
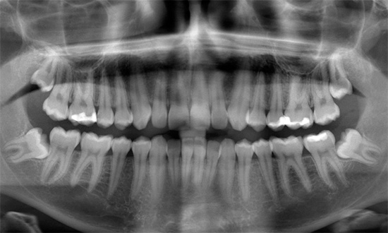
Na mandíbula inferior, os dentes do siso geralmente começam a se formar com 20 a 25 anos de idade, embora ocasionalmente entrem em erupção com 15 e 40 anos. Além disso, de acordo com vários estudos, em quase 80% dos casos, sua erupção está associada a certas complicações. Observe os problemas mais comuns devido ao aparecimento de dentes do siso na mandíbula, que geralmente provocam sua remoção:
- complicações de cárie (periodontite, periostite, osteomielite, etc.);
- má oclusão e deslocamento de dentes adjacentes (apinhamento);
- dentição difícil (pericoronite);
- a formação de cistos, tumores e várias neoplasias próximas às raízes;
- violação da estrutura e função da articulação temporomandibular;
- lesão crônica na mucosa da bochecha devido à inclinação inadequada do dente do siso, o que pode causar o desenvolvimento de uma úlcera não cicatrizante a longo prazo, que, por sua vez, pode até se transformar em um tumor maligno.

É interessante
Em 8 a 10% das pessoas, o oitavo dente não se forma e as mulheres na maioria das vezes não têm dentes do siso inferiores, e nos homens - superiores. Em aproximadamente 0,1% de todos os casos, um número maior de dentes sábios se desenvolve (basicamente seis) - geralmente ao mesmo tempo, dois dentes do siso aparecem na mandíbula superior de ambos os lados.
Para evitar sérias conseqüências associadas, por exemplo, à dentição difícil do 8º dente, sua posição incorreta na mandíbula ou destruição grave de cárie, é importante consultar um cirurgião-dentista a tempo para obter ajuda oportuna. Especialmente, são observadas sérias conseqüências quando uma pessoa ignora os problemas óbvios associados aos dentes inferiores da sabedoria.
No entanto, mesmo diretamente durante a remoção do 8º dente do fundo, certos problemas também podem surgir, levando ao desenvolvimento de complicações imediatamente após sua remoção ou algum tempo após o procedimento. Falaremos sobre todas essas nuances importantes e interessantes mais tarde ...
Dificuldades que freqüentemente surgem ao remover o dente do siso
A estrutura da mandíbula inferior possui várias características que criam muitos obstáculos para sua simples remoção na região dos oitavos dentes inferiores. Por exemplo, se o oitavo dente superior quase sempre pode ser removido com sucesso e rapidamente do início ao fim com uma pinça, nos dentes inferiores isso não pode ser feito em 80-90% dos casos.

Devido à massa e densidade do osso da mandíbula, não é possível realizar uma aderência e balanço normais do dente (especialmente em caso de dificuldade em erupção, quando apenas 20 a 30% da coroa pode estar na superfície). Mesmo com uma coroa bem definida e sem cárie, o balanço do dente do siso inferior, localizado na espessura de um osso maciço, é muito, muito problemático, especialmente quando as raízes têm o número e a localização mais imprevisíveis na mandíbula.


De fato, as dobras e as rotações das raízes podem ser as mais incríveis. Freqüentemente, o dentista tem que lidar com duas ou mais raízes dobradas em ângulos diferentes, o que dificulta a extração de um dente que foi desapertado pelo cirurgião.
Por isso, antes de executar o procedimento de remoção, pode ser necessário fazer um raio-x de diagnóstico, permitindo que o dentista-cirurgião entenda com o que ele terá que lidar. Isso ajuda a evitar erros por parte do médico e também reduz o risco de possíveis complicações pós-operatórias.

Nota
Ao remover o dente do siso, o cirurgião-dentista é frequentemente forçado a recorrer a vários truques e pode usar uma variedade de ferramentas.Muitas vezes, é impossível conviver com uma pinça, para não se surpreender e não se assustar se o médico começar literalmente a cortar seu dente em pedaços ou agarrar o cinzel e começar a bater nele ...
Possíveis consequências da remoção do 8 dente da parte inferior
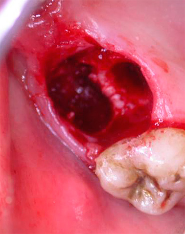
Infelizmente, mesmo depois que o dente do siso inferior já foi removido, as consequências da cirurgia experiente ainda podem ser sentidas no futuro - no entanto, uma grande superfície da ferida com tecidos rasgados em torno dele muitas vezes permanece na cavidade oral. Os problemas típicos que você pode encontrar ao mesmo tempo são sangramentos graves do orifício, aumento gradual da dor, inchaço da bochecha e gengivas, inflamação e supuração das paredes do orifício (alveolite) e outros.

Muitas pessoas sabem por experiência própria quanto tempo às vezes removem o dente do siso e que paleta de sensações após uma intervenção dessas aguarda em um futuro muito próximo. Na Internet, você pode encontrar um grande número de avaliações que mostram uma imagem bastante assustadora do próprio procedimento de remoção e não menos terrível depois dele.
Comentários:
“Eu tenho uma história triste em geral. Meu dente do siso empurrou todo mundo do canto inferior esquerdo, por causa do qual eles começaram a crescer incorretamente. Como resultado, decidi removê-lo com urgência. E isso foi o pior que já experimentei em hospitais. Eu vim para a clínica, eles anestesiaram lá, cortaram a gengiva e começaram a torcer o dente da mandíbula! Mas isso falhou. Portanto, começou a ser esmagado e gradualmente removido dos fragmentos. Horrível.
Cerca de 30 minutos eu estava definitivamente atormentado, então eles começaram a costurar. Então ela olhou no espelho no corredor - era imperdível. Rosto absolutamente contorcido, tudo estava inchado de um lado, uma contusão na bochecha. E quando o congelamento começou a passar, tudo começou a doer, o gosto constante de sangue na boca.
Acordei à noite e fiquei horrorizada - minha bochecha ficou três vezes maior, toda roxa. De manhã, corri para o mesmo médico, que também ofegou. E só depois de duas semanas ela começou a se parecer com um homem ... "
Eugene, São Petersburgo
Tudo isso, em certa medida, realmente ocorre em clínicas odontológicas. Além disso, nenhuma pessoa está segura contra os erros de um médico e as consequências relacionadas (às vezes, durante o procedimento, o médico quebra a mandíbula inferior do paciente devido a força excessiva, rasga os cantos da boca, pode deslocar o dente adjacente (7), cortar a bochecha ou a gengiva com uma ferramenta estourada, etc.)

No entanto, se houver problemas óbvios causados pelo 8º dente a partir de baixo, adie sua remoção por um período indeterminado e esperando que tudo passe de alguma forma por si só - isso é estupidez, que às vezes pode até causar a morte. Os dentes inferiores da mastigação geralmente têm uma posição específica na mandíbula: eles são cercados por tecidos bem circulados, ao redor de suas raízes e, por baixo deles, há espaços que limitam diretamente os músculos, grandes vasos e nervos. As conseqüências da infecção de propagação profunda desses espaços podem ser muito sérias e perigosas e podem representar riscos para a vida humana.
Se o dente deve ser removido de acordo com as indicações ortodônticas, esse atraso geralmente causa uma má oclusão persistente, bem como problemas no trabalho da articulação da mandíbula inferior (tudo isso no futuro pode levar a uma grave deterioração na qualidade de vida e até arruinar a carreira de alguém).

Sentir pena de um dente do siso que cria um trauma crônico na bochecha significa um desenvolvimento mais próximo de um tumor maligno no local de uma úlcera não cicatrizante (e isso é confirmado pelas estatísticas correspondentes sobre o aparecimento de câncer na região maxilofacial).
Portanto, não importa o quão assustado você esteja com amigos, parentes ou até médicos, se houver um problema associado aos dentes do siso, será necessário resolvê-lo rapidamente, sem atrasá-lo para mais tarde.
Comentários:
“Recentemente, me inscrevi na remoção do dente do siso, porque minha bochecha estava inchada por causa disso. Eu vim para o escritório municipal, lá eles mandaram um raio-x, bem, isso é como sempre. Ela levou um raio-x ao médico: ele olhou para ele intensamente por um longo tempo, depois examinou o dente na boca.E imagine, disse que você precisa urgentemente cortar um dente com a gengiva e depois - costurar a coisa toda e ir à recepção 5 ou 6 vezes até que ela cure. E ele imediatamente disse que provavelmente tudo seria ruim e doloroso, me assustou até a morte. Então eu me afastei desta esmola ...
Em geral, eles não me ajudaram lá e nem me acalmaram. Portanto, fui a uma clínica particular normal, embora não a preços tão baixos, mas então tirei um dente do siso normalmente e dei conselhos detalhados sobre o que fazer após a remoção para que o sangue não vá e não doa muito. Então agora eu queria cuspir nessas clínicas, e então havia algo mais supérfluo junto com a gengiva. "
Marianna, Samara
Sangramento grave de um buraco em um dente do siso removido
Sangramento após remover um dente do siso na mandíbula inferior ocorre com mais frequência do que quando os dentes 5, 6 ou 7 inferiores são removidos, porque ao redor do G8 há suprimento sanguíneo abundante para o tecido gengival, e a complexidade do próprio procedimento de remoção desempenha um papel importante aqui, quando os tecidos circundantes são gravemente feridos. O sangue pode não parar por muito tempo: nesses casos, o cotonete de gaze deixado pelo dentista-cirurgião no orifício está saturado com sangue.

Esse sangramento pode durar de várias horas a um dia.
Nota
O orifício pode não começar a sangrar imediatamente, mas várias horas após a extração do dente (o chamado sangramento secundário). Vamos explicar esse ponto com mais detalhes.
A remoção de um dente do siso na mandíbula inferior requer boa anestesia. Que tipo de anestésico deve ser usado nesse caso clínico é decidido pelo médico e, para obter a anestesia mais longa possível, a adrenalina geralmente é adicionada à droga, que contrai bastante os vasos sanguíneos. É por isso que imediatamente após a extração do dente, quase não há sangue no orifício: o chamado efeito “orifício seco” aparece.
Após 1-2 horas, ocorre a expansão das arteríolas e o sangramento secundário precoce. Mais tarde, pode ocorrer sangramento secundário (após alguns dias) no caso de destruição do coágulo sanguíneo, por exemplo, devido a um processo inflamatório.
O sangramento após a extração do dente pode ocorrer por razões gerais:
- com doenças associadas a distúrbios hemorrágicos;
- com o uso de anticoagulantes de ação indireta, bem como com uma overdose de anticoagulantes de ação direta, por exemplo, heparina;
- com hipertensão.

O sangramento prolongado após a remoção de um dente do siso (e qualquer outro) às vezes leva a sérias conseqüências: piora do bem-estar geral, fraqueza, tontura, diminuição da pressão, até perda de consciência. É por isso que é tão importante consultar um médico a tempo, se o sangue do orifício após a extração do dente não parar por muito tempo.
Métodos caseiros para parar o sangramento de um buraco longe de sempre dão um resultado.
Dor intensa após a extração do oitavo dente
A dor pós-operatória durante o primeiro dia é uma ocorrência normal, especialmente se você se lembrar de como às vezes é difícil remover os dentes do siso na mandíbula. Na prática, é assim: depois de algumas horas após sofrer um “congelamento” da anestesia, quase todas as pessoas sentem uma dor muito forte.

Por isso, nas recomendações do cirurgião-dentista, o primeiro item é tomar analgésicos. E quanto mais as gengivas e os ossos forem danificados, mais poderosos medicamentos para a dor que você pode precisar.
Na maioria das vezes, para evitar dores intensas após a extração do dente, é recomendável beber o primeiro comprimido 30 minutos após o procedimento. Por exemplo, um médico pode prescrever os seguintes medicamentos:
- Cetorol;
- Nimesil;
- Ketanov;
- Nise
- Nurofen
ou outros

Se o buraco continuar a doer bastante nos dias seguintes à remoção do dente do siso e essa dor for acompanhada de outros sintomas perturbadores (por exemplo, febre, abertura da boca prejudicada, odor podre da boca), você deve consultar imediatamente um dentista para obter ajuda.
Parestesia ou consequências de lesão nervosa na mandíbula
Um dos raros, mas muito desagradáveis consequências da remoção de um dente do siso parestesia de parte da face, queixo, lábio, bochecha, língua - a perda parcial ou completa de sua sensibilidade pode se tornar na mandíbula inferior. Essa complicação está associada a danos no nervo mandibular, que passa perto das raízes dos dentes do siso: se um cirurgião tocar acidentalmente um nervo durante uma operação, a pessoa poderá ter a impressão de que a anestesia não desaparece.

Em outras palavras, todos os sinais de anestesia que o paciente sente antes do procedimento para remover o dente do siso inferior permanecem depois e, às vezes, duram várias semanas ou meses, dependendo da gravidade do dano no nervo. Com uma pequena lesão do nervo mandibular, a parestesia desaparece após 1-2 semanas, e o tratamento fisioterapêutico e o uso de medicamentos especiais aceleram esse processo.
Em casos mais raros, a parestesia após a extração do dente pode persistir por meses e até ser constante.
Alveolite
Simplificando, a alveolite é a supuração do buraco, que reflete completamente a essência do processo. Ocorrência alveolite após extração dentária - este é principalmente o resultado das ações do dentista, que estão associadas não apenas à alta invasividade da operação, jogando profundamente o conteúdo infeccioso do dente cariado no buraco e deixando o "buraco seco" sem um coágulo sanguíneo normalmente formado, mas também com o fornecimento insuficiente de informações ao paciente sobre os cuidados pós-operatórios do buraco. Violando as regras de cuidados e higiene, a alveolite pode ocorrer mesmo com a remoção normal de um dente do siso na mandíbula.

A inflamação do buraco, por via de regra, é acompanhada de dor, febre, dificuldade em mastigar o lado da remoção, odor podre da boca e também um leve inchaço da face. Se a doença permanecer sem tratamento ou o tratamento for realizado incorretamente, poderá ocorrer osteomielite limitada no lugar do dente do siso inferior removido, o que causa uma violação da abertura da boca e aumento do inchaço das gengivas e bochechas.
As complicações da alveolite também podem ser abscessos com risco de vida, fleuma e linfadenite. Se ocorrerem sintomas perturbadores, procure um médico, pois os métodos de tratamento em casa são quase sempre ineficazes.
Resumindo, deve-se dizer que, apesar da certa complexidade de remover um dente do siso na mandíbula e dos riscos associados, será errado recusar a intervenção cirúrgica se houver indicações para isso. A ajuda de um médico em tais situações é realmente necessária.
Se você já experimentou, em sua própria experiência, todos os "encantos" de remover o dente do siso inferior - não deixe de deixar sua opinião na parte inferior desta página!
Um vídeo interessante sobre os dentes do siso e os problemas que eles podem levar a ...
E aqui, de fato, é a remoção de um dente do siso, parcialmente escondido sob a gengiva

Quanto a mim, é mais fácil dar à luz do que suportar tais dores!
Meu amigo cirurgião, tratando e removendo os dentes, disse uma vez, vendo minhas lágrimas e gemidos: "Você precisa dar à luz e depois deixa de ter medo" - quando ela olhou para a água, depois de um tempo deu à luz. Durante o parto, achei melhor remover imediatamente 10 dentes sem anestesia. Mas quando, novamente, depois de um tempo, fui ao dentista, pensei que era melhor dar à luz)) Tudo é de alguma forma relativo. Agora, no quarto dia, estou sofrendo de uma dor intensa na mandíbula após remover o 8-ki, o edema ainda é pequeno, mas estou sentado no cetanol. Depois de 2 dias para o cirurgião, tremendo, ele quebrou a raiz durante a remoção, colhendo lá por meia hora, removendo fragmentos; como resultado, a trituração era a mesma de quando a raiz foi quebrada. Ele disse que estava perdido nas raízes de um dente saudável, agora parece que ele o quebrou em um dente saudável, procurando por um. Em geral, horrorizado, eu não tirei a foto, já havia um abscesso, quando o superior foi removido do mesmo lado. Eles cortaram sob anestesia geral, diriam mais dois dias - e aos antepassados ... Tudo isso é terrível ((
Como você acabou? A si mesma hoje removeu os oito inferiores ... Dor infernal (
Marina, diga-me, você fez uma extração dentária sob anestesia geral? E depois disso, essas consequências?
Eu já estou atormentado no sétimo dia após remover o fundo 8. Isso é lata, eu quero comer normalmente!
Esse dente foi removido, a anestesia está se afastando. Ketorol bebeu, eu li, ficou assustador ...
24 horas atrás, eles removeram o inferior, a deglutição é terrivelmente dolorosa, como na angina, inchaço grave.
E duas horas atrás, um dente do siso foi removido para mim. Há uma sacarose com uma pequena mistura de sangue, a saliva está cheia de boca, eu cuspo constantemente na pia. E a anestesia ainda não passou. Tudo bem? O irmão mais velho (ele está estudando para ser médico, estagiário de maneira diferente) insiste que tudo vai passar, que tudo está indo como deveria. Ele está certo?
O pior cenário: dentes do siso na mandíbula inferior, na horizontal, no fundo do osso, com uma coroa apoiada nas raízes dos dentes adjacentes. Este é apenas o meu caso. Removido 1,5 horas. Não houve dor durante ou após a operação. Assustador Sim Dói? Não! Inchaço das bochechas + contusão. Desagradável, mas inevitável com uma operação complexa. O primeiro dia foi doloroso de engolir. Tudo vai embora? e passará)) As suturas curaram, o inchaço diminuiu, os problemas com um dente foram resolvidos. Permaneceu em segundo.
Parece o meu caso. Mas, como ele não estava doente, eles foram removidos de acordo com as indicações ortodônticas, com mais ou menos segurança. Só é inconveniente limpar o orifício (fossa) restante após a remoção do 8º dente imerso. Todas as vezes após comer, os resíduos ficam entupidos e dificilmente são limpos, enxaguados. O médico diz que esse buraco deve estar completamente coberto, somente quando - é desconhecido))
Tatyana, me diga como eles afrouxaram um dente, ou simplesmente o tiraram das gengivas? A gengiva foi suturada? Não dói? O dente vizinho (no qual repousa o dente do siso) não foi danificado?
Eu tenho o mesmo problema que você descreveu.
Há uma semana, removi um 8-k, confinando a raiz de um 7-ki. A remoção é complicada. Fui excluir, sabendo que mais cedo ou mais tarde eu precisaria. O cirurgião fez uma incisão, perfurou com uma broca, bateu com um martelo em um formão, arrancou um dente, colocou pontos. Cerca de 20 minutos, provavelmente, durou. Não direi que é muito assustador, mas desagradável. A anestesia é forte. Recomendações após: aplique frio a cada 2 horas por 10 minutos, banhos de clorexidina toda vez após comer, injeções por via intramuscular “movam-se” uma vez por dia durante 5 dias (porque ela se recusou a beber o antibiótico), é anti-inflamatório e analgésico. Não houve dor intensa após o término da ação da anestesia, foi um pouco doloroso de engolir.Não havia inchaço na bochecha (o frio era dado logo após a remoção), bem, ainda que um pouco e imperceptivelmente. Às vezes, a ferida dói, especialmente quando você vai para a cama (aparentemente, o sangue corre para a cabeça; acho uma posição confortável para que não doa e está tudo bem). Em princípio, está tudo bem, há desconfortos onde está a ferida, mas sem complicações. Retire os pontos após 10 dias. O cirurgião é bom, eu coloquei implantes nele há 6-7 anos atrás. Boa sorte para você
Diga-me, você sentiu dor ao remover o dente do siso e quantas injeções recebeu analgésicos? A dor foi removida ou martelada?
Olá Eu tenho a mesma história, brotou 8 na mandíbula e ao lado da raiz, sustentando o próximo dente com uma coroa ... ((A operação durou 2 horas, o cirurgião já queria quebrar a mandíbula, porque não está claro por que razões ele brotou diretamente nela. O cirurgião sofreu por um longo tempo, e fiquei horrorizada quando martelos e chaves de fenda foram usados ... Horror.
Hoje é o sexto dia após a operação. Eu fiz uma operação com fibrina - ajuda a garantir que o sangue coagule rapidamente, eles fechem a cavidade após a operação. Após a operação, é claro, com medo. Até os ombros, a clavícula doíam, as mãos tremiam, o rosto estava inchado duas vezes, a boca não podia ser aberta, a deglutição era dolorosa. Mas, em princípio, suportável. Fui prescrito conta-gotas por dois dias e antibióticos por 5 dias. Mais três desses dentes ... ((não sei se me atrevo.
Em geral, eu queria perguntar. Por favor, diga-me: tenho 6 dias, o edema estava adormecido (um pouco à esquerda), não dói de engolir, já sinto os fios. Mas o principal que me incomoda é que não consigo abrir totalmente a boca. Meu médico me disse no quinto dia que eu preciso desenvolver o músculo agora, caso contrário, ele se atrofiará e precisará esticar e rasgar. Não aguento mais ... Amanhã vou tirar os pontos, mas minha boca não abre. Diga-me, você teve isso? Agradecemos antecipadamente! Então me preocupo e acho que são apenas 6 dias, que é muito cedo para puxá-los e dói ...
Olá Não acho que a pressa nesse assunto traga resultados positivos. Desenvolva gradualmente a mandíbula inferior - esta é a principal tarefa no momento. Quanto à expansão forçada dos maxilares: tenho uma opinião diferente sobre esse assunto e acho que isso não chegará a isso.
Parece-me que você precisa dominar o básico da ginástica maxilofacial para obter rapidamente o resultado. O princípio pode ser encontrado na Internet (ou na literatura sobre odontologia), mas é aconselhável coordenar os exercícios com o dentista, você pode até com outro especialista.
Eu tive uma situação semelhante com uma abertura fraca da mandíbula ... Já se passaram dois meses desde que a removi. Só agora posso sentir minha boca aberta como antes.
Tatyana, a situação é uma com a sua, mas não senti dor no primeiro dia. Inchaço das bochechas e contusões eram. Hoje é o quarto dia após a remoção, houve um ligeiro inchaço e uma pequena contusão verde-amarela. Aliás, eles também me excluíram 1,5 horas.
Tudo não é tão assustador, o principal é uma boa anestesia e siga todas as instruções do médico.
Eu tive o dente do siso inferior removido por 3 horas! Serrado, removido em pedaços, não foi doloroso. E agora se passaram 9 dias desde a remoção, as dores são infernais, dói para mastigar, minha bochecha dói, só sei que estou tomando remédio para dor. A bochecha estava inchada, o médico disse que ele iria curar por cerca de 2-3 meses. Eu tolero.
Diga-me em detalhes o que significa "sem dor"? O cirurgião-dentista me disse que é necessário cortar a mandíbula e o dente.
Aqui revivi um desses casos. Ontem eu apaguei, à noite acordei de dor, de manhã está tudo bem. Agora eu acho como escovar os dentes))
Obrigado pela informação, eu tenho a mesma situação.
Comentário decente e adequado (de Tatyana)! Eu apoio totalmente! Talvez eu tenha tido sorte com o cirurgião? Deus conceda tais médicos a todos. Ela andou e não teve medo, puxando para a pulpite não entendeu o motivo. O dente cariado não foi levado para tratamento, pois não se encontra no eixo com os demais e não foi possível limpá-lo adequadamente. Apesar do fato de que antes disso ela removeu os oito acima, com a mandíbula inferior, eles dizem que é mais difícil, mas eu estava confortável, sem horror. No primeiro dia, bebi analgésicos para dormir. Então, por três dias, tudo estava normal. Mas depois de 4 dias eu tomo a pílula novamente, meu queixo dói. Vamos ver Eu acho que isso vai gradualmente passar.
Removido um dente do siso ontem. Quarenta minutos foram removidos por pequenos fragmentos. No dia seguinte, na hora do almoço, a temperatura subiu 38 graus e agora ainda não diminui.
Acabei de remover os oito à direita. Todo o procedimento levou uma hora. O dente foi escavado e arrancado em partes. Espero que eles não tenham deixado nada. Agora a dor é sentida, uma contusão em toda a bochecha.
Hoje, eles também tentaram remover uma figura oito horizontalmente, mas não a trituraram até o fim, o resto foi costurado. E o segundo nem saiu, fica horizontalmente na gengiva e sustenta o vizinho, tenho medo de imaginar como removê-lo, com a primeira lata ...
Li e invejo aqueles que se saíram tão bem. Fiz uma cirurgia rapidamente, cerca de 40 minutos. O problema era um dente deitado horizontalmente à direita. Ele descansou no pescoço do 7º dente com uma coroa. Tentei cortar cerca de 3. Mas a última vez que era simplesmente insuportável suportar. Ela foi remover ... Eu tinha uma gengiva na lateral e um corte por cima, martelado com um martelo, serrou a própria gengiva para salvar o 7º dente. Como resultado, 10 dias se passaram, eu estava pingando antibióticos, eu estava tomando antibióticos, 2 conta-gotas por dia, eu tomo analgésicos todas as noites, minha mandíbula dói terrivelmente, eu lavo 10 vezes por dia. A sutura foi removida, mas a incisão lateral é muito pouco cicatrizada. Não senti nada mais doloroso e doloroso. O parto, para mim, é menos doloroso e doloroso.
Eu concordo completamente com você. Após a remoção do fundo 8, não sinto dor há um mês. Eles disseram que machucaram o nervo. Fisioterapia e neuromultivite foram agora prescritas para restaurar as raízes nervosas. Já 3 semanas em analgésicos. Eu estou apavorada.
E eu vou concordar. Você ainda pode sobreviver à remoção em si, mas por quanto tempo tudo cura. Meu nervo também foi machucado, quase 4 meses se passaram, minha língua fica dormente e queima constantemente. O que ainda não foi tratado ...
A mesma história ... Parece que o nervo também foi machucado, dói muito, dispara no top 8, dá para o ouvido e a cabeça está terrivelmente quebrando. Os analgésicos voam em lotes.
Eu tenho tudo exatamente como você. Eu vou até eles todos os dias, digo que é impossível beber tantos analgésicos e sem eles é insuportável. Para mim, apenas turunds mudam e me mandam para casa. Eu já suspeito que minha mandíbula dói - talvez tenha surgido uma rachadura por golpe ((
Às 13:30 o 8 inferior foi removido, agora 22:30, o sangue ainda é visível na saliva, espero que isso não seja um sinal de complicações. A dor está presente, mas tudo é tolerante. Desejo que todos lidem com sucesso com as consequências da remoção! Bem, por alguma razão, a natureza concebeu esses problemas com 8-kami ...)
Um coágulo de sangue dentro da cavidade não é de forma alguma uma coisa ruim ou uma complicação. Nos primeiros dias após a remoção, esse coágulo sanguíneo protege a cavidade do poço contra bactérias. Em nenhum caso, não o remova; caso contrário, poderá ocorrer uma complicação. Mais tarde, o coágulo cresce no buraco. Às vezes, o crescimento completo do orifício leva vários meses, dependendo da idade e velocidade da regeneração do tecido no paciente.
Eu também sou médico. Passou por ele. Eu removi todos os 4 dentes do siso (2 na mandíbula superior, 2 na parte inferior) devido à má oclusão por recomendação de um ortodontista. A remoção ocorreu sob anestesia local e uma pequena quantidade de anestesia geral foi administrada para relaxar. Foi excluído na sala de operações. O período de reabilitação foi de 7 dias. Nos primeiros 3 dias é muito difícil devido a edema, dor e salivação excessiva. A primeira vez que as costuras eram clássicas, e a segunda vez, por coincidência, eu fiz antes do Ano Novo, porquehouve feriados e uma atmosfera festiva, eles me colocaram costuras auto-absorvíveis. Isso não é tão maravilhoso quanto me pareceu. Eles se dissolvem há muito tempo, já se passou um mês e ainda sinto desconforto na boca, as extremidades irritantes do fio (semelhante a uma linha de pesca) interferem e são sentidas na cavidade oral. O procedimento não é realmente fácil. Fui ajudado pelo desejo de um queixo bonito e saudável, um sorriso. Graças à experiência do cirurgião e seu profissionalismo, não há complicações. Nesse caso, você precisa ter muito cuidado, selecionar com cuidado um médico para remover os dentes, porque negligência pode levar a sérias conseqüências.
Informe a clínica e o médico onde você fez a remoção.
E meu conselho para quem quer curar rapidamente é enxaguar a boca com uma solução de furatsilina, clororgixidina (0,05%). Enxágüe com sal e refrigerante, permanganato de potássio (diluído em rosa brilhante; o mais importante, não exagere, para que não haja irritação na cavidade oral). O mais importante é que a boca esteja limpa. Depois de comer, você precisa escovar os dentes imediatamente e enxaguar a boca com os meios acima para acelerar a cicatrização. Eu ficaria feliz se alguém ajudasse com conselhos.
Tanto quanto eu sei, você não pode enxaguar a boca por pelo menos uma semana após a remoção, para que o coágulo de sangue permaneça no lugar. Portanto, seu conselho não é o assunto.
Certo! Eles escrevem em todos os lugares, e o médico me disse que em nenhum caso o coágulo de sangue deveria ser lavado. É uma proteção contra infecções e uma garantia de cura. Esses enxaguadores então passam com uma camada branca na ferida e não cicatrizam por muito tempo. E o fato de ser inconveniente e suportar o cheiro, não todos os dias os dentes são removidos. E outros dentes não se deteriorarão em alguns dias sem escovação completa; a cárie não é um processo tão rápido.
Você não pode enxaguar, os banhos podem ser feitos. Coloquei os implantes mais de uma vez e também tirei os dentes. O cirurgião sempre recomenda banhos com clorexidina (ou seja, não enxágüe, mas segure na boca). Eu sempre fiz isso, minha boca está limpa, até a placa nos dentes não se forma, embora você não possa escovar os dentes por vários dias. Tudo sem complicações sempre.
Quem pode ajudar com esse conselho. Você não pode enxaguar!
O médico me disse que ele costurou firmemente a ferida, então não há necessidade de ter medo de enxaguar muito.
Ontem, removi 2 dentes do siso, acima e abaixo, por recomendação de um ortodontista. À noite, após a anestesia, a dor apareceu, mas suportável, mas eu bebi nurofen. Cuspindo sangue a noite toda. Hoje de manhã há menos dor, mais força do que dor, estou sentado sem analgésicos. O sangue na saliva está quase acabando. Apenas uma bochecha e boca levemente inchadas não podem se abrir. Tomo antibióticos, conforme recomendado por um médico, e lavo a boca com solução de miramistina. Muitos amigos disseram que após a extração dentária é assustador e doloroso, provavelmente tudo depende da situação específica. Portanto, não tenha medo se alguém machuca muito, isso não significa que você terá o mesmo.
Alyona, é assustador imaginar qual de vocês é médico - você aconselha aqui. Em nenhum caso, lave a boca! É possível e necessário fazer banhos orais, isto é, preencha a boca com clorexidina ou uma solução levemente rosada de permanganato de potássio ou furatsilina e segure na lateral do orifício do dente extraído. E a sedação usada no seu caso não tem nada a ver com anestesia geral - chame uma pá de pá.
Eu concordo com você! E então todos são aconselhados a enxaguar! O dentista disse-me, em nenhum caso, para lavar ou sugar um coágulo do orifício, porque ele renasce em tecido ósseo. No segundo dia, eu já esqueci que estava excluindo meus oito.
Nos EUA, todos os cirurgiões aconselham enxaguar 24 horas após a operação, mas com cuidado e por alguma razão apenas com solução salina (embora haja muitas lavagens aqui). E escovar os dentes também. Todos os quatro dentes do siso foram removidos há um mês, sob anestesia geral - um caso complicado, todos os dentes ainda estão no osso e horizontalmente, o nervo está muito próximo, por um lado, o nervo está entre as raízes ... O inchaço era grande, a dor. Tudo correu em uma semana. Nas primeiras 48 horas em que o gelo foi aplicado, reclinado dormiu. Agora, o único problema é que a sensibilidade em um ponto do queixo ainda não retornou. Mas sabíamos que ela tinha um alto risco de tal complicação - na Rússia, o cirurgião do centro "descolado" recusou-se a removê-lo por esse motivo. Mas decidimos, no entanto, decidimos fazer em casa, encontramos um bom centro de cirurgia maxilofacial, segundo o cirurgião, tudo correu bem. Portanto, esperamos que a parestesia passe em breve. Mas agora não há aquelas dores maxilofaciais que atormentaram minha filha por causa dos dentes pressionando o nervo. Saúde para todos!
Boa tarde Diga-me, quanto tempo durou a remoção sob anestesia geral?
A remoção durou 15 a 20 minutos. Sorte. Sem suturas e sangramento. No terceiro dia, um pouco mais dolorido. Esperava o pior. Mas você precisa excluir. No segundo dia, comi bolinhos. Enxágüe com Rotokan.
Anteontem, removido na mandíbula superior à esquerda - fácil e rapidamente, sem consequências. Hoje é o fundo. Longo, perturbador. O dente desmoronou. O médico estava operando uma broca. Puxado para fora. A bochecha está inchada, é doloroso engolir. Cheguei em casa, peguei um absorvente interno e, nele, uma pequena lasca, agora estou preocupado. Consulte um médico amanhã. Das nomeações - resfriado, antibióticos, antialérgicos. Ainda não tomei analgésicos, provavelmente a anestesia funciona até agora.
Dois dentes da sabedoria foram removidos na noite anterior, não há muita dor. Mas o pior é que a temperatura atinge 39 e não cai abaixo de 37,5, e pula como um louco, não consigo dormir na segunda noite. Obviamente, fui avisado de que a temperatura poderia subir, mas sim tanto.
Meu dente 8 cresceu imperceptivelmente para mim. Ele começou a interferir, depois se separou um pouco. Eu fui na clínica, eles disseram que era necessário remover, porque eles não são tratados. Graças a Deus tudo correu bem.
Aconteceu que, aos 23 anos, todos os quatro dentes do siso saíram de mim, eu não entendo o que era para mim ... O dente inferior direito começou a se deteriorar, a cárie apareceu, um buraco. Fui ao dentista: um médico disse que o acesso é bom, você não precisa removê-lo, pode curá-lo. Porque ela começou a boca, tratou outros dentes, procurou outro dentista - disse, olhando para o meu dente sábio, que o acesso era ruim, não havia sentido em tratar, não era necessário, exclua-o. A essa altura, o buraco havia se transformado em um buraco em que tudo o que entrava na boca ficava preso e, à noite, toda a mandíbula doía.
Eu decidi não puxar, para que houvesse um buraco nos meus nervos e que (pah-pah) eu não conseguisse alcançar a inflamação. Crepe, reuniu forças, se inscreveu para remoção. Ontem tirei o dente do siso inferior à direita. Na frente do escritório, quase desmaiei, fiquei tremendo, porque Eu li todos os horrores da Internet. Histórias entraram na minha cabeça, e elas cortariam a gengiva, costurariam, esmagariam o osso e dividiriam o dente em 4 partes ...
Entrei, sorrindo histericamente, no escritório, enviado para um raio-X. Voltei ao consultório, pedi anestesia paga - eles colocaram o "ultracain". Cerca de 6 minutos se passaram, eles me ligaram de volta, colocaram ele em uma cadeira, o cirurgião estava atrás de mim, pegou um instrumento parecido com uma chave de fenda, não senti dor, mas tanta pressão no osso. Eu só queria apertar os olhos, então ele se arrastou para a boca com a segunda mão e puxou todo o meu enorme dente do siso, com raízes e buracos enormes, em que enquanto ele estava na minha boca, tudo estava preso)
Fiquei surpreso, disse: “Isso é tudo?”, Ele disse: “Se eu ainda posso, posso!”. Em geral, ele removeu o dente para mim em cerca de 40 segundos, fiquei feliz por um segundo raio-x.Depois que disseram que estava tudo bem, não fiquem doentes, melhoraram, deram um lembrete, disseram para comprar o Nimesil na farmácia e beber ao chegar em casa. Comprei o Nimesil, bebi ali mesmo, peguei um pedaço de carne do freezer, coloquei na minha bochecha e me sentei em antecipação à dor após a remoção, descrita de maneira tão violenta na Internet. A anestesia se foi, a dor não apareceu. Ela dormia à noite por todos os lados do rosto, acordava de manhã e ia para o espelho: sem dor, sem inchaço, agora vou comer))
Não sei, não quero pecar na Internet com suas histórias infernais e horríveis - aparentemente, tudo é individual. Quando me levantei de uma cadeira, olhei para o dente no banho, suas raízes eram largas e gordas, mas mesmo. Aparentemente, é por isso que tudo correu bem, sem complicações, e acho que o cirurgião se deparou com quem conhece seu trabalho.
Em geral, o que estou levando a: pessoas, não adie a remoção, em nenhum caso tenha medo, tudo vai individualmente para todos. Todos os artigos escritos na Internet são escritos em termos gerais, não leve tudo consigo mesmo. Eles farão um raio-x e o cirurgião avaliará toda a sua situação, faça-o corretamente. É melhor tolerar um pouco do que matar o estômago com analgésicos, na expectativa de que o dente do siso não o machuque mais e o incomode, não o agrave) Sorrisos bons e saudáveis!
Obrigada
Diga-me, de que cidade você é? E em qual clínica, qual médico foi removido? Eu também quero que tudo corra tão bem.
Gerda, certamente tudo é assim, mas vale a pena esclarecer e esclarecer: seu dente já cresceu, então tudo saiu com tanta facilidade e rapidez. Mas! Se o dente ainda estiver embaixo da gengiva ou apenas começar a entrar em erupção, é tão fácil não se livrar. Eles cortam 100% da gengiva e a retiram por um longo tempo (o inferior, com certeza), para que seu comentário encorajador possa tranquilizar apenas aqueles que já cresceram ou quase cresceram dentes. O resto só pode desejar coragem e coragem! )))
Eu concordo completamente com você. Eu tenho uma história quase como você tinha. O dente do siso não doeu por baixo, mas depois que um pedaço se partiu, ela correu para o hospital para tratamento. O médico o perfurou bem e o enviou para raio-x. Ela disse ainda que é melhor removê-lo. Enviado ao cirurgião. O cirurgião olhou e disse que a remoção seria muito difícil e longa e que eu voltaria no dia seguinte e pela manhã. Eu tinha medo de passar uma semana. Então eu me reuni e fui. Pedi o registro para outro cirurgião experiente. Eu vim. Feito a meu pedido um congelamento de importação. A cirurgiã tentou balançá-lo, depois bateu três vezes com um cinzel e arrancou em pedaços. Eu não senti dor. O tempo de remoção levou cerca de 30 minutos e eles colocaram alguns remédios na ferida, prescrevendo antibióticos por cinco dias em combinação com analgésicos e antialérgicos. Ela deixou o hospital satisfeito. Por três dias, eu ainda sentia um estado desconfortável na boca. Por duas semanas, senti todos os meus dentes - eles doíam. Está tudo bem agora.
Esqueci de dizer que, após a remoção, recebi uma bolsa de gelo e, portanto, não havia inchaço na bochecha e hematoma.
Hoje eu já removi 3 dentes do siso. Tudo está indo bem. Eu aconselho você a seguir as regras: não deixe de comer antes da microoperação (por hora). Após a remoção, certifique-se de colocar um resfriado (o inchaço será pequeno). Não beba ou coma por 2 horas. Em caso de dor intensa, beba analgésicos. Após 2-3 horas, coma. Apenas alimentos não sólidos, frios e quentes - é impossível. Eu não aconselho enxaguar, é possível lavar o coágulo formado após a remoção. Evite banhos quentes, correntes de ar e hipotermia. Tente dormir e fale menos. Em nenhum caso, não aplique quente! Tente não se deitar do lado onde estava a remoção. Tente deixar de beber e fumar! E não se esqueça de ir para uma segunda consulta com um médico. Em geral, com os devidos cuidados, a cura leva de 2 a 3 dias. Demore um pouco e tudo vai dar certo!
O oitavo e o sétimo dente foram removidos de uma só vez pela inutilidade e impossibilidade de seu tratamento. Um médico, um profissional, um especialista, removeu os dois dentes por dois minutos, não houve dor, então houve uma sensação desagradável devido à pressão no ombro e na mandíbula, embora as raízes estivessem arrancadas. Por recomendação, ele comeu três horas após a remoção, eles disseram que não podiam enxaguar. Quatro horas após a remoção, as gengivas (mandíbula) começaram a doer, Nise bebeu, a dor desapareceu. Fui dormir, dormi a noite toda sem problemas, levantei-me de manhã, não dói. Para o segundo dia, as consequências da remoção - desconforto na área de remoção, a ausência de dois dentes enormes. O que vai acontecer a seguir, não sei, vou esperar. Espero ter sorte!
Há duas semanas, o dente do siso foi removido abaixo, a remoção foi fácil, o dente acabou tendo uma raiz longa, como uma cenoura. Colocaram turunda com o remédio, retiraram-no três dias depois, o médico disse que estava tudo bem, enxágüe com infusões de ervas. Na primeira semana, fiquei muito doente, vivi em cetorol, segui todas as recomendações do médico. Na segunda semana, doía e escorria um pouco de sangue, o gosto de sangue na minha boca foi sentido. Depois de 2 semanas, fui ao médico, eles disseram que eu tinha que vir mais cedo, lavou o buraco, novamente coloque a turunda no dente, em dois dias para se aproximar. O dente dói, antibióticos não são prescritos. Quanto mais aguentar, eu não sei.
Olá Anna! À primeira vista, estamos falando claramente sobre alveolite, ou seja, inflamação purulenta do buraco. Esta terapia medicamentosa me parece doentia. É importante tirar fotos e determinar se há fatores provocativos: fragmentos de raízes, bordas afiadas da mandíbula, etc. Se tudo estiver limpo, o princípio do tratamento deve ser mudado: pare de instalar turunds com remédios e cure bem o poço, forme um coágulo de sangue e (de acordo com as indicações) sutura, reduzindo o tamanho da ferida.
2 semanas de dor definitivamente não são a norma. Meu conselho pessoal: vá a outra clínica e descubra as verdadeiras causas do problema de cura. Se as táticas do médico ainda estivessem dentro da estrutura da formação de um coágulo sem turundas e casacos no buraco, seria bom.
Não posso deixar de dizer que seria ótimo para um dentista verificar o sétimo dente adjacente ao dente do siso removido quanto à presença de uma cavidade cariosa e (ou) inflamação do "nervo". Não procure uma conexão entre a extração e o problema com o dente remanescente, isso pode ser uma causa independente de dor, embora raramente em termos de coincidência.
Tirei o 8º na mandíbula inferior do fundo. Torturado por 15-20 minutos. Seria melhor dar à luz novamente! 5 dias se passaram. Não há tumor e a temperatura é normal, mas todo o lado esquerdo dói, a dor dá ao templo, glândula, orelha e nuca, como ocorre com uma enxaqueca. Não consigo abrir totalmente a boca. Os dois primeiros dias colocaram um curativo com remédios amarelos no buraco.
Ontem tirei o dente do siso inferior à esquerda. O edema ainda não diminuiu. Dói engolir e a temperatura é 37. Isso é normal?
Olá O edema, dependendo do "tamanho" inicial, pode desaparecer por vários dias - isso é normal. Às vezes, é realmente difícil engolir, para a extração dos dentes inferiores isso é bastante típico. Você também deve escrever que dói abrir a boca, pois na área em que o dente do siso está localizado, esses tecidos aparecem.
A temperatura 37 é uma conseqüência do processo inflamatório local no contexto da remoção, uma reação normal do corpo à "ferida". Além disso, pelo que entendi, você já tinha inchaço na cadeira do dentista.
Em geral, na questão de curar os orifícios após a remoção dos dentes do siso, as consultas por correspondência são uma medida arriscada, pois é melhor examinar cuidadosamente tudo quanto à condição da ferida, tecidos circundantes, mandíbula, gânglios linfáticos etc. até o exame de sangue.Portanto, é melhor obter pelo menos uma consulta ao vivo de acompanhamento com seu médico - e você já estará dormindo.
Tudo o que está escrito neste artigo é sobre mim! Eu sobrevivi a isso (quase), removi 1 dente do siso na mandíbula - tudo curou com sucesso e depois de 10 dias no outro lado 2 dentes imediatamente, de cima e depois de baixo. A remoção durou 1,5 horas ... Foi um pesadelo ((a contusão não era grande, a bochecha estava inchada, mas não terrivelmente, mas o nervo estava danificado e agora não sinto metade da língua, queixo e lábios. A dor na área do queixo é terrível, mas não constante) Espero até que passe (duas semanas já. Vi analgésicos e antibióticos.
Olá. Diga-me, por favor, sua língua ficou dormente? Eu também fiz uma cirurgia há uma semana, mas não sinto metade da língua. Milgamma foi prescrito para facada por 10 dias. Só que agora estou muito preocupado, mas e se não passar? Na Internet, eles escrevem sobre isso para que seja assustador de ler, que há anos a dormência do idioma não passa.
Uma semana depois de remover o oitavo dente inferior esquerdo, bebi ibuprome, que ajudou literalmente por cerca de duas horas.Eu sempre ouvia o cheiro de pus, um tiro no ouvido, uma ferida na mandíbula, pensei que nunca iria acabar. Mas depois de duas semanas a dor parou, o pus desapareceu. E a enxaqueca que me atormentou por muitos anos apenas me lembra um pouco de mim mesma. Então, todos boa sorte e paciência!
16 dias atrás removeu o fundo de 8 ku. Antes desta semana, o chiclete doía lá, parecia-me. No exame, eles não notaram imediatamente cárie cervical aos 8 anos e recomendaram a remoção. Excluído no dia seguinte sem problemas. O dente saiu bem, tinha três raízes, suturado. No entanto, cinco dias após isso, a dor foi intensa em toda a mandíbula até a parte inferior frontal, houve um sabor residual de pus. Bebeu analgin e Nise. Lavado com clorexidina.
Eu vim ao médico. Ele removeu a sutura e disse que estava tudo bem, mas eu misturei o gosto do pus e o próprio pus com o remédio (?). No dia seguinte, de manhã, cuspi, como eu o entendo, um coágulo que havia caído de um buraco à noite. Nos 4 dias seguintes, a dor aumentou e começou a ceder ao templo, a cabeça doía, havia fraqueza. Eu vim ao médico mais próximo, não a um cirurgião. Ela diagnosticou a alveolite, tirou uma foto, disse que a gengiva estava limpa, fez curetagem, colocou um curativo (?).
A dor na área do buraco diminuiu, mas a dor sob a bochecha (gânglios linfáticos?) E nenhuma dor forte na gengiva dos dentes anteriores inferiores começou a aparecer. Também chamou a atenção para taquicardia. Às vezes, na região de 4-5 no queixo, há uma sensação de frio, como no início da anestesia e depois, quando o congelamento desaparece. A dor no buraco parou, eu não tomo mais analgésicos. Três dias depois, o curativo caiu, cheirava a dentes podres, havia um cheiro e cheiro de pus. Todo esse tempo, fraqueza e taquicardia permaneceram. Mais uma vez vim ao cirurgião. Ele realizou curetagem novamente com a formação de um novo coágulo. Melhorou, mas a taquicardia desapareceu apenas no dia seguinte e a pressão aumentou. Eu pratico esportes, sigo o pulso e chamei a atenção para minha condição, e a pressão é algo inesperado para mim em geral. Eu tive que pegar o tonômetro da minha mãe!
Nunca houve uma temperatura o tempo todo. Nada inchado e inchado. As gengivas são rosa, comuns. Hoje é o terceiro dia após a última curetagem. Pela primeira vez, saúde normal, energia. Mas a dor é uma espécie de perambulação ao longo da gengiva inferior, as dores aparecem e desaparecem na região de 4-2. Também dor sob a bochecha na região de 4 (linfonodo?), Sensação de frio no queixo e lábio no mesmo local. Normalmente, eu me sinto assim no início, quando eles dão uma injeção para tratar os 7-8 inferiores e quando a anestesia termina. De qualquer maneira, o sabor é amargo na boca. Espero que este seja um gosto de clorexidina. Isso é uma preocupação. O médico diz que isso não está relacionado à remoção. E qual a razão disso?
Olá Dmitry! Um "sentimento de frio" ou dormência é o resultado da curetagem, mas a culpa do médico é mínima.O fato é que, para salvar o paciente do tormento, às vezes é necessária uma curetagem profunda da ferida: você nunca sabe, de repente houve um granuloma - deu um processo inflamatório. A curetagem profunda causou danos menores no próprio nervo mandibular ou foi o efeito de um hematoma que apertou levemente o nervo.
Após o procedimento de implantação dos dentes na mandíbula inferior, implantologistas experientes alertam que, por algum tempo, devido à penetração do sangue pelos espaços da medula óssea, ocorrerá dormência temporária da mandíbula devido à compressão do nervo. Isso dura em média 1-2 semanas, às vezes mais.
O sabor amargo é o resultado do tratamento medicamentoso do buraco. O buraco pode estar "saturado" com drogas, e psicologicamente você é extremamente sensível à sua condição.
Eu acho que você pode consultar o terapeuta local sobre o estado geral e o dentista sobre o buraco, mas em termos gerais: a dinâmica é positiva, mas a dormência e os "gostos" são uma questão de tempo. Eu acho que você mesmo não notará como sua condição volta ao normal e você retornará à vida normal (se ainda não tiver retornado). Desejo-lhe uma solução rápida para todos os problemas!
Obrigado, Svyatoslav Gennadievich.
Hoje removemos o dente do siso inferior à direita. Não doeu nada. Mas como a anestesia partiu, isso é algum tipo de pesadelo. Só agora senti que minha bochecha estava rasgada, a gengiva vizinha e o buraco foram suturados ... não posso comer nem beber. Não sei o que acontecerá a seguir.
28/04/2016, removeu o 8 inferior, que estava mentindo. O procedimento levou cerca de uma hora. Eles cortaram as gengivas, envolveram a broca, puxaram as peças. Foi prescrito antibiótico e enxaguado com furacilina com sal e nimida. Nos 2 dias seguintes houve uma temperatura de 37,8, a bochecha estava inchada. A dor é tal que você pode escalar a parede, economiza cetanos e nimesil. Hoje, no terceiro dia, não havia temperatura, mas a dor permaneceu e o sabor do pus do buraco na boca. Eu olhei no espelho - não sei por que, mas as gengivas de um lado do buraco são brancas, até amareladas. A dor não desaparece. Há mais 2 férias de Páscoa pela frente. Eu não sei o que fazer
Olá Sergey! Penso que uma reação tão violenta foi resultado de grandes ferimentos: danos nas bordas da ferida, grande perda óssea, deixando fragmentos e, possivelmente, a formação de um bom coágulo sanguíneo. No futuro, o corpo começou a lidar com essa situação (principalmente com a ajuda de medicamentos). A dor no poço com essa remoção pode persistir por um longo tempo, mas esse não é um motivo para pensar em alveolite. A alveolite prossegue, no entanto, quase sempre de forma aguda, ou seja, existem muitos sinais que permitem o diagnóstico. Se você tiver uma reação aguda, entre em contato com o cirurgião dentista de plantão para o tratamento da alveolite. De suas palavras, não existem tais sinais agora. Se você suspeitar de outra coisa (existe uma desconfiança do médico: excluiu tudo ou não), você pode entrar em contato imediatamente com o dentista, mas isso não será interpretado como atendimento de emergência, embora o médico seja obrigado a aceitá-lo em qualquer caso. Saúde para você!
Removido o fundo horizontal oito. Tudo correu sem complicações. Mas, recentemente, notei desconforto na gengiva no local do dente extraído. A gengiva corou um pouco e parecia um canto de um osso rompendo uma gengiva. O que poderia ser?
Olá Eu acho que estamos falando sobre a borda afiada do osso no buraco, ou exostose. No processo de remoção, ocorre uma intervenção traumática que afeta o tecido ósseo. Às vezes, depois de fazer uma ferida, erros são cometidos associados a deixar as bordas afiadas do osso; portanto, ao curar as gengivas, esse osso começa a ser sentido. Eu acho que é aconselhável consultar o seu médico para corrigir o "crescimento" sob anestesia. Caso contrário, levará muito tempo para suportar um buraco de cura atípica.Afinal, o tecido ósseo pode "absorver" por tempo suficiente - de 6 meses a um ano.
Obrigada "O tecido ósseo pode ser absorvido por tempo suficiente ..." - existe uma chance de que possa passar sozinho depois?
Olá Elena! Então você se apegou corajosamente à esperança de não ir ao médico e mais uma vez não incomodá-lo "por nada". Se um fragmento dos alvéolos foi deixado, muitas vezes ele é "removido", sem a ajuda de um médico. É verdade que até este último momento, pode interferir por um longo tempo.
Se estamos falando de um osso afiado que não foi lixado e a gengiva não o cobre agora, então a probabilidade de que a gengiva, no entanto, aperte essa imperfeição, é claro. Além disso, no final da dentição existem muitas dobras e uma boa espessura de tecidos para resolver esse problema.
Parece-me que você, Elena, me quer, sem vê-lo na cadeira do dentista, para abençoar a espera do tempo à beira-mar e esperar o melhor. Posso dizer que existem tantos casos incríveis de cárie dentária indolor na raiz e quase uma perda independente de dente, pois há opções para entrar na mesa cirúrgica devido a edema derramado de um dente doente. Isso é raro, mas adequadamente. Há apenas uma pequena, mas a probabilidade de que, se eu disser agora que você não precisa ir a lugar algum, espere até que o chiclete cubra algo afiado no buraco, em alguns meses eu posso me mostrar um charlatão. Mesmo a probabilidade disso é de apenas 1 a 5%.
Há uma semana, os oito últimos foram removidos. E aqui estou atormentado por uma semana. Terrível dor nas gengivas e dentes adjacentes. A boca praticamente não abre. Eu bebo analgésicos, lave com água morna e refrigerante. Hoje, ao que parece, ficou mais fácil, pelo menos ela dormia à noite. Quando esse horror terminará.
Olá Penso que vale a pena consultar um dentista para aconselhamento (é melhor tratar o seu médico), uma vez que o tormento pode estar associado a uma violação de um coágulo sanguíneo. Como resultado, uma alveolite ou supuração do buraco se formou, o que causa dor. De qualquer forma, o médico, com base no estado da ferida, ajustará a consulta e o processo de cicatrização já deverá ser mais confortável.
Olá pessoal! Quero compartilhar meus sentimentos após a remoção do oitavo dente inferior da sabedoria ... Hoje é exatamente uma semana após a remoção, mas me sinto cada vez pior. As dores são infernais, estou sentado em analgésicos e há pouco uso. A mandíbula, a orelha e a garganta estão doloridas. O queixo, parte da bochecha e os dentes inferiores estavam dormentes. Visitei o médico após a remoção, disse que essas complicações estão relacionadas ao fato de o nervo ter sido ferido durante a remoção e o próprio buraco cicatrizar normalmente.
O mais interessante é que você ainda precisa remover o canto superior direito, mas acho que em breve não decidirei sobre essa tortura ...
Parece que você lê que tudo é tão fácil e não tão doloroso. O primeiro dente do siso subiu aos 15 anos e depois todos os outros. A coisa mais interessante começou quando o último (quarto) saiu, o primeiro dente do siso começou a desmoronar - teve que ser removido. Após 1,5 anos - o segundo de cima! Após 2 anos - canto inferior direito. Duas injeções, cortadas em pedaços de goma, um dia de fome! Há quatro dias, tive que ir ao médico, porque as dores se tornaram insuportáveis, o que veio a acontecer nos finais de semana de maio. A princípio, parecia que o ouvido estava inflamado. Ela começou a curar, não desapareceu e, em seguida, bruscamente, o queixo inteiro começou a doer infernalmente. No raio-x, eles viram inflamação daquela infeliz figura oito à esquerda, é urgente remover! E começou. Duas injeções, o médico iniciou a operação, o dente se desfaz, as raízes não se prestam ao fórceps, a broca se foi! Fure um pouco, retire a raiz um pouco, corte a gengiva e fure novamente, e assim por 1,5 horas! Todas as pinças e pinças que estavam no departamento do dentista visitaram minha boca. Uma das raízes cresceu na mandíbula inferior e parecia um saxofone em forma.Não sei dizer exatamente quanto esforço ele dedicou, mas como resultado: um lábio irregular, um dente vizinho rachado nos dois lados, ligamentos torcidos da mandíbula, restos de gengiva e uma sensação entorpecida da mandíbula inferior, porque o buraco no nervo é afetado. O resultado é deplorável, eu vou lhe dizer.
14/05/2016 removeu os oito últimos. Eles tiveram dupla anestesia, uma vez que não foi realizada. A princípio, o dente foi balançado, mas ele não saiu. Eu tive que puxar com uma pinça e ele saiu. A dor não foi sentida. O médico disse que um dia não enxágüe a boca e depois com uma solução de refrigerante e sal. A anestesia começou a diminuir após 8 horas. O queixo começou a doer. Bebeu Nise, viveu em silêncio por 12 horas. Então, novamente, dor, temperatura 37,5 C. É impossível dormir, bebeu tempalgin e adormeceu. Depois de 12 horas, novamente, a dor bebeu Nise e trabalhou em silêncio. O buraco no dente é branco. Quando a dor desaparece, eu não sei. Enquanto eu bebo analgésicos.
Eu li muitos comentários aqui ... Horror sozinho. Precisamos ir ao médico amanhã, retire o fundo 8. Muito medo de complicações.
Bom dia 26/05/16 removeu 8 inferiores, localizados nos trapos ósseos. O cirurgião, de alguma forma, puxou-o de lado, a operação durou 1 hora, removeu a parte superior do dente e não pôde, ele disse que tudo ficaria bem. No final da operação, é claro que era doentio, vi no rosto da enfermeira o que eu tinha na boca. O remédio foi derramado na ferida, costurado. Não como por três dias, apenas tomo chá, minha bochecha e linfonodo estão inchados, a temperatura não sobe mais do que 37,5. Eu digo por mim mesmo: antes de ir, escolha um bom cirurgião! O dilema está agora com as raízes: se removido, depois sob anestesia geral, o que realmente não quero.
Olá Dmitry! Se o cirurgião não criou as raízes como resultado, isso pode terminar mal. Tire uma foto do buraco para controlar a qualidade da extração dentária e consulte um cirurgião maxilofacial profissional. Estou certo de que um bom especialista pode concluir esta operação corretamente. Como se suas palavras foram "escritas corretamente", nem deixar raízes, nem dor durante a cirurgia, nem trauma excessivo da intervenção são sinais de trabalho profissional. Posso dizer que a anestesia no seu caso é uma opção extrema. Acho que você não quer controlar a situação. Mas a anestesia não dará essa oportunidade e está repleta de riscos. A julgar por você, você é capaz de avaliar a situação sobriamente, e só precisa encontrar um cirurgião popular em sua área que faça a remoção de qualquer complexidade. Apenas confie não em publicidade abrangente, mas em críticas sensatas: melhor do que amigos, parentes e amigos íntimos.
Olá Eles removeram o 8-ku inferior, deitado de lado na gengiva, descansando contra o 7-ku. A operação durou cerca de uma hora, as raízes desintegradas - removidas em partes. No final, eles costuraram. Prescrito para beber o antibiótico Amoxiclav 2 vezes ao dia, anestesie o Nise 2 vezes ao dia e aplique a pasta Solcoseryl após as refeições. Imediatamente no primeiro dia, a bochecha estava inchada, mas não havia muita dor, moderada, a boca não se abriu bem. Não sangrou, mas após a primeira tentativa de colocar a pasta Solcoseryl nas costuras - começou a sangrar, manchada de pasta, ao que parece, parou. Mas ela decidiu não manchar com pasta, com medo de danificar as costuras. No dia seguinte, a bochecha estava inchada com mais força, não sangrava, não havia dor - um pouco começou a doer apenas à noite. No terceiro dia, ficou ainda mais inchado (já passava pelo pescoço) e começou a sangrar pouco a pouco durante o dia - ou eu não entendi as costuras do lado ou do buraco, não consegui distinguir o buraco, está costurado e minha boca não abre muito. Não há dor por dentro, às vezes dói, mas não por muito tempo. As costuras doem mais - elas de alguma forma picam e beliscam (os fios não são absorvíveis por si mesmos, comuns). Não sei o que vai acontecer amanhã. Por que o inchaço e o sangramento podem aumentar? Não dói praticamente. Devo continuar a usar a pasta Solcoseryl?
Olá Se houver edema significativo, existem dores e suspeitas de discrepâncias nas suturas, entre em contato imediatamente com seu médico e resolva todos os problemas disputados durante o exame. Como regra, os cirurgiões-dentistas sempre alertam após a remoção atípica (especialmente) de que qualquer desvio do processo normal de cicatrização é uma ocasião a ser examinada por um médico.
É por isso que não tenho o direito de cancelar o Solcoseryl para você, mas será útil corrigir o tratamento nesse contexto para o médico assistente com base nos resultados do exame e palpação do edema. Se o médico não conseguir aliviar as conseqüências da remoção complexa, mesmo com uma consulta presencial, você pode precisar de ajuda urgente do cirurgião maxilofacial em outra clínica, onde ele realiza as operações mais complexas e conduz pacientes "complexos". Não assusto você com antecedência, mas enfatizo o máximo possível.
Obrigado pela resposta! Foi no médico, disse que tudo está normal, não está sangrando pelo buraco, mas pela mucosa. O inchaço começou a desaparecer, um hematoma amarelo apareceu em sua bochecha. Tornou-se menos sangue, mas preocupa-se que a boca não se abra muito, talvez por causa das costuras.
Removidos os oito primeiros. Um buraco no dente se formou. Pensado para tratar. Então ele lembrou que era necessário perfurar, remover o nervo, selar, tirar fotos. Eu pensei, bem, nafig. Um dente é o mais desnecessário, pois o fundo não tem mais oito anos. E excluiu. Rápido, sem dor. Garota e não.
Olá. Interessado na pergunta: após a remoção da figura oito, como a operação ou os medicamentos (aumento de nimida, loratadina) tomados alteram o testemunho de sangue e urina? A operação foi na quarta-feira, os testes devem ser aprovados na segunda-feira. E o que pode ser feito para normalizar rapidamente o testemunho de um exame de sangue? Obrigada
Olá Peter! Os medicamentos listados têm efeitos colaterais em relação às alterações nas contagens de sangue e urina. Quanto à operação em si, por 5 dias, os indicadores com cicatrização normal do furo podem retornar ao normal. É impossível acelerar a normalização das análises tomando drogas. No entanto, esses medicamentos nem sempre podem estragar os testes. Eu acho que você deve consultar o seu médico e ajustar a entrega dos testes: mova-os 7 a 10 dias depois da data prevista.
Eu li todos os tipos de críticas e tinha medo de fogo. Quando ele procurou o cirurgião, ele disse que primeiro a parte superior e depois a parte inferior. A remoção dos superiores foi sem efeitos colaterais. Ontem, o dente do siso na mandíbula inferior foi removido, o procedimento não é agradável (comparado à remoção dos dentes superiores), mas você pode viver! Faltando 2 horas da anestesia, foi doloroso, mas suportável. Na manhã seguinte, meu chiclete não dói, a única coisa é que minha garganta está muito dolorida e dá um pouco no ouvido. E então tudo é muito maravilhoso e não assustador)
Esta manhã removeu o dente do siso. O médico disse que o dente não era leve, semi-reforçado, crescendo na bochecha. Bolso sobre o dente periodicamente inflamado - lavado com miramistina. Mas, após uma escovação higiênica, o bolso ficou inflamado e agarrou sua garganta e orelha. Eu decidi que tinha o suficiente dessa sintomatologia. Ela estava tremendo na frente do escritório antes de desmaiar)) Eu sabia que tinha um bom médico, de acordo com as avaliações, mas ainda não conseguia lidar com o tremor. O dentista pega o dente com uma chave de fenda por um longo tempo, depois com uma pinça, novamente com uma chave de fenda, pinça e assim por diante, abordagens 7-8. Não ouvi nenhum ruído (li que era uma ocorrência frequente), mas no processo meu ouvido começou a doer. E agora, voila, minha deusa da odontologia a retirou - não se partiu, inteira, pequena. De acordo com as recomendações apenas Nise. Ela voltou para casa e imediatamente colocou carne picada congelada na bochecha. Depois de algumas horas, a anestesia começou a diminuir, senti como tudo queimava por dentro - bateu Nise -, ficou mais fácil. O buraco é rosado. Não há coágulo no buraco. Espero que tudo esteja seguro. Muito orgulhoso de mim agora.Bem, e o médico dele, é claro. Escolha um bom especialista e não tenha medo 🙂
Hoje meu dente inferior foi removido - após 2 horas a temperatura e os calafrios aumentaram. Durou as 3 horas - não conseguiu aquecer e depois adormeceu, uma hora e meia - e a temperatura caiu. No começo eu estava com medo, mas acabou que isso era normal. Agora já estou sorrindo.
Removidos os 8 inferiores à direita há 5 dias. O tumor passou no terceiro dia. Não dói, não sangra. Foi no exame médico - tudo está normal. Mas hoje o chão do lábio e o queixo estão dormentes. Tudo bem?
Olá Eu acho que isso é resultado de um hematoma na área de extração dentária, que se espalhou para o canal mandibular, no qual o nervo mandibular passa. Como resultado, houve compressão e perda de sensibilidade. Com graves danos nos nervos durante a cirurgia, a dormência ocorre, em regra, quase imediatamente. Às vezes, mesmo com ferimentos leves, a "anestesia" não passa após 3 horas, ou após 6, ou em 5-15 dias ...
Contacte o seu médico para confirmar o diagnóstico.
Hoje é o sétimo dia em que fui removido 8 - uma operação complexa durou 60 minutos, cortou a gengiva, serrou a mandíbula com uma broca, torceu o dente. Eu terminei de beber antibióticos, os pontos ainda não foram removidos. Não havia temperatura e não havia, o tumor diminuiu, mas a mandíbula na parte inferior está muito dolorida e a dor é dada na mandíbula superior e na orelha no lado esquerdo. Eu tomo analgésicos 2-3 comprimidos por dia, o suficiente para 6-8 horas. Quando a dor desaparecerá? Isso é assustador.
Olá Penso que a alveolite, como um processo inflamatório no buraco, ainda não perdeu força, mas não faz sentido falar de algo sério sem um exame preliminar da superfície da ferida e do estado de cicatrização do buraco. Não deixe de consultar o seu dentista para uma consulta em tempo integral, pois o tratamento medicamentoso iniciado oportunamente com alveolite melhora a condição e também evita complicações. A dor aguda normal por 4-5 dias após a extração dentária definitivamente não deve ser. Em geral, analgésicos não são aceitos no segundo dia. Em casos extremos, no terceiro dia, quase todos os pacientes do cirurgião ficam sem analgésicos. É por isso que seu caso deve ser considerado individualmente em uma clínica com um médico.
Boa noite a todos! Há um ano e meio, os dois dentes do siso foram removidos. Tudo estava bem. Chegou a hora dos dentes inferiores (26/06/2016) e aqui: o médico olhou para eles e disse: vamos começar pelo pulmão. Mas a remoção durou cerca de 20 minutos, três raízes, duas se romperam, uma saiu rapidamente e a terceira demorou tanto. Então um tampão, não beba ou coma por 3 horas, analgésicos - 2 dias, e então está tudo bem. Após a anestesia, no entanto, você não se sente muito bem, mas é suportável ...
12/07/2016, após 2 semanas, veio retirar o 2º dente: uma injeção, tudo estava entorpecido, após 5 minutos o dente já estava removido. Fiquei feliz por tudo ser maravilhoso, mas não ... O primeiro dia passou normalmente, analgésicos. No segundo dia da noite, começou: dor no ouvido, inchaço, peso intensificado, e durante a noite toda a mandíbula estava entorpecida e a dor apareceu no orifício do 1º dente. A temperatura é 35,5, eu bebo analgésicos. De manhã fui ao médico, tratei o buraco, coloquei o cotonete com o remédio, processei com um laser ... Mas a dor não desaparece. À noite, inchaço, inchaço, é impossível, todo o maxilar inferior dói. Como mingau com uma colher pequena, uma bebida quente (nem fria nem quente pode ser). Amanhã é sábado, não há médicos. Loratadin bebeu à noite para aliviar o inchaço na garganta, engolir não é confortável.
Mas no geral, de alguma forma, um pouco melhor.
Não fique com dentes doentes e saudáveis para todos!
É tão bom que li todos esses comentários após a exclusão! Caso contrário, eu certamente não ousaria. Ontem removeu os oito inferiores. Tremia como um tzucik, por medo. E no final - o congelamento durou mais tempo do que a extração de um dente e um cisto. Não mais que 2 minutos! Sem compromissos.A geada desapareceu após 5,5 horas, sem dor. Mas hoje, um pouco de dor e desconforto no linfonodo da extração dentária. Porque Preciso me preocupar com isso?
Olá Eu acho que essa é uma reação comum do sistema imunológico a um processo inflamatório local em meio a lesões na gengiva. No entanto, vale a pena ir ao médico e esclarecer para não pensar. Se seus compromissos foram dados corretos e eficazes, uma cura adicional será bastante confortável. Saúde para você!
Eu puxei por dois anos. Todo mundo estava esperando o dente entrar em erupção. Inferior 8. Dor apareceu periodicamente. O dentista disse esperar. Atormentado e esperou. Eu procurei outro médico - ele disse, pare, você precisa removê-lo, está ficando torto de qualquer maneira. Um pequeno pedaço saiu. Eu olhei para os preços e fiquei chateado. Mas eu decidi não esperar mais. O cirurgião não fez o raio-x. Injetado imediatamente, esperou e começou a vomitar. Em geral, duas horas duraram. E serrou, cortou e puxou. No final, é claro, o médico disse que um dente complexo. Duas raízes se entrelaçam e uma é horizontal. Felizmente, não foi doloroso durante o procedimento. Eles fizeram um raio-x, compramos mais. Três costuras - e em casa. Prescreva Nimesil, um antibiótico e Ketanov. Não conseguiu engolir, a bochecha estava inchada. Depois de algumas horas, fiquei muito doente. Pílulas de serra. Agora não é tão doloroso, o inchaço está quase acabando. Há uma contusão e a mucosa está muito dolorida, as costuras são desmontadas. Mas estou muito feliz por ter feito isso e não serei atormentado. Não tenha medo. Um pouco precisa ser paciente e tudo. Mas então viva com calma.
E não consegui remover o top 8-ku. O médico atendeu, não conseguiu segurar com uma pinça, disse: espere até que cresça. Parece que o próprio dente dói menos, e a bochecha está inchada, é como se tivesse alguma compactação. À noite, fica quente e dói. Eu vou a outro médico amanhã. Estou com muito medo.
Hoje o dente do siso inferior foi removido, 40 minutos ... A anestesia partiu terrivelmente. O médico escreveu para dores fortes. A princípio, a dor diminuiu levemente, embora fosse possível suportar. Então se acalmou. Aqui, eu tenho medo do anoitecer, como sobreviver. O médico receitou um antibiótico e, até que a dor desapareça, vá ao curativo.
E fui removido no fundo oito há três dias. Havia cárie e, embaixo da encosta, ela sustentava as sete, e havia uma ferida não cicatrizante na bochecha. Eu estava com muito medo depois de ler os comentários na internet. O médico disse que o dente é complexo. Eu me preparei para o pior. Houve uma injeção, sentei-me um pouco, diz o médico, abra a boca, algo está crocante e é isso. Segundos 30. Fiquei até surpreso. E esta é uma clínica gratuita. E no pagamento por este dente 3500 foi solicitado, eles disseram que era difícil e longo, mas vamos excluí-lo. E depois 30 segundos e estou feliz.
Eles removeram o dente do siso, no canto superior esquerdo. O dente entrou em erupção completamente e começou a crescer na bochecha; em conexão com isso, a bochecha inchou com a pressão do dente e estava terrivelmente doente. A remoção correu bem. O pânico foi terrível, mas o médico me tratou tão bem que eu rapidamente me acalmei. Infelizmente, eles não me deram nenhuma recomendação, eles me aconselharam a não comer apenas 2 horas após a remoção. Hoje é o terceiro dia em que o dente foi removido, nada dói, mas eu ainda não mastigo a lateral do dente extraído. Minha pergunta é: é possível escovar os dentes depois de remover um dente do siso? Tenho medo de lavar acidentalmente o coágulo do buraco. Obrigada
Olá Tatyana! O fato é que recomendações são recomendações e que não 100% são ideais para todas as pessoas. Muitas vezes acontece que o buraco se cura naturalmente, e sem fanatismo em relação ao cumprimento de todos os compromissos. Quanto à importância da higiene após a extração, este é sem dúvida um dos principais componentes da cicatrização mais confortável do orifício após a extração do dente. Após a remoção, é importante “mover” a placa nos dentes adjacentes para reduzir o risco de infecção por placa bacteriana e a probabilidade de mau hálito - em particular.Para isso, uma escova de dentes com cerdas macias é ideal pela primeira vez (literalmente, 5-7 dias após a remoção). Essas escovas de dente podem ser encontradas na rede de farmácias, mas se for muito difícil, você pode comprar uma escova de dentes infantil para bebês de 0 a 3 anos. Tanto quanto eu sei, há uma nota - "cerdas macias". É aconselhável usar a pasta no mínimo. É melhor limitar o uso dessa escova apenas ao setor problemático e escovar o restante dos dentes no modo normal com uma escova comum regular. O risco de ferir as gengivas com uma escova com cerdas macias após a remoção é mínimo e, com o nível adequado de habilidades manuais, você pode garantir uma higiene normal de 6 a 7 dentes. É especialmente importante remover a placa bacteriana do interior dos dentes. O principal é fazer tudo corretamente e ter menos medo de fazer algo errado. Boa sorte
Olá Não li os comentários, fui para "talvez") Inferior a 8 no lado esquerdo. Recentemente, a gengiva começou a incomodar, porque o dente cresceu na bochecha. O médico examinou, fez um raio-X, de acordo com as recomendações do ortodontista, eles o enviaram para remoção ... Várias vezes o médico fez um dente, saiu rapidamente e sem dor. De acordo com as recomendações, era necessário enxaguar (o que exatamente e como eles não disseram) e beber antibióticos (mas eu tenho um bebê, então o médico o cancelou). Literalmente imediatamente após a extração do dente, a garganta estava terrivelmente dolorida, quando a anestesia começou a retroceder, surgiram terríveis dores bruscas. Bebi cetanas, de manhã acordei com as mesmas dores. A bochecha começou a inchar. Durante o dia a dor aumentou. Lavado com clorexidina, clorofilipt, solução de refrigerante + sal + iodo. Apenas a ação do cetan estava terminando - tornou-se insuportavelmente dolorosa (dor provocada). Um dia após a remoção, a temperatura subiu para 38 graus. Na manhã seguinte (2 dias) fui ao dentista. A bochecha inchou muito forte. O médico lavou, colocou o curativo, voltou amanhã ... não sei como vai acabar, mas a competência dos dentistas da instituição municipal deixa muito a desejar!
P.S. Eu vim hoje de manhã ao registro com complicações, a menina disse para esperar à noite até que todos os registros fossem aprovados! Se meu marido não tivesse criado um escândalo, talvez o médico não tivesse conseguido ...
Pergunta: por que essas clínicas são necessárias, onde você paga por tudo, mas está aleijado? A remoção não foi difícil. Aparentemente, antibióticos são prescritos indiscriminadamente para todos!
Olá Freqüentemente, encontro uma atitude negativa em relação à medicação gratuita por uma falta regular de qualidade adequada, bem como por uma conduta privada cara, onde há casos ainda piores. Estou certo de que, em cada um desses sistemas, há profissionais em seu campo que estão prontos para resgatar a qualquer momento, bem como mocassins, especialistas em queimados e até destruidores (eles mutilam especialmente para sair de casa mais cedo - menos pessoas e menos preocupações).
Aqui está o que pode lançar luz sobre o problema:
1. Uma imagem do poço após a remoção para verificar sua qualidade (se há fragmentos ou raízes restantes);
2. Os medicamentos que você receitou para entender a extensão do tratamento.
Pessoalmente, não gosto que você "enxague" a cavidade oral de quase todos: clorofilipt, clorexidina, refrigerante, solução salina, etc. Eu não entendo o objetivo de enxaguar um coágulo sanguíneo - proteção biológica contra germes. Muitas vezes, devido a essas ações, o efeito de um buraco seco e alveolite se desenvolve. Eu recomendo que você entre em contato com seu dentista para obter uma opinião independente, pois é problemático determinar seu diagnóstico à revelia.
Ontem eu apaguei os 8 inferiores. Foi um inferno ... eu escrevo e lavo meu rosto com lágrimas. Eles o removeram por mais de uma hora - serraram um dente, martelaram, quebraram com um pedaço de ferro, de modo que a mandíbula quase saiu ... Parte do osso foi cortada, o chão da mandíbula foi girado. A sensação mais terrível é que, quando ele tentou quebrar um dente, ele esmagou terrivelmente simplesmente. Orei a Deus para ajudá-lo a remover tudo. Era terrível que o processo não terminasse. Mas ainda rasgou todas as 4 raízes, espalhadas em direções diferentes.Catgut costurado da goma. O edema é terrível, a gengiva inchou, de modo que os dentes simplesmente se afogaram, a dor é selvagem, é impossível engolir. Tenho muito medo do coágulo, para não cair, mas também não o vejo na superfície. Temperatura, tipo, não. O médico disse que tais operações são planejadas apenas, e eu recebi uma ligação com esse dente, e eles não vêem isso há muito tempo. Isso é algum tipo de pesadelo.
Olá Por favor me diga, removeu o dente do siso (parte inferior 8). O dente era complexo, deitado sobre 7 dentes. Ele foi removido pesadamente, osso serrado. Depois disso, prescreviam-me curativos toda semana. Eles trocam o curativo com o remédio, dizem que tem um buraco muito grande lá. Estou preocupado com a temperatura que está mantendo por 2 semanas - 37-37,5. O inchaço da bochecha ainda é um pouco perceptível. O médico diz que está tudo bem, a ferida é gradualmente curada. Mas eu tenho uma pergunta - esse buraco pode durar tanto tempo (mês)? Eu vou a curativos toda semana. Tudo isso está certo ou não? Por favor, responda, eu não sei o que fazer.
Olá Após a remoção complexa, especialmente - com grande trauma, as feridas cicatrizam por um longo tempo e com grande dificuldade. O orifício é adiado de 2 a 3 meses para 4. A goma é totalmente formada em 6 a 8 meses. Tudo depende das táticas corretas do médico durante e após a remoção. Eu acho que o dentista não tinha outra maneira, então o médico faz terapia pós-operatória com esse cuidado. Você tem a temperatura do processo inflamatório local, acho que isso certamente vai passar. Mas você tem alguma outra patologia somática que possa provocar uma temperatura tão característica?
O curativo é a medida certa em alguns casos, mas definitivamente impede que a ferida se epitelize mais rapidamente. Talvez o médico esteja simplesmente preocupado com a esterilidade da ferida aberta sem o devido cuidado com a medicação por poço. Isso impede sua cura, mas definitivamente protege contra alveolite.
De qualquer forma, existe uma abordagem individual e não é possível entrar em mim por trás do médico. Eu apenas me concentro em certos pontos.
Figura oito localizada horizontalmente na parte inferior esquerda. Mentiu ao nível das raízes dos sete. Anestesia três vezes. E não posso dizer que não senti nada. Eu senti e até mesmo! Sangramento grave. Serrado, esmagado, puxado ... 1,5 horas de inferno. Ela estava desmaiada. Às vezes parecia que agora a mandíbula tritura ou a vértebra cervical. O suor escorria de nós dois, tanto do cirurgião quanto de mim. Parecia que nunca iria acabar! Muito obrigado ao médico por encerrar o assunto, embora ele já tivesse a impressão de que não poderia lidar. Então ele disse que nunca teve uma remoção tão complicada. Sabe, eu acreditei nele! )) Quando tudo acabou e pude juntar os cílios grudados, vi que a transpiração estava nas capas dos sapatos ...)) Eles fizeram dexametasona para evitar consequências indesejáveis. A bochecha, é claro, estava muito inchada, um hematoma se espalhando pela mandíbula inferior. Não há dor forte, pelo contrário, doendo, eu bebo nimesil. A coisa mais desagradável é a sensação de dormência no lábio inferior e no queixo e um canto rasgado da boca. Agora no laser todos os dias)
Tirei 8 do fundo, houve uma remoção difícil, eles colocaram a drenagem. Mas o médico, depois de alguns dias de exame, disse que estava tudo bem com a ferida, até fez suturas auto-absorvíveis ... Mas agora o problema: o fato de os dentes doerem realmente não me incomoda, o ponto é que me parece que o médico cortou demais gengivas e agora parece de alguma forma coletado de mim. MAS eu não consigo abrir minha boca normalmente, demais. Quando abro até o final, como posso, vejo que a gengiva já está esticada o suficiente e depois dói. Mas não deveria ser assim. Pergunta: Tudo isso se estenderá novamente?
Olá Após a remoção do dente inferior da sabedoria, quase sempre é doloroso abrir a boca em um grau ou outro.Muitos pacientes geralmente sentem dor nos primeiros dias após a cirurgia, mesmo com uma ligeira abertura da boca. Portanto, o que você descreve é uma situação muito comum. Quanto às gengivas, posso dizer o seguinte: a gengiva é formada naturalmente e os dentistas não interferem nesse processo. É verdade que sempre leva muito tempo - de 2 a 3 meses a 6 meses. Obrigado pela pergunta.
Bom dia a todos. Li e entendi que a extração de dentes do siso, principalmente os inferiores, que não saíam das gengivas, independentemente de qual país, o tormento é o mesmo. Eu moro na Alemanha, muitos dirão: “Mas na Alemanha a medicina está no seu melhor” ... Garanto-lhe que fiquei atormentada por 4 dias após a remoção dos oito inferiores, que eram praticamente horizontais na gengiva. Removido uma hora e meia. Serrado, perfurado, cinzelado, costurado. Você não pode contar todos os "encantos". A pior coisa começou após a remoção. Quando removido, o nervo facial foi danificado, a sensibilidade das gengivas inferiores, lábio inferior e queixo foi perdida. No dia 1, dor, como ocorre com a remoção normal. O ibuprofeno ajudou. Edema é médio. A sensibilidade dos lábios, gengivas e queixo não é restaurada. No segundo dia, a dor é tolerável. Eu faço sem analgésicos, inchaço na mesma condição, a sensibilidade também não se recupera completamente. Dia 3 ... Tudo a mesma coisa. Dia 4: para todos os "encantos" houve uma temperatura de 37,2 e congestão nos dois ouvidos. Os médicos encolhem os ombros, o dentista e o otorrinolaringologista. Eles dizem que tudo deve passar. Isso é horror ... Você não pode expressar em palavras que estado terrível quando não ouve, não sente metade do seu rosto, não pode beber nem comer. Eu tomo antibióticos e vitamina B. Não faz sentido até agora. Uma condição de pânico começa que a sensibilidade não retornará. Eu não sei o que fazer Quando a sensibilidade aos tecidos faciais retornará? E mesmo? Não há resposta.
Adicione o quinto dia. O congestionamento dos ouvidos desapareceu (graças a Deus), a temperatura está normal. Havia um sabor desagradável na boca, mas não há cheiro (geralmente com alveolite), eu conduzo mais as observações. O edema começou a diminuir, havia uma dor desagradável na região da linha inferior dos dentes, uma sensação de plenitude, não havia sensibilidade na linha inferior dos dentes e gengivas do lado da remoção do dente do siso, e não havia sensibilidade do queixo e do lábio inferior. Mas há uma dor desagradável de dor e puxão nessas áreas, alternando agora com frio, agora com calor, agora com beliscões e arrepios. Isso é muito preocupante. Médicos, diga-me o que fazer e esse tormento passará? Obrigada
Olá Obviamente, ninguém conhece a situação na cavidade oral melhor do que os médicos responsáveis, mas de acordo com a dinâmica positiva (o fato de que todos os dias estão ficando um pouco melhores), podemos assumir que tudo vai dar certo 10 a 14 dias após a remoção. O ponto é que, com a extração complexa dos dentes, pode haver um hematoma que comprime o nervo mandibular, de modo que a sensibilidade desaparece por um tempo. Se houver uma lesão nervosa com instrumentos, a sensibilidade será restaurada em meses, geralmente em um ano. Você pode acelerar a fisioterapia, como opção, mas para isso é necessário consultar um dentista. Outra opção - sugiro que você peça conselhos de 2 a 3 médicos, dentistas na Alemanha. Estou certo de que uma opinião independente de terceiros pode lançar luz sobre novas táticas. Embora exista uma tendência positiva, é claro, você ainda pode esperar até duas semanas, mas se as complicações se desenvolverem e os sintomas se intensificarem, consulte um médico com urgência (não necessariamente o mesmo). Obrigado pela pergunta.
Obrigado pela sua resposta. Mas, aparentemente, há uma complicação ... No sexto e no sétimo dia, começou uma descarga da ferida de cor amarela, um odor e sabor desagradáveis. Além disso, o inchaço, formado na gengiva no nível dos 8-ki removidos, aumentou o nível para o sexto dente. A dor é o lugar para estar. Todos os dentes estão doendo no lado da extração. A sensação de que eles têm pouco espaço. A dormência está ficando maior. Não há temperatura, também não há inchaço externo da bochecha.Hoje vou ao cirurgião hoje à noite ... Diga-me, por favor, eles provavelmente cortam com anestesia, mas tenho medo de outra injeção no nervo facial. O que fazer
Estava no médico. Ele vê uma cura muito boa. As suturas foram removidas, a dor no local da remoção não incomoda, a ferida cicatrizada. Parece que está tudo bem com a ferida em si. Mas preocupado com parestesia. Constantemente empurra e pica o lábio e o queixo. Os dentes inferiores, de 1 a 7, sofrem e atiram na área da raiz. Caro médico, diga-me, isso é normal? Sobre o que esses sintomas podem falar? É um agravamento da parestesia ou vice-versa?
Olá O fato é que entrar no "nervo" durante a anestesia é extremamente difícil. Por dez anos, meus colegas não tiveram uma complicação única, mas ouvi falar de como um médico na região vizinha encontrou isso, mas funcionou por alguns meses. Estou falando do fato de que, em primeiro lugar, essa é uma complicação bastante rara e, em segundo lugar, não do fato de você ter uma lesão no nervo durante a anestesia, talvez apenas uma compressão do hematoma após a remoção complexa. Portanto, na minha opinião pessoal, a probabilidade de você ter uma complicação semelhante, digamos, novamente, é 0,00001%. Tenha um bom tratamento, não tema nada - esta é a coisa mais importante!
Caro médico, faça sua avaliação como especialista neste campo, de acordo com as seguintes alterações: os dentes doloridos ficam um pouco menores, formigamentos e espasmos nos lábios e queixo ficam mais doloridos e disparam periodicamente. É um processo de recuperação ou, inversamente, uma complicação ainda maior, como a morte das terminações nervosas? O médico prescreveu 8 injeções de medivitanos, com uma frequência de 2 vezes por semana, e depois injetou um neuróbio com 9 injeções, com uma frequência de 2 vezes por semana. Como você avalia as consultas do seu médico? Obrigada
Olá Larisa! Vou citar os dados sobre parestesia e remoção de dentes do siso inferiores de fontes confiáveis, para não ser infundada: "A parestesia é um dos tipos de distúrbios sensoriais, caracterizados por dormência, formigamento, arrepios ..."; "Uma das raras formas de parestesia é a dormência duradoura do lábio, língua e (ou) queixo, resultado da remoção do dente do siso".
Ou seja, eu queria dizer com essas citações que você tem 100% de parestesia no contexto da remoção de um dente do siso. Dormência com formigamento é uma manifestação clássica do problema, mas o aumento dos sintomas nem sempre indica piora. Talvez, no momento em que você esteja ouvindo atentamente seu corpo, possa suportar essa complicação tão psicologicamente que duvide de tudo, não esteja se posicionando de maneira muito positiva e pareça que, pelo contrário, espera o pior.
Não tenho dados para o fato de que "o nervo começará a desaparecer" ou haverá algo assim. O dentista atribuiu a você um grupo de vitamina B para acelerar o processo de regeneração lenta e maximizar seu humor positivo. É claro que esperar pela recuperação é difícil. No entanto, minhas informações sobre essa complicação se resumem ao fato de que esse quase sempre é um processo de regeneração lento. Ao mesmo tempo, deve-se ter em mente que não se sabe ao certo se há algum dano no nervo - talvez sua compressão comum pelo hematoma esteja ocorrendo.
Por que comum? Por exemplo, após o implante na seção final da mandíbula, a parestesia temporária geralmente se desenvolve com uma duração de 1-3 semanas a 2-3 meses. Os implantologistas alertam sobre isso: posso dizer que essa não é a norma, mas é difícil evitá-la completamente, apenas porque a distância do nervo é diferente para todas as pessoas, é possível calcular a duração do implante, mas é preciso saber se o sangue se moverá ao longo dos feixes ósseos terminações nervosas no canal da mandíbula inferior, impossíveis.Parece-me que você deveria deixar a situação de lado e se acostumar com a idéia de que o tratamento acelera significativamente o processo de regeneração lenta, ou encontrar "colegas" em infortúnio (garanto-lhe, há muitos deles, principalmente no campo da implantação) e tentar descobrir com eles os recursos do tratamento e acalme-se um pouco, novamente. Sinceramente, digo que estou enfrentando o seu problema com você, mas esse ciclo de um problema de longo curso (de 1 a 3 meses a um ano) simplesmente "esmaga" sua psique.
Svyatoslav Gennadievich, obrigado pelo apoio. Mas estou começando a me acostumar com essas novas sensações e me adaptar a não morder o lábio. Claro, não apenas, no entanto, não desisto da esperança de que algum dia a dor se torne invisível. Obrigada
Olá Isso, é claro, precisa de tanta paciência, de tanta dor. Eu já tinha uma semana depois de remover a sabedoria dos 8 inferiores. E ainda sinto a dor. Dia 5 no Forte Nurofen, não posso viver sem ele. Os dentes começaram a lamentar bruscamente, a dor soou no ouvido e a glândula esquerda doía. Eu não gosto desse estado. Estou preocupado que não tenha sido pior.
Olá Em 2012, os oito na mandíbula superior foram removidos. A operação levou muito tempo, mas não houve dor sob anestesia. Curado todas as semanas duas, três vezes foi para vestir + lavado com uma solução fraca de refrigerante.
Em maio deste ano, ele começou a atormentar um dente do siso na mandíbula inferior. Crescido horizontalmente sob a gengiva. Lembrando o meu tormento de quatro anos atrás e tendo lido muitas informações “úteis” na Internet, fui ao dentista para removê-las com lágrimas. Eu estava esperando por uma operação muito longa e dolorosa, porque o médico disse no começo que remover a figura oito na mandíbula superior e inferior é o céu e a terra.
No entanto, foi doloroso apenas no início, quando eles deram uma injeção. Não houve dor após a injeção. Eu apenas senti que o médico fez uma incisão na gengiva, pressionou e puxou abruptamente. Apenas meio minuto depois, ele me mostrou meu dente do siso. Tudo foi muito rápido e indolor. Portanto, acho que tudo é individual e depende muito do especialista.
Maria, você teve sorte de ter os dentes removidos de uma só vez. Talvez seja por isso que não haja complicações que as pessoas que têm dentes sábios removidos por perfuração e goivagem tenham que enfrentar. Médicos não são deuses, mas tenho certeza de que estão fazendo todo o possível para não prejudicar. E se surgir parestesia, como no meu caso, você apenas reza para que esse tormento termine ... Não importa quanto tempo esperar, se ele passar pelo menos algum tempo. Portanto, correndo em busca de auto-ajuda. Desejo-lhe boa saúde!
Svyatoslav Gennadievich, comecei a ter sensibilidade no lábio e sinto a temperatura (calor e frio) no queixo. Viva!
Como eu disse, às vezes você precisa deixar a situação de lado e ter paciência ao seguir todas as recomendações do médico. Boa sorte
Removido o dente do siso na mandíbula inferior. Eles foram removidos sob anestesia geral - parecia literalmente 2 minutos, mas na verdade cerca de uma hora. O "esquivo" após a anestesia foi simplesmente terrível, durante o dia em que ela não conseguia comer o que podia, nem um gole de água não podia beber. Sensação como na toxicose mais dor de cabeça severa. Quanto às consequências da remoção, a bochecha está inchada, há uma leve dor na área da gengiva. Eu bebi cetanos, ficou um pouco mais fácil. A presença de bolhas de ar sob o couro cabeludo, na lateral do dente extraído, é embaraçosa - quando pressionada acima da orelha, um ruído é ouvido, como se fosse uma crosta de neve.
Olá Você descreve sensações subjetivas que não se encaixam perfeitamente nos dados clínicos normais, nos quais você pode sugerir e aconselhar alguma coisa.Está claro que a remoção foi difícil, em um hospital, sob anestesia geral, o que trouxe vários problemas na forma do “fora da lei” descrito por você (provavelmente, porque o medicamento não era o melhor ou a dosagem foi selecionada com erros, a anestesia e a retirada sofreram medicamentos que melhoram o estado geral após a anestesia). Você também pode supor sobre a alta invasividade da remoção realizada e, possivelmente, sobre a expansão da mandíbula durante a operação para um acesso mais confortável do médico ao dente (o preço da questão, neste caso, é uma trituração da articulação temporomandibular).
Deve-se ter em mente: tudo o que eu disse são apenas suposições baseadas em suas descrições subjetivas. Uma avaliação exata da situação só pode ser realizada diretamente na cadeira do dentista. Obrigado pela pergunta.
Três dias atrás, o filho removeu o 8-ku inferior direito. A remoção durou cerca de uma hora. Como resultado, o médico disse que havia apenas uma raiz que ele não conseguia retirar, mas tudo bem. Quero perguntar qual é o perigo se permanecer uma raiz mais distante das sete?
Olá Existem riscos, desde que esta raiz:
1. Pode ter um processo inflamatório no ápice;
2. Pode causar inflamação ao longo do tempo.
Uma raiz “podre” é uma bomba-relógio, portanto, deixá-la cheia de saúde do seu filho. Tenho certeza de que há definitivamente uma maneira de sair dessa situação: entre em contato com outro dentista com uma imagem da raiz restante para removê-la. Exige um médico altamente profissional que possa realizar esse trabalho. Obrigado pela pergunta.
Obrigado Svyatoslav Gennadievich!
Olá Na sexta-feira, um capuz foi cortado no canto inferior esquerdo de 8 ke. O médico não receitou nada. Tudo estava inchado: garganta e bochecha. Veio na segunda-feira - disse que deveria ser assim. Prescreveu Lincomycin 2 comprimidos duas vezes ao dia e suprastina à noite. Ela começou a se enxaguar - Rotokan e Clorexidina. A temperatura começou a subir. Ontem fui ao médico novamente. Lavado. Tirou uma foto. Disse inflamação. Seria bom remover o dente, mas não na fila geral, outra vez. As raízes do oitavo tocam as raízes do sétimo, embora o dente do siso cresça corretamente. Enviado para casa com uma participação em uma semana.
A temperatura é mantida em 37-37,5. O edema persiste. A garganta está dolorida e inchada. Termino antibióticos amanhã. O que vem a seguir - eu não entendo. Eu me inscrevi para outro cirurgião para remoção amanhã.
Um médico pode remover um dente em um processo tão inflamatório? Não consigo nem abrir a boca ... Ou faz sentido manter um dente do siso para que o 7 não sofra?
Olá O dente do siso ainda foi removido ontem. Ao mesmo tempo, o 7-ku também foi ferido e é um pouco móvel. Eu sugeri excluí-la também. Mas o médico suturou a gengiva perto do 7º dente e puxou a ferida no 8º.
A operação durou 30 minutos. O médico estava nervoso e suava (minha boca não se abriu completamente). Nomeado Ciprolet A (5 dias), Claritin, Nise (3 dias).
Hoje é de 2 dias após a remoção. A temperatura salta do normal para 37,5. O tumor na gengiva e garganta ainda não desapareceu. Há dores doloridas. E engolindo em seco. Diga-me, por favor, por que está salivando todo esse tempo? E é normal que a garganta não demore tanto? (uma semana antes da remoção e agora).
Olá O aumento da salivação é provavelmente devido ao fato de haver irritação constante, não apenas da ferida após a remoção, mas também da orofaringe. Quanto ao processo inflamatório que cria desconforto na garganta - quase sempre acompanha a remoção do dente do siso, dentro de 5-7 dias, mas isso não significa que estamos falando de uma doença. Ou seja, inflamação devido a trauma e alveolite infecciosa não são a mesma coisa.Se houver sintomas de alveolite, não é apenas doloroso para engolir ou há desconforto por trás do dente extraído, mas até a boca é dolorosa para abrir, a temperatura é alta, inchaço da bochecha, região submandibular, dor intensa que muitas vezes não para os analgésicos, etc.
Apesar do fato de você não apresentar esses sintomas no momento, ainda não custa contatar o dentista para uma consulta em tempo integral.
Removida a figura oito abaixo. Cresceu trinta anos na bochecha. Mas todo mundo esperava que isso acontecesse. Removido em 10 minutos, sem complicações. Dois dias depois, a inflamação começou. Inchaço, pus e dor contínua. Antibióticos prescritos, analgésicos. Hoje é o quinto dia. O inchaço passou, quase não há secreção purulenta, mas a dor é insuportável. Não havia costuras, o buraco era enorme. Enxaguar com um irrigador e colocar um anti-séptico no buraco. É necessário remover mais um por baixo, mas, aparentemente, antes de seis meses depois, não ousarei.
16/11/16 removeu o 8-ku, a mandíbula inferior. A anestesia entrou no vaso, houve uma forte dor aguda em todo o lado do rosto, a bochecha ficou branca e dobrou nos olhos. Removido o dente rapidamente. No terceiro dia, sinto uma leve dormência no lado da face onde o dente foi removido e um pouco de dor.
Olá Sim, você percebeu corretamente a complicação associada à colocação de uma agulha no lúmen do vaso onde o anestésico foi injetado. Isso acontece com pouca frequência, mas no momento não se aplica a condições de emergência. É apenas que o anestésico tem um efeito vasoconstritivo (adrenalina, que faz parte da droga), que causa dor temporária, "clareamento" dos tecidos e outras nem sempre sensações agradáveis. Quanto à dormência, é mais complicado aqui. O fato é que isso pode ser resultado de uma ferida no tronco nervoso quando a agulha é trazida para perto do local da saída do nervo mandibular a partir da abertura da mandíbula durante a anestesia, ou a compressão do mesmo tronco nervoso por um hematoma após remoção complexa ou (o pior caso) - lesão do mandibular o tronco com ferramentas (elevadores, boro durante o corte de raízes, etc.). Cada uma dessas categorias define uma duração diferente de existência adicional com esse sintoma. Se a dormência, como você escreve, é leve, há uma esperança de que não haja nada com o que se preocupar. Em geral, apenas o médico responsável conhece os momentos "estranhos" durante a operação, talvez ele possa lançar mais luz sobre a natureza de seus sintomas.
Olá, Svyatoslav Gennadievich! Há 8 dias, um dente do siso foi removido no lado direito da mandíbula. Não houve dor, inchaço, não, a ferida cicatrizou bem, o coágulo estava no lugar. Ele comeu hoje e parece que um pedaço de alho entrou no buraco. Não consigo enxaguar, não vou lá com palito ou agulha. Diga-me, por favor, isso não prejudica a cicatrização do buraco de forma alguma? Apenas realmente preocupado! Obrigada
Olá Como passou muito tempo após a remoção, é possível enxaguar (por exemplo, uma decocção de camomila ou sálvia). Eu acho que isso vai ajudar nessa situação. Se isso não ajudar, entre em contato com o seu dentista para obter ajuda. Não há absolutamente nenhum sentido em deixar algo estranho na ferida, mesmo tendo um certo efeito bactericida.
19/11/2016, os 8 menores ficaram doentes, era sábado, tive que esperar a segunda-feira (porque moro no campo, o dentista não trabalha nos fins de semana). 11.21 Ele veio ao dentista. Tendo olhado, o dentista disse: trataremos o dente. Depois de trabalhar por 2 minutos com uma broca, ele disse: o dente abriu, venha 24.11. Todo esse tempo eu tomo analgésicos desde o dia 19. Da dor incessante do dentista visitou o dia 23. Ele colocou o remédio no orifício do dente, dizendo que se a dor ficar mais forte, você terá que removê-lo, mas ele (o dentista) não se compromete a removê-lo. 26/11. Eu fui 250 km para uma clínica particular, porque já com dificuldade abriu a boca e um tumor apareceu sob a mandíbula inferior na área do linfonodo.Como sempre - a imagem, anestesia, foi removida. 30 minutos se passaram desde a entrada do prédio até a saída. Recomendação para não enxaguar e usar analgésicos. Hoje é 28/11. Um tumor na área do linfonodo é um pouco menor que um ovo de galinha e duro como uma pedra. A boca não abre corretamente. A temperatura é 37,5, dói de engolir, cede ao ouvido e todo o lado direito do rosto dói. Bem, na área da covinha, as gengivas incharam naturalmente. Fui ao terapeuta e fui encaminhado ao dentista, no qual tive as duas primeiras consultas. Após o exame, ele prescreveu antibióticos, ciprolet 2 vezes ao dia e suprastina antes de dormir, nimesil e enxágüe com uma solução de refrigerante (por que enxaguar, ainda bem). A única coisa que incomoda e preocupa é que o tumor sob a mandíbula não encolhe. O que é e por quê - nenhum dos médicos me disse algo concreto. Quando as melhorias começarão? Já se passaram 2 dias e o tumor está apenas crescendo.
Atualização em 29 de novembro de 2016: hoje houve alívio, foi o pus do buraco. De onde vem não é claro, pode ter se tornado doloroso. Mas agora não há dor. Svyatoslav Gennadievich, agora eu preciso visitar o dentista? Talvez o guardanapo que eu coloquei no buraco tenha saído e precise limpá-lo?
Olá Desculpe pela resposta tardia. Fico feliz que você tenha delineado as perspectivas de recuperação, mas definitivamente deve visitar um dentista, pois apenas um exame na cavidade oral fornece uma imagem precisa do que está acontecendo. Em caso de dúvida, o dentista pode prescrever um raio-x do orifício para procurar possíveis fragmentos do dente esquerdo, o que muitas vezes estimula o processo purulento.
Como você foi claramente “promovido” com o tratamento inútil de um dente purulento, especialmente tão específico quanto o dente do siso, perdeu muito tempo precioso. Após a remoção desses dentes, o alívio não ocorre imediatamente. Muitas coisas afetam: a qualidade da remoção realizada, a atribuição competente das recomendações necessárias e a implementação responsável desses requisitos de sua parte. Naturalmente, seu corpo também não precisa ser descontado - a resposta imune de cada pessoa é individual.
Estou confuso com vários pontos nesse manejo do dente extraído: por exemplo, por que preciso de algum tipo de "guardanapo inserido no buraco" e por que não foi feito um corte na dobra de transição na projeção das pontas das raízes do dente do siso, dado que, de acordo com sua descrição, estamos falando de periostite. Uma saída adicional de exsudato purulento não faria mal, além de "um buraco entupido com alguma coisa". Aparentemente, seu corpo quer ser tão saudável que uma saída de pus por si só encontrou uma brecha, com a qual me alegro (e um médico poderia fornecer drenagem). É necessário consultar um médico, para não perder o importante no manejo pós-operatório de uma remoção tão complicada por muitas razões.
Já excluídos 3 oitos, restavam outros 8 para exclusão, apenas o fundo. A primeira vez que entrei, tremendo de horror (algumas das superiores foram removidas). 20 minutos eles arrancaram um dente para mim, chegaram em casa, cambaleando, beberam 1 comprimido de ketanov. No dia seguinte, a temperatura estava baixa e morria, cerca de 2 comprimidos de ketanov por dia. Depois disso, foi apenas a impossibilidade de escovar os dentes normalmente por vários dias que a impediu, ela limpou apenas um lado e na frente e fez banhos.
Na segunda vez - também no top 8. Cheguei com dor aguda, morri, também não estava claro - o top era 8 ou o fundo. Após a anestesia, quando eles "adivinharam" o dente, eu já estava tão mais bonita (à medida que a dor desaparecia) que nem percebi a remoção, a reabilitação foi exatamente como na primeira vez.
Nos dois casos, nada teve que ser costurado, apenas formou um coágulo e mandou para casa.
Uma semana depois, fui remover o fundo oposto. O médico fez anestesia, olhou por alguns minutos, brincou e disse: "Não se surpreenda e não se mexa". E aqui - bam! - a impressão foi de que o sino foi tocado na cabeça e o som era assim: 'Não doeu um pouco, mas pelo som que percebi e novamente não percebi a extração do próprio dente (o médico me explicou que foi ela quem partiu o dente para removê-lo mais rapidamente).Então, segundo ela, eu teria que costurar, mas porque Tenho pré-diabetes e problemas de cura, aconselha ela a colocar uma coisa especial. Eu concordei, me acostumei a confiar nos médicos. Em geral, ela colocou uma turunda de várias pequenas fibras na ferida (de acordo com ela, casca e ervas - ela as listou, mas eu não me lembro delas). E desta vez eu não tive temperatura e dor após a remoção, já no mesmo dia em que trabalhei normalmente e no dia seguinte me senti ótimo. Curado ainda mais rápido do que o superior, mas o sabor das ervas na boca permaneceu pelo menos uma semana.
Eu vou excluir os oito restantes em breve e não consigo nem pesquisar no google essa coisa que eu estava deitada. Isso é prática normal? Ou tenho sorte do que funcionou?
De qualquer forma, posso dizer com certeza que estou pronto para remover qualquer número de dentes, para mim é muito mais fácil do que, por exemplo, tratar pulpite. Não dói, apenas uma visita e reabilitação é mínima. Mas entendo que essa abordagem não levará a nada ...
Olá Quanto às drogas das "ervas" colocadas no buraco - infelizmente, não posso ajudar em nada, já que pessoalmente não uso esse método.
Olá, tive sorte, todos os 4 dentes do siso ((é verdade, um cresceu quase como deveria e foi arrancado, e os outros 3 cresceram deitados, respectivamente, não cortaram.) E, sob anestesia geral, o médico removeu três dentes enormes, imediatamente trouxe - está frio. Foi tudo: temperatura, inchaço enorme, dor de garganta, levou todos os 10 dias. O pior é que até a temperatura está subindo por um longo tempo. doce atrás da bochecha, por algum motivo lá dentro, onde a gengiva passa pela bochecha, duro , ou seja, algo está duro na bochecha macia. Talvez alguém tenha passado e passado? É desagradável olhar para si mesmo, para o lado gordinho e magro.
Olá Se já passaram duas semanas e não há outros sintomas, então estamos falando, provavelmente, sobre a deformação do tecido ósseo após uma operação complexa. Durante a remoção, o dentista teve que criar acesso ao dente do siso e cortá-lo (é possível ocar o osso da mandíbula), de modo que o resultado foi um alívio específico do processo ósseo alveolar. É melhor tentar consultar pessoalmente outro dentista, para não pensar.
Removido 8-ku. O inchaço foi grave, ela não conseguiu falar após a operação. Dor de garganta. Tomei cetanos e citrino, como houve supuração no capô.
10 dias se passaram, os 8 inferiores (do lado direito) ficaram doentes ((não sei se o médico vai tomá-lo, vou ter que remover o dente um por um em uma mandíbula). E o direito dói por 3 dias e não há força para suportar a dor.
Olá Cirurgiões maxilofaciais e cirurgiões-dentistas costumam remover 2-3 ou mesmo quatro dentes do siso por vez. Pessoalmente, não apoio essa abordagem, mas quando há certa urgência e urgência, por que não? Se estivermos falando sobre supuração severa do oitavo dente ou falta de espaço na dentição, recomendo remover o dente com urgência e não confiar na persuasão para cortar o “capuz” gengival (especialmente porque essa prática é extremamente controversa e nem sempre traz sucesso).
A dentição difícil da sabedoria geralmente começa de forma síncrona. Ter medo de que o médico não faça a remoção não vale a pena. Obrigado pela pergunta.
Olá. O dente do siso do meu filho foi removido, no canto inferior direito, em 12/6/16. O médico disse que se ela estava doente, beba um líquido e lave a boca com refrigerante. No dia 9 de dezembro, à noite, comecei a reclamar que era doloroso abrir a boca. 10-11 dias de folga, você não vai ao médico. Em 11 de dezembro, após o jantar, o edema ficou abaixo da bochecha. Na segunda-feira de manhã, ela e o filho foram ao dentista, ela disse que o buraco estava atrasado e a inflamação diminuiu, era necessário chegar mais cedo. Agora apenas opere.Enviado para o hospital, maxilofacial. Eles olharam e disseram que a inflamação é de 50 a 50, vamos tentar tratá-la assim. Eles prescreveram injeções de cef e comprimidos de Trichopol, disseram que era necessário fazer uma compressa de vodka e provocá-la. Se o edema for além, no dia seguinte para a cirurgia, se permanecer o mesmo ou acordar mais fácil, depois de um dia na recepção. Dia e noite havia uma temperatura alta, pela manhã o edema desceu sob o queixo. Coloque imediatamente a operação. No dia seguinte, à noite, fomos até ele, ele fala, boca torta. Não havia médico. De manhã, descobriram que o nervo foi ferido durante a operação. Agora há um tubo na seção para que o pus residual saia. Após a remoção do tubo, a fisioterapia será prescrita. E se os lábios serão restaurados no lugar - não há garantia. Aconselhar o que fazer e o que fazer?
Olá Não consigo ver com meus próprios olhos qual é a condição da região maxilofacial do seu filho e, sem depender da situação real, não posso dizer com que rapidez a recuperação será (e se será). A situação em si é complicada quando se trata de alguns erros médicos e atrasos no tratamento. Aconselho que você confie na última equipe de médicos (que recomendou fazer uma compressa de vodka para fins de diagnóstico). Se o nervo não estiver muito machucado, pode demorar de várias semanas a vários meses para se recuperar. A fisioterapia geralmente acelera o processo.
Se você sente que seu filho não está se sentindo melhor, há negligência da equipe ou supressão dos fatos reais, então você tem o direito de buscar uma punição justa e seu filho para receber tratamento em outra instituição odontológica estadual de nível superior. Saúde para o seu filho e para você - muita paciência!
Eles removeram o dente 8 abaixo, tentaram encontrar outra raiz, que já não estava na gengiva. Virou o chiclete em 30 minutos de busca. 2 semanas o lugar estava doendo, mas depois curado. Após 2 semanas, a bochecha e o inchaço da têmpora esquerda começaram a inchar. A dor é severa. Eu tive que ir à recepção, colocar o remédio, prescrever um antibiótico uma vez por dia, tomar banho. No dia seguinte, uma dor geralmente insuportável à esquerda, Nise (imediatamente 3 peças). Não ajuda, eu tive que beber o segundo antibiótico cedo. Um dia depois disso, ficou melhor, mas o tumor no templo é maior, na bochecha à esquerda também. Eu tive que ir à recepção um dia depois. Eles não colocaram o remédio no buraco, disseram que estava caindo. Os danos são possíveis ou a glândula salivar foi soprada à esquerda? Eles encaminharam para um ultra-som com suspeita de sialadenite da glândula parótida salivar. Isso é dano, sopra, ou algo mais? Nos feriados, o ultrassom não funcionava em centros médicos.
Olá O caso é complicado. Depois de avaliar a condição do furo, eu atribuiria uma imagem para determinar a presença não apenas dos fragmentos esquerdos, mas também para monitorar a condição das raízes dos dentes adjacentes. Incomoda que uma complicação purulenta tenha surgido após 2 semanas. Não parece alveolite, pois seus sintomas aparecem em 2, no máximo 4 dias. Talvez, é claro, essa seja uma complicação da alveolite, que ocorreu de forma latente. Mais uma vez, a estranha propagação de edema em direção ao templo. Eu definitivamente verificaria o sétimo / oitavo dente superior deste lado quanto a problemas - às vezes os pacientes vêm com tantos dentes em execução (destruídos) que sua remoção seqüencial devido a complicações purulentas, mesmo com uma diferença de 2-3 semanas, não é mais surpreendente).
De acordo com as informações fornecidas, não posso excluir antecipadamente a probabilidade de a raiz do oitavo dente ter sido removida, considerando que ela é a causa dos problemas, ou talvez o sétimo dente tenha sido o culpado originalmente? .. Em geral, há algo para entender, mas isso só é possível pessoalmente exame na cadeira do dentista. Saúde para você!
Ontem removeu os oito inferiores e hoje a temperatura subiu por algum motivo ...
Olá O lado esquerdo da cabeça doía.Ela pensou ter pegado um resfriado, mas então percebeu que o dente doía. Fui ao médico, fiz uma tomografia computadorizada ...
Sento o segundo dia em horror silencioso. Tenho 22 anos e formei quatro enormes 8s, além disso, localizados sob o osso e empurrando as raízes dos dentes vizinhos para lá. O médico disse que a operação será difícil, com o corte do maxilar, o que não permitirá que você simplesmente arranque os dentes. Estou com muito medo, mas vou ter que fazer isso. Quero fazer uma cirurgia maxilofacial sob anestesia geral. É assustador que esses dentes horizontais sejam simplesmente enormes e com raízes longas, embora em geral eu seja pequeno em constituição, e a mandíbula e a cavidade oral sejam geralmente pequenas em tamanho (como as de uma criança).
Diga-me, por favor, o que os médicos fazem quando um dente de baixo faz parte da mandíbula inferior? O osso se acumula? Quanto tempo vai demorar para crescer?
Olá Não importa como o dente esteja localizado na mandíbula, ele ainda não está soldado ao tecido ósseo. No entanto, não é possível removê-lo classicamente. O médico trabalha da seguinte maneira: faz uma incisão na gengiva, onde o dente está localizado na figura, esfolia a gengiva, corta o osso com cortadores e (ou) brocas e libera o dente do siso errado. Se possível, então pega o elevador e ele sai em disparada; se estiver horizontal ou de cabeça para baixo, será serrado em várias partes, após o que cada parte será removida separadamente por elevadores. Em média, essa operação leva cerca de 20 a 40 minutos, no máximo 1-2 horas, se um grande número de dentes for removido. Se você deseja realizar várias extrações de dentes do siso por vez, a anestesia é preferível e a anestesia local é melhor para 1-2 extrações. Após a remoção, a maioria dos médicos preenche o local onde o dente estava com osso artificial (materiais para restaurar um novo osso). Então eles suturam e dão um conjunto de recomendações. Normalmente, o buraco cura inicialmente dentro de 2-3 meses. Uma sensação de conforto ocorre muito mais cedo: em uma ou duas semanas, torna-se mais ou menos tolerante, geralmente até mais cedo (para todos de maneiras diferentes).
24/12/16 removeu o 8-ku superior direito. Estranhamente, sem problemas - sem sangramento, sem dor infernal! Hoje (14/01/17), na hora do almoço, a peça inferior direita 8 foi removida, removida com um tipo de pau, na torção. Mas há mais sangue do que no primeiro, mas ainda não há dor. Vamos ver o que acontece amanhã. Felizmente, todos cresceram corretamente.
Tirei 38 e 48 dentes ontem ... Aquele que 38 já se esqueceu dele, mas 48 está doendo e há um inchaço. Um solavanco parece normal? Aos 48 anos, uma raiz se rompeu, mas o médico, ao que parece, retirou tudo. A colisão é uma conseqüência da "escolha"?
Olá Eu acho que você experimentou inchaço da gengiva após a remoção. Em princípio, este é um estado normal quando o edema não dura mais de 3 dias com outros sintomas moderados de inflamação (dor, temperatura, disfunção - ou seja, dor ao engolir, mastigar, abertura da boca prejudicada, etc.). Se os sintomas aumentarem todos os dias, você precisará consultar um médico com urgência. Normalmente, o médico nesses casos tira uma foto e verifica o orifício quanto à presença de raízes, lascas e outros materiais estranhos. Se houver algum, essa é a causa de todos os sintomas; caso contrário, resta eliminar apenas os sintomas. De qualquer forma, a implementação competente de todas as recomendações do médico é a chave para o sucesso.
Portanto, a protuberância pode ser não apenas o resultado de "palhetas" (edema que ocorre imediatamente após a remoção complexa), mas também o resultado de uma reação inflamatória - protegendo o corpo contra o fundo de uma extração traumática de dentes.
Olá Durante o tratamento dos 6 inferiores na imagem, o médico notou um blecaute atrás dos 8 dentes. Enviado ao cirurgião, ele disse que este é um cisto periodontal. Excluído. Como o cirurgião disse, ele colocou a drenagem no buraco (curativo de 2 cm, saturado com iodo). A cada 2 dias vou a curativos.Desde o primeiro dia, estou preocupado com dores severas na mandíbula e nos dentes, a dor causa na têmpora e no ouvido, a cabeça dói, abaixo estão os 6 dentes que foram tratados agora (estão cheios de cálcio) e dói e realmente dói. Eu sou salvo por analgésicos. Hoje já são 5 dias. Há uma dinâmica positiva: posso abrir a boca, falar normalmente, minha condição geral é normal, minha temperatura é normal. Mas a dor, especialmente na mandíbula e nos ossos, é muito cansativa. O cirurgião diz que isso é normal.
Pergunta: 1. Isso é normal? 2. O médico faz a coisa certa, trocando meus curativos (ou o que é isso?), Meu buraco fica um pouco na bochecha, um cisto foi cortado por aí - talvez por causa dessas táticas de tratamento? No momento em que removeram 8 no topo, eles colocaram o remédio ali, o que foi resolvido. Obrigada
Olá Eu respondo as perguntas em ordem:
1. Dor severa, com duração de 3-4 dias após a remoção, geralmente não é a norma. No entanto, no seu caso, o momento é monitorado pelo médico assistente, o curativo é feito e tudo é feito para que o difícil período pós-operatório passe com o máximo conforto, para que não haja motivo de preocupação especial. Apesar disso, o processo inflamatório provavelmente ainda está ativo - daí a dor intensa.
2. As táticas do médico podem estar corretas se não prejudicar. Mas não tenho certeza se está tudo bem aqui (preciso de um exame em uma poltrona). Um sintoma da dor é uma reação individual e pode confirmar que o médico está fazendo algo errado, mas não em todos os casos clínicos. Quanto à "drenagem da bandagem", este, segundo vários cirurgiões-dentistas, é um método um tanto desatualizado que era relevante nos tempos soviéticos, quando não havia outra opção para a prevenção e tratamento da alveolite. Uma vez, em princípio, funcionou, e não é ruim.
O tratamento do sexto dente inferior também me incomoda: ao tratar a periodontite, pode haver uma reação dolorosa, mas não forte e não por muito tempo. Se o dente não estiver sendo tratado corretamente, o resultado pode ser dor, o que muitas vezes cede do dente inferior à mandíbula superior. É útil verificar o tratamento do canal do 6º dente com a ajuda de uma imagem e obter uma consulta em outra clínica se você sentir que a terapia está de alguma forma errada (por exemplo, dinâmica positiva muito lenta).
Boa noite Eles removeram o canto inferior esquerdo oito ontem - aparentemente, eu entrei em uma fase de crescimento ativo e, no contexto de gengivas inchadas, comecei a morder minha bochecha, então decidi não salvar o dente. A remoção foi boa, eles costuraram, não houve dores fortes, inchaço também, mas é difícil abrir a boca, escovar os dentes e comer - esse é um problema real. Eu tento desenvolver cuidadosamente a mandíbula. Pergunta: Quanto tempo pode durar o problema de abrir a boca?
Olá O edema após a remoção dos dentes do siso é frequentemente acompanhado por dificuldade em abrir a boca - isso ocorre devido à localização anatômica dos oitavos dentes (a disseminação do edema captura os músculos mastigatórios da mandíbula). Geralmente, a melhora ocorre dentro de 3-4 dias, e outros sintomas (se houver) também desaparecem gradualmente - essa é a chamada dinâmica positiva. Se isso não acontecer, e a boca, ao contrário, abrir cada vez mais, será necessário consultar urgentemente um médico. Existem também exercícios especiais para o desenvolvimento da mandíbula. A melhor coisa sobre a adequação para o seu caso clínico é consultar o seu médico.
Boa noite Hoje eu apaguei o canto inferior esquerdo 8, o médico não tirou a foto, embora no começo ele quisesse, então por algum motivo mudou de idéia. Depois de congelar, ele começou a pressionar com força meu dente, parecia-me que agora ele quebraria minha mandíbula. Era uma força que eu não tinha ar suficiente e, de alguma forma, ainda o torcia, mas tudo não teve êxito. Depois vem com uma pinça - o dente desmorona, pressiona novamente ... Em algum lugar cerca de 20 minutos esse horror durou. Ele finalmente conseguiu.A coisa mais interessante começou agora após a anestesia ter desaparecido - essas dores começaram, tanto quanto a urina não suporta. Bebi nimesil, a dor diminuiu agora, já pensei que tinha o dente errado removido. Embora agora eu tenha lido que 8-ka todo mundo dói muito após a remoção. Vamos torcer pelo melhor.
Olá, há duas semanas eles arrancaram um dente do siso, mas ainda dói de engolir, e há uma pequena protuberância na parte inferior do queixo. O que fazer
Olá Geralmente em duas semanas a dor ao engolir desaparece completamente, e a origem do inchaço geralmente levanta muitas questões. Pode não haver inchaço no passado, ou o linfonodo pode ter aumentado devido ao processo inflamatório - é importante consultar um dentista e verificar se há algum risco no processo normal de cicatrização do orifício. A automedicação é indesejável, é melhor confiar nos profissionais.
4 dentes do siso retardados foram imediatamente removidos de mim. Após 4 dias, o inchaço desapareceu, a cabeça não doeu, não havia temperatura. Hoje é dia 8, mas a boca abre até a metade, isso é normal? Quando deve abrir normalmente? O que eu faço? Por favor me diga.
Olá Considerando que quatro dentes do siso foram removidos imediatamente, a abertura normal da boca será possível aproximadamente dentro de 2 semanas, no máximo 3 (isto é, se a cura ocorrer sem problemas adicionais). O fato de a boca ter começado mais ou menos a abrir é uma tendência positiva. Como você não tem outros sintomas preocupantes, não faz sentido entrar em contato com um dentista no momento.
Existe um conjunto de exercícios para melhorar a abertura da boca - exercícios de fisioterapia para a área maxilofacial. Encontrar esses exercícios não é difícil, o único conselho é fazer os exercícios sem tensão, fanatismo e zelo excessivo. O que é necessário não é velocidade, mas qualidade. Obrigado pela pergunta.
Meu dente do siso inferior foi removido hoje. Ele ficou doente por 1,6 anos. Ele doeu, cortou e pressionou o próximo dente. Certa vez, cortei um chiclete. Mas hoje de manhã acordei e tenho um fluxo. Como resultado, tudo estava inchado, o cirurgião chegou e foi removido. O procedimento não é agradável. Mas a dor após a anestesia é incrivelmente forte. Durante 7 horas, nada ajudou (nem Nurofen, eu não sei como me ajudar). O médico cortou severamente a gengiva, costurou-me com várias suturas e também me dói muito. Pessoas, não puxe a dor, retire imediatamente.
Três dias atrás, ela removeu um dente do siso na mandíbula inferior. A remoção foi difícil, mas eu apenas cortei a gengiva e a peguei inteira. Eu pensei que eles iriam quebrar a mandíbula ... De manhã, a boca não se abriu bem, mas à noite tudo voltou ao normal (embora a temperatura estivesse em 37,3). No dia seguinte, a temperatura diminuiu e não houve dor, mas a gengiva e a bochecha estavam inchadas, a boca se abriu 2 cm, não mais. É difícil até comer mingau. Momentos provam o sangue. Eu tenho tanto medo de que haja problemas com a mandíbula, pois ela se abre dolorosamente ((de manhã ligarei para o cirurgião. Quem sabe, isso é normal? Vale a pena se preocupar e ter medo, afinal, apenas três dias se passaram?)
Olá Vale a pena consultar um médico já porque a extração do dente foi difícil e, além disso, era um dente do siso. A violação da abertura da boca contra o fundo do edema local é quase normal, se não para uma série de "MAS", que o cirurgião-dentista controla após esta operação. Depois de estabelecer a causa exata desse problema, é especialmente importante começar a desenvolver a mandíbula de acordo com o esquema correto: sem esforços excessivos, sem problemas, gradualmente (sem fanatismo).
A única coisa que posso dizer sem exame: de acordo com as estatísticas, praticamente todo segundo paciente, em maior ou menor grau, tem violações da abertura da boca após a remoção do dente do siso, ou seja, com muita frequência. Esse sintoma dura mais frequentemente de 2-3 dias a uma semana.As exceções são a remoção traumática de dentes do siso complexos, especialmente em um hospital, onde esse período é objetivamente adiado para 2-3 semanas.
Saúde para você!
Diga-me, por favor, a remoção dos oito inferiores, anteontem, está ligada a um tumor do linfonodo esquerdo na garganta?
Olá Pode muito bem estar conectado, uma vez que os linfonodos estão frequentemente envolvidos em vários processos patológicos de natureza inflamatória. Após a extração do dente, ocorre uma ferida e, em resposta a ela, o sistema imunológico realiza certas ações. Essa luta do corpo muitas vezes leva à linfadenite - inflamação do linfonodo. Às vezes, esse processo se intensifica com o envolvimento de infecção na área de remoção - com alveolite, como opção. É por isso que você deve entrar em contato com o seu médico ou um cirurgião maxilofacial para obter ajuda, a fim de não perder complicações. Obrigado pela pergunta.
Há 5 dias, retirei meu dente da razão ... ainda não consigo comer como uma pessoa normal. Não consigo abrir a boca mais do que um centímetro. E não sei quanto tempo isso vai continuar ...
O fato é que, durante a remoção, o cirurgião usou uma ferramenta semelhante a uma chave de fenda e cavou com um martelo. Eu acho que a boca não se abre não por causa do dente, mas por causa de danos na mandíbula. Eu não sei o que fazer Embora o cirurgião seja um homem com 29 anos de experiência.
Olá O procedimento para remover os dentes com um cinzel e um martelo é bastante perigoso e traumático, geralmente na área de remoção há um inchaço pronunciado dos tecidos moles. É ele quem provoca a contratura dos músculos mastigatórios com uma violação da abertura da boca. Com graves danos aos tecidos, a mandíbula pode não abrir bem por até 1-2 meses. É por isso que é tão importante começar a desenvolvê-lo a tempo. Para que isso ocorra corretamente, entre em contato com o cirurgião maxilofacial e obtenha recomendações sobre um conjunto de exercícios para ATM. Quanto mais cedo você começar esses exercícios especiais, maior a chance de sua boca abrir nas próximas 1-2 semanas.
Ontem eu removi o 8-ku inferior. Eles fizeram uma injeção em dois locais, esperaram a ação do congelamento e, em seguida, com um empurrão em 2 segundos, o médico arrancou um dente. Ele cresceu comigo exatamente, não era diferente dos vizinhos 7 e 6. O dentista me aconselhou a remover, porque seu tratamento custará de 5 a 8 mil, mas, na verdade, não é necessário e você pode ficar sem ele. Hesitei por um longo tempo, mas depois começou a doer, desmoronar e até um pequeno pedaço se partiu. Como resultado, ela veio e foi excluída.
O congelamento passou após 5 horas e, antes disso, o rosto estava entorpecido e a língua, de madeira. Todo esse tempo há uma forte salivação, cuspo em guardanapos, espero que pare. O médico não me marcou, eu mesmo perguntei o que fazer. Ele diz que você não pode enxaguar por 2 dias e, a partir do terceiro dia, pode enxaguar com sálvia ou camomila. Obstrui, é claro, por enquanto, até um pouco no ouvido dá ou glândulas. Eu acho que essa é a norma. Vi meu dente após a extração - acontece que ele tem uma raiz muito longa, fiquei tão surpreso.
Fui à clínica de acordo com a política, paguei apenas 260 rublos. para a injeção de Ultracaine Forte.
O linfonodo à direita sob a mandíbula está inflamado. Sem dor. Após 3 dias, a dor também apareceu. E seus dentes pareciam estar apertados. O terapeuta enviado ao dentista - o dente não é visível. Tirou uma foto. Encontra-se na gengiva e sustenta outros dentes.
Eles agendaram a operação no início da manhã, avisando imediatamente que seria difícil. A operação durou 1 hora e 50 minutos. Eles tiraram fotos intermediárias. Serrou o dente completamente. 2 raízes olhavam em direções diferentes. Eles fizeram duas injeções adicionais de anestesia durante a operação. No final, as duas raízes foram retiradas e costuradas. Agora é a noite do segundo dia. Praticamente não há dor em um estado calmo. Ao tentar mastigar algo, dói até agora, mas acho que é bastante lógico.Bochecha inchada, boca não abre mais de 2 cm.
Eu bebo augmentin, suprastin e nise para dor. Enxágüe com clorexidina. Eu visitei o médico hoje - ele disse que estava tudo bem lá, não havia supuração.
O que eu quero dizer: de acordo com o médico, não faz sentido puxar com esses dentes. Desde cedo ou mais tarde, eles o informarão. Por mim, posso dizer que ontem não foi o melhor dia da minha vida. São sentimentos extremamente desagradáveis quando tentam estender um dente, fazem grandes esforços e ele não vai. Quando um pequeno arquivo fica na boca por muito tempo Bem, e quando a anestesia é liberada. Cuide dos seus dentes!
Oh, isso é um pesadelo, mas você pode sobreviver, do que sofrer ao longo da vida com ele. E, de qualquer forma, mais cedo ou mais tarde será necessário remover, e que, naquele momento, haverá consequências de um dente do siso doente - ninguém sabe ... Em novembro de 2016, eu tive que remover o oitavo dente à esquerda. Sentir não é nada agradável. E alguém nos comentários disse que quando você der à luz, você entenderá ... Bem, eu não sei, não sei. O processo de nascimento também é, é claro, doloroso, mas de alguma forma organizado no corpo da mulher, para que você não se lembre desses sentimentos. Provavelmente em algum lugar do sistema nervoso central.
Olá Três semanas atrás, houve uma remoção difícil dos oito inferiores, uma incisão lateral. Gradualmente, houve melhorias, e hoje a bochecha e o queixo estão dormentes novamente. Não há temperatura ou inchaço. A incisão lateral é parcialmente protegida, a comida entra. Vale a pena se preocupar, ou este é um processo normal de cura?
Olá Consulte o seu dentista, pois a compressão do nervo pode estar associada a um hematoma ou edema. Dormência só acontece por causa deste aperto. É melhor realizar um exame e diagnóstico: provavelmente, será necessário tratamento fisioterapêutico para acelerar o processo de redução do edema, o que significa melhorar a situação de parestesia (dormência). A parestesia passará somente após uma diminuição no grau de compressão do nervo mandibular. Você não deve entrar em pânico, mas terá que ir ao médico para normalizar rapidamente a condição e evitar a deterioração.
Obrigado pelo artigo e por essas respostas claras, detalhadas e amigáveis. Saúde para você!
Boa tarde, 7 de abril removi o fundo 8. Estou sentado em analgésicos e antibióticos, mas hoje (10 de abril) eu tinha uma temperatura de 37. Um buraco de uma cor incompreensível ... Branco-amarelo-cinza. Pelo que entendi, isso não é muito bom e você precisa correr para o médico, certo?
Olá Bem, embora não seja necessário correr muito rápido, você deve consultar um médico, porque o tempo e os sintomas podem muito bem ser a alveolite inicial, que é melhor combater antes do aparecimento de manifestações purulentas graves no orifício e nos tecidos que o rodeiam. O médico deve examinar a ferida para detectar a presença de fragmentos do dente, a presença ou ausência de um coágulo sanguíneo, além de placas nas gengivas próximas ao orifício.
De acordo com a situação, é feito um raio-x do orifício para procurar corpos estranhos (raízes dos dentes e suas partes). Somente após o diagnóstico e a determinação da causa do problema é realizado o tratamento. Seu curso depende do que o médico encontra. Se as raízes dentárias são encontradas no orifício, elas são removidas com anestesia. Se for alveolite no contexto de uma violação das recomendações ou erros do médico, uma curetagem de ferida (com anestesia) é realizada, um novo coágulo sanguíneo é formado e medicamentos para tratamento em casa são prescritos.
Eu li todos os comentários e não consigo entender nada! Eu tinha 20 anos, ou seja, 20 anos atrás, eles removeram três 8-ki e todos se aposentaram, em uma clínica regular, na Rebelião, em São Petersburgo. Bem, sim, bem, assustador, bem, uma broca e um formão, mas meu dia doeu e é isso! Agora eles me colocam na aula, prometem me alimentar por uma semana, desapego do músculo bucal e outros horrores. Não entendo se o mundo mudou?
Olá Sem examinar os detalhes da sua situação clínica, tenho apenas alguns palpites:
1. Você tem tal arranjo e orientação na mandíbula deste dente retinado que é impossível resolver o problema de outra maneira, tão logo no nível da ChLH;
2. Ou na clínica onde os dentes foram removidos antes, havia um excelente nível de preparação e, em certo sentido, "indiferença saudável" se você corresse o risco de remover dentes complexos em um nível diferente da IC;
3. É possível que você tenha sido informado dessa opção de remoção do ponto de vista comercial - presumo que esse tipo de intervenção possa ser benéfico para a clínica receber aumento de renda de uma operação complexa.
Mas eu entendo sua lógica (e até ressentimento). Um exemplo simples: uma pessoa sob anestesia foi submetida a cirurgia em um hospital para corrigir o septo nasal e a membrana mucosa, mas respirou normalmente por apenas cerca de um ano. Após o tormento, voltou-se para a clínica, onde corrige a mucosa com um laser em um dia sem anestesia (sob aplicação), e respira normalmente pelo nariz há mais de 5 anos. E nesses casos, uma carruagem e um carrinho pequeno serão digitados.
Mas o mundo mudou.
E ainda tenho que excluí-lo. Porra, como as férias vão para o mal, mais três dias para suportar.
Olá Hoje eles tiraram uma foto do fundo 8, a coroa foi aberta e dói. Raízes em um ângulo de 90 graus em diferentes direções. Eles disseram para ir ao hospital. Eu tenho medo da morte! O que me espera, me diga?
Olá Eu acho que você fará uma cirurgia: a remoção de um dente do siso complexo sob anestesia. É óbvio que os médicos são ressegurados, com foco no tratamento hospitalar, uma vez que existem indicações relevantes. Com o alto profissionalismo dos médicos, tudo será feito de maneira organizada e segura para a saúde. Anualmente, essas operações são realizadas em grandes quantidades (até um milhão por ano em todo o mundo), de modo que isso não é incomum e não é algo fora do comum. Portanto, não tenha medo e apenas confie nos médicos.
Olá. Hoje eles cortaram meu capuz. Turundul voou à noite, o que fazer.
Olá Eu recomendo que você consulte seu médico para correção do tratamento e exame de acompanhamento, uma vez que, sem informações adicionais sobre a situação clínica, não se sabe o quão significativos são os benefícios da fixação da turunda e, consequentemente, quais são os possíveis danos causados por sua perda.
Bom dia a todos! Hoje é o 11º dia em que removi os oito inferiores. Fui ao médico no quarto dia de dor - verificou-se que estava crescendo, estava coberto de gengivas, respectivamente, foi removido com o retalho mucosa-periosteal dobrado para trás. O dente foi serrado por bifurcação, suturas absorvíveis foram aplicadas, a operação levou cerca de 30 a 40 minutos (segundo o médico, não a mais difícil). A dor, enquanto a anestesia era retirada, era hoo, bebia analgésicos. A temperatura não aumentou, o inchaço no lado da bochecha durou 2 dias. E tudo ficaria bem, mas a dor (exatamente a mesma, por causa da qual eu fui ao médico) persiste até hoje. Com intensidade um pouco menos, no entanto, sento-me em analgésicos (2 comprimidos por dia). Não li os comentários, achei que até uma semana a dor é normal, então fui ao médico no dia 8. Ele limpou o buraco, tanto quanto eu entendi, colocou o remédio, disse, muito provavelmente, a dor agora passará. Mas infelizmente. Amanhã vou a ele novamente. Em geral, esse é um comentário para aqueles que sofrem há muito tempo - você não está sozinho. Bem, e se você me disser qual é a melhor maneira de agir agora, ficarei muito agradecido. Posso cancelar a assinatura do resultado de uma nova viagem ao médico ...
Olá Não sou defensor de colocar “drogas” no buraco, pois às vezes elas não trazem alívio, mas parecem um corpo estranho. É muito mais benéfico para um poço ter um coágulo sanguíneo bem formado, pois esse é o melhor curativo biológico.Por outro lado, não sei o quão "limpa" é sua ferida: não há fragmentos de dente cariado, fragmentos de osso pendurados nas gengivas, partes superiores das raízes deixadas no buraco, granulomas, cistos etc.
Às vezes, o buraco é muito doloroso devido às bordas afiadas do osso, que não foram corrigidas durante a remoção complexa. Furar-se acima da gengiva, no nível da gengiva ou nas bordas afiadas das paredes do buraco abaixo da gengiva, frequentemente interfere no curso normal da cicatrização. Daí a dor, às vezes severa. Portanto, pode haver muitas causas de dor.
Como não há imagem e dados precisos para uma operação de qualidade, é difícil avaliar a situação e aconselhar qualquer coisa. Em casos extremos, se é possível obter aconselhamento em outra clínica, é melhor fazê-lo - na sua situação, um exame por um especialista independente só será bom.
Olá Há três meses, retirei os oito inferiores (perfurar um osso, uma incisão, suturas). A sensibilidade do rosto e dos lábios se recuperou e os dentes - não completamente. Parece que o sétimo e o sexto dente se moveram em direção à língua e a língua está no caminho. Atrás do sétimo dente, sob a gengiva, um canto do osso apareceu. Por favor me diga o que poderia ser?
Olá Eu simplesmente não posso prescindir de um exame, mas posso dizer primeiro que o ângulo do osso pode ser exostose - o crescimento do osso no contexto da extração traumática de dentes. Na maioria das vezes, as exostoses precisam ser removidas. Ou poderia ser uma parede pegajosa dos alvéolos, que o cirurgião não notou e não corrigiu, mas que já estava significativamente apertada pela gengiva. Como você está falando sobre a perda de sensibilidade da face e dos dentes, há uma manipulação traumática (não necessariamente por culpa do médico - geralmente a situação clínica determina suas próprias regras).
Eu recomendo que você consulte um médico, avalie se a situação atual é uma ameaça e, se necessário, tome as medidas apropriadas.
Por um longo tempo (cerca de 10 anos), os oitavos inferiores estão tentando superar. Inscreveu-se para exclusão. 24 de maio foi uma remoção longa (cerca de uma hora) e difícil dos oito certos. O dente estava localizado diretamente, mas "descansava" na mandíbula; portanto, como o médico disse, ele não estava destinado a nascer. A raiz foi alargada por baixo e apoiada contra um dente 7. Eles colocaram lidocaína, cortaram, cortaram a mandíbula (perfuraram profundamente a bochecha, mas não de um lado para o outro), usaram um cinzel e um martelo. Todo o dente foi extraído, um pedaço de algum tipo com o medicamento Vitaon foi colocado. No terceiro dia, ela conseguiu engolir saliva sem dor. Após 10 dias, a mandíbula se abriu sem dor e os fios subiram (um pedaço de remédio). Não havia temperatura.
Hoje, 15 de junho, o chiclete não cresceu completamente juntos - parece que a mandíbula está nua, há desconforto. Além disso, sob a mucosa da bochecha, as bordas do osso da cavidade dos oito removidos são sentidas, pressionando o sétimo dente. Provavelmente, a dentição começou a mudar. A imagem é a seguinte: atrás do 7º dente, a gengiva é parcialmente parcial, um osso é visível mais próximo da bochecha, a bochecha pressiona o 7º dente, dentro da qual está a borda do osso, e abaixo desse local (no "pé" do 7º dente) a cicatriz na mucosa na forma de um corte, passando para o local onde o osso está exposto. Como estar nesta situação?
Olá Como a remoção estava associada a grama significativa de tecidos moles e ossos, depois disso, o médico foi solicitado a corrigir as paredes dos alvéolos (para que não houvesse arestas cortantes), goma de plástico, acoplada à sutura, o que minimizaria a folga. Muitas vezes ainda coloque osso artificial no buraco para acelerar sua regeneração, também suturando.
Se você não teve isso, então, perto de 100%, é por isso que a ferida cura, "aberta a todos os ventos".
A consulta do cirurgião maxilofacial será útil na sua situação - é possível que seja necessária a correção dos alvéolos e das margens gengivais com o fechamento da ferida.Se você deixar como está, o mínimo que será será uma restauração natural a longo prazo da crista na área do dente do siso (de 6 meses a um ano após a remoção).
Olá, gente boa. Eu tenho um problema aqui. Há um mês, eu tive um dente sábio removido na parte inferior. Após a remoção, formei uma fenda, ou o que for chamado, entre o sétimo e o dente removido. Os restos de comida penetram nesse slot, se não estiver frio. Embora eu limpe e enxágue depois de comer ... E um cheiro desagradável saia dessa lacuna, cheira mal ... O que devo fazer? Como ser Por favor, informe.
Olá Após remoções complexas e (ou) não profissionais, o buraco cura, levando em consideração o defeito formado pelo médico, e às vezes isso causa desconforto ao paciente. No seu caso, o buraco do fundo já está praticamente formado para esse período (mês). Como alternativa, você pode usar o irrigador, configurá-lo no modo mínimo e limpar as lacunas com um jato de água quente. Então o odor desagradável irá parar e os espaços entre os dentes serão limpos. Posteriormente, você pode aumentar a pressão da água para regular um nível adequado de higiene.
Olá. Ontem, o dente do siso inferior foi removido. Após a remoção, houve e ainda está indisposto, calafrios, fraqueza. A temperatura elevada dura pelo segundo dia. Eles tomaram duas injeções de ultracaína, além de eu ter rinite alérgica. O que fazer ???
Olá É possível que, além da reação do corpo à extração dentária, também sejam impostos os sintomas da rinite alérgica. Penso que o problema deve ser resolvido não apenas com o dentista, mas também com um médico otorrinolaringologista ou um alergista-imunologista. Em casos extremos, se não houver especialistas, o terapeuta local o fará. Eu não recomendo o auto-tratamento. O principal é entender a relação de causa e efeito; portanto, em qualquer caso, é útil consultar um médico.
Olá. Ontem, eles removeram um dente do siso (8 ku) usando uma broca - serrar. À noite, o nó submandibular começou a aumentar à esquerda, hoje se tornou maior e dói. O buraco em si não dói. É difícil abrir a boca. Tudo bem?
Olá A violação da abertura da boca nos primeiros dias após a remoção do dente do siso e o aumento do linfonodo submandibular são sintomas frequentemente observados, os quais estão amplamente associados à invasão da intervenção. O pânico não vale a pena, é importante apenas seguir corretamente as recomendações do médico para evitar complicações (alveolite, por exemplo). Se você tiver alguma dúvida, um exame de controle pode ser aplicado conforme planejado por 3 dias após a remoção, para garantir que o orifício cicatrize no modo normal. Em geral, observe sua condição dinamicamente - se houver uma deterioração, vá ao médico imediatamente. Se a cada dia ficar melhor, não se preocupe.
Olá Removemos a figura oito à esquerda (ontem, 08/03/17): serrar o osso, prescrever antibióticos. Quão necessárias são elas se hoje, 04/04/17, o edema é quase imperceptível, e não há desconforto grave por dentro, e a dor não é muito forte, desaparece rapidamente após a pílula do nise? E o mais importante: 2 oitos, ambos os complexos, especialmente o inferior à direita, já foram removidos, mas tudo se recuperou com confiança, sem antibióticos.
Olá As táticas do dentista nesses outros casos são individuais: o especialista avalia a necessidade de antibióticos, com base em muitos critérios. Os mais importantes são os traumas durante a cirurgia para remover o dente e a presença de processos purulentos nas raízes.Somente o médico assistente ou o dentista em outra clínica tem o direito de cancelar antibióticos, mas somente após examinar o paciente e coletar uma anamnese. À revelia, nenhum médico tem o direito de cancelar seu medicamento à revelia.
Seja como for, qualquer paciente tem o direito de aceitar ou não tomar este ou aquele medicamento, embora muitas vezes devido a uma decisão não autorizada, haja riscos de complicações. Sim, você teve uma experiência positiva de tomar antibióticos depois de remover os dentes do siso, mas não há garantia de que, nesse caso, ignorar o uso de antibióticos funcione da mesma maneira.
Olá Removido o fundo oito com lidocaína, oca. Foi muito doloroso. O médico disse: tudo foi excluído. No quinto dia, adormeço com cetorol. Começou a ceder nos dentes adjacentes e até na parte superior. Hoje examinei cuidadosamente o buraco com o espelho e vi claramente a extremidade redonda da raiz. O médico decidiu que ele tinha o suficiente? E o que devo fazer a seguir? Obrigada
Olá Táticas adicionais são as seguintes:
1. Vá a outra clínica na qual seus conhecidos, amigos estejam confiantes e encontrem um bom dentista-cirurgião ou cirurgião maxilofacial;
2. Tire uma foto do buraco com a raiz esquerda (também pode haver partes da coroa, granuloma, cisto);
3. Após o diagnóstico, faça a curetagem do poço e remova todo o material estranho que foi deixado nele;
4. De acordo com as indicações, costura e hemostasia;
5. Marque uma consulta com um médico e realize-a;
6. Vá ao exame do buraco para detectar sintomas graves (febre alta, dor intensa, inchaço etc.), bem como exames de acompanhamento agendados para analisar a dinâmica da cicatrização.
Eu não recomendo me tranquilizar com pensamentos de que a raiz do dente deixada no buraco de alguma forma "se dissolve" ou sai sem intervenção. É melhor resolver o problema no estágio atual do que esperar complicações no futuro.
Olá Hoje tirei um dente, figura oito ... Dor selvagem! Transformaram o chiclete em nada. Torturado por uma hora e meia, quatro de nós escolhendo! Eles escavaram um dente com um martelo dental. Agora o inchaço é terrível, engolir dói. Ainda estou apavorada, não esperava tanto estresse e dor! Após a remoção, esse buraco permaneceu - nem posso chamá-lo de buraco. Agora não sei o que fazer para aliviar de alguma forma meu sofrimento ...
Olá Siga as recomendações do dentista (tomando analgésicos, agentes antibacterianos, anti-histamínicos) e também seja paciente. Se não houve consultas, recomendo entrar em contato com urgência com seu médico ou outra clínica para que, levando em conta o exame e a história, seja prescrito um tratamento domiciliar competente para aliviar sua condição. Não tenho certeza de que vale a pena ir à clínica onde você removeu para obter o conselho certo, pois remover com um martelo é um método desatualizado que foi substituído em nosso tempo pela separação das raízes dos dentes com uma broca.
Não persista até amanhã, mas resolva o problema o mais rápido possível.
Olá. Eu leio os comentários e isso fica ainda pior para mim, mas ainda preciso remover o dente do siso, que fica na gengiva. Tenho medo de imaginar como eles conseguirão isso para mim. Diga-me exatamente, quanto tempo dura inchaço e dor severos? Ontem mesmo, eles cortaram meu capuz e cuidadosamente cavaram mais fundo, eu me sento em um cetorol, porque a dor é infernal e cede no meu ouvido. O que acontecerá quando você precisar de um dente ... Estou apavorado e com medo de ir ao médico.
Olá A duração do edema e da dor após a remoção complexa do dente do siso retardado em cada caso é diferente e depende de muitos fatores, incluindo as características individuais do corpo. Na maioria das vezes, sintomas desagradáveis acompanham uma pessoa por 3-10 dias, mas às vezes o inchaço dura mais tempo.Você realmente não deve ter muito medo, já que o medo do paciente costuma interferir com o médico assistente, e muitas vezes é impossível resolver o problema sem remover o dente com uma única excisão do capuz (há riscos sérios de um processo purulento no osso maxilar próximo ao dente do siso).
Eu recomendo perguntar imediatamente ao seu médico sobre analgésicos que duram muito tempo (até 24 horas). Eles ajudam a tornar o período pós-operatório o mais confortável possível.
Olá. Ontem removeu o dente do siso inferior. Este foi o meu último "sábio". Os dois superiores foram removidos sem problemas. A mais baixa foi removida há cerca de 15 anos, quando estava começando a entrar em erupção (removeram 40 minutos com um cinzel, etc., no dia seguinte houve fortes dores; mas isso tudo aconteceu no passado). Ontem, o médico conseguiu por cerca de 20 minutos, mas ao remover, aparentemente, o nervo foi tocado, enquanto havia uma sensação de formigamento na região do queixo. Hoje acordei, pensei que a anestesia não passou. Foi precisamente a área em que o nervo transmitiu seus impulsos ontem. Eu li este artigo e me acalmei um pouco. Esta é uma situação normal? Não sinto grandes problemas na área do dente extraído, mas há um pouco de desconforto na área entorpecida da mandíbula - os dentes doem um pouco neste local. Espero que tudo isso passe em breve.
Olá Uma leve dormência (parestesia) pode resultar de um hematoma na região do nervo mandibular. Como a extração dentária (a julgar pela sua descrição, durou apenas 20 minutos) não foi difícil, a probabilidade de lesão mecânica das fibras nervosas com uma ferramenta é pequena. Penso que esta é a compressão usual de um tronco próximo com um hematoma. Muito provavelmente, você sentirá alívio dentro de uma a duas semanas. É bom que você seja positivo.
No entanto, se não houver melhorias em duas semanas, recomendo que você consulte um médico para obter orientação. Pode ser necessário realizar fisioterapia.
Em 31 de agosto, um dente do siso na minha mandíbula foi removido. Ele cresceu horizontalmente, nem cortou, então o cirurgião teve que abrir a gengiva, puxar e costurar. Nos primeiros 3 dias, sentei-me em ketanov, 2-3 comprimidos por dia. No dia 3 fui à recepção, o médico disse que estava tudo bem, em uma semana para vir retirar os pontos. E naquele dia à noite, dores infernais começaram no templo, ao engolir, no ouvido, sob o queixo, e uma ondulação apareceu na gengiva. Todos esses sintomas foram anteriores, mas suportáveis ... E agora, a medicação para a dor não ajuda. Hoje é o quarto dia após a remoção, e ele é o mais doloroso. As lágrimas fluem da dor ... não sei o que esperar amanhã.
Olá Provavelmente, você está enfrentando alveolite. Eu recomendo não esperar uma semana, como disse o médico, mas entrar em contato com ele urgentemente agora para processar o buraco com anestesia e ajustar as recomendações. Caso contrário, você corre o risco de não obter alívio e seu tormento continuará (provavelmente, eles até se intensificarão).
Hoje removido o dente do siso, canto inferior esquerdo. O processo de remoção em si foi insensível (embora o médico tenha cortado a gengiva e perfurado o dente três vezes, retirado por um longo tempo e depois costurado). O dente repousava sobre um dente vizinho e não podia crescer por si próprio.
A anestesia passou cinco horas após a operação, tomei analgésico e antibiótico. Agora, sete horas se passaram, e a bochecha está desagradável e constantemente inchada, como um hamster de um lado. Não consigo abrir a boca, mas tudo está em ordem.
Portanto, não tenha medo de arrancar um dente. Isso é o que acontece depois - muito mais doloroso 🙁
Removido todos os 4 oitos sob sedação há uma semana. 8 pontos, mas cura lentamente. No entanto, 6 dias de dor - tomo Ketorol.
E, por favor, diga-me, meus oito inferiores esquerdos crescem com um chapéu na direção de sete (já perto), não dói. Uma raiz é tricotada.O médico disse que você precisa serrar o chapéu e depois cortar as raízes. Quão doloroso é isso (baseado na prática)?
Olá, Cyril! Esses dentes geralmente são removidos cortando as partes da coroa e da raiz. A remoção em si é geralmente indolor, porque o nível dos anestésicos modernos é muito alto. No entanto, muitas vezes acontece que após a cirurgia, os pacientes experimentam dor intensa e é difícil prever essas coisas com antecedência (ou seja, pode não haver dor).
Dependendo da complexidade da remoção e das características do seu corpo, a intensidade da dor no pós-operatório também dependerá. De qualquer forma, serão receitados analgésicos que ajudarão você a suportar confortavelmente esse período.
Eu tenho 2 "oito" inferiores estritamente na horizontal. Descobri isso quando a gengiva à esquerda estava inflamada e inchada. Na clínica odontológica, eles realizavam excisão da mucosa e prescreviam antibióticos para aliviar a inflamação. Foi-me mostrado para remover o dente esquerdo sem falhas (embora eu me recusasse a fazer isso em uma clínica de orçamento). Eu me virei para um particular, onde, em vez de tranquilizar, eles me disseram que é possível uma fratura da mandíbula durante a operação, danos ao nervo, que podem levar a consequências até a vida toda. Entendo que essas são possíveis conseqüências - li muito sobre a “sabedoria” da extração de dentes; no entanto, esperava que isso fosse improvável. Agora tenho medo de ir a este médico. É normal que o médico, por assim dizer, recuse sua responsabilidade antecipadamente, dizendo "pode ser, e devo adverti-lo"? O médico é realmente incapaz de evitar essas coisas e esse é realmente o meu problema devido ao mau posicionamento dos dentes? Bem, eu concordo com os nervos, vi na foto que as raízes estão localizadas próximas a elas e é difícil não machucá-las. Parece que as raízes dos dentes já estão tocando neles, mas com uma fratura da mandíbula - é demais?
Olá, Nadia. O médico não se exime da responsabilidade, mas alerta para possíveis consequências, pois a remoção dos dentes do siso é uma manipulação complexa, e o paciente deve conhecer antecipadamente os fenômenos pós-operatórios. Quanto à fratura das partes da mandíbula durante a remoção, isso praticamente não ocorre, ocorre extremamente raramente.
Portanto, não se preocupe muito, escolha um cirurgião-dentista com experiência, e tudo estará em ordem.
O primeiro de novembro removeu o dente do siso. Embora, devo dizer, primeiro eles cortaram e depois arrancaram um dente - o dente voou 1,5 metros. Costurado, colocado na drenagem, prescrito um enxágüe extra e pílulas, enviado para casa. Então, eu fui salvo de fortes dores após a anestesia com fita adesiva na bochecha e no queixo. Cura por um longo tempo, a dor cede no ouvido e na garganta, dói de engolir. E ajudou com gel de edema Kinesis (do plasma sanguíneo do maral) e gravação periódica. Bem, mesmo que a boca se abra, a ferida está limpa. Os pontos serão removidos 10.11. Bater com o método de drenagem linfática é muito útil.
Boa noite Ela removeu o dente do siso inferior do lado esquerdo depois de ficar terrivelmente doente a noite toda no final de julho. A remoção não foi muito difícil (não foram prescritos antibióticos). O médico disse que havia excluído tudo completamente (trouxe uma foto de revisão). Após a remoção, houve inchaço da bochecha durante o dia (fazendo compressas frias). No dia seguinte, houve uma temperatura e calafrios (por vários dias), não houve inchaço no dia seguinte. O local do dente extraído me incomodou, a mandíbula também doeu.
Durante o primeiro mês após o aperto da gengiva, um sulco de cor marrom apareceu e a dor estava presente periodicamente. Eu vim para a recepção novamente, nomeou uma foto - tudo estava normal. O médico se ofereceu para limpar, mas eu recusei porque precisava voar para descansar (a dor na mandíbula persistia, mas não grave, eu não tomava pílulas).Passados 1,5 meses, voltei do repouso, a dor era rara e depois desapareceu completamente.
Mas, algumas semanas depois, uma peça afiada apareceu - eu aparentemente pressionei e ela saiu. Uma lasca muito decente, ou pedaço de osso (a parte superior é afiada e a parte inferior de um lado é entalhada, e na seção como um osso tubular). Eu fui ao médico que estava removendo - ele disse que tudo estava normal, poderia ser uma partição ou uma borda afiada. Lavou e soltou (sim, eu ainda insisti na foto). Eu tirei uma foto panorâmica. Ela já consultou 5 cirurgiões, 4 dos quais dizem que tudo está normal e 1 não exclui osteomielite (algo que não é parecido na figura, embora a figura no osso seja clara). Ele disse para beber o antibiótico Amoxiclav, 10 dias.
No momento, as gengivas são rosadas, não inflamadas, mas há dores de caminhada. Às vezes, as gengivas doem e tudo desaparece (eu uso gel de metrogila), e às vezes dores na mandíbula, mas não tomo analgésicos. Eu esqueci de dizer: algumas vezes houve dores que reagiram ao calor - fui ao terapeuta, ela disse que a raiz 7. era visível.Ela prescreveu um raio-X de 6, 7, 8 dentes (em uma foto panorâmica 7 vi cárie profunda, 6 com granuloma). Mas até agora eu não fui curar. Eu quero ouvir sua opinião. Agradecemos antecipadamente! Saúde para todos! Tudo é individual.
Olá Penso que um fragmento de osso foi deixado originalmente após a remoção do dente do siso inferior - isso quase nunca leva a uma complicação séria, mas às vezes cria algum inconveniente temporário para o paciente.
A dor quente geralmente indica que em qualquer dente há pulpite ou alterações periodontais, o que seu médico diz (6 dentes com granuloma). Com menos frequência, a dor por calor pode ser um sinal de cárie - nesse caso, quando examinada na cavidade oral e ao verificar um dente específico para uma reação à dor por frio, também pode ocorrer. De qualquer forma, é necessário tratar os dentes problemáticos identificados. Mas tocar no buraco (para produzir curetagem) após esse período não é aconselhável.
Estou deitado na enfermaria e lentamente okh * nayu depois de remover 8 (canto inferior esquerdo). Parece que o chão da mandíbula está arrancado. Em geral, o diabo não é tão terrível) Vá em frente, quem precisa, tudo será Zer Gut! 🙂
Hoje, em uma clínica gratuita, retirei o dente do siso (canto inferior direito). Como o médico tirou o dente tão rapidamente, em 30 segundos, resta adivinhar. Mas tenho certeza de que ela é uma mestra nisso. Porque ela fez tudo devagar. O principal é ajudar o médico, ou seja, relaxar, abrir a boca até o fim e tentar ajudá-la quando ela o tocar.
Depois de que tempo pode ser removido um segundo dente do siso na mandíbula inferior? ) A primeira remoção foi em 15/02/2017.
Olá Julia. Para remover o segundo dente do siso, basta aguardar o estágio do início da epitelização - você precisará esperar de 7 a 10 dias. Mesmo após esse período, ainda haverá um aprofundamento, mas ao mesmo tempo será preenchido com uma goma rosa e você poderá mastigar deste lado sem dor, poderá se inscrever para a próxima remoção.
Hoje, as filhas removeram os oito inferiores. Depois de 2,5 horas, saí chorando. O tormento não está terminado, pois nem todos foram excluídos. Isso é realmente permitido?
Olá Alexander. Às vezes, uma operação para remover um dente pode levar um tempo considerável e nem sempre ocorre sem problemas. A dificuldade geralmente é que o dente esteja quase completamente no osso e possa estar no canal mandibular, dentro do qual o nervo passa. Se esse nervo estiver danificado, certas partes da face poderão permanecer insensíveis por um longo período de tempo (menos frequentemente - para sempre) - como se a anestesia não tivesse saído. Portanto, cirurgiões-dentistas, agindo de forma responsável e realista, cientes de suas capacidades (sua experiência, por exemplo, bem como a presença ou ausência de um ou outro equipamento) às vezes não concluem a operação.
Mas, em qualquer caso, deve haver alívio adequado da dor. Eu recomendo entrar em contato com um cirurgião maxilofacial experiente para esclarecer a situação.
Olá Meu filho teve uma oitava remoção difícil há 10 dias.Há 2 dias, a temperatura subiu 39, que em um dia caiu ao normal. Agora, cerca de sete dores inchadas e doloridas. Porque
Olá Muito provavelmente, o orifício do dente estava inflamado. Você precisa urgentemente consultar um médico para que ele revise o buraco, caso contrário, um abscesso pode se formar na gengiva. Inflamação 8 dias após a extração dentária pode ocorrer por várias razões, mas provavelmente o conteúdo da cavidade oral entrou no buraco, o que levou a uma complicação. Agora, é importante tomar as medidas necessárias a tempo de entrar em contato com um cirurgião-dentista, a fim de evitar maior deterioração da situação.
Meus oito menores ficaram doentes. Naturalmente, pus. Eu não sei como ele estava comigo, parecia, era visível do lado de fora. Excluído - foi alguma coisa! A injeção foi fraca, como resultado, eles vazaram. Eu já pensei que eles nunca o tirariam. Eles me disseram para dormir imediatamente, quando eu chegar em casa, vai doer. Mas depois do que sofri, não vi mais a dor depois! Meus dentes estavam quebrados, mas não muito. Curado em uma semana.
E eu não tinha 8-ku, mas o 5-ku retardado foi removido, assim como o podre de 6-ku e 4-ku (há 3 dias). 5 sentou-se profundamente e descansou contra 4. Por mais de uma hora, eles serraram, perfuraram e sacudiram com um elevador. Duas anestesia. Como resultado, eu não conseguia sair da cadeira, a pressão aumentou, eles chamaram uma ambulância. Dos profissionais: sem inchaço, a dor era apenas no primeiro dia. Dos pontos negativos: parte do lábio e queixo estavam dormentes.
Hoje eles removeram 8 de mim na mandíbula inferior. Não senti mais dor. Havia tremores, ela agarrou a cadeira com as mãos - ela tremia com uma cadeira por alguns dias. Doctor O médico costumava trocar de instrumento (fechei os olhos para não ver esses pedaços de ferro). Houve uma crise, dor, gemidos! Depois que o dente foi removido, a dor diminuiu imediatamente. Tremor não passou por duas horas, provavelmente. Estou satisfeito com o resultado até agora - sem inchaço, sem hematomas, apenas dor de garganta e abrir a boca está doente. Prescrito para beber um antibiótico. A operação foi realizada gratuitamente em uma clínica local. Médico inteligente é um mestre de seu ofício!
Bom dia a todos! Aconteceu remover 8-ku na mandíbula inferior (voou para o mar ...) Eu moro na cidade de Vladimir. Temos um dentista incrível. Anestesia, expectativa e remoção ... Doente, mas passou sem complicações. Graças ao médico!
O principal não é puxar, mas entrar em contato imediatamente com um especialista. Por três dias, um dente doeu, um fluxo se formou. Fui para uma remoção paga. Eles o removeram rápida e sem dor, mas muito pus se acumulou. O resultado - eles colocaram em um hospital, cortaram a parte inferior da bochecha por fora. Eu tenho medo de ir ao espelho!
Eu decidi remover o dente do siso. Ele se senta em um osso e tem um capuz em cima. Dor doendo, cede no ouvido. Eu vim para a recepção, o médico me disse - que doente, e venha. Qual é a competência deste médico?
Olá. Se você sente dores constantes na área do dente do siso, essa é uma indicação direta para sua remoção, e a capa gengival aqui não é um obstáculo. Não recomendo esperar até que o problema entre em uma fase aguda.
Pessoas que escrevem críticas negativas, conversando sobre o sofrimento durante e após a extração dentária, simplesmente surpreendem sua mansidão ... Você não entende isso e julga o médico. O médico não assusta, mas realmente avalia a imagem e explica a você. E qualquer intervenção cirúrgica é um assunto sério. Como uma ferida recente após a extração do dente não machuca e não incomoda? Você se corta com uma faca - também aguarde o corte curar. E aqui está a extração do dente! Não é necessário encontrar falhas nos médicos, mas ouvir o que eles estão dizendo e ajudar - antes de tudo, você precisa disso, não do médico. Se você acha que isso é fácil e simples e tem uma atitude negativa, por que ir ao hospital - faça você mesmo, se você é tão inteligente ((é muito triste que tenhamos pessoas tão arrogantes e ingratas)!
Olá Cerca de três semanas atrás, os 8 inferiores foram removidos. O processo de cicatrização correu bem, foi apresentado ao médico uma semana após a remoção - tudo estava normal.
Ontem, o chiclete naquele local voltou a inflamar, mas durante esse tempo consegui me mudar para outro país (o apaguei especialmente antes de sair, porque sabia que aqui é muito mais difícil). O que você pode aconselhar nessa situação? Agradecemos antecipadamente!
Olá Em 3 semanas de cura normal, a alveolite não pôde se desenvolver. Muito raramente, ocorrem complicações tardias se o médico não removeu o dente inteiro (por exemplo, uma raiz quebrada permanece no buraco). Se agora estamos falando apenas das gengivas, quase sempre é só colocar comida no buraco. É resolvido por lavagens anti-inflamatórias. Se não houver dinâmica positiva, procure um médico (você pode precisar tirar uma foto para controlar a qualidade da extração dentária).
Sim, também sofri com a dor de um dente do siso. Eles me removeram, e o resultado não foi muito agradável. O fato é que, depois de 2 dias, o lado direito da mandíbula começou a doer, e também houve um declínio. Além disso, doeu abrir minha boca. Não sei o que acontecerá a seguir, mas espero apenas o melhor. Embora, como dizem aqui, você precise de analgésicos, mas eu já bebi muitos deles e estou cansado de tudo. Não sei o que acontecerá a seguir, mas é melhor não atrasar a remoção desse dente. Boa sorte a todos e boa saúde.
Dois dias atrás, ela removeu os oito inferiores sob anestesia geral. A operação durou exatamente uma hora e meia. Depois de todos os horrores que eles escrevem sobre remoção sob anestesia local, eu nunca teria decidido. Não houve dor após a operação, mas surgiu outro problema - aparentemente, um nervo foi ferido e agora não sinto a gengiva e o lábio direito (como se estivesse sob anestesia). Eu vou ao médico amanhã. Espero que isso passe logo ...
Gente, eu sou um lutador - um atleta. Se eu excluir os oito, levará meio mês? E então a mandíbula não ficará mais fraca? Em geral, será possível entrar nele mais tarde? Ou é melhor remover um dente adjacente? Minhas oito estão na horizontal, apressando os dentes adjacentes uns sobre os outros ((
Olá Yegor! Com relação à fraqueza da mandíbula após a remoção do 8º dente - sim, há uma certa lógica em seus pensamentos.
Por meio mês, o orifício do dente extraído não cicatriza. Isso levará pelo menos 3-4 meses. Quanto à sua suposição de que "é melhor remover o dente adjacente" - você não precisa remover nenhum dente adjacente sem indicações. E golpes na mandíbula são geralmente melhores para não perder.
Esta manhã removeu 8-ku, experimentou um pesadelo completo em sua vida. O médico não tirou uma foto e depois não conseguiu entender por que o dente não sai. Pressione constantemente a ferramenta no dente (quebrando-o ou o quê). Por 1 hora e 15 minutos, fiquei sob tal tortura. Eu pensei que a mandíbula se apertaria. Agora é uma da manhã, os dentes estão dormentes, os lábios também, o canto da boca é arrancado, escorrendo. Lábios machucados, estomatite apareceu, bochecha inchada ... Não consigo nem abrir minha mandíbula. Visão terrível! O médico aconselhou apenas analgésicos. Só isso. O médico fez tudo corretamente e haverá analgésicos suficientes para eu me recuperar agora?
Olá Elena. Nesses casos, geralmente é recomendável seguir as instruções do médico que realizou a operação para remover o dente do siso, pois é esse médico que possui informações completas sobre seu estado de saúde. No entanto, dados os sintomas que você descreveu, é necessário não apenas tomar analgésicos em casa, mas marcar uma consulta com o médico e estar sob sua supervisão periódica. Se houver alguma dúvida sobre a competência do médico, você poderá se inscrever em outro especialista. De qualquer forma, após uma intervenção traumática, o controle do médico é muito desejável e reduzirá ao mínimo o risco de complicações.