
Em seguida, você aprenderá:
- O que são próteses removíveis feitas de plástico acrílico e como elas se parecem na prática;
- O que são próteses acrílicas em geral e como elas podem ser fixadas na mandíbula;
- Prós e contras das dentaduras acrílicas e por que os dentistas, ao contrário dos pacientes, as consideram apenas como estruturas ortopédicas temporárias;
- Como ocorre exatamente a fabricação de uma prótese removível de plástico acrílico e em que estágios é necessária a presença obrigatória do paciente;
- Como cuidar de próteses acrílicas para que durem muito tempo e não danifiquem a cavidade oral;
- É possível reparar uma prótese acrílica quebrada por conta própria em casa e que nuances importantes devem ser levadas em consideração;
- E finalmente, quanto custam as próteses acrílicas removíveis e quais fatores determinam diretamente seu preço ...
Apesar das críticas crescentes da prática de dentistas ortopédicos de próteses removíveis de plástico acrílico, esses desenhos ortopédicos, apesar de suas deficiências, ainda estão entre os mais comuns e populares na Rússia.
No entanto, antes de falar sobre os prós e os contras das próteses acrílicas, vamos primeiro ver que tipo de design é, como fica e como realmente “funciona” na prática.
Simplificando, uma prótese acrílica é uma construção plástica removível que substitui os dentes perdidos pelo paciente e, como resultado, permite mastigar totalmente os alimentos e ter um sorriso muito agradável. A base dessa prótese (base) feita de plástico rosa imita a gengiva e o palato (para a mandíbula superior) e é ajustada individualmente à mandíbula de um paciente em particular. Na base plástica, os dentes artificiais são fixados - eles são padrão e são retirados por um técnico de odontologia a partir de conjuntos especiais de dentes artificiais.

Como o nome indica, a característica mais importante de uma prótese acrílica removível é a capacidade do paciente de remover a estrutura a qualquer momento e, posteriormente, se necessário, é fácil instalá-la novamente. No caso de próteses fixas, isso não é possível: por exemplo, é impossível remover pontes ou, por exemplo, coroas, fixadas em pilares com cimentos especiais.
Nota
Como você entende, o fato de a prótese feita de plástico acrílico ser removível é percebida pela maioria das pessoas como um sinal de menos, e não como uma vantagem. Poucas pessoas estão felizes com a idéia de que terão que usar as chamadas “mandíbulas inseridas”, que, mesmo por uma hora, também podem se afastar da mandíbula (cair) no momento mais inoportuno.
No entanto, nem tudo é tão ruim: alguns tipos de próteses feitas de plástico acrílico podem ser fixadas com ganchos de metal (grampos) ou travas especiais para os dentes do pilar. Em alguns casos, essa fixação é tão eficaz que, sem esforço significativo (com menos frequência - sem a ajuda de um dentista), a prótese não pode ser removida.
Para ser honesto, é preciso dizer que as próteses removíveis de plástico acrílico, apesar de alguma obsolescência dessa tecnologia de próteses, estão longe de ser negativas, mas também existem muitas positivas, tanto de dentistas quanto de pacientes.
Em geral, esses projetos existem desde a era da odontologia soviética e, embora durante esse tempo a técnica de fabricação tenha sofrido várias alterações significativas, em qualquer caso, o principal material da prótese permanece acrílico, que os dentistas pegaram em armas por várias razões (falaremos mais sobre isso abaixo). Quanto às análises negativas dos pacientes na Internet sobre o uso de próteses acrílicas, é útil considerar esses comentários sob um certo ângulo crítico: as pessoas que gostam de próteses com prazer geralmente raramente escrevem sobre elas em sites.Mas aqueles que enfrentam um determinado problema, via de regra, buscam ativamente compartilhar uma crítica ruim, enfatizando a terrível qualidade do produto em si e os resultados deploráveis de seu uso.

Comentários:
“Meu marido usa uma prótese de acrílico há 3 anos, resmungando o tempo todo. No começo, a prótese esfregava as gengivas, tudo bem, desceu, corrigiu alguma coisa, ficou melhor. Mas ainda não consegui me acostumar por muito tempo, reclamei que o sabor da comida não parece, interfere na conversa. E, além de problemas de dicção, também há boca seca. Então ele raramente começou a usá-lo, ele diz que se sente incapacitado com ele ... "
Oksana, São Petersburgo
Mas as próteses acrílicas são tão terríveis, como às vezes são escritas em revisões, ou essa opção protética pode realmente se tornar uma boa escolha, tanto do ponto de vista funcional quanto estético? Vamos descobrir ...
O que são próteses acrílicas
Então, o que é uma prótese acrílica que examinamos nos termos mais gerais acima? No entanto, você deve ter em mente que existem vários tipos de próteses feitas de plástico acrílico - vamos falar sobre elas.
Vamos começar com as chamadas próteses totais em acrílico - elas são feitas na ausência de todos os dentes na mandíbula. Por conseguinte, pode haver uma prótese completa da mandíbula superior e uma prótese completa da mandíbula inferior. No caso em que não há dentes na cavidade oral, ambos são instalados de uma só vez.

Na mandíbula superior, o osso alveolar, palato, dobras naturais e zonas de retenção anatômica servem de suporte para a prótese. Na mandíbula inferior, há menos oportunidade de segurar a prótese acrílica, pois não há opção de sucção, como a estrutura superior, que pode ser fixada ao céu. Por conseguinte, a prótese acrílica removível inferior é capaz de reter, em primeiro lugar, devido a formações anatômicas naturais e adesão (adesão) à gengiva no processo alveolar.
É interessante
Para realizar próteses removíveis na completa ausência de dentes, um dentista ortopédico depende da condição dos processos alveolares, cordões, complacência da membrana mucosa, frênulo, etc. Na maioria das vezes, uma prótese removível completa é procurada quando ocorre uma atrofia grave dos processos alveolares. É mais frequente em idosos, pessoas com deficiência, pacientes gravemente enfermos que, por razões financeiras (na maioria das vezes), negam a si mesmos tratamento ortopédico.
Freqüentemente, os pacientes são puxados até que surjam sérios problemas de saúde: ruptura do trato gastrointestinal, formação de "expressão facial senil", extensão da mandíbula, problemas com a articulação temporomandibular, contra os quais às vezes ocorrem problemas de fala e audição. O sucesso da prótese nesses pacientes depende diretamente não apenas das táticas do dentista, mas também das condições da cavidade oral para segurar a prótese. É exatamente isso que determina o estado de conforto ao usar uma estrutura plástica acrílica.

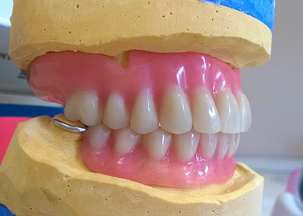
No entanto, próteses parciais de acrílico são mais comumente usadas. Na presença de pelo menos vários dentes na cavidade oral, a situação com a fixação conveniente de estruturas plásticas é muito mais favorável do que com a adentia completa. Isso se deve ao fato de que, para retenção efetiva adicional de uma prótese acrílica parcial, 1 ou mais dentes são utilizados como suporte.
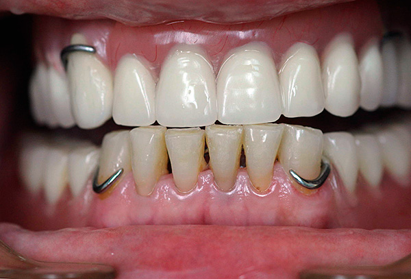
A fixação do fecho é uma das mais comuns: o fecho da prótese (em outras palavras, o gancho) cobre os dentes escolhidos para apoio acima da margem gengival, o que garante uma fixação confiável da estrutura (veja o exemplo na foto abaixo).

Nota
As próteses de plástico também podem ser fixadas condicionalmente - por exemplo, as próteses de cobertura montadas nas raízes dos dentes preparados para próteses ou implantes instalados previamente. Esses projetos são funcionais e parecem esteticamente agradáveis, e apenas um médico pode removê-los usando ferramentas especiais.
As próteses de cobertura não removíveis geralmente são feitas não de plástico acrílico, mas de nylon mais flexível, e também vêm em dois tipos: parcial (fixa às raízes) e completa (acoplada a implantes montados na ausência de todos os dentes).
Separadamente, vale mencionar próteses parciais feitas de plástico acrílico, que apresentam inúmeras críticas positivas de pacientes agradecidos. O fato é que essas chamadas próteses de borboleta são uma excelente opção para próteses temporárias quando você precisa remover um dente (ou vários dentes ao mesmo tempo), mas não deseja andar com um "orifício" na dentição por um longo tempo. O plástico acrílico ainda é um material de corrida para a fabricação de próteses de borboletas.

Também gostaria de observar um ponto importante sobre o qual muitos pacientes pensam pouco: os dentistas consideram todas as próteses removíveis de plástico acrílico como estruturas para próteses temporárias. Ou seja, supõe-se que, idealmente, o paciente instalará posteriormente, por exemplo, implantes que impedirão a perda óssea (após o uso prolongado de próteses plásticas removíveis, o osso não recebe carga mastigatória suficiente e atrofia gradualmente - é possível, por exemplo, alterar as características faciais).
É claro que nem todo paciente está disposto a se instalar para a instalação de implantes caros. Acontece que "nada é tão permanente quanto temporário" ...
Os benefícios das próteses acrílicas
Antes de apontarmos os aspectos positivos das próteses acrílicas, vamos primeiro esclarecer alguns detalhes. Hoje, em regra, certos prós e contras de próteses feitas de plástico acrílico se opõem às características das próteses de nylon, posicionadas como mais modernas. E a questão-chave que interessa a muitas pessoas nesse sentido se resume, em geral, ao seguinte: qual prótese é melhor, acrílica ou nylon?
A foto abaixo mostra um exemplo de uma prótese parcial de nylon na mandíbula superior:

Portanto, do ponto de vista profissional e estritamente falando, é melhor o que não só é mostrado em uma situação clínica específica, mas também permitirá resolver no máximo problemas no futuro com o mínimo impacto negativo. E perguntar ao dentista qual prótese é melhor é o mesmo que perguntar ao gerente da concessionária qual carro é melhor: aquele que é mais barato ou o que é mais caro. Ao escolher um componente financeiro nos dois casos, ele deve ser levado em consideração, se não no primeiro, e de maneira alguma o mínimo.
No entanto, muitas vezes os médicos ortopédicos pouco conscientes especulam com as vantagens de projetos caros, destacando especialmente as desvantagens de próteses acrílicas mais baratas. Mais precisamente, eles retiram do contexto a propriedade negativa encontrada em uma determinada construção, alertando o paciente sobre um perigo que não existe para ele. Como resultado, os métodos e materiais que foram testados ao longo dos anos começam a ceder sob o ataque de produtos mais "amontoados" nos pacientes e mais convenientes para a carteira do médico.
Enquanto isso, a verdade simples é bastante óbvia: não há próteses ideais universais. Alguns aqui podem objetar: assim - eu tenho uma prótese e a uso sem problemas. De fato, todo caso de sucesso é resultado de um diagnóstico correto e de um plano selecionado individualmente para tratamento ortopédico. Simplificando, uma avó de uma prótese acrílica convencional será suficiente para uma vida confortável e uma carteira, enquanto outro avô não terá a prótese de nylon mais avançada, mas seu vizinho no país se sairá bem.

Agora vá para os detalhes.
As principais vantagens das próteses acrílicas:
- Custo relativamente baixo.Para muitas pessoas, o baixo preço da prótese pode causar dúvidas sobre a qualidade do design, mas nas mãos de um médico habilitado, uma prótese de acrílico pode resolver seus problemas ao máximo, tanto em termos funcionais quanto estéticos. Como resultado, você pode obter dentes artificiais por pouco dinheiro e, em alguns casos, até de graça (graças ao programa MHI, aposentados e determinadas categorias sociais de pessoas têm a oportunidade, por sua vez, de receber gratuitamente próteses parciais ou totais de acrílico);
- Facilidade de uso. Uma prótese acrílica fabricada adequadamente é fácil de colocar e retirar, e não é muito mais difícil de cuidar do que com seus próprios dentes;
- Leveza e resistência do material;
- A possibilidade de fabricar em uma visita;
- Características estéticas aceitáveis ou até excelentes, no caso de uma seleção competente da cor dos dentes artificiais;
- Possibilidade de reparo após avaria;
- Distribuição de carga adequada durante a mastigação.
Comentários
“Agora até os jovens vão com dentaduras e normal. Então eu decidi, vou colocar uma prótese na mandíbula. O que será, já será, eu já preparei minha boca, haverá coroas na frente e uma prótese de acrílico estará atrás. Minha amiga já tem uma prótese há 2 anos, ela gosta de tudo, diz que nem percebe isso como seus próprios dentes e não a remove à noite. E não tenho outras opções, então só espero que tudo corra bem ... "
Galina, Moscou
O que você deve saber sobre as desvantagens das próteses acrílicas com antecedência
Apesar da aparente simplicidade de fabricar uma prótese acrílica removível (moldar uma base plástica e fixar dentes artificiais nela), nem sempre é possível para um ortopedista e um técnico em odontologia levar em consideração as características individuais da cavidade oral do paciente em uma extensão suficiente.

É por isso que você pode ouvir com tanta frequência nas resenhas que a prótese acrílica se mostrou desconfortável, os dentes são "cavalos", que a prótese esfrega as gengivas, desmaia, a dicção sofre, ocorre um reflexo de vômito, etc. Muitas pessoas consideram erroneamente isso uma desvantagem do acrílico (plástico acrílico), mas, na realidade, um dos dois problemas afeta com mais freqüência um deles: a falta de profissionalismo do especialista ou se desatualiza com o conjunto de um ortopedista e um técnico em odontologia (sim, acontece).
A imperfeição dos métodos de diagnóstico e a falta do equipamento necessário também podem ser adicionadas a isso. Em geral, todos os detalhes são importantes nas próteses removíveis, independentemente do seu tipo: se o médico calcula as características da mandíbula e suas estruturas anatômicas pelo olho, mesmo após inúmeras correções, o paciente simplesmente coloca a prótese na prateleira.
Quais são as reais desvantagens das próteses feitas de plástico acrílico?
- Aumento do risco de alergias a aditivos acrílicos ou funcionais presentes em plásticos (corantes, antioxidantes, plastificantes). Uma alergia que se manifesta, por exemplo, na forma de estomatite protética, é mais frequentemente causada por quantidades vestigiais de metil metacrilato - éster metílico do ácido metacrílico contido nas dentaduras. A tecnologia moderna nos permite superar esse problema. Por exemplo, há muitos anos existe uma tecnologia para proteger as membranas mucosas da cavidade oral dos monômeros dos plásticos com a ajuda de almofadas isolantes, vitrificação da superfície da prótese e outros tipos de tratamento de superfície;
- A estrutura porosa do plástico, como um possível terreno fértil para bactérias. Estudos especiais mostraram que os plásticos acrílicos são capazes de "absorver" gradualmente substâncias orgânicas dos alimentos (incluindo corantes), resultando na formação de placas bacterianas nas superfícies plásticas da prótese. No entanto, se você seguir as regras de higiene e cuidados com a prótese, esse processo poderá ser minimizado (no final, a placa bacteriana é formada nos dentes nativos de uma pessoa e na superfície da língua).

As demais deficiências (dificuldade de adaptação, possível violação do paladar e da dicção, baixo nível de fixação, possível lesão gengival, estética insuficiente dos grampos e outros) podem ser denominadas condicionais, pois são, em maior parte, resultado de erros do tratamento ortopédico. O fato é que a maior parte dessas deficiências no caso de um baixo nível de habilidade de um médico também pode ocorrer com outros tipos de próteses, mesmo em implantes.
A desvantagem das próteses acrílicas é também o aumento da fragilidade do plástico acrílico, como resultado da qual a estrutura pode quebrar, por exemplo, ao cair ou até mesmo mastigar alimentos sólidos.

Como atrofia do leito protético, aumenta o risco de quebra da prótese acrílica. E mesmo que a prótese acrílica possa ser reparada com suas próprias mãos (por exemplo, artesãos gostam de colar com cola epóxi ou super cola), com alta probabilidade de que ela se quebre novamente na próxima carga, uma vez que sua base já não corresponde bem à base alterada da cama. Assim que o alívio da cama mudar, você precisará fazer uma nova prótese acrílica e não realizar reparos independentes regulares.
Comentários
“Eu tinha uma prótese removível feita de acrílico há seis meses, mas não podia usá-la regularmente. Toda a culpa é que o reflexo de vômito aumentou para horror. Não consigo me comunicar normalmente e não podia fazer isso com ele. Na verdade, eu mesmo escolhi essa prótese, já que simplesmente não havia dinheiro suficiente para outra coisa, e o médico imediatamente me avisou que seria difícil se acostumar com ela no início. Mesmo quando o elenco foi filmado por cima, eu quase vomitei. Ela pensou que eu estava sendo banal em uma prótese de fecho, o médico dele inicialmente aconselhou. Agora entendo que as próteses de fecho realmente não cobrem o céu, então as pessoas quase não têm vontade de vomitar ... "
Olga, Samara
Como é a produção de próteses feitas de plástico acrílico
O princípio de fabricar uma prótese removível de plástico acrílico do ponto de vista do paciente é bastante simples, e todo o processo, de fato, consiste em apenas duas etapas: clínica e laboratorial. Clínica é realizada no consultório do dentista ortopédico e laboratório - no laboratório odontológico.
Considere a tecnologia de fabricação de próteses de acrílico, a fim de:
- A primeira etapa clínica inclui a preparação ou o processamento ("rotação") dos dentes de suporte (se houver), seguido pela remoção de impressões das mandíbulas do paciente. Quase sempre são feitas coroas nos dentes de suporte para evitar os efeitos negativos do contato entre os grampos e os dentes. A duração desta fase clínica é de 30 minutos a 2-3 horas, dependendo da complexidade do trabalho;

- Na primeira fase do laboratório, o técnico em odontologia lança modelos de gesso com base nas impressões obtidas - essas são, de fato, as mandíbulas do paciente, mas apenas de gesso. Sulcos de cera de mordida se formam ao longo deles;
- No segundo estágio clínico, o paciente morde esses rolos para determinar a altura da mordida e suas características. Geralmente leva cerca de 15 a 30 minutos;
- Na segunda etapa do laboratório, o técnico cria um modelo de cera de mandíbulas futuras com dentes artificiais montados;
- No terceiro estágio clínico, o ortopedista experimenta a estrutura de cera na cavidade oral do paciente;
- Na terceira (última) etapa laboratorial, é feita uma prótese acrílica, como regra geral. Então a estrutura é retificada e polida;

- Depois que os produtos acabados são transferidos do laboratório, o dentista ortopédico entrega a prótese ao paciente: adapta e corrige de acordo com a situação. Nesse caso, a tonalidade dos dentes artificiais corresponde à escala de cores Vita (tabela de cores) acordada com o paciente nas etapas clínicas do tratamento.
Regras básicas para o tratamento de próteses acrílicas
Hoje em dia, a maioria das pessoas sabe como cuidar adequadamente dos dentes: enxágue toda vez depois de comer e escove de manhã e antes de ir para a cama com uma escova de dentes. Apesar do plástico acrílico ser um material artificial e, ao que parece, as bactérias “muito resistentes”, na realidade, o cuidado com uma prótese acrílica não deve ser menos cuidadoso do que com os dentes nativos. Todos os princípios de cuidados permanecem inalterados: enxague a boca depois de comer e escove a prótese com uma escova de dentes e cole.

Nota
Só não use uma pasta de dente branqueadora - essas pastas são caracterizadas por maior abrasividade e você não deseja retificar rapidamente o plástico?
Se for impossível limpar a prótese lavando a cavidade oral, você poderá enxaguar a estrutura em água corrente depois de comer. Além disso, existem soluções especiais para a higiene adicional da prótese e a manutenção em boas condições.

Não esqueça que quaisquer problemas associados ao desconforto após o recebimento da prótese requerem monitoramento por um médico. Não importa quando eles apareceram: no dia seguinte ou depois de alguns meses. Uma recomendação obrigatória é visitar o ortopedista uma vez a cada 6 meses para monitoramento e possível “correção” da base ou dos elementos de retenção da prótese.
Comentários
"Uso uma prótese de acrílico há 3 anos e posso dizer que é conveniente e acessível. E se você colocar implantes, como contou o médico, eu teria que vender o carro, ou pelo menos um rim. Removido facilmente, limpo sem problemas. Eu escovo com uma escova de dentes comum. A prótese não esfrega as gengivas e fica na boca como uma luva. Em suma, enquanto eu não tenho queixas. Vamos torcer para que a prótese dure muito tempo. ”
Ivan, Ecaterimburgo
É possível reparar a prótese você mesmo?
Se uma prótese acrílica cair acidentalmente durante um procedimento de higiene em uma pia ou no chão, ou se suas zonas individuais estiverem sobrecarregadas ao mastigar alimentos, uma rachadura poderá se formar na base ou até uma fratura estrutural.


O reparo DIY de uma prótese removível de acrílico não é possível em todos os casos. Por exemplo, se um fecho (gancho) de uma estrutura se rompe, é improvável que uma pessoa sem habilidades especiais possa substituí-la.
O principal erro de pessoas especialmente "avançadas" é uma tentativa de colar os fragmentos da prótese com os primeiros adesivos que vieram à mão: cola epóxi, "Momento", às vezes até tenta usar PVA. Muitas vezes, essa iniciativa independente leva a consequências indesejáveis devido ao efeito tóxico das substâncias contidas no adesivo, que, com contato prolongado com a mucosa oral, podem causar dermatite e eczema (especialmente com a proporção errada de endurecedor e epóxi).
Aqui estão algumas nuances úteis a serem consideradas se você decidir repentinamente consertar a prótese:
- Ao usar o PVA, a junta adesiva sob a influência da umidade pode ficar macia - de modo que as metades coladas novamente se dispersam rapidamente;
- As colas de borracha nem tentam colar a prótese acrílica. A costura colada não deve ser elástica, mas rígida (no caso de próteses de nylon, a situação pode ser exatamente o oposto);
- Ao usar uma quantidade excessiva de endurecedor em relação à resina epóxi, existe o risco de irritação severa das gengivas com aminas alcalinas que fazem parte do endurecedor;
- Em alguns casos, a supercola (cianoacrilato) pode ser adequada para o reparo temporário de uma prótese acrílica - por exemplo, se você tiver marcado uma consulta com um técnico de prótese dentária para reparo, mas precisará esperar mais alguns dias e não quiser ficar "sem dentes". Bem, neste caso, com um trabalho competente e preciso, reparar a prótese com super cola pode se tornar um empreendimento mais promissor e seguro do que tentar usar outros tipos de adesivos (é claro, é importante seguir as instruções para o uso de super cola).No entanto, deve-se ter em mente que, nesse caso, a junta adesiva perderá gradualmente a força devido à ação constante da umidade.

Nota
Alguns artesãos às vezes também tentam soldar uma prótese acrílica quebrada em casa. Como regra, essas tentativas falham, mesmo que o polimetilmetacrilato seja usado como uma espécie de adesivo termofusível.
Quanto à correção da prótese, por exemplo, em relação a um fecho muito apertado ou, inversamente, livre, também é melhor entrar em contato com um técnico de prótese dentária. Se você decidir por sua conta e risco e reparar a prótese em casa - nesse caso, você pode usar um alicate. Fazer isso é o mais cuidadoso possível com o encaixe constante da prótese, para não quebrar acidentalmente o gancho.
O mesmo se aplica à correção da base da prótese se ela esfregar a membrana mucosa. Se você não tiver certeza de que pode polir com lixas de unhas ou lixa de alta qualidade, é melhor não começar. O risco de arruinar permanentemente a prótese durante o reparo é muito alto; portanto, para obter resultados máximos, é preferível ajustar estruturas removíveis no dentista ortopédico.
Algumas palavras sobre o custo das próteses acrílicas
O custo de uma prótese acrílica depende em grande parte dos materiais utilizados para sua fabricação, bem como da extensão do defeito da dentição.
Por exemplo, a pedido do cliente, plásticos acrílicos de fabricantes russos, tchecos e até japoneses podem ser usados para fazer a base. Consequentemente, o preço do produto final pode variar significativamente, às vezes variando às vezes.

O preço de uma prótese acrílica também é formado de acordo com o método de fixação nos dentes do pilar. As próteses acrílicas com um pequeno número de dentes artificiais podem ser relativamente baratas, mas é importante lembrar que, além de estruturas removíveis, também podem ser feitas coroas para pilares, que são cobradas separadamente para cada unidade da coroa.
Em geral, o custo das próteses acrílicas removíveis para toda a mandíbula (superior ou inferior) geralmente varia de 5 mil rublos a 15 a 20 mil, dependendo do nível da clínica, da qualidade do plástico das bases, do preço de compra de conjuntos de dentes e de alguns outros fatores.
Vídeo útil sobre calos na cavidade oral, causado por uma prótese acrílica
Como viver completamente e cuidar de uma prótese removível




Artigo muito sensato e informativo.
Boa tarde A situação é assim. O sogro fez próteses em duas mandíbulas. Feito de plástico rígido. Por 80 mil rublos. Imediatamente disse que era impossível usar, pressiona firmemente, esfrega. Por seis meses, não estou acostumado a isso, o uso apenas por um curto período de tempo, e como sempre ando sem próteses durante o dia, é mais conveniente. Tentei modificar as próteses pessoalmente, com um arquivo, mas não ajudou muito. Se uma nova prótese for feita de plástico macio, de nylon, o uso da prótese será mais confortável?
Olá. Como regra geral, a escolha da prótese é determinada pelo estado das gengivas.Às vezes, com uma gengiva em movimento, as dentaduras duras (acrílicas) pressionam e esfregam. Ao mesmo tempo, não se pode afirmar com antecedência que, com as próteses macias de nylon, certamente será melhor. A prótese total removível é uma das áreas mais difíceis e muito depende das mãos de um especialista.
Olá. Fiz uma prótese removível, afetou bastante a aparência do rosto, piorou. A mandíbula começou a se projetar para frente, eu parecia mais velha. Posso fazer algo agora ou terei que fazer uma nova prótese para isso?
Olá Irina. É necessário um exame de um ortopedista do dentista (é possível que os modelos não tenham sido feitos corretamente). Às vezes, pequenas correções são possíveis sem a necessidade de uma substituição completa da prótese. Além disso, se possível, faz sentido considerar outros métodos de restauração da dentição, por exemplo, implantação dentária - a estética será muito melhor, sem mencionar a conveniência.