
Em seguida, você aprenderá:
- Como o procedimento de extração dentária pode ser adiado com perdas mínimas para sua saúde, nervos e carteira;
- Por que os dentes às vezes precisam ser removidos e que indicações um dentista-cirurgião é orientado, fazendo um veredicto apropriado;
- Em que situações com a extração dentária é melhor esperar um pouco ou nem mesmo removê-lo;
- Em que etapas o procedimento consiste e o que espera por você no consultório do dentista;
- É possível remover os dentes hoje sem pinça assustadora, sem dor e com trauma mínimo;
- Quão difícil e longa pode ser a extração de dentes problemáticos - refinados, semi-resinizados, resorcinol-formalina e até molares comuns, mas com raízes específicas;
- Como o paciente pode ajudar o médico assistente para que a extração dentária possa ser realizada sem problemas;
- O que fazer se você precisar remover urgentemente um dente à noite, nos finais de semana ou feriados;
- É possível remover os dentes hoje em hospitais gratuitamente e o que muitas vezes está oculto por trás do preço baixo do serviço ...
A extração dentária (extração) é considerada uma operação odontológica e envolve intervenção cirúrgica. Em outras palavras, ao remover um dente, você está realizando uma operação cirúrgica e, portanto, deve executar este procedimento com toda a responsabilidade.
Além disso, consideraremos muitas nuances que ajudarão uma pessoa despreparada comum a passar por esse teste com perdas mínimas de nervos, carteira e sua saúde (erros e descuido do paciente podem levar a consequências muito graves).

Nota
As situações são diferentes: às vezes é preciso remover um dente com urgência, às vezes um plano, mas em um caso e outro, surge imediatamente a pergunta: qual dentista especialista é melhor entrar em contato? Qual médico pode remover um dente de forma competente e indolor?
Alguém pode dizer imediatamente, sem hesitar, que você precisa entrar em contato com um cirurgião-dentista. Essa, por um lado, é a resposta correta, mas, na prática, as coisas podem não ser tão simples. O fato é que em policlínicas, hospitais e até mesmo em odontologia particular, geralmente há uma situação em que um dentista trabalha em uma consulta mista. Ou seja, realiza tratamento (preservação) de dentes que ainda podem ser salvos e também remove dentes “ruins”, realiza escovação profissional e, além disso, o mesmo médico também lida com próteses por falta de dentes. No total, temos 2-3 ou mais especialidades "em uma garrafa". Devo entrar em contato com esse especialista?
Obviamente, tudo depende do profissionalismo do médico e de sua experiência, mas, na prática, a maioria dos dentistas se concentra em uma área de trabalho, tendo significativamente menos experiência em outras áreas. Por exemplo, existem dentistas de uso misto que dedicam muito tempo ao tratamento odontológico, mas não o removem com uma qualidade muito alta. Aqui, muito mais depende da complexidade do trabalho à frente. Mas, após uma hora e meia de tormento, durante a qual o médico corta, perfura e até escopeta com ferramentas, é improvável que algum dos pacientes queira ouvir isso, dizem eles, que o dente era muito complicado e não podia ser removido (às vezes acontece).
É por isso que é melhor remover um dente de um cirurgião-dentista especializado apenas nessa manipulação em suas várias formas.
Além disso, também existem cirurgiões maxilofaciais - relativamente falando, eles estão em um nível ainda mais alto que os cirurgiões-dentistas.Esses especialistas não se limitam em seu trabalho apenas a arrancar os dentes (mesmo os mais complexos), mas também podem ajudar com lesões da região maxilofacial, complicações perigosas da periodontite (periostite, osteomielite, abscesso, fleuma, linfadenite), deformidades congênitas e adquiridas, doenças ATM, processos tumorais, etc.
Por exemplo, com problemas significativos com a abertura da boca, quando você precisa remover um dente do siso com inchaço derramado da face e pescoço, luxação da mandíbula ou fratura, vale a pena entrar em contato com a cirurgia maxilofacial.
Por que os dentes às vezes precisam ser removidos
Antes da extração do dente, o dentista determina antecipadamente as indicações para isso, ou seja, pesa todos os prós e contras. Existem situações clínicas em que um dente pode ser considerado controverso - isso significa que o dentista, mesmo levando em consideração as evidências disponíveis, não pode dizer claramente se vale a pena arriscar enquanto o mantém ou ainda o remove do pecado.

Também existem situações freqüentes quando, em uma clínica, eles sugerem arrancar imediatamente um dente estragado e em outro, o levam para salvá-lo.
Nota
Às vezes, para reconhecer um dente como um objeto a ser removido, é realizada uma consulta com dentistas de diferentes perfis: clínico geral, cirurgião, ortopedista, ortodontista, periodontista.
Como explicar essa incerteza na prática odontológica?
Na vida, como você sabe, não é tão simples quanto parece em livros e livros didáticos. As indicações e contra-indicações para a extração dentária existentes hoje foram desenvolvidas nos tempos soviéticos por cientistas respeitáveis, e a maioria delas mudou para protocolos modernos que orientam os cirurgiões-dentistas em sua prática. No entanto, eles nem sempre podem ser adequados para uma situação clínica específica, e há várias razões para isso:
- Melhorar equipamentos, instrumentos e métodos de tratamento odontológico aumenta as chances de preservação dos dentes, às vezes contrárias aos protocolos existentes;
- Ao mesmo tempo, graças aos mais recentes métodos de diagnóstico e abordagens modernas em odontologia, o dentista sozinho ou coletivamente pode decidir remover o dente, mesmo que haja indicações para sua preservação.
A seguir, exemplos de indicações importantes para a extração dentária:
- Falha no tratamento endodôntico na área do foco inflamatório periapical (em outras palavras, quando uma cavidade com pus se formou na raiz do dente e os procedimentos médicos não surtiram efeito);

- Casos de emergência - dentes doentes, que são a fonte de um processo microbiano ativo, que não pode ser tratado e provoca doenças como periostite, osteomielite, abscesso, fleuma, linfadenite, sepse, etc.;
- Dificuldades técnicas associadas a canais curvos ou difíceis de passar, levando à impossibilidade de tratamento conservador, além de perfuração da cavidade dentária ou parede radicular;
- A localização dos dentes, levando a trauma permanente na mucosa da boca ou língua;
- A mobilidade do dente do terceiro grau e sua extensão em conexão com a reabsorção óssea na periodontite ou periodontite;
- Localização na linha de fratura (dentes que interferem na reposição de fragmentos e não são submetidos a tratamento conservador);
- Destruição completa da coroa dentária quando é impossível usar a raiz para fins ortopédicos;

- Dentes ultra-completos que interferem nas próteses ou lesionam os tecidos moles, violam a estética e a mastigação;

- Dentes estendidos com perda de antagonista, bem como aqueles que interferem na criação de uma prótese funcional;
- Em caso de má oclusão, de acordo com as indicações ortodônticas, até os dentes não afetados pela cárie podem ser removidos;
- Alguns tipos de fraturas radiculares devido a lesão mecânica.
Os dentes do siso são uma categoria separada, que alguns dentistas recomendam remover com urgência, enquanto outros médicos sugerem tentar salvá-los, mesmo com um certo risco de complicações.
Nota
Há situações em que o tratamento ortodôntico (por exemplo, em aparelhos ortodônticos) não pode ser iniciado sem a remoção dos dentes do siso, mesmo que eles estejam completamente cortados e não interfiram na mordida.
As mesmas situações ambíguas frequentemente surgem em relação à preservação dos dentes, por exemplo, quando é impossível passar pelos canais radiculares, perfuração da parede ou quebra do instrumento no canal. Em uma clínica, eles podem recomendar a remoção de um dente desse tipo e, formalmente, ele se enquadra nas indicações; em outra odontologia, eles podem oferecer a salvação do dente usando as tecnologias mais recentes (por exemplo, um microscópio mais a remoção de fragmentos do instrumento do canal usando o ultrassom).

Em outras palavras, uma abordagem individual, bom senso e lógica médica, combinada com a experiência e o profissionalismo de um médico, são muito importantes na remoção de dentes. E não é um método simples de um avô cortar o ombro, o que não era uma vida boa nos tempos soviéticos: o dente está muito danificado - debaixo do fórceps, não há terceiro canal - sob o fórceps, um pequeno inchaço apareceu na área da dobra transitória na projeção da raiz do dente - também urgentemente "Rasgue" sem esperar pela periostite.
Atualmente, essas táticas antediluvianas (que, infelizmente, ainda são encontradas em algumas clínicas por pacientes cansados do fluxo de pacientes e com baixos salários dos médicos) são atualmente inaceitáveis e repletas de consequências negativas para os pacientes.
Situações em que a extração dentária pode esperar um pouco ou nada
Apesar da variedade de opções mencionadas acima, envolvendo extração dentária, também existem muitas situações em que é melhor não remover um dente problemático ou adiá-lo.
A situação mais comum está relacionada à odontologia pediátrica, quando os pais de crianças com uma lesão cariosa de um dente de leite (temporário) exigem urgentemente que um dente seja retirado, acompanhado por algo assim: “De qualquer forma, ele cai - por que tratar?”.


Essa lógica é muito direta e não leva em conta o fato de que a substituição dentária normalmente deve ocorrer na idade apropriada: grupos simétricos de dentes gradualmente se tornam móveis e, em muitos casos, caem sozinhos. Se o dente é removido prematuramente (mesmo um ano antes), existe um alto risco de má oclusão e o desenvolvimento de anomalias na erupção de dentes permanentes.
Em outras palavras, com a remoção precoce dos dentes de leite (especialmente múltiplos), os dentes permanentes futuros podem literalmente "se separar" em diferentes direções, ou mesmo não irromper em uma versão única ou em grupo. Nenhum pai são precisa de tal perspectiva, por isso é melhor agora salvar a criança da intervenção cirúrgica, curando a cárie dentária ou suas complicações, do que investir energia e dinheiro na correção da oclusão e da psique da criança.
Nota
Enquanto isso, há situações clínicas em que condições agudas que ameaçam a saúde e a vida do bebê exigem a remoção imediata de um dente temporário. Ou quando o dente não pode mais ser salvo, mesmo com métodos modernos de tratamento.
Quanto à impossibilidade de cooperação entre a criança e o médico na fase dos procedimentos odontológicos: não há apenas tratamento e extração dentária sob anestesia, mas também várias formas de sedação e sedação superficiais, que permitem que o procedimento seja realizado da maneira mais confortável possível e minimizam a possibilidade de a criança ter medo de um avental branco no futuro.

Casos em que uma pessoa deseja retirar um dente inocente são bastante comuns na odontologia adulta, principalmente entre homens e mulheres com idade entre 45 e 50 anos. Isso se deve em grande parte às antigas lembranças dos restos da odontologia soviética, quando o dente foi enviado sob uma pinça em qualquer oportunidade conveniente (mesmo com cárie). Até agora, essas categorias de cidadãos costumam ter uma consulta, especialmente em odontologia (gratuita) com solicitações ou mesmo requisitos para remover um dente em caso de cárie ou pulpite.
Por exemplo, um dente começou a doer devido a dores frias, quentes, doces ou noturnas, de natureza dolorosa, e o paciente já estava negativamente inclinado ao tratamento do dente. Os motivos podem ser diferentes: do “amor para arrancar os dentes” (rápido, barato e sem broca assustadora com o som) até 100% de confiança de que após o tratamento você ainda precisa remover o dente (experiência negativa das últimas décadas, quando os dentes foram tratados por um longo tempo, mas no final eu ainda tinha que solicitar a remoção).
Então, o que é importante ter em mente: a odontologia moderna há muito tempo ultrapassa esses preconceitos. Agora, não apenas com cárie (mesmo profunda) e pulpite, mas com a maioria das periodontites, os dentes são tratados notavelmente e não precisam ser apressados para remover. E mesmo que o dente, ao que parece, tenha se rompido sob a raiz, não é fato que a raiz precise ser removida, pois é bem possível restaurar a funcionalidade e estética do dente usando a aba e a coroa da raiz.
Etapas da extração dentária: como tudo acontece na maioria dos casos
Depois, de acordo com as evidências, decidiu-se remover o dente, inicia-se a fase de preparação do procedimento.
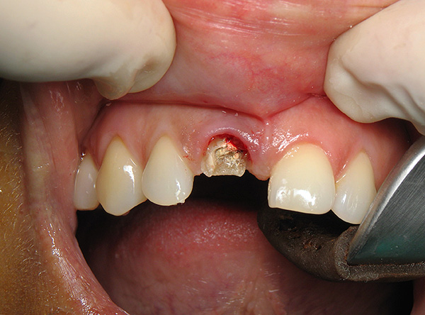
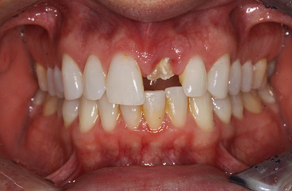
A foto abaixo mostra um exemplo de um dente da frente quebrado a ser removido:

A natureza da preparação depende dos recursos de manipulação futura (com ou sem anestesia, com ou sem sedação), mas as etapas mais básicas incluem:
- Anamnese (principalmente status alérgico);
- A preparação psicológica do paciente (muitos têm medo, por isso é importante que o médico tranquilize o paciente e se configure de maneira positiva);
- Preparação médica do campo cirúrgico (lavagem da cavidade oral com anti-sépticos, tratamento do local da injeção).
Nota
É recomendável que você se inscreva na extração dentária pela manhã, quando você e o médico ainda estiverem com muita força. Se a anestesia ou sedação não for planejada, é melhor comer bem antes do procedimento - haverá mais força e o sangue coagulará melhor.
Se é possível remover o dente com uma pinça, a remoção é chamada simples e é realizada em várias etapas:
- A primeira anestesia é realizada;
- Em seguida, a esfoliação da gengiva é realizada com uma espátula;
- Então o médico coloca uma pinça no dente;
- Pinças avançam sob a gengiva;
- Depois disso, o dente é "afrouxado" - isso é necessário para destruir o aparelho ligamentar que prende o dente no encaixe;

- Como resultado, ocorre uma "luxação" do dente;
- Então o dente é extraído do buraco;
- O estágio final é a chamada hemostasia, ou seja, interromper o sangramento com uma compressa de gaze ou medicamentos hemostáticos especiais;
- Sem falhar, o médico deve dar ao paciente recomendações sobre o comportamento correto no período pós-operatório (incluindo recomendações para o cuidado do poço após a extração do dente).
Em alguns casos, a costura pode ser necessária.

Para remover o dente não foi doloroso, tanto os anestésicos domésticos (por exemplo, lidocaína) quanto os importados (preparações com articaína) podem ser usados. São precisamente os “articulados” que são reconhecidos como os mais eficazes atualmente, mas a técnica correta de anestesia também é muito importante - depende muito do nível de profissionalismo e experiência do médico.
Hoje, na odontologia, existem diferentes opções para o alívio da dor ao remover um dente doente. Durante a anestesia de condução, um grupo de dentes é "congelado". Um bom exemplo pode ser a técnica do toro ou mandibular: quando implementada, o paciente não sente o lábio, a ponta da língua e a bochecha no lado correspondente.
A anestesia de infiltração é feita na projeção da raiz do dente na gengiva: nesse caso, o congelamento ocorre apenas na zona de extração: quase sempre isso é suficiente para todos os dentes superiores e inferiores, do primeiro ao quinto. Para 6, 7 e 8 do dente inferior, a anestesia por infiltração não será suficiente; portanto, é feito um toro. Se essa técnica condutora não for realizada ou for mal realizada, durante a remoção dos molares grandes inferiores, poderá ser muito doloroso.

Dos métodos modernos, a anestesia intraligamentar (intraligamentar) também pode ser observada. É feito com uma seringa especial e tem muitas vantagens (não causa dormência no rosto, ele se instala rapidamente, o suficiente por 20 minutos, o que é suficiente para a maioria das remoções ambulatoriais).
Para remoção complexa, às vezes é usada anestesia. Uma diferença característica entre uma extração complexa de dentes e uma simples, além do tempo gasto, é o uso de uma broca (para serrar um dente em pedaços, cortar um osso), parafusos, ligaduras e algumas outras ferramentas específicas (às vezes um dente é literalmente dividido em pedaços com um cinzel e um martelo).
A fotografia abaixo mostra um exemplo de um dente serrado antes da remoção em três partes usando uma broca:

Nota
Um cirurgião-dentista nem sempre pode determinar com antecedência se a extração dentária será difícil ou simples. Em muitos casos, o médico pode adivinhar aproximadamente qual dente deve esperar dificuldades e qual quase saltará do buraco durante a remoção.
Às vezes, um especialista vê imediatamente um dente potencialmente complexo (resorcinol-formalina, semi-refinado, refinado, com raízes específicas) e avisa o paciente com antecedência que o procedimento será difícil e desconfortável.
Comentários:
“Anteontem, removi o dente inferior da sabedoria. Foi um verdadeiro pesadelo ... Mais de uma hora eles serraram, martelaram, quebraram as raízes, quase quebraram a mandíbula. Eles cortaram o osso e viraram tudo lá completamente. A sensação mais terrível é que, quando o médico tentou romper o dente várias vezes, pensei em deslocar minha mandíbula ou quebrá-la. Todas as quatro raízes do dente grudaram em direções diferentes, por isso foram mal removidas. Agora meu rosto está inchado, a dor é terrível, não consigo engolir normalmente e abrir a boca. O médico disse que não via isso há muito tempo ... "
Natalya, Moscow
A opção de extração dentária sem pinça assustadora: técnica de ultrassom
Para minimizar o trauma tecidual durante a extração dentária, o que significa acelerar e tornar o processo de cicatrização subsequente mais favorável, existe o chamado método atraumático de extração dentária. Essa remoção pode ser classificada como complexa, mas o uso de ferramentas adicionais (brocas, periotomos, etc.) nesse contexto, pelo contrário, simplifica o procedimento, reduz o tempo e o torna minimamente traumático.
Suponha que um paciente tenha um sexto dente superior severamente danificado (no nível das gengivas ou mesmo debaixo das gengivas); no entanto, as raízes não existem independentemente, mas são combinadas em um. Com a ajuda de uma broca, a parte da coroa do dente no meio é cortada suavemente: cada raiz se torna independente. O periodiotome permite removê-los com rapidez e precisão, sem danificar as divisórias, as paredes dos alvéolos e a margem gengival.
As fotos abaixo demonstram os estágios individuais do método atraumático de remoção de três dentes de uma só vez com um corte preliminar:



Nota
Se, neste caso, apenas o fórceps fosse utilizado, as bochechas do fórceps precisariam ser profundas sob a gengiva para "soltar" e "deslocar" as raízes soldadas. Em 50% dos casos, isso ocorrerá, mas com um grau diferente de quebra das paredes de retenção de raiz externa e interna. Após a remoção da raiz, do tecido ósseo irregular ou afiado, novos problemas são criados para o médico e o paciente.
Freqüentemente, com a ajuda de uma pinça, a extração de dentes complexos não pode ser realizada de maneira alguma, e o resultado é apenas uma perda de tempo e uma “mordida” inútil com uma pinça dos alvéolos e das raízes.
A extração de dentes atraumáticos também pode ser acompanhada pelo uso de ultrassom. É precisamente essa técnica que as clínicas modernas atualmente usam ativamente como know-how.O aparelho piezocirúrgico permite o uso de um bisturi ultrassônico para separar sem sangue os ligamentos periodontais que prendem o dente e removê-lo do orifício.
As principais vantagens obtidas pela extração dentária com ultrassom:
- Ausência de sangue;
- Aceleração de trabalho;
- Efeito anti-séptico;
- Falta de superaquecimento;
- Ajuda na remoção de dentes complexos (retinirovanie, semi-retinirovaniya, distopirovaniya, resorcinol-formalina).
Esse tipo de extração atraumática é ideal para implante imediato subsequente quando o implante é inserido imediatamente em um novo orifício.
Características da remoção de dentes potencialmente problemáticos (refinado, semi-refinado e resorcinol-formalina) - vale a pena ter medo?
Para a remoção de dentes retinificados e semi-reforçados (isto é, não cortados ou irrompidos apenas parcialmente e amplamente escondidos no osso da mandíbula), bem como dentes de resorcinol-formalina (ou seja, previamente tratados com pasta de resorcinol-formalina e que se tornaram quebradiços), o médico pode aplicar como anestesia, se houver indicações, e anestesia local.
Na maioria das vezes, esses dentes são removidos sob anestesia local.
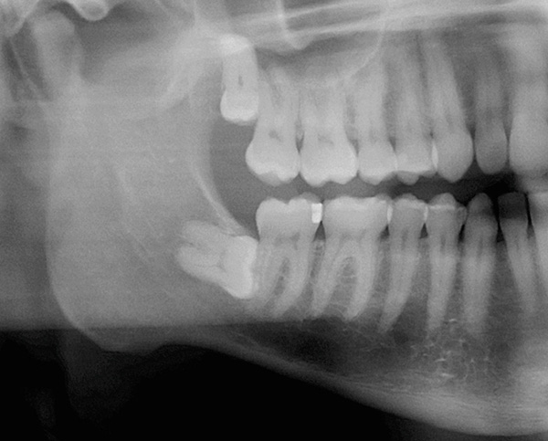
A imagem abaixo mostra um dente do siso retardado:

Da prática do dentista
Alguns dentistas de orçamento (especialmente em pequenas cidades e vilarejos) que trabalham em visitas mistas (terapia e cirurgia) têm medo de remover os dentes dessa categoria. Vendo um dente semi-refinado ou, principalmente, refinado (da figura), eles podem imediatamente se recusar a ser removidos e enviar o paciente à cirurgia maxilofacial para a clínica regional ou centro odontológico mais próximo. A motivação para isso pode ser tanto a relutância em se preocupar com esses dentes (pode levar 1-2 horas de trabalho meticuloso para o procedimento) quanto o medo de que a falta de experiência e ferramentas não permita remover todas as raízes - o que significa que você ainda precisará enviar o paciente atormentado para outro dentista mais qualificado nesta matéria.
Etapas da extração dentária complexa:
- Preparação preliminar (pré-medicação, processamento do campo cirúrgico, etc.)
- Anestesia (geral ou local);
- Criando acesso ao dente extraído;
- Técnica instrumental para melhorar as condições de “luxação” das raízes dos dentes;
- Extração de raízes;
- Hemostasia;
- Preservação do orifício para preparar a implantação (como indicado);
- Sutura (de acordo com a situação);
- Nomeação de recomendações.
Criar ou melhorar o acesso a um dente envolve o uso de elevadores, um periotomo, uma espátula, uma broca com um conjunto de brocas e fresas e (raramente) um cinzel e um martelo. Depois que o acesso ao dente extraído é parcialmente criado (retração gengival, descolamento do retalho), o dente é removido pelo elevador e, se isso não for possível (como os retinados, por exemplo), o osso alvéolo é cortado por moagem na projeção da localização do dente. Ao mesmo tempo, o resfriamento é aplicado à área de preparação, uma vez que o tecido ósseo não deve superaquecer, caso contrário, ocorrerá necrose.
Quando o dente que está sendo removido se torna visível, o cirurgião pode começar imediatamente a usar elevadores para "pegá-lo". Muitas vezes, para facilitar a operação do dente, pode ser serrado (ou picado) em partes.

Nota
Quanto tempo pode demorar uma remoção tão complexa? Dependendo da complexidade do procedimento, da disponibilidade das ferramentas necessárias e da experiência do médico, o procedimento pode levar de 10 minutos a 2 horas.
Após a extração de um dente doente e a remoção de um granuloma ou cisto do soquete (se houver), a sutura é realizada e as recomendações são apontadas. Em algumas situações, o enlatamento é realizado antes do implante subsequente, para que não haja atrofia das paredes ósseas. Para isso, são utilizados substitutos ósseos naturais ou sintéticos (matriz óssea inorgânica).

Após uma difícil extração dentária, o médico deve prescrever tratamento domiciliar para garantir o período pós-operatório máximo confortável e a prevenção de alveolite, que pode incluir medicamentos de várias direções:
- Analgésicos (Ketorol, Ketanov, Nise, etc.) para alívio da dor nos primeiros dias após a cirurgia;
- Antibióticos e sulfa (para eliminar uma infecção bacteriana na região maxilofacial);
- Anti-histamínicos (para reduzir o edema e outras manifestações da reação inflamatória);
- Preparações para enxaguar e tratar a área de remoção (géis, unguentos) de efeitos anti-inflamatórios, cicatrizantes, analgésicos, anti-sépticos e antibacterianos.
Nota
De um modo geral, a lista de recomendações que existe no arsenal de dentistas na Rússia é enorme e cada dentista adere à sua lista de tratamentos pós-operatórios necessários. Alguém atribui a mesma coisa a cada paciente, mas alguém tem uma abordagem individual (a mais correta).
Mas deve-se ter em mente que alguns dentistas podem não dizer nada ao paciente, mesmo como palavras ou conselhos de despedida. Se você tiver um dente removido e nenhuma recomendação foi feita, pergunte a ele ou a outro médico, pois isso ajuda a evitar ansiedade desnecessária e complicações muito desagradáveis.
Como ajudar o seu médico para que a extração dentária possa ser concluída sem problemas
Apesar de a anestesia odontológica ser usada antes da extração dentária, sempre existe o risco de o procedimento não ser tão suave e indolor quanto gostaríamos. Isso geralmente ocorre devido ao fato de o paciente não estar pronto para o procedimento e não se comportar corretamente.

Vamos ver como se preparar para a extração dentária, a fim de, pelo menos, ajudar um bom médico a manipular sem problemas.
Em primeiro lugar, a intervenção cirúrgica em um dente "negligenciado", quando a fase do processo agudo atinge seu clímax (não se pode nem tocar a raiz devido à dor, um "fluxo" surgiu) é tolerado em muitos casos muito pior do que a remoção planejada de um dente "calmo". Além disso, neste contexto, não importa qual dente será removido: o molar (seis, sete, oito) ou algum dente anterior será removido.
Não é difícil imaginar que emoções inesquecíveis um paciente (assim como um médico) pode experimentar quando ele tem que remover um dente doente ou seus remanescentes em um contexto de periostite e outras complicações purulentas, quando a anestesia quase não está funcionando e qualquer toque no dente causa dor infernal. Mas o dente precisa ser afrouxado! Ao mesmo tempo, ainda existe o risco de que a coroa apodrecida se quebre e você terá que "separar" as raízes separadamente ...

É interessante
Muitas vezes, a anestesia é feita na projeção da raiz do dente, quando o pus está em toda parte sob a gengiva nessa área. Ao mesmo tempo, o "paciente" exige do dentista-cirurgião que tudo seja absolutamente indolor: "Tome uma injeção forte, doutor, se não machucasse!" No entanto, fica imediatamente claro que, onde o pus está localizado, eles a priori “não estão satisfeitos” com a nova solução: não há lugar para colocar o exsudato existente.
Um médico ruim, como punição para um paciente que foi ao consultório por muito tempo, simplesmente injeta a porção inteira do anestésico de cada vez, e a sensação do procedimento será semelhante à remoção do dente sem anestesia, quando já houver uma "faísca dos olhos" da dor. Um cirurgião normal, nos estágios 2-4, gradualmente arranca a gengiva com um anestésico, libera mililitros de líquido purulento, a fim de excluir a dor durante a administração do medicamento e tenta obter anestesia estável para a extração dentária indolor.
Portanto, a paciência excessiva do paciente antes de ir ao médico pode causar muitos problemas.Portanto, se se sabe com certeza que um dente gravemente danificado deve ser removido, é melhor se livrar do planejado: marcar uma consulta e, na ausência de contra-indicações, encerrar o problema de uma vez por todas, até que o dente fique doente.
Para extração dentária, uma opção ideal seria reservar de manhã:
- De manhã, o corpo tem muita força e energia, tolera o estresse e as emoções mais facilmente;
- Após a remoção, após algum tempo, a dor e o desconforto aparecem, mas quase à noite a intensidade diminui e você pode dormir em paz;
- De manhã, o dentista-cirurgião pode dedicar mais tempo, a fadiga ainda não se acumulou e a sala cirúrgica (especialmente em clínicas e hospitais) é a mais limpa possível;

- Após a remoção da manhã, no caso de um problema (sangramento prolongado, dor intensa, inchaço, etc.), é muito mais fácil consultar seu médico novamente do que correr à noite e procurar uma instituição odontológica que trabalha 24 horas por dia.
Existem algumas dicas mais práticas que ajudam o paciente a transferir com segurança o procedimento de extração dentária:
- Antes da extração dentária, coma bem (a menos que seja planejada anestesia ou sedação). Uma pessoa bem alimentada lida melhor com o estresse, desmaia com menos frequência e coágulos sanguíneos, o que é importante após o procedimento;
- Não tome álcool por coragem. O risco de inchaço e sangramento prolongado em pessoas bêbadas aumenta, sem mencionar o comportamento inadequado;
- Em caso de grande medo do procedimento ou medo, você pode recorrer a sedativos (Tenoten, tintura de valeriana, erva-mãe, Corvalol etc.) 20 a 60 minutos antes da cirurgia, dependendo da atividade da droga. Nesse caso, a escolha do medicamento deve ser coordenada com o médico assistente ou terapeuta local e ter uma idéia da medida (especialmente no que diz respeito às tinturas de álcool, pois a ingestão delas pode se transformar em intoxicação);
- É bom ter uma atitude positiva. Se você está inicialmente preparado para um resultado bem-sucedido do procedimento, quase sempre a remoção é maravilhosa e o tempo de cicatrização é o mais curto possível. Quanto mais uma pessoa diz a si mesma que nada sai e quanto mais ela acaba, mais ele e o médico ficam perturbados, às vezes simplesmente por causa da ansiedade, cometendo as ações erradas (usando pomadas desnecessárias, enxágües, remédios populares perigosos, etc.) ;
- Ao planejar operações complexas (remoção de um dente refinado difícil, todos os dentes do siso de uma só vez, etc.), é recomendável consultar o seu médico sobre o uso de anti-inflamatórios, analgésicos e até antibióticos antes da intervenção.
Se um dente é declarado inutilizável, em casos de emergência é removido com urgência. Mas há situações em que o paciente se volta para remover o dente conforme planejado - nesses casos, às vezes, faz sentido adiar o procedimento.

Portanto, não é recomendável realizar a extração dentária com:
- ARVI e ARI no período ativo;
- Períodos dolorosos e pesados;
- Doenças cardiovasculares, quando o tratamento é acompanhado pelo uso de certos medicamentos (por exemplo, anticoagulantes - varfarina, Xarelto, etc.);
- Gravidez (por alguns períodos - uma abordagem exclusivamente individual);
- Doenças agudas (apendicite aguda, pancreatite aguda, etc.).
Não é difícil adivinhar que após o desaparecimento de muitas dessas condições, você pode consultar com segurança um médico sobre uma extração planejada de dentes.
O que fazer se você precisar remover urgentemente um dente à noite, nos finais de semana ou feriados?
Muitas vezes, você pode observar um pânico entre os moradores de grandes cidades e megacidades, quando um dente gravemente danificado começa a doer nos fins de semana ou feriados. Ou seja, são necessários cuidados cirúrgicos de emergência e a pessoa é presa em quatro paredes e não sabe para onde ir para a extração dentária e o que fazer em geral.

Enquanto isso, não importa que dia seja (domingo, 8 de março, ano novo ou outro feriado), porque nas cidades há atendimento odontológico de emergência 24 horas por dia, com uma agenda de cirurgiões-dentistas de plantão. Basta entrar em contato com a clínica odontológica regional ou o hospital regional com um departamento de cirurgia maxilofacial.
Mas não apenas nas grandes cidades, há uma "ambulância" na odontologia. Mesmo no centro do distrito à noite, nos fins de semana e feriados, como dizem os pacientes, você pode "rasgar" os dentes após uma chamada preliminar para o posto. Geralmente é assim: você chama uma ambulância ou um posto de paramédico, aprende a possibilidade de extração dentária urgente. O especialista entra em contato com o dentista de plantão e ele chega ao consultório por uma hora para ajudá-lo (se o dentista realizar sua consulta no horário marcado nos feriados, na maioria das vezes ele precisará ser chamado).
Quanto ao setor privado, tudo é muito mais simples aqui. Há odontologia que conduz a recepção o tempo todo. Os médicos dessas clínicas trabalham em 3-4 turnos e estão prontos para remover um dente a qualquer momento, quando necessário.

Nota
O turno da noite é popular não apenas entre as pessoas cuja dor foi pega de surpresa, mas também entre as que trabalham até tarde no trabalho para pais de bebês cujos dentes estão doentes. Além disso, muitas pessoas envolvidas nos negócios têm tempo livre somente depois das 22:00 e algumas até depois das 00:00.
É possível remover os dentes gratuitamente nos hospitais hoje?
Mas e as pessoas que não têm dinheiro para remover os dentes em uma clínica frequente? Além disso, hoje o preço de tais serviços varia, dependendo da região e da complexidade do procedimento, de 500 rublos. até 20 000 esfregar.

Alguém pode até se surpreender com um preço tão alto - arrancar dentes por 20 mil rublos por um dente arrancado? É muito caro ?!
Nota
O fato é que 20 mil rublos também não são o máximo para a extração dentária, pois existem casos clínicos complexos que exigem tempo e materiais aumentados.
Geralmente, é feita uma marcação adicional nas seguintes variedades de remoção (o texto das listas de preços das clínicas é fornecido abaixo):
- “Extração dentária atípica” (ou seja, complexa);
- "Laser" (usando um bisturi a laser);
- "Usando ultra-som";
- "Sem pinças";
- "Em um sonho" (anestesia ou sedação superficial).
A lista continua e continua. Além disso, por exemplo, a remoção atípica nas clínicas geralmente significa não apenas extrações complexas de dentes, mas também a remoção de qualquer dente do siso, mesmo que a remoção seja simples. Isso geralmente é feito para fins comerciais, uma vez que uma espécie de escalada de medo em pacientes com dentes do siso permite definir um preço mais alto na lista de preços para se livrar deles.
Então, ainda é possível remover um dente barato?

Em primeiro lugar, dada a grande concorrência, os dentistas particulares cobram preços diferentes pelo mesmo serviço, e o preço pode ser muito acessível, independentemente do tipo de dente: presa (ou, como os pacientes costumam chamar, um “dente do olho”) , um dente do siso ou qualquer outra mastigação. Acontece que em uma clínica você pode remover um dente do siso por 1000 rublos e em outra - eles oferecerão um preço de 5000 rublos.
Ali e ali, a remoção é paga, e a principal questão que confronta o paciente é se é possível confiar em uma opção mais orçamentária?
De acordo com as recomendações e críticas de parentes, amigos e colegas, quase sempre é possível encontrar um médico profissional que remove bem os dentes. Na qual a parede do armário nem está pendurada com dezenas de certificados e certificados, mas quem conhece bem o seu trabalho e está atento ao paciente. Existem pequenos escritórios particulares onde eles podem remover um dente por 500 rublos sem dor e eficiência, sem trapacear com café, revistas, cadeiras de couro e outros ambientes.

Outra coisa é que você precisa procurar um especialista assim, por recomendação de pessoas confiáveis, e não apenas remover um dente na primeira clínica que você encontrar, onde eles oferecerão o menor custo de serviço.
É possível remover um dente qualitativamente, mas de graça?
Queijo de graça (especialmente em odontologia) só pode estar em uma ratoeira - talvez seja a primeira coisa que possa vir à mente nesse caso. No entanto, anualmente centenas de milhares de cidadãos recebem atendimento cirúrgico gratuito, de acordo com a política habitual do MHI.
O princípio é o seguinte: uma pessoa ligada a esta instituição se aplica a um hospital ou policlínica no local de residência com o objetivo de remover um dente. O cupom de um dentista é perfurado por ele e, nesse cupom, ele remove um ou mais dentes danificados gratuitamente. Se não houver anexo e o cupom não passar pelo computador, você também poderá remover o dente, é claro, mas ele já será pago.

Se o dentista não puder realizar a remoção (por exemplo, é um dente retardado ou com resorcinol-formalina, ou há inchaço difuso, risco de vida, especialização necessária para crianças, etc.), o paciente tem o direito de receber um encaminhamento para obter ajuda gratuita, onde a instituição médica, o diagnóstico direto de acordo com a CID-10 e a necessidade desta ou daquela manipulação serão indicados.
Nota
Há também uma lista de medicamentos gratuitos que um dentista na apólice de seguro médico obrigatório pode fornecer ao paciente na fase de atendimento. Isto é especialmente verdade para anestesia.
Nem todos os hospitais (especialmente em aldeias, assentamentos, pequenas cidades) recebem regularmente e integralmente os materiais necessários. Na maioria das vezes, eles são fornecidos com preparações domésticas para anestesia (lidocaína, por exemplo), embora hoje, de acordo com o seguro médico obrigatório, existam até anestésicos da série articaína na lista, que, no entanto, praticamente não chegam ao destinatário. Para trabalhar da maneira mais confortável possível e poder fornecer anestesia de alta qualidade ao paciente sem arriscar sua saúde, os dentistas são forçados a remover o dente mediante uma taxa, onde uma pessoa paga dinheiro por uma "boa injeção". Obviamente, isso é barato comparado a uma clínica particular e custa cerca de 100 a 400 rublos, dependendo da região.
Mas isso não significa que a extração gratuita de dentes "sob lidocaína" certamente será dolorosa. A remoção gratuita em muitas instituições orçamentárias pode significar um aumento dos riscos, desde o fato de uma injeção anestésica ser acionada e não funcionar como esperado, e terminar com uma fila de longas horas dos mesmos pacientes no corredor com a probabilidade de receber de um cirurgião cansado por qualquer palavra falada desleixada com um tapete de três andares nas orelhas.

Então, aqui, todo mundo escolhe onde se candidatar à extração dentária e quanto ele está disposto a pagar por esse serviço. Em conclusão, podemos apenas observar que, tendo decidido sobre o orçamento, não se deve procurar uma clínica, mas antes um bom médico - essa será a chave para o fato de que a extração dentária com alta probabilidade será quase indolor e sem problemas extras.
Seja saudável!
Um vídeo interessante com um exemplo de extração atraumática de dente com ultra-som
O que fazer após a extração dentária para evitar complicações






Nos tempos soviéticos, eles tratavam e removiam de graça, e ninguém tinha medo de sua saúde. O estado e o povo ficaram insolentes ... E não há dinheiro, para onde ir? Beba água e dobre as mãos ...
Boa tarde Eles removeram meu dente do siso inferior. Foi excluído com muita força, cerca de uma hora. Como o próprio dente se desfez, tive que cortá-lo e removê-lo com uma máquina. Costurou a gengiva. A bochecha e o queixo estavam inchados. Dois dias se passaram, o edema não desaparece e também há uma contusão no queixo. Diga-me, quanto tempo deve passar para o tumor passar e contusões?
Olá Larisa. Após a extração dentária descrita por você, essas complicações são bastante normais. O crescimento do edema pode ocorrer mesmo 3-4 dias após a manipulação. Então tudo entra em declínio. O hematoma também cairá. Por via de regra, dentro de 2 semanas tudo desaparece.