sentado em analgésicos. É normal que, após 1,5 meses, a dor, o inchaço e a dormência persistam? O que você pode aconselhar?
Olá Penso que a remoção foi extremamente traumática, que tudo isso provocou compressão ou mesmo lesão do nervo mandibular, daí a dormência. No entanto, não entendo por que a dormência coexiste com dores - afinal, essas sensações são geralmente percebidas como "congelantes". Quanto ao edema, é difícil para mim dizer algo, geralmente diminui dentro de 10 a 12 dias no máximo, às vezes leva cerca de 2-3 semanas, mas certamente não 1,5 meses. Se o exame de sangue for normal, estamos definitivamente falando sobre a consulta de um professor, o chefe do departamento de cirurgia maxilofacial. Não conectado e de muitas maneiras contraditório, na minha opinião, sintomas que merecem consideração individual e, é possível, consulta. É possível, mesmo em outra cidade, uma vez que os médicos podem cobrir um colega ou simplesmente não podem, como eu, relatar sintomas estranhos por 1,5 meses após a remoção de um dente do siso. Eu também gostaria de examinar e ver por mim mesmo o que está acontecendo com a cavidade dentária, mas até agora minhas recomendações se resumem a obter conselhos de um cirurgião maxilofacial altamente profissional.
Olá Minha pergunta é: dois dentes foram arrancados para mim há 3 dias, ou melhor, o que resta deles é uma raiz. Depois de arrancada, na manhã do dia seguinte, a bochecha começou a inchar e as gengivas doíam um pouco. Como apenas no lado esquerdo, o que devo fazer? Correr para o médico? Ou este é um processo normal de cura?
Olá O edema após a remoção por 2-3 dias geralmente ocorre, como uma variante do processo inflamatório local. Além disso, dois dentes danificados foram removidos. O crescimento de sintomas formidáveis (dor intensa, inchaço, febre, hálito pútrido, etc.) é uma razão 100% para consultar imediatamente um médico, mas quaisquer primeiros sinais que possam criar certos riscos também o obrigam, como consciente paciente, consulte seu médico para descartar problemas futuros.
Depois de examinar os buracos e analisar a situação clínica, é o médico que pode dizer com certeza se essa cura é normal ou não, e também o tratamento domiciliar correto (se necessário).
Boa tarde Responda-me por favor. No 9º dia, como 5 e 6 foram removidos de baixo, no 7º dia da TC (houve dor na região dos 8 desaparecidos) - os orifícios estão em ordem. Foi feita uma incisão ao longo da dobra de transição, espremido pus, sem a instalação de drenagem.Agora o inchaço é pequeno, causando dor. Placa purulenta no local do corte excita. O médico disse higiene geral. Todo dia que você não corre para ele, me diga o que você pode fazer, camomila e sálvia não ajudam?
Olá O mais importante é determinar a causa da descarga purulenta. O diagnóstico e o tratamento subsequente são importantes aqui. Quanto à prescrição de medicamentos: aqui é difícil para mim aconselhar algo sem vê-lo. Se você não confiar no seu médico, poderá consultar um dentista em outra clínica. É importante considerar o seu caso individualmente, diretamente na cadeira do dentista, caso contrário, pode ser prejudicial. Saúde para você!
Por favor, diga-me, há 6 dias, eles removeram um dente do siso complexo. Ele estava deitado nas gengivas, periodicamente inflamado. Foi excluído por um longo período, quase 1,5 horas. Eles injetaram 6 ampolas de anestesia. Eles arrancaram um dente e drenaram. À noite, a temperatura subiu 38. Tomei uma pílula analgésica e adormeci. No dia seguinte, a bochecha estava inchada e embaixo da bochecha. Um dia depois, a boca deixou de abrir, apenas um pequeno clique, só posso comer com uma colher pequena. Eles tiraram uma foto, o médico disse que estava tudo bem e retirou a drenagem. Um dia depois, o tumor não desapareceu, também foi adicionada dormência da mandíbula e lábio inferior. No fundo, sob o local da extração dentária, há uma bola densa e dolorosa. A boca nunca se abre. Fui ao médico, ele olhou e disse: é necessário desenvolver a mandíbula através da dor, caso contrário o músculo irá atrofiar. Honestamente, estou em pânico.
Diga-me, talvez o médico esteja escondendo algo de mim? A temperatura fica em torno de 37,5. E a noite é uma dor constante, como se todos os meus dentes doessem ao mesmo tempo, e é muito doloroso engolir.
Olá Em primeiro lugar, estou confuso com 6 ampolas (acho que estamos falando de carpules) de anestésico. Mesmo por uma hora e meia, isso é um pouco demais, já que naquela época 2 karpul de anestesia tecnicamente corretamente realizada com um anestésico de uma série de articaína na diluição clássica de adrenalina seriam suficientes. Se você foi injetado com lidocaína, não tenho comentários (este é o século passado).
Se você recebeu muitas injeções de anestesia (mais de 3-4 vezes), isso pode afetar a violação da abertura da boca e o estado geral. Mas geralmente esse sintoma está associado a uma operação traumática. Também há uma suspeita de que haja uma alveolite inicial.
Eu não gostaria de ofender ninguém, mas tenho dúvidas sobre o médico assistente, por isso seria bom você entrar em contato com outro dentista para obter conselhos detalhados e um exame completo do orifício diretamente na cadeira. Espero que tudo fique claro e que o seu tratamento em casa seja corrigido: como você não escreveu nada sobre as recomendações, inclina-se a pensar que elas não estavam lá ou que não estão completamente completas.
Olá Tenho 31 anos, 25/10/16 removeu o quarto dente do canto superior direito, ou melhor, a raiz, pois todo o resto apodreceu. Removido muito rapidamente e sem dor. Duas horas depois, quando o efeito da anestesia começou a ser liberado, começaram as dores doloridas, pequenas, não tomei analgésicos. No dia seguinte, praticamente não houve dor. Mas há um pequeno tubérculo ou edema acima do buraco (não sei como corrigi-lo), é doloroso quando pressionado. O pus não é visível, apenas avermelhado, em contraste com as gengivas imaculadas. Ontem, 28/10/16, os sete foram removidos do canto inferior esquerdo, e eu mostrei ao dentista, ela disse que estava tudo bem. E ainda hoje, o orifício superior cresce fracamente. Eu comprei e comecei a manchar Metrodent, não enxágüe. Nós não tiramos fotos. O que você diz nesta ocasião? Talvez algumas recomendações?
Olá Fazer suposições sem tirar uma foto dos buracos após a remoção é adivinhar nos grãos de café. Conheço muitos casos em que cirurgiões-dentistas ignoram os restos das raízes ou fragmentos da coroa,como é problemático ou trivial para o médico "subir" atrás deles quando eles quebram, não há habilidades adequadas (às vezes, tempo). Portanto, o médico pode muito bem dizer que está tudo bem. Não sei se isso pode ser chamado de fraude ou não, mas, na verdade, verificar os buracos quanto a erros do médico é minha prioridade. É por isso que vale a pena tirar a foto: se os buracos estiverem limpos, a alveolite deve ser excluída. Talvez, enquanto eu não tenho mais comentários sobre esse assunto.
Olá. 20 dias atrás, removeu 7 da parte inferior. Curou rapidamente, mas havia um nódulo na bochecha, no local da remoção. Não há dor, nem temperatura. O selo é sólido. O que poderia ser?
Olá Existem várias opções: uma protrusão óssea sob a gengiva (exostose) ou, como resultado da remoção traumática, as bordas da ferida são formadas. Sem inspeção, para ter certeza de que isso não é possível. Consulte seu dentista em uma cadeira.
Bom dia 4 dias atrás removeu o fundo 8-ku. A coroa do dente foi destruída e houve leve supuração. Removido rapidamente e sem dor. Foi diretor da ChLH, Ph.D., 20 anos de experiência. Não houve dores severas após a remoção. A temperatura é normal, sem odores desagradáveis. Em geral, o processo de cicatrização não causou nenhum desconforto em particular. Mas no terceiro dia houve um edema da bochecha, no quarto dia o edema começou a deslizar para baixo e, ao que parecia, aumentou. Quase não há dor, somente quando você clica na bochecha ou na mandíbula cede um pouco. Ou se eu abrir minha boca, por exemplo, quando bocejo. Em geral, a gengiva não se incomoda, a saúde é normal, mas a bochecha está inchada e a borda do lábio. Na bochecha, no local onde a anestesia foi injetada, existe um pequeno lacre, quando pressionado, dói. Vale a pena ir ao médico para um exame se nada incomoda, apenas inchaço das bochechas? E se esta é uma reação normal, então a que horas o edema deve passar? Agradecemos antecipadamente.
Olá Vale a pena ir ao dentista, é claro, já que você pode pular a transição do processo inflamatório inicial para a alveolite. É claro que agora os riscos são mínimos, pois após a remoção ocorre frequentemente edema, que desliza exatamente na mandíbula inferior. Você observou corretamente: o resultado da aparência de uma ferida na cavidade oral e da lesão no local da injeção do anestésico. O edema passa com mais frequência em 5 a 10 dias. Após uma difícil extração do dente do siso, você deve ir ao médico para excluir os possíveis riscos de inflamação infecciosa. Obrigado pela pergunta.
Olá. 12/12/16 removeu um dente do filho de três anos; no dia seguinte, pela manhã, a bochecha estava inchada e os olhos se fecharam um pouco. Fomos ao médico, disse para enxaguar com uma camomila e colocar uma compressa com bálsamo de vinil. O tumor passa, a vermelhidão permanece um pouco - isso é normal? Por favor me diga.
Olá A dinâmica positiva é, obviamente, boa. No entanto, as consultas não me inspiram confiança; eu recomendaria, em caso de menor medo, obter aconselhamento de outro médico.
Após a remoção do dente do siso, a bochecha estava inchada. Eu li todos os comentários, me acalmei por 2 dias, mas em vão. Doutor, por que você aconselha as pessoas a esperar o tumor cair por alguns dias, ir ao dentista, verificar se há um mau hálito? Por que você não aconselha correr diretamente para a cirurgia maxilofacial? Que diabos são dentistas? Por que não escrever sobre phlegmon? Que eles cortam a bochecha mais de uma vez, e de orelha a orelha, e na ausência de mau hálito da boca quando a bochecha é cortada em meio copo de pus, ela vaza e flui a semana toda. E um hospital por 10-20 dias é fornecido. E se você puxar algumas semanas sem ir ao médico, é raro, mas ainda fatal.
Eu continuarei Pessoas, não vão a pequenos dentistas e cidades com a bochecha fortemente inchada. Não é o nível deles.Apenas uma cidade grande e cirurgia, porque a inspeção é realizada pelo chefe do departamento, e este geralmente é um médico ou professor de ciências. Claro, eu realmente não entendo as fileiras e graus, mas ainda assim. Por 3 dias, os dentistas perderam o phlegmon em 2 clínicas estaduais diferentes e os enviaram para casa para descansar e aguardar a queda do tumor. Sou indispensável no trabalho, o chefe está furioso. Foram encontrados conhecidos no nível de vice-chefe do serviço regional de saúde. Dentistas serão demitidos. Tais erros não são perdoados.
Olá Alexey! Não foi possível passar por seus comentários pessoalmente contraditórios para mim. Devo dizer imediatamente que entendo sua situação, que perder a saúde e os riscos à beira da vida e da morte é sério. Talvez, estando em uma situação semelhante e tendo alguns conhecidos, eu também gostaria de demitir representantes da medicina (especialmente no estado). No entanto, vamos olhar para esta situação de um ângulo diferente.
Eu não acho que dois “tolos” francos estavam em dois hospitais estaduais ao mesmo tempo. Você acha que dois médicos não são adequados? E a situação que poderia ter acontecido em muitos hospitais: um médico assim senta-se e, para qualquer edema maligno que as pessoas sempre chamam de "tumor", ele envia aos cirurgiões maxilofaciais da cidade que estão simplesmente atordoados, para dizer o mínimo, por uma quantidade tão grande Pacientes encaminhados "fora do negócio". Entendo o atendimento ambulatorial que você encontrou nas clínicas, pois os médicos quase sempre encontram casos tratados ambulatorialmente. É claro que os métodos baseados em casa por si só podem não ajudar em todos os casos, mas posso dizer que a situação simplesmente não é favorável aos médicos, nem a favor de você.
Como resultado, você “libertou” os médicos que, cansados da recepção rotineira do sistema estadual de saúde, começaram a abordar seus negócios formalmente, enquanto eles mesmos estavam satisfeitos por terem cumprido seu dever e encontrado justiça em alguma coisa. Mas ouso incomodá-lo, embora concorde essencialmente com você: bons dentistas e diagnosticadores versados em todos os perfis de odontologia nos hospitais estaduais de uma cidade tomada podem ser contados nos dedos.
Quem não trabalha não está enganado. Conheço um dentista que, devido a um conflito devido a um erro no diagnóstico da criança, quando quase foi demitido, agora ele não trata as pessoas, simplesmente escreve os que consultou na revista (ele também registra que estava tratando cáries). Ele me disse ao telefone que "tenho medo de receber, vou cometer um erro novamente e eles vão me demitir".
Olá, há 3 dias tirei 46 dentes, a operação foi muito dolorosa e longa, durou 2 horas. E depois que o dente foi removido no dia seguinte, a bochecha estava inchada, depois no segundo dia o edema aumentou, no terceiro dia o edema diminuiu e, na bochecha, todo o cone ficou por baixo todo esse tempo, pequeno e pouco expresso. O mais interessante é que é sólido. Enxágüe com furatsilinom e sal. O inchaço da bochecha passa, mas esse inchaço não é, não cresce e não diminui. A extração dentária foi difícil, utilizando uma broca para cortar a raiz. Diga-me, isso é uma complicação ou não?
Olá Sensações subjetivas neste caso não são muito propícias à análise. Sem inspeção, para dizer isso com você, acho difícil. Geralmente, os pacientes ainda tomam os efeitos residuais do edema passageiro, que na mandíbula inferior "geralmente desce" como sólido. Ainda assim, os pacientes tomam um linfonodo após a palpação por “rigidez na mandíbula”, que, após a extração do dente, por muitas razões, pode ser ligeiramente aumentada. Eu acho que você deve consultar um dentista para que ele palpe pessoalmente em uma cadeira e a compare com o lado simétrico (saudável). Obrigado pela pergunta.
Olá. Hoje, 2 dentes na mandíbula inferior (a mais lateral) foram removidos. Um dente parou de sangrar rapidamente, o segundo sangrou por cerca de 8 a 9 horas.Foi removido por etapas: quebrou duas vezes e, pela terceira vez, eles apenas arrancaram a raiz. A bochecha está inchada deste lado, não há temperatura. Foi um mal-estar, mas acho que é por perda de sangue. Devo entrar em contato com um especialista? Excluídos porque estavam doentes e em ruínas.
Olá Vale a pena entrar em contato, pois você teve uma situação com sangramento secundário (tardio). Ou seja, estava tudo bem na cadeira do dentista e, ao chegar em casa, à medida que o efeito da anestesia e seus componentes vasoconstritores diminuíam, ocorreu o sangramento do orifício. Talvez houvesse um aumento da pressão sanguínea ou o uso de drogas, "afinando o sangue" etc. (há muitas razões). A invasão da remoção também afeta, e nesse contexto - lesão vascular. Tudo isso dá motivos para correr ao dentista, verificar o coágulo sanguíneo em cada poço e, talvez, também seja necessária a ajuda do terapeuta local para restaurar a força do corpo e voltar ao trabalho. Sobre os exames de sangue, que são importantes para determinar a gravidade de sua condição geral, o terapeuta informará você na recepção.
Um excesso de fotos sangrentas, por causa delas, nem sequer leu o artigo.
Li os comentários e as respostas de Svyatoslav Gennadevich, respostas tão completas e prudentes que nem precisei perguntar nada sobre a minha situação. Eu só quero dizer: obrigado, doutor!
O quarto dente foi removido de cima. Havia uma contusão em sua bochecha. 7 dias se passaram, toda a bochecha está preta e inchada. O que fazer
Olá De um modo geral, normalmente o hematoma deve "ficar amarelo" todos os dias e desaparecer visivelmente, e o edema no dia 7 a 10 já desaparece ou se torna muito menor. Eu acho que para os sintomas que você descreveu, é necessário consultar urgentemente um médico, pois eu pessoalmente não entendo os motivos da imagem que você descreveu (se você não está exagerando devido à aparência subjetiva). O dentista certamente avaliará a gravidade da situação e, possivelmente, ajustará o tratamento.
Ontem, o dente extremo inferior foi removido e a bochecha foi incisada, agora é difícil mastigar e engolir. O médico receitou antibióticos e dimexide. Quanto tempo isso tudo leva?
Olá Com a abordagem profissional de um médico durante a extração dentária e o cumprimento de todas as recomendações necessárias no período pós-operatório, esses sintomas devem desaparecer dentro de 4-7 dias. E embora tudo seja individual, é importante garantir que melhore a cada dia (ou seja, que exista uma tendência positiva) e, se piorar, você deve consultar urgentemente seu médico.
Olá. 10 dias depois que eu removi o dente 6 inferior. Alveolite desenvolvida. O médico realiza o tratamento, mas em cerca de 6-7 dias a parte superior da bochecha começou a inchar e o linfonodo na axila ficou inflamado. Temperatura 37. Começou a tomar Flemoxin - 2 dias. Até agora, tudo está no mesmo nível. Por favor, informe.
Olá Dada a gravidade da situação que você está descrevendo, recomendo que você receba uma consulta pessoalmente com outro cirurgião-dentista na clínica. Não deve ser que o complexo médico leve à deterioração. Talvez haja algo que o médico assistente não tenha notado. Boa sorte
Olá Há 9 dias, o dente inferior esquerdo foi removido (8, mais ou menos). A remoção foi difícil, algo foi picado no buraco, pressionando com força, fez uma incisão e fez a drenagem. O tumor da bochecha havia desaparecido, mas um selo permaneceu no fundo da gengiva, quase no osso. A dor cessou, mesmo quando pressionada, o buraco está limpo, cresce demais, parece normal, não há pus nem cheiro, nem temperatura. Eles fizeram injeções profundamente, cerca de três vezes eles não conseguiram chegar a algum lugar + eles os perfuraram com anestesia local. Que tipo de condensação é essa? Vale a pena se preocupar?
Olá A julgar pela sua descrição, pode ser uma protrusão óssea ou uma borda irregular do buraco após a remoção traumática. Os cirurgiões-dentistas entendem suas tarefas de maneira diferente: alguns acreditam que o principal é remover as raízes do dente e não importa quão traumático será; outros são guiados pelo princípio da qualidade - o buraco deve ser bem formado após a remoção de todas as raízes. Ou seja, você pode ter encontrado uma opção quando o dente foi removido formalmente, mas as bordas dos ossos não poderiam ter sido processadas adequadamente. Isso, em princípio, não é perigoso, embora possa haver dificuldades com próteses ou implantes em um futuro próximo (até 5-6 meses).
Olá, tirei o sexto dente do siso, voltei para casa, fui para a cama. Acordei no dia seguinte - a bochecha estava inchada. Já 2 dias não diminuem, não há temperatura, mas quando você clica na bochecha (mais perto do olho), dói um pouco. Diga-me, isso é normal? E quando o inchaço diminui? Obrigada
Olá Geralmente, o edema após a extração do dente pode ocorrer apenas no 2º dia de remoção e dura outro dia. Além disso, a tendência está melhorando: com o paciente seguindo corretamente todas as recomendações e a ausência de erros por parte do cirurgião, o inchaço diminui, a temperatura não aumenta mais, não há dor intensa (só pode ser mastigada), a condição é satisfatória - você pode até trabalhar. Se os sintomas aumentarem após 3 dias de remoção, consulte um médico com urgência. Escusado será dizer que, se houver suspeita de algo sério, isso não interfere na consulta ao médico, pelo menos para o monitoramento (nem um único especialista bom recusará um exame, mesmo para fins preventivos). O edema completo geralmente desaparece em 5-7 dias, e com remoção excessivamente traumática - em 10-14 dias.
Olá Em 12 de janeiro, ele removeu o penúltimo dente inferior; a remoção foi muito difícil. A gengiva está rasgada. Hoje é 16 de janeiro, no buraco um revestimento branco-cinza, e a bochecha está inchada. Eu posso ir ao médico após 6 dias, enquanto vou de trem. Eu bebo Ketanov, lavo com refrigerante e sal, esfrego com solcoseril. Estou fazendo a coisa certa?
Olá Parece alveolite, a julgar pelos sintomas. Concordo parcialmente com a medicação para a dor; caso contrário, você está fazendo errado. Sem determinar a razão para remover os sintomas com meios duvidosos e, ainda mais, colocar as mãos na boca e sujar algo é a tática errada. A melhor opção é consultar um dentista e determinar se há um processo inflamatório purulento no orifício. O motivo geralmente pode ser identificado pela imagem. Espero que você procure um médico antes de 6 dias (eu entendo que no seu caso não é tão simples). A alveolite não tratada pode levar à osteomielite - supuração do osso. Nesses casos, não vale a pena verificar a imunidade quanto à força de sua proteção, pois ao deixar fragmentos no buraco, granulomas ou raízes, tudo pode ser sério. Obrigado pela pergunta.
Olá, há 4 dias apaguei os oito inferiores. No primeiro dia tudo era suportável, no terceiro dia fui ao médico - a ferida foi lavada, o remédio foi colocado novamente. Mas a dor não desaparece, dói de engolir e a boca não se abre. Quanto tempo isso pode durar? Não há temperatura. Eu bebo Nyz, diazolin e lavo minha boca com uma solução.
Olá Normalmente, esses sintomas duram cerca de 7-14 dias, com uma diminuição gradual da gravidade. Esse processo deve ser acompanhado de visitas regulares ao dentista, principalmente se a condição piorar. Eu recomendaria que um médico monitore a cicatrização do buraco a cada 3 dias.
Olá, há quatro dias, 6 dentes foram removidos do topo. Antes disso, ele foi tratado, mas não pôde ser salvo. Eu já fui para a remoção com uma bochecha inchada. Após a remoção, o orifício cicatriza normalmente. O coágulo de sangue estava coberto por uma película branca quase imperceptível.Não há dor. O edema quase desceu das gengivas, mas não sai da bochecha, no segundo dia aumentou um pouco, mas agora não está crescendo. Na área da bochecha, perto do nariz, como se algo estivesse interferindo, como se houvesse um pedaço de ar ou algo assim. Quando pressionado, não dói. Diga-me, isso é normal?
Olá Você descreve sintomas que estão dentro dos limites normais e não sugere algo terrível. Por 2-3 dias após a remoção, o inchaço pode ser forte - isso não é nada de especial. Você não escreve sobre a temperatura - isso significa que é normal. Há um coágulo de sangue no buraco, o que é simplesmente maravilhoso, um “filme” branco é a norma, quase não há inchaço, a simetria retornará no futuro próximo. Quanto ao "nódulo aéreo": na ausência de outros sintomas de perfuração do seio maxilar, assumimos que essas são as características da sua percepção de um pequeno edema no pós-operatório. Se aparecerem outros sintomas que causem sérias preocupações, consulte seu médico, mas por enquanto não há motivo para preocupação. O buraco cura dentro dos limites normais.
Olá. Meu dente do siso subiu, meio rastejou imediatamente, metade não - minha bochecha estava inchada, dor, meu linfonodo estava inflamado. O cirurgião retirou o capuz. Enxágüe com solução de refrigerante. Tudo estava bem, um pouco dolorido, mas hoje (já no quinto dia) acordei com uma área entorpecida no queixo e no lábio inferior. A temperatura é 37,5. A gengiva em si é rosada, não inchada. O linfonodo também ainda está inflamado. Estou tendo uma complicação? Como eles podem me ajudar? Eu não gostaria de ferir minhas gengivas novamente ((
Olá Se esse método não for bem-sucedido (excisão do capuz), geralmente é recomendável consultar imediatamente uma cirurgia maxilofacial para remover um dente do siso. A menos, é claro, que o cirurgião, depois de examinar os gânglios linfáticos, o rosto e as gengivas próximas ao dente do siso, assuma a responsabilidade e diga que ainda não vale a pena removê-lo. Mas a dinâmica negativa é uma boa razão para a rápida remoção de oito no contexto da pericoronite. Se o seu problema, no entanto, "resolver" sem extração dentária - pode-se dizer que você tem muita sorte. Pessoalmente, escreverei para todos que enfrentarem a mesma situação no futuro: não mexa com os problemáticos dentes do siso. Em um caso extremo, se a incisão do capuz não ajudar e se tornar 3-5 dias cada vez pior, corra para a remoção do maxilofacial sem perder tempo.
Boa tarde, o dente começou a doer terrivelmente à noite, ou melhor, o que restava dele (a raiz dos 7 inferiores). Na manhã seguinte, fui excluir. A injeção foi dolorosa, o médico disse que havia pus, por isso doía muito. Após a injeção, o pus começou a sair, o dente foi removido rapidamente. Então tudo estava bem, a gengiva doía um pouco, não parecia haver tumores. Mas no dia seguinte, apareceu um tumor, mas não crítico, a dor começou mais forte. No buraco, algo branco ou cinza, eu não entendo. Isso é normal? E vale a pena ir ao dentista?
Olá Após a remoção, o exsudato purulento ainda pode ser evacuado livremente do buraco por alguns dias, e mais frequentemente o dentista faz outro acesso para ele - uma incisão ao longo da dobra de transição na projeção das raízes removidas. No dia seguinte, o edema costuma aparecer no contexto da remoção + de um processo purulento já existente. Infelizmente, tudo não será eliminado rapidamente, como todos gostariam. Em média, o edema dura cerca de 2-3 dias, às vezes até 5-7. Isso não é crítico, mas se os sintomas piorarem, há um motivo para consultar um dentista. Em princípio, bons dentistas recomendam entrar em contato com eles para monitorar a cicatrização do orifício 2 a 3 dias após a remoção, por isso tudo bem se você solicitar uma consulta planejada.
Olá Hoje é o terceiro dia em que a presa foi removida, havia uma raiz e, durante todo o tempo em que estava doente, havia pus.Antes da remoção, a bochecha inchou e o dente doeu. Enxaguei com sal e refrigerante (século 19), mas a dor diminuiu e o inchaço começou a diminuir. Eu fui para a remoção. Tenho 45 anos, mas este ainda é um dente de leite e, em algum lugar acima, um dente permanente preso ali - aparentemente, eu não consegui passar. Ele ainda está enterrado lá.
Eles removeram a raiz, prescreveram um antibiótico e enxaguaram. No segundo dia, a bochecha inchou, atrapalhou bem embaixo do olho e, por algum motivo, bloqueou o nariz - ao soprar, o leva à orelha esquerda (o dente é do topo esquerdo sob o olho). E a garganta dói, como se - eu definitivamente não entendo, talvez o paladar (não há amígdalas), seja difícil de entender. O primeiro dia foi muito sangrento. Ontem, saliva com manchas de sangue, também nesta manhã, e agora eu olhei - um filme branco ou o que é, eu não sei - talvez pus? Liguei para a clínica, eles disseram que está tudo bem, está tudo bem! Mas não me sinto muito bem: fraqueza, falta de apetite. Enxágue frequentemente, não há temperatura, minha bochecha está inchada - o que devo fazer? Correr para o médico? Ou isso é normal? No local da ferida, ele pulsa constantemente. E este filme é branco - talvez pus?
Olá Provavelmente, você tem um problema independente associado à SARS + possível otite média. As raízes das presas estão quase sempre localizadas longe do seio maxilar, portanto, sua perfuração durante a remoção da raiz é improvável.
Mas estou um pouco confuso com o dente não cortado sobre o qual você escreveu. Parece que você não removeu o canino do leite, mas o permanente, e sob a gengiva há outro canino - um dente supranumerário, mas esses são insignificantes. Na minha prática, houve uma situação em que um dente problemático foi removido durante o desenvolvimento do edema e, devido ao fato de o problema não ter sido resolvido nas gengivas, os sintomas continuaram (edema, dor intensa, temperatura etc.) até a execução da operação para remover um dente supranumerário. O fato é que esse dente pode estar infectado e provocar tudo o que você está falando. Não é o fato de sua situação ser a mesma, mas lembre-se disso.
Penso que, a princípio, vale a pena checar o buraco com o dentista, fornecendo todas as informações e, com alta probabilidade, ele o encaminhará a um terapeuta ou otorrinolaringologista para tratamento adicional.
Boa tarde Há 4 dias, o 8-ka inferior foi removido, o inchaço da bochecha não desapareceu e, com a pressão na mandíbula inferior e na própria bochecha, o pus sai junto com a saliva. Coloco gelo, enxágue e não melhora. Antibióticos não devem ser tomados, porque em posição. O que fazer do que se livrar da supuração interna?
Olá A situação é complicada porque a antibioticoterapia é obrigatória em vários casos clínicos, pois ajuda a prevenir complicações graves. Outra coisa é se o cirurgião-dentista fez tudo como esperado:
1. Não deixou raízes dentárias, suas partes e fragmentos ósseos, granulomas, cistos, etc;
2. Formou uma ferida, fez uma incisão para uma melhor saída de exsudato purulento;
3. Remoção realizada com lesão tecidual mínima (melhor recomendação);
4. Nomeado atendimento pós-operatório competente.
O que você deve fazer: consulte o seu médico (o mais rápido possível). Se você não tem confiança nele, procure outro cirurgião maxilofacial para realizar um exame e medidas diagnósticas adicionais.
Se não houver nenhum problema no próprio buraco, será dada atenção ao tratamento (de repente, uma alveolite) com anestesia, bem como à nomeação do tratamento em casa (o que é possível em sua posição). Tudo isso, e não a automedicação, pode, de maneira confiável e sem riscos desnecessários, ajudar com um processo purulento no contexto da remoção do dente do siso.
Olá. Na sexta-feira, removi o molar inferior (mais precisamente, o que restava dele - antes me disseram que o dente não deveria ser tratado). No dia seguinte, ele estava inchado. Especialmente não doente, só que um pouco. Enxaguei, mas na manhã seguinte o inchaço não desapareceu. Parece ter se tornado um pouco mais (um pouco). Devo ir ao médico ou não?
By the way, este lugar em si é um pouco marrom, quando pressionado dói um pouco ...
Olá A julgar pela sua descrição, é melhor consultar um médico para estar seguro, apenas no caso, e ajustar as recomendações pós-operatórias. Em princípio, o edema costuma aparecer no dia seguinte, como uma reação natural do corpo à intervenção e infecção traumáticas, localizada próximo ao dente extraído. Um exame de acompanhamento após a extração dentária é uma prática normal. Saúde para você!
Olá, ontem recebi um dente do siso no canto superior esquerdo. Minha bochecha está inchada, não consigo abrir totalmente a boca e mastigar. Dificuldade em engolir. Estou grávida, 10 semanas. Estou preocupada Seis meses atrás, outro dente do siso foi removido para mim no canto superior direito. Então eu entendi um pouco e é isso. Não havia mais nada. E aqui está ... Preciso correr para o dentista ou esperar alguns dias? Agradecemos antecipadamente a sua resposta.
Olá Vale a pena entrar em contato com o dentista, principalmente porque a remoção dos dentes do siso superiores raramente causa sintomas como uma violação da abertura da boca - essa é uma prerrogativa dos dentes do siso inferiores. A condição com um edema tão sério deve ser monitorada por um dentista, a fim de evitar o aparecimento de complicações graves associadas à propagação da infecção. Como você está em uma posição, é importante abordar a medicação com competência. Não é fácil escolher um medicamento antibacteriano e isso ajudaria significativamente em sua situação clínica. Portanto, não deixe de consultar um médico!
Ola doutor Anteontem, removi 2 dentes laterais (ou melhor, as raízes). Um correu bem, o segundo quebrou e se partiu em pedaços. As gengivas estão levemente inchadas, não há dores específicas, mas onde a injeção foi feita, uma pequena saliência da injeção é sentida. O lábio superior e a bochecha estão inchados, mas não muito. Ontem fui ao médico que removeu as raízes - ele perguntou se há temperatura ou formigamento? Eu respondi que não. Então, ele olhou um pouco e disse para não tocar, ele passará por si só. Não marquei raio-x nem nada.
É simplesmente desagradável ver e sentir o inchaço. Eu gostaria de saber - isso tudo é um processo normal? Agradecemos antecipadamente a sua resposta.
Olá Como você removeu dois dentes de cada vez e a lesão se mostrou significativa, o edema após o procedimento, que geralmente se forma no segundo dia, é bastante natural. O edema é o resultado de um processo inflamatório em meio ao trauma + uma infecção da cavidade oral, que é abundante lá, se junta à ferida. A luta ativa do corpo resulta em edema pequeno ou significativo, às vezes acompanhado de febre, dor ou dor. Você fez a coisa certa ao consultar um médico. Nesta fase, o dentista não viu a patologia. Penso que, se aparecerem sintomas mais significativos, o tratamento repetido não será supérfluo. O inchaço normalmente mantém em média até 4-7 dias. Desejo-lhe uma rápida recuperação!
Olá. Quando dois dentes adjacentes eram removidos, eles me costuravam, o médico disse que não era necessário remover os pontos, eles se dissolviam. Mas havia muitas costuras e os fins eram muito longos. Por favor, diga-me quanto tempo eles vão sair, um sentimento muito desconfortável. Esqueci de perguntar ao médico sobre isso. Obrigada
Atualização a partir de 7 de maio de 2017. Outra questão surgiu (enquanto a primeira estava sob consideração pelo moderador). Não há temperatura e dor, mas apareceram manchas brancas na área da sutura, muito semelhantes às pústulas (pequenas fístulas), embora não haja descarga delas. É possível que, devido aos frequentes banhos de lavagem, algo tenha dado errado e já seja necessário se preocupar? Obrigada
Atualização a partir de 8 de maio de 2017. Desculpe perguntar novamente, mas todos os dias são algo novo. Esta manhã, senti algo afiado com a língua, pareci e parece que pequenos fragmentos estão saindo das gengivas.Eu não toco neles, acho que talvez eles mesmos saiam? Não há temperatura, dor e tumor, mas estou preocupado com o dente vizinho, os fragmentos ficam muito próximos e, naturalmente, essa parte da gengiva é levemente levantada.
Olá Após a remoção do dente, o cirurgião-dentista pode realmente deixar fragmentos no orifício que você sentiu com a língua. Às vezes, essa é apenas a borda afiada da parede dos alvéolos, o que também requer a atenção de um médico. Tudo o que você descreve requer um médico para examinar o buraco. Se o médico ignorar seu foco no problema, procure outro cirurgião para obter orientação.
Por experiência pessoal, posso dizer que em quase 100% dos casos em que o paciente sente com a língua que algo está errado, há realmente um problema, embora em muitas situações isso possa ser resolvido em 5 minutos: às vezes nem a anestesia é necessária, pois o paciente não dói.
Quanto à placa leve: durante a cicatrização, a ferida após a extração do dente geralmente apresenta um tom esbranquiçado no nível da gengiva cicatrizante - isso não é uma patologia. Em relação ao fato de que as costuras devem ser reabsorvidas: eu recomendaria verificar esse momento com o dentista. Talvez eles devam apenas ser removidos, e só assim você sentirá conforto, já sem objetos estranhos na gengiva.
Obrigado pela resposta. Estou marcando uma consulta, os tópicos realmente interferem e até agora não resolvem, mas o que está por baixo deles - você não entende nada ...
Boa tarde Ontem à noite acordei com uma dor latejante no dente. Na manhã seguinte, fui à odontologia, tirei uma foto - sobre o dente curado, "problemas e ossos doloridos". Alguns dias antes, ela tinha SARS + citomegalovírus (herpes). Eles recomendaram beber um antiviral e, se ele não desaparecer, volte novamente.
Após a segunda noite sem dormir, a bochecha estava inchada. Examinado, calculou um dente dolorido, longo e triste removido (uma raiz com um alfinete não quis ceder). 26º dente superior. Eles o removeram durante o dia, agora é noite, o buraco dói um pouco e a bochecha dói ((está selada e inchada ainda mais. Diga-me quando começar a entrar em pânico? E vale a pena correr para o médico de plantão amanhã?)
Olá Após a extração do dente devido a trauma + infecção purulenta residual (por causa da qual o dente foi removido), quase sempre há uma tendência a desenvolver ou aumentar o edema 1-2 dias após a cirurgia. Se você sentir no segundo dia que a condição é insatisfatória e há uma tendência a um aumento significativo da temperatura, dor intensa (intolerante), um desenvolvimento significativo de edema (fecha os olhos, dificuldade em falar etc.), consulte um médico imediatamente. Por via de regra, no 2º ao 3º dia não deve mais haver tais sintomas; no pior dos casos, a temperatura da noite aumenta para valores baixos, leve dor nas gengivas e leve inchaço. No entanto, em 3-4 dias, eu recomendaria visitar um médico para um exame de acompanhamento para excluir o desenvolvimento de alveolite. Se você teve uma remoção de boa qualidade, quase sempre após esse exame, você não precisa fazer nada além da implementação responsável de todas as recomendações do dentista.
26/05/2017, o molar foi removido do canto inferior direito. Eles o removeram porque havia um buraco e ele se transformou em um dente adjacente em ângulo. Ela estava muito doente e, quando os analgésicos pararam de ajudar, ela foi ao hospital.
O primeiro dia após a remoção foi tolerada - não houve temperatura ou dor intensa. Mas o segundo dia é muito doloroso, o inchaço apareceu no lado direito, não há temperatura, mas há dor de cabeça muito intensa, náusea, falta de apetite (em geral, até aversão à água pura). O próprio local do dente não dói muito, mas a cabeça, o estômago e, de fato, o estado geral são muito terríveis (sentado, chorando). Eu não sei o que fazer Comprimidos não ajudam. Por que essa condição é normal? E o que devo fazer?
Olá Nesse caso, essa não é a norma. Além disso, sua condição pode não ser da competência do dentista: acho que você precisa de um exame abrangente por um terapeuta, junto com o dentista. Segue-se: a entrega de uma análise geral de sangue e urina. Além disso, mesmo antes do parto, você deverá indicar aos médicos as doenças anteriores, se você está registrado para alguma delas. Portanto, o número de análises pode variar para seu próprio bem. Honestamente, não parece uma causa puramente dentária, é possível que você tenha algo "em camadas", mas os médicos ainda precisam entender. Portanto, é urgente consultar um médico, pois sua condição é preocupante por todos os critérios!
Anteontem, arrancaram um dente, a bochecha estava levemente inchada. Hoje é o terceiro dia - a bochecha está inchada ainda mais, atribuo as sensações desagradáveis da dor à cura, mas ainda acho que o inchaço progressivo não é normal. Vale a pena incomodar o médico? )
P.S. Alguns anos atrás, os dentes foram arrancados, mas depois não havia inchaço, embora houvesse mais intervenção traumática ...
Olá Uma tendência a aumentar o edema no 2º dia após a extração dentária é bem possível. Mas um inchaço significativo no terceiro dia faz você pensar: você não pode ficar sem um check-up por um dentista para não perder nenhuma complicação. Aqui é importante entender o que exatamente causa edema progressivo - é uma reação do corpo que requer tratamento médico ou é uma conseqüência da extração dentária profissional insuficiente (fragmentos, uma raiz ou parte dela, granulomas, cistos restantes)? Idealmente, você precisa tirar uma foto do buraco para garantir que ele esteja "limpo". Depois disso, é importante que o médico faça recomendações sobre o tratamento com antibióticos (antibióticos), pois provavelmente é um processo purulento. Anti-histamínicos e anti-inflamatórios também podem ser prescritos. Após 2-3 dias, pode ser necessário um segundo exame. Se tudo estiver em ordem ou houver uma tendência a melhorar, não será necessária mais consulta.
Olá, ontem o dente foi removido, na mandíbula superior à direita - a próxima após o canino. O dente quebrou e caiu com um selo. Cheguei ao hospital com a bochecha inchada, o dente foi removido e hoje o tumor se tornou ainda maior. O sabor do iodo na boca. Ontem houve uma temperatura de 37,4, hoje 37. Anti-inflamatório prescrito (Ciprolet A) e cetrina. A partir de hoje eles disseram enxaguar com camomila - enxaguar lentamente. A gengiva e o buraco começaram a "lamentar" um pouco, agora não há dor, não há dor, dói. Tudo bem?
Olá De acordo com sua descrição, pode-se supor que não há nada errado. Quando você foi ao médico, já apresentava edema - no dia seguinte, na maioria das vezes, não diminui, mas mesmo, pelo contrário, aumenta em certa medida. A atividade do processo infeccioso + a resposta imune do corpo estão em interação e, na saída, temos esses sintomas.
As prescrições do seu médico são bastante adequadas; portanto, não há do que reclamar se você não considerar o enxágue com camomila (vários dentistas são críticos para o enxágue em geral). Em caso de deterioração, recomendo consultar um dentista.
Olá. 8 dias atrás, 24 dentes foram removidos, enquanto a remoção, 31 vezes foram atingidos com um martelo. No dia seguinte houve inchaço e dor, não deu muita importância, mas a dor e o inchaço não passaram. No terceiro dia, uma foto foi tirada - não havia mais nada, o buraco estava limpo. Antibióticos prescritos. Hoje eu fui novamente ao meu médico, porque o chiclete está inchado ainda mais. A dor não é forte, dolorida, cede no ouvido, ocasionalmente a temperatura sobe. O médico não disse nada, apenas disse que não era o buraco que doía, mas o dente adjacente (está quebrado, uma parede, mas sem cárie). Eu pergunto a ele: “O que fazer? Excluir o vizinho? Ele diz "Como quiser" e tudo fica em silêncio nas perguntas.De que é esse tumor? O que fazer Amanhã quero pedir outro médico.
Olá Você decidiu tudo certo. Provavelmente, seu médico assistente não sabe o que fazer em seguida dentro de sua competência, portanto, não responde a perguntas. Até o momento, a maioria dos médicos se recusou a remover usando um cinzel, mas em casos raros, um médico específico não pode prescindir dessa ferramenta, pois a remoção pode levar de 3 a 4 horas e você não precisa dela.
Para entender se um dente vizinho está envolvido no desenvolvimento de edema e outros sintomas, é necessário um exame na cadeira do médico. É aí que será tomada uma decisão sobre a necessidade de remover um dente quebrado.
Olá, eu removi o dente do siso ontem, o médico recebeu uma injeção na bochecha e agora está inchado. Diga-me, como posso remover o inchaço?
Olá Aplicar uma compressa fria na área de remoção por 20 minutos a cada 2 horas é relevante por um dia após a operação, mas não depois. Este método permite reduzir o inchaço. Até certo ponto, os anti-histamínicos são bons desse ângulo, mas apenas conforme prescrito pelo médico e desde o primeiro dia após a extração do dente. Além disso, você precisa saber com certeza se a causa do edema é realmente um trauma na bochecha, e não o desenvolvimento de uma infecção no poço.
Boa tarde Tirei o dente do siso superior esquerdo na terça-feira (hoje é domingo). A remoção foi rápida e sem momentos difíceis. Depois que o médico fez um raio-x de controle. No dia seguinte, apareceu edema (na quarta-feira) e ficou difícil mastigar e abrir a boca. Na quinta-feira houve uma segunda consulta com o médico, ele disse que estava tudo em ordem. Hoje, a situação não melhorou de forma alguma (mas não piorou), inchaço, dores ainda persistem, não consigo comer e abrir a boca. Não há temperatura. Eu bebo ibuprofeno (o médico receitou) e faço banhos de camomila. Não como nada irritante e não o colo no buraco (aliás, foi costurado). Por favor, diga-me, é normal que meu edema não diminua e a dor persista?
Olá Após a remoção complexa de um dente do siso, pode haver inchaço e dor por até 3-5 dias. No entanto, essas não são dores agudas, normalmente são interrompidas no primeiro dia por analgésicos e depois surgem em maior extensão apenas durante as refeições. A presença de tanta dor não é um desvio. Eu recomendo que você siga o conselho do médico e vá até ele para exames de acompanhamento. A frequência dos exames pode ser a seguinte: 3 dias após a remoção, 7 dias, 2 semanas depois.
Meu dente para mastigar foi removido anteontem, hoje meu rosto está inchado abaixo, mais perto do pescoço, e dói de engolir. A temperatura não sobe acima de 37 graus. Eu queria perguntar: devo esperar mais alguns dias ou devo procurar um médico agora?
Olá Eu recomendo entrar em contato agora e não esperar complicações sérias. O fato é que uma violação da deglutição em combinação com o inchaço que apareceu após dois dias pode ser um sinal perigoso, por isso você não deve brincar com isso, mesmo a baixa temperatura. É possível que o edema continue a se espalhar pelos espaços da mandíbula, tão urgentemente para um médico!
Após a remoção do 8º molar superior no dia 3, abriu-se um sangramento abundante, acompanhado por uma grande liberação de coágulos sanguíneos. No 4º dia, a bochecha começou a inchar, um vinco formado pelo buraco ao longo da bochecha, como comida, que pulsa e dói quando o corpo é inclinado para a frente.
Olá Consulte urgentemente o seu médico: os sintomas que você descreve estão longe do normal e podem ser uma questão de alveolite em pleno andamento e danos no seio maxilar. Se você não fizer nada, a infecção poderá ir além, e o processo purulento levará a sérias conseqüências.Portanto, é melhor agora verificar a situação com um especialista.
Olá, no segundo dia após a remoção das oito principais bochechas inchadas. A última vez que ela inchou imediatamente, então eu estou nervoso - a inflamação desapareceu de repente? Há uma leve dor pulsante, eu não bebo analgésicos.
Olá Após a extração do dente no segundo dia, um ou outro grau de gravidade quase sempre aparece inchaço do tecido - essa é uma reação normal do corpo em resposta a trauma. Você não deve ter medo disso, pois, com as táticas corretas do médico e com a implementação de todas as recomendações por 3-4 dias, esses fenômenos começam a desaparecer ou até desaparecer completamente. No entanto, se for observada dinâmica negativa (aumento da dor, aumento de inchaço, aumento da temperatura), é necessário consultar o seu médico para um exame.
Olá Diga-me, por favor, ontem o quarto dente foi removido para uma criança (3,4 anos). Ele reclamou periodicamente por 2 dias, no terceiro dia a bochecha estava levemente inchada. Ontem, o médico arrancou um dente e fez uma incisão, às 17:30.
A bochecha ficou maior, inchada. A criança não se queixou e não se queixa de dor. Mas à noite a temperatura subia para 38, derrubada por Nurofen. De manhã 36.6. À tarde (mais perto das 15:00) durante o sono, a temperatura era de 37,3. Atualmente 36.9. Mas a bochecha está significativamente inchada, o olho é levemente afetado. A garota é ativamente representada, como sempre, não há queixas, mas esse relatório e temperatura me assusta. O que é isso Devo ir ao médico?
Olá Em questões relacionadas a edema em bebês, definitivamente vale a pena ir ao médico. Na maioria das vezes, é claro, essa é apenas a resposta normal do corpo à operação para remover o dente (o desenvolvimento de edema traumático, como uma reação dos tecidos ao redor do poço). Dada a dinâmica positiva sobre a qual você está escrevendo, você pode pensar no melhor, mas não se preocupa em verificar tudo minuciosamente para eliminar até pequenos riscos. Saúde para o seu bebê!
Olá Eu já tenho o terceiro dia quando a raiz do dente na gengiva superior foi removida. A bochecha está inchada, dói muito. Toda hora eu lavo com uma solução de camomila e sálvia. O que você aconselha a fazer?
Olá Devido ao fato de que após a extração dentária no terceiro dia (geralmente) pode ocorrer um processo inflamatório (alveolite), recomendo que você consulte seu dentista para um exame para não iniciar esta doença. Um exame oportuno permitirá diagnosticar e, se necessário, curar o soquete, colocar uma pomada ou gel para o tratamento antibacteriano e obter recomendações adicionais sobre o uso de medicamentos para o tratamento em casa.
A raiz do molar foi removida. A primeira noite não doeu tanto, mas no segundo dia comecei a doer. Ele deu analgésicos e lavou a boca com uma solução de refrigerante. No segundo dia, houve dores intensas, bebeu analgésicos e adormeceu. De manhã, acordei com um pequeno tumor e novamente espero o que acontecerá ... Não há temperatura.
Olá Após a extração do dente (especialmente se a remoção foi difícil), geralmente no segundo dia os sintomas pós-traumáticos mais pronunciados aparecem: inchaço, temperatura, dor, vermelhidão. Siga as instruções do dentista. Se a dor aumentar significativamente ou não desaparecer por muito tempo, você deve procurar um médico - ele examinará o buraco, se necessário, realizará a curetagem e ajustará o tratamento em casa.
Olá, querido Svyatoslav Gennadievich! Eu tenho uma situação assim: há três dias planejei tratar 6 pacientes de cima. Durante o tratamento, não houve dor até o médico começar a enxaguar os canais limpos. Houve uma dor aguda e muito intensa. O dente foi curado com um preenchimento permanente.Quase imediatamente após sair da odontologia, a bochecha começou a inchar e, à noite, atingiu um tamanho impressionante! De manhã, fui novamente ao médico, tirei uma foto e, com base nisso, decidimos remover o dente. Não há dor, nem temperatura. Há dor na bochecha, o inchaço não diminui. Eu tomo antibióticos como prescrito por um médico. Preciso fazer uma incisão e drenagem?
Olá Até onde eu entendi, o dente foi removido no fundo de um tratamento incorreto ou de táticas incorretas (talvez fosse originalmente necessário removê-lo). Se falamos sobre a remoção do dente superior, na maioria das vezes não são necessárias incisões e drenos, com exceção de doenças acompanhadas de edema significativo (periostite, abscesso, fleuma). As táticas de gerenciamento pós-operatório do poço são determinadas pelo médico com base em dados clínicos. Portanto, continue seguindo as recomendações do médico; no entanto, se houver uma tendência negativa, você deve parecer não programado.
23 de fevereiro foi ao dentista com dor aguda dos 6 dentes superiores sob a coroa. O dente foi sujeito a remoção. O cirurgião o removeu em 30 minutos. Hoje me levantei de manhã, minha bochecha estava inchada. Tudo bem?
Olá Marina. O edema da região bucal após a remoção complexa de um dente inflamado é um fenômeno completamente normal (ocorre com muita frequência). No segundo ou terceiro dia, o edema deve começar a diminuir. No primeiro dia após a remoção, a aplicação de frio ajuda a impedir o crescimento adicional de edema; é importante não exagerar na área; por isso, se você retirar algo do freezer, envolva-o em várias camadas com uma toalha. Aplique por 15-20 minutos a cada 1,5-2 horas a partir da bochecha na área do dente extraído. Se a situação não melhorar nos dias seguintes, é recomendável que você entre em contato com o médico novamente para um exame.
Olá Fui removido 7 ku abaixo (às 9 da manhã de sexta-feira). Um pequeno edema apareceu imediatamente após a injeção, mas o cirurgião disse que havia introduzido o medicamento. Eles tiraram uma foto - um pequeno cisto. O médico disse que não enxágue em nenhum caso, compre e prenda imediatamente o sorvete, porque Eu fui trabalhar O dente é grande, as raízes inteiras saíram - mostrou. Como do outro lado, depois de comer ainda lavo refrigerante com sal do lado direito e, à esquerda, apenas seguro um pouco o líquido e cuspo. 8 partidas se foram por um longo tempo. Parece que a ferida não dói e é pequena, mas o inchaço e a dureza da bochecha abaixo, no nível das gengivas e do hematoma, parecem distantes de 5 a 8. Então deveria ser? O médico não disse que era necessário ser verificado.
Olá Após a extração do dente, o hematoma e o inchaço do tecido gengival podem realmente se formar. Por via de regra, o hematoma e o edema passam rapidamente, mas em alguns casos podem durar de 5 a 6 dias. A julgar pela sua descrição, a situação agora parece bastante normal e, até agora, não há nada a temer; no entanto, se o inchaço aumentar, o hematoma permanecerá inalterado após uma semana ou surgir dor, será necessário consultar um médico (cirurgião-dentista) para um exame.
Olá Diga-me, por favor, hoje tirei o dente do médico, havia um inchaço antes disso, que aumentou após o procedimento ... Quero perguntar - encontrei o gel Metrogil Dent em casa, posso usá-lo agora para evitar infecções após a cirurgia?
Olá Nikolai! Este gel realmente tem um efeito anti-inflamatório, mas é melhor não usá-lo imediatamente após a extração do dente (para que você só possa piorar), mas apenas 2-3 dias após o procedimento. Normalmente, o gel é aplicado em pequenas quantidades na área do buraco (depois de comer, todos os dias, 3-4 vezes). E assim por diante até que a ferida esteja completamente curada.
Ola doutor Há 8 dias, o dente inferior foi removido, 5 ku.Isso foi precedido por um longo tratamento, depois foram preenchidos, mas havia inchaço e dor. Então eles cortaram a gengiva, o inchaço não passou e decidiram removê-la. Eles fizeram dupla anestesia, mas a remoção ocorreu em uma hora com uma dor terrível. Removido em pedaços, foi especialmente difícil excluir a última peça. Os raios X foram feitos 4 vezes, eles disseram que tudo estava limpo. A ferida se arrastou, não senti dor, não havia temperatura.
Minha pergunta é que ainda há inchaço e dormência no lábio inferior e na área do inchaço (o inchaço é o mesmo de antes da remoção). Isso é normal? Obrigada
Olá Tatyana. Logo abaixo das raízes da mandíbula inferior, está o chamado buraco mental através do qual o nervo mandibular deixa o osso nos tecidos moles do lábio. Com remoções complexas dos cinco dentes inferiores, há um efeito mecânico no nervo e, como resultado, ocorre dormência. Se realmente houve algum dano no nervo, a sensibilidade geralmente é restaurada dentro de 4 a 12 meses. Às vezes, a fisioterapia ajuda. Em alguns casos, a dormência também pode ser uma conseqüência da compressão do nervo no contexto do edema - então o processo de restauração da sensibilidade é mais rápido. É preciso tempo e supervisão especializada para avaliar a dinâmica do processo.
Olá Por favor me diga. Ontem, um dente foi arrancado, minha bochecha e lábio estavam inchados e havia um inchaço embaixo do olho. Eles colocam drenagem, mas nada flui para lá. A princípio, o tumor diminuiu um pouco, mas agora se tornou ainda maior. Diga-me o que devo fazer? Eu bebo pílulas e lavo a boca.
Olá. A velocidade de recuperação após o procedimento depende em grande parte da idade, complexidade da extração dentária e características individuais do corpo. Na maioria dos casos, após a extração dentária, o inchaço começa a diminuir no terceiro dia. No entanto, se o inchaço se intensificar, ele começa a ser acompanhado por um aumento da dor (especialmente no contexto de um aumento da temperatura corporal) - consulte um médico imediatamente. Em casos muito raros, o phlegmon pode se desenvolver após a extração do dente (inflamação purulenta derramada e com risco de vida nos espaços celulares da mandíbula).
Boa tarde Hoje removido o dente do siso, o cirurgião sofreu 10 minutos. Bem na cadeira, meu rosto e olhos flutuaram, é realmente ruim? O médico disse que havia ar sob a pele.
Olá Natalya. Às vezes, com difícil extração dentária, é utilizada uma ponta de turbina com forte fluxo de ar e o ar pode entrar nos tecidos moles - ocorre o enfisema subcutâneo. Geralmente, após 5 a 10 dias, tudo volta ao normal. No entanto, se a dinâmica for negativa, consulte um médico, pois uma infecção também pode ser introduzida com o ar.
Olá Há 2 meses, o dente do siso inferior foi removido. O inchaço das bochechas e a sensação de desconforto na cavidade oral ainda são preservados. Não há sinais de inflamação ou dor. A imagem também está limpa. Diga-me por que o inchaço não dura tanto tempo e o que pode ser feito?
Olá Irina. Geralmente, o edema após a extração do dente realmente diminui muito mais cedo. No entanto, muito depende das características individuais do corpo e de quão complicada e traumática foi a intervenção cirúrgica. O principal é que realmente não há sinais de inflamação, a cura ocorre no modo normal e o edema passa com o tempo. Eu recomendo monitorar a dinâmica - se o inchaço diminuir gradualmente, tudo estará bem. Se não houver dinâmica, vale a pena consultar outros 1-2 cirurgiões, além do médico assistente.
Uau, mas eu não sabia que parecia tão nojento ...
Olá. Meu dente foi removido ontem e, na manhã seguinte, minha bochecha estava inchada e o tumor parecia avermelhado sob meus olhos. Há dor quando pressionado. O que pode ser e o que fazer?
Olá Não excluo que você teve inflamação já iniciada na área do dente - nesses casos, após a extração do dente, a reação inflamatória geralmente se manifesta exatamente como você descreveu. Seja como for, recomendo visitar um médico dentro de 1 a 2 dias para esclarecer todos os detalhes na cadeira e entender a dinâmica do estado pós-extração do orifício. Se necessário, o médico pode prescrever medicamentos antibacterianos e anti-inflamatórios.
Olá. Tirei um dente na sexta-feira, minha bochecha estava inchada no domingo e um dente dói em seguida. Pus escorre do nariz e cheira. Fui ao médico na terça-feira, ele disse que o medicamento estava saindo e receitou antibióticos. Eu bebo há dois dias, mas não fica mais fácil. O nariz está bloqueado pelo pus, um cheiro terrível, a bochecha dói, o dente dói. Será que vai passar ou não? E aquele cheiro terrível ...
Olá Eu acho que é sobre remover o dente superior. Com base na sua descrição, suspeita-se que o seio maxilar esteja envolvido no processo inflamatório. Estou certo de que as táticas devem ser as seguintes: 1. Consulte um médico para encaminhar um raio-x do buraco, a fim de determinar a possível presença de raízes, fragmentos, etc. 2. Tomografia computadorizada do seio para diagnosticar a presença de exsudato purulento nele e a interação do orifício remanescente após a extração do dente com esse seio. Somente quando um relacionamento causal é encontrado, podemos avaliar como proceder. Portanto, posso dizer definitivamente se tudo pode passar por si só, não posso. Provavelmente, isso simplesmente não funcionará, além de haver sérias complicações na região maxilofacial. Então é hora de consultar um médico em breve.
Olá. Após a remoção da raiz do dente, a bochecha fica inchada e a dor dolorida está constantemente presente. Um dia se passou - o inchaço não muda, a dor permaneceu. Além disso, com a língua, você pode sentir a inflamação da área entre o local da remoção e a bochecha. O que fazer
Olá Após a extração dentária, muitas vezes, no segundo dia, há inchaço da bochecha no contexto do processo inflamatório local. Isso é normal. Julgar apenas pelo edema sobre se o médico realizou a remoção corretamente e fez tudo qualitativamente é impossível. Na minha prática, houve casos em que pacientes me procuraram e removeram o dente de outro médico, mas o médico deixou as raízes do dente no buraco. No entanto, não houve edema significativo nos pacientes. E, pelo contrário, houve situações em que o médico fez uma remoção complicada e pacientes com a face inchada vieram até mim com uma solicitação para determinar o que o médico não residente “fez de errado”, embora não houvesse violações nas imagens de diagnóstico, mas foi apenas no segundo dia após extração dentária, que não pode ser julgada pelo resultado do tratamento cirúrgico. Portanto, aconselho a procurar dinâmica e, se não for positiva, consulte um médico.
Olá, tirei dois dentes há cinco dias: o superior e o inferior. O superior não se incomoda, e o inferior é a gengiva como uma estaca quando você toca sua bochecha. Fui ao médico, lavei-me com alguma coisa e disse-me para colocar cotonetes com levomekol. Quanto tempo tudo deve durar?
Olá Eugene. Após a extração desse dente, o período de reabilitação é em média de 30 dias. Inchaço e dor devem passar gradualmente. Se uma dinâmica positiva não for observada, ou, inversamente, houver um aumento de edema e dor, você deve consultar imediatamente um médico novamente.