
Quando, por um motivo ou outro, há uma perda de um ou vários dentes, surge uma questão lógica - como, de fato, eles poderiam ser restaurados? E para que não fosse muito caro (a implantação não é acessível a todos) e que a prótese estivesse bonita e não causasse desconforto ao conversar e mastigar alimentos.
Além disso, como mostra a prática, muitas pessoas temem que uma prótese removível simplesmente caia da sua boca no momento mais inoportuno (por exemplo, durante uma conversa), ou será muito perceptível para os outros, sendo associada a uma "mandíbula falsa".
Todos esses medos não são, em parte, verdadeiros - há muitas críticas negativas sobre dentaduras quando a paciente nunca foi capaz de se acostumar com a estrutura removível e ela foi "para o canto mais distante da mesa". No entanto, felizmente, também existem próteses removíveis parciais que são confortáveis de usar e têm um alto nível de estética.

Nota
Parcial é uma prótese que substitui um ou mais dentes perdidos. Também existem próteses totais usadas na ausência completa de dentes em uma ou duas mandíbulas ao mesmo tempo.
Em geral, a situação em que há pelo menos alguns dentes preservados na boca é muito melhor do ponto de vista das próximas próteses do que se não houvesse dentes - afinal, existem suportes aos quais uma ou outra estrutura pode ser conectada. Portanto, é importante não se apressar na remoção dos dentes doentes, se houver a menor chance de curá-los e preservá-los para o futuro.
A seguir, veremos que tipos de próteses parciais removíveis existem hoje, quais são os prós e os contras de cada opção e qual pode ser a melhor escolha em uma situação clínica específica ...
Tipos de próteses parciais removíveis
Entre as próteses removíveis usadas na ausência parcial de dentes na cavidade oral, os seguintes tipos ocupam um nicho significativo em ortopedia:
- Acrílico (chapa). A prótese de placa de acrílico recebeu esse nome devido ao fato de que a base desse projeto é uma placa que transfere a carga de mastigação para o palato e as gengivas. Tais próteses são feitas de plástico acrílico rígido. Existem próteses totais em acrílico e parciais. A prótese parcial de acrílico possui ganchos especiais de metal (grampos) para fixação dos dentes de suporte. Uma prótese acrílica removível pode ser usada com quase qualquer grau de perda dentária (especialmente com significativa, e não importa em qual seção - extremidade, lado ou frente);

- Nylon - diferem do acrílico principalmente em sua elasticidade - são macios. Essa propriedade implica suas vantagens e desvantagens - elas são mais confortáveis de usar, mas agarram-se mais à boca e distribuem a carga mastigatória, como resultado da atrofia da gengiva sob a prótese em ritmo acelerado;

- Fecho (do alemão "bugel" - arco) - possui um quadro de potência na forma de um arco de metal ou plástico, no qual uma base com dentes artificiais é soldada. Na grande maioria dos casos, uma prótese de fecho em termos de características funcionais será muito melhor do que uma prótese de placa ou nylon;

- Próteses imediatas (as chamadas próteses de borboleta). Comumente usado para substituir 1-2 dentes. A base da prótese borboleta pode ser feita de plástico acrílico ou nylon e possui ganchos para fixação aos dentes do pilar;

- As chamadas próteses removíveis da nova geração sem o céu (outro nome é Sandwich).Eles são uma combinação de uma base dura feita de plástico acrílico e coroas de poliuretano elástico que são puxadas sobre os dentes do pilar. Dentes artificiais são instalados na base plástica. Essa não é a melhor opção para as próteses, pois é inferior não apenas ao fechamento das próteses, mas também ao acrílico padrão em várias características.

Vamos dar uma olhada nos prós e contras de cada uma dessas opções.
Características de próteses com próteses acrílicas
As próteses acrílicas são utilizadas em odontologia há mais de 50 anos e, durante esse período, foi adquirida uma tremenda experiência em seu uso tanto em próteses totais removíveis (quando não há um único dente na cavidade bucal) quanto em parcial. Agora eles continuam sendo instalados em grande número, especialmente na Rússia - devido ao fato de serem baratos, acessíveis, terem uma vida útil bastante longa e serem relativamente simples de fabricar.
A acessibilidade e o baixo custo muitas vezes se tornam um fator decisivo de escolha não apenas para o próprio paciente, mas também para um cirurgião ortopédico com uma pequena base de produção (por exemplo, em aldeias) ou experiência insuficiente com outras opções protéticas mais complexas e caras.
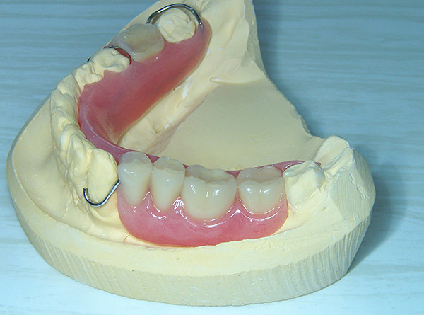
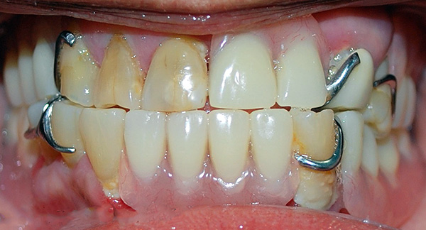
A fotografia abaixo mostra uma prótese acrílica parcial:

Os grampos da prótese (ganchos) não são apenas metálicos, mas também plásticos e combinados. Os materiais utilizados afetam bastante o custo do produto - por exemplo, em vez de aço inoxidável, uma liga de ouro ou ouro-platina pode ser usada como metal para grampos (para alergias ao aço inoxidável).
Nota
A prótese acrílica é retida não apenas devido à fixação clamming, mas também devido ao ajuste ao alívio da membrana mucosa - parece estar presa ao palato e gengivas. Portanto, a confiabilidade de sua fixação na cavidade oral dependerá substancialmente da precisão da fabricação da prótese.
Aqui estão algumas indicações para o uso de próteses parciais de acrílico:
- Defeitos finais unilaterais e bilaterais na mandíbula superior ou inferior (em outras palavras, quando dentes de mastigação distantes estão ausentes em qualquer mandíbula à direita ou esquerda). Em tal situação, não é possível colocar uma ponte, pois não há um dos suportes para a "ponte";
- Quando a condição dos dentes restantes não permite usá-los como suporte embaixo da ponte (por exemplo, no contexto da periodontite, os dentes de apoio podem simplesmente se soltar);
- Defeitos incluídos na dentição (isto é, limitados em ambos os lados pelos dentes na boca), inclusive na ausência de apenas um dente;
- A presença na cavidade oral de apenas um dente na mandíbula superior e inferior;
- A presença de contra-indicações para próteses em implantes.
Em outras palavras, o escopo das próteses parciais de acrílico é muito amplo - elas podem ser usadas na grande maioria dos casos clínicos.
A foto abaixo mostra uma prótese parcial de acrílico na mandíbula inferior:

As desvantagens significativas das próteses parciais de acrílico são:
- Sobreposição de uma grande área de palato duro. Devido a isso, a percepção do paladar é parcialmente reduzida (já que as papilas gustativas localizadas no palato estão fechadas) e a dicção também pode se deteriorar. E apenas há uma sensação desagradável de um objeto estranho maciço na boca;
- Não é a estética mais alta, especialmente se os ganchos de retenção caírem na zona do sorriso;

- Devido à sua rigidez, a estrutura pode esfregar a mucosa, causando dor ao mastigar;
- A confiabilidade da fixação de uma prótese parcial de acrílico dificilmente pode ser considerada boa, especialmente para a mandíbula inferior (na mandíbula superior, ainda pode grudar de maneira mais ou menos confiável ao palato). No final, você pode precisar usar um creme especial para melhorar a fixação;
- Fragilidade (quando derrubada, a prótese pode rachar facilmente);
- Microporosidade (com cuidado insuficiente, isso leva ao aparecimento de placa bacteriana e descoloração do plástico);
- E também a intolerância individual é frequentemente observada devido a uma alergia ao monômero plástico, que é liberado ativamente na cavidade oral a partir de uma base acrílica.

Seja como for, com uma ausência parcial de dentes, o uso de uma prótese acrílica é hoje a opção de orçamento mais popular para próteses.
Vantagens e desvantagens das próteses removíveis de nylon
As próteses macias de nylon são utilizadas na ausência total e parcial de dentes na cavidade oral. Além disso, eles estão posicionados na publicidade de clínicas odontológicas como uma alternativa moderna e mais conveniente para as próteses acrílicas duras. No entanto, as deficiências de tais produtos na publicidade são silenciosas, mas, enquanto isso, é útil conhecer antecipadamente algumas das nuances.

Mas primeiro, observamos as vantagens mais significativas das próteses parciais de nylon:
- Devido à sua suavidade e flexibilidade, eles são mais confortáveis de usar, a adaptação (se acostumando a eles) é mais rápida;
- Tais próteses, em regra, têm tamanhos e peso menores que as acrílicas, portanto, menos perturbam a articulação;
- Do ponto de vista estético, as próteses de nylon têm uma aparência muito melhor do que as dentaduras acrílicas e de fecho convencionais, pois praticamente não são visíveis do lado de fora. Os ganchos das próteses de nylon têm uma cor próxima à das gengivas (diferentemente dos ganchos metálicos das próteses parciais de acrílico e de fecho);
- As reações alérgicas não ocorrem no nylon - é um material biocompatível.
Ao mesmo tempo, as próteses de nylon apresentam sérias deficiências que limitam significativamente seu amplo uso na prática ortopédica:
- A principal desvantagem é causada pela mesma flexibilidade do nylon, sua maciez - o design macio distribui de maneira desigual a carga mastigatória, como resultado do qual o osso sob a prótese atrofia rapidamente (e, ao mesmo tempo, a gengiva se afunda, o alívio do leito da prótese muda e o design deixa de se ajustar à mucosa);
- Além disso, os ganchos de nylon macio, diferentemente dos ganchos de metal, não são capazes de fixar a prótese com segurança nos dentes restantes;

- Devido à suavidade da prótese, a estabilidade de sua sucção às mucosas é baixa - com uma leve carga (durante a mastigação), o ar penetra facilmente sob a base de nylon;
- Ao mesmo tempo, o custo das dentaduras de nylon é muito maior do que o dos acrílicos (em média, o preço é de 30.000 a 50.000 rublos).
Se você ler as opiniões dos pacientes sobre as próteses de nylon, fica claro que a escolha dessa opção dificilmente pode ser justificada, principalmente na ausência de um número significativo de dentes na cavidade oral (neste caso, todas as desvantagens parecerão ainda mais fortes).

Nota
Também existem próteses de polipropileno muito semelhantes ao nylon. No entanto, diferentemente do nylon, o polipropileno tem mais rigidez, portanto os produtos baseados nele distribuem melhor a carga de mastigação e precisam ser ajustados com menos frequência.
Fecho de próteses com perda parcial de dentes
As próteses de fecho, na maioria dos casos, serão a melhor opção para próteses removíveis com perda parcial de dentes.

Aqui estão alguns dos principais benefícios das próteses em arco:
- Devido à rigidez da estrutura, é alcançada uma distribuição uniforme da carga mastigatória entre os dentes do pilar e os tecidos moles do leito protético (o osso não se atrofia tão rapidamente quanto em seções separadas das próteses de nylon);
- Com um sistema de travamento de fixação (acessórios), é obtida uma alta estética - nenhum gancho ou outro elemento estranho será visível. O mesmo pode ser alcançado com a fixação nas chamadas coroas telescópicas (falaremos sobre maneiras de consertar as próteses em arco um pouco mais tarde);
- É muito mais fácil se acostumar com uma prótese removível do fecho do que com uma prótese de placa, pois ocupa menos espaço na boca e não cobre todo o palato (o que significa que o reflexo da mordaça, a estomatite protética e a dicção prejudicada são praticamente excluídos);
- A confiabilidade da fixação da prótese na boca é muito alta. Além disso, é possível fixar a estrutura de maneira confiável, mesmo em casos difíceis - quando há defeitos finais da dentição (neste caso, é usada a fixação em micro-bloqueios);
- O design do fecho permite não apenas retornar a função perdida (mastigação normal) e estética após a extração do dente, mas também pode ter um efeito terapêutico quando são utilizadas próteses especiais de fecho de tala que eliminam a mobilidade de grupos de dentes;
- Uma prótese de fecho durável, ao contrário do acrílico, não é tão fácil de quebrar.
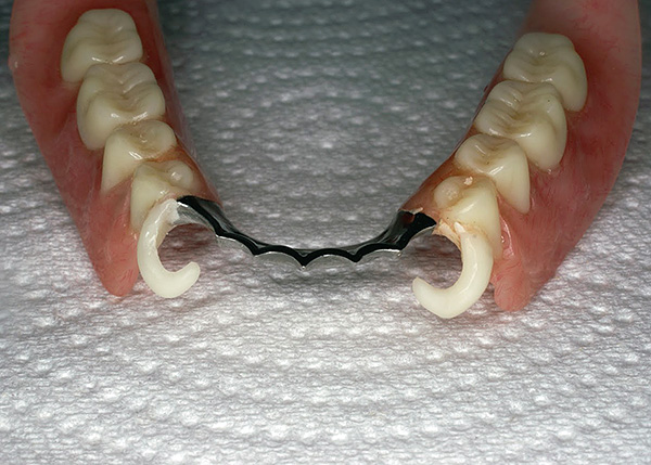
Existem várias maneiras de anexar próteses de fecho a pilares:
- Usando um sistema de fecho (ganchos). Geralmente eles são feitos de metal, mas também existem grampos de plástico. Tais ganchos prendem com segurança os dentes de suporte, transferindo parte da carga de mastigação para eles;

- Usando anexos (montagens com micro-trava). Parte da trava está na prótese e a outra parte na coroa de metal-cerâmica, previamente fixada ao pilar. Ao colocar a prótese, as travas micro-trava, garantindo a retenção confiável da estrutura removível;

- Usando coroas telescópicas. Nos dentes de suporte, coroas metálicas (fixas) são pré-fixadas. A prótese de fecho também contém coroas que são simplesmente usadas nas coroas dos dentes de suporte. Este tipo de montagem é caracterizado por alta estética e confiabilidade.

Cada um desses métodos de fixação de próteses de fecho tem suas vantagens e desvantagens. Portanto, os grampos de fecho são os mais fáceis de fabricar e acessíveis, mas com um sorriso, podem ser visíveis ganchos de metal localizados na parte externa dos dentes, o que afeta a estética.
Quanto aos suportes de fixação (acessórios) e suportes nas coroas telescópicas - eles são quase invisíveis pelo lado, o que proporciona excelente estética e conforto ao uso. No entanto, essas próteses são difíceis de fabricar e, além disso, é necessário o giro de uma quantidade razoável de dentes de suporte sob as coroas.
Apesar de várias desvantagens, as próteses de fecho ainda podem ser consideradas a melhor opção para próteses com ausência parcial de dentes - tanto em termos de conforto, funcionalidade e estética quanto em termos de preço. Sim, a prótese de fecho custará mais do que acrílico, mas muito mais barato que a prótese em implantes custaria.

Nota
Em média, as próteses de fecho com fixação nos ganchos custam entre 25 e 40 mil rublos. Mas os preços das estruturas com micro-bloqueios são quase duas vezes mais altos - uma prótese bilateral em dois acessórios pode custar entre 80 e 100 mil rublos.
Prótese borboleta removível para substituição imediata de dentes perdidos
Imagine que você tenha 1 ou 2 dentes removidos. Enquanto o buraco está cicatrizando e uma ponte fixa está sendo fabricada (ou um implante deve ser instalado no futuro), levará algum tempo para caminhar com uma lacuna na dentição, que muitos pacientes gostariam de evitar.

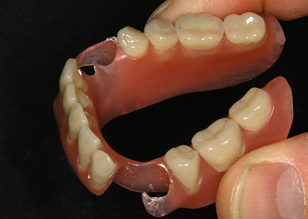
É nesses casos que a melhor opção seria usar uma prótese removível - em outras palavras, uma prótese borboleta (latim “imediatiateatus” significa “imediato”, ou seja, refere-se à possibilidade de substituir um dente por uma prótese imediatamente após a remoção). Tal prótese foi chamada borboleta devido à semelhança externa de sua base e ganchos com as asas de uma borboleta.
As fotos abaixo mostram próteses de borboleta removíveis:


Uma prótese de borboleta removível pode ser feita na mandíbula superior e inferior. É realizada principalmente devido aos ganchos dos dentes adjacentes.A base e os ganchos podem ser feitos de plástico acrílico ou nylon (neste último caso, é obtida uma estética particularmente boa).
Nota
De um modo geral, a prótese de implante é uma construção temporária para o período de reabilitação até a fabricação de próteses fixas (por exemplo, pontes). Mas, como mostra a prática, alguns pacientes usam uma prótese borboleta constantemente, não querendo ranger os dentes sob as coroas da ponte, sem finanças e sem implantes.
Em geral, podemos dizer que as próteses borboleta não apenas restauram a estética imediatamente após a remoção do dente (ou dentes), mas também melhoram as funções de mastigação, permitindo distribuir uniformemente a carga e evitando a sobrecarga de dentes que limitam a “fenda”.

É interessante
O uso de próteses removíveis com perda parcial de dentes não só tem um valor estético e funcional para o paciente, mas com uma abordagem competente, ele mantém a saúde de toda a dentição. Isto é especialmente verdadeiro para a prevenção de doenças da articulação temporomandibular, doença periodontal (doença gengival) próxima aos dentes restantes, além de manter uma mordida normal.
Sobre dentaduras removíveis da nova geração sem o céu
As chamadas próteses removíveis de nova geração sem palato (sanduíches) realmente têm uma vantagem importante sobre as próteses convencionais de placa, ou seja, elas não bloqueiam o palato (portanto, não reduzem a sensibilidade ao paladar, não causam reflexo de vômito, não prejudicam a articulação e não criam a sensação de um objeto estranho maciço na boca etc.)

Lembre-se de que os sanduíches têm uma parte acrílica rígida com dentes artificiais combinados com coroas elásticas de poliuretano que são puxadas sobre os dentes do pilar.
Apesar do posicionamento na publicidade como designs de nova geração, os sanduíches apresentam sérias desvantagens:
- As coroas de poliuretano, puxadas pelos dentes de suporte, podem parecer muito grandes (a espessura da parede dessas coroas pode chegar a 1,5 mm);

- Após a fixação, a estabilidade da estrutura removível na boca será muito menor que a da prótese de fecho (a parte elástica de poliuretano dobrará ao mastigar);
- A pequena área da base, embora contribua para a conveniência do uso da prótese (menos interfere na boca), no entanto, causa forte pressão no leito da prótese. Por sua vez, isso pode causar dor ao mastigar alimentos.
Portanto, apesar de o design das próteses ser bastante original, em geral elas são muito inferiores às características funcionais e estéticas.
Nota
Se falamos sobre o conforto do uso devido à falta de sobreposição do palato, vale ressaltar que, com próteses em arco removíveis na mandíbula superior, devido ao arco rígido, a sobreposição do palato também pode ser mínima. No caso de uso de próteses em arco para a mandíbula inferior, o espaço hióide também é bloqueado ao mínimo.
Próteses removíveis condicionalmente em implantes intracanal
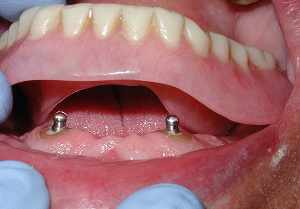
Na ausência de um número significativo de dentes na cavidade oral e, especialmente, em condições não muito boas da parte da coroa dos dentes restantes, uma boa opção para próteses pode ser o uso de uma prótese condicionalmente removível, com instalação nos chamados implantes intracanal.

Para instalar esse design, você deve ter pelo menos 2 (e de preferência 4) dentes em uma garra (superior ou inferior). A essência do método é a seguinte:
- As partes da coroa dos dentes restantes são cortadas ao nível das gengivas;
- Um implante de titânio com um pilar esférico é parafusado no canal radicular de cada dente;
- É feita uma prótese, com no lado interno do recesso, travas especiais para o pilar esférico do implante.
Como resultado, a prótese removível é fixada com muita segurança, não é perceptível de lado, eles podem mastigar até alimentos duros, sem medo e desconforto, é confortável de usar. Ao mesmo tempo, a preservação das raízes dos dentes minimiza os processos atróficos no osso da mandíbula.

As desvantagens deste tipo de prótese:
- preço alto;
- baixa prevalência desse serviço nas clínicas;
- não é adequado para todas as situações clínicas (o paciente nem sempre tem o número necessário de dentes e, mesmo que exista, a condição de suas raízes nem sempre é satisfatória).
Regras para cuidar de dentaduras removíveis e algumas palavras sobre seu reparo
Depois de passar a prótese removível para o paciente, o dentista ortopédico explica como cuidar adequadamente dele, para que o projeto dure o maior tempo possível.

As recomendações gerais neste caso sugerem o seguinte:
- Limpe diariamente a prótese com uma escova de dentes com pasta não abrasiva;
- Enxágüe com água depois de comer;
- Use soluções desinfetantes especiais;
- Armazene as dentaduras em água fervida ou em uma solução especial;
- Se você sentir dor durante a operação da prótese, é importante visitar imediatamente um dentista para descobrir a causa da dor.
É útil usar produtos de higiene especiais para próteses removíveis:
- Escovas de dentes para dentaduras. Às vezes, essas escovas têm colocação bilateral de cerdas - para as superfícies externa e interna da prótese;

- Pastilhas para limpeza de dentaduras (Corega, pastilhas efervescentes Dentipur, President, ROCS, Protefix, etc.). Após a dissolução do comprimido, é obtida uma solução onde a prótese removível é imersa - isso elimina a placa bacteriana e proporciona um efeito antibacteriano.

Muitas vezes acontece que, após alguns anos de uso da prótese, o leito protético (membrana mucosa) afunda e a estrutura fica desconfortável de usar - por exemplo, a estrutura lamelar pode não grudar bem no céu, a comida pode cair sob ela, começa a esfregar a gengiva, etc. Portanto, após receber a prótese, é recomendável solicitar exames preventivos pelo menos uma vez em seis meses para correção e higiene do projeto profissional.
É melhor confiar o reparo (reparo) das próteses a especialistas, uma vez que uma tentativa de restaurar a estrutura de forma independente só pode acelerar o processo de atrofia do osso da mandíbula devido à carga desigual transmitida pela prótese mal reparada ao leito protético.
As opções de reparo podem ser muito diferentes: colando partes de uma prótese laminar rachada, reparando uma pinça, instalando um dente artificial caído, realocando-se para que a estrutura se encaixe perfeitamente na mucosa, etc.

Nota
A grande desvantagem de uma prótese de nylon removível é a incapacidade de realocá-la. Enquanto isso, a realocação é extremamente importante, pois, ao longo dos anos, ocorre atrofia do tecido ósseo sob a prótese e a forma do osso alveolar muda, o que viola a estética e a mastigação normais. Se não for um problema realocar as próteses de placas de acrílico, é praticamente impossível realocar as dentaduras feitas de nylon e polipropileno de uma maneira de qualidade - é mais fácil comprar um novo produto.
Quanto custa hoje uma instalação parcial da prótese
Os preços das próteses parciais removíveis dependem de muitos fatores:
- Do nível da clínica (economia, prêmio, classe executiva);
- As próteses são realizadas em Moscou ou em outro lugar da região (em Moscou, os preços são quase sempre mais altos);
- Desde a escolha do design e materiais utilizados.

Com uma ausência parcial de dentes, o mais econômico são as próteses com placas de acrílico com grampos de metal (isso nem sempre é esteticamente agradável, pois os ganchos de metal são claramente visíveis na zona do sorriso; outras desvantagens de tais projetos já foram mencionadas acima).
A tabela abaixo mostra preços aproximados para próteses parciais em Moscou em meados de 2017:
| Tipo de prótese | Preço, mil rublos |
| Acrílico Removível Parcial | 15-20 |
| Nylon removível parcial | 25-50 |
| Fecho Fecho | 30-50 |
| Tala de fecho | 40-50 |
| Fecho nas fechaduras (acessórios) | 80-100 |
| Borboleta protética | 8-10 |
Concluindo, vale ressaltar que, mesmo na ausência de um pequeno número de dentes na cavidade oral, não se deve atrasar excessivamente as próteses. Mesmo a escolha da prótese mais barata será muito melhor para todo o sistema dentofacial do que se você não fizer nada e andar com orifícios na boca.
Ao mesmo tempo, você não deve seguir o exemplo da publicidade e se concentrar imediatamente nas próteses de nylon, agora na moda. Se o implante não for levado em consideração (devido ao seu alto custo), o uso da prótese de fecho será a opção mais prática e perfeita para as próteses.
Seja saudável!
O que são próteses removíveis e o que é importante saber sobre suas propriedades
Vídeo útil: como viver plenamente com próteses removíveis ...













