
A ponte adesiva é uma estrutura não removível que adere literalmente aos dentes adjacentes com a ajuda de dispositivos especiais que não causam interferência e não precisam ser removidos durante operações posteriores. A vantagem mais importante é a ausência da necessidade de moer os dentes adjacentes ao defeito sob as coroas.
Atualmente, as pontes adesivas estão posicionadas como uma alternativa séria às pontes clássicas - de construções estampadas com solda a metal-cerâmica. Ao instalar uma ponte clássica, os dentes de apoio (às vezes absolutamente saudáveis) são moídos, após o que a coroa da ponte (em cimento) é instalada neles.
Quando se trata de próteses de vários dentes, a aplicação do design clássico é bastante razoável e justificada, mas há algum sentido em substituir um defeito por uma ponte padrão na ausência de apenas um dente? De fato, por causa de um único defeito, teria sido necessário "mutilar" (triturar e, às vezes, até acrescentar também a polpa) dois dentes vizinhos inocentes.
Vale a pena notar que a perda de um dente por muitas pessoas no início não é levada a sério (exceto, talvez, nos casos clínicos em que o defeito aparece na zona do sorriso). No entanto, com a perda de qualquer dente, a integridade de toda a dentição é violada, contra a qual a função normal da mastigação é interrompida e as patologias dentomaxilares (má oclusão e outras conseqüências não menos desagradáveis) são gradualmente formadas.

Nota
Isso é especialmente verdadeiro para mastigar dentes, que quase sempre determinam o desempenho de uma mordida normal e a proporção da dentição. Se pelo menos um dente de mastigação é perdido, seus vizinhos rapidamente começam a se comportar "inadequadamente" - eles se deslocam (inclinam) na direção do defeito. Como resultado, toda a dentição pode "nadar".
Para não se envergonhar com um sorriso largo e não se sentir desconfortável ao mastigar, é importante entrar em contato com o dentista o mais rápido possível para eliminar o defeito pelas próteses. Para eliminar um único defeito, as seguintes opções podem ser consideradas:
- Usando uma prótese de borboleta. Mas é removível, o que cria inconveniência na operação;

- Próteses sobre implantes. Esta é a melhor opção em termos de estética e funcionalidade, mas geralmente longa (vários meses) e nem todos podem pagar (custará cerca de 70 a 100 mil rublos);

- A ponte clássica. Como já mencionado acima, é difícil definir essa opção como ideal, pois você terá que moer dois dentes de suporte embaixo das coroas;

- Uma ponte adesiva, como alternativa a uma ponte padrão, com impacto mínimo nos dentes adjacentes do pilar.

Vantagens das próteses adesivas
A escolha a favor de uma ponte adesiva é determinada, além das indicações, por quatro vantagens principais, o que pode ser muito tentador, especialmente no contexto da comparação com outras opções para próteses.
Estes são os benefícios:
- A odontopreparação (rotação) dos dentes adjacentes ao defeito não é realizada. Em outras palavras, para fixar a estrutura, não é necessário remover o esmalte das superfícies dos dentes saudáveis, diferentemente das próteses com coroas brasadas e, ainda mais, metalocerâmicas. No último caso, o dente é afiado com tanta seriedade que muitas vezes é necessário pré-polpar, ou seja, remover o "nervo" para que não fique doente sob a coroa (isso geralmente impede as pessoas de escolherem a ponte clássica);
- Na maioria dos casos, nem a anestesia é necessária. Até certo ponto, muitas pessoas têm medo não apenas da dor de dente que ocorre quando se usa uma broca, mas também da própria "injeção de analgésico". E como as próteses adesivas são realizadas sem virar os dentes, o risco de dor com um leve efeito superficial nos dentes de suporte é minimizado. O uso da anestesia é possível em casos clínicos especiais e em consulta com o paciente;
- A velocidade de fabricação da prótese - geralmente suficiente de 1 a 3 dias. Quando se trata de próteses em uma visita, toda a estrutura fixa é feita na cavidade oral do paciente do começo ao fim. Você precisa esperar um pouco mais nos casos em que a fase laboratorial de fabricação da prótese é adicionada;
- O custo relativamente baixo do serviço. Em comparação com outras construções de características funcionais e estéticas semelhantes (cermets, cerâmicas não metálicas, etc.), uma prótese adesiva na maioria das clínicas custa menos.
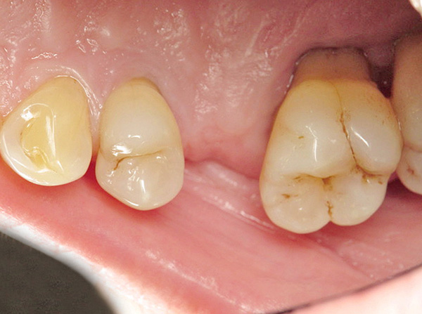
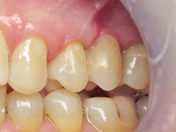
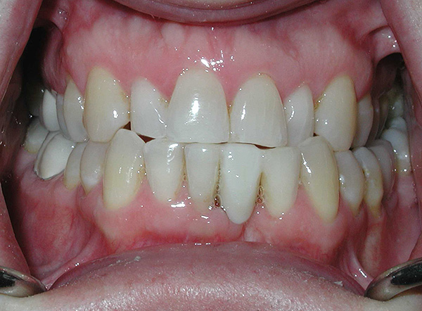
As fotos abaixo mostram um exemplo de próteses pré-molares usando uma ponte adesiva:



Nota
Adesão (de lat. Adhaesio - adesão) significa adesão (colagem) de materiais de natureza diferente entre si. A prótese adesiva é colada nos dentes adjacentes usando materiais dentários especiais. Essa prótese também é às vezes chamada de Maryland Dental Bridge, Rochett Retainer ou Manhattan Bridge.
Em que casos faz sentido colocar uma ponte adesiva?
A instalação de uma ponte adesiva é uma maneira simples e rápida de eliminar um defeito de dentição e, em termos de velocidade de implementação, esse método hoje continua sendo líder entre outras variedades de próteses. No entanto, apesar das sérias vantagens, nem sempre são utilizadas próteses adesivas - elas têm suas próprias indicações e contra-indicações.

Existem poucas contra-indicações gerais para a instalação de uma prótese adesiva. Antes de tudo, não é recomendável fazer esse desenho em pessoas que sofrem de epilepsia, pois ela se quebra facilmente durante uma convulsão.
Nota
Deve-se ter em mente que a prótese também pode quebrar se houver o hábito de roer unhas, canetas, lápis.
Existem fatores locais que impedem o uso de uma prótese adesiva:
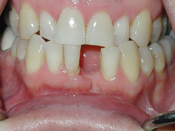
- Extensão significativa do defeito. Em outras palavras, as próteses adesivas para mais de 1-2 dentes têm o risco de quebrar ou quebrar rapidamente a ponte. Isto é especialmente verdade para a área de mastigação, onde a carga principal ocorre durante a mastigação. Hoje, os médicos recomendam a substituição de apenas 1 dente ausente, e o melhor de tudo - na seção anterior, onde a carga sobre os dentes é relativamente pequena. Com uma grande extensão do defeito, pode ser mais apropriado usar uma ponte clássica ou uma prótese de fecho removível (veja a foto);

- Os dentes de suporte têm defeitos significativos e (ou) estão na posição errada. A prótese adesiva nesses casos é possível apenas com preparação dentária adequada e tratamento ortodôntico sério; portanto, às vezes é mais racional escolher outro tipo de prótese fixa, em que você não precisará esperar anos por um tratamento de qualidade, corrigindo anomalias dentárias;
- Os dentes do pilar têm mobilidade ou abrasão patológica.
Nota
A falta de higiene bucal em geral também pode criar muitos problemas com o uso da prótese. A falta de higiene na maioria dos casos é um sério obstáculo para qualquer tipo de tratamento em odontologia e, em particular, para próteses adesivas, uma vez que a especificidade de fixar a estrutura e ignorar os produtos de higiene contribuirá ainda mais para o desenvolvimento de cárie na área dos dentes do pilar.

Em outros casos, as próteses adesivas podem ser uma decisão razoável.
Pontes adesivas compostas feitas na cadeira do dentista
A prótese de ponte adesiva composta na Rússia foi aprendida pela primeira vez através do desenvolvimento de Sergey Radlinsky, que começou no início dos anos 90. Foram seus trabalhos que lançaram as bases para a criação de uma nova direção qualitativa de restauração de um dente perdido - com a ajuda de restaurações fotopolimerizáveis convencionais e dispositivos técnicos especiais.
A essência da idéia é muito simples: você precisa aderir com segurança um dente artificial aos dentes adjacentes do pilar. Um dispositivo de reforço auxiliar pode ser um fio de metal - ele, contando com dentes adjacentes ao defeito, é a base básica de uma prótese adesiva. O processo de fabricação dessa ponte é o seguinte: pequenos recessos são criados no esmalte dos dentes adjacentes, onde o fio entra.
Haverá dor no estágio de "perfurar" esses sulcos artificiais com uma broca?
Na prática, na maioria das vezes a anestesia não é necessária, uma vez que o tratamento odontológico é mínimo. Além disso, muitas vezes os dentes de suporte nas superfícies de contato (mais próximas do dente removido) têm recheios, removendo os quais, você pode obter uma boa cama para fixar a viga. Em um caso extremo, hoje os dentistas têm todo um arsenal de anestésicos para alívio da dor confiável.
Uma tecnologia mais avançada são as próteses adesivas que utilizam fibra de vidro na forma de fitas e feixes. Nesse caso, em vez do fio, eles são inseridos nas ranhuras formadas nos dentes do pilar e, em seguida, um dente artificial do compósito é recriado neles.

Normalmente, os pacientes estão interessados em quanto tempo leva para o médico “construir” um novo dente na boca em uma sessão?
Vale ressaltar que a criação de uma ponte adesiva a partir de um compósito fotopolimerizável é quase um trabalho de joalheria, exigindo que o médico não apenas tenha conhecimento e experiência com essas restaurações, mas também uma certa quantidade de exposição, pois você não pode se apressar nesse negócio. Os materiais “leves” são aplicados a uma viga metálica ou fibra de vidro em pequenas camadas com o uso em fases de matrizes especiais e “modeladores” do futuro dente. O trabalho pode levar de 1,5 a 4 horas: é exatamente o cumprimento exato de todos os requisitos que possibilita a fabricação de uma prótese em ponte de alta qualidade e confiável.
É interessante
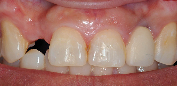
Um dente artificial feito de compósito não repousa sobre a gengiva - como os análogos clássicos de metal e cerâmica, a prótese possui um espaço de lavagem entre a gengiva e o dente artificial. A foto abaixo mostra como ela pode parecer na vida:
As próteses adesivas têm muitas semelhanças com a restauração artística do dente; somente neste último caso, seu próprio dente é usado como suporte e dentes adjacentes com vigas lançadas entre eles são usados para criar uma ponte adesiva. Idealmente, no final do trabalho, o dente não pode ser distinguido do seu próprio, pois o mestre recria todos os tubérculos, fossa, sulcos e também imita a cor e até o brilho natural da superfície.
Revisão de um dos médicos praticantes:
“Geralmente sou cético em relação aos métodos instantâneos de restauração, como facetas diretas ou pontes compostas. Mas mesmo se você escolher, é melhor escolher a manufatura no laboratório, pois elas são muito mais fortes que a “criatividade” do gabinete, além de serem mais bem produzidas ... ".
Alexander V., Moscou
Método laboratorial (indireto) para fabricar uma ponte adesiva
Diferentemente das próteses adesivas que usam o método direto, o método laboratorial de obter a ponte é mais preciso e confiável, porque cerca de metade do trabalho é realizado não na boca do paciente (essas são, francamente, não as condições mais favoráveis), mas no laboratório odontológico.

O método indireto de tais próteses inclui 4 etapas principais:
- Tratamento dos dentes de suporte (diferentes, dependendo da situação clínica). Não se trata de um "giro" de um dente de todas as superfícies, mas de um processo de retificação, corte de ranhura ou até cárie - limpando a cavidade de tecidos cariados e adaptando-a para fixar o feixe da futura prótese. A retificação é importante para uma adesão confiável da prótese à superfície do dente;
- Impressão (moldes). Utilizando materiais especiais tipo pasta introduzidos na cavidade oral em colheres, é obtida uma imagem negativa da superfície (relevo) da cavidade oral com todos os dentes;
- Fazendo uma prótese. Para isso, cerâmica e plástico podem ser usados. Uma ponte adesiva de plástico é mais barata, mas será muito menos durável que a de cerâmica;
- Fixação de próteses em pilares com cimentos dentários.
Comentários:
“Recentemente perdi um dente lateral (o primeiro após o canino). A coroa permaneceu por muito tempo, mas a raiz quebrou, embora eu pensasse que aguentaria a velhice. Não lembro sem lágrimas, sofri muito quando os restos da raiz foram removidos. Foi uma pena, mas eu tinha medo de próteses, pois teria que estragar os dentes adjacentes. Eu nem acenei para os implantes, muito caro. Por uma questão de curiosidade, vim à clínica perto de casa e saí com um dente novinho em folha, feito diretamente do recheio por apenas 7 mil rublos! É verdade que eles me disseram que morder com força agora não é recomendado ... "
Oksana, Novosibirsk
O que é útil saber sobre as desvantagens das pontes adesivas
Apesar de várias revisões entusiasmadas sobre o uso de pontes adesivas, além de vantagens significativas, elas também apresentam sérias desvantagens, que são úteis para conhecer antecipadamente.

Em primeiro lugar, o fato de as próteses adesivas pertencerem à categoria de substituição temporária de um dente ausente deve ser observado (apesar do fato de que em alguns casos clínicos esse período pode ser de 5 a 7 anos). Mas, como se costuma dizer, não há nada mais permanente do que temporário, e na Rússia (não de uma vida boa) hoje em dia muitas próteses dentárias temporárias são usadas pelos pacientes por muitos anos como permanentes (próteses de borboleta, próteses totais de acrílico removível, pontes adesivas etc.). )
Por isso, não é de surpreender que as principais desvantagens da prótese sejam a fragilidade e fragilidade da estrutura (de várias maneiras, recomenda-se que não mais de 1 dente seja protetizado e, se possível, apenas na seção anterior).
Nota
Pontes adesivas substituem com sucesso 2 dentes removidos, e mesmo na seção lateral, quando não há molares. No entanto, muitas vezes é possível encontrar situações em que todo o trabalho desce pelo ralo no primeiro ano após as próteses - por causa de uma maçã, uma crosta de pão, um churrasco, etc. Ou seja, mesmo que o dentista faça a prótese o mais próximo possível da mordida original, retornando o dente substituído à sua função, um comportamento descuidado em relação à ingestão de alimentos pode facilmente causar ruptura na primeira oportunidade.
Do exposto, segue-se outra desvantagem das próteses adesivas - a capacidade de restaurar principalmente apenas defeitos cosméticos, sem retornar um novo dente artificial ao trabalho ativo de pleno direito. Ou seja, o dente não estará totalmente envolvido na carga - na mordida, junto com outros dentes, simplesmente não estará.

Revisão por um dentista praticante (retirado do fórum dental):
“A maioria dos meus pacientes tem uma atitude negativa em relação à colocação de coroas nos dentes, especialmente quando se trata de dentes intactos. Assim, a mentalidade soviética se manifesta, o que é muito difícil de superar.Eu sempre planejo uma prótese adesiva como uma estrutura de tala e imediatamente estipulo que ela é temporária (embora por muito tempo). E no futuro será necessário colocar uma ponte de pleno direito. Maryland é bem utilizada desde tenra idade como uma opção poupadora para próteses ... "
George, São Petersburgo
O que fazer se a prótese adesiva ainda quebrar?
Dependendo das especificidades do problema, existe uma tática de ajuda. Em alguns casos, é possível reparar uma ponte adesiva, mas um médico altamente profissional sempre levará em consideração as causas da falha.
Por exemplo, se o problema com a estrutura adesiva não aparecer pela primeira vez, isso pode indicar o efeito de carga excessiva nela devido às nuances da picada. Pode acontecer que não haja motivo para refazê-lo sempre, desperdiçando tempo e dinheiro, mas é aconselhável fazer cerâmicas de metal clássicas ou cerâmicas com base nos dentes vizinhos processados e esquecer o defeito por 10 a 15 anos.
O que torna o custo final das próteses
O preço das próteses adesivas consiste em muitos componentes. O status da clínica, o nível de organização e equipamento das salas, bem como a fama e as qualificações dos funcionários podem ter um impacto significativo nos preços.

As pontes adesivas compostas são muito mais baratas que as contrapartes feitas em laboratório: cermet e cerâmica. Ao mesmo tempo, as estruturas adesivas de metal e cerâmica, por sua vez, custam menos que as cerâmicas (menor custo dos materiais, menor complexidade da tecnologia de fabricação, mas a estética é um pouco menor).
Como resultado, hoje os preços das dentaduras adesivas variam de 5 a 30 mil rublos ou mais (o custo é "chave na mão").
Nota
Pode parecer surpreendente que as próteses adesivas às vezes sejam mais caras que as pontes clássicas confiáveis, que podem permanecer sem problemas por mais de 10 anos. Mas aqui deve-se ter em mente que às vezes as pessoas estão dispostas a pagar não muito pela oportunidade de mastigar com dentes artificiais por muitos anos, mas pela chance de deixar dentes saudáveis adjacentes ao defeito não virados e vivos, embora com a ajuda de uma prótese funcionalmente menos perfeita.
Se você tiver experiência pessoal usando uma ponte adesiva, compartilhe as informações deixando seu comentário na parte inferior desta página.
Vídeo interessante: um exemplo claro da fabricação de uma ponte adesiva do início ao fim
O que é útil saber sobre pontes









Boa tarde Diga-me, por favor, é possível colocar uma ponte adesiva, se os dentes de suporte estiverem intactos, mas o nervo foi removido? Preocupa-me se os dentes sem nervos servirão de suporte confiável por um longo tempo e se tudo vai pelo ralo. Qual é a vida aproximada de uma prótese no meu caso? Agradecemos antecipadamente a sua resposta!
Olá Angelina. A vida dos dentes despolpados é bastante difícil de prever (a diferença pode ser dezenas de vezes). Muito aqui depende da qualidade do tratamento do canal.Muitas vezes, é aconselhável cobrir coroas com dentes despoluídos - essa opção é a mais previsível e confiável.