
Por mais que o cirurgião-dentista tente remover seu dente com cuidado, no entanto, a extração forçada do orifício está sempre associada a trauma nos tecidos circundantes e à formação de uma ferida sangrenta na cavidade oral. Em resposta à lesão, o corpo de uma pessoa saudável quase sempre responde com um processo inflamatório apropriado com sinais característicos, que incluem dor, vermelhidão, inchaço e febre. É por isso que a temperatura após a extração do dente é geralmente considerada um fenômeno normal, mas apenas até o momento atende a certos critérios, que discutiremos um pouco mais adiante.

Nota
Estudos mostraram que existe alguma correlação entre o aumento da temperatura imediatamente após a extração do dente e o estado emocional do paciente durante o procedimento. Um forte medo de cirurgia e choque emocional criam pré-requisitos adicionais para um aumento de temperatura por algum tempo após a extração do dente.
A temperatura pode subir após a extração de qualquer dente: incisivo, canino, dente do siso, etc. No entanto, não se deve entrar em pânico imediatamente, pois não é tanto o fato de um aumento da temperatura ser importante como sua dinâmica ao longo do tempo e os sintomas que o acompanham (e, é claro, o significado em si).
Deve-se entender que um aumento de temperatura é apenas um indicador de certos distúrbios no corpo, a ponta do iceberg, refletindo o intenso funcionamento do sistema imunológico.
Por que a temperatura aumenta após a extração do dente
Um cirurgião-dentista recorre à remoção de um dente doente apenas quando não é mais possível salvá-lo por qualquer motivo. E o primeiro da lista de indicações para a extração dentária é uma doença com o nome geral "exacerbação da periodontite crônica", embora às vezes você possa tentar salvar o dente, mesmo em um caso tão difícil.

No contexto da exacerbação da periodontite, a situação com o dente é realmente deprimente:
- na cavidade cariosa, há tecidos cariados amolecidos e pigmentados;
- dentro dos canais radiculares, uma polpa inflamada ("nervo") se rompe (na verdade apodrece);
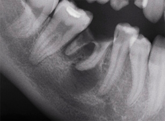
- ao redor da parte superior das raízes do dente, há graus variados de rarefação pronunciada do tecido ósseo - na imagem, ele aparece como manchas escuras, linhas, dentes, etc.

Em tal situação, existe um alto risco de deixar o processo infeccioso no buraco, mesmo depois que todas as raízes com cistos são extraídas dele.


Na prática, mesmo levando em consideração a lavagem da ferida com uma solução anti-séptica eficaz, não é possível excluir completamente a flora bacteriana após a extração do dente; portanto, o paciente experimenta subsequentemente um aumento natural da temperatura, como resultado da imunidade que combate a infecção na ferida. Normalmente, nesses casos, a temperatura não sobe acima de 37,5 graus, indicando a cura calma dos tecidos danificados.
Quanto mais danos o dentista-cirurgião causou nos tecidos circundantes quando o dente foi removido, maior o risco de aumento da temperatura para valores altos. Na maioria das vezes, isso acontece no primeiro dia de remoção, mais próximo à noite ou à noite: a temperatura no contexto da dor, o inchaço das gengivas e bochechas podem aumentar após a extração dentária para 38-39 graus.

No entanto, não se assuste e pense que algo incrível está acontecendo. Frequentemente, pela manhã, a temperatura, a dor e o inchaço passam sozinhos. À noite (ou seja, já um dia após a remoção do dente), a temperatura geralmente aumenta novamente, mas, como regra, já não ultrapassa os 38 graus.
Comentários:
“Fui a uma clínica local na minha cidade, tive que retirar o dente do siso, que estava muito doente há muito tempo, às vezes até insuportável. Ele chegou de manhã cedo e, após cerca de 20 minutos, já estava sentado em uma cadeira com a boca aberta e aguardando uma sentença. O cirurgião confirmou minha sugestão de que o dente deve ser removido.Já faz muito tempo, eu digo, eles não rasgaram um dente assim, eles nos torturaram por cerca de uma hora, eles mudaram tudo.
À noite, fiquei enjoado, minha cabeça doía e comecei a tremer. A temperatura é de 37,8, e à noite subiu para 38,8, tive que abater. De manhã, a primeira coisa que fui ao mesmo médico para esclarecimentos. Aconteceu que eu tinha apenas inflamação, então o médico fez algumas loções, receitou pílulas e deixou ir em casa para ser tratado. À noite, havia mais 37,4, mas tudo foi embora ... "
Grigory, Moscou
Complicações perigosas que levam à febre
Em alguns casos, a temperatura após a extração do dente pode aumentar no contexto de complicações bastante perigosas que surgiram como resultado de remoção inadequada ou por culpa do paciente. Vejamos exemplos de tais situações.
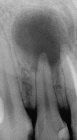
Raiz dentária não removida ou sua parte
Um aumento significativo da reação inflamatória na gengiva pode ocorrer devido a um erro médico cometido no estágio de extração do dente, quando a raiz ou parte dela permanece no orifício. Mas, mesmo neste caso, às vezes isso não causa conseqüências graves imediatas, já que o sistema imunológico pode lidar com isso, criando ao redor da raiz esquerda uma formação chamada granuloma, que gradualmente se transforma em cystogranuloma e depois em cisto.

É interessante
Como resultado do crescimento de granulações em torno da circunferência radicular deixada pelo dentista, uma cápsula fibrosa é gradualmente formada - um granuloma, que inicialmente não possui cavidade. Gradualmente, o granuloma cresce e assume uma forma arredondada e uniforme. O crescimento é devido à reabsorção (dissolução) do tecido ósseo.
Um aumento na atividade bacteriana cria os pré-requisitos para a formação de uma cavidade no interior do granuloma. Assim, o estágio de granuloma passa para a formação da cavidade - cistogranuloma e depois para o cisto. A cavidade do cisto é geralmente preenchida com produtos de decomposição de proteínas e tecidos gordurosos.
Se, no futuro, por qualquer motivo (SARS, sinusite, periodontite, trauma mecânico no dente, etc.), a integridade do cisto na raiz deixada na gengiva for prejudicada, isso pode levar a sérias conseqüências - um aumento da temperatura para valores altos (38-39 ° C) ), inchaço das gengivas e bochechas, dor, deterioração geral do bem-estar. A dinâmica negativa pode persistir por vários dias, mas não espere muito tempo: aos primeiros sinais de uma situação dinâmica desfavorável com uma deterioração contínua no estado geral, você deve consultar imediatamente um médico.

História da prática do dentista:
“Cerca de um ano atrás, havia um paciente com uma raiz de presa deixada entre 12 e 15 anos atrás. Ao longo dos anos, um cisto com um diâmetro de cerca de um centímetro se formou. Aquele homem com uma presa, tudo aconteceu trivialmente: ela alcançou o incisivo lateral e havia uma dor aguda no dente com sintomas de periodontite purulenta. Eu não consigo entender: o dente é saudável e você não vai tocá-lo. Eles tiraram uma foto - tudo ficou claro. O incisivo lateral foi removido, o homem foi enviado para a mesa cirúrgica “em busca” da raiz esquerda complexa, uma vez que cerca de 0,5 cm de osso e gengiva estão acima dela.
Alveolite
Alveolite, ou, caso contrário, inflamação das paredes do buraco após a extração dentária, pode ocorrer por várias razões. Listamos alguns deles:
- Cirurgia traumática.
- Empurrar profundamente o poço do instrumento com pedaços de tecido cariado infectado em um dente ou placa dentária removidos.
- Violação da integridade dos ossos dos alvéolos, deixando bordas agudas e feridas na gengiva.
- Sangramento prolongado do buraco.
- A ruptura de um coágulo sanguíneo ou a sua ausência no buraco.
- Violação do regime de tratamento de feridas no pós-operatório pelo próprio paciente.

Geralmente, sob a influência de um ou mais fatores provocadores, a alveolite se desenvolve 1-3 dias após a extração do dente com uma clínica com agravamento do estado geral, mal-estar, febre, dores agudas nas gengivas, mastigação prejudicada ao lado da remoção e aparecimento de mau hálito.
Se você ignorar o desenvolvimento posterior desses sintomas alarmantes, a alveolite pode passar para o estágio nulótico purulento com a formação de osteomielite limitada da cavidade dentária. Se a temperatura de alguns dias após a extração do dente subir para 39 graus ou mais, a capacidade de trabalho cair para zero, o sono é perturbado, um odor fétido emana da boca, uma dor aguda insuportável e latejante é atormentada, e ao remover os molares inferiores (incluindo sabedoria) - a boca também se abre mal e, com um alto grau de probabilidade, a alveolite já mudou para osteomielite e é necessária a ajuda do dentista de emergência.

Com o prolongamento do processo, a osteomielite limitada do poço pode passar para um abscesso ou fleuma, com uma transição para condições extremamente graves, até fatais.
A temperatura deve ser reduzida após a extração do dente e como fazê-lo corretamente
Os profissionais concordam que ainda vale a pena baixar uma temperatura alta depois que um dente é arrancado, pois esse aumento causa uma disfunção gradual dos órgãos vitais. No entanto, que temperatura deve ser considerada uma que deve ser baixada com urgência?
A chamada temperatura subfebril (37.2 - 38.0) não deve ser derrubada, pois ajuda o corpo a combater a infecção bacteriana - este é um processo natural que não deve ser interferido. Se o termômetro estiver acima de 38,0 ° C, isso já indica a necessidade de medidas apropriadas e independentemente das causas que causam o aumento da temperatura.

Se no dia anterior você arrancou um dente e a temperatura subiu para valores altos, você deve tomar medicamentos antipiréticos. O mais seguro deles são medicamentos à base de paracetamol e ibuprofeno.
Do ponto de vista da prevenção dos riscos de possíveis complicações, a forma mais recomendada (principalmente em crianças) são os supositórios antipiréticos retais. Além disso, uma temperatura muito alta, que subiu algumas horas após a extração do dente ou alguns dias depois, geralmente é acompanhada de náusea (às vezes até vômito), portanto, tomar xaropes e comprimidos pode ser difícil.
Importante!
Cada medicamento antipirético tem muitos efeitos colaterais, além de certas contra-indicações, ignorando o que pode causar sérias complicações. É por isso que é recomendável que você consulte um médico antes de usar qualquer medicamento.

No entanto, apesar da queda de temperatura após o uso de um medicamento antipirético, na presença de sintomas de inflamação (dor, inchaço, mau hálito, mastigação etc.), recomenda-se consultar um dentista, pois caso contrário, você poderá perder o desenvolvimento de uma complicação grave.
Cuidados com o dentista a temperatura elevada
Independentemente de qual dente foi removido no dia anterior (dente do siso, incisivo, presa), um aumento prolongado de temperatura com uma dinâmica alarmante de sintomas acompanhantes (por exemplo, inchaço das gengivas e bochechas aumenta, a dor se intensifica) é um sinal para uma visita imediata ao médico. Ao entrar em contato com o dentista, é importante informar detalhadamente todos os sintomas suspeitos que o preocupam agora e no dia anterior.
Qualquer assistência começa com uma pesquisa e exame. Após a realização de um exame externo, inclusive na cavidade bucal, é muito provável que o dentista prescreva um raio-x do orifício para garantir que as partes do dente extraído não fiquem nele.

Se, no entanto, forem obtidos dados sobre a presença de uma raiz no poço, o médico fará anestesia e removerá a raiz ou suas partes de maneira acessível nessa situação clínica. Depois disso, o buraco é lavado com soluções anti-sépticas, um coágulo de sangue protetor é formado e antibióticos e (ou) antibacterianos são prescritos juntamente com recomendações para o tratamento de feridas.
Se houver suspeita de granuloma ou cisto no orifício, devido ao qual a temperatura aumenta após a extração do dente, o médico realiza as medidas como um todo, de acordo com o mesmo algoritmo do caso anterior.
Se isso revelar o resultado de uma intervenção grosseira do dentista anterior (gengiva, bochecha, bordas afiadas dos alvéolos e ossos da mandíbula), o dentista-cirurgião pode retirar tecidos muito danificados que interferem na cicatrização, às vezes suaviza as bordas afiadas do osso ou morde as áreas salientes com pinças ósseas especiais. Depois disso, as suturas são quase sempre aplicadas e o paciente prende um cotonete estéril por 15 a 20 minutos para evitar sangramentos prolongados.

Após essa intervenção cirúrgica adicional, a temperatura pode voltar a elevar-se a valores altos, no entanto, este será um pagamento muito insignificante por se livrar de consequências muito mais graves que podem ameaçar sem assistência médica.
Seja saudável!
(Se você tiver experimentado um aumento de temperatura após a extração do dente - deixe seu comentário na parte inferior desta página).
Vídeo útil sobre a inflamação do orifício ósseo após a extração do dente (que muitas vezes leva à dor e febre)
O que deve ser feito imediatamente após a extração do dente para evitar inflamação e outros problemas

Sim ...
Há 3 dias, a bochecha estava inchada, ao examinar a cavidade oral sem feridas e dentes inteiros. Mas ao morder, observou-se uma dor terrível, a saber, o sexto dente de baixo. Fui ao dentista, fiz uma radiografia de objetivo, um cisto enorme de 4,5 cm foi encontrado e a borda estava no nervo. Eles disseram que precisavam ser removidos com urgência, mas o dentista tinha medo de removê-lo devido à localização do nervo. Enviado ao ChLH, o especialista examinou e decidiu fazer uma incisão nas gengivas para drenagem. Então ela foi para casa. Depois que a anestesia se foi, ficou insanamente doente, às lágrimas, anestesiada. Todo inchaço, ainda mais forte. A temperatura continha 37,5. No dia seguinte, eu me virei para um cirurgião familiar, ele fez uma tomografia computadorizada ao mesmo tempo e depois levou à extração do dente. Ele removeu o dente, mas o cisto não saiu, pois era grande e cresceu até o nervo. Ele tentou não danificar o nervo e raspou um cisto, os sons eram assustadores. Antibióticos prescritos. À noite, em casa, a temperatura subia para 37,7. Ela estava com medo de ter tocado um nervo e agora a sensibilidade de alguma parte desapareceria. Mas já de manhã, todos os medos não foram confirmados. No entanto, a temperatura permanece a mesma, mas não sobe acima de 37,5. A mandíbula se abre com dificuldade. Amanhã vou fazer uma segunda inspeção. O inchaço não dormiu, está abaixo da mandíbula e dói. Mas o próprio dente não dói.
Então, como foi tudo?
Eles removeram o dente, por um longo tempo o sangue vazou um pouco. Eu fui ao médico novamente, ela disse que está tudo bem, deve ser assim. No dia seguinte, a temperatura subiu 37, o sangue parou. Então, acho que por que a temperatura: do dente ou da gripe pegou um pouco.
Hoje eles tiraram um dente do siso, colocaram 3 pontos ... Ele voltou para casa e cerca de uma hora depois a temperatura subiu. Antibióticos prescritos, em tratamento)
O dente do siso começou a crescer incorretamente na mandíbula inferior, a princípio doeu um pouco. Eles fizeram uma curetagem (eles limparam de pus em torno de ZM). De manhã, a bochecha estava inchada. Uma incisão foi feita com drenagem. A bochecha continuou a inchar. Enviado para ChLH. Osteomielite odontogênica. Removido o dente do siso. Eles injetaram antibióticos. Após 1,5 semanas, a bochecha voltou ao normal, mas o desconforto no local da remoção permaneceu. Agora, depois de ler sobre esta doença na Internet, tenho muito medo de me tornar crônica. Demorou 2 semanas após a remoção. Eu constantemente medo a temperatura. Hoje de manhã, como vi no termômetro 37, quase perdi a consciência por medo, pensei que estivesse começando de novo ... Medi 5 vezes, os indicadores estão mais baixos. Graças a Deus!
Dois dias atrás, o dente do siso inferior foi removido em uma clínica gratuita. Era necessário que a criança retirasse o dente de leite, acho que vou remover o meu ao mesmo tempo (doeu). Se eu soubesse aonde isso levaria. Fiquei convencido de que a clínica gratuita não pode mais ser contatada. Melhor pagar e não ter problemas e consequências. Além disso, após o exame, o médico indicou no cartão a remoção de um dente completamente diferente, então eu ainda quebrei a parede do dente adjacente com o dente sendo removido. Mantém a temperatura, desconforto. Anteriormente, há alguns anos, na clínica paga, o mesmo dente era removido, apenas no lado esquerdo, sem problemas. Agora marquei uma consulta com uma clínica paga, para que os “batentes” de nossos remédios gratuitos fossem corrigidos, mas pelo meu dinheiro (não pequeno). Lamento não ter ido imediatamente a uma clínica paga (eles ainda são pelo menos responsáveis por seu trabalho).
Quem tiver sorte, depois de uma clínica paga, não é fato que tudo ficará bem. Tudo depende da complexidade da estrutura e das características do seu corpo.
Eu concordo completamente com você.
Você sabe, eu fiz recentemente em uma clínica paga, desaparafusada 7000, e a temperatura é mantida em 37,2 ou 37,5, não cai. Alveolite começou, eu monto em um dia, coloque cotonetes de iodo. A dor passou tão cedo quanto três dias, mas a temperatura não. E agora não sei para onde ir, também uma mais sábia.
Eu me virei para pagar. Lá, a mandíbula foi primeiro desfiada e costurada com fragmentos do dente. Quando, depois de três dias, cheguei lá com uma dor infernal, lavei e curei a ferida com remédios de cima e disse que estava tudo bem ... No dia seguinte, a dor não foi abafada por 5 comprimidos de analgésicos, eu me virei urgentemente para outra clínica. Eles abriram limpo. Mas a dor infernal voltou - além disso, minha cabeça já doía ... Corri para a clínica da cidade. Lá, o cirurgião, que costumava parecer burro para mim, removeu cuidadosamente o último fragmento inflamado e a licença médica foi concedida. Agora a dor está passando e eu estou voltando à vida ... Então aqui você não vai adivinhar.
Algo que você costuma mencionar na frase "pago" - provavelmente não quer perder clientes)) Pessoas normais (profissionais) trabalham em clínicas gratuitas. O salário, é claro, é menor do que o dos pagadores de fortunas, eles só tratam as pessoas não por causa da massa, mas porque é o seu chamado!
Concordo plenamente que uma clínica paga é sempre mais confiável. Ela conclui um acordo, que estabelece os direitos e obrigações de ambas as partes. E a atitude ali, em relação a um cliente-paciente. Há 3 anos, em uma clínica gratuita, ele tratou um dente. Nenhuma atitude atenciosa e 2 dias matou o nervo e não matou. Cada movimento me machuca. Como resultado, fui ao pago e lá eles cuidadosamente, atentamente, quase amaldiçoaram curaram meu dente. Eu fiquei satisfeito Existem muitos médicos bons nos médicos gratuitos, mas você precisa de sorte para obtê-los! )) Com amor do Tartaristão 😉
Portanto, médicos gratuitos trabalham em clínicas pagas e vice-versa, eles têm a ordem das coisas.
O dente inferior foi removido 8, após a anestesia a dor começou a chorar! À noite, a temperatura subiu para 37,4 ... Não sei o que me espera ((
Provavelmente o mesmo que todos ...
O dente foi removido cerca de duas horas atrás, o sangue ainda está fluindo e a temperatura subiu, o que devo fazer?
Olá A temperatura não é incomum no primeiro dia após a remoção. É uma consequência natural de uma ferida (lesão). Se seus valores não são críticos, nada deve ser feito. Se a condição geral não for satisfatória, depois de consultar um médico, você pode tomar um antipirético. Em casos mais graves, você pode chamar uma ambulância. Quanto ao sangramento: normalize a pressão, aperte uma compressa de gaze estéril entre o orifício e os dentes do lado oposto por 20 minutos. Se o sangramento continuar, umedeça o meio do cotonete com uma pequena quantidade de peróxido de hidrogênio a 3% e também aperte, mas por 5-7 minutos. O principal é a força de pressão. Se o sangramento continuar, consulte o seu médico que instalará uma esponja hemostática no orifício ou direcione-a para a injeção intramuscular de um medicamento hemostático. Tente evitar a automedicação - um dentista com especialistas relacionados definitivamente resolverá seu problema profissionalmente. Saúde para você!
Ela removeu o dente inferior da sabedoria, com 3 injeções, eles me repreenderam por uma hora. Também costurado no final! No dia seguinte, um pouco inchado, fui à recepção, disseram que tudo cura normalmente. Mas no dia 3, a temperatura subiu 37,2 e agora o terceiro dia não diminuiu. Hoje eu vou para eles (
Já passou agora? Situação individual (
Há uma semana, eles removeram o dente do siso, colocaram 4 implantes e construíram tecido ósseo! A temperatura está em torno de 37 há uma semana e o médico disse que o corpo reagiu assim.
E outro dia eu limpei o canal dental (às sete). A temperatura subiu para 37,5 apenas no dia seguinte. Enquanto eu não tenho idéia, seja da limpeza, ou caiu com o vírus do outono. À noite, a temperatura subiu para 38, derrubada pela Coldrex. Deito-me embaixo de um cobertor com calafrios ((
Depois de escovar três bolsos, gengivas inchadas e uma temperatura de 38 - isso é normal? Eles também prescreveram beber metronidazol.
Olá Elevar a temperatura a valores altos após esta manipulação não é a norma, mas pode ser causado por vários motivos: resposta imune individual, procedimento traumático, terapia antibacteriana e anti-inflamatória insuficiente (nas recomendações), etc. Estou certo de que é urgente entrar em contato com o seu médico para aconselhamento e correções de tratamento. Obrigado pela pergunta!
5 dias atrás, removeu um dente (seis). As raízes batiam e cortavam ligeiramente a gengiva. Faço banhos desde o segundo dia como sálvia ou camomila. O coágulo está no lugar. Não há dor intensa, apenas algumas vezes dor opaca, como se pulsasse. O edema permaneceu pequeno. A única coisa - na área do ouvido não é algo que queima, mas calor. A temperatura subiu para 37. Isso é normal?
Na segunda-feira, apenas a clínica será aberta ((O que devo fazer?
Olá Acho que a condição crítica no momento não é determinada pelas suas palavras, mas é razoável visitar o dentista para esclarecer sua situação clínica e corrigir as recomendações. É o dentista que determina a criticidade da condição na consulta presencial. Você deve ser paciente e esperar até segunda-feira. Se os sintomas se intensificarem, faz sentido entrar em contato com o dentista imediatamente. Obrigado pela pergunta.
Há uma semana, um dente do siso foi removido por baixo. Houve outro cisto. Removido, limpo.Naquela mesma noite, começou a congelar e tremer muito, a temperatura era de 38,5. Derrubado pela medicina. Na manhã seguinte, não havia temperatura, mas a mandíbula estava muito dolorida. Fui fazer um exame, eles disseram que também precisávamos remover o dente do siso por cima, porque estava “morto” (um pouco cambaleado e azul). Como resultado, ele foi excluído. Não havia temperatura, mas! Uma semana se passou e minha boca está doendo às lágrimas, não consigo abrir a mandíbula, três coisas são indolores e isso não ajuda ((fui limpar todos os dias, os buracos estão limpos e minha mandíbula doi de horror! Por que não entendo. Amanhã vou à recepção novamente. Cansado de viver uma semana com dores infernais! Talvez alguém tenha, me diga o que fazer?
Olá Eu acho que a tática do seu médico assistente não é adequada em uma situação específica. Pode valer a pena mudar de médico. Muitos médicos usam um método para tratar um poço com pomada anti-inflamatória para tratar alveolite. Em princípio, se desejado, você pode escolher o tratamento adequado em casa após um profissional (existem pomadas e géis que criam um bom efeito antibacteriano e de cicatrização). E sem isso, a dor, se desaparecer, não é breve, porque é a infecção que quase sempre provoca os problemas que você tem. Eu acho que você só precisa encontrar um médico com um novo curso de terapia. Obrigado pela pergunta.
Como se costuma dizer - avarentos paga duas vezes. Hoje, uma figura oito foi removida em uma clínica gratuita, um enorme buraco não foi costurado, eles a liberaram em casa sem sequer verificar se estava sangrando ou não. Antibióticos e banhos também não foram prescritos. Deito-me com uma temperatura de 39, inchada. De manhã eu vou para o ChLH.
Olá, ontem minha esposa teve 46 dentes. Uma hora depois, a temperatura subiu 38,5 e dura um dia; pela manhã, caiu para 37,9 na hora do almoço, subiu para 38,2. Uma forte dor de cabeça também apareceu. Um dente foi removido por uma taxa. O médico escreveu que a remoção é complicada. Vale a pena visitar esse especialista hoje? Obrigada
Olá O fato é que a reação do corpo a uma ferida (lesão) na cavidade oral nem sempre é previsível. Na maioria das vezes, uma resposta vigorosa do corpo é característica ao remover dentes complexos em odontopediatria; no entanto, os adultos também podem ter essa reação com sintomas de inflamação local. Definitivamente, não vale o pânico aqui. Apesar de você não ter anotado a receita do seu médico, posso dizer que, após remoção complicada, antibióticos, anti-histamínicos, antibacterianos, cicatrização de feridas, analgésicos quase sempre são prescritos. Um complexo selecionado corretamente começa a funcionar com rapidez suficiente, mas o alívio às vezes perceptível ocorre apenas por 2-3 dias. Seja como for, entre em contato com seu médico para corrigir o tratamento. Isso reduzirá a probabilidade de complicações e, possivelmente, tornará a vida após a extração dentária mais confortável. Obrigado pela pergunta.
Dez dias atrás, removeu os oito inferiores. Não havia temperatura, nem tumores. Mas apenas três dias atrás, as gengivas começaram a doer repentinamente e a temperatura subiu. Até 37,2. Não há dor dolorosa agora. Mas existe uma temperatura. Gengivas, como não inchadas, reagem aos doces. Preciso ir ao médico para incomodá-lo?
Olá Tenho quase certeza de que vale a pena visitar um dentista. Em primeiro lugar, a dor e a temperatura dizem muito: há riscos de desenvolver alveolite, mesmo que não com uma paleta brilhante de sintomas que geralmente a acompanham. Quanto à reação aos doces, é assim que um dente cariado pode reagir. E essa situação envolve visitar um dentista para encontrar um dente danificado, talvez ao lado de um dente do siso removido. Obrigado pela pergunta.
Eles removeram o dente do siso, 15/12/16. Cerca de 10 dias depois, a temperatura chegou a 38,5. O médico receitou antibióticos, bebeu por 5 dias (de acordo com as instruções), a temperatura caiu para 36,3.Em algum lugar de 01/10/17 a hoje (19/01/17), tenho uma temperatura de 37-37,4. Meu médico está calado, não responde a chamadas e mensagens para o WhatsApp ...
Olá Estou certo de que a temperatura no momento (37-37,4) já é um indicador do processo inflamatório local. Eu não acho que isso possa ser atribuído à alveolite, mas não faria mal verificar o buraco para finalmente garantir que a fase de cura se correlacione com os sintomas existentes. O corpo se protege o máximo possível, portanto, essa reação. Se você duvida do médico assistente, pode tirar uma foto do buraco após a remoção para determinar sua "pureza". De qualquer forma, sem inspecionar o buraco na cadeira e (possivelmente) analisar a imagem, você não pode fazer aqui. O médico está se escondendo desconfiado de você, e isso dá motivo para uma verificação abrangente.
Olá. Site muito informativo. Eu aprendi mais do que com o meu médico. Obrigado pelo seu trabalho. O dente foi removido (7 da parte inferior esquerda) na quarta-feira, imediatamente à noite a temperatura subiu um pouco (não é assustador, bebi nurofen). Na sexta-feira, um odor desagradável apareceu e aumentou muito neste lado do linfonodo submandibular. Não há temperatura. Enxágüe-me com peróxido e clorexidina várias vezes ao dia. Preciso me preocupar e procurar um médico?
Olá Obrigado por sua confiança. Não lave com água oxigenada e clorexidina (para causar mais danos sem obter um efeito terapêutico significativo). Além disso, um coágulo de sangue pode ser lavado para fora do buraco, após o que muitas vezes se cura com grande dificuldade. Se não houver dinâmica positiva em um futuro próximo (um dia ou dois), consulte um dentista.
Bom dia Eu removi o dente 8 inferior na semana passada na sexta-feira, antibióticos foram prescritos. A partir de sexta-feira à noite e ainda (o quinto dia) a temperatura não cai - de 37,0 a 37,5 saltos durante o dia. A ferida em si não dói mais, arrasta-se ... Quanto tempo dura a temperatura?
Olá Esta temperatura é um sinal de um processo inflamatório local. Se ela seguir o princípio: 37,0 pela manhã e 37,5 à noite, essa condição estará dentro dos limites normais. É bom que não haja outros sintomas desagradáveis, o que significa que a dinâmica é geralmente positiva neste momento. O fato de os antibióticos e o restante do tratamento domiciliar fazerem sua boa ação fala da perspectiva de melhora.
A cura ocorre individualmente para todos, e não há um período único para manter a temperatura elevada. Geralmente, não dura mais que 5-7 dias. Se a temperatura permanecer no sétimo dia após a extração do dente, é possível entrar em contato com um cirurgião-dentista para examinar o buraco: se não houver patologia, você não perderá nada e, se houver algo suspeito, o médico interromperá o problema a tempo, ajustando o tratamento ou tratando a ferida. anestesia local.
Removido o dente. Depois de se afastar do congelamento, começaram as dores infernais. No dia seguinte, deixei passar, mas a temperatura subiu 37-38, na noite de 39. Tive que chamar uma ambulância - o paramédico não disse nada. Um dia depois, com 37,5, à noite comecei a me levantar e depois caí, mas tomei 1 comprimido de amoxicilina. Agora, eu não sei se vou à odontologia ou não?
Olá Um aumento de temperatura nos primeiros dias após a remoção é uma reação normal do corpo. Freqüentemente, a temperatura sobe à noite e de manhã - entre 37,0 e 37,5, o que corresponde a uma reação inflamatória contra um fundo de trauma. Um dentista deve ser consultado em caso de condições graves em um contexto de febre: dor intensa, inchaço, abertura da boca prejudicada, mau hálito putrefativo, etc. Se a temperatura acima de 37,5 dura mais de 2 dias - também ao médico. Obrigado pela pergunta.
No dia 14, os oito primeiros foram excluídos. Durante muito tempo, o sangue não parou durante 2,5 horas. Então, tipo, nada, tudo se acalmou. No dia seguinte, a bochecha estava levemente inchada e houve alguns dias inchados. Examinei o buraco, tudo parecia normal, o coágulo estava no lugar. E no dia 19 os dentes superiores vizinhos doíam. E não apenas qualquer um em particular, mas todos juntos, e a temperatura é de 37 a 37,2. Hoje é dia 20, e a dor persistente persiste, mas é absolutamente suportável. A temperatura é a mesma - 37-37.2. Sem inchaço. E o próprio buraco não dói. E hoje ela começou a olhar e não viu um coágulo. O que está lá no fundo, eu não vejo. Após a remoção, ela perguntou ao médico o que procurar, o que temer e o médico me respondeu: "Esqueça o dente!" Não enxaguei nada, não comi nada deste lado, mas no quarto dia já estava bebendo chá quente. Devo procurar um médico ou esperar para ver enquanto?
Olá Eu acho que o período do possível desenvolvimento da alveolite já passou. Pode muito bem haver uma cicatrização bem-sucedida do buraco sem coágulo de sangue, quando parcialmente lavado. Eu acho que agora você deve ser guiado pela lógica e pelo senso comum, mas é melhor consultar o médico uma vez para sua paz de espírito (do que então pensar ansiosamente por uma semana se tudo cura lá normalmente ...)
Olá. Removemos os sete primeiros, a temperatura subiu. Talvez, é claro, um vírus. Aparentemente, porém, eu tenho um seio maxilar. O cheiro é terrível no nariz, lavando, desobstruindo. Agora há alguns coágulos sangrentos. O dente estava com um cisto. Talvez ela esteja saindo? Ajuda.
Olá Penso que estamos falando de infecção do seio maxilar devido à localização próxima do ápice da raiz do sétimo dente removido à sua parede. Para descobrir, é necessária uma consulta com um médico otorrinolaringologista com estreita interação com o cirurgião maxilofacial. Primeiro, deixe o médico otorrinolaringologista concluir: se ele excluir a patologia de sua parte, você já poderá procurar a causa do problema com o dentista.
Na segunda-feira eu vim ao médico com um fluxo. O penúltimo dente foi removido, próximo ao dente do siso. Está tudo bem, mas a temperatura constante me incomoda. Ela não é superior a 37,5. Hoje é quarta-feira. Quanto tempo dura a temperatura?
Ainda havia um cisto. Antibióticos prescritos.
Olá Se não houver outros sintomas, não se preocupe. Normalmente, essa temperatura está presente não mais que 3-5 dias, dependendo da reatividade do sistema imunológico. O mesmo médico receitou um antibiótico para reforçar a eliminação da causa do problema (dente ruim) com um efeito antibacteriano suficiente. Portanto, seja paciente e seja saudável!
Olá Meu filho teve seu dente removido hoje (74). Diagnóstico: exacerbação da periodontite crônica. A remoção foi simples. As gengivas estavam sangrando, eu não vi pus lá. A alta temperatura apareceu 2 dias antes da remoção. O médico receitou um antibiótico que ficou bêbado por 3 dias. Quanto tempo durará a temperatura dele?
Olá Depende de qual temperatura estamos falando: alta (acima de 38,5) pode ser durante os primeiros dois dias após a remoção, e a tendência de alta geralmente ocorre no final da noite e pela manhã - entre 37,0-37,5. A temperatura no nível até 37,5 pode ser após a remoção na norma não mais que 3-4 dias. Se a temperatura for superior a 4 dias e houver uma tendência a aumentar mais perto da primeira metade do dia, é urgente procurar um dentista. O mesmo se aplica a altas temperaturas, bem como a outros sintomas alarmantes que podem ameaçar a saúde da criança (inchaço, dor intensa, placa cinza suja no buraco, hálito pútrido, etc.).
Olá, ontem tirei o top 7, a anestesia não funcionou, houve um cisto. Cheguei em casa com uma temperatura de quase 40.Hoje, a temperatura ainda sobe para 38. O buraco não dói, não há inchaço. Antibióticos não foram prescritos. Não sei o que fazer, espere até que passe. Ou é para o médico?
Olá É melhor consultar um médico, pois com esses sintomas, você pode precisar tomar antibióticos e usar medicamentos anti-inflamatórios. Se a temperatura estiver alta de manhã, isso é especialmente ruim. Um aumento de temperatura pode estar associado a um processo infeccioso ativo, que vale a pena parar com urgência. A extração dentária nem sempre erradica imediatamente uma infecção bacteriana. Mais uma vez, aconselho a visitar um médico!
Olá Ontem eles removeram os restos dos 8 inferiores, com 3 injeções - e depois é doloroso. Bochecha inchada. De manhã, tudo ficou mais ou menos; durante todo o dia, sinto como se quisesse ficar doente, mas a temperatura diminuiu, 36,1-36,3. À noite, minha mãe não estava angustiada ((bebi, economizei um pouco. Depois de removê-lo, colocaram um remédio no buraco, disseram que sairia, não tocam nele. Talvez fosse dele? E o que devo fazer?
Olá A partir da "droga", que colocou no buraco, dificilmente poderia ser. Geralmente, nos primeiros dias após a extração dentária, apenas no final da tarde, a condição pode piorar, principalmente porque é a remoção de um dente do siso inferior. Não acho que valha a pena tocar na droga, mas vale consultar o seu médico para examinar o buraco e (talvez) ajustar o tratamento. Tenho quase certeza de que não há nada errado, mas pelo menos o médico também ficará calmo ao saber que sua cura está ocorrendo normalmente. Siga as recomendações que o dentista prescreveu para você e também obtenha conselhos dele (apenas no caso).
Ontem, o dente mais baixo foi removido, à noite a pressão saltou para 150, a gengiva ficou doente. Hoje a bochecha está inchada, a temperatura subiu para 38. Fui à clínica. O cirurgião (médico da categoria mais alta) Ismagilov disse: vá ao terapeuta, o caso não é nosso, após a extração dentária não pode haver essa temperatura. Perguntei pelo menos uma coisa após a extração do dente, e ele: eu disse, não o nosso caso. Fui à farmácia, perguntei como acalmar as gengivas, aconselhei nalgesin. Tomei uma pílula em casa - depois de 5 horas a temperatura é 37. A questão é: por que esses esculápios? Eu li o artigo - tudo ficou claro, por que a temperatura e o inchaço. Os médicos provavelmente deveriam ler a Internet também. Obrigado pelo artigo!
Olá É bom que todos tenham terminado felizes. Muito obrigada. Alta temperatura devido a trauma após a extração do dente, é claro, pode aparecer. E aumenta a pressão, e somente no contexto de experiências morais, muitas vezes surge. Boa sorte
Olá Um fluxo formado à tarde, no dia seguinte às 11 horas, fui ao dentista, ele removeu o dente (ou melhor, o que restava dele - 3 raízes), disse que o pus havia desaparecido, para que ele não fizesse uma seção de gengiva. O dia inteiro e a noite toda depois que o sangue não parou, a temperatura subiu para 38. Eu bebo o antibiótico amoxicilina. É possível que o pus não saia e a incisão ainda tenha sido feita?
Olá Quanto à necessidade de cortes - esta é uma questão puramente individual. De maneira geral, de acordo com o protocolo, incisões com periostite (“fluxo”) são obrigatórias, principalmente na mandíbula. Ao remover os dentes superiores com "fluxo", muitos cirurgiões-dentistas não acompanham o procedimento com incisões. Apenas para a maioria dos pacientes, mesmo a mera palavra "incisão" traz muitas impressões negativas. Além da extração dentária, quem quer ter a impressão de trabalhar com um bisturi. Portanto, os cirurgiões, visto que a remoção dos dentes superiores não pode ser acompanhada de uma incisão e tudo é bem-sucedido, não o fazem.Como você tem um dente de três raízes, suspeito que apenas os 6 ou 7 primeiros foram removidos.
O fato de você ter sangrado prolongado não é muito bom, mas se tudo for tolerável no segundo dia, não se preocupe. Sobre a temperatura 38: esta é uma reação comum no contexto de uma extração dentária com uma infecção purulenta. Tudo não passa rapidamente, como muitas pessoas pensam, especialmente nesses casos.
Em relação à última pergunta (esse pus não sai): sim, é possível, mas é extremamente raro. Eu acho que vale a pena visitar um dentista para determinar a qualidade da cicatrização do buraco. Geralmente, após essas remoções, os exames de controle são agendados: todos os dias, às 3 e às 7.
Eles removeram o dente, o buraco estava sangrando por um longo tempo. No dia seguinte, o sangue parou. Nada, mas no segundo dia minha bochecha inchou, não medi a temperatura. No terceiro dia, medi - 37. Os dentes doem e pulsam perto do dente arrancado. Tudo bem? O que você recomenda?
Olá Eu aconselho você a consultar um dentista para monitorar a situação. O fato é que, 3-4 dias após a extração do dente, o risco de desenvolver alveolite é alto e você tem sintomas que lhe dão o direito de pensar sobre o início desse processo. É claro que o edema, a temperatura e até a dor podem ser uma condição normal, mas, levando em consideração os sintomas, não faz mal se proteger de possíveis complicações. Após a verificação, você não pode mais se preocupar e continuar a seguir as recomendações do seu médico.
Boa tarde Ontem eles removeram o "6" inferior, porque no canal radicular do dente (após tratamento há 4 anos), parece que a ponta da “agulha” está presa e o canal não está completamente selado. Uma inflamação formada sob a raiz, que começou a ir para a raiz vizinha deste dente. O médico disse que é possível realizar uma operação para remover uma parte da raiz, mas não há garantia de curar a inflamação devido ao fato de ela ter começado a ir para a raiz vizinha, portanto a remoção é a melhor opção. Como resultado, eles o removeram, está tudo bem, eles costuraram o buraco, mas ontem e hoje de manhã a temperatura é de 37,5, e hoje à noite de 38,5. Dull maçante periódica nas gengivas e um ponto dolorido e desconforto quando você clica no "5" adjacente. Essa é a norma? Devo entrar em pânico a esta temperatura?
Olá Não entre em pânico: nos primeiros dois dias (especialmente), muitas vezes é observada uma tendência a um aumento da temperatura, como resultado de inflamação no contexto de uma lesão - geralmente um ligeiro aumento pela manhã e até a noite até 39. Somente a alta temperatura deve ser reduzida. Às vezes, a temperatura também ocorre no terceiro dia após a remoção, principalmente se o corpo estiver enfraquecido.
Apesar de os sintomas descritos por você se ajustarem a uma reação normal em metade dos pacientes após a extração dentária, é altamente recomendável consultar seu médico para um exame agendado do orifício 3-4 dias após o procedimento, pois é durante esse período que o processo inflamatório purulento pode se unir ao purulento , e o resultado será alveolite - inflamação do buraco com sinais característicos.
Após a extração dentária, em quase todos os pacientes, adjacentes ao soquete, os dentes respondem quando pressionados por vários dias a um grau ou outro. Portanto, a este respeito, não se preocupe.
Olá) Tirei os sete primeiros ontem, a temperatura sobe de 37,0 para 38,5 e meu queixo dói ao morder. Preciso fazer um segundo exame? Eles não disseram nada para enxaguar.
Olá Nos primeiros dias após a extração dentária, geralmente há uma tendência a aumentar a temperatura no final da tarde. Se a temperatura estiver baixa (geralmente uma ambulância é causada a valores de 39,0 para um adulto), não se preocupe. No entanto, é aconselhável fazer um check-up no médico 3-4 dias após a remoção para eliminar o risco de problemas adicionais devido à alveolite.Ao morder dentes adjacentes, a dor é possível até 3-5 dias após a remoção, às vezes até 7 dias. Essa é a norma, uma vez que existe uma ferida próxima a dentes inocentes e existe uma certa conexão com ela dos tecidos periapicais das raízes dos dentes adjacentes.
Quanto ao enxágüe - na verdade, geralmente não é recomendado enxaguar nada, essa opinião é compartilhada por muitos dentistas.
Obrigada Graças aos seus comentários, eu me acalmei depois de saber que febre e sangramento nas gengivas após a extração dentária são normais e não é um motivo para ficar chateado imediatamente! E então eu já comecei a me enterrar, pensei que o cirurgião havia trazido alguma infecção para mim.
Olá Não encontrei essas perguntas acima, portanto ... tirei o dente do siso superior em um lugar, mas como os preços não são realistas, decidi remover o dente do siso inferior em outro. Após a remoção do dente do siso, no dia seguinte febre, náusea, dor na mandíbula e fraqueza. Na primeira clínica, o anestésico foi diferente do anestésico na segunda. No primeiro caso, não senti, no segundo, dormência de toda a metade do rosto e da garganta. Eu acho que estava de alguma forma desatualizado. Minha pergunta é: esses efeitos colaterais podem estar associados a esse anestésico ou se deve ao fato de que a mandíbula inferior é sempre mais difícil de responder? O que você acha disso? Por que usar anestésicos obsoletos? E pergunta número 2: as feridas não foram suturadas; em quais casos, porém, as bordas da ferida são suturadas e em quais não?
Olá Os efeitos colaterais dos anestésicos raramente se relacionam à dormência do rosto, na maioria das vezes a anestesia pode afetar o bem-estar geral dentro de 1-2 dias (náusea, dor de cabeça, sonolência, sangramento da cavidade, etc.), até reações alérgicas. É muito mais provável que o efeito da "anestesia" da metade da face e da garganta esteja associado à natureza traumática do trabalho na mandíbula inferior, onde o canal mandibular passa de perto com um nervo que pode ser espremido por um hematoma. Com muito menos frequência durante a remoção, uma lesão mecânica do nervo ocorre com instrumentos médicos.
O maxilar inferior é quase sempre mais problemático em muitos aspectos do que o maxilar superior - você percebeu isso corretamente.
Anestésicos obsoletos são usados por várias razões, na maioria das vezes: 1. Odontologia estadual e não é capaz de fornecer aos médicos outros medicamentos; 2. Ou o próprio dentista, por várias razões, não possui habilidades para trabalhar com medicamentos importados.
Quanto ao fechamento da ferida: após uma difícil extração dentária, recomenda-se que a ferida seja fechada para uma cicatrização confortável e rápida. Embora os médicos aqui possam ter opiniões diferentes.
Eu recomendo entrar em contato com um bom dentista para monitorar o buraco.
Boa tarde Há uma semana, os 8 inferiores foram removidos. Sua bochecha estava inchada, não havia dor. Como prescrito pelo médico, bebi nimesil 2 vezes ao dia. No terceiro dia, o inchaço diminuiu, mas na bochecha ao longo do osso havia um inchaço forte (4 cm de tamanho), como se uma pedra tivesse sido costurada na bochecha. Os dentes começaram a gemer (tolerantemente), temperatura 37.2. Hoje é uma semana. Esteve no médico há alguns dias, o médico examinou o buraco e disse que estava tudo bem (sem inflamação), apenas um hematoma sólido. MAS por que temperatura e dor? Obrigado pela resposta.
Olá Aparentemente, a extração dentária acabou sendo um pouco traumática e, portanto, o processo de restauração de tecidos ao redor do orifício leva tanto tempo. Eu não acho que estamos falando de alveolite.
E sobre o "hematoma sólido" - um ponto discutível. É possível que haja bordas salientes dos alvéolos sob a gengiva, criando o efeito de "uma pedra costurada na bochecha". Uma temperatura de 37,2 está associada a um processo inflamatório local. Em princípio, isso pode ser considerado um estado dentro dos limites normais, mesmo dentro de 7 dias após a remoção do dente do siso. Sobre o fato de que "eles começaram a lamentar os dentes" - acredito que estamos falando sobre a radiação da dor da mesma ferida.Ela, é claro, dói nos primeiros dias e só reage após a irritação (com comida, objetos duros, bebidas, etc.). Essa dor pode durar até 2 semanas, dependendo do grau de "abertura" do buraco, da presença ou ausência de um coágulo sanguíneo, bem como da possível conexão da infecção. Mas tenho quase certeza de que você não tem alveolite, não se preocupe. se a condição piorar, consulte um médico.
Boa tarde Há 6 dias, o dente do siso inferior foi removido. Houve um pequeno inchaço nas bochechas. A dor é média, bebeu nimesil. Não havia temperatura. Pelo sexto dia, o inchaço desapareceu, todos os dias eu bebo 100 mg de nimesil. A dor é tolerável, mas houve desconforto. Ontem houve uma temperatura de 37,1. De manhã estava normal e agora novamente 37.1. As gengivas não estão inchadas. O buraco também é normal ... Soou o alarme?
Olá Eu acho que não vale o alarme. O fato é que há uma clara tendência a melhorar, o desaparecimento dos sintomas (redução de edema, dor, etc.). Uma temperatura de 37,1 indica a presença de um processo inflamatório local no contexto da cicatrização do buraco e, mais próximo da noite, a temperatura pode aumentar levemente. Geralmente, esse sintoma desaparece completamente durante a cicatrização inicial do buraco (dentro de uma a duas semanas).
Se sua saúde não se deteriorar, não se preocupe - seja paciente e siga as recomendações do seu médico.
Três dias atrás, ele puxou um dente do siso que repousava sobre outro dente. Portanto, a gengiva foi primeiro incisada e depois rasgada. E agora, no terceiro dia, a temperatura é de 38,7 (no máximo): de manhã cai para 37,5 e à noite sobe novamente. E assim, pode-se dizer, o dia todo - sobe e depois cai. Nos dois primeiros dias, houve dores intensas nas gengivas e inchaço das gengivas, além de linfonodos inflamados, além de fraqueza e fadiga. No terceiro dia, o inchaço diminuiu, a dor desapareceu e não há fadiga, mas às vezes os gânglios linfáticos se incomodam ... O médico diz que a ferida cicatriza bem. Eu bebo antibióticos e anti-inflamatórios. Espero, quando consigo dormir normalmente e não suar e comer))
Um dente doeu na sexta à noite. Tolerado até segunda-feira, como ele podia anestesiar. Na segunda-feira, o tumor havia crescido até a laringe. A temperatura subiu 38,5. Fui ao dentista, queria fazer um furo para que o pus saísse. Não deu certo, porque não consegui remover a coroa. Ele removeu o dente, o tumor começou a desaparecer à noite e agora chegou ao peito. A temperatura é de 37,2. Diga-me como é assustador?
Olá Em casos tão graves, você não deve confiar no acaso, mas é necessário um monitoramento constante pelo médico assistente para evitar complicações com risco de vida (você descreve sintomas bastante alarmantes). Eu recomendo que você visite regularmente um médico para monitorar a situação - às vezes o caso nesses casos clínicos trata de tratamento em ambiente hospitalar. Saúde para você!
Boa tarde Removido o 8-ku inferior (07/07/2017). O dente era horizontal e profundo. Ela colocou um pouco de gelo e dormiu algumas vezes à noite na bochecha dolorida. A bochecha começou a inchar. No terceiro dia, a temperatura subiu 38,7. Abatido. Durante os 3 dias inteiros houve uma temperatura de 38,4, etc. Abatido. Hoje (no dia 4), a bochecha ainda é grande e ficou dura, como se fosse pedra. O edema atinge o pescoço, tudo é vermelho e terrivelmente doloroso ao toque - dor aguda. Não havia temperatura. À noite, novamente às 38.0.
Após a remoção: Augmentin antibiotic - 5 d (no dia anterior à operação, comecei a beber). O médico estendeu até 7 dias, mas não pediu agendamento. Enxágüe com clorexidina - no 2º dia de cirurgia. Ela lubrificou o dente do metrólito ao longo da linha de sutura - no terceiro dia (embora o médico tenha dito no segundo dia), mas eu não conseguia colocar o dedo nele. Para eliminar as consequências do antibiótico, eu bebo lacto.
O comportamento do corpo é normal? O buraco não dói, a bochecha inchada dói, dói falar e comer.Eu mal posso comer do lado direito, é um pouco doloroso de engolir. O inchaço torna-se cor de vinho. Não cresce, mas não direi que está caindo.
Olá Sasha! Os sintomas descritos por você são bastante alarmantes e podem falar sobre o desenvolvimento de inflamação purulenta difusa (phlegmon):
1. alta temperatura;
2. Inchaço das bochechas ("duro como uma pedra");
3. O inchaço é liberado no pescoço, há uma hiperemia acentuada da pele (você indica uma cor bordô);
4. Dor ao engolir e falar;
5. Abertura de boca limitada.
Todos esses sinais indicam a presença de uma doença muito grave (fleuma do espaço submandibular, pterigomaxilar e periofaríngeo). Em tal situação, eu recomendaria chamar imediatamente uma ambulância e ir para hospitalização no Departamento de Cirurgia Oral e Maxilofacial.
Eles removeram a figura oito “mentirosa” mais baixa, mas como a ponta estava muito destruída (o dente não doeu), conseguimos passar sem serrar a mandíbula, embora tenhamos ficado mexendo por um longo tempo. Foram aplicadas 4 suturas, lavadas com clorexidina, aplicado medicamento à base de iodo. Depois que a anestesia cessou, ela começou a tremer, bebeu ibuprofeno, conforme recomendado pelo médico. Até agora, decidimos ficar sem antibióticos, para assistir, porque eu tenho um bebê.
No segundo dia da manhã, assim que o efeito antipirético terminou, a temperatura subiu novamente, chegando a 39,5 em um momento, e em poucas horas caiu para 37. A bochecha estava inchada, a sutura não doía. A boca se abriu com um esforço. No terceiro dia, a temperatura foi de 37,1-37,4, no quarto o dia inteiro foi de 37,1, e o cirurgião examinou a costura. Descobri que a sutura é consistente, não há inflamação, recomendei o desenvolvimento do músculo da bochecha para não haver contraturas.
No quinto dia, a temperatura está de alguma forma 37,5. Nada dói, a costura parece a mesma, o inchaço diminui, a boca se abre melhor. Mas a temperatura, embora pequena, não se acalma.
Enxáguei a boca depois de comer com um anti-séptico (algumas gotas de calêndula alcoólica ou própolis em um copo de água morna), mas apenas dos restos de comida, com muito cuidado para não borrar nada no buraco ali. Dissolver losangos com sálvia.
Enquanto espero, estou assistindo.
Vale a pena enxaguar a ferida com Miramistin depois de remover os 8 inferiores por 3 dias?
Olá Denis. Miramistin é um bom anti-séptico, que às vezes é prescrito após a extração do dente. No entanto, você não deve enxaguar, mas faça banhos orais para não destruir o coágulo de sangue no buraco.
Olá Na sexta-feira, os oito últimos foram removidos. O médico receitou anti-histamínicos, antibióticos e ibuprofeno por 7 dias. Nos primeiros 3 dias não houve temperatura, no quarto dia a temperatura subiu: 37,1-37,3, e não cai, a gengiva dói.
Hoje é o sétimo dia após a remoção. O médico disse que os alimentos estão entupidos (embora não haja pus) e que é necessário enxaguar. O que devo fazer com a temperatura? Não é normal que não diminua?
Olá Esta temperatura é uma conseqüência de um processo inflamatório local em um contexto de lesão. É uma ocorrência comum após uma operação de extração dentária, mas há exceções (por exemplo, quando uma temperatura alta dura vários dias seguidos). Quanto à dor dolorida, essa também é uma condição normal se não houver outros sintomas alarmantes (inchaço grave, febre alta, dor que não pode ser interrompida por analgésicos, hálito pútrido etc.).
Quanto aos alimentos entupidos no orifício - quando o orifício não tem coágulo sanguíneo, ele realmente se torna uma espécie de "cesto de lixo" para restos de comida da cavidade oral. Ela vai curar com dificuldade. Às vezes, é aconselhável formar um novo coágulo sanguíneo com anestesia, mas você pode simplesmente ajustar as recomendações prescrevendo lavagens com decocções de ervas ou outros medicamentos não irritantes. Esses problemas devem ser discutidos com seu médico.
Olá 9 dias atrás, o inferior foi removido e três dias o maxilar e a cabeça doíam. Vimos analgésicos para a noite ... Então, ao que parece, tornou-se tolerante. No sexto dia, os dentes começaram a doer nas proximidades, houve febre e temperatura de 37,2, o pus parte. Eu estava na recepção no dia 7 - eles disseram que estava tudo bem, não havia vermelhidão. Eu bebo um antibiótico e enxágüe com sal + iodo que deve pingar. Mas a temperatura não passa. Preciso limpar o buraco?
Olá Na situação descrita por você, vale a pena tirar uma foto da área problemática: suspeita-se da presença de raízes ou partes da coroa do dente deixadas no orifício. Também seria bom verificar a condição das raízes e canais de um dente adjacente ao soquete, pois pode conter um processo inflamatório oculto no contexto de destruição cariosa. De qualquer forma, a supuração por 6-7 dias após a extração do dente não é normal.
O fato de você seguir as recomendações do médico é maravilhoso. Após um diagnóstico detalhado e o estabelecimento da verdadeira causa do aumento de temperatura e supuração, será possível dizer se vale a pena fazer a curetagem do furo ou não. Na maioria das vezes, a limpeza é necessária exatamente nos casos que você descreve. Portanto, não deixe de consultar seu dentista para esclarecer a situação.
Olá. Eles removeram os oito inferiores no hospital da PMF, o dente estava no osso e, sob o sétimo dente, eles o cortaram. Estou no hospital por 6 dias, eles injetam antibióticos 3 vezes ao dia. A temperatura do almoço todos os dias é 37,0, aumenta à noite para 37,4. Abro a boca mal, a parte inferior da mandíbula entorpecida, a língua entorpecida. Ao falar, há um sentimento de que a mandíbula se afasta. Agora parece que o nariz está inchando. O médico diz que essas são as consequências da operação e tudo vai passar. Mas por 6 dias no hospital, e não há mudanças, e há dor no templo. Talvez alguém tenha enfrentado esse problema?
Olá Dada a complexidade da operação e sua invasão (a julgar pela descrição), os sintomas presentes em você são bastante naturais. A estabilização geralmente ocorre apenas algumas semanas após a intervenção.
A dormência com alta probabilidade pode estar associada a um hematoma na região do nervo mandibular, que é comprimido por ele. Isso desaparece à medida que o hematoma desaparece, geralmente no primeiro mês após a extração do dente. Sua temperatura está dentro da faixa normal para uma situação pós-traumática. Quase todo mundo tem edema após remoção complexa. Violação da abertura da boca - também ocorre frequentemente após a remoção dos oitavos dentes. Idealmente, seu médico deve escolher um conjunto de exercícios para melhorar a abertura da boca.
Quanto à dor no templo - a natureza da dor após a remoção complexa dos dentes do siso é amplamente individual. O rosto, a cabeça, as amígdalas, a orelha e a garganta de alguém podem doer. Portanto, você precisa ser paciente, seguir as recomendações do médico e as conseqüências desagradáveis desaparecerão gradualmente.
Os restos do dente do siso correram, a temperatura também foi de 37,6. Eu acho que essa é uma reação protetora do corpo, deve passar!
Em março de 2016, ele tratou cárie (em odontologia normal paga) e o dentista sugeriu tirar uma foto panorâmica e observar a condição dos dentes do siso. Descobriu-se que o oito inferior esquerdo cresce no sétimo dente - respectivamente, os oito a serem removidos (concordo completamente). MAS fiquei muito assustado com a complexidade da remoção: "Preciso de uma mini-operação inteira e de um cirurgião experiente. Em nossa clínica, não é, se você quiser, então eu tenho um bom professor no departamento, ele fará isso". Eu disse bom. E esqueci com alegria esse dente por quase 2 anos.
Em 28 de dezembro de 2017, esse dente lembrou-se de que eu não dava importância à dor e achava que tudo iria desaparecer por si só, mas não aconteceu. 1 de janeiro, escreveu ao dentista de longa data com um pedido para coordenar a operação com o professor e o custo.Aconteceu que o professor só será capaz após as férias, pois o instituto não funciona e o resultado será arrumado. Não havia tempo para esperar; por um dia eu pesqueei no google uma tonelada de informações, de acordo com as avaliações, encontrei um cirurgião maxilofacial legal. 3 de janeiro de 2018 já estou na consulta dele - acontece que eu tenho periodontite ou periostite. Em geral, um deles. Ele me receitou beber o antibiótico Ciprolet A, 7 dias, 3 comprimidos por dia. Em seguida, remova-o ou remova-o primeiro e tire uma nova foto panorâmica antes da visita.
Eu tiro uma foto em 9 de janeiro, a foto é a mesma de dois anos antes. Em 10 de janeiro, um amigo telefona e oferece seu especialista legal e o preço é muito menor, eu estava interessado nisso. Estou na recepção em 11 de janeiro. Enviei a foto ontem. Eles removeram o dente sem cortá-lo com uma broca, afrouxando (eu pensei que a mandíbula iria me quebrar, às vezes eu o segurava com a mão). Eles costuraram tudo como esperado, não me deram recomendações para sair, embora eu tenha perguntado.
36 horas se passaram desde a remoção, os seguintes sintomas: 1) dificuldade intensa para abrir a boca, 2) dor intensa ao engolir no lado da mandíbula onde o dente foi removido, 3) temperatura 37,5, 4) bochecha inchada. De manhã ligarei para o dentista que removeu o dente.
Pergunta Preciso tomar antibióticos e me preocupar com esses sintomas?
Olá Os sintomas são justificados em termos da complexidade da manipulação e de sua invasão. No entanto, uma possível tendência negativa nesse caso é melhor confirmar ou negar pelo médico assistente ou outro dentista. Quero dizer o fato de que os sintomas que você descreveu podem indicar uma complicação iminente e simplesmente podem caracterizar um grande trauma na cavidade oral, no qual há apenas uma dificuldade em abrir a boca, febre e inchaço. Quanto aos antibióticos: com grandes intervenções cirúrgicas são indicados, mas o próprio médico determina as táticas de tratamento em cada caso. Se realmente houve periostite, os antibióticos são 100% necessários. Mas, novamente, é melhor não prescrever nenhum medicamento, consulte um especialista.
Olá. Quatro dias atrás, removeu o top 6, o buraco estava sangrando por cerca de 1 dia. Então todo dia ficava cada vez melhor (a dor desaparecia). Mas nesta manhã, descobri que o buraco novamente começou a sangrar muito forte, a temperatura subiu (37,1), o buraco começou a doer e minha cabeça doía ao lado do dente rasgado. Só posso ir ao dentista na segunda-feira. Devo entrar em contato com urgência com o dentista de plantão?
Olá Por todas as indicações, você desenvolveu alveolite (inflamação do buraco). Este processo, como regra, é acompanhado por dor intensa, um odor desagradável do orifício do dente e, às vezes, um aumento da temperatura corporal. A alveolite pode provocar, incluindo sangramento tardio do buraco. Portanto, não perca tempo e consulte um médico com urgência. Quanto mais cedo o médico iniciar o tratamento da alveolite, menos dor você terá que sofrer e o curso do tratamento será mais curto.
Olá. Eu tenho dentes "ruins" desde a infância. Isso é herdado em nossa família e eu tenho quatro filhos. Eu sempre tratei meus dentes. Muitas pessoas se lembram de que, mais cedo na escola, eles me ligaram para o dentista de acordo com a revista, eu nunca recusei. Após a última gravidez, os dentes começaram a quebrar, alguns abscessos nas gengivas, nos incisivos inferiores do granuloma. Em geral, um desastre. Estou iniciando a preparação e as próteses pela terceira vez, espero chegar ao fim. Para toda a vida já removeu 13 dentes. Dez dias atrás, o complexo inferior sete foi removido (1 hora e 20 minutos). Com trituração, raio-x e sutura. E três dias atrás - os sete primeiros com três raízes longas. Agora não entendo o que mais preocupa. No maxilar inferior, ele puxa e dói.Depois de remover a parte superior, não consegui apertar fortemente o curativo, o fundo dói, uma hora e meia depois começou a tremer, e então a hora bateu para que eu não pudesse controlá-lo. O corpo estremece, a mandíbula anda com um calafrio, a mandíbula lateja alto, ela estava com medo de morder a língua. A temperatura subiu para 39, depois de duas horas a temperatura caiu.
Hoje acordei com a bochecha levemente inchada, a temperatura permanece em 37. O marido diz que o cheiro é desagradável. Um dente vizinho definitivamente tem supuração na gengiva. Perguntas atormentadoras. O que foi aquilo? Então a anestesia local partiu ou você já tinha que tocar o alarme? Talvez essa úlcera tenha atingido e foi infectada? Com que frequência os dentes podem ser removidos e quantos de uma vez? Ainda tenho muito o que remover, mas anestesia uma vez por semana, antibióticos e remédios para dor ... Quero mandíbulas bonitas, embora falsas, mas tenho medo de não suportar complicações. E tenho apenas 34 anos e logo deixarei o trabalho para cuidar de uma criança.
Olá Julia! Após a extração complexa dos dentes, o edema sempre ocorre e surgem sensações dolorosas. Você escreve que foi resfriado e "socado" - um anestésico local não é a causa de tais sintomas. Assim, o corpo tenta elevar a temperatura do corpo para combater com mais eficácia a infecção (o estresse que você sofreu também deve ser levado em consideração).
Em geral, inchaço das bochechas, febre (até 37), dor, mau hálito indicam um processo inflamatório. Eu recomendo entrar em contato com um cirurgião-dentista para um exame e a fim de esclarecer o tratamento.
Observo que em situações como a sua, às vezes é recomendável realizar um tratamento radical para resolver um problema com os dentes - remover os dentes restantes sob sedação com implante simultâneo e próteses sobre eles por um curto período de tempo (literalmente 3 dias). Em alguns casos clínicos (não todos), esta é a única decisão certa, poupando o paciente de inúmeras visitas ao dentista, ajudando a restaurar a estética, a mordida adequada e a função mastigatória.
Olá Ontem removeu o dente do siso inferior. Após 3 horas, a temperatura aumentou 38,2. Eu a derrubei. E agora esta manhã subiu para 38, também abatido. Nada dói, não está inchado. Devo entrar em pânico e ir ao dentista? Quanta temperatura ele aguenta?
Olá Anna. A temperatura geralmente aumenta após a extração do dente e é um dos sinais de inflamação (pode durar de alguns dias a uma semana ou mais). A inflamação nem sempre desaparece rapidamente por si própria e, no seu caso, uma temperatura elevada pela manhã (geralmente aumenta à noite) também é alarmante. Você não deve entrar em pânico, mas eu recomendo que você marque uma consulta com seu médico.
Em 14 de junho, um dente do siso na mandíbula inferior foi removido. A remoção foi acompanhada por uma incisão gengival e sutura. 16 de junho foi na consulta do dentista, disse que estava tudo bem. Mas eu tenho inchaço, a temperatura é mantida em 37,3. Com dor, posso abrir a boca para morder uma banana, engolir comida é acompanhada por dor, como na angina, e há dor dolorida (seja no lugar do dente anterior, ou adjacente a ele, não sei ao certo). Diga-me, esses fenômenos são normais por 2 dias após a cirurgia ou preciso soar o alarme? Agradecemos antecipadamente a sua resposta!
Olá Daria. Se a operação de extração dentária era complexa e durava muito tempo, geralmente é acompanhada de trauma significativo (geralmente durante essas operações, a membrana mucosa é cortada e o osso cortado). Nesse caso, o tecido mole ao lado do dente reage bruscamente a tal intervenção que pode provocar inchaço grave, febre, deglutição dolorosa e também dificuldade em abrir a boca.Esses fenômenos são normais no 2º dia após a extração do dente, mas aqui é importante monitorar a dinâmica - deve melhorar a cada dia. Se não houver dinâmica positiva, você deve ir ao médico para um exame sem demora.
Olá. Meu dente do siso (figura oito) estava tendo dificuldade em sair, doía. Eu fui ao dentista - eles fizeram uma seção de goma. A dor não foi embora. Eu fui novamente, e novamente uma incisão foi feita na mesma ferida ... Por 5 dias a temperatura está em 37,3, fraqueza, dor nas gengivas. É assim que deve ser? A temperatura não cai. Estou muito preocupada
Olá. Isso é possível, nesses casos, analgésicos do grupo AINE são geralmente tomados (necessários após as refeições). Se a dor e a temperatura não desaparecerem nos próximos 2 a 3 dias e a dinâmica não for positiva, você deverá visitar imediatamente o médico novamente e avaliar a condição do dente sem demora indevida. Em geral, posso dizer que nessas situações existe o risco de complicações sérias, como resultado de muitos médicos preferirem remover esses problemáticos dentes do siso o mais rápido possível. Portanto, monitore cuidadosamente o seu bem-estar e, se a condição piorar, procure o médico.
Olá. Meu dente doeu muito. De manhã me levantei, olhei para o meu rosto - um caroço apareceu. Então o dentista removeu o dente. Faz 3 dias desde então. Eu tenho uma temperatura de 37,4. O que eu faço?
Olá, Aigul. 3 dias é um período suficiente para a condição normalizar. Como isso não aconteceu, não recomendo esperar mais, é melhor consultar um médico agora - às vezes, nesses casos, é iniciada antibioticoterapia, que inclui antibióticos, probióticos, anti-histamínicos, AINEs. O médico só pode avaliar a viabilidade de tal tratamento após o exame, portanto, corra para o médico.
Olá. Faz quatro dias que eles removeram o dente do siso. Eles fizeram incisões e costuraram. A gengiva ainda dói tanto, dá para os dentes vizinhos - eu bebo Nise! Temperatura que é (37.3), então não. Você pode me dizer quantos dias isso pode doer? Você provavelmente deve ir ao médico - pelo menos antibióticos serão prescritos ou algo mais. Obrigada
Olá Tatyana. Normalmente, a dor pode persistir por 3-5 dias, depois se torna muito melhor. Se a dor não diminuir, você deve definitivamente consultar um médico para avaliar a condição do buraco e excluir possíveis riscos de alveolite e outras complicações. Na sua situação, tudo vai para o fato de você ainda precisar ir ao médico.
Eles tiraram as oito da direita no domingo, 11 de dezembro. Até quinta-feira, meus dentes, bochecha, mandíbula e garganta doíam à direita. Ainda havia uma temperatura de 37-37,5. Quinta-feira foi novamente, eles me congelaram novamente, lavaram, lavaram e colocaram uma pomada amarela. Disseram que ele ficaria calmo, receitaram um antibiótico. Mas a dor como foi, não desapareceu. Como não conseguia comer nem dormir sem analgésicos, agora dói, ainda sofro. E à noite a dor se intensifica, como se derramassem ácido, tudo queima. Na recepção apenas na segunda-feira, dia 17. Ele estava em uma clínica gratuita em Tobolsk.
É assim que acontece.
Boa tarde Há cinco dias, os seis inferiores foram removidos no contexto de exacerbação da periodontite crônica (abscesso subperiosteal). Eu bebi um antibiótico por 5 dias (Tsifran ST). O buraco cura normalmente, sem dor. Mas a temperatura ainda não volta ao normal, todos esses 5 dias de manhã são 36,6 normais e, após o almoço, aumentam para 37,0. Eu não subi acima. Isso é uma norma?
Olá Na ausência de outros sintomas desagradáveis, uma temperatura de 37,0 à tarde pode ser considerada uma opção normal por vários dias após a extração dentária.Os processos que se intensificaram no contexto da inflamação purulenta nos "seis" + inferiores após a sua remoção ainda não chegaram a nada. A temperatura na maioria dos casos de manhã é baixa e durante o dia sobe para 36,9, que é a norma. 37.0 é um tipo de valor-limite entre norma e patologia. É importante saber qual será a próxima tendência. Gradualmente (dentro de mais 2-3 dias) a temperatura deve voltar ao normal, mas se isso não acontecer - é uma ocasião para consultar um médico, apenas por precaução.
Olá. O dente foi removido ontem, a temperatura é 38,6. Com quem entrar em contato? Não quero mais ir ao meu médico.
Olá Se você não quiser entrar em contato com seu médico, sempre poderá entrar em contato imediatamente com qualquer cirurgião-dentista em quase qualquer clínica. A alta temperatura no segundo dia após a extração do dente pode indicar um processo inflamatório.
Olá. Três semanas atrás, seu dente do siso foi arrancado do marido. Após 2 semanas, ele ficou muito doente, pulsação. Temperatura 37.4. Ele não consegue dormir. Dói ao mentir. Fizemos uma tomografia, dissemos que não havia inflamação nem fragmentos. Não há edema gengival, mas na imagem a condição parecia ter sido arrancada ontem, e não há três semanas atrás. O que fazer Para onde ir
Olá Olga. Eu recomendaria entrar em contato com o Departamento de Cirurgia Dentária - para revisão da cavidade e tratamento da alveolite. Frequentemente, nessas situações, o tratamento a longo prazo é realizado com o paciente sendo tratado na turunda de iodofórmio. Isso significa que uma turunda (um curativo embebido em iodo) é colocada no orifício do dente extraído, seguida por uma diminuição no seu volume - até que o orifício seja preenchido com tecido de granulação de baixo para cima.
Hoje de manhã, removi 8 no lado direito da mandíbula. O dente estava quase na horizontal. Consequentemente, a goma foi cortada e depois foi escavada no osso por um longo tempo para enganchar e remover. Toda a operação levou cerca de 40 minutos.
Nomeação: não beba, não coma por 2 horas e depois coma e beba apenas um pouco quente. Beba analgésicos, no 2º dia, comece a tomar banhos de refrigerante. Venha visitar o dia seguinte.
Após 4 horas, o efeito da anestesia terminou e a dor infernal começou, irradiando para o ouvido e os linfonodos sob a mandíbula. Pentalgin bebeu, a dor desapareceu por 3,5 horas. Apareceram calafrios e, como resultado, a temperatura foi de 37,8. E também, uma protuberância na mandíbula inferior (me parece um hematoma, porque tem um tom azulado e dói tocá-lo).
Tomei outro comprimido de Pentalgin e, por minha própria conta e risco (o médico não receitou, e, dada a temperatura e a dor intensa, é assustador perder o tempo), fui à farmácia tomar o antibiótico Linkomycin. Bififorme, o ibuprofeno o levou, apenas no caso de a temperatura subir, e Nise.
A questão é: quanto analgésico posso beber por dia? Bebi 1 comprimido de Pentalgin às 4:30 da manhã, a anestesia foi feita às 8h e depois bebi 1 comprimido de Pentalgin às 12h e 15h30. A dor é muito forte e a temperatura não diminui do nível de 37,8. Posso beber outro Nise? Ou ibuprofeno?
Boa tarde, Galina! Nas instruções de uso de medicamentos, existe uma dose máxima, dependendo da idade e do peso. Se a dor e a temperatura não diminuirem, entre em contato com seu médico. Eu não recomendo a automedicação, para não prejudicar sua saúde e não agravar a situação.
Olá Realmente esperando por uma resposta! 7 inferior, 2 raízes foram removidas de baixo, houve uma remoção difícil. O médico arrancou um dente por cerca de 45 minutos, não de uma só vez, mas em partes. Então, no sétimo dia, fui ao dentista (durante muito tempo sofri dores no ouvido). Decidi no sétimo dia medir a temperatura - 37.
Acabou sendo um "buraco seco".Durante 4 dias, fui fazer um exame - eles o escolheram de uma nova maneira, para formar um coágulo sanguíneo. Em seguida, eles colocam um antibiótico (pomada) e bebem um antibiótico por 3 dias. Agora o dentista diz que gosta do buraco. Agora já são 11 dias e a temperatura é 37. Eu até choro, com muito medo, por quê? Quanto tempo isso pode durar após um buraco seco? Todo mundo escreve cerca de 5-7 dias, e eu já tenho 11.
Olá Mary! Às vezes, após a extração do dente, ocorre uma complicação associada à inflamação da covinha - alveolite. Dado que o médico o observa regularmente e prescreveu terapia adequada, você não deve se preocupar, principalmente por causa do tempo. Mesmo com um bom tratamento, os sintomas individuais podem persistir por até um mês.
Olá O dente do siso na mandíbula inferior foi removido, a remoção foi muito difícil (o dente é retinido, distopiado). A cura era normal, nada incomodava. Um mês depois, ela começou a doer sob a mandíbula e o pus começou a sair do chiclete que crescia. O médico limpou alguma coisa e pôs o remédio. À noite, houve uma ligeira temperatura de 37 e uma pequena bochecha inchada. De manhã, as gengivas estão um pouco inchadas, a temperatura é de 37,2 e onde o medicamento no pus lateral sai um pouco. Muito preocupada Essa condição é perigosa e eu preciso urgentemente consultar um médico?
Olá Natalya. Sim, em tal situação, é necessária uma segunda visita ao médico. É necessário fazer uma auditoria do buraco - provavelmente, será necessário tratamento com medicamentos anti-sépticos. Além disso, nesses casos, antibióticos e outras drogas são frequentemente prescritos que devem ajudar a reduzir a inflamação.