
Hoje, no mercado, existem mais de 20 empresas envolvidas no desenvolvimento e produção de implantes dentários, e os produtos variam bastante, não apenas no preço, mas também nas características técnicas e na qualidade. Entre essa diversidade, marcas de baixo custo (Israelense, Russo, chinês), segmento de preço médio (americano, coreano), bem como premium (Alemão, sueco, suíço).
A seguir, consideraremos um dos implantes mais caros correspondentes ao segmento premium - os implantes Astra Tech (Astra Tech, Suécia). São fabricados pela empresa sueca ASTRA TECH Dental (há muito tempo era uma subsidiária da empresa médica AstraZeneca, fundada em 1913). Desde 2011, a ASTRA TECH Dental pertence à empresa alemã DENTSPLY, que também produz os bem estabelecidos implantes ANKYLOS e XiVE.

Nota
Há uma opinião de que, na prática, não importa realmente quais implantes escolher - eles dizem que produtos caros e baratos durarão igualmente por muito tempo nas mãos competentes e profissionais de um implantologista. Isso é parcialmente verdade, no entanto, a diferença na taxa de sobrevivência média de implantes baratos e produtos premium pode atingir impressionantes 5% (por exemplo, 93% versus 98%).
Outras armadilhas associadas à economia também são possíveis: às vezes a estética é menor, às vezes os implantes de baixa qualidade chegam a quebrar vários anos após a instalação (é o “parafuso” de titânio que quebra). Aqui está um exemplo de uma revisão em nosso site quando um implante de baixa qualidade acabou de quebrar:
“O implante tem 5 anos, ele está quebrado. Empresa Dentegris, minha experiência é melhor para não correr riscos! Substituir o implante (parafuso) por mim não é um consolo, porque todo o estresse e preocupações caem sobre mim. Eu só não tinha um dente e agora, depois de um colapso, preciso de uma operação para remover o implante que se enraizou. "
Elena
Agora, vamos tentar descobrir por que os implantes da Astra Tech são considerados um dos melhores do mercado (talvez inferior a marcas como Straumann e Nobel Biocare). Esses implantes realmente incluem as soluções tecnológicas críticas para um paciente comum ou comum, ou vale a pena considerar isso como uma jogada de marketing do fabricante?
O que é primeiro de tudo útil saber sobre os implantes Astra Tech: suas principais vantagens e desvantagens
Talvez uma das características mais importantes da Astra seja a presença prolongada no mercado, bem como a presença de uma base de pesquisa muito extensa. Todas as tecnologias desenvolvidas e patenteadas foram testadas por décadas e pela experiência de centenas de milhares de pacientes.

Por exemplo, a conexão cônica de implantes e pilares é utilizada pela empresa desde 1985, a superfície com o nome patenteado TiOblast - desde 1990, a superfície aprimorada substituída OsseoSpeed - desde 2005, o micro-fio MicroThread na área do pescoço do implante - desde 1991 (um pouco mais baixo que considere essas tecnologias em mais detalhes).
Nota
E agora, para comparação: ao instalar implantes de qual empresa, seria mais calmo para o paciente (e médico) - uma jovem empresa chinesa que está no mercado há 4 anos, ou ainda, ao instalar implantes suecos da Astra Tech, que tem experiência no campo da odontologia implantação há mais de 30 anos?
Quanto à tecnologia, qualquer sistema de implantação dentária bem-sucedido não se baseia em nenhuma vantagem, mas em um complexo de soluções tecnológicas eficazes. O implante é capaz de atender adequadamente o paciente por muitos anos apenas quando tudo em seu projeto é equilibrado e pensado nos mínimos detalhes, a fim de trabalhar de maneira confiável em um único complexo.

Nota
Em implantes dentários quase tudo pode influenciar o resultado: o grau de pureza do titânio do qual o implante é feito, a natureza de sua superfície e fio, forma, qualidade da conexão com o pilar, etc. Por exemplo, impurezas de vanádio em titânio maneiras de arrancar estruturas ao longo do tempo, má conexão com o pilar - para o acúmulo de bactérias, um odor desagradável por baixo do pilar e até peri-implantite, um fio malsucedido - para uma má distribuição de carga no osso, devido à qual os tecidos ósseos podem se atrofiar gradualmente.
E isso é apenas uma pequena parte de todos os aspectos levados em consideração ao criar o sistema de implantação. O sistema de implantação inclui não apenas muitos tipos de vários implantes para diferentes casos clínicos, mas também componentes relacionados, bem como os instrumentos utilizados pelo implantologista.
Falando sobre os implantes da Astra Tech, pode-se notar que este é um bom exemplo quando um produto é pensado e refinado nos mínimos detalhes. De acordo com as revisões de implantologistas praticantes, é muito conveniente trabalhar com o sistema Astra Tech, e permite que mesmo em casos clínicos difíceis, consiga altos resultados de tratamento, tanto do ponto de vista funcional quanto estético.
Vamos observar algumas das tecnologias mais interessantes usadas na produção de implantes Astra Tech ...
Superfície OsseoSpeed como fator de bom enxerto de implante
Hoje, a maioria das empresas de implantes dentários fornece uma superfície áspera e porosa para seus produtos. Vários métodos são usados para criá-lo, mas o mais básico, que é considerado o "padrão ouro", é o jateamento de areia.
Isso é interessante:
A natureza da superfície do implante é um dos fatores mais importantes para a osseointegração de qualidade (isto é, enxerto no tecido ósseo) e para maior estabilidade. No passado, os implantes dentários tinham uma superfície polida, às vezes com spray de plasma. Posteriormente, foi provado que isso é ineficaz e é muito melhor obter o efeito da formação de microporos na superfície do implante - as células ósseas da mandíbula em crescimento realmente penetram no metal, o que permitirá que a estrutura se funda literalmente com o tecido ósseo.

Os implantes Astra Tech foram um dos primeiros a ter uma superfície áspera. Desde 1990, a tecnologia TiOblast tem sido usada em projetos suecos - após a fabricação, os implantes eram jateados com areia de óxido de titânio. Foi substituído por uma tecnologia avançada - OsseoSpeed, que também envolve jateamento de areia, mas adicionalmente seguido de ataque com ácido fluorídrico concentrado (HF) e a introdução de fluoretos na superfície do titânio metálico nanotexturizado.
O que isso dá? De fato, os íons fluoreto são incorporados em uma superfície metálica áspera. Graças a elas, as células ósseas crescem mais rapidamente e "crescem" no implante, garantindo sua fixação confiável (enxerto) em um tempo menor do que se não houvesse íons flúor no implante.
Abaixo estão fotos da superfície do OsseoSpeed tiradas com diferentes ampliações:

Nota
Um ponto positivo é o fato de que os íons fluoreto tornam o osso ao redor do implante mais denso, vinculando-se quimicamente aos íons cálcio - isso é especialmente importante nas primeiras semanas após o implante, uma vez que a estabilidade estrutural primária pode diminuir uma ou duas semanas após o procedimento devido a uma diminuição natural na densidade ossos em resposta a lesão. É esse estágio de enxerto da estrutura que é o mais responsável e é durante esse período que se manifesta o efeito positivo do flúor no processo de osseointegração.
A tecnologia OsseoSpeed é usada apenas em implantes Astra TechFoi aprovado para uso desde 2003 (em clínicas nos EUA e na Europa), no entanto, só foi usado na produção em massa desde 2005 - extensos ensaios clínicos foram realizados por um longo tempo.Assim, na prática mundial, os implantes Astra Tech com superfícies OsseoSpeed são utilizados há mais de 10 anos, inclusive em nosso país.
MicroThread evita que as gengivas caiam
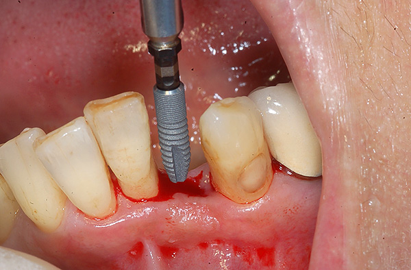
Os implantes clássicos modernos são, de fato, parafusos de metal com uma ou outra rosca (cada fabricante tem opções diferentes) - o implante é literalmente parafusado no osso, como um parafuso auto-perfurante em uma árvore. De acordo com estudos recentes, o fio combinado (diferenciado) ao longo de todo o comprimento é considerado o melhor - com um passo mais denso na região cervical (no ápice) e raros giros na parte inferior do implante.

Nem todos os implantes no mercado combinam roscas. Os implantes Astra Tech estão equipados com exatamente essa rosca - com um passo grande na parte apical e um passo pequeno de cima.
Nota
O segmento patenteado do MicroThread não apareceu imediatamente. Antes do nascimento, foram analisadas mais de 800 formas e tamanhos diferentes de microfios, até que fosse selecionado aquele que apresentasse os melhores resultados em ensaios clínicos.
A rosca específica dos implantes Astra Tech ajuda a proteger o paciente de um dos maiores problemas após o implante - da perda de osso marginal.
Nota:
A palavra "marginal" em latim significa "borda", "borda", ou seja, na junção de dois ambientes ou elementos. No que diz respeito à odontologia, o osso marginal é o osso marginal mais extremo que limita a área da gengiva. Sua perda é preocupante com o fato de a gengiva afundar junto com o osso - a estética da dentição é violada, o implante de metal pode até ser exposto. Às vezes, visualmente, isso é perceptível apenas muitos anos após a implantação.
Um exemplo de flacidez gengival com a exposição ao implante é mostrado abaixo na foto:

Vale a pena notar que a Astra Tech é uma das poucas empresas que atribui particular importância à manutenção do nível de osso marginal. De acordo com os padrões existentes, a perda óssea marginal de 1 mm é permitida durante o primeiro ano após a colocação do implante e 0,2 mm no seguinte. Ou seja, dentro de 5 anos, o osso pode ser reduzido em cerca de 1,8 mm - e isso será considerado a norma.
Portanto, é útil para o paciente médio ter em mente que a Astra Tech conseguiu alcançar resultados razoavelmente altos nessa direção. De acordo com um resumo de estudos de cinco anos, durante esse período, o osso não diminui mais de 0,3 mm (6 vezes menos que o normal). Isso significa que podemos falar sobre a preservação da estética a longo prazo, porque junto com o osso, um contorno gengival uniforme é suportado.
Conexão de implante / pilar de projeto de vedação cônica
A conexão cônica do implante e o pilar Conical Seal Design é outra solução tecnológica dos cientistas suecos.

Em geral, atualmente na odontologia são utilizados vários tipos de compostos para pilares de implante:
- O primeiro tipo é o “hexágono interno” (a opção mais comum), na qual o hexágono do pilar é imerso em um hexágono de implante semelhante;
- O segundo tipo é o hexágono externo (o pilar é colocado no topo);
- E o terceiro tipo é uma conexão cônica, que pode ser complementada por um poliedro (com 3, 6 ou mais faces).
É impossível dizer inequivocamente qual é o melhor, uma vez que o mesmo tipo de conexão em uma empresa pode garantir uma fixação confiável do pilar no implante sem micro-lacunas, enquanto o outro pode ser de baixa qualidade.
Assim, a ênfase na publicidade no fato de que a conexão do implante e do pilar é precisamente cônica, e não de outra, é mais provável apenas uma jogada de marketing do que uma solução tecnológica única e importante.
No entanto, uma vantagem realmente significativa da conexão cônica dos implantes Astra Tech é que ele é feito com alta precisão - o pilar se encaixa muito firmemente na cavidade do implante, sem as menores brechas e lacunas, cobrindo todo o interior das bactérias orais (o que significa que não haverá cheiro nem razões para inflamação adjacente) tecidos com desenvolvimento de peri-implantite). Além disso, a geometria ideal minimiza a mobilidade da articulação - o pilar e a coroa (ou prótese) serão firmemente fixados durante toda a vida útil dos dentes artificiais.


Uma característica importante do composto Astratek é o fato de o pilar penetrar profundamente no implante, ou seja, a carga principal é transferida muito mais baixa que o osso marginal, o que permite sua proteção contra reabsorção.
Outras características importantes dos implantes Astra Tech
Hoje, a maioria dos implantes dentários, bem como os pilares para eles, são criados a partir de titânio e suas ligas. Quanto aos implantes Astra Tech, há uma nuance: eles são criados a partir de titânio comercialmente puro da classe 4 (padrão ASTM F 67-00 Grau 4).

Nota
Em implantes mais baratos de outras marcas, impurezas de metais estranhos (geralmente vanádio, alumínio, ferro) estão frequentemente presentes, o que aumenta o risco de alergias e complica o processo de "fusão" do implante com o maxilar. Enquanto isso, está provado que o titânio ultrapuro é a melhor opção (embora mais cara), uma vez que é biocompatível com o organismo, não o rejeita e não causa reações alérgicas.
Os implantes suecos Astra Tech são embalagens estéreis com código de cores e seu próprio número de série - isso permite em caso de ocorrência complicações Entre em contato com o fabricante para obter uma garantia. Os produtos são entregues em ampolas contendo água e álcool - para que os implantes sejam melhor armazenados, e poeira e germes não entram na superfície porosa.
O que o paciente paga em excesso pela escolha dos implantes Astra Tech?
Assim, destacamos as vantagens significativas dos produtos Astra Tech (em relação a alguns sistemas de implantes mais baratos), que em alguns casos realmente justificam o alto preço:
- O sistema de implantação da Astra Tech é um dos poucos no mundo cuja aplicação bem-sucedida foi confirmada por décadas e muitos ensaios clínicos independentes;
- Restrições mínimas para o tratamento - no catálogo de produtos, há um grande número de modelos de implantes de vários comprimentos e diâmetros, entre os quais você pode escolher a melhor opção para quase todos os casos clínicos (longe de todos os sistemas de implantação ter essa possibilidade);

- Não há restrições estritas sobre as próteses - você pode consertar qualquer coroa e, graças a uma ampla gama de pilares, o técnico em odontologia não terá que “torcer” e se ajustar ao implante;
- Na produção, é utilizado titânio de alta pureza sem impurezas, o que contribui para uma melhor osseointegração do implante e elimina a ocorrência de reações alérgicas (inclusive ao longo do tempo);
- A sobrevivência e a sobrevivência dos implantes estão entre as mais altas nesta área, o que, novamente, é confirmado por longas pesquisas;
- Termos acelerados de enxerto de implante e regeneração de tecido ósseo ao seu redor, o que é alcançado pela presença de uma superfície porosa com flúor;
- Perda mínima de tecido ósseo marginal - isso afeta diretamente a estética (a posição normal das gengivas ao redor da coroa permanece por muitos anos);
- Cuidado fácil e sem risco de inflamação de tecidos próximos devido à conexão cônica de alta precisão do implante e do pilar (sem micro-lacunas).

No entanto, ao escolher os implantes suecos Astra Tech, deve-se levar em consideração as desvantagens associadas. O mais óbvio deles é o alto preço (cerca de 50 mil rublos por instalação de um implante, que pode ser quase duas vezes maior que a instalação de um implante de classe econômica).
A consequência lógica do alto preço é o segundo menos - a prevalência relativamente pequena de produtos Astra Tech no mercado russo. Na prática, isso significa que apenas alguns especialistas possuem este sistema.. Portanto, encontrar um dentista e um especialista adequados ficará longe de qualquer cidade.
Linha de implantes
A partir de 2018, os implantes dentários da Astra Tech no catálogo são divididos em três tipos: X-Pequeno (marcação amarela, diâmetro de 3 mm), Pequeno (marcação da cor da água do mar, diâmetros de 3,5 e 4,0 mm) e Grande (marcação lilás) , diâmetro 4,5 e 5 mm).
Os designs diferem não apenas no tamanho (comprimento e diâmetro), mas também na forma. Por exemplo, o implante OsseoSpeed TX 3,5 S é mostrado abaixo - a letra "S" significa a forma cilíndrica do produto.

Os implantes cilíndricos são mais adequados para o implante em duas etapas, quando a prótese final (instalação da coroa, por exemplo) é realizada após a cicatrização completa dos tecidos, que leva cerca de 4-6 meses.
Mas os implantes OsseoSpeed TX sem a letra “S” na designação têm uma forma cônica da parte superior, o que melhora sua estabilidade primária e permite o uso em técnicas de implante de estágio único quando a prótese é imediatamente instalada no implante.

Também no catálogo há um tipo de novidade - os implantes Astra Tech TX Profile com um perfil de ponta chanfrada. Eles são destinados à instalação em um osso assimétrico, cuja altura difere nos lados lingual e bucal (esse osso geralmente é mais curto no lado lingual).

Os testes ativos nessa direção foram iniciados em 2011 e hoje foi estabelecido que o perfil chanfrado da estrutura com um osso assimétrico da crista alveolar é uma solução ideal para manter a estética na área do implante a longo prazo. Com um perfil de implante padrão (reto), a porção saliente do osso atrofia ao longo do tempo, levando à subsidência da gengiva.

Com o perfil chanfrado do implante, a carga é transmitida a todas as áreas do tecido ósseo, o que evita sua atrofia.
Pilares da Astra Tech
É importante entender que um implante de alta qualidade é apenas uma parte de todo o projeto da prótese, que inclui outros componentes muito importantes - um pilar e uma coroa (uma ponte ou uma prótese completa).
Separadamente, vale a pena mencionar os pilares produzidos pela empresa sueca Astra Tech.
Nota
Um pilar é o elo de conexão entre o implante localizado no tecido ósseo e a coroa (ou outra prótese) localizada acima da gengiva. Como regra, um pilar é um elemento independente, embora algumas vezes um pilar e um implante possam ser uma estrutura única e integral.


A Astra Tech é uma das poucas empresas que cria não apenas titânio, mas também pilares de zircônia não metálicos, incluindo inclinado e individual. É importante que a variedade de pilares do catálogo seja pensada em detalhes, e o médico poderá escolher o design certo, mesmo em casos clínicos difíceis.

É interessante
Os pilares de titânio tradicionais têm uma cor metálica cinza e às vezes podem ser vistos através da coroa (o que seria especialmente desagradável ao instalá-los nos dentes da frente). Mas a zircônia tem uma cor branca (pode tingir de amarelado - a cor do esmalte dos dentes vivos) e, como o esmalte dos dentes, é um material parcialmente transparente. Assim, o uso de pilares de zircônia permite alcançar a estética máxima - um dente artificial será praticamente indistinguível dos dentes naturais nativos.
E a rejeição e a vida útil desses implantes?
Os implantes da Astra Tech têm uma das maiores porcentagens de "sobrevivência" - de 98 a 100% ao longo de 7 anos. Isso é muito ou pouco comparado a 92-94% para algumas marcas mais baratas - todos podem decidir por si mesmos, mas esse é um dos melhores resultados no campo da implantação dentária.

Como mencionado acima, essas altas taxas são alcançadas por um conjunto de soluções: em primeiro lugar, devido à alta pureza do titânio, em segundo lugar, devido à superfície microporosa do implante com conteúdo de flúor e, em terceiro lugar, devido à preservação da zona marginal do osso.
Vida real do implante Astra Tech na maioria dos casos - mais de 20 anos, o que é confirmado por estudos clínicos. Desde que seja mantido um alto nível de higiene, há motivos para supor que, para muitos pacientes, os implantes instalados durarão a vida inteira.
Nota
É importante entender que a garantia do implante do fabricante e a garantia clínica que a instala não são a mesma coisa.A Astra Tech oferece uma garantia vitalícia para seus implantes, mas o que acontece na prática depende em grande parte do implantologista e do paciente. É importante que o implante seja compatível com o caso clínico e instalado profissionalmente.
Geralmente, quando as próteses são implantadas, as clínicas dão uma garantia de cerca de 2 anos. Ou seja, por exemplo, se o implante não se enraizar nos primeiros 3-4 meses, na maioria dos casos a falha será do médico - o que significa que a instalação foi mal executada. Mas se o projeto começar a ser rejeitado muito mais tarde (por exemplo, depois de 7 a 10 anos) - o próprio paciente geralmente é o culpado. Para implantes dentários durarem muito tempo, é importante monitorar cuidadosamente a higiene bucal e visitar periodicamente um médico para exames preventivos (a propósito, esse é um requisito obrigatório para manter a garantia que as clínicas dão).
O custo das próteses nos implantes Astra Tech
Se você avaliar objetivamente todas as opções acima, os implantes Astra Tech, em comparação com os produtos do segmento econômico, realmente têm um grande número de vantagens, e entre as mais importantes estão a confiabilidade e durabilidade confirmadas. Se tudo for feito corretamente, os implantes suecos podem durar várias décadas.

No entanto, o preço desses implantes é um dos mais altos do mercado (essa é uma classe premium). Nem todos os pacientes estão dispostos a pagar a partir de 50 mil rublos apenas pela instalação de um implante (e isso sem coroa!). Se o tratamento for "chave na mão", o custo do implante Astra Tech pode chegar a 80 mil rublos para próteses de um dente. E quando você precisa protetizar vários dentes, o preço cresce facilmente em várias centenas de milhares de rublos.
Se a situação financeira for apertada, como alternativa, você pode escolher um pouco menos caro, mas também implantes IMPRO de alta qualidade ou XiVE Friadentbem como israelenses acessíveis Alpha bio ou errado. Com a participação de um implantologista altamente profissional, é provável que até implantes relativamente baratos durem pelo menos algumas décadas (desde que o próprio paciente não se esqueça da higiene).
Se você tem experiência com próteses dentárias em implantes Astra Tech, certifique-se de compartilhar as informações deixando sua avaliação na parte inferior desta página.
Um bom exemplo de prótese de dente para mastigar em um implante Astra Tech
Comentários do médico sobre os diferentes sistemas de implantação: qual escolher?


