
A chamada prótese de borboleta é uma prótese parcial removível. Por sua vez, isso significa as seguintes nuances importantes do projeto:
- Parcial - significa que a prótese é usada para substituir pequenos defeitos na dentição (na maioria das vezes com a perda de um ou dois dentes);
- Removível - isso significa que o paciente pode facilmente remover a estrutura da cavidade oral (por exemplo, para cuidar dela);
- Imediato - isto é, usado imediatamente (lat. “Imediato” significa “direto”). Na maioria dos casos, as próteses borboleta são usadas para substituir os dentes extraídos diretamente no dia da cirurgia.
Agora vamos ver por que, de fato, essa prótese removível é chamada de "borboleta".
Tudo é extremamente simples. A variedade mais popular da prótese em questão tem uma semelhança visual com uma borboleta: os elementos estruturais de fixação (grampos de plástico), como asas de inseto, cobrem os dentes adjacentes.
As fotos a seguir mostram exemplos clássicos de próteses de borboleta:


É interessante
Note-se que as próteses de borboleta nem sempre são semelhantes a essas mesmas borboletas. De qualquer forma, o nome é trivial (não nomenclatura); portanto, a linha entre a "borboleta" e, por exemplo, a "lagarta" é muito arbitrária.
Por exemplo, se um grande número de dentes tiver sido removido, a prótese do implante poderá ficar assim:
Você deve admitir que ele não é mais muito parecido com uma borboleta.
É possível usar uma prótese borboleta para próteses permanentes sem recorrer a implantes dentários ou instalar uma ponte?
Essa questão se torna bastante relevante para o paciente quando se verifica que o custo de fabricação de uma prótese borboleta é em média cerca de 10 vezes menor que o custo de instalação de um implante dentário de qualidade. Bem, consideraremos em detalhes a vida útil da estrutura, suas vantagens e as desvantagens que impedem o uso de uma prótese temporária como permanente.
Para quem não quer ficar “sem dentes” por várias semanas
A perda repentina de qualquer dente (especialmente na zona do sorriso) pode causar uma forte reação emocional, até pânico e estresse prolongado. Isso se aplica especialmente à perda de dentes da frente nos pacientes que, de plantão, precisam se comunicar com as pessoas todos os dias - jornalistas, atores, professores, médicos etc.

Nesses casos, as próteses de borboleta vêm em socorro.
Como exemplo, considere a situação clássica que os dentistas ortopédicos encontram com bastante frequência: o paciente consulta um protético com queixas sobre a condição insatisfatória de um ou vários dentes, e geralmente vem com os dentes existentes na dentição. As situações podem ser diferentes: destruição significativa da coroa dos dentes, sua mobilidade, mastigação e estética prejudicadas devido à falta de dentes, etc.
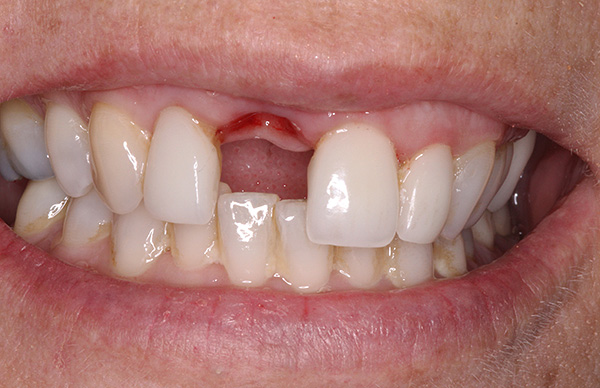
Em muitos casos, os dentes problemáticos e seus resíduos (raízes) devem ser removidos com próteses subsequentes. E aqui o paciente tem uma pergunta lógica: quanto tempo leva para andar com um “buraco” na dentição até a prótese estar pronta?
Nota
Nas clínicas orçamentárias, a situação a esse respeito, via de regra, está longe de ser positiva: pode levar algumas semanas ou vários meses.É claro que nem todo mundo está pronto para resistir antecipando a restauração de um sorriso normal por tanto tempo, mesmo com o objetivo de economizar dinheiro (especialmente se você levar em conta que, às vezes, essas economias vão de lado para a saúde - mais sobre isso abaixo).
Por isso, para aquelas pessoas que não querem ficar sem dentes por várias semanas, a técnica de próteses indiretas foi inventada. As próteses de borboleta modernas (e outras versões de implantes de próteses) permitem substituí-las imediatamente por uma prótese estética ao remover 1, 2 ou até mais dentes.

Hoje, os dentistas que se preocupam com o estado físico e mental do paciente trabalham de acordo com o princípio: "vieram com os dentes - ficaram com eles", e para isso existem várias opções para próteses artificiais em geral e próteses de borboleta em particular.
O dispositivo de borboletas protéticas e suas variedades
Como observado acima, uma prótese de borboleta removível ganhou esse nome devido à sua semelhança externa com uma borboleta - uma característica do design é a presença de ganchos de plástico (grampos) com os quais a prótese é mantida nos dentes do pilar. Como você entende, os dentes de suporte devem estar em boas condições para poder suportar a carga adicional.

Nota
Uma vantagem importante das próteses borboleta é a ausência da necessidade de preparar dentes de suporte para coroas, ou seja, elas não precisam ser giradas com uma broca.
A base da prótese é uma base plástica, na qual, em regra, 1-2 dentes são fixados. A propósito, os dentes também são feitos de plástico.
O plástico para a fabricação da base e dos ganchos tem uma cor rosa - a cor da gengiva. Dependendo do plástico usado, as próteses de borboleta são divididas em:
- Acrílico
- Nylon (por exemplo, as chamadas próteses Quadrotti).
As próteses de nylon são posicionadas como mais modernas e confortáveis: o nylon elástico macio irrita menos as membranas mucosas e causa reações alérgicas com menos frequência (mas as próteses borboleta de nylon também são mais caras por um preço). A construção em acrílico é rígida, muitas vezes leva ao desconforto e mais frequentemente causa reações alérgicas.
Foto de uma prótese borboleta de nylon:

Nota
As próteses borboleta de nylon Quattro Ti são mais leves que os modelos plásticos acrílicos similares. Além disso, devido à elasticidade do nylon, a prótese não quebra quando é derrubada (como mostra a prática, as pessoas mais velhas largam próteses, as quebram e o reparo pode custar vários milhares de rublos).
O número de dentes fixados na prótese pode ser diferente: na maioria das vezes são 1-2 dentes, mas pode haver mais. Ao mesmo tempo, já é difícil chamar a prótese de "borboleta":

De fato, com um aumento no número de dentes protéticos, a prótese borboleta é "transformada" na chamada prótese de fecho com grampos (alemão: "bugel" significa "arco"):

Comentários
“Recentemente, tive um pequeno derrame, então eles se recusaram a colocar um implante imediatamente e recomendaram caminhar com uma prótese temporária com uma borboleta por alguns meses. Feito em vez do dente da frente. Na primeira semana, foi difícil morder algo, mas depois se acostumou, tornou-se bastante tolerável. Ganchos de plástico permitem removê-lo e usá-lo quando necessário. Devo dizer imediatamente que ele não requer menos cuidados do que os dentes, ainda mais. Mas parece um dente nativo, e muitos nem conseguem encontrá-lo imediatamente ... "
Oleg, 55, Moscou
É possível prescindir de próteses temporárias?
Apesar do fato de a prótese borboleta permitir minimizar as imperfeições estéticas e funcionais que aparecem após a extração do dente, os pacientes mais econômicos geralmente tentam fugir das próteses temporárias, por assim dizer, considerando-a uma decepção banal do dinheiro.


No entanto, deve-se ter em mente que as próteses artificiais fornecem não apenas a restauração da estética da dentição e o modo de vida usual, mas também protegem os dentes vizinhos do deslocamento.E mesmo esses pontos muito importantes são apenas parte daquelas “utilidades” que dão aos seus proprietários próteses temporárias de borboleta.
Vamos ver o que acontece na prática após a remoção de 1 dente - isso ajudará a entender melhor a importância das próteses temporárias.
Aqui está um exemplo simples: o paciente percebeu a necessidade de remover as raízes dos dentes, cujas bordas lesavam regularmente a membrana mucosa das bochechas. Depois de remover os irritantes 3 dentes, ele, é claro, sentiu a necessidade de "ter uma prótese" - bem, em algum lugar de um ano ou dois, pois era então que, talvez, a situação financeira se tornasse mais confortável.
E tudo ficaria bem, mas depois de meio ano nosso herói percebe que os dentes começaram a inclinar-se para os vazios da dentição. Além disso, na mandíbula oposta, os dentes opostos aos vazios começaram a se mover significativamente para fora do buraco (como se quisessem crescer).

Depois de alguns meses, o paciente perde o selo, embora nada, ao que parece, não preveja tal desastre. Vira-se para o dentista. Quando perguntado pelo médico se o paciente “inserirá” os dentes, nosso herói responde que um dia ele definitivamente fará isso. Como resultado, o dentista, vendo a ausência de dentes e na expectativa de que as próteses ainda apareçam em seu lugar, faz com que o preenchimento seja menor em altura do que deveria.
Depois de mais algumas semanas, outro preenchimento cai, que fica na área da mordida ativa, e então tudo segue o cenário clássico: devido à sobrecarga, dentes fortemente inclinados adjacentes ao defeito se tornam móveis (em outras palavras, eles começam a cambalear).
Qual é o maior erro aqui? O paciente tomou a decisão correta de substituir os dentes perdidos por uma prótese. O problema é que o tratamento planejado foi, para dizer o mínimo, muito atrasado, e isso conseguiu levar a conseqüências indesejáveis completamente naturais. Embora isso possa ser facilmente evitado se você avançar suavemente em direção à meta, de acordo com o plano de tratamento descrito pelo ortopedista, que pode incluir, por exemplo, o uso temporário das mesmas próteses de borboleta.
Em casos como próteses dentárias, a negligência seletiva de recomendações individuais de um dentista ortopédico geralmente leva a maus resultados. As próteses temporárias com dentaduras artificiais dão tempo para a cicatrização confortável dos furos após a extração do dente (enquanto o leito da prótese está sendo preparado) e previne alterações indesejadas da oclusão devido ao deslocamento dentário.

É interessante
O método clássico de implante dentário envolve próteses retardadas: primeiro, as gengivas devem curar e formar tecido ósseo após a extração do dente. Em geral, leva mais alguns meses para que ocorra a completa osseointegração do implante, ou seja, que o implante se funda com o osso. E uma prótese de borboleta nesse caso seria útil, permitindo que o paciente sorrisse normalmente, mastigasse comida e não tivesse medo da luxação do dente.
As possibilidades das dentaduras de borboletas e de quais problemas elas o salvarão
Ou seja, como você já entendeu, é altamente indesejável ficar sem próteses de dentes perdidos por um longo tempo, pois isso promete problemas - e, além disso, os problemas são mais pronunciados.

Então, vamos resumir os problemas que podem ser evitados com as próteses removíveis de borboletas. Distribua-os em ordem de ocorrência na prática do dentista:
- Deslocamento dos dentes em direção ao defeito. O ângulo de inclinação depende das características individuais. O deslocamento dos dentes é esticado ao longo do tempo e progride mais rapidamente com um grande número de dentes extraídos, uma má oclusão inicial e mastigação de alimentos, principalmente de um lado;
- Extensão do dente antagonista (na mandíbula oposta) em direção ao defeito. O dente, tendo perdido seu antagonista, começa a mudar para a gengiva cicatrizante. Alguns pacientes observam que o dente parecia "crescer".De fato, ele é avançado do buraco, pois não recebe carga de mastigação suficiente. O uso de uma prótese borboleta permite manter uma carga mastigatória normal no dente antagonista;
- Sobrecarga dos dentes restantes e aumento da abrasão. A ausência de certos dentes causa uma reforma dos chamados grupos funcionais de dentes na boca, que sofrem o impacto de mastigar os alimentos. O "impacto" pode ser considerado, literal e figurativamente - desde o desbaste de obturações até a remoção do esmalte dos tubérculos dos dentes de mastigação e das arestas cortantes do grupo frontal;
- Sobrecarga da ATM (articulação temporomandibular). Como após a remoção dos dentes do grupo de mordida, toda a dentição é reestruturada, isso geralmente afeta a função da ATM. Sua deformação não é perceptível imediatamente, mas pode aparecer um estalido, estalido, dificuldade em abrir a boca, dor, uma constante sensação de desconforto, etc. A dentadura de borboleta, apesar de ser removível e não precisar ser usada constantemente, evita efetivamente essas conseqüências indesejáveis;
- Violação do tônus dos músculos mastigatórios e diminuição da eficácia mastigatória. Simplificando, pedaços de comida voam inteiros no estômago. Ou seja, sem próteses, o paciente corre o risco de problemas gastrointestinais (que são, em geral, uma consequência muito frequente da mastigação devido à ausência prolongada de dentes).
Como você pode ver, em termos funcionais, mesmo a prótese borboleta mais barata poderia proteger contra muitos problemas em potencial durante o período, da extração do dente à prótese permanente.

Pergunta: devo remover uma borboleta protética para a noite?
Com o cuidado regular da prótese com escova e creme dental (e sujeito à cicatrização normal da cavidade no lugar do dente extraído), não há necessidade de remover a prótese por um longo tempo, você pode usá-la quase constantemente.
É impossível não falar de problemas de natureza psicológica, quando os dentes da frente estão perdidos, por exemplo, devido a lesão mecânica. Muitas vezes, não é possível realizar próteses permanentes em alguns dias, mas, enquanto isso, uma pessoa precisa compensar um defeito cosmético o mais rápido possível. Não fazer isso rapidamente pode estar repleto de uma variedade de consequências negativas: do pânico e do estresse ao humor suicida.
As próteses temporárias que usam uma prótese borboleta rápida para um paciente podem se tornar uma bóia da vida real em uma situação aparentemente sem esperança. Na verdade, essa é a essência das próteses sobre implantes (a estética e a função mastigatória são restauradas imediatamente). Com uma abordagem competente, a prótese será quase invisível e indistinguível dos dentes naturais.

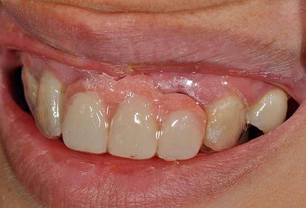
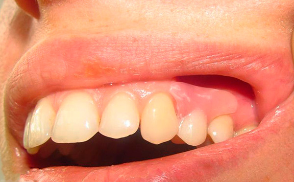
A foto abaixo mostra a condição da dentição antes e depois da prótese usando o intermediário de uma prótese borboleta:


É interessante
Como a prótese de implante em si é imediata, ou seja, realizada imediatamente após a extração do dente ou de seus resíduos, nesse contexto a prótese de borboleta também desempenha uma função protetora, protegendo o coágulo de sangue de influências externas (por exemplo, de danos por pedaços de alimentos). Assim, as próteses temporárias ajudam a acelerar a regeneração do tecido do buraco e ajudam a reduzir o risco de desenvolver alveolite - inflamação do buraco.
Algumas falhas de design e maneiras de superá-las
Se analisarmos as análises dos pacientes da prótese borboleta, podemos fazer a seguinte lista das falhas de projeto mais frequentemente observadas:
- Fragilidade. O fato é que o desenho de uma prótese temporária não envolve seu uso inicialmente por vários anos.A prótese borboleta é projetada para um período de uso de cerca de 2-3 meses, após o qual, idealmente, uma prótese permanente deve ser realizada (no entanto, como eles dizem, não há nada mais permanente do que temporário - alguns pacientes usam a prótese por vários anos);
- Fixação insuficiente da prótese (voa ao mastigar). Note-se que uma borboleta protética bem fabricada, na grande maioria dos casos, repousa sobre os dentes do pilar com muita confiabilidade; se você não morde nozes e não mastiga caramelo, então “puxá-lo” dos dentes do pilar é muito problemático ao mastigar. Se a prótese é feita com imprecisões e não se mantém firme - essa é uma situação superada, e a correção da prótese na clínica odontológica geralmente resolve esse problema;

- A fragilidade da prótese. Isso se aplica, em primeiro lugar, às próteses de borboleta feitas de plástico acrílico (as de nylon são elásticas). Os ganchos Clammer freqüentemente quebram. Bem, na presença de uma prótese, é realmente importante controlar a dieta, evitar alimentos duros e eliminar maus hábitos (cordas para morder, unhas, sementes de casca, etc.). E também tente não deixar cair a prótese.
Nota
Para prolongar a vida útil de uma prótese removível e evitar problemas na fase de próteses temporárias, é importante fornecer manutenção competente da estrutura. Assim, por exemplo, uma borboleta protética deve ser removida regularmente após comer, lavar e limpar os restos de comida. Isso é feito usando uma escova de dentes e creme dental comuns.
Se houver um desejo de remover a prótese por um longo tempo, é desejável armazená-la em um líquido especial para armazenar as próteses.
- Falta de estética (o dente não se parece com o seu, ou a base e os fechos da prótese são muito perceptíveis com um sorriso). A principal importância aqui é quão bem a borboleta protética foi feita e quais materiais foram usados. Materiais caros e de qualidade, combinados com a habilidade de um médico, quase sempre fazem maravilhas, e uma prótese temporária pode ser difícil de distinguir dos dentes naturais. Obviamente, o preço nesse caso será maior. Abaixo estão fotos antes e depois e próteses usando uma prótese borboleta:



- Inconveniência ao usar. Às vezes, há problemas de dicção e desconforto constante na cavidade oral. Esses problemas são bastante comuns e cada paciente é expresso individualmente - de um grau de gravidade fraco a um muito significativo.
Comentários:
“Devido à doença periodontal, tive que remover gradualmente todos os dentes da mandíbula. Por algum tempo eu fui com uma prótese parcial, uma borboleta. Foi feito de acrílico. Foi um inferno, não consegui me acostumar. Em seguida, a segunda porção dos dentes foi removida, colocou uma prótese de nylon, passada com ele por 1,5 anos. Agora era a vez de remover os dentes restantes. Eu me sinto deficiente ... "
Elena, Moscou
E mais uma dica:
“Se houver um reflexo de vômito e for inicialmente repugnantemente realizado, vá para a alteração. Isso significa que a prótese está mal ajustada, o problema não desaparecerá e só piorará. Eu passei por isso com a minha primeira borboleta protética, havia um reflexo constante de vômito e inicialmente batia. Era impossível andar com ele ... "
Oksana, Ecaterimburgo
Falando sobre as desvantagens das próteses borboleta, é necessário observar um ponto importante, ao qual um grande número de pacientes não presta muita atenção. Estamos falando do fato de uma prótese borboleta ser, em primeiro lugar, uma prótese temporária que não é capaz de substituir completamente um dente perdido.
Uma prótese de borboleta, ao contrário de um implante, não garante totalmente a transferência de carga de mastigação no tecido ósseo da mandíbula na área do dente extraído, como resultado do qual o osso se atrofia gradualmente aqui. Ou seja, se você decidir usar uma prótese temporária como permanente, será necessário ajustá-la regularmente, pois o leito da prótese (gengiva) diminuirá gradualmente.
Com um grande número de dentes extraídos, a atrofia gradual do osso da mandíbula leva a uma alteração característica (senil) nas características faciais.
Etapas de fabricação de uma prótese de borboleta
Dois especialistas participam da criação da prótese: um dentista ortopédico e um técnico dentário. Como observado acima, plástico acrílico (incluindo resinas acrílicas Acry-Free raramente causam alergias) e nylon (incluindo plástico à base de nylon Dental-D) podem ser usados como materiais principais.

A fabricação de uma prótese borboleta ocorre em várias etapas. Aqui está um breve exemplo de diagrama:
- Inspeção da cavidade oral. Nesta fase, o dentista ortopédico, juntamente com o paciente, elabora um plano para o próximo tratamento. Em particular, eles concordam com as características das próteses sobre implantes - desde o material e a forma de construção até os termos de uso e a frequência de correção da prótese;
- Impressão (impressão), que permite obter uma imagem negativa da mandíbula. Essa etapa é realizada antes da extração do dente - nesse caso, a precisão do trabalho será maior do que quando a impressão é feita com os dentes já ausentes (é preciso tirar uma foto e usá-la para modelar os dentes ausentes ao fazer a prótese);
- Fazer uma prótese em prótese de acrílico ou nylon em laboratório;
- Ajustar o desenho finalizado na cavidade oral do paciente (após remover os dentes problemáticos) e corrigir a prótese, se necessário.
Quanto estão as borboletas hoje: preços indicativos
Obviamente, o preço final de uma prótese borboleta (e, em geral, qualquer serviço odontológico) é afetado pelo status da clínica, pelo nível de qualificação de especialistas e, às vezes, pela região de residência. Portanto, discutiremos melhor os preços médios de mercado.

Além disso, ao avaliar os custos financeiros das próteses, também é necessário levar em consideração o número de próteses (1, 2, 3 ou mais), uma vez que cada dente ausente contribui para o custo de materiais e trabalho. Ou seja, o preço de um dente será uma espécie de ponto de referência.
Nota
Um papel significativo no custo final do trabalho é desempenhado pelo material de construção. As mais baratas são as próteses de borboleta feitas de plástico acrílico comum, enquanto as mais caras são feitas de nylon. A diferença de preço reflete totalmente a diferença nas propriedades estéticas e funcionais das próteses artificiais. Ou seja, quanto mais frio parecer e mais conveniente usar, menos dinheiro permanecerá na carteira.
Em Moscou, o preço de uma prótese de borboleta para um dente pode variar de 15 a 40 mil rublos e nas regiões - de 5 a 25 mil.
Se você tem experiência pessoal usando uma dentadura de borboleta, compartilhe-a deixando sua opinião na parte inferior desta página (na caixa de comentários).
Vídeo útil sobre os prós e contras das próteses removíveis de nylon
Quão confiáveis são as próteses removíveis e que tipos delas são






Eu uso uma borboleta há 5 anos em vez de um dente que falta na mandíbula superior. Quando como, tiro. Eu trabalho como professor e ninguém percebe que não há dente! Eu recomendo a todos do que remover o esmalte e colocar uma ponte ou implante! Agora eu quero colocar a raiz que falta!
É realmente possível se acostumar com uma borboleta? Coloque hoje, incomum, eu quero remover! Eu sinto isso o tempo todo!
Sim mesmo. O desconforto foi apenas nos primeiros três dias, destacando-se até dor de cabeça e saliva excessiva. Eu o uso há quase 8 anos, muito satisfeito, além de 2 borboletas de 2 dentes, é conveniente mastigar.
Um papel importante é desempenhado pelo local de colocação do implante. Na mandíbula superior, provavelmente está realmente se acostumando, mas na mandíbula inferior é problemático. Eu sinto isso há 1 mês. Eu tenho uma borboleta de nylon, de tamanho grande, no dente de mastigação inferior. Quando não mastigo - está tudo bem, sinto apenas algo estranho na minha boca. Mas quando eu mastigo, é muito desagradável.
Quanto custou o dente?
Eu uso um prato há 10 anos. Está tudo bem)
Eu uso uma "borboleta" há 5 anos! Na mandíbula inferior, 3 dentes. Estou feliz com tudo. Uma coisa é ruim - uma mancha escura apareceu lá dentro.
Coloque a borboleta no top cinco de uma semana atrás. Não sinto muito desconforto, embora haja uma sensação de que o caramelo na boca (ou chiclete) grudou na gengiva. Às vezes, ouço uma violação na pronúncia de sons sibilantes. O principal inconveniente - já voou 2 vezes com alimentos (alimentos comuns, não nozes ou caramelo). Quando voa, existe o risco de rachar ou, pior ainda, engasgar com ele.
Outra nuance desagradável - o dente tem um tamanho inferior. Ou seja, por fora corresponde em tamanho, mas em largura 2 vezes já removida. Assim, a carga ao mastigar a gengiva e o par de dentes na mandíbula inferior é desigual. O médico disse que o dente não é feito em tamanho, mas apenas grampos. Não sei se acredito ou não. Eu gostaria de esclarecer, é isso? Corretamente necessário, caso contrário, ele cairá.
Olá Tatyana. "Borboleta" é uma construção temporária, isto é, uma prótese que substitui apenas um defeito estético. Para mastigação completa, não se destina a todos. Portanto, o tamanho da superfície de mastigação é mínimo. Normalmente, essa prótese é removida da picada, ou seja, não está envolvida na mastigação de alimentos. Mas a fixação dessa prótese pode e deve ser melhorada. Entre em contato com seu cirurgião ortopédico e fale sobre o inconveniente - os defeitos da prótese podem ser corrigidos.
Boa tarde Todas as comodidades e inconvenientes dependem do técnico em odontologia e de quão corretamente a impressão foi feita. A primeira prótese que eu fui colocada há uma semana pressionou com muita força (prótese borboleta feita de nylon, dente 6). Moer, cortar, tornou-se conveniente. Mas acabou que muita coisa foi removida - a prótese começou a voar. Fui embora com ele por uma semana, me acostumei. Feito um novo, conveniente. Ontem, quando vestida, eu queria tirá-lo. Eles colocaram à noite, o médico me pediu para incomodar um pouco. De manhã, acordei - e quase esqueci que havia uma prótese. Enquanto mastiga, pressiona um pouco e sinto o prato com a língua, mas confortável. Espero que eu o use por um longo tempo) O médico me dissuadiu do implante.
Por que o médico é dissuadido do implante?
O médico também me dissuadiu do implante. Desde o dente inferior, grande e em vez de um removido, você precisa colocar 2 implantes. Mas uma borboleta, e se você colocar uma de qualidade, poderá usá-la constantemente. Personalizado por um longo tempo, mas agora eu vou - está tudo bem.
Boa tarde Eu uso uma borboleta nos quatro primeiros por vários anos. Satisfeito, completamente despercebido. Eu tiro a noite quando escovo os dentes. O implante não se atreveu a dar à luz, dados os problemas que surgiram com os amigos.
Eu uso uma borboleta há 10 anos. Tenho vergonha de admitir, mas nunca decolo, apenas por escovar os dentes. Ou seja, eu como e durmo nela. Não há desconforto.
Olá. Li que a instalação de uma prótese borboleta é recomendada antes da implantação, pois ajuda a crescer ossos atrofiados. Isso é realmente assim? É adequado no meu caso clínico: na mandíbula inferior não há 6 anos, 5 - saudáveis, 7 - tratados com uma aba de toco, uma coroa plástica temporária (e o dente está inclinado para o dente que falta). Existe uma CBCT. Os implantologistas estão prontos para colocar um implante. Mas entendo que os ossos e as gengivas não têm mais o tamanho necessário. Obrigada
Olá Svetlana. O tecido ósseo do uso de uma "borboleta" não cresce. E se você usar um longo período, provavelmente precisará de tecidos macios e duros de plástico. Em relação a 7 partidas - você precisa procurar na cavidade oral. Se o implantologista estiver pronto para instalar o implante, isso significa que a inclinação dos sete não interfere, e há espaço suficiente.
Eu queria saber se existem adesivos para a fixação da prótese borboleta?
Olá, Asya. Cola para dentaduras CORESA é geralmente uma boa escolha. No entanto, se a prótese não se mantiver (mesmo em repouso), é necessário consultar um especialista para corrigir a prótese.
Coloquei uma borboleta protética em vez do dente da frente há alguns dias. Não interfere, mas há desconforto - tiro a limpeza, a impressão de como os sapatos pressionavam e a felicidade ...
Olá, é necessário remover uma borboleta protética durante o parto natural?
Olá Natalya. Sim, você definitivamente precisa removê-lo, pois pode engoli-lo, quebrá-lo e, além disso, ferir os tecidos moles da cavidade oral com ele.