
Embora, na sua forma atual, a prótese de fecho tenha sido fabricada pela primeira vez na Alemanha no início do século XX, no entanto, esse tipo de prótese, de fato, era conhecido mesmo desde a época dos faraós egípcios, em cujos túmulos foram encontradas na boca da múmia dentaduras primitivas com dentes artificiais (elas estavam presas com arame ) Atualmente, a idéia simples subjacente à prótese de fecho foi desenvolvida, o que permite criar próteses de alta tecnologia que são funcional e externamente praticamente indistinguíveis dos dentes humanos naturais.
Simplificando, a prótese de fecho é um tipo de prótese removível que transfere a carga para os dentes restantes e para os tecidos mucosos (na gengiva e no caso de uma prótese para a mandíbula superior - para o céu). A base de qualquer tipo de prótese de arco é a estrutura de potência na forma de um arco - na verdade, o arco ("bugel" do alemão se traduz em "arco"). Por esse motivo, a prótese em si costuma ser chamada de arco.
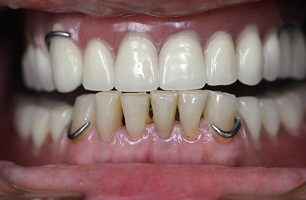
A foto abaixo mostra exemplos de próteses em arco:


Nota
As próteses de fecho permitem eliminar defeitos parciais da dentição, mantendo um alto nível de estética e, ao mesmo tempo, não atingindo seu bolso - o custo de uma prótese é geralmente muito menor do que custaria uma prótese de implante.
Ao mesmo tempo, as próteses do arco não devem ser confundidas com as próteses da própria “avó” (“mandíbulas falsas”), que são colocadas em copos todas as noites e às quais muitos pacientes são categoricamente opostos. O fecho não possui uma base plástica maciça - a base que cobre o céu, e sua ausência oferece muitas vantagens sobre as chamadas "próteses de ventosas". Além disso, a prótese de fecho pode ser usada o tempo todo, removendo apenas uma vez a cada poucos meses para uma higiene adicional.
As vantagens das próteses de fecho possibilitam hoje o uso dessa tecnologia, inclusive como substituto de próteses fixas, principalmente quando os dentes da boca podem não suportar a carga de mastigação da "ponte". E, apesar de várias deficiências (falaremos sobre elas um pouco mais tarde), as realidades atuais são tais que, na Rússia, as próteses em arco são utilizadas não apenas pelos idosos, mas também pelos jovens.
Características das próteses de fecho e suas variedades
A característica mais importante de uma prótese é a confiabilidade de sua fixação na cavidade oral. Você deve admitir que poucos teriam gostado da ideia de que a prótese um dia pudesse sair da boca durante uma conversa ou durante uma refeição. Enquanto isso, com próteses laminares removíveis, isso também é possível.
Ao contrário das próteses de fecho, as lamelares são fixadas na cavidade oral em grande parte devido à sucção da mucosa. Na verdade, é por isso que essas próteses removíveis são popularmente chamadas de "ventosas".

Com as próteses de fecho, é realizada uma fixação muito mais confiável e durável. - por exemplo, em ganchos ou fechaduras especiais. Tudo isso garante a imobilidade da prótese durante a mastigação de alimentos e, principalmente, conversas.

Nota
Muitos, provavelmente, ouviram dizer que próteses removíveis durante o espirro podem até voar em direção ao interlocutor. Nesse caso, estamos falando de próteses de placa acrílica. E isso certamente não se aplica às próteses de fecho ajustadas para que possam ser removidas da cavidade oral apenas por um determinado caminho, excluindo a opção de uma prótese inesperada cair.
Como são presas as presilhas na boca sem uma base plástica?
As próteses de fecho são fixadas com os dentes do paciente.Os seguintes tipos de próteses de arco são distinguidos:
- Nos grampos (a prótese cobre os dentes de suporte com ganchos especiais - grampos);

- Nos acessórios (elementos de pequenos bloqueios são instalados nos dentes do pilar e na prótese, que são encaixados no lugar);

- Nas coroas telescópicas (as coroas são instaladas nos dentes de suporte e na prótese - a prótese é simplesmente colocada nas coroas de suporte).

Falaremos sobre as vantagens e desvantagens dos diferentes tipos de fixação das próteses em arco abaixo.
Nota
Enquanto isso, deve-se entender que, se praticamente não houver dentes na boca, é improvável que as próteses de fecho corrijam a situação - a prótese simplesmente não será fixada em nada. Nesse caso, uma alternativa pode ser, por exemplo, o uso de uma prótese de placa de acrílico ou nylon (opção econômica) ou próteses de implantes usando a tecnologia All-on-4 ou All-on-6 (mais cara, mas também uma opção muito mais conveniente) .
A principal indicação para a instalação de uma prótese em arco é a ausência de vários dentes seguidos (geralmente 2-3) em um lado da mandíbula. No entanto, aqui tudo é individual: em vários casos clínicos, essa prótese também pode ser instalada com segurança, com uma "reserva" mínima de dentes de apoio em cada mandíbula.
Ou seja, a possibilidade de usar o sistema protético de fecho é amplamente determinada pelo estado atual da cavidade oral do paciente. Em particular:
- A posição dos dentes, seu número e condição;
- A presença ou ausência de doença gengival (periodontite, doença periodontal);
- A natureza da mordida;
- Anormalidades maxilofaciais.

É interessante
Em geral, ao planejar próteses, é importante levar em consideração muitas nuances, e o dentista deve examinar cuidadosamente o paciente antes de prometer algo ou, principalmente, começar a fazer algo. Caso contrário, é possível não apenas fazer uma prótese de fecho inconveniente e inútil, mas desativar até bons pilares nos próximos meses, formar uma mordida patológica e abrasão dentária e, em casos graves, provocar graves deformidades da ATM e criar problemas de dicção.
Ao escolher uma ou outra variante de prótese de arco, não se deve esquecer que o uso de uma prótese dentária visa não apenas recuperar a função de mastigação perdida, mas também, muito importante, restaurar a beleza natural de um sorriso. E as próteses de fecho realmente permitem que você faça isso.

No entanto, do ponto de vista estético, existem nuances que são amplamente determinadas pelo método de fixação da prótese na cavidade oral - em ganchos, acessórios ou coroas telescópicas.
Em que casos preferir próteses de fecho com fixação de fecho
É possível falar de perfeição estética quando se trata de fechar dentaduras com fixação de fecho?
Afinal, um fecho é um gancho de metal fundido que se agarra ao colo do pilar imediatamente próximo à margem gengival. Simplificando, este gancho é claramente visível na cavidade oral.
A fotografia abaixo mostra uma prótese de fecho com fixação por clamming - um fecho de metal pode ser visto mesmo a olho nu:

Apesar das possibilidades do técnico em odontologia de mascarar parcialmente esses ganchos, mesmo assim, os dados do fecho não podem argumentar na estética com próteses de fecho com outros tipos de fixações.
A fixação do fecho com próteses em arco pode ser preferida se:
- Existem severas restrições financeiras (outras opções são mais caras);
- Também é necessário obter um efeito de tala devido ao fato de que os grampos são capazes de distribuir a carga ao mastigar de uma maneira especial - isso permite salvar dentes dobrados com doenças periodontais (ao usar uma prótese do arco de tala).
Para melhorar a estética dos grampos “gancho”, bem como para criar o máximo conforto durante a operação, foram inventadas as próteses Quadrotti e Acre-Fri.
As próteses Quadrotti (Quattro Ti) são feitas de plástico, cujas propriedades são quase idênticas ao nylon - elástico e, no entanto, muito duráveis. Os ganchos dessa prótese não chamam a atenção, no entanto, após um exame cuidadoso, você ainda pode vê-los.

As próteses Acry-Free são feitas de resinas acrílicas - a base é menos elástica que a Quadrotti, mas também bastante durável. A prótese também se mantém na cavidade oral devido à fixação por clamming, e os ganchos são menos visíveis que os metálicos.

As próteses Quadrotti e Acre-Free são muito caras - em média, mais caras do que com uma base de metal à base de uma liga de titânio.
Propriedades de imobilização dos grampos (sobre o efeito terapêutico das próteses)
Antes de prosseguir com o exame de próteses de fecho em anexos, é útil dizer algumas palavras sobre as propriedades da tala dos grampos.
A fixação das presilhas, apesar de algumas imperfeições estéticas, permanece popular, inclusive devido ao fato de permitir que você salve os dentes dobrados. Assim, a prótese possibilita não apenas restaurar os dentes perdidos, mas também fortalecer os existentes.

A prótese de fecho da tala consiste em um arco de metal adjacente ao lado interno dos dentes, e os grampos têm muitos elos, processos em forma de garra ou anéis que fixam cada dente móvel. Esta prótese permite distribuir uniformemente a carga mastigatória dos dentes em movimento para os processos saudáveis e alveolares (enquanto estiver apoiando os dentes, é recomendável fechar as coroas).
A foto abaixo mostra o sistema de fecho da prótese do arco da tala:

A prótese de tala é indicada para:
- Raízes nuas;
- Doença periodontal (com sangramento, bolsas gengivais patológicas e mobilidade dentária);
- Posição incorreta dos dentes;
- Quando os dentes são removidos (após a extração do dente por um certo tempo, os dentes adjacentes começam gradualmente a se inclinar em direção ao defeito, e os dentes antagônicos na mandíbula oposta se estendem do orifício, o que pode levar à sua mobilidade).
Como outras variedades de próteses de fecho, as construções de talas têm suas contra-indicações para a instalação:
- O período de gravidez;
- Após terapia de radiação;
- Oncologia;
- Processos inflamatórios agudos na cavidade oral;
- Transtornos mentais;
- Doenças graves do coração (vasos sanguíneos) e sistema respiratório durante o período de exacerbação;
- Alergia a material protético;
- Doença óssea;
- Alcoolismo (dependência de drogas);
- Falta de um nível normal de higiene bucal;
- Atrofia grave dos processos alveolares;
- Falta de dentes de suporte necessários ou altura insuficiente;
- Patologia de oclusão grave.
Essas contra-indicações são relevantes para todos os tipos de próteses em arco.
Fechar dentaduras em fechaduras (acessórios)
"Anexo" na tradução do inglês significa "conexão". Os anexos (anexos) são um sistema de travas que permitem que você prenda com segurança a prótese de fecho na cavidade oral, com danos mínimos em termos estéticos.
Coroas especiais, nas quais há uma trava (fixação), geralmente são colocadas nos dentes de suporte, e a outra fixação fica oculta dentro da própria prótese. Com este tipo de fixação, parte da carga durante a mastigação de alimentos é transmitida através da trava aos dentes do pilar.


Diferentemente da fixação do grampo, as dentaduras de castelo têm várias vantagens significativas:
- Estética superior devido a micro-bloqueios ocultos nos dentes e fecho. Pelo lado, será quase impossível entender que uma pessoa tem uma prótese instalada;
- Ajuste de precisão máxima;
- Maior vida útil (7 a 10 anos);
- Facilidade de operação;
- A maior rigidez da fixação;
- Período viciante mais curto.
Contras de próteses de fecho em acessórios:
- Custo mais alto comparado aos grampos clássicos com trava de fecho;
- A necessidade de quase sempre despolar (remover o "nervo") nos dentes do pilar em conexão com a preparação para os bloqueios.
A falta geral de próteses de fecho é preservada - atrofia gradual do tecido ósseo sob a prótese, em conexão com a qual às vezes é necessário interromper os vazios aplicando uma camada de plástico ao fecho.
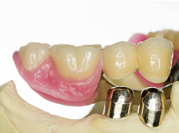
Fixação da prótese de fecho em coroas telescópicas
Um dos mais difíceis de fabricar é o chamado fecho telescópico (sua fixação se deve a coroas telescópicas). Ele também é o mais estético de sua classe.

Antes de instalar a prótese, o ortopedista tritura (prepara) os dentes de suporte sob a coroa, cobre-os com uma coroa de metal e só então - coloca um fecho no qual as coroas também são fixadas. Simplificando, a prótese consiste em duas partes - removíveis e não removíveis e, ao instalar a prótese, as coroas nos dentes de apoio entram nas coroas da parte removível.
A essência da fixação é mostrada na foto abaixo:

As coroas dos dentes de suporte são cimentadas com firmeza, não podem ser removidas com tanta facilidade, mas a prótese pode ser removida. Para uma fixação confiável, é ideal usar pelo menos 6 coroas telescópicas.
Apesar da simplicidade da ideia, esse tipo de prótese de fecho é notável por sua alta complexidade de fabricação (e, como resultado, alto preço). Na Rússia, essa opção para próteses não é tão popular hoje em dia como em alguns países da Europa Ocidental e dos EUA.
Vantagens e desvantagens das próteses de arco em implantes
Todas as opções acima para próteses de arco têm duas desvantagens principais:
- Todos eles sugerem a presença de uma estrutura removível na cavidade oral. Em outras palavras, a prótese deverá ser removida regularmente da boca - pelo menos para realizar sua higiene (escova com pasta de dente). Em muitos pacientes, isso está de alguma forma associado à “mandíbula falsa”, mesmo que a prótese substitua apenas alguns dentes perdidos e você precise removê-la apenas uma vez a cada 2-3 meses;
- Alguns pacientes nem conhecem a segunda desvantagem das próteses de fecho, e é claro que isso é improvável que seja mencionado nos materiais publicitários das clínicas. Mas o fato é que mesmo a prótese de fecho mais bonita e bem ajustada não impede a atrofia gradual do tecido ósseo dos processos alveolares. Como resultado, com o tempo, o osso da mandíbula atrofia, pois não recebe uma carga mastigatória completa previamente transmitida pela raiz do dente. Uma diminuição óssea leva a uma mudança nas características faciais características dos idosos.
Na verdade, a fixação da prótese de fecho nos implantes permite que você se livre dessas desvantagens em certa medida.

Em geral, existem algumas vantagens:
- O fecho dos implantes é uma prótese condicionalmente removível (ou seja, não precisará ser removida regularmente por si só)e apenas um médico pode removê-lo usando ferramentas especiais);
- A atrofia do maxilar é impedida diretamente na área dos implantes instalados, uma vez que o implante serve como uma raiz artificial do dente. No entanto, é claro que, se apenas 1-2 implantes foram instalados durante as próteses, o efeito como um todo será pequeno;
- No caso de uma prótese na mandíbula superior, não é necessário confiar no palato - isso facilita muito o acostamento à prótese (não há desconforto e reflexo de vômito, a dicção não é perturbada);
- Ao anexar a prótese aos implantes, não é importante ter vários dentes fortes no paciente (esses dentes em outras próteses do arco se tornariam um suporte).
As próteses de fecho nos implantes podem economizar significativamente em comparação com vários implantes, quando um implante e uma coroa precisariam ser substituídos por cada dente perdido. Freqüentemente, para fixar a prótese de fecho, faltam apenas os dentes finais (mastigação extrema) - nesse caso, a instalação de um implante será quase a única maneira de resolver o problema.
Atualmente, a opção mais popular para próteses dentárias com sua completa ausência são as tecnologias All-on-4 e All-on-6, que envolvem o uso de próteses de fecho de uma construção de viga com instalação em 4 ou 6 implantes, respectivamente.




Para ser honesto, deve-se dizer que esse tipo de prótese refere-se apenas a próteses em arco formalmente - geralmente, as próteses em arco significam estruturas que são fixadas à cavidade oral usando os grampos, acessórios ou coroas telescópicas mencionados anteriormente.
Comentários:
“Sou um aposentado militar solitário, tenho 70 anos. Cerca de 8 anos atrás, todos os dentes voaram. Três vezes eu inseri ventosas na clínica militar departamental para uma conversa especial, mas elas continuaram durante a conversa e os demônios caíram durante a refeição, e nada pôde ser feito. O dentista me explicou que eles dizem que você tem bochechas carnudas por lá, as faixas estão erradas, sua boca está torta e tudo mais. Pela terceira vez depois de um armênio, fugi com a última prótese protética e vim para meu filho em São Petersburgo. Ele me aconselhou sobre uma prótese de fecho sobre implantes. Eu peguei 4 desses parafusos na clínica e eles tinham uma prótese. Acabou um pouco caro, embora por ações, graças ao filho jogou algum dinheiro. Mas definitivamente vale a pena; mastigar tornou-se normal. Agora eu tenho que me casar de novo ... ".
Sergey, Moscou
Princípios gerais para a fabricação de próteses de fecho
A prótese de fecho, em comparação com uma prótese laminar completa e parcial, é muito mais complicada na sua fabricação. Nesse caso, é possível distinguir os seguintes estágios de fabricação da estrutura:
- Clínico (na cadeira de um cirurgião ortopédico);
- Laboratório (no laboratório dental).

Antes de iniciar o tratamento, o ponto mais importante é coletar uma anamnese (pesquisa) e um exame abrangente do paciente com um plano para o próximo tratamento. Aqui, detalhes importantes são esclarecidos, a partir do status alérgico e das mordidas do paciente e terminando com a definição de táticas protéticas e a escolha da prótese em si.
Se a escolha, por razões objetivas, tender a fechar as próteses, o cirurgião ortopédico escolhe os dentes do pilar. Se eles necessitam de tratamento (preenchimento ou despolpamento), o dentista está envolvido na preparação dos dentes para as próteses. Além disso, o dentista ortopédico realiza a preparação dos pilares preparados para as coroas (isso é especialmente verdadeiro para os tipos de acessórios para castelo e telescópicos).
Nota
A escolha dos dentes do pilar é um momento muito crucial, pois seu destino futuro pode depender disso. Se os dentes do pilar forem selecionados incorretamente, eles podem se soltar devido ao estresse.
Depois de tirar impressões de cada mandíbula (duas impressões), elas são enviadas aos técnicos de prótese dentária, e a etapa do laboratório começa: a produção do modelo de prótese a partir do molde.

Depois disso, a prótese é experimentada na cavidade oral do paciente e corrigida. Em seguida, o design é novamente enviado ao laboratório, onde ocorrem as etapas finais da conclusão, após as quais o cirurgião ortopédico o fixa na cavidade oral e explica ao paciente as características da introdução e remoção da prótese de fecho, bem como as regras para cuidar dela.
Os prazos para o preenchimento das próteses são individuais e são amplamente determinados pelo tipo de prótese escolhida. Dentaduras em ganchos geralmente podem ser instaladas dentro de 2 semanas e dentaduras em fechaduras ou coroas telescópicas em 3 a 4 semanas.
Quanto custa hoje uma prótese de fecho?
O custo das próteses de fecho depende de muitos fatores, mas os principais são dois: a complexidade da fabricação da prótese e o preço dos materiais utilizados. Por exemplo, próteses de fecho em coroas telescópicas, que são de alta precisão, serão relativamente caras. As próteses de fecho nos implantes ficarão ainda mais caras quando, além de fazer a prótese, a fase cirúrgica também estiver planejada.
Freqüentemente, nas próteses de fecho, metais preciosos (ouro, platina) são usados, portanto esses produtos custam mais do que as próteses de ligas "clássicas" à base de titânio.

Grampos com grampos, que podem ser comprados a um preço de cerca de 30 a 40 mil rublos para uma prótese, são considerados os mais "econômicos". Os sistemas de fecho em acessórios (com fixação em dois micro-bloqueios do sistema Bredent, Alemanha) custam entre 80 e 100 mil ou mais para o produto acabado. O custo pode variar, dependendo da região, e em Moscou os preços geralmente são muito mais altos.
Quanto ao custo das próteses de fecho nos implantes, deve-se ter em mente que a instalação de um implante custará em média de 50 a 80 mil rublos. Pode ser necessária a instalação de vários implantes, além do custo da prótese.
Nota
De um modo geral, o preço baixo de algumas próteses em comparação com outras é muito arbitrário. Obviamente, as próteses removíveis de placa acrílica são quase sempre muito mais baratas do que qualquer comparar o custo das próteses de fecho, baseando-se apenas no tipo de fixação - a abordagem não está totalmente correta. Tomemos, por exemplo, pelo menos as próteses de fecho em ganchos: elas podem ser mais caras que em acessórios, devido ao uso de ligas preciosas.
Novamente, as próteses de fecho de implantes podem se tornar mais pesadas ao escolher implantes premium (Straumann, Nobel), enquanto no caso de usar implantes de orçamento (Alpha BIO, MIS), o custo turnkey pode se aproximar o custo da instalação da prótese em coroas telescópicas usando ligas preciosas.
Como cuidar da sua prótese para usá-la o maior tempo possível
Ao contrário das mesmas próteses de placa, o fecho não precisa ser removido à noite e armazenado em um "copo". É usado o tempo todo, mas a princípio é removido 2-3 vezes ao dia para medidas higiênicas usando creme dental e escova. Não tome creme dental com um efeito clareador (altamente abrasivo) devido a possíveis danos à superfície da prótese por partículas abrasivas.

3-4 meses após a instalação, o fecho na cavidade oral se adapta para que sua borda plástica seja imersa na gengiva e os alimentos não caiam sob ela. Isso permite que você remova a prótese para higiene com muito menos frequência, conduzindo-a com o mesmo princípio dos dentes nativos. No entanto, uma vez a cada 3 meses, é recomendável remover a estrutura e colocá-la em uma solução bactericida especial para o processamento de próteses (por 2-3 horas - para desinfecção da microflora patogênica).
É necessária uma higiene abrangente não apenas do suporte, mas também de todos os dentes presentes na cavidade oral, com e sem coroas. É recomendável que você use um irrigador dental.
A cada seis meses a um ano (dependendo da política da clínica), o paciente deve procurar o médico assistente para:
- Verifique a dentição quanto a super-contatos, ou seja, pontos em que a mordida nos dentes artificiais da prótese (e própria) está claramente superestimada, o que significa que haverá uma sobrecarga do dente (dentes) e destruição gradual;
- Diagnosticar a conformidade da base do fecho e da gengiva sobre a qual repousa;
- Para higiene dental profissional.
Se a prótese de fecho por várias razões objetivas precisar ser removida por um longo período de tempo, as condições de armazenamento deverão ser as seguintes: em uma forma seca e limpa em uma caixa de plástico à temperatura ambiente. Mantenha o fecho na geladeira, ou ao lado do aquecedor é proibido devido a uma possível deformação da estrutura.
Se você tem experiência pessoal em próteses de arco, certifique-se de compartilhar as informações deixando sua opinião na parte inferior desta página (na caixa de comentários).
Informações visuais sobre diferentes tipos de próteses em arco
Vídeo útil: próteses em arco como alternativa aos implantes




Em 2001, obtive próteses de fecho em ganchos. Servido até o final de 2018. Eu me acostumei com eles rapidamente, graças ao médico. Por esse dinheiro, as próteses me custaram 35 mil rublos (com meu salário, 6000 rublos por mês).