
Os implantes dentários coreanos Snucone (Snucone) apareceram no mercado russo há relativamente pouco tempo - eles estão posicionados como produtos de preço médio e hoje continuam a ganhar popularidade entre os implantologistas que trabalham com eles e entre os pacientes que instalam esses implantes.
No entanto, para uma pessoa despreparada avaliar objetivamente a qualidade de um determinado produto e a conveniência de escolher a seu favor não é uma tarefa tão fácil. O sistema de implantes Snucone é usado na Rússia há apenas cerca de 5 anos e, portanto, um grande número de análises sobre o assunto ainda não foi acumulado, e pode não ser imediatamente claro o que exatamente está oculto por trás das formulações de publicidade e termos complexos em várias análises e descrições on-line.
É realmente possível, neste caso, por um preço relativamente baixo, você pode colocar um implante, que em termos de sobrevivência e durabilidade não será inferior a estruturas premium caras? E vale a pena confiar no médico se ele oferece Snucone como a melhor opção, informando que com esses implantes você pode obter "qualidade alemã a preços acessíveis"?
Vamos descobrir ...
Características gerais dos produtos da marca Snucone
Os implantes Snukon são fabricados pela empresa sul-coreana SNUCONE Co. Ltd. usando a tecnologia adquirida em 2005 da empresa alemã Cone. Então, entre as empresas, foi assinado um acordo de cooperação no uso da tecnologia e no desenvolvimento conjunto de produtos.
Nota
Simplificando, a Snucone não apenas comprou a tecnologia, mas também desenvolve desenvolvimentos subsequentes em cooperação com o centro de tecnologia alemão. Consequentemente, pode-se dizer realmente sobre os implantes Snukon que este é um produto alemão fabricado na Coréia do Sul.

Aqui já está a resposta para a pergunta de por que as altas tecnologias dentárias implementadas nos produtos Snucone são relativamente baratas. Foi possível reduzir significativamente o custo do produto final criado usando essas tecnologias devido ao menor custo de produção na Coréia.
Como observado acima, os implantes Snukon estão posicionados como produtos de preço médio. Para comparação: os preços para a instalação de uma unidade Snucone nas clínicas hoje começam em cerca de 15.000 rublos (incluindo anestesia, colocação de implantes, raios-x, sutura). O custo, por exemplo, da instalação de um implante AstraTech (Suécia), Straumann (Suíça) ou Nobel Biocare (EUA) será cerca de 2-3 vezes maior.
Do ponto de vista prático, é útil ter em mente que os produtos da marca Snucone no mercado russo estão apenas começando e que nem toda cidade pode oferecer lâminas dentárias em todas as cidades.
Recursos de design de implantes
É importante entender que é uma combinação de soluções de design e desenvolvimentos tecnológicos que transforma um parafuso de metal aparentemente comum em um produto de alta tecnologia, caracterizado por um risco mínimo de rejeição e uma longa vida útil. Vamos ver quais tecnologias são implementadas nos implantes Snukon e o que exatamente elas dão ao paciente.

Todos os implantes Snukon são feitos de titânio, a sobrevivência do produto no osso pode depender significativamente do conteúdo de impurezas nele contidas. Embora a ênfase nos materiais de publicidade esteja no fato de que o conteúdo de carbono, nitrogênio e oxigênio no metal é estritamente controlado em todos os lotes, na verdade, um ponto um pouco diferente chama mais atenção.
Ou seja - a empresa Snukon, em 1997 com o nome de Jin Heung dental Industrial Inc., está envolvida na produção de ligas dentárias. Isto é:
- Atualmente, a empresa acumula mais de 20 anos de experiência nessa área;
- e o que é muito importante - a empresa tem a capacidade de controlar todas as etapas da produção - da qualidade das matérias-primas à qualidade do produto final.
Essa abordagem integrada pode ser encontrada em alguns dos principais fabricantes de implantes dentários (Nobel Biocare, por exemplo).
Quanto às tecnologias implementadas, os seguintes pontos podem ser observados aqui:
- A superfície do implante é microporosa (a chamada superfície SLA, do inglês "jateado com areia, grão grande, gravado com ácido", isto é, obtido por jateamento com areia grossa seguido de gravação com ácido). A conclusão é que a superfície porosa do produto melhora significativamente sua biocompatibilidade e acelera a integração do tecido ósseo e implante (processo de osseointegração). No entanto, não se pode dizer que esse seja um tipo de tecnologia única, uma vez que quase todos os implantes clássicos modernos de marcas diferentes têm uma estrutura porosa da superfície;

- Atualmente, o microdesign de qualquer implante dentário é o resultado de uma enorme quantidade de pesquisas e ensaios clínicos - e os implantes Snukon não são exceção. A rosca dupla autorroscante facilita e acelera (aproximadamente 2 vezes) a colocação do implante, garantindo uma fixação primária confiável com lesão óssea mínima (o produto não cambaleia inicialmente no orifício, mas será mantido com segurança). Além disso, a rosca com um perfil quadrado reduz a carga no osso;
- Cone Morse interno alongado, devido ao qual é garantido um fechamento hermético do eixo do implante. Isso permite proteger o eixo contra a entrada de microorganismos patogênicos e reduzir a reabsorção (reabsorção) do osso marginal na parte superior do implante. Para o paciente, o uso dessa tecnologia é importante pelo fato de o implante instalado não provocar o aparecimento de halitose., como às vezes acontece com implantes de outras marcas;
- Os implantes podem ser instalados subcrestalmente (ou seja, completamente "embutidos" no osso, abaixo do nível da mucosa), o que ajuda a impedir a reabsorção das bordas do osso. O mesmo é alcançado através da chamada plataforma “comutada”, devido à qual a distância entre o osso e o osso aumenta na área da conexão implante-pilar, o que inibe o processo de reabsorção;
- O cortador Lindemann em um kit cirúrgico acelera a perfuração de um osso denso sem superaquecê-lo. É claro que muitos pacientes têm medo de pensar em como perfurarão o osso da mandíbula - e, portanto, a presença desse cortador permite que você faça esse procedimento desagradável o mais rápido possível e evite necrose tecidual devido ao superaquecimento excessivo;
- Uma chave de torque especial permite que você defina com precisão a força de torção ao instalar o implante e, assim, evite ferimentos no osso (ou seja, não haverá situação em que o implante seja parafusado com muita força ou, inversamente, parafusado com tanta força que o osso se torna um fio excessivamente comprimido);
... e alguma outra tecnologia.
É útil ter em mente que, embora todos os implantes modernos sejam geralmente semelhantes entre si e não diferam em algo revolucionário, no entanto, é a totalidade das muitas soluções tecnológicas implementadas em um produto específico que leva, por exemplo, ao fato de os implantes de algumas marcas se enraizarem com uma probabilidade de 97%, e alguns outros - 93%. Parece que a diferença é pequena. Mas, de fato, é significativo e o risco de rejeição do produto no segundo caso será 2 vezes maior.
Nota
De acordo com o Departamento de Odontologia Cirúrgica e Cirurgia Oral e Maxilofacial do Hospital Universitário Nacional de Chungnam (Coréia do Sul), em uma amostra de 176 implantes Snucone instalados, a taxa de sobrevivência de produtos por 5 anos foi de 96,6%. Ao mesmo tempo, 122 implantes foram instalados para homens e 54 para mulheres.
Esses números são próximos aos de implantes dentários premium.
Principais vantagens e desvantagens dos implantes Snukon
As tecnologias acima implementadas nos implantes Snukon podem ser atribuídas às suas vantagens - o fato de sua presença é uma grande vantagem, aproximando os produtos do nível das marcas líderes. Isso também é de grande importância para o implantologista - o sistema de implantação, pensado nos mínimos detalhes, possibilita a instalação de implantes de forma mais rápida, segura e confiável do que se algumas das tecnologias não tivessem sido implementadas.

Nota
O implante dentário é uma operação cirúrgica completa e é difícil dizer que algumas nuances do sistema de implante são um pouco. Aqui, por exemplo, o código de cores de ampolas com implantes Snukon - reduz a probabilidade de erros ao escolher um produto com tamanhos e características adequados. Parece um pouco - no entanto, se não houvesse código de cores, o médico passaria um tempo adicional verificando a conformidade dos instrumentos e do implante usado, além de aumentar o risco de erro médico.

Se destacarmos o principal, as vantagens dos implantes Snukon incluem:
- Alta porcentagem de sobrevivência (mais sobre isso será discutido em mais detalhes abaixo);
- Alta qualidade, inclusive nas "pequenas coisas";
- Possibilidade de uso em uma ampla variedade de casos clínicos;
- Preço relativamente baixo.
Agora, algumas palavras sobre as deficiências dos implantes Snukon.
Primeiro de tudo, são estatísticas limitadas sobre o uso de implantes. Se os produtos de marcas líderes no campo da implantação dental são utilizados há várias décadas, a experiência do uso de implantes Snucone geralmente é limitada a cerca de 10 anos.
A segunda nuance importante é que a experiência dos médicos russos que trabalham com implantes Snukon é pequena, e hoje poucas clínicas nas grandes cidades os indicam em suas listas de preços. Portanto, encontrar o especialista certo em uma cidade pequena pode ser um problema.
Obviamente, o significado dessas deficiências diminuirá à medida que o sistema de implantação da Snukon se espalhar no mercado doméstico e os médicos adquirirem experiência em trabalhar com ele.
Recursos do sistema de implante
Todos os implantes no catálogo Snucone são divididos em várias séries.
O Permanente Fixture Plus I (AF + I) é utilizado para implantação nos ossos moles do tipo D3 e D4. Os modelos estreitos AF + I 3.5 e AF + I 4.0 são usados para dividir a crista alveolar (para próteses dos dentes da frente):

Os modelos mais amplos com roscas mais agressivas AF + I 5,3, AF + I 5,8, AF + I 6,3 e AF + I 6,8 são projetados para implantação imediata no campo dos molares:

O suporte permanente Plus II (AF + II) destina-se à instalação em ossos densos e médios densos dos tipos D1 e D2:

Graças a essa variedade, o médico consegue escolher o tipo ideal de implante para cada caso clínico.
Em geral, as próteses dos implantes Snukon podem ser realizadas de acordo com dois esquemas (protocolos):
- De acordo com o protocolo de implantação em duas etapas, o dente é primeiro removido e, em seguida, o alvéolo cicatriza dentro de alguns meses, após o qual a implantação é realizada;
- De acordo com o protocolo de implantação de um estágio, o implante, neste caso, é inserido imediatamente no poço fresco da raiz do dente recém-removida (não aplicável em todos os casos clínicos). Nesse caso, a extração dentária deve ser realizada o mais cuidadosamente possível, com o menor dano possível nas paredes ósseas do orifício e gengivas.
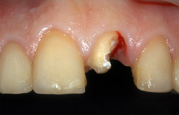
Agora vamos ver como tudo isso pode parecer na prática - daqui em diante, como exemplo, é apresentado um caso clínico de próteses dentárias anteriores em um implante Snucone.
Esta é a situação inicial: a coroa do dente está quebrada quase sob a raiz:

A remoção mais não traumática da raiz com a preservação das gengivas e paredes ósseas do buraco é realizada:

Em seguida, o retalho gengival é cortado e reclinado, um implante é inserido no orifício e o material ósseo granular é introduzido para a regeneração óssea:


Em seguida, a ponta da gengiva retorna ao seu lugar e é fixada com uma sutura:

É assim que um pilar individual feito de zircônia montado em um implante se parece com:

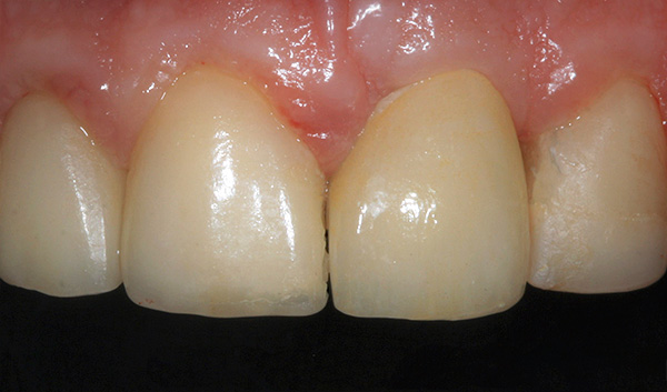
O resultado final das próteses usando uma coroa totalmente em cerâmica:


Enxerto do implante e sua vida útil
As estatísticas de sobrevivência dos implantes Snukon são conhecidas apenas em estudos na Coréia do Sul. Como mencionado acima, de acordo com os resultados de um desses estudos, a taxa de sobrevivência do implante foi de 96,6% (mais precisamente, 98,1% na mandíbula superior e 94,3% na mandíbula inferior).

Nota
Em números absolutos: dos 176 implantes instalados no hospital da Universidade Nacional de Chungnam, 6 não criaram raízes. Em um caso, o implante montado na mandíbula foi danificado mecanicamente (não é relatado como o paciente conseguiu danificá-lo). Três produtos foram instalados em pacientes submetidos a quimioterapia, mais um em paciente com diabetes mellitus e um com insuficiência renal crônica.
A duração deste estudo é de 4,9 anos.
De acordo com outro estudo realizado no Hospital Hankook (Coréia do Sul), o autor tira a seguinte conclusão: uma análise dos resultados clínicos da instalação de 41 implantes Snucone AF + em 23 pacientes mostrou 100% de sobrevida do produto por 5 anos.
Enquanto isso, dados estatísticos sobre os resultados da instalação dos implantes Snucone na Federação Russa praticamente não estão disponíveis.
Vale ressaltar que o fabricante oferece uma garantia vitalícia ao implante. No entanto, de fato, a clínica dará apenas alguns anos de garantia de emprego. Essa diferença é explicada pelo fato de o fabricante dar uma garantia precisamente sobre a qualidade e condição do implante e os médicos sobre o resultado final das próteses, que depende de muitos fatores (do estado de saúde do paciente, da ausência de infecção no local da implantação, das qualificações do médico e, principalmente, conformidade do paciente com as recomendações no período pós-operatório).
O custo aproximado das próteses nos implantes Snukon
Para o paciente, o custo final das próteses dentárias no implante Snukon consiste em muitos componentes: o custo do implante em si, o pilar (que pode ser individual), a coroa (pode ser, por exemplo, metal cerâmico barato ou zircônia relativamente cara), além do custo do trabalho de remoção dente, anestesia, raios-x e algumas outras manipulações auxiliares.

Nota
Se for observada atrofia significativa do tecido ósseo na zona de implantação, pode ser necessária uma operação de elevação do seio, que também é carregada separadamente.
É importante considerar que, durante implantes dentários, trabalhos adicionais e construções ortopédicas podem custar mais em alguns casos do que o próprio implante. Por exemplo:
- Fazer uma coroa de zircônia em Moscou, dependendo do nível da clínica e de seus "apetites", pode custar em média cerca de 20.000 rublos (uma coroa de metal-cerâmica custa cerca de duas vezes mais barato);
- A fabricação de um pilar individual custa cerca de 20 a 30 mil rublos (se você deseja a estética perfeita na área dos dentes da frente, ou apenas o caso será difícil);
- A cirurgia de elevação do seio fechado custará cerca de 25.000 rublos. (se você precisar aumentar repentinamente o volume de tecido ósseo na região do seio maxilar a uma espessura que permita instalar um implante dentário).
No caso mais simples, a instalação de um implante Snukon custará cerca de 15.000 rublos. (excluindo o custo da coroa).
Para comparação:
- a instalação do implante Nobel Biocare (EUA) custará entre 50 e 60 mil rublos (excluindo o custo da coroa);
- instalação de implantes Straumann Active (Suíça) custará entre 60 e 70 mil rublos (excluindo também o custo da coroa).
Concluindo, vale ressaltar que, em termos de preço e qualidade, os implantes Snucone são realmente um produto digno e são bastante competitivos no mercado russo.Eles podem se tornar uma boa opção para pessoas que não estão dispostas a pagar muito por marcas premium eminentes, mas que desejam obter um implante moderno, confiável e de alta tecnologia a um preço acessível.
Em qualquer caso, quando próteses em implantes, é importante não esquecer que o sucesso de todo o procedimento depende não apenas da escolha em favor de um sistema de implante específico. De importância decisiva é, em primeiro lugar, a escolha de um médico experiente e altamente profissional, cuja habilidade determina em grande parte se o implante sobreviverá sem complicações. Portanto, é aconselhável começar não com a escolha de implantes, mas com a escolha de um médico.
Um vídeo interessante com um exemplo de instalação do implante Snucone AF + I
Outro caso clínico ...

