
Em seguida, você aprenderá:
- Atualmente, o implante dentário é realizado durante a periodontite e que dificuldades podem ser observadas?
- O que exatamente acontece na cavidade oral durante a periodontite e a doença periodontal e como esses processos afetam o sucesso do procedimento de implantação;
- Quais são as opções para próteses, dependendo das diferentes situações clínicas;
- Que tipos de implantes podem ser usados se o paciente tiver periodontite (doença periodontal);
- O que é importante prestar atenção após a implantação dos dentes já em casa, para evitar que a periodontite continue seu trabalho destrutivo.
Atualmente, a periodontite é uma doença quase tão comum quanto a cárie dentária, e muitas vezes leva à mobilidade e à extração múltipla de dentes. A questão de saber se é possível colocar implantes na periodontite amadureceu desde o momento em que a tecnologia dos implantes dentários acaba de receber sua justificativa científica e gradualmente começou a ganhar popularidade. Surgiram dúvidas dos médicos sobre a viabilidade do implante em relação a uma doença como a doença periodontal (que ocorre em aproximadamente 1-3% dos pacientes).


De um modo geral, os dentistas foram divididos em dois campos: alguns acreditam que o implante de dentes com periodontite e doença periodontal é um evento muito duvidoso. No entanto, outros, ao contrário, observam a alta eficiência das próteses nos implantes, mesmo na presença dessas doenças.
Além disso, a abordagem do problema em si é de particular interesse. Por exemplo, cirurgiões maxilo-faciais e implantologistas consideram um desperdício de tempo e dinheiro "fortalecer" dentes ruins no contexto de periodontite e, além disso, periodontose, enquanto os periodontologistas apresentam os mais recentes desenvolvimentos relacionados à preservação dos dentes da extração no contexto dessas doenças e defendo fortemente que esses dentes ainda precisam tentar economizar.
Nota
O implante dentário é uma técnica protética inovadora que permite substituir dentes perdidos ou problemáticos, implantando "raízes" metálicas na mandíbula, seguidas pela fixação de coroas nelas. Tais coroas nos implantes permitem não apenas imitar os dentes naturais em um plano estético, mas também retornar a função perdida (mastigação) com a restauração de uma mordida completa.

Então, é possível colocar implantes para doença periodontal e periodontite e, em quais casos, preferir essa abordagem? Para entender melhor as especificidades dos problemas e dificuldades que podem surgir, vamos primeiro examinar o que exatamente acontece durante a periodontite e a doença periodontal com os tecidos ao redor do dente ...
O que acontece na boca com periodontite e doença periodontal
O precursor da periodontite é geralmente a gengivite - inflamação das gengivas que ocorre sem comprometer a integridade da articulação gengival. A gengivite pode aparecer na infância e adolescência devido ao acúmulo de placa bacteriana nos dentes devido a tratamento ortodôntico inadequado, estresse, tabagismo, distúrbios imunológicos, doenças agudas e crônicas, desnutrição, má oclusão, falta de higiene bucal, falta de tratamento odontológico adequado, etc. .d. Bactérias (menos frequentemente fungos e vírus) tornam-se a causa direta do aparecimento de processos inflamatórios nas gengivas, que mais cedo ou mais tarde se transformam em periodontite.

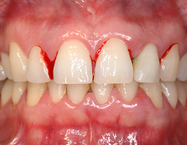
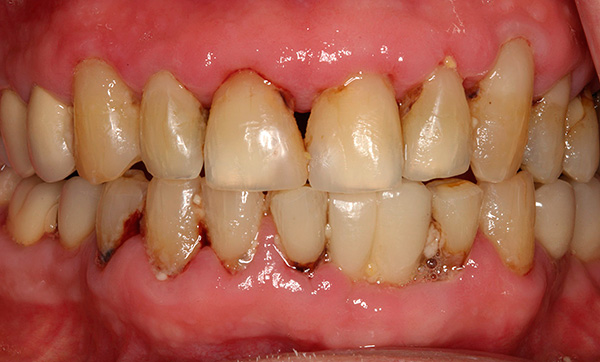
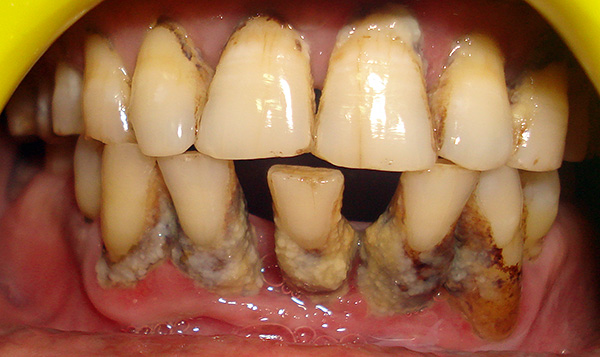
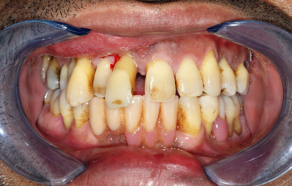
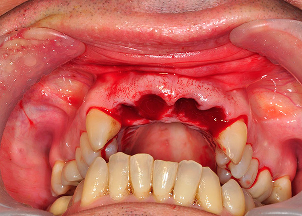
A periodontite é uma das causas mais comuns de perda dentária, pois a progressão da doença literalmente destrói as "células" dentárias nas quais o dente é mantido.Nos estágios iniciais, os sintomas da periodontite são insignificantes: no contexto de abundantes depósitos dentários (pedra, placa), ocorre sangramento das gengivas, às vezes até uma leve mobilidade dentária pode ser observada.
Mas as exacerbações da doença são extremamente difíceis do ponto de vista dos sintomas e do estado psicológico da pessoa: além do sangramento severo das gengivas, a supuração começa nas cavidades dos dentes, forte mobilidade dentária com deslocamentos, dor e queimação nas gengivas, mau hálito e perda ativa do osso da mandíbula . Tudo isso agregado, de fato, pode criar certos problemas para implantação dentária.

Ao contrário da periodontite, a doença periodontal não é uma doença inflamatória. Portanto, na doença periodontal não há bolsas gengivais, supuração e mobilidade dentária, mas, no contexto de sua boa fixação, os colos dos dentes são expostos à perda óssea progressiva. A redução da altura dos septos interdentais no contexto dos focos de osteoporose geralmente leva à extração dentária e, como a doença periodontal não é local, mas generalizada, quase todos os dentes que perderam o suporte ósseo são removidos.
É interessante
Vários dentistas (principalmente cirurgiões maxilofaciais) acreditam que uma doença como a periodontal não existe, preferindo isolar apenas a periodontite, como uma forma extrema de doença gengival, levando à perda dentária. No entanto, os defensores da abordagem tradicional não querem reconhecer seus pontos de vista como obsoletos e até hoje, na prática odontológica, usam a classificação de trabalho das doenças de acordo com a CID-10, onde a doença periodontal é indicada pelo código K05.4, e a periodontite crônica é indicada pelo código K05.3.
Então, é possível colocar implantes para esses problemas nas gengivas?
Parece que o implante de dentes durante a periodontite ou doença periodontal em meio a distúrbios na fixação gengival e afrouxamento dos dentes pode ser uma ajuda real, não apenas na restauração da dentição, mas também na prevenção de maior destruição do osso (a carga no tecido ósseo impede sua perda).

Vejamos as situações clínicas mais comuns:
- Todos os dentes no fundo da periodontite devem ser removidos;
- Uma parcela significativa dos dentes durante a periodontite ainda pode ser preservada;
- O paciente tem doença periodontal generalizada.
Situação 1: todos os dentes no fundo da periodontite devem ser removidos
De fato, a primeira situação, apesar de toda a sua tragédia, ainda é um motivo bastante comum para os pacientes irem ao dentista. O fato é que a odontologia soviética já formou muitas pessoas com um forte medo de dentistas, e mesmo a abordagem do tratamento da periodontite deixou muito a desejar. Portanto, pessoas de 45 a 60 anos de idade ainda procuram os dentistas com sinais de periodontite grave, quando já é impossível salvar os dentes em movimento restantes.

Depois de limpar a cavidade oral dos dentes sem esperança, uma pessoa tem apenas duas maneiras: usar próteses removíveis ou executar próteses em implantes.
A opção com próteses removíveis completas, é claro, é muitas vezes mais barata que os implantes dentários, no entanto, deve-se lembrar que as próteses removíveis são caracterizadas por certas desvantagens:
- Eles não param a atrofia do tecido ósseo da mandíbula e, em alguns casos, até agravam esse processo;
- A segunda desvantagem é um longo período para se acostumar com próteses removíveis;
- Além disso, em 60-70% dos casos, as próteses removíveis não atendem aos parâmetros estéticos ou funcionais (em outras palavras, não colorem muito a pessoa e não são muito confortáveis de usar e mastigar).

Como resultado, hoje em dia muitos dentistas tendem a argumentar que a instalação de implantes dentários para periodontite é a única solução correta e promissora, especialmente com a perda completa dos dentes.
Além disso, existe uma justificativa científica para essa abordagem: os dentes na boca se conectam ao osso alveolar através do aparelho ligamentar do dente (tecido periodontal). É no aparelho ligamentar que existe uma infecção que leva à perda progressiva do tecido ósseo durante a periodontite. Após a extração de todos os dentes juntamente com o aparelho ligamentar infectado, a osseointegração do implante, ou seja, sua fusão com o osso da mandíbula, passará completamente e, devido à carga mastigatória, será evitada a perda óssea adicional.


Situação 2: uma parte significativa dos dentes com periodontite ainda pode ser mantida
Considere o segundo caso, quando a maioria dos dentes com periodontite ainda pode ser salva. Tudo não está tão claro aqui. O fato é que, muito antes da implantação em odontologia, houve muitos desenvolvimentos em relação ao fortalecimento dos dentes móveis - por exemplo, tala-os.
A versão clássica para a época estava associada à técnica de "ligar" os dentes por coroas soldadas. É fácil entender essa tática: um grupo de dentes em movimento se juntou, transformando-se em um único todo, o que os tornou mais resistentes ao estresse mecânico e por um longo tempo. Atualmente, uma opção popular para imobilizar os dentes é “prendê-los” usando fio de aramida e fibra de vidro.

Portanto, se todos os dentes (ou quase todos) forem retidos na cavidade oral com a forma inicial de periodontite, o tratamento complexo dos tecidos periodontais pode ser realizado usando dispositivos modernos (ultrassom, laser etc.) e as mais recentes tecnologias.
Nota
No entanto, deve-se lembrar que a periodontite, segundo os cientistas modernos, é uma doença incurável, embora possa ser transferida para uma remissão estável com a preservação dos dentes por muitos anos. É verdade que, para isso, especialmente em casos avançados, será necessário muito tempo e dinheiro para realizar manipulações complexas com o periodontista, com monitoramento constante (2-4 vezes por mês) e correções de acordo com as indicações do tratamento periodontal.
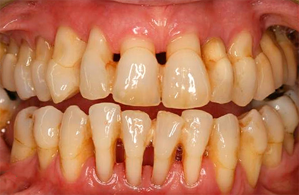
Se, por algum motivo, o tratamento da gengiva se tornar ineficaz, a extração do dente será realizada, exigindo a substituição imediata do defeito. O perigo de deixar o "espaço" resultante entre os dentes é que os dentes deixados sem seus vizinhos no fundo da periodontite crônica começam lenta e seguramente a se dispersar, o que leva à má oclusão e à perda múltipla de outros dentes em pouco tempo.

Aqui é necessário determinar corretamente o plano de restauração da dentição, sem demora por muito tempo. Mas o que é melhor escolher levando em consideração a periodontite existente: colocar as "pontes" habituais (próteses) ou ainda fazer próteses mais caras em implantes?
Obviamente, o médico seleciona um plano adicional estritamente individual para um tratamento apropriado em cada caso. No entanto, vale lembrar que, no estágio grave da periodontite, mesmo após um longo curso de tratamento, ainda existem sérios riscos de violação da fixação gengival na área dos dentes que o dentista pode suportar sob o apoio da ponte (e existem muitos casos).
A cada ano, 30 a 40% dos casos de perda dentária são registrados juntamente com as “pontes” dentro de um a dois anos após a prótese. Ou seja, não há garantia absoluta de que, após a intervenção do periodontista e o tratamento com duração de 2 a 3 meses a 1 a 2 anos, a destruição do osso da mandíbula não continue mais. Uma diminuição óssea no futuro implica problemas sérios, variando de múltiplas extrações dentárias a dificuldades adicionais com próteses e implantes.

Portanto, os dentistas adotam uma tática razoável de escolha: se houver um estágio inicial de periodontite, eles realizam terapia antibacteriana e anti-inflamatória complexa para dentes confiáveis,e implantes são colocados no lugar dos dentes ausentes. A regra principal aqui é que não deve haver dentes próximos aos implantes instalados com bolsas gengivais patológicas com pus e infecção; caso contrário, o sucesso do implante será duvidoso.
Se o médico não tiver certeza das perspectivas dos dentes no contexto de periodontite grave, todos os dentes que não estão sujeitos ao tratamento são removidos e os implantes substituídos.

Comentários
“Recentemente, decidi instalar dois implantes para mim na parte superior e inferior. Cerca de três anos atrás, um dente foi arrancado por um cisto que explodiu e saiu com pus, e os médicos simplesmente estragaram o outro dente. Ele foi tratado várias vezes e curado a tal ponto que a gengiva entre os dentes começou a inchar e sangrar ao escovar e até ao morder uma maçã. A certa altura, ele me traiu tanto que explodiu sob a gengiva. No final, eu também o rasguei com lágrimas nos olhos.
Quando o cirurgião-dentista olhou para mim, descobriu que a periodontite havia ocorrido perto do meu último dente problemático, devido à constante ingestão de alimentos no espaço, mas não em todos os dentes. Portanto, minhas gengivas estavam tão doloridas e sangrando, e eu constantemente me arrependi com uma pasta, como um tolo, para não espalhar as feridas ... ”
Anastasia, Moscou
Caso 3: paciente com doença periodontal generalizada
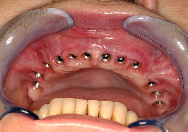
Os casos clínicos em que a doença periodontal é diagnosticada são bastante simples em relação ao planejamento do tratamento. O fato é que a doença periodontal é uma doença que quase sempre leva à perda de dentes. O momento de exposição dos colos dos dentes com perda progressiva do tecido ósseo dos alvéolos é especialmente difícil para as pessoas tolerarem. Portanto, as táticas de tratamento mais apropriadas para a doença periodontal são a extração dentária e a colocação do implante (o melhor de tudo).

Como não há processo inflamatório durante a doença periodontal, não há necessidade de preparar especialmente a cavidade bucal para implantação; portanto, a maioria dos implantologistas adota as táticas de extração dentária e colocação de implantes de cada vez. Assim, é possível parar a destruição progressiva do tecido ósseo devido ao retorno da carga usual. Às vezes, em casos graves, é necessário primeiro restaurar o osso perdido (elevação do seio), e somente então - implantação.
Próteses removíveis parciais e completas, sem implante durante a doença periodontal, não interrompem os processos de atrofia dos processos alveolares, e muitas vezes até as exacerbam.
Nota
A superfície do implante instalado é tal que, após "splicing" com o tecido ósseo, a estrutura se torna mais forte do que no caso de um dente nativo. Com a escolha certa do sistema de implantação e a conformidade com a tecnologia de implantação, mesmo com periodontite e periodontose, os implantes instalados podem durar até 25 anos ou mais.
Uma nuance importante, levando em consideração as características individuais do tecido ósseo dos processos alveolares da mandíbula, é o número de implantes instalados, o que deve fornecer a carga ideal no tecido ósseo para evitar sua atrofia adicional. A durabilidade é determinada não apenas pelas qualificações do implantologista, mesmo com as técnicas mais recentes e avançadas, mas também pela observação das regras de higiene e atendimento das estruturas acabadas pelo próprio paciente (veja abaixo).
Como é realizada a implantação durante a periodontite e a doença periodontal
O implante de periodontite geralmente ocorre nas seguintes etapas:
- Preparação preliminar para implantação;
- A escolha do sistema de implante;
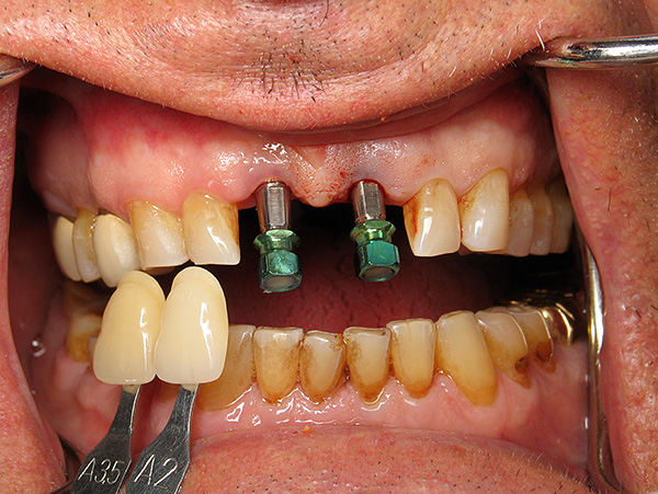
- "Implantação" de implantes;
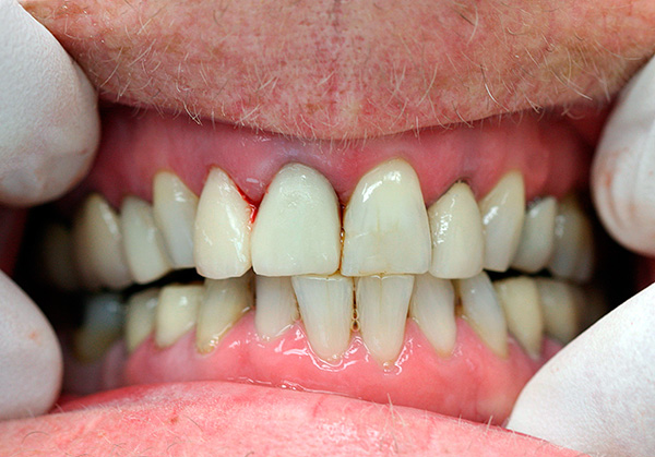
- Próteses sobre implantes.
O estágio preliminar é um dos mais importantes, pois ajuda a minimizar os riscos durante e após a implantação. Inclui um programa completo para o tratamento de uma doença subjacente, isto é, periodontite ou doença periodontal. Dependendo da possibilidade de preservação dos dentes na cavidade oral, é elaborado um plano de tratamento individual.

Por exemplo, se estamos falando de preservar grupos de dentes com periodontite no estágio inicial, a preparação preliminar antes da instalação dos implantes pode ser realizada de acordo com o seguinte esquema:
- Escovação profissional de tártaro e placa;
- Tratamento terapêutico (curativos, pomadas, etc.), cirúrgico (colcha de retalhos, curetagem etc.), ortopédico (ranger seletivo de dentes, talas, etc.) e tratamento ortodôntico da periodontite;
- Remoção de dentes que não estão sujeitos a preservação.
O tratamento adequadamente conduzido da doença subjacente pode reduzir significativamente o risco complicações após implantação (por exemplo, rejeição de implantes dentários) Na área de implantes instalados, não deve haver locais de processo inflamatório ativo.

Igualmente importante é a condição geral da cavidade oral (nível de higiene, higiene bucal) e a formação de bons hábitos.
Mas a doença periodontal nem sempre é passível de tratamento conservador, e o processo de atrofia óssea pode ocorrer mais intensamente a cada ano. É por isso que o sucesso de novos tratamentos depende das táticas do médico em cada caso. Na maioria das vezes, o preparo para a doença periodontal é reduzido à remoção de todos os indicadores estéticos e funcionais inadequados, seguidos de implantes e próteses.
De particular interesse é a escolha da metodologia para implantação de implantes no contexto de periodontite ou doença periodontal. No momento, os implantologistas geralmente escolhem as seguintes opções:
- Implantação clássica;
- Método expresso;
- Implantação basal.
Quais tecnologias e sistemas de implantes são mais adequados
Cada uma das três tecnologias de implantação acima é selecionada para um paciente em particular, levando em consideração a gravidade da periodontite ou doença periodontal. Além do grau de atrofia do tecido ósseo, o médico também leva em consideração a idade do paciente, a presença de doenças concomitantes, características da região maxilofacial, etc. É uma abordagem integrada no estágio inicial (diagnóstico) que permite escolher o método correto de colocação do implante.

As clínicas modernas, levando em consideração os pontos acima, tendem mais frequentemente ao método expresso e ao implante basal. O fato é que o implante clássico é de duas etapas e não é realizado imediatamente após a extração do dente. E após a implantação dos implantes, mais de um mês se passa antes que o médico prossiga com as próteses.
Ao contrário do implante clássico, o método expresso permite que até a periodontite ou a doença periodontal (de acordo com as indicações) realizem um implante de um estágio imediatamente após a extração do dente. Isso acelera o processo de regeneração óssea, reduz o nível de invasividade da intervenção e os riscos de infecção de uma ferida aberta. No entanto, para o método expresso, é especialmente importante observar todas as nuances técnicas, das quais existem muitas, e realizar um monitoramento cuidadoso durante a instalação dos implantes.

Quanto ao implante basal - é usado para atrofia do tecido ósseo, que geralmente acompanha periodontite e doença periodontal. Às vezes, apenas esta técnica é adequada para perda significativa de tecido ósseo. Esses implantes são implantados imediatamente com o pilar (a parte transitória na qual a prótese ou coroa é fixada) em um ângulo em que o tecido ósseo é suficiente para a estabilidade máxima.


A estrutura e a forma dos implantes basais podem suportar cargas pesadas e impedir mais atrofia óssea. Após 5-7 dias, é necessário fazer próteses, o que deve dar uma carga imediata. Um período tão curto, da implantação até a prótese, oferece vantagens significativas aos implantes basais - muitos pacientes ficam muito felizes em receber um belo sorriso apenas alguns dias após a extração do dente.
Nota
Os tipos clássicos de implante podem ser realizados mesmo com atrofia significativa do osso, mas com uma operação preliminar de elevação do seio: se o osso não for suficiente para fixar o implante ou estiver muito "frouxo", o dentista primeiro constrói o tecido ósseo (elevação do seio) nas áreas onde futuros implantes serão instalados. Assim que o período de recuperação passa, o médico os estabelece e trabalha de acordo com o protocolo padrão de tratamento, até a prótese final após 4-9 meses (às vezes 1-1,5 anos), dependendo do caso clínico específico.
A escolha de um sistema de implantação é uma etapa crucial, que deve ser abordada da maneira mais séria. Hoje, ao escolher uma variedade específica de implantes, eles são guiados por três critérios principais: garantia, estabilidade, custo.

Hoje existe um tipo de classificação de implante de acordo com esses critérios.
Assim, por exemplo, os seguintes implantes pertencem à classe premium:
- Astra Tech (Astra Tech) - sistema de implantes da Suécia. Hoje é um dos mais populares devido às excelentes características técnicas, facilidade de uso e, o mais importante - uma longa garantia e estabilidade do enxerto;
- O Nobel Biocare é um dos designs mais caros, de alta qualidade. Este tipo de implante é adequado para diferentes situações clínicas;
- XIVE (Xive, Alemanha). Também implantes de alta qualidade;
- Anthogyr - o sistema francês.
E alguns outros.
Implantes de preço médio - por exemplo:
- Schutz (Alemanha) - estruturas dobráveis e não dobráveis;
- Zimmer (EUA) - mini-implantes, variedades padrão, bem como implantes para implantação em um osso fino;
- Niko - sistemas de implantes russos, criados a partir de componentes alemães.
Alguns sistemas de implantes de Israel (por exemplo, AlphaBio) são ouvidos por muitos profissionais e são procurados pela população russa devido ao preço relativamente baixo. Em qualidade em certas situações clínicas, eles não são inferiores aos implantes mais caros da Alemanha e da Suécia.
Em relação aos chineses, alguns sistemas de implantes russos e ucranianos, muitos dentistas estão céticos quanto às características duvidosas e à estabilidade média, embora existam mais de cem implantologistas que instalam com sucesso milhares de estruturas desse tipo todos os anos. Como se costuma dizer, quantas pessoas - tantas opiniões.
Características do cuidado com implantes em casa: como evitar que a periodontite continue seu trabalho destrutivo
O sucesso das próteses nos implantes é afetado não apenas pela preparação e etapas da colocação do implante, mas também pelo atendimento domiciliar das estruturas no pós-operatório. Isso é especialmente importante com periodontite persistente ou doença periodontal, quando o sucesso da implantação depende diretamente da implementação de regras especiais.

Regra número 1.
Os implantes dentários precisam de uma higiene mais completa, pois o risco de desenvolver periodontite em sua área é significativamente maior do que no caso de dentes nativos. É especialmente importante tratar a parte de trás do implante, onde é mais provável que a placa se forme. A falta de higiene cria um risco adicional de rejeição estrutural.
Regra número 2.
As superfícies de contato (interdentais) devem ser fio dental. No entanto, alguns dentistas tratam esses fios negativamente, como fatores de risco para lesões permanentes da gengiva devido ao uso inepto, portanto, eles se inclinam a outros métodos para eliminar as lacunas, por exemplo, usando escovas interdentais ou irrigadores. Além disso, o irrigador permite não apenas limpar com sucesso mesmo as áreas mais remotas e inacessíveis, onde muita comida permanece acumulada, mas também melhora o suprimento de sangue para as gengivas, massageando-as.
Regra número 3.
É importante visitar o dentista pelo menos uma vez a cada 6 meses para limpeza profissional dos dentes e implantes dentários, juntamente com os desenhos.
É especialmente importante seguir as recomendações do médico nos primeiros estágios pós-operatórios, quando qualquer ninharia é importante. Por exemplo, em quase todos os casos clínicos, a primeira vez após a instalação de implantes (especialmente com periodontite e doença periodontal), você não pode fumar, tomar álcool, praticar esportes e trabalhar duro. Você deve aderir a uma dieta poupada, tomar os medicamentos necessários e realizar, além de limpar os dentes da placa bacteriana, enxaguamentos anti-sépticos da cavidade oral.
Tudo isso permite aumentar significativamente a vida útil dos implantes, até uma vida útil de operação sem problemas.
Seja saudável!
Vídeo interessante: o que escolher, implante ou próteses clássicas?
Sobre os estágios e complicações da doença periodontal, bem como o implante nesta doença


Artigo muito informativo, todos com competência, todos os prós e contras. Eu realmente gostei.
Há cinco anos, as gengivas começaram a sangrar. Fui ao dentista, ele me aconselhou a comprar um abrilhantador. Ao mesmo tempo, a raiz dentária já exposta foi selada. Todos os anos, eu ia à odontologia com um problema: preenchimentos caíam e sangramentos nas gengivas. Até que eles vieram tryndets cheios. E agora eles oferecem implantação, o preço da pergunta é 300-400 mil. Além disso, todos os vilões de jaleco branco não são tratados na odontologia urbana, mas se oferecem para pagar, onde eles próprios ganham dinheiro extra (queime-os no inferno com uma chama azul).
Bem feito
Gostei do artigo, tudo é pintado em detalhes. Eu só estava preocupado com a questão do implante na periodontite - o médico oferece uma ponte, mas depois de ler este artigo, aprendi que os dentes de suporte da ponte também podem cair durante a periodontite. Muito obrigado pelo bom artigo!