
Anestesia ou anestesia geral, raramente era usada em odontologia antes, porque havia uma forte opinião de que o desconforto, especialmente no tratamento de “com uma injeção” (com anestesia local), poderia ser tolerado. No entanto, a anestesia local usada no tratamento e na extração dos dentes nem sempre atende aos requisitos de anestesia de qualidade para cada pessoa - para algumas pessoas, o anestésico pode simplesmente não ter o efeito desejado.
É então que a extração dentária sob anestesia geral vem em socorro, porque durante esse procedimento muitas vezes traumático, a dor sem tomar as medidas apropriadas pode ser muito forte ... Além disso, em certas situações, há indicações bastante estritas que proíbem o uso da anestesia local em favor de anestesia.
Também é exigida anestesia no tratamento de crianças pequenas que são fisicamente incapazes de se sentar em uma cadeira por um longo tempo e, além disso, podem receber trauma mental devido ao medo excessivo durante o procedimento.

É interessante
A anestesia é uma condição na qual ocorre uma desconexão da consciência e ocorre um tipo de sono com o relaxamento dos músculos esqueléticos e a desconexão de vários reflexos. Durante a anestesia, a sensibilidade à dor desaparece devido à inibição do sistema nervoso central.
Sinônimos da palavra "anestesia" são anestesia geral e anestesia geral. A frase "anestesia geral" criou raízes por engano, embora médicos profissionais não digam isso.
Atualmente, sob anestesia, pode ser realizada extração, tratamento e implantação dentária. Existem até clínicas dentárias especializadas que prestam serviços semelhantes. No entanto, deve-se entender que, dada a natureza complexa da anestesia geral, o preço de qualquer manipulação realizada sob anestesia geral será maior do que quando se utiliza anestesia local.
A seguir, discutiremos detalhadamente a extração dentária sob anestesia geral, examinando os pontos positivos e negativos na escolha dessa opção de anestesia. E também toque nos preços desse procedimento nas modernas clínicas odontológicas.

Portanto, para realizar a extração dentária sob anestesia, o dentista, juntamente com o anestesista, deve primeiro fazer algum trabalho: monitorando a saúde e examinando os resultados dos testes do paciente, eles determinam se existe a possibilidade de anestesia geral e também medem todos os riscos possíveis para a saúde (e a vida! ) pessoa ...
Indicações para extração dentária sob anestesia geral
De um modo geral, o uso de anestesia para o tratamento e remoção de dentes cobre uma porcentagem insignificante de pessoas que procuram ajuda de dentistas. Antes de tudo, isso se deve a indicações estritas de anestesia: um médico competente, mesmo trabalhando em uma clínica com todo o necessário para anestesia, nem sempre assume um evento arriscado apenas por causa do desejo frenético de uma pessoa adormecer por um tempo, não sinta nada.

Listamos as principais indicações para o uso da anestesia na extração dentária:
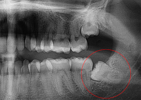
- o grande volume e a invasão da próxima intervenção cirúrgica (por exemplo, através de raios-x, às vezes você pode antecipar a remoção complexa de dentes do siso com antecedência);
- o paciente é alérgico a medicamentos para anestesia local ("injeções de goma");
- reflexo de vômito pronunciado, freqüentemente interferindo gravemente na operação de remoção do dente;
- medo de pânico do paciente antes da intervenção odontológica;
- presença de transtornos mentais no paciente (oligofrenia, complicações de meningite, etc.)
- intervenções em crianças pequenas.
Quanto às crianças: há muitos casos em que os pais simplesmente não conseguem curar os dentes do bebê, pois ele não permite que o médico faça isso, pelo que a doença é negligenciada. Como resultado, a anestesia pode ser uma das opções para uma escolha alternativa de alívio da dor na odontologia pediátrica.

É interessante
Talvez o principal critério para a extração dentária sob anestesia geral seja a presença de um anestesiologista-ressuscitador profissional. É difícil superestimar seu papel, pois nas mãos desse médico está no sentido literal a vida do paciente. Afinal, é o anestesista que seleciona os medicamentos necessários para a anestesia, calcula sua dosagem, monitora a condição da pessoa durante toda a operação e até depois dela. No caso de situações de força maior, quando o paciente interrompe a respiração e a atividade cardíaca, é o anestesista-ressuscitador que o puxa para fora do mundo literal. Felizmente, essas situações incomuns são muito raras.

Os lados negativos da anestesia geral
Para remover um dente de maneira planejada sob anestesia geral, o paciente precisará primeiro ser submetido a um exame para que o médico possa descobrir as doenças concomitantes e transferidas. Isso é, pelo menos, você precisa dedicar algum tempo a isso - e essa é a primeira desvantagem do procedimento.
Além disso, durante esse exame, você pode repentinamente se surpreender desagradável que a anestesia seja, em geral, contra-indicada para você ...

As principais contra-indicações para anestesia são:
- anemia
- doenças agudas de órgãos parenquimatosos;
- formas descompensadas de insuficiência cardiovascular;
- infarto do miocárdio, bem como estado pós-infarto até 6 meses;
- intoxicação aguda por álcool e drogas;
- ataques frequentes de epilepsia;
- uso prolongado de medicamentos hormonais;
- doenças inflamatórias agudas do sistema respiratório;
- pneumonia
- forma descompensada de diabetes;
- forma avançada de tireotoxicose;
- estômago cheio;
- forma grave de asma brônquica;
- doenças das glândulas supra-renais (por exemplo, feocromocitoma, etc.).
Se você ignorar pelo menos uma dessas contra-indicações, há sérios riscos de complicações durante a extração dentária sob anestesia geral. Por isso, antes do procedimento, cada paciente deve passar por uma série de estudos médicos (ECG, exames laboratoriais).

Próximo. Deve-se ter em mente que o tratamento e a remoção dos dentes sob anestesia geralmente são mais difíceis de tolerar do que com outros tipos de anestesia - e a publicidade não informa sobre isso. Os efeitos colaterais mais comuns da anestesia são:
- aumento da pressão arterial;
- aumento da frequência cardíaca;
- cãibras
- cãibras brônquicas;
- espasmo laríngeo;
- dificuldade em respirar
- vômito
- perda de memória temporária;
e alguns outros.
Os pontos negativos não param por aí.
Antes da anestesia, existe um procedimento de preparação pré-operatório (por exemplo, não coma nem beba nada). Certas regras devem ser observadas após a anestesia, o que às vezes complica a vida de uma pessoa e cria alguns problemas.
Como observado acima, a extração dentária sob anestesia está associada à necessidade obrigatória de uma equipe de médicos na clínica: dentistas, anestesistas, ressuscitadores, além de pessoal médico secundário e júnior. Também é importante que a clínica tenha equipamentos médicos especiais, ferramentas e medicamentos para entrar em estado de sono. Tudo isso afeta diretamente o preço do serviço - naturalmente, na direção de seu aumento.

Seguindo em frente. Muitos especialistas acreditam que a anestesia complica muito o trabalho de um médico. Primeiro, itens de equipamento (como um tubo de respiração) podem interferir na capacidade do dentista de manipular livremente a cavidade oral.

Em segundo lugar, o paciente, imerso em sono profundo, não pode seguir as instruções do médico, tornando seu trabalho mais conveniente (pelo menos básico para abrir mais a boca para que haja melhor acesso ao dente problemático). Portanto, o médico é forçado a mudar constantemente a posição do seu corpo para reduzir a carga nos músculos, o que leva à fadiga rápida. Mas todos entendemos que, por exemplo, com uma remoção longa e difícil de um dente do siso, a fadiga do médico não aumentará seu trabalho de qualidade: em algum lugar sua atenção diminuirá, em algum lugar ele poderá escolher uma opção mais rápida e fácil, mas também mais traumática para o procedimento. . Existem muitas oportunidades ...
A prática mostra que a presença das dificuldades listadas na extração dentária sob anestesia geral geralmente não apenas não reduz a ansiedade de uma pessoa antes da próxima dose, mas, pelo contrário, aumenta muito os medos. É por isso que você não deve confiar na anestesia como forma de reduzir o medo de cirurgia dentária. Ele aliviará a dor, mas dificilmente por medo.

O cérebro sofre anestesia e a rapidez com que todas as suas funções são restauradas
Apesar de ser possível remover um dente sob anestesia geral sem dor, no entanto, muitas pessoas que têm muito medo do tormento que se aproxima não têm pressa de recorrer a um método tão radical de alívio da dor. E a razão é a crença popular de que, com anestesia geral, o cérebro humano sofre até certo ponto - a memória piora, aparecem dores de cabeça regulares, o sono piora. Isso é realmente verdade e vale a pena acreditar em críticas semelhantes daquelas pessoas que já experimentaram isso sozinhas?
Graças a ensaios clínicos, estudos, observações e levando em consideração o feedback de um grande número de pacientes, especialistas avaliaram como o tratamento e a extração de dentes sob anestesia geral afetam o cérebro humano. Vários médicos respeitáveis concordam que não existe e não pode haver uma conexão entre anestesia e comprometimento da memória.

No entanto, existe uma opinião diferente desta afirmação, que tem uma justificativa clara.
Para remover os dentes sob anestesia, são utilizadas várias técnicas e medicamentos. Os métodos de administração de fundos e sua duração de ação diferem. A anestesia de curto prazo com uma operação curta e sem complicações com baixa probabilidade afeta a memória (e isso é confirmado pelas estatísticas das revisões), o que não pode ser dito sobre as manipulações longas e complexas realizadas durante a anestesia profunda.
Além de distúrbios cerebrais óbvios durante o período de parada respiratória e atividade cardíaca (isso acontece muito, muito raramente), também pode haver deficiência temporária de oxigênio no cérebro que não é visível para o anestesiologista, o que pode levar a distúrbios no funcionamento das células cerebrais e afetar a memória. Na maioria dos casos, essas violações são reversíveis e de curta duração, mas às vezes são registradas conseqüências negativas bastante pronunciadas, inclusive em relação à memória. O aparecimento de tais casos deixa as pessoas com medo nem da própria anestesia, mas de suas conseqüências imprevisíveis.

Comentários:
“Sofri anestesia pela terceira vez nos últimos 2 anos. Antes disso, eu não percebi nada particularmente estranho, exceto às vezes uma recuperação difícil da força depois de me afastar da anestesia. Após a última operação, de alguma maneira consegui esquecer o nome da minha única filha. Você não pode imaginar quantas lágrimas eu chorei de impotência, mas não conseguia me lembrar de forma alguma. Logo a memória voltou, mas uma forte marca na alma permaneceu. Eu não acho que a anestesia possa trazer tantos problemas. No momento, às vezes percebo lapsos de memória de curto prazo, por isso pretendo me submeter a um exame neurologista na próxima semana. ”
Maria, 56 anos, Sebastopol
Os benefícios da anestesia geral sobre os locais
Apesar dos aspectos negativos, a anestesia durante a extração dentária apresenta algumas vantagens sobre a anestesia local:
- A aparência de qualquer sensibilidade é excluída, pois todo o procedimento ocorre com um desligamento da consciência, portanto é 100% indolor.
- A possibilidade da conduta normal, mesmo de manipulações sérias e traumáticas, em pacientes em pânico com medo do dentista, pois a imersão no sono remove o fator de estresse e o pânico.
- Exclusão de lesões causadas pelo paciente. Por exemplo, mesmo com anestesia local, uma pessoa pode impedir que um médico realize a extração dentária de uma maneira de qualidade, criando interferências que às vezes levam a lesões acidentais nos tecidos (antes de tudo, diz respeito a pessoas com transtornos mentais que são difíceis de convencer a ficarem quietas quando lhes parece que o médico não mata). A anestesia elimina completamente os riscos de tais complicações.
- A capacidade de realizar operações longas e complexas para remover um ou mais dentes, especialmente nos casos em que os dentes têm uma estrutura complexa e uma posição incorreta na mandíbula. Isto é especialmente verdade. ao remover os dentes inferiores da sabedoria, uma vez que a estrutura e a localização desses dentes na mandíbula são absolutamente imprevisíveis.

- A prestação de cuidados cirúrgicos às crianças. Como para a remoção prematura de leite ou dentes permanentes em uma criança, é necessária anestesia, a anestesia geral pode ser útil aqui. Sem isso, a criança interfere no trabalho do médico e, além disso, pode facilmente sofrer traumas psicológicos pelo resto da vida e um medo persistente de usar um jaleco branco. Até a própria anestesia local muitas vezes leva as crianças ao choque quando uma agulha “terrível” entra na gengiva; portanto, a opção da anestesia antes da extração dentária é frequentemente a única maneira de fornecer qualidade e ajuda indolor ao bebê.
Comentários:
“Ontem, o dente do siso inferior foi removido sob anestesia geral. A operação durou aproximadamente 40 minutos, como fui informado. Os médicos disseram que na foto meu dente estava enraizado no próximo, então eu tive que cortá-lo por um longo tempo e retirá-lo em pedaços. Eu certamente não teria sobrevivido a esse espetáculo em minha mente, e eles me fizeram dormir bem, então não ouvi ou vi nada. O único ponto negativo é o desagradável catador de anestesia, e havia uma boca seca e terrível, pois após uma ressaca severa, minha cabeça estava zumbindo por algumas horas, mas está tudo para trás. Estou satisfeito que tudo correu bem. "
Igor, Pskov

O custo da extração dentária sob anestesia
A anestesia é um prazer deliberadamente caro, exceto, talvez, em casos de emergência, quando os médicos são obrigados a salvar urgentemente a vida de uma pessoa, por exemplo, removendo dentes que interferem na mandíbula após um ferimento grave sob anestesia geral, de acordo com as indicações. Em outras situações, o desejo de um cliente de adormecer e acordar com um sorriso de Hollywood não é suficiente.
Dentistas que negociam com consciência e, para enriquecimento, concordam, contrariamente às contra-indicações, em remover os dentes sob anestesia por um preço agradável em todos os sentidos, mais cedo ou mais tarde pagam por seus erros no banco dos réus.

Devido à complexidade do equipamento para anestesia, ao nível de treinamento para anestesia geral e ao grau de possíveis riscos, o custo da extração dentária sob anestesia geral é significativamente superior ao preço de uma extração convencional sob anestesia local ou, como dizem as pessoas, uma “injeção”.
Comentários
“Além de remover o dente, dei outros 6.000 - são duas horas de anestesia geral ou mínima, mas isso pode ser feito em uma hora: esse fato não afeta o preço. Quando acordei após a anestesia, era como se eu tivesse visitado um resort. Eu sempre escolho anestesia cara apenas por causa do medo da dor. ”
Julia, Moscou
Vídeo interessante: é seguro usar anestesia em odontologia
Um bom exemplo de eutanásia de uma criança antes do tratamento odontológico


E se você remover 14 dentes, quanto vai custar?
Boa tarde A remoção de 14 dentes é um grande estresse para o corpo. Sem fortes evidências, essa quantidade não é removida (por exemplo, uma indicação para tal operação pode ser o implante basal simultâneo com periodontite avançada, quando os dentes estão móveis e à beira da perda).
Quanto ao custo da remoção real - por exemplo, em nossa clínica, a remoção de 1 dente custa 1.500 rublos. Mas, como já observei, para começar, é importante entender se é realmente necessário na sua situação remover 14 dentes de uma só vez.
Olá, você pode remover 11 raízes de uma só vez?
Olá Alena. Sim, é possível a remoção simultânea de um número tão grande de dentes - se não houver contra-indicações por motivos de saúde. Geralmente, um curso de antibióticos é prescrito.
Olá Preciso remover 6-7 dentes sob anestesia geral. Quanto vai custar?
Olá Christine. O custo da extração dentária depende da categoria e da lista de preços da odontologia que você deseja entrar em contato. O custo da anestesia também é calculado separadamente. Por exemplo, não usamos anestesia em nossa clínica, porque é prejudicial o suficiente para o corpo (usamos sedação intravenosa sob a supervisão de um anestesista-ressuscitador). Se você decidir entrar em contato com nossa clínica, poderemos calcular o custo total para uma consulta gratuita).