
Medo ou preocupações antes de uma operação de extração dentária são normais se eles não entrarem em pânico e não provocarem uma pessoa em inércia prolongada e perigosa. Quando um paciente no consultório de um dentista-cirurgião finalmente se livra de um dente estragado - naquele momento pode parecer que todos os medos e problemas já estão atrasados ... No entanto, na prática, esse nem sempre é o caso, e você precisa estar preparado para isso.
Após a extração do dente, muitas pessoas começam a se preocupar com outra pergunta - por quanto tempo o buraco e a gengiva lesionada curam? Isso se deve ao fato de que, algumas vezes após o procedimento, as gengivas começam a ser muito perturbadoras, geralmente o sangramento do orifício e a dor se estendem por vários dias.

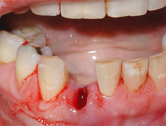
Uma ferida na boca no local do dente extraído cria muitos inconvenientes:
- Às vezes, o buraco sangra por muito tempo e uma pessoa em tal situação não entende como parar o sangramento em andamento;
- comida habitual se esforça para entrar no buraco, ferindo-o adicionalmente;
- às vezes a ferida começa a apodrecer, um cheiro putrefativo aparece dela.
Para entender por quanto tempo as gengivas cicatrizam após a extração do dente, é útil primeiro lidar com os processos que ocorrem no dente após a cirurgia, como é "arrastado", quais fatores contribuem para isso e que interferem seriamente, criando riscos de reinfecção tecidos circundantes da ferida com o desenvolvimento de complicações - alveolite (inflamação do orifício).

Imediatamente após a extração do dente e o preenchimento do buraco com um coágulo sanguíneo, os mecanismos de sua cura começam a prever com precisão por quanto tempo as gengivas cicatrizam é bastante problemático, uma vez que esse processo é amplamente individual por natureza e é influenciado por vários fatores. No entanto, com as informações necessárias, você pode não apenas acelerar a restauração das gengivas e ossos no orifício do dente extraído, mas também tornar a fase de cicatrização relativamente confortável e rápida.
Vamos falar sobre tudo isso em mais detalhes.
Por que o orifício (gengiva) às vezes cicatriza por um longo tempo e do que depende
Depois que o cirurgião dentário extrai o dente do buraco, começa o processo de cicatrização da ferida pela chamada intenção secundária. Isso significa que o ligamento circular ao redor do dente se contrai e as bordas das gengivas se juntam. A formação de um coágulo sanguíneo no poço tem um efeito muito benéfico no processo de cicatrização de uma ferida após a extração do dente - esse coágulo desempenha um papel importante como um tipo de proteção contra possíveis infecções. Consequentemente, em nenhum caso você deve remover esse coágulo, por exemplo, lavando intensamente a boca ou, principalmente, mecanicamente - com um dedo ou um palito de dente.

O coágulo sanguíneo é substituído por tecido de granulação por vários dias e, em seguida, é formado tecido osteóide. Em outras palavras, com o tempo, um novo osso com uma gengiva formada acima dele se forma no lugar do dente extraído.
Com a extração traumática do dente, quando a gengiva se rompe e uma parte significativa das paredes do buraco é danificada, o processo de cicatrização pode demorar muito tempo e o tempo necessário para restaurar o tecido dependerá de vários fatores.
O primeiro desses fatores é o estado da ferida imediatamente após o procedimento: quanto mais erros foram cometidos pelo médico, a gengiva é sempre pior.
Comentários
Duas semanas atrás, ele removeu as raízes do último dente inferior direito, parece sete. No início, a remoção foi boa: duas injeções foram feitas na gengiva: por dentro e por fora, então o cirurgião começou a agarrar meu dente estragado com uma pinça, mas ela se rompeu e seus pedaços voaram para a minha língua.
Depois de cuspir, começou um tipo de bobagem: o médico pegou um cinzel e um martelo e começou a martelar junto com minha enfermeira no dente, como eu entendi - para dividir as raízes pela metade.Não foi doloroso, mas terrivelmente terrível, foram ouvidos golpes na minha cabeça e a vibração criou sensações desagradáveis. Assim que as raízes quebraram, o cirurgião começou a extraí-las com algumas hastes de metal afiadas. Não foi doloroso, mas muito sangue fluiu, pois as gengivas foram colhidas por 30 minutos.
Depois de tomar duas raízes, o médico colocou um pedaço de gaze na minha boca, deixe-me segurá-lo por 20 minutos e o mandei para casa. Quando cheguei em casa, vi no espelho, no lugar do meu antigo dente, uma gengiva pendente tanto por dentro quanto por fora, e minha língua tocou a borda do osso, não coberta por nada. Depois de uma hora, as gengivas ficaram muito doentes e começaram a sangrar.
A laceração continuou a doer por mais de três dias e, mesmo depois de terminada, a borda afiada do osso ainda interferia fortemente na minha mastigação. Como resultado, o orifício no local do dente extraído foi adiado por um mês e meio; portanto, tivemos que lavar constantemente os restos de comida dele. Mais para um médico, eu não pé.
Ivan, Armavir

O segundo fator que determina o tempo de cicatrização da ferida é a possível adesão da infecção.
A infecção do poço geralmente ocorre durante a remoção complexa, quando resíduos cariados do dente doente são jogados profundamente na ferida, o que causa sua supuração. Na maioria dos casos, após a extração desse dente, as gengivas e a cavidade cicatrizam por um período muito longo.

No entanto, é importante observar o fato de que o processo purulento no orifício também pode ocorrer como resultado de um tratamento inadequado da ferida pelo próprio paciente: nesse caso, a infecção não entra durante o procedimento de remoção, mas após o mesmo. Quando o alimento constantemente entra no buraco e se acumula por um longo tempo junto com as bactérias da cavidade oral, pode ocorrer supuração da ferida e sua cicatrização é significativamente atrasada.
Infecções secundárias ou O que interfere na cura?
Acredita-se que a cavidade oral seja o local mais "sujo" do corpo humano: aqui, além dos micróbios realmente patogênicos, há também um grande número de microorganismos denominados condicionalmente patogênicos. A palavra "condicionalmente" significa que esses micróbios começam a prejudicar somente sob certas condições.
Quando uma ferida profunda aparece na boca após a extração do dente, que também é um tipo de reservatório para o “desperdício” de alimentos, os micróbios que anteriormente não poderiam prejudicar uma pessoa tornam-se condicionalmente patogênicos por causar patógenos, causando um processo inflamatório com fenômenos purulentos. Quanto tempo as gengivas cicatrizam após a extração dentária, neste caso, é em grande parte determinada pelo nível de higiene bucal e pelo tratamento adequado das feridas.

É importante entender que uma ferida recente na boca é geralmente vulnerável a qualquer infecção externa: por exemplo, uma infecção secundária pode se dar bem com as mãos sujas durante as refeições, com uma escova de dentes velha e em muitas outras circunstâncias. A recuperação dos tecidos infectados do poço após a extração do dente é mais lenta: quase sempre nesses casos, o tempo de cicatrização das gengivas se estende por meses até que a ferida se limpe das formações necróticas e o crescimento do tecido de granulação comece com a formação de um osso jovem normal.
Qual é a norma na velocidade da cura e quais desvios podem ser
A convergência completa das bordas da ferida com uma extração dentária realizada qualitativamente ocorre normalmente em 2-2,5 semanas. Simultaneamente à epitelização, ocorrem a formação de feixes ósseos e o desenvolvimento de ossos jovens.

Com um dente traumaticamente rasgado (quando os tecidos circundantes são esmagados e rasgados), a cicatrização das gengivas se estende por um longo tempo, porque após a remoção ocorre uma laceração, cujas bordas estão frequentemente muito afastadas e as seções dos alvéolos (osso) e da lacuna do septo inter-radicular, não cobertas pela margem gengival. Quando a inflamação do tecido ocorre dentro e ao redor do poço, as bordas da ferida não se juntam por muito tempo e a epitelização não termina após 2 semanas, mas pode levar de 30 a 50 dias.
Somente após 4-5 meses, a formação de tecido ósseo jovem é concluída e a versão final da "cobertura" gengival é formada sobre o orifício.

O que pode ser perigoso cicatrização prolongada das gengivas após a extração dentária
Como resultado da ligação da infecção à ferida, pode ocorrer alveolite - inflamação do orifício após a extração do dente, que geralmente se desenvolve 1-3 dias após o procedimento. Nesse caso, a dor aguda ocorre na área do dente extraído, a cicatrização normal do orifício é perturbada (uma respiração putrefativa desagradável também é frequentemente observada).
O resultado de um processo inflamatório purulento é a longa cicatrização das gengivas, que, além disso, determina o risco de desenvolver uma complicação grave - osteomielite limitada da mandíbula.
De particular perigo é a longa cicatrização das gengivas no contexto da infecção após extração do dente do siso inferior. Como os dentes inferiores da sabedoria são cercados por tecidos moles com suprimento sanguíneo abundante, as bactérias que entram na ferida após a remoção simples ou, principalmente, complexa podem levar a sérias conseqüências, até espalhar a infecção profundamente nos tecidos. A infecção da mandíbula e das áreas periomandibulares em um contexto de imunidade reduzida pode levar a abscessos com risco de vida e fleuma.


A expressão extrema dessas complicações é a sepse - infecção do sangue com flora microbiana patogênica, que pode levar à morte.
Doenças durante e após a remoção
Para a cura normal das gengivas no futuro, um papel importante é desempenhado por doenças que uma pessoa pode ter no momento da extração dentária. Por exemplo, com o uso prolongado de anticoagulantes, diabetes mellitus, doenças do sangue, que são acompanhadas por uma coagulação deficiente, o sangramento do poço pode ocorrer por um longo período após o procedimento. Às vezes, o sangue pode não parar por mais de um dia.

Para a cicatrização normal das gengivas, é necessário interromper o sangue o mais cedo possível para formar seu coágulo, que desempenha um papel protetor importante para uma ferida nova. Depois que um dente é arrancado, é a presença de um coágulo no buraco que estimula mais efetivamente a restauração de tecidos danificados.
Da prática do dentista
Há alguns anos, o paciente I., 62 anos, me procurou sobre a remoção do incisivo central inferior, que apresentava alta mobilidade. Após uma simples remoção em 1-2 minutos, realizei uma parada clássica de sangramento pressionando um cotonete de gaze no buraco, fiz recomendações.
No dia seguinte, o paciente voltou-se para mim, já com o sangramento ininterrupto do buraco. Aconteceu que ele me ocultou o fato de estar tomando anticoagulantes de ação indireta, ou seja, drogas que "diluem" o sangue, de modo que interromper o sangramento em casa não trouxe nenhum resultado.
Após preencher o buraco com agentes hemostáticos e cancelar temporariamente esses medicamentos com um cardiologista, o problema foi resolvido.
Cirurgião Dentista Ivan Sergeevich, Anapa
Como acelerar o processo de cicatrização das gengivas após a extração dentária
Para entender como acelerar efetivamente a cicatrização das gengivas após a extração dentária, deve-se lembrar as condições para a cicatrização normal do tecido vivo em geral.

A opção mais favorável para a cicatrização de feridas é criar as condições mais estéreis. Naturalmente, o conceito de “estéril” é apenas muito condicional aqui, uma vez que a destruição de todas as bactérias (benéficas e prejudiciais) pode levar a consequências negativas, por exemplo, à disbiose na cavidade oral, o que afeta a saúde humana em geral. Para não causar danos à saúde, mas para proporcionar à cavidade uma cicatrização confortável e não demorada após a extração do dente, métodos gerais e locais podem ser usados para prevenir infecções secundárias.
Existem certas regras, cuja implementação permitirá que a gengiva comece a se recuperar com sucesso nas próximas horas após o procedimento de extração do dente:
- Segure firmemente um cotonete de gaze colocado por um médico no orifício após a remoção com os dentes. A pressão nas bordas da ferida, e não o tempo, é importante, embora o período médio de retenção seja regulado e seja de 15 a 20 minutos.
- Você não pode comer por 3 horas, e é aconselhável não beber, para não atrapalhar a formação de um coágulo de sangue no buraco.
- Não fume e tome bebidas alcoólicas, alimentos condimentados, quentes e sólidos nos primeiros dias após a remoção. O cumprimento desta regra simples protegerá o "tampão de sangue" de lesões e o buraco - de sangramentos repetidos e inflamação purulenta.

- Você não pode se envolver em trabalho físico pesado, esportes, ir ao banheiro, sauna, tomar sol e superaquecer por vários dias (pelas mesmas razões).
- Se possível, em dois dias você não deve mastigar ou dormir no lado da mandíbula onde o dente foi removido.
Para acelerar o processo de cicatrização das gengivas após a extração do dente, você pode usar métodos locais de tratamento do orifício. As mais populares entre as opções utilizadas são as lavagens, embora vários médicos avisem sobre possíveis danos a um coágulo sanguíneo. O fato é que alguns pacientes, por engano, começam a enxaguar com qualquer coisa: refrigerante, sal, vodka, vinagre, água oxigenada, etc. Quem é muito mais que isso.

Às vezes, esses métodos não são prejudiciais apenas por uma coincidência de sorte, mas ocorrem mais frequentemente irritação da ferida e destruição do coágulo sanguíneo, o que não apenas não acelera o processo de cicatrização das gengivas, mas também o aumenta significativamente, trazendo dor e sofrimento adicionais ao seguidor de tais métodos populares. Acontece também que essa zombaria da própria saúde leva uma pessoa diretamente à mesa de operações.
De um modo geral, mesmo lavando com infusões, decocções de ervas e soluções farmacêuticas, aprovadas pela maioria dos dentistas, causa muita controvérsia sobre o início do enxágue, a frequência e a duração do mesmo. Os cirurgiões-dentistas têm sua própria opinião sobre isso, porque se você lavar a partir do primeiro dia de extração dentária (principalmente após comer), isso evitará o acúmulo de restos de comida na ferida e na sua cárie, mas poderá levar à separação de um coágulo sanguíneo durante um período intensivo. borbulhante ”na boca de uma decocção da mesma camomila ou sálvia.

Com base na posição do senso comum, você pode usar decocções de ervas (camomila, sálvia), produtos farmacêuticos (uma solução fraca de furatsilina e clorexidina), após consultar um médico, e usar somente após comer, com muito cuidado e sem fanatismo, especialmente nos dois primeiros dias após a extração do dente, para que a cicatrização do orifício seja confortável.

Opinião do dentista
Minha posição em relação a casa enxaguamento com soluções após extração dentária para acelerar a cicatrização das gengivas, é simples e compreensível para todos, pois possui uma justificativa lógica e científica. No primeiro dia após a remoção, não lave, mas restrinja-se a banhos orais. Ou seja, não é recomendável enxaguar a boca, mas mantenha um anti-séptico na boca e cuspa-o e repita por 2-3 minutos, pelo menos 6-8 vezes por dia.
Na minha prática, não prescrevo furatsilin, pois, em primeiro lugar, ele ainda deve poder ser diluído na concentração desejada para não causar irritação na cavidade oral e, em segundo lugar, seca fortemente a mucosa.
Decocções de camomila e sálvia são ótimas para banhos orais no primeiro dia de extração dentária e, posteriormente, para enxágüe após cada refeição. No entanto, essa é uma excelente opção de orçamento, e os meios modernos para a prevenção da supuração do buraco são medicamentos antibacterianos, pomadas e géis para aplicação tópica.
Cirurgião Dentista, Oleg, Moscow
Para uso tópico, a fim de acelerar a cicatrização das gengivas após a extração do dente, o dentista-cirurgião pode prescrever a pasta adesiva dental Solcoseryl, o gel Metrogil Denta ou outros medicamentos.

Com a extração complicada de um dente do siso, com a extração de dente devido a sérios processos odontogênicos purulentos nos tecidos circundantes e no osso da mandíbula, bem como em pacientes debilitados, antibioticoterapia adicional é prescrita, geralmente com preparações com antibióticos, pois podem reduzir a carga microbiana dentro e ao redor da ferida Como resultado, a gengiva não cura por tanto tempo.
Vídeo útil sobre alveolite - uma complicação séria que às vezes ocorre após a extração do dente
Um exemplo de como um dente quebra durante um procedimento de extração


Por que essas fotos terríveis foram adicionadas ao artigo, horror ...
É bom que a foto tenha sido adicionada.
E o artigo? Não se trata de polinização de estames e pistilos.
Eu concordo com você, já é difícil se concentrar na leitura do artigo e agora tornou-se assustador excluir.
Um artigo e fotos muito úteis são relevantes. Eu também adicionaria uma foto com a cicatrização do buraco durante o dia, depois de remover diferentes dentes.
Ola doutor Um dente inferior foi removido há uma semana, mas a ferida ganha vida e constantemente sente dor. Fui ao médico uma segunda vez, ele disse que estava tudo em ordem e você só precisa enxaguar com sal. A dor persiste, parei de tomar analgésicos quando comecei a me sentir cansado. Por favor, diga-me, posso usar uma pomada para uma cura rápida sem a recomendação de um médico? Agora estou na Itália e não tenho ninguém para consultar. Obrigada
Enxágüe com sal? Muito esperto! Bom doutor! O sal irritará a ferida e as mucosas. E enxaguar não é necessário. Precisa de um "banho".
Olá Ontem eles removeram meu dente às 10:30 da manhã, e tirei o algodão gaze às 11.00. Às 14:00 ela comeu (apenas sopa de beterraba e compota), depois apenas pares, e eu mastigo do outro lado da mandíbula. O local de extração do dente ainda dói. Fui recomendado para enxaguar com sal, mas tenho medo. O que deve ser lavado para não irritar a ferida? Quando a mandíbula vai parar de doer? Logo estarei no hospital, depois de 1-2 semanas. Eu tenho medo ((
Olá Vários dentistas não recomendam enxaguar a boca após a remoção. Isso vale especialmente para as soluções de sal com soda, que são perigosas para a lixiviação de um coágulo de sangue. Na maioria das vezes, se o dentista fez tudo certo, o buraco se cura: sem nenhuma intervenção externa. Como último recurso, você pode usar banhos orais inofensivos com um anti-séptico natural (camomila ou caldo de sálvia) com uma frequência de processamento da cavidade oral até 7-8 vezes por dia. Definitivamente, isso não causará irritação.
Quanto mais tempo se passa após a remoção, menor a probabilidade de você danificar um coágulo sanguíneo e, assim, danificar o buraco, causando sua inflamação. Uma reação à dor é uma característica individual que reflete o processo inflamatório local na área da ferida. Quanto mais eficaz e sem a adição de uma infecção purulenta a ferida cicatrizar, mais cedo você se sentirá confortável.
Em nenhum caso você deve enxaguar com sal, pois o sal retém a umidade, não permite que a ferida se cure e irrita. Lave o refrigerante em água morna a cada 3-4 horas.
Após a extração do dente, o médico aconselhou-me a adicionar sal, refrigerante e iodo a um copo de água, apenas para não engolir.
Fui arrancado 2 dentes de cada vez, comecei a enxaguar com refrigerante e sal - ficou pior. Sofri por 6 dias. Em nenhum caso você deve enxaguar após a extração dentária, é melhor beber nimesil - e a dor de dente passará.
As fotos são supérfluas, com certeza)) Certamente quem acabou de remover os dentes não deve olhar, e o artigo é dirigido a essas pessoas.
O que somos gentis
As fotos são necessárias e, se alguém não suportar sua aparência, não fale sobre isso.
Nada mais. As imagens são comuns. O local da remoção também se parece com você. O que é tão terrível? Bem, e mariquinhas!
Se você não gosta de fotos, por que você lê? Se você não quer saber de nada!
Quanto a mim, essas fotos devem estar nos locais apropriados para elas. Talvez as pessoas pensem e tratem os dentes na hora certa, e não adiem até que apenas a remoção tome o poder.
Concordo totalmente e completamente!
Ontem eles removeram um dente - leia, rebobinando a foto ... Minha cabeça está girando e enjoada de olhar terrivelmente para eles.
Tudo bem! Eu não sou de uma dúzia tímida, mas náusea rolou instantaneamente ... O dente foi removido seis dias atrás, o artigo, como eu o entendi, era apenas para pessoas como eu. Horror, fotos extras.
Eu tive um dente removido ontem e, pelo contrário, gostaria de ver essas fotos, porque me pergunto como tudo fica. As fotos são claramente necessárias no artigo.
As fotos são desagradáveis, sim. Ontem, o dente do siso inferior foi removido, aparentemente com uma folga gengival. O buraco no interior é preto e o cheiro é de alguma forma quimicamente metálico. Antibióticos e vitaminas prescritos e lavagem com uma solução de furatsilina. Eu li o artigo, e agora em confusão.
Dois dias atrás, ela removeu um dente do siso, tinha visto o suficiente dessas fotos aqui e agora ela começou a considerar a cicatrização do dente. Hoje fui alertado pelo mau hálito, não sinto dor, mas agora algum tipo de placa apareceu no local do dente extraído. Li na internet que, ao que parece, uma placa assim deveria aparecer, mas aqui está o cheiro ... tenho medo de que a alveolite não comece e não posso voltar ao dentista, pois deixei temporariamente a cidade onde removi o dente. Já se passaram três dias desde que o dente foi removido, acho que agora você pode enxaguar o buraco do dente rasgado com solução de refrigerante ou camomila. diga-me o que fazer para se livrar desse cheiro?
Consulte um médico, de qualquer maneira, você terá controle em cinco dias.
Galina, eu também estava incomodada por um cheiro desagradável, e também houve uma invasão no buraco. Top oito. Após 5 dias, o cheiro foi quase completamente. Hoje, duas semanas desde que tirei o dente. O buraco ainda é claramente visível, e também há um revestimento. Mas nada dói e não incomoda. O cheiro era loucamente revoltante, simplesmente horrível. Eu só queria escrever que também tinha isso, porque tudo o que estava na internet sobre o cheiro - eles escrevem imediatamente sobre inflamação, infecção. Embora em essência: eu estava com muito medo de escovar os dentes após a remoção)) Uma pequena preocupação é o crescimento lento do buraco, porque o crescimento menor é mais rápido, como me parece. Mas como nada dói, ainda não vou ao médico. Lavado com furatsilinom comum. Não sei se está certo ou não, mas ajudou durante a primeira remoção) Boa sorte!
Olá, pensei, de repente um comentário seria útil)) Infelizmente, retirei o dente do siso ... Não o tratei com sabedoria, foi ruim, dando o sinal para monitorar cuidadosamente os outros.Em suma, o médico disse no primeiro dia para não enxaguar categoricamente, tente não beber muito, não coma por 3 horas e, durante 3 dias, prescrevi um medicamento para 2 comprimidos por dia, é contra dor e vírus. Também lave com clorexidina 5 vezes ao dia ... E os comprimidos também são antivirais. E tudo, para ser honesto, eu estava seguro, porque pela primeira vez, o dente foi removido pelo molar e, em vez de enxaguar, simplesmente manteve a gengiva, teve medo de que o coágulo de sangue não se desconectasse do orifício, pois tudo cura bem. Agora o resto da comida nas gengivas está incomodando. Não quero escalar com um palito de dente, mas nem tudo sai com uma lavagem. Espera-se que a natureza tenha previsto isso, e os restos de comida de alguma forma se esforçam.
Diga-me, a ferida cicatriza? Sobras de comida empurradas?
Há 10 dias, removi dois dentes inferiores (um deles é a sabedoria). Dias sete anestesiados com cetorol. Fui ao médico, ela não gostou do cheiro em um dos buracos, ela lavou o buraco e colocou um antibiótico lá. Foi proibido enxaguar estritamente a partir do dia da remoção.
Fotos são o que você precisa. Eu sou direto (no bom sentido da palavra). Há 3 dias, o dente foi removido, o coágulo estava coberto com esse lixo branco (fibrina), fede muito e eu quero remover tudo do buraco e enxaguar ... Mas eu sei, você não pode. Olho as fotos e fico feliz como tudo está limpo no buraco, sinto cheiro de lata de lixo e escovar os dentes não ajuda, o cheiro vem daí e as sensações são desagradáveis, como se ontem eu estivesse bebendo vodka, cerveja, vinho, champanhe e conhaque. Em geral, em russo, "os gatos na minha boca bombeiam" - mais precisamente, não consigo descrever meu sentimento nessa situação. Mal posso esperar até o final da segunda semana, quando já será possível descascar tudo com calma e limpá-lo normalmente com uma escova de dentes.
P.S. Não há dor, mesmo no primeiro dia não houve dor, mas o fedor simplesmente desarma ...
Aqui, eu estou divertido - obrigado, ri animadamente. O primeiro dente foi removido, sete do fundo com pulpite, desintegrado. Hoje é o quinto dia, e você pode rir, mas uivou. Eu não "cheirava", tomo banho com sálvia, camomila, furatsilina. Na bochecha, no entanto, algo estava andando e, depois de pegar um resfriado, tomava antibióticos há cinco dias. Boa sorte Escreva muito mais divertido!
Bom comentário! O primeiro que não rejeitou as fotos.
As imagens estão corretas, mas precisamos saber como tudo acontece 🙂
Ainda faria o upload de fotos, como cura por dia após a remoção, seria bom.
Três dias atrás, um dente foi removido do canto inferior direito, é chamado 46, restos de fragmentos. Eu fui ao oficial de serviço, ele os tirou para mim e colocou alguns analgésicos, algumas ervas lá, ou algo assim, eu nem me lembro do nome. Agora dói um pouco, mas algo mais me incomoda: tenho verde lá no lado mais próximo da língua e um pouco no topo da gengiva onde o dente foi removido. Talvez alguém tenha encontrado o que poderia ser? Embora eu tenha medo de ir ao médico, eles o removeram muito dolorosamente e por um longo tempo, e não importa como ele puxe para lá.
Pessoal, este artigo descreve esses cenários possíveis após a remoção que até a pessoa mais ousada fica assustada! Siga as recomendações do médico e não tente usar vários tipos de medicamentos e ervas para tratar e enxaguar a boca, se o cirurgião não lhe receitou após a remoção! Você só pode piorar.
Há uma semana, o dente do siso foi removido no canto inferior direito e 4-ku, também no canto inferior direito. O dente do siso foi difícil de remover porque não entrou em erupção por nenhum meio. Assim, após a remoção, o médico receitou antibióticos, anestésico e pílulas para que a gengiva não incha - isso ocorre dentro de 5 dias. E ainda por 4 banhos de refrigerante. Tudo cura maravilhosamente! Portanto, ouça um médico e não leia artigos assustadores na Internet)) A Internet é um grande lixo. Todos os dentes saudáveis))
Comentário no vídeo: ele não o excluiu, mas quebrou e deixou as raízes dentro. Pobre mulher!
Sim, geralmente estanho, hoje fui remover o dente. Difícil em geral, um nervosismo.
Há uma semana, os oito inferiores foram removidos, três injeções foram feitas, o dente foi afrouxado por uma hora e a gengiva foi cortada. Por dois dias, bebi um nise de dor, no segundo dia minha mandíbula estava inchada. No terceiro dia, quase não doeu, o tumor não aumentou, mas o sangue constantemente fluía da sutura. Bebi dois pratos de comprimidos de Decinon de sangrar, fiquei com uma overdose, uma transpiração amarga apareceu no meu rosto, que beliscou fortemente meus olhos. E havia muita saliva, uma boca cheia foi digitada em 5 minutos. Eu dormi por três horas por noite. Bebi um litro de cerveja, o que é proibido.
No terceiro dia, depois de ler as dicas na Internet, preparou sálvia com camomila e começou a tomar banho. Os fios foram reabsorvidos, o coágulo de sangue foi lavado e a sutura da gengiva se desfez pela metade. O médico por um longo tempo clicou na língua e deu de ombros, imediatamente após a remoção, ela proibiu estritamente qualquer coisa de enxaguar. A sutura colapsada não começou a ser tocada, ela injetou um antibiótico na gengiva para prevenção. Dois dias aquecidos por um laser em odontologia.
No quinto dia, o sangramento das gengivas terminou, a dor e o inchaço desapareceram completamente. Velo no buraco começou a encharcar, a costura para curar. A primeira vez que dormi bem, nem fui ao médico porque nada doeu, mas realmente queria dormir.
Agora é o sexto dia, o velo já diminuiu pela metade, e o que está por trás dele não está claro, há algum tipo de vazio. Eu não como nada, porque agora a comida vai para o próprio buraco. Eu vou ao médico amanhã, mas tudo parece estar bem, nada dói ou incomoda, apenas meu queixo está cansado.
Durante uma semana, comi sopa moída com carne apenas no terceiro dia, imediatamente um litro. A partir do terceiro dia, bebo suco e leite. Perdeu 6 kg de peso usado antes da remoção, por recomendação de um médico. Eu realmente quero uma costeleta, e não uma, mas por enquanto aguento. Passou quatro rolos de papel higiênico para limpar a saliva, dois travesseiros e três conjuntos de roupa de cama. Fumado desde o dia seguinte à remoção do cigarro sem filtro, o médico repreendeu, mas não se importou.
Em geral, sem a Internet, ele se curaria melhor. E então, depois de cada artigo, eu mesmo diagnosticava alveolite e buracos secos, corria para esmagar o pus das gengivas e enxaguar com sálvia e camomila. Ouça rigorosamente o seu médico e concentre-se na dor após alguns dias. Se tudo estiver bem, a dor diminuirá; se aumentar, vá ao médico imediatamente.
Você teve lixo porque bebeu cerveja, fumou e sofreu lixo, acrescentando problemas a você e a seu médico. E a Internet não tem nada a ver com isso.
Eu não ri há tanto tempo!
Eu também))
Não a Internet interfere, mas a distrofia do gânglio interaural.
Riu até você cair!
Ilya, você é simplesmente adorável! Você tentaria escrever histórias engraçadas? Pelo resto da minha vida, lembrei-me de como tratava meus dentes))
Ela removeu cinco dentes de uma só vez - quase um feito! Não houve dor imediatamente, mas depois houve um gemido desagradável, ele o salvou. Quatro se arrastaram por dez dias - mas um não quer algo. Sempre segurei na boca uma decocção de casca de carvalho: a decocção é um anti-séptico, tem uma propriedade adstringente e mata completamente o mau hálito. E o mais importante - barato!
Após a remoção, o decinone também foi prescrito, mas acabou sendo fraco. Portanto, você deve tomar tranex, 2 horas após a remoção, para interromper o fluxo sanguíneo. 6 comprimidos por dia. Os dentes do siso são um teste para uma pessoa, especialmente se houver mais de um retinente, mas vários. É realmente impossível enxaguar imediatamente, foram prescritos banhos com bálsamo Vivax e escovar os dentes com pasta Vivax. Dói mesmo ...
Quatro dias atrás, um dente foi arrancado (36). À noite a dor começou. E o buraco estava coberto de placa.Eu fui ao médico, eles disseram que estava tudo bem. Mas as dores me incomodam E o buraco é amarelado, o poço é profundo. E hoje, deste lado, onde o dente foi arrancado, o ouvido dói.
Quase um mês se passou após a extração do dente. Havia uma ponte, embaixo dela um dente quebrou, a coroa caiu, o dente (seus restos mortais) teve que ser removido. Agora precisamos restaurar as coroas. Mas o médico diz que, até que as gengivas se tornem normais (não se recuperam em altura?), Você não pode continuar. E em um estado tão terrível, você tem que andar. A sensação é de que a "recuperação" levará mais de um mês. Então, o que fazer para que em breve tudo esteja "alinhado"?
Olá Tatyana! Infelizmente, nem todo cirurgião dentário pode remover um dente para que a cicatrização seja mais rápida. A remoção suave permite reduzir o tempo de recuperação, mas, em qualquer caso, existe um determinado critério para o tempo e a condição do furo, para que o "protético" possa começar seu trabalho de restauração da dentição.
O design final do furo, adequado para próteses, pode ocorrer em um período de 3-4 meses, mas geralmente o dentista ortopédico começa mais cedo. É impossível acelerar a remoção não mais bem-sucedida após 1 mês. No entanto, em muitas clínicas, existe um “bônus” como próteses temporárias. Antes de tudo, o cliente sempre precisa ter pelo menos um pouco de estética antes de montar uma "ponte" ou outro design. Portanto, estruturas temporárias são feitas até que os poços sejam completamente restaurados. Penso que, no seu caso, não faz sentido mais uma vez "rasgar" o orifício de cicatrização (em algum lugar do estágio 2) e fazer próteses temporárias. O principal é não se acostumar com o “bonito” e não recusar novas próteses permanentes; caso contrário, existe uma opinião entre os pacientes de que “nada é tão permanente quanto temporário”))
Depois de ler os comentários acima, eu me acalmei - isso significa que estou bem. Três costas removeram o dente, os sete primeiros. Eles não machucaram, mas por um longo tempo, era grande, com quatro raízes. Serrado em 2 partes. Eles se afastaram por um longo tempo, algumas das minhas raízes são curvas, puxam o rábano para fora. Como resultado, a gengiva dói e o chão do palato fica vermelho, então eles pressionam. Que buraco kapets, eu estava apavorada - como ela se curou? E agora há um coágulo com um revestimento branco. E eu estava preocupado que fosse pus. Uhhhh
Por favor, diga-me que arranquei um dente ao lado do dente do siso há 4 dias. A dor não para, a ferida não apodrece. Dor - por que ela não sai? Então já estou cansado.
Olá Natalya! A síndrome da dor é uma reação individual no contexto de um processo inflamatório local. Se uma infecção se juntar, a dor é mais aguda e maximiza a atenção do paciente para consultar um médico e "limpar" o buraco. Infelizmente, você não descreveu a natureza da dor. Em geral, a ausência de outros sinais (cheiro do buraco, temperatura, inchaço etc.) não é ruim e a dor é um conceito frouxo.
Explique: você quer dizer dor ao mastigar, ao tocar as gengivas ou, no entanto, uma dor constante que não desaparece por horas? Se você sentir dor ao mastigar, isso é bastante normal, pois o orifício deve se recuperar, especialmente em casos de ablação complexa.
Se houver uma dor prolongada e dolorosa que faça você tomar analgésicos, é aconselhável consultar um dentista para obter ajuda e sofrer uma curetagem de orifício forçado sob anestesia local. Em alguns casos, agentes adicionais com orientação bactericida, anti-séptica e até analgésica podem ser instalados no orifício.
Se você tem tudo dentro da faixa normal e não há sinais de complicações durante e após a remoção, basta aguardar, seguindo exatamente as recomendações do médico para um bom tratamento.
A qualquer momento, a dor pode diminuir ou desaparecer.O principal é que você não tem o caso quando há algum dente adjacente à pulpite. Isso é raro, mas acontece: um dente gravemente danificado é removido e a dor aguda era de outro, que era possível de tratar imediatamente. Portanto, é aconselhável considerar cada caso na cadeira do médico e com a história mais detalhada sobre a história médica.
Olá. Por favor, diga-me por que o local da extração dentária na mandíbula não está cicatrizado há 1,5 meses? Limpo 2 vezes. Havia cacos. Tomei eletroforese, mas não fecha. Por favor me ajude.
Olá Após a remoção complexa e no contexto de revisões traumáticas da ferida, o buraco pode cicatrizar por um longo tempo: de 1-2 meses a 3-4. É necessário esclarecer as circunstâncias da intervenção médica e as nuances da história médica. Tudo é importante aqui: da idade ao estado do sangue. Por exemplo, na velhice, o buraco cura mais difícil, com algumas doenças - os mesmos problemas. Um hemograma completo pode esclarecer algumas circunstâncias. No entanto, é melhor determinar as verdadeiras causas após a pesquisa e o exame diretamente na cadeira do dentista.
O dente superior foi removido há duas semanas, a bochecha estava inchada. No terceiro dia, fui ao médico, eles o cortaram, o pus saiu, mas a pressão aumentou, o que não existia antes. Tomei antibióticos ... Minha bochecha parecia adormecida, mas depois de alguns dias começou a inchar novamente, e o buraco não se curou.
Tirei um dente há uma semana. O buraco foi atrasado, mas ainda dói um pouco. Mas um cheiro terrível. Preciso consultar um médico?
Olá Natalya! Eu acho que não estamos falando de alveolite - inflamação das covinhas. Aqui a sua situação é mais do que trivial: no contexto de um maravilhoso "coletor de alimentos" na área de uma ferida cicatrizante, os restos de comida apodrecem. O cheiro da inflamação da gengiva marginal pode ser associado a isso, como gengivite ou periodontite, se naquele momento você já tinha um ou outro estágio da inflamação da gengiva.
Muitas pessoas no fundo das gengivas com sangramento têm mau hálito, e a remoção apenas provocou um agravamento das gengivas na zona do buraco + transformou essa área em um foco de acúmulo de alimentos.
Sem dúvida, você pode ir ao médico, mas, por sua parte, deve considerar cuidadosamente a higiene bucal. É impossível fornecer uma higiene completa sem escovar os dentes adjacentes ao poço (principalmente porque se passaram mais de 7 dias). O processamento com géis anti-inflamatórios para gengivas (após consultar um médico) reduz a inflamação regional e o enxágüe com anti-sépticos "folclóricos" (camomila, sálvia) após a ingestão reduz o atraso na gengiva cicatrizante e reduz significativamente a intensidade de um odor desagradável.
Olá pessoal! Eu tenho 54 anos Removidos os dois incisivos superiores. Um deles desmoronou, puxado pedaço por pedaço. Tomei vodka naquela noite. Três semanas se passaram. Gengivas quase curadas, inscritas para próteses. Provavelmente sou muito forte e saudável.
Tomei vodka naquela noite. Não consigo parar por 3 semanas, bebo tudo. E os próprios dentes vão curar. Eu sou forte e com sono. Mais vodka - e tudo ficará bem!
Apenas uma hora atrás eles removeram o dente do siso, no canto inferior esquerdo ... Era muito profundo, eu tive que ver um osso. Eles não puderam ser removidos por um longo tempo. A anestesia não me levou, chorou de dor, como uma criança ... A última vez que chorei assim quando um dos meus parentes morreu. Horror, eu realmente quero fumar, pelo menos um cigarro eletrônico! Talvez exista uma maneira de você ainda fumar e de alguma forma proteger as gengivas? Por exemplo, coloque algodão estéril durante o fumo e depois enxágue a boca?
Olá Ivan! A técnica de anestesia na mandíbula inferior é difícil para vários especialistas, e a seleção do anestésico também afeta as sensações.Lamento que algum fator tenha determinado o seu sofrimento, embora no momento quase 100% da remoção seja sem dor ou com sensações mínimas.
Eu acho que você já pode fumar corajosamente, embora seja imensamente prejudicial, mas esse não é o ponto. Durante o fumo, pode ser criado um vácuo que provoca um novo sangramento pelo buraco. Os distúrbios do coágulo sanguíneo não são a melhor opção porque você está perdendo seu curativo biológico natural.
Vários estudos demonstraram que o tabagismo afeta indiretamente o estado do sistema circulatório, o que também pode desencadear sangramentos. Tanto quanto eu entendo a partir dos dados dos estudos e das opiniões dos médicos: fumar não é o maior problema para um orifício de cura, não importa quão individualmente ele afete negativamente os microprocessos no sangue e nos estágios de cura.
O próprio hábito é terrível.
Não vale a pena fechar o buraco ao fumar ... É aconselhável pressionar o cotonete estéril novamente com os dentes após fumar, se o aperto do coágulo sanguíneo estiver quebrado. Um cigarro eletrônico também requer inalação sob pressão - o que não é um risco.
By the way, um número de médicos nas recomendações após a remoção não tem contra-indicações para fumar. Aqueles que aderem humanamente à cessação do tabagismo estabelecem um tempo de 2 a 3 horas após a remoção. Em vários países ocidentais, pode-se ouvir um período de 2 a 10 dias. Observou-se há muito tempo que esse hábito afeta indiretamente os processos de cicatrização e a higiene geral; portanto, ao implantar, várias clínicas exigem que o tabagismo seja abandonado por 6 a 12 meses, o que muitos seguido, para que a rejeição posterior do implante não seja atribuída a um “cigarro” e o dinheiro seja jogado fora.
Desejo que você deixe de fumar de maneira humana e acessível!
Infelizmente, Ivan, alguns dentistas, não sabe como anestesiar adequadamente; portanto, o paciente pensa que não fez anestesia. Ela mesma removeu o ganho várias vezes, até encontrar o "médico" deles. Se você é de Moscou, posso aconselhar para onde ir.
O dente foi removido e a boca deve ser fechada imediatamente. E arrebate com a boca fechada!
Há 2 dias, um dente inflamado foi removido. A remoção não foi dolorosa. Depois havia muito sangue, e já no dia 2 um coágulo de sangue se formou no buraco. Eu estava com tanto medo e o rasguei um pouco (um pouco). Hoje tenho dores leves, e o buraco é coberto com um revestimento branco-amarelado. No começo, fiquei com muito medo de que fosse pus. Comecei a chorar, fiz birra. Mas então, pesquisei e percebi que esse era um processo natural, e não havia temperatura ou fraqueza. Eu tenho medo que a infecção tenha trazido ... Amanhã vou ao dentista ((
Dois dias atrás, removeu os oito primeiros. Após a introdução da anestesia, a boca se recusou a abrir e foi removida por meio entreaberta. Depois de algumas horas, a mobilidade da mandíbula foi restaurada, mas o desconforto permaneceu, como se estivesse soprando. Ou já é das gengivas? Na primeira noite em que dormi normalmente, e na segunda noite em minha boca um gosto terrível, ele sangra. Tomo paracetamol, tomo banho com miramistina.
Removido (36) há dois dias, hoje eu pareço - um coágulo, um revestimento branco. Pensei, cavando, cavando, agora novamente um buraco, o que devo fazer?
Olá Eu acho que você mesmo entendeu que "pegou" o que está dentro da cura normal do buraco.
Idealmente, você precisa consultar um médico e, sob anestesia local, formar um novo coágulo durante a curetagem. No entanto, na prática, o que você fez com o buraco na maioria das vezes não leva a consequências negativas. Especialmente se você prestar a máxima atenção às lavagens anti-sépticas. Como agora você tem uma ferida aberta, mas já na fase de cura ativa (do fundo e das paredes do buraco), agora é necessário que nada extra chegue lá.É melhor usar soluções não irritantes e sem secagem para enxaguar. Você pode limitar-se a decocções de ervas (por exemplo, camomila ou sálvia). Mas, idealmente, é bastante lógico ir ao dentista e, após o exame, ele fornecerá um vetor de ações adicionais, dependendo da condição externa do orifício e gengivas ao redor dele.
Em você dá, pessoal)) Vimos um pequeno ataque, esmagamos mais rápido, bebemos mais um litro de cerveja, o terceiro coloca seus próprios diagnósticos, bem, médicos diretos eprst))
Fui removido no 6º canto superior esquerdo, a remoção durou 5 minutos, restando apenas a raiz do dente. Foi problemático para mim, e eles colocaram um selo duas vezes, não aguentaram um terço, dividiram-se em choupos. Marquei no final, esmaguei-o com alimentos duros e andei com ele por cerca de 2 anos. Os fluxos eram periodicamente, é compreensível - foi aberto o acesso a alimentos, não havia selo. Em suma, tudo isso me incomodou e eu decidi excluir. Eles injetaram ultracain, esperaram mais tempo para congelar do que arrancaram. Encheram tampões e algodão, ou como chamam, uma esponja hemostática com uma preparação muito amarga. No primeiro dia em que não sabia o que fazer, bebi estupidamente chá doce em litros e mastigou doces, era simplesmente irrealista o quão amargo. No segundo dia (hoje) a amargura já se tornou menor, mas ainda assim, você pode viver sem doces. Na noite do dia da remoção, ele bebeu lincomicina, por ser um antibiótico. Um coágulo se formou no primeiro dia, o sangue parou de fluir 4-5 horas após a remoção.
O que temos: o edema estava adormecido (também não havia muito), houve uma leve dor dolorosa e, quando você toca as gengivas, também a sente, mas isso não incomoda muito. Havia um acinzentado, eu diria até um revestimento acastanhado, como você sabe, quando você mergulha uma ferida em uma casa de banho ou chuveiro e sai do seu corpo, essa é a cor (sempre molhada na boca, é essa a cor?). Eu me sinto bem, dormi como um bebê. Antes disso, o fluxo atormentava e arrancava um dente por 3 dias, comia e bebia após 3 horas. Só fiquei bêbado, porque Comi mal de manhã e fiquei na fila por 4 horas, com fome de lobo. Ele imediatamente se perguntou todas as tortas que a tia passava, panquecas que minha mãe assava, assoprou um pacote inteiro de suco de laranja e foi para a cama))) Não pensei em alveolite até ler, como você, na Internet as “recomendações”. Eu estava com medo, também queria pegá-lo, bater um pouco no coágulo e depois soou na minha cabeça: "não vá aonde você não sabe, deixe que ele se cure, vá ao médico até o limite". O mesmo aconteceu. Ele retirou o palito, onde estão os pensamentos sobre subir no buraco, deixar o SAMA se arrastar, não interferir no corpo fazendo o seu trabalho!
Conclusão: 2 dias, está tudo bem, comer, beber, copular (no entanto), dirigir um carro, abrir completamente a boca (posso até cantar), estou extremamente satisfeito. Não vou tocar em nada. Como bebo do outro lado, o dentista me aconselhou a fazer de 1,5 a 2 semanas. Não bebo quente, não como quente, excluí temporariamente leite azedo da dieta e alimentos sólidos (umedeço os biscoitos no chá).
Cancelarei a inscrição em uma semana ou duas para que você saiba o que o espera, se observar o que o médico ordenou.
Ah, sim, hoje comecei a tomar banho com furatsilina (separei uma pílula em um copo), senti urina, mas se precisar, preciso fazê-lo (apenas mantenho na boca, NÃO lave) por uma semana, tomo lincomicina por mais alguns dias e lebre. Eu não quero plantar um fígado.
Olá E por que razão os produtos com leite azedo foram excluídos da dieta? Hoje, dois dentes do siso foram removidos imediatamente.
Hoje removido o canto inferior direito. Tudo correu rapidamente, o swab foi removido após 30 minutos. Agora sinto um coágulo e dor. Espero que tudo cure bem.
Sou eu de novo, cinco dias se passaram desde que o dente foi removido (veja acima). O antibiótico (lincomicina) terminou de beber ontem, lavo furatsilinom de manhã e à noite (tomo um comprimido). E a gengiva: tudo está normal, a esponja hemostática ou o algodão caíram, uma pequena depressão permaneceu em seu lugar, a gengiva cura, uma ferida esbranquiçada aparece.O edema dormiu completamente, as dores ainda estão presentes, mas são inconstantes e opacas na região da gengiva. Bolhas, ou algo assim (cerca de 6 a 10 peças) apareceram no pequeno céu acima do dente rasgado. Quando pressionado, não é muito, mas dói, eu suspeito que ele sai com o pus restante (eu tinha um fluxo), bem, ou com o ultracain que injetou lá, eu não sei exatamente o que é, não um médico))
Em geral, ela se sente bem, tem apetite, durmo bem à noite, não atormenta a dor. Vou continuar a enxaguar com furatsilinom e não esquecer de cancelar a inscrição aqui, posso pelo menos seis meses, até que as gengivas estejam completamente crescidas))) Mas não farei isso) Cancelar a inscrição em uma semana.
Há alguns anos, eu estava arrancando um dente do siso, o médico me colocou um remédio lá, que fechou completamente o buraco, e eu não tinha medo de nenhuma inflamação, até superexponhai um pouco, mas tudo se curou perfeitamente. Mas, recentemente, me deparei com um esfolador, que não esperava a anestesia começar a agir e rasgou meu dente. Não coloquei nada, nem dei uma consulta, como me importar, peguei o dinheiro e saí do escritório. Após 2 horas, troquei o tampão deixado pelo médico, troquei por uma gaze umedecida com clorexidina e segui o dia inteiro, troquei de noite. A lavagem no primeiro dia é proibida, então escovei os dentes e enxaguei a boca levemente. No dia seguinte, eu já usei cotonetes e lavei levemente com clorexidina, é barato e adequado para uso contínuo. Parece que no terceiro dia tudo está bem, o dente não se incomoda.
E, novamente, eu, parte 3))
Três semanas se passaram, o que temos: um buraco quase prolongado, a comida NÃO fica presa, porque em torno de 5 a 6 dias atrás o buraco completamente, pode-se dizer, "bateu". Não há edema e não havia muito, já é normal e duro - no lado onde o dente foi arrancado. Não há dor, bem, a menos que, se você pressionar a gengiva, é compreensível. As espinhas que estavam no palato passaram e, no lugar delas, apareceu uma "pele" branca. Em suma, tudo cura, a temperatura não incomoda.
Acho que é o suficiente. Depois de alguns meses, o buraco deve ficar completamente cheio. Não vou mais cancelar a inscrição, bem, se algo der errado. Boa sorte a todos! Não tenha medo de remover os dentes, é melhor remover do que sofrer, como eu, 2 anos com fluxos.
Olá Há dois meses, removeu os oito primeiros. O dente cresceu completamente na gengiva, a ponta do dente espreitou um pouco. Dentista apresentou uma ferida. No dia 3, a dor de cabeça se intensificou. Depois de ler artigos na internet, ele sugeriu o início da sinusite odôntica. Ele foi ao médico que me garantiu que tudo estava em ordem e eu fiquei preocupada em vão. No quinto dia, a dor de cabeça não desapareceu, voltou a procurar o dentista, que, após um exame minucioso, encontrou perfuração no seio maxilar, removeu os pontos, limpou o buraco, lavou o buraco, lavou com clorexidina e colocou a solução no medicamento. Depois de algumas horas a dor desapareceu, cerca de uma semana depois, o muco amarelo saiu do buraco (bebeu um curso de antibióticos). Então o buraco "fechou" e por duas semanas tudo correu bem. Em 1º de março, ele pegou um vírus leve e começou uma acentuada exacerbação de sinusite odontogênica, três dias de dores de cabeça e dor de dente, e o buraco "quebrou": começaram a surgir pus com coágulos. Novamente, um curso de antibióticos (observado no especialista em otorrinolaringologia e outro dentista, bem como na ChLH). Agora (um mês após o rompimento do pus), um orifício limpo cresce demais, mas não as bordas do orifício são unidas, mas enche a goma de cima, permanece uma perfuração da ordem de 1 mm de diâmetro. Procuro cotonetes com 1% de antioxidante e cubro o buraco com pasta de solcoseril. Diga-me, o que devo fazer em seguida - aguarde até que a perfuração seja apertada por mim, faça a cirurgia plástica ou seja necessária uma sinusite maxilar com sutura de fístula? Hoje, nada sai do buraco, mas é expectorado da nasofaringe, periodicamente em uma pequena quantidade de muco amarelado. Não há descarga do nariz. Após a ruptura do pus e a lavagem do seio maxilar através do orifício, raramente ocorrem sensações de tração desagradáveis nos ossos sob os olhos.
Olá Vadim! Em relação às medidas cirúrgicas: o aval para cirurgia plástica e assim por diante deve ser dado pelo cirurgião maxilofacial junto ao médico otorrinolaringologista. Aqui é difícil para mim decidir pelo médico assistente sem examinar você e os dados das imagens e (ou) tomografia computadorizada. Parece-me que, se o problema continua a atormentar, definitivamente não faz sentido suportar as "sensações de puxar sob os olhos". Outra pergunta é se o seu médico insiste nessa expectativa.
Não sei quais são suas táticas na vida, mas em questões médicas difíceis, sigo a regra de opinião de 2 a 3 especialistas para formar um quadro geral. Sem vê-lo, à revelia, posso assumir que o plástico com a eliminação do foco infeccioso é extremamente importante para o futuro. No entanto, a última palavra é para os médicos que o verão diante de si e se familiarizarão com os dados das imagens.
Olá Com 14 anos de idade, eu usava aparelho, como se viu depois, este é um exercício inútil se você não arrancar os dentes do siso ou seus rudimentos. Naquela época, eles nem estavam lá, e parecia selvagem retirar os rudimentos. Como resultado, aos 20 anos de idade, todos os quatro dentes do siso cresceram. Recentemente, o lado direito dos dentes superiores estava terrivelmente doente e não está claro exatamente quais eram as dúvidas entre 4, 5 e 6. Mesmo após as fotos, eles não determinaram imediatamente que se tratava de um dente do siso pulpite com uma grande cavidade no interior, o que não é visível. A escolha surgiu para curar ou arrebatar. Dado o fato de que estou pensando em colocar o aparelho novamente, decidi fazê-lo hoje. Tive sorte com o médico, tudo estava bem e passou bem. Houve um momento em que ele começou a desmoronar, como apodrecera por dentro (aos 25!), E eles disseram que talvez ele tivesse que esmagá-lo. Mas, glória aos bons poderes, não existiam tais coisas. Aqui está a pergunta - vale a pena excluir os 3 restantes, porque então você ainda precisa fazê-lo em 30, 40. Se um ficou podre, os outros não vivem saudáveis até o pôr do sol, e então será mais difícil, além de colocar outros dentes em uma pilha, o que aumenta probabilidade de cárie. Ou, tendo lido todas as nuances do procedimento e se curado - até doer, não vale a pena? A questão não está mais na estética (colocar os aparelhos novamente), mas nos dentes saudáveis.
Olá Margarita! De fato, sua pergunta está associada a um exame preliminar dos dentes do siso restantes e, em geral, à mordida. Se os dentes do siso estão incorretamente na dentição (inclinações, curvas, movimentos, erupção incompleta, dificuldade em erupção, etc.), eles devem ser removidos mesmo com uma aparência saudável.
Se esse dente tiver um lugar e não diferir do dente vizinho em sua posição, ele será removido de acordo com as indicações ortodônticas e com o desenvolvimento do processo de cárie: se for impossível salvá-lo por um dentista-terapeuta.
No entanto, na redação da pergunta, você se contradiz: por um lado, planeja colocar aparelho (“Considerando que penso em colocar o aparelho novamente”) e, por outro lado, “a questão não está mais na estética (colocar o aparelho novamente) ... "Se você planeja remover dentes do siso saudáveis e normalmente localizados para prevenção, isso não está totalmente correto. Embora você encontre muitos apoiadores entre os cirurgiões dentistas maxilofaciais profissionais que ficarão felizes em remover qualquer dente do siso pelo seu dinheiro. Além disso, as justificativas serão as mesmas: "eles quebram a mordida", "eles fazem lixo da boca, pois é difícil de limpar", "eles logo se deterioram", "causam cárie nos dentes adjacentes que se encaixam firmemente", etc.
Minha opinião é primeiro avaliar individualmente a cavidade oral, correlacionar os possíveis riscos dos dentes do siso e depois cortar o ombro. Ao remover um dente do siso (especialmente de um amador), você corre o risco de não menos durante e após o procedimento. Portanto, apenas correlacionando os riscos e vendo você pessoalmente, você pode dar ao TS e uma conclusão razoável.
O quinto dia após a remoção dos “seis” ... O dente estava sob a coroa, no início era doloroso ao morder e pressionar o dente, após o que havia dor dolorida. Eles tiraram uma foto, o cirurgião disse que não está totalmente claro qual dente causa dor, porque inflamação como se estivesse entre os dentes. Eles removeram a coroa, mandaram para casa beber nimesil. No dia seguinte, a dor se intensificou, um inchaço apareceu na gengiva e nas bochechas e foi removido. Foi removido por um longo tempo, a anestesia não foi tomada, o todo estava chorando e foi muito doloroso. À noite, a temperatura saltou para 39, a mesma dor. 3 dias após a remoção da dor não desaparecer, a temperatura na região de 37,1 - 37,5, comecei a tomar antibióticos, parecia ao médico. Eles lavaram, colocaram uma preparação de algas no buraco, enviaram para beber antibióticos e enxaguar com clorexidina. No primeiro dia após a lavagem, a lavagem dos dentes foi quase imperceptível ... No segundo dia, a dor voltou, a temperatura ainda estava um pouco mais alta que 37. Hoje é o quinto dia, eles removeram as algas, lavaram o buraco, mas a dor não deixou ir ((começo a temer que o motivo possa estar outro dente ... Por alguma razão, eles não tiram uma foto para mim, embora eu reclame da dor o tempo todo, dizem que está tudo bem, tudo vai embora ... O que devo fazer?
Olá Catherine! Os médicos não precisam fornecer a foto para você, pois ela faz parte de um documento médico. Por outro lado, você pode ir com segurança a outra clínica e descobrir as verdadeiras causas do problema: tire uma nova foto, obtenha uma consulta, tratamento adequado etc.
Após a remoção, pode ser qualquer coisa: os fragmentos da parte coronal na ferida e parte das raízes e granulomas não removidos. De fato, no momento, geralmente pode haver um buraco seco ou alveolite em um estágio relativamente calmo. Então você precisa tratar a ferida e melhorá-la ainda na clínica, onde elas tomarão medidas em relação ao seu problema.
É claro que não culpo os médicos por não conseguirem lidar com as dificuldades que surgiram. Talvez eles simplesmente não possam explicar com tato que não sabem o que fazer a seguir. Em todas as pessoas, o corpo reage de maneira diferente a essas intervenções, e os buracos se curam de maneira diferente. Problemas são encontrados, e em pequenas "mesas" - com regularidade invejável.
Se eu fosse você, encerraria o tratamento com algas e falaria com um cirurgião maxilofacial competente que se estabeleceu bem. Converse com amigos, familiares, amigos. Estou certo de que a luz não convergiu para esses especialistas e o medo de algo novo não se justifica. Como o buraco pode ficar doente por um longo tempo até a cura completa, ou até tornar-se muito apodrecido.
Olá. Muito obrigado pela sua resposta! Só escrevi que eles não "deram" a imagem, mas não fizeram de novo ... Entendo corretamente que, se algo restar, o problema pode ser visto na imagem? Hoje é dia 7, o dente continua a lamentar. Além disso, a localização da dor é algo mais baixo na mandíbula, nem onde as gengivas estão. Muito obrigado por todas as suas dicas e truques!
Olá Catherine! Eu aceito sua gratidão com gratidão. Se a imagem é de alta qualidade, é bem possível ver os restos das raízes ou partes do dente nela. Em casos raros, imagens em diferentes projeções ou opções com visiografia - traduzindo a imagem para um computador, ajuda. Espero que todos os dias sua dinâmica seja positiva. Fique bom logo!
Olá. Eu li tudo, mas não encontrei a resposta para minha pergunta. Em 3 de março, ela removeu um dente do siso que crescia horizontalmente e embaixo do osso. A operação não foi fácil - eles cortaram, serraram, arrastaram, costuraram e bombearam após perder a consciência (a pressão caiu para 40/57). Depois de muito sofrimento (medo terrível), o dente foi arrancado, ao que parece, mesmo inteiramente. No buraco colocar colágeno, 2 peças. Fiz um exame por quase um mês e o médico disse que estava tudo em ordem.Mas agora meu médico está de férias e, na minha mandíbula (sob o local da remoção), um osso (como um pequeno cone) parece ter aumentado e esse inchaço forte desce da borda inferior da mandíbula até o pescoço. Existe uma leve assimetria no outro lado da face se você levantar o queixo. Não dói, mas quando pressionado, há uma leve dor. Não há temperatura. Uma semana antes, minha voz desapareceu e havia uma garganta vermelha (não consigo curar a faringite no outono, três tipos de antibióticos não funcionaram). O dente parece curar normalmente, mas a gengiva ainda não fechou completamente (somente onde foi suturada). Enxágüe com clorexidina (parece que a placa aparece), miramistina, rotokan, tintura de própolis, camomila.
Por favor, me diga o que há de errado com a mandíbula? Alguma coisa poderia permanecer nas gengivas e inflamar um mês depois? O que é esse galo? Muito obrigado! Vou esperar por uma resposta.
Fui ao cirurgião de plantão na recepção, tirei uma foto panorâmica. Tudo parece estar em ordem, o dente adjacente também. Na palpação, nada dói dentro da boca. Ligeira dor apenas no lado inferior externo da mandíbula. A assimetria agora é visível a olho nu. O médico disse que ela não sabia qual era o motivo. Enviei um ultrassom da região da mandíbula, prescrevi antibióticos por 5 dias, enxágüe, prebióticos. Por favor, ajude a identificar o que há de errado comigo. Tenho muito medo da dor e o pensamento de uma nova operação me deixa em pânico.
Me deparei com uma foto com sinais de caxumba, muito parecidos. Poderia ser caxumba? Tenho 31 anos, não fiquei doente antes. A temperatura é mantida em 37-37,2.
Eu acho que você deve entrar em contato com o seu médico de família local para descartar doenças somáticas. A caxumba ou "caxumba", tanto quanto eu sei, procede violentamente com altas temperaturas, mas você não tem esse indicador. Se o terapeuta excluir a doença, fique à vontade para fazer uma tomografia computadorizada. A TC ajudará em todas as projeções a ver a área problemática na região maxilofacial, onde estavam o inchaço e a extração dentária. Juntamente com uma tomografia computadorizada, não deixe de ir ao dentista para uma consulta, e é melhor ouvir a opinião de vários médicos. Estou certo de que haverá um especialista que poderá avaliar corretamente sua condição. Entenda corretamente que somente após um exame abrangente de você com base em uma tomografia computadorizada, exame externo na cavidade oral, palpação e comparação dos dados de um especialista adjacente (médico distrital, como opção) você pode entender o que está acontecendo com você. Em outras palavras, até que seja feito um diagnóstico preciso, o tratamento com o princípio "dedo no céu" pode não trazer resultados.
Svetlana, meu nome é Alexander, quase o mesmo problema que o seu. Já se passou um mês e meio após a remoção, mas a dor não desaparece, caminha por todo o lado direito. Diga-nos, por favor, qual foi o seu motivo?
Olá Svetlana! Não vou me esconder, mas depois de qualquer extração de dente, algo pode permanecer. Tudo depende do profissionalismo e consciência do médico. O fato de não haver temperatura é um dente bom, mas um dente removido traumaticamente, e mesmo com erros, pode levar ao fato de que as bordas dos alvéolos ou mesmo o processo alveolar da mandíbula são apontadas. É por isso que pode parecer que um selo ocorreu.
Em geral, de fato, pode haver qualquer coisa: fragmentos na ferida, raiz não removida, restos de fragmentos do osso da mandíbula, etc. Penso que, por objetividade, vale a pena tirar uma foto da zona de remoção e obter conselhos (pessoalmente) de um cirurgião maxilofacial bem estabelecido, mas diferente. Sem vê-lo e, desculpe-me, sem "sentir" o inchaço, é difícil para mim assumir qualquer coisa: assustador ou não. Uma "protuberância" é um conceito um tanto estranho, para que você possa costurar isso à revelia para qualquer diagnóstico.
A propósito, posso dizer que a linfadenite - inflamação dos gânglios linfáticos, também pode dar a sensação de um inchaço na mandíbula.É por isso que é tão importante analisar suas feridas gerais e o processo de cicatrização local, para não fazer muito trabalho. Às vezes acontece que a cura não tem nada a ver com isso, mas algumas doenças deixam sua marca e atrapalham o diagnóstico da verdadeira causa do problema.
Olá, Svyatoslav Gennadievich! Sinceramente, obrigado pela resposta detalhada! O terapeuta enviado ao cirurgião. O ultrassom da região submandibular e os linfonodos não trouxeram clareza - o médico disse que tudo estava na pilha - não ficou claro o que exatamente causou o edema. Existe um defeito ósseo de 0,2 cm, infiltração dos tecidos circundantes com disseminação para a glândula parótida salivar (aprox. 2,20 * 1,5) sem um contorno claro e a formação de um abscesso. Em uma determinada área, linfadenite (0 a 2,2).
No fim de semana, visitei outro cirurgião, ela disse que a imagem tem uma pequena mancha branca na área do dente extraído e que pode ser um pedaço de osso ou algo parecido. Adicionei pomada Levomekol às gengivas 3 vezes ao dia aos antibióticos e disse que ela deveria esticá-la se restasse alguma coisa. Eu esfrego, mas até agora o tumor não desapareceu completamente, embora a bochecha tenha se tornado muito melhor com antibióticos. Mas havia uma dor dolorosa, passando de dente em dente por toda a mandíbula.
Amanhã vou ver o médico que realizou a operação. Estou com muito medo.
Obrigado por fornecer inestimável assistência médica e psicológica, explicando o que procurar e reduzindo os medos do desconhecido!
É assim que eles sempre escrevem e depois não dizem o resultado. Foi interessante para nós.
Olá Eles removeram rápida e praticamente sem dor o dente do siso inferior, que estava deitado incorretamente e não entrou em erupção completa. Depois disso, eles costuraram (disseram que não voltariam mais e que os próprios tópicos resolveriam) e mandaram para casa sem dar recomendações. Dois dias depois, visitei outro dentista queixando-se de dor ao engolir e dar dor no ouvido. O médico disse que tudo está em ordem, as gengivas cicatrizam, você não precisa tomar antibióticos, pode lavar furatsilin para se acalmar. Depois de enxaguar com furatsilin, no dia seguinte ficou mais fácil.
Dado: quinto dia após a remoção. E hoje eu absorvi completamente os fios. A gengiva se abriu ligeiramente na costura, mas os orifícios não são particularmente visíveis. Não há dor, não é doloroso engolir, a boca se abre sem dor, mas há uma sensação periodicamente dolorida e ainda cede ao ouvido. Tudo bem? Não é assustador que os fios tenham se dissolvido e aberto a gengiva? Na segunda-feira para ir ao dentista? Essa sensação dolorosa no ouvido, como consequência da remoção de um dente do siso, é normal ou é hora de ir ao otorrinolaringologista?
Olá Alexandra! Dos dentes inferiores (maxilar), a dor irradia (doa) para o ouvido e não apenas. Isso está na ordem das coisas - o ENT não ajudará aqui. A conseqüência de remover um dente do siso é um sintoma sobrevivente que o assombra. Eu acho que está mais associado à irritação da ferida durante as refeições. Pelo quinto dia após a remoção - isso é mais do que o normal, especialmente, a sensação de dor não é motivo para pânico.
Na segunda-feira, você não deve "fugir", mas calmamente recorra ao dentista para uma consulta. Muito provavelmente, o seu tratamento em casa será ajustado a você, ou apenas certifique-se de que tudo esteja em ordem e que já haja pouco que dependa de você nesse contexto. Além disso, as suturas foram aplicadas (tão caras - absorvíveis) com o grande objetivo de eliminar os grandes portões de entrada da infecção e aproximar as bordas da ferida para que não impedissem a cicatrização. O fato de as bordas começarem a divergir um pouco no dia 5 não é crítico, porque agora o buraco está em pleno andamento no estágio de formação do tecido a partir do coágulo sanguíneo e das paredes do próprio buraco.
Penso que um dentista com uma consulta presencial poderá tranquilizá-lo com base em dados precisos do exame da ferida.
Boa tarde Ontem tirei um dente do siso, tudo parecia estar bem (dormi bem à noite). Hoje de manhã começou um pouco de dor e ao meio-dia as gengivas doíam completamente. Fui ao médico, disse que estava tudo bem comigo e, para aliviar a dor, aplique a pasta Solcoseryl. Diga-me, posso usá-lo com um buraco aberto? Obrigada
Olá Ksenia! A pasta adesiva dental Solcoseryl, prescrita pelo seu médico, é usada em feridas para acelerar sua cura. Não faz nada de errado: apenas estimula a formação de colágeno e acelera a epitelização dos tecidos do poço. Formalmente, não anestesia, mas desempenha o papel de um curativo médico de proteção que evita efeitos mecânicos e químicos na ferida e seus danos por 3-5 horas. É isso que indiretamente evita sensações dolorosas. A pasta em si não alivia a dor, mas ajuda a se sentir melhor.
De qualquer forma, recomendo que, para quaisquer sintomas que o incomodem no contexto da remoção, consulte pessoalmente o seu médico, pois a imagem completa é criada somente após o exame do orifício e das medidas de diagnóstico.
Por que os dentes vizinhos doem depois de remover um dente do siso?
Olá Quase sempre, após a extração do dente, os dentes adjacentes doem, pois estão nas imediações da ferida. Os tecidos ao redor do dente têm uma certa conexão com o orifício do dente extraído, há algum grau de interação. A dor irradia, às vezes não apenas para os dentes adjacentes ao buraco. Quanto mais forte a ferida for esmagada após a remoção, mais mastigação ocorrerá e maior será a sensação de desconforto nos dentes adjacentes. Se você tiver suspeitas sérias com base em uma condição insatisfatória no seu poço ou no buraco, é recomendável consultar um dentista.
Olá, retirei o 36º dente anteontem à noite de ontem, no primeiro dia não pude parar o sangue por muito tempo, quase não havia dor. Ontem à noite, depois de comer, as gengivas variaram, ao longo de todos esses dias me sinto muito fraca, às vezes até enjoada. Hoje fui fazer um exame de manhã, o dentista disse que o buraco estava cicatrizando e estava coberto com placa fibrosa. Lavei um buraco da comida e coloquei um gel de metrogil. Nomeado em casa para manchar com crisálida e metrogil. Mas o fato é que minhas gengivas estavam diferentes novamente, muito perceptíveis. É possível de um metrogil? E, em geral, normal quanto tempo dura a dor após a remoção? A fraqueza após a remoção é a norma?
Olá Svetlana! Tenho certeza de que você deve passar urgentemente por um exame geral de sangue e sangue para "açúcar", pois deve identificar uma possível patologia nos sistemas do corpo. No contexto deste, ou separadamente - ficará claro mais tarde. Se seus indicadores estiverem muito baixos (ou seja, abaixo da norma), obviamente você deve restaurar o corpo, procurar um problema somático e lidar com o buraco. Somente uma abordagem integrada ajudará no seu caso. Não quero comentar sobre as consultas do dentista, mas posso alertá-lo: se você perder alguns pontos do estado do corpo, isso poderá afetar gravemente não apenas a cura. Com um exame de sangue geral para o terapeuta, coordene outras ações com ele e o dentista. Saúde para você!
Um dente grande de três canais foi removido por cima. Vamos no terceiro dia. Hoje estava em uma inspeção de rotina. O médico disse que estava tudo bem e colocou mais remédio no buraco. Eu mesmo vejo que as bordas começam a se arrastar e, ao que parece, nada. Gota bochecha completamente inchada, não perceptível. Eles disseram que isso é normal, mas eu mesmo entendo que é normal. Mas dor, dor e dor novamente. Dói e dói. Analgésicos pararam de beber durante o dia, eu bebo à noite para dormir pelo menos. Mas dói, não cessando.Eu como quase nada, principalmente apenas bebo, e da comida eu tenho purê de bebê, porque nada sai mais. Pressionando infinitamente a dor maçante. Quando passará aproximadamente?
Mesmo assim, depois de quatro dias fui removido do mesmo lado, mas na parte inferior do dente do siso (lá dificilmente pode ser visto pelas gengivas). É possível remover dentes complexos com essa ruptura? É assustador pensar como tudo vai doer então ...
Olá Svetlana! Estou certo de que o processo inflamatório no buraco continua a se desenvolver. A dor é, obviamente, um momento individual, mas na maioria das vezes, no contexto da remoção, é o resultado de anexar uma infecção ao poço. O corpo, é claro, luta como pode. A dor é um indicador aqui.
Gostaria de dar uma olhada nas condições do orifício e na imagem do orifício após a extração do dente. Isso é importante para prever e avaliar a situação. Quanto à remoção de um dente novo: se não for uma opção de emergência - não remova os dentes do siso por enquanto. Ninguém sabe o quão sensível será para você ter duas feridas ao mesmo tempo.
Quanto ao intervalo: um intervalo pode ser de 1 dia, mas cada situação deve ser considerada individualmente. Somente assim, a remoção e a cura serão o mais confortável possível.
Quanto tempo o osso que se formou no lado da gengiva após a remoção do dente do siso se dissolve? ISTO INTERFERE COM A PRÓTESE. A prótese superior é completamente removível. Uma vez eu tive isso e tive que registrar essa educação. Não quero cortar o chiclete e limar novamente. Agradecemos antecipadamente a sua resposta.
A propósito, por que essa borda afiada do orifício do dente aparece na gengiva após a cicatrização? Talvez com a idade? Anteriormente, ao remover essas consequências não percebeu.
Olá Um dentista simplesmente precisa verificar (especialmente após uma remoção difícil): existem bordas afiadas do orifício. Se o médico não tiver tempo suficiente para isso, o orifício ficará com uma aresta cortante, de modo que o risco de ferimentos é alto. Se a remoção for realizada com a maior precisão possível, não ocorrerá uma borda afiada. Porém, no caso de uma ruptura na parede do orifício ou das partições entre raízes, as bordas afiadas começam a ferir a gengiva cicatrizante. Penso que não se trata de idade, mas das características da extração dentária e da atitude do médico em relação ao seu trabalho.
Olá De fato, a questão é relevante, mas um tanto delicada. Formalmente, o que impede próteses completas deve ser ajustado. O que você formou é provavelmente a exostose. Essa deformação, é claro, pode ser "fixada" pelo tempo, mas às vezes leva muito tempo para esperar e, até esse ponto, você pode perder a capacidade de usar uma prótese. Se você não o usa (dói), depois de alguns meses, não deseja mais usá-lo. As bordas afiadas dos alvéolos podem "dissolver" por 6 a 12 meses. Não tenho certeza de que você deve confiar em um tempo mínimo, por isso recomendo que você faça imediatamente o que deve: correção da borda afiada dos alvéolos. Você não quer "cortar o chiclete de novo", mas não quero estragar a vida de você e do seu protético que simplesmente não podem fazer um bom trabalho - você não será capaz de usá-lo. Em geral, após a correção, também levará algum tempo para esperar, mas é muito menos e, obviamente, mais promissor do que esperar cego à beira-mar pelo tempo. Obrigado pela pergunta.
Olá Há uma semana, o dente do siso inferior direito foi removido. Segundo o cirurgião-dentista, o dente era muito complexo (não cresceu, mas de lado, até a raiz do 7-ki). Em geral, removido, costurado. O processo foi doloroso e longo - eles atormentaram por cerca de uma hora. No primeiro dia de remoção, a temperatura subiu e durou um dia, até agora o cheiro é desagradável. Ontem eu estava na consulta médica, ele removeu os pontos e disse que estava tudo normal.Para minhas queixas sobre dor na articulação, constantemente causando dor ao templo (todo o hemisfério direito da cabeça sempre doi com isso), amígdalas do lado do dente rasgado, cheiro terrível - disseram que era normal e poderia ser tão doloroso por 2 semanas, porque, novamente - O caso foi difícil e eles me torturaram por muito tempo. Mas não é isso que me preocupa mais ... Hoje, finalmente, vi depois de remover a sutura que não tinha coágulo. Apenas um buraco aberto. E um cheiro terrível dela. Quase sem invasão. Apenas um buraco. Tudo bem? Sigo a recomendação do médico - faço regularmente banhos de camomila. Ele não escreveu mais nada para mim. Nesse caso, todo o lado direito no lugar do dente rasgado responde muito ao frio / frio / calor. Antes de a costura ser removida, houve um ataque (especificamente: até ontem), e agora é apenas um buraco, e praticamente não há placa. Por favor, informe - isso é normal? Talvez ainda use pomadas para cicatrização de feridas? O médico se deparou com muito jovem - talvez apenas sendo ressegurado. Eu gostaria que se curasse mais rápido. E então a eterna dor dolorosa e a reação à temperatura enfurecem diretamente. Já estou cansada.
Olá Por todas as indicações, você tem uma alveolite do buraco ou o efeito de um "buraco seco". Esta não é a norma e complica o processo de cicatrização normal de feridas. Eu acho que o médico espera que a imunidade aguente. No entanto, não está claro por que antibióticos, anti-histamínicos etc. não foram prescritos. após uma extração complicada e traumática do dente do siso. E por que o médico não atualizou a ferida sob anestesia para acelerar o processo de cicatrização e torná-la o mais favorável e confortável possível. Sua reação ao frio e ao calor também é uma preocupação. Receio que a condição do 7º dente, que se mostrou próxima da remoção, deva ser cuidadosamente analisada. O médico pode danificar acidentalmente o tecido dentário próximo à raiz, o esmalte ou até produzir uma subluxação de 7 dentes, usando-o sob o apoio de instrumentos com zelo excessivo. Eu acho que vale a pena entrar em contato com um dentista-terapeuta: deixe o médico examinar cuidadosamente a reação à temperatura, pois isso geralmente vem do “ofendido” pela remoção traumática do sétimo dente.
Boa noite Eles removeram o dente do siso inferior direito e colocaram a drenagem, “goma” lá, como o médico disse, e costuraram. Diga-me se um coágulo de sangue se forma ali, essa drenagem interfere ou o coágulo deve aparecer após a remoção da drenagem?
E me diga como usar a clorexidina nos banhos, limpar ou diluir de alguma forma?
E, no entanto, aqui um dos visitantes escreveu que, depois de remover o dente, ele havia excluído temporariamente os produtos lácteos da dieta. Se isso afeta de alguma forma a formação de um coágulo sanguíneo ou a cicatrização do buraco - só posso comê-los até agora. Obrigada
Olá Para banhos, o bigluconato de clorexidina a 0,05% pode ser usado conforme indicado por um médico. Geralmente 3-4 vezes ao dia por 20 a 30 segundos de retenção oral.
A drenagem é realizada para acelerar o processo de "descarga" do exsudato purulento, uma vez que as feridas após a extração do dente podem não ser suficientes para isso. Um coágulo de sangue se forma independentemente da drenagem no próprio buraco. Se isso não acontecer, poderá ocorrer o efeito "buraco seco", o que reduz o conforto de cura e sua velocidade. O "chiclete" aqui desempenha um papel secundário.
Os produtos com leite azedo são excelentes quando prescritos por um médico de antibióticos, como um meio natural para estabilizar a microflora intestinal. Pessoalmente, não estou familiarizado com dados sobre a piora da cicatrização devido a esses produtos. Desejo-lhe uma rápida recuperação!
Obrigado por suas recomendações, Svyatoslav Gennadevich! Estou tomando banho com clorofilipt agora, com clorexidina que fiz apenas algumas vezes (disseram que podem escurecer ou virar dentes amarelos).
Estou muito preocupado com a rigidez da mandíbula, abro a boca um pouco e depois dói, não consigo ficar mais largo, tenho até que empurrar uma cereja. Eu me preocupo se conseguir abri-lo normalmente. Eu me asseguro que talvez deva ser assim, já que dois dentes da sabedoria, o superior e o inferior, foram removidos de uma só vez, suturados ... É assim?
Em relação à cura, há dores doloridas e maçantes, principalmente por baixo, às vezes pulsantes, tudo é tolerável, eu não tomo analgésicos.
Olá Não ouvi dizer que é praticado remover dois dentes do siso simultaneamente de um lado. É claro que o nível de trauma levou a tais consequências. Às vezes, é difícil abrir a boca, mesmo quando o "capô" das gengivas fica pendurado no dente do siso. Além disso, depois de remover os dentes do siso, você tem uma grande ferida interconectada com tecidos profundos. Eu acho que a dor passará dentro de 7 a 15 dias, já que o processo de reparo tecidual nessa área não é tão rápido. A principal coisa é que sua condição está em relativa estabilidade, há uma oportunidade de fazer uma refeição sem comida áspera e viver sem analgésicos. Fique bom logo.
Muito obrigado! E uma última pergunta) Quando posso começar o treinamento de força ativo para não danificar o coágulo que tentei economizar por tantos dias, como pude? E não quero perder uma visita ao salão por muito tempo, e eu estou pior fazendo isso sozinho. Pela mesma razão, não há desejo de tomar banho de sol. As costuras serão removidas no outro dia.
Boa tarde, também tenho um problema ao abrir a boca depois de remover quatro dentes do siso ao mesmo tempo. Por favor, responda, isso aconteceu com você? Em caso afirmativo, o que ajudou e após que período foi aberto? Já tenho três semanas após a operação, no máximo alguns centímetros se abrem, embora tente esticá-lo com um prendedor de roupa e mãos. Estou realmente ansioso por ouvir, já estou em desespero.
Olá Anna! Não sei por que razões você removeu imediatamente quatro dentes do siso, mas isso é muito "cruel" para o paciente. Não entendo em que situação seria necessário livrar-se urgentemente (em massa) de todos os dentes do siso. Eu trabalho em cirurgia há 10 anos, de acordo com as indicações, tive que remover imediatamente 2-3 dentes adjacentes (geralmente em movimento) ou 3-4 dentes de uma única raiz ao mesmo tempo em locais diferentes, mas mesmo dois dentes do siso em um dia não estavam em prática.
Esta é a decisão do dentista em relação a você que criou o problema de abrir a boca - isso é compreensível, uma vez que a zona dos dentes do siso (especialmente os inferiores) é um tecido frouxo que possui abundante suprimento sanguíneo e interação com músculos profundos da região maxilofacial e nervos. Essa contratura mastigatória é uma conseqüência de um processo inflamatório agudo na mandíbula inferior num contexto de intervenção traumática global. Agora você está usando o princípio de "sirva-se". Não posso dizer nada de ruim, existem métodos de exercícios terapêuticos para melhorar a abertura da boca em pouco tempo. Mas é melhor ter o algoritmo exato do dentista após o exame. Se você fizer tudo certo +, encontrar a oportunidade de participar de fisioterapia para reduzir o processo inflamatório, sua boca abrirá muito bem após 1-2 semanas. Desejo que você encontre um dentista que irá supervisioná-lo de acordo com esta técnica.
Muito obrigado pelo seu feedback. Atividade física, banhos, saunas, salões de bronzeamento, praia, etc. são limitados a apenas 3 dias após a remoção. Minha opinião pessoal: é melhor evitar treinar e tomar sol após uma remoção complexa por 5-6 dias. Pelo que entendi, você já sobreviveu a esse período crítico. É por isso que não há contra-indicações para você retornar à sua vida anterior. Tudo de bom para você!
Hoje eles removeram meu dente em uma clínica estadual.Por alguma razão, eles não contaram sobre esse coágulo e, após cerca de 40 minutos, quando saí, comi um hematogênico, depois um pouco de chocolate e bebi um pouco de água, tentando lavar um pouco a boca com sangue. E 1 hora e 20 minutos após a remoção, comi queijo cottage e atum em lata, enquanto comia, vi este artigo e lamentava que fosse tão tarde. Eu ainda espero que o coágulo de sangue permaneça lá. Eu coloquei gelo. Diga-me, os cigarros eletrônicos também não podem "subir"?
Olá Ivan! Parece que você é uma pessoa positiva e prefere não se “banhar” com pequenos problemas da vida, como a extração dentária. Por que é impossível fumar? Ao fumar, você cria um vácuo na boca, que simplesmente atrai um coágulo de sangue. Ou seja, não estamos falando de uma perda de 100% do coágulo, mas dos riscos de prejudicar sua saúde dessa maneira. Devo dizer imediatamente que a maconha, legalizada em 10 países para aliviar a dor pelo método do “esquecimento”, é melhor não usar na Rússia. Mas você pode aplicar frio, o mais tardar um dia após a extração do dente. Está frio, e de acordo com uma técnica especial, para que a queimadura por congelamento não ocorra. O gelo em sua forma pura é prejudicial à pele e o risco de estar com um médico já está com um problema diferente.
Olá Diga-me, por favor, eles removeram meu dente do siso inferior há um mês, em breve, em 5 minutos. Depois de uma semana, eles limparam o buraco, depois de mais 3 dias, limparam novamente e fizeram um coágulo de sangue e colocaram o remédio no buraco. Parece que um mês se passou, tudo curou, nada dói, mas algum tipo de caroço vermelho se formou no buraco, não há placa, por que isso? Isso é normal ou não? Em outros buracos, isso não é.
Olá O buraco pode curar como no seu caso: o tecido na região da gengiva ocupa um ponto vazio na ferida + ocorre epitelização normal. Na odontologia, existe esse conceito: "carne selvagem" - a proliferação de tecidos desse tipo geralmente causa perguntas aos pacientes. Vários especialistas tendem a acreditar que não há nada errado com isso, embora em uma situação normal, o buraco se cure simplesmente juntando suas bordas e restaurando gradualmente a base de tecido com a formação de uma crista óssea familiar ao médico e ao paciente, decorada com gengivas. Este é o resultado da restauração do buraco em 5-6 meses.
Para uma análise precisa e para evitar erros, consulte seu cirurgião-dentista para um exame.
Olá. Hoje eles removeram meu dente de leite e disseram que era um “sete dentes”. O que isso significa, o que fazer, como tratar?
Olá Sinceramente, não sei o que responder. Se você diz, por sua própria gíria, o "sete" é um dente permanente, mas não leite. Os laticínios podem ser chamados assim: unidade, dois, três, quatro, cinco. Tudo, não mais. 10 leite na mandíbula superior, 10 - na parte inferior: de cada lado, do primeiro ao quinto. Aos 6 anos, um sexto dente permanente entra em erupção, o sétimo ("sete") entra em erupção aos 13-14 anos de idade. O que significa uma numeração tão estranha na sua situação - eu não sei. Eu acho que você não entendeu o médico. E mais uma coisa: eu não conheço sua idade para me apegar a pelo menos alguma coisa. Mas obrigado pela pergunta incomum e inesperada.
Hoje eles arrancaram um dente, o top 6, havia uma gengiva inflamada, ali, sob o selo antigo, começou a supuração nos canais, e lá vamos nós ... Dói, mas eles arrancaram às 11 da manhã, e a principal coisa que me excita é o pus. Disseram que sairia, mandaram tomar banho com nimesil e clorohexidina e beber ciprolet ...
A questão principal é quando o pus com sangue vai parar de funcionar e esse gosto repugnante desaparece, o que o deixa doente?
Olá Esse processo é puramente individual, mas o período médio de supuração é de cerca de 2-5 dias.Normalmente, durante esse período, a evacuação pelo orifício ou sistema de drenagem é concluída e o corpo, por assim dizer, começa a curar ativamente a ferida. Se houve uma inflamação purulenta grave ("grande fluxo"), o médico coloca uma tira de borracha (drenagem) por vários dias com suas substituições subsequentes. Então isso acontece pior do que no seu caso. Simplesmente, você deve irrigar com medicamentos que melhoram o nível de higiene na boca e refrescam (desodorizam) a cavidade oral. Consulte um dentista sobre as contra-indicações relativas ao uso desses produtos.
Olá, ontem removi os seis primeiros à esquerda. Eles o removeram rapidamente, e não doeu, em cerca de cinco minutos. Imediatamente após a remoção, a bochecha está inchada. Doía à noite, mas era tolerável, e de manhã a dor desaparecia, mas a temperatura subia 37-37,2. O edema também não diminui, mas não há fortes dores. O que fazer, talvez eles me trouxeram uma infecção?
Olá Atualmente, você tem sintomas de trauma + efeitos residuais após a extração do dente com uma "infecção!" Essa temperatura é devida ao processo inflamatório local, o edema não diminui rapidamente e o tempo deve passar - em média, 3-5 dias antes do desaparecimento completo. Se a dor está quase acabando - significa que todo o processo infeccioso, que foi eliminado juntamente com um dente estragado, não provoca no poço a reforma do exsudato (pus), que muitas vezes forma sensações dolorosas. Às vezes, a alveolite (inflamação do poço) ocorre apenas 3-4 dias após a remoção, então agora posso dizer que não há nada de errado com os sintomas descritos. No entanto, se aparecerem sinais de alveolite, consulte o seu médico imediatamente.
Há um ano, o dente inferior foi arrancado, o buraco foi curado por um longo tempo e o médico apressou-se. Apenas duas semanas se passaram, ele largou a ponte, depois de trincar três dentes. Era surpreendente que o primeiro dente fosse afiado a tal ponto que ela duvidasse que a ponte ficasse em tal ponto. Um ano se passou, de repente as primeiras coroas começaram a cambalear, e uma semana depois toda a ponte estava na minha boca. O dentista me pediu para aumentar o primeiro toco colapsado, mas ele o removeu e agora disse que colocaria uma prótese removível. Pelo que entendi, a culpa do dentista é que, como se viu, as gengivas devem se recuperar após a extração do dente por 3-4 meses. Seu segundo erro foi, acredito que o aperto foi quebrado e, portanto, o dente foi destruído. Não sou culpado, mas perdi 3 dentes, cinco coroas de cerâmica de 10 mil tenge cada e, além disso, no total com a remoção de nervos, perdi por 100 mil tenge e permaneci com uma calha quebrada. A conclusão sugere-se: ir ao dentista está apenas perdendo os dentes, porque, em regra, um dente é destruído em 80% sob a coroa e restam apenas alguns dentes. E por que há pontes no topo de ambos os lados, 15 anos à esquerda e 13 anos à direita? Acontece que tudo depende do dentista. É bom que eu me deparei com esses comentários e aprendi muitas coisas úteis. E por que alguns médicos não nomeiam imediatamente, mesmo após a remoção do banho de refrigerante (e eu fui prescrito com refrigerante), para não lavar o coágulo, enquanto outros têm suas próprias regras e como o preto pode ser branco?
Olá O fato é que é importante cumprir a tecnologia protética. Naturalmente, é melhor esperar pelo menos um mês após a remoção, mas meu amigo ortopedista às vezes me surpreende com o fato de que ele espera apenas cerca de 2-3 semanas e constrói pontes, e eu conheço o trabalho dele desde 2007 - tudo é maravilhoso. Eu acho que todo médico experiente tem suas próprias práticas e segredos. Posso dizer que há uma lista de pontos importantes que devem ser observados, caso contrário, ele deverá ser apertado (todas as cáries devem ser removidas do dente, a altura da coroa deve ser determinada corretamente, a coroa deve ser experimentada e ajustada com cuidado, fixação etc.). E há fatores adicionais - esses são os próprios segredos dos desenvolvimentos.
Sobre o enxágue após a extração do dente.Em primeiro lugar, muito é determinado individualmente: os olhos do médico dizem que é melhor oferecer ao paciente após a remoção. Portanto, o preto não pode ser branco, mas o outro é adequado: o que é bom para um é para o outro - "morte". Em outras palavras, tudo é individual.
A propósito, um dentista respeitável que usou a mesma técnica por muitos anos, considerando-a mais eficaz no tratamento, abandonou-a recentemente em favor dos menos populares da época. Ele escreveu em seu blog onde aconselha os pacientes: "Apenas um tolo não muda de idéia na vida". Quanto mais experiente o médico se torna, mais claro parece. Às vezes, o poder da experiência é muito maior do que as técnicas tradicionais e a base de conhecimento teórico obtida há muitos anos sobre o assunto.
Olá, Svyatoslav Gennadievich! Após a remoção de 3 dentes de uma só vez (maxilar inferior), ela foi submetida a cirurgia - exostose. Após 3 dias, começou um problema de linguagem: queimação, sensação de caqui, dormência ... Ainda não faz um mês. O médico examinou a língua, não encontrou nada, disse que a reação à anestesia. Por favor, diga-me quanto tempo esses sentimentos podem durar, porque muito desagradável ... Atenciosamente, Oksana.
Se o dano foi pequeno ou a parestesia foi causada apenas pela compressão do nervo, o período é individual: para alguém, a restauração leva várias semanas e para alguém leva um ano. Você não vai adivinhar aqui.
Ou seja, existe algum período crítico após o qual vale a pena acionar o alarme? Até agora, os médicos deram um período de 2 semanas: eles dizem o que deve passar e não vale o alarme. Como eu disse, definitivamente vai passar. A única questão é quanto tempo levará.
A parestesia pode ocorrer mesmo sob anestesia durante o tratamento dentário e ser muito persistente. Eu classificaria isso como um acidente e não um erro. Isso acontece Mas passa. Quase sempre.
O dente inferior direito da "sabedoria" foi removido. Quando eles vomitaram, o médico disse que já havia pus sob o dente. Prescrito 5 dias para beber um antibiótico - Augmentin, 875 mg. Cinco dias se passaram, vejo que a gengiva está inflamada, mais perto da bochecha, pequenos alimentos são martelados na ferida (como uma cavidade) e permanecem lá. Hoje retirei os restos (não li o artigo antes), não sei se fiz direito? Não encontrei um coágulo no oco, mas como usei cotonetes (sem ler o artigo), havia sangue neles, acho que removi o coágulo. É formado novamente por si mesmo? Ou você tem que ir ao médico para que ele pareça? 5 dias se passaram desde a exclusão. Lavado 2 vezes com camomila e 1 vez Colgate com extrato de chá (líquido de lavagem). Decidi não tocar em mais nada - tudo em si é "inteligente" e se curará. Vou tentar comer apenas no lado esquerdo da boca. Augmentin bebeu o curso completamente 2 vezes (manhã e noite, antes de comer).
Olá Eu compartilho totalmente a abordagem masculina, ou seja, sou a opção da "cura inteligente do buraco". Você quase sobreviveu ao período de desenvolvimento da alveolite, portanto, não é prático esperar pelo efeito de um buraco seco. Eu recomendo que você continue na mesma linha - siga as recomendações, e o buraco pode ser atrasado sem coágulo no seu caso. Além disso, no comentário, não notei a apresentação de queixas de dor, inchaço ou febre. Nada que indique alveolite, não. Sem um coágulo, muitos buracos normalmente se curam (principalmente “homens”), pois há menos pânico, mais comportamento masculino e um desejo de estar nas fileiras o mais cedo possível. Se sintomas graves aparecerem - para o dentista, e assim por diante - a implementação das recomendações. Depois de algumas semanas, as bordas da ferida são unidas e resta apenas uma fenda estreita.
Obrigado pela dica. É melhor tirar comida do “buraco” ou sairá sozinha?
Olá Não "retire", mas lave a boca. Como a cura primária já foi realizada e a partir do fundo do orifício parcialmente epitelizada, é possível enxaguar.É melhor consultar um médico sobre lavagens anti-sépticas. Meus colegas costumam prescrever opções "à base de plantas" (sálvia, camomila), também existem preparações farmacêuticas modernas. Acho que depois de uma consulta pessoal com um médico, você encontrará uma opção adequada, e subir no buraco com objetos estranhos é definitivamente prejudicial.
Obrigado pelas respostas. O "buraco" está sendo puxado lentamente. Sensações ainda desagradáveis, mas quase não há dor, a comida ainda chega lá. Espero que seja completamente adiado em breve. Fui ao médico, eles disseram para não enxaguar, tentar mastigar do outro lado, ter paciência e esperar - o processo está ocorrendo normalmente.
Removidos 2 dentes: um 8, segundo sete. 5 dias se passaram, não há cheiro, nem placa, a dor é fraca, as gengivas não estão inchadas. Quantos dias durará a dor leve e quando você poderá enxaguar completamente a boca para que o restante dos alimentos saia do buraco?
Olá Tatyana! Muitos médicos geralmente não enxaguam após a extração do dente. Minha opinião pessoal: bons banhos orais nos primeiros 2-4 dias após a remoção. Próximo - o buraco deve curar sem ajuda, se não houver um caso especial. O que quero dizer: por exemplo, remoção complicada de dentes do siso, um dente retardado, remoção no contexto de periostite, abscesso etc. Eu acho que, em relação à sua situação, é melhor começar a enxaguar com uma decocção de camomila ou sálvia no 7º dia após a remoção. É mais conveniente discutir esse momento com o médico assistente, responsável pela operação.
Olá. Em 23 de agosto, ela removeu o retinirovannaya inferior de 8 ku, no fundo do osso, com todos os encantos correspondentes. O médico não costurou o buraco, colocou um tampão com iodofórmio e disse retirá-lo após 5 dias. Após a remoção do tampão, o sangramento se abriu. Ele foi parado, novamente sendo reparado e tudo foi excluído após 3 dias. O médico disse que não coloque nada na ferida, lave a boca com camomila. Mas estou muito preocupado com uma ferida aberta. Não consigo comer normalmente, fecho o buraco enquanto com um curativo (em cima, raso), depois de retirá-lo e tratá-lo com Miramistin. Hoje, porém (2 semanas após a remoção), ela se voltou para outro médico (porque saiu de onde foi operada) e o cirurgião me disse para não colocar nada no buraco. Que a comida em si será empurrada para fora, e lavagens suficientes! Além disso, o médico ficou muito surpreso com o fato de o orifício não ter sido suturado (sempre tão profundos).
Estou muito preocupado que a comida caia no buraco e cheire! E a inflamação começará. É possível revisar o buraco, limpá-lo, formar um coágulo e costurá-lo firmemente, 2 semanas após a operação? E se for impossível costurar, o Solcoseryl pode ser usado? E como, então, colocá-lo profundamente no buraco (eu não entendo muito fundo, acontece apenas de cima e o buraco parece grudar e voltar a divergir para os lados durante o dia).
Olá Acho que, depois de duas semanas, não faz sentido costurar, já que as bordas da ferida não se aproximam qualitativamente. Quanto ao Solcoseryl, é melhor consultar o seu médico local, pois os médicos não têm o direito de fazer recomendações à revelia (via Internet). Sua lógica está próxima de mim, mas é melhor ter uma consulta na cadeira do dentista. Sobre o enxágue - eles são preferíveis após 2 semanas a partir da fase de extração do dente. A ferida é epitelizada ativamente do fundo do buraco, portanto, após cada refeição, recomendo fazer isso. Obrigado pela pergunta.
Boa tarde Exatamente há uma semana, eles removeram meu dente do siso na mandíbula inferior à direita. O dente estava quase completamente coberto pela gengiva. A operação durou uma hora e meia. Após a remoção, eles suturaram, mas não em toda a ferida, cerca da metade. Enviado para casa, escrevendo ciprolet por 5 dias e analgésicos. No segundo dia, o inchaço apareceu, a bochecha estava quadrada.No mesmo dia, houve um exame de um médico que disse que estava tudo bem. O edema diminuiu quase completamente no dia 4, a garganta não doeu mais e, na área dos gânglios linfáticos, também ficou mais calmo. Mas a dor permanece na região das gengivas e ouvidos! Eu ainda bebo analgésicos. A temperatura está normal. Não consigo avaliar a condição do buraco, porque por causa dos sete, nada é visível e parte da gengiva é suturada. Quanto tempo a dor pode persistir após a remoção complexa? As dores de ouvido são normais? Devo ir ao médico ou esperar um pouco mais?
Olá De acordo com a sua situação, você pode assumir qualquer coisa: desde dores no fundo de uma operação traumática até fragmentos esquerdos no buraco e até possíveis danos a um dente vizinho (ou coincidência - pulpite de um dente vizinho ou até 6). É difícil excluir o último sem inspeção e perguntas adicionais. Mais perto de 70-80%, parece-me que apenas a síndrome da dor prossegue no contexto do processo inflamatório local no buraco, que continua com alguma compensação do corpo. Quanto à duração da dor - tudo individualmente. Geralmente, de 7 a 14 dias, pode haver dor ao mastigar - o efeito banal da irritação da gengiva. Dores agudas difíceis de interromper com analgésicos não são a opção mais comum após 3-5 dias, mesmo após uma operação traumática. Estou certo de que é necessária uma consulta médica para esclarecer essas questões.
Olá. Hoje tirei 36 com periodontite. Removido por um longo tempo, 2,5 horas. No final, o médico colocou algodão com pasta no buraco, para prová-lo, como antes, colocar os recheios. À noite, ela começou a se sentir muito doente com essa pasta. Diga-me o que devo fazer? Ir ao dentista para retirá-lo ou esperar que ele caia?
Olá Na minha prática, essas coisas aconteciam quando, de acordo com um método ultrapassado nesse assunto, eu colocava flagelos ou esponjas anti-inflamatórias e analgésicas nos orifícios após a remoção. Há cerca de 5 anos, não pratico essa terapia, pois basta consertar a ferida, como esperado, e haverá felicidade. Mas ... Sempre existem apoiadores desse método de tratamento, e o sucesso às vezes ocorre mesmo nessas situações. Outra opção é quando, como você, muitas pessoas não fazem isso por causa da náusea causada pela "impregnação" da droga. Certamente, muitos dentistas abandonaram esses fundos, em grande parte por causa de seus efeitos na existência confortável de um paciente já sofrendo. Tenho certeza de que não faz sentido tolerar um medicamento não aceito pelo organismo, mas é melhor criar condições para que ela tenha um poço com anestesia para que ela se cure sem doping.
Artigo estúpido, se não simplesmente prejudicial. Fotos enormes com buracos, pus, sangue ... É absolutamente inútil para um médico: um médico competente obtém conhecimento no instituto, com base em muitos anos de treinamento, de acordo com um programa especial (sem valor para um "médico" que obtém seu conhecimento com várias fotos coloridas e explicações abstrusas do processo )
Para o paciente, é simplesmente prejudicial: ao estresse recebido da operação para remover o dente, em vez de um ambiente calmo e benéfico, adicionam-se "histórias de horror" coloridas e intimidações elementares. Além disso, em vez de aconselhamento elementar e competente sobre os cuidados após a operação para remover o dente (que, de fato, deveria estar disponível no site aberto), o autor ainda tem comentários condescendentes e desdenhosos sobre a prática médica profissional universalmente aceita e os conselhos dos médicos sobre cuidados pós-operatórios: “O fato é que alguns pacientes, por engano, começam a enxaguar com qualquer coisa: refrigerante, sal ...”.
Ao mesmo tempo, o autor, expondo uma foto dos medicamentos, está clara e abertamente envolvido em publicidade franca de certos medicamentos.
Eu não concordo com a sua opinião.O médico é muito inteligível, em uma linguagem compreensível para um simples leigo, responde às perguntas feitas a ele. Obrigado a ele por isso. Estou lendo há uma hora, estou interessado. Você não gosta - faça outra coisa.
Olá, há 3 dias removi o último dente de cima. Antes disso, eles tentaram tratá-lo, removeram os nervos, mas os dentes doíam e inchavam na bochecha. O inchaço desapareceu somente após 7 a 10 dias. Quando o médico verificou, enfiando uma agulha nos túbulos, doeu em um só lugar, então ele decidiu remover o dente. Não encontrei a causa dessa dor. Ele removeu o dente, houve uma extração difícil. Depois que a injeção foi embora, aquele lugar doeu muito, bebeu a pílula - passou. Há um coágulo, alguns acastanhado-acinzentado, a bochecha está inchada o suficiente. Não consigo fazer isso sem pílulas, minha garganta e minha testa doem, doam para a orelha e a linha inferior e superior de dentes dói no local da extração. O que fazer Ir ao dentista? Temperatura 36.9. Mau hálito. Eu tenho medo que os buracos purulentos.
Olá Com alveolite, pode haver dor irradiante causada por um processo inflamatório no orifício. Inchaço das bochechas e odor putrefativo também confirmam o suposto diagnóstico. Em qualquer caso, você deve definitivamente consultar um dentista e descobrir a causa exata da dor. Eu não recomendo puxar e esperar que ele passe. Alveolite é uma doença insidiosa. É muito mais fácil tratá-lo nos estágios iniciais do que quando o exsudado começa a "penetrar" profundamente na mandíbula. Desejo uma solução rápida para o problema!
Olá. Quase um mês atrás, eles removeram meu dente do siso. Depois de remover a ferida, doeu por quase 2 semanas, não houve inchaço e odor desagradável, mas a ferida não durou até o final. Algo branco é visível por dentro, com a minha língua sinto um aprofundamento, não há dor. Essa é a norma ou preciso consultar um médico? Agradecemos antecipadamente a sua resposta.
Olá Se houve uma extração difícil de um dente do siso, o processo de cicatrização é frequentemente atrasado. A ferida pode fechar completamente somente após 2-4 meses. Quanto ao branco, pode haver diferentes opções:
1. Deixado na preparação do poço;
2. Contato com alimentos dessa cor, etc.
Existem versões menos populares, mas o fato de você procurar o dentista é 100%. Portanto, à revelia, sem inspeção, é difícil dizer algo específico e prescrever (se necessário) o tratamento adequado. Obrigado pela pergunta.
Boa tarde Hoje é o terceiro dia em que eles removeram meu dente do siso abaixo. A remoção foi muito bem. Anestesiado, removido com bastante facilidade e o médico suturado. Olho no espelho a gengiva cicatrizante, exceto as costuras, nada é visível, mas se pressionar um pouco no lado da gengiva, dói um pouco. Tudo bem? Espero que este não seja um sinal de inflamação sob as suturas?
Há dois meses, ele arrancou 47 dentes ... As gengivas não cicatrizaram. Diga-me como acelerar a cura?
Olá Existem meios: medicamentos que melhoram a troficidade nas gengivas e aceleram os processos de regeneração (para uso em odontologia). No entanto, um medicamento específico é prescrito estritamente por um médico e sempre pessoalmente.
Também posso dizer que a cura ultra-rápida não pode ser obtida. Você pode ajudar, mas apenas parcialmente, em média, leva de 4 a 6 meses para restaurar completamente as gengivas e ossos do processo alveolar. E no que diz respeito apenas as gengivas - 2-3 meses para a sua forma esperada.
Obrigado pelo artigo e a todos pelos comentários. Tentei encontrar respostas para minhas perguntas nelas, mas ainda pergunto aqui.
Há 4 dias, um dente foi removido e um cisto foi cortado com ele, o dente foi removido por um longo e doloroso tempo (parece que ele desmoronou e teve que ser arrancado em pedaços), e então os implantes foram instalados. No dia da operação, houve uma dor infernal dolorosa que não pôde ser removida com analgésicos. À noite, bebi um sedativo e mais um nurofen. De alguma forma adormeceu.No segundo e terceiro dia, começou a inchar, a dor ficou um pouco menos, mas você não pode prescindir dos comprimidos. A partir do terceiro dia, comecei a tomar antibióticos prescritos por um médico e dissolver o Imudon. Agora eles estão preocupados com um revestimento branco no buraco, e ainda assim essa dor está doendo (o tumor diminuiu ligeiramente). Eu gostaria de saber se esse fenômeno é normal - dor e placa (eu “acabo” muito que não é placa, mas pus, mas parece que não há cheiro). O buraco em si também não dói, dói tanto o osso no qual os implantes foram inseridos.
Serei muito grato por qualquer tipo de resposta.
Olá Com dinâmica positiva, é difícil suspeitar de algo ruim. Quanto à placa de luz - ela está frequentemente presente durante a cicatrização e as sensações dolorosas após a remoção desaparecem dentro de 4-7 dias, às vezes 10-12.
No entanto, existe, é claro, uma razão para visitar o médico que instalou os implantes. Ele deve monitorar constantemente o estado das estruturas instaladas, pois táticas adicionais e a perspectiva de um resultado positivo de todo o trabalho dependem disso. Obrigado pela pergunta.
Olá. Peço que você responda minhas perguntas: o fato é que, há uma semana, tive uma remoção difícil da parte superior 17. Houve uma perfuração do fundo do seio maxilar. Estou preocupado com a pergunta: isso (quero dizer, um buraco no meu peito) pode crescer de uma maneira natural? Talvez isso possa de alguma forma ser facilitado por certos tratamentos?
Olá E como você entendeu que tinha essa complicação? Parece-me que o dentista tomou todas as medidas para eliminar as possíveis consequências. Não vou entrar em detalhes técnicos, mas, como você calmamente faz essa pergunta, durante o almoço você toma sopa, macarrão etc. não flua do nariz, como às vezes é o caso. Com toda a seriedade.
Isso significa que, se o médico eliminou uma possível variante das conseqüências descritas acima, o orifício cicatrizará normalmente (é melhor que isso aconteça sob a supervisão de um dentista). É importante consultar um médico aqui, a fim de corrigir novos tratamentos, se possível.
Conclusão: é possível restaurar o poço da maneira natural com essa complicação durante a remoção, é claro, principalmente com o gerenciamento profissional do tratamento.
Olá, um enorme pedido para comentar sobre minha situação. Em 2 de setembro, os oito inferiores foram removidos, a gengiva foi cortada, um pedaço da mandíbula foi cortado. Nos primeiros cinco dias, bebi um antibiótico, cerca de dez dias para analgésicos. Depois, tudo se encaixou, mas depois de 20 dias comecei a me preocupar com a dor da remoção. O cirurgião examinou, disse que a pulpite, ou as oito primeiras, foram enviadas ao dentista. O dentista não encontrou pulpite óbvia, limpou a cárie e é tudo. Este problema não resolveu. O cirurgião removeu os oito primeiros (após os quais houve uma perfuração no seio, uma semana passou com um tampão, ao que parece, tudo está atrasado), também por. O dentista exibia os seis e sete inferiores, onde a cárie não era adivinhada novamente. Cinco dias se passaram desde as últimas manipulações, continuo tomando analgésicos de manhã e à noite, estou sentado neles há 20 dias. Tirei uma segunda foto panorâmica - não há fragmentos, os ferimentos após a remoção são normais. Diga-me, por favor, qual poderia ser o motivo para prestar atenção? Estou muito preocupado com o uso de analgésicos há quase um mês e meio.
Olá Sua situação não é fácil. Qual é o melhor lugar para começar: existem algumas opções que você pode experimentar juntas ou individualmente. O primeiro é procurar a consulta pessoal (de preferência com fotos na mão) para 2-3 médicos em diferentes clínicas, a fim de obter uma opinião de terceiros (independente). Agora, você nem pode colocar minha opinião na lista, porque sem ver sua situação clínica na cavidade oral, é difícil para mim lhe dizer uma coisa.A segunda opção é me enviar uma análise das imagens panorâmicas pelo correio deste site (consulte a seção "Comentários"). Eu gostaria de ver uma nova imagem panorâmica com um novo tratamento e depois de todas as exclusões. Talvez eles lançem luz sobre o dente causador. Parece que você já fez muito trabalho inútil e é indesejável produzi-lo ainda mais. Às vezes isso acontece com neurite e neuralgia do trigêmeo, e os dentes não têm nada a ver com isso. A análise das imagens pode confirmar minhas suposições, ou elas serão refutadas e haverá um dente ruim específico.
Boa noite, em agosto, retirei o dente do siso inferior, pois havia dor na redução da mandíbula superior e inferior, o dente estava meio coberto com um bolso das gengivas, e verificou-se que havia restos de comida e pus que causavam dor. Após a remoção, após três semanas a dor desapareceu, mas retornou algumas semanas atrás, não consigo entender o que está errado de novo. Diga-me, por favor.
Olá Gostaria de verificar a sabedoria adjacente ao dente removido, a fim de excluir o processo cariado oculto. A inspeção do orifício para inflamação da gengiva marginal não faria mal. Entre em contato com seu dentista para obter orientação - receio que sem um exame seja difícil tirar conclusões definitivas. Obrigado pela pergunta.
Boa tarde Hoje (quatro horas atrás), dois dentes do siso foram removidos no lado direito. A operação não foi complicada. O analgésico passou, a dor é fraca, o sangramento passou. As glândulas submandibulares aumentaram levemente e doeram quando pressionadas. O resto me sinto bem. Espero que a cura corra bem.
Eu tenho uma pergunta estúpida. Quando posso beijar e fazer sexo oral? Obviamente, com uma ferida aberta na boca, é impossível trocar fluidos biológicos. Até que ponto esperar: antes de apertar a ferida? Até a cura completa?
Olá Conheço muitas opiniões dos colegas de que o beijo pode ser feito após a extração (ou dentes) sem causar danos à saúde. Com uma "troca fluida", é até uma ajuda à imunidade: no caso de você ter um parceiro regular em quem você tem 100% de certeza. Quanto às situações em que o parceiro não é permanente: acho que não vale a pena beijar o primeiro a chegar sem um certificado adequado, pelo menos por razões de segurança e após a extração do dente - principalmente quando houver uma ferida aberta na boca.
O que quero dizer é que, com um parceiro regular (não contagioso), com quem você tem um longo relacionamento, você pode beijar completamente de 5 a 7 dias após a remoção, quando a fase ativa da cicatrização de feridas está em andamento. Se você desenvolver sintomas de alveolite (o buraco dói, apodrece, inchaço, cinza sujo, hálito pútrido, temperatura), é melhor não beijar para seu próprio conforto e, é claro, o conforto do parceiro.
Quanto ao sexo oral: se você tem certeza de que seu parceiro está seguro em todos os aspectos, recomendo usar um preservativo (temporário). Eu acho que duas semanas com cicatrização normal do buraco não é um tempo tão longo.
Olá doutor! Estou preocupado com mal-estar geral, falta de força e desconforto nos gânglios linfáticos do dente extraído. Hoje é o 8º dia em que removi um complexo de 8 ku. 2 semanas antes da remoção, a gengiva estava inflamada e cedia no linfonodo submandibular, a temperatura era de 37,2. Pareceu ao dentista, ele disse que enxaguar com sal e refrigerante até que a inflamação diminua. Então, 5 dias foram lavados, mesmo assim a gengiva estava inflamada. No sexto dia, me inscrevi na remoção de um dentista, mas ele disse que, enquanto houver inflamação, você não pode removê-la, beba Tsifran ST, um curso de 5 dias. Bebi todos os 5 dias, mas além da temperatura de 37,2, que durou por toda a administração de Cyfran, meu apetite desapareceu e os gânglios linfáticos começaram a se sentir ainda mais fortes ((
Fui ao departamento da ChLH no hospital da cidade, coloquei-me em um hospital, nomeei uma ceftriaxona v / m. No terceiro dia do curso, os oito infelizes foram removidos, a temperatura durante todo esse tempo foi de 37,1. No sétimo dia do curso - 36,6 linfonodos, a fraqueza começou a ser sentida. Eles escreveram, apesar das minhas queixas do mal-estar geral e dos linfonodos, eles disseram que isso é normal. Agora, estou em casa, seguindo as recomendações para cuidar da cavidade oral, mas o estado de fraqueza, fraqueza, mal-estar doentio e desconforto nos gânglios linfáticos da lateral do dente extraído são irritantes ((já faz 8 dias desde a remoção. Bem, por quê? ((
Olá Eu acho que você foi mais uma vez "promovido" e perdeu um tempo precioso em um curso de antibióticos que se mostrou inútil (em vez de remover o dente causador imediatamente). Nesse contexto, você pode ter a condição descrita. Reduzir a imunidade também pode ser de grande importância. De um modo geral, muito poderia ser afetado aqui, mesmo o estresse que surgiu como resultado desse atraso na remoção e tratamento domiciliar, preservando um dente doente e entrando em um hospital - uma situação que pode levar qualquer pessoa adequada a um canto.
Após a operação (e a extração dentária é uma operação), você tem um estado de recuperação gradual do corpo. Um amigo meu chama essa situação de palavra espaçosa - "proscrito". Pessoalmente, acho que você deve verificar sua condição com um terapeuta local, é possível que você precise acelerar a recuperação aumentando a imunidade, bebendo um curso de vitaminas, etc. Tudo isso é prescrito por um clínico geral. Além disso, você controla a situação na cavidade oral no dentista, não acho que possa haver uma reclamação no trabalho dele.
Boa tarde
É normal que, após a extração de dois dentes do siso, não haja dor, mesmo após o término da ação da anestesia? Absolutamente, nem dói nem um pouco. Em teoria, a ferida deve, de alguma forma, fazer-se sentir, mas aqui é tão estranha ...
Olá Você tem muita sorte, pois muitas pessoas experimentam certos problemas após a extração do dente. Em geral, a ausência de sintomas desagradáveis após a remoção é a norma, uma opção ideal para a cura. Em princípio, para remover 2 dentes do siso, isso poderia ser chamado de um caso raro quando tudo estiver em ordem; há suspeitas de que esses dentes do siso tenham certas características que o ajudaram a encontrar-se em uma situação normal. Embora em minha prática tenha havido muitos casos em que extrações complexas (não apenas dentes do siso) nem no primeiro dia, nem no segundo, nem no futuro trouxeram ao paciente qualquer inconveniente. Então, tudo o que resta é se alegrar e desejar a mesma felicidade para as pessoas que ainda precisam remover os dentes quando é impossível preservá-las.
Olá doutor! Quatro dias atrás, os seis primeiros foram removidos. Tenho 60 anos e decidi colocar os dentes em ordem - mais uma vez para limpar, tratar e finalmente preparar os dentes para a instalação de coroas (algumas após tratamento repetido tinham paredes muito finas). Havia cárie da raiz nesses sete, e fui aconselhado a removê-la e depois colocar o implante. Apaguei-o pela primeira vez e fiquei com medo, mas tudo parecia correr bem, doía apenas no primeiro dia, no segundo dia sem dor. Mas o médico que removeu o dente disse que o implante, provavelmente, não pôde ser instalado, porque seio maxilar baixo e espessura óssea insuficiente, confortando que em um mês você verá como o osso é restaurado. O que precisa ser feito para maximizar a recuperação óssea - tome algum medicamento ou algo mais? Não tenho deficiência de cálcio devido à idade.
Olá Eu não acho que na sua situação você possa acelerar significativamente o crescimento ósseo com alguns medicamentos osteotrópicos.Às vezes, especialistas no campo da implantação colocam preparações ósseas artificiais diretamente no orifício para evitar sua atrofia e acelerar sua formação para implantes retardados de alta qualidade. Não tenho certeza sobre a competência do seu dentista / cirurgião. É possível que ele tenha uma atividade com foco restrito, e você precisa de um implantologista que ajude nessa situação específica, quando a espessura óssea não for suficiente. Se o seio maxilar estiver baixo, a elevação preliminar do seio ajudará. Eu recomendo fazer uma consulta cara a cara com um implantologista experiente. Obrigado pela pergunta.
Removido o molar superior. Demorou 3 semanas após a remoção. Eu bebi um antibiótico. Não havia sangue imediatamente após a remoção. Agora a ferida está mal cicatrizada, tudo está solto, o osso interfere da borda.
Olá O fato de que após uma remoção traumática não formou uma ferida de qualidade é um defeito do médico. Naturalmente, esses buracos às vezes levam à alveolite e, de fato - complicam extremamente a vida do paciente. A borda aguda do osso (exostose) é geralmente aconselhável remover com anestesia. É mordido com pinças de osso ou corrigido com uma fresa. Este procedimento é rápido e sem medo, pois é realizado com anestesia, mas a ferida cicatriza mais rápido e com mais conforto. Portanto, faz sentido entrar em contato com um especialista inteligente para dar uma aparência normal ao buraco. Obrigado pela pergunta.
Olá doutor! 17.10 removeu a parte superior esquerda 3 e 4, com uma sutura. Tudo estava maravilhoso, mas hoje na gengiva, fora do local dos dentes extraídos, encontrei uma espécie de crescimento, um tubérculo. É de cor rosa (como uma goma), não dói, mas ao lado dela há algum tipo de processo duro e agudo, com pressão, uma leve dor aparece. O que poderia ser? Devo correr urgentemente para o dentista? Agradecemos antecipadamente.
Olá Pode não ser necessário fugir com urgência, mas vale a pena, pois é provavelmente a borda afiada do osso (exostose). Diretamente acima no comentário, eu já indiquei ao seu "colega infeliz" o que o médico faz nessa situação. A principal coisa - não tenha medo e seja saudável!
Olá pessoal! Vou te contar minha história. Tudo começou há 15 dias! As gengivas começaram a doer, mas à noite a dor diminuiu completamente. No domingo, acordando de manhã, vi uma bochecha direita inchada no espelho, e novamente a dor, e não doendo mais, mas uma forte pulsação. À noite, senti cheiro de pus na boca e descobri que minha bochecha estourou e saiu pus - tive uma fervura no ouvido, como resultado, estourou na minha bochecha. Fiquei certamente surpreso (não estou mentindo).
Na segunda-feira, o inchaço começou a diminuir e na terça-feira, 8 de novembro, desapareceu completamente. Fiquei encantado, mas à noite a dor se fez sentir, nem estava claro o que dói exatamente: uma orelha, uma gengiva ou uma bochecha. No dia 12 de sábado, começou uma dor infernal. Descobri um buraco na gengiva, de onde vinha o pus, e ainda sentia o mesmo dente do siso com a língua. Como o domingo era um dia de folga, eu tive que suportar a dor, mesmo analgésicos não aguentaram. Na segunda-feira, 14 de novembro, marquei uma consulta com o dentista, ela olhou, pegou a gengiva e de lá saiu sangue com pus. Ela disse que se sentiu melhor, mandou um raio-x. Antibióticos prescritos e clorexidina. E, de fato, a dor se foi completamente.
No dia seguinte, cheguei a ela novamente, ela olhou para a foto: meu dente estava completamente horizontal, pressionou o dente seguinte e começou a apodrecer. Em geral, ela me enviou para a área! No dia seguinte, cheguei à odontologia regional. Eles tiraram uma foto e descobriram que, por outro lado, eu tenho o mesmo dente, também está na horizontal. Eles disseram que precisavam ser removidos em um hospital, no ChLH, e enviados para lá. Eles me colocaram lá e no dia seguinte começaram a operação. Eles injetaram lidocaína (água) e o médico iniciou o processo de remoção.
A dor era infernal, porque apenas metade dessa água funcionava.Ele só conseguiu rachar o dente, depois foi chamado para uma operação de emergência. Sem pensar duas vezes, corri para a farmácia e comprei ultracain com adrenalina (compare preços: lidocaína, 6 ampolas - 18 rublos., Ultracain, 1 ampola - 105 rublos). Em geral, ele injetou comigo, meu coração já estava batendo. O médico começou a remover duas raízes. Bottom line: 5-7 minutos, e não há raízes, e mais importante - sem dor! Houve sangramento após a operação em torno de 10 horas e dor após a ultracaína sair. Eles injetaram um anestésico e a dor desapareceu completamente.
Hoje é dia 7, não havia temperatura ou inchaço, e também a dor. Parece que o médico fez tudo o que era necessário, pelo qual sou muito grato a ele! Mas a aventura não termina: após 3 semanas, exclua do outro lado ((
Boa tarde Na sexta-feira, 18, os seis inferiores foram removidos, sem um instantâneo. Ele excluiu bem, rapidamente, o dentista disse que excluiu tudo, não se preocupe. Ele receitou analgésicos, lavagens, um antibiótico, como eu disse que havia recentemente tirado uma foto desse dente e uma bolsa purulenta foi descoberta. Em geral, um dente foi removido com um processo inflamatório, ao que parece. Após a anestesia, senti dor por sete dias. Não havia inchaço ou cheiro. Vi nimesil. Em algum lugar no quarto ou quinto dia, fui ao médico, que disse que estava tudo bem. A dor não diminuiu. No sétimo dia, voltei-me novamente ao mesmo dentista: finalmente tirei uma foto, mas não vi nada na foto. Mas ele limpou o buraco sob anestesia, foi terrivelmente doloroso, mas sofreu, como resultado, ele pegou um cisto de lá. Limpei tudo, lavei, coloquei a pomada sob um guardanapo. A pomada é terrivelmente amarga) As dores passaram no mesmo dia, ficam um pouco fracas depois de comer ou enxaguar, mas acho que isso é normal, porque há feridas. No dia seguinte, o médico novamente colocou a pomada sob o marlechka. A questão é: deve haver um coágulo no buraco após a limpeza ou não? Qual deve ser o buraco durante a cura normal? Uma partição é exposta no buraco; nada cobre de cima. Depois de comer, lave. É normal que o buraco esteja vazio?
Olá O fato de o dentista colocar o medicamento no buraco para você, buscando neste método uma tentativa de eliminar o foco infeccioso e o processo inflamatório nesse contexto, determina em muitos aspectos a ausência de um coágulo, pois é difícil formar-se na presença de uma pomada aplicada.
Se o septo no orifício for exposto (há tecido ósseo que não é coberto pela gengiva), isso geralmente complica as condições de cicatrização e cria pré-requisitos para sensações dolorosas, especialmente durante a mastigação. O fato de o orifício permanecer vazio também não é muito bom, pois não protege nada, mas depois de um certo tempo após a extração do dente (cerca de 7 a 10 dias), os riscos de um orifício vazio causar o desenvolvimento de alveolite já são mínimos. Simplesmente, o tempo de cicatrização na ausência de um coágulo sanguíneo aumenta e você não deve esperar pelo conforto de tal situação em um futuro próximo, enquanto o buraco é um tipo de armazenamento de partículas e bactérias de alimentos da cavidade oral. Se você sofrer de dor, entre em contato com seu dentista e ajuste o tratamento.
Olá. Tirei um dente há uma semana, não sei como se chama; em geral, mastigo. O procedimento não foi bom, metade do dente foi trincado e o restante foi quebrado com algum tipo de ferramenta afiada. Como resultado, no dia seguinte minha bochecha estava inchada e minhas gengivas doíam. Um dia depois, ela foi ao médico novamente, lavou a ferida com furatsilin para mim e a mandou para casa. Nenhum medicamento é permitido para mim, desde que estou grávida, 28 semanas. O médico disse que voltaria para ela em um dia e, enquanto isso, fizesse banhos de refrigerante e sal. Eu estava com um mau hálito terrível, o médico realmente não disse nada, me lavou apenas com furatsilina e peróxido e fui atormentado por uma dor terrível durante toda a semana, o paracetamol não me salva. O ouvido já começou a doer, mas não sei o que fazer.Como aliviar a dor? O que fazer Pelo que entendi, não tenho coágulo de sangue lá (
Olá Você tem sintomas de alveolite incipiente e seu médico pode exacerbá-lo. Eu recomendo entrar em contato com outro dentista, já que o furatsilin é ontem, e remédios populares irritantes, como refrigerante e sal, são o caminho para lugar nenhum: danos diretos ao buraco e nada mais. A propósito, lavar o buraco com peróxido de hidrogênio também é uma ação muito duvidosa para uma cura confortável.
O dente da irmã foi removido. Após 5 horas, a mãe lavou com refrigerante e sal! E então eles lêem que é impossível. O que vai acontecer agora?
Olá Não recomendado - não é o mesmo que não. Vou explicar a diferença. O fato é que, em segredo, mesmo entre os métodos populares de tratamento, não há mal absoluto (bem, exceto pelos absurdos que existem fora do comum). Quanto às lavagens com soda e sal após a extração dentária: é da mesma ópera. Alguns dentistas acreditam que isso é sabotagem, já que os riscos de lavar um coágulo de sangue protetor do buraco são altos e, de fato, dói enxaguar com essa solução cáustica nos primeiros dias após a extração do dente. Outros dentistas ainda prescrevem esse método a seus pacientes: alguns quase desde o primeiro dia de remoção, outros nos dias seguintes. Mais médicos daqueles que consideram a técnica obsoleta e arriscada, mas isso não significa que seja no seu caso individual que ela certamente prejudicará. Se esse enxágüe for tolerado satisfatoriamente, talvez, pelo contrário, ajude a evitar a supuração do buraco devido ao acúmulo de alimentos na gengiva e sua deterioração.
Pessoalmente, não prescrevo refrigerantes após a extração dentária, mas conheço muitos médicos que os utilizam com sucesso na prática. Portanto, você deve observar a condição de sua irmã: presença de dor, temperatura, inchaço, hálito pútrido, tolerância a essas lavagens, etc. Se tudo estiver dentro dos limites normais, não há motivo para entrar em pânico e correr imediatamente para o médico. Obrigado pela pergunta interessante.
Diga-me, por favor. Dois anos atrás, eu removi o top 6, depois a sinusite foi perfurada. O buraco ainda não cicatrizou, a sinusite também falhou. Mas o buraco não incomoda nada. Será possível costurar ou inserir um dente assim?
Olá Se você quer dizer que há 2 anos há uma comunicação da cavidade oral com o seio maxilar (seio maxilar), isso parece extremamente improvável, pois você simplesmente não pode comer normalmente: o componente líquido sai pelo nariz. Por 2 anos, o buraco pode não cicatrizar por apenas uma razão - quando parte do dente, por exemplo, a raiz, fica nele. É por isso que sua pergunta parece bastante estranha à luz da minha experiência cirúrgica e requer um exame completo. Posso dizer remotamente algo mais específico, se houver uma foto do buraco (a área onde o dente foi removido há 2 anos) - você pode enviá-lo para o correio do site.
Há 4 dias, minha filha removeu o resto do dente. A operação levou 10 minutos. Existem dores agora, não periódicas, mas existem. E há o cheiro de podridão. Preciso consultar um médico ou ele desaparece? Enxaguar a boca produz clorexidina.
Olá Sinceramente, entendo que, às pressas, ao escrever uma pergunta, você pode perder o principal, mas, nesses casos, é importante descrever a situação com mais detalhes. Por exemplo, quando você fala sobre sua filha, eu imediatamente tenho uma pergunta: quantos anos ela tem, ela removeu o dente de leite? Vamos supor que sua filha já tenha mais de 18 anos e os restos de um dente permanente (raízes) foram removidos para ela, e a pergunta é: esses sintomas podem ser diagnosticados com alveolite?
Provavelmente não, sim.Você escreveu apenas dois sintomas que, mesmo pela sua descrição, não são básicos. Como na alveolite existem dores, mas fortes, latejantes, sem interrupção dos analgésicos, no entanto, também há pequenas dores no estágio inicial. O cheiro de “podridão” ocorre com alveolite, mas também acontece sem ele, quando o buraco se transforma em uma espécie de lata de lixo para partículas de alimentos e bactérias da cavidade oral, mas o sistema imunológico está calmo quanto a isso. Não há outros pontos importantes para indicar. Sua filha está com febre e, se sim, o que? Inchaço das bochechas, gengivas, assimetria facial? Inchaço da gengiva na área de remoção: a ferida é hiperêmica, coberta com um revestimento cinza sujo ou não? Quando você clica na gengiva perto do buraco, o pus é liberado? Quais foram as recomendações após a remoção, além de enxaguar com clorexidina? Ou talvez você mesmo tenha começado a aplicar esse método de tratamento? Muitos dentistas não recomendam esse tipo de enxágüe. Há uma chance de que, devido à manutenção pós-operatória inadequada do furo, tenha ocorrido um problema. Com essa apresentação do material, só preciso escrever que você precisa consultar um médico o mais rápido possível para não atrasar antes das férias.
Removido o 7º, canto superior esquerdo, 01/01/2017. 3-4 meses atrás, eu tirei debaixo da raiz. Tudo explodiu, curou normalmente, colocou uma coroa.
Os nervos são removidos há muito tempo, os pinos são instalados nas raízes. 2 anos atrás. E agora o primeiro e o segundo números de tormento, 2 pastilhas de ketanov não ajudaram. 3 no trabalho esgotado. Eu o removi, ficou muito mais fácil, mas o cheiro da minha boca é como em uma farmácia. A dor é pequena, as gengivas estão levemente inchadas em direção às bochechas, manchas brancas desagradáveis ao redor da ferida.
Ele começou a beber nimesil e enxaguar com um rotokan. Eu tenho medo de cometer erros. Diga e aponte os erros, se houver. Obrigado pela atenção.
Olá A julgar pela sua descrição, no momento não há motivo para preocupação. As gengivas nos primeiros 3 a 5 dias após a remoção estão sempre um pouco "inchadas" ao redor do buraco, já que se trata de uma ferida, e uma ferida é um processo inflamatório contra um fundo de trauma. O corpo reage aos danos dessa maneira. Manchas brancas são percebidas por muitos como patologia. De fato, essa placa branca na gengiva consiste na proteína do sistema de coagulação do sangue - fibrina e serve como um curativo natural que impede a penetração da infecção e protege a ferida de lesões mecânicas. Não aceito enxágües, embora eles ajudem muito na medida de limpar as feridas de alimentos, bactérias, etc. Obrigado pela pergunta.
Olá pessoal. Cerca de cinco dias atrás, retirei o dente do siso. Tudo parece estar indo bem. No exame, não há inflamação. Eu continuo tomando antibióticos por mais dois dias. O local onde o dente foi suturado - a julgar pelos comentários, ele não é suturado com frequência. Gostaria de saber como você define o mau cheiro de um buraco assim?
Quando arranquei um dente, tive medo de que o buraco cicatrizasse por um longo tempo. A conselho de um médico, ele lavou a boca com uma decocção de calêndula e absorveu Trachisan. Ajuda a remover a infecção na boca e, após a extração do dente, é importante.
Olá, removi os seis primeiros mais de dois anos atrás. Ainda existe um buraco, um palito de dente atinge o osso e, ao lado do buraco na gengiva, a ponta do fragmento é sentida. O buraco crescerá após uma operação de remoção de fragmentos?
Olá Penso que o problema nem está neste fragmento, mas em quebrar uma parte da raiz do dente após a extração traumática. O buraco cicatriza em grande parte em 2-3 meses, e por seis meses a partir dele e o traço normalmente deve permanecer. Acho que vale a pena tirar uma foto do dente para avaliar quanto material "estranho" há na gengiva e, em seguida, é imperativo remover o que não foi completamente removido há mais de dois anos. Se tudo for feito corretamente, o buraco sarará dentro de alguns meses e em seis meses a gengiva ficará uniforme.
Olá, eu tenho 26 anos, quando adolescente, as presas superiores foram removidas, pois ficaram tortas por cima. Então os dentes do siso cresceram e os dentes seguiram em frente. Há dois meses, o dente do siso superior foi removido (acredita-se que fica no sétimo dente) no lado direito, com base em que será difícil de tratar e que não possui funções especiais. Durante a remoção, algo rachou e o sangue não parou por muito tempo, muitas vezes teve que trocar o cotonete. Perspex na garganta, era difícil de engolir. Então, nos dias seguintes, ela notou sangue do nariz no lado direito. Um problema de fala apareceu, a bochecha caiu dentro, desconforto completo, dores ainda não desaparecem, ocasionalmente ouço alguns cliques no nariz. Eu quase não falo por causa de um impedimento de fala (como se bolas estivessem cheias na minha boca), enquanto há uma sensação de aperto no próprio maxilar. A vida se tornou um pesadelo ... O que fazer agora neste caso? Como posso corrigir isso? Do médico, esse sentido não está mais lá. Por favor, ajude, como ser?
Olá Entre em contato com sua cirurgia maxilofacial imediatamente, pois seus sintomas indicam danos à parede do seio maxilar. Se a cavidade oral não se comunicar diretamente com a cavidade nasal, isso não significa que não há risco de infecção do seio maxilar. Com atraso, você pode obter sinusite crônica, o que exigirá tratamento sério. O cirurgião maxilofacial deve avaliar o escopo do problema visual e radiologicamente, e só então a questão do tratamento será decidida - provavelmente, será rápido, mas é muito cedo para tirar conclusões. Não vale a pena culpar o médico assistente: é difícil conhecer antecipadamente a anatomia das raízes e sua proximidade com o seio. Na maioria das vezes, os dentes 4, 5 e 6 superiores “sofrem” isso, mas o oitavo deve, em teoria, estar longe dessa estrutura significativa da mandíbula superior, mas em casos raros, ainda acontece como o seu. Não adie o tratamento por um longo tempo, pois você corre o risco de sofrer uma complicação e o buraco se cura inadequadamente. É melhor escolher a cirurgia maxilofacial do centro odontológico, onde existe um hospital. A especialização desses médicos é sobre casos extraordinários - e o pior acontece. Por exemplo, durante uma refeição, a comida em pacientes graves cai diretamente no nariz e o deixa, ou seja, o seio fica aberto a "todos os ventos". Não puxe com ir ao médico e saúde para você!
Olá, fui a algumas hl com instantâneos e um instantâneo 3D. O corpo estranho (material de preenchimento) e a seta afiada do canal tratado 6 do dente que se projetava para o seio (2012) eram visíveis na imagem. O primeiro hl não viu nada e disse que estava tudo bem e não havia mensagem, o próprio selo resolveria, etc. A dor não parou até hoje. Uma pessoa viu a causa no mesmo sexto dente e viu que o selo cobre apenas um canal, os outros dois passam pela infecção e devem ser removidos junto com o selo. Ela disse que há sinusite. Outras pessoas confirmaram sinusite crônica odontogênica e a causa no 6º dente, e o 8º provocou uma exacerbação. Sugeriram sinusotomia maxilar radical com remoção, etc.
Então eles enviaram para a laura. O ENT dissuadiu de uma intervenção radical em conexão com as consequências e um buraco no crânio, dizendo que é possível remover o selo pelo nariz. Durante esse tempo, o nariz estava completamente bloqueado por dois lados, era impossível dormir. O olfato se foi. Houve um ruído nos ouvidos, secura severa ao respirar. Dor sinusal no lado onde o dente foi removido anteriormente. Eu tive que ir urgentemente ao hospital para uma operação. Em casa, todo mundo era a favor de remover o recheio com uma microtirotomia pelo nariz. E eles dirigiram para a laura (nenhum hospital neste hospital). Uma operação foi realizada com urgência sob anestesia geral. Depois houve fortes dores e muito sangue fluiu pela nasofaringe. Eles mostraram uma foto de uma foca coberta de um corpo de fungos e é isso. Eles não fizeram a semeadura, disseram que não havia pus, o algodão no nariz foi removido no segundo dia. Não havia resposta para o motivo pelo qual o outro lado ainda não estava respirando.O selo não é enviado para exame, o médico não fala sério (anteriormente elogiado). Por uma semana, eles simplesmente injetaram cefazolina e limparam as crostas do nariz (eles não enxaguaram, dizendo que não havia pus, embora o pus tivesse saído).
Como resultado, eles receberam alta com um estado supostamente normal, embora o pus frequentemente falasse sobre dor. Em casa, sua condição piorava, o pus aumentava a cada vez e o pescoço do sexto dente começou a reagir à comida e à água, exatamente quando a bochecha tocava. E as dores se tornaram ainda mais intensas, foram dadas aos olhos, ao templo, ao ouvido. O sangue sai com coágulos e pus, periodicamente com coceira no nariz, clica novamente. O outro lado é constantemente bloqueado, o cheiro não é sentido, a boca está seca. Hoje, a área do 6º dente é coberta com revestimento branco, a circunferência do colo do dente é marrom. Agora não sei o que fazer. A remoção resultará em uma mensagem básica.
Se você apenas remover o dente e se o pus sair e limpar pelo orifício ou pelo nariz, seguido de plastia com sutura do orifício? Ou você tem que fazer uma operação radical com remoção? Agradecemos antecipadamente!
Se a periodontite já estiver no sexto dente, o que claramente provoca inflamação no seio maxilar, ela deve ser removida imediatamente com cirurgia plástica do fundo do seio. Não há nada de assustador e "radical", apenas é importante encontrar um médico experiente.
No geral, o caso não é simples e, definitivamente, não consigo resolver seu problema à revelia, especialmente porque até os especialistas que viram você na cadeira discordam. Portanto, encontre um bom médico, confie nele e aja como ele diz.
Olá, um dente molar foi arrancado na minha mandíbula, depois de remover as gengivas, fiquei gravemente doente por quase 4 horas. A boca mal se abriu, sua língua sentiu algo afiado. Hoje de manhã acordei e tirei um dente com a língua. A dor diminuiu um pouco, mas do lado da bochecha com a borda do buraco, sinto um osso - como se a parede de um dente. O que poderia ser? Agradecemos antecipadamente.
Olá Pode ser:
1. A borda afiada dos alvéolos (osso), que não é coberta pela gengiva;
2. Um fragmento da coroa do dente extraído (menos provável);
3. Ou um pedaço de osso que se partiu durante o deslocamento das raízes - a parede externa ou interna dos alvéolos, segurando a gengiva.
Somente um dentista pode determinar com precisão. Eu recomendo que você entre em contato com seu médico, mas se você perdeu a confiança nele, você deve consultar qualquer outro cirurgião-dentista. Pode ser necessário tornar o buraco mais "limpo", às vezes isso requer anestesia adicional e intervenção superficial para conforto futuro e cura bem-sucedida.
Olá Minha filha teve um fluxo. Eles colocaram um remédio no dente dela. Uma semana depois eles vieram e o retiraram. Restava remédio na gengiva, o dente era leitoso.
Olá Isto não pode ser. Tudo o que foi colocado no dente é removido a priori. A menos que as raízes se rompam, então isso é duvidoso. Talvez o médico intencionalmente tenha colocado algo no orifício do dente extraído para prevenir a alveolite? Gostaria de esclarecer com você esses detalhes, sem os quais o diagnóstico adequado é impossível.
Olá Em 31 de janeiro, 48 dentes foram removidos para indicação ortodôntica. Nenhum medicamento foi prescrito. Todos os dias a dor diminui, tudo parece estar bem. Mas a dormência do queixo direito e do lábio inferior permanece. O que poderia ser? E isso vai passar? Para o médico apenas em 10 de fevereiro.
Olá Isso geralmente é consequência de um pequeno hematoma que comprime o nervo mandibular. Com uma operação excessivamente traumática, é até possível ferir um “ramo” de um nervo que passa no canal. Isso é muito menos comum - e mais provável durante a implantação, do que na remoção do dente do siso. Os casos médios se ajustam ao momento da passagem dos sintomas em cerca de 2-3 semanas, no máximo em um mês.Dinâmica positiva é uma diminuição nas manifestações de dormência a cada semana que vem. Estou certo de que tudo ficará bem com você. Obrigado pela pergunta.
Há duas semanas, removeu os oito inferiores e, ao longo do caminho, um selo de sete partidas. A consulta não foi realizada. Após cerca de 40 minutos, o swab foi removido e lavado com sálvia, removendo o coágulo. Após 5 dias, fechei o 7-ka porque o oco interferiu e cortou a língua com a parede do dente. Logo a mandíbula superior ficou doente, na qual 6 e 7 foram removidos em junho e depois a gengiva foi operada - a borda afiada foi removida. Após cerca de 2 meses, fui protetizada, mas agora não uso a prótese - ela dói lá embaixo no local dos 8 removidos, a gengiva está inchada e dolorida. O buraco estava apertado, mas não apertado, sem suturas. O dente foi removido por 8 minutos, 3 ferramentas, de acordo com o testemunho da imagem - um orifício na raiz. E ele doía. Devo procurar um dentista ou tudo vai dar certo? Obrigada
Olá 2 semanas após a remoção do dente do siso inferior, é pouco tempo para usar confortavelmente uma prótese removível, uma vez que o orifício não foi completamente curado e a restauração da crista gengival está em pleno andamento. Tenho certeza de que é necessária uma consulta com um dentista ortopédico, pois vale a pena descobrir se há exostoses e bordas afiadas do orifício, que complicam a cicatrização normal e podem se tornar um obstáculo ao uso da prótese no futuro. Eu recomendaria por cerca de um mês não perturbar o buraco usando uma prótese. Como fazer isso com competência, apesar do fato de que você precisa continuar vivendo de alguma forma e não sentir desconforto - aqui apenas um dentista ortopédico pode aconselhar algo durante um exame pessoal.
A raiz do dente anterior foi removida. 40 minutos, gengivas estriadas, suturadas. Pré-tratado com peróxido. Ele disse que havia colocado o remédio. Sinto o gosto de iodo na boca, tão repugnante e amargo que me deixa doente. Gostaria de saber se o iodo é prejudicial? Eu engulo com saliva.
Olá Deste ponto de vista, não, o medicamento utilizado não fará mal, uma vez que o iodo nele faz parte do composto e não é tão grande que cause intoxicação. Eu entendo seus sentimentos, praticamente não uso esses medicamentos devido à incapacidade de muitos pacientes tolerarem esse sabor na boca. No entanto, nos tempos soviéticos, essa era uma das poucas ferramentas que funcionavam efetivamente em benefício do médico e do paciente na prevenção e tratamento da alveolite - em outras palavras, feridas purulentas.
Agora, muitos dentistas não aceitam compostos de iodo, pois causam alergias em algumas pessoas. Você tem quase 100% de alergias; portanto, não há motivo para ter medo a esse respeito, mas o médico deve criar conforto para o paciente. Se o que o médico colocar em si mesmo resolver, essa "esponja" ou "flagelo" deixará de funcionar dentro de 6-7 dias. Se uma das opções mais antigas para a prevenção da alveolite (iodofórmio na turunda da gaze, por exemplo) foi colocada, então é melhor remover essa economia se você não se sentir confortável com esse tratamento. Obrigado pela pergunta.
Olá Há duas semanas, fui removido 6-ku na mandíbula inferior à direita. A remoção foi rápida, mas muito dolorosa. Fiquei até surpreso, porque há vários anos eu já tinha um dente removido (6 à esquerda) e tudo correu bem, foi uma cicatrização rápida. E agora, duas semanas depois, até agora o local da remoção não foi adiado, embora tenha se tornado menor. E o que mais me excita ainda é doer. A dor irradia para os dentes adjacentes e para a orelha direita. Há 2 dias, parei de tomar analgésicos (bebi Nise primeiro e depois Pentalgin). O médico aconselhou fazer banhos com estomatopyte, mas não houve efeito. Agora estou em outro país, comecei a beber antibióticos. Eu pretendo visitar um dentista em um futuro próximo (o que não é tão simples).Minha pergunta é: eu entendi corretamente que tal situação após a exclusão é anormal? O que poderia ser? Quero pelo menos entender alguma coisa nessa situação antes de ter que me comunicar com um médico desconhecido através de um intérprete.
Olá A situação não se encaixa exatamente na categoria de norma. Eu acho que vale a pena conferir o seguinte:
1. Alveolite não tratada e suas complicações;
2. O efeito de buracos secos ou até de bordas afiadas do osso alvéolo;
3. Não excluirei antecipadamente a probabilidade de que próximo ao buraco exista um dente causal (pulpite ou periodontite).
Seja como for, se você toma analgésicos há 2 semanas, então claramente algo está errado. É necessário verificar o buraco: tire fotos de partes quebradas das raízes do dente (talvez ainda forneçam combustível para o processo inflamatório, ou granulomas, cistos são deixados no buraco). Em seguida, analise os dentes adjacentes em busca de cáries ocultas.
O que eu esboçava para verificação é suficiente para começar a procurar a causa do problema por meio de uma exceção e só então prescrever algo para o tratamento.
Olá. Há uma semana e meia, o dente da frente foi removido. No buraco, doía por cerca de uma semana, depois a dor começou a diminuir. E hoje uma formação arredondada vermelha apareceu do oco. Não há pus, não há dor em particular. Confunde - o que é isso? As bordas da cavidade têm uma cor rosa normal por fora e uma gengiva levemente inflamada por dentro. A educação se estende além das bordas da cavidade. O que fazer
Olá Nessa época, o buraco é preenchido com tecido de granulação no local onde costumava estar o coágulo sanguíneo. Se você não sente dor e inchaço combinados com um hálito pútrido, não deve fazer nada, exceto, é claro, consultar um dentista ortopédico sobre o momento da prótese dentária anterior. Se a implantação é esperada, vale a pena visitar um implantologista (cirurgião maxilofacial no campo da implantação) para planejar esse procedimento e substituir um defeito de dentição o mais rápido possível. Obrigado pela pergunta.
Obrigado, Svyatoslav Gennadievich.
Olá, hoje tirei o dente do siso, no canto inferior direito. Quando comia, constantemente mordia minha bochecha e decidi removê-la. Foi terrível, não vou descrever tudo. No momento, eu tenho uma pergunta: eles me disseram que havia um pequeno pedaço sobrando, e se ele sair e não houver complicações, então você não pode se preocupar. Mas estou preocupado - devo deixá-lo lá ou continuar de novo?
Olá Não recomendo deixar nada no buraco: fragmentos, partes da raiz do dente, granulomas, etc. - Todas essas são fontes de infecção, e o corpo nem sempre lida com isso. Certamente, em alguns casos, ele pode localizá-lo após uma longa luta, manifestada na forma de temperatura, inchaço, dor, em uma espécie de cápsula, mas isso é por enquanto. Em alguns meses ou anos, tudo isso disparará, e uma operação séria já poderá ser necessária.
Um fragmento móvel, em particular, pode sair por conta própria, mas isso implica um risco associado à espera: haverá um bom resultado - ou não? Não é uma boa ideia esperar pelo clima à beira-mar. Portanto, consulte seu dentista para processar um poço de todos os materiais estranhos. Se o médico recusar, entre em contato com outro cirurgião: tire uma foto e o médico poderá orientá-lo para ajudá-lo a resolver o problema.
Olá Diga-me, por favor, por onde devo começar o tratamento? Há 2 anos, o dentista disse que eu preciso remover 4 dentes do siso. Os 2 inferiores (esquerdo e direito) eram pretos e mal cortados, e os 2 superiores eram visualmente bastante decentes, mas, segundo o dentista, precisavam ser removidos há muito tempo, pois os dentes da frente estavam um pouco à frente por causa deles.Mas ninguém nunca me falou sobre isso antes, e eu não ia colocar aparelho ... Como fazer isso agora? Para tratar primeiro a cárie dentária, incluindo a cárie dentária (também foi cárie)? Ou você pode primeiro remover o dente do siso no canto inferior direito (o todo já está preto e não está muito bem cortado)? Um dente longo e selado com uma pequena cárie ao lado se tornará um obstáculo? Eu tenho 26 anos
P.S. É difícil sintonizar psicologicamente a extração de 4 dentes, principalmente após a leitura. Talvez não tenha pressa? )
Olá De maneira planejada, eu não recomendaria remover todos os 4 dentes de uma só vez; é melhor remover 1, no máximo dois. Em geral, o médico assistente planeja trabalhar com os dentes: sem um exame, não tenho o direito de decidir, tudo aqui é individual. Se o tratamento é muito mais importante agora, então é realizado, então os dentes do siso são removidos. Penso que o sétimo dente não se tornará um obstáculo à remoção de um dente do siso, por isso o risco de danos é extremamente pequeno se o médico for um profissional.
A melhor decisão é ouvir o dentista na área prioritária de trabalho com os dentes. Se você duvida dos argumentos deste médico, é fácil obter mais 1-2 consultas com outros dentistas em diferentes clínicas. Então você pode pesar tudo, encontrar um denominador comum e agir em conformidade. As consultas em muitas clínicas são gratuitas ou não são caras, então comece com isso.
Svyatoslav Gennadievich, muito obrigado pela resposta! Já começou a higienizar os dentes, acontece que pode haver cárie sob o recheio antigo, o que geralmente é inesperado para mim, já que não havia pontos no recheio, apenas o dente doía e reagia ao doce. Após o saneamento, o médico disse que havia cárie ... Ontem, o dente do siso inferior foi removido à direita, tudo correu rapidamente) Era pequeno, mal cortado, de modo que a cavidade depois também permaneceu pequena)) Agora não é tão assustador visitar este consultório para mim. O segundo dente do siso está à esquerda - o médico disse que ainda precisamos observá-lo, talvez ele ainda entre em erupção ... E os superiores provavelmente podem ser selados. Mas há algum sentido se, na maioria dos casos, eles são removidos das pessoas? Em geral, tudo acabou não sendo tão assustador, a principal coisa é apenas para começar))
Essa é apenas a pergunta: é melhor fazer um raio-x de todos os dentes de uma só vez (circular)? E então toda semana para tirar uma foto de um dente não é muito útil?
Olá Se você planeja corrigir a mordida no futuro, é aconselhável consultar um ortodontista dentista sobre a necessidade de remover os dentes do siso. Se você não planeja fazer algo com uma mordida (dentes irregulares), trate com calma os dentes do siso restantes, especialmente se eles estiverem em pé corretamente na dentição.
Uma imagem panorâmica é boa em alguns casos, avistamento - em outros casos (decida o seu médico). Se você tirar uma foto de filme de seus dentes não mais que 3-4 vezes por mês - isso não é crítico. E as imagens no visiograph (computador) são ainda mais seguras.
O momento em que tudo na boca é pior do que nas fotos (26 anos, 26 dos 32 dentes restantes) ...
Olá, eu fiz uma extração de dente hoje. Comi e fatias de comida caíram no coágulo, já era difícil ou difícil tirá-las. O que fazer neste caso?
Olá Nesse caso, você pode enxaguar delicadamente com uma decocção de camomila (ou sálvia) e, no dia seguinte, consultar um médico para um exame de acompanhamento do buraco na fase de cicatrização. A lavagem nem sempre é prejudicial do ponto de vista da lavagem de um coágulo sanguíneo e, no contexto do seu caso, é uma tentativa aceitável de encontrar uma saída, mas levando em consideração o controle subsequente do médico assistente.
Ontem (27 de abril) à tarde, a raiz do dente inferior 5 foi removida (apodrecida no lixo), puxada por meia hora. Agora há uma dor quase imperceptível, então parece normal. Você poderia me dizer quando é possível trabalhar normalmente depois disso (eu sou o chefe da equipe de reparo e construção e, com esse fogo, também é hora de se envolver no trabalho, e não apenas andar pela instalação e jurar subordinados por sua lentidão)?
A situação é simplesmente tal que o cirurgião não disse quando é possível trabalhar, e já é nojento para mim por minha própria inação - seis pessoas aram, e eu apenas contorno o objeto e o controle, em vez de me conectar totalmente ao trabalho. Além disso, agora está cheio de vapor, não há tempo suficiente.
Olá Você está fazendo tudo certo, não fazendo trabalho físico. Após a extração de um dente (especialmente difícil), é recomendável que você se limite a esse tipo de atividade por vários dias, especialmente esportes, levantamento de peso com inclinação e tudo mais. Tudo o que listei pode provocar sangramento tardio do buraco, pois a pressão aumenta significativamente durante esse trabalho. Em geral, no dia da remoção (especialmente difícil), recomenda-se simplesmente deitar-se pelo bem de um ente querido e seguir as recomendações básicas de um cirurgião-dentista. Nos dias seguintes são avaliados pela condição, muitos dos pacientes se dão alguns dias para sair e começar a trabalhar como funcionário em período integral. Obrigado pela pergunta.
Olá 27 de abril removeu 6 à esquerda, também removeu o cisto e o saco purulento. O medicamento não foi aplicado e o tampão também não foi aplicado, dizendo que um coágulo já havia se formado. Houve uma dor dolorida no segundo dia, e apareceu uma camada branca, sem cheiro e temperatura. No dia 30, fui fazer um exame (porque tinha medo do desenvolvimento da infecção) - eles removeram o coágulo, limparam o buraco, deram uma mordida em um cotonete de gaze e nenhum medicamento foi prescrito. Após 20 minutos, a gaze foi removida e parte do coágulo saiu (o orifício não está vazio). Hoje havia uma dor dolorida, soou um pouco no meu ouvido. Ela fez banhos de tintura de camomila. A questão é: a ferida cicatrizará por mais tempo após a limpeza? É normal que a gengiva doa novamente (após a limpeza)? E quanto tempo pode doer? Agradecemos antecipadamente a sua resposta.
Olá Às vezes, os médicos agem de forma imprudente quando realizam curetagem do orifício apenas por causa da ansiedade do paciente, quando o procedimento não é claramente necessário. No entanto, se no seu caso ainda houver boas razões (não as vi no comentário), o dentista deve ser elogiado apenas.
Após a limpeza do orifício, a ferida não cicatriza desde que cicatrizada com um coágulo “podre” no orifício, fragmentos da coroa do dente, granulomas, cistos. Após o tratamento, é claro, ocorre uma lesão repetida, e o buraco pode ser perturbador por vários dias, especialmente durante a mastigação. Geralmente isso dura uma média de 4-7 dias. Tudo é puramente individual e depende não apenas do médico e do seu corpo, mas também da correta implementação de todas as recomendações. Confie no seu médico e não se preocupe muito, mas se você tiver sintomas graves (dor intensa, inchaço, febre alta, hálito pútrido, placa cinza no buraco), não deixe de pedir uma segunda consulta.
Olá. Os dois oitos com retardo inferior foram removidos, a cicatrização correu bem, o que foi confirmado pelo cirurgião no exame de acompanhamento após 7 dias. Três semanas se passaram agora. Os pontos e a área de operação ainda estão levemente inchados e vermelhos. É perturbador que, logo atrás dos meus sete dentes, vejo um osso da mandíbula. Ou seja, o chiclete parece não alcançar os sete, embora já tenha crescido juntos. Obviamente, os alimentos entram nessa cavidade e não podem ser limpos. Este é o batente do cirurgião e eu tenho que ir xingar, ou há uma chance de que ele se cure novamente?
Olá Se você observar o tecido ósseo, isso é motivo de preocupação, pois a cura por esse ângulo é difícil e há certos riscos. Eu recomendo que você entre em contato com seu dentista para esclarecer a situação. Se o osso é realmente visível, é possível exigir do médico. Mas é melhor limitar-se à correção de feridas, em vez de entrar em conflito com um médico.
Bom dia a todos! Também apaguei um sete, no canto superior esquerdo, há uma semana (um pouco mais). Eu segui quase todas as recomendações do médico. Mas ninguém me convidou para uma consulta por algum motivo (talvez porque eu fiz uma recomendação e paguei o dinheiro após a caixa registradora). Uma coisa posso dizer com certeza: se é possível esperar um tempo favorável para a extração dos dentes de acordo com o calendário lunar, é melhor esperar! Agora, mesmo cirurgias abdominais, os próprios médicos estão tentando adiar esse período. Só não esperei um dia e agora me entendo por que o processo de cura não está do jeito que eu gostaria. O marido removeu duas vezes os dentes da sabedoria. Ambas as vezes exatamente quando eu o aconselhei. No segundo dia, eu nem me lembrava que ele tinha tanta manipulação na boca ... Então, acontece que ela estava preocupada com o marido, mas ela não se salvou.
Mas, talvez, a única coisa que me incomoda é o inchaço das gengivas no local da injeção e a borda inflamada e levemente frouxa das laterais das sete rasgadas às seis. Essa é a norma? Não há odor desagradável, apenas às vezes é como se o sabor do medicamento estivesse na boca quando a língua é sugada pela língua. Svyatoslav Gennadievich, por favor responda à minha pergunta. Não olhei para o buraco, não me incomoda, tudo bem.
Olá O inchaço da gengiva e a dor no local da injeção podem estar presentes de 5 a 7 dias e, com remoção complexa, até 14 dias. Quanto ao sabor do medicamento: provavelmente o dentista colocou um medicamento anti-inflamatório no orifício. Eu acho que no seu caso não há motivo para preocupação.
Obrigado pela recomendação de remover os dentes no calendário lunar)
Ele removeu os sete da esquerda, o buraco não está bem apertado. Eu tive que injetar para enviar sangue. Não posso continuar a instalação de cerâmica.
Olá Se você mesmo realiza "intervenção cirúrgica", isso é irracional, pois é fácil introduzir uma infecção. Em princípio, dessa perspectiva, perturbar um buraco apenas para preenchê-lo banalmente com um novo coágulo é simplesmente blasfêmia e zombaria do seu corpo. Em primeiro lugar, é importante saber o motivo exato pelo qual o orifício não cicatriza bem e, em segundo lugar, ao determinar a causa, é necessário executar os procedimentos necessários no dentista com instrumentos estéreis, e não apenas picar a ferida.
Quanto à prótese: um cirurgião ortopédico pode facilmente esperar até que você resolva o problema - e aqui você não deve se apressar, não é do seu interesse.
Um artigo maravilhoso e ilustrações para maior clareza e comparação com o seu caso. Há três meses, retirei as oito mais baixas, intensas - 3 horas, sangrando. Há um mês, o fragmento restante foi removido. A dor passou, mas há muitas sensações desagradáveis - dói, puxa, o sétimo dente é exposto e a sensibilidade aumentou, os dentes parecem ter aumentado de tamanho. O lado interno da bochecha é duro, não elástico e de alguma forma apertado mais perto da garganta. Por favor, diga-me se haverá uma melhoria? Acho que estou esperando por ele muito cedo. O médico disse que tudo havia curado bem, que o sétimo dente permaneceria nu, ele recomendou pasta de dente para dentes sensíveis.
Olá O fato de você ter visitado seu médico é maravilhoso. Entendo que a remoção foi muito traumática e não há necessidade de esperar pela rápida formação (desenho) da crista próxima ao dente do siso.Mas estou confuso com alguns dos sintomas que você descreveu: puxões, dores doloridas, aperto mais próximo da garganta, sensação de dentes aumentados. É possível que algo esteja errado com o sétimo dente (além de sinais óbvios de sensibilidade da região cervical devido à recessão da gengiva, que agora protege fracamente esse “pescoço”). Para esclarecer a situação, é importante realizar um exame e até tirar uma foto de controle do orifício e do sétimo dente. A figura mostra a situação no orifício e o estado das raízes do 7º dente.
Ou seja, agora você deve obter uma consulta de outro médico na clínica, diretamente na cadeira. Além disso, algo mais pode ser deixado no buraco - é importante ter uma idéia precisa do estado dessa área.
Olá. Ajuda, por favor. Eu removi o fundo seis dias atrás. A remoção foi difícil, restaram apenas as raízes do dente, tudo deu errado. Após a remoção, a dor dolorosa ainda não passou há três dias - o local de lacrimejamento, a gengiva ao redor, os dentes e a mandíbula adjacentes doem. Eu bebo analgésicos. Por ignorância, o coágulo pegou quando ele apareceu pela primeira vez, pensou que era pus, e hoje ele caiu. Agora, no buraco, há apenas um revestimento branco. Não há mais coágulo, estou muito preocupado com o que fiz? Fui ao dentista duas vezes, eles me convencem de que está tudo bem. O médico receitou tomar um antibiótico por 7 dias (Amoxiclav). Para que serve? Além de tudo isso, há mau hálito e se desenvolve estomatite. Nada foi lavado nem uma vez. O que você aconselha a fazer?
Olá Não vale a pena se preocupar muito. Sim, um coágulo sanguíneo é a melhor defesa biológica (curativo) contra infecções e a penetração de toda a matéria estranha no poço. Ajuda o buraco a curar-se da maneira mais confortável e rápida possível. Se, por algum motivo, um coágulo sanguíneo "cai" ou cai, muitas vezes nada de ruim acontece. O único problema nesses casos é a penetração de alimentos no buraco, onde muitas vezes apodrece, e um odor desagradável aparece na boca. Você pode lidar com isso, mas quanto à possibilidade de enxaguar com certos meios, é melhor consultar um médico. Além disso, pode ser que, em sua situação, o médico sugira a criação de um novo coágulo sanguíneo sob anestesia para não arriscar.
Quanto ao antibiótico, a antibioticoterapia às vezes é útil para que uma infecção purulenta não se junte (ou lute contra ela). Vários dentistas são contra a prescrição de antibióticos "para a profilaxia", embora não possa ter certeza neste caso, porque não conheço todos os detalhes da sua situação clínica.
Se você desenvolver "estomatite", é importante entender suas táticas de causa e tratamento, o que também determinará a necessidade de uma visita ao dentista.
Olá. Há 4 dias, o dente do siso inferior foi removido. Eles o removeram por 2 horas, colocaram alguns remédios e costuraram, prescreveram o antibiótico de tsifran e enxaguaram com camomila. A bochecha está levemente inchada, mas não crítica. No dia 2, nada doeu, mas no dia 3, a gengiva começou a doer, como se estivesse queimando e ligeiramente pulsando, não muito, mas irritante. O médico examinou e disse que ela estava se curando bem. À noite, a gengiva praticamente não dói, começa durante o dia. Tudo bem? Quanta goma pode machucar?
Olá Desde que você passou no exame de controle do médico, não vejo nada crítico nessa situação. A única coisa que vou sugerir é que as gengivas podem se machucar durante o dia durante a refeição, especialmente se o coágulo estiver parcial ou completamente ausente no buraco. Isso não significa que o buraco fique muito doente ou dolorido dia e noite, mas certas sensações dolorosas podem ser perturbadoras.
Também é bem possível que, durante o dia, entre outras coisas, você lave a boca, o que de alguma forma "irrita" a gengiva. Aqui estamos falando sobre os benefícios e alguns efeitos negativos.É por isso que vários dentistas não prescrevem enxágue, temendo que levem à lixiviação do coágulo e subsequente dor. À noite, você não enxágua, não come, está em um estado calmo, de modo que as gengivas não ficam irritadas e nada dói.
Tudo isso, é claro, não cancela a visita ao médico em caso de agravamento da situação. Enquanto isso, aproveite a vida e ouça menos as condições da cavidade dentária.
Há 4 dias, 26 dentes foram removidos. A bola do dente foi parcialmente destruída e rachada durante a tração. Doeu por cerca de 2 dias. Agora, o local da remoção está pulsando um pouco (como se o vaso lá estivesse geralmente próximo, de acordo com a frequência cardíaca). E o coágulo está cerca de 3 milímetros abaixo da borda do buraco, e um revestimento esbranquiçado na parte superior. Eu li sobre todos os tipos de complicações, agora estou com muito medo do aparecimento de alveolite. Não há odor desagradável, mas o sabor é excelente, principalmente pela manhã. Eu queria perguntar se era normal que o coágulo ficasse um pouco mais baixo (era ao longo da borda do buraco)? A complicação começará após 5-7 dias?
Olá O risco de desenvolver alveolite 1-3 dias após a extração do dente está sempre presente, independentemente da aparência visual de tudo. No entanto, as complicações após a extração dentária ocorrem com a frequência que os pacientes pensam. Mesmo o pior cirurgião-dentista que remove 15 a 20 dentes por dia, os casos de abandono radicular são muito mais comuns que a alveolite (não mais que 10 casos por 100 remoções). O ponto é que a cicatrização do buraco geralmente ocorre sem a intervenção de um dentista e, de acordo com sua descrição, no momento não há motivo para se preocupar e esperar por algo terrível.
Se você estiver muito preocupado com o resultado da operação, entre em contato com um dentista para fazer um exame de acompanhamento - isso só será recomendável, pois os médicos normais aprovam um exame agendado.
Quanto à sua última pergunta, posso dizer o seguinte: se o médico fez tudo de forma qualitativa, o risco de complicações 5-7 dias após a extração do dente (principalmente levando em conta sua descrição) é próximo de zero.
Olá A quarta semana não passa do inchaço das gengivas após a extração do dente. O buraco se arrastou rapidamente. Não há dor, mas a gengiva inchada está um pouco dolorida. Preciso ir ao médico novamente?
Olá No seu caso, é realmente importante lidar com o problema com o dentista. O fato é que em um mês o buraco deve passar pelo estágio de cura primária e, normalmente, as manifestações dolorosas já devem ser excluídas no momento. Após o exame, o médico deve tirar conclusões - o que exatamente causa dor e inchaço nas gengivas. Talvez haja bordas afiadas dos alvéolos ou uma raiz dentária tenha sido deixada no buraco. Provavelmente, você precisará de uma imagem para fazer um diagnóstico preciso. Consequentemente, o tratamento é prescrito somente após o diagnóstico.
Olá Ontem, às 16h, foram retirados dois oitos do lado direito, superior e inferior. Parece que a operação ocorreu sem complicações, porque o médico cortou calmamente as gengivas e arrancou os dentes, que ainda não haviam explodido. Como eu usava aparelho há dois anos, fui imediatamente avisado de que oito em breve precisariam ser removidos. Aqui em maio, as gengivas incharam por vários dias, imediatamente tiraram uma foto e ele mostrou que os dentes do siso estavam quase na superfície. Graças a Deus, praticamente sem raízes, já que estavam apenas começando a se desenvolver, sua posição também era normal, como em todos os dentes.
Após as garantias do dentista de que tudo iria correr bem, me acalmei um pouco e decidi remover imediatamente dois dentes, pois não devo tomar antibióticos em comprimidos por causa do diagnóstico de doença celíaca. Tenho que procurar em ampolas que eles não me venderam em uma farmácia ontem à noite sem receita médica.
Mas esse é um longo raciocínio. Talvez eu estivesse me enrolando demais e estivesse preocupado em vão.Imediatamente depois de remover os dentes, segurando gelo perto da bochecha e remover a gaze pelo cirurgião, ela foi ao banheiro e abriu a boca para pelo menos ver como tudo estava. Vi um pedaço fino e branco de algo incompreensível, remanescente do restante da gaze ou de um pedaço de papel. Ela se retirou devagar e com cuidado. Somente depois de casa eu li e descobri que esta é uma esponja especial. Mas o fato é que o dente inferior estava sangrando imediatamente após a operação. Não muito, mas não foi muito agradável provar o sangue. Também provavelmente também o dente superior estava sangrando.
Em pânico, ela escreveu mensagens para o cirurgião, mas, por sorte, ele não entrou e respondeu. Lágrimas corriam dos olhos em correntes, parentes não sabiam se acalmar. Ela se sentou com pensamentos sobre o que fazer quando era noite, para onde ir para parar o sangramento. Não comi nada, bebi apenas um pouco de água. Bebi o nurofen das crianças e a dor passou quase instantaneamente, embora não fosse particularmente. Mas havia dor de engolir. E não está na garganta, mas como se a língua, aparentemente, tocasse as bordas dos buracos, causando dor. Você pode tolerar, mas ainda não consegue engolir muito. 4 horas após a operação, quando eu já estava engasgada com lágrimas em casa, o sangramento parou. O médico respondeu que não há problema em remover a esponja. Também disse que pode haver alguma descarga. Como, não há nada com que se preocupar.
Com uma alma calma foi para a cama, e então começou. Peço desculpas por ser franco, mas babando para que todos os travesseiros estivessem molhados. Ela foi dormir às 22 horas, acordou às 3 noites. E então, durante esse período, constantemente acordava. Às vezes nem conseguia adormecer, porque queria engolir tudo. Percebi que é extremamente inconveniente para mim ficar de um lado e até de costas, os buracos começam a lamentar levemente, e um pequeno sangramento se abre, ou apenas se destaca, como meu cirurgião me escreveu. Eu tive que acordar completamente e fixar meu corpo em uma posição semi-sentada, meio deitada. Portanto, praticamente não sinto o gemido nos furos e a descarga é menor. Mas engolir ainda é extremamente desagradável. O inchaço da bochecha estava quase completo.
Peço desculpas por escrever tanto e com tantos detalhes. Mas tenho preocupações de que, devido à minha remoção estúpida e independente da esponja, o processo de cicatrização possa declinar. Vou ao médico hoje no final da tarde (agora às 5 da manhã). Acontece que apenas cerca de 12 horas se passaram após a remoção dos dentes do siso.
Muito preocupado com a questão de como cuidar da cavidade oral. A boca se abre na metade do caminho, ainda mais assustadora. Eu bebo apenas água. Receio que, se comermos, os restos de comida caiam no buraco e não haverá cura. Também tenho medo de escovar os dentes para não me machucar ainda mais. Por favor, diga-me, será suficiente levar água fervida à temperatura ambiente da minha boca, segurá-la e cuspi-la suavemente para que eu possa limpar minha boca um pouco dos restos de comida?
E o mais importante: como já escrevi, não posso tomar antibióticos em comprimidos. Era necessário encontrar em ampolas de injeções. Mas a farmácia começou e, de manhã, penso em ir para outra. Tudo bem que à noite após a extração do dente eu não tomei uma injeção, mas esperei apenas pelo dia seguinte? E que antibióticos em ampolas você pode recomendar?
Ficaria muito grato se eu receber uma resposta!
Olá Nesse caso, os antibióticos são prescritos para prevenção, embora muitos médicos considerem essa tática fundamentalmente errada. Com remoções complexas, os médicos às vezes recorrem a esse método, mas em muitas situações isso não é realmente necessário. Sobre cuidados bucais. A melhor opção são os géis anti-inflamatórios que o dentista prescreve para uso tópico. Um bom efeito é dado pelos banhos orais com decocções de ervas (por exemplo, camomila ou sálvia). É o banho, não o enxágue. Em princípio, 5-6 dias após a extração do dente, você pode enxaguar essa decocção sem problemas após comer. Nada terrível vai acontecer.Quanto à água fervida na boca: não tenho nada contra, mas você não terá um grande efeito. O fato de você ter atrasado um antibiótico por um dia não é assustador. Como eu disse, na maioria dos casos, nem são necessários antibióticos.
Não apaguei, mas fui limpar o tártaro. Nada dói, mas onde estava a pedra, deveria haver uma goma. O dentista aconselhou o gel de gel de dentrogel ... Quanto tempo a gengiva se recupera? Parece que, se o espaço entre os dentes estiver preenchido, não com a gengiva, mas com uma pedra ...
Olá Após a remoção do tártaro, a fixação gengival geralmente é restaurada dentro de 3-7 dias, dependendo da gravidade do processo inflamatório no contexto da placa dentária. O vazio será preenchido com tecido gengival, ou seja, a gengiva cobrirá o colo dos dentes. No entanto, não tenho idéia de qual é o seu diagnóstico periodontal: gengivite ou periodontite (forma, gravidade etc.), por isso não posso fazer uma previsão precisa. Se lhe parecer que o processo de restauração da gengiva não ocorre como seria desejável, faz sentido parecer ao dentista periodontista.
Tudo isso, é claro, é compreensível. Mas por que inserir essas fotos em quantidades não medidas ?! É impossível ler. E tão assustador, por que ainda temos que olhar de perto ?!
Boa tarde Na quinta-feira à noite, o dente retinado inferior 8 foi removido, removido do osso e era quase perpendicular ao restante dos dentes. Eles costuraram, no momento (no sábado), um terrível edema, que já chega ao pescoço. Não consigo abrir a boca com força total, dormência da língua à esquerda, lábio inferior e queixo à esquerda. A própria língua dói terrivelmente, toda branca, as bordas parecem corroídas, também é impossível engolir à esquerda. Tudo dói para que não haja força para suportar. Eu anestesio com cetorol 3 vezes ao dia, tomo amoxiclav e suprastina. Na segunda consulta, o médico soltou minha mandíbula com dor, disse-me para malhar, mal alcancei minha boca, tentando pressionar a gengiva. Mas a linguagem realmente dói - ela disse para aparecer na segunda-feira e enxaguar.
Mas estou preocupado com o inchaço terrível do rosto e a dor persistente. Por favor, diga-me isso é normal? Devo tirar uma foto? Quanto tempo o edema pode ocorrer e depois de quanto tempo leva para perceber a dinâmica do processo reverso do edema?
Quero acrescentar que não havia temperatura e até agora não havia mau hálito, mas isso não facilitou as coisas, tudo dói. Agradecemos antecipadamente as explicações qualificadas.
Olá A situação é complicada e, sem um exame qualificado nesses casos, é difícil tranquilizar algo (e isso não pode ser feito). Na minha opinião, a melhor opção seria entrar em contato com urgência com seu médico para realizar uma análise da situação e, se possível, ajustar o tratamento. Muitos sintomas foram coletados de sua remoção traumática do dente do siso retardado.
O que você está observando atualmente não é definitivamente a norma. É necessária uma imagem, pois é importante determinar a limpeza da ferida: se existem fragmentos de dente, ápice de raízes, cistos, granulomas. Após a remoção complexa e traumática, o inchaço pode durar de uma a duas semanas.
Olá Minha filha cresce uma presa de cima à direita na gengiva. O ortodontista se ofereceu para colocar o aparelho. E se você apenas remover esse dente, quais serão as consequências e essa é a decisão certa?
Olá Com a remoção não autorizada dos dentes que podem ser corrigidos pelo método ortodôntico, existe o risco de problemas adicionais por parte da dentição - o aparecimento de fendas, rotações dentárias e outras patologias de oclusão. Isso nem sempre acontece, mas mesmo a pequena probabilidade de uma patologia futura não dá motivos suficientes para negligenciar a opinião de um especialista.Como último recurso, você pode encontrar mais 1-2 ortodontistas para obter esclarecimentos. É possível que um deles dê luz verde à extração do dente, tendo pesado todos os prós e contras, mas, pelo menos, você terá certeza de que não está seguindo o caminho obviamente errado.
Olá Há 6 dias, os 8 inferiores foram removidos. Uma esponja hemostática é colocada na ferida. No terceiro dia, a mandíbula inferior começou a doer um pouco no lado causal, e no dia seguinte um odor desagradável apareceu, mas não forte. Agora, o cheiro quase não é sentido, mas a dor leve semelhante a uma onda na área de 3 a 5 dentes nas mesmas pragas laterais. 6, 7 sob minhas coroas. O fato é que antes de remover o 8-ki, o médico recomendou colocar 6, 7 coroas, porque eles já estão com alfinetes e isso os fortalecerá. Em outra clínica, eles aconselharam primeiro remover o 8-ku e só depois instalar as coroas.
Por favor, comente sobre a situação. O que você acha que deveria ter sido feito primeiro: coroas ou remoção? O médico, ao remover o 8, poderia danificar o 7? E uma leve dor de 3-5 dentes é a norma? Agradecemos antecipadamente.
Boa tarde, Andrey. Definitivamente, primeira remoção e depois coroas. O dano ao 7º dente ao remover o 8º é bem possível, mas agora é apenas um palpite - você precisa declarar essas coisas não remotamente, mas com um exame cuidadoso da cavidade oral e da imagem. Em relação às dores na área de 3 a 5 dentes e a um odor desagradável - provavelmente, a causa é alveolite (um processo inflamatório no orifício que causa dor, que geralmente irradia para os dentes vizinhos).
Não vale a pena se preocupar, mas será útil consultar um médico e é aconselhável para outro - não para quem removeu o dente.
Olá. Removido o top seis há duas semanas. Uma semana após a remoção, notei perfuração (a água passava pelo meu nariz enquanto escovava os dentes). O furo não cresce demais. ChLH sugeriu esperar mais duas semanas e prescreveu ascorutina, uma múmia, óleo de espinheiro e levomekol. Acontece que tudo isso pode crescer sem cirurgia? O buraco agora está limpo, mas grande. E como isso deve mudar? O que indica que o processo está ocorrendo normalmente?
Um pouco sobre o mecanismo de formação de tais defeitos: o dente superior 6 geralmente possui três raízes (duas bucais e uma palatina). Se houve um processo inflamatório crônico em uma das raízes por muito tempo, existe uma alta probabilidade de que, quando o dente for removido, uma mensagem oroantral seja recebida, ou seja, uma fístula que conecta a cavidade oral e o seio maxilar.
Acontece que esses defeitos crescem demais, mas isso raramente acontece. Avaliando sua situação, acredito que, neste caso, não faz sentido esperar pela epitelização do buraco. Eu recomendo fechar o defeito cirurgicamente.
Agora, para o processo de cura. 2 semanas após a extração do dente, o fundo do buraco deve ser coberto com mucosa. A maneira mais fácil de verificar se a fístula se fechou ou não é tentar morder suavemente a bochecha (sem fanatismo). Se você conseguir fazer isso, podemos dizer que a fístula foi fechada. Se não tiver êxito, a mensagem oroantral será salva.
Eu recomendo que você procure a ajuda de um cirurgião-dentista para uma solução rápida para o problema.
Olá, Svyatoslav Gennadievich! 01/12/2017 o 8-ku aposentado foi removido (canto inferior esquerdo). Ela começou a entrar em erupção em 2010 e empurrou 7-ku. 8 estava profundamente no osso da mandíbula e estava diretamente no nervo facial. Tanto o médico quanto eu esperávamos que aumentasse à medida que crescesse, mas isso não aconteceu.
Periodicamente, ficou inflamado e, finalmente, o médico decidiu removê-lo. Eu moro em uma pequena cidade do norte, não há departamento de CLH e 8, em geral, ninguém, a não ser este jovem médico, rasga.
Excluído em algum lugar 1 hora e 25 minutos. A remoção foi traumática, um coágulo não se formou. As raízes se romperam (uma de 4 mm e a outra de 6 mm).O médico tentou obtê-los de maneiras diferentes, mas, como eles se localizam no nervo facial e os topos esclerosados com o osso da mandíbula, por causa do risco de parestesia, ele decidiu remover os nervos nos topos das raízes, deixando os próprios topos. Tomei azitromicina 3 dias por 500 mg, nimesil 2 saquetas por 5 dias. Todos os dias, durante 6 dias, o médico penhorava alveolar. A partir do sétimo dia, deito em solcoseril, conforme prescrito pelo médico, e a cada 2 dias faço um exame.
Não havia dor, inflamação após a remoção ou agora.
Svyatoslav Gennadevich, eu li todas as suas respostas, onde você recomenda remover as raízes. Mas e o nervo sobre o qual estão os topos? Afinal, o risco é muito grande!
O médico diz que a estrutura das raízes se tornou como um osso da mandíbula e fortemente esclerosada com ele, não haverá rejeição e, se isso acontecer, não ficará no nervo.
Por favor, responda-me (não encontro um lugar) o que fazer ?! Devo remover as partes superiores do nervo? Esses tops infelizes crescerão? Qual pode ser o tempo de cicatrização do buraco? E o que poderia estar no meu caso?
Eu realmente quero lhe mostrar uma tomografia computadorizada. Como fazer isso? A alveolite ainda é possível? (tremendo com essa palavra ...) Eu realmente espero sua resposta, MUITO OBRIGADO, com antecedência. Larisa
Olá Com todo o respeito ao cirurgião, não ouvi falar sobre o método de tratamento aplicado a você. Não tenho certeza de que é possível tratar qualitativamente os canais no ápice esquerdo das raízes dos dentes, removendo o chamado "nervo" se as raízes tiverem acesso difícil + houver sangramento durante a remoção. Além disso, todo dentista sabe que a remoção do “nervo” não faz sentido no sentido endodôntico se os canais não forem selados como resultado (as bactérias da cavidade oral permanecerão com segurança nesses canais).
Acredito que aproximadamente uma hora após o início da extração dentária, o médico enfrentou um impasse: desinformar e tranquilizá-lo um pouco ou admitir honestamente um fiasco.
Quanto ao possível dano ao nervo (este é o nervo mandibular) - é realmente difícil dizer sem um instantâneo o quão perto esse nervo realmente estava e quais táticas seriam melhores ou piores. A imagem pode ser enviada para o correio do site. Agora resta apenas afirmar que o trabalho não foi concluído, pode haver consequências. Acontece que, após alguns anos, as raízes deixadas no buraco começam a ser rejeitadas, ou simplesmente entram em exacerbação com todas as consequências (inchaço, temperatura, dor intensa, violação da abertura da boca, etc.).
Quanto à alveolite - já que já faz 20 dias que o dente foi removido, ele não o ameaça mais.
Olá Há uma semana, uma retina-8 na mandíbula inferior foi removida. Nada incomoda, mas atrás do 7º do lado bucal, uma cavidade é visível, por dentro está vazia. Tudo bem? O que eu faço? E quando essa cavidade desaparece? Agradecemos antecipadamente)
Olá, Izzatbek. Como regra, a cavidade na área do dente do siso removida cura completamente em um mês (mesmo sem enxerto e sutura óssea adicionais). Todo esse tempo, uma higiene cuidadosa é especialmente importante para que o conteúdo da cavidade oral não se acumule no orifício. Se nada o incomoda, então não há inflamação e a cura normal está em andamento.
Olá É possível após a remoção do último dente na fratura superior direita do osso para que ele repouse na bochecha? E a goma não consegue agarrar o buraco completamente - é cortada como se. Pendura como um pano sobre um buraco. O osso, como um portão, está aberto no meio das gengivas em direção às bochechas. 9 dias após a remoção.
Olá Provavelmente, durante a extração do dente, a parede frontal do buraco se rompeu. Em tal situação, bordas afiadas e fragmentos de ossos são removidos. Para que seu buraco cure normalmente, você precisa consultar um médico com o objetivo de revisar o buraco e remover fragmentos e bordas afiadas.Se isso não for feito, o buraco será curado por muito tempo. Por isso, recomendo que você entre em contato com seu cirurgião-dentista o mais rápido possível.
Eu li isso Após a remoção do 6º dente inferior, passaram-se 6 dias. Tudo dói. Eu tomo analgésicos 3-4 vezes ao dia (Ketanov). E penso: estamos conquistando o espaço, os oceanos e o Ártico, mas não aprendemos como remover o sofrimento da dor de dente e restaurar nossos dentes, não para nós. Tal tormento - o século 21!
Há 6 horas, 4 e 5 dentes foram removidos de cima (quebradiços, desde que foram tratados desde 1990). Um coágulo se forma no buraco e o sangue é depositado nele (eu tenho muito). Não sei o que fazer - não vou ao médico na próxima semana. Ela tentou cortar com uma tesoura, mas novamente o coágulo aumentou.
Olá Olga! Após a extração do dente, um coágulo de sangue normalmente se forma no buraco - isso é absolutamente normal, pois é um tipo de curativo biológico que impede a infecção de entrar na ferida. Nos primeiros 3 dias, você não pode ferir o coágulo. Você escreve que tentou remover (cortar) uma parte do coágulo com uma tesoura - não deve fazer isso para evitar o desenvolvimento de alveolite (inflamação do orifício). Se um coágulo não cria extremo desconforto com suas dimensões, é melhor não tocá-lo, gradualmente ele começará a se desintegrar.
Olá Eu tenho um 6 na mandíbula inferior. O médico disse que colocaria a válvula e curaria a ferida. Mas durante a operação, eu não conseguia entender quando e como ele colocou o “osso”. De acordo com meus sentimentos, ele raspou o conteúdo do buraco sem parar, alternadamente, e aplicou tampões no curativo. Ele nunca colocou pontos. À minha pergunta, ele respondeu que tinha feito tudo, e a ferida é muito pequena, não é necessária uma sutura. Eu li que o material osteoplástico pode ser "lavado" do orifício se não for suturado. Eu tinha grandes dúvidas sobre o uso do Collapan pelo médico (ele levou um dinheiro considerável para este material).
Por favor, ajude-me a entender como esta operação deve ocorrer. Como entender que a válvula foi usada?
Alguns dias após a operação, o coágulo estava coberto com placa branca, ficando mais baixo do que as bordas da gengiva (como se estivesse cedendo). Praticamente não há dor e inflamação também. Ficaria muito grato pelas respostas!
Olá Anna. Os grânulos de Kollapan estão embebidos em sangue e podem não ser visíveis. O material pode realmente cair do buraco sem suturar. Verificar agora se o material ósseo foi usado ou não é praticamente impossível (mesmo usando raios-X, pois a válvula não é um material de contraste de raios-X).
A placa branca é fibrina, um dos sinais de cicatrização normal do orifício, por isso recomendo olhar a situação de uma perspectiva positiva.
Olá Após o implante na mandíbula superior, de acordo com o sistema All on six, e a remoção do dente do siso inferior, é doloroso abrir a boca na área de junção da mandíbula (perto da orelha) por 2,5 semanas. O implante e a remoção não foram realizados na minha cidade, por isso é impossível conseguir uma consulta com um médico. Por favor, diga-me, isso é normal, isso acontece? E qual é a razão?
Olá Svetlana. Às vezes, a dor ao abrir a boca pode ser observada - como regra geral, ao remover o 8-ki (até que o buraco esteja curado). Cerca de um mês deve passar. No entanto, observe que após a implantação, os exames médicos são necessários; portanto, recomendo que você venha periodicamente ao exame médico e tire fotos.
Removido há 6 dias, o primeiro dos quatro oitos (vou excluir todos os 4). A remoção não é complicada, demorou cerca de 20 segundos, não houve dores após a remoção ou nos dias seguintes. Mas eu li que todo mundo aparece no dia seguinte, "revestimento branco" - fibrina.E eu, ele, parece, começou a aparecer apenas no sexto dia. Pelo menos eu espero que seja ele. Eu não lavei, então não lavei nada e há um coágulo desde o primeiro dia. Isso tudo me chateou, agora vou fazer uma consulta.
Atualização em 22 de setembro de 18. Em geral, passaram-se 1,5 semanas, a gengiva já se arrastou, não tive placa branca (fibrina). No entanto, ele cura bem e rapidamente, apesar do fato de que há uma semana estou resfriado. Aguardando recuperação e removendo o segundo 🙂
11 dias atrás, removeu os oito primeiros. Removido facilmente, não foi doloroso. Nenhum ponto foi aplicado. A anestesia desapareceu completamente 3,5 horas após a remoção. O tampão foi removido da ferida após 20 minutos, como o médico disse. O dente foi removido às 18 horas. O sangue parou apenas pela manhã. 2 dias de dor, bebeu pentalgin. Agora também dói às vezes. A gengiva no local da remoção ainda dói, inchada. Um buraco no dente extraído se abre na gengiva; não há coágulo. A comida fica entupida no buraco. Tem que enxaguar com camomila. Este é um processo normal de cura?
Olá, esse processo de cura não é normal. Um coágulo de sangue protetor não se formou no buraco, que serve como curativo biológico asséptico, o que levou à inflamação da cavidade do dente extraído - portanto, são observados edema e dor. É bastante semelhante ao desenvolvimento de alveolite. Por isso, recomendo não esperar pelo agravamento da doença; é melhor entrar em contato com um cirurgião-dentista para avaliar a situação e corrigir o tratamento (pode ser necessário curetagem do orifício).
O dente do siso inferior foi removido (não podia cortar, os alimentos no bolso começaram a provocar inflamação). O processo em si: foi cortado, tudo foi endurecido, o próprio dente foi removido em um segundo, agarrando e não há. Coloque alguns pontos. O processo é desagradável, mas não há para onde ir, você precisa suportar.
E então as danças com um pandeiro começaram ... Cerca de duas horas após a remoção, começou uma dor que eu estava pronta para escalar a parede. Por cerca de uma hora, cortei círculos ao redor da sala, andando um pouco perturbador. Também ajudou a bater minha cabeça contra a parede, mas não tanto, é claro. Eu não esperava que houvesse tanta dor. Depois de algumas horas, eu estava completamente cansado de aguentar, bebi cetanos ... Ficou mais fácil, a dor se foi. A condição geral era - como se ele estivesse doente, resfriado. No dia seguinte, uma fraqueza selvagem, ficou na cama o dia todo, mas não houve dor. Em geral, apenas uma pílula de analgésico era suficiente.
3 dias se passaram. O processo de cicatrização está indo bem - antibióticos, banhos, anti-histamínicos estão todos bêbados. Mas surgiu a questão: se você olhar de perto, poderá ver um buraco ali. Real como um bolso. Ele vai se arrastar? Não há coágulo de sangue, as paredes não apresentam danos, é improvável que cresçam juntas sozinhas. Ou a gengiva se recuperará de baixo? Pocket - isso é ruim? A ingestão de alimentos, sua podridão, inflamação ...
Olá Após a cirurgia, essa dor às vezes é característica nos primeiros dias, também é possível o inchaço. Você fez a coisa certa para tomar o analgésico.
Sim, depois de remover o dente do siso, um pequeno orifício pode se formar na área de extração. O buraco será necessariamente atrasado, mas o processo de regeneração dos tecidos moles levará algum tempo (em regra, leva de 1,5 a 2 semanas). Se não houver coágulo sanguíneo no orifício do dente extraído, você ainda deve procurar um médico para verificar se o processo de cicatrização está ocorrendo normalmente. Os primeiros sintomas de complicações são fortes dores no soquete e um odor desagradável (geralmente após 3-4 dias).
Se tudo estiver bem, a gengiva se recuperará dentro de 1,5 a 2 semanas. Quanto ao bolso (buraco vazio) - isso realmente não é muito bom devido à ingestão de alimentos, embora nem sempre seja crítico do ponto de vista do resultado final. Seja como for, recomendo entrar em contato com seu médico para garantir que tudo esteja indo bem.
Em suma, puxou o top 8-ku.Como o médico disse, velo após 30 minutos para baixo, e não comeu 4 horas. Mas ele tomou chá com camomila - talvez o coágulo voasse. Está longe de ser visível, não sei como parecer. Eu tentei o espelho - ele não entra na minha boca, mas se o acrobata tem um espelho grande, a gengiva pode ser vista, mas o olho não chega lá. Então ele rachou biscoitos com camomila e trepang com mel 3 colheres de sopa. Ele deixou alguns pedaços de trepang naquele lado da gengiva e adormeceu (o trepang é apenas bactericida e cicatrizante). Não escovei os dentes, ainda não há cheiro. Eu tomo café, meus interlocutores estão sorrindo - aparentemente tudo está bem. Parece que, de qualquer forma, não sinto nada. Coloque gostos, vou escrever uma sequela.
Depois de remover a raiz do dente, um buraco foi suturado para mim, mas eles não disseram quando vir para remover os pontos. Quando devo ir ao médico?
Olá Vlad. Se suturas não absorvíveis forem usadas, as suturas após a extração complexa dos dentes serão removidas após 5-7 dias. Portanto, a essa altura, é necessário marcar uma consulta (e mesmo que o fio seja absorvido automaticamente, visitar um médico ainda não será supérfluo).
Apelo aos criadores do site, foi realmente impossível fazer uma foto menor? Você leu o texto, desceu - e depois tirou fotos sangrentas de buracos? A foto poderia ser mais ética? Não li, quase vomitei pelas suas fotos!
Meu chiclete estava inchado, cortado e o pus continuava saindo e saindo. Uma semana depois, ele foi ao médico novamente - eles disseram que um dente deveria ser removido. O dente foi removido e o pus está indo e vindo, já em dois dias. Eu já tenho um linfonodo inchado, lavo constantemente com furacilina. O que isso significa e é normal?
Olá Inicialmente, você fez uma drenagem (seção da gengiva) - isso é necessário para obter uma saída adequada de pus. Se o tratamento domiciliar correto for prescrito, essa drenagem deixará de "funcionar" assim que o fluxo purulento não der certo. Agora, além da incisão nas gengivas, há também um orifício no dente através do qual o pus pode sair. É necessário monitorar o processo de saída do pus e ser submetido a exames de controle por um médico (tenho quase certeza de que você foi a um cirurgião com edema difuso, e essa é uma condição bastante perigosa). Quanto ao linfonodo, tudo aqui é individual e é difícil avaliar a situação à revelia (sem fotos e exames). Portanto, não deixe de consultar o seu médico.
Olá Há 30 dias, eles removeram o "tronco" (quatro). Ele já estava todo escuro, podre, etc. Ele não foi ao médico imediatamente, esperando enxaguar a dor com sal e refrigerante, e bebeu diclofenaco por sete dias. Lançado em geral. Quando percebi que nada ajuda, fui desistir. A remoção não foi totalmente direta. As gengivas estavam inflamadas, o médico usou duas ampolas de anestesia (já que após a primeira ainda sentia dor). O dente não cedeu imediatamente, foi removido por 20 a 25 minutos.
Então tudo parecia estar normal. Ele bebeu como prescrito pelo médico Nimid e Tsifran. A dor gradualmente diminuiu. Depois de 2,5 semanas, decidi ir ao médico. Não houve dores óbvias. Mas, às vezes, algum tipo de desconforto passava despercebido. Além disso, no espelho, ele notou que não havia coágulo (embora ele estivesse definitivamente na primeira semana). O médico me examinou, sentiu com uma ferramenta e me tranquilizou. Ele disse que está devagar mas curando, o osso está fechado. Ele disse que tudo está lentamente coberto de chiclete. Ele bateu nos dentes vizinhos para cárie. Prescrevi o ibuprofeno por 5 dias e disse-me para voltar em um mês se algo ainda estivesse me incomodando.
Duas semanas se passaram desde então (ou seja, um mês a partir da data da remoção). Subjetivamente, o buraco ficou um pouco menor, mas ainda não estava apertado. Não há dores permanentes óbvias, mas às vezes parece que algo está escorregando. Embora, talvez seja apenas a minha hipocondria.
Em princípio, eu provavelmente me acalmaria e esperaria uma cura completa, mas cerca de duas semanas após a remoção, tive um sintoma estranho - às vezes os dentes rangeram. Esta é uma contração única a curto prazo dos músculos da mandíbula. Mioclonia ou o que é chamado corretamente. Ao mesmo tempo, a mandíbula não dorme e não dói. Eu posso abrir minha boca e mover meus maxilares livremente. Isso é especialmente frequente e, consequentemente, interfere no sono.Em geral, as contrações musculares na hora de adormecer são consideradas normais (empurrão hipnagógico): para alguém, o braço puxa a perna. E, às vezes, tenho dentes rangendo em vez de pernas ou braços. À noite, quando estou cansado, de alguma forma escorrego esse momento e mais ou menos normalmente adormeço. Mas de manhã, se eu acordei com antecedência, já é difícil adormecer novamente. Isso é estranho, não parece bruxismo. Este não era o caso antes da extração dentária.
Em conexão com todas as opções acima, tenho várias perguntas:
1. Quão normal é que o orifício não tenha sido completamente apertado um mês após a remoção?
2. Que tipo de ranger de dentes? Isso pode ser devido ao estresse? Estou muito preocupado com toda essa situação (geralmente sou neurótico na vida, tenho hipocondríaco com medo). Poderia ser uma variante da norma durante a cicatrização do buraco “quatro”, após a cura completa ela passará? Isso poderia ser devido à falta de pressão na mandíbula? A partir do momento da remoção (mês), como apenas o lado direito da mandíbula para não danificar o orifício e para que os alimentos não caiam. E, em geral, tento falar menos risadas, etc. Talvez, pelo contrário, seja necessário dar uma carga e o tônus muscular seja normalizado?
3. Um dente cariado não pode machucar e, ao mesmo tempo, interferir na cicatrização do buraco e provocar o barulho dos dentes? Um dente cariado tão oculto poderia ser apenas um dente adjacente ao soquete ou mesmo um na boca?
Obrigada
Olá Denis. Com base no que você escreveu, podemos concluir que a extração dentária foi difícil - nesses casos, o período de cicatrização pode exceder 30 dias. Quanto ao "barulho de dentes e espasmos musculares" - é difícil conectar isso à remoção (pode valer a pena marcar uma consulta com um neurologista para uma consulta). Um dente cariado, extração dentária e cicatrização de um buraco não podem causar os sintomas que você descreveu.
Na ausência de dor, é necessário mastigar alimentos nos dois lados da mandíbula.
Olá. Diga-me, por favor: há 4 dias eles colocaram um selo no meu dente. Alguns dias depois, meu queixo estava inchado, foi aberto e um dente foi removido um dia depois. Agora, quantos dias vai curar?
Olá Sanchar! Normalmente, nesses casos, a cura leva pelo menos 2-4 semanas. Dependendo do diagnóstico e do grau de trauma do procedimento.
Olá Eu tenho um problema desse tipo: há 3 dias, eles removeram o canto inferior esquerdo oito, o que antes era terrivelmente doente. A remoção em si era geralmente rápida e indolor, mas depois disso comecei a não sentir dor, mas sensações entorpecedoras (ou talvez coceira) no lugar do dente rasgado. Além disso, esse "efeito" se espalhou para os dentes vizinhos. Durante o dia, ainda é suportável e você pode, de alguma forma, escapar, mas à noite, ao ir para a cama, essa coceira se intensifica. Então, eu quero perguntar: este é um bom sinal? E é possível, de alguma forma, livrar-se da coceira ou minimizá-la ao mínimo?
Olá Sergey. É difícil dizer sem exame se a aparência de coceira, como você escreve, é um "bom sinal" ou, inversamente, um sinal de um processo inflamatório. Eu recomendaria entrar em contato com um médico que realizou uma operação para remover um dente do siso. É necessário realizar diagnósticos na área do dente extraído, bem como nos dentes adjacentes. Após o exame e o diagnóstico, o médico fará as recomendações necessárias, levando em consideração sua situação. De qualquer forma, se não houver dinâmica positiva, você não deve deixar a situação sem vigilância.
Olá. Ao remover a figura oito, o dente adjacente foi tocado, houve um grande preenchimento. Agora, resta pouco deste dente, está quebradiço no topo (aparentemente, os restos de um selo). Agora, a dor intensa após comer e enxaguar vem deste dente, pois está vivo comigo.Não posso escovar, é doloroso e tenho medo de pegar o resto do selo. Quanto tempo após a remoção da figura oito posso tratar este dente vizinho?
Olá Anna. Se você tiver mais dores no dente, entre em contato com o seu médico o mais rápido possível. É urgente tratar um dente em tal situação, e não há indicadores de tempo. Negligenciar visitas oportunas ao dentista pode levar a consequências muito mais graves do que o risco de perturbar o orifício de cicatrização.
11/12/19 Eu tinha um dente removido, 7 (canto inferior direito). A remoção foi difícil, todas as membranas mucosas da região foram rasgadas. Costurado com catgut, foram aplicados 7 pontos. No primeiro dia, 1 ponto foi aberto e o nó caiu. Na boca como geléia. No fim de semana, um fluxo se formou. Fui a Barnaul, lá o cirurgião limpou tudo, colocou turunda, encheu completamente o buraco e colocou algodão com pomada levomekol por 15 minutos. Ao redor do tecido da mandíbula, os lados lingual e bucal ainda estavam danificados. O médico corrigiu todos os inchaços que interferiam e machucavam a língua. Antibióticos prescritos e analgésicos (ciprofloxacina e nimesulida). Eu bebi tudo. Virou novamente, apontou um laser. Mas tudo não fecha o buraco, não se forma! O que eu faço?