
Em seguida, você aprenderá:
- Quais são os sintomas geralmente associados à rejeição do implante e quando exatamente os problemas podem começar;
- Quanto tempo os implantes criam raízes e por que às vezes são rejeitados;
- Quais sensações são consideradas normais após uma operação recém-realizada e quais são sinais de uma inflamação perigosa na área do implante;
- O que fazer se a inflamação começar e se o reimplante é possível após a rejeição da estrutura implantada.
... E também algumas outras nuances que são interessantes e importantes do ponto de vista prático sobre o problema da rejeição de implantes.
Deve-se entender que o implante dentário é um procedimento bastante complicado e, em certa medida, traumático, o processo de cicatrização do tecido nem sempre ocorre sem problemas: é possível inchaço, sangramento e dor devido a trauma nas gengivas e osso da mandíbula. No entanto, todas essas são consequências normais da intervenção cirúrgica, que passam independentemente após alguns dias.

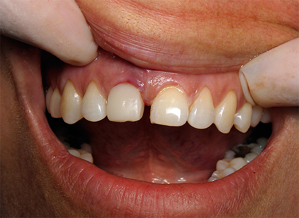
Mas também existem complicações que requerem cirurgia por um médico. E, talvez, o mais desagradável deles seja a rejeição de um implante dentário. Os primeiros sintomas desse problema são, em regra, dor aguda, mobilidade estrutural, aparência de odor desagradável, além de vermelhidão e inchaço da mucosa perto da parte externa do implante (pilar, tampão).

De um modo geral, hoje a rejeição ao implante é bastante rara, e os pacientes não precisam sintonizar com antecedência um resultado desfavorável da operação. No entanto, é necessário conhecer os sinais característicos do início da rejeição, para entender de que inflamação pode ocorrer sob o implante - é sempre útil estar preparado para possíveis complicações na teoria, a fim de evitar sua ocorrência na prática.
Falaremos sobre isso mais tarde em mais detalhes.
Por quanto tempo os implantes geralmente criam raízes e quando podem ser rejeitados?
O período médio de enxerto de implante é de cerca de 2-4 meses na mandíbula inferior e cerca de seis meses na parte superior. Essa diferença se deve ao fato de os ossos da mandíbula serem melhor supridos com sangue, geralmente são maiores e mais fortes, com maior carga mastigatória. Além disso, o seio nasal está localizado acima do tecido ósseo da mandíbula superior, cuja proximidade costuma trazer dificuldades adicionais ao instalar implantes.
A osteointegração (um termo médico para o processo de fusão de raízes metálicas com o maxilar) começa imediatamente após a instalação das estruturas. O momento do enxerto depende em grande parte do estado inicial do osso maxilar, bem como da qualidade de fabricação e do modelo do implante.

Nesse caso, o método pelo qual os implantes foram instalados na mandíbula não desempenha um papel especial. Independentemente de os implantes serem carregados imediatamente (por exemplo, com implantação basal) ou somente após a fusão completa com o osso - em ambos os casos, o momento do enxerto não difere muito.
Segundo as estatísticas, mesmo que ocorra a rejeição do implante, na maioria dos casos isso é observado nos primeiros dias após a instalação. Em outras palavras, se algo der errado, os primeiros sintomas de uma complicação, em regra, não demoram a chegar.
No entanto, o paciente não deve perder a vigilância mesmo após um enxerto bem-sucedido da estrutura - inflamação após a implantação dos dentes seguida de rejeição do implante pode ultrapassar mesmo após vários anos de uso ativo.
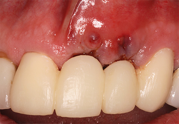
A foto abaixo mostra um exemplo correspondente (a inflamação começou 10 anos após a instalação do implante):

Abaixo, veremos o que pode ser feito para evitar esse resultado adverso.No entanto, antes disso, vamos falar sobre quais sensações são consideradas normais após o implante dentário e quais devem ser consideradas sintomas de peri-implantite, ameaçando evoluir para rejeição do implante.
Nota
A periimplantite é chamada inflamação dos tecidos adjacentes ao implante - pode ser tecido mole ou osso. Se o processo inflamatório não for impedido a tempo, esses tecidos começarão a desmoronar gradualmente e o implante se tornará móvel - na verdade, será rejeitado.
Sinais de rejeição de implantes dentários
Após o procedimento de implantação, você deverá visitar seu médico assistente com bastante frequência: a primeira consulta ocorrerá já 2-3 dias após a implantação. Tais exames são muito importantes para a identificação oportuna de possíveis problemas (foi mencionado acima que, no caso de rejeição de uma estrutura implantada, esse processo geralmente ocorre nos primeiros dias após a operação, portanto, nesta etapa, o monitoramento deve ser especialmente cuidadoso).
O dentista avaliará a estabilidade do implante e a condição dos tecidos ao seu redor. Após o exame, ficará claro como a estrutura se funde com o osso, se há sinais de inflamação perigosa e se é necessária intervenção adicional para evitar complicações indesejadas.

Vamos primeiro ver quais sintomas desagradáveis são considerados normais após o implante. Como o implante está associado a trauma tecidual (mesmo no caso do uso de implante basal por punção), após a cirurgia, sempre existem algumas sensações desagradáveis e sinais externos correspondentes:
- inchaço das gengivas (às vezes toda a bochecha incha);
- vermelhidão na gengiva;
- mandíbula dolorida na área do implante instalado.
Nota
As consequências acima mencionadas da intervenção cirúrgica normalmente passam rapidamente, após 3-4 dias (máximo - após uma semana). Se você sentir dor intensa durante toda a semana, mas ela não desaparece ou se intensifica, esse é um sinal claro de que a cura não é rápida o suficiente. A propósito, se se trata de rejeição do implante, ou se tudo dá certo - isso geralmente depende não apenas do médico, mas também das ações do paciente (mais sobre isso abaixo).
No entanto, em alguns casos, por exemplo, com transplante simultâneo de medula óssea, bem como na presença de processos inflamatórios agudos no poço, o processo de reabilitação pode levar algumas semanas.

Agora vamos considerar quais sintomas indicam um desvio do curso da reabilitação normal após a instalação dos implantes.
De um modo geral, alguns sintomas de rejeição de um implante dentário (ou peri-implantite - inflamação dos tecidos ao redor da estrutura) são, de muitas maneiras, semelhantes às conseqüências pós-operatórias usuais. No entanto, eles geralmente são mais pronunciados e persistem por um longo tempo:
- dor aguda que não desaparece dentro de 1-2 semanas após o implante;
- inchaço e vermelhidão das gengivas, com duração de mais de 4 dias após a cirurgia. Mesmo nos casos mais difíceis, o inchaço desaparece dentro de 3-4 dias; portanto, se persistir por mais tempo, esse é um sinal de alerta;
- sangramento prolongado da ferida, bem como excreção prolongada do chamado exsudato (sacro). Se essa descarga durar mais de 7 dias - isso não é muito bom;
- mobilidade de implantes dentários - aqui, em muitos casos, você pode prever imediatamente que é improvável que o projeto crie raízes no futuro;
- se houver um odor desagradável sob os bujões montados nos implantes;
- pus das gengivas - o abscesso pode ser localizado próximo ao implante e se comunicar com o foco da inflamação através da formação de uma fístula, ou o pus pode ir diretamente de baixo do implante (às vezes há a aparência de mau hálito);
- a dor ao pressionar o implante é um sinal muito característico de que há sérios problemas com a integração do projeto. Nesses casos, é melhor não esperar que tudo passe por si e "resolva";
- febre.
Todos os sintomas listados podem indicar uma possível rejeição do implante; sua aparência em qualquer estágio do tratamento requer consulta imediata com um especialista.

A “inflamação do implante” do dente (ou, mais precisamente, dos tecidos ao seu redor) pode ocorrer sem sintomas, especialmente vários anos após a estrutura ter sido implantada no osso. O paciente pode não prestar atenção à ligeira dor e vermelhidão das gengivas - uma reação pronunciada à rejeição do implante pode estar ausente e, enquanto isso, a inflamação levará à destruição do tecido ósseo e, como resultado, maior mobilidade do implante.
Essa situação é ainda mais complicada pelo fato de que posteriormente serão necessárias cirurgias adicionais para restaurar o maxilar antes do reimplante.

Isso é interessante:
Em média, os implantes são rejeitados em não mais que 3-5% de todos os casos, e os indicadores variam muito, dependendo da marca dos projetos. Por exemplo, implantes de fabricação alemã ou suíça se enraízam com sucesso em 97-98% dos casos e produtos mais acessíveis da produção israelense ou russa - em cerca de 95%.
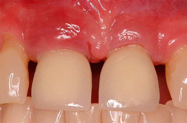
A foto abaixo mostra um exemplo de inflamação do tecido na área de um implante instalado:

Por que os implantes dentários às vezes são rejeitados?
Não existem muitas razões para a rejeição de implantes dentários em geral. Na maioria dos casos, o problema ocorre por engano do médico durante o procedimento. Com muito menos frequência - ao escolher um implante de baixa qualidade ou até falso (novamente, isso também pode ser considerado um erro médico).
Mas o paciente não deve relaxar - devido às peculiaridades do estado de saúde ou se certas regras de comportamento não são observadas no período de reabilitação, os implantes dentários também podem ser rejeitados. Os sintomas do início da rejeição em quase todos os casos serão os mesmos, independentemente das causas que os causaram.

Considere as possíveis causas dos problemas com mais detalhes.
Primeira razão: profissionalismo ou erro médico
Uma característica deste caso é que os implantes começam a ser rejeitados imediatamente, ou seja, durante o período de enxerto.
Infelizmente, na maioria das vezes, os implantes dentários são rejeitados precisamente devido a erros médicos - isso pode ser uma falta de experiência, especialmente quando confrontados com casos clínicos complexos, falta de profissionalismo ou simplesmente descuido comum.

Aqui, por exemplo, que erros um implantologista pode cometer ao trabalhar:
- projeto de implante selecionado incorretamente - por esse motivo, o implante pode não ser capaz de se fixar adequadamente no osso (por exemplo, pode ser visivelmente mais longo ou mais espesso do que o tecido ósseo);
- falta de esterilidade da ferramenta de trabalho ou da área de trabalho na cavidade oral (os focos de inflamação aguda não foram eliminados) - como resultado, uma infecção está inicialmente presente na ferida;
- superaquecimento de tecido ao fazer furos para o implante;
- posicionamento inadequado do implante na mandíbula;
- falta de informações suficientes sobre o estado de saúde do paciente - possíveis contra-indicações não são descartadas.
De particular dificuldade para o médico é a falta de tecido ósseo suficiente para fixar o implante (por exemplo, devido à sua atrofia) e processos inflamatórios agudos.
O problema da atrofia óssea pode ser resolvido replantando-o ou escolhendo um método de implantação basal, no qual são utilizados implantes de design especial, fixados nas partes basais mais profundas do tecido ósseo. No entanto, a rejeição de implantes basais também pode ocorrer em qualquer estágio do enxerto. Segundo as estatísticas, eles precisam ser removidos não menos que os implantes clássicos.

Nota:
Periodontite e implantação de periodontoseisto é, no contexto da inflamação aguda das gengivas associada à destruição do tecido ósseo, é bem possível hoje. Mas longe de todos os implantologistas decidirão instalar implantes na presença de tais processos inflamatórios.Basicamente, um procedimento semelhante é realizado simultaneamente com a remoção de um dente doente e, após o implante de implantes, a terapia medicamentosa é prescrita com aprimoramento simultâneo da higiene bucal.
Com a rejeição de implantes devido à inflamação aguda do tecido da mandíbula, nem sempre é possível a implantação repetida devido à destruição severa do osso.
A segunda razão para uma possível rejeição: mau implante
Dentistas de grande porte trabalham com redes de revendedores que fornecem implantes diretamente do fabricante, o que elimina a possibilidade de falsificações. Em pequenas clínicas, a situação é mais complicada.
A foto abaixo mostra um exemplo de corrosão de um implante de baixa qualidade:

A qualidade do implante também desempenha um papel importante: quanto mais caro o sistema, mais materiais e tecnologias mais avançados são geralmente usados na fabricação da estrutura. As grandes empresas de implantes têm grandes orçamentos para gastar na melhoria de produtos e no desenvolvimento de tecnologias inovadoras.
Isso é interessante:
A qualidade do enxerto e, portanto, o risco de possível rejeição, depende em grande parte do material de que é feito o implante (deve ser biocompatível com titânio com nosso corpo), bem como das características de sua superfície. Hoje, muitos fabricantes preferem um revestimento poroso - as células em crescimento do maxilar penetram nele, o que garante uma forte fusão de osso e implante.
Terceira razão: irregularidades dos pacientes
Nesse caso, os sintomas de rejeição do implante podem ocorrer durante o período de enxerto e após alguns anos de uso de dentes novos.
Deve-se ter em mente que, mesmo que o médico realize todo o seu trabalho na instalação perfeita do implante, ações subsequentes inadequadas do paciente podem negar até o melhor resultado do tratamento. O que você precisa prestar atenção em primeiro lugar:
- Não carregue o implante durante o período de enxerto;
- superaquecimento e superaquecimento do corpo nos primeiros dias após a operação ser proibida (ou seja, você não pode ir ao banheiro ou mergulhar em água gelada - tudo isso pode enfraquecer o sistema imunológico até certo ponto);

- não há necessidade de ocultar os problemas de saúde existentes do médico - isso pode ser fatal, embora você possa pensar que esses problemas não têm relação com implantes dentários e você pode ficar em silêncio sobre eles;
- se o médico prescrever, é necessário tomar medicamentos contra a rejeição de implantes de maneira disciplinada - os meios prescritos pelo médico podem acelerar o processo de cicatrização e minimizar o risco de peri-implantite;
- é necessário cuidar de dentes novos - escovar de manhã, à noite, remover os restos de comida depois de comer (para alguns parece que, por serem dentes artificiais, eles "não apodrecem" e não precisam ser cuidados - e isso é um grande erro);
- É altamente recomendável abandonar os maus hábitos - em particular, não fumar.
Nota:
A prática mostra que os fumantes rejeitam implantes dentários com muito mais frequência do que os não fumantes. Segundo as estatísticas, em cerca de 30% dos fumantes, os sintomas de rejeição são observados nos primeiros cinco anos após a cirurgia. Como resultado, os implantes precisam ser substituídos por novos.
As resinas tóxicas e a nicotina levam à desnutrição das células da mucosa, o que afeta negativamente a condição dos tecidos ao redor do implante. Por fim, o design perde sua estabilidade, torna-se móvel, arrancado pelo corpo.
A questão é: o que os fumantes devem fazer? A escolha não é muito grande - recusar a implantação ou reconsiderar seu estilo de vida - parar de fumar (ou pelo menos fumar menos).
A quarta razão que levou à rejeição de implantes dentários: problemas de saúde
Esse motivo leva à rejeição de implantes principalmente alguns anos após a instalação.

Se os implantes não foram rejeitados nos primeiros dois anos, podemos falar com segurança sobre o sucesso do tratamento.Mas um problema pode surgir muitos anos após a instalação das estruturas. Isso é extremamente raro e principalmente devido a lesão mecânica ou exacerbação ou desenvolvimento de certas doenças: cardiovascular, diabetes, imune (AIDS), tuberculose ou câncer.
O que fazer se a inflamação começar sob o implante?
Quando houver sintomas alarmantes do início da inflamação na área do implante instalado (há um cheiro por baixo do implante, dor, vermelhidão nas gengivas, inchaço etc.), a única decisão correta será consultar imediatamente um médico. O implantologista realizará um exame visual do estado do implante instalado, fará um exame de raios-X e, se necessário, abrirá a gengiva e ajudará a limpar a ferida do pus.

Se os problemas começaram durante o período de enxerto da estrutura, algumas vezes a causa do desconforto (por exemplo, um odor podre do implante) pode ser facilmente resolvida girando temporariamente o tampão do implante e limpando suas superfícies externas.
Porém, na presença de sinais óbvios de peri-implantite, na maioria dos casos é indicada a remoção de um implante instalado, e isso deve ser feito o mais rápido possível. De fato, caso contrário, a inflamação contínua pode levar à disseminação da infecção por todo o corpo, repleta de conseqüências muito graves, até a ameaça à vida do paciente.
Além disso, quanto mais a inflamação é observada na área do implante, mais o tecido ósseo ao redor é destruído e mais problemas podem ocorrer em caso de implante repetido.
A implantação repetida é possível após a rejeição do implante?
O reimplante é possível na maioria dos casos. Deve-se ter em mente que após a remoção do implante rejeitado, não deve passar mais de um a dois meses - caso contrário, o tecido ósseo, sem receber a carga adequada, irá se atrofiar gradualmente.
Se necessário, o transplante de medula óssea pode ser realizado e a terapia medicamentosa pode ser prescrita para suprimir a infecção no foco da inflamação. Após a restauração dos tecidos danificados, o implante repetido é realizado.



Nota
De acordo com a lei, não há garantia para o trabalho cirúrgico, portanto o paciente terá que confiar na consciência da clínica ou da administração do médico, que cumprirá as obrigações de garantia estabelecidas por eles mesmos. A garantia de longo prazo ou ilimitada para implantes, estabelecida pelos fabricantes de estruturas, é apenas a vida dos dentes artificiais. Mas se eles servirão os anos declarados - isso depende do paciente e do médico.
Como você pode se proteger antecipadamente de possíveis problemas associados à rejeição de implantes?
Em conclusão, vale a pena trazer algumas dicas úteis que minimizarão possíveis problemas associados à rejeição de implantes instalados.

Então, aqui estão estas dicas:
- você deve estar ciente de que a responsabilidade pelo resultado do tratamento cabe não apenas aos ombros do médico, mas também a você (um paciente indisciplinado que não segue as instruções do médico pode arruinar os resultados mesmo do trabalho mais cheio de jóias);
- escolha uma clínica com um "nome" - como regra, grandes centros investem em equipamentos modernos e treinamento de pessoal;
- escolha um médico profissional com experiência e recomendações e análises positivas (a escolha de um médico é mais importante do que a escolha de uma clínica);
- dê preferência a implantes de alta qualidade - não inferiores ao segmento de preço médio (você deve escolher marcas conhecidas que existem no mercado há pelo menos 5-7 anos);
- cumprir todos os requisitos do médico após a cirurgia e monitorar a higiene bucal;
- e, é claro, não se esqueça de se submeter regularmente a exames preventivos da cavidade oral, tratar atempadamente doenças dos dentes e gengivas e cuidar delas diariamente.
Em geral, o risco de cair no número de pacientes cujos implantes são rejeitados é mínimo. É muito mais provável que eles o sirvam fielmente por décadas ou mesmo uma vida inteira.
Um vídeo interessante sobre as complicações que podem ocorrer durante implantes dentários
Afinal, o que escolher: implantação ou coroas?


Não se passaram 2 anos. Um mini-implante da mandíbula superior causa dor e inchaço na asa do nariz e maçãs do rosto nos seios maxilares. A prótese foi removida. O que fazer
Olá Você precisa entrar em contato com um implantologista experiente com urgência. Faça tomografia computadorizada. A julgar pela descrição, o mini-implante tornou-se móvel e poderia danificar a parte inferior do seio maxilar, indicando dor na asa do nariz. Se minhas suspeitas forem confirmadas, o implante precisará ser removido e a inflamação removida. E depois de remover a ameaça de propagação da infecção, veja como restaurar os dentes. Pessoalmente, não recomendo a instalação de implantes de mini-agulha, uma vez que eles não apresentam boa estabilização primária no osso, simplesmente não pode ser alcançada devido às características estruturais do próprio produto. A prótese, por via de regra, distribui incorretamente a carga, o que leva à mobilidade dos implantes e a sérios danos ao tecido ósseo ao seu redor. Muitas vezes, esses implantes são rejeitados e "caem".
Após o implante no maxilar superior, 3,4 dentes, ao expectorar da nasofaringe, aparece uma sacarose. O tempo após a implantação é de três dias. Na consulta médica, remova os pontos após quatro dias. O que fazer, vá ao médico mais cedo?
Boa tarde, não sei se você fez uma operação de elevação do seio ou se os implantes foram instalados imediatamente (neste último caso, o piso do seio maxilar pode realmente ser danificado). Consulte um médico melhor agora e faça uma tomografia computadorizada para ver o que está acontecendo. Corrimento sanguíneo da nasofaringe é um sinal de complicação. Espero que você tenha seguido rigorosamente as instruções do médico após a elevação do seio, se houver. O paciente não deve enxaguar a boca na nasofaringe por 3 dias após o procedimento, não escutar, não assoar o nariz, tentar não espirrar, beber através de um tubo.
Olá doutor. Eu implantei 11 dias atrás com crescimento ósseo simultâneo. As costuras já foram removidas.
1. O edema foi e durou uma semana. Agora, na gengiva, onde estão os implantes, um inchaço quase imperceptível ao toque é visivelmente distinto.
2. No início, ele sangram por vários dias, depois foi substituído por uma descarga, a cor era branca amarelada. No momento, eles ainda estão lá, pouco a pouco. Meu implantologista diz que esse é um tecido ósseo, ou seja, formações ósseas.
3. As bordas das gengivas estão levemente levantadas e o dente adjacente dói quando batido nela.
Perguntas:
1. Os períodos de edema são normais nessas condições e quanto tempo eles podem durar? 2. A descarga descrita acima é um processo normal e quanto tempo vai durar? 3. Está tudo bem com a gengiva e o dente?
O implantologista-autor diz que todos esses são processos normais, quero acreditar, mas, como eles dizem, confiam, mas verificam.
Agradecemos antecipadamente a sua resposta.
Olá
1Inchaço e dor são uma ocorrência normal após uma operação de elevação do seio, como uma reação à lesão do tecido. Pode durar até 10 dias se a área da lesão for grande.
2. A descarga não pode ser chamada de norma, mas aqui você precisa conhecer mais claramente o quadro clínico da SB, para afirmar com precisão. É difícil dizer quando isso vai parar sem um exame.
3. O fato de os dentes adjacentes doerem é normal e passarem com o tempo. Passou algum tempo e nem todos os tecidos foram reabilitados.
Se você deseja verificar com precisão se está tudo em ordem, entre em contato com outro médico - hoje muitas clínicas oferecem consulta gratuita. Ao escolher um médico, tente encontrar uma pessoa com experiência, preferencialmente um implantologista, periodontista ou CHLH.
Olá, eu tenho um implante israelense, instalado há 5 meses. Ao redor do implante são formados, como o médico os chamou, escaras, ele diz que esse processo é possível se muitos anos se passaram, mas não 5 meses. Quando o modelador de goma coloca, fica doente pressioná-lo. Nos últimos dias, por algum motivo, o modelador foi torcido, e eu tive a sensação de que estava se espremendo. Vou empurrá-lo para lá e depois de um tempo ele sai. Como ocorre a rejeição do implante?
Boa tarde Se houver dor na área do implante ao morder e pressionar, é altamente provável que você já tenha iniciado o processo de peri-implantite. Mas sem um instantâneo, aqui você não pode dizer 100%, esta é uma resposta hipotética. Com relação à gengiva anterior, também é necessário um exame. É possível que o driver esteja selecionado incorretamente ou não esteja suficientemente torcido. Definitivamente, podemos dizer que o comportamento do modelador não é típico.
Eu recomendo que você consulte urgentemente um médico e faça uma tomografia computadorizada para estudar a condição do tecido ósseo na área de implantação e, se necessário, tome medidas oportunas para suprimir os processos inflamatórios.
Uma semana após a instalação basal, um inchaço doloroso apareceu sob o queixo. O que é isso
Olá Niall. Após o implante com carga imediata, fenômenos como inchaço ou inchaços na área do queixo são possíveis, mas muito raros. No entanto, não tenha medo de que o implante se rasgue. Como o implante basal é polido e colocado em partes mais profundas do tecido ósseo, a probabilidade de problemas com ele é muito baixa. Talvez seja uma reação do corpo (mais precisamente, o tecido circundante ao redor do implante), manifestado por uma densificação do periósteo.
Eu recomendo que você entre em contato com o médico que instalou os implantes para um exame. Também aconselho que você faça a tomografia computadorizada do queixo e verifique se não há alterações sérias na forma de rarefação do tecido ósseo ao redor do implante.
Houve implantação há uma semana, hoje à noite a temperatura subiu 37,3. Eles colocaram 5 implantes, cerca de duas gengivas ainda estão inchadas e o sangue escorre por baixo dos formadores. O cirurgião está de férias e estará em apenas uma semana. O que fazer não está claro, não há um segundo implantologista na clínica.
Olá Tatyana! O período de recuperação após a cirurgia pode levar de 3 a 4 semanas e inclui um leve desconforto. Em alguns pacientes, durante esse período, permanece alguma dor e inchaço na região pós-operatória.
Agora, na sua situação, você precisa entrar em contato com qualquer dentista (de preferência não espere o seu próprio), independentemente da especialidade dele. Na verdade, você pode ir a qualquer clínica odontológica para um exame na cavidade oral e, possivelmente, para tomografia computadorizada (TC), segundo a qual você pode entender a verdadeira causa de seus sintomas.
Eu também recomendaria focar na melhoria da higiene bucal, pois no contexto de uma diminuição da imunidade local após a cirurgia, uma das causas de complicações é muitas vezes a limpeza deficiente da cavidade oral. Se a temperatura não cair e o sangue continuar a correr, provavelmente os implantes instalados foram infectados. Como o seu médico provavelmente já estará de férias, você deverá entrar em contato com ele imediatamente.
Olá. Implantes instalados, 5 e 6 abaixo. Doeu por 7 dias, depois se acalmou. Após 10 dias, os pontos foram retirados, o cirurgião disse que estava tudo bem. 3 dias após a remoção das suturas, começou uma dor intensa. Toda a mandíbula doía, parecia que todos os dentes estavam inflamados: acima e abaixo. Eles tiraram uma foto, abriram 4 ku ao lado do implante. A dor continuou. A dor já estava no pescoço, sob a mandíbula e cedia na orelha. Um dia depois, o implante foi removido. No segundo dia após a remoção do implante, a dor desapareceu. Agora está tudo calmo. A imagem mostrou que o implante estava encostado a um nervo. Eles me dizem que o motivo está no dente, não no implante. Poderia ser?
Olá Jasmine! Em tal situação, geralmente é necessário realizar uma tomografia computadorizada e avaliar a posição dos implantes entregues em relação ao canal mandibular, uma vez que as queixas que você emitiu são realmente características quando o nervo mandibular comprime (comprime) o implante. Acontece que os médicos colocam implantes próximos ao nervo - no seu caso, essa é uma opção provável, como evidenciado pela saída da dor após a remoção do implante
O dente vizinho, provavelmente, não foi a causa da dor, no entanto, para uma avaliação objetiva, é importante ver o quadro todo: os resultados do exame de raios-X e os dados obtidos durante o exame da cavidade oral.
Em 27 de agosto de 2016, dois implantes foram instalados na parte inferior e um na parte superior, mas apenas na parte inferior, um dos implantes, embaixo do canino, na mandíbula inferior. No dia seguinte, os lábios começaram a ficar dormentes e o lado direito da mandíbula inferior, onde esse implante está localizado. E também o inchaço é ainda maior do que no primeiro dia. Foram indicados os banhos: 27/08/2016: bicarbonato de sódio com iodo em água morna, ciprolet 500, 2 comprimidos por dia, fisio - ultrassom e magnético, e fototerapia com aparelho Zepter. Eles disseram que a cura pode durar um mês. A foto foi tirada em 29 de agosto, eles disseram que era uma boa foto. Mas o inchaço e a dormência da mandíbula não desaparecem. Sem dor, não reclamo dos outros dois implantes.
Olá Após a instalação dos implantes, isso é possível, tudo depende da qualidade do trabalho realizado e da reação do corpo à intervenção traumática e a materiais estranhos. Quanto à dormência, trata-se de dano ao nervo que passa na mandíbula ao longo do canal (extremamente raro) ou compressão do mesmo tronco nervoso (na maioria das vezes) por exsudato (hematoma, edema). Não tenho certeza, seu médico está melhor informado sobre isso. Em princípio, a julgar pelas nomeações, não posso dizer nada de ruim: mais do que na íntegra.
Escusado será dizer que a cura após o implante pode demorar até um mês ou mais. Penso que o inchaço passará mais rápido do que a dormência: apenas uma semana se passou, provavelmente, já é muito melhor nas sensações. A dormência pode desaparecer por um longo tempo: tudo depende das possíveis causas listadas de seu desenvolvimento. Na maioria das vezes dura 2-3 semanas ou um mês, menos frequentemente - até 6-12 meses. Não sei se fui encorajado ou não, recomendo que você descubra os detalhes do seu dentista, deixe-me explicar honestamente o que e como - pelo menos de acordo com as fotos da localização dos implantes em relação ao canal da mandíbula.
Boa tarde Hoje é o sexto dia, quando 6 implantes foram instalados na mandíbula superior com enxerto ósseo (elevação do seio). Estou com mau hálito há dois dias. Eu perguntei ao médico, ele disse que isso é normal. Agradecemos antecipadamente a sua resposta.
Olá Eu acho que o cheiro desagradável está associado a uma violação da higiene devido ao medo de prejudicar os implantes. Recomendações que ocorrem com mais freqüência após a implantação:
1. Higiene bucal adequada com escova de dentes com cerdas macias e quantidade mínima de pasta (2-3 vezes ao dia);
2. Depois de comer e também depois de escovar os dentes, é importante enxaguar a boca com um anti-séptico prescrito pelo seu médico ou com um abrilhantador especial pelo menos 3 vezes ao dia.
O retorno do nível adequado de higiene após a implantação criará condições para o desaparecimento de um odor desagradável. Certifique-se de consultar seu médico individualmente para a seleção de um anti-séptico para a cavidade oral e o abrilhantador.
O principal é, em nenhum caso, considerar sua condição após a colocação de implantes longe da vida normal. Há simplesmente uma lista de compromissos e algumas regras que tornam a vida o mais confortável possível. Obrigado pela pergunta.
Após a cirurgia, é realmente necessário prestar muita atenção à higiene bucal, pois qualquer revestimento de comida em seus próprios dentes ou estruturas que estão na boca pode causar um odor desagradável.
Como existem muitas bactérias na cavidade oral e a placa mole é alimento para elas, após a cirurgia, recomenda-se escovar os dentes ou dentaduras, apesar das sensações dolorosas. Se os implantes instalados não o incomodarem, provavelmente o motivo é precisamente o baixo nível de higiene.
Boa tarde Amanhã, me inscrevi para um implante, mas hoje estou com o nariz escorrendo e a garganta inflamada. É possível ignorá-los ou primeiro deixar o frio passar?
Olá Svetlana. A instalação de um implante é uma operação e é recomendável que seja realizada durante o período em que você estiver completamente saudável. O fato é que a imunidade após a cirurgia será reduzida e, no contexto de um resfriado, aumentam os riscos de desenvolver complicações locais. Eu recomendo que você se recupere totalmente e só então venha para a operação.
Olá, tenho pus sob o implante dentário inferior. Pediu ao médico para remover o implante, ele recusou, disse que poderia ser devido a uma doença do duodeno. Isso é possível? Agradecemos antecipadamente.
Olá Para mim, pessoalmente, essa conexão é duvidosa, embora algumas doenças geralmente levem à rejeição do implante, principalmente se a técnica de implantação for violada. Eu acho que as táticas do médico não estão totalmente corretas aqui. Se você tiver a oportunidade de obter outra consulta na cadeira de um médico que está envolvido em implantes na sua cidade, é importante fazer o mais rápido possível. Sem vê-lo na cadeira, agora posso apenas assumir que o tratamento não está no caminho certo.
Olá Jazgul! Na situação descrita por você, a remoção do implante é geralmente recomendada, pois sua superfície porosa já está infectada. No entanto, uma avaliação final objetiva pode ser feita somente após tomografia computadorizada e posterior exame da cavidade oral.
Obviamente, doenças somáticas gerais de todo o organismo podem afetar a condição do sistema dentofacial e os tecidos moles da cavidade oral como um todo, mas na sua situação, as causas da descarga purulenta são fatores locais, como infecção da ferida durante o tratamento cirúrgico ou falta de higiene. É altamente duvidoso que uma doença do duodeno possa de alguma forma afetar a situação. É altamente recomendável que você entre em contato com um especialista o mais rápido possível.
Olá Seis anos atrás, eu tinha dois implantes dentários colocados no meu maxilar superior esquerdo. Há um mês, eles estão cambaleando e sangrando. O cheiro é desagradável.Devo ir ao dentista? Não há implantologista na vila. Não há como ir para a cidade onde foram montados.
Olá De acordo com a sua descrição, parece sinais de rejeição de implantes, quase 100% - peri-implantite. É necessário consultar um dentista para esclarecer o diagnóstico. Infelizmente, o fato de não haver implantologista na vila não pode deixar outra opção (se você não for à cidade), exceto depois de fazer um diagnóstico relacionado à rejeição dos implantes, remova-os na vila onde existe um cirurgião dentista. E então - planeje uma viagem à cidade (você pode até procurar outro especialista na área de implantação) e colocar implantes ou usar uma opção protética alternativa (por exemplo, para fazer uma ponte ou outra, tudo depende da sua situação na boca). Se houver um dentista ortopédico na vila, em vez de implantes, você poderá executar próteses simples. Não acho que você possa garantir uma segunda implantação sob garantia, embora seis anos não sejam uma vida útil longa para implantes modernos de alta qualidade.
Olá Paraíso! É necessário consultar um cirurgião-dentista para um exame. Os sintomas que você descreve são semelhantes à peri-implantite, quando o implante se torna instável devido à infecção e atrofia do tecido ósseo ao seu redor. Aconselho você a remover esses implantes instáveis em um futuro próximo, para não agravar a situação de perda óssea. É necessário preservar o tecido ósseo, tanto quanto possível. Então, após a remoção do implante, é necessário aguardar o tempo para sua restauração e cicatrização completa da ferida - isso é de pelo menos 4-5 meses. Em seguida, refaça a tomografia computadorizada e avalie a condição do tecido ósseo. Somente após isso é possível elaborar um novo plano de tratamento.
Dois implantes para 4 dentes (canto superior esquerdo) afundaram no seio, o sacro, sensações dolorosas. Onde encontrar um especialista?
Olá Vladimir! A julgar pela situação que você está descrevendo, agora é observada inflamação no seio maxilar esquerdo. A razão para isso, provavelmente, foram os implantes - suponho que, no contexto de sua sobrecarga, houve uma reabsorção óssea (diminuição) ao redor do implante e subsequente inflamação. A sobrecarga surgiu devido ao pequeno número de implantes em um grande número de dentes de mastigação. Pacientes com problemas desse tipo costumam ir à nossa clínica. Cada caso é individual e você precisa estudar todo o quadro para diagnosticar corretamente e resolver o problema com a mais alta qualidade.
No momento atual, posso dizer que você precisa de um cirurgião de implante e um ortopedista. Juntos, eles podem ajudá-lo.
Olá. No terceiro dia após a implantação de dois dentes da frente, fiquei inchada, meu olho nadou e teve uma contusão ... Perto dos implantes, havia algo branco, como pus. O paladar foi costurado e também perseguido. O que fazer O médico disse que o inchaço é normal. Injetei por via intramuscular um remédio.
Eu bebo amoxiclav, escovo os dentes suavemente, depois de comer, enxágüe com clorexidina. Inchado mais lado esquerdo, aos olhos.
Olá Há inchaço após o implante, mas com a disseminação do edema descrita por você, não é difícil obter aconselhamento de outro cirurgião maxilofacial para excluir possíveis complicações. Não vejo o ponto de entrar em contato com um médico, pois a opinião dele já está clara - ele considera normal a propagação do edema "sob os olhos". De acordo com as informações que você forneceu, não posso dizer mais nada agora, já que é necessário um exame cuidadoso na cavidade oral, é necessária a determinação do estado dos tecidos durante a palpação, é possível que seja necessário um controle de raios-X.
Obrigado por sua resposta e por sua participação em mim. Meu edema estava adormecido, havia leves contusões, amareladas.Dentro da cavidade oral, tudo está se recuperando lentamente. Hoje é o sétimo dia após a implantação, outro dia irei remover os pontos. Mais uma vez obrigado, tudo de bom!
Olá. Durante a instalação dos implantes, tive uma crise hipertensiva, pressão 200/120. Eles me levaram a um centro de cardiologia. O médico disse que foi uma reação à anestesia. 2 meses se passaram, agora o médico tem medo de continuar trabalhando comigo. Aconselhar o que fazer? Obrigada Eu sou hipertônico e tenho aterosclerose vascular em 60%.
Olá Larisa! Situações desse tipo não são incomuns. No contexto do estresse psicoemocional geral e do uso de um anestésico contendo adrenalina, a pressão arterial sempre aumenta. E como você tem hipertensão e aterosclerose vascular como doenças concomitantes, isso já sugere que você não pode realizar cirurgia apenas sob anestesia local. É necessário usar sedação.
Sedação não é anestesia, mas a chamada analgesia potencializada, quando eles usam drogas especiais que entram em um estado de leve prostração ou sono superficial (soneca). Ou seja, você permanecerá consciente, mas não se lembrará do momento da operação. Nesse caso, você executará os comandos do médico enquanto estiver relaxado. É confortável para você e para o médico. Depois disso, as articulações não doem, os músculos não doem e a operação pode ser realizada dentro de 3-4 horas. Durante o procedimento, o anestesista também introduz antibióticos, anti-histamínicos e anti-inflamatórios. Ele monitora constantemente sua condição. Nesse caso, o médico que opera está focado na operação.
Além disso, serão necessárias consultas e conclusões sobre a autorização da operação de um médico e cardiologista. Pode ser necessário ajustar o regime de alguns medicamentos que você está tomando.
Olá. Em março, eles instalaram um implante no lugar dos quatro primeiros. Lá, o osso foi atrofiado e eu implantei junto com a elevação do seio maxilar. Quase um ano se passou, mas agora meu implante é completamente sentido através da pele, como se não houvesse ossos lá (isso é na parte da frente). Meu médico estará apenas em janeiro. Em conexão com estas perguntas: é possível plantar mais tecido ósseo deste lado, sem tocar no implante? E se você não tocar, não ficarei sem um implante? Quando pressionado, nada dói ainda. Eu dei muito dinheiro, fui para a melhor clínica da cidade, e isso aconteceu ((
Olá Eu recomendaria fazer tomografia computadorizada dental (ATV) para entender a causa desse problema. Sem um instantâneo, é difícil aconselhar cegamente qualquer coisa. Podemos assumir a instalação vestibular do implante, ou seja, isso significa que o implante foi orientado significativamente para o exterior e a parede era fina. É por isso que a reabsorção da placa cortical externa pode ocorrer - e, como resultado, a estrutura agora é sentida na palpação. É necessário observar o grau de reabsorção óssea (em alguns casos, é melhor reinstalar o implante). Novamente, somente o médico pode tomar a decisão final após examinar a situação durante o exame.
Olá. Acrescento que, se o implante é realmente palpado através da gengiva (se entendi corretamente, "através da pele"), isso é uma indicação absoluta para a revisão da zona de implantação, durante a qual são avaliadas a estabilidade do implante, seu grau de exposição e a possibilidade de seu fechamento com material ósseo. É possível que o implante precise ser removido. Uma auditoria deve ser realizada em um futuro próximo, pois a situação pode piorar com o tempo - então as chances de manter o implante diminuirão.
Olá. Eu tenho um implante há sete dias. E as gengivas ainda estão inchadas.Há uma pequena mancha branca, como um abscesso. Diga-me, por favor, isso é normal?
Olá Não acho que sua descrição se enquadre na categoria de norma. Eu recomendo o seguinte procedimento: consulte seu médico para obter orientação. Se o implantologista determinar o problema e corrigir o tratamento, tudo o que resta é esperar por resultados positivos. Se o médico começar a garantir que isso é normal e não tomará nenhuma ação, é aconselhável obter aconselhamento de um médico independente que esteja envolvido na implantação em outra clínica. Entendo que em um ambiente comercial, às vezes, médicos pouco profissionais começam a criticar o trabalho de um especialista anterior sem uma boa razão. Mas, neste caso, você definitivamente sentirá isso. Seja como for, sem um exame detalhado do estado do implante gengival circundante, é difícil para mim tirar conclusões sobre o quão perigoso isso é. É melhor jogar pelo seguro e obter uma consulta presencial.
Olá. Eu concordo com um colega. Em geral, é descrita a situação de uma fístula purulenta, que indica a presença de um processo inflamatório ao redor do implante. Consulte urgentemente um médico.
Olá. Eu tenho um implante há 20 dias. Eles removeram as costuras. Está tudo bem. Hoje, porém, o implante ficou um pouco visível na gengiva antes de não ser visível. Pressiono devagar - ouço um ruído. E comecei a sentir o próprio implante. Diga-me, por favor, o que isso tudo significa? Então deveria ser?
Olá. A semana 3 é um dos momentos críticos no processo de osseointegração do implante. A julgar pela descrição, na sua situação, o implante perdeu contato com o osso, tornou-se móvel e gradualmente sai. Provavelmente, será necessário removê-lo e planejar uma segunda implantação. É importante consultar o seu médico o mais rapidamente possível.
Olá Ela instalou implantes na mandíbula inferior. Foi adicionado material ósseo, uma membrana foi colocada e suturas foram feitas. Exatamente um mês se passou. Alguns dias atrás eu notei algumas migalhas brancas, são duras, rangem nos dentes. Saia do buraco na gengiva pelo lado do lábio inferior. Correr para o médico? Este material ósseo está saindo?
Olá A julgar pela sua descrição, há razões para acreditar que há uma passagem fistulosa na gengiva através da qual o material ósseo entra na cavidade oral. É muito cedo para dizer que os implantes não se enraizaram, mas eu recomendo que você entre em contato com seu médico o mais rápido possível, pois a situação não se aplica ao estado normal.
Olá. Talvez na área de enxerto ósseo exista um processo inflamatório, pelo qual a integridade da membrana barreira é violada. Portanto, os grânulos de material ósseo entram na cavidade oral. É urgente consultar um médico para resolver a questão da revisão da zona plástica.
Fui examinado por um médico e fiz uma pergunta sobre essas migalhas brancas. Ele disse que tudo está normal, há um excesso de material ósseo. Ele aconselhou colocar Solcoseryl Dent constantemente, até que tudo se recuperasse. Em princípio, agora essas migalhas estão quase acabando.
Esqueci de perguntar ao médico, talvez você possa dizer: às vezes há uma pulsação na gengiva na área de colocação do implante - isso é normal?
Olá Não tenho certeza se esse sintoma é a norma. No entanto, os sintomas devem ser confirmados por exame na cavidade oral + dados de radiografia. Se você tem uma passagem fistulosa na área do implante na boca - isso é apenas um motivo de preocupação + você está falando sobre pulsação, o que também confirma suspeitas.
Olá Diga-me, por favor. Eu tenho 29 anosEm 2 de dezembro (2 meses atrás), o implante foi realizado na região de 13 dentes (presa) na mandíbula superior. Havia inchaço nas bochechas, doía terrivelmente. Após 5 dias, um pequeno nódulo apareceu na gengiva, mais próximo do nariz e aumentou de tamanho. Depois que o médico a perfurou, ou seja, uma semana após a implantação, o fluido começou a fluir, a dor e o inchaço diminuíram. O médico receitou um laser, a gengiva praticamente não doeu, apenas com forte pressão, mas o pus gradualmente saiu da gengiva. Eles tiraram uma foto, o implante está enraizando-se bem, não há apagões, também não há dores, mas o pus apareceu em pequenas quantidades ao pressionar a colisão e fluiu pela parede frontal da gengiva e saiu para o lado do pino do implante, ou não está claro ...
Quando esse inchaço apareceu, bebeu antibióticos, lavou betodin, água-sal-refrigerante. 2 vezes fez a plasmalifting das gengivas, um pouco de pus se destacou, mas, é claro, menos do que antes. O cone resolveu, mas o pus estava saindo de baixo do pino na lateral ... Antes do ano novo, o médico colocou uma coroa de plástico, mas deixou um local para o pus drenar (o implante em si foi instalado um pouco obliquamente, ou seja, em ângulo - como o médico me explicou, onde havia mais ossos ) É claro que me sinto melhor, mas ao pressionar a gengiva de cima, mais perto do nariz, uma pequena quantidade de pus ainda é liberada. Na área da coroa, não há vermelhidão ou dor, vermelhidão na parte superior das gengivas, mais perto do nariz. A única coisa - pus está em causa, embora não em grandes quantidades.
Diga-me, a alocação de pus está falando sobre pagamento antecipado? Já se passam 2 meses com inflamação ... Mas, quando batido, o implante não dói, não cambaleia, não sangra. O que devo fazer nesta situação? Aguarde o pus parar de ir? Ou é melhor removê-lo agora e tentar novamente mais tarde, mas não sei se decidirei novamente ... Desculpe por ser tão detalhado. Eu adoraria ouvir sua opinião ...
Olá. Esse período de supuração indica a presença de inflamação crônica na área do ápice do implante. Provavelmente, sua ponta sai do osso no nariz e está localizada sob a gengiva. Para esclarecer essa situação, é necessário realizar TC (tomografia computadorizada), e não OPTG (imagem panorâmica). Nesse caso, o implante deve ser removido. Se a ponta do implante estiver no osso, mas houver escurecimento (de acordo com a tomografia computadorizada), é necessário considerar a possibilidade de revisar a área da ponta do implante.
Esperar uma cessação independente da supuração não vale a pena. Eu recomendo fazer uma consulta pessoalmente em outra clínica com um implantologista que possa dar uma avaliação independente do problema e realizar uma análise aprofundada.
Olá. Há dois anos, os implantes foram colocados na mandíbula superior, 5 peças, todas seguidas. Durante as duas semanas, uma leve dor dolorida é atormentada e, quando caminha ou pula, devolve os implantes. Sensação - como se estivessem batendo neles por dentro. Não há vermelhidão ou inchaço. Por favor, informe o que essa condição pode produzir e isso não está relacionado ao início da rejeição? Obrigada
Olá Isso pode muito bem determinar o início do processo inflamatório, por isso vale a pena tirar fotos e consultar o seu médico. É muito cedo para tirar conclusões finais, mas vale a pena estar seguro - quanto mais cedo você procurar diagnósticos, mais chances terá de sair dessa situação com menos perdas.
Olá, Svyatoslav Gennadievich! Desde novembro de 2016, ela começou a se preparar para a implantação: ela curou tudo o que era necessário, no final de janeiro eles removeram a figura de oito na parte inferior esquerda, a remoção falhou, a coroa do dente se rompeu e o médico perfurou a raiz. Curado por muito tempo, um pedaço afiado saiu do lado da língua, machucou e machucou a gengiva. O médico o mordeu. A ferida ainda não se arrastou. 17/02/2017 realizou a implantação do 4º e 5º dente no canto inferior direito e 6º e 7º esquerdo.Hoje é 20h20, tudo está calmo à direita, não há dor, não há inchaço. Dor à esquerda, não entendo o porquê - de implantes ou de uma ferida não cicatrizada na gengiva por "morder" um osso. As gengivas na área 6 e 7 do implante e na área dos 8 removidos estão vermelhas e inchadas. Hoje, o médico registrou uma ferida na figura oito (um osso branco estava visível). Ele diz que a dor dessa ferida, com implantes, está tudo em ordem. Com a pressão nas gengivas, o sexto e o sétimo implantes são dolorosos, não há descarga. Os implantes à direita não apresentam dor nem inchaço. O médico está certo? Eu tenho medo de inflamação.
Olá Eu acho que o médico provavelmente estava certo ao notar o processo inflamatório próximo ao oitavo dente como a causa do problema. Quando o tecido ósseo é exposto, pode até haver dores muito graves - isso viola seriamente a cicatrização normal do buraco. Portanto, o médico fez todo o necessário para eliminar esse problema. Quanto à dor na área dos implantes recém-instalados: dentro de uma a duas semanas, em muitos casos, pode haver dor com pressão na gengiva, o que não é considerado uma patologia.
Como entender a inconsistência matemática no artigo em duas citações:
“Em média, os implantes são rejeitados em não mais do que 3-5% de todos os casos, e os indicadores variam muito, dependendo da marca dos projetos. Por exemplo, implantes de fabricação alemã ou suíça se enraízam com sucesso em 97-98% dos casos e produtos mais acessíveis da produção israelense ou russa - em cerca de 95%. ”
“A prática mostra que os fumantes rejeitam implantes dentários com muito mais frequência do que os não fumantes. Segundo as estatísticas, cerca de 30% dos fumantes apresentam sintomas de rejeição nos primeiros cinco anos após a cirurgia. ”
1. Porcentagem exagerada de sucessos?
2. Exagerou os malefícios do tabagismo e o número de casos mal sucedidos em fumantes?
3. 98% é a porcentagem de enxerto nos primeiros 1-2 anos e 30% da rejeição é a porcentagem de rejeição após um longo período (5-10 anos)?
Olá A porcentagem de sucessos é uma estatística geral aproximada. Também existem estatísticas de sobrevivência para tipos específicos de implantes.
Para fumar - os riscos aumentam definitivamente, especialmente entre fumantes mal-intencionados. Mas calcular exatamente quantos casos são fracassados é difícil, pois cada clínica tem suas próprias maneiras de lidar com esse problema. Recentemente, na consulta, tive um paciente com implantes que, pelo bem (ou melhor, pelo valor que ele deu), não fumam há cerca de 2 anos. Então ele acendeu um pouco novamente - e veio até mim.
Em geral, você não deve considerar apenas as porcentagens indicadas: para cada paciente, o dentista determinará seu nível de risco. Com as mãos normais do médico e da adequação do paciente (o desejo de cooperar com o médico), a probabilidade de enxerto de implante bem-sucedido será de cerca de 98% nos primeiros meses, e esse percentual diminuirá levemente se você olhar para ele mesmo por uma década. Caso contrário (por exemplo, se as recomendações do médico não forem seguidas, com falta de higiene bucal, tabagismo malicioso), o risco de complicações aumenta em 5 a 10 anos.
Antes de colocar os implantes na mandíbula inferior, a ponte de 7,5 implantes na mandíbula superior não era cimentada. O médico cortou a gengiva para uma ponte de pouso maior, houve fortes dores e temperatura. Os médicos se esticaram por quatro meses enquanto estavam no fundo. Um bolso apareceu no entalhe, e tudo estava apodrecendo. Mas os médicos culpam o implante e dizem que ele deve ser removido, como se estivesse inflamado. Mas ele permanece firme, e não adoeceu, mas apenas não foi cimentado. Após a limpeza, agora há uma dor aguda e, provavelmente, você precisará remover o implante. Posso esperar que um médico corrija minha situação? Ou não posso provar nada?
Olá De um modo geral, em odontologia, pode ser difícil provar o fato de uma manipulação específica. Primeiro, porque na documentação médica com um alto grau de probabilidade, o médico descreveu tudo como deveria e deveria estar de acordo com os protocolos desse tipo de tratamento. Em segundo lugar, o procedimento de disputa, incluindo a criação de uma comissão médica que estuda as imagens antes e depois, o estado da cavidade oral, etc. - O assunto também é problemático e pago. No entanto, se você encontrar uma linguagem comum com o médico, poderá sempre concordar amigavelmente. Caso contrário, você tem o direito de aplicar mecanismos de reclamação a seus superiores, indicando sua prontidão em afirmar seus direitos. Mas, tanto quanto eu sei pelas estatísticas não oficiais da Rússia, a base de evidências sempre será complicada e, durante sua coleta, os documentos da clínica são polidos ao ideal. E o médico, se começa a cheirar frito, em regra, é demitido, muitas vezes em retrospectiva. A própria organização médica encontra muitas brechas para esconder essa situação.
Após a instalação de dois implantes na mandíbula superior, passaram-se 6 meses. Formadores de goma estabelecidos. Gengivas doíam. Ao parafusar os pilares em um dos implantes, houve dor durante o parafusamento. 10 dias se passaram e, ao pressionar o implante, sente-se uma dor maçante nas profundezas. As gengivas ao redor dos implantes doem quando pressionadas. Há 2 dias, instalamos uma prótese removível nos botões. Ao mastigar, a dor não é audível, mas às vezes há incômodo. Isso pode indicar peri-implantite?
Olá Os sintomas são lentos, a fim de 100% dizer sobre o início da reimplantite. E a base de evidências é sempre baseada em dados de raios-X e no exame das gengivas com implantes. Pode ser que durante a “torção” a gengiva tenha sido simplesmente machucada, mas, caso contrário, levará um tempo para entender se ela saiu bem ou não. Parece-me que o médico não pôde deixar de ligar para o controle em 1-2 semanas (ou em um mês) para determinar a qualidade do implante. Nesse caso, deixe-o guiá-lo na programação do tratamento e você poderá contar com segurança seus medos para que, após o diagnóstico, exame e análise da situação, sejam tiradas conclusões e o tratamento seja ajustado (se necessário).
Coloque 2 implantes nos dentes da mastigação. Um implante rapidamente se enraizou e o segundo oscilou um pouco, mas não houve dor. Leve inchaço. O médico disse que o último dente não se enraizou. Eles o refizeram novamente, sem sucesso - tocaram o nervo e havia um hematoma (metade do lábio estava dormente e parece que o dente entra no dente). O implante foi alterado novamente, mas as sensações não mudaram - da mesma forma que o inchaço grande e estúpido. É impossível nem engolir, tanta dor ao engolir.
Coloquei o implante há dois anos no canino. Pus sai por cima da presa na gengiva. Bebi antibióticos, a secreção diminuiu um pouco, o implante não cambaleia e não dói. Quero removê-lo e esquecer a implantação, colocar uma coroa, isso é possível? Obrigada
Boa tarde, sim, isso é possível! Mas recomendo ser examinado por um especialista qualificado e descobrir a causa da supuração. Eu não recomendaria remover o implante, se possível. Se o implante precisar ser removido, é melhor reinstalá-lo mais tarde. As próteses em ponte levam a grandes problemas a longo prazo: para instalar uma prótese, é necessário moer dentes saudáveis adjacentes, e esse é o dano grave e irreversível. Além disso, se você deseja remover o implante, precisará reabastecer o tecido ósseo; caso contrário, a gengiva sob a coroa da ponte cederá rapidamente e a estética ficará prejudicada; além disso, a atrofia levará à mobilidade dos dentes adjacentes e toda a estrutura não durará muito.
Minha opinião: a instalação de uma ponte dentária em vez de um implante para substituir 1 dente nessa situação é impraticável nem do ponto de vista da eficácia do tratamento, nem do lado financeiro. Mas depende de você, é claro. Só insisto em não tomar antibióticos sem receita médica. É necessário identificar a causa da supuração na área do implante com um especialista experiente e, se possível, salvar o trabalho realizado.
Muito obrigado pela dica. Foi com outros médicos, o problema não está no implante, é ao lado do dente no qual a coroa está desgastada, inflamada. Nós tratamos.
Olá. Há cinco dias, instalei o sistema "tudo em seis implantes". Até a prótese ser instalada, as dores eram fracas, o inchaço, claro, era forte, mas não havia machucados. Dois dias atrás, eles “ferraram” a prótese. Agora, uma dor constante e dolorosa, dando lugar aos ouvidos. Eu não vivo sem pílulas. Parece que o médico apertou as nozes. No processo, eu disse a ele que doía, mas ele disse que deveria passar. No entanto, isso não passa. Ele estava de férias, antes de sair, não atendeu o telefone, embora tenha telefonado mais de uma vez. Atira nos ouvidos, na mandíbula esmagando e estourando dores. Mas ouvidos e garganta estão mais preocupados, pois não é estranho. Não há cheiro, mas as sensações são muito semelhantes a uma dor de dente e todo o maxilar dói. O que é isso
Tiramos uma foto objetiva de dois implantes durante a instalação da prótese. Pode haver dores devido à conexão muito apertada entre o implante e as porcas da prótese? O edema está quase acabando, mas há um selo estranho e doloroso no lábio da frente. Eu bebo um antibiótico, enxágüe após cada refeição. Honestamente tentando limpar, mas realmente dói!
E, no entanto, a prótese foi instalada no terceiro dia após a operação, sem a remoção das suturas, e a mandíbula foi literalmente aparafusada firmemente, mal revivida após a remoção do implante, sutura e outros prazeres associados.
Orelhas e garganta estão muito doloridas. Porque
E o segundo. Ao elaborar um plano de tratamento, o médico assumiu os implantes Adi pelo preço apropriado e configurou o Instant. Mas, por alguma razão, isso não me pareceu. E eles são muito mais baratos, IMHO? Vale a pena discutir? E existe uma chance de alcançar a verdade?
Estou preocupado com suas complicações de ouvido e garganta. Pelo que entendi, as próteses ocorreram na mandíbula superior. Se implantes zigomáticos do tipo Zygoma foram usados como parte do complexo All-on-6, é provável que os implantes não tenham sido instalados corretamente. Quanto aos implantes da Medent, não os conheço. Os implantes Adin são conhecidos, mas em nossa clínica não os usamos por várias razões.
Uma imagem de objetivo não é suficiente para entender a imagem; você precisa fazer uma tomografia computadorizada. Você pode enviar um instantâneo para o e-mail do site, comentarei. Além disso, se desejar, você pode se inscrever para uma consulta gratuita comigo.
Em relação à marca de implantes instalados - é claro, vale a pena discutir, pois você deve ter instalado exatamente a marca de implantes pela qual pagou. Todos os dados devem ser especificados no contrato.
Obrigado pela resposta. Eu implantei o fundo) Demorou 7 dias, todas as consultas foram concluídas, mas a dor (especialmente todas as noites) permaneceu. Hoje eu pensei que viveria sem uma pílula, mas percebi que o próprio corpo da gengiva, sobre o qual a prótese está montada, está muito dolorido e atira nos ossos de uma maneira que não fica clara - é uma orelha, garganta ou implantes? Por exemplo, eles colocam um braço protético. No ouvido dispara. Se pudesse, ela teria removido a prótese. Dói mesmo!
Tudo bem? Eu estava na consulta nesta odontologia - meu médico está de férias, então outro médico olhou para mim. Ela disse que está tudo bem 🙂
Eu não vivo sem ketanov! Curiosamente, você tem que beber durante toda a sua vida? Não fui avisado sobre isso ((
Boa tarde Se o implante for realizado na mandíbula inferior, a sintomatologia da dor é semelhante à neuralgia do trigêmeo. Como eu escrevi para você, eu recomendo fazer uma tomografia computadorizada em um laboratório independente.Os resultados da TC em caso de esclarecimentos adicionais ajudarão bastante.
Se o nervo está danificado não é crítico, com o tempo a dor pode desaparecer por conta própria.
Você tem dormência ou sensação de anestesia em algum lugar?
Não, não há dormência. Entendo que pelo fato de o corpo da gengiva doer, tudo começa a doer. Ou não entendo nada que me machuque "
Ontem, entrei em contato com um médico da clínica em que eu era operado, que dizia tomar diclofenaco e miramistina. Miramistin substituído por clorexidina, eu bebo diclofenaco. Hoje vou parar para me ver. Não sei quando essas dores vão acabar ...
Boa tarde Eu tenho uma adentia da mandíbula superior, muitos dentes foram removidos há cerca de 15 anos, eu uso uma prótese total removível por mais de 5 anos. Uma tomografia computadorizada recente mostra deficiência óssea em toda a mandíbula superior, disse o cirurgião (e eu não sei quanto resta). Eu realmente quero fazer o implante, mas há um “buquê” de doenças, entre as quais: glomerulonefrite crônica (função renal preservada, experiência da doença 35 anos), hipertensão grau 1, estágio 2, risco 3, taquicardia, arritmia, arteriosclerose carotídea, estenose da artéria carótida esquerda 40%, hipercolesterolemia, bócio multinodular, eutiose, osteopenia, deficiência de vitamina D, etc. Os hormônios tireoidianos são normais. Eu constantemente tomo bloqueadores dos canais de cálcio e estatinas. Eu tenho 46 anos Peço que você responda à pergunta: com esse “buquê” de diagnósticos é possível realizar o implante (o clínico geral deu uma conclusão sobre a ausência de contra-indicações). E há alguma esperança de que os implantes se enraízem? E é possível contar não com uma prótese removível em implantes, mas com uma ponte bonita? Agradecemos antecipadamente!
Esqueci de indicar que ainda sou alérgico ((glucosaminas, algumas vitaminas, alergias alimentares).
Boa tarde Um dos métodos mais não traumáticos de implantação com carga imediata do Complexo Basal pode ser adequado para você, ou de outra maneira - implantação basal dos dentes. Se o seu terapeuta não relatar contra-indicações, o implante pode ser feito. Mas, primeiro, preciso familiarizar-me com a tomografia computadorizada (TC) e o estado da cavidade oral. E também estude seu histórico médico com mais detalhes.
É importante escolher o método certo de anestesia no seu caso. Você provavelmente pode contar com uma “ponte agradável”, a prótese é fixada por 2-3 dias após o implante e você pode começar a usar dentes novos quase imediatamente, aumentando gradualmente a carga mastigatória.
Se desejar, pode marcar uma consulta comigo para uma consulta gratuita. Se você não tiver uma tomografia computadorizada, isso pode ser feito em uma clínica. Por favor, capture a opinião do terapeuta.
Boa tarde Diga-me, por favor, a situação é a seguinte: há 4 dias eles colocaram implantes no lado esquerdo, 2 na parte superior 1 na parte inferior. Após a operação, não houve sintomas graves por vários dias. Mas ela começou a perceber que um dente vivo ali perto começou a doer quando pressionado e cambalear um pouco. Hoje, o nariz está entupido do mesmo lado que os implantes e, quando soprando, sai entorpecido com sangue.
Essa é a norma ou precisa urgentemente ir ao médico? Na consulta de remoção do ponto, preciso apenas 1,5 semanas depois.
Boa tarde De qualquer forma, você precisa ir com urgência ao médico e tirar uma foto de controle, para entender a natureza da mobilidade do dente adjacente na mandíbula inferior.
É óbvio que "snot with blood" é um sintoma suspeito, mas pode não ser de natureza dentária, especialmente se você não teve elevação do seio e implantes instalados fora do seio maxilar.
Olá. Por favor, explique por que, após a instalação do pilar de cicatrização em um implante normalmente implantado, ocorreu inflamação? Quando o médico apertou, senti dor ao penetrar mais fundo. Talvez este seja um modelador de gengiva errado?
Boa tarde, a inflamação pode ocorrer devido a danos nos tecidos moles e micróbios que entram durante a instalação da gengiva anterior. Pode valer a pena desaparafusar o modelador e reorganizar a área, reinstalar o plugue no implante e aguardar a reabilitação do tecido e, em seguida, seguir novamente a etapa de instalação do modelador. Se o modelador for "não-nativo" (de outro sistema de implantes), durante a instalação, poderão ocorrer danos ao implante no osso - por exemplo, roscas diferentes na cavidade interna do implante e forte pressão do médico ao tentar parafusar o modelador. Isso também pode levar a um processo inflamatório.
Você precisa olhar para a foto e a área de inflamação. Se possível, você pode se inscrever para uma consulta gratuita comigo, vou procurar e dizer com mais precisão o motivo e o que fazer a seguir.
No dia seguinte ao implante, surgiram inchaço, dor e febre baixa. Comecei a enxaguar com sal e refrigerante, beber ibuprofeno e um antibiótico. Temos 3 dias de folga, então não pude ver o médico. É possível instalar coroas em um implante? E por que a inflamação ocorreu?
Boa tarde A coroa não pode ser instalada imediatamente após a implantação, de acordo com o protocolo de dois estágios. O fato de que o edema ocorreu imediatamente após a instalação é uma ocorrência normal, mas um aumento na temperatura acima de 37 é um mau sinal. Talvez, por alguma razão, tenha ocorrido inflamação ao redor do implante - você definitivamente precisa consultar um médico com urgência. As medidas que você tomou, na minha opinião, são bastante justificadas para o fim de semana, mas mesmo que o processo inflamatório seja interrompido, o médico ainda precisa aparecer, relatando o problema.
Após o enxerto completo do implante, uma coroa será instalada e um novo dente o servirá como nativo. A presença de um processo inflamatório (interrompido no momento certo) não indica resultado negativo de todo o implante.
Olá Depois de remover o quarto dente superior (com um cisto), um implante (Nobel) foi imediatamente colocado ... O implante não estava doente, mas após 2 meses havia inflamação longe do implante, e muitas vezes havia dor óssea dolorida em um ponto, periodicamente inchada , gengivas nos 1º, 2º e 3º dentes inflamados. O médico alegou que estava tudo bem e ele não viu nada.
Fiz uma tomografia computadorizada na qual o médico também não encontrou nada, mas disse que, se ele continuar doendo, terá que remover o implante. Quando ele começou a remover, o implante caiu facilmente, ou seja, Eu não iria criar raízes desde o começo. Parece que a inflamação foi removida e a causa foi estabelecida, mas a dor no mesmo local permaneceu e a gengiva inteira na área de dentes saudáveis ainda incha periodicamente. O médico está extremamente irritado e acha que estou inventando. Por favor, comente sobre a situação.
Boa tarde Se o dente 4 estiver localizado no seio maxilar, pode ocorrer inflamação se você tiver problemas. Você escreve que o médico assistiu a uma tomografia computadorizada, mas não encontrou nada e, a julgar pelas suas impressões, o implante não se enraizou. Tudo parece muito estranho. Os implantes Nobel (originais) são produtos de alta qualidade e, com a instalação adequada, a porcentagem de rejeição é quase zero. I.e. nesse caso, não vale a pena pecar em implantes de baixa qualidade.
Os seguintes motivos possíveis permanecem:
1. A infecção, quando o cisto foi removido, se espalhou para áreas vizinhas no tecido ósseo (não pode inchar sem um processo inflamatório);
2. Ao instalar um implante dentário, houve danos aos tecidos periodontais dos dentes vizinhos - às vezes os médicos parafusam o implante levemente em ângulo, e é importante garantir que a raiz artificial não danifique os tecidos dos dentes vivos vizinhos.
3. Ou você tem inflamação no seio maxilar, o que causa complicações.
Olá.Três dentes foram removidos recentemente, quero instalar implantes agora. Eu li sobre várias empresas na Internet - elas escrevem que alguns implantes podem criar raízes de maneiras diferentes devido à cobertura diferente. É isso mesmo? Alguma outra coisa afeta a implantação de implantes de diferentes empresas? Eu gostaria de saber a opinião de especialistas. Agradecemos antecipadamente a sua resposta.
Boa tarde, em primeiro lugar, a sobrevivência do implante depende das qualificações do médico e de como o paciente cumpre todas as consultas e instruções após o implante. Em relação às marcas de implantes - sim, de fato, existem diferenças. Minha opinião: você precisa escolher sistemas de implantes testados pelo tempo, por exemplo, Nobel Biocare, Straumann, Xive, AstraTech, Bio Horizons - eles pertencem à categoria premium. Na categoria de orçamento, eu recomendaria MIS, Osstem, Simpl Swiss.
"Eles escrevem que alguns implantes podem se enraizar de maneiras diferentes devido à cobertura diferente" - isso é absolutamente verdade, é por isso que os implantologistas geralmente trabalham com vários sistemas de implantes, não apenas por razões financeiras, mas também por diferentes casos clínicos (em particular, um indicador importante - o estado do tecido ósseo), existem requisitos diferentes para a rosca, forma e tipo de colocação do implante.
Olá Diga-me, por favor, se os implantes de maçãs do rosto não se enraizarem, então eles são torcidos para trás? Obrigada
Boa tarde, sim, neste caso, haverá uma reinstalação do implante zigomático com uma rosca mais larga no mesmo leito ou, de acordo com as indicações, o vetor de penetração pode mudar levemente.
Olá Ela instalou o implante há dois meses. Eles imediatamente fizeram uma coroa de plástico nela. Após a instalação, quase não houve sensações desagradáveis, mas tomei antibióticos com receita médica. Agora fiquei grávida, o implante não se incomoda, não há sensações dolorosas. Mas a vermelhidão ao redor do implante não passa e dura 2 meses. O médico disse que é possível uma reação à coroa de plástico. Por favor me diga, isso é possível? E o que devo fazer se estiver grávida?
Boa tarde, sim, seu médico está realmente certo, é possível uma reação alérgica ao plástico. Após 2 meses, você pode mudar a coroa por uma permanente. Mas, para iniciantes, vale a pena removê-lo, observando a reação da gengiva e certificando-se de que tudo esteja normal com o implante. Você não escreveu qual sistema de implante recebeu - alguns sistemas atingem a estabilização em 2-3 meses e já é possível instalar uma coroa feita de dióxido de zircônio ou cermet.
Uma ressalva importante: todas essas manipulações podem ser realizadas após 1 trimestre e sob a estrita supervisão do seu ginecologista. Depende muito da sua condição durante esse período. Se a gravidez for difícil, recomendo não recorrer a próteses, mas simplesmente remover a coroa e cuidar cuidadosamente do implante.
Boa tarde Dois implantes superiores foram instalados ontem, um dos quais está no orifício do dente que acabou de ser removido. Eu tive que pagar 10 mil pelo material para crescimento ósseo, porque o buraco era mais largo que o próprio implante. À noite, acordei com o som de uma crise no local da colocação do implante. Eu bebo antibióticos, não há mais dor. A crise não se repetiu. Devo ter medo desse som e procurar meu médico?
Boa tarde, muitas vezes as pessoas rangem os dentes com força durante o sono (para alguns, mesmo essa é uma doença chamada bruxismo). A trituração provavelmente ocorre devido ao estresse excessivo no implante e no osso artificial. Eu recomendo consultar um médico e tomar uma injeção de controle.
Recentemente, um implante caiu, colocado há 7 anos. O que você acha que poderia ser o motivo? A higiene é sempre cuidadosamente monitorada.Eu acho que o assunto não está no implante, porque há sete anos não há problemas.
Boa tarde, Elizabeth. É difícil responder à sua pergunta sem ter que inspecionar a cavidade oral e não ter fotos à mão. Talvez tenha sido cometido um erro quando o dente foi incluído na linha da mandíbula no estágio da prótese. A coroa deve ser selecionada com precisão de acordo com a mordida, ou seja, encaixar-se firmemente nos dentes opostos (em contato), tanto em repouso quanto ao mastigar. Isso garante uma distribuição uniforme da carga no implante. Se o desenho ortopédico (coroa) for feito e instalado incorretamente, o implante poderá ser sobrecarregado, o que pode levar à sua desestabilização.
Também é possível que haja algumas razões mais sérias - por exemplo, doença óssea (o processo de rarefação levou à perda da estabilidade do implante). Pode haver muitas opções. Se você enviar um instantâneo (para o correio do site), eu poderia analisá-lo e comentar com mais detalhes.
Boa tarde Em 15 de novembro, ela removeu 8 dentes na mandíbula superior. Designado para beber o antibiótico flemoxin solutab, 250 mg, tomar uma 2 vezes ao dia por 5 dias.
Depois disso (em 23 de novembro), ela instalou implantes na mandíbula superior esquerda: 5 e 6. Aumentou ligeiramente o osso por cima, costurou e instalou imediatamente o modelador gengival, colocou os implantes de dentição, nomeados para tratar com clorexidina e manchar o metrogil do dentista e, se houver dores, tome 1 comprimido de arkoksia uma vez por dia. Antibióticos não foram prescritos desde que os tomei recentemente.
Agora é o terceiro dia após a implantação e apenas no terceiro dia houve um pequeno inchaço (a gengiva estava inchada desde o início). A dor é a mesma dor. Havia um pouco de sangue durante o processamento do metrogil do dente, mas logo passou.
Minha pergunta é: está tudo bem comigo e devo começar a tomar antibióticos?
Olá Olga. O edema geralmente aumenta no terceiro dia, e isso é normal. A dor pode persistir por até 3 dias; se a dor persistir (não diminuir), você deve coordenar a possibilidade de retomar a ingestão de antibióticos com o seu médico para evitar o desenvolvimento de infecção e acelerar os processos de regeneração após a cirurgia. Além disso, siga todas as recomendações e continue monitorando regularmente o cirurgião de implante.
Eu coloquei 4 implantes na mandíbula superior, juntamente com a instalação do tecido ósseo (já que não era suficiente). Já faz mais de duas semanas. O inchaço e as contusões desapareceram, mas minha dormência me incomoda. O médico disse que vai passar. As suturas ainda não foram removidas. O que me aconselha?
Olá Catherine. É necessário controlar essa situação com a ajuda da tomografia computadorizada, além de ser examinado por um cirurgião de implante e garantir que os implantes estejam instalados corretamente e que o nervo não seja afetado. Se tudo for feito corretamente, a sensibilidade retornará em breve. Possivelmente, há uma leve compressão no tecido peritoneal - isso também pode causar dormência em certas partes da face.
Boa tarde Após a instalação de 2 implantes e elevação do seio na mandíbula superior, passou um mês. O inchaço das bochechas (perceptível) durou cerca de três semanas, mas não houve dor. Agora, a vedação na gengiva é muito densa, mas indolor ao longo de todo o comprimento do implante. 3 e 7 dentes foram implantados. Isso poderia ser um deslocamento do material ósseo? O médico tirou uma foto e disse que está tudo bem, é um inchaço denso. Uma semana após o implante, o linfonodo submandibular estava inflamado, o antibiótico citigrano bebia - tudo corria. Minha idade é de 57 anos.
Olá, Nina Nikolaevna. Continue a observar o prognóstico do seu tratamento na ausência de dor é favorável.E sobre o deslocamento do material ósseo - aqui você pode responder apenas se tiver tomografia computadorizada. A julgar pela sua mensagem, o médico já fez isso. O edema estava dormindo - esse é um bom sinal, os tecidos podem realmente engrossar e, em seguida, o edema se resolve.
Obrigado Bulat!
O implante oscila após 10 anos. O conjunto alemão mais caro da época. Dor ao morder. Você realmente terá que mudar tudo?
Olá Alla. A dor cortante é um sintoma ruim, é provável que seja peri-implantite. Nesse caso, o implante é removido, uma operação para restaurar o tecido ósseo é realizada, após o qual um segundo implante pode ser realizado. Mas deve-se ter em mente que a situação também pode estar associada à prótese - é possível que um parafuso tenha sido afrouxado, que prende o implante com a coroa, e agora causa dor ao morder. Nesse caso, o parafuso pode ser reinstalado com relativa facilidade. Seja como for, em qualquer caso, é necessário um exame pelo cirurgião e ortopedista do implante com controle adicional sobre a imagem.
Olá 20/03/18 instalou um implante, 4 na parte superior. No dia 3, ela pareceu ao médico, estava tudo bem. Um dia depois, a bochecha inchou (inchaço quase nos olhos e muito densa no nível do nariz). Fui ao médico, de acordo com o médico - 5 dentes ficaram inflamados (quando você toca, há dor). Ele fez cortes, espremeu pus. Antibióticos prescritos: Flemoxin Solutab, 500 mg (2 vezes ao dia) + enxaguar a boca com solução de refrigerante. No dia seguinte, tudo permaneceu inalterado, um denso e doloroso selo na bochecha como estava e permanece. Amanhã remova chicletes e costuras. Minhas preocupações com o edema não desaparecem. O que você recomenda?
Olá. A ocorrência de inflamação purulenta na área de implantação é sempre um risco de que o implante não crie raízes. Na maioria das clínicas, antes da operação, é obrigatório um saneamento da cavidade oral (tratamento odontológico) para minimizar o risco da situação que você possui.
Como o abscesso foi aberto e a terapia adequada foi prescrita, pode-se esperar que o edema desapareça em alguns dias (não se preocupe, pois o edema não desapareceu no dia seguinte - o processo de reabsorção pode levar até uma semana). No entanto, mesmo assim, é importante tratar completamente o quinto dente para que a zona de implantação não fique mais infectada.
Olá. Eles colocaram um implante na minha mandíbula, criaram raízes e colocaram um modelador de goma em mim. Não há como terminar a operação. Hoje notei sangue ao enxaguar a boca (do local onde o implante). Diga-me, isso pode ser uma rejeição?
Olá Alina! Um sangramento menor é possível se a ferida ainda estiver fresca e se tiverem passado 2-3 dias após a instalação do modelador. No entanto, se o modelador tiver sido instalado há mais de 3 dias, o sangramento ocorrido é alarmante - nesse caso, é importante consultar um médico que tenha um implante o mais rápido possível (pode ser necessária a reinstalação do modelador). É prematuro falar sobre rejeição do implante por apenas um pequeno sangramento.
Boa tarde Há dois meses, um implante foi colocado no lugar do sexto dente, na mandíbula inferior. Após a implantação, nada doeu, mas tomei regularmente todos os medicamentos. Nem um modelador de chicletes nem uma coroa foram instalados para mim. Há uma semana, na área do 8º dente, no mesmo lado em que o implante foi instalado (na mandíbula inferior), um ponto purulento apareceu. Não tenho oitavo dente e nem sequer tenho um. A área onde o implante está instalado não é dolorida nem vermelha. Por favor, diga-me, educação purulenta pode estar associada a má implantação?
Olá Anastasia! A causa da formação purulenta na região do 8º dente pode ser, por exemplo, inflamação crônica na região das raízes do 7º dente. Para esclarecer a situação, recomendo entrar em contato com um cirurgião-dentista e fazer uma tomografia computadorizada dessa área para um diagnóstico preciso.
Olá. Eles instalaram um implante há três anos. Tudo se enraizou perfeitamente, a única coisa depois de instalar a coroa doeu nesta área por cerca de 1 mês. E então, o tempo todo, enquanto a coroa estava em pé, havia a sensação de que a comida caía constantemente entre a coroa e a gengiva. Não pude limpá-lo, já que o implante era profundo - simplesmente não consegui alcançá-lo com os flos.
Após 3 anos, ocorreu uma dor constante no local do implante (incisivo lateral). A goma está em ordem, embora tenha subido ligeiramente acima da coroa do lado do céu (o pilar está vazio por alguns milímetros). Quando pressionada, a dor não se intensifica. Pus, odor, etc. não Na imagem panorâmica e na tomografia computadorizada, está tudo bem (como dizem os médicos).
O médico tirou a coroa, desaparafusou o pilar e instalou o modelador (para ver o que aconteceria). Depois disso, por 2 semanas no local do implante (ou gengivas), houve dores muito graves. Gradualmente, a dor diminuiu, mas está constantemente presente. Diga-me, por favor, o que fazer? Os médicos se oferecem para remover o modelador para que as gengivas fiquem crescidas e depois veremos. Uma opção de remoção de implante não é considerada. Estou atormentado por 5 meses.
Olá Alexander. Pode haver várias causas de dor na área do implante e, antes de tudo, é necessário realizar diagnósticos diferenciais - para determinar qual de todo o complexo de implantação instalado é a causa da dor. Se a causa da dor é um implante, infelizmente, serão necessárias medidas para removê-lo. No entanto, na maioria dos casos, o implante pode ser mantido com tratamento oportuno. Eu recomendo que você entre em contato com outro implantologista (não aquele que já examinou e, melhor, de outra clínica em geral) - para um diagnóstico independente e tomada de decisão sobre tratamento adicional.
Olá Há um mês, eles instalaram 2 implantes em cima de mim. Ao morder e tocar em implantes, não dói, mas quando você pressiona a gengiva, dói. O que poderia ser?
Olá, Oksana. A dor nas gengivas pode ser, por exemplo, uma consequência do processo inflamatório. Aqui vale a pena considerar a maneira como os implantes são executados - se o modelador de goma já estiver instalado, ou seja, existe o risco de pequenas partículas de comida ficarem entre ele e a gengiva, como resultado, uma bolsa é formada. Nesse caso, é necessário fazer um exame com o médico o mais rápido possível (no futuro, será necessário melhorar a higiene). Em geral, posso dizer que a observação pós-operatória é um dos componentes mais importantes do processo de tratamento. O seu médico deve monitorar regularmente a condição dos implantes e, se houver algum problema, tome medidas para resolvê-los.
Olá. 8 meses após a implantação. Após a adentia completa, uma prótese foi instalada na mandíbula superior de acordo com a tecnologia, todas às 6 horas. Um dos implantes, um pouco à esquerda do nariz, pulsa. Ele foi ao médico, tirou uma foto várias vezes - tudo está normal na foto, não há inflamações por perto. Eles fizeram uma prótese livremente, para não pressionar as gengivas - não ajudou. Dizem que está tudo bem com você, mas a ondulação como estava, está. E isso não é uma goma, a ondulação estava sempre após a instalação, eu sempre esperava que isso passasse. Como ser
Agradecemos antecipadamente a sua resposta.
Olá Vladimir. As queixas de uma sensação de pulsação na área do implante 8 meses após a instalação são raras. Se um diagnóstico completo foi realizado e as medidas tomadas pelo médico não ajudaram, para esclarecer a situação, você pode tentar recorrer a mais um ou dois especialistas independentes adicionais (de preferência de outra clínica). Se você consultou mais de um médico e ninguém foi capaz de prestar assistência, existe apenas uma opção óbvia: a remoção do implante com a reinstalação subsequente.
Há três dias, três dentes foram removidos na mandíbula inferior à direita e os implantes foram imediatamente colocados (resultando em um dente).Tomo anticoagulantes e disse isso (mais de uma vez) ao dentista e implantologista. O inchaço diminui gradualmente, mas um grande hematoma com inchaço dos lábios não desaparece. Eu faço todos os procedimentos de higiene e tomo medicamentos estritamente. O lábio inchado é um pouco sangrento, porque entra em contato com as caudas do material de costura, e há muitas caudas, sinto com a língua. O marido instalou os implantes há vários anos e o material de costura era auto absorvível. Eles me costuraram, na aparência - uma fina linha de pesca.
O que devo fazer além de prescrever um médico de higiene e colocar Solcoseryl Dent para que o hematoma resolva? Ela parece escura, como uma marca de nascença, e embaixo está um tecido denso. Meu médico acredita que isso não é assustador. Não é possível colocar Solcoseryl entre o lábio e a mandíbula, eles estão no mesmo plano. Eu tenho medo de necrose de tecido.
Olá Vera! No período pós-operatório, um hematoma pode realmente se formar na área de intervenção cirúrgica - especialmente porque você está tomando anticoagulantes. Portanto, este é um tipo de opção de norma. No momento, você deve seguir claramente as recomendações do médico e realizar um monitoramento regular. As recomendações do médico devem indicar medicamentos anti-inflamatórios, anti-histamínicos e antibacterianos.
Quanto às aplicações em gel Solcoseryl Dent, elas são usadas para acelerar a cicatrização de feridas, mas o hematoma em si não é removido.
Para evitar complicações indesejáveis, o médico deve monitorar cuidadosamente o processo de cicatrização e a segurança das suturas. Normalmente, o hematoma desaparece por si só, e o principal aqui não é tentar acelerar esse processo por automedicação.
Olá. Há 8 meses, um implante astratech foi instalado no dente da frente. Criou raízes. Há um mês, eles colocaram um modelador de gengiva - pressionaram a gengiva com muita força contra a dor e prenderam a coroa. Durante um mês, nada incomodou, nada machucou e de repente um abscesso apareceu sobre a gengiva.
Por que isso aconteceu durante a formação da gengiva e a presença de uma coroa temporária, porque o implante foi colocado há 8 meses? Isso é uma rejeição? Durante um mês inteiro, nada apareceu, não doeu, mas aqui está um pequeno abscesso. Acontece que fiquei um mês com inflamação interna? Estou muito preocupado com o implante.
Olá Lily. É improvável que esta seja uma fístula devido ao processo inflamatório ao redor do implante - provavelmente a infecção se acumula sob uma coroa temporária, o que levou à inflamação da gengiva. Nesses casos, a coroa é geralmente removida e a área de conexão da coroa e do implante é tratada. De qualquer forma, você precisa de um exame médico para esclarecer a verdadeira causa do problema.
Boa tarde Fui ao médico então, a coroa foi removida - todos foram lavados. Eles disseram que as gengivas estão levemente inflamadas, está tudo bem com o implante, a comida pode ter entrado nele. O abscesso depois não pulou. Eu saí de férias - e aqui novamente pulei. Mas, em conexão com as férias, só posso ir ao médico depois de uma semana. Diga-me, se a comida caiu sob a coroa temporária e as gengivas inflamadas novamente antes da formação da fístula, o que acontecerá com a coroa permanente? Os alimentos também cairão sob a gengiva? Sempre estarei ligado ao dentista? Preciso tirar uma foto por precaução? Estou muito preocupado, pois sobrevivi a mais de uma operação na área da gengiva. É muito preocupante que tudo isso tenha começado após a instalação de uma coroa temporária.
Olá Lily. Somente a partir da descrição, é difícil chegar a uma conclusão inequívoca sobre as causas da formação de um abscesso. Os pré-requisitos para a ocorrência do processo inflamatório podem ser muito diferentes e, em tal situação, é realmente útil tirar uma foto (TC). Não é o fato de que é o acúmulo de comida sob a gengiva que leva à inflamação.Raramente acontece que um pedaço de material ósseo possa levar a problemas desse tipo na área em que as gengivas se juntam à coroa (os materiais ósseos são usados na maioria das clínicas para implantação). Então, você precisa entender o problema na cadeira do dentista.
Olá. Eu tenho essa situação. Instalou 4 implantes na mandíbula inferior, dois de cada lado, com crescimento ósseo. Por um lado, está tudo bem e, por outro, de vez em quando aparecia um líquido que parecia pus, mas inodoro. O médico disse que isso é líquido ósseo, e tudo bem. Não continuei o tratamento, mas saí de férias por três meses. E durante todo esse tempo, uma fístula com esse líquido apareceu no mesmo local.
Na chegada, eu fui ao médico - acontece que cinco meses se passaram. Ele colocou os shapers, primeiro por um lado (apenas o problema), depois por outro. Minha gengiva inferior já afundou fortemente. E os dentes superiores são saudáveis, mas você precisa remover os nervos e triturar. Enquanto eu estava lidando com esse problema, tive implantes retirados do lado do problema! Qual o motivo? Então, já havia rejeição e inflamação, e meu médico queria continuar com as próteses ?! E é possível recolocar os implantes ou é necessário construir novamente tecido ósseo?
Não sei se agora posso confiar no meu médico. Houve um problema inicialmente, mas ele fechou os olhos, disse que tudo estava normal ((
Olá Svetlana. O material ósseo pode ter sido infectado durante a cicatrização inicial do tecido ósseo após a cirurgia. Não vendo a situação antes e depois e sem fotos na mão, é difícil dar uma resposta exata sobre as causas do problema. Para dizer se é necessário um segundo enxerto ósseo, é necessário avaliar a condição do tecido ósseo durante um exame visual ou tomografia computadorizada (ou tomografia computadorizada OPT).
Se você não confia no seu médico, faz sentido consultar adicionalmente (pessoalmente) pelo menos mais um especialista. Isso geralmente ajuda a pontilhar todos os i's.
Há uma semana, ele colocou um implante na mandíbula superior. Tudo correu bem, removeu as costuras. Outro dia, ao comer, a comida entrou no implante - senti uma leve dor. Ele tocou o implante - um pouco desconcertado. Ele vai criar raízes?
Olá Vladimir. Sem um exame visual na cavidade oral e sem ver as imagens, é difícil dizer com certeza se o implante criará raízes. Aqui você precisa avaliar o quão forte é a mobilidade, bem como a condição dos tecidos adjacentes ao implante. Além disso, a situação com as próteses não é totalmente clara a partir da descrição: você teve imediatamente uma coroa instalada no implante?
Com uma mobilidade significativa do implante, geralmente ele precisa ser removido e reinstalado, mas somente após alguns meses (de 2 a 6). Recomendo consultar um médico o mais rápido possível, a fim de esclarecer a situação e eliminar todos os riscos possíveis com o enxerto de implante.
Eles colocaram o implante há um mês. É possível fazer injeções de beleza com hialuron nos lábios e nas dobras nasolabiais?
Olá Irina. Injeções cosméticas (enchimentos, Botox, etc.) podem ser feitas após a colocação do implante.
Ontem, um implante foi removido (6, na mandíbula superior), que foi rejeitado há dois meses. Embora houvesse uma ligeira mobilidade do implante, eu o mastiguei normalmente, então não fui ao médico. O médico disse que haverá reimplante em 4 meses, porque o buraco é grande. Minha pergunta é: por que um período tão longo? Afinal, o implante é geralmente recomendado após 1-2 meses. E por que não transplantar material ósseo?
Caro Alexey, olá. São necessários 4 meses para a formação óssea no local do implante removido.Em 1-2 meses, o osso simplesmente não tem tempo para passar pela fase de mineralização, o que não permitirá alcançar a estabilidade primária ao instalar o implante. A decisão do médico de não transplantar material ósseo também pode estar associada à infecção do osso na área do implante removido - isso pode levar à rejeição do aumento ósseo.
Olá. Há três semanas, eles colocaram 4 implantes na minha mandíbula superior. Parece que não dói, está tudo bem, mas hoje minha temperatura aumentou. O que poderia ser? Existe algum motivo de preocupação?
Olá Emilia! O aumento da temperatura após o implante dentário às vezes é observado nos primeiros 3 dias, e isso é considerado a norma. No entanto, um aumento na temperatura após três semanas não é mais a norma. Também é possível que o mal-estar esteja associado a outras causas (SARS, por exemplo). Para eliminar a conexão entre temperatura e implantação, recomendo entrar em contato com seu implantologista.
Olá. Seis meses atrás, instalei um complexo basal em toda a mandíbula. A higiene é boa, não há sinais de inflamação e não há queixas. Mas tenho a sensação de que um dos implantes oscila (se você tocar e colocar a língua na gengiva no local em que o implante espreita por baixo da gengiva artificial). Isso pode me parecer? Se o implante ainda for impressionante, ele poderá se fortalecer nos ossos em seis meses, quando a ponte de adaptação com coroas será substituída por uma permanente? Ou o implante precisará ser removido?
Olá Olga. Eu recomendo consultar seu médico. Diga seus sentimentos na recepção para dissipar todas as dúvidas. Pode ser necessário fazer uma tomografia computadorizada. Em geral, o principal é comparecer aos exames profissionais prescritos e às correções das próteses, após seis meses o implante pode se estabilizar.
Olá. 1,5 anos atrás, instalou o implante nos 7 inferiores à esquerda. O implante enraizou-se e não se incomodou por um pouco mais de um ano, mas nos últimos 5 meses dói por duas semanas, então não dói tanto. Dói tanto em repouso como quando mastiga comida. A dor está doendo, latejando, um pouco de pus sai quando você pressiona a gengiva, quando você usa fio dental, há um odor podre sob a coroa. Uso do fio dental, lavagem com um irrigador, lavagem com refrigerante - nada ajuda.
Em um raio-X, tomografia computadorizada e uma imagem panorâmica, tudo está em ordem - não há inflamação ou apagão. O implante não cambaleia. Quando começa a doer, um balão é inflado do lado de fora (do lado da bochecha), mais perto do 8º dente (é com nervos, apenas o selo está de pé, mas não responde ao frio quente). A bola dói quando pressionada. No 6º dente (sem nervo), há uma inflamação muito pequena na raiz, mais próxima do 5º dente. Fui a vários médicos - todo mundo diz que está tudo em ordem, não há desvios nos 8 ou no implante, mas com inflamações como 6, dizem eles, duram de 10 a 15 anos.
Diga-me o que pode ser e o que fazer a seguir? Estou muito preocupado que haja peri-implantite. E não há força para suportar a dor.
Olá Mary. Na área do implante, todos os dentes devem ser tratados para evitar a peri-implantite. Portanto, eu ainda recomendaria curar o 36º dente (com inflamação na raiz). O odor pútrido de baixo da coroa é provavelmente o resultado de um ajuste frouxo (nesses casos, restos de comida ficam entupidos na brecha). É possível que, após a eliminação desses dois problemas, a situação se normalize.
E sim, não é recomendável usar fio dental na área de coroas e implantes instalados - apenas uma escova de dentes e um irrigador.
Olá, há seis meses, instalei dois implantes - 6 e 7, na mandíbula inferior. Após 4 meses, as coroas foram instaladas.Parece estar tudo bem, mas havia algum desconforto. O médico afiou um pouco as coroas, dizendo que essa é a pressão das coroas nas gengivas. Mas o problema não desapareceu, portanto, para entender o motivo, as coroas foram removidas por completo. Os pilares permanecem firmes, não cambaleiam nem machucam com a pressão. Verificou-se que às 7 da manhã a membrana mucosa dói constantemente, o que está em contato direto com o pilar no lado da bochecha, em apenas um local. E como a dor se intensificou, pedi já para remover o pilar e ver o que estava lá ... O médico removeu o pilar, instalou o modelador, e foi tão doloroso que tive que me submeter à anestesia.
Uma semana se passou, a dor não desaparece. Amoksiklav começou a beber, mas continua o mesmo. Implantes Osstem. O médico diz que isso não é peri-implantite, pois não há mobilidade (sugere que é neurite). Mas me incomoda que a dor seja localizada apenas de um lado, vá de dentro e não vá embora ... O que poderia ser? Alergia ao metal, ou bolso ... estou lutando há 2 meses.
Olá Catherine! No seu caso, a dor pode ocorrer por várias razões. A dor pode ser, por exemplo, uma conseqüência de beliscar a borda do periósteo com um pilar ou formador de goma. Além disso, a lesão mucosa crônica não é excluída se o implante foi instalado na borda de uma membrana mucosa não acoplada. Eu excluiria uma alergia a metal de 80%, bem como a probabilidade de desenvolver dor devido a uma bolsa periodontal. Seja como for, é necessário um exame mais aprofundado para esclarecer as causas da dor.
Olá. Um mês se passou desde que eu coloquei implantes em vez de 6 e 7 (com a adição de massa óssea). Um dente com 5 dentes estava inflamado. Após a remoção das suturas, um saco purulento apareceu entre 6 e 5. O médico ordenou a remoção de 5 após 2 semanas. Ele está fazendo a coisa certa? Talvez este seja um problema com o sexto implante?
E como posso verificar qual implante da empresa foi entregue no meu caso?
Olá Albina! Sem dados adicionais disponíveis, não excluo que o problema possa estar no sexto implante - é durante as primeiras 4 semanas após o implante que fica claro se a integração começou e se a infecção está presente. No entanto, se o médico após o diagnóstico decidir remover o 5-ku, provavelmente o problema ainda está nele.
Com relação à questão de qual empresa é o implante: após o implante, o paciente deve receber um passaporte do implante, que indica o nome do sistema, modelo e tamanho do implante. Você não pode (independentemente, visualmente, no espelho) identificar o implante sem a experiência necessária.
Olá Ao aparafusar o pilar, houve uma dor aguda. O que isso significa?
Olá Svetlana. Na maioria das vezes, essa situação ocorre devido à pressão do pilar nos tecidos moles, o que causa dor. Se a dor se manifestar no futuro, você deve marcar uma consulta com seu médico.
Olá. Há 4 anos, eles instalaram um implante na minha mandíbula superior. E, recentemente, a inflamação da gengiva começou perto dele. Penso que eu próprio poderia ferir as gengivas com fio dental, mas receio que possa ser peri-implantite. Como entender que a peri-implantite começou e como diferenciá-la da doença gengival normal devido a trauma?
Olá Irina! A inflamação das gengivas perto do implante é uma ocasião para consultar imediatamente um médico. A causa da inflamação será determinada pelo médico após o exame e a radiografia. Você não pode distinguir a lesão gengival da reimplantite.
Olá, instalei um implante na mandíbula em 12 de julho. Tudo é normal na área do implante.No dia 6, surgiram depósitos brancos na língua, o lábio estava inchado do lado oposto e uma reação alérgica apareceu sob a axila, acompanhada de coceira intensa. Lavo a boca com miramistina, tomo citrino por 3 dias, não há melhoras.
Boa tarde, Svetlana! Os sintomas que você descreve são um pouco fora do padrão. Em tal situação, é impossível dar remotamente as recomendações necessárias, você deve consultar o seu médico.
Olá. 6 meses após a extração dentária, foi realizado o implante. Três meses após a instalação do implante israelense Uno (sétimo dente) na mandíbula inferior, não houve absolutamente nenhuma complicação. Quando o modelador foi removido (para preparar a instalação da coroa), o implante foi torcido junto com o modelador, naquele momento senti uma dor no osso.
O médico ordenou que o implante fosse reinstalado após dois meses, explicando que o implante não se enraizou e isso às vezes acontece. Diga-me, qual poderia ser a causa dessa falha, como evitar a recorrência dessa situação indesejável? Nenhuma medida preventiva foi tomada para cuidar das gengivas, etc. Existe alguma necessidade de fazer algo para evitar essa situação?
Olá Galina! As táticas do seu médico estão absolutamente corretas. Quanto aos motivos da falta de integração do implante, é extremamente difícil dizer aqui, porque Aqui, um conjunto de fatores desempenha um papel imediato (o próprio sistema de implantes, o estado geral de sua saúde, as qualificações de um médico etc.). Para evitar a recorrência dessa situação, recomendo escolher um sistema de implantes de marcas mundiais e monitore sua saúde. Tente não pegar um resfriado e siga rigorosamente as recomendações do médico no pós-operatório.
Boa tarde Se o implante for removido, é aceitável usá-lo para reimplantação?
Olá Victor. A reinstalação do implante é claramente inaceitável. A raiz artificial deve ser estéril. A esterilização de implantes e sua reutilização é estritamente proibida. Durante a operação, um novo implante deve ser aberto da embalagem do fabricante imediatamente no momento da instalação e nada mais.
Boa tarde Em 2013, eles instalaram 2 implantes na mandíbula inferior e visitaram o dentista regularmente para verificar o projeto. Em 2016, ela encontrou secreção purulenta de menos de 1 implante, ela procurou o médico que realizou a operação. O médico, tendo examinado sem foto, enviou o tratamento das gengivas ao consultório de periodontia, onde me colocaram nas gengivas. Ajudou por duas semanas, a descarga descrita continua até agora, às vezes a descarga de sangue é adicionada. Em visitas repetidas, o médico disse: o que você quer, é uma construção artificial, tudo pode ser. Em geral, nada é sentido, mas provavelmente não deveria ser assim? O que fazer
Olá, Hope. Obviamente, normalmente não deve haver secreção purulenta e com sangue por baixo do implante. A sintomatologia indicada é semelhante à presença de peri-implantite. Para fazer um diagnóstico preciso, é necessário fazer uma TCFC e estudar a condição do tecido ósseo ao redor do implante. Pode haver várias razões para o desenvolvimento de inflamação: um implante instalado incorretamente, uma coroa feita incorretamente, a presença de inflamação nas áreas vizinhas e a falta de higiene na área do implante. Portanto, é necessário realizar CBCT e consultar um dentista-implantologista.
Há 9 anos, implantes foram instalados na mandíbula superior ... 5 e 7 dentes. Três anos, sempre dor aborrecida. Agora você precisa fazer a implantação dos dentes da frente.Fiz uma tomografia computadorizada - a imagem mostra que tenho uma perfuração de 2 mm e 1,8 mm na parede sinusal superior. O que fazer
Galina, olá. Para responder sua pergunta, você precisa de um exame e de diagnósticos detalhados diretamente na cadeira. Enquanto isso, só posso dizer provisoriamente que são permitidos implantes com envolvimento cortical para o assoalho do seio em 2 mm. A causa dos problemas deve ser procurada nas características individuais do seu corpo.
Olá. Instalou 2 implantes na mandíbula superior. Eles fizeram um elenco. Hoje fui experimentar, ao instalar o pilar, um implante caiu (quase sem dor). O segundo fica firme. Por que isso poderia ser? Obrigada