
A atrofia óssea é o problema número um que se torna um obstáculo ao implante dentário. Mas com uma ressalva - de acordo com o método clássico, desde hoje vários dentistas oferecem aos pacientes métodos de próteses sobre implantes sem construir o osso da mandíbula. Estes são os protocolos All-on-4 e All-on-6.
Literalmente, o nome deles é traduzido como "todos os quatro" e "todos os seis". Os métodos atuam como um tipo de alternativa às próteses removíveis com adentia completa ou nos casos em que é necessário remover alguns dos dentes vivos que estão em mau estado.
A tecnologia All-on-4 é um desenvolvimento patenteado da empresa americana-suíça Nobel, que produz implantes dentários com o mesmo nome há mais de meio século. As próteses de seis implantes são, de fato, a próxima geração, pois o desenvolvimento dessa técnica levou em consideração as desvantagens e deficiências da tecnologia All-in-Four.
Ambos os métodos são utilizados na presença de tecido ósseo atrofiado e envolvem carregamento imediato da prótese. Só agora eles não são encontrados em todas as clínicas.

Em seguida, tentaremos entender os prós e os contras de cada método e descobrir por que eles não são muito comuns em nosso país - devido à falta de habilidades dos implantologistas, à fragilidade ou a outras desvantagens?
Qual é a essência da tecnologia All-on-4?
Como mencionado anteriormente, esse desenvolvimento pertence à Nobel, que foi a primeira no mundo a colaborar com o desenvolvedor de implantes dentários (Dr. Branemarck) e lançou os produtos para produção em massa.
É interessante
O conceito All-on-4 foi colocado em prática pela primeira vez em 1998 pelo implantologista português Paulo Malo. Inicialmente, o médico trabalhou separadamente, mas mais tarde seu desenvolvimento foi adquirido pela Nobel, que em 2004 introduziu esse conceito de tratamento no mercado.

O conceito de prótese em quatro implantes é mais comum no exterior (na Europa e nos EUA) do que em nosso país. Isso é explicado pelo fato de que o implantologista deve receber treinamento e receber um certificado da Nobel pelo direito de trabalhar com este protocolo.
Vale a pena notar que os produtos Nobel são um dos mais caros, e essa é uma das razões pelas quais os médicos não têm pressa de obter os certificados apropriados - haverá apenas pouca demanda por implantes, e os implantologistas geralmente não têm a oportunidade de receber treinamento apropriado e muito caro.
Portanto, as diferenças fundamentais entre a tecnologia de próteses dentárias All-on-4 são as seguintes:
- Apenas 4 implantes dentários são utilizados para próteses de dentição completa;
- 2 implantes são fixados em ângulo nas áreas laterais (entre o quinto e o sexto dente); 2 outros - verticalmente no lugar dos dentes da frente;

- A prótese é instalada imediatamente, ou seja, não em um dia, nem em uma hora, mas imediatamente após o implante;
- O implante com a implementação da tecnologia All-on-4 é realizado com reabsorção óssea fraca ou moderada, bem como com uma quantidade suficiente de tecido ósseo;
- Os implantes são construções clássicas de duas partes, mas é usado um pilar de várias unidades (angular), destinado a ser usado com uma inclinação específica dos implantes. Ou seja, o próprio pilar após a fixação adquire uma posição estritamente vertical;
- Em todas as etapas do tratamento, é usada a modelagem 3D por computador.
Agora, consideraremos cada item com mais detalhes - tanto em termos de vantagens quanto de desvantagens identificadas pelos implantologistas que praticam esse sistema.
Tipos de implantes e características de sua instalação
A técnica de prótese dentária All-on-4 utiliza implantes de dois componentes com construção de parafuso - esses são, de fato, modelos clássicos em forma de raiz feitos de titânio puro e equipados com um revestimento TiUnite poroso especial (presente em todos os modelos de implantes desta marca). É uma camada rugosa de óxido de titânio com alto teor de fósforo, que acelera significativamente o processo de osseointegração, ou seja, fusão de ossos e implantes.

Esses implantes também são instalados da maneira tradicional (retalhos) - após a introdução da anestesia, a gengiva é cortada, esfoliada do tecido ósseo, uma cama sob o implante é formada dentro do osso (cortada com boro) e, após a colocação do implante, a gengiva é suturada.
O conceito implica o uso de apenas 4 implantes (com a abordagem clássica, eles exigem pelo menos 8 a 10 por linha). Dois estão ligados na região dos dentes anteriores, os outros dois na região lateral. E eles são fixados em um ângulo de até 45º.
Importante!
A instalação inclinada de implantes laterais possibilita sua implantação, contornando estruturas anatômicas importantes, por exemplo, nervos da mandíbula, seios da face. Além disso, é possível colocar os implantes de maneira mais uniforme ao longo da crista alveolar e distribuir de maneira ideal a carga sobre eles. A inclinação dos “parafusos” laterais também permite aumentar a área de contato entre o implante e o osso, o que cria um suporte completo para a prótese.

O pilar é fixado na parte superior do implante. Para implantes inclinados, os pilares inclinados (unidades múltiplas) também são selecionados. Por esse motivo, a posição das pontas dos implantes acima da gengiva é nivelada e a prótese é fixada estritamente diretamente, sem perturbar a oclusão e oclusão do paciente.
É realmente necessário construir ossos quando próteses usando a tecnologia All-on-4?
O conceito All-on-4 é usado para atrofia óssea leve a moderada:
- Na mandíbula superior - pelo menos 5 mm de largura e 10 mm de altura;
- Na mandíbula inferior - pelo menos 5 mm de largura e 8 mm de altura.

A posição inclinada dos implantes permite escolher um local com osso mais denso e com volume suficiente, de modo que o tratamento é bem possível com atrofia do tecido ósseo.
Uma característica importante do método protético All-on-4 é que sua implementação é justificada apenas com uma leve atrofia do maxilar, mas não com sua pronunciada reabsorção.
A opinião do dentista praticante:
“O all-on-four é sem dúvida uma das melhores tecnologias para pacientes com adentia. Mas apenas moderado e leve. O conceito sugere que o grau de fixação primária dos implantes deve ser de pelo menos 35 Newtons, o que não pode ser alcançado na presença de atrofia óssea pronunciada. Eu tive que observar repetidamente o trabalho de meus colegas quando os implantes laterais foram deslocados ligeiramente para frente ou para trás em relação ao local recomendado para ser selecionado de acordo com o protocolo (justamente por falta de espaço). Alguns anos depois, isso levou a um colapso completo de todo o sistema, uma vez que parte do osso simplesmente continuou a se atrofiar devido à falta de carga. ”
Outro ponto que preocupa o estado do tecido ósseo é o implante simultaneamente com a remoção de dentes doentes que foram preservados em sequência. Na abordagem clássica, leva um certo tempo (geralmente de 3 a 4 meses) para que o tecido ósseo se recupere, e somente então o implante pode ser realizado. Com a tecnologia de próteses dentárias All-on-4, a situação é basicamente a mesma, apenas o desenvolvedor do protocolo sugere a instalação de implantes ao lado do orifício, sem esperar pela restauração completa do tecido.
Opções protéticas
De acordo com o protocolo All-on-4 original, uma ponte de acrílico fixa é instalada imediatamente, ao mesmo tempo em que os implantes são implantados. Ele é instalado por um período de vários meses (cerca de seis meses) - ou seja, você precisa usá-lo até que os implantes estejam fundidos ao osso.

Também é possível realocar sua prótese removível, que o paciente usava anteriormente.
Importante!
O paciente precisa estar preparado para o fato de que a prótese será feita com uma base de acrílico - uma espécie de goma artificial. Seu uso é explicado pelo fato de que você precisa "encobrir" as falhas da sua própria mucosa, porque, devido à longa ausência de dentes, ela tem uma aparência muito antiestética. Realizar cirurgia plástica ao longo de toda a fila é caro e difícil em termos de reabilitação do paciente. Portanto, essa opção é proposta.
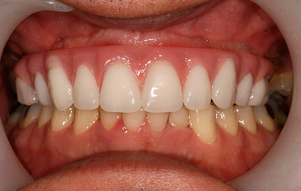
Os resultados das próteses usando a tecnologia All-on-4 parecem esteticamente agradáveis - exemplos são mostrados nas fotos a seguir.
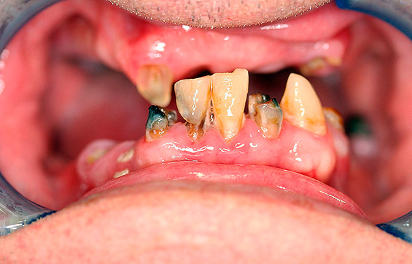
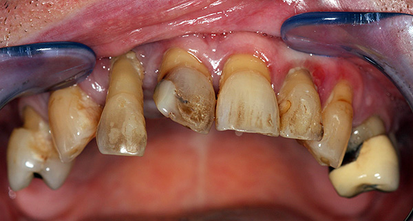
Exemplo 1, antes do tratamento:

Após o tratamento:

Exemplo 2, foto antes do tratamento:

Depois:

As próteses imediatas (isto é, imediatamente após o implante) têm vários objetivos:
- A prótese all-on-4 estabiliza os implantes. Eles são interconectados por uma viga de metal, o que garante sua fixação em uma determinada posição. Isso é possível precisamente na ausência de todos os dentes (se apenas um implante estiver carregado, ele mudará sob pressão);
- A prótese fornece uma carga no osso. O maxilar de uma pessoa deve receber pressão - isso é fisiológico, porque é devido a isso que as células são nutridas. Quando a carga de mastigação é restaurada dentro do osso, os processos naturais são ativados e a regeneração é mais rápida (ou seja, os volumes ósseos são gradualmente restaurados);
- A prótese retorna a estética do paciente e a capacidade de comer completamente.
Limitações ao primeiro mês após a implantação são um aumento gradual na carga mastigatória.
Comentários de especialistas:
“De acordo com a técnica protética All-on-4 original, a prótese é instalada no mesmo dia em que os implantes são implantados. Do ponto de vista do paciente, isso é uma ótima notícia, porque você sai do consultório com dentes novos. Mas, na prática, é melhor mover a instalação da prótese por alguns dias e instalar as coroas pelo menos um dia após a operação. Afinal, após a instalação dos implantes, suturas são aplicadas e as gengivas são feridas. "Leva algum tempo para a sua reabilitação - caso contrário, ocorre dor e também há um alto risco de inflamação das membranas mucosas".
Simulação de processo
O Nobel é conhecido por sua abordagem inovadora de tratamento. Após a consulta inicial com um médico, é realizada uma tomografia médica ou de feixe cônico. Os dados obtidos são baixados para um computador e, usando um software especial (Guia Nobel), todo o processo de tratamento é simulado em uma versão tridimensional e tridimensional.

O médico cria um modelo virtual da mandíbula, define o volume do osso, a localização de todas as estruturas anatômicas importantes. O programa ajuda a encontrar um local para a implantação do implante e, posteriormente, são desenvolvidos modelos cirúrgicos que ajudam a instalar os “parafusos” de acordo com o plano, sem nem mesmo uma fração de um milímetro de deslocamento.
O planejamento preciso do tratamento elimina erros humanos. Além disso, o próprio paciente pode avaliar o resultado final das próteses.
Quanto ao custo do tratamento ...
Mas o custo da implantação do All-on-4 é uma das suas principais desvantagens. O preço das próteses é bastante alto e chega a 400 mil rublos para a restauração de uma dentição.

Isso é explicado, primeiramente, pelo alto custo dos implantes Nobel (afinal, a empresa investe muito dinheiro em pesquisa e implementação de tecnologias exclusivas) e, em segundo lugar, pelo trabalho dos próprios médicos, que precisam passar por um treinamento caro. E, terceiro, equipamentos de alta tecnologia, que são usados no planejamento e na condução de tratamentos.
Existem desvantagens?
Se o implante all-in-four for realizado em estrita conformidade com o protocolo de tratamento original, haverá poucas desvantagens.
O primeiro é a alta probabilidade de inflamação da mucosa, uma vez que as próteses na técnica original são fixadas no mesmo dia em que os implantes são instalados. Para o paciente, por um lado, isso é uma vantagem, porque a estética é restaurada ao mesmo tempo. No entanto, na prática, gengivas lesionadas reagem com inflamação. O problema é resolvido fixando a prótese 2-3 dias após a cirurgia.

Além disso, os especialistas observam que, por violações do volume do maxilar, quatro implantes não são suficientes - o osso não recebe a carga adequada e continua a atrofia, resultando em realocação frequente da prótese e possível deslocamento dos implantes.
Outra desvantagem das próteses All-on-4 também está associada ao tecido ósseo. Para instalar implantes no tecido ósseo, uma cama é formada usando boro. Ao mesmo tempo, parte do próprio osso cortado é removida do buraco e, de fato, sob condições de atrofia, o material ósseo do próprio paciente é, em essência, "vale seu peso em ouro". Para comparação: com a tecnologia All-on-6, que será discutida mais adiante, os implantes são parafusados no osso por um método de compressão e a perda óssea não ocorre - pelo contrário, é compactada em torno da rosca do implante, o que contribui para sua melhor fixação.
As próteses All-on-4 podem ser realizadas em outros implantes?
A tecnologia de próteses "todas as quatro" tentando repetir muitas outras empresas. Mas, verdadeiramente, o Nobel tem resultados verdadeiramente clinicamente comprovados a longo prazo (e também possui uma patente para este protocolo). Portanto, se você deseja se submeter a um tratamento usando a tecnologia original, procure médicos com os certificados e as habilidades práticas apropriados nessa área.
Por outro lado, o uso de implantes de outras marcas pode reduzir significativamente o custo do tratamento - até 200 mil rublos. Mas, para dar preferência neste caso, vale a pena projetos que também se provaram no mercado (por exemplo, Osstem, BioHorizons, Ankylos, Alpha Dent).

Revisão do paciente com próteses all-on-4:
"Tenho 64 anos, usava próteses removíveis por muito tempo, mas isso me incomodou. Sou uma pessoa bastante ativa, viajo muito, adoro cozinhar. Virei-me para várias clínicas, mas o prazo de tratamento por ano (!!!) é inaceitável para mim. Eu encontrei a opção de próteses todas em quatro. Estudou com cuidado. A empresa Nobel inspira confiança. Os implantes foram instalados rapidamente, o osso foi implantado simultaneamente. Nos primeiros meses houve restrições alimentares, mas depois de meio ano substituí as próteses por dióxido e aproveito a vida. A operação foi realizada há cerca de três anos e até hoje meus dentes me encantam, não há queixas. ”
Ivan Semenovich, Moscow
Sobre as próteses All-on-6
O conceito de prótese All-on-6 foi desenvolvido por médicos que tomaram como base a prática de usar a tecnologia em quatro implantes e levaram em conta a experiência do uso implantação basal. O protocolo é realizado com seis implantes.

Ao contrário do All-on-4, as indicações para o tratamento foram ampliadas: as próteses são realizadas com atrofia moderada do tecido ósseo, bem como na presença de periodontite, doença periodontal ou osteomielite da mandíbula. Fumar também não é uma contra-indicação.
Em geral, as duas tecnologias são semelhantes - as semelhanças e diferenças dos protocolos mencionados serão apresentadas abaixo.
Para começar, descrevemos os recursos distintivos do protocolo de próteses All-on-6:
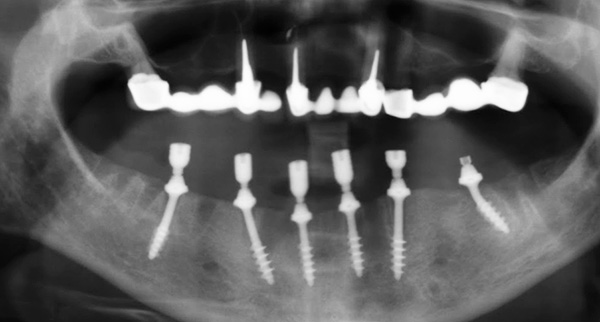
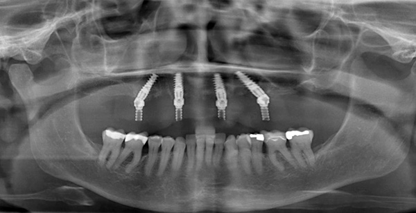
- 6 implantes dentários são utilizados para próteses da dentição completa (4 implantes são fixados em ângulo nas áreas laterais e 2 outros são fixados verticalmente na zona frontal);
- A prótese é instalada 2-3 dias após a implantação;
- O implante all-on-6 é realizado com reabsorção óssea moderada ou grave;
- Implantes - peça única com um pilar, cujo ângulo é selecionado individualmente e pode ser ajustado após a implantação dos “parafusos”;
- A instalação dos implantes é possível simultaneamente com a extração dos dentes, e os “parafusos” são instalados no mesmo orifício;
- A tecnologia protética All-on-6 é uma solução mais econômica do que a implantação clássica e All-on-4 na técnica original.
Tipos de implantes e características de sua instalação
Quando próteses usando o método All-on-6, modelos de implantes fundamentalmente diferentes são usados em comparação com a tecnologia All-on-4:
- Os implantes são de um componente, ou seja, o pilar e a parte intraóssea são um todo. Após a instalação, o pilar é inclinado para alinhar a mordida e a posição da prótese;

- Os implantes são fixados de maneira minimamente invasiva - são literalmente aparafusados no osso, enquanto a gengiva não esfolia, as suturas após a cirurgia não se sobrepõem. Isso significa que o paciente se recupera mais rapidamente;
- Os implantes são colocados em ângulo. Assim como na aplicação da tecnologia all-in-four, essa abordagem permite ignorar as seções mais atrofiadas do osso, escolhendo as seções mais fortes, e também não prejudicar os nervos e seios.
A prótese all-on-6 realmente não precisa construir ossos?
Os desenhos dos implantes utilizados são projetados para que sua fixação seja possível não apenas na seção alveolar (esponjosa) do osso da mandíbula, mas também nas seções mais profundas. Esta é a camada basal, placa cortical ou membrana do osso, bem como o osso zigomático e contrafortes da mandíbula (linhas de força).
Nota
A camada mais "macia" do osso é a central (esponjosa). 90% consiste em capilares. Na ausência de dentes, os processos metabólicos no osso param, o que significa que é a seção esponjosa que sofre principalmente, reduzindo significativamente o volume. O restante dos departamentos consiste em partições ósseas - são mais duráveis, têm menos capilares ou estão completamente ausentes, e aqui a atrofia não é tão pronunciada. É por isso que os implantes para carregamento imediato usam principalmente essas camadas.
Devido ao fato de os implantes serem fixados nas partes densas do osso, a força de sua estabilidade primária é de 80 a 100 Newtons, enquanto na implantação clássica esse indicador varia na região de 30 a 40 Newtons.

Tudo isso sugere que não há necessidade de construir osso durante a prótese com o método All-on-6 - os implantes serão fixados no volume disponível.
Quais são as semelhanças entre as duas tecnologias?
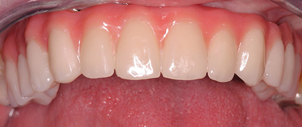
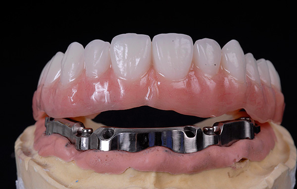
A principal semelhança dos dois métodos é a possibilidade de carregamento imediato da prótese. E os objetivos da instalação instantânea das coroas são completamente idênticos - dar uma carga ao osso, restaurar a estética e a funcionalidade da dentição e estabilizar os implantes instalados. Nos dois casos, as dentaduras são criadas com gengivas artificiais, que escondem o contorno irregular da mucosa natural.
A foto abaixo mostra um exemplo de aparência da dentadura ao usar as duas tecnologias - All-on-4 e All-on-6:



Revisão do paciente de próteses em seis implantes:
“Duvidei muito tempo ao escolher esse método. Era embaraçoso que a prótese tivesse que mudar com o tempo e que tivesse uma goma de plástico. Afinal, acontece a mesma prótese removível! Os médicos mostraram fotos, mas uma coisa é uma foto e a outra é a vida real. Eu pensei por um longo tempo, mas decidi, porque o preço é muito atraente. Como resultado, após a instalação dos implantes, quase não havia dor, apenas um leve desconforto, como após a extração do dente. As próteses foram colocadas no dia 3, não precisei me acostumar com elas por um longo tempo, pois são muito mais confortáveis que as removíveis! Enquanto uso 2,5 anos, periodicamente vou rebater próteses. Mas eles parecem bastante dignos, até agora não penso em mudar! ”
Margarita P., Moscou
Ao planejar as próteses dentárias de acordo com o método All-on-6, também é usada a simulação por computador - as tecnologias modernas possibilitam o estudo minucioso de todo o processo de tratamento, a fim de evitar imprecisões na instalação dos implantes.
Algumas palavras sobre preços
As próteses all-on-6 usam implantes de marcas como Oneway
Biomed, Osstem, Noris Medical, Bio Horizons - na linha de produtos dessas empresas, existem modelos especialmente projetados para carga imediata. Essas empresas existem há muito tempo, o que significa que existem dados confirmados na prática sobre operações bem-sucedidas com os resultados do enxerto de implante a longo prazo.
As empresas produzem produtos no segmento de preço médio, portanto, o custo do tratamento é muito acessível - de 200 a 300 mil rublos para uma prótese completa de uma dentição.
Quais são as desvantagens da tecnologia All-on-6
A tecnologia das próteses All-on-6 apareceu mais tarde que All-on-4, portanto, durante o seu desenvolvimento, foram consideradas as principais desvantagens do protocolo.

No entanto, também há desvantagens - as próteses em seis implantes pertencem ao grupo de tecnologias com carregamento imediato e um número muito limitado de implantologistas trabalha com elas em nosso país. Em primeiro lugar, você precisa se submeter a um treinamento muito caro no exterior e, em segundo lugar, precisa ser um profissional em sua área e ter conhecimento não apenas de implantologia, mas também de cirurgia maxilofacial e ortopedia.
Nota
Esse método impõe grandes exigências à habilidade do médico assistente: ele deve ser um cirurgião maxilofacial, um cirurgião ortopédico e ter experiência em trabalhar com software para modelagem 3D do processo de tratamento. Ele deve ter um conhecimento profundo da estrutura e operação do sistema da mandíbula (não apenas é necessário instalar implantes em um osso estreito e fino, também é necessário calcular corretamente a carga neles e adaptar a prótese para que dure várias décadas sem quebras e seja confortável para o paciente )
Os especialistas que trabalham com a tecnologia All-on-6 devem receber um certificado apropriado que lhes permita trabalhar sob o protocolo de carregamento imediato.
Se você comparar a tecnologia, qual método é preferível?
Para resumir, as semelhanças e diferenças entre as duas tecnologias são apresentadas em detalhes na tabela abaixo:
| Tudo em 4 | Tudo-em-6 | Implante dentário clássico | |
| Indicações | Adentia completa e perda óssea parcial | Adentia completa e perda óssea moderada | A ausência de qualquer número de dentes |
| Processos inflamatórios periodontais | Não realizado ou com restrições | Ilimitado | Não realizado ou com restrições |
| Indicações para tecido ósseo | Perda de volume suficiente ou leve | Taxa média de declínio | Uma quantidade suficiente (no caso de violações de volume, enxerto ósseo é realizado) |
| Fumar | A implantação não é realizada ou com restrições | Realizada por | Não realizado ou com restrições |
| O número de implantes necessários para restaurar a dentição | 4 pc | 6 peças | 8-14 pcs. |
| Tipo de implantes | Peça clássica de duas peças com pilares múltiplos de unidade inclinada para fixação dos parafusos da prótese | Uma parte - o implante é conectado a um pilar angular para fixação dos parafusos da prótese | Duas peças clássicas com pilares separados |
| Onde estão os implantes e como eles são instalados? | Dianteiro - verticalmente, lateralmente - em ângulo, uma camada esponjosa é ativada | Frente - verticalmente, lateralmente - em ângulo. Todas as camadas de tecido ósseo estão envolvidas, bem como contrafortes e ossos zigomáticos | Estritamente ereto, em uma camada esponjosa |
| Lesões na colocação de implantes | São feitas incisões de tecido alto, a gengiva esfolia | Baixo - os implantes são montados por punção | São feitas incisões de tecido alto, a gengiva esfolia |
| Protéticos | Imediatamente após a colocação do implante | Em 2-3 dias | Uma prótese permanente é instalada em média após seis meses e, neste momento, uma prótese removível é acoplada |
| Custo (os preços são para 1 maxilar) | De 180 mil rublos - modelos de implantes baratos; de 400 mil rublos - em implantes Nobel | De 200 mil rublos | De 500 mil rublos |
Para resumir, as próteses All-on-6 vão um passo à frente (ou melhor, duas etapas, a julgar pelo número de implantes instalados) em comparação com a tecnologia em que apenas quatro "parafusos" são usados.

No entanto, o uso de cada técnica é justificado para certas condições do osso maxilar: o All-on-6 não é necessário para usar com um volume suficiente de tecido ósseo, e o All-on-4, pelo contrário, é ineficaz com a estrutura óssea de baixa qualidade. Portanto, somente o médico assistente deve escolher o método protético de acordo com os resultados do exame clínico e por computador da cavidade oral e osso da mandíbula.
Os dentistas SMILE-ON-ONCE são membros da: Russian Dental Association, da Russian Association of Implantologists (RASTI), do International Fund for Implantation (IF) e da International Organization for Dental Implantology (ITI). Eles são fluentes nos dois métodos e estão desenvolvendo ativamente um protocolo de carga imediata na Rússia, trocando experiências com colegas russos e estrangeiros em vários simpósios e conferências.
Se você deseja obter uma resposta detalhada sobre o possível uso das tecnologias All-on-4 e All-on-6 no seu caso, às quartas e sábados há dias de consultas de apresentação, em que qualquer paciente com tomografia computadorizada de alta qualidade (de um centro de diagnóstico especializado, por exemplo , "Picasso)" pode obter uma consulta gratuita e participar do processo de opções de planejamento em 3D e comparar indicadores de desempenho.
Próteses dentárias de carga imediata com tecnologia All-on-6



Preciso remover todas as raízes dos dentes que permanecem na minha boca antes das próteses all-on-4? Ou é tudo incluído e o próprio médico removerá tudo antes da implantação?
Olá De acordo com o protocolo Nobel da tecnologia All-on-4, a extração dentária e a colocação do implante são realizadas em um procedimento cirúrgico. Ou seja, você não precisa remover os dentes com antecedência.