
Hoje, as pessoas têm uma atitude amplamente negativa em relação às próteses removíveis - muitas as associam a "mandíbulas falsas", que devem ser removidas à noite e armazenadas em um copo de água. É geralmente aceito que eles são muito desconfortáveis de usar, prejudicam a dicção e podem até cair pela boca ao comer ou falar.
Bem, todas essas "histórias de horror" não são sem motivos definidos, mas em grande parte são remanescentes da era soviética, quando a situação com a qualidade das dentaduras fabricadas estava longe de ser a melhor.

Nota
Como o nome indica, uma prótese total é chamada de prótese usada na ausência completa de dentes na cavidade oral. Tais próteses são removíveis - quando o próprio paciente pode removê-las (por exemplo, para realizar procedimentos de higiene) e condicionalmente removíveis - quando a prótese só pode ser removida por um médico usando ferramentas especiais.
Felizmente, a medicina não pára e, hoje, mesmo com a completa ausência de dentes na cavidade oral, podem ser encontradas soluções ortopédicas convenientes o suficiente, que não apenas restauram a capacidade de mastigar alimentos normalmente, mas também restauram a beleza perdida de um sorriso.


E por último, mas não menos importante, hoje em dia uma prótese total não precisa ser desconfortável para desgastar, esfregar as gengivas, causar reflexos de vômito ou atrapalhar a dicção. Por exemplo, existem próteses removíveis condicionais, sem palato, fixadas em implantes, que mudam radicalmente a ideia das possibilidades de próteses em pacientes "sem dentes". A combinação de tratamento cirúrgico e ortopédico permite não apenas melhorar as qualidades estéticas das próteses, mas também garantir sua fixação confiável, melhorando significativamente as características funcionais que proporcionam conforto durante as refeições, conversando, cantando etc.
Existem opções interessantes para próteses sem implante, quando, por uma quantidade relativamente pequena, você pode obter uma prótese removível completa muito conveniente e atraente externamente.
Falaremos sobre tudo isso em mais detalhes mais tarde ...
Quais são as variedades de próteses removíveis completas no arsenal de dentistas
A prótese total removível é considerada uma das áreas mais difíceis da ortopedia - porque a prótese precisa ser fixada de alguma forma na cavidade oral, onde, ao que parece, simplesmente não há nada para consertar. Próteses parciais removíveis podem ser conectadas aos dentes restantes (pilar), mas com próteses totais você precisa procurar métodos alternativos de fixação.

Nesse caso, o dentista ortopédico deve considerar as seguintes nuances:
- Causas de perda dentária. Por exemplo, dificuldades com próteses removíveis completas podem ocorrer quando os dentes são removidos no fundo de periodontite generalizada grave (a situação é muito mais fácil com a remoção planejada de “raízes” relativamente fortes que não podem ser restauradas);
- Tempo desde a extração do dente. Se todos os dentes foram removidos há muito tempo (por exemplo, há mais de 10 anos), o grau de atrofia do tecido ósseo do processo alveolar da mandíbula será significativo e as condições da prótese serão piores do que se ela fosse realizada logo após a extração do dente (1-2 anos);
- Doenças e operações passadas e em andamento na mandíbula. Várias doenças somáticas (especialmente as graves) podem piorar as condições de uma prótese total removível, forçando um dentista ortopédico a procurar alternativas adequadas.Isso se aplica principalmente a pacientes idosos e pessoas com patologias combinadas (doenças do sangue, patologias endócrinas, oncológicas, musculoesqueléticas, etc.).
Na prótese, o dentista ortopédico leva em consideração a condição da articulação temporomandibular (ATM), as membranas mucosas (flexibilidade, mobilidade), o grau de atrofia do tecido ósseo, verifica a condição dos cordões e a presença de cicatrizes, bem como a profundidade do céu (profunda, média, plana) e uma série de outros fatores que, no caso da fabricação de uma prótese total, podem desempenhar um papel decisivo.

Nota
Tendo determinado as condições de uma prótese removível completa (favorável ou complexa) e as capacidades financeiras do paciente, o médico pode oferecer a melhor opção para a prótese futura, explicando as armadilhas de cada uma das opções possíveis.
É claro que nem todos poderão comprar próteses completas sem céu com fixação em implantes (isto é, removíveis condicionalmente), embora sejam o mais convenientes e estéticos possíveis. Ao escolher mais opções de orçamento, faz sentido dar preferência, se, novamente, a oportunidades financeiras, a produtos feitos com os materiais mais modernos. Próteses menos confortáveis, feitas de plástico acrílico duro.
Dentaduras removíveis completas, dependendo do material utilizado em sua fabricação, são:
- Acrílico
- Nylon
- Silicone;
- Poliuretano
Todas essas próteses removíveis são fixadas na cavidade oral devido ao mecanismo de adesão (elas são presas ao palato e às gengivas - portanto, às vezes são chamadas de próteses nas ventosas, embora não existam ventosas como tais em seu design).
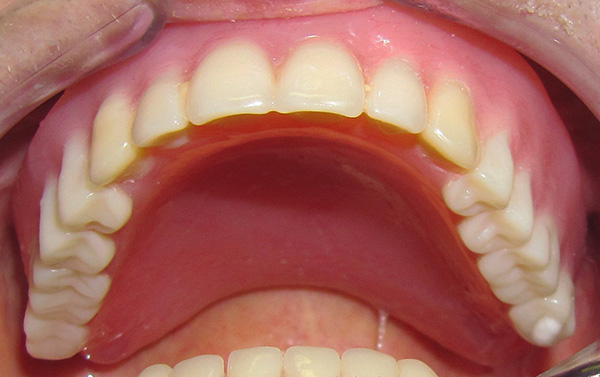
As fotografias abaixo mostram dentaduras feitas recentemente em nylon (cheias na mandíbula superior e parciais na parte inferior):

Quanto aos tipos de fixação de próteses removíveis condicionalmente fixadas em implantes instalados com antecedência, as seguintes opções são distinguidas aqui:
- Capa;
- Botão de pressão;
- Com braçadeiras de viga.
Cada uma das próteses, começando pela mais simples (acrílica) e terminando com qualquer removível condicional, tem suas vantagens e desvantagens. A escolha da opção depende das capacidades financeiras do paciente. É importante ter em mente que, independentemente do tipo de prótese total escolhida, o resultado do tratamento dependerá diretamente do nível de treinamento do cirurgião ortopédico, do técnico em odontologia e da logística da clínica.
Da prática do dentista
Se você pedir uma prótese em odontologia no porão de um prédio de apartamentos, onde o médico tira coroas do "prestador" embrulhado em um punho de papel de jornal, é difícil contar com trabalhos de primeira classe. Em muitos casos, os pacientes não conseguem se acostumar com essas próteses - devido a erros de fabricação, elas interferem bastante e esfregam a membrana mucosa. Como resultado, a prótese está espanando na prateleira, pois o paciente não a usa.
Próteses totais removíveis em plástico acrílico
As primeiras técnicas de fabricação de próteses removíveis completas feitas de plástico acrílico (AKR-7) foram introduzidas no início da década de 1940 e ainda são amplamente utilizadas na produção de bases de vários projetos modernos em odontologia ortopédica.

A base é a base de uma prótese removível completa na qual os dentes artificiais são fixados. Na mandíbula superior, a base é uma placa que cobre a membrana mucosa do palato duro e do processo alveolar e, na mandíbula inferior, a membrana mucosa da parte alveolar por fora e por dentro.
Nota
Pelo motivo de a base de uma prótese removível completa ser uma placa, essas próteses também são chamadas de laminares.
Uma prótese removível completa não tem a capacidade de "agarrar-se" aos dentes, pois estão completamente ausentes.Portanto, essas construções na mandíbula superior usam o efeito de “sucção” no céu, bem como um certo efeito antideslocamento que fornece as dobras anatômicas naturais e a crista alveolar.

A prótese da mandíbula inferior não possui uma área de “sucção” tão grande como no caso da prótese da mandíbula superior adjacente ao céu. O design é realizado às custas de formações anatômicas naturais - em grande parte devido ao encaixe firme na parte alveolar.
Entre as vantagens de uma prótese total removível em acrílico estão:
- Preço baixo em comparação com outros modelos;
- Possibilidade de reparo para vários tipos de danos;
- Facilidade de operação;
- Estética aceitável, dada a verificação relativamente baixa do serviço.





No entanto, essas próteses não apresentam falhas graves:
- Alergia ao monômero residual em bases acrílicas (embora em opções mais caras haja maneiras de excluir o monômero do plástico);
- A relativa fragilidade do plástico e o risco de fratura sob alta carga simultânea;
- Baixa elasticidade devido ao plástico acrílico duro;
- Inconsistência frequente do alívio da superfície interna da base com o leito protético da membrana mucosa (como resultado, a confiabilidade da fixação da estrutura na cavidade oral é reduzida).
Nota
As próteses acrílicas podem ser de alta tecnologia. Por exemplo, em 2015, surgiram na Rússia as tecnologias da empresa suíça “CANDULOR”, oferecendo uma linha de próteses removíveis acrílicas de alta qualidade. Alta estética é alcançada, inclusive através do uso de plástico, que imita em detalhes o sistema capilar gengival.
A situação é semelhante com as próteses à base de outros polímeros (poliuretano, silicone, nylon): existem produtos de baixo custo e outros mais caros e tecnológicos. Por exemplo, para a fabricação da base de uma prótese removível completa, pode-se usar o material "Dentalur" à base de poliuretano. Ele foi premiado com a Medalha de Ouro do Nono Fórum Internacional de Altas Tecnologias do século XXI e outros prêmios. As próteses dentárias são duráveis, razoavelmente flexíveis (confortáveis por causa disso) e têm uma vantagem cosmética significativa sobre as próteses padrão feitas de plástico acrílico.
Dentaduras de nylon: seus prós e contras
Hoje, as próteses totais removíveis de nylon estão no auge de sua popularidade nos últimos 10 anos - e há várias razões para isso.

Aqui estão algumas das principais vantagens das próteses de nylon:
- Sem alergias ao material. No caso de uma prótese de nylon, diferentemente do acrílico, não há risco de desenvolver uma reação alérgica ao monômero plástico. Nesse contexto, o nylon ganha muito em comparação com o plástico acrílico, especialmente em próteses totais removíveis;
- Alto desempenho estético. Este parâmetro pode até ser colocado em primeiro lugar. Comparadas às mesmas próteses acrílicas, as de nylon parecem "ricas" e, se se pode dizer isso em relação a uma prótese total, é linda (não é à toa que às vezes são chamadas de próteses invisíveis);
- Conforto durante o uso. Na maioria dos casos, essas próteses são mais fáceis de se acostumar e adaptar do que as acrílicas padrão;
- Resistência a danos mecânicos. Essa qualidade se deve em grande parte à elasticidade da prótese - não é frágil, diferentemente do plástico acrílico. É muito difícil quebrar uma prótese de nylon ou danificá-la de alguma forma.
Nota
Para ser justo, é preciso dizer que a publicidade desempenha um papel importante no aumento da popularidade das próteses removíveis de nylon. Esses produtos são muito mais caros do que as próteses acrílicas, e as clínicas odontológicas, é claro, são mais lucrativas para o paciente preferir uma prótese feita de nylon.

No entanto, por todas as suas vantagens, as próteses de nylon mantêm uma série de desvantagens, que são úteis para conhecer antecipadamente (de várias maneiras, esses defeitos são característicos das próteses totais removíveis em geral):
- Atrofia gradual do leito protético. Na completa ausência de dentes, as cristas alveolares, sofrendo uma carga desigual da prótese, “caem” fortemente. O processo pode levar anos, mas é quase inevitável;
- Uma rápida perda de qualidades estéticas. Ao longo dos anos, é possível alterar a cor da prótese, o que mais cedo ou mais tarde exigirá a substituição do produto;
- Reparar uma prótese de nylon (ao contrário do acrílico) é praticamente impossível - será mais fácil fazer um novo produto.
É interessante
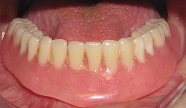
Graças às próteses, o Acry Free conseguiu combinar as propriedades positivas das próteses de acrílico e nylon, eliminando uma série de desvantagens que criam obstáculos para liberar próteses com acrílico e nylon. O acre-fri possui boa adesão ("aderência") à membrana mucosa, o que aumenta a possibilidade de fixação na completa ausência de dentes na mandíbula superior e inferior. A prótese é leve, não alergênica, capaz de corrigir e o mais importante - em menor grau provoca o fenômeno de atrofia do osso alveolar.
A foto abaixo mostra a prótese Acry-Free:
Características de próteses com estruturas condicionalmente removíveis
No contexto do exposto, surgem várias questões bem fundamentadas:
- Tais métodos de fixação de próteses totais, como "sucção" e retenção anatômica (retenção devido a formações anatômicas), são suficientes para uma fixação confiável da estrutura na cavidade oral e um uso confortável?
- É possível melhorar de alguma forma a confiabilidade da fixação da prótese e aumentar o grau de conforto ao usá-la?
Pessoas ativas de idade avançada são especialmente importantes não apenas para dentaduras bonitas, mas também para "sentar" de maneira confiável que podem mastigar quase qualquer alimento normalmente.

Da prática do dentista
Nem todos os pacientes têm paciência para usar uma prótese removível, que, apesar de não "esfregar", não "aperta", não "esmaga", mas na cavidade oral ainda há a sensação da presença de um objeto estranho. E o mais desagradável é que não há certeza de que esse "objeto estranho" de repente não caia da sua boca, por exemplo, quando você espirra ...
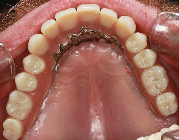
As próteses significativamente removíveis com a fixação da prótese em implantes fornecem assistência significativa na fixação confiável de próteses totais. O uso de implantes dentários permite não apenas reduzir significativamente o tamanho da prótese futura, tornando-a o mais confortável e fácil de usar quanto possível, mas também elimina completamente a opção de “colar” a prótese durante a mastigação ou a fala.

No momento, existem vários tipos de sistemas de implantação para fixar uma prótese removível:
- Implantes clássicos - clássicos são colocados no osso esponjoso dos processos alveolares. Normalmente, as próteses são alongadas por vários meses, enquanto os implantes criam raízes no tecido ósseo;

- Basal - no osso denso, mais profundo que o osso esponjoso, são instalados implantes basais. Nesse caso, mesmo com atrofia significativa do osso dos processos alveolares, não há necessidade de construí-lo (ou seja, geralmente não é necessária cirurgia de elevação do seio);

- Mini-implante - neste caso, mini-implantes estreitos são instalados no osso, projetados para fixar a prótese. Ao contrário dos implantes clássicos e basais, os mini-implantes não são projetados para uma carga significativa; portanto, uma prótese completa também deve distribuir a carga para outras partes da cavidade oral (palato, gengiva).

Por métodos de fixação de próteses removíveis completas em implantes, um nicho significativo na odontologia ortopédica é ocupado por:
- Micro-travamento;
- Fixadores de vigas;
- Grampos magnéticos;
- Tipos esféricos (esféricos) de fixação;
- Anéis de silicone;
- Opções combinadas.
Nota
A pré-instalação de implantes torna as próteses removíveis completas tão confiáveis e confortáveis quanto possível, especialmente em casos difíceis (com atrofia significativa da crista alveolar, cordões etc.), quando o uso de praticamente qualquer prótese (acrílica, nylon, sem acre) promete inúmeras viagens ao dentista - um ortopedista, atormentado durante o vício e, como a opção mais extrema, enviando um “puxador” para a prateleira.
A fixação do feixe em implantes clássicos ou basais é considerada uma das mais confiáveis e duráveis - fornece um ajuste e fixação confiáveis da prótese, mesmo em condições não ideais da prótese.


Retentores magnéticos (acessórios) seguram a prótese devido à atração magnética. Esta opção de montagem, em comparação com outros métodos, não oferece confiabilidade máxima ao segurar a prótese.
Quanto aos acessórios esféricos, alguns especialistas dizem que os materiais desse tipo de fixação tendem a desgastar e falhar (embora existam sistemas com peças laváveis substituíveis - substituí-las não requer muito tempo e dinheiro).
Atualmente, o mini-implante é usado ativamente (e está sendo promovido na publicidade por muitas clínicas) para fixar dentaduras na mandíbula desdentada, no entanto, alguns especialistas acreditam que os mini-implantes são adequados apenas para próteses temporárias, mas não permanentes. Os mini-implantes dentários diferem de outras versões simplificadas dos protocolos cirúrgicos e ortopédicos, além do baixo custo. Eles podem ser instalados mesmo nos casos clínicos em que o uso de implantes clássicos é impossível sem operações preparatórias adicionais, que podem ser difíceis de tolerar ou contra-indicadas, principalmente na terceira idade.
Quanto aos implantes instalados nos implantes, eles podem ser feitos com os mesmos materiais que as próteses removíveis (geralmente de nylon, sem Acre, poliuretano).
Os princípios de fabricação de próteses removíveis completas e sua instalação na cavidade oral
Uma das etapas mais importantes da prótese é o exame do paciente - inclui o estudo do estado de saúde geral, possíveis alergias a certos medicamentos (materiais), bem como a avaliação da condição do leito protético de várias maneiras.

Muita atenção é dada à avaliação do grau de atrofia dos processos alveolares na mandíbula superior e inferior. A condição da membrana mucosa é verificada: mobilidade, cor, "friabilidade", condição das dobras ao longo da crista e outros pontos. Tudo isso nos permite esclarecer as importantes nuances do design da futura prótese.
Abaixo, no exemplo de uma prótese removível completa feita de plástico acrílico, são consideradas as principais etapas de fabricação desse projeto:
- Imprimindo e enviando-os ao laboratório para técnicos dentários;
- Modelos de fundição;
- Fazendo colheres individuais (conforme necessário);
- Criando uma base com rolos de mordida;
- Determinação da oclusão central usando estes rolos de cera;
- Produção de uma base para rolos de mordida (modelagem em relevo);
- Colocar os dentes no vidro ou no avião;
- Modelo de gesso;
- Evaporação de cera;
- Mistura e "embalagem" de plástico;
- Acabamento da prótese;
- E, finalmente, a entrega da prótese ao paciente é um encaixe na cavidade oral.

É interessante
As dentaduras acrílicas removíveis padrão são feitas da seguinte forma: o material líquido é derramado no molde, onde polimeriza e endurece. Nesse processo, ocorre um grande encolhimento do material, ou seja, uma diminuição no seu volume, como resultado da qual a prótese pode não corresponder ao leito da prótese e pode não aderir com precisão a ele. Além disso, os microporos geralmente se formam na base, onde a placa bacteriana se acumulará no futuro, provocando mau hálito.
A nova técnica de criação de próteses acrílicas usando o sistema IVOCAP (Ivocap) da empresa IVOCLAR (Suíça) eliminou esses problemas por moldagem por injeção - o plástico é dosado com cápsulas e prensado sob pressão e temperatura constantes. Com este método de fabricação, as características da prótese são aprimoradas.
Como cuidar de uma prótese para que ela dure mais
Depois que o paciente recebe uma prótese removível completa, o cirurgião ortopédico sempre explica as nuances de sua fixação na cavidade oral e, às vezes, também ensina exercícios especiais de fala para uma rápida adaptação ao produto. Também é dada muita atenção às regras de cuidados protéticos, a fim de aumentar sua vida útil e minimizar a perda de estética.

Importante saber
As próteses removíveis completas precisam de limpeza diária, mesmo que sejam apertadas às mucosas e criem áreas mal lavadas pela saliva.
Os produtos de cuidados mais comuns para próteses totais:
- Comprimidos e pós de limpeza (dissolvidos em água, após o que uma prótese é colocada na solução resultante);


- Todos os tipos de soluções prontas para a desinfecção de dentaduras;
- Escovas para limpar a prótese;
- Pastas de dentes (as mais comuns são adequadas, o principal é não usar pastas altamente abrasivas, pois podem levar à abrasão do plástico).
Esquema padrão de atendimento de próteses:
- De manhã e à noite, limpe as partículas de alimentos e a placa bacteriana usando pasta de dente e uma escova. Nesse caso, deve-se prestar atenção à limpeza não apenas da superfície externa da prótese, mas também da interna, que está em contato com a gengiva e o palato;
- Lave a boca após cada refeição e lave a prótese em água corrente;
- Limpe a prótese antes de dormir usando soluções especiais.
Para alguns, pode parecer surpreendente, mas a placa e até o tártaro também podem ser depositados nas dentaduras, por isso é útil fazer exames preventivos pelo menos uma vez por ano. Em caso de contaminação significativa da prótese, ele é encaminhado para um laboratório dentário, onde o técnico processa a prótese no estado ideal.

O cuidado adequado da prótese é a chave não apenas para o longo tempo de serviço, mas também é um fator importante que determina a saúde das mucosas, a ausência de odor podre na boca e a preservação das características estéticas (Você não quer que os dentes artificiais da prótese fiquem marrons e o plástico se torne artificial para as gengivas?)
Quanto custa o "extrator" completo agora?
O custo de uma prótese total é determinado por vários fatores, entre os quais os mais importantes são os seguintes:
- O material do qual a prótese é feita (por exemplo, uma prótese acrílica será mais barata que uma prótese de nylon);
- A presença na clínica do seu laboratório dentário;
- Nível de qualificação do pessoal;
- Localização territorial da odontologia (os preços em megacidades geralmente são mais altos que nas pequenas cidades);
- Características individuais do paciente (algumas nuances anatômicas podem complicar a fabricação de uma prótese de qualidade).
Para simplificar, hoje, apenas as próteses totais removíveis feitas de plástico acrílico comum são relativamente baratas - seu uso é considerado a opção mais econômica para próteses completas.

Comentários
“Apenas duas semanas eu uso a prótese superior e inferior de acrílico. O superior senta-se maravilhosamente, e o inferior caminha. Basta mover a língua, pois a prótese sobe imediatamente. Eu nem sei com o que isso está conectado ... "
Inna, Moscou
Aqui estão exemplos de preços para próteses totais em uma das clínicas em São Petersburgo:
- Prótese acrílica - de 8 mil rublos;
- Uma prótese de Dentalur - de 12 mil rublos;
- Prótese lamelar (plástico Ivoclar) - de 14 mil rublos;
- Prótese de nylon - de 20 mil rublos;
- Prótese de nylon (materiais fabricados na Alemanha), Acre Free - a partir de 25 mil rublos;
- Prótese removível (materiais fabricados na Suíça) "Kandulor" - de 40 mil rublos.
A combinação de cuidados ortopédicos e cirúrgicos muitas vezes aumenta o preço do tratamento de um paciente com completa ausência de dentes - quando se trata de próteses removíveis condicionalmente, o custo da implantação em si é a principal contribuição para o preço final.
Se você tiver experiência pessoal usando uma prótese removível na ausência completa de dentes na mandíbula superior ou inferior - compartilhe as informações deixando sua opinião na parte inferior desta página (na caixa de comentários).
O que é importante saber sobre próteses de nylon (isso não é mencionado na publicidade)
Nuances interessantes de projeção removível completa







Eu tenho uma prótese superior e inferior. Eles colocaram para mim há 20 anos. À noite eu nunca decolo, escovo como dentes comuns. Nunca voou, nunca cedeu nunca. A única coisa é que, quando as sementes foram quebradas, um dente no dente se formou. Então, eu estou muito feliz com meus dentes. E, no entanto, há 20 anos eu defini isso, muito barato. E agora, nem todos podem inserir seus próprios dentes.
Que prótese você colocou?
Em 15 de maio de 2018, ela inseriu uma prótese removível de acrílico na mandíbula superior. Minhas impressões: ao falar, a prótese “anda”, cece, a mordida muda e me deixa desconfortável. O preço da prótese é de 20.000 rublos. O dinheiro não é louco, mas eu realmente quero uma prótese confortável. Eu acho que talvez em outra clínica para pedir uma nova. Protetizado no CMSC-38.
Eu queria inserir uma prótese na mandíbula superior. O Alfa Bank recusou. Apenas algo precisava de 30.000.
Coloque uma prótese de acrílico - horror! Tudo interfere, quero removê-lo rapidamente.
Então, eu tenho o mesmo, também os dentes parecem cavalos.
Por 12 anos eu uso próteses removíveis. No começo eram parciais, mas agora vou pedir os completos, já que não restam dentes. Minhas dentaduras são acrílicas. Talvez porque meu reflexo de vômito seja mal expresso, eu não me acostumei a eles por muito tempo, cerca de duas semanas, embora o médico tenha avisado que eu me acostumaria com o mês, com certeza. Agora estou pensando em qual material escolher. Ainda assim, o acrílico é bastante resistente. Embora não tenha tido problemas em particular ao usá-los. As sementes de girassol, é claro, não clicaram, mas mastigaram alimentos bastante sólidos.
Eles fizeram uma prótese total de acrílico na mandíbula superior. Inconvenientemente. Reflexo de vômito. Mas eu aguento. Entendo que leva muito tempo para se acostumar e ser paciente. Decepcionado com estética. Alguns dentes são longos, ou apenas ficam abaixo. Como um coelho. Eu não gostei Os deles eram menores e com um sorriso, as gengivas não eram visíveis. E agora, como um cavalo ((
O primeiro dia sem um único dente. As esponjas falharam. Com 15 anos, li críticas sobre próteses - ultramodernas que não posso pagar. Acrílico provavelmente puxa. E como eu imagino que tenho que colocar isso na minha boca, isso me deixa doente. Agora você entende que precisa cuidar dos dentes e tratar a tempo.
Ela colocou uma prótese total de acrílico por cima. Pelo contrário, meus dentes ficaram pequenos, não são visíveis com um sorriso. Em geral, dói sorrir - a prótese fecha o septo (ou como é chamado, do lado de dentro do lábio). A prótese antiga era mais larga que a inferior, mas essa, pelo contrário, era menor. Mal posso esperar para a noite decolar. Coloquei antes do Ano Novo e nem sei como explicar ao ortopedista o que está errado. Especialistas, aconselhar, por favor.
Olá Natalya! Se a prótese foi feita incorretamente no tamanho, não posso garantir nada - a posição conveniente do produto, sua largura e comprimento podem ser ajustados apenas com a criação de uma nova prótese.
Mas o problema de sobreposição e inconveniência no frênulo do lábio superior pode ser resolvido com a simples correção da prótese. Para correção, entre em contato com seu médico (dentista ortopedista) e explique tudo com suas próprias palavras: é doloroso sorrir, que a prótese repouse no septo pelo lado de dentro do lábio. Um bom médico entende tudo rapidamente.
Dentaduras acrílicas removíveis podem ser usadas apenas na posição mais desesperadora. É inconveniente, incomum remover e colar - esfrega em algum lugar, impede você de falar, as sensações gustativas são perdidas. Pense 10 vezes.
Quero que o pai coloque dentaduras. Por favor, informe quais são melhores? Dinheiro para o papa não é uma pena, o principal é que ele seja conveniente e confortável.
Olá Nazgul! O fato é que a melhor opção protética é sempre determinada apenas durante um exame pessoal por um dentista ortopédico e depende em grande parte da condição da cavidade oral do paciente (quantos dentes foram preservados, em que condição estão etc.) Portanto, basta dizer que a melhor uma opção é uma prótese de fecho ou a prótese laminar estaria incorreta.
Antes do ano novo, coloquei uma prótese removível de plástico acrílico na mandíbula superior, com uma completa ausência de dentes. Meus queridos, experimentei essa depressão ao remover minhas últimas raízes. Eu estava muito preocupado que houvesse uma prótese removível ((mas eles definem, e eu estou muito feliz! Toda a minha vida fui atormentada, curada, tratada da bancada da escola, depois pontes de metal-cerâmica (há 20 anos, custou muito dinheiro e esforço). Em geral, não tenha medo, o principal é que está tudo bem, estou acostumado com a prótese em uma semana. Claro, eu corri cerca de uma semana, limpei um pouco, depois lá. Terlo no começo, mas agora estou muito feliz! E estética, seus dentes são curtos ou longos - você vai tentar, pergunte o que quiser, informe o seu médico. Sou perfeito em cores e comprimento Agora, chegou a hora da mandíbula, estou preocupada novamente (em todos os lugares que escrevem que a prótese removível inferior não se sustenta, minha saúde não permite implantes e não há tempo nem dinheiro).
Diga-me, compartilhe sua opinião: tudo é realmente tão impossível sem implantes?
A situação com fixação na mandíbula inferior depende diretamente do grau de atrofia da crista alveolar (gengiva). Além disso, se necessário, você sempre pode usar ferramentas especiais para fixar a prótese, para que a situação não seja desesperada.
Você também pode consultar vários implantologistas sobre técnicas de implantação imediata - elas têm menos restrições de saúde e custos mais baixos.