
Em seguida, você aprenderá:
- O que é implantação basal, quais são seus prós e contras, prós e contras;
- Quais são os principais estágios da colocação do implante durante o implante basal;
- Que indicações e contra-indicações existem para a implementação deste procedimento;
- Como cuidar adequadamente dos implantes e quanto tempo eles podem durar;
- E é realmente possível hoje fazer implantes basais de alta qualidade sem medo de que as complicações comecem em alguns anos ...
O implante basal, em torno do qual ainda existem disputas entre apoiadores (pelo método) e oponentes (categoricamente contra o sistema), remonta aos anos 60 do século passado - com o desenvolvimento do médico italiano Stefano Tramonte, que começou a usar seus próprios projetos de implantes com pescoço liso e fio bastante agressivo. Falaremos mais sobre os prós e contras dessa tecnologia em mais detalhes.
A principal diferença entre o método de instalação dos implantes basais do implante clássico é que o cirurgião-dentista os instala nas camadas profundas e nos departamentos do osso maxilofacial, caracterizados por uma densidade especial e resistência à atrofia. É por isso que esses implantes são bastante longos.


Os implantes clássicos são instalados em tecidos esponjosos e macios da mandíbula.
Uma característica do implante basal é a capacidade de instalar todos os implantes necessários em uma única etapa e concluir o tratamento em literalmente três a cinco dias. Mas os implantes dobráveis clássicos e generalizados exigem de 2 a 3 meses a 6 meses de espera pelo "enxerto" antes do último estágio - próteses (um longo período de espera é uma das desvantagens da implantação clássica).
Nota
Implantes basais, ao contrário dos modelos clássicos, podem ser instalados em ângulo. Isso permite aumentar a área de contato da superfície do implante com o tecido ósseo e, ao mesmo tempo, escolher as áreas mais duráveis do osso.
Algumas palavras sobre o método de implantação basal
Se nos voltarmos para a história, podemos ver que o implante basal existe há quase meio século - exatamente o mesmo que a técnica clássica. No entanto, foi precisamente o “clássico” que começou a se desenvolver ativamente, em parte devido ao fato de seus criadores apresentarem o método como mais bem-sucedido comercialmente. No entanto, mesmo naqueles dias, o implante basal apresentava indicadores quase idênticos de sobrevivência, e hoje a técnica, podemos dizer, está passando por um renascimento.
O fato de o implante basal ser de grande interesse para os pacientes é compreensível. A técnica realmente tem muitos pólos: tempos de tratamento curtos, retorno rápido a uma vida útil completa e custos mais baixos - tudo isso a torna atraente.
No entanto, os implantologistas atuais foram divididos em dois campos. Os primeiros (aqueles que são contra a metodologia) acreditam que o implante basal é uma maneira de vida curta para restaurar os dentes. Outros, pelo contrário, advogam um sistema semelhante, não apenas em palavras, mas também na prática, demonstrando os resultados positivos de seu trabalho e dando como exemplo o feedback de pacientes agradecidos.

As clínicas envolvidas na implantação basal posicionam seus serviços como exclusivos - isso costuma ser a base da campanha publicitária dessas instituições. Na realidade, declarações sobre a exclusividade dos serviços prestados são apenas parcialmente verdadeiras.
O fato é que, na técnica basal, não há nada único, mas exige muito das habilidades e qualificações de um médico que deve:
- Excelente conhecimento da anatomia maxilofacial (afinal, você terá que trabalhar em condições de atrofia aguda do tecido ósseo);
- Ser capaz de planejar e prever a instalação de implantes usando software especial;
- Para ter um bom conhecimento de ortopedia (afinal, não basta instalar implantes na mandíbula - é necessário corrigi-los de maneira a poder fixar a prótese no futuro, o que nem sempre é fácil, especialmente em uma situação inicial complicada. Além disso, a prótese deve ser conveniente, funcional e estética). .
Deve-se ter em mente que o conceito de "implantação basal", como tal, hoje é coisa do passado. Existe um protocolo de carregamento imediato, que inclui várias tecnologias para restauração dentária, dependendo do quadro clínico. É adequado para restaurações simples e múltiplas, incluindo a ausência completa de dentes - um exemplo correspondente é mostrado nas fotografias abaixo:



O protocolo de carregamento imediato implica a realização da operação em uma única etapa, bem como o carregamento instantâneo (imediato) da prótese - daí o nome (implantação de dentes com carga imediata, implantação em estágio único, sinônimos simultâneos e outros).
Esse protocolo também é usado para restaurações únicas, mas é mais adequado para pacientes com desdentamento completo ou falta de segmentos de dentes inteiros. Além disso, nos casos em que são observados processos atróficos no tecido da mandíbula, a técnica também pode ser aplicada através do uso de partes fortes e estéreis do osso (falaremos mais sobre isso mais adiante).
Nota
Entre as tecnologias de carregamento imediato, vários protocolos principais podem ser distinguidos: próteses em quatro implantes (all-on-4 - patenteados pela Nobel), em seis implantes (all-on-6) e o próprio método basal.
Em todos os casos, são utilizados implantes instalados precisamente nas camadas profundas do tecido ósseo (existem muitos modelos e variedades desses implantes). Eles estão ligados não apenas na zona alveolar, mas também na seção basal, a membrana cortical do osso. E com atrofia aguda, os ossos e contrafortes zigomáticos (linhas de força) do crânio também são usados. O grau de fixação de tais implantes é várias vezes maior e atinge 100 Newtons versus implantes clássicos, com um índice de 30 a 45 Newtons.
Dado o exposto, o implante basal parece bastante atraente (principalmente devido ao tempo mínimo de tratamento). Mas antes de confiar na publicidade e nas análises positivas nos sites da clínica, onde se diz que o paciente pode obter novos dentes em apenas alguns dias, vamos descobrir por que existem tantos rumores e especulações em torno dos implantes basais, bem como quais vantagens esta tecnologia tem e contras.
As principais etapas da colocação do implante: o que deve ser preparado com antecedência
Todo o processo de implantação basal pode ser dividido em 4 etapas:
- Diagnóstico (preparatório);
- Etapa de modelagem;
- Instalação de implantes basais;
- Protéticos.
A fase de diagnóstico geralmente leva apenas um dia, mas em casos raros é projetada para dois ou mais dias. A tarefa do dentista nesta fase é realizar um exame abrangente do paciente. A ênfase máxima está no estudo do tecido ósseo e da cavidade oral como um todo. Para isso, a tomografia computadorizada (TC) é obrigatória.

É importante
Hoje, muitas clínicas estão equipadas com ortopantomografias dentárias, instaladas diretamente na clínica. Eles são adequados para avaliar a qualidade do tratamento endodôntico, para planejar o tratamento ortodôntico, determinar o tamanho dos tumores da mandíbula e para o implante clássico.
Porém, ao trabalhar com atrofia aguda do osso devido à baixa qualidade dos detalhes, é melhor não usar esse equipamento - a simulação por computador será imprecisa. É por isso que clínicas especializadas em implante basal enviam pacientes para diagnóstico a centros médicos especializados. Para comparação: o custo de um tomógrafo dental é de 4-5 milhões de rublos e um aparelho profissional para diagnosticar a condição de qualquer órgão do nosso corpo - de 20 milhões de rublos.
No estágio do diagnóstico, o médico explica em detalhes ao paciente o que fazer antes do implante basal dos dentes. Antes de iniciar o procedimento, também é necessário informar o médico sobre todas as doenças e, se necessário, fazer um exame de sangue e ser examinado por um médico de perfil, pois o sucesso do próximo tratamento pode depender disso.
Nota
Hoje, em clínicas individuais, existe uma prática não apenas em tempo integral, mas também em consultas remotas com um médico. Por exemplo, no caso de clínicas de Moscou que recebem pacientes das regiões, tecnologias modernas, por exemplo, videoconferência ou comunicação por email, podem ser usadas para a comunicação inicial e para a troca de arquivos com dados de tomografia computadorizada.
Em seguida, segue o estágio da modelagem computacional - este é um dos pontos principais do tratamento. Um médico geralmente precisa trabalhar em condições de atrofia aguda do tecido ósseo, e você precisa escolher o local mais preciso para posicionar o implante (ou seja, com volume ósseo suficiente, com risco mínimo de atingir nervos ou seios nasais) - nesses casos, a simulação por computador literalmente salva a situação.

Em geral, a modelagem computacional durante o implante basal é uma continuação lógica da fase de diagnóstico. Informações obtidas após o download da tomografia computadorizada. Um software especialmente projetado é usado para simular todo o processo de tratamento.
É interessante
Os programas para modelagem tridimensional do processo de implantação são emitidos por empresas independentes e podem ser apresentados diretamente pelos desenvolvedores do implante. Por exemplo, a Nobel, uma das primeiras empresas a produzir implantes dentários, hoje oferece aos laboratórios dentários seu próprio software Nobel Guide e até equipamentos para escanear a cavidade oral (em vez de usar os moldes de cera tradicionais).
O programa de computador ajuda o médico a analisar a condição do tecido ósseo, a escolher o local mais adequado para implantação, levando em consideração as características anatômicas da mandíbula e a selecionar o design do implante.
A modelagem 3D, em princípio, pode ser aplicada com implantação clássica. Mas seu uso pressupõe a disponibilidade de habilidades para trabalhar com ele, bem como a disponibilidade de equipamentos especiais e, de fato, o próprio software. Portanto, muitos dentistas nem sempre usam essa tecnologia moderna (por exemplo, apenas a um custo adicional). Na escolha do implante basal, a modelagem 3D é um procedimento obrigatório, pois permite que a operação seja realizada sem erros, com a máxima precisão, sem complicações, com resultado previsto e garantido.
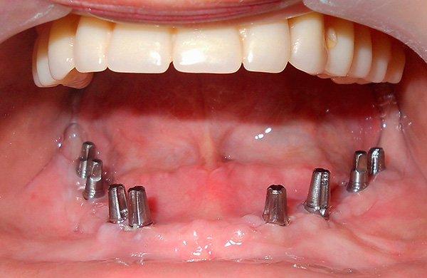
Na próxima etapa do implante basal, a instalação real dos implantes é realizada pelo método de punção ou incisão (ou imediatamente após a extração do dente). Uma punção torna possível realizar todo o procedimento sem suturar e é adequada para pessoas com gengivas enfraquecidas e inflamadas.

Nota
Com base nos dados simulados, modelos cirúrgicos individuais são desenvolvidos usando impressoras 3D. Geralmente, são estênceis de silicone sobrepostos na crista alveolar durante a cirurgia. Eles têm aberturas com um certo ângulo de inclinação através do qual os implantes são inseridos no osso.Assim, eles são instalados em um local precisamente calibrado, o que torna a operação menos arriscada e menos traumática.

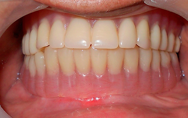
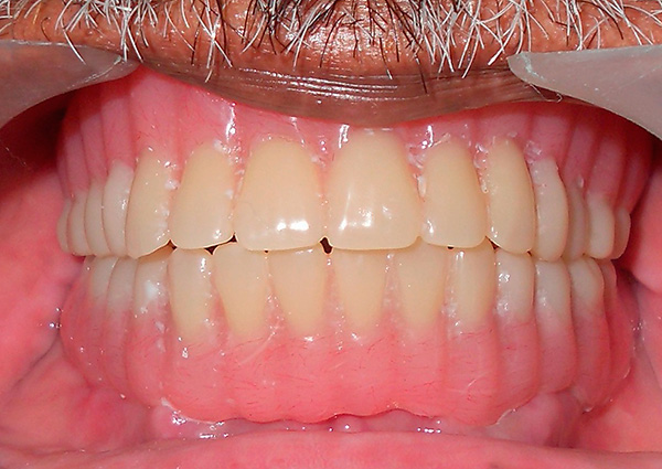
O último estágio do implante basal é a prótese. Após a instalação dos implantes basais, a prótese é geralmente colocada por 2-3 dias - para criar a carga primária necessária. A prótese é feita com moldes removidos da mandíbula do paciente. Ao mesmo tempo, todos os implantes instalados são impressos na impressão, cuja relação espacial já é estudada pelo técnico em odontologia nos modelos obtidos, que faz a prótese necessária no laboratório odontológico (ao mesmo tempo, são levados em consideração os dados do modelo de computador criado na fase preliminar).


As próteses imediatas (imediatas) desempenham um papel muito importante em todo o processo de tratamento.
Primeiramente, a prótese transfere imediatamente a carga mastigatória para os implantes e, através deles, para o tecido ósseo, devido ao qual processos naturais são ativados nela, e a regeneração prossegue o mais rápido possível. Simplificando, o osso é restaurado rapidamente em muitos aspectos, devido ao fato de o paciente poder mastigar alimentos alguns dias após o implante basal.
É interessante
O implante basal é baseado no uso da lei de Wolf, segundo a qual o osso humano se adapta às cargas que são colocadas nele. E sua estrutura interna passa por mudanças adaptativas, após as quais o estado da concha cortical do osso maxilar muda - torna-se mais denso e, portanto, mais durável.

Em segundo lugar, a prótese conecta todos os implantes instalados em um único design. Se um implante estiver muito carregado, ele será deslocado sob carga. Porém, devido ao fato de a estrutura da prótese unir todas as raízes artificiais, elas ficam imóveis e calmamente se enraízam no tecido ósseo, apesar da presença de intensa carga mastigatória.
Em terceiro lugar, a prótese permite que o paciente se sinta pleno - a estética e a possibilidade de nutrição são restauradas com implante basal quase que imediatamente.
No entanto, há um ponto muito importante (que alguns podem considerar um sinal de menos). Embora após a instalação dos implantes a prótese seja fixa permanente, não removível, mas ainda assim seja uma estrutura temporária. Isso significa que você precisa usá-lo por pelo menos seis meses e, na prática - até 3-4 anos, até as coroas plásticas falharem e perderem a aparência. Após a prótese, você terá que substituí-la por uma permanente - ou seja, uma que permaneceu inativa por décadas.
Importante!
Com atrofia significativa do tecido ósseo, é oferecida aos pacientes uma prótese fixa, cujas coroas são presas a uma base de acrílico ou usando material Acry Free - um tipo de goma artificial. É pequeno, pouco perceptível e praticamente não se sente na boca. Esse sistema permite ocultar o contorno irregular da mucosa natural, que afunda junto com o osso.
Se você colocar uma ponte feita apenas de coroas, elas serão excessivamente longas. Nesse caso, os médicos ainda usam um termo especial - "sorriso de cavalo".
Qual a diferença entre os implantes basais e os clássicos?
Os implantes basais modernos têm uma forma clássica de raiz. Eles têm um corpo ligeiramente mais longo e um tipo específico de escultura, uma vez que são fixados mais profundamente e em camadas mais densas do que os implantes dentários clássicos.
Mas, talvez, a principal diferença entre os implantes basais seja que eles têm uma forma sólida, isto é, são combinados com pilares (os topos que servem de base para a prótese).
Implantes basais:

Aqui estão alguns exemplos de implantes clássicos:

Alguns médicos consideram a integridade dos implantes basais uma desvantagem significativa, justificando que os técnicos de prótese dentária tenham que "esculpir" próteses em implantes já instalados, e se o médico as colocar de forma "torta", será uma tarefa quase impossível corrigir seus graves erros para um dentista.
Para entender melhor se esse momento pode realmente ser considerado uma falta de implantes basais, vamos ver como a situação geralmente se desenvolve na prática na maioria das clínicas.
Na implantação clássica, um implantologista-cirurgião e um técnico em odontologia ou ortopedista trabalham em conjunto. E frequentemente até separadamente um do outro. Ou seja, o cirurgião instala os implantes e o ortopedista seleciona os pilares ideais e adapta a posição da prótese. E o ortopedista realmente tem uma margem suficiente para manobras no trabalho.
No caso do implante basal, a situação é diferente. Muitas vezes, é necessário que um implantologista seja cirurgião maxilofacial e ortopédico em uma pessoa ou trabalhe em conjunto com um cirurgião ortopédico profissional, como uma unidade, pois, de fato, se os implantes forem torcidos, a prótese não poderá ser instalada normalmente.
Por isso, inclusive devido à modelagem computacional, todo o processo de tratamento é cuidadosamente planejado - desde a instalação do implante, a seleção do ângulo de inclinação do pilar e o estudo das possibilidades de sua carga para fixar a prótese. O médico precisa ser totalmente proficiente no processo, pois precisa trabalhar com atrofia aguda, má oclusão, problemas na área sinusal, etc. E o paciente deve obter um resultado decente.

Quanto aos implantes, eles têm uma ponta manobrável - ou seja, o pilar imediatamente após o implante pode ser inclinado com uma ferramenta especial até certo ponto, o que permite alinhar a mordida, fixar a prótese de maneira uniforme e sem deslocamento.
Assim, se a integridade dos implantes basais pode ser considerada um certo sinal de menos, então apenas do ponto de vista que a tecnologia de sua instalação implica requisitos mais altos para as habilidades e profissionalismo de um médico do que no caso do protocolo clássico. Simplificando, será mais difícil encontrar um bom médico.
Implantes laterais da BOI para implantação basal e histórias de horror relacionadas
Os implantes laterais da BOI são implantes de disco desenvolvidos pelo Dr. Stefan Ide. Eles já são usados há algum tempo e, talvez em algumas clínicas, ainda estejam sendo instalados, por isso é útil descobrir sobre o que o anúncio ficará em silêncio.
Foram criados implantes de disco feitos de titânio (além de basais e clássicos), cuja característica era a base na forma de um disco. Tais implantes foram instalados não pelo ápice do maxilar, mas pelo lado, por meio de tecido ingerido.


Os implantes BOI laterais foram curados nos círculos basais, pois também envolviam a parte correspondente do osso. No entanto, tentativas persistentes de usá-los falharam e há várias razões para isso:
- Instalação muito complicada;
- Eles estão longe de ser sempre eficazes, e apenas com precisão de jóias serrando um osso sob um implante;
- Reabilitação pós-operatória a longo prazo (e, como resultado, muitas complicações).
Hoje, nem um único profissional trabalhando no resultado utilizará implantes basais em disco em sua prática.
Os implantes de disco de vários anos atrás foram instalados ativamente em nosso país. Eles foram produzidos com a marca BOI (mais tarde, seus análogos foram lançados - implantes PEEK, criados não a partir de titânio, mas a partir de um biopolímero). E até hoje, são precisamente esses implantes em forma que muitos pacientes associam à técnica basal (e muitas vezes essas pessoas se opõem a ela).
Abaixo a foto mostra exemplos de implantes de disco:

As principais desvantagens dos implantes basais de disco obsoletos (BOI):
- Alta complexidade do processo para o próprio médico e o técnico em odontologia.A incapacidade de corrigir, a seu critério, sobressaindo-se da parte gengival do implante já "implantado" cria dificuldades para o médico e o técnico, e para o paciente no futuro;
- Existem muitos casos de perda de estética após a prótese final. Esse ponto está amplamente interconectado com o anterior, uma vez que o sistema de implantes basais entregues “como uma mão levou” cria os pré-requisitos para as correspondentes “curvas” das próteses. Em outras palavras, as próteses parecem não naturais e não aderem bem aos tecidos periodontais, causando desconforto aos pacientes;
- Danos graves nas gengivas e ossos durante a instalação de implantes basais, suturas;
- Nos casos de rejeição do implante na área de sua instalação, há uma perda significativa de osso, exigindo reabastecimento da massa óssea, ou seja, cirurgias adicionais podem ser necessárias para eliminar a resultante falha na implantação "Buraco" na mandíbula.
Comparados aos implantes de disco, os modernos implantes basais em forma de raiz têm vantagens significativas:
- O processo de tratamento, bem como as próteses subsequentes, é modelado com antecedência. O ângulo de inclinação do pilar é ajustado à posição da prótese, portanto, nem o implantologista, nem o técnico em odontologia, nem o paciente têm dificuldades;
- O implantologista é um cirurgião maxilofacial e certamente conhece a ortopedia, o que lhe permite realizar a colocação do implante levando em consideração a mordida do paciente. Juntamente com a modelagem 3D, isso permite ao técnico de prótese dentária criar próteses com alta estética e indicadores de força;
- Implantes basais modernos são instalados de maneira minimamente invasiva, sem grandes incisões nos tecidos e suturas - por punção. Isso reduz o risco de complicações após a cirurgia, reduz e facilita a reabilitação para o paciente;
- Com a instalação correta do implante, o tecido ósseo não só não diminui, mas, pelo contrário, é restaurado e compactado devido à carga mastigatória.
Os benefícios do implante basal
Assim, considerando todas as características do método de implantação basal, podem ser distinguidas as seguintes vantagens:
- O número de visitas ao médico é minimizado;
- Um pequeno número de contra-indicações para esse tipo de implantação;
- Adequado para fumantes;
- É facilmente tolerado por pessoas em idade avançada;
- Adequado para pessoas que sofrem de formas agudas de periodontite e doença periodontal;

- Você pode começar a mastigar próteses já 3-5 dias após a colocação do implante;
- Apenas uma operação é necessária: os implantes são colocados simultaneamente;
- Custo de serviços relativamente menor;
- O método é adequado mesmo com atrofia significativa do osso da mandíbula (em outras palavras, com diminuição na altura e redução no volume);
- A cicatrização óssea é mais rápida devido à atitude poupadora, além de fornecer carga mastigatória imediata.
Opinião do dentista
Apesar do grande número de vantagens da tecnologia, é difícil obter resultados positivos do implante basal, mas é possível se todas as etapas forem executadas perfeitamente. Primeiro, o trabalho deve ser realizado por um médico experiente, com certificados confirmando o direito de trabalhar com este protocolo de tratamento (eles são emitidos apenas pelo Fundo Internacional para Implantologistas). Em segundo lugar, o médico não deve ser apenas um implantologista, mas um cirurgião maxilofacial com profundo conhecimento da anatomia do sistema mandibular. Em terceiro lugar, os implantes de empresas existentes no mercado há décadas, e não lançados há apenas alguns anos e dando apenas os primeiros passos no trabalho com a técnica de carregamento imediato, devem ser utilizados para o trabalho.
Alguns dos "velhos" nesta área são Nobel Biocare, Osstem, Oneway BioMED e BioHorizons. Para essas marcas, tanto a experiência de trabalho positiva quanto a negativa (o que também é importante) foram acumuladas, e também existem estudos clínicos confirmados a longo prazo.
No entanto, para avaliar objetivamente a metodologia, é necessário conhecer não apenas suas vantagens, mas também os pontos negativos - vamos falar mais sobre eles ...
O que é importante saber sobre as principais desvantagens da tecnologia
As conclusões finais sobre o implante basal como uma técnica supostamente eficaz só podem ser feitas pela pesagem dos prós e contras. A técnica realmente apresenta um grande número de vantagens, principalmente para pacientes que, devido à longa ausência de dentes, apresentam atrofia óssea aguda. Mas, como dizem os especialistas, nem todo médico decide usar essa tecnologia - e esse é o principal problema.

Entre as sérias desvantagens da técnica, é necessário destacar a ausência de médicos capazes de instalar implantes basais (e próteses) de acordo com as regras e protocolos relevantes. Para se tornar um profissional, você precisa passar por 5 etapas práticas de treinamento na fundação International Implant, que, devido ao seu alto custo, não é acessível a todos.
Além disso, demandas crescentes são impostas aos especialistas: o médico deve ser um cirurgião maxilofacial, um ortopedista e um usuário avançado de software para modelar o tratamento. Para ajudar, o médico deve escolher um técnico em odontologia que também seja treinado nas especificidades do desenvolvimento de próteses para carregamento imediato, levando em consideração a criação da oclusão correta, tão necessária para distribuir uniformemente a carga no osso e não sobrecarregar os implantes (porque a prótese não apenas desempenha a função de uma aparência natural e bonita dentes artificiais, mas também é um estabilizador adicional dos implantes, impedindo sua mobilidade).

É por isso que você não deve confiar cegamente na publicidade de clínicas odontológicas que oferecem implante basal - você deve necessariamente pesar os prós e contras, verificar os atestados médicos e observar os resultados de suas habilidades práticas (por exemplo, examine fotos com exemplos mostrando a cavidade oral dos pacientes antes e depois do tratamento) .
As principais indicações e contra-indicações para implante basal
Os proponentes do implante basal, como vantagens desta técnica, citam as linhas desde os pontos de indicação até ela, uma vez que algumas são ao mesmo tempo suas vantagens. Aqueles que se opõem se concentram nas contra-indicações aos implantes basais e os consideram contras.
No entanto, as indicações para a técnica fornecem ao dentista apenas informações aproximadas sobre as previsões de tratamento, não garantindo um resultado 100% positivo. A explicação é simples: cada caso é excepcional e único em seu tipo; portanto, indicações e contra-indicações devem ser consideradas da perspectiva da lógica médica e do senso comum, e não padronizadas.
A seguir, algumas indicações para implantação basal como exemplo:
- A necessidade de restaurar a função mastigatória em um curto período de tempo (3-5 dias);
- Restauração do osso da mandíbula, bem como dos dentes na ausência de mais de 3;

- Restauração da estética e função dos dentes em sua completa ausência;
- Doença periodontal grave (geralmente com periodontite e doença periodontal);
- Diminuição do osso na mandíbula superior e (ou) inferior;
- Fumar
- Contra-indicações ou falta de vontade de levantar o seio (extensão óssea).
As contra-indicações absolutas ao implante basal são idênticas aos casos em que o implante clássico também não é realizado (são ainda menores devido à possibilidade de tratamento para atrofia e processos inflamatórios).
Com os problemas listados abaixo, a cirurgia não é realizada em princípio:
- Neoplasias tumorais;
- Algumas doenças do sistema circulatório;
- Distúrbios do sistema nervoso central;
- Distúrbios da regeneração óssea;
- Doenças crônicas (tuberculose, diabetes com uma necessidade constante de insulina).
Contra-indicações relativas ao implante basal:
- Tratamento com preparações de bifosfato;
- Gravidez e lactação;
- Transtornos mentais e neurose;
- Diabetes mellitus descompensado;
- A forma aguda da artrite.
O cirurgião maxilofacial nunca começará o implante até que a cavidade oral esteja preparada. Portanto, antes de iniciar o procedimento, ele realiza o tratamento dos dentes que devem ser preservados, remove os dentes em movimento ou problemáticos com cistos ou granulomas nas raízes.

Nota
O método de implantação basal permite o tratamento imediatamente após a extração do dente: um implante é colocado diretamente em um novo orifício (ou seja, você não precisa esperar vários meses para que o osso se recupere).
Como cuidar de implantes
Os implantes e as próteses requerem cuidados obrigatórios, pois sua vida útil depende diretamente disso. No entanto, não se preocupe muito, porque, para manter a higiene bucal após o implante basal, você não precisa de conhecimentos e habilidades especiais. Basta escovar os dentes com uma escova de dentes pelo menos 2 vezes ao dia e enxaguar a boca após a limpeza com soluções antibacterianas.
Se surgirem dificuldades em áreas de difícil acesso (por exemplo, sob pontes ou entre dentaduras) onde as cerdas da escova de dentes são difíceis de penetrar, um irrigador deve ser usado (este dispositivo foi projetado para remover placas, restos de comida e massagear as gengivas com um jato de água, produzido sob pressão).

Nota
Na presença de implantes dentários, o fio dental não é recomendado, pois existe um alto risco de danos ao tecido ao redor do implante.
Para não se preocupar com o destino de implantes e próteses, você deve visitar o dentista 1-2 vezes por ano para avaliar sua condição. Se forem encontradas manifestações primárias associadas a qualquer violação, sua eliminação deve começar imediatamente.
É com as manifestações iniciais de complicações que é mais fácil e rápido obter um resultado positivo. Às vezes, a correção usual é suficiente, que geralmente é realizada sob garantia, ou seja, de graça.
Obviamente, é importante observar alguns cuidados ao usar próteses em implantes:
- Proteja-se das lesões da região maxilofacial;
- Para impedir uma diminuição da imunidade;
- Prevenir infecções agudas e crônicas: avaliar regularmente o estado de saúde e realizar tratamento médico oportuno das formas iniciais da doença. Há muito que está provado que as doenças mais comuns do corpo afetam direta ou indiretamente a vida dos implantes.
Quantos implantes basais geralmente servem?
De um modo geral, a vida dos implantes basais depende de muitos fatores, e não é possível prever com antecedência, nem nos modelos clássicos.
Em muitos aspectos, a vida útil dos implantes basais é afetada pela precisão da construção ortopédica - depende se a prótese fornecerá os parâmetros necessários para a carga nos implantes e distribuirá adequadamente a pressão no tecido ósseo.

Não é o último lugar para prolongar a vida de um implante basal o exame odontológico regular e a higiene bucal competente. Em outras palavras, a vida dos implantes depende substancialmente não apenas do médico, mas também do paciente.
Com o cumprimento exato de todas as regras para a fabricação de um implante basal, bem como com uma atitude cuidadosa e cuidadosa, a vida útil não pode ser limitada. Empresas comprovadas e respeitáveis, especializadas no desenvolvimento de modelos para implante basal com carga protética imediata, fornecem uma garantia vitalícia para seus produtos. Por um lado, trata-se de um movimento publicitário e, por outro, é uma garantia adicional para o paciente de que nem o médico nem a clínica o abandonarão em momentos difíceis em caso de complicações.
Nota
O material para implantes basais é titânio. Possui propriedades únicas que permitem o processo de "enxerto" do implante, fusão com tecido ósseo (osseointegração).Após a pesquisa, foi comprovado que o titânio puro é um material idealmente biocompatível que aumenta significativamente a vida útil dos implantes.

Construções ortopédicas, que são fixadas em implantes montados, em média, servem significativamente menos que "parafusos". Eles são garantidos por um a dois anos, mas sua vida útil é muito maior.
As primeiras próteses (adaptativas) são feitas de metal-plástico. Mas, diferentemente do plástico clássico, a migalha de diamante é adicionada, o que ajuda a fortalecer o material, o torna mais estético e durável. Portanto, na prática, é perfeitamente aceitável usar essas próteses por cerca de 3-5 anos.
As pontes dentárias de metal cerâmico (veja o exemplo na foto abaixo) terão uma duração média de 10 a 12 anos.

Enquanto isso, uma das mais confiáveis e estéticas é considerada uma coroa de zircônia com uma vida útil de mais de 20 anos (mas também pelo preço de fabricação, essas coroas serão muito mais caras que as de cerâmica-metal).
Implante basal de alta qualidade sem complicações - mito ou realidade?
Os implantes basais de um estágio no processo de desenvolvimento da técnica sofreram muitas modificações. Como já mencionado, na linha de implantação basal de última geração, não foram utilizados apenas implantes em forma de raiz, mas também implantes de placa BOI. Apesar do fato de esse tipo de implante ter resultados positivos a longo prazo, as escolas modernas de carga imediata (Carga Imediata) recusaram esses projetos devido aos requisitos de habilidade em joalharia na instalação e a uma ampla gama de contra-indicações.
O pico de popularidade da marca de implantes BOI ocorreu em 2010-2012 nas filiais de vários dentistas em Moscou. O resultado das atividades dos médicos recém-treinados, que começaram a trabalhar imediatamente e sem o devido cuidado, foi o surgimento de inúmeras críticas negativas de pacientes na Internet, que se arriscaram a colocar esses implantes basais em si mesmos.
Opiniões negativas de médicos e análises negativas de pacientes não foram infundadas: as clínicas de Moscou, que durante vários anos realizaram múltiplos implantes basais em implantes de BOI, adquirindo experiência, transferidas para outros proprietários e deixaram de ser responsáveis pelos resultados dos trabalhos de 2-3 anos anteriores na Rússia .
Uma análise da maioria dos comentários das "vítimas" mostrou que os implantes basais da BOI instalados durante esse período não começaram a ser "rejeitados" imediatamente: alguém teve sorte de andar um ano e meio com uma "coisa nova" e alguns "sortudos" chegaram a três anos.
Na foto - periimplantite (inflamação do osso e tecidos moles na área do implante):

Comentários:
Olá! Meu nome é Oksana, 46 anos, moro em Khimki, região de Moscou. Em 2010, em Moscou, coloquei uma variedade de implantes basais - implantes BOI nas duas mandíbulas. O contrato continha uma garantia para implantes de 25 anos e para próteses instaladas neles - 3 anos. Apenas dois anos se passaram, mas dois implantes de cima já são móveis e um caiu. Fui à clínica, mas já está fechada. Por favor, ajude-me, não sei o que fazer a seguir. "
Oksana, Khimki
Após uma experiência malsucedida com os implantes BOI, bem como o acúmulo de uma base prática de conhecimento no campo da implantação com carga imediata, a comunidade odontológica global revisou gradualmente os protocolos, e foram criados novos métodos que agora são usados com sucesso, não apenas no sistema de implantes do Dr. Stefan Ide ( Ihde Dental). Líderes de implantologia dentária como Nobel Biocare (próteses All-ON-4), BioHorizons (método TeethXpress), Noris Medical e Osstem são amplamente conhecidos não apenas na Rússia, mas também no mercado externo, onde estão ganhando cada vez mais popularidade.
Nota
Vale ressaltar que a Ihde Dental não congelou seu desenvolvimento e lançou várias linhas de implantes basais modificados da forma radicular com revestimentos especiais.
Portanto, o debate sobre o implante basal de alta qualidade ainda não diminuiu. É verdade que os apoiadores entre os cirurgiões russos aumentaram claramente devido aos primeiros especialistas treinados na Rússia.

Comentários
“Meu nome é Ekaterina Sergeevna, sou de Moscou. Descobri recentemente o implante basal e percebi que é disso que preciso. O fato é que eu trabalho com pessoas de uma empresa respeitável, então a perda de vários dentes da frente devido à minha estupidez se tornou uma verdadeira tragédia para mim. Eu já tinha cinco dentes para mastigar, então a mandíbula se transformou em orifícios contínuos e, depois de uma semana e meia, eu deveria ter apresentado a nova marca.
Em geral, já 7 dias depois de visitar a clínica, eu já tinha implantes basais com pontes de metal-plástico. Depois de um ano, precisarei alterá-los para cermet, mas minha apresentação na empresa foi um grande sucesso. Duas cobras com inveja de mim esperavam que eu falhasse na apresentação devido à insegurança, sabendo que problemas eu tinha com os dentes, mas mostrei quem era o chefe. Todos ficaram muito surpresos ao saber que, em apenas 200 mil, consegui retribuir um sorriso lindo em tão pouco tempo. Espero que meus novos dentes durem pelo resto da minha vida.
Ekaterina Sergeevna, Moscou
Seja como for, é importante lembrar que quase toda manipulação médica tem suas próprias indicações e contra-indicações, e mais ainda - cirurgia para implante basal. De qualquer forma, o dentista não deve ser guiado apenas por considerações financeiras sobre a escolha do método de implantação e prótese, e os pacientes, por sua vez, devem receber feedback sobre o médico, avaliar o status da clínica, sua experiência e pesar os prós e contras. E só então tome uma decisão final, levando em consideração todas as suas indicações e contra-indicações individuais.
Vídeo útil sobre implantação basal
O que compõe o preço total dos implantes dentários







É verdade que após a implantação basal, em uma semana você pode comer e mastigar tudo como de costume? Quais implantes são melhor utilizados para isso?
Boa tarde, Victoria. Sim, você pode mastigar, apenas alimentos mais macios primeiro e, gradualmente, ao longo de um mês, pode mudar para um mais difícil. Como a estrutura é conectada por um arco metálico, a carga de mastigação é distribuída uniformemente. Mastigar será indolor, a dor pode ocorrer apenas nos primeiros dias após a cirurgia.
Quanto aos tipos específicos de implantes e como tudo isso é feito na prática, você pode descobrir as nuances marcando uma consulta comigo para examinar sua situação com mais detalhes. Pessoalmente, trabalho com o sistema Oneway Biomed para implantação basal há muitos anos.
Durante muito tempo, não há dois dentes posteriores inferiores, pensei em implante. Eu li sobre os fabricantes. Provavelmente, gostaria de me debruçar sobre o conceito em termos de relação qualidade e preço. E o implante basal, por exemplo, é um método conveniente.E aqui estou interessado: é possível colocar implantes basais desse sistema em caso de longa ausência de dentes?
Olá. Em relação aos implantes basais - sim, essa opção é definitivamente possível, e é mais correto chamá-la neste caso de implantação com carregamento imediato. O fato é que os implantes basais são instalados com mais freqüência, com ausência completa de dentes e formas graves de atrofia do tecido ósseo. Você não tem 2 dentes, então eu ouso assumir que implantes de outras marcas servirão de acordo com uma técnica semelhante. Por exemplo, Osstem (classe econômica) e Straumann (premium). Obviamente, se não houver outras contra-indicações por motivos de saúde e condições de oclusão. Para recomendar com precisão, você precisa fazer uma tomografia computadorizada e examinar a cavidade oral.
Em relação ao CONMET, só posso dizer que não trabalhamos com ele, pois nos especializamos em protocolos de implante de estágio único, mas este fabricante não possui esses implantes.
Confiar no implante basal é possível apenas para profissionais. Eu tenho cinco dentes de metal cerâmico na mandíbula inferior, e eles disseram que têm dez anos ou mais de vida. Eu acho que isso faz muito tempo.
Boa tarde, por que existem restrições de idade para esse método?
Olá Vitaliy! Os implantes basais são colocados no osso cortical e nas áreas de sutura óssea, que formam até 20 anos. Portanto, até essa idade, a instalação de implantes basais não é recomendada. Além disso, não há restrições de idade.
Foi, claro, assustador, mas posso dizer que a dor não é crítica, apenas horror-horror. Eles fizeram anestesia e tudo correu bem. Com o tempo, a operação leva cerca de 2 horas, de alguma forma recebi um selo por mais tempo. A única coisa que você precisa vir regularmente para os exames, mas eu não moro em Moscou, decentemente deixa tempo.
Durante o implante basal, foram instalados 4 implantes. Coloque imediatamente cermets. Após 2 anos, as gengivas afundaram, um implante e parte da ponte tiveram que ser cortados, pois as gengivas ficaram gravemente feridas. O outro implante, disse o médico, foi "ferido" e também fere a gengiva no interior.
Eles se oferecem para tirar tudo e fazer de novo ... De alguma forma assustador. Como ser Para mim, esses dentes são para a beleza. A implantação repetida pode ser prejudicial?
Olá Larisa. Como regra, o implante basal envolve uma ponte metal-plástica adaptativa primária (desgaste a longo prazo) por um período de 8 a 24 meses. Como você instalou imediatamente uma ponte permanente feita de cermet, os implantes podem ficar sobrecarregados (a estrutura de metal-plástico é mais leve e precisa ser ajustada no primeiro ano).
Repetindo o implante basal novamente, é melhor levar em consideração o estágio das próteses adaptativas. A operação para instalar implantes basais é menos traumática em comparação com a instalação de implantes clássicos. E se tudo for feito de acordo com os protocolos, não deverá haver complicações novamente.
É estranho quando há todas as indicações para implante basal listadas no artigo, e muitos médicos oferecem apenas o clássico ... Com o conjunto mais completo: extensão, elevação do seio maxilar e até a remoção de dentes saudáveis - para colocar todos, não segmentos, mandíbula. Surgem três perguntas: (essa técnica) é boa apenas no papel, ou é que não sabemos como fazê-lo bem ou eles levam o que é mais familiar para os médicos (e, portanto, mais caro)?
Olá dia dos namorados. Cada técnica é aplicada individualmente para cada caso clínico, cada paciente tem suas próprias características no estado e na estrutura do tecido ósseo. Com relação ao método basal, pode-se realmente dizer o seguinte: os implantes são fixados em áreas profundas e densas do tecido ósseo, e nem sempre é possível instalá-los com os dentes parcialmente remanescentes. Apenas alguns especialistas são proficientes nessa técnica.E a pergunta aqui não é em termos financeiros, mas em características individuais - se parte de seus dentes estiver presente, é recomendável fazer enxertos ósseos e instalar implantes clássicos. Em nossa lâmina, trabalhamos com vários métodos de implantação. Convido você a uma consulta e diagnóstico gratuitos. Contaremos tudo em detalhes e analisaremos em detalhes as nuances que lhe interessam.
E onde em São Petersburgo eles fazem implantes dentários basais profissionalmente?
Olá Irina. Infelizmente, não consigo sugerir clínicas usando implante basal em São Petersburgo. Não há muitos especialistas nessa tecnologia. Estamos localizados em Moscou, se desejar, você pode nos procurar para uma consulta gratuita ou enviar sua imagem OPT e obter uma consulta a distância preliminar.