
Apesar das 'histórias de horror' ainda circulando entre as pessoas em relação ao implante dentário (eles dizem que é terrivelmente prejudicial e há muitas contra-indicações), hoje a colocação do implante pode ser considerada ainda menos traumática do que, por exemplo, a remoção de dentes do siso complexos. Ou seja, relativamente falando, em 95% dos casos não há nenhum tormento e “estanho” terríveis: os implantes dentários modernos são relativamente fáceis de instalar, não prejudicam o corpo humano e podem durar décadas, como evidenciado por inúmeras avaliações de médicos e pacientes. e pacientes agradecidos.
No entanto, por que, então, a instalação de implantes por algumas pessoas é considerada prejudicial e perigosa para a saúde - porque, provavelmente, não foi apenas o fato de essa atitude ter surgido?

De fato, o implante dentário, sendo essencialmente uma operação cirúrgica, em alguns casos está associado a manipulações bastante complexas, traumáticas e demoradas de um cirurgião-dentista (implantologista). Como em qualquer operação, nem sempre tudo corre bem - várias complicações e consequências não muito agradáveis podem muito bem ser.
Além disso, existem certas contra-indicações para a instalação de implantes e uma lista de doenças, sem as quais a implantação pode ter um efeito negativo tanto nas condições gerais do corpo durante e após a implantação, como nos próprios dentes implantados (inflamação e supuração na área dos implantes instalados, mobilidade, rejeição e outros efeitos nocivos). Tais revisões, que às vezes são encontradas em fóruns populares, apóiam a opinião popular sobre implante dentário como um procedimento prejudicial e muito perigoso para a saúde.
Sobre se a instalação de implantes dentários é realmente um procedimento prejudicial, quais consequências desagradáveis podem ser observadas, quais problemas podem ocorrer devido à falha do paciente e à falha do médico - falaremos sobre tudo isso com mais detalhes ...

Comentários:
“Quero contar a todos a minha história para que ninguém mais entre na mesma situação difícil por causa de sua própria estupidez. Há cerca de três anos, eu queria inserir implantes, já que não havia nada para mastigar e não queria usar mandíbulas falsas, como as da minha avó. Naquela época, eu tinha um tumor maligno na mandíbula, mas era pequeno, então fui tratado ativamente às minhas próprias custas no centro de oncologia.
Entendi perfeitamente que meu tumor podia assustar o médico e, com uma mandíbula falsa, não tinha razão para andar, então não disse nada sobre minha doença. Os implantes foram entregues rapidamente, tudo o que restava era esperar que eles se enraízassem. Naquela época, eu estava apenas passando por um curso de radioterapia e irradiei o local onde havia vários implantes. A maioria dos parafusos foi arrancada. Mais tarde, eles me explicaram que era necessário dizer imediatamente o que e como na realidade: os raios interferem no processo de fusão do osso com o metal. Em geral, eles me disseram que eu estava estourando e (é claro) eles alteraram tudo por meu próprio dinheiro. Demorou um ano inteiro para o meu dentista e oncologista resolverem o problema em conjunto com novos dentes. Em resumo, aviso a todos: é melhor contar tudo imediatamente ao médico, pois é, caso contrário, será como o meu ou pior. Não arrisque sua saúde! "
Victoria, Moscou, 47 anos.
Cinco histórias de horror de ficção sobre implantes
Se uma pessoa despreparada lê alguns, para dizer o mínimo, artigos não muito profissionais em sites pseudo-dentais, bem como análises e discussões em fóruns, pode ficar horrorizada com a informação, que em essência está frequentemente longe da medicina.Os casos em que implantes dentários mal colocados prejudicam a saúde do paciente são frequentemente descritos de maneira grotesca, e aqui estão especulações e medos apresentados em forma de verdade.

Em geral, pessoas que ainda não se tornaram donas de implantes felizes, mas apenas pensando nisso, podem ter medo de ir ao dentista de implantes, mesmo que apenas para uma consulta.
Vejamos 5 histórias de horror famosas sobre esse tópico.
Mito 1: implantes dentários podem ser "enrolados" para danificar a órbita do olho
De fato, é impossível danificar a órbita do olho com implantes dentários por várias razões: o comprimento controlado dos implantes, monitorando a distância para estruturas importantes da região maxilofacial de acordo com as imagens, a experiência e o senso comum do médico, etc.

Enquanto isso, existem casos realmente raros de danos nas estruturas maxilofaciais próximas à zona de implantação. Segundo as estatísticas, as seguintes complicações podem ser distinguidas pela frequência da ocorrência:
- Danos no seio maxilar;
- Violação do nervo mandibular;
- Saída do implante no espaço hióide;
- A saída do implante para a cavidade nasal.
Cada uma dessas complicações é rara durante o implante, enquanto o primeiro lugar na frequência de três é ocupado pela “penetração” do implante no seio maxilar. Atualmente, esses casos estão se tornando cada vez menos devidos ao monitoramento e controle cuidadosos da distância do seio maxilar às imagens digitais em diferentes projeções, bem como às amplas possibilidades de construção de osso extra (elevação do seio). Tudo isso é usado por dentistas profissionais como parte da prevenção de possíveis complicações.

Comentários:
“Ele se colocou em Simferopol e ficou completamente satisfeito. Mais importante, nada saiu do nariz, como em outros, não flui, lábios e bochechas não estão inchadas, como em um hamster, e o clima é bom. Já se passaram 7 dias desde que os parafusos grudaram, mas estou bem, apesar de achar que doeria muito. A única coisa que incomodou foi a entrega de testes e uma longa preparação para implantação. Posso dizer imediatamente que tive sorte com o dentista, pois ele me explicou tudo de uma maneira acessível e o que vai acontecer. Isso não depende apenas dele, de como os implantes se comportarão no futuro, mas também do meu bom comportamento.
Em geral, homens, não tenham medo - isso não é assustador. O principal é descobrir minuciosamente a clínica e o médico que implanta os implantes na mandíbula, não assina nada; se você não os examinou em detalhes, aprende sobre as garantias com antecedência. Recebi um contrato com uma garantia, para que você possa dormir em paz. Só é bom e regular limpar tudo isso, caso contrário ele voará em alguns meses com a mandíbula para tal e qual mãe. "
Sergey, Simferopol
Mito 2: implantes dentários sempre doem
O processo de implantação em termos de anestesia quase não difere da anestesia ao remover os dentes, ajustado pelo fato de que em alguns casos é necessário um "congelamento" (anestesia local) em fases de diferentes áreas da mandíbula. O nível moderno de anestésicos permite selecionar individualmente o medicamento que é adequado para cada pessoa específica, além de anestesiar de várias maneiras que são mais adaptadas para obter 100% de alívio da dor. Felizmente, existem muitas opções, especialmente no âmbito de grandes clínicas odontológicas.

De fato, a maioria das análises mostra apenas que a instalação dos implantes ocorre sem muita dor.
Se houver contra-indicações para anestesia local e (ou) indicações para anestesia, o implante é realizado com perda de consciência. A vantagem mais importante nesse caso é que, com essa operação, você pode garantir totalmente que, ao instalar implantes durante o sono, o paciente não sentirá dor ou emoções desagradáveis associadas ao tipo de instrumento dental (algumas pessoas sensíveis têm medo não apenas da dor, mas também o tipo de sangue, instrumentos e sons desagradáveis - perfuração, trituração etc.).

Nota
Sob anestesia local, não dói em cerca de 95-98% dos casos, pois deve-se levar em conta não apenas o profissionalismo do médico e o nível da clínica, mas também as características anatômicas da mandíbula de uma pessoa, características individuais do sistema nervoso, bem como alguns fatores relacionados (álcool, drogas, estresse, medos de pânico, medicação atual, etc.).
Mito 3: implantes dentários são sempre colocados sob anestesia, e a anestesia faz mal ao cérebro.
Na prática, este é o caso: a instalação de implantes dentários é mais frequentemente realizada sob anestesia local, quando uma pessoa está consciente desde o início até o final do procedimento e pode controlar direta ou indiretamente a situação. A anestesia, por outro lado, é uma boa alternativa nos casos em que a anestesia local não dá resultado ou pode até causar danos ao paciente durante a instalação de implantes dentários devido a contra-indicações.

Nesses casos, quando uma pessoa insiste nos caprichos da anestesia, retendo suas doenças atuais do médico, as consequências podem ser muito diferentes, inclusive muito prejudiciais à saúde e até com risco de vida. Seja como for, um médico altamente profissional fará tudo ao seu alcance para evitar possíveis complicações durante e após a colocação do implantee escolha as táticas apropriadas em relação à anestesia - é importante cooperar apenas com o médico, não escondendo dele informações sobre sua saúde, por mais insignificante que isso possa lhe parecer.
Há uma opinião de que a anestesia causa danos significativos ao cérebro, prejudica a memória e, no geral, reduz as habilidades intelectuais de uma pessoa. E, embora você possa realmente encontrar muitas dessas análises na Internet, no entanto, a maioria dos especialistas considera as histórias de horror sobre os perigos da anestesia nada mais que um mito.

Comentários:
“Vou compartilhar minha experiência pessoal. Realizei quatro operações em órgãos internos, todas realizadas sob anestesia geral. Depois de tudo isso, minha memória começou a falhar com frequência, fiquei muito esquecido. Às vezes ocorrem lapsos de memória em geral. E eles começaram a sofrer muitas dores de cabeça. ”
Oksana M., São Petersburgo
Revisão do médico:
“Como uma pessoa que usa anestesia até 5 vezes por dia, posso dizer que ele não afeta o cérebro, mesmo se for feito na velhice. Sim, nesses pacientes, a exacerbação da encefalopatia às vezes acontece após a anestesia, mas após cerca de uma semana desaparece. Em geral, não existem tais drogas que usamos e que levariam a algumas mudanças irreversíveis no funcionamento do cérebro. Portanto, os danos da anestesia são mais no fígado e nos rins do que no cérebro, mas o corpo lida rapidamente com isso. ”
Sergey, Moscou.
Mito 4: após a implantação, a gengiva sempre dói por muito tempo, a bochecha incha, o sangue flui da boca por um longo tempo
Nas primeiras horas após a colocação do implante, quando a ação do anestésico termina, é realmente possível uma reação dolorosa e desconforto. Inchaço leve e pequenas manchas também podem ocorrer. Para reduzir a gravidade dessas consequências, um implantologista experiente sempre prescreve um complexo de medicamentos que exclui ou reduz a resposta do corpo ao fator traumático.

Em casos raros, pode haver dor prolongada, inchaço e sangramento significativos que, com sinais adicionais concomitantes (febre, dormência prolongada da mandíbula, supuração das gengivas, mau hálito, etc.), são uma complicação perigosa, que provavelmente está associada a erros táticas do médico. Chegando ao médico atempado, você quase sempre pode resolver o problema rapidamente, evitando mais danos à saúde em caso de problemas com o implante instalado.
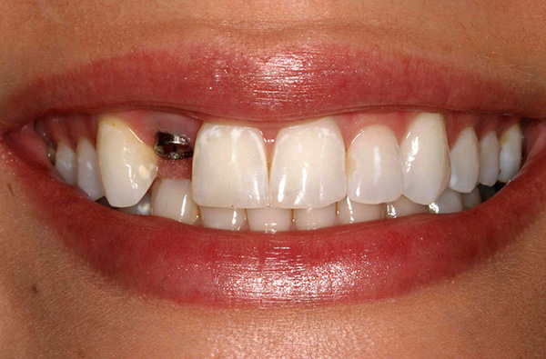
Mito 5: às vezes, os implantes são rejeitados e, quando são rejeitados, ocorre gangrena da mandíbula.
De fato, mesmo que o implante não tenha sido instalado corretamente e o médico tenha cometido muitos erros, a gangrena da mandíbula não se desenvolve. No pior dos casos, ocorre inflamação e supuração na zona de implantação, o implante se torna móvel e rejeitado. É impossível não perceber isso, e a dor nos estágios iniciais simplesmente força o paciente a consultar um dentista novamente.
A foto abaixo mostra os implantes removidos da mandíbula:

Nas pequenas situações em que, por alguns motivos, dependendo ou não do médico, os implantes instalados na mandíbula são rejeitados, ocorre uma diminuição banal no tecido ósseo. Essa diminuição óssea no futuro pode ser facilmente compensada por sua restauração artificial usando um enxerto ósseo.
Se você analisar análises populares na Internet sobre implantes dentários, poderá observar que algumas complicações menores não prejudicam a saúde humana e podem ser facilmente superadas pelo organismo no contexto da terapia medicamentosa recomendada pelo implantologista. Aqui está um exemplo dessa revisão:
Comentários:
“... Dois meses atrás, após a instalação dos implantes, tive uma complicação desse plano: ao lado de um implante, as gengivas estavam tão inchadas que a bochecha era diretamente inflada. Eu fui à clínica novamente. Lá, eles abriram meu chiclete e o limparam, prescrevendo lavagens. Agora, graças a Deus, está tudo bem! Dentes novos já se enraizaram e não sinto mais nenhum problema. ”
Veronika, Neftegorsk
Quando os implantes não precisam ser colocados: contra-indicações absolutas para implantação
Qualquer intervenção cirúrgica tem suas limitações e, nesse sentido, o implante dentário não é exceção. Enquanto isso, não há consenso na lista exata de doenças que determinam contra-indicações para a colocação de implantes.

Em primeiro lugar, isso se deve ao fato de que todas as contra-indicações são divididas em relativa (superável sob certas condições) e absoluta. Em segundo lugar, devido ao fato de a medicina moderna não ficar parada, as indicações para implantação estão se expandindo a cada ano, e essas contra-indicações, ignorando as que anteriormente poderiam prejudicar direta ou indiretamente a saúde durante e após a colocação do implante, agora são superadas com a ajuda de últimas tecnologias e medicamentos.
Hoje, a maioria dos especialistas considera que o implante dentário não é recomendado para:
- Doenças graves dos sistemas cardiovascular, endócrino e nervoso;
- A presença de tumores malignos;
- Certas doenças do sangue;
- Insuficiência renal e hepática crônica;
- Alergias a medicamentos para anestesia local e geral;
- Alcoolismo crônico e dependência de drogas.
No entanto, se você ler as opiniões e comentários de dentistas famosos no campo da implantação, poderá ver que mesmo as contra-indicações acima nem sempre são um obstáculo à instalação de implantes dentários. Hoje, aquelas doenças ou maus hábitos que costumavam ser contra-indicações absolutas ao implante nem sempre são um obstáculo para um sorriso bonito e a capacidade de mastigar alimentos normalmente.

Por exemplo, sob certas condições, a colocação do implante é possível nos seguintes casos:
- Na velhice;
- No diabetes mellitus tipo 2 (às vezes tipo 1) no estágio de compensação sem perturbar os processos metabólicos no tecido ósseo;
- Após ataques cardíacos e derrames;
- Ao usar um marcapasso;
- Após oncologia;
- Para fumantes.
Há duas razões principais que fazem um médico se recusar a implantar:
- Formas agudas e (ou) graves de doenças, especialmente na forma descompensada;
- E também com violações graves da regeneração dos tecidos.
No entanto, isso também não significa que a instalação de implantes será encerrada para sempre. Por exemplo, infecções virais respiratórias agudas, uma infecção viral respiratória aguda, no auge da doença, será uma contra-indicação ao implante dentário.E isso é bastante óbvio: no contexto de baixa imunidade, com febre alta, coriza, tosse e dor de garganta, é impossível realizar implantes de alta qualidade, pois isso pode afetar adversamente a condição já insatisfatória do paciente. No entanto, dentro de 1-2 semanas após a recuperação, a instalação de implantes pode muito bem ser realizada sem nenhum dano à saúde.

Quanto às violações da regeneração tecidual, isso afeta principalmente a possibilidade de integração (enxerto) do implante no osso. Muitas vezes, existem situações em que essa oportunidade tende a zero. Por exemplo, se uma pessoa é submetida a terapia de radiação durante oncologia na região maxilofacial, a regeneração do tecido ósseo na zona de implantação será prejudicada, portanto, implantes com quase 100% de probabilidade serão rejeitados em um futuro próximo após a instalação.
Comentários
“Estava programado para inserir os implantes para cima e para baixo + ainda faço a correção da gengiva, porque depois de remover os dentes, minhas feridas cicatrizaram muito desigualmente devido à supuração. Em resumo, eles inserirão quatro implantes na parte superior e o mesmo número na parte inferior. Estou com um pouco de medo, embora a operação seja anestesiada, então vou dormir e não pensar em nada. A única coisa ruim é o meu diabetes mellitus tipo 2 e, às vezes, o açúcar chega a 20, isso pode afetar a maneira como os implantes curam. Mas meus médicos me incentivaram e me disseram para não ter medo: eu não era o primeiro com essa doença. Vamos torcer para que tudo continue com mais de 5 anos! ”
Elena, Moscou
Implante dentário e gravidez
Alguns especialistas respondem contra o implante dentário durante a gravidez, uma vez que o processo de instalação de implantes dentários com uma certa probabilidade pode causar danos à futura mãe e, devido à sua condição, prejudicar o feto em desenvolvimento.

De um modo geral, a gravidez é apenas uma contra-indicação relativa ao implante, e os implantes estabelecidos e normalmente implantados não afetam negativamente a saúde da futura mãe e do feto.
No entanto, ao instalar implantes dentários, dois principais fatores potencialmente prejudiciais para a saúde de uma mulher grávida e do feto podem ser distinguidos:
- Terapia medicamentosa;
- Radiação de raios-X.
Com o segundo ponto, tudo fica claro: antes e durante a implantação, é necessário realizar diagnósticos e controle de qualidade dos implantes instalados e, para isso, os dentistas tiram fotos dos dentes. Pode ser TC (tomografia computadorizada), radiografia panorâmica ou radiografia de contato intraoral. Seja como for, os efeitos nocivos dos raios X durante a gravidez não são garantidos (com exceção de alguns casos de emergência).

A terapia medicamentosa é realizada na primeira fase do implante, quando é necessário que o corpo perceba adequadamente a intervenção estrangeira e a pessoa se sinta o mais confortável possível. Para isso, geralmente são prescritos antibióticos, analgésicos, anti-histamínicos e preparações tópicas (para a cavidade oral). Além disso, a maioria dos medicamentos desta lista é contraindicada para mulheres grávidas, portanto, arriscar a saúde do feto devido à cirurgia planejada de implantes dentários seria a decisão errada.
Nota
Há casos em que o implante dentário de uma mulher grávida é urgentemente necessário, especialmente nas situações em que nada além de implantes pode ser oferecido. Por exemplo, se uma mulher grávida recebeu uma lesão mecânica que causou a extração do dente da frente, o chamado implante imediato pode ser realizado quando os implantes são instalados em pouco tempo, juntamente com coroas estéticas (geralmente temporárias). Dependendo do método escolhido, esse processo pode levar de 3-5 dias a 2-3 semanas.E aqui é necessário decidir, antes de tudo, lavar a mulher - se ela está pronta para caminhar por vários meses sem os dentes da frente ou ainda arriscar a saúde fetal (mesmo que o risco seja insignificante) e instalar os implantes imediatamente.
Implantação para os núcleos: dano ou benefício?
As patologias cardiovasculares “assustam” muitos implantologistas e as situações em mulheres grávidas que procuram ajuda. Obviamente, nenhum médico quer que um paciente que sofreu recentemente um ataque cardíaco ou derrame morra em sua cadeira, e a reputação da clínica e do próprio especialista tenha morrido. Mas o que as pessoas com doenças cardiovasculares podem fazer, que têm a oportunidade de ter implantes dentários e se livrar de problemas com uma prótese removível em queda constante e (ou) inconveniente?



Lidaremos imediatamente com as formas agudas da doença: sem patologia cardiovascular no estágio agudo, o dentista instala implantes, pois o dano potencial da operação é muito grande (por exemplo, morte). Porém, no estágio de compensação, o implante pode ser realizado em quase todas as doenças cardiovasculares, mas apenas se a monitoração abrangente da saúde tiver sido realizada e, se necessário, a aprovação tiver sido obtida do médico assistente (terapeuta, cardiologista, etc.). Em casos raros, a prática da cooperação do dentista com especialistas dos centros de cardiologia é utilizada para garantir a segurança completa do procedimento.
Nota
A qualidade de vida de qualquer pessoa depende, principalmente, das condições da região maxilofacial. Frequentemente, com violações da mastigação normal, escreva para as doenças do coração e dos vasos sanguíneos um conjunto de doenças do trato digestivo (sem mencionar problemas psicológicos e distúrbios nervosos devido à "mandíbula falsa" e à boca desdentada).
Geralmente, para "núcleos" da categoria de risco, o dentista escolhe um implante basal, que é realizado em um curto período de tempo (por 3-5 dias). Com algumas das suas desvantagens, esse tipo de colocação de implantes permite reduzir o tempo gasto pelo paciente enfraquecido na cadeira e rapidamente retorna à vida normal e plena da sociedade.
O que pode afetar objetivamente a qualidade do trabalho de um médico
Antes de tudo, é necessário entender que nem mesmo o implantologista de primeira classe pode lidar com seu trabalho se certas condições para ele não forem criadas. Na maioria das vezes, a qualidade do trabalho de um médico é afetada por:
- Nível de equipamento clínico;
- Esterilidade do gabinete, equipamentos e ferramentas;
- Caracterização de instrumentos de implantação;
- Implantes dentários utilizados no trabalho (e eles vêm em diferentes categorias de preços e, consequentemente, de qualidade diferente).

Em outras palavras, dificilmente se pode contar com a instalação bem-sucedida de implantes em condições insalubres, com fresas, brocas, implantes chineses duvidosos, etc. As estatísticas de operações bem-sucedidas são afetadas por todas as pequenas coisas: desde um desinfetante para tratamento de ambiente até a escolha de um fabricante do sistema de implantes. E se a clínica está tentando, de todas as maneiras possíveis, economizar nas compras, isso geralmente leva a um aumento na probabilidade de complicações durante e após a implantação.
Para impedir que isso aconteça com você, é necessário adotar uma abordagem responsável na escolha de uma lâmina dentária: analise opiniões (positivas e negativas), leve em consideração as recomendações de seus amigos e parentes, bem como tirar certas conclusões em uma consulta com um médico assistente em potencial. Se houver a menor suspeita sobre as qualificações de um especialista, o nível de equipamento do consultório e, mais ainda, violações visíveis aos olhos, é melhor entrar em contato com outra clínica.
Um exemplo que mostra que odontologia diferente pode variar bastante:


Comentários
“Há um ano, eu coloquei dois implantes. Devo dizer imediatamente - não dói, mas depois de alguns dias houve um tumor que desapareceu rapidamente. O implante não dura muito, nem estou cansado.É importante que um médico normal seja pego: honesto. Se ele estiver interessado apenas no conteúdo da sua carteira, ele o conduzirá e o atormentará completamente até que todo o dinheiro seja retirado e seus dentes falhem. Em geral, escolha apenas um médico experiente e honesto. E meu conselho pessoal: coloque implantes se você não quiser ter problemas ... "
Natalia, Murmansk
Problemas com implantes devido a culpa da própria pessoa
Infelizmente, existem fatores associados ao comportamento da pessoa (paciente) que podem levar a problemas com os implantes após a instalação, independentemente do nível da clínica e do profissionalismo do implantologista.
Dentre os principais motivos para rejeição de implantes e desenvolvimento de peri-implantite por culpa do paciente, quando ele se prejudica, podem ser atribuídos os seguintes:
- Ignorando as recomendações do médico;
- Má higiene bucal;
- Tabagismo "malicioso";
- Falta de visitas preventivas ao médico.
Além disso, a maioria dos médicos costuma considerar os dois primeiros pontos os provocadores mais comuns de problemas nos tecidos ao redor do implante.

A falta de higiene bucal causa acúmulo de placa e pedra nos implantes instalados, interrompendo a fixação gengival e provocando processos inflamatórios. Em tal situação, seus próprios dentes geralmente se tornam móveis no contexto da periodontite, e os implantes também "entendem" completamente.

Comentários
“Meninas, hoje o cirurgião queria remover os formadores de goma e ali a placa era grossa no dedo. Não toquei neles ao escovar os dentes, ele não me disse nada, mas como sei que quase precisava esfregar essas coisas com uma escova. Bem, debaixo deles havia sangue e um chiclete não curado. Estou apavorado, sofro dores. Mas tudo ficou bem na foto: não há inflamação no osso. O médico limpou e colocou os modeladores de volta, agora em uma semana vou a ele como uma baioneta. Agora estou limpando tudo como deveria e esperando que tudo acabe. "
Tatyana, Yaroslavl
Mas em relação ao fumo, existem opiniões contraditórias. O fumo por si só, na maioria dos casos, não leva a problemas com implantes, mas vale lembrar que, com higiene bucal inadequada, os fumantes "maliciosos" correm o risco de periodontite ou doença periodontal, o que geralmente leva à peri-implantite.
Algumas técnicas de implantação, como a implantação basal dos dentes, estão posicionadas como adequadas para fumantes. Porém, neste caso, não se deve esquecer que os tecidos ao redor do implante ainda são prejudicados pelo fumo, o que cria riscos adicionais de inflamação mesmo quando os implantes basais são instalados.
Seja saudável!
Se você tiver alguma experiência pessoal com algum problema associado à instalação de implantes, deixe sua opinião na parte inferior desta página (na caixa de comentários).
Vídeo interessante: verdade e ficção sobre implantes dentários
Quanto custa a implantação dental hoje?


Após o implante dos 6 e 7 dentes superiores, apareceu um zumbido na dor de cabeça e pescoço. O que fazer
Olá Olga! Para avaliar a condição do sistema dentofacial e identificar as possíveis causas do problema, é necessário examinar como os implantes são instalados na CBCT (tomografia computadorizada de feixe cônico dos dentes e mandíbula). É impossível responder à sua pergunta sem informações adicionais, pois não está claro exatamente como estão os implantes, se você levantou o seio e se existem outras características importantes. Por exemplo, é possível que o fundo do seio tenha sido danificado ou que os implantes criem compressão nos nervos alveolares superiores, que, por sua vez, transmitem um sinal ao longo da cadeia para outros processos nervosos.
Eu li os fóruns por um mês antes de decidir quais implantes colocar. Esta é uma escolha difícil ...
Eles não querem me implantar, porque epilepsia. Idade Média ... Estou me preparando mentalmente há 2 meses e não tenho mais medo. Com epilepsia não coloque?
Boa tarde, Katerina! Hoje, sua doença (epilepsia) em muitas clínicas é vista como uma contra-indicação absoluta para implante dentário. Sem entrar nos meandros do tratamento dessa patologia na Federação Russa, podemos dizer com segurança que 75% dos pacientes não recebem o tratamento necessário. Em nossa clínica, a abordagem do tratamento odontológico em relação a cada paciente é individual, portanto, analisando o seu problema, focaríamos no seguinte:
1) Apreciaria a quantidade de trabalho necessária para realizar a implantação;
2) Certifique-se de envolver um neurologista para consulta com uma conclusão sobre a possibilidade de implantação;
3) Consideraríamos o uso de sedação sob a supervisão de uma equipe de anestesistas.
Depois disso, uma comissão médica seria convocada, de acordo com os resultados dos quais uma decisão é tomada.
Coloquei implantes sob anestesia geral. Muito satisfeito.
Quanto custou 1 dente?
Um dente me custou 25 mil, coloque os implantes israelenses. Coloque um ano atrás, o dente é excelente, muito bonito. Não dói, não interfere, executa suas funções. Além disso, existe uma garantia vitalícia.
Boa tarde Eu tenho a mordida errada, desde a infância, meus dentes estão muito tortos. Naquela época, por algum motivo, decidi não colocar aparelho. E agora vou por esse lado, mas meus dentes tortos já estão completamente cansados, estou diretamente cansado disso. Aparelhos não são uma opção, eles já são muito desconfortáveis, como eu ouvi, e o resultado terá que esperar muito tempo. Claro, eu gostaria de lidar rapidamente com isso. Ouvi dizer que, em vez de aparelho, você pode fazer implantes. É isso mesmo? Se você colocar implantes, provavelmente gostaria de implantes domésticos. Quanto custa mais implantações?
Olá. A mordida e a curvatura incorretas dos dentes podem ser corrigidas de várias maneiras, embora a remoção de todos os dentes e a instalação de implantes não sejam necessárias, pois essa não é uma solução ideal em termos de estética e, além disso, forçará você a passar por uma cirurgia e perder seus próprios dentes. Hoje é possível corrigir a curvatura dos dentes usando protetores bucais transparentes removíveis, bem como vários sistemas de bráquetes altamente estéticos, incluindo o lingual (fixo no interior da dentição, e eles quase não são perceptíveis).
Portanto, não se apresse em remover os dentes e colocar os implantes - consulte um ortodontista.
Olá. Vou instalar implantes em toda a mandíbula superior. Mas eu tenho diabetes tipo 2. Não tomo insulina, apenas pílulas e uma dieta especial. Isso é uma contra-indicação para implantação? Eu não quero colocar uma prótese.
Olá.Atualmente, o diabetes é um fator de risco, não uma contraindicação ao implante. Isso significa que, após consulta ao implantologista, você só precisa informar o endocrinologista assistente sobre a próxima intervenção cirúrgica, para que, se necessário, ele faça ajustes no regime medicamentoso para o período antes e após a operação.
Olá Algumas clínicas dentárias consideram a espondilite anquilosante uma contra-indicação absoluta. Você já teve pacientes com esse diagnóstico e é possível a implantação em sua clínica para esses pacientes?
Olá Svetlana! Sim, pacientes com esse diagnóstico estão entrando em contato conosco. Depois de estudar o caso clínico, uma consulta com os médicos toma uma decisão sobre a possibilidade de implantação.
A espondilite anquilosante é uma contra-indicação para o implante tradicional em dois estágios, mas existe outro método que resolve com sucesso o problema de falta de dentes do paciente. Nossa clínica utiliza com sucesso métodos inovadores de implante de estágio único (basal) com carga imediata, permitindo que pacientes com esse diagnóstico restaurem os dentes perdidos.
Eles colocaram implantes na minha mandíbula sob anestesia local, sem anestesia geral. Não foi nada doloroso.
Diga-me, por que a Internet diz que alguns médicos realmente não aprovam o método de implantação basal?
Olá Vitaliy. Acredito que a reprovação deste método de implantação se deve ao fato de que nem todos os médicos têm um conhecimento profissional dele. Ao realizar o implante basal, um cirurgião maxilofacial, além do treinamento básico, requer habilidades e conhecimentos especiais, além de ampla experiência prática. Além disso, o método apareceu recentemente na Rússia e tudo o que é novo, como você sabe, na comunidade médica é frequentemente questionado. No entanto, o implante basal ou bicortical existe e funciona, ajudando muitas pessoas desesperadas a encontrar um sorriso bonito. A capacidade de restaurar os dentes em 3-4 dias é a tecnologia do século XXI.
Também coloquei o implante israelense MIS no 7 dente superior. Tudo correu bem, já após consultar um médico e realizar todos os exames, tomografia e outras coisas, não me preocupei com nada. O implante em si foi colocado por cerca de 40 minutos, sem surpresas. Três semanas se passaram enquanto eu tenho líquidos e purê de cereais em minha dieta. Mas já acostumado com o dente. Uma sensação indescritível quando em vez de um buraco - um dente! Hooray)
O implante tem 5 anos, ele está quebrado. Empresa Dentegris, minha experiência é melhor para não correr riscos! Substituir o próprio implante (parafuso) para mim não é um consolo, porque todo o estresse e preocupações caem sobre mim. Eu só não tinha um dente e agora, depois de um colapso, preciso de uma operação para remover o implante que criou raízes.
O titânio contido em um implante de origem israelense afeta o coração, os rins e o estômago ao longo da vida? E eles não irão agravar as doenças que são: arritmia cardíaca, pielonefrite crônica, gastrite do estômago?
Caro Galina, olá. Um fato cientificamente fundamentado é que o titânio é absolutamente inerte em relação ao corpo humano. Portanto, ele não pode agravar as doenças indicadas por você e causar qualquer dano.
A sogra passou pela implantação completa de 7 dentes da mandíbula superior na ausência dos dentes, ajudamos com o dinheiro. Eles colocam modernos implantes israelenses do IIA, comparáveis aos suíços, mas não tão caros. Percebo imediatamente que a sogra não podia usar uma mandíbula falsa devido ao reflexo do vômito; portanto, a solução estava apenas nos implantes.O procedimento em si foi indolor, sob anestesia local. Após a implantação, tudo se curou rapidamente e sem dor. Em quatro semanas todas as coroas foram instaladas. A sogra diz que ela se acostumou com dentes novos por cerca de um mês e agora os sente completamente como parentes. Ele está especialmente feliz por poder comer maçãs novamente. E estamos felizes por ela por não termos nos confundido com implantes e um médico. Estamos felizes que tudo correu bem.
Eu me implantei. Sem dor (ainda sob anestesia). Muito confortável
Eu quero um implante dentário, mas tenho oncologia da próstata, estou em tratamento com terapia hormonal (zoledronka, buserilin, bicalutamida). É possível instalar um implante ou não? Por favor, informe. Agradecemos antecipadamente.
Olá Yuri. A instalação de implantes é possível somente após 4 anos de remissão e de acordo com o oncologista. Portanto, infelizmente, você tem que esperar.
Olá Por favor, explique-me uma pergunta ... Ninguém pode respondê-la claramente por algum motivo. Tirei o dente inferior (seis), preciso de um implante, pois os dentes vizinhos são mais ou menos normais para a ponte. Mas estou em pânico com medo de qualquer manipulação com os dentes. Portanto, eu gostaria de um implante de estágio único, mas, por alguma razão, muitos médicos recusam, sem realmente explicar o porquê.
Olá Olga! A decisão sobre a possibilidade de implantação simultânea é tomada individualmente, dependendo da situação clínica. O motivo da recusa pode ser tecido ósseo insuficiente, incluindo tecido ósseo denso, a natureza da picada e vários outros motivos. Se você deseja esclarecer a situação, sempre pode obter aconselhamento de vários outros implantologistas em diferentes clínicas, perguntando detalhadamente os motivos da recusa.
Olá. Minha mãe tinha 5 implantes colocados por baixo. Após a instalação, a dor no pescoço e na garganta começou a incomodar - a mãe diz que há algo puxando, estrangulando. Agora, dor de estômago também foi adicionada. Parece horrível. Isso pode estar relacionado a implantes? Talvez nervo viciado?
Olá Alena! Não excluo que os sintomas que você indicou podem ser causados pelo uso concomitante de medicamentos prescritos pelo seu médico (por exemplo, antibióticos). De qualquer forma, sua mãe precisa entrar em contato com o médico assistente para analisar a situação e, se o médico não conseguir identificar a causa do problema, também será útil consultar alguns outros especialistas.
Olá Meu marido tem HIV, ele está constantemente tomando medicamentos, bem-estar e exames são normais por muitos e muitos anos. Na Internet, eles escrevem que hoje o HIV é considerado uma contra-indicação relativa ao implante, embora em todas as clínicas de nossa cidade tenha sido recusada a cirurgia. É possível colocar implantes com esse diagnóstico? Vale a pena ir para as grandes cidades vizinhas ou é inútil?
Olá Mary. A instalação de implantes é possível, o principal é que a doença esteja em remissão. Com toda a calma, seu marido pode receber tratamento em qualquer clínica que esteja pronta para cooperar.