
Em seguida, você aprenderá:
- Quanto tempo um implante dentário geralmente serve e se ele pode realmente permanecer em segurança até o final da vida, como às vezes é declarado em clínicas odontológicas
- Qual a diferença entre a vida útil garantida dos implantes dentários, declarada pelo fabricante, e a garantia dos implantes fornecidos pela clínica;
- Qual é a vida real média dos implantes dentários de diferentes categorias de preços;
- Como descobrir que chegou a hora de mudar o implante e que fatores podem contribuir para os problemas;
- Mas as próteses instaladas nos implantes duram tanto tempo e por que às vezes precisam ser substituídas alguns anos após a instalação;
- Bem como algumas dicas práticas simples que prolongarão a vida útil dos implantes dentários ...
A implantação dentária é um procedimento bastante caro e, portanto, justifica-se o desejo dos pacientes de receber uma vida inteira ou pelo menos uma garantia plurianual nos implantes instalados. Ao mesmo tempo, os slogans publicitários de muitas clínicas odontológicas, ao que parece, apresentam perspectivas bastante brilhantes e não dão motivos para se preocupar: "a vida de nossos implantes é de 30 anos", "nossos implantes dentários durarão até o final de sua vida!" E outros na mesma linha.
Mas os implantologistas podem realmente garantir uma vida útil tão longa dos implantes dentários e não pode acontecer que o projeto caro estabelecido tenha que ser alterado em alguns anos?

Para entender melhor quanto um implante dentário realmente serve, vamos primeiro ver como a garantia para implantes dentários fornecida pelas clínicas difere da vida útil do fabricante. E também falaremos sobre se é realista alcançar resultados ao longo da vida na operação de dentes artificiais.
Qual é a diferença entre a garantia do implante e sua vida útil
Portanto, existem dois conceitos importantes que estão intimamente relacionados à vida dos implantes dentários:
- Garantia do produto (vida útil), estabelecida pelo fabricante do implante;
- Bem como o período de garantia para o trabalho de tratamento realizado, estabelecido pela clínica.
Garantia e vida útil do fabricante
Muitas empresas, especialmente as mais sérias e existentes no mercado há mais de uma década, dão uma garantia vitalícia para os implantes dentários fabricados. Isso inclui principalmente fabricantes de produtos premium caros: Nobel, Alpha BIO, AstraTech, XIVE Friadent, Straumann e alguns outros.

As empresas que produzem produtos com menos marcas (segmento de preço médio) garantem seus produtos em 20 a 25 anos. Na verdade, essa é a vida útil garantida dos implantes dentários da categoria de preço médio, desde que sejam instalados e depois operados, como dizem, em conformidade com todas as regras e normas.
Nota:
Dentes em implantes podem ser comparados a um carro caro. Por exemplo, na Mercedes alemã, você pode dirigir facilmente mais de 500 mil quilômetros. Mas desde que o proprietário realize a manutenção regular do carro, troque o óleo, velas e outras peças de reposição. O mesmo acontece com os dentes novos - em teoria, os implantes durarão várias décadas. Mas, na prática, depende muito de como profissionalmente o médico trabalhou, bem como de como o paciente irá explorar novos dentes. Um papel importante é desempenhado pelo atendimento diário, pela remoção regular da placa dentária (sim, a placa se acumula nos dentes artificiais) e pela passagem de exames preventivos no dentista.
Se todas as condições forem atendidas, mesmo os implantes de preço médio podem segurar sua mandíbula com segurança e servir por mais de 25 anos declarados, e é possível que eles nunca precisem ser alterados.
Garantia de implante para consultório odontológico
O segundo tipo de garantia é fornecido diretamente pela clínica odontológica (ou mesmo por um médico, se ele trabalha individualmente). E geralmente a duração dessa garantia é de apenas 1 a 2 anos. De um modo geral, a legislação da Federação Russa não regula os termos de garantia dos serviços odontológicos, portanto, cada clínica os instala de forma independente.

Surge uma pergunta razoável: por que os fabricantes dão quase uma garantia eterna aos implantes e médicos - não mais do que alguns anos?
Bem, isso é explicado com muita simplicidade: o médico (ou a clínica) pode garantir apenas o trabalho realizado. Na prática, é durante os primeiros 1-2 anos que o risco é relativamente alto rejeição de implantes por razões alheias ao controle do paciente, a saber, culpa do implantologista.
Mas se o implante precisar ser removido e substituído após 3-5 a 10 anos, o problema, em geral, está na falta de cuidados adequados para dentes artificiais ou na deterioração da saúde geral do paciente. É óbvio que a culpa do médico está ausente aqui e, portanto, não há razão para estender a garantia por um período tão longo. Ou seja, garantir o serviço eterno de implantes a uma pessoa que não escova os dentes ou morde nozes todos os dias é mais caro para si.
Em geral, podemos dizer que, quando se trata de garantias de implantação, o paciente da clínica odontológica nem sempre está em uma posição vencedora. Segundo as estatísticas, a maioria dos problemas com implantes ainda ocorre devido a falha do médico - devido à inexperiência, descuido, design selecionado incorretamente ou operação cirúrgica completamente incorreta para instalar o implante. No entanto, na prática, provar que a causa dos problemas está exatamente no erro do especialista e que durante o período de garantia ele é obrigado (e isso deve ser prescrito no contrato) a substituir o implante, nem sempre é possível.

Como resultado, muitos pacientes que experimentaram complicações após implantação, procure o apoio de especialistas em outras clínicas. Por exemplo, o implante tornou-se doloroso, móvel ou caiu completamente do osso - essas situações da clínica geralmente não são consideradas casos de garantia, culpando o paciente. No entanto, alguns médicos admitem honestamente seus erros e os eliminam com sucesso - mudando um implante com falha ou oferecendo ao paciente um tipo diferente de prótese sem pagar pelo tratamento novamente.
Comentários:
“Instalei um implante caro alemão nos seis. A operação correu bem, quase sem desconforto. Perguntei imediatamente quanto tempo esse implante dentário dura e quanto tempo ele dura. O médico disse que 15 a 20 anos definitivamente permanecerão. Mas, na verdade, acabou sendo completamente diferente ... Um mês depois, apareceram fortes dores, inchaço e vermelhidão. Eu vim para a clínica, eles disseram que demorou muito tempo! Como, a rejeição começou e o motivo não pode ser estabelecido, provavelmente, higiene inadequada. O implante foi removido e recusou-se a retomar qualquer coisa. Então eu virei para outra clínica - eles disseram que o motivo era que o implante era muito longo e estava torto. Aqui você tem os implantes caros, mas as mãos do médico não crescem a partir daí!
Irina, Moscou
Portanto, a vida útil dos implantes dentários mais caros em situações problemáticas pode ser calculada em apenas alguns meses. Além disso, inúmeras análises na Internet sugerem que esses casos não são tão raros. E o paciente, infelizmente, precisa se submeter a tratamento novamente em outra clínica e gastar muito dinheiro novamente.

Aqui estão algumas dicas práticas para ajudá-lo a reduzir o risco de uma renúncia à garantia:
- escolha uma clínica que já esteja no mercado, valorize seu “nome” e tente manter uma reputação positiva;
- na odontologia, tudo deve ser providenciado para implantação: equipamento de diagnóstico, presença de implantologistas, cirurgiões e ortopedistas que podem fazer próteses montadas em implantes;
- Escolha um médico experiente que tenha realizado mais de uma operação bem-sucedida de colocação de implantes;
- as análises do estudo não apenas e não muito sobre a clínica, mas sobre o médico - tanto na Internet quanto no livro de reclamações e sugestões (você pode verificar com o administrador da clínica sobre sua disponibilidade);
- visite algumas consultas gratuitas - compare as opiniões de especialistas sobre sua situação;
- siga rigorosamente todas as prescrições médicas e não perca os exames de rotina;
- não persiga o baixo custo - a implantação, por definição, não pode ser muito barata e uma parte significativa do preço é composta por implantes caros.
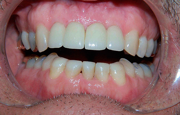
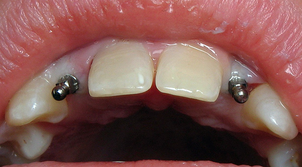
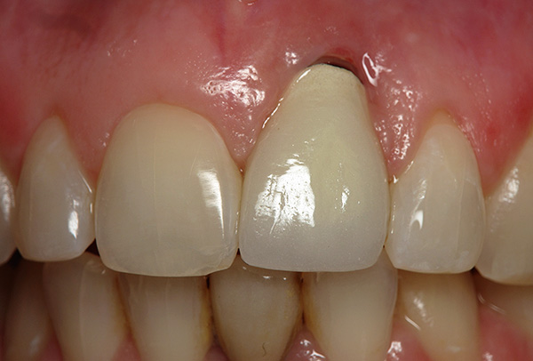
Falando sobre a vida útil dos implantes, vale lembrar que o “parafuso” de titânio aparafusado no maxilar é apenas parte de toda a estrutura, que também inclui o pilar e a prótese (por exemplo, uma coroa). O que é o que - é mostrado claramente na foto abaixo:

Portanto, é útil ter em mente que a vida útil das próteses pode ser várias vezes menor que a vida útil dos implantes de titânio. Falaremos sobre isso em mais detalhes abaixo.
Então, quanto um implante dentário realmente serve?
Em nosso país, os implantes dentários surgiram há não mais de 20 anos e o estágio de desenvolvimento ativo é ainda menor. Portanto, um dentista raro pode ter pelo menos 10 anos de experiência em colocação de implantes dentários. Portanto, descobrir exatamente quanto tempo os implantes terão que ser substituídos no caso de seu enxerto bem-sucedido e a operação normal é bastante problemática - essas estatísticas simplesmente ainda não foram coletadas.
No entanto, a implantação tem uma história mais longa no exterior. Assim, por exemplo, nos países europeus, as primeiras operações começaram a ser realizadas já nos anos 60 do século passado, o que possibilita rastrear estatísticas por um período de tempo suficientemente longo.

Isso é interessante!
De acordo com a prática estrangeira, a maior vida útil é observada para implantes do segmento premium - Astra Tech, Nobel, Straumann, XIVE, Ankylos, Bicon. Eles mantêm, em média, sem problemas por pelo menos 20 anos. Por cerca de 10 a 15 anos, os implantes de classe média têm servido - por exemplo, marcas como Implantium, BioHorizons, MIS.
Mas estas são apenas estatísticas médias. Como os implantes baratos podem durar até o fim de suas vidas, os sistemas mais avançados podem se tornar um problema apenas alguns anos após a instalação (ou até mais cedo). Cada caso é individual, e a verdadeira "vida útil" dos implantes depende tanto do estado de saúde do paciente quanto de sua atitude responsável em relação a novos dentes, e do profissionalismo do implantologista que realizou a prótese.
Acima, estávamos conversando principalmente sobre implantes dentários clássicos. A vida útil dos implantes basais populares de hoje (ou seja, aqueles que são instalados não na parte da superfície frouxa do osso, mas em suas camadas basais mais densas) é geralmente comparável aos clássicos. Hoje, esses modelos de implantes basais que foram inseridos através de uma incisão lateral na gengiva são praticamente uma coisa do passado - eles foram arrancados após 2-3 anos, não suportando a carga da prótese (veja a foto abaixo para um exemplo).

E, embora o implante basal tenha começado a ser praticado na Rússia há pouco tempo, hoje existem todos os motivos para acreditar que, dada a higiene bucal adequada, os designs modernos podem durar uma pessoa por décadas.
Mesmo os implantes colocados em um osso enfraquecido, por exemplo, com periodontite ou doença periodontal, podem servir com segurança por muitos anos (ao realizar uma higiene bucal diária completa e, possivelmente, uma terapia medicamentosa anual).
Quanto à vida útil dos chamados mini-implantes, segundo os fabricantes, é semelhante à vida dos implantes clássicos e dura em média de 20 a 25 anos. No entanto, ainda não é possível rastrear isso na prática, uma vez que os mini-implantes são instalados não mais que 10 anos. Além disso, as revisões sobre eles variam: alguns especialistas acreditam que esta é uma excelente (e barata) oportunidade para consertar próteses removíveis inconvenientes, embora alguns médicos não reconheçam esses sistemas.

Nota
Os mini-implantes não são inseridos no osso, mas no periósteo (o tecido entre o osso e a gengiva), razão pela qual o tecido ósseo não recebe carga mastigatória, atrofias e afundamentos suficientes. Como resultado, você deve ajustar constantemente a prótese. E a posição dos mini-implantes devido a carga excessiva às vezes muda, o que pode levar à sua mobilidade, rejeição e necessidade de remover até alguns anos após a instalação.
Como descobrir que é hora de mudar o implante
Para entender que é hora de mudar o implante de um dente, apenas um médico pode determinar. É importante apenas visitar regularmente o seu dentista (1-2 vezes por ano) para avaliar o progresso do enxerto do implante e examinar a condição dos tecidos ao seu redor.
De um modo geral, a necessidade de trocar implantes geralmente surge apenas quando surgem problemas sérios e sintomas correspondentes. Além disso, esses problemas podem surgir um ano após a instalação do produto e após 10, 20 e até 30 anos de uso ativo.

Se você não sentir dor, desconforto ou outros problemas associados ao implante instalado anteriormente, não precisará alterá-lo.
Aqui estão as causas típicas de substituição de implantes mais frequentemente encontradas na prática:
- trauma na mandíbula ou dente, no qual a mobilidade do implante apareceu. O design também pode avançar mais profundamente no maxilar, ou, inversamente, sair;
- peri-implantite (inflamação dos tecidos ao redor do implante): geralmente acompanhada de vermelhidão nas gengivas, dor ao pressionar, pus pode ser liberado e um odor desagradável do implante pode aparecer;
- rejeição do implante - ocorre como resultado da peri-implantite. Uma característica do problema também é a mobilidade do implante.
Assim, com a aparência de mobilidade (mesmo insignificante, que às vezes só pode ser avaliada por um médico com a ajuda de dispositivos especiais), a aparência de edema e vermelhidão dos tecidos, dor na área de implantes dentários instalados - é provável que a vida do projeto esteja chegando ao fim.

Quanto tempo vai durar e quanto tempo leva para remover um implante dentário móvel? Se o médico disser que é hora de mudar o implante (e isso geralmente acontece quando a mobilidade é detectada), você deve fazer isso o mais rápido possível. Caso contrário, a inflamação do tecido pode levar a complicações graves, mesmo aquelas que podem ameaçar a vida do paciente.
Como resultado, é realizada uma operação cirúrgica para remover a estrutura móvel: a prótese é removida, a gengiva é cortada e o implante é removido da mandíbula. Como regra, então, após cerca de 1-2 meses, é possível reimplantar. Em alguns casos (dependendo do motivo da remoção do implante), o paciente pode receber um método diferente de prótese.

Nota
Deve-se ter em mente que, no caso de próteses sobre implantes, podem surgir problemas não apenas com o "parafuso de titânio" implantado na mandíbula, mas também com a parte externa da estrutura - a prótese propriamente dita, cuja durabilidade é geralmente menor do que a de um implante metálico. Falaremos mais sobre quantas dessas próteses sobre implantes mudam.
A prótese durará tanto quanto o implante?
Assim, um implante de metal implantado no maxilar pode se tornar móvel (arrancar) ao longo do tempo devido à inflamação dos tecidos ao seu redor.Agora vamos ver como estão as coisas com a operação do lado de fora da estrutura - com a prótese e em quanto tempo ela precisará ser substituída.

Antes de tudo, é preciso ter em mente que a vida útil da prótese sobre implantes depende substancialmente do material do qual as coroas são feitas. As mais duradouras são as próteses feitas de metal revestido com plástico (coroas de metal e plástico) - o plástico é relativamente pouco preso à base e geralmente racha e se rompe sob carga.
Além disso, o plástico é um material poroso e absorve corantes alimentares, bem como os menores detritos alimentares; Como resultado, a cor da coroa muda, tornando-se um viveiro de bactérias. A vida útil dessas próteses em metal-plástico não passa de 2 a 3 anos.
As coroas Cermet são muito mais fortes e mais duráveis. Eles servem uma média de 10 a 12 anos. Entre os principais problemas dessas próteses estão lascas de esmalte cerâmico e rachaduras no revestimento externo (no entanto, para que esses defeitos se formem, a carga deve ser muito significativa, muito maior do que no caso de coroas de metal-plástico).

Além disso, tanto no caso de próteses de metal-plástico quanto de metal-cerâmica, os pacientes costumam sofrer reações alérgicas ao metal (geralmente a ligas de baixo custo, para que o problema possa ser parcialmente resolvido pela escolha de metais preciosos, embora essa seja uma opção muito cara).
Dentaduras feitas de dióxido de zircônio são consideradas as mais perfeitas e duráveis - este é um material muito forte, estético e não alergênico. Nesse caso, com a vida útil, tudo é bem simples: quantos anos os implantes de titânio permanecerão, quase as mesmas próteses feitas de dióxido de zircônio também permanecerão (a vida útil reivindicada é de pelo menos 15 anos).

Nota
Se alguma prótese se romper, o implante não precisará ser removido. As coroas são removidas (em alguns casos - junto com o pilar, especialmente se não for gabarito, mas individual), depois os modelos são retirados novamente e uma nova prótese é criada.
Em última análise, o que depende da vida útil do implante dentário
Com base no exposto, o seguinte resumo pode ser feito: em muitos casos, um implante dentário moderno é capaz de durar com segurança até o final da vida útil e pelo menos não menos que a vida útil declarada pelo fabricante. No entanto, se tudo vai dar certo depende de várias condições, cujas principais são:
- o profissionalismo do implantologista e a correta instalação do implante;
- o profissionalismo do cirurgião ortopédico que participa da fabricação da prótese (a carga correta nos implantes do lado da prótese é muito importante para as gengivas e implantes);
- alta qualidade do implante (hoje, a propósito, existem implantes dentários chineses, cuja qualidade nem sempre é previsível);
- higiene bucal adequada e cuidados com próteses de implante por parte do paciente;
- saúde geral do paciente.

Os implantologistas observam que muitos pacientes, após o enxerto completo dos implantes e a instalação de próteses permanentes, infelizmente esquecem a higiene e os exames preventivos regulares, acreditando que os dentes artificiais, ao contrário dos naturais, não são atacados por bactérias - eles dizem que são artificiais e, portanto, "Não comestível" para bactérias.
Sim, a cárie não se forma nas coroas feitas de metal, plástico e cerâmica; no entanto, depósitos dentários indesejados podem se formar. Além disso, os dentes artificiais são cercados por tecidos vivos, cuja inflamação e danos, inclusive devido ao tempo não removido dos depósitos dentários, podem levar a uma redução na vida útil do implante e à necessidade de removê-lo com a coroa.
Portanto, como você pode ver, quanto tempo os implantes dentários durarão, em muitos aspectos, depende do próprio paciente.

Nota:
A implantação é um procedimento bastante caro, e nem todo paciente pode se dar ao luxo de atualizar os implantes instalados a cada 5 anos. Portanto, o dinheiro nessa situação é um bom motivador para cuidar de seus dentes.Por exemplo, muitos pacientes após o implante geralmente deixam de fumar, pois esse mau hábito como um todo aumenta o risco de rejeição do implante.
Dicas úteis para prolongar a vida útil dos implantes dentários
Então, os implantes estão instalados. Assumimos que todas as contra-indicações ao tratamento foram excluídas e os dentes artificiais encontraram seu lugar na mandíbula, como parentes. O resto é com o próprio paciente.

Aqui estão algumas dicas úteis que podem ajudá-lo a aumentar significativamente as chances de um implante dentário ter uma vida útil máxima - até o final da vida de uma pessoa ou pelo menos 10 a 20 anos:
- higiene oral aprimorada regular. De manhã e à noite - escovação e colagem, também é aconselhável usar irrigadores ou escovas especiais interdentais (interdentais). Depois de comer - remova os resíduos alimentares e, geralmente, não recomenda o uso de fio dental, pois pode causar danos à mucosa e à prótese. É melhor usar um irrigador. Atenção especial é dada às gengivas, sua inflamação não deve ser permitida;
- Parar de fumar - afeta adversamente a condição das mucosas da cavidade oral, que, por sua vez, é repleta de riscos de distúrbios metabólicos nos tecidos ao redor do implante e sua rejeição;
- Limitar a carga no implante e na prótese (não morda as porcas, não abra a garrafa com os dentes);
- 1-2 vezes por ano, é necessário remover os depósitos dentários - placa e pedras, pois podem provocar inflamação da gengiva;
- Escusado será dizer que o rosto e a mandíbula devem ser protegidos de todos os modos contra lesões;
- Pelo menos uma vez por ano - exames preventivos no dentista para avaliar a condição do sistema dentofacial. Às vezes, esses exames permitem identificar oportunamente o problema emergente e não levá-lo ao extremo.
Se você tem experiência pessoal com próteses em implantes, deixe sua opinião na parte inferior desta página, informando se tudo é maravilhoso a esse respeito ou se você tem algum problema.
Um vídeo interessante sobre próteses removíveis e fixas e qual é melhor - implantação ou coroas?
Por que a clínica odontológica não deve garantir resultados de implantes dentários

A coisa mais cara da nossa vida é o tratamento dos dentistas ... E eles ainda não são responsáveis por nada? Por que comecei a ler seus artigos hoje, porque Hoje eles colocaram coroas em implantes para mim ... Parecia que estava tudo bem e os médicos estavam pegando experiência ... Mas, ao tirar a impressão das coroas, ele desaparafusou o plugue, cheirava, e eu disse a ele, mas ele explicou que isso era feito com uma pinça. E hoje novamente o mesmo cheiro ao instalar o implante. Estou lendo agora, seu site diz que não é normal. Eu disse a ele novamente, mas ele não explicou nada e definiu. E o que fazer neste caso?
Boa tarde Quanto ao fato de os médicos não serem responsáveis por nada - é você por nada! Ao entrar em contato com as clínicas, você conclui um contrato, segundo o qual a responsabilidade das partes é estipulada, incluindo as obrigações de garantia.
Não sei que tipo de cheiro começou inicialmente, mas posso presumir que, se ele o alertou, o cheiro não era "médico". A resposta do médico "... de pinças" é surpreendente - as pinças não eram estéreis? O instrumento estéril não cheira desconfiado.
Se, apesar disso, o cheiro era de natureza "médica", tudo estava em ordem - às vezes as soluções médicas podem parecer desagradáveis ao paciente. As pessoas são todas diferentes.
Sobre o que fazer, recomendo que você consulte outro médico para aconselhamento ou peça que ele esclareça a natureza do cheiro, tire uma foto e certifique-se de que está tudo em ordem.
Olá Obrigado pela sua resposta. Vou falar com o médico novamente ...
1,5 anos se passaram, e eu tinha uma coroa. Um implante foi colocado por 30 mil rublos. O médico não me disse nada sobre o tempo, o que a coroa representa, etc. O documento sobre o que o médico fez e o que ele estabeleceu não deu. Agora ele saiu desta clínica. Eu abri o meu. Eu me virei para ele. Ele disse que quase dois anos se passaram, mas ele estava refazendo alguma coisa agora. Eu tenho que pagar pelo trabalho novamente.
Antonina, olá. As obrigações de garantia são determinadas pela clínica, principalmente um ano ou mais. A responsabilidade legal pelo trabalho realizado é da clínica em que a instalação do implante foi realizada. Como parte da garantia, a clínica fornece um médico (antigo ou diferente - a pedido do paciente), que refaz o trabalho. No seu caso, não apenas não existem documentos que confirmem o tratamento, mas, além disso, você recorreu a outra clínica para solucionar o problema, mas a outra. Muito provavelmente, você terá que pagar pelo tratamento novamente.
Quanto ao motivo do desalinhamento, que levou à perda da coroa - sem apresentar todo o quadro clínico, é bastante difícil dizer. Pode ser um eufemismo, ajuste temporário com força insuficiente ao desaparafusar o parafuso, etc.
Olá. Meus implantes custam muito bem cerca de 4 anos, mas as coroas e cabeças constantemente precisam ser parafusadas. Na última vez, quando decidimos substituir as cabeças, vimos em 2 implantes adjacentes (israelenses) lascas de peças. Agora, após 2 meses, as gengivas começaram a apresentar abscesso e pus, uma vez que não há tensão na conexão implante-cabeça. Penso que o motivo de desaparafusar as cabeças foi apenas por causa das peças separatistas dos implantes na parte superior. É possível deixar implantes bem implantados, por exemplo, torcendo as cabeças e usando material de enchimento para selar? Agora as cabeças com torque aumentado de 40 Nm estão torcidas. Como se comportará a conexão cabeça-implante com o material de enchimento?
Ola ola No seu caso, pode ter ocorrido uma queima do hexágono interno dos implantes durante a instalação. Isso pode acontecer no caso de um osso muito denso, onde o médico precisa criar com mais cuidado uma cavidade no osso para o futuro implante, para não exceder o esforço ao instalá-lo (parafusar).
Sua opção proposta para cimentar parafusos e pilares é inaceitável, porque a saída do cimento além dos limites do implante apenas agravará a situação - levará a reimplantite e perda óssea. Nesse caso, é necessária a substituição dos implantes, de acordo com o protocolo cirúrgico e as próteses subsequentes.
Após três anos, quando o implante e a prótese foram instalados, a prótese começou a sair do implante. Eu venho à clínica, eles colocaram uma prótese (coroa) no composto de cimentação de Fuji. Um mês depois, a prótese voa novamente. Eles colocaram novamente em Fuji, depois de um mês a prótese voa. Agora toda semana (já 4 vezes) eu vou para a clínica e novamente eles colocam uma coroa em Fuji.Diga-me o que devo fazer? Fazendo uma nova dentadura? À custa de quem? E existe um período de garantia para a instalação da prótese? A cada seis meses (por dez anos) eu vou a esta clínica para um exame de rotina e remoção da placa bacteriana dos dentes; não houve comentários do médico sobre higiene bucal.
Olá Victor, no seu caso, é necessário avaliar a condição dos implantes quanto à adequação para re-próteses em um exame presencial por um cirurgião de implante e ortopedista. Aparentemente, a altura do pilar não é suficiente ou a precisão da aterrissagem da coroa no pilar. Mais precisamente, isso só pode ser dito após exame.
Para evitar esses problemas no futuro, considere a opção de próteses com fixação por parafuso. Quanto vale o seu implante (empresa)? Agora, quase todos os sistemas têm pilares para fixação de cimento e parafuso.
O período de garantia, a menos que especificado de outra forma em seu contrato, provavelmente já passou, pois o padrão na maioria das clínicas é de 1 ano. Portanto, para reinstalar o pilar e a coroa, provavelmente você precisará pagar novamente.
Obrigado pela informação.
Olá. Há um ano, ela instalou um implante no quarto dente superior (uma prótese feita de dióxido de zircônio) em uma clínica cara e de boa reputação. Mas a prótese estourou ao meio (da mesma maneira que uma vez um dente nativo - ao longo de todo o comprimento). Uma metade (bochecha) anda com um agitador e a outra (do lado da língua) fica firme. Amanhã vou ao cirurgião e depois ao ortopedista. Nada foi dito sobre a garantia, fui convidado para a inspeção seis meses após a instalação. Não achei que um procedimento tão caro durasse apenas um ano! Estou desapontado por a prótese estourar sem nenhuma carga especial (pipoca). O que esperar em seguida? Assustador ...
Olá Elena. Não conhecendo todos os detalhes da situação, é difícil julgar, mas posso dizer que a zircônia realmente tem a capacidade de fornecer chips sob cargas excessivas. É melhor instalar as coroas de zircônia sólida Prettau - elas são mais fortes. Em particular, na pipoca, existem grãos pequenos e muito duros, quando mordidos, o que cria uma pressão pontual nos dentes. E no ponto de contato, uma sobrecarga significativa é obtida - é aqui que um chip é possível. Dada a experiência do seu próprio dente (que, como você escreve, também foi picado) - provavelmente, é a mordida. Você precisa entrar em contato com um ginecologista ortopedista ou fazer uma consulta conjunta com um ortodontista, tomar os parâmetros de oclusão e ficar claro como melhor criar um novo desenho levando em consideração o desvio.
Em relação à garantia: geralmente as condições estão definidas no contrato e cada clínica tem a sua. Mas, como regra, uma garantia é emitida por 1 ano. Você tem um caso de garantia de 100%, a única questão é se a garantia é válida no momento, enquanto você escreve que um ano se passou.
Dois meses depois, quando o implante foi instalado, a coroa voou. Eu vim ao médico, ele disse que os dentes são pequenos e com um viés de que eles voam periodicamente. Eu acho que não deveria ser assim.
Olá Marina! Não vendo toda a situação na cavidade oral e com base apenas nos dados recebidos da sua mensagem, posso assumir que as coroas foram instaladas com fixação de cimento. Eu acredito que você precisa pensar em prender a coroa no pilar do implante. A fixação por parafuso fornece uma conexão rígida e confiável de um projeto ortopédico, o que significa que a coroa não voará.
Onze anos após a instalação de três implantes consecutivos na mandíbula inferior, em vez de mastigar os dentes. Coroas - cerâmicas soldadas (como explicado, para não sair). Implantes russos - criaram raízes normalmente.Minha namorada era mais complicada - embora os implantes fossem alemães, na época, três vezes mais caros, e um implantologista e ortopedista tinham um estágio na Alemanha.
Meus implantes têm 3 anos de idade, mastigando a mandíbula de ambos os lados. E existem dois implantes, nos quais 3-4 coroam (como pontes). Não senti dor ou rejeição, mas recentemente, no lado direito da coroa, comecei a sentir água quente (chá). Como os dentes não vivos se tornaram sensíveis? O que isso ameaça? Eu realmente não quero estar na cadeira do dentista novamente, então comecei a procurar informações na Internet (
Olá Svetlana! Para uma resposta precisa à sua pergunta, você precisa observar o quadro clínico na cavidade oral. É possível que a gengiva dê essas sensações. É possível que, sob as estruturas da ponte, a goma tenha perdido sua densidade devido à falta de carga. Como resultado, restos de comida começaram a se acumular no espaço formado, a inflamação surgiu durante a decomposição - daí a sensibilidade apareceu.
É necessário consultar um dentista para exame e eliminar ainda mais as causas do desconforto. Se tudo estiver em ordem com os implantes, o médico conduzirá a higiene sob a ponte e prescreverá consultas para aliviar a inflamação e fortalecer a saúde das gengivas. Para o futuro: eu recomendo a cada 6 meses (principalmente por causa da presença de implantes) fazer um exame regular no dentista e higiene bucal preventiva.
Obrigado pela resposta 🙂 Fui à clínica, no meu caso, a mordida não foi muito uniforme! O médico ficou surpreso até quanto tempo eu fiquei com ele, ele serra um pouco lá, uma semana depois ele serra novamente e ... Não imediatamente, mas a dor e a sensibilidade ao calor começaram a desaparecer!
Olá Vou remover o dente com a instalação subsequente do implante. Havia uma coroa, o dente estava completamente destruído, a inflamação é visível na imagem (tudo estava calmo antes da destruição, nada doeu!). Além da remoção e curetagem, os médicos farão uma “coleta de sangue para enxerto ósseo”, o preço é de 3000 rublos. (dente superior direito 5, ofereça implante OSSTEM). O que você pode dizer sobre isso? Agradecemos antecipadamente!
Olá Dmitry! Tal procedimento não é incomum: remova o dente, coloque o implante ao mesmo tempo e faça um pequeno plástico, depois de misturar o material ósseo com o sangue. Além disso, os médicos podem usar seu sangue para formar a membrana da PRF. PRF é fibrina (fibra) rica em plaquetas. É especialmente preparado a partir do concentrado de plaquetas do sangue do paciente. Na fase do exame, o sangue é coletado em um tubo de ensaio a partir de uma veia (como na análise usual) e colocado em uma centrífuga, onde é dividido em glóbulos vermelhos, um coágulo de fibrina e plasma sem plaquetas. A membrana de fibrina tem um alto potencial para estimular o crescimento de ossos e tecidos moles, pois é rica em leucócitos e fatores de crescimento de células que revestem as paredes dos vasos sanguíneos.
Quanto aos implantes sul-coreanos OSSTEM - em nossa clínica também os usamos, os implantes mostram boas taxas de sobrevivência. O médico fez a escolha certa em relação a esta marca, não tenho nada a acrescentar, exceto para aconselhar a instalação da coroa em uma fixação por parafuso.
2 anos atrás, colocar implantes. Não percebi imediatamente que os dentes são curtos - a língua fica entre os dentes o tempo todo. Quando cerro os dentes, meus lábios desaparecem. Aqui está um problema, o que fazer?
Olá Eu acredito que o assunto não está nos implantes, mas nas próteses que estão instaladas neles. Normalmente, o serviço é coberto por uma garantia de até vários anos. A única questão é se o seu caso incomum se enquadra na situação de garantia. Muito improvável, mas vale a pena tentar - tudo pode acontecer.Mas, mesmo que o caso não seja uma garantia, você ficará feliz em remover construções "curtas" (de suas palavras) do seu dinheiro e (na medida em que for realista pela mordida) tornar "longo" para que nada cause desconforto.
Olá Vera! É muito difícil imaginar o que você está falando. Um exame ortopédico por um ginecologista é necessário para esclarecer as características da sua mordida. A ocorrência desse problema devido a implantes é improvável - provavelmente, é uma má oclusão geral. Você também pode nos enviar sua foto e fotos (para o correio do site) - comentaremos mais detalhadamente.
Olá, hoje vou remover os seis na mandíbula superior, o dente está morto há muito tempo, mas o cisto atormenta, periodicamente fica inflamado. Eu quero um implante em seu lugar, mas o médico disse que você precisa construir um osso, porque ela é magra. Eu realmente não quero fazer esse procedimento, ouvi falar de implantes basais dobrados para o lado. É possível realizar o procedimento com esse implante? E qual fabricante de implantes é melhor usar?
Boa tarde, recomendo que você preste atenção nos implantes Straumann, e não nos implantes basais neste caso. Uma linha especial de Roxolit ativo é projetada apenas para esses casos + um revestimento especial do implante agiliza o processo de osseointegração. E no seu caso, eu instalaria um implante ao mesmo tempo em que preencheria a falta de material ósseo. Esses implantes criam raízes em 4 semanas e, em seguida, você pode colocar uma coroa dental permanente.
Posso responder com mais detalhes se vir o quadro clínico completo - talvez haja outras opções. Se desejar, pode marcar uma consulta comigo através do cartão do meu médico.
Como resultado de próteses malsucedidas, desenvolvi inflamação purulenta nos ossos da mandíbula superior. Ela retornou à clínica e as estruturas e os dentes afetados foram removidos, uma operação foi realizada para instalar os implantes Konmet com a instalação de uma ponte na mandíbula superior. Até agora, nada está incomodando. Essas terríveis conseqüências podem voltar novamente?
Boa tarde Se o trabalho foi realizado com eficiência e você é constantemente observado por um médico, siga todas as recomendações, então a probabilidade de complicações é mínima. E isso, em regra, devido a razões de força maior (acidente e trauma, uma diminuição acentuada da imunidade, doenças graves do corpo como um todo).
Não há necessidade de pensar no mal, prepare-se de uma maneira positiva. Seus medos podem levar ao estresse, e o estresse, como você sabe, leva a uma diminuição da imunidade.
Meus dentes cresceram incorretamente, no topo existem apenas dois incisivos muito largos, entre eles existe uma fenda e um subdesenvolvido (parece uma presa, mas mais fino), as duas presas estão no lugar. A aparência estética é terrível. Diga-me, como posso corrigir isso?
Boa tarde, janeiro Esse problema ocorre com bastante frequência e é chamado de violação do desenvolvimento e da dentição. O motivo, via de regra, é uma violação da formação de primordios dentários durante o desenvolvimento intra-uterino ou na primeira infância (infância). Em tal situação, o tratamento deve ser abrangente e deve ser iniciado com uma consulta com um ortodontista. Então, se necessário, outros especialistas estão envolvidos, como um ginecologista ortopédico, um cirurgião de implante. Antes da consulta, é aconselhável realizar um exame de raios-X (OPTG e TRG). Essas imagens darão ao médico uma compreensão completa de toda a situação (o quadro clínico), após o que já será possível falar sobre as opções de correção.
Olá O dente da frente foi removido na mandíbula inferior, porque após uma prótese malsucedida (uma inserção foi colocada na raiz do dente e uma coroa na parte superior), houve inflamação.1,5 meses após a remoção, o médico colocou um implante e, no dia seguinte, diz que é necessário moer dois dentes sob as coroas, nas proximidades - para que o design seja mais durável. Estou em pânico, o que devo fazer?
Olá Natalya. Como regra, essa tática de tratamento é escolhida pelo médico quando se planeja instalar uma ponte com base em seus próprios dentes. Mas como você já tem um implante instalado, o que implica uma única restauração sem pontes, o tratamento atual não é totalmente correto, ou seja, coroas nos próprios dentes e coroas nos implantes não são recomendadas para serem combinadas em um único design. Dentes próprios possuem micromoção, o que pode afetar negativamente o implante, e uma das principais vantagens do implante é a falta da necessidade de afetar os dentes saudáveis vizinhos.
Eu recomendo que você consulte outros 1-2 especialistas (de preferência em outra clínica - para obter uma opinião independente). E então tome uma decisão.
Um implante foi colocado há 7 meses, uma coroa há 4 meses. Fixado com um parafuso e fechado com um material de enchimento por cima. Se você observar o dente de cima (é o inferior), o parafuso escuro fica ligeiramente visível, mas não é crítico. Globalmente satisfeito.
Olá Há uma semana, eles colocaram implantes em mim e o médico colocou um selo nas coroas. Além disso, eles parecem brilhar, a cor cinza no interior é visível por baixo - o próprio implante. Isso me incomoda muito, as coroas são imperfeitas e curtas em comparação com o lado esquerdo. E é realmente possível colocar imediatamente recheios em coroas caras? O médico explicou que isso era normal, mas eu nem tinha ouvido falar disso.
Por favor, informe o que fazer? Obrigada
Olá Elena. No seu caso, as coroas são instaladas com parafusos. É normal e correto que o médico tenha usado material especial para fechar a mina. O fato de o eixo do pilar ser visível através de uma vedação temporária indica que o material de preenchimento de ionômero de vidro é selecionado com opacidade insuficiente (opacidade). Esse problema é corrigido pela seleção do material de preenchimento de tonalidade e opacidade apropriado; portanto, entre em contato com o ortopedista para outro ajuste.
Em relação à altura das coroas: se você tinha implantes colocados há apenas uma semana e já instalou coroas, isso significa que você restaurou os dentes de acordo com o protocolo para carregamento imediato de implantes com próteses. Nesse caso, no primeiro ano, as coroas são levemente removidas da picada para não sobrecarregar os implantes e não causar mobilidade. Você deve usar essas coroas até que os implantes sejam totalmente enxertados (de 6 meses a 1 ano) e, em seguida, as coroas são substituídas por permanentes e inseridas na mordida no estágio 2, que é chamado de re-protética.
Olá. Eu faço implante basal há um ano. Todos os dentes foram removidos. Abaixo estão 10 implantes, e nada realmente incomoda. Se apenas incomoda, está recebendo comida sob a prótese. Mas há problemas terríveis com o topo. Custa 8 implantes. Um lado enraizou-se bem e o outro não fez nada. Várias vezes (2 vezes) foram removidas e reinstaladas. Houve dor intensa. Na última vez, há duas semanas, tudo foi feito de uma nova maneira. E, por alguma razão, a prótese também foi feita de forma diferente: sem uma viga de metal, mas simplesmente de um plástico. E por alguma razão eles não consertaram (não colocaram no cimento). Eles disseram para não cortá-lo mais tarde, se isso. A prótese é feia, estraga a aparência. Impressão, como se eu não tivesse dentes no topo. Estou perdida.
Eles disseram que a versão final, que tão 3 vezes refeito. Novos (diferentes) estão prontos para fazer, mas pelo dinheiro. Então eu paguei uma quantia MUITO grande. Estou em pânico. Eu não sei o que fazer
Olá.Na implantação basal, são necessariamente utilizadas próteses com armação de metal no interior, uma vez que os implantes devem ser fixados em uma única estrutura por meio de uma base de metal, localizada sob a goma acrílica. Tem certeza de que possui uma prótese sem metal dentro? Isso seria estranho. A estrutura metálica da prótese fixa a posição dos implantes, como resultado da distribuição uniforme da carga no tecido ósseo e nos próprios implantes. 1-3 anos após a operação, a ponte principal metal-plástico deve ser substituída por uma estrutura mais forte - como uma ponte feita de cermet, dióxido de zircônio ou compósito metálico. Tais próteses podem ser usadas por muitos anos. Mas, de qualquer forma, todas essas próteses têm uma estrutura metálica.
Se a situação se tornar crítica ou o caso for novamente para próteses, você sempre pode entrar em contato conosco na clínica para uma consulta gratuita. Antes de tudo, será necessário realizar a tomografia computadorizada e determinar os seguintes pontos importantes antes da prótese: 1) avaliar o volume do tecido ósseo; 2) avaliar a posição dos implantes instalados; 3) avaliar a mordida e o movimento da mandíbula em relação à mandíbula superior. Com isso em mente, as táticas de tratamento são escolhidas.
Olá Há um ano, eles me colocaram três implantes no canto inferior direito (quatro e seis). Após a operação, fiquei com dormência no lábio inferior e parcialmente nas bochechas à direita. O médico olhou as fotos e disse que o nervo da mandíbula não estava machucado e, possivelmente, o processo do nervo (se bem me lembro) foi danificado durante a operação, que deve ser restaurada após algum tempo. Um ano se passou, mas a dormência não desapareceu, um impedimento de fala apareceu. Não consigo colocar coroas nos implantes devido ao fato de que, ao pressionar as gengivas, surgem "arrepios" desagradáveis e suficientemente fortes (as sensações são muito semelhantes às quando você "senta" a perna). A clínica insiste em próteses rápidas. Talvez você possa me dizer minhas ações adicionais? Obrigado pela resposta.
Olá. A situação não é fácil, portanto, recomendo que você consulte outro especialista, isso é pelo menos (mas não à revelia, mas na recepção). Não há necessidade de próteses. O que acontece com você é chamado parestesia, pode ocorrer com compressão no canal por onde o nervo passa, ou com danos à integridade do nervo. No entanto, é improvável que a integridade do nervo seja violada em você - provavelmente os implantes exercem pressão no canal. Minha opinião: eles precisam ser removidos, autorizados a recuperar o nervo e, em seguida, reinstalar os implantes, assumindo um tamanho um pouco menor.
Quanto tempo duram os implantes, em média?
Olá Nick! A vida útil de um implante instalado pode variar dentro de uma faixa bastante ampla e depende muito do paciente. Nesse caso, é necessário distinguir entre os conceitos da vida útil da coroa no implante e a vida útil do próprio implante.
A vida média das coroas é de 5 a 7 anos. Com os devidos cuidados e visitas regulares ao dentista, observando o cronograma de exames preventivos, o implante pode servir por toda a vida. Tal como acontece com os dentes que ocorrem naturalmente, podem surgir problemas se você não seguir a higiene bucal.
Olá. Durante sete anos, o implante Alpha Bio foi usado em vez dos seis inferiores. Três vezes a coroa de cerâmica foi trocada (17.000 rublos por vez). O último foi parafuso (seis meses) e o osso ao redor do implante assentou, é móvel, precisa ser removido. Duas coroas foram coladas a Fuji, caíam a cada seis meses e, com um parafuso, o osso era reabsorvido. Se todos explicassem há sete anos que os custos seriam de 20.000 rublos. implantação + três coroas, então eu não colocaria um implante.
A garantia da prótese passou, certo? Após sete anos, o fabricante deve trocar seu implante. Se assim for, então eu já moro em um lugar diferente, não onde eu instalei. O que voa para lá? Existem estatísticas na Rússia, quanto é o osso no qual estamos implantando?
Olá Natalya. O fabricante do implante Alfa-Bio não garante o implante para os pacientes. O fabricante declara apenas que a vida útil do produto é de 10 a 15 anos. É a clínica que dá a garantia para o trabalho e, se a garantia já passou, não faz sentido voar para outra cidade na esperança de que eles realizem o trabalho necessário de graça.
Os dados estatísticos sobre a quantidade de osso "servido" não estão disponíveis na literatura, pois o estado do tecido ósseo e dos dentes adjacentes é diferente para todos. Diferentes níveis de higiene, diferentes condições de saúde.
Quanto à perda óssea que você mencionou, recomendo que você pense em uma correção precoce da situação até que a perda óssea atinja uma extensão que exija enxerto ósseo.
Natalya, eu tenho a mesma situação. Após 7 anos, o osso começou a assentar - como resultado, o implante foi removido. Pelo que entendi, um implante nunca se funde com um osso. É como um parafuso comum. Uma vez parafusado, custa bem, mas após 7-8 anos sob carga, ele começa a afrouxar e é removido. Em geral, não é necessário esperar que o implante dure mais de 10. Em média 7 anos.
Olá Quero colocar 4 implantes na mandíbula superior. Diga-me, se eu tiver diabetes tipo 2, eles sobreviverão? Obrigada
Olá Victoria. Implantes dentários em pacientes com diabetes são possíveis sob certas condições. Hoje, o açúcar pode ser ajustado - o resultado depende do desejo e da disciplina do paciente. E também uma observação pelo endocrinologista é obrigatória durante todo o período de enxerto do implante. O açúcar em jejum não deve exceder 7 mmol / L no período pré-operatório, bem como durante todo o período de enxerto. Você pode obter uma consulta gratuita em nossa clínica, as fotos durante o exame também são gratuitas - com base nelas, o médico poderá escolher a melhor opção para a restauração de dentes perdidos.
Há 4 anos, foram entregues 5 implantes. Eles se enraizaram muito bem, sem complicações, mas agora duas coroas caíram juntas, não puderam ser recolocadas. O médico disse que as extremidades dos implantes se romperam, você só precisa remover os implantes. Por que razão os próprios implantes podem se romper? Quero dizer imediatamente que definitivamente não comi nozes.
Olá Tatyana. A razão pela qual o implante pode quebrar é a sobrecarga mecânica. Esta é uma carga significativa, pois o parafuso de titânio não é tão fácil de quebrar. E, infelizmente, no seu caso, a única decisão certa é remover os implantes quebrados.
Olá. O implante permaneceu por dois anos, após os quais o pilar com uma coroa em cimento começou a cambalear. O médico diagnosticou o desaparafusamento do parafuso que segura o pilar. Ao tentar chegar até ele, ele disse que tinha que remover o implante. A garantia (1 ano) se foi. Anteriormente MeDENT, agora oferecemos Implantium. Novamente com uma garantia de um ano. Reivindicar uma clínica ou esperar "talvez"?
Olá, Andrey Yuryevich. De acordo com a descrição, sem fotos e dados adicionais, é difícil avaliar as verdadeiras razões pelas quais o médico teve que remover o implante. No entanto, se você tiver dúvidas sobre a competência (ou boa fé) de um médico, faz sentido consultar outro especialista em outra clínica.
Normalmente, é claro, o parafuso que prende o pilar não se solta. Ao entrar em contato com a clínica, vale a pena esclarecer se eles possuem certificados para implantes e seus componentes.
Há 9 anos, ela entregou um implante da Radix, com uma coroa de metal e cerâmica. Três meses depois, desaparafusei o parafuso. Fui novamente, substituído de graça - supostamente havia uma parte defeituosa. Após seis meses de uso, o dente no implante começou a cambalear. Depois, houve um período que não havia tempo para ir aos dentistas. Então ela se mudou para outra cidade. No ano 8, a coroa com o parafuso voou para fora. Fui à odontologia em um novo local de residência, eles nem conseguiam determinar que tipo de implante eu tinha. Depois fui para a segunda clínica, para a terceira, e já perdi a conta, quanto tinha que dar a volta, enquanto no último o dentista entendia o que havia costurado lá. Mas ele disse que não se lembrava de tais implantes há muito tempo, me ofereceu a substituição do implante e me anunciou a quantia de quase 50.000 mil. Naturalmente, eu não concordo. Então ele pegou uma chave de fenda e novamente apertou o parafuso que voou.
Depois de alguns meses, o parafuso saiu novamente. Depois fui para a cidade onde coloquei esse implante. Eles colocaram um parafuso no cimento lá e acrescentaram que, quando colocavam o Radix em mim, era um preço meio caro, e agora eles nem são liberados, então não é possível encontrar um parafuso tão novo. E de quem é a culpa? Em geral, repito que eles colocam no cimento, não sei quanto ele vai suportar. Mas então, coloque um novo implante ou uma ponte. Dente da frente. É melhor não mexer com esses implantes. Embora eu tenha muito confiável, o implante em si. Mas o parafuso não segura. Parece que o tópico está normal, mas algo não está certo. E, como os implantes modernos, também existem problemas com os parafusos, eles saem com o tempo?
Olá Julia. Situações em que o parafuso que liga o pilar ao implante não é torcido não são a norma, mas infelizmente não são tão raras (baixa qualidade dos produtos, qualificação insuficiente dos médicos). No entanto, ao usar um implante de alta qualidade e elementos protéticos originais, o problema é resolvido de maneira rápida e indolor. Se o parafuso for apertado com a força recomendada pelo fabricante, a probabilidade de afrouxamento é insignificante. Além disso, os métodos protéticos modernos envolvem as chamadas coroas rosqueadas. Isso elimina a presença de cimento e facilita o acesso ao parafuso.
Olá. Meus dentes quebraram embaixo da ponte, 4 e 5. Os dentes restantes não existem há muito tempo. A raiz do quarto dente é preservada. Mas o médico sugere colocar 4 coroas em 3 implantes. Me arrependi da quarta raiz e fiz uma coroa em um novo alfinete em outra clínica. A raiz é pequena, mas sem inflamação. Eu pensei que duraria algum tempo, e o implante pode ser feito mais tarde. Mas o médico diz que 4 é o melhor dente para implantação e, no quinto, o nervo passa. Portanto, decidimos remover esse quarto dente restaurado e colocar os implantes em 4, 6 e 7.
Sua opinião: isso está correto? Um dente em uma raiz nativa ou um implante - o que é mais confiável? Entendo que, como o quarto dente tem mais ossos, é melhor usá-lo para apoiar esse projeto. Está certo? Ou posso manter minha raiz nativa?
Olá Rose. Tendo em conta a descrição da sua situação clínica, considero o plano de tratamento escolhido pelo seu médico absolutamente razoável e correto. Eu não recomendo preservar a raiz devido à sua potencial falta de confiabilidade devido ao tamanho e possibilidade de inflamação futura.
Olá. Os meus implantes (tecnologia Astra) têm mais de 10 anos. O osso foi um pouco, no máximo - 2 mm, mas não há ameaça de perda estrutural, está tudo bem. Pergunta: vale a pena seguir o conselho de um médico e conduzir a higiene dos tecidos ao redor dos implantes usando o aparelho Vector? Em artigos de fontes científicas (PubMed), há informações de que esse método não deve ser aplicado aos implantes. O anúncio do fabricante do dispositivo indica o contrário. Em quem acreditar?
Olá Elena! O tratamento da gengiva vetorial com aparelhos de gengiva é um bom procedimento, após o qual a condição dos tecidos moles ao redor do implante realmente melhora.O único ponto aqui é que o médico deve usar um bico especial para implantes, diferente do usado para os dentes naturais.
Eu li os comentários e mudei de idéia sobre a colocação do implante!
Olá Vou instalar 4 implantes Bicon nos dentes posteriores inferiores. No lado direito, falta completamente os dentes. Confuso com o conceito de "implantes curtos". Quero saber como os implantes curtos suportam a carga nos dentes posteriores da mastigação? Obrigado pela resposta!
Olá Tatyana. Implantes curtos são colocados em casos de deficiência óssea. Tais modelos estão presentes em quase todos os sistemas de implantação, então não há nada de errado nisso. Se você planejar corretamente a localização dos implantes e coroas, a carga de mastigação será distribuída corretamente.
É muito estranho que não haja estatísticas sobre atrofia óssea ao instalar implantes de vários fabricantes. É claro que isso depende das características individuais. Mas algumas estatísticas gerais ainda devem ser feitas para que os pacientes percebam que, por exemplo, nos implantes suecos, a probabilidade de passar muito tempo é de 80% e nos israelenses - 30%. E então é obtido algum tipo de fraude global - eles apenas dizem que esses implantes são mais confiáveis do que aqueles. E por que os fabricantes enganam suas cabeças sobre uma garantia vitalícia duvidosa, se não menos importante, quanto tempo durarão. Por que uma garantia vitalícia para implantes que caem em alguns anos ?! Por favor, diga-me, tudo é realmente tão precário e impreciso neste assunto?
Olá Elena! As empresas de manufatura de implantes não podem manter estatísticas confiáveis, uma vez que não estão envolvidas no processo de tratamento (no melhor dos casos, com o envolvimento de clínicas, vários estudos são realizados em uma amostra relativamente pequena de pacientes). Os números mais precisos são clínicas ou médicos individuais que levam a sério o seu trabalho e trabalham há muitos anos no mesmo sistema de implantes.
É necessário remover 6 e 7. Não quero moer dentes saudáveis embaixo da ponte. Melhor implante? Ou ainda é uma ponte?
Olá Elena! Pelo que pude entender pela sua mensagem, os dentes 6 e 7 devem ser removidos, mas você tem 5 e 8 e está considerando uma estrutura de ponte sobre esses dentes. Obviamente, seria mais correto fazer um projeto baseado em implantes - esta é a melhor solução (e não apenas porque você não precisa moer dentes saudáveis). No entanto, as próteses sobre implantes serão mais caras.
E, para entender se a colocação do implante é possível, é necessário realizar um exame e um exame radiológico.
Olá Diga-me, por quanto tempo as coroas de metal cerâmico nos implantes serão comparadas com as de zircônio? E quanto aproximadamente ambos podem servir?
Olá Mary! A vida útil das coroas cermet e zircônia é quase a mesma. O material da prótese deve ser escolhido juntamente com o ortopedista, com base em seu quadro clínico específico. A principal diferença entre essas duas opções não está na vida útil, mas na estética e no preço.