
Às vezes, após a extração do dente, após cerca de 1-3 dias, começa a inflamação e supuração do buraco (alveolite) - uma complicação bastante perigosa, que é acompanhada por uma série de sintomas desagradáveis. A alveolite pode ocorrer após a extração de qualquer dente, interrompendo o processo normal de cicatrização do buraco e muitas vezes criando uma séria ameaça à saúde humana em geral.
Se após a remoção do dente a tempo de não tratar o buraco afetado pela alveolite, haverá riscos de complicações graves. Por exemplo, com o desenvolvimento adicional de um processo nulótico purulento, pode formar-se osteomielite limitada na ferida, o que cria os pré-requisitos para o desenvolvimento de abscessos com risco de vida e fleuma da mandíbula. A rápida disseminação da infecção nos espaços profundos da mandíbula inferior pode causar intoxicação sanguínea (sepse), na qual uma pessoa às vezes morre em questão de dias.
A foto a seguir mostra um exemplo de phlegmon odontogênico:

É por isso que é tão importante reconhecer o problema a tempo. Se, depois de arrancar um dente, o buraco estiver podre por algum motivo, não espere até que tudo resolva por si só - você precisará usar todos os meios possíveis para interromper essa complicação.
E então consideraremos em detalhes as principais causas da inflamação do orifício dentário, quais remédios caseiros podem ser usados para tratar a alveolite e, nesses casos, a ajuda de um dentista é obrigatória na solução de um problema.

É interessante
Segundo as estatísticas, a alveolite geralmente se desenvolve após a remoção dos molares da mandíbula (molares), incluindo os dentes do siso. O fato é que a estrutura da mandíbula inferior, em comparação com a superior, possui uma série de características importantes que criam inconvenientes ao trabalho do dentista-cirurgião: é mais difícil extrair raízes complexas (por exemplo, curvas) do osso "espesso" e, além disso, a infecção entra rapidamente espaços profundos com o desenvolvimento de inflamação purulenta.
Portanto, objetivamente, há uma chance maior de que alveolite ocorra após a remoção de grandes molares da mandíbula. Nesse sentido, os dentes do siso são especialmente problemáticos.
Como o orifício parece normal após a extração do dente
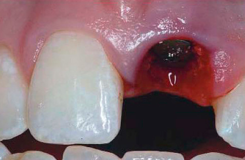
Após a extração do dente, o sangramento do orifício geralmente ocorre imediatamente (mas às vezes a adrenalina do anestésico estreita os vasos tanto que o orifício está quase “seco” no início e o sangramento se desenvolve apenas mais tarde quando o paciente já está em casa). Normalmente, o sangue para dentro de 3-30 minutos, formando um coágulo no buraco, que protege a ferida de influências externas adversas.
A foto abaixo mostra como o buraco fica logo após a remoção do dente do siso, anteriormente escondido sob a gengiva:


O coágulo sanguíneo que se formou após a extração do dente muda em alguns dias, da Borgonha para a mais clara, com um tom amarelado. A cor, neste caso, é determinada por processos fisiológicos naturais: o componente vermelho dos glóbulos vermelhos (hemoglobina) é gradualmente lavado pelo fluido da cavidade oral, mas o chamado esqueleto de fibrina é preservado, que serve como base estrutural do trombo, o que evita o sangramento do orifício do dente extraído.
Se a cicatrização do tecido ocorrer sem problemas, um poço normal deve parecer algo como 1-2 em 1-2 dias:

Apesar da cor característica, você não deve confundir um coágulo sanguíneo normal com pus e temer que uma mudança de cor de Borgonha para mais clara já seja um sinal de alveolite. Além disso, você não precisa subir na ferida, pois isso pode danificar seriamente a cicatrização normal do buraco.
O processo de cicatrização normal (crescimento excessivo) do orifício após a extração do dente deve ser indolor.A ferida cura pelo princípio da tensão secundária, em outras palavras - há uma aproximação gradual de suas bordas. O principal fator de cicatrização é a proliferação do tecido de granulação, que logo é substituído pelo tecido ósseo jovem.
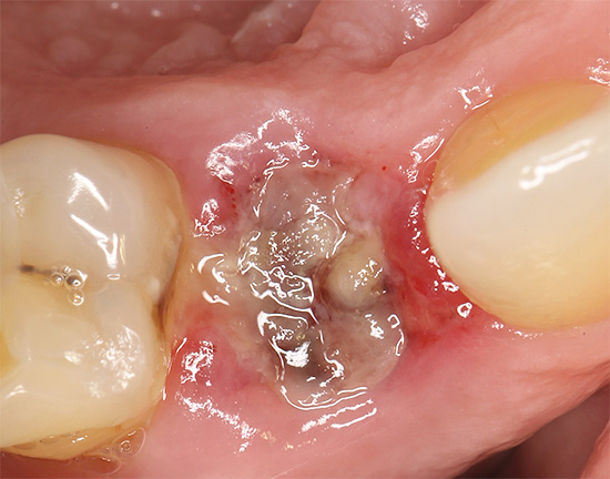
A foto mostra como fica o buraco após a extração do dente após 3 semanas:

Se o processo não é complicado por alveolite, geralmente cerca de 7 dias após a extração do dente, o tecido de granulação substitui quase completamente o coágulo sanguíneo e um osso jovem é formado ativamente. Quanto tempo o orifício crescerá após a extração do dente, para que uma gengiva lisa se forme completamente, depende da natureza da intervenção. Quanto mais grossa a remoção e mais danificados os tecidos circundantes, mais tempo a ferida cicatrizará.
Segundo as estatísticas, a cura normal deve terminar em 2-3 semanas, mas isso não significa que nada aconteça no buraco. A formação completa do tecido ósseo sob a gengiva geralmente termina apenas após 2-3 meses e, a partir do orifício anterior, no qual o paciente estava anteriormente, não há mais vestígios.
Foto de uma gengiva totalmente cicatrizada (após 2 meses):

As principais causas de inflamação do buraco e gengivas
Vamos imaginar um dente ruim, cujas raízes estão focadas em inflamação. Tais focos são geralmente isolados pelo organismo nos chamados granulomas (cistos) - em termos simples, são sacos cheios de infecção e pus.


Quando o dente é removido, as bactérias permanecem parcialmente no buraco - nesse caso, elas falam da infecção primária da ferida. Mesmo que o cirurgião dentista tenha extraído todas as raízes do dente com ou sem granulomas (cistos), a infecção que causou inflamação nos tecidos ao redor da raiz não pode ser completamente eliminada, embora possa e deva ser controlada. Se provoca alveolite, depende, inter alia, da imunidade humana.
Também existem riscos de infecção secundária da ferida, ou seja, quando a infecção ocorre de fora, o que também pode levar à alveolite.
Por exemplo, alveolite após extração dentária pode se desenvolver nos seguintes casos:
- Na ausência de um coágulo de sangue normal no poço. Quando o efeito de um orifício seco ocorre imediatamente ou após a extração do dente, o resultado é um vazio, não preenchido com uma ferida protetora do coágulo sanguíneo, aberto a qualquer infecção da cavidade oral.

- Ao empurrar durante o procedimento de extração do dente para dentro dos orifícios dos objetos infectados: tártaro, paredes de dentes cariados, fragmentos de ossos, etc.
- Com pouco cuidado do buraco pelo próprio paciente. Além disso, o desenvolvimento de alveolite pode ser desencadeado não apenas pela recusa em seguir as recomendações do médico, mas também pelo uso não autorizado de métodos que não são aceitáveis nessa situação clínica (por exemplo, lavagem intensiva da boca, levando à lavagem do coágulo de sangue protetor do orifício).
No contexto de imunidade reduzida, várias doenças concomitantes e em idosos, aumentam os riscos de desenvolver alveolite do soquete mesmo com a simples extração dentária.
Sintomas de alveolite
Assim, depois que um dente é retirado, o buraco, especialmente se estiver seco (sem coágulo sanguíneo), já pode apodrecer 2 dias após o procedimento. Nesse caso, a princípio não há dor aguda, mas apenas uma leve dor dolorosa aparece, agravando a comida.
Nesse caso, os restos de comida e saliva geralmente são determinados no buraco. As bordas das gengivas no local do dente extraído são vermelhas; quando você as toca, há dor. A condição geral da pessoa é satisfatória, não há temperatura.

Com a disseminação adicional da infecção purulenta, os sintomas mais característicos da alveolite se desenvolvem:
- dor constante intensa no local do dente extraído;
- a disseminação (irradiação) da dor para áreas vizinhas - da zona maxilofacial à área da cabeça;
- aumento da temperatura corporal para valores relativamente altos (até 38) e aparecimento de calafrios associados, sensação de dores no corpo e deterioração do bem-estar geral;
- o aparecimento de halitose pútrida como resultado da supuração do buraco;
- a ausência de coágulo de sangue na ferida (buraco seco);
- a presença de um revestimento cinza sujo na superfície da gengiva cicatrizante (às vezes é observado um buraco negro);
- linfonodos submandibulares aumentados;
- um dos sinais importantes e característicos da supuração do orifício no lugar do dente extraído é o aparecimento de exsudato purulento da ferida, principalmente ao pressionar a gengiva.

Comentários
“Na quarta-feira, fui remover o molar inferior, porque restava um toco, que não era mais adequado para a coroa. A remoção foi rápida e sem quase dor, eles o designaram para lavar a boca e o enviaram para tratamento em casa.
Na quinta-feira, no local onde costumava estar o dente, começaram fortes dores e as gengivas incharam. Outra terrível halitose apareceu. No final, vim ao médico que arrancou o dente no dia anterior. Ela olhou e me aconselhou a “apertar” e aplicar um aquecedor de gelo na minha bochecha inchada. Depois de alguns dias, o inchaço diminuiu, mas as gengivas não doeram menos. Bebi várias vezes ao dia Nurofen. Mas a dor não parou, então voltei para a tia.
Eles tiraram uma foto minha e disseram que está tudo bem, mas há ossos afiados do lugar onde costumava estar meu dente. Então eles decidiram removê-los. Foi muito doloroso quando eu novamente cutuquei as gengivas e tirei esses "ossos", depois coloquei uma gaze, forçada a morder e mandada para casa.
Depois de algumas horas, dores infernais latejantes começaram, então eu decidi ir a uma clínica privada próxima, onde eles me explicaram tudo. Acontece que o dente foi mal removido para mim, havia muitas peças do dente destruído e ossos da mandíbula, de modo que tudo isso se misturou à infecção e deu pus. Com uma injeção, eles limparam tudo isso absolutamente sem dor, colocaram um guardanapo de gaze com pomada por cima e fizeram recomendações. Naquele mesmo dia me senti melhor, então fui ao médico que removeu o dente comigo sem um pé. ”
Kristina, Ecaterimburgo
O que pode ser feito em casa para o tratamento de emergência de um buraco purulento
Se, após a extração do dente, o buraco começar a apodrecer ou os outros sintomas da alveolite descritos acima aparecerem, e não for possível consultar o médico para uma consulta em um futuro próximo, você pode tentar aliviar a condição em casa.

No entanto, é importante ter em mente que longe de todos os métodos aparentemente eficazes são inofensivos. Algumas loções e lavagens apenas exacerbam a situação, criando os pré-requisitos para uma progressão ainda maior da inflamação.
Assim, por exemplo, a maioria dos amigos atenciosos pode aconselhá-lo sobre uma solução de refrigerante e peróxido de hidrogênio a 3% para enxaguar - ao que parece, remédios populares testados pelo tempo para aliviar a inflamação. Mas a maioria dos médicos é claramente contra essa zombaria do corpo, porque refrigerante e peróxido, apesar de seu efeito anti-séptico, também podem lavar um coágulo protetor do sangue, deixando o buraco negro vazio ainda mais indefeso antes da infecção.

Remédios relativamente seguros e eficazes para o tratamento da alveolite podem ser anti-sépticos naturais - por exemplo, decocções de camomila e sálvia, que são bastante adequadas para uso doméstico. Mas aqui há nuances importantes:
- lave a boca intensamente para não lavar o coágulo sanguíneo. Basta arrastar água para a boca e manter a solução em local dolorido por 2-3 minutos.
- Durante o procedimento, você não pode aspirar os restos de um coágulo de sangue em decomposição da ferida, mesmo que cheire mal e pareça preto. E ainda mais, é impossível escolher um coágulo com um palito de dente ou cotonete.
- É importante organizar essas lavagens anti-sépticas o mais rápido possível (10 a 12 vezes por hora, até que ocorra uma melhoria clara).
Após uma consulta preliminar com um médico (pelo menos por telefone), você pode usar analgésicos, como Pentalgin, Ketorol, Ketanov, Nise, Baralgin ou outros.No entanto, deve-se entender que esses medicamentos apenas aliviam a dor, mas não tratam a alveolite e os processos inflamatórios associados.
Agora, vamos supor que você ainda conseguiu interromper os sintomas da alveolite por conta própria - a dor aguda desapareceu, a supuração do buraco pareceu diminuir, o inchaço das gengivas e bochechas diminuiu. O que fazer depois?

Antes de tudo, não se engane muito e relaxe, esperando que o buraco não apodreça mais. Freqüentemente, nesses casos, o processo se traduz apenas de agudo em crônico. Portanto, assim que for possível marcar uma consulta com um dentista, isso deve ser feito para evitar a ocorrência de mais exacerbações.
Tratamento profissional da alveolite: o que você pode esperar no consultório do dentista
Quando os pacientes consultam um cirurgião-dentista sobre a inflamação do orifício após o procedimento de extração dentária, o médico geralmente vê a seguinte imagem na cavidade oral: o coágulo sanguíneo no orifício está completamente ausente ou há resíduos em decomposição; com pressão na gengiva, podem ser liberados pus com odor desagradável. Isso geralmente é suficiente para diagnosticar "alveolite" e prosseguir com seu tratamento imediato.
O tratamento da alveolite após a extração dentária consiste em várias etapas:
- Primeiro, é dada boa anestesia;
- É realizada a curetagem (limpeza) do orifício do dente extraído - ele é raspado com tratamento mecânico completo dos tecidos necróticos enquanto lava a ferida com soluções de anti-sépticos de restos de comida, saliva, coágulo deteriorado, etc;
- Em seguida, o buraco é atualizado com um bisturi;

- De acordo com o depoimento, as costuras são sobrepostas no buraco, um guardanapo de gaze é instalado com ou sem a droga;
- Recomendações para o tratamento de feridas são fornecidas e são prescritos enxaguatórios e medicamentos anti-sépticos para aplicação tópica na forma de géis ou pomadas.

A colocação de qualquer droga no próprio buraco é um método desatualizado, mas, para instituições orçamentárias, é atualmente um dos mais eficazes no tratamento da alveolite, embora não exista certas desvantagens.
Os seguintes medicamentos podem ser usados como anti-sépticos para tratamento domiciliar adicional de alveolite (conforme acordado com o médico):
- Corsodyl;
- Hexicon;
- Estomatidina;
- Clorexidina;
- Eludryl.
Para aplicação nas gengivas, o gel Metrogil Denta e a pasta adesiva dental Solcoseryl são às vezes usados.
Comentários
Fui arrancado o resto do dente há 6 dias. No início, foram feitas injeções em toda a gengiva e, em seguida, com uma pinça, elas não conseguiram pegar a raiz por um longo tempo, uma vez que ela desmoronava constantemente. Mas, graças a Deus, se retirou.
Já em casa, quando o congelamento passou, ficou tão doloroso que tive que engolir analgésicos. Literalmente, um dia depois, parecia que um cheiro saía da boca e o buraco começou a doer ainda mais. Eu não tinha que ir trabalhar, decidi ser tratado em casa com enxaguamentos com camomila. A princípio ficou mais fácil, mas na direção da tarde as gengivas começaram a pulsar, e o corpo começou a quebrar. E a temperatura é de 37,8 ° C. Deitei-me por dois dias, mas a temperatura e a dor nas gengivas, onde costumava estar o dente, não desapareceram. Terrivelmente não queria voltar ao equipamento, mas não havia para onde ir, mais parecia que a bochecha começou a inchar. Eu só tinha medo de morrer antes do tempo, então fui fazer um exame.
O médico disse que eu tenho alveolite, mas um pouco mais e teria ficado muito pior. Ela limpou a ferida do pus e receitou medicamentos para tratar as gengivas. No momento, a gengiva ainda não está completamente curada, mas a temperatura e a dor desaparecem e o inchaço diminui a cada dia. Então, se você quer cuidar de seus netos, é melhor não se arrastar como eu.
Nadezhda, 45, Moscou

Às vezes, procedimentos fisioterapêuticos são usados para tratar a alveolite após a extração do dente:
- Terapia por microondas;
- Tratamento com laser de hélio e neon;
- Distrito federal dos Urais;
- Flutuação.
Prevenção de alveolite
Para que, depois que o dente seja arrancado, o buraco não apodreça, considere cuidadosamente as recomendações do médico para o tratamento de feridas. Você não deve usar os fundos que não foram atribuídos.

Caso haja dúvidas sobre a competência do médico e a exatidão das recomendações, você pode procurar orientação de outras clínicas. Ninguém proíbe a obtenção de aconselhamento profissional, mesmo em três instituições médicas, tanto mais que quase sempre essas consultas acabam sendo gratuitas.
Para que os processos de cicatrização prossigam no modo normal, você não deve pegar a ferida, raspar arbitrariamente a gengiva, espremer um coágulo de sangue, sugar e danificar com alguma coisa. É especialmente importante não mastigar alimentos no lado da mandíbula por pelo menos alguns dias, para que o coágulo de sangue fique intacto.
Se, após a extração do dente, o médico suturar o orifício, o material da sutura não poderá ser danificado, pois as bordas da ferida podem divergir e o orifício se tornará um objeto de infecção secundária. Escusado será dizer que nenhuma mão (nem limpa nem suja) pode ser usada para verificar se há dor na ferida ou para limpá-la de placas de qualquer cor.
A implementação dessas regras simples permitirá que você não apareça novamente na consulta do cirurgião e fará o processo cicatrização do orifício após a extração do dente confortável e seguro para sua saúde.
Vídeo interessante: o que é importante saber sobre alveolite e como tratá-la
O que fazer após a extração dentária para evitar complicações



Depois de remover o dente do siso, o médico colocou um pedaço de gaze embebida em remédio no buraco e disse para ele ir por 4 dias. Tudo bem? E isso não prejudicará a cicatrização de feridas?
A gaze é removida 15 a 25 minutos após a remoção.
Eu removi 3 dentes do cirurgião e, em seguida, gaze com própolis foi aplicada por 4 dias. Quando removido do dentista (sem sutura), o swab de gaze foi removido após 20 minutos.
E eles me colocaram remédio por causa de um buraco seco. A propósito, quantos curaram da remoção?
Não tenho nenhuma alteração há um mês, um grande buraco.
Meu dente do siso inferior foi removido, uma semana depois eles também colocaram gaze com remédio. Mas eles mudam para mim todos os dias, o médico disse que três dias são suficientes. Ele disse que era um antibiótico, por uma semana eu não consegui sair do Ketorol.
A presença de gaze é normal quando é necessário remover a inflamação. Em seguida, o médico removerá a gaze e a ferida sarará rapidamente e sem complicações.
Toda visita ao dentista representa um enorme risco de perder os restos de sua saúde. E tudo porque o profissionalismo dos médicos deixa muito a desejar. Mesmo se você pagar, ainda não há garantia.
Depois de remover o dente do siso no buraco, um revestimento branco denso, após a remoção, se passaram 3 semanas. Não há dor, o tumor gengival já passou. A placa branca não passa por tanto tempo - isso é normal?
Oleg, eu também tenho essa placa branca três semanas depois, e algo branco se segue (não sei o que é.
Na sexta-feira à noite, o dente 7 foi removido do fundo, à direita. O dente estava solto e havia um cisto na raiz do dente.O fato é que, no segundo dia, a gengiva dói e não consigo abrir a boca normalmente, reduz-a. Não me receitaram antibióticos, porque Eu estou em posição. O que devo fazer, posso enxaguar alguma coisa?
Obviamente, é possível enxaguar: miramistina, clorexidina, refrigerante e iodo, sal, apenas para aquecer a água e, mesmo que dói muito, o paracetamol pode. Estou com o mesmo problema, estou em posição, o dente foi removido há dois dias e a mandíbula e o próprio buraco são insuportavelmente dolorosos, até dói falar ... Eu me preocupo, como se não houvesse inflamação.
Kira, por que você está dando o conselho errado? Você não é médico. Você envia pessoas para o próximo mundo. É possível aplicar uma almofada de aquecimento quente em uma ferida ou em um local onde é possível um processo inflamatório ou um abscesso? Isso intensificará ainda mais o processo para pior - supuração com uma possível transição para a infecção. Refrigerantes e peróxido de hidrogênio não devem ser lavados. Das ferramentas mais famosas que os médicos prescrevem para enxaguar após a extração dentária, é a clorexidina e a miramistina. Pessoas, não leem os conselhos da Internet, mas procuram o médico, pelo menos de acordo com a política da odontologia comum, se não houver financiamento para um cirurgião pago. E lá eles vão enviar na direção do Instituto de Odontologia, em cirurgia. Talvez com o tempo eles detectem inflamação após a remoção e ajudem. Julia Nachalova atrasou a consulta com o médico, decidiu se curar, foi o que aconteceu. Nunca em nenhum lugar, se doer, não coloque uma almofada de aquecimento quente, especialmente em fluxos e apendicite. Somente o frio inibe o processo inflamatório até a chegada dos médicos ou a consulta na clínica. A clorexidina e a miramistina são aconselhadas não por mim, mas por todos os cirurgiões. Toda a saúde.
11/25, um dente foi removido (os 5 inferiores do lado direito). Após 3 dias, as gengivas começaram a doer como um dente dói com a inflamação do nervo. Apenas o casaco de lã ajudou com a dor. Eu também fiz banhos de um caldo de sálvia. Eu pensei que a dor passaria, mas não estava lá. Eu tive que ir ao dentista, fomos diagnosticados com alveolite. Limpei o buraco, coloquei a drenagem de iodo. Em casa, eles prescreveram tomar o antibiótico azitromicina por 3 dias, pingar lincomicina com lidocaína no buraco durante o dia (coloque 2 metros cúbicos de lincomicina e lidocaína cúbica na seringa, dobre a agulha da seringa ao meio e, direcionando-o para o buraco, goteje durante o dia). Ele também aconselhou o médico a colocar um cotonete com pomada "levomekol" no orifício. E também fazem banhos de clorexidina. Espero que as gengivas se curem sem mais problemas.
Natalya, olá. Eu tenho a mesma coisa Ontem fizemos uma autópsia, limpamos e colocamos um dreno. Eu visitei o dentista hoje, ele disse, está tudo bem e vai remover a drenagem amanhã ou depois de amanhã. Você curou por um longo tempo?
27 de novembro, removeu o dente, figura oito, canto inferior esquerdo. A operação foi difícil, após a remoção a ferida não cicatriza. Fui ao médico para um exame, ele limpou o buraco e colocou uma esponja com remédio. Três dias se passaram, há dor. Hoje eu andei de novo e de novo limpei o buraco e coloquei a esponja ... Eu disse para enxaguar com camomila, nada mais ... Já estou cansado, honestamente, o que devo fazer, alguém dirá, por favor?
Zahar, como está o dente? Eu tenho a mesma história. Sinto que preciso ir ao médico, ser tratado. O próprio não passa. O dente foi removido em 15 de março e hoje é 1º de abril.
Tirei um dente há uma semana, 6 da parte inferior direita. A remoção foi difícil: eles arrancaram minhas raízes. Dentro de três dias, as gengivas doíam e lá tudo ficou cinza. Fui ao médico, ela limpou o buraco, doeu. Ela colocou o remédio, disse para ir com ele por 3 dias. Depois de 3 dias, ela veio, ela removeu o medicamento, disse a pomada para colocar solcoseril lá. O médico não diz nada, eu tenho um buraco negro e o cheiro é daí. Decidi enxaguar com um chá de camomila. Eu não sei o que fazer, a gengiva está doendo (como tudo vai curar lá, se a pomada estiver constantemente lá?
Mude o dentista.
Como o buraco é limpo?
Olá Elena! Existem certos padrões de protocolo para revisar um poço após a remoção, mas a técnica para trabalhar com poços problemáticos é individual para cada médico. Pessoalmente, no meu trabalho, uso a opção de cuidar do buraco. Primeiro, a anestesia é feita para que não haja dor. Quando o paciente não sente nada na área do orifício, eu realizo seu processamento: removo fragmentos de tecido ósseo e a coroa do dente, granulomas etc., se houver. Um bom coágulo sanguíneo se forma gradualmente, e o trabalho com os instrumentos de curetagem é interrompido: um cotonete de gaze com um medicamento anti-inflamatório antibacteriano é colocado. Remédios caseiros para autotratamento são prescritos, seguidos por uma visita de acompanhamento obrigatória. Normalmente, apenas uma visita é necessária, uma vez que um buraco limpo se cura por si próprio, sem sintomas desagradáveis.
Há uma semana, o dente foi removido à direita e foi aplicada uma injeção paga. As gengivas estão um pouco inchadas e doloridas, doloridas. Bebi 2 embalagens de comprimidos cetonais, acariciá-los e o buraco dói muito.
O dente do siso inferior direito foi removido, 6 dias já se passaram, uma dor de garganta naquele lado e uma orelha, placa branca sobre todos os dentes daquele lado. Pus, provavelmente também por baixo. Ele mesmo em um relógio de guarda, analgin refrigerante e paracetamol. Não consigo engolir, minha boca não abre quase. Como ser Você pode lavar refrigerante com frequência?
Talvez você tenha um buraco seco. Eu tenho isso agora. Não deixe de consultar um médico. Todos os dias são lavados e a própolis é aplicada. Deve ajudar, a dor se foi.
Tudo estava igual. Fui ao médico - eles cortaram a gengiva, saíram muitos pus e ficou mais fácil.
Honestamente, depois desses comentários, tenho medo de estragar um dente. Eu tenho um dente de trás podre, por causa disso há um cheiro desagradável, embora eu o escove. Costumava haver um dente maior, agora está desmoronando. Primeiro você precisa arrancar um dente? Ou fazer algo antes disso? Diga-me, por favor.
Quanto mais cedo você se livrar dele, melhor! E se você seguir todas as prescrições do médico, ficará sem complicações.
Não tenha medo. Todas as regras serão, ontem foram removidos 2 dentes: 6 e 4 e hoje 8. Duas feridas quase cicatrizadas, no entanto, bebi os comprimidos um dia antes do cirurgião e amanhã ainda estou picando por coagulação do sangue. Hoje já apareceu um coágulo branco, como algodão (o médico disse que os brancos são como glóbulos brancos, e é melhor não mexer com eles). É verdade que eu engoli esse coágulo agora mesmo. E havia uma mancha de sangue no buraco. Então, todas as regras
Eugene, bem, você e o martelo!
Execute uma exclusão. Eles o removem sob anestesia, hoje eu fiz - não dói nada!
Quanto tempo um buraco seco cura? Pelo menos a goma será atrasada, caso contrário, o buraco é grande, já passou 1 mês, mas não há alterações.
Um buraco seco não se cura;
Urgentemente! Existe um médico no site agora, alguém pode responder à minha pergunta?
Os médicos vêm aqui periodicamente, não se sentam aqui constantemente. Eles respondem perguntas, mas, é claro, não neste minuto)
Sim existe. Eu sou médica
Meu dente foi removido no topo, quatro, a operação foi difícil. Durante 2 semanas tudo doeu terrivelmente, não dormiu e não comeu. Agora é melhor, não há muita dor. Mas estou preocupado com o crescimento de carne do buraco. Eu o machuquei, ele é macio como silicone. O que poderia ser? Agradecemos antecipadamente a sua resposta.
Olá Tanya. Devido à difícil remoção, a cicatrização do buraco foi lenta. O epitélio ao redor das gengivas começou a crescer e a "contrair". Isso nem sempre parece pessoal. Eu observei esse problema mais de uma vez (especialmente em pacientes idosos). O chiclete realmente cresce aleatoriamente, preenchendo o vazio no buraco, como Deus coloca na alma. No final, após algumas semanas, a ferida toma forma mais ou menos lindamente: as bordas ficam lisas e, consequentemente, a própria gengiva parece uniforme.Pode assumir a sua forma final (especialmente após remoções complexas e traumáticas) antes de 3-4 meses (até seis meses).
Removido há 6 meses Agora, ela cresceu fora do buraco, como você tem - suave ao toque, como silicone, e em forma de ervilha. Não há dores. Mas eu não gosto da aparência desse buraco.
Consulte um médico, provavelmente, essa esponja de gelatina cresceu e cresceu, apenas um médico deve cortá-la.
Um dente do siso também foi removido de mim em 29 de março. A dor é infernal. Fui à recepção novamente, o médico tirou uma foto, está tudo normal. Ele disse que a inflamação do buraco prescreveu um antibiótico e um cetorol. Hoje eu bebo 3 dias, a dor desaparece apenas por um tempo. Fraqueza, tontura, náusea. Não há temperatura. Quanto mais beber antibióticos?
Olá Ulyana! Um antibiótico é geralmente tomado de 5 a 7 dias, mas também há uma ingestão mais longa em situações difíceis. A duração da admissão é controlada pelo médico assistente.
É estranho que o médico, tendo feito o diagnóstico correto de "inflamação da cavidade" ou "alveolite", tenha se limitado apenas a prescrições, mas não curou a cavidade com a formação de um coágulo novo. Isso é feito sob anestesia local e quase sempre leva ao sucesso nos próximos dias. Na minha prática, além da curetagem, um curativo de gaze com uma pomada antimicrobiana e anti-inflamatória é aplicado sobre a ferida por 10 a 15 minutos. É a terapia local + recomendações gerais que fornecem um resultado rápido. Receio que, sem atenção ao seu buraco, você possa simplesmente esperar por um resultado positivo por um longo tempo, o que pode ser perigoso.
No dia 29, arranquei um dente. E o buraco ainda dói e há algo branco nele. Agora o dente adjacente dói quando pressionado. O que é isso
Olá Luz! A expressão "buraco ainda dói" é um conceito frouxo. Como você não começou a descrever a natureza da dor, ouso sugerir que a dor se limita a comer. É claro que quanto mais difícil a remoção, mais lento é o processo de cicatrização.
O fato de 10 dias se passaram e a ferida é sentida não é um indicador do problema. "Algo branco" em uma ferida é uma definição vaga. Evidentemente, sugere que o “pouco branco” é muito melhor do que o cinza sujo, preto, marrom escuro e até com um odor podre. Se você suspeitar que esse é um exsudato purulento, os sintomas serão mais claros. Presumivelmente, o que você tem agora está dentro da norma.
Os dentes vizinhos após a remoção em um grau ou outro machucam quase todos "quando pressionados". A proximidade da ferida afeta os tecidos circundantes ao redor dos dentes localizados perto do buraco. Isso passará quando o buraco se curar e se adaptar.
Por favor, diga-me, em 11 de abril, retirei os oito últimos, estou bebendo Nise há uma semana, porque a dor não passa, a bochecha está inchada, há manchas brancas. Fui ao médico novamente em 15 de abril, olhei ... Eu disse que essa é a norma com remoção complexa e que pode doer muito até 2 semanas. Mas isso me assusta ... eu só posso viver com Nise. Diga-me, esta é a norma? Ou você deve procurar outro médico?
Olá Irina! Inchaço e dor intensa por mais de uma semana não é a norma. Crítico no primeiro dia após a remoção, mas não mais.
Sempre existem métodos mais humanos do que a "química" para eliminar os sintomas de uma violação na cicatrização do buraco. Eu acho que ainda vale a pena procurar outro médico para esclarecer a situação e (ou) conduzir eventos. Cada médico aborda esses problemas individualmente. Basta re-tratar o buraco sob anestesia com a remoção dos restos do osso esmagado, partes do dente, granuloma, etc. Às vezes, apenas atualizar a ferida com a formação de um coágulo de sangue é suficiente para que nada mais doa.
A questão da introdução de drogas (esponjas, pomadas, géis etc.) em uma ferida ou ferida permanece em aberto - é decidido por cada médico individualmente, à medida que a experiência se acumula em um trabalho bem-sucedido.
Muito obrigado pela resposta, hoje eu não aguentava mais, fui novamente ao mesmo médico, porque outro médico não está funcionando hoje. Mais uma vez, ele disse que essa é a norma, a dor, ele diz, pode durar de duas a três semanas, o buraco é apertado e as manchas brancas são de pele morta. Prescrito para aplicar proposol diluído ao poço. Mas, deixando-o, ela novamente bebeu cetorol. Acordo de noite com a dor persistente que me assombra. Amanhã irei a outro médico ... ((
Outro médico também disse que, aparentemente, não há inflamação. Também não há coágulo no buraco ... E é profundo ((se a dor não diminuir antes do fim de semana, não deixe de mostrá-lo novamente - tire uma foto e prescreva um antibiótico ... Mas, ao que parece, a dor se tornou mais tolerante. Todos os dias contam.
Diga-me, você pode praticar esportes? 1,5 semanas se passaram ...
Olá novamente, Irina! Espero sua rápida recuperação. É uma pena que o médico não tenha começado a formar um novo coágulo para você. Mas, por outro lado, muitos pacientes não gostam de ser colhidos novamente na ferida, embora com um "congelamento".
Como o trabalho não foi realizado e uma semana e meia se passou, o esporte não é contraindicado em quantidade moderada. Geralmente proibido realizar trabalho físico nos primeiros 2-3 dias após a extração do dente, a fim de evitar sangramentos. No seu caso, eu gostaria que o próprio sangue passasse: você seguraria um guardanapo estéril por 10 minutos, formando um bom coágulo. É ele quem quase sempre remove todos os sintomas ruins (especialmente a dor).
Mas mais perto de 100%, corra não corra, empurre para cima, não empurre para cima e o sangue não vai mais, pois a ferida do fundo já está coberta com um novo tecido jovem. Então faça sua saúde! Talvez você pense menos sobre o mal!
Olá. Tirei a parte inferior oito há duas semanas (não foi traumática e bastante rápida, embora o dente tenha sido cortado para reduzir a carga na mandíbula, era grande). O médico alertou que haveria mais dor do que ao remover os oito anteriores (removidos há dois meses), porque as raízes estavam levemente dobradas e tocavam o nervo. Três dias após a ingestão de alimentos, o buraco foi supurado (não havia como chegar ao médico). Quando cheguei à recepção, eles lavaram e colocaram as alvéolos, ajudou a princípio, a dor desapareceu imediatamente, mas depois de alguns dias a dor voltou, às vezes latejante, perfurando a mandíbula (não dava no templo e no ouvido). Não havia temperatura, a dor aumentava à noite, o edema era muito pequeno. A gengiva estava vermelha e inchada, o médico colocou a alveolite e fez uma curetagem em uma semana, prescrevendo um antibiótico de amplo espectro. Primeiro, ele colocou uma esponja com algum remédio, após um dia de lavagem, colocou um cotonete de iodofórmio, novamente dois dias depois. E, aparentemente, tudo cura lá normalmente, mas dores doloridas no buraco aparecem regularmente (sexto dia após a curetagem). Eu já sou apenas paranóia e tenho medo de que isso seja novamente algum tipo de complicação. Diga-me, isso é normal e com que frequência acontece? E quando soar o alarme?
Olá, Oksana! Bem, essencialmente a questão: vários dentistas têm certeza de que a alveolite é o resultado da má preparação de uma ferida por um médico. Ou seja, se todas as condições durante a operação foram atendidas (precisão, esterilidade, aproximação das bordas da ferida, um bom coágulo etc.), a alveolite quase não ocorre.
Obviamente, ninguém está a salvo de erros, portanto a alveolite pode ser considerada como resultado de uma violação mútua dos regimes. Você também pode "ajudar" o buraco a chegar a esse estado, mas não se desespere. O médico conduziu o trabalho sobre o tratamento da alveolite. O estágio agudo passou e os efeitos residuais persistem, mas temporariamente.
A frequência de alveolite nos pacientes de cada médico é diferente.Quanto mais erros o médico cometer (e o paciente não seguir as recomendações), maiores serão as estatísticas. Eu acho que é para "soar o alarme" quando um cheiro putrefativo do buraco aparece, a temperatura aumenta e (ou) o inchaço se forma.
Infelizmente, sem inspecionar o buraco, não se pode dizer nada de positivo ou negativo. É por isso que é tão importante resolver qualquer problema duvidoso com seu médico. Em caso de desconfiança dele, ninguém proíbe a consulta com outro especialista. Eu acho que você tomará a decisão certa. Fique bom logo!
Olá. Eles arrancaram o último dente da fila. Não há mais dor. Hoje, ao escovar os dentes, um tampão de sangue foi lavado, que se forma após a remoção. O buraco permaneceu aberto. Agora é um buraco seco e vale a pena ir ao dentista ou se arrastar como deveria?
Esqueci de esclarecer que o coágulo havia sido lavado no sétimo dia após a remoção.
Olá Oleg! A perda de um coágulo sanguíneo pode ou não causar sintomas de um poço seco. Para não adivinhar as razões do café, mesmo que já seja o 7º dia de remoção, é melhor ir ao seu médico e esclarecer todas as nuances. Um médico competente encontrará a solução certa. Pessoalmente, eu formaria novamente um coágulo novo sob anestesia local e dormiria tranquilamente, já que o curativo biológico está no lugar. As táticas dos médicos sobre o mesmo assunto podem ser diferentes; portanto, você deve ouvir a opinião de um colega e seguir seus princípios de assistência nessa situação.
E sou eu de novo)) Hoje eu estava no dentista novamente, quando meu ouvido começou a doer, com dor nas costas. O dentista foi encaminhado ao otorrinolaringologista, pois, segundo ele, provavelmente estava sangrando. Lore olhou e disse que era neuralgia - do dente ... eu recomendei descamar xefocan ou flamadex. Os nervos estão acabando ((o dentista disse que virá depois do fim de semana, se não melhorar) - eles formarão um novo coágulo sob anestesia. Parece-me que morrerei em breve ... Cansado, minha força se foi ((
Você precisa ir a outro dentista.
Olá O canto inferior direito 6 foi removido em 20 de abril. A remoção é complexa, um osso de 3 por 5 mm é exposto no interior da gengiva. O médico disse que o osso iria interferir por algum tempo e aplicou o medicamento. A dor não é forte, mas dolorida, uma sensação de leve inchaço, o linfonodo sob a mandíbula aumentou. Enxágüe com uma solução de furatsilina e irrigue a ferida com miramistina, mas, durante 3 dias, houve um cheiro desagradável no buraco. O médico não deu nenhuma recomendação, pelo contrário, ela disse que em um dia de remoção ela não enxaguaria a boca, não prescreveria antibióticos. Em primeiro lugar, estou preocupado com quanto tempo o osso ficará exposto e, em geral, o tecido crescerá nele, é uma visão realmente "terrível" + é possível livrar-se do cheiro em casa usando drogas e um antibiótico?
Olá Elena! Com todo o respeito pela minha colega, não concordo com suas táticas. Em primeiro lugar, o osso não deve ser descoberto pelas gengivas - este é o caminho para a dor e um grande risco de desenvolver alveolite. Em segundo lugar, o médico deve dar recomendações, especialmente após uma remoção complexa.
O fato de você ter tomado o caminho do autotratamento é compreensível, mas arriscado (o efeito irritante de muitos medicamentos não permite que sejam utilizados após a remoção).
Em relação à borda saliente do osso: ele pode simplesmente se transformar em uma exostose que precisará ser polida. Quer você queira ou não, é melhor entrar em contato com outro cirurgião-dentista com experiência nessa área. É possível triturar as exostoses ósseas, alisar as bordas, remover os fragmentos (tenho certeza de que são), limpar a ferida novamente e, de acordo com as indicações, suturar as bordas da ferida. É necessário que a ferida não fique aberta - o portão de entrada para alimentos, infecções e assim por diante.
Em seguida, o orifício sarará confortavelmente e sem dor (com desconforto mínimo e em questão de dias). Desejo-lhe boa saúde!
Bem, como sua situação se desenvolveu? Ele mesmo na mesma condição, eles removeram 6, doeu por 2 dias, depois parou, mas o osso é visível. E assim, no sétimo dia, eu sempre toquei esse osso com a língua, começou a doer à noite, dói por 3 dias, uma dor latejante.
Olá. Há três dias, o sétimo dente foi removido de cima, foi com pus e eu ainda não tenho um coágulo de sangue! Isso é ruim?
Olá De fato, um coágulo sanguíneo formado após a extração do dente é a norma, mas geralmente mesmo sem a cicatrização do coágulo ocorre sem complicações sérias. O principal é que não há sintomas característicos: temperatura, inchaço, dor aguda, etc. De qualquer forma, uma visita ao dentista deve excluir problemas futuros com o orifício. Se você ainda não tem a oportunidade de consultar um médico, deve seguir claramente as recomendações prescritas por ele. Seja saudável!
Ela removeu o dente, cinco dias se passaram, o edema dói terrivelmente. O que fazer
Olá As informações não são suficientes para completar o quadro, mas uma causa comum de dor (especialmente 3-5 dias após a remoção) é a alveolite ("supuração do buraco"). Como eu não estava presente no momento da remoção, eles só podem falar à revelia e aproximadamente. Intervenções ásperas e traumáticas com baixa revisão da ferida geralmente levam a dor intensa repetida, inchaço, temperatura, etc. alguns dias após a extração do dente. Às vezes, muito depende do próprio paciente, ignorando as recomendações do médico: alveolite ou não. De fato, com alveolite, o buraco pode doer ainda mais do que havia dores antes da extração do dente. Dor e outros sintomas em mais de 50-60% dos casos não param até que a situação na cadeira do dentista-cirurgião seja examinada, que deve examinar o buraco e conduzir seu tratamento competente sob anestesia. Geralmente, esses problemas são resolvidos com seu próprio médico, mas você também pode entrar em contato com outros dentistas se houver alguma dúvida da sua parte.
Ela removeu o dente, duas semanas se passaram, dente 6. Perto do dente, o tumor (a sensação de que o pus não amadureceu) não desaparece. O médico disse que com o passar do tempo. Agora eu olho - toda a gengiva inferior está vermelha. E onde estava o dente, o inchaço está aumentando. Eu sei o que eu preciso ver um médico e melhor para outro. Mas onde no fim de semana você os encontrará. Que primeiros socorros posso me dar?
Olá Existe um serviço de dentista de plantão em hospitais, centros regionais, etc. A odontologia é especialmente popular agora por 24 horas, onde eles fornecem assistência contínua: quero dizer, o setor privado. Isso é caro, mas quando se trata de sérios riscos à vida e à saúde - aceitável. Só é possível se machucar, principalmente porque vivemos no século XXI. Não tenho o direito de lhe indicar nada sedicioso, uma vez que isso não estará dentro da estrutura da medicina científica.
Após a próxima remoção, o buraco sempre me machuca, isso já é uma infecção. O médico receitou um tratamento para mim: comprimidos de rifampicina (antibiótico) e pomada de metiluracila. Cubra o orifício com este comprimido e aplique a pomada na ferida - é assim que trato meus orifícios. Mas consulte seus médicos.
Olá Tirei o dente molar com um cisto 12.05. Fiquei envergonhado por o médico não ter tirado fotos antes ou depois da operação. Ele não limpou o buraco, não deu compromissos, ele simplesmente deixou ir em paz. Todos esses dias há um inchaço das bochechas, um inchaço das gengivas, o buraco é suspeito de cinza e, além disso, agora eu notei no lugar do dente extraído, ao lado, algo como estomatite. Eu suspeito fortemente que isso é inflamação. Só vou ao médico na segunda-feira.Diga-me, por favor, o que enxaguar e o que é em geral? Para ter certeza.
Olá Você lista os sinais de alveolite incipiente (buraco cinza, edema), por isso recomendo entrar em contato com um dentista com urgência. O autotratamento não é recomendado, pois o processo inflamatório pode ser agravado. Como tolerar, é claro, ninguém lhe oferece, então a alternativa na segunda-feira é entrar em contato com o dentista de plantão ou em uma odontologia particular 24 horas por dia. Felizmente, existem serviços semelhantes nas clínicas estaduais, especialmente nos hospitais para pacientes maxilofaciais.
Olá. 11/05/16, fui removido 8-ku na mandíbula inferior à direita. 6 dias se passaram. No topo do buraco formava uma placa oblonga branca, como estomatite. No buraco também. Segui as recomendações de cuidados, não enxaguei muito, para não enxaguar o coágulo. Embora agora eu não o observe no buraco. O lado direito dói, dá para o templo. Só vou procurar um médico amanhã à tarde ((as gengivas de um dente vizinho estão inchadas.
O médico receitou o antibiótico Tsiprolet, 500 mg, banhos de furatsilin no dia da extração dentária. A remoção foi difícil. Eu bebi antibióticos, é estranho que o buraco tenha inflamado de qualquer maneira ... (
Olá Penso que há suspeita de alveolite, embora valha a pena checar os dentes vizinhos quanto à cárie. Infelizmente, um antibiótico não é uma panacéia. Se assim fosse, seria explorado sem piedade para a prevenção da alveolite. Em geral, um antibiótico é mais usado para combater infecções com sérias complicações purulentas aqui e agora: um dente foi removido com um "fluxo" - foi prescrito.
Um coágulo de sangue pode não ser visto com o tempo, pois se degenera gradualmente em tecido e já é profundo. É razoável diagnosticar a condição com o médico assistente. Desejo que você receba respostas para suas perguntas e ajuste o tratamento!
Olá Obrigado pela resposta. Hoje eu estava no médico que fez a remoção - disse que está tudo bem. Para minha queixa de estomatite pelo lado (eu pensei que fosse uma fístula), eu disse que essa é uma reação do corpo à operação e que não há pus. Buraco e sua cor o satisfaziam completamente. Mas eu me preocupo com o cheiro do buraco, para não dizer que é forte, mas é. Quase não há dor, apenas se você tocar em "estomatite", a gengiva está inchada, mas o inchaço não aumenta, até desaparece. Eu acho que ir a outro especialista, vamos ver o que ele diz.
Puxei 8 em cima, saí rapidamente, eles disseram que não havia fragmentos. Eles fizeram recomendações. Não enxágue, não escale as mãos e a língua, não coma por duas horas. Eu observei, mas à noite ungi Solcoseryl com pasta dentária. Agora estou pensando, mas e se você não pudesse fazer isso, e eu estou preocupado?
A questão ainda é a mesma: cheguei à clínica de acordo com a política, já que não havia dinheiro para um médico particular pago. Levei 1000 para uma anestesia paga comigo. Eu esperei na fila, na minha frente as pessoas pagavam 700 rublos na mesa de dinheiro para anestesia paga. E é isso, eu vim, eu digo: eu teria que fazer uma boa anestesia. O médico olhou e disse - se com medicamentos importados, então 3000, na mesa do caixa. Ou o nosso - de graça. Fiquei um pouco confuso, liguei para meu marido para transferir dinheiro para um cartão e paguei. Eu olho para o cheque. Dois tipos de anestesia: 300 e 400 rublos. São apenas 700, como todo mundo, e 2300 indicam a remoção de um dente complexo. Não consigo entender como a remoção paga em si pode diferir da remoção gratuita de acordo com a política. Estive no dentista pela primeira vez. Eu perguntei na cadeira, o médico não respondeu claramente - ele disse drogas importadas, o buraco será menor após a remoção. Eu digo, e como é o procedimento gratuito diferente? Além de anestesia, paga. De alguma forma, ele não deixou tudo claro. Eu não entendo, em suma. Meu dente foi danificado por cárie no topo. 8 superior direito. Totalmente se arrastou para fora, mas quebrou um pedaço e machucou sua bochecha com um ângulo agudo, enquanto crescia para o lado.A remoção foi rápida, raiz branco-branca, limpa.
Aqui, eu acho, qual foi o pagamento, para entender. Remoção gratuita de outras ferramentas ou o quê?
E eu poderia usar a pasta dental Solcoseryl para me machucar?
A propósito, eu não tirei fotos. Nem antes nem depois. Eles não deram um calafrio.
Olá Tanya! Quanto à pomada: certamente não dói. Sua composição biocompatível até protege o poço da agressão de fatores da cavidade oral: físico, químico, etc. A pasta dental definitivamente não é um inimigo da sua saúde.
Os preços do tratamento são inimigos da carteira do paciente? Primeiro, “dois tipos de anestesia” - parece interessante do ponto de vista que o uso de anestésicos diferentes é possível apenas como último recurso, pois isso gera complicações. Portanto, o médico quase 100% trabalha com uma pessoa 1 medicamento anestésico. Outra coisa é que o número de carpules pode ser de 1-2 a 3-4 por paciente.
Quanto à difícil remoção do dente do siso. Sim, os dentes do siso são agora um item de renda específico para dentistas. Existem itens na lista de preços. Como você fez tudo através da caixa registradora, o ponto é que o médico recebe sua porcentagem não muito grande (não me lembro, mas algo entre 15 e 20% do total). Ninguém, exceto o dentista, entende os recursos de faturamento pelo preço da caixa registradora. Caixas e contadores entendem muito pouco isso. O principal é que esteja dentro da razão. Embora meu colega tenha escrito às avós para o tratamento de um dente de três canais no caixa de 2-3 mil rublos e para o mesmo tratamento para tias e tios - cerca de 7-8 mil. O ponto é que, para algum tratamento, você pode contar alguns pontos, e alguns a ignorar. É absolutamente impossível controlar esse processo.
Dada a crise, a taxa de sobrevivência dos medicamentos gratuitos agora se baseia nesses paradoxos. Agora, não nos lembramos por que motivo o policial de trânsito é tão ativo na estrada - em nome de um objetivo elevado? Mas a precisão no tratamento de clientes não deve ser velada por dinheiro. Esta é uma opinião pessoal.
Há 6 dias, o dente do siso superior foi removido. Veio com dor no chão do rosto. Eles fizeram injeções, 4 cubos de lidocaína. Após a remoção, o médico pediu para segurar firmemente o cotonete, depois colocou outro cotonete e disse para retirá-lo em casa. Depois que o congelamento acabou, a dor ficou intensa. Eu bebi cetonal. De manhã, a dor era menor, mas um ligeiro inchaço da bochecha apareceu. No terceiro dia, o inchaço aumentou e a dor foi contínua; no quarto dia, fui ao dentista com inchaço e dor intensa. A boca quase não abriu. Depois de examinar o cirurgião, ele me disse que está tudo bem, o buraco está bom, você pode enxaguar. Ela lavou a casa devagar, marcou uma solução de sal com soda na bochecha e cuspiu. A dor não desapareceu, o inchaço também. No dia 5, um hematoma amarelo apareceu na bochecha. Todo esse tempo eu estava sentado em uma cetona. No sexto dia, hoje, fui ao médico. Após a inspeção, ela disse que o buraco estava vazio, era necessário limpá-lo. Dei uma injeção de ultracaína e esfreguei o buraco, enquanto não conseguia abrir a boca normalmente e havia uma dor intensa na bochecha. Após a limpeza, ela colocou um torniquete com remédio e me disse para não retirá-lo, dizem eles, crescerá novamente. Ela prescreveu ciprolet e nurofen. Quando cheguei em casa, tomei analgésicos imediatamente, mas até que funcionasse, eu literalmente lutei de histeria com a dor. Uma hora depois, a dor desapareceu, inchaço e dormência na bochecha, dor ao tentar sorrir ou abrir a boca e também sob a mandíbula quando pressionada. Eu bebo do canudo. Agora não há dor, mas a temperatura aumentou 38. Isso é normal? Ou é melhor chamar uma ambulância para o hospital.
Olá Você tem todos os sinais de alveolite ativa. Eu acho que o buraco ainda não foi trazido para uma forma divina. É importante tirar uma foto do buraco para ter certeza: não existem fragmentos de tecidos cariados do dente ou (muito ruim) partes não removidas das raízes.Se tudo estiver normal, vale a pena determinar na cavidade oral se o coágulo de sangue está cheio na ferida ou não.
E sobre a temperatura: até onde eu sei, tudo acima de 38 graus permite que você chame uma ambulância, pois você tem um sintoma de "supuração" do buraco - um processo inflamatório local com uma mudança para os tecidos circundantes. Talvez seja melhor procurar um cirurgião maxilofacial profissional para fornecer atendimento de emergência. Além disso, o especialista anterior parece ter esgotado suas habilidades na solução de seus problemas.
E peguei com um taco de orelha e puxei um pouco de conteúdo branco para fora do buraco. E depois que ele tomou lavado com água oxigenada. E agora parece haver um buraco seco. Diga-me o que fazer neste caso? (Eu não sabia que isso não deveria ser feito).
Olá Eu acho que você removeu um coágulo sanguíneo ou exsudato inflamatório. Agora você tem o efeito de um buraco seco. Para a segurança da cicatrização, recomendo entrar em contato com um cirurgião-dentista para a formação de um coágulo sanguíneo completo, como curativo biológico. No futuro, eu não aconselho a automedicação.
Tirei o fundo há oito dias, houve uma manipulação óssea, dois pontos foram colocados. As suturas apertaram e resolveram com bastante rapidez, mas a dor não desapareceu; descobriu-se que na ferida do lado do 7º dente, a inflamação começou. Fui ao médico, ele lavou a ferida e colocou remédio com gaze lá, e disse depois de 2 dias para vir até ele. Praticamente não há dor agora, se você não perturbar esse lugar. É normal que haja gaze? E de repente, quando ela é removida, algo cairá neste lugar novamente, o que fazer então? Existe o risco de 7 sofrerem de inflamação? Não há temperatura, em geral me sinto bem. E o médico receitou antibióticos - cytrofan.
Olá Todas as consultas médicas são adequadas à situação. Eu acho que você colocou a turunda de iodofórmio no buraco para o tratamento da alveolite. A técnica de "colocar gaze na ferida" não é moderna, mas não é a pior. É só que o médico terá que remover essa gaze, pois ela não absorve. 7 dente, mais do que certo, não ameaça nada nesta situação.
Tenho certeza de que você não recebeu o Cifrofan, mas o Cifran - um antibiótico frequentemente prescrito em cirurgia maxilofacial. Se você remover a gaze, o médico maximizará o conforto de cura. O médico certamente aproximará as bordas da ferida, reduzindo os riscos de ingestão de alimentos.
Olá, diga-me, por favor, como agir nesta situação. Um dente foi removido há 5 dias, um cirurgião-dentista deu uma injeção e, durante muito tempo, tentou arrancar um dente, porque praticamente não havia mais nada, apodreceu por dentro alguns meses atrás e caiu. Como resultado, ele desmoronou por toda parte, disse o médico para cuspir sangue e fragmentos do dente, depois disse como enxaguar e o mandou para casa. Quando ele parou de sangrar (no dia seguinte à remoção), comecei a lavar a boca com furatsilinom, conforme solicitado. Após 2 dias, notei que algo estava errado, o cheiro de podridão vinha da minha boca, a gengiva estava coberta de branco-cinza e, nas profundezas, era uma placa podre preta. Aplico um linimento balsâmico de acordo com Vishnevsky (não sei se é possível) para sugar toda a podridão e continuar enxaguando a boca. Será possível chegar à clínica? Eu não moro em uma cidade. Agradecemos desde já a sua resposta. Realmente aprecio a sua ajuda.
Quanto à dor: a dor estava doendo, mas não intensa, 1 dia por 2-3 dias após a remoção. E não dói se você não tocar.
Olá Escusado será dizer que você tem uma alveolite "em condições confortáveis para ele". Quanto ao linimento - não tenho certeza de que ele possa resolver o problema. Você deve entrar em contato com o cirurgião-dentista para formar um novo coágulo sanguíneo com anestesia. Somente um curativo biológico ajuda a lidar melhor com a inflamação.Fragmentos que não foram removidos também podem ser detectados, pois são frequentemente alimentados por alveolite. Consulte um médico! Saúde para você!
Quase um ano atrás, um dente foi removido - os “cinco” da mandíbula inferior. Alguns dias depois, devido a fortes dores, eles limparam o buraco, após o qual o medicamento foi colocado lá. Após a próxima visita ao médico e exame, foi dito que tudo estava em ordem, o médico ainda fez alguma coisa com o buraco e disse que não era mais necessário vir, tudo curava normalmente. Alguns dias depois, notei um pedaço de gaze saindo do buraco no espelho, não pude ir imediatamente ao médico e, um dia depois, o buraco do topo estava praticamente apertado. Eu mesmo queria puxar esse pedaço de gaze, mas não consegui mais, exceto um fio. Ao visitar o médico, é claro, ninguém acreditava em mim que a gaze pudesse permanecer no buraco, que já estava praticamente arrastado. Quase um ano se passou, eu constantemente sinto esse lugar, periodicamente doe um pouco, como se ainda houvesse um dente ruim. Havia um ligeiro inchaço da bochecha neste local, não pronunciado. O que devo fazer com tudo isso agora?
Olá Olga! Eu acho que é urgente entrar em contato com um cirurgião-dentista: explique-lhe a situação em detalhes, tire uma foto do buraco curado e já tire conclusões com base nisso. Se o médico encontrar uma fonte de rarefação do tecido ósseo ou outros problemas, será necessário fazer uma anestesia para revisar a ferida. Quase sempre, essas operações não são prejudiciais: tudo é feito com precisão e rapidez. O principal é determinar com precisão a fonte de edema e dores doloridas. Em geral, Olga, procure um dentista qualificado e não atrase esse problema.
Muito obrigado, Svyatoslav Gennadevich, era exatamente isso que eu ia fazer, a única coisa que impede é o meu medo de que a "gaze deixada no buraco" seja considerada "um absurdo louco", com uma atitude adequada à minha história sobre isso. Mas não só vi esse pedaço de gaze, como o peguei com uma agulha, não me atrevi a pegá-lo, e então já era tarde demais - as bordas do buraco se uniram e não estavam mais visíveis. Mas o médico não acreditava que isso pudesse ser. Portanto, não sei onde procurar um médico que leve uma palavra da boca e leve essa situação a sério. Eu moro em Nizhny Novgorod.
O dente foi removido da mandíbula inferior, no segundo dia um selo se formou no pescoço, engolindo algo doía. Fui até a recepção, eles dizem que não tem pus, só sangue, eles fizeram um novo coágulo. Por favor me diga como deveria ser? E eles cortaram meu chiclete duas vezes, primeiro eles escreveram os dígitos, no terceiro dia eles adicionaram cefalexina e disseram beber. O que fazer Ajuda.
Olá Penso que as consultas são bastante apropriadas: o dentista fez todos os esforços pela perspectiva de uma cura confortável. Embora dois antibióticos ao mesmo tempo sejam uma dose de carga. Espero que você reforce o tratamento com medicamentos para disbiose que podem causar antibióticos.
Olá Diga-me, por favor, 5 dias atrás eles removeram o canto inferior direito 8, tudo correu sem complicações, mas a dor ainda não desaparece, isso é normal? O médico não receitou nada, nem enxaguou nem antibióticos.
Olá Marina! Em geral, as recomendações relacionadas aos antibióticos nem sempre são um atributo necessário para a extração dentária. Isto é especialmente verdade no caso dos enxágües, contra os quais muitos cirurgiões e maxilo-faciais líderes e implantologistas da Rússia e de outros países se opõem.
Não sei se direi algo novo para você, mas o limiar de dor para cada pessoa é individual. Parece-me entender como ajudá-lo apenas com esse sintoma existente, o médico deve conversar com você e descobrir vários pontos.Você é sensível? Houve casos prolongados de dor antes? Quando a dor aparece: ao mastigar, ou o buraco doe constantemente? Para diagnosticar "alveolite", são necessárias razões mais convincentes e um questionamento específico + exame detalhado do furo. Entre em contato com o seu dentista ou verifique os detalhes do seu caso.
Boa tarde, Svyatoslav Gennadevich! Por favor, responda minhas perguntas. Em 15 de junho, o dente da frente 1 foi removido (canto superior direito). Depois da partida do alívio da dor, começou uma dor terrível que já dura uma semana ((Desna estava inchada, uma dor latejante terrível! Fui ao dentista em 20 de junho, expliquei tudo. Fiz um raio-X e disse que havia materiais sobrando do recheio há 25 anos ... ... limpei tudo, prescrevi NUMBER DIAZOLINA E AGRADÁVEL. A dor após esse procedimento se tornou ainda mais forte, apenas o KETANOV ajuda por 2-3 horas. As gengivas estão inchadas ainda mais! Mas o médico diz que isso é normal, acontece. Eu tenho uma fraqueza terrível, não tenho mais força, dor de cabeça, difícil de engolir. Quando o pus sai, o que fazer, a quem recorrer?
Olá Eu acho que você tem alveolite - um processo inflamatório infeccioso do orifício após a extração do dente. Vários sinais importantes confirmam isso (dor, supuração, mau estado). Eu acho que a febre também tem um lugar para estar. No entanto, não consigo entender por que é difícil engolir se o dente da frente foi removido? Graças a esse momento polêmico, é importante que eu me concentre em encontrar um problema com os dentes distantes inferiores.
Sobre o buraco do problema. Eu recomendo várias etapas: tire uma foto do buraco depois de limpar o material (para que ele seja o mais "fresco") e entre em contato com outro cirurgião-dentista para uma consulta pessoal. O médico, provavelmente, realizará uma curetagem do buraco e formará um coágulo de sangue completo. A julgar pelos seus sintomas, remeter para o médico anterior novamente não é totalmente benéfico: acho que o médico não vê nenhuma saída para esse problema com os meios que possui.
Removido o 6º dente inferior em 22 de junho, o dente era complexo, as raízes estavam profundas. O médico removeu os cistos, prescreveu ciprolet: 5 dias, 2 comprimidos e enxágüe (iodo, sal, refrigerante no segundo dia). Após 2 horas após a remoção, a anestesia diminuiu e a mandíbula doía, onde o dente foi removido. Ela mal dormiu às 3 da manhã. Dor maçante e dolorida e a ferida estava sangrando um pouco. No segundo dia, a dor foi insignificante, nada realmente me incomodou, apenas uma sensação um pouco mais tensa, mas isso é compreensível. O buraco é coberto com revestimento branco. No terceiro dia, fiquei preocupada com o inchaço da bochecha e a dor aumentou um pouco em comparação com o 2º dia. Isso poderia significar que eu iniciei o processo inflamatório no buraco? Ou é a norma após uma remoção complicada? Não vejo pus, apenas placa fibrosa e não há cheiro de podre na boca.
Olá Eu acho que não há nada com que se preocupar, mas vale a pena monitorar a situação durante o dia. Se a condição piorar: aumento de inchaço, febre, dor intensa, hálito pútrido, entre em contato com o dentista na segunda-feira para examinar o buraco. Em geral, os médicos profissionais nunca se recusam a monitorar as condições do paciente e do orifício após a remoção. Fique bom em breve!
Boa noite Há uma semana, removeu o dente do siso por baixo. Nos primeiros três dias, toda a mandíbula doía, acordava à noite de dor, e toda a mandíbula doía, a garganta ficava inflamada. Agora, a imagem é a seguinte: um buraco na gengiva, que se estende até a bochecha, dentro do buraco, não está claro se a comida é facilmente entupida, é difícil enxaguar. A dor permaneceu pequena nos dentes adjacentes. E parece que há um cheiro. Como ser Obrigada
Boa noite, Mila! Eu acho que você deve entrar em contato com seu dentista e tratar a ferida.Isso geralmente é feito com soluções anti-sépticas leves, sem anestesia. Curetagem de feridas com anestesia pode não ser necessária. De qualquer forma, vale a pena enxaguar a ferida e ajustar o tratamento domiciliar no consultório médico. Saúde para você!
Svyatoslav Gennadievich, boa noite! Obrigado pela resposta. Fui ao dentista, a necrose tecidual começou, o coágulo sanguíneo acaba sendo destruído ((os alimentos entupidos e apodrecem, por mais terrível que pareça. Eles limparam com um anti-séptico e disseram que enxaguavam em casa com água oxigenada a 3% e uma solução de água com sal; não posso tomar antibióticos - lactação Após o tratamento da "marquinha de dente", o cheiro desapareceu e a dor desapareceu.O médico disse que o próprio tecido ósseo começaria a crescer dentro sem um coágulo de sangue e agora é importante parar a infecção. férias, e onde eu moro, um médico e eles não gostam de prescrever medicamentos e têm certeza de que todas as feridas podem ser curadas com uma única água ((um “buraco no dente” pode crescer no tecido ósseo sem um coágulo sanguíneo (sem novas manipulações)? Muito obrigado! Atenciosamente, Mila.
Obrigado por avaliar meu trabalho, Mila! A primeira vez que soube que é possível tratar doenças com água, sem drogas: esse país está realmente lá? É simples que na Rússia existam certas "seitas" ou grupos de pessoas de interesse que advogam o tratamento de várias doenças (da pulpite à oncologia), não apenas com água, mas também com urina, conspiração, ioga etc.
Mas, em essência: um buraco sem coágulo cura cada vez mais, mas com uma certa pureza, ele se reúne livremente e se epiteliza a partir do fundo e das paredes do buraco. Quanto ao tecido ósseo: você está com pressa: a restauração da crista dura de 5 a 6 meses, mas deixará de ser um "buraco no dente" no menor tempo possível. De minhas observações pessoais: em 2-3 semanas, no máximo 1-2 meses após a extração do dente, o buraco se torna como uma linha traçada, para que você entenda. Em breve, passará um mês a partir do momento em que você remover o dente, por isso tenho certeza de que você terá tudo o que a maioria das pessoas faz.
Svyatoslav Gennadievich, boa noite! Obrigado pela sua resposta. Vivemos na Dinamarca, uma receita para um medicamento é do reino da fantasia! E estamos acostumados a ser tratados apenas com água 🙂 Em uma farmácia, você só pode comprar um medicamento antipirético sem receita médica.
Olá Há um mês, removi a figura oito de cima. Tudo doeu por quase uma semana, e hoje senti um gosto de sangue na boca. Não existe sangue como tal, acho que é pus. Em geral, periodicamente tenho descarga do buraco. O buraco está limpo, rosa, sem placa. O que é isso, por favor me diga ?!
Olá De fato, em um mês o buraco deveria curar em um grau ou outro. Penso que vale a pena realizar um diagnóstico detalhado: tire uma foto do buraco e consulte um dentista. Se houver fragmentos, raiz, granuloma e algo assim - tudo fica claro como o dia.
Se o orifício estiver limpo deste ponto de vista, é necessário examinar o adjacente ao dente extraído, pois pode provocar um processo infeccioso. De acordo com o seu caso, é extremamente difícil dizer agora que tudo isso é atípico; portanto, ainda cabe ao médico especialista independente decidir diretamente pessoalmente. Para a Internet, isso é uma tarefa muito difícil.
Olá Diga-me o que fazer neste caso. Por volta de 30.06, o último dente inferior, mas com um dente, começou a doer levemente no lado direito; se não me engano, os dentistas chamam 47) Todos os dias a dor ficava mais forte. 07/03 foi para a remoção, colocou duas injeções de analgésicos, durante a extração o dente se desfez em várias partes grandes. Imediatamente após a aplicação de esponjas auto absorvíveis embebidas em antibiótico e um cotonete de gaze, foi prescrito o enxágue com solução salina e soda e antibiótico Cyfran. Após meia hora, o tampão foi removido (estava coberto de sangue e fragmentos de dente).No dia seguinte, houve um inchaço grave na bochecha, queixo e linfonodo, a boca não pôde abrir. A partir do quinto dia, faço exames todos os dias, lavam água oxigenada, às vezes sujam uma pomada branca e hoje, de acordo com minhas suspeitas, as fibras da casca de carvalho foram feridas. A propósito, no dia 5, eles também prescreveram enxágüe com furatsilina e manchas de colesterol. Três dias depois, o inchaço desapareceu, a boca pôde abrir 1 cm. Após o término dos antibióticos, aparentemente, a deterioração começou, mais uma vez não consigo abrir a boca. O edema ainda não dormiu completamente e o linfonodo está inflamado, tudo dói e é transmitido para a mandíbula superior, a orelha e a cabeça ainda doem por causa disso. Ao mesmo tempo, o médico diz que está tudo bem, a ferida cicatriza bem, eu ainda faço exames todos os dias, ou mesmo todos os dias. Devo ir para outra odontologia, ou tudo é realmente normal e deve ser?
Também esqueci de dizer: quando o dente foi removido, eles disseram que era um abscesso, havia pus sob o dente e o linfonodo estava levemente inflamado.
E agora dói de engolir.
Olá Eu acho que vale a pena tirar uma foto de controle do buraco para identificar fragmentos e (ou) raízes. Você ainda tem alveolite - inflamação do buraco. Não tenho outra explicação para esses sintomas. De qualquer forma, você decide: vá ao mesmo médico ou troque-o. No entanto, a direção da imagem do buraco deve ser definitivamente obtida do médico, para não ser "pensada", seguida de análise pelo dentista. Escusado será dizer que o seu médico terá uma análise tendenciosa.
Olá Fui à odontologia da cidade, tirei uma foto panorâmica da mandíbula. Como se constatou, na odontologia particular, fiquei com uma raiz. A raiz foi removida no dia 13, alveolite, eles disseram que não, a ferida estava limpa. Dói muito menos, mas a boca ainda não abre. O médico disse que ele abriria quando a ferida cicatrizar completamente. Quanto tempo leva para uma ferida cicatrizar completamente? Em breve, entrarei em pânico devido ao fato de não poder comer normalmente, estou perdendo peso ((
Olá Demora 5-6 meses para curar completamente um buraco, mas não se assuste. Refere-se à restauração da estrutura óssea e ao desenho da crista do processo alveolar. Eu acho que você não pergunta quando o buraco será finalizado, mas quer saber quando a abertura da boca vai melhorar. Infelizmente, esse é um aspecto individual: a maioria das pessoas (se o médico fez tudo corretamente) começa a abrir a boca normalmente após remover um dente do siso cerca de 7 a 10 dias após a remoção. Às vezes você tem que esperar um pouco mais por causa da raiz ou raízes traumaticamente removidas. Tudo depende de muitos fatores, mas me parece que, no futuro próximo, tudo ficará bem com você. Fique bom logo!
Olá, há 11 dias atrás, com um dente do siso removido. Foi difícil de remover, pois desintegrou-se e a raiz ficou firme. No começo, houve uma dor dolorosa no dia 4, depois passou, mas ontem senti um gosto de pus na boca e um cheiro terrível. O que poderia ser?
Eu tenho a mesma coisa para fazer?
Olá Talvez alveolite, embora o momento clássico de sua aparência seja de 3-4 dias após a extração do dente. Na verdade, eu gostaria de verificar esse buraco em um raio-X para possíveis raízes, fragmentos etc. e depois planejar o tratamento. Se as raízes ou fragmentos forem encontrados, sem removê-los, o buraco normalmente não cicatriza mais. No caso em que a alveolite provocou uma infecção com alimentos, é importante lavar a ferida com anti-sépticos e (ou) curetá-la sob anestesia com a formação de um coágulo sanguíneo. Sem isso, é improvável que a ferida se cure ainda mais.
Boa noite O dente do siso foi removido no dia 20, na noite do mesmo dia em que a bochecha estava inchada, após 2 dias apareceu uma contusão, mas o edema não dormiu. O buraco não incomoda muito, mas não consigo ver, apenas costuras são visíveis, pressão marrom quando pressionada. Poderia ser pus? Ou você o reconhece imediatamente por sua cor e cheiro amarelos?
Olá Eu acho que você deve consultar o seu médico, pois pode pular a alveolite e suas complicações. Com base nesses sintomas, é difícil julgar se essa é a norma ou não. Se houver inchaço e "descarga" suspeita, é improvável que isso se enquadre no conceito da norma, embora eu não conheça sua situação clínica inicial, bem como as características da remoção.
Olá. O dia 20 de julho foi uma remoção difícil das raízes dos 6-ki na mandíbula superior. Costurado 2 costuras. No dia 2 marcado. Houve um coágulo. Inchaço das gengivas mantém. Havia um revestimento esbranquiçado. Agora ele se foi, o buraco está vazio, o fundo parece vermelho escuro. Quanto tempo deve durar um coágulo de sangue? Manso as gengivas perto do orifício "metrogil-dent", enxágüe com solução salina e refrigerante. Talvez eu esteja fazendo errado? O buraco não dói, a sensação de ondulação passou. A gengiva está inchada, pressionando com sensibilidade. O que fazer depois?
Olá Eu acho que o coágulo "brota" os tecidos, que é a norma nessa situação. O mais importante é que você não tenha sintomas que possam diagnosticar problemas após a extração do dente. Como a gengiva não se recupera imediatamente, um pequeno edema local não é um sintoma formidável (perigoso). Somente o médico assistente pode corrigir as táticas de tratamento em casa, pois somente ele conhece as características do seu corpo, a remoção realizada etc. Deus permita, haverá uma alergia ou algum outro efeito colateral recomendado pela Internet apenas com base na sua descrição do medicamento: qualquer médico normal não se perdoará por isso. Obrigado pela pergunta.
Obrigada
Removido 8-ku (em baixo) no domingo. O coágulo não se formou ou foi danificado. Eu fui na recepção na terça-feira, porque o dente doeu, inchou um pouco e o buraco vazio me assustou. O cirurgião lavou e colocou uma turunda com remédio no buraco. A dor diminuiu imediatamente. Pergunta: como o buraco será curado se algo for inserido lá?
Olá O dentista provavelmente colocou um medicamento anti-inflamatório no orifício, que se resolve. Isso é feito para excluir o componente infeccioso no buraco e acelerar sua cicatrização. Confie no seu médico e siga as recomendações dele. Saúde para você!
07/19 removeu o fundo 8. O dente foi curado, não doeu. A remoção foi difícil, oca por 20 minutos, após a anestesia doeu terrivelmente. 22/07 apelou novamente, eles disseram que era normal, nomeado UHF e quartzo. Todo esse tempo que aceito a NISA, leva 10 horas e novamente tudo dói: tanto a mandíbula, como a cabeça e a orelha. 25/07 - Vou ao médico novamente - eles fazem curetagem (dizem que o buraco é bom e não encontraram nada errado). E eles apontam um CIRCUITO, prometem alívio. Mais 2 dias se passam, dói muito. Não há mais força quando tudo acaba? Acho que estou sem sorte com o médico ...
Olá Eu acho que nem todos os medicamentos são adequados para você. Cada cirurgião-dentista tem suas próprias táticas para o tratamento da alveolite. Existem muitas maneiras, a maioria delas se provou bem. Estou certo de que o alívio virá, mas é melhor tentar formar um coágulo sanguíneo e ajustar o tratamento em outra clínica se você duvidar da competência do médico. Não julgo seu médico manualmente, pois não fiquei atrás dele durante a remoção. Só posso lhe desejar boa saúde!
Olá, estou com muito medo de dentistas.Em geral, fui ao médico, não sei que tipo de diagnóstico, mas metade do dente está faltando e, de acordo com a imagem, dizem eles, para remover 100℅. Ah, sim, eles ainda dizem algum tipo de supuração, vazio, em uma palavra. Eles me assustam, o que pode inchar e muito mais. Diga o que poderia ser?
Olá anônimo! As pessoas chamam seu diagnóstico de maneira muito simples - "raiz". Entre os dentistas, isso pode ser chamado de maneira diferente, dependendo da situação clínica. Na maioria das vezes, é interpretada como uma exacerbação da periodontite crônica. Isso pode se referir a cistos e granulomas e cystogranulomas. Se você duvida da competência dos médicos, consulte outras 2-3 clínicas. Se mais de uma opinião é para remover as raízes, é melhor fazê-lo com urgência, pois elas podem provocar um fluxo a qualquer momento. Você pode jogar roleta russa, mas não precisa: é perigoso para a saúde. Obrigado pela pergunta.
Olá Na terça-feira, os 6 primeiros foram removidos. Após esses três dias, houve uma espécie de dor um pouco dolorida. Na sexta-feira fui fazer uma consulta. Eles colocaram algum tipo de remédio no meu buraco e disseram que, se não funcionar hoje, venha amanhã para limpar o buraco. Bebida descarregada nimesil. A dor se foi. Hoje é sábado. Na hora do almoço, o local da remoção doeu novamente. Eu bebi, tudo estava quieto. Ligeira dor ao pressionar na bochecha, sabor boca deste medicamento. O médico só funcionará na segunda à noite. O que eu faço?
Olá Os médicos não prescrevem tratamento à revelia. É melhor consultar um médico de plantão se você tiver uma emergência. Em geral, a dor ao mastigar após a extração dentária pode levar até 1-2 semanas, pois a gengiva fica irritada ao comer. Quanto ao sabor do medicamento: também não é fatal. Eu acho que as táticas do seu médico são bastante adequadas. Tente obter uma consulta como planejado.
Olá, Svyatoslav Gennadievich! Eu li todas as perguntas e respostas, não consegui encontrar uma situação semelhante. Fui removido em 1º de agosto dois dentes, 1 e 4 superiores, e imediatamente após a remoção coloquei uma prótese. Quando a anestesia saiu, começou uma forte dor, sem analgésicos. A dor é aguda, fraqueza. Antes disso, há um mês, três dentes superiores foram removidos de uma só vez: 3, 5, 8. Eles também colocaram imediatamente uma prótese. Antibióticos prescritos. A dor também foi muito forte, uma semana inteira. Mas está tudo bem. E desta vez, antibióticos não foram prescritos para mim. Eles costumavam me remover, mas nunca houve tais dores. Por favor, diga-me, a prótese pode ser culpa dessa dor? Não há mais dentes no topo. Agradecemos antecipadamente a sua resposta.
Olá Uma prótese pode provocar dor se não se encaixar ou não aderir adequadamente à mucosa. A dor é uma coisa subjetiva: hoje em dia é difícil avaliar sua condição geral. Antibióticos podem não afetar as causas da dor, mas podem prevenir sérias conseqüências associadas a complicações após a extração dentária.
Eu não posso dizer que o dente removido para o removido é discórdia. Se anteriormente, quaisquer exclusões foram transferidas com segurança, isso não significa que mais uma vez os orifícios não começarão a lamentar por vários dias.
Entre em contato com seu médico para correções do tratamento.
Olá, Svyatoslav Gennadievich. Hoje removeu o fundo de 8 ku. Inicialmente, eles disseram que seria necessário arquivar o osso da mandíbula inferior para extrair o dente (o cirurgião examinou 2 fotos - panorâmicas e pequenas, 2 dentes), mas no processo de extração, ele disse que iria para o outro lado e o removeria com pinça, depois de pegá-lo com outra ferramenta. Ele disse que eu tinha um osso de plástico e endireitou quando removido. Quando removido, um leve ruído de pedaços de osso foi ouvido. Limpe levemente o orifício dos tecidos inflamados, coloque um tampão e prescreva amoxicilina com metronidazol e enxágüe (banho) com clorexidina.Ele tomou pentalgin, a parte inferior da língua dói pelo dente extraído e dói de engolir por causa disso. O buraco em si não incomoda, mas está vazio, o sangue passou por 4 ou 5 horas, não muito. O que você pode aconselhar sobre o buraco vazio e houve um "osso de plástico" em sua prática? Agradecemos antecipadamente.
Olá Tenho quase certeza de que o médico quis dizer com a plasticidade do osso apenas sua conformidade. Ou seja, assumiu-se inicialmente que as divisórias entre as raízes e as paredes dos alvéolos não permitiriam que a operação fosse realizada sem corte, mas a habilidade do médico e a capacidade de elevadores com pinças fizeram seu bom trabalho. Quanto ao buraco vazio: você teria que olhar aqui. Faz sentido visitar o seu médico, verificar o estado geral do orifício e, se necessário, ajustar o tratamento. Eu acho que tudo não é tão crítico com você, mas ainda vale a pena fazer um exame com um médico. Isso é importante porque evitará o possível efeito negativo do “buraco seco” e eliminará os riscos de supuração da ferida. Obrigado pela pergunta!
4 dias se passaram desde a extração do dente, e muitos pequenos pontos brancos apareceram no local da inflamação gengival. No dia seguinte, eles se transformaram em manchas vermelhas. No mesmo dia da noite, uma ponta afiada da gengiva apareceu e esses pontos o cercaram com um arco suave. Não se incomode. O que é e como se livrar? Isso é anormal?
Olá Eu acho que você está vendo um revestimento esbranquiçado após a remoção. Geralmente é um tom de amarelo claro, mas também é mais próximo do branco. Não tenho outra explicação, pois não ouvi falar de estomatite do buraco, mas o fato de a inflamação do buraco estar cinza sujo não se encaixa na sua descrição.
Como sempre, direi minha frase de efeito: "Você precisa procurar aqui". Como você descreve tudo isso é um caso bastante interessante, mas não acho que o médico que você irá consultar encontrará algo novo. No entanto, não posso aconselhar exatamente isso e fazê-lo, a fim de realizar o controle usual da cicatrização do orifício na cadeira do dentista. Essa é uma situação comum, por isso é desnecessário procurar orientação médica aqui. Obrigado pela pergunta.
Boa tarde, eu realmente preciso do seu conselho. Eu fui ao médico na quarta-feira com dor aguda, a gengiva inflamada sobre o dente do siso, a comida caiu sob o capô e estava apodrecendo. Houve uma terrível dor estourando. O médico anestesiou, disse que havia um forte abscesso, ele abriu, limpou e disse que era necessário remover o dente do siso. O dente foi removido por cerca de 30 minutos, não quis sair, afrouxou, pegou, mas não viu. Ele saiu sem fragmentos, mas o chiclete foi cortado. Após a remoção, o médico colocou dois pontos na gengiva. Deu recomendações e deixou ir para casa. Eu não queria parar de sangrar. Liguei para a clínica, eles disseram para vir. Naquela noite em que fui, eles colocaram um curativo com uma solução hemostática, mas ainda cuspi sangue a noite toda e na manhã seguinte. E por volta das 11 da manhã o sangue parou. Fui ao médico novamente, ele examinou a boca e disse que estava tudo bem até agora. No dia seguinte, olhei para a ferida e vi um revestimento esbranquiçado, pensei que fosse pus e fui ao médico novamente, ele disse que era placa fibrosa, não pus, eles lavaram a ferida com peróxido e disseram menos para entrar na boca e se acalmar. Mas hoje, no terceiro dia após a operação, entrei em minha boca, olhei para a ferida e vi não um revestimento branco, mas um amarelo-esverdeado e esverdeado, e havia uma dor nos ossos nas gengivas. Eu tenho muito medo de que isso comece com alveolite. Hoje é sábado, e para o médico, apenas na segunda-feira. Eu faço todos os compromissos. Tomo lincomicina, Nise, tomo banho de romazulan e clorexidina, dissolvo o Immudon. Diga-me, o que mais você pode fazer para se proteger da alveolite? Em geral, qual a porcentagem de seu desenvolvimento após a remoção dos dentes do siso? Partirei em duas semanas e não gostaria de sofrer com os dentes nas férias. Obrigado pela resposta!
Olá Eu não gostaria de ofender ninguém, mas talvez você esteja muito fixado e isso atraia problemas. O dentista se aproxima muito cuidadosamente de todos os lados. Tendo feito o máximo (30 minutos para a remoção - isso, em princípio, não é longo), ele veio em seu auxílio nos momentos mais importantes.
Seus compromissos são simplesmente maravilhosos, você os torna, ao que parece, muito responsáveis. Uma placa verde-amarelada não é um sinal de alveolite. Não quero falar sobre um dos sinais de alveolite (revestimento cinza sujo), caso contrário, você poderá encontrá-lo de repente em alguns minutos. Quanto mais medo você tiver, maior o risco do problema. Libere a situação e faça todas as atribuições. Nada mais é exigido de você. De qualquer forma, o seu médico e você, tanto quanto possível, não permitem o desenvolvimento de alveolite.
E mais uma coisa: alveolite não é mortal. É suficiente no dia da visita ao médico para realizar uma curetagem com anestesia e instalar géis ou pomadas no orifício. Minhas enfermarias raras (que encontraram alveolite após a extração do dente) quase sempre melhoram em 1-2 dias. Se você sair em duas semanas, em três a cinco dias os prazos para os riscos de alveolite passarão, uma vez que ainda não surgiram, e isso é maravilhoso. O que mais posso lhe dizer sobre o bom humor: entre em contato com o seu médico assistente, agradeça a ele e tenha o máximo de saúde possível! E desejo que você esqueça o orifício do dente por um tempo e, em uma semana, você já terá a cicatrização primária (convergência das bordas da ferida), ou seja, a remoção deixará de ser "remoção" no sentido do problema.
Tenha umas boas férias!
Muito obrigado! Você realmente me tranquilizou. Vou dizer olá ao meu médico, ele é realmente muito paciente e profissional! )
Com que calor me lembro da medicina dos tempos da URSS ... E nem digo que tudo está ruim por lá. Agora eu lembro, e apenas o bem é lembrado ... Então os médicos tentaram ajudar, mas agora eles prestam serviços. Nunca me lembro que, depois de visitar o dentista, houve problemas. Tudo se curou rapidamente. A dor passou rapidamente. E agora alguns efeitos colaterais, removidos com problemas, dói por um longo tempo. Por que os médicos não se respeitam agora? Triste com esse remédio ...
Olá Tenho uma resposta para sua pergunta, acho que as autoridades de saúde podem não gostar:
1. Médicos não são respeitados em primeiro lugar. Pessoalmente, eu e muitos de meus colegas compramos cadeiras para eles mesmos, pois é impossível trabalhar em pronto-socorro: os antigos não são descartados, porque os consideram trabalhadores;
2. Os médicos não são respeitados, uma vez que quase todos os médicos se queixam de salários. O ano passado é um dos mais difíceis para os médicos (posso dizer pela comunicação em um fórum fechado de médicos). Não acredite nas estatísticas médias dos salários: é como uma piada quando um comerciante tem duas ovelhas e um fazendeiro coletivo não tem uma única ovelha e, em média, cada ovelha tem uma. Eles simplesmente resumem os salários dos principais médicos, chefes e departamentos, mas, na realidade - o salário médio não é superior a 12 mil rublos;
3. Agora está claro por que a instituição orçamentária pode fazer isso de maneira rápida e não muito qualitativa: os dentistas recebem de 6 a 8 mil rublos a 12 a 18 mil, portanto, não estão interessados em tal trabalho;
4. Aqueles que de alguma forma podem ganhar dinheiro na recepção da "esquerda" estão em um círculo vicioso: você precisa fazê-lo com rapidez suficiente - quanto melhor o médico trabalha em uma instituição orçamentária, maior a probabilidade de que o fluxo de pessoas o ensine a trabalhar com qualidade não muito alta, mais cedo ou mais tarde . Se você não entende muito bem do que estou falando, aceite minha palavra. Essa conversa foi projetada para 1-2 horas para mostrar em detalhes como tudo está organizado lá;
5. E a última: não é necessário, com base em sua experiência amarga, sua localidade etc., julgar os médicos negativamente. Talvez na minha província eles me considerem o melhor clínico geral e cirurgião. E eu tento manter os dentes sem esperança.Mas eles dizem de maneira negativa sobre o médico anterior (que trabalhava sob a URSS): "Estraguei os dentes de todos e os retirei em pacotes, que agora a geração mais velha anda sem dentes, até removeu a cárie. Às vezes ele trata os dentes e depois de alguns meses já está sob o fórceps.
Mas você está certo, tenho 11 anos de experiência profissional, dos quais trabalho há quase 4 anos em uma instituição estadual, não quero mais me respeitar, o que significa que é hora de terminar, como a população local me chama de "última esperança". Em nosso hospital, apenas nesses anos fui muitas vezes depois das 20-21,00 (e até às 23:00 às vezes) em casa, trabalhei de 10 a 12 horas (2 turnos) sem almoço, deixando cada pessoa não como o esperado (15 a 20 minutos na recepção) e uma hora às custas de seu tempo pessoal, para ter tempo de aceitar todos.
Além disso, eu já comprei quase tudo no consultório odontológico do hospital: de “agulhas” para tratamento de canais dentários e restaurações leves a uma unidade odontológica e uma lâmpada para preenchimento leve. E como o retorno desse estabelecimento é cada vez menor a cada ano, nos últimos meses a população recebeu o mesmo médico que você, Nina, encontra na sua cidade: não estou interessado em demorar muito, quero ir para casa com minha família ... Talvez , foi a primeira vez nesses 4 anos que comecei a me respeitar às custas de futuros pacientes não muito satisfeitos? Mas quem lhe disse que mesmo um médico ex-bom médico deveria suportar a humilhação do sistema? Algumas autoridades dizem: “É difícil? "Deixe o remédio." Então imaginei como milhares de médicos tristes em todo o país deixaram o sistema de saúde de uma só vez. Enquanto isso, "pedalaremos enquanto ..."
Eu li as perguntas e respostas do médico e maravilha ... Todo mundo teria um médico assim. Desde a infância, tenho um problema com os dentes (fluorose), os dentes são muito frágeis. Há 4 dias, 46 dentes foram removidos por baixo ((O dente estava com pinos e o fluxo começou. Um raio-X mostrou que havia "vazio" entre as raízes. Não pode ser curado?! Os dentes são uma parte importante do corpo.
Olá Jeanne! Eu acho que aqui, ou o processo inflamatório entre as raízes ou a perfuração da raiz como resultado de um erro médico. De qualquer forma, as táticas de cada dentista são individuais. Nem sempre é possível salvar esses dentes, às vezes os dentistas trabalham para salvar os dentes, mas há uma complicação após uma complicação e o dinheiro não volta. Na odontologia de orçamento, a opção de preservação gratuita desses dentes é reduzida a zero, e a odontologia particular muitas vezes não garante a retirada de dentes complexos com várias formas de periodontite ou sua exacerbação, mas o sucesso ou a dinâmica positiva são atendidas com regularidade invejável. Portanto, sem ver seu caso clínico com seus próprios olhos, é difícil avaliar a perspectiva de preservar o dente extraído, mas você percebeu corretamente que o dente é uma parte importante do corpo; em princípio, é um órgão de pleno direito. Para todas as pessoas, esta é a garantia de saúde e plenitude em todos os sentidos. A condição dos dentes (número, altura da coroa, forma, posição etc.) determina em muitos casos a oportunidade de ocorrer na vida: do trabalhador ao presidente. Estou certo de que não vale a pena explicar o fato de que um sorriso saudável é basicamente dinheiro, sucesso, carreira, amor. O fato de que agora existe uma oportunidade de melhorar a condição dos dentes com a ajuda de tecnologias modernas (coroas, facetas, implantes etc.) é uma grande vantagem. Mas é melhor manipular os seus próprios dentes, em vez de substituir o dente removido por um dente artificial, embora as tecnologias avançadas, quando o preço da emissão seja de 50 a 100 mil rublos por dente implantado, possam substituir os seus completamente.
Removido um dente na segunda-feira, 8 abaixo. Terrivelmente doente. O médico disse que havia um cisto na raiz. 4 dias sofri, a dor não desapareceu. No quarto dia, ela disse que era uma alveolite. Ela me deu uma injeção, mas eu ainda me sentia vivo, gritando, como se eles estivessem me cortando. Ela colocou um remédio no meu ferimento, ela diz, ele vai se resolver. A dor nunca desaparece.
Olá No momento, não vejo nada de “ilegal” pelo dentista. O fato é que nem um único paciente está a salvo de alveolite, mas, de acordo com suas palavras, o médico tenta ajudá-lo com a terapia anti-inflamatória. A única coisa que de alguma forma pode sugerir possíveis erros é a incapacidade de obter anestesia persistente. Mas aqui eu gostaria de saber todas as circunstâncias desse problema, então deixarei esse problema em aberto. Deixe-me explicar: idealmente, a anestesia deve agir para que o paciente não doa. Esse é o padrão, essa é a norma, mas em certas situações pode ser difícil alcançá-lo. Não vou entrar em detalhes, portanto direi apenas uma coisa: monitore cuidadosamente a dinâmica dos próximos dias e pense menos no mal. Penso que o seu médico assistente é capaz de controlar a situação e tornar a cicatrização do buraco o mais confortável possível.
Olá. Três dias atrás, o dente do siso foi removido, mas quebrou. O médico estava colhendo por um longo tempo, mas ele não conseguiu encontrar a raiz. Ele disse que se incomodaria, ficaria doente - você viria à cena, vamos ver. Enquanto, ao que parece, nada dói, cura. A questão é: se ainda há algo sobrando, então quando isso geralmente começa a incomodar? Talvez vá para a foto e se acalme, ou se nada ficou doente imediatamente, tudo está em ordem?
Olá Eu posso entender, em princípio, um dentista, mas no momento estou do lado do paciente. Estou escrevendo como está. Já ouvi essas histórias muitas vezes nos lábios de médicos e pacientes que são oferecidos para esperar, e os médicos costumam dizer a frase: "Muito provavelmente, a própria raiz sairá". Essa é uma prática cruel, e agora explico o porquê.
Por um lado, a probabilidade de uma raiz esquerda levar a sérias complicações no futuro não é muito alta, pois muitas vezes há uma tendência a "evacuar" a raiz, embora isso geralmente leve anos. No entanto, deixar a raiz no poço após a remoção é um fato complicado durante a remoção. Se o médico não faz nada para eliminar as conseqüências, mas existem todas as possibilidades (um estado satisfatório de sua saúde etc.), isso é uma violação do processo de tratamento. Deixar a raiz infectada leva a complicações imediatas ou tardias (periostite, osteomielite, abscesso etc.) em cerca de 30 a 40% dos casos. Se uma raiz "saudável" se rompeu e o médico extraiu raízes infectadas (com cistos, granulomas etc.) do buraco, o risco é menor, mas ainda permanece. Não faz sentido esperar um sistema de drenagem na forma de um buraco após a remoção, uma vez que pode acontecer em boas circunstâncias que essa seja uma “ventilação” de longo prazo para pus, pois o buraco pode não estar completamente “fechado”, esperando o corpo arrancar a parte superior da abertura. raiz.
Proponho a melhor opção: entre em contato com outro cirurgião maxilofacial e remova o chip após o diagnóstico da imagem. Muitas vezes acontece que outro especialista em perseguição faz o trabalho muito mais rápido que o anterior. Obrigado pela pergunta.
Olá Eu li todos os pedidos e comentários, não ficou mais fácil: sinto muito pelas pessoas e agora por mim. Os 6 inferiores foram removidos, o sangue fluiu 5 horas após a remoção, um aumento nas gengivas foi palpado atrás da bochecha. O dente estava cheio, mas estava doente. O médico perfurou, disse, removemos, a raiz apodreceu, mais na foto eu vi um cisto. Agora, no segundo dia após a remoção, os dentes superiores também doem e, no lado oposto, há algo branco-amarelado na ferida. A temperatura subiu para 37. Doente cansado: houve uma perna quebrada há 6 meses, removeu a unha na mesma perna. O dente começou a doer, pensei que seria tratado - arrancado. Talvez um antibiótico para beber? Agradecemos antecipadamente. E, no entanto, quando você pressiona a mandíbula superior - também é uma dor e bastante forte.
Também esqueci de escrever: parei o sangramento com peróxido, coloquei-o em algodão e apliquei-o.Provavelmente machucá-lo? Toda a saúde, não fique doente!
Eu relato. Eu estava no dentista, examinei, encontrei um buraco vazio, processei, coloquei um tampão com remédio. O que agora Herpes derramado no lábio, um nódulo na gengiva, para que possa ser sentido atrás da bochecha. Espalhei herpes com aciclovir. O médico disse que enxágüe com soluções de refrigerante. Excitante aumento na gengiva. 3 dias após a remoção.
Mas o médico me proibiu de lavar refrigerante e peróxido. Ele diz que é inútil e apenas irritação será. A referida miramistina deve ou clorexidina. E realmente. A miramistina é melhor, a clorexidina também é boa, mas não combina comigo. Dermatite derrama do rosto. E o buraco após a remoção não deve doer. A dor deve diminuir a cada hora. Tudo o resto deve ser alarmante e urgente para um médico.
Olá Natalya! Em relação ao dente extraído, posso dizer o seguinte. O dentista diagnosticou o seu "buraco seco" a tempo - um possível prenúncio de alveolite. Após o tratamento medicamentoso, quase sempre se torna muito melhor. Em relação aos lábios, você pode ficar calmo: muitas vezes (mesmo nos meus pacientes) essa reação se manifesta no contexto de uma deterioração geral do bem-estar, do estresse e da diminuição da imunidade. Geralmente, o tratamento prescrito pelo seu médico é suficiente. Quanto às soluções de refrigerantes, não concordo totalmente, mas alguns dentistas publicam dados sobre o sucesso dessa terapia caseira, por isso é difícil sugerir mais alguma coisa sem ver você e o resultado da remoção.
Eu acho que as gengivas estão aumentadas devido à remoção traumática - isso, de fato, é uma inflamação. Não confunda com um processo infeccioso com alveolite. Com uma lesão, a gengiva sempre aumenta ligeiramente em volume, e o médico pode formar um pouco mais ou menos.
3 dias após a remoção para avaliar a condição da "uniformidade" das gengivas - isso não é suficiente. Eu acho que você deve monitorar: temperatura, inchaço, dor intensa, odor podre. Se isso não ocorrer, você poderá esperar com segurança a recuperação, e o formato da margem gengival na zona de remoção deve ser formado da forma correta dentro de 2-3 semanas, embora às vezes demore mais - até 1-3 meses. Saúde para você!
Eles imediatamente removeram 2 dentes na minha mandíbula, um dente do siso e um dente pequeno (4?). O médico duas vezes não conseguiu anestesia, outro médico veio, fez três vezes. Dentes removidos. No dia seguinte, um fluxo apareceu ao redor de um dente pequeno e toda a mandíbula doía muito. Eu fui ao médico. Novamente, exatamente a mesma história com alívio da dor. Tiro triplo. Boca não aberta com dor. Ele limpou, cutucou profundamente e dolorosamente, já explodiu em lágrimas. Hoje, um monte de remédios caiu da ferida de um dente pequeno, uma dor infernal apareceu. Eu bebo cetanas e flemoxina. O médico pediu um exame. Mas, percebendo que haveria mais três injeções no mesmo lugar, eu não fui. Um filme branco apareceu no buraco de um dente pequeno. Não é podre, não é cinza. A gengiva é cortada lateralmente, com uma mancha de sangue. A mandíbula dói muito. A dor se funde da têmpora até o queixo. Mas nem pus, nem temperatura, nem cheiro. Talvez eu tenha dor depois de escovar? Quanto tempo um dente deve doer? A placa branca e branca no orifício é uma norma?
Olá Normalmente, um revestimento leve sobre o furo é um sinal que se encaixa na norma. Dor intensa pode resultar da remoção traumática. Além disso, o possível efeito de um “buraco seco” é adicionado a isso, uma vez que a proteção na forma de um medicamento caiu da ferida. Em princípio, a inserção de medicamentos no orifício não é incentivada por muitos dentistas, mas para os próprios pacientes geralmente é uma opção confortável para a cura. A perda de curativo quase sempre causa dor, mas geralmente passa dentro de 3-5 dias devido à epitelização do orifício do fundo e das paredes. Demora mais e mais dolorosamente. Mas você pode criar completamente seu próprio coágulo sanguíneo, e geralmente até uma anestesia por infiltração é suficiente.Um coágulo sanguíneo é o melhor protetor contra infecções. Se o alimento (ou apenas uma infecção) entrar em um buraco seco e a podridão começar, a alveolite pode se desenvolver. É importante que você ajuste o tratamento. Aconselho que mude de médico se tiver medo das táticas sobre anestesia e faça tudo de acordo com as regras. Tenha um bom tratamento.
Olá. Eu tenho um problema: eles removeram meu dente, 7-ku. Naquela noite, formei algo branco no buraco, e na manhã seguinte havia um cheiro do buraco. O que poderia ser?
Olá Apesar do fato de a placa leve ser uma manifestação da norma, definitivamente vale a pena checar o buraco, talvez seja um "lixo" banal para alimentos. Isso geralmente acontece se parte do coágulo sanguíneo (ou todo) cai após a remoção. Devo dizer imediatamente que muitas pessoas toleram a cicatrização do orifício após a extração do dente sem um coágulo total, mas na maioria das vezes ainda existem alguns problemas - desde dor intensa no futuro até o desenvolvimento de alveolite. Eu acho que você deve estar seguro e procurar ajuda do dentista. Obrigado pela pergunta.
Olá Dois dentes foram removidos: 7 (simples) e 8 (complexo). A cada dois dias o cirurgião trocava o medicamento, ele próprio nomeado para comparecer. Agora ele saiu de férias. Partindo, ele disse para vir e trocar o remédio. Eu vim, mas o GP disse que não havia necessidade de mudar. Isso perturbará a ferida, curará por mais tempo. Mas o remédio e a gaze (ou algodão), que cobriam o remédio, caem à medida que cicatrizam. Ainda não havia dores, hoje um pouco de desconforto. O cirurgião será liberado apenas em novembro. Então, preciso de conselhos: esperar pela perda de algodão ou ir a outro médico?
Olá Eu acho que você apresentou diferentes abordagens em relação ao tratamento pós-operatório. No momento, não há motivo para preocupação, pois o dentista que ajusta o tratamento monitora ativamente o processo de cicatrização. Definitivamente: o primeiro e o segundo médicos têm sua própria verdade. Tudo depende da droga que foi instalada no buraco. Muitos dentistas geralmente não recomendam a colocação de medicamentos, considerando que o buraco cicatriza bem e com seu coágulo cheio. Eu aconselho você a deixar a situação de lado e observar a dinâmica por vários dias. Estou certo de que não vai mudar para pior. Obrigado pela pergunta.
Olá, há uma semana, retirei o dente do siso, figura oito. O dente estava recostado, a extração durou pouco mais de uma hora. Após a extração, o dente não doeu, a bochecha ficou levemente inchada por 2 dias, mas em geral tudo ficou indolor, eu me senti bem. Depois de 3 dias fui fazer uma visita, está tudo bem. E agora sinto constantemente o cheiro na boca, não há outros sintomas desagradáveis. Poderia ser uma alveolite?
Olá Penso que é improvável, embora, em casos raros, ocorram sinais iniciais semelhantes de alveolite, ocorrendo de forma compensada. Provavelmente, isso é uma violação da higiene nessa área - não é preciso dizer que não é possível remover qualitativamente a placa bacteriana de todas as superfícies dos últimos dentes próximos ao orifício, pois você simplesmente protege essa área de lesões.
Há também um fator para colocar comida no buraco e apodrecer; portanto, é importante aqui ajustar os princípios domésticos de higiene e cuidados pós-operatórios do buraco. Não deixe de consultar seu dentista e analisar a situação. Eu acho que definitivamente será beneficiado. Obrigado pela pergunta!
Olá Raiz removida, 4 na parte superior. Estava selado, o nervo removido. Eles o deletaram sem foto, o médico disse que tudo está claro, tudo está bem, estamos excluindo. Mas há um mês e meio atrás, uma fístula apareceu perto dessa raiz. O médico me cortou com uma tesoura, disse que eu preciso tirar uma foto, e então ela será visível, aumentada ou excluída.E não, porque ele não me incomodou. Então um pouco de chiclete começou a inchar e eu fui ao cirurgião. Ele excluiu sem um instantâneo, disse que está tudo bem. Nomeado apenas uma lavagem de refrigerante. Quatro dias se passaram e, no meu local de remoção, os 6 dentes inferiores doem e doem um pouco. Não havia engarrafamento no terceiro dia, o buraco era grande, uma mancha branca-amarela estava no fundo, a gengiva superior estava inchada e doía ao ser tocada. E hoje, no quarto dia, apareceu alguma acne no palato, talvez seja estomatite? Muito preocupada Muito obrigado!
Olá Eu acho que você deve ir ao dentista, pois os sinais se parecem com o efeito “buraco seco” ou com a alveolite já iniciada. Mais uma vez, ele não serve para examinar o buraco - pode ser necessário processá-lo com anestesia, seguida pela correção do tratamento em casa. Sem ver a situação clínica com meus próprios olhos, é difícil sugerir algo mais específico, por enquanto nos limitaremos a visitar o dentista para que eu não pense. Obrigado pela pergunta.
Olá. 19 de setembro removeu o top 6 com periodontite crônica. Eles o removeram por cerca de 15 minutos, enquanto o dente afundava profundamente. Após a remoção, estava tudo bem, eu nem tomei analgésicos. Mas me preocupa que quase um mês tenha passado, e o buraco não esteja completamente coberto de vegetação, e ainda o sinto. Fui ao médico há uma semana, disse que está tudo bem, cura. Alguns dias depois, ela sai de férias. Não sei o que fazer ... Espere até que cresça ou vá para outro especialista?
Olá A julgar pela sua história, você tem uma dinâmica positiva e a formação das gengivas após a remoção ocorre dentro de 3-4 meses, com menos frequência - 4-6. Portanto, seja paciente e aguarde o design das gengivas durante esse período. Tenho certeza que você vai ficar bem!
Muito obrigado!
Olá. Na quarta-feira, ela removeu um dente do canto superior esquerdo, o último na frente do dente com sabedoria. A remoção foi rápida, então o dente também quase não doeu, mas no mesmo dia uma mancha branca apareceu no interior da gengiva, o que causa uma sensação levemente desagradável ao engolir. Por causa do que poderia aparecer e o que fazer com isso?
Olá A dificuldade em engolir é quase sempre observada quando os dentes do siso inferiores são removidos. Quanto à "mancha branca", não tenho muita certeza de explicar sua origem sem inspeção. Eu acho que você deve entrar em contato com o seu dentista para esclarecer pessoalmente a situação nos momentos que o perturbam. Obrigado pela pergunta.
Olá, hoje tirei o fundo 8, coloquei uma esponja na ferida. Diga-me, se cair à noite, o que fazer?
Olá Se a esponja cair, você deve consultar seu médico no dia seguinte e ajustar o tratamento. Isso se deve ao fato de o dentista “segurar” o orifício contra a alveolite (ingestão de micróbios, alimentos e sua deterioração no orifício). Melhor não arriscar. Obrigado pela pergunta.
O molar superior direito foi removido, suturado e depois removido. Agora um pedaço de couro está lá ... É assim que deve ser? Quando a esquerda foi removida, isso não ocorreu e nenhuma sutura foi feita.
Olá Eu acho que você está se referindo a um chiclete que quebrou a integridade. É possível que ocorra uma remoção traumática, e o médico não prestou atenção à colocação perfeita da mucosa gengival com uma diminuição no lúmen do buraco. Se você não puder fazer uma ferida precisa apenas desenhando suas bordas, as suturas serão aplicadas. A cura pode ocorrer normalmente nessa situação, mas a formação das gengivas pode demorar e não se tornar a mais confortável por um longo tempo (mesmo do ponto de vista da mesma língua, que parece se esforçar para entrar na ferida).Eu acho que você deve corrigir a margem gengival com seu médico ou outro médico para que essa situação não provoque mais problemas desnecessários. Obrigado pela pergunta.
Olá Há 6 dias, o sétimo dente foi removido abaixo. Quando a anestesia se foi, a dor era insuportável, adormeceu somente após 3 comprimidos de tempalgin. No momento, a dor continua a incomodar, é dolorosa e insuportável. Parece que toda a mandíbula dói e cede ao templo e à cabeça. O buraco, tipo, sem sinais de inflamação. O que poderia ser? Ou é uma cura normal?
Olá Esta não é a norma. Existem duas opções: a alveolite começa ou existe um dente vizinho, no qual a inflamação do "nervo" progride. A busca por um dente causador é possível a partir da imagem - em geral, seria bom fazer um raio-X da área de extração também, pois pode haver fragmentos no orifício. Claro, acredito na honestidade do seu médico, mas sempre vale a pena conferir.
Portanto, sua situação está longe do normal; portanto, para descobrir o motivo, apesar da complexidade desse ponto, é absolutamente necessário. Após o diagnóstico, o tratamento é prescrito. Obrigado pela pergunta.
Boa tarde Há cinco dias, o molar inferior foi removido, foi removido com muita força: escavado, perfurado. No segundo ou terceiro dia, houve um revestimento branco e um aroma não muito agradável. O buraco, ao que parece, é apertado, de maneira caótica, mas o cheiro não desaparece. Primeiro, todo o lado inferior doía, especialmente os dois dentes entre os quais ele estava. Ontem, começou a doer e eu também subi na língua - quando tento chupar um pouco, aparece um sabor levemente salgado e a gengiva sob o dente extraído está levemente inchada. Diga-me, por favor, o que poderia ser e quais são meus próximos passos? Eu não posso ir ao médico antes de segunda-feira. Agradecemos antecipadamente.
Olá Eu acho que existe um lugar para começar a alveolite. Para confirmar o diagnóstico, você deve entrar em contato com o dentista de plantão, também existem clínicas particulares que trabalham nos fins de semana. Mesmo um escritório particular não recusa pacientes de emergência. Quase todas as cidades têm a oportunidade de encontrar um médico no fim de semana. Obrigado pela pergunta.
Boa tarde Em 28 de agosto, ela removeu o dente inferior - 4, o coágulo estava normal, mas a gengiva estava inchada e o buraco não cicatrizou por muito tempo. Hoje, após 5 limpezas do granuloma, a ferida quase cicatrizou, mas a bochecha ainda apresenta um inchaço doloroso na gengiva vermelha e uma pequena fístula no buraco. Dentes vizinhos (5 e 3) também foram abertos, limpos e colocados obturações temporárias. O médico receitou ciprolet, mas eu tenho alergia a ele, embora eu o usasse. A droga foi cancelada. O que pode ser substituído? Eu mesmo estava exausto e exausto o médico, embora não tenha sido ele quem removeu o dente.
Olá As drogas geralmente não são prescritas pela Internet, já que você também não pode "adivinhar", como no seu caso, e eu pessoalmente não aprecio a sabotagem por meio dessa forma de comunicação com os pacientes. O que você descreveu não se enquadra na categoria de casos de emergência, mas você deve verificar a situação da cicatrização gengival diretamente na cadeira do dentista. Eu não acho que a razão aqui esteja exatamente no buraco: é necessário ter em mente os dentes vizinhos (aqueles que estão na fase de tratamento), pois se realmente houver uma "fístula", você não precisará verificar o buraco.
Quanto ao antibiótico, a situação aqui é ainda mais complicada. A escolha de um antibiótico para ajudar no tratamento principal é extremamente importante. Se você é realmente alérgico ao Ciprolet, os antimicrobianos do grupo fluoroquinolona não são adequados para você. Além deles, um excelente efeito antibacteriano pode ser obtido com antibióticos de outros grupos, por exemplo, Amoxiclav, Sumamed, etc.
Pessoalmente, na prática eu uso esses medicamentos, dependendo da gravidade da situação, ou seja, individualmente. Portanto, peço que você definitivamente consulte um dentista para excluir possíveis problemas.
Boa tarde, removida há uma semana, 7 ku abaixo, com um cisto e fístula. Tudo correu bem, nada doeu, mesmo depois que a anestesia passou. O coágulo foi formado com sucesso. No entanto, no quinto dia havia um cheiro desagradável no buraco, no sexto dia tornou-se completamente desagradável, porque há um gosto de pus na boca, mas a gengiva é rosa, não há inflamação, nada dói. O coágulo partiu parcialmente, desconfio que a infecção possa ter vindo da fístula pelo lado do buraco ... Faço banhos com os calêndulos de calêndula. O que deve ser feito em tal situação?
Olá Provavelmente, não se trata de alveolite, mas de transformar o buraco em uma espécie de "lixo", não importa como isso pareça pouco lisonjeiro. O coágulo é parcialmente destruído, de modo que o buraco agora pode acumular em si os restos de comida que apodrecem na ferida. Para verificar isso e tomar as medidas necessárias, entre em contato com o seu dentista para obter ajuda. Após o tratamento da ferida, as recomendações serão ajustadas. Não tenho certeza se o que você usa é perfeito em sua situação clínica.
Svyatoslav Gennadievich! Um pouco fora de tópico, mas talvez me diga? Ele tratou um dente incisivo doente em várias visitas, e os dentes foram removidos por um longo período de tempo perto do lado direito e esquerdo. O médico disse que, para próteses, é aconselhável manter esse dente, remover o nervo, trocar o medicamento várias vezes. Nas profundezas das gengivas havia algo parecido com uma bola que, quando eu apertava, cedia no dente incisivo, como se algum alfinete não estivesse pressionando com força. O médico de controle disse em um tiro de controle que nada poderia machucar. Seis meses depois, decidi ainda remover esse dente, tive medo de que, após as próteses, pudesse doer e todas as próteses tivessem que começar de novo.
Após a extração do dente, já se passaram 2 meses, e eis o que é interessante - com a pressão na gengiva, a mesma sensação é sentida, mas não há dente e também não há dentes vizinhos. Mas quando o dente foi removido, o cirurgião disse que eu tinha exostose na gengiva, e ela deveria ser removida com próteses. E o médico-terapeuta respondeu à minha pergunta por que minha gengiva no incisivo está inchada e levemente saliente, respondeu que isso ocorreu porque o incisivo assumiu toda a carga de dentes perdidos. Se for exostose, é visível na imagem e pode doer quando a pressão é aplicada à gengiva?
Olá Tenho quase certeza de que, durante a palpação, suas gengivas são feridas por dentro pela borda irregular (talvez afiada) do buraco. No momento da remoção, uma parte da parede externa dos alvéolos se rompeu, que no final agora é percebida por você como dor quando pressionada. Exostose é um diagnóstico perfeitamente aceitável nessa situação. Na imagem, praticamente não será visível, porque este é o seu osso nativo, as irregularidades do furo podem ser exibidas, mas a imagem não estará completa. Portanto, respondendo à sua pergunta principal, direi o seguinte: a exostose não dói, mas cria um microtrauma por dentro, ou seja, a gengiva ou área de dobra transicional dói.
Não discutirei ou condenarei a abordagem do médico para preservar o incisivo: não funcionou, não funcionou dessa maneira. Além disso, não vou supor, à revelia, se "inchaço" foi associado à sobrecarga dentária. Deixemos isso na consciência do clínico geral.
Se você deseja ser protético, vale a pena remover a presença de exostose.
Sinto muito, talvez eu esteja preocupado em vão. Mas, há 3 dias, retirei o top 6. 2 dias de sangue escorria do buraco e hoje é um líquido salobra. Desna dói o tempo todo. Analgésicos não ajudam. A remoção foi difícil. Um martelo foi usado várias vezes (não sei como chamar de maneira diferente). Nas bordas mais próximas do centro, há um revestimento branco e, no centro, um coágulo vermelho escuro. Mas as gengivas e maçãs do rosto doem. A boca também é um pouco dolorosa de abrir. Eu já tirei os dentes, e isso não foi.
Eu esqueci de esclarecer, era a raiz.
Olá Você descreve tudo o que está dentro dos limites normais, exceto dor intensa e dificuldade para abrir a boca.Eu nem pensei que, após a remoção do sexto dente superior, a boca possa começar a abrir mal. Então, de longe, sem vê-lo, não posso dizer com certeza o que esperar a seguir: bom ou ruim. Após uma remoção complicada, especialmente desde que esse método é antigo e amplamente arriscado, tudo pode acontecer: nos tempos soviéticos, quando essa remoção com martelo cirúrgico e cinzel era generalizada, havia casos de até mesmo uma lesão na mandíbula, até o ponto de criar uma rachadura, sem mencionar sobre empurrar as raízes para os tecidos moles, seios maxilares e assim por diante.
Não acho que valha a pena procurar o conselho de um médico que use um método tão traumático em seu trabalho, mas definitivamente vale a pena consultar um profissional (cirurgião maxilofacial ou cirurgião-dentista da categoria mais alta). Boa sorte
Olá Há uma semana, eles removeram meu dente superior, quatro (se não me engano). O pobre médico ficou atormentado por 2 horas e, no entanto, o dente desistiu. Ele inseriu um remédio e uma compressa de gaze no buraco e disse para enxaguar com clorexidina. Após o término da anestesia, começaram as dores doloridas. No terceiro dia em que não conseguia comer nem dormir, tive que suportar o fim de semana e me sentar em analgésicos. No quinto dia, fui novamente ao médico, eles limparam e lavaram o buraco, dois médicos ficaram em cima de mim e ... não sabiam o que fazer melhor comigo! Como resultado, eles colocaram (ouviram as palavras dos médicos) alvéolos e novamente um cotonete de gaze. Sumamed, nimesil e clorexidina foram prescritos. Um dia depois, novamente a dor, doendo e tremendo ... A gengiva inchou nos dentes adjacentes e, no lugar do dente extraído, apareceu um abscesso semelhante a uma espinha de sangue. Parece-me que ele é o que mais sofre agora. Dois desses "acne" apareceram no canino inferior sob o dente extraído e também doem. O que pode ser feito? Ou de novo ao médico? Agradecemos antecipadamente!
Eu esqueci de dizer que um buraco seco.
Olá Enxaguando com clorexidina e alguns outros pontos indicados por você, eu pessoalmente não aprovo. Quanto à descrição da situação, é necessário um exame interno aqui, mas por enquanto só posso supor que os médicos, por exemplo, não removeram os restos das raízes, fragmentos do dente destruído, não corrigiram as seções expostas do osso alvéolo, o septo inter-radial saliente, tiveram pouca curetagem e se esqueceram no fundo do buraco granulação (raramente, mas acontece). Trata-se de possíveis omissões. No entanto, pode-se dizer que você foi “curado” em termos de prescrições (por exemplo, clorexidina e a introdução de medicamentos no poço). A amarga experiência de meus colegas mostra que nem todas as pessoas se beneficiam de buracos "entupidos" com medicamentos à base de iodofórmio, timol, própolis, eugenol, etc.
Aconselho você a entrar em contato com outro cirurgião-dentista por vários motivos. Mas não se ofenda com os médicos, eles fizeram o que podiam. De qualquer forma, uma opinião diferente sobre o tratamento pós-operatório de feridas será apenas a favor, não prejudicial. Boa sorte
Olá No dia primeiro de setembro, o canto inferior esquerdo oito foi removido. A operação foi muito complicada. Entrei às 15:00, deixei às 18:00. Três horas removidas! O dente estava no nervo. Eles injetaram uma dose dupla de analgésicos e ainda doía. Removido em pedaços. Seja como for, excluído. Eles disseram sobre o coágulo vermelho - que isso é normal, mas eu não sabia que ele podia ser enxaguado. Havia um trismo e sentou-se sob anestesia. Em geral, em 15 de setembro não era mais doloroso e eu não tomava mais analgésicos. Ele começou a mastigar no lado esquerdo e lavou a boca - e, aparentemente, o coágulo de enxágue.
Por volta de 20 de setembro, não importa como cantamos, a dor começa. E ele mastigou do lado direito, mas ainda assim a dor veio. Por cerca de uma hora, fiquei apenas deitado e não pude fazer nada - parece que um nervo em um dente adjacente estava dolorido. Geralmente depois de uma hora a dor desaparecia - e assim por diante até a próxima refeição. Sofri isso por cerca de uma semana e fui ao médico. Não havia força para suportar.Ela olhou e disse que a raiz do dente adjacente estava pendurada no meu ar - quando o coágulo vermelho estava lá, ele cobria a raiz, e agora está aberto e eu só preciso esperar até que ele se arraste e pegue Calcemin-d. Ela cobriu um buraco para mim com um recém-chegado e eu fui embora.
Em princípio, após 2-3 semanas, o dente cicatrizou. Eu já não sei, foi adiado por lá, ou o quê, mas agora se passaram três meses e o dente não dói, mesmo quando mastigo no lado esquerdo. Mas me incomoda que exista uma fossa, e é muito profunda, ainda não apertada com tecido ósseo. Após cada refeição, lave o buraco. E parece que quando toco minha língua, o tamanho do poço não muda.
Por favor, diga-me isso é normal? E se deve esperar ainda, ou ir ao médico, e o que geralmente é feito nesses casos?
Olá A julgar pelo fato de que mais de três meses se passaram desde a remoção, o buraco na área do antigo dente do siso levou aproximadamente 70-80%. A atrofia óssea está em andamento: essa área não funciona e a crista óssea gengival leva seu alívio final. Não tenho certeza de que você possa entender subjetivamente com certeza se o tamanho do poço muda a cada semana que vem. Esse processo é muito lento, pode levar de 5 a 6 meses e com remoções complexas e traumáticas - ainda mais tempo.
Quanto ao dente 7, você também não deve ter medo: a gengiva se formou tanto que fecha sua região cervical. Boa sorte e saúde!
Olá. Um dente foi removido na quarta-feira, metade dele permaneceu. Eles tiraram uma foto, disseram que o médico anterior deixou alguma coisa lá quando ele removeu os nervos; em geral, a remoção, disse ele, era de dificuldade média. Removido das raízes, horror atormentado como eu. Ele suturou, disse que havia grandes raízes, mas me parece que ele acabou de rasgar meu chiclete. Em geral, ele coagulou, chegou em casa e bebeu remédios para dor. No dia seguinte, também bebi de manhã - porque minhas gengivas doíam e a dor do meu ouvido. No dia 3, houve um revestimento branco no orifício, a dor é a mesma, provocando no ouvido. No terceiro dia fui ao médico, mas havia outro médico, ele disse que esperava que fosse pior. Coloquei algodão com remédio e disse-me para ir ao meu médico amanhã. Mas a dor permaneceu, eu já tenho medo, Deus não permita, infecção. Como posso ser, o que poderia ser? Eu segui todas as recomendações: não coma deste lado, não enxágue.
Esqueci: sinto a gengiva inchando, mas o inchaço em si não é visível.
Olá Penso que este é o resultado de uma remoção difícil: lesão + prescrição pouco correta. Consulte urgentemente um dentista e examine o orifício em busca de "orifício seco" e alveolite.
Olá. Por favor, diga-me, há quase 2 meses, removi o dente do siso superior direito, hoje senti algo no buraco com a língua depois de comer. Eu pensei que a comida chegou lá, tentei enxaguar - não funciona. Parece algo macio. Então, no final, ela pegou com uma unha e puxou algo que parecia pele, macio. Não há dor, mas o sangue se foi. Sinto com a língua que ainda resta no buraco. O que poderia ser?
Olá Provavelmente, o dentista colocou o medicamento no buraco - é possível que você tenha removido esse "flagelo" ou "esponja" com a unha. Também é possível que você tente pegar com a unha o tecido de granulação já formado dentro do poço, que é formado durante a cicatrização normal (a epitelização às vezes leva muito tempo). Seja como for, se o sangue tiver desaparecido, ainda é útil consultar um dentista e examinar o orifício, pois há riscos de perturbar o curso normal de sua cura.
Olá, querido Svyatoslav Gennadevich! 5 dias atrás, o quarto dente superior foi removido. Um coágulo se formou. 2 dias houve pequenas dores e um pouco de bochecha inchada. Agora nada incomoda. Mas estou preocupado com um coágulo que quase desapareceu.Ou seja, ele era, mas todos os dias se torna cada vez menos. Lavado ativamente com nada. Agora há um pequeno buraco no buraco e a comida fica entupida lá. Quando sugo (posso fazer isso?) Os restos de comida, então a borda da gengiva se move do lado de fora, isso é normal? Quando digo algo, é como se "o ar estivesse andando" no buraco. Eu tomo banho com Loroben. Vale a pena temer o desenvolvimento de alveolite? Ou o buraco se cura dessa maneira? Até agora, não há sintomas, exceto um leve mau hálito.
Olá Quando não há coágulo sanguíneo no orifício, muitas vezes dificulta a cicatrização, e o orifício pode se tornar um tipo de recipiente para partículas e bactérias alimentares da cavidade oral, o que também não é muito bom. Você escreve sobre o movimento das gengivas - isso pode indicar que o buraco formado pelo médico não é muito preciso, ou seja, as bordas da ferida não são reunidas.
A alveolite não precisa mais ter medo, pois seu tempo de ocorrência favorito é de 3-4 dias após a extração do dente. Se a situação piorar, recomendo que você consulte um dentista para obter orientação em uma cadeira. Obrigado pela pergunta.
Olá, 6 de dezembro, o 17º dente foi removido, tudo desmoronou, mas ainda assim foi removido e não havia fragmentos. As bordas das gengivas inflamadas perto dos dentes adjacentes. Alguns dias depois vim verificar a remoção, o edema não desapareceu, eles me disseram que eu tinha alveolite na cavidade. Eles limparam tudo, mas o inchaço se tornou ainda maior e não desapareceu dentro de 2 dias. O médico disse que o edema é normal, porque remoção complexa, lincomicina prescrita em cápsulas 3 vezes ao dia e após a limpeza, aplique metrogil na bochecha. O terceiro dia passou, enquanto tomo remédio, mas o edema não desaparece. Vou esclarecer que não há dor, a temperatura não aumenta, o rosto também não incha, mas apenas a gengiva atrás da bochecha na área do dente adjacente. O que fazer Há um coágulo, cor amarelada, sem mau hálito, mas desconforto atrás da bochecha devido a edema. Estou com medo, me diga o que fazer?
Olá Após a remoção complexa (especialmente se você teve uma curetagem do orifício no contexto da alveolite), o edema desaparece lentamente. Como o edema ocorre na área da gengiva inflamada e não causa assimetria na face, podemos assumir um processo lento de restauração da gengiva no contexto de recomendações que não são adequadas para você. Eu acho que você deve entrar em contato com outro médico para que ele examine o buraco e, possivelmente, ajuste o tratamento para obter um resultado positivo. Para referência, direi que o edema em média desaparece dentro de 5 a 7 dias, o principal é que deve haver uma tendência positiva.
Meu dente foi removido no verão. Enquanto a anestesia funcionava, estava tudo bem, mas quando começou a se afastar, as gengivas doíam. Em casa, um chá de camomila era fabricado e lavado. Outro dentista disse para comprar comprimidos de Trachisan, porque eles removem a infecção na cavidade oral e anestesiam bem. Ajudou bem, não houve complicações.
Olá. Há três dias fui removido no canto inferior direito de 8 ku, a remoção foi muito dolorosa. No momento da remoção, o linfonodo estava ligeiramente inflamado; após a remoção, os linfonodos submandibulares (à direita) inflamavam, por causa deles não consigo abrir a boca. Já três dias não diminuíram ou aumentaram, a temperatura está mudando constantemente - de 36,6 para 37,8. Quando 37,8, o templo dói ... Desna surpreendentemente cura rapidamente, não dói e não incha, também não há vermelhidão. Eu bebo antibióticos. O que devo fazer com os linfonodos? É muito difícil ir ao dentista, porque eu moro no deserto, e os especialistas aqui não estão realmente aqui, eles nem disseram o que fazer. Eles só disseram que 2 horas não estão lá, só isso.
Olá Se suas palavras forem "escritas corretamente", a linfadenite, que acompanha o período pós-operatório, pode ser perigosa, especialmente quando existe em resposta a um processo purulento persistente no orifício e nos tecidos circundantes.Para verificar esse fato remotamente parece impossível para você - você precisa de um exame em tempo integral por um médico. Os pacientes geralmente são muito subjetivos a quaisquer formações na região maxilofacial, chamando-os com mais frequência de forma incorreta do que interpretando corretamente sua doença. Além disso, você se concentra na temperatura, incapacidade de abrir a boca, irradiando dores no templo, etc. Pessoalmente, suspeito, pelo menos, alveolite - é possível que force os linfonodos a participarem disso, exacerbando a situação. Mas isso é apenas uma suposição, que é importante para confirmar (ou refutar) clinicamente no dentista. Automedicação, eu definitivamente não vou aconselhá-lo sem conhecer a natureza exata e a gravidade da doença.
Olá, removi o dente inferior, 6 de dezembro, 12.16. Antes disso, ele ficou doente comigo e o linfonodo ficou inflamado. Fui à clínica, eles removeram meu dente. Hoje é o segundo dia depois disso, um coágulo de sangue no buraco, essa é a norma? Posso comer com calma? E então eu me preocupo, nada dói, apenas um linfonodo ainda está inflamado e a bochecha.
Se após a remoção e antes da remoção o linfonodo estava inflamado, ele passará? Dentro de alguns dias? E o que é isso? Resposta, estou em pânico.
E quanto posso fumar após a remoção?
Olá Um coágulo de sangue no poço é a norma. Seria muito pior se este coágulo estivesse ausente (protege o poço da infecção e contribui para o processo de cicatrização da ferida).
Após a extração dentária, a linfadenite desaparece à medida que o processo inflamatório diminui, geralmente dentro de 5-7 dias. Você pode comer 3-4 horas após a remoção: nos primeiros 4-5 dias, é aconselhável limitar-se a alimentos macios e, se possível, tentar mastigar o lado saudável. Se não houver dinâmica positiva (redução do edema todos os dias), consulte seu dentista para uma consulta.
Olá, Svyatoslav Gennadievich! Tirei 4 dentes inferiores. Era um toco, cujas bordas permaneciam restos de um dente. Imediatamente ele não sucumbiu à saída e o médico a balançou de um lado para o outro, cortando a gengiva. Como resultado, o buraco se transformou em uma clareira. Sangue foi dois dias, periodicamente. Dois fragmentos do dente foram lavados a partir daí. O coágulo na minha clareira ficou cinza e o cheiro dele nauseava até a dor de cabeça da toxicose. Na noite do terceiro dia, retirei esse fedor superficialmente, deixando o buraco fechado por esse coágulo. Tornou-se mais fácil na manhã seguinte. Com tudo isso, não posso dizer que o local da remoção me dói, embora a sensação de uma bola esteja presente entre a gengiva e a bochecha. Não há tumores. Desna fica rosa. Parece que não há nem ondulação e lumbago. Mas o cheiro e o cinza estão presentes. Não havia temperatura. Lendo todos os comentários, percebi que a alveolite me pegou. Hoje é de 4 dias após a remoção. Me sinto bem Mas a ansiedade em mim pode crescer em ansiedade e pânico críticos, já que agora o dentista chegará apenas após três meses, e os paramédicos locais não conhecem essas sutilezas e não fazem nada. E o fato é que estou na prisão, onde é muito difícil com a medicina. Todos os tratamentos são apenas online. Lendo sobre as complicações, tive uma pergunta: o que fazer neste caso? Como lidar com alveolite nessas condições? Eu posso pedir remédio em casa. Economize, DOC!
Atualização em 27 de dezembro de 2016. Havia sangramento novamente esta noite. O restante do coágulo caiu. Agora eu tenho um buraco seco. Quando movo a boca (comendo, tomando chá, lavando ou conversando), começam as dores doloridas com o disparo. Mas depois de cinco minutos, a dor diminui quando me deito e não me mexo. A temperatura não é grande. Medido pelo interesse, 37. Mas não sentido. Enxáguei cinco vezes ao dia com furacelina e três vezes com camomila. Eu não bebo antibióticos. Mas há amoxicilina. Só posso chegar ao hospital no dia 12 de janeiro. O que devo fazer esse tempo todo, MLC? Há uma pessoa que pode limpar a ferida aqui, mas ele nem é um especialista. Autodidata, por assim dizer. À espera de conselhos, DOCK!
Olá Sim, ouvi dizer que a medicina e a odontologia em particular, geralmente nas prisões, estão no nível antediluviano (exceto para pessoas vip). Talvez por isso, a julgar pela sua descrição, o dente tenha sido excluído aproximadamente, violando a técnica do médico, fragmentos foram deixados (Deus o livre, a ponta da raiz permaneceu - não verifique sem uma foto). Devido à invasividade do procedimento e à ausência de pontos com agentes hemostáticos, houve sangramento secundário após a remoção. Tais extrações dentárias de qualidade não muito alta são frequentemente complicadas por alveolite.
De um modo geral, de forma aberta, não é habitual prescrever medicamentos pela Internet. Mas, dadas as suas circunstâncias especiais, vamos fazer o seguinte: vou lhe dizer o que uso na minha prática - não para tratamento, mas apenas para obter informações)
Entre os antibióticos, prescrevo Amoxiclav, Cifran ST e Sumamed, dependendo da gravidade da situação. Para tratar feridas de formas tradicionais, prefiro o gel Metrogil Denta ou o gel Holisal, de acordo com as instruções. De particular interesse para mim é a pomada ocular de tetraciclina, 1%, que tem um bom efeito na alveolite e, ao mesmo tempo, custa um centavo. É difícil de aplicar, por isso é usado em odontologia profissional não muito “tradicional”, colocando uma bola de gaze estéril em grandes quantidades, focando no tamanho da ferida. Quase sempre ajuda durante o dia - é uma ação única, as bactérias na ferida matam perfeitamente. Eu geralmente recomendo recusar o enxágue com furatsilina, oferecendo como alternativa uma decocção de camomila. Se um antibiótico for usado, apenas um (5-7 dias - pelo menos), uma pomada ou gel. Segure a pomada de tetraciclina uma vez em um guardanapo de gaze na ferida por 10 a 15 minutos e depois apenas no dia seguinte, de acordo com a situação.
Se você deixou uma raiz de dente em uma ferida, mesmo com medicamentos, será difícil tratar a alveolite, pois além disso, pode haver complicações mais graves.
Levei o resto do dente comigo. A raiz é inteira. Não posso dizer que está lascado. Fui ao médico, descrevi o que poderia acontecer. Eles olharam para o computador, coçaram a cabeça. Pelo que eles têm, eles me receitaram leflobact, 1 * 2 vezes, e cetoprofeno, 1 à noite. Por 5 dias. Miramistin e tetraciclina são. Encontrei antibióticos, amoxicilina. É isso que está no momento. A situação é assim. Ainda não havia dores insuportáveis. Mas brotos um pouco. Não está inchado. Sensação como se o dente tivesse acabado de ser removido. Os linfonodos doem levemente, mas não interferem. As presas próximas ficaram mais sensíveis. O cheiro não sai do buraco, porque eu lavo algo 12 vezes por dia. A camomila também está presente e, além da furatsilina, eu pingo peróxido. Diga-me, MLC, do que é e o que foi designado, que esquema devo aceitar? Talvez trocar antibióticos? Vou colocar uma pomada nos olhos antes de ir para a cama. Deus te dê bem-estar em tudo !!!
Olá O que você descreveu é encorajador. Se a raiz do dente extraído tiver um ápice holístico, tudo estará bem: os 4 dentes inferiores quase sempre têm uma raiz (raramente eles se separam no final, mas você entenderia que algo está errado). Portanto, no ponto mais importante, está tudo bem.
Quanto às prescrições, eu diria isso ao meu paciente: o cetoprofeno é anti-inflamatório e analgésico, no entanto, com alguma ação tardia; O Leflobact não possui uma cláusula sobre alveolite nas instruções, mas, em geral, um bom medicamento antibacteriano, além disso, ajuda na sinusite (sinusite), e isso é apenas uma infecção na região maxilofacial. Eu mesmo não prescrevo esses medicamentos, embora pense que essa opção de orçamento melhore a situação.
Mas me pareceu que você não descreve mais os sintomas da alveolite. Sua condição física está quase normal, mas, do ponto de vista do psicoemocional, há uma suspeita de que você esteja experimentando desnecessariamente essa situação e escutando demais cada respiração do corpo.Eu sugeriria esta opção ao meu paciente: deixe o cetoprofeno e o Leflobact. Se o paciente já começou a usar o antibiótico, termine-o com o mínimo necessário de 5 dias e, se não tiver iniciado, não vale a pena começar, pois o Leflobact é um medicamento antimicrobiano com efeito geral. Furatsilin não é necessário, peróxido também não vale a pena, pois pode ser pior. Não tenho nada contra camomila, pomada de tetraciclina 1 vez por dia, não mais que 2 aplicações. Portanto, não deve haver "overdose" de química. 2 medicamentos para "tratamento interno" e prevenção de complicações (+1 se for utilizado um antibiótico) e 2 medicamentos locais (enxágue, se ajudarem e pomada para as gengivas).
A lavagem na quantidade de 12 procedimentos por dia mais uma vez sugere que você aborda o problema com muita força. Minhas enfermarias, se eles tomam banho oral e (ou) enxaguam, então sem fanatismo, não mais que 4-5 vezes por dia, principalmente depois de comer, o que é importante. Lentamente, no Ano Novo, traga o tratamento a nada: deixe o buraco curar naturalmente, isso é inerente ao corpo da natureza.
Eu entendi tudo, DOC! Talvez eu esteja realmente preocupado com isso + eu li na Internet. Mas tudo isso se deve às condições em que estou ... ainda não comecei a aceitar nada. À espera de seu conselho. Ontem eu estava colocando pomada. Hoje, parece que é ainda melhor por dentro. A dor não se intensificou. Tumores também. Hoje vou colocar a pomada novamente e não vou tomar mais nada. Além de enxaguar. Eu também vou reduzi-los. E amanhã vamos decidir sobre o nosso bem-estar.
FELIZ ANO NOVO, DOC! Eu bebo o que os médicos prescreveram. Tudo fica em um só lugar, sem deterioração.
Olá Por favor me ajude. Em 28 de dezembro, o dia 8 foi retirado de baixo, o médico receitou Tsifran, Diazolin e Ketanov para dor. Eu bebo tudo. O coágulo não se formou. 2 dias houve uma dor constante constante, inchaço das bochechas e temperatura 37. As amígdalas estavam inchadas severamente. Notei um cheiro branco inodoro. No dia 30 de dezembro, ela foi ao médico, disse que o buraco “não está cicatrizando bem”, raspou tudo de lá sem anestesia (chorei), coloquei o remédio e apertei o tampão por 20 minutos. Tudo ficou melhor imediatamente, e o dia estava bom, o inchaço estava um pouco adormecido, a dor desapareceu completamente, a mandíbula se abriu como deveria, mas a temperatura estava em 36,8 e a linfadenite permaneceu. Hoje, na véspera de Ano Novo, a amígdala mais inchada começou a doer, Ketanov bebeu. Poucas horas depois, quando ela foi dormir, havia uma dor intensa no lugar do dente extraído. Tornou-se doloroso engolir novamente. Ketanov bebeu novamente. O buraco é marrom-avermelhado escuro, mais ou menos. Fiz uma pequena raspagem com um cotonete - tem um tom vermelho, cheira a remédio, mentol. Diga-me o que fazer, porque as férias estão chegando. Por que a dor apareceu e o que fazer com a linfadenite, isso é um mau sinal? E, no entanto, em 19 de janeiro, estou voando para um país quente, tenho muito medo de que, de repente, não se recupere até esse momento.
Vou esclarecer: quando o dente foi removido, o dente tinha uma raiz, sua ponta permaneceu inicialmente no buraco, mas o médico pegou, colocou no dente e, assim, "dobrou" completamente.
Olá Apesar do médico ter comparado o fragmento da raiz com a parte principal do dente extraído, é melhor verificar se há paredes de cárie esquerdas no orifício e (Deus não permita) fragmentos das raízes. O restante dos sintomas se resume a alveolite complicada por linfadenite. É imperativo que você procure um dentista para determinar a causa exata da alveolite e conduzir seu tratamento adequado. É importante descobrir por que a alveolite progride, aumentando a linfadenite. A situação não é muito boa, portanto, recomendo que você faça um check-up com outro médico para ter uma opinião diferente sobre o que está acontecendo (às vezes o médico que conduz o tratamento não está pronto para concordar com a probabilidade dos erros cometidos).
Tirei 22 dentes e ele ficou doente por dois dias, ele não me deixou dormir.Agora não dói, mas algum tipo de bola flutuante apareceu, isso é normal? Mas você pressiona - não dói, está tudo bem.
Olá Eu acho que você sente o inchaço da gengiva (papila gengival, como opção), que nessas situações passa gradualmente por si só e com manifestações desagradáveis mínimas. Uma opção menos provável, que, no entanto, não deve ser descartada, é um dente adjacente, que o dentista perdeu, removendo, em sua opinião, o dente mais adequado cariado por cárie. Talvez, próximo ao dente adjacente, o edema purulento esteja apenas começando, que cai sob a característica de "bola flutuante". Vale a pena conferir os dados da hipótese com o dentista, pois é impossível afirmar com certeza sem exame. Obrigado pela pergunta!
Olá doutor! Em 4 de janeiro, um molar extremo foi removido à direita, abaixo. Removendo complexo, disse ter raízes complexas. A princípio, as dores foram severas. Todo o lado direito do rosto, a cabeça e a garganta doíam. Prescrito por um médico, o Xefokam ajudou mal. A conselho de um amigo, um farmacêutico tomou Dolak. Inicialmente resistiu a um máximo de 4 horas. Então os intervalos ficaram mais longos. Ontem me pareceu que era melhor, fui ao dentista que estava removendo o dente. Ele disse alveolite. Ele tirou as costuras. Então furatsilin e algum remédio amargo. Ele disse: para segurar por 30-40 minutos, como suportar. Eu entendo que ele removeu o coágulo. Ele nomeou Parodontax como antes, e também adicionou Metrogil-Dent. Por alguma razão, ele disse para aplicar a pomada antes das refeições. O que não é totalmente claro. Eu acho que não há coágulo lá agora, e quando aplico um tampão com pomada no local da remoção, a dor aparece. Parece que a ferida foi perturbada lá, e bebi Dolak novamente à noite e Ksefokam pela manhã. Agora é tolerável. Li muitas das suas respostas e percebi que você não gosta da nomeação de Clorexidina. Receio que meus problemas não sejam "curados", como você escreveu acima. Ela disse ao médico na recepção sobre a clorexidina que ele era muito agressivo. Ao que ele respondeu que é precisamente disso que precisamos, para que ele remova toda a microflora prejudicial. E quanto à ferida, percebi que ela ainda curaria, mesmo que o “buraco seco”, apenas a cicatrização fosse mais longa. Agradecemos antecipadamente a sua resposta!
Olá Talvez as táticas do médico tenham sido escolhidas incorretamente, para que o efeito do buraco "seco" não demorasse a chegar. Não dou boas-vindas à Clorexidina pelo enxágue, mas isso não significa que isso não ajude em vários casos individuais - caso contrário, os dentistas não teriam sido prescritos em uma quantidade tão grande para tratamento em casa. Ele é simplesmente muito agressivo e não é adequado para todos.
Apesar dessas dificuldades, a ferida se curará - não há dúvida, apenas os termos serão esticados. Para entender se você foi curado ou não, você precisa de um exame na cadeira. Até que o buraco seja examinado, é difícil dizer alguma coisa e, principalmente, criticar o dentista e seus métodos. De acordo com suas conclusões, o médico parece culpado do problema, mas você deve sempre entender cuidadosamente a situação, pois são possíveis nuances.
O metrogil de Dent antes das refeições é possível e após as refeições - após 30 minutos. Em princípio, o médico não o enganou aqui. Alguns métodos (por exemplo, furatsilin) do mealheiro dos cirurgiões-dentistas anteriores, mas muitas vezes também trazem resultados positivos. Se você ainda tem dinâmica negativa, deve mudar urgentemente o médico e tratar as complicações após a extração dentária com outro especialista.
Boa noite Há 2 meses, removi o dente do siso. No segundo dia, um fragmento de dente saindo da ferida, eu o removi cuidadosamente. Tudo se curou bem, mas por algumas semanas eu notei um pequeno caroço avermelhado logo acima do local da remoção, e hoje notei que há algo branco na parte superior do caroço por dentro. Não dói, há algum desconforto, especialmente se você pressionar.O que poderia ser? Eu já tenho medo de desmaiar dos dentistas e, agora, novamente, não sou eu mesma por pensar que eles cortarão algo novamente, limparão e costurarão (
Atualize a partir de 13 de janeiro de 1717: hoje já estou olhando, há algo como um buraco nesse caroço, não dói, e suspeito que o pus venha daí. Amanhã ao dentista, todos tremendo de antecipação ((Talvez isso possa ser curado de alguma forma em casa?
Atualização a partir de 18 de janeiro de 17: resultou que o dentista deixou fragmentos de um dente na gengiva e a inflamação começou a partir deles. No dia 13, após a foto, é como se eles tivessem limpado, prescrito tratamento com antibióticos e enxaguado com cloredina. Nos primeiros 2 dias tudo correu bem, mas ontem (no dia 15) foi sentido algum desconforto em toda a face e na ferida. E hoje eu olho - uma bolsa amarelada é visível a partir da ferida, parece ser pus novamente. Com o que isso pode ser conectado? Meus pontos fortes não são mais os dentistas, bem, pelo menos se enforca ((
Olá Penso que, no caso de problemas contínuos, vale a pena tirar uma foto novamente, ou seja, nesse contexto, já será um controle. Então você determina a qualidade do tratamento da ferida. Se algo permanecer na ferida novamente, o motivo é claro, como se estivesse na palma da sua mão - você deve entrar em contato com um profissional. Cistos e granulomas podem ser deixados no fundo do buraco. Isso é raro, mas vale a pena conferir. O curso fistuloso não pode funcionar assim.
Também examinaria as raízes de um dente vizinho a partir de uma imagem para um processo inflamatório. O motivo deve estar em algum lugar próximo, geralmente é difícil encontrá-lo, mas sem ele, remover os sintomas não é uma boa ideia. Eu esbocei suas suposições, mas você ainda precisa procurar a causa dos problemas (se eles continuarem) na cadeira do dentista, de preferência com um médico inteligente. O diagnóstico é um dos momentos mais difíceis do nosso trabalho, portanto, sem ele, não há como ter certeza.
01/10/17 3 raízes foram removidas para mim (4, 5, 6 a partir do fundo). No segundo dia, a bochecha estava levemente inchada. A dor era suportável, as gengivas estavam vermelhas. No terceiro dia, ela lavou com sálvia à temperatura ambiente - a dor diminuiu um pouco. No dia 4, lavado com refrigerante e sal. No quinto - rotokan e glister. Após o verme, a dor diminuiu. Hoje, 16 de janeiro de 2017 (segunda-feira), visitei o dentista, ela tirou uma foto - não há fragmentos. Diagnosticado com alveolite; anestesiados e limpos dos orifícios. Onde eu vi um pedaço de dente - disse que era uma partição. Eu prescrevi gel holisal 3 vezes ao dia por 40 minutos. E nomeado para visitá-la na sexta-feira. O médico fez tudo certo? Dói. Aconselhar o que fazer?
Olá Se um dentista viu um revestimento cinza sujo ou a ausência de um coágulo de sangue na fase de exame do buraco, é claro que o diagnóstico de alveolite se sugere. As táticas para alveolite incluem curetagem de feridas e terapia anti-inflamatória. Portanto, a ferida neste caso é perturbada com um bom propósito.
Os septos ósseos não devem ser removidos se não tiverem bordas afiadas e não se projetarem muito alto.
Após a curetagem, o buraco pode perturbar por até 2-3 dias. Se não houver outros sintomas além das sensações dolorosas, basta aguardar, lembrando-se de ir ao médico, se ele prescrever, um dentista normal não o deixará até que tudo esteja bem. E isso está certo.
Na sexta-feira (20 de janeiro de 17), ela estava novamente no consultório médico. Eles puxaram um curativo (ele mal estava segurando) e colocaram um novo, com remédios. 3 buracos doem. Removidas outras 2 (4, 5) raízes do outro lado, de baixo. O médico prescreveu antibiótico da lincomicina e o gel foi holisano nas cavidades dos dentes previamente extraídos, devido à alveolite. Banhos com furatsilinom e rotokan. Hoje é segunda-feira, eu, preocupada, corri para o médico. O dentista me examinou, disse que realmente não gostava de tudo. O tecido de granulação (carne silvestre) cresce em três buracos e terá que ser cortado, porque isso irá interferir com as próteses. 2 furos da última remoção com uma flor vermelha e branca. Eu vou com ela por 2 meses.De cima tratado, preenchido e removido, mas não houve complicações. Chorei, com muito medo da operação. Doutor, aconselha o que devo fazer?
Adição. O médico está me esperando na quarta-feira. Eu faço todos os compromissos.
Olá Para próteses, brotar de um buraco realmente cria dificuldades, não há perguntas.
Mas há uma sensação de que alguns momentos do tratamento são claramente supérfluos (opinião pessoal) e podem ter um efeito negativo: curativos na ferida, furatsilin, Rotokan - para quê? As ataduras colocadas na ferida são um método desatualizado (não permite que o buraco se cure normalmente, não produz um efeito terapêutico completo e até irrita a gengiva). Por esse motivo, existem muitas ferramentas que podem ser colocadas na ferida após a curetagem por 1 tempo para o tratamento da alveolite, uma vez que elas se dissolvem à medida que o buraco se cura. Furatsilin irrita e seca a mucosa, Rotokan é geralmente uma solução de água-álcool. Entendo que sempre após a extração do dente há riscos de complicações na forma de alveolite ou pior, quando um dente é mal removido, medidas na forma de curetagem, antibióticos, medicamentos anti-inflamatórios necessários etc. não são tomadas a tempo. E aqui (entre nós), claramente o buraco já começa no final de duas semanas de cura desconfortável, gritando: “Deixe-me em paz!”. Na minha prática, não coloco ataduras nos orifícios, muito raramente coloco agentes anti-inflamatórios e antibacterianos absorvíveis no orifício, não prescrevo furatsilin (como muitos de meus colegas) e não confio em Rotokan. O médico provavelmente usa a lincomicina para acelerar a restauração óssea: para muitas pessoas ele tem um efeito antibacteriano, como um "tiro de elefante". Quanto ao gel Holisal - aceitável.
Por via das dúvidas, vou lhe dizer o que faria: não tocaria no orifício do problema após a primeira curetagem e, sob anestesia, provocaria a formação de um coágulo de sangue devido à gengiva marginal e o pressionaria com um cotonete de gaze por cima. Após 10 a 15 minutos, você removeria o cotonete e, nos primeiros dias após a remoção, não subia por lá, comia alimentos macios, com cuidado e sem enxágüe. Em casos extremos, é possível a partir do segundo dia após a remoção dos banhos orais de 5 a 6 vezes ao dia com uma decocção de camomila (mas sem enxaguar, ou seja, simplesmente "mantida na boca - cuspir"). Nada mais é necessário. Geralmente. Descanse no buraco na ausência de sintomas agudos - febre alta, inchaço (assimetria da face), hálito putrefativo, placa cinza suja no buraco, dor que não pode ser interrompida pelos analgésicos, etc. - Esta é a melhor opção de tratamento. É bem possível que um buraco constantemente dolorido e mal cicatrizado seja o resultado de seu "esfregar" com drogas, tanto por fora quanto por dentro.
Ola doutor Ontem fui a uma consulta com outro médico. A gengiva à direita após a remoção de 3 dentes dói menos. A gengiva à esquerda após a remoção de 2 dentes está chorando e me pareceu terrível vermelho-branco. O médico examinou e disse que ela não via crescimento de tecido (carne selvagem) em três buracos. Ela aconselhou a não deixá-la cortar. Em relação às gengivas dos últimos 2 dentes removidos - ela disse que a cura normal está ocorrendo lentamente, não há pus. Indignado com a lincomicina. Ela disse para substituir o holisal pelo dentrogel metrogil. Depois de aplicar este gel, imediatamente me senti melhor, não senti dor, a gengiva cresce levemente, mas não está inflamada, parece rosa pálido e, no topo, o rosa ainda não cresceu juntos. Hoje vou ao meu dentista. Ainda tenho que remover 8 à esquerda e estou preocupado com o crescimento excessivo ou não? Vou pedir um tempo para deixar tudo em paz até a cura completa. Diga-me, por favor, como determinar com precisão o crescimento da gengiva? Eu não o vejo de cima.
Já foi ao médico. Ela disse que a remoção de 8 em uma semana, vamos esperar até que tudo cure.
Olá Tatyana! É razoável que a remoção tenha sido adiada por uma semana. Eu recomendaria, se a remoção for planejada, mova-a por 2 semanas, para que os furos já parem completamente de perturbar.Se você não vê o crescimento "na gengiva" perto do buraco, um médico independente também não vê isso, então não se preocupe. No entanto, a última palavra pertence ao ortopedista. Se, por algum motivo, o cirurgião ortopédico insistir em manipulações promissoras para próteses bem-sucedidas, existem duas opções: 1. Envie e faça conforme necessário; 2. Mude o “protético” para outro com uma opinião diferente.
Você pode enviar uma fotografia de um buraco com chiclete suspeito para o correio do site, para que eu possa determinar o que realmente está acontecendo e se devo ou não me preocupar um pouco.
Olá, Svyatoslav Gennadievich! Mais uma vez peço sua ajuda. Minhas gengivas sararam com sucesso e não há carne silvestre. 1.02 foi para excluir o 8º. Todas as exclusões anteriores foram muito rápidas. Meu médico, dentista, injetou ultracain. Eu preparei o instrumento, não consegui removê-lo em 15 minutos, pedi à enfermeira para me dar mais instrumentos, fiquei animado, disse que tinha 7 anos e agora ela me mandaria para o hospital. Ao ouvir isso, o cirurgião-chefe pediu uma foto. A bochecha já estava ferida, eu fui imediatamente tirada uma foto e uma impressão foi dada ao gerente. Eles disseram que o dente do siso está e, como os sete são móveis, eles removerão os dois. O gerente o excluiu muito rapidamente e colocou a turunda nos buracos. Ela disse que a remoção é difícil, mantenha o cotonete por 1 hora. Então eu cuspi dois fragmentos com o sagrado. A bochecha estava levemente inchada e tinha uma temperatura de 37,2, doía nos buracos.
3.02 Troquei a turunda, depois nos buracos ainda doía, mas era possível suportar. Em 8 de fevereiro, eles me lavaram (doía um pouco ao lavar com uma seringa) e novamente colocavam turunda. Doeu por 4 dias, depois ficou doente. 14/02 enxaguou novamente (não machucou durante o enxágüe) e novamente eles colocaram turunda, depois doía, soprava. Hoje são 17.02, eles puxaram a turunda e disseram que estava se recuperando lentamente, o septo foi fechado, o buraco foi 1/2 apertado com tecido e, novamente, eles queriam colocar a turunda. Eu implorei que você prometesse esticá-lo já. O gerente não queria sair sem turbulência no fim de semana, mas, poupando-me, ela colocou o pó. Ela disse que, se estava doente, o médico de plantão trabalhava no sábado e precisava ir buscar o remédio. Aqui 5 horas se passaram, não há dor, às vezes um único segundo lombalgia dolorosa. Tenho medo de comer e beber, vou aguentar até amanhã. Por favor, diga-me se o que está acontecendo é normal. Próteses à frente ...
Olá Tatyana! O fato de você ter tudo em ordem e não haver sinais de alveolite é muito bom. Você simplesmente ouve seus sentimentos, e até uma leve “cruz”, como a descreve, pode ser uma causa de pânico para você. De acordo com sua descrição, não há motivo para preocupação. O único momento estranho é por que o dentista começou a se retirar, já que esse especialista sem o certificado certo não tem o direito de reivindicar essa manipulação? No entanto, tenho quase certeza de que sou capaz de realizá-lo devido às habilidades primárias adquiridas na universidade.
Bom dia No 18º dia da noite, fui removido 6-ku, no canto superior direito. Pouco resta do dente. O médico disse que ele já havia se desintegrado, estava mole e o pus saiu ao ser removido. O médico receitou 5 dias de Tsifran St e, se necessário, medicação para dor. Bem, todos os tipos de Claritins para a noite. Não há inchaço, dor intensa foi apenas na noite após a remoção. O médico proibiu comer e beber mais quente, proibiu o enxágue (apenas banhos), nenhuma atividade física e assim por diante. No primeiro dia, houve uma temperatura de 37-37,4, depois não houve mais. Só vi um coágulo nas primeiras horas. Então ela simplesmente não olhou. Hoje eu olhei - as bordas começaram a convergir para lá e no meio algo se formou brilhante, heterogêneo. O buraco sobe silenciosamente e goma em volta (além de mais locais de injeção, como contusões). Desagradável, mas bebo analgésicos apenas à noite. Para o médico, ele está planejado apenas após 2 dias para um exame.Por favor, diga-me se o que está acontecendo é normal. É possível aguardar uma inspeção programada ou preciso fugir o mais rápido possível?
Olá O que você descreve se encaixa na norma, não há motivo para consultar urgentemente um médico. De acordo com o plano, é possível monitorar e para que o médico não o perca de vista (é importante para um bom médico que o resultado da remoção seja uma cura bem-sucedida). A “luz” no buraco é um filme de fibrina que define o estágio da cicatrização inicial da ferida. Dor nos primeiros dias após a remoção não é incomum. E assim - temperatura, inchaço, dor aguda, mastigação, odor putrefativo - isso não é tudo, o que significa que também não há risco de complicações. Portanto, aguarde o exame agendado, saúde para você!
Boa tarde Em 6 de fevereiro, o antigo dente inferior foi removido, no dia seguinte houve um mau hálito e encontrei um pedaço de dente no buraco. O médico o removeu, soprou com ar, pingou algo e o mandou para casa. Ele disse que o cheiro é de um coágulo e isso é normal. A partir desse momento, a dor intensificada, pulsante, nimesil e cetanol ajuda apenas por três horas! Dentro do buraco, há uma faixa marrom escura e marrom-acinzentada e branca nas laterais, parecendo uma placa. O cheiro depois de enxaguar as folhas, mas por 20 minutos ((alveolite? Dói muito.
E outra pergunta sobre o buraco - você precisa consultar o dentista-cirurgião ou é possível ir ao dentista de sempre?
Olá Sim, isso mesmo, é muito semelhante à alveolite. O cheiro de um coágulo, um revestimento acinzentado, combinado com dor intensa, difícil de parar com analgésicos, confirma o suposto diagnóstico. O terceiro dia após a extração dentária com aumento da dor é um clássico do "gênero" da alveolite.
Na última pergunta: recomendo ao cirurgião-dentista a fim de eliminar a causa da doença. Em um caso extremo - para o dentista, levando uma consulta mista. Saúde para você!
Boa tarde Os 6 primeiros dentes foram removidos porque do antigo tratamento incorreto, o processo de cárie da parte lateral do dente, um abscesso, fez pus de sangue, o cheiro era horrível, não doía e não incomodava mais do que isso. Remoção complexa, mais de uma hora, o sangue não foi. No dia seguinte, fui fazer uma inspeção de rotina, um coágulo não se formou. Após as manipulações no orifício pelo cirurgião, o sangue também não saiu; ele inseriu uma esponja hemostática no interior. Recomendações - enxágüe com solução salina-refrigerante.
Sinto dor nos ossos (não buracos), um pequeno inchaço quase imperceptível da bochecha está presente. A cor da goma é avermelhada na lateral com uma tonalidade azul. Excluído no domingo, hoje é o dia 5. A esponja enxaguou ao enxaguar. Olhei no espelho com uma lanterna um buraco enorme e profundo, a parede do 7 dente é visível em quase todo o comprimento e o diâmetro do próprio buraco é de cerca de 7 mm. As perguntas são: como a cicatrização e o crescimento excessivo do buraco ocorrerão neste caso? Quanto tempo e quais podem ser as complicações? O que mais você recomendaria? A alveolite é possível no futuro? Preocupa-se que a parede dentária 7 não seja apertada e exposta.
Muito, bagunçado, mas espero que você entenda. Agradecemos antecipadamente.
Atualização em 19 de fevereiro de 17: os dentes próximos ao buraco começaram a doer, um pouco de dormência (
Olá Os poços sem coágulo após uma remoção tão traumática e pouco precisa podem curar por um longo tempo - até 3-4 meses. Isso significa que completamente - até o desaparecimento de sinais visíveis de interferência. A formação final da crista do processo termina em 6-7 meses.
Quanto ao processo inflamatório: acho que já passou o tempo em que havia risco de desenvolver alveolite. Agora, o buraco pode ser simplesmente um local de acumulação e decomposição de alimentos por um longo tempo, ou simplesmente - uma "lata de lixo". Foi necessário um coágulo nos primeiros 2-3 dias após a remoção e, agora, após o tempo, a ferida cicatriza sem ele. Os riscos de alveolite para o futuro já são mínimos.A parede 7 do dente não será visível nas próximas semanas, pois a gengiva tende a crescer, ou seja, preenche efetivamente o vazio.
Olá, ontem o molar inferior foi removido, estava muito podre e o médico mal o removeu. Já no segundo dia, dor intensa, algo branco no buraco. Eu fui ao médico - ele diz que isso é normal, o buraco cura assim. E o cheiro é desagradável. Eu bebo analgésicos, mas nada ajuda. A bochecha está inchada e a orelha e a cabeça doem. O que eu faço?
Olá No primeiro e no segundo dia após a remoção, pode haver dor intensa, que se encaixa no estado normal. No entanto, tudo depende da qualidade da própria remoção. Por exemplo, há situações em que os sintomas simplesmente "gritam no ouvido" para a pessoa que removeu o dente, que:
1. O dente não é completamente removido - a raiz ou raízes são deixadas;
2. Fragmentos esquerdos ou paredes cariosas do dente;
3. O granuloma ou cisto é parcialmente removido ou não completamente removido;
4. O buraco é tão "girado" que as bordas do tecido ósseo se projetam e intensificam a síndrome da dor e outros momentos desagradáveis ...
É por isso que não quero dizer inequivocamente que vale a pena resistir nos primeiros dias de remoção, pois não conheço o nível do seu médico assistente. Portanto, não posso tranquilizá-lo sem inspeção. Se o seu médico diz que está tudo bem, então existem poucas opções:
1. Aceite a palavra dele e espere junto ao mar pelo clima, persevere e espere o melhor;
2. Entre em contato com outro médico e verifique o orifício e, ao mesmo tempo, o profissionalismo do seu médico.
Eu pessoalmente escolheria o último, mas cabe a você decidir. Saúde!
Boa tarde Ontem, eles removeram meu dente, cinco da parte inferior do lado esquerdo, o médico disse que você não precisa enxaguar muito, mesmo que apenas com furatsilinom e camomila. O dente foi arrancado sem dor, não doeu, eu só tinha uma parede com um recheio e ele caiu - em suma, alcançou a gengiva. Mas quando o médico olhou, ele o convenceu a construí-lo por um longo tempo, e eu digo a ele que de alguma forma estava doendo. Bem, ele examinou o dente vizinho e diz que pode lamentar do próximo dente, porque há uma pequena cárie. E ainda assim nós o excluímos. Ele largou um cotonete e soltou, não disse quando cuspir. Cuspi um tampão cerca de uma hora depois, e caminhei com ele, depois sangrei de mim, cuspindo sangue por muito tempo, até lavando com água pura. Quando comecei a me afastar da injeção, a dor começou a me atormentar, até me arrependi de ter removido o dente, porque ele não me atormentou particularmente, só estava com medo de que mais tarde o removessem com dificuldade.
Hoje acordei e minha bochecha estava levemente inchada, e parece que há um fluxo na gengiva, mas não é visível. Os dentes vizinhos doem, a bochecha dói, onde a injeção foi feita, não há temperatura, mas também não há coágulos sanguíneos. Nesse lugar onde o buraco deveria estar, algo branco, até um pouco acinzentado. Há um cheiro e, quando você o engole, sente um gosto de sangue na boca. E parece que perto de um dente normal, que é um pouco com cárie, onde o dente foi arrancado, como se um fragmento de dente estivesse saindo - talvez o médico não tenha excluído tudo por mim?
Hoje enxaguei com uma solução de permanganato de potássio, pois não há camomila nem furatsilina e tenho medo de enxaguar com refrigerante e sal. Quando eles arrancaram um dente anteriormente, isso não aconteceu, embora tenham sido lavados com refrigerante e tudo estivesse bem. O que você pode aconselhar? Só tenho medo de ir ao médico novamente, porque ele começará a pegar tudo lá novamente ... estou muito preocupado. E talvez deva ser assim, embora hoje seja apenas um dia depois de eu estar sem dente. Não há dor particularmente latejante na gengiva, mas apenas algum desconforto, como se eu tivesse um doce na bochecha, e algo interfira na gengiva abaixo. Eu realmente preciso de conselhos - o que fazer? Me ajude, doutor! Obrigada
Olá Certamente vale a pena entrar em contato com um dentista para controlar suas reclamações. Isso dificilmente é uma alveolite (por enquanto), mas, de acordo com a sua descrição, o orifício não está muito bem formado: pode haver fragmentos das paredes do dente após a remoção ou bordas afiadas dos alvéolos que exigem correção. Deve-se ter em mente que, com esses pontos negativos, o risco de desenvolver alveolite 3-4 dias após a remoção é bastante alto. Se o médico após o exame não encontrar nada que exija intervenção urgente, pelo menos você ficará calmo para obter uma cura mais bem-sucedida.
Quanto à lavagem com permanganato de potássio, refrigerante, sal - isso não aconselharia.Isso afeta negativamente o coágulo de sangue no buraco. Deixe o médico corrigir as recomendações após o exame.
Boa noite Obrigado por responder, irei ao médico amanhã. Hoje havia uma temperatura de 37, o cheiro é verdadeiro, o tumor não desapareceu, até o templo dói um pouco. Não há dor específica no buraco, mas a gengiva dói, embora eu tenha bebido analgésicos. Durante todos esses dias, ela fez dos banhos uma decocção de grama de tomilho - parecia mais fácil, mas não havia sentido. Para ser sincero, tenho medo de consultar um médico ...
Mais uma vez obrigado, cancelarei a inscrição amanhã se permanecer vivo depois do dentista ...
Boa tarde, Svyatoslav Gennadevich! Estou apavorada, ou talvez não entenda alguma coisa. Eu vim para a recepção hoje, sentei-me em uma fila enorme, entrei e disse ao médico que tenho temperatura como 37 desde ontem, que o tumor, parece que o chiclete está de alguma forma inchado e desagradável, e está doendo buraco. Ele me respondeu, é claro, examinou o buraco, ele não vê a alveolite lá, mas ele precisa tirar uma foto, ou seja, uma foto de 4 dentes, pois ele supostamente suspeita que todo o tumor possa ser dele. E eu apaguei 5, mas ele diz que 4 dentes e 5, que são removidos, serão visíveis na imagem. Então ele diz: enxágüe com camomila, furatsilina, e os números são prescritos para beber 2 vezes por dia, tenho que beber por 7 dias. Como remover o tumor não disse como abafar a dor - também. Não posso tirar uma foto, não há filme no hospital, temos um distrito, mas também não há tempo para ir à cidade, você não vai mais sair do trabalho.
Tenho uma pergunta, o que vou aconselhá-lo a fazer? E se a gengiva crescer, e depois da foto, quando a tirar, algo aparecer neste dente, o que acontece - a gengiva precisará ser cortada novamente? Não vou sobreviver a isso, para ser sincero. Sim, ainda hoje escovei os dentes e, por acaso, como escrevi em outras mensagens, algo branco caiu. Mas o fato é que um pouco desse amarelo-branco é deixado no buraco - provavelmente não foi completamente lavado ... Isso não é perigoso? Pelo que entendi, é necessário que o buraco seja fechado. Ao redor do buraco na gengiva está inflamado. Doutor, bem, me ajude, bem, aconselho alguns remédios caseiros, eu não sei. Se nossos médicos não querem ser tratados, pelo menos eu quero a sua ajuda. E é possível substituir este tsifran por outro medicamento, estou com o estômago doente e tenho medo de efeitos colaterais, porque Eu li sobre os efeitos colaterais ... Obrigado, aguardarei ansiosamente por você.
Sim, ainda assim, o médico disse: como será completamente ruim, você chegará a uma consulta. Para ser sincero, desculpe-me pela expressão "ofigela", isso significa que desde 22 de fevereiro estou atormentado, esperei pela segunda-feira, cheguei com dores e ele ainda me diz - se você se sentir mal. Sim, eu me sinto péssima, eles não se importam ... Estou cansado de dor, uma neurose. Obrigada
Olá O fato é que, em casos difíceis, são necessários diagnósticos aplicados, e não meus argumentos de correspondência - talvez isso ou alguma outra coisa. Obviamente, o dentista não sabe o que fazer com você: ou o caso é complicado ou o médico simplesmente não pode ajudá-lo devido às circunstâncias (a falta de um filme de raios X reforça ainda mais meu palpite de que o médico, além de tudo, é atado à mão) . Ele tem que adivinhar em certo sentido, e ele está no café. Essa é a tática errada.
Se é importante verificar o orifício do dente removido e o dente adjacente ao lado, é necessário verificar se não há outra maneira. Quanto às prescrições: a automedicação sem conhecer a verdadeira causa da dor, temperatura e inchaço é muito perigosa. A melhor saída é tirar fotos, obter uma consulta cara-a-cara qualificada com outro cirurgião-dentista ou cirurgião maxilofacial (não o médico que você visitou), ajustar suas consultas e continuar a viver em paz.
Boa tarde Eu finalmente tirei uma foto. O dente que foi removido - eu mesmo vi que a gengiva está limpa. Fui a outro médico, ele me disse que eu tinha um cisto no quarto dente (eu já o tratei) e cinco foram removidos.Eu digo a ele que então eu tenho que fazer uma ressecção, ou o quê? E ele me respondeu: por que você precisa de uma ressecção, precisa abrir o selo antigo e, grosso modo, abrir o dente, de alguma forma, remover esse cisto. E então eu digo, colocarei um selo temporário, e depois um selo normal, e imediatamente você precisará colocar uma coroa.
Por que eu preciso de tudo isso? Se, como o primeiro médico disse, eu tenho uma pequena cárie lá, então talvez apenas a cure novamente e é isso? E este diz que é por isso que você tem um tumor e uma temperatura, que quando o dente foi removido, havia um lugar para o pus sair do 4 para o buraco do meu 5. E eu disse a ele: por que, quando ainda não havia removido o dente, não havia tumor, nada, alguma coisa, não gosto de tudo. Eu disse a ele que pensaria. E ele me disse: não há tempo para pensar, você pode explodir sua bochecha a qualquer momento. Em resumo, entendi que esse médico quer arrancar mais dinheiro de mim e que está conquistando clientes. Ele vem à nossa vila por 2 dias e nos trata no hospital, mas na própria clínica da cidade ...
Mas, para ser sincero, quando clico em 4 dentes (um dente no qual existe um tipo de cisto), estou doente, ele reage. E assim, se eu comer e beber mais quente - parece, nada. Mas se o cisto for realmente verdadeiro, então o que você precisará remover o dente novamente? Eu não vou sobreviver a isso. E realmente me arrependi de ter excluído o 5-ku - talvez fosse possível continuar assim por um tempo e, depois, quando as finanças aparecessem, depois aumentasse ... Em suma, eu, médico, estou chateado, provavelmente culpar.
Minha pergunta é: o que você pode me dizer sobre outro médico que, tipo, viu que eu tinha um cisto no dente? Só lembro que uma vez eu tinha um cisto, e eles cortaram minha gengiva e limparam tudo lá, e depois suturaram ... Obrigado, pela resposta, vou esperar.
Sim, ainda assim, este outro médico aconselhou a lavar minha boca com clorexidina, decocção das paredes de romã e pomada prescrita com própolis de assepsia ... Mas por que eu preciso disso? O tumor parecia estar dormindo, não há temperatura. Mais uma vez obrigado pela resposta.
Olá Eu acho que não faz sentido para você entrar em pânico agora. Meu conselho para você: tire uma foto e envie para mim (para o correio do site), e vou verificar se há, em geral, um cisto ou não. Talvez você esteja certo. Se não houver sintomas de um processo inflamatório ativo, não faz sentido enxaguar tudo isso que o médico receitou, a pomada também pode ser supérflua. Você pode usar uma decocção de enxágue de camomila ou uma decocção de sálvia para que os alimentos não contaminem o buraco - e nada mais. Já passou tempo suficiente para temer que o buraco se comporte negativamente. E sobre o duvidoso 4, direi novamente que você deve tirar uma foto e me mostrar para não pensar nisso.
Olá, seis meses atrás eu tirei o dente, tudo foi embora, mas anteontem houve uma dor intensa naquele lugar. Eu fui ao médico - acontece que havia uma raiz que começou a apodrecer. Ele removeu a raiz, a dor diminuiu, mas o edema no topo não desapareceu por três dias, seus dentes estão doloridos em seguida (dor, dor aguda). Faço banhos com solução de refrigerante. Diga-me o que fazer? Não posso ir ao hospital, porque estou na taiga no trabalho. Agradecemos antecipadamente.
Olá. A alveolite (se for) é difícil de tratar em casa sem tratar o buraco e criar um coágulo sanguíneo total. No entanto, quando estiver em condições extremas, encontre pomadas anti-inflamatórias adequadas. Para enxaguar, as decocções de ervas (camomila, sálvia) são melhores. Das pomadas ou géis anti-inflamatórios para as gengivas, Holisal, Metrogil Denta, Teraciclina Ophthalmic 1% podem surgir (embora as instruções não tratem a alveolite, mas possam ser adequadas às suas condições). Essas recomendações são apenas no contexto da impossibilidade de procurar ajuda - não mais! Em caso de deterioração - consulte urgentemente o dentista para obter ajuda profissional.
Em 6 de março, os dois dentes anteriores superiores foram removidos. À noite, apareceu edema e um dos orifícios ficou inflamado. 9 de março foi ao médico.Ele prescreveu solcoseril e banhos com miramistina. O inchaço diminui, mas a dor é infernal às vezes. Eu engulo cetanas. O buraco está seco. O edema permaneceu ao longo da borda das gengivas. O que mais você pode fazer? Cansado, não posso comer ou beber.
Olá Das drogas, não posso aconselhar nada, pois o tratamento remoto pode até ser perigoso (nessas situações, é necessário um exame interno). Se você está falando de um “buraco seco”, significando que não há coágulo, a ausência de um coágulo quase sempre causa uma cicatrização dolorosa do buraco. Especialmente se suas bordas ósseas estiverem vazias. É por isso que é tão importante formar um bom coágulo sanguíneo a tempo. Como alternativa, entre em contato com outro dentista e solicite uma curetagem do orifício (feita sob anestesia local, se não houver contra-indicações). A formação de um coágulo e o processamento correto do orifício com uma diminuição de sua folga ajudarão rapidamente nessa situação, e fundos adicionais de medicamentos podem se tornar assistentes indiretos. Durante a curetagem, o médico geralmente encontra fragmentos das paredes cariosas do dente extraído, partes das raízes, ossos afiados dos alvéolos, granulação, etc. São eles que muitas vezes criam obstáculos para a cura confortável do buraco: enquanto o corpo tenta se libertar dos “detritos” por conta própria, gastando recursos de imunidade, o nível de reação inflamatória na área de remoção aumenta significativamente e daqui - inchaço nas gengivas, dor intensa e até alta temperatura até 3-5 dias e mais Às vezes, os fragmentos saem por conta própria e o buraco é doloroso, mas se cura.
Boa tarde, tirei um dente na mandíbula, já passaram 5 dias. Não há nada suspeito no buraco, mas a gengiva está inchada e o tumor não diminui e puxa. Mas não há nada no buraco, também não há pus. Como isso pode ser curado sem um médico? Como enxaguar?
Olá Sem um médico, o chamado “buraco seco” é difícil de curar por conta própria e não seria muito correto iniciar o tratamento sem diagnóstico. De repente, uma alveolite já está começando? Consultar um dentista pode ser uma opção apropriada não apenas para selecionar um complexo de medicamentos, mas também, possivelmente sob anestesia, para formar (refrescar) o orifício para que sua cura ocorra sem sintomas de inflamação infecciosa. Portanto, escolher o tratamento domiciliar sem diagnóstico e exame médico é um risco de dano direto. Obrigado pela pergunta.
Olá, removi o dente da frente superior ontem de manhã (se não me engano - 2, que está na frente do olho). A remoção foi difícil, por cerca de 20 minutos eu estava com pressa. Explicou que a raiz é muito grossa. O dente desmoronava constantemente. Estou sentado em ketanov há um dia - sofrendo dores, especialmente do lado do dente vizinho. A cor das gengivas parecia lama cinza-amarelada e começou a inchar. Eu tenho que trabalhar amanhã por um dia, depois um dia de folga. Como você pode ser salvo? Agradecemos antecipadamente.
Olá O fato é que, de acordo com seus sintomas, há suspeita de alveolite. Sem a intervenção de um médico, é difícil decidir como "escapar". Estou especialmente preocupado com o aparecimento de alveolite em tão pouco tempo: talvez haja fragmentos ou partes da raiz deixadas pelo médico no buraco e provoque dor e outros sintomas: inchaço, placa amarela acinzentada, etc. Não deixe de visitar um médico, mesmo que seja um fim de semana. Em grandes clínicas e hospitais regionais (policlínicas), há sempre dentistas de plantão que podem receber e prestar assistência de acordo com seu perfil. É a assistência profissional que importa, não a automedicação. Obrigado pela pergunta.
Svetoslav Gennadievich, olá! Li suas respostas com interesse (ainda não li tudo) e ficou interessante - o que você geralmente recomenda aos seus pacientes para enxaguar e / ou tomar banho após a extração dentária? Refrigerante, como eu o entendo, é uma opção controversa, a clorexidina é agressiva e o que mais acontece? 🙂
Olá Fico feliz que você é fã dos meus trabalhos)) Muito obrigado. De um modo geral, há uma massa de lavagens e banhos após a extração do dente. No entanto, de acordo com um cirurgião maxilofacial autoritário e bem conhecido (implantologista), o enxágue e o banho são mais desvantagens após a extração do dente do que vantagens. Embora esse médico durante sua carreira médica (cerca de 15 anos) tenha mudado de idéia várias vezes. Isso é bastante normal. E assim - tanto remédios populares (decocções de camomila, sálvia, casca de carvalho, eucalipto etc.) quanto medicamentos (furatsilin, Miramistin, Stomatofit, etc.) podem ser usados para enxaguar. Quanto à agressividade de certos meios - refrigerante, permanganato de potássio, clorexidina - posso dizer que tudo depende da concentração, exposição, momentos individuais e contra-indicações. É claro que pode haver muitos riscos com muitos desses medicamentos, mas como muitos médicos continuam a prescrevê-los, e no fórum, os pacientes dentistas escrevem que “enxaguaram e tudo estava bem”, o que significa que esses métodos têm direito à vida.
Quanto a mim, eu recomendo fazer banhos orais com decocções de camomila (sálvia) nos primeiros 1-2 dias após a extração do dente, até 6-8 vezes por dia (quanto mais frequentemente, melhor), e no terceiro dia e nos próximos dias, sugiro tentar lavagens limpas depois de comer os mesmos meios. Além disso, há também um conjunto de ferramentas que ajudam a superar o processo infeccioso após a extração dentária e ajudam o corpo do paciente: antibióticos, anti-histamínicos, analgésicos, anti-inflamatórios, etc. Tudo está de acordo com as indicações e estritamente individualmente.
Olá Removido os sete primeiros ontem. Este é o segundo dente removido. A primeira vez em que foram removidos na odontologia estadual com garras enormes - todo o lado direito do rosto estava inchado e permaneceu em uma cetana por vários dias. Agora está tudo em ordem, depois de remover qualquer dor, estou muito surpreso com esse resultado. No entanto, à noite, verificou-se que havia um enorme coágulo de sangue na boca (não era a primeira vez). Torna muito difícil de engolir, então cortei um pouco, porque subi até 4 dentes. Mas ele ainda permaneceu bastante grande, se você sentir cuidadosamente o idioma.
Periodicamente, o sangue flui, se, por exemplo, espirrar ou algo assim. Estou batendo na bochecha. E também bebeu um captopril para aliviar a pressão.
Está tudo bem no meu caso? Aguarde a cessação final do sangramento ou consulte um dentista? Parece que está tudo bem, mas a condição é lenta, associo isso a um resfriado (garganta, nariz - provavelmente escolhi a hora errada para a remoção), além do fato de eu ter hipertensão.
Olá Com a hipertensão, é importante estabilizar a pressão - caso contrário, o sangramento retardado é um fenômeno natural. Também estou confuso com o aumento do sangramento ao espirrar: tenho certeza de que vale a pena verificar com o dentista a proximidade do seio maxilar ao fundo do orifício. Em geral, com sangramento prolongado (ou regular) do orifício, você não deve esperar muito e esperar o melhor. Você pode não saber a causa exata do sangramento, por isso é melhor consultar um dentista.
Olá Em meados de fevereiro, um dente se partiu verticalmente - os cinco primeiros. Eu queria removê-lo, mas o médico fez um raio-x e disse que a raiz estava inteira, coloque uma aba de toco sob a coroa. Em um raio-x, nos quatro próximos, encontrei um granuloma, sugerido para tratar os canais. Após o tratamento, subi na parede por três dias, analgésicos não ajudaram muito. Insistiu na remoção deste dente. Três semanas se passaram. Havia dores no local da raiz. Hoje a noite não dormiu bem. Sinto um sabor salgado no lugar do buraco. O linfonodo sob a mandíbula aumentou, doeu. É doloroso morder os cinco primeiros. O que pode ser e o que fazer?
Olá Pode ser que as táticas do médico estejam incorretas em relação à preservação do dente durante uma fratura longitudinal da raiz, mas também existe a opção de que o orifício no fundo da alveolite cause dor aos dentes vizinhos, pois há sintomas de inflamação na alveolite (dor, inchaço, vermelhidão e etc.) Por isso, é importante tirar uma foto do buraco junto com o dente tratado (cinco). O dentista-cirurgião, juntamente com o dentista-terapeuta, deve estudar o problema de forma abrangente, avaliar o tratamento, a condição do buraco (se há fragmentos deixados, raízes etc.) e, o mais importante, avaliar o estado externo do próprio buraco. Para não cometer erros e não fazer muito trabalho, você deve começar com o diagnóstico. Não faz sentido tolerar a dor, pois pode sinalizar uma complicação grave que pode ser facilmente esquecida, o que é preocupante.
Olá. Ele removeu o dente podre, e o coágulo de sangue nunca apareceu. O dente doeu por 2 dias, no terceiro ficou mais fácil. Agora olho para o buraco - há escuridão no fundo, o que é? )
Olá É possível que você chame de "preto" um coágulo de sangue na Borgonha. Embora às vezes no buraco possa haver restos de comida ou um revestimento cinza sujo com alveolite. Este último é sempre acompanhado por sintomas muito desagradáveis (temperatura, dor, inchaço etc.). Se não houver nada assim, você poderá suspeitar apenas de um coágulo sanguíneo ou restos de comida e presumir que o buraco cicatriza no modo normal.
Olá Ontem removi o dente inferior - parece que não dói, a gengiva, onde o dente foi arrancado, ficou um pouco inflamada. Um dia depois, um coágulo branco se formou lá, mas não é completamente branco, me incomoda. Mas não há dor forte. Um pouco de dor. Eu deveria me preocupar?
Olá Parece-me que você não tem nada com que se preocupar, porque, a julgar pela descrição, você não apresenta nenhum sintoma que exija uma consulta com o dentista. Quanto à cor do cacho: por que deveria ser branco? 🙂 Normalmente, o ponto de partida para a preocupação é a ausência de um coágulo ou um coágulo cinza sujo (preto), como patologia, como um possível sintoma de alveolite (ou o efeito de um buraco seco).
Se a cor do cacho é tão importante para você, geralmente não é branca, mas sim tons de amarelo ou vermelho claro (bordô, por exemplo). Obrigado pela pergunta.
Olá Tirei o molar inferior, já passou uma semana e a dor constante não desaparece. O buraco é de cor purulenta, os gânglios linfáticos estão inflamados, as membranas doem, como se estivessem deitando ouvidos. Não há temperatura, um hematoma aparece na bochecha no local da remoção, mas não há tumor. Me diga uma coisa.
Olá Pode ser alveolite ou mesmo poços de osteomielite no contexto da linfadenite. Não deixe de consultar um dentista com urgência, pois, levando em consideração os sintomas descritos por você, é importante realizar um diagnóstico preciso a tempo (e, se necessário, tratar o orifício para remover possíveis fragmentos do dente, os restos do coágulo decomposto, tratar o orifício antisséptico e criar um coágulo sanguíneo completo, para que não haja problemas sérios).
Boa noite Eu removi o molar inferior, o mesmo problema. Enxágue, mas não com frequência. Sinto dores desagradáveis e algum tipo de revestimento amarelo. Diga-me, por favor, o que fazer? E eu tenho muito medo do médico!
Olá A julgar pela sua descrição, pode ser um estado normal ou uma alveolite inicial. Os sintomas são lentos, por isso é provavelmente difícil de dizer. É melhor, por precaução, consultar um dentista para que não haja preocupações com esse assunto. Se ele disser que tudo está em ordem, resta apenas aguardar o final desse período de transição por mais 2-3 dias.E então, na maioria dos casos, a condição geral melhora significativamente, e o buraco já é formado no estágio da cura primária.
Olá Não sei mais o que fazer ... Por favor, ajude com conselhos!
16/04/17 (duas semanas atrás) na odontologia paga "legal" em Chelyabinsk, removi os "cinco" principais. Oito costumava ser excluído - não havia problemas e, portanto, nem sugeria que isso pudesse acontecer. A remoção foi muito traumática: a raiz triturou e desmoronou, o cirurgião rasgou meu palato e gengivas quando ele quebrou uma ferramenta ... Depois, ele colocou uma esponja com um medicamento (não contendo iodo, como sou alérgico a iodo), disse que o coágulo não se formava e portanto, a esponja repousará por três dias, após os quais se resolverá. Enviado para casa. Depois disso, o sangramento não parou por muito tempo (não pude deixar o hospital por uma hora e meia - cuspi, como resultado, sangra por um dia). Provavelmente, o sangramento lavou a esponja acima, porque na noite de 17/04/17 eu tinha um cheiro no buraco. As dores após a anestesia "partirem" eram muito fortes, disparando sob os olhos e no ouvido, mas a dor e a mobilidade dos saudáveis "quatro" vizinhos eram especialmente alarmantes.
19/04/17 Virei-me para o cirurgião no local de residência (moro a 200 km de Chelyabinsk e, portanto, não pude ir imediatamente ao mesmo cirurgião que removeu o dente). No local de residência, um cirurgião livre dos tempos “soviéticos” limpou meu buraco sob a anestesia de “lidocaína” (doeu, minha cabeça estava girando), lavou-o com uma seringa, aplicou um curativo com estreptocídio por 20 minutos e disse que agora tudo vai sarar ... Depois dessa manipulação, eu tenho tudo começou a "disparar" ainda mais forte, a dor nos vizinhos "quatro" se intensificou.
No mesmo dia, 19/04/17, procurei um dentista pago no meu local de residência. Eles tiraram uma foto, removeram o fragmento encontrado do periósteo. Ela explicou que o buraco era simplesmente enorme para os “cinco”, que tinha que ser suturado, que as raízes dos dentes adjacentes e o osso da mandíbula eram visíveis, determinando que o “4” era realmente móvel. Ela também aplicou um curativo com iodofórmio (apesar das minhas alergias, eles apenas decidiram se arriscar, já que ela não tinha outros medicamentos). Suas recomendações foram: lavar com furatsilinom, beber azitromicina e esperar até que se cure. Naquele momento, tudo doía: palato, gengivas, sinusite, sobrancelha - toda a metade do rosto desde a extração do dente.
Então comecei a suportar duas semanas antes de me dar a oportunidade de ir "para o continente" - para o cirurgião que removeu o dente ... Todas essas duas semanas não pude viver sem "nise", pois apenas ele ajudou, o ibuprofeno não anestesiou. Lavei o buraco com furacilina de uma seringa, pulverizei Miramistin nela. Em geral, as bordas do buraco cicatrizaram, o inchaço no local do dente extraído desapareceu, mas os “quatro” e um leve inchaço e vermelhidão acima dele estavam muito preocupados.
29/04/17 chegou à recepção na mesma odontologia “legal”) Eu fiz esse “procedimento assustador” quando eles romperam as paredes do buraco sob anestesia. As roupas do buraco estavam “ossificadas”, já batiam quando caíam na bandeja. O médico disse que agora meu sofrimento chegou ao fim, pois ele limpava tudo, removeu o tecido morto e colocou uma turunda com Levomekol. Nesse caso, o sangramento voltou a ser forte. Ele disse que a turunda permaneceria por dois dias, após os quais precisaria ser trocada. Eu, que já tinha lido sobre esse problema, não comia, bebia ou enxaguava ... No dia seguinte (felizmente eu estava em Chelyabinsk naquele dia), decidi ir ao cirurgião para exame (apenas no caso). Mas ele disse que não há coágulo novamente, assim como não há turunda com remédios. E ela caiu, ao que parece, novamente imediatamente com sangue, já que eu não sentia nada. Então o cirurgião me colocou de novo uma turunda com Levomekol, disse que agora ficará lá por quatro dias, já que não há mais sangue. Depois disso, segundo ele, eu deveria visitar o dentista no local de residência por um período indeterminado de tempo (já que eu não tinha mais a oportunidade de passar meus dias de folga e morar em Chelyabinsk) para enfrentar o Levomekol ...
MAS !!! Turunda com Levomekol não durou nem meio dia! E isso apesar do fato de que novamente eu praticamente não comi nada, tentei não beber, para não machucá-la. Mas ela simplesmente caiu do buraco. Ao mesmo tempo, vou esclarecer que o buraco ainda é simplesmente enorme: profundo, até o osso da mandíbula e largo, a gengiva externa já está "sufocando".
Como resultado, é o fim de semana em nossos dentistas locais (moro em uma cidade pequena) e não sei o que fazer com meu "buraco seco". O cirurgião disse que é estritamente proibido deixá-lo vazio, pois o osso já começou a colapsar. Mas o que posso fazer com ela quando não há como ver um dentista? Comprei Levomekol, mas não encontrei na farmácia nenhum especial, mas apenas "para uso externo", comprei Solkoseril e Metrogil Denta, ataduras estéreis ... Talvez eu pudesse me arriscar e colocar uma dessas pomadas no buraco ? Mas eu já tenho medo de me automedicar. A gengiva do lado de fora do buraco tornou-se muito fina, dobrando-se para um vazio no osso da mandíbula, os “quatro” vizinhos machucam com uma leve pressão, a gengiva nos quatro está inflamada e dói, o palato dói novamente (isso parece ser após anestesia). Ao caminhar a cada passo, a dor "atual" sob os olhos ... peço conselhos, não sei para onde me apressar ((
Atualização a partir de 7 de maio de 2017. Olá novamente! Enquanto aguardo uma resposta - acrescentarei que, no momento, em 05/05/2017, três semanas após a remoção do dente, ainda não tenho melhorias. Por recomendação do cirurgião, ela pediu ao dentista da minha cidade para fazer curativos para mim - colocar turunda com levomekol (comprei o levomekol habitual para uso externo, pois não encontrei mais nada e não sei se é outro). Ao mesmo tempo, esse dentista acredita que o buraco deve estar aberto, pois sob a turunda (se deixada por um longo tempo) tudo apodrece. Mas tenho essa turunda há muito tempo e não dura: no máximo meio dia e depois cai do meu imenso buraco. Até o momento, não há progresso na cicatrização: a gengiva e o palato acima do orifício e do dente adjacente ainda estão inflamados, dói quando a pressão é aplicada à gengiva. O buraco é profundo e não cicatriza por dentro. Ao caminhar, etc. - "flui" sob os olhos para os seios nasais ... A dentista disse que ela foi novamente apertada do lado de fora e dos lados, e dentro do canal profundo para as gengivas ... Em geral, havia quatro dias de férias pela frente, e eu fiquei mesmo sem curativos, apenas como eu mesma " empinar ”, o mais à esquerda.
Estou realmente ansioso por conselhos: o que devo fazer nessa situação, já que ainda não posso viajar para o continente nas próximas duas semanas. Como torná-lo mais correto: feche o buraco ou não? Levomekol ou algo mais para colocar? Beber um antibiótico pela segunda vez? É realmente necessário fazer "curetagem" novamente? É verdade que, com um buraco aberto, o osso entra em colapso? Durante que período de tempo é necessário aplicar turunda (se necessário) com levomekol e com que frequência?
Ainda muito empolgado com a possibilidade de instalar implantes no meu caso (dado o quão mal esse orifício cura)?
Olá Desculpe pela resposta rápida e obrigado pela descrição detalhada. Não há informações sobre se o quarto dente foi ferido durante a remoção do quinto. Isso leva a alguma dificuldade na emissão de recomendações. Imagens de diagnóstico não atrapalhariam. Havia fotos do buraco para analisar a gravidade do que estava acontecendo? Nesse caso, você pode enviá-los para o correio do site, e eu irei comentar.
A proximidade do seio maxilar devido à intervenção traumática fornece alguns dos sintomas que você está falando. Quando o buraco é "estuprado", é bem possível pensar em uma opção como dano ao fundo do seio, mesmo que seja insignificante.
Em relação à questão dos implantes: Suspeito que, levando em consideração a condição do orifício, a elevação do seio possa ser necessária. Eu acho que o fechamento do orifício foi imediatamente necessário se a remoção fosse tão difícil, e é importante não "empurrar" o turund com o medicamento para dentro do orifício, mas implantar o osso artificial, desde que seja esperado um implante adicional. Um grande problema que você gerou é um monte de problemas médios e pequenos que causam danos frequentes ao buraco.
Quanto aos medicamentos: remotamente, sem examinar e entender todas as nuances da situação clínica, os medicamentos não são prescritos - isso é simplesmente perigoso.Quanto à formulação de pomadas e géis - aqui, novamente, tudo é individual. Ser guiado apenas pelo fato de as pastas dentárias Metrogil Denta ou Solcoseryl serem adequadas para anotação das indicações "após a extração do dente" é imprudente, embora muitas vezes leve a um efeito positivo.
Eu recomendo encontrar um especialista inteligente - por exemplo, um cirurgião oral que irá examiná-lo e, ao mesmo tempo, falar sobre opções para posterior colocação de implantes.
Boa noite O dente inferior foi removido, um buraco seco foi formado e a inflamação começou. Fui ao dentista, o médico limpou o orifício, inseriu o remédio e disse que ele se resolveria. Um dia e meio se passou e estou muito preocupado com a dor latejante nas gengivas. Por favor, diga-me, isso é normal ou você precisa urgentemente ir ao médico novamente? Obrigada
Olá É bom que você tenha ido ao médico em tempo hábil - é importante que o coágulo esteja presente na fase de cicatrização, pois tudo fica mais rápido e confortável com ele. No entanto, depois que o buraco é perturbado para o seu próprio bem, essa calma não vem tão rapidamente. Espero que o médico tenha avisado que, durante o dia após a curetagem, geralmente é necessário tomar analgésicos (no dia seguinte - de acordo com a situação). E às vezes tomar antibióticos e anti-histamínicos é importante (se indicado). A implementação de recomendações claras dá a chance de retornar ao serviço em questão de dias, mas em um dia isso acontece muito raramente: afinal, a boca tem uma lesão (ferida) e todas as pessoas têm um limiar de dor diferente.
Aconselho que consulte um médico novamente se, dentro de 3 dias após a curetagem, não houver tendência a reduzir a dor de natureza aguda.
Olá. Três dias atrás, o dente superior foi removido, sete. No dia seguinte à remoção, um coágulo começou a cair. Fiquei com medo, porque não sabia o que fazer. Alarmei todos os meus parentes, todo mundo riu que eu estava em pânico e me aconselhou a enxaguar, mas umedeci um curativo com água morna e o coloquei no buraco. O coágulo acabou entrincheirado. No momento, o buraco, ao que parece, está em ordem e não incomoda, mas a gengiva da bochecha está levemente inchada e embranquecida. Vale a pena entrar em pânico e correr para o médico?
Olá Não entre em pânico, porque, de acordo com sua descrição, não há motivo para preocupação: o coágulo não é destruído, não "caiu", não há dor e temperatura e um pequeno inchaço da gengiva na área do dente extraído está quase sempre presente nesses casos. Quanto ao “clareamento” das gengivas - talvez a tensão usual das gengivas esteja presente, mas vale a pena olhar diretamente na cavidade oral para entender a verdadeira causa.
Se você está tão preocupado com essa situação, pode consultar o seu médico para fazer um exame (mesmo que seja apenas para obter garantias adicionais). Mas não há necessidade urgente disso nesta fase da cura do buraco.
Boa tarde Obrigado ao seu site pelas dicas. Eu tenho os restos de um dente do siso removido por baixo. No segundo dia, por ignorância, retirei, como me pareceu, pedaços de comida brancos do buraco, mas provavelmente era um coágulo. Eu li no seu site que eu precisava urgentemente ver um médico para que eles abrissem um buraco lá e formassem um novo coágulo. Fui ao dentista pago (ela estava por perto) - eles fizeram uma injeção lá, arranharam o buraco e colocaram remédio nele, para que, aparentemente, o coágulo se formasse sem inflamação. Um coágulo se formou, sim. Eu já o apreciei muito, não o enxaguei, não comi deste lado, não peguei nada ... Mas o coágulo "flutuou" do buraco de qualquer maneira enquanto escovava os dentes do outro lado no 4º dia a partir da data da remoção e no 3º dia após a formação coágulo repetido.
Hoje é de 5 dias após a remoção do original. De manhã, fui ao cirurgião que estava removendo o dente, ele olhou, disse que provavelmente, no fundo do buraco, uma parte do coágulo permaneceu, colocou um curativo com "medicamentos franceses caros" - hesitou em perguntar o nome.Eles disseram que, se necessário, tomava banho com chá, pois sou alérgico a ervas. O buraco é estreito, não inflamado, a dor era um pouco dolorida e tolerável, agora não existe mais (o remédio no buraco está anestesiando ou tudo deve ser tão bom e já não deve doer?) Foi surpreendente que eles disseram que o buraco se curaria (???) empurre a gaze com o medicamento.
Diga-me, quantos dias eu não posso me preocupar em encontrar gaze com remédio no buraco? Quantos dias ela deve sentar lá? 5-10 dias? E se a gaze for empurrada e o buraco permanecer profundo e vazio, não prolongado? ... Agradecemos antecipadamente.
Olá Se todos os dias melhorarem e não houver sintomas que impeçam uma vida normal, não faz sentido entrar em contato com um médico: basta seguir seus conselhos corretamente. Quanto à “gaze com remédio”, depende muito de que tipo de remédio foi usado (as instruções para os medicamentos prescrevem o tempo gasto em contato com a ferida). Normalmente, corpos estranhos são realmente empurrados de forma independente para fora do buraco à medida que se recuperam. E o buraco não permanecerá vazio e profundo, pois o tecido é formado de seu fundo durante a cura.
Depois de remover o dente inferior (depois do canino), sinto dores doloridas. O inchaço já estava dormindo e, dentro do buraco, noto um revestimento branco, isso é normal? Aconselhar algo!
Olá De acordo com a sua descrição, não há motivo para preocupação, uma vez que um revestimento esbranquiçado ou amarelo claro está quase sempre presente na área do furo. E como o inchaço diminuiu, não havia temperatura (você não especificou), então a dor dolorosa pode ser atribuída às características de cura + irritantes que afetam periodicamente a ferida - de mecânica (comida sólida) a temperatura (fria, quente). Portanto, recomendo que você seja paciente e siga as recomendações do seu médico. Não há com o que se preocupar.
Olá. O dente inferior foi removido na terça-feira, a remoção foi difícil, as raízes foram arrancadas com um martelo. Eles colocaram um cotonete, disse cuspir após 20 minutos e, em nenhum caso, enxaguar o dia. Eu cuspi, vim como uma dama, tudo estava em sangue. Não enxaguei, não comi nada. Começou a doer muito, e assim por 3 dias. Então começou a latejar, enxaguei com uma solução de refrigerante e sal, mas a dor não diminuiu. Eu olhei no espelho - tudo no meu buraco estava amarelado. Tentei limpá-lo com um cotonete e me parece que isso é pus. O que fazer Hoje é sábado.
Olá Acredito que você tenha um ataque padrão contra o fundo de um buraco de cura - provavelmente, não tem nada a ver com pus. No entanto, a remoção foi realizada por um método bastante rígido, que muitas vezes leva a feridas extensas que requerem cuidados especiais, caso contrário, muitas vezes leva a alveolite e outras complicações. Escolher seu próprio buraco é cheio de consequências negativas. Eu não aconselho tocar a ferida - faz sentido consultar urgentemente o seu médico. Uma inspeção de controle do poço 3-4 dias após a remoção não será supérflua, mesmo que nada doa.
Se essa situação ocorrer no fim de semana, o conselho é: primeiro, não enxágüe com solução salina com soro, pois isso pode destruir o coágulo protetor do sangue. Em segundo lugar, não perturbe a ferida com objetos estranhos ou mesmo com a língua. Eu recomendo que você entre em contato com a clínica odontológica mais próxima, onde são tomadas no fim de semana, e inspecione o buraco. Se estiver tudo bem, você simplesmente ajustará o tratamento em casa e seguirá com calma o conselho do médico. Também é possível que seja necessária uma curetagem do furo.
No sábado, ele removeu um dente podre de cima, no lado direito. A operação foi rápida. Radiografias mostraram que não havia raízes. Na segunda-feira, as gengivas começaram a inchar. O buraco é marrom, sem odor desagradável.A dor não é pulsante, cede no ouvido e no peso. Babando de amarelo, o que isso significa?
Olá A julgar pelos sintomas e pela hora de sua ocorrência, provavelmente estamos falando de iniciar alveolite. Para confirmar ou refutar essa suposição, é importante visitar um dentista. Pode ser necessário ajustar o tratamento, realizar a curetagem do orifício e (ou) a colocação de uma pomada anti-inflamatória para cicatrização de feridas com efeito antibacteriano. Não tenha medo, como no caso de curetagem, é realizada anestesia preliminar. No entanto, com maior probabilidade, será possível ficar sem interferência no furo.
Olá, Svyatoslav Gennadievich! Por favor, informe o que fazer na seguinte situação: nos últimos dias, o oitavo dente inferior (sabedoria) começou a ficar levemente perturbado. Todo mundo diz para excluir sem ambiguidade. Mas o problema é que, antes de sair de férias, restam 9 dias. É possível removê-lo uma semana antes? Todo mundo tem opiniões diferentes: alguém diz que é indesejável antes do feriado, porque Não se sabe como o buraco se comportará devido a uma mudança no clima. No caso de uma exacerbação, eu realmente não gostaria de me sentar com Ketanov e outros medicamentos no caso de uma exacerbação. Agradecemos antecipadamente!
Olá A questão não é simples. O fato é que a extração de qualquer dente é uma operação completa, após a qual existe um período pós-operatório, com características próprias para cada indivíduo. Com a remoção difícil do dente do siso, muitas vezes é necessário recuperar mais de um dia com monitoramento periódico pelo dentista. Se o trabalho é realizado com uma qualidade não muito alta, traumática, o risco de um período pós-operatório difícil se torna ainda maior, e nenhuma pessoa está segura disso.
Ao mesmo tempo, o fato de o dente do siso começar a incomodá-lo indica indicações para sua remoção (se preservar o dente com a ajuda do tratamento intracanal não é prático). Se não for removido, existe o risco de que o início da doença durante as férias possa ser agravado ao entrar em um processo purulento ativo.
Em outras palavras, há um risco ao preservar um dente durante as férias e ao removê-lo no dia anterior. A ponderação de quais desses riscos é maior e mais importante sem informações adicionais não funcionará. Será necessário um exame minucioso do dente e a tomada de decisões em conjunto com o médico assistente.
Olá Estou escrevendo para avaliar a situação. Eu era três vezes removido toda vez por semana com o mesmo dente do siso na mandíbula inferior. Em pedaços, por três horas de cada vez, três cirurgiões da clínica se revezavam. Como resultado, as raízes foram recebidas com aplausos. Terminou o épico há uma semana. O médico primeiro soltou a turunda por dois dias, depois retirou-se e formou um bom coágulo.
Eu tenho um problema de sangramento. O coágulo voou com o primeiro gole de chá quase quente. Vim ao médico, ele foi para o outro lado - agora ele muda a turunda a cada dois dias para que a membrana mucosa cresça, enquanto limpa o orifício ao substituí-lo. Tomei um aumento de curso e tomo analgésicos diariamente, pois é difícil suportar dores doloridas na bochecha e no ouvido. Não há inflamação no buraco, somente quando eu estava sem turunda, a comida entrava e o médico limpava.
Sim mais. Eu tenho o nervo trigêmeo. Havia uma dor nas costas terrível, um neurologista receitou uma droga de letra e neuromultivite, e tudo ajudou.
A questão é: é normal que até agora após essas deleções eu esteja com dores na mandíbula? A terapia é adequada agora? Estou com medo, pois é absolutamente instável. Muito obrigado pela resposta!
Olá Alena. O médico faz tudo certo, mudando as turundas de iodofórmio. Infelizmente, às vezes acontece um resultado semelhante da situação após a extração do dente.
Continue seguindo as recomendações do médico, a dor diminuirá gradualmente e a ferida se curará.Porém, se de repente o médico deixar de observá-lo e a temperatura do seu corpo não se estabilizar, procure urgentemente o médico, pois isso pode indicar o desenvolvimento de um processo inflamatório perigoso com a formação de pus.
Boa tarde Em 17 de outubro, ela removeu 46 dentes. A remoção foi difícil, nocauteada com um martelo, pois um pino foi colocado no 7º ano. Nenhum coágulo de sangue se formou. Para prevenir infecções, ela bebeu um medicamento anti-inflamatório - nimesulida. Mas depois de três dias, ela começou a perceber que uma substância branca-amarela apareceu no buraco; além disso, ela notou que a gengiva estava muito danificada. Acompanhado por uma leve dor dolorosa. Fui ao dentista, ele disse que está tudo bem com você, deixe curar. Agora, após cada refeição, lavo com clorexidina, mas nada cura. O que fazer
Boa tarde Marina. Não se preocupe, sua situação é bastante normal. Após cada refeição, é útil realizar banhos orais com clorexidina, como você faz, ou com seu análogo, miramistina. Estes são bons agentes anti-sépticos que não permitirão o desenvolvimento do processo inflamatório após a extração dentária.
Quanto à substância branco-amarela, trata-se de um revestimento de fibrina, que serve como uma defesa natural do orifício. Leva tempo e aderência adequada às recomendações do médico para a cicatrização completa das feridas; portanto, seja paciente.
Boa tarde e obrigado pelos bons conselhos neste site. Doutor, diga-me, o próprio buraco irá curar após alveolite (dia 8), sem a formação de um coágulo? O buraco após alveolite aguda, mas o buraco não se contrai de todo ...
Olá Claro, curar. A única desvantagem após uma alveolite bem tratada no contexto da ausência de um coágulo pode ser uma extensão do período de cicatrização e, em alguns casos, uma violação do conforto por um tempo (de 3-5 dias a 2-3 semanas), geralmente apenas ao mastigar alimentos. No contexto do fato de que você não apresenta sintomas ameaçadores, não deve ter medo de alveolite recorrente. O principal é ser paciente e seguir claramente as recomendações do médico.
Olá Há uma semana, removi os dois dentes extremos inferiores à esquerda. Dor constante (não forte, mas ainda) e o dente dói de cima. Hoje notei um revestimento preto em um buraco. Nesse caso, preciso entrar em contato com um especialista com urgência?
Olá Estes podem muito bem ser sinais leves de alveolite. Vale a pena entrar em contato com um dentista como confirmação ou refutação do diagnóstico - no mínimo, isso ajudará a ajustar o tratamento em casa, se necessário.
Não se preocupe, vá ao médico e esclareça a situação, pois há razões para isso.
Boa noite, queridos médicos e pacientes. Minha pergunta é: após a remoção dos 8 inferiores, a alveolite serosa começou. A dor irradiava para o ouvido e sob a clavícula. Uma vez a cada três dias, durante duas semanas, eles lavavam meu buraco e colocavam turundas com iodofórmio. A dor parou, disseram uma vez por semana agora para trocar a turunda. Hoje turunda caiu (ao médico apenas amanhã). Enxaguei com uma solução de clorexidina usando uma seringa. Coloquei o adesivo solcoseril no buraco até a borda. Agora eu acho, eu fiz certo? Estou preocupada O buraco, a propósito, é enorme. Ela vai se curar?
Olá Após um período de tempo tão longo (como eu o entendo, quase três semanas se passaram desde que o dente foi removido), o buraco já está na fase de cicatrização, a partir das paredes inferiores e laterais. Dada a melhoria, praticamente não há perigo de que os problemas recomeçam. Seu resseguro com pasta adesiva não vai piorar: é necessário (pasta) para tornar a cicatrização confortável e acelerá-la o máximo possível.
O fato de o buraco das suas palavras ser "enorme" - aparentemente, o resultado de uma remoção complexa e traumática. Não há culpa direta do médico, outra questão é que pontos podem ser aplicados para reduzir feridas. Mas, uma vez concluído o trabalho, só posso dizer que o orifício será completamente formado como um “pente”, que lhe convém visualmente, cerca de 4-5 meses após a extração do dente. O processo de formação de novo tecido não é tão rápido, especialmente quando o médico não faz nenhum esforço durante a extração do dente, de modo que a ferida é "bonita" e a perda óssea durante a remoção é mínima (às vezes faz sentido compensar a perda de tecido ósseo com osso artificial).
Olá, Svyatoslav Gennadievich! Na sexta-feira, 22, o dente do siso foi removido de cima. Parecia que havia um coágulo no buraco, mas ela não conseguia vê-lo (longe de cima, mas a boca não se abria muito). Tentei beber e comer com cuidado, do outro lado. Hoje é o quarto dia - olhei para o buraco, fiquei um pouco alarmado, pois o buraco se aprofundou um pouco, um pequeno buraco escuro é visível.
Li artigos na Internet: tipo, o buraco deve ser branco na superfície, com epitélio. Às vezes, há uma dor maçante na área do soquete. E um sabor desagradável na boca. Será que no quinto dia o coágulo se aprofundou no buraco ou mesmo assim o coágulo foi lavado e foi necessário consultar um médico?
Olá O fato é que o buraco pode curar de maneiras diferentes, e há muitas condições que se encaixam na norma. Isso se refere, por exemplo, à cor e condição do coágulo sanguíneo. Uma leve dor na área do orifício e um sabor residual na boca também não são sinais de alveolite (o sabor residual geralmente é devido ao medicamento que o dentista colocou no orifício para melhorar a cicatrização dos tecidos e prevenir a inflamação). Portanto, se a dor não aumentar, não há motivo para preocupação - basta seguir as recomendações do médico e ser saudável!
Boa tarde Em 27 de dezembro, 6 dentes inferiores foram removidos, a dor começou no dia 3, o buraco estava aberto, um cheiro terrível apareceu. O assunto foi complicado pelo fato de que em 30 de dezembro voei para Bali. Entre em contato com o médico, ele disse para lavar o buraco com clorexidina ou furatsilina por alguns dias. Estou fazendo tudo certo, mas a dor só desaparece depois de tomar cetonal. Além disso, o médico disse para colocar no buraco metrogil dent, mas nas farmácias locais não é. O que aconselhar nesta situação?
Olá Eu acho que a nomeação de drogas neste caso sem conhecer a verdadeira causa do problema está repleta de sérias conseqüências. Somente após o diagnóstico por um médico você pode prescrever fundos para o tratamento em casa. Caso contrário, você pode obter uma complicação (leia, por exemplo, com phlegmon). Existem muitos medicamentos destinados a eliminar alguns sintomas (temperatura, dor, inchaço etc.), mas se o médico assistente não tiver completado algo importante em seu trabalho (ele deixou pedaços de raízes de dentes ou um cisto no buraco, por exemplo), recomenda-se corrigir o tratamento oportunamente, uma vez que os medicamentos geralmente são ineficazes nesse contexto, e a situação só pode piorar. Então, encontre uma maneira de consultar um médico.
Olá. Eles removeram o dente do siso, doeu por 10 dias. Fui ao médico, disse que alveolite, limpei o buraco. Não foram prescritos antibióticos. O segundo dia dói, há uma temperatura. O que fazer
Olá Após a curetagem, os buracos podem sentir dor e temperatura. Os antibióticos geralmente são prescritos contra um pano de fundo de infecções purulentas e são prescritos exclusivamente pelo médico assistente. Se você duvida da adequação da terapia e das prescrições do seu médico, você pode, apenas no caso, consultar outro especialista em outra clínica (tire uma foto do orifício e avalie se restam raízes ou fragmentos dentários).Em princípio, após exclusões complexas, os orifícios não cicatrizam rapidamente, o conforto ocorre apenas após 5-14 dias. Portanto, às vezes você só precisa ser paciente.
Demorou 10 dias após a extração do dente, figura oito. Como eles disseram, ela estava parcialmente na gengiva e foi até inclinada em direção à bochecha, crescendo de maneira desigual. As raízes eram retas, o médico retirou rapidamente, colocou algum tipo de esponja - disse que ela mesma resolveria. Nos dias 2 a 6, à noite, havia dores toleráveis e uma sensação de que estavam estourando, como se eu estivesse mordendo minha bochecha (ou seja, inchando por dentro). Parece que por 6-7 dias ficou melhor. Antibióticos foram prescritos por 7 dias. Eu bebi. Nos primeiros dias, apenas banhos salinos e especiais com clorexidina o faziam. Eu tinha medo de remover o coágulo do buraco, parecia constantemente. A ferida, como um vulcão, é muito profunda. Com o tempo, o coágulo escuro da Borgonha ficou mais baixo, até o escuro como se três pontos fossem visíveis (bem, onde estavam as raízes). Eu pensei que lavei o coágulo. Hoje eu examinei lá peças brancas ou amarelas. Comecei a enxaguar um pouco com esforço, pensei em talvez pão ou comida. Eu não estou subindo lá ...
Como a ferida é profunda, visualmente é preenchida com saliva, uma borda da bochecha é mais baixa que a da língua. A gengiva é esbranquiçada, embora em toda a cavidade seja. Não há dores agudas. Agora já vi o suficiente da ferida, puxando minha bochecha - um pouco inchada novamente. Todo mundo se preocupa se existe um coágulo e por que uma ferida tão profunda. Parece que 10 dias se passaram, essa esponja provavelmente desapareceu com um coágulo. Ela me pediu para fechar a ferida, mas o médico disse que não era necessário. Aqui, na dúvida, se deve ir ao médico. Apenas a um dentista, a 30 km.
Olá Eu acho que, considerando o período (10 dias) e a dinâmica positiva, não há necessidade crítica de ir ao médico. O buraco é capaz de curar normalmente sem coágulo; portanto, mesmo se for lavado, isso não será um problema significativo.
Quanto à sutura da ferida: as suturas após a extração do dente nem sempre são sobrepostas, às vezes podem até interferir no curso normal da cicatrização devido à falta de higiene na área da sutura. As indicações são determinadas pelo médico e dependem da natureza da ferida e da gravidade da operação.
No dia 18, a raiz foi removida, após 2 dias o buraco ficou preto, um cheiro terrível começou. Fui novamente à recepção, fomos diagnosticados com alveolite. O médico limpou o buraco, colocou um remédio. Ele disse que não ficará mais doente, prescrito para enxaguar com camomila, sálvia e refrigerante. Ontem à noite houve uma dor infernal. Agora não há dor, mas o cheiro terrível do buraco reapareceu, tudo está preto. Estou em uma posição, com muito medo das consequências 😢
Olá. Após a extração do dente, às vezes pode ocorrer alveolite. Todos os sintomas que você listou (dor, descoloração do poço e odor desagradável) são característicos dessa doença. A alveolite é um processo inflamatório muito limitado e não pode afetar o curso da gravidez, bem como medicamentos para o tratamento local do buraco, uma vez que agem no foco da inflamação e não penetram na corrente sanguínea. Na maioria das vezes, esses são apenas anti-sépticos locais. Seja como for, a alveolite requer tratamento imediato, por isso faz sentido ir ao dentista novamente para reexame e tratamento do poço.
Boa tarde No dia 9 de fevereiro, meu dente foi removido para o meu filho (4,6), às 13:00. O sangue parou apenas às 19 horas. 12 de fevereiro, a temperatura apareceu, 37,2. Beberam nimesil (pó), fizeram banhos de furatsilin. Não enxágue. Foi um fim de semana e precisamos ir ao médico por mais 35 km. Três dias depois, fomos ao médico. Ele olhou e disse que eles lavaram o coágulo "com o qual eu te parabenizo". Ele limpou o buraco, lavou-o com um anti-séptico e colocou turunda de iodofórmio. Após 5 dias, a turunda caiu. O buraco é tão profundo que 10 dias se passaram e nem sinais de cura são visíveis. As bordas do furo não se aproximam. Uma pequena mancha de cor amarelada se formou na parte inferior.Não há mau hálito, mas a temperatura sobe para 37. Isso é normal ou não? 18 dias se passaram desde o dia em que o dente foi removido. Quanto tempo levará a cura? O filho está preocupado. O que faremos a seguir? Agradecemos antecipadamente a sua resposta.
Foi difícil remover usando um elevador.
Olá A julgar pela descrição, a alveolite se desenvolveu após a extração do dente. Observo que o tratamento descrito por você que o médico realizou é bastante adequado (curetagem, lavagem com uma turunda anti-séptica e iodoforma). Se a dor e o cheiro do orifício não incomodarem, isso significa que o processo inflamatório no orifício é prescritivo ou já passou. Agora, o buraco será curado com a chamada tensão secundária, preenchendo lentamente com tecido ósseo. Às vezes, para que a depressão desapareça, leva de 1,5 a 2 meses. Não funcionará para acelerar esse processo com procedimentos domésticos ou medicamentos (como regra, isso não é necessário). É importante apenas garantir que não restem restos de comida no buraco.
No entanto, você escreve que a temperatura já está em 37 graus há 18 dias - isso não deve ser normal. É possível que a fonte de temperatura não esteja mais bem no dente. Em tal situação, é útil monitorar periodicamente o progresso da cicatrização do buraco pelo médico até que os sintomas perturbadores desapareçam completamente.
Olá Um dente (7) foi removido, uma semana após o diagnóstico de alveolite. Limpamos e colocamos uma esponja; no próximo passo, colocamos gaze com remédio no buraco. Um dia se passou, sinto que algum exsudato purulento está constantemente escorrendo de lá ... Enxágüe com um estomatófito, miramistina. E na recepção somente após 2 dias. O que fazer Para tocar o alarme?
Olá Na situação descrita por você, não é necessário tocar o alarme. Para uma cura completa, como regra, são necessários vários curativos. Mas se o processo inflamatório é bastante ativo e o pus escorre abundantemente, os curativos precisam ser feitos com mais frequência do que 1 vez em 3 dias. Eu recomendo marcar uma consulta com seu médico antes do previsto, não espere mais 2 dias.
Fotos legais para perda de peso. Como você olha, não há desejo algum.
Boa tarde Eu li todas as respostas, obrigado por ajudar as pessoas. Por favor, responda minha pergunta também. Em fevereiro, uma coroa caiu do meu dente, e o ortodontista disse que esse dente (7 no canto inferior esquerdo) só deveria ser removido. O cirurgião confirmou isso após um raio-x. Em 14 de março, o dente foi removido, a remoção durou cerca de 20 minutos, mas o dente desmoronou, o médico trocou a ferramenta três vezes e aplicou força. Então ele largou um tampão, disse que chegaria em dois dias e o deixaria ir para casa.
Durante dois dias houve dor intensa, bebeu uma bolsa à noite por um pouco de nimesil. 16 de março foi à recepção com uma queixa de dor não no buraco, mas com dor na gengiva do lado, do lado da bochecha. Havia uma forte vermelhidão e algo estava embranquecendo. O médico, depois de examinar o buraco, disse que não havia coágulo, estava "seco". Limpei, coloquei o remédio e é isso. Chiclete no lado não tocou. Em 19 de março, depois de uma dor intensa no lado da gengiva (era impossível tocá-la, até a bochecha estava no caminho), fui novamente à consulta. Depois de ouvir minhas reclamações, o médico disse que esta é uma aresta aguda e deve ser removida. Após a anestesia, ele começou a fazer algumas manipulações e, dizendo que "não tenha medo", começou a bater na gengiva ou nas proximidades. A sensação era de que ele estava trabalhando com um martelo e um cinzel. Por medo, eu não fiz uma única pergunta.
Então o médico disse que agora ele não ficará doente, a borda afiada foi removida. Sem enxágües, sem drogas, sem banhos foram prescritos. À noite, a temperatura subiu 37 e bebeu novamente. Não havia protrusão branca na gengiva, mas estava danificada como uma abrasão. No dia seguinte, não havia temperatura, mas a dor não parou por um dia. Após os 2 dias indicados, fui ao médico, falei sobre a dor e sobre os 9 dias tomados analgésicos. Também perguntei sobre as raízes subitamente remanescentes, inflamação do buraco, inchaço das gengivas ao lado.Dores relatadas no ouvido e sob a mandíbula. O médico garantiu que não havia nada disso, era apenas uma remoção difícil (embora isso não tenha sido mencionado nos primeiros dias). Então ele mudou o remédio no buraco e é isso.
Em 23 de março, na consulta seguinte, a médica colocou uma esponja no buraco, disse que ela resolveria e se despediu. Fiquei com uma dor nas gengivas e um edema edematoso. O buraco, pelo contrário, tem uma cor saudável, não incomoda. Diga-me, por favor, por que a gengiva dói do lado (como se estivesse dentro) sob o dente extraído? Este lugar ainda está inchado. Faço banhos com camomila, não houve outras recomendações. 11 dias se passaram desde o dia em que o dente foi removido, 6 dias a partir do momento em que a borda afiada foi removida. Obrigado pela resposta.
Olá. Parece que no seu caso, após a extração dentária, duas complicações foram imediatamente observadas: alveolite (inflamação da cavidade dentária) e a borda afiada do orifício, que se sobrepunham, causando dor. O seu médico tomou as medidas necessárias em relação a ambas as complicações - coloque o medicamento no buraco e remova a borda afiada do osso. Por 10 dias, o buraco foi atrasado, e isso é normal. O edema no lado bucal é provavelmente um infiltrado (geralmente esse edema é denso, ligeiramente doloroso, formado pelo corpo em resposta a trauma e parece um "choque"). Como houve duas operações (extração dentária e remoção da borda afiada), pode-se supor que esse infiltrado seja de tamanho significativo. O fato de o buraco já estar se curando é um sinal prognóstico muito bom. Agora você só precisa de tempo para resolver o infiltrado. Alguns compromissos geralmente não são necessários aqui. Observe a dinâmica do processo - se a dor e o inchaço diminuirem gradualmente - tudo bem, mas se a dinâmica for negativa (a dor se intensifica, o inchaço persiste ou também se intensifica) - você deve consultar um médico novamente. Obrigado pela pergunta.
Boa noite O dia 16 de março foi removido no dia 8, no canto inferior direito. 23 re-limpou o buraco, pois não havia coágulo sanguíneo. 25 foram a outro médico - disseram que não havia coágulo sanguíneo. 27 ir novamente para ver um médico que removeu o dente. É terrível que eles voltem a limpar o buraco para formar coágulos sanguíneos. É obrigatório formar?
Olá, se não houver coágulo sanguíneo no orifício após a extração do dente, ele cura com a chamada tensão secundária, ou seja, lentamente se enche de tecido conjuntivo (o processo seria muito mais rápido com um coágulo sanguíneo). Ao mesmo tempo, os curativos são realizados na fase inicial: tratamento com anti-sépticos, colocação de drogas estimulantes, às vezes limpeza do buraco. Se o orifício do dente não doer, não há odor putrefativo e já foi coberto com tecidos moles por dentro, então não há necessidade de curativos adicionais. É importante apenas garantir que as partículas de alimentos não se acumulem no buraco (são necessárias lavagens imediatamente após a ingestão) - e gradualmente o buraco será preenchido.
Boa tarde Diga-me, por favor, um mês e meio se passou após a extração do dente, estava tudo bem, fui fazer um exame. Mas já há uma semana eu notei uma bolha inflada no buraco. Muito preocupado o que poderia ser? Ao médico somente após 5 dias.
Olá Christina! Como regra, após a extração do dente, o buraco cura dentro de 2-3 semanas. No momento, após a remoção, conforme você escreve, 1,5 mês se passou - isso sugere que a ferida já está cicatrizada. Acredito que na área do dente extraído, o tecido cicatricial em uma forma semelhante a uma bolha simplesmente se formou. Seja como for, levando em consideração sua descrição, não vejo motivo para preocupações urgentes; portanto, após 5 dias, quando você visitar seu médico novamente, preste atenção aos seus sentimentos.
Bom dia A situação é a seguinte: em 24 de abril de 2018, o molar foi removido (à direita em frente ao dente do siso).Parecia que estava tudo bem, mas em 31 de maio a mandíbula começou a doer na área do dente extraído. Em 3 de junho, o pus começou a pressionar a bochecha. By the way, o inchaço das bochechas começou, e não pequeno.
Como resultado, em 4 de junho, fui à clínica (para o local onde a remoção foi feita) - eles tiraram uma foto, está tudo bem nela. Mas houve inflamação grave, eles fizeram uma “curetagem”, ou seja, se eu entendi direito, eles limparam o buraco. O sentimento foi terrível. Processado, coloque gaze com pomada por meia hora e recomende antibióticos e enxágue a cada três horas ...
Então, eu queria saber de você - após a purificação, o pus deve se destacar do buraco? Ou ele não deveria aparecer depois de limpar o poço? Muito obrigado pela sua resposta!
Olá Gulnara. Após a curetagem e tratamento do poço, a dor pode persistir e a descarga do poço pode estar presente. Normalmente, o buraco deve cicatrizar em algumas semanas, e a dor intensa em um dia geralmente não acontece. No entanto, algumas vezes, como o coágulo de sangue que cobre a ferida é deslocado ou não se forma, a ferida é infectada. Como resultado, ocorre uma alveolite e a cicatrização da superfície da ferida é muito atrasada. Como regra, isso ocorre devido a uma violação do regime pós-operatório, quando o enxágue ativo da cavidade oral leva à lixiviação do coágulo sanguíneo e à exposição da superfície da ferida com a infecção subsequente.
Portanto, não se preocupe particularmente em isolar o sacro do buraco imediatamente após a curetagem (geralmente é confundido com pus). Mas fique de olho na dinâmica geral e no bem-estar e, se persistirem sintomas desagradáveis, consulte um médico novamente.
Olá. Eu queria saber, tive um dente molar removido recentemente e, após 2 dias em seu lugar, encontrei pus. O que fazer E por causa do que ele poderia ter formado? Eu fiz tudo o que o médico disse. Ele recomendou clorexidina. Agradecemos antecipadamente a sua resposta.
Olá Daniyar. Muito provavelmente, o coágulo de sangue que cobre a ferida foi alterado ou não se formou. Como resultado, o poço foi infectado. Nesses casos, a alveolite (inflamação do orifício) ocorre com freqüência e a cicatrização da superfície da ferida é adiada. Embora muitas vezes os pacientes tomem para o pus uma rosquinha que se destaca do buraco.
Seja como for, recomendo marcar uma consulta com seu médico para um exame. Às vezes é realmente necessário tratar o buraco para a sua cura o mais rápido possível.
Oi Vale a pena ir ao hospital se algo se formou no buraco após a extração do dente, algo branco. Há um sentimento de que posso removê-lo. De um lado é branco, do outro - preto ou vermelho, não consigo entender. Ficaria muito grato se você responder.
Olá Stanislav. Você não precisa remover nada do buraco. Além disso, a placa branca é fibrina, e sua presença é um dos sinais de cicatrização normal de um buraco sob um coágulo sanguíneo. Em um caso extremo, se algo estiver realmente incomodando, marque uma consulta com um médico para um exame, mas não escolha e remova nada.
Em 25 de julho de 2018, dois dentes foram removidos, após o que houve uma dor terrível por 3 dias. Eu não aguentava, fui ao médico de plantão, fomos diagnosticados com alveolite. Eles limparam o buraco, colocaram o remédio, mas a dor não parou. Era sábado e segunda-feira fui ao dentista. Eles novamente limparam e colocaram o remédio, por três dias. Eu bebi o antibiótico, muitos analgésicos estavam bêbados. Durante todos esses três dias, ela lavou a casa com uma seringa com clorexidina, lavou com malavita e borrifou com iodo. E somente no quarto dia após todos esses procedimentos, ficou um pouco mais fácil. Aqui, eu estou esperando agora, quando cura.
Olá. Duas semanas atrás, após uma forte dor de dente à noite, o médico removeu os oito inferiores.A dor após a remoção não diminuiu, passou uma semana em analgésicos e foi ao médico novamente. Ele disse que o buraco estava seco (um coágulo de sangue não se formou ou caiu). Como resultado, eles fizeram uma curetagem e colocaram um remédio amarelo (algo como marloseka), que deveria resolver. Mas nada resolveu, mas caiu uma semana depois. O médico do telefone disse que está tudo bem, mas sinto desconforto (e dor), principalmente depois de comer. E um buraco se formou no local da remoção. O que fazer
Olá Você descreveu manifestações típicas de alveolite. O problema, em regra, surge devido ao fato de o orifício após a extração do dente não estar cheio de coágulo sanguíneo, ou pelo fato de que, durante os primeiros dias após a remoção, os alimentos entraram no orifício. O buraco será gradualmente atrasado pela mucosa e, assim que isso acontecer, a dor diminuirá. Isso geralmente acontece dentro de 3 semanas. É importante não se automedicar e não perturbar a ferida. O "buraco" que o excita em breve vai crescer demais. No entanto, com dinâmica negativa (aumento da dor, febre, desenvolvimento de edema), é necessário consultar um médico o mais rápido possível.
Olá. Há duas semanas, o dente superior foi removido (não sei qual número). O dente foi partido, fragmentos cortaram a bochecha e a língua. Removido com raízes, ele se sentou firme, teve que se soltar. Durante toda a semana houve dores, bebeu analgésicos. Não enxágue, não coma do outro lado. Dor doeu no ouvido e minha cabeça doía. Uma semana depois, ela foi ao médico - ele limpou o buraco, arrancou alguns nódulos e disse que não havia fragmentos de dente, cheiro ou pus. Lavado, coloque remédio e gaze com remédio. A gaze saiu após meia hora, como foi dito. A dor diminuiu, pode-se dizer que dói quando subo lá com a língua. Ao redor do dente anterior, a gengiva inchou e doeu, algo branco se formou no buraco. Quando ela comeu, o branco desapareceu. Receio que seja pus. Só vou ao médico na sexta-feira, me envolvi em pânico.
Esqueci de dizer que não há temperatura, a bochecha não está inchada. A cabeça e a orelha não doem mais, mas ao tocar a bochecha, dói. Está tudo bem?
Olá Natalya! A placa branca no buraco é fibrina, que protege a ferida do ambiente externo. A dor ao tocar na área do dente extraído também é normal, pois a ferida após a cirurgia ainda está fresca. O prazo para a cura de um buraco dentário varia em média de 5 dias a 2 semanas. A julgar pela descrição, tudo está indo bem com você, há uma tendência positiva e você não deve se preocupar muito.
Olá. Diga-me, por favor. Há 22 dias, 4 dentes foram removidos ao mesmo tempo no topo (2, 3 e 3, 2 são obtidos). As feridas foram suturadas, o médico disse que colocou colágeno. Doeu severamente por 3 dias, houve inchaço à direita. E então, depois de tanto tempo, fui ao médico experimentar uma prótese temporária - e doeu. O médico pressionou a gengiva e o pus começou a fluir para fora da prolongada, aparentemente ferida.
Fui ao cirurgião, o médico limpou o buraco, dizendo que havia pequenos fragmentos de osso. Coloquei um cotonete de gaze com remédio (qual não perguntei) e disse para aparecer em 5 dias ... Mas depois fui ao espelho em casa e tentei pressionar a gengiva à direita. E não posso dizer que dói e me incomoda, ao contrário das gengivas à esquerda. E vi que o pus escorria de um longo buraco, literalmente de um pequeno buraco.
Diga-me, querido médico, o que devo fazer com tudo isso? Para limpar o buraco certo, mesmo que não incomode?
Olá Natalya. Antes de tudo, observo que, em nenhum caso, você deve tentar espremer o pus para fora do buraco - é tão fácil introduzir uma infecção.A decisão correta seria entrar em contato com o médico para um segundo exame para esclarecer se o pus está realmente presente no buraco e se a cirurgia é necessária. O médico prescreverá tratamento, se necessário.
Boa tarde Em 3 de setembro, o oito inferior direito foi removido, o dente foi ligeiramente inclinado em direção aos sete. A médica costurou o buraco, a dor apareceu no dia 3 e sentiu um fio solto na boca. Fui ao médico, ele tirou os pontos, disse que está tudo bem. Todo esse tempo a temperatura chegou a 37. A parte direita da cabeça doía, dava um pouco aos gânglios linfáticos, mas eles não eram aumentados. Mais alguns dias se passaram, a condição não melhorou, a temperatura não caiu.
No dia 11 fui ao médico, ele disse que existem sintomas de alveolite, o buraco está seco. Reformado um coágulo, coloque uma esponja. Mais 3 dias se passaram, a situação não se normalizou, o médico repetiu a mesma coisa. Voltado para outro médico, ele colocou a turunda de iodo na sexta-feira, disse na quarta-feira. A dor diminuiu, a gengiva dói um pouco, mas a temperatura é 36,7-37. O médico disse que o maxilar é visível na parte inferior e, devido ao fato de estar exposto, há uma temperatura. Não sei mais o que fazer. Não há dores fortes, mas essa leve temperatura irrita. O que você recomenda?
Olá Elvira. Após a extração do dente, às vezes, na ausência de um coágulo no buraco, a alveolite se desenvolve - inflamação do buraco. As táticas de tratamento do seu médico estão corretas. Quanto à temperatura remanescente no nível 37, é importante entender que o processo inflamatório não passa instantaneamente (como a temperatura associada). Essa dor intensa desapareceu já é um bom sinal. Portanto, seja paciente e siga as recomendações do seu médico.
Olá doutor! 16 dias se passaram desde que a raiz do dente na mandíbula inferior foi removida. Desde os primeiros dias, as dores monótonas não pararam, os tumores (exceto por uma pequena vedação perto do buraco, perto da língua) e não houve temperatura. Uma semana após a remoção do dente, ela foi novamente ao médico - explicou que, com a minha língua, sinto uma pequena vedação. O médico abriu o buraco, colocou o remédio e disse que estava tudo bem. Após a visita, a dor não parou, mas se intensificou, passou a dar no pescoço, a cabeça doía. Comecei a tomar os comprimidos Nimik e a lubrificar com a pomada Metrogil Dent. Parece que a cura começou. Mas a dor não diminuiu até o fim. No domingo, vi que o buraco ficou vermelho e ficou mais alto. Eu pressionei minha língua - o pus foi. Coloquei Levomekol no chiclete e bebi Tsiprolet. Aquela pequena condensação no lado da língua ficou menor. As dores estão quase acabando. Desna empalideceu. Devo continuar o tratamento e quantos dias mais? Ou ir ao médico novamente? Obrigado pela resposta.
Olá Svetlana. Com base na sua descrição, apesar da aparente melhora, consulte um médico para revisar o poço, bem como prescrever o tratamento terapêutico (para evitar a formação de tecido patológico em vez de osso no poço). E sim, não se automedique, tome medicamentos com um médico.
Olá doutor. Os 5 e 6 superiores foram removidos na terça-feira e ambos os buracos se arrastaram, mas, infelizmente, um coágulo caiu do buraco 6 um dia depois, o sangue estava fluindo bem. Um novo coágulo se formou no fundo do buraco, mas menos do que no buraco 5. Dois dias se passaram - não dói, não há cheiro e inchaço. Você pode me dizer se o buraco 6 será atrasado? Obrigado pela resposta.
Olá Com base na sua descrição, você pode dizer que agora os buracos estão se recuperando no modo normal. Na minha prática, muitas vezes até os buracos vazios se curam com calma e sem patologias. Aqui, o principal indicador é a resposta imune do corpo à intervenção, ou seja, a lesões.Se o orifício não for exposto ao exterior, não estiver infectado e não tiver granulomas, resíduos de raízes e fragmentos dentários, a cura quase sempre ocorre sem incidentes. Portanto, seus buracos serão necessariamente "arrastados" - isso é apenas uma questão de tempo. Geralmente, leva de três a quatro meses para cicatrizar completamente, embora as gengivas se estabilizem completamente em seis meses.
Olá. Após uma difícil extração do molar inferior, o coágulo foi a primeira vez, mas depois de alguns dias "lavou-se" e, em seguida, um buraco seco se formou. O buraco não dói, mas há um pequeno inchaço no local da remoção e algumas manchas brancas no interior. O gosto é ruim. O médico, após exame, adormeceu com um anti-séptico, disse para beber antibióticos, e isso é tudo. O médico fez tudo certo e o que devo fazer a seguir?
Olá Andrew! Eu acredito que as táticas usadas pelo seu médico com um "buraco seco" estão corretas. No momento, você precisa seguir as recomendações do médico e monitorar a dinâmica. Se a dinâmica for positiva, o buraco logo crescerá demais. Se a dinâmica for negativa (a dor aparecer, a temperatura subir e, além disso, o cheiro putrefativo se intensificar), será necessário consultar um médico o mais rápido possível.
É possível colocar pomada de Vishnevsky em um buraco?
Olá Nikolai. Pomada Vishnevsky no buraco não pode ser colocado. Essa automedicação, pelo contrário, pode levar a um forte processo inflamatório.
Olá, removi o molar superior há dois dias, a remoção foi difícil. Por dois dias não houve dor, mas hoje acordei com dores, minha bochecha dói, minhas gengivas estão latejando. A goma está dentro de um tom amarelado. O que pode ser e o que fazer?
Olá amor. Essa sintomatologia é característica de uma complicação após a extração dentária associada à inflamação do orifício (alveolite), ou seja, uma infecção entra no orifício e as paredes ficam inflamadas. Marque uma consulta com seu médico para esclarecer a situação e realizar a terapia apropriada.
Olá. Removido 8-ku em 17 de maio. Foi removido por muito tempo e duramente, a dor e a temperatura duraram cerca de duas semanas. Eu fui a curativos. Em meados de junho, a dor desapareceu, o médico examinou o buraco e disse que tudo cura perfeitamente. Depois de um tempo, o cheiro do buraco começou a perturbar, e a secreção de algum segredo, pus ou sangue, era constantemente liberada. Não há dor e temperatura. E se não houver dor, então tudo está em ordem? Mas, cansado dessa descarga, fui novamente ao médico, mas a outro (quem removeu o dente está de férias). Eles fizeram um raio-x: o buraco não curou nada. O médico disse que a situação é muito ruim. Ele fez curetagem, colocou turunda, prescreveu antibióticos e clorexidina. Ele ordenou que eu voltasse em uma semana. Isso foi ontem. Hoje a turunda cai quase completamente. Não há dor, a temperatura estava baixa ontem. Retire o turundu e vá ao médico amanhã? Aconselhar!
Olá Natalya! É melhor remover a turunda suspensa e marcar uma consulta com o médico em um futuro muito próximo. Siga as recomendações prescritas pelo médico. Após a admissão, o médico examinará o buraco e decidirá sobre a necessidade de instalar uma nova turunda para tratamento adicional.
Tirei o dente do siso por baixo e minha gengiva inchou, estava dolorida, não consegui abrir a boca. A temperatura é alta 39.6. Eu acho que o pus se reuniu lá. O que devo fazer, como curar isso em casa? Ou você precisa de um hospital? Eu acho que haverá cortes para liberar pus.
Olá Sergey. Em tal situação, não se deve contar com tratamento domiciliar, e você precisa consultar um médico o mais rápido possível, pois é possível desenvolver complicações com risco de vida (fleuma, sepse). Portanto, apresse-se, o médico após o diagnóstico decidirá sobre o tratamento e dará as recomendações necessárias.
Há um mês, o dente do siso inferior direito foi removido, a remoção foi difícil. Uma semana após a extração, outro dente teve que ser removido, o que estava próximo.E agora um mês se passou, e agora esses dois buracos estão podres ao mesmo tempo. E a bochecha estava inchada. Não sei o que fazer ... Para complicar a situação, os analgésicos não me afetam. O que fazer
Olá dia dos namorados. No seu caso, você deve entrar em contato com urgência com o médico que realizou a operação. É necessário realizar um diagnóstico completo na área dos dentes extraídos. Tomar analgésicos em tal situação não é uma solução para o problema, pois a infecção que levou à supuração e ao inchaço não vai a lugar algum. É possível que seja necessária a curetagem dos orifícios e a subsequente administração de antibióticos.
Olá. 8 dias atrás removeu o fundo 8. Não há dor. Não há temperatura. Também não há inchaço. Apenas branco no buraco, como algodão, incomoda. Enxáguei a boca, mas esse branco não desapareceu. Diga-me, por favor, o que poderia ser?