
As propriedades bactericidas do alho são amplamente conhecidas - e é em parte por isso que ganhou popularidade no tratamento e na prevenção de uma variedade de doenças, especialmente na medicina tradicional. Os "curandeiros" populares descobriram o uso de alho e dor de dente, e alguns até consideram o alho da dor de dente como um meio mais eficaz do que os analgésicos especiais para comprimidos.
O mais interessante é que o alho é recomendado para reduzir a dor no dente quase tudo: colocar um pedaço de alho na cavidade, comprimir o dente doente, além de tomar tintura de álcool e enxaguar a boca com ele, e até aplicar o dente. pulso.

O uso do alho é milagrosamente capaz de aliviar uma pessoa que sofre de dor de dente? Vamos descobrir ...
Possibilidades de alho na luta contra a dor de dente
Se tentarmos entender a composição química de um simples dente de alho e procurar aqueles que são capazes de anestesiar entre as substâncias contidas nele, não encontraremos analgésicos, mesmo os fracos. Portanto, você não deve esperar que imediatamente após a aplicação em um dente doente, o alho tenha aproximadamente o mesmo efeito que os medicamentos analgésicos.
Mas as propriedades anti-sépticas do alho são realmente pronunciadas e são devidas à substância alicina, que mostra um efeito bactericida e fungicida.

É interessante
A alicina não está presente no alho em sua forma livre, mas é formada apenas pela destruição mecânica das células do cravo-da-índia, quando o conteúdo dos vacúolos e do citoplasma danificados é misturado e entra em interação química.
Assim, as propriedades “analgésicas” do alho são muito, muito limitadas e só podem se manifestar no fato de que suas propriedades bactericidas reduzirão o número de microorganismos patogênicos que causam, por exemplo, doença gengival.
Deve-se ter em mente que a alicina é um composto muito agressivo, como resultado do qual o alho pode, por exemplo, causar queimaduras na mucosa oral com contato direto prolongado e também levar a irritação adicional da polpa ("nervo dental") na presença de uma cárie profunda no dente.

Exemplos:
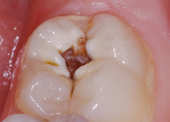
- Suponha que um dente tenha uma cárie profunda, quase atingindo a câmara pulpar (aqui está localizado o feixe neurovascular, que é coloquialmente chamado simplesmente de nervo dental). Se a polpa ainda estiver viva (isto é, não sofreu morte e decadência necrótica), quando irritantes químicos, por exemplo, alimentos ácidos, condimentados e salgados, entram em uma cavidade tão cariosa, muitas vezes ocorrem dores intensas. Portanto, se você tentar seguir o conselho dos "curandeiros" populares e forçar um pedaço "oco" de alho, uma experiência inesquecível será fornecida imediatamente. Uma lavagem imediata com água ajudará.

- Existem situações em que a dor ocorre devido à inflamação do tecido gengival - os restos de comida caem no chamado bolso gengival e, aqui, o processo de cárie começa. Em um esforço para destruir as bactérias no foco da inflamação, algumas pessoas também tentam aplicar um pedaço de alho em um local dolorido e, mesmo assim, suportam dolorosamente dores e queimaduras terríveis, acreditando que esses são os custos naturais do processo de cicatrização. Bem, o dano causado por uma queimadura não pode ser menor que a inflamação e as bactérias podem ser destruídas de maneiras muito mais racionais e seguras.


Assim, dor de dente e alho - os conceitos, por assim dizer, são quase incompatíveis.
Em todas as situações em que as receitas populares recomendam o uso de alho como anti-séptico, a água salgada morna e simples também ajudará: restos de comida, pus e bactérias patogênicas podem ser lavados com um simples enxágue da boca, sem tentar queimar as gengivas com alho “para maior confiabilidade”.
Nota
A inserção de alho em uma cavidade profunda de cárie também pode levar à queima da polpa com sua morte subsequente - no entanto, para isso, você terá que suportar uma dor muito intensa. No dia seguinte, o dente pode quase deixar de doer, pois o feixe neurovascular já estará morto. No entanto, você não deve ficar muito feliz com isso e considerar que agora não pode se apressar para o dentista: um tecido morto se decompõe bem dentro do dente e o pus, sem encontrar uma saída, pode trazer muitas surpresas desagradáveis se você não consultar um médico a tempo.

Comentários
"Era uma vez na minha juventude, quando eu ainda não protegia os dentes e não corria especialmente para o dentista com dor de dente, costumava usar alho. Às vezes eu fazia tintura com vodka, às vezes eu apenas mastigava. Honestamente, pareceu-me que o alho ajuda a aliviar a dor de dente, é sempre tão diferente que machuca, machuca e deixa ir. Mas enquanto dói, você usa alho, ele libera um pouco. Então novamente. Mas de tal forma que o dente foi curado com alho, nunca foi, sempre tudo terminava com o médico. Agora eu entendo que, quanto menos você for a um médico e tomar analgésicos, isso não importa com alho ou analgésicos, mais saudável você será. "
Alexandra, Tyumen
Tintura de dente de alho
Algumas palavras sobre o uso da tintura de alho para aliviar a dor de dente (também um truque popular).
Preparar essa tintura é bastante simples: 100 gramas de alho esmagado são derramados com meio litro de vodka, o vaso é fechado e colocado por duas semanas em um local escuro e fresco. Após o término da infusão, toda a mistura é filtrada através de gaze e o líquido filtrado é lavado com uma boca para dor de dente ou (o segundo método comum) tomado por via oral.

Bem, em relação à ingestão, está tudo claro - não alimente alguns camaradas com pão, deixe-os levar algo que contenha álcool. Certamente, haverá mais danos desse tratamento do que benefícios (do uso regular de álcool etílico, sem mencionar a constante irritação da mucosa gástrica com alho).
No entanto, a segunda opção de usar tintura de alho em alguns casos pode ser aplicável na prática com uma execução cuidadosa: o alho volátil, passando para a tintura, cai nos locais de inflamação da gengiva e destrói bactérias patogênicas, devido às quais o processo inflamatório diminui e a dor diminui um pouco. O etanol também possui um certo efeito anti-séptico, que, além disso, tem um efeito vasodilatador.
Um efeito mais ou menos benéfico será alcançado em pessoas que sofrem de doença gengival. No entanto, com aproximadamente o mesmo efeito para dor de dente, você pode usar uma decocção de água de camomila, sálvia, infusão de casca de carvalho.

Mas com as dores de dente causadas por cárie, pulpite ou periodontite, o efeito da tintura de alho será praticamente zero.
Comentários
“Li em algum lugar que é possível fazer tintura no alho para que a dor no dente possa ser removida, mas não é possível cozinhá-lo perto das mãos. Esse processo é muito longo: o dente ficou doente, você colocou a tintura por duas semanas, durante essas duas semanas a dor ficou tão forte que eu tive que ir ao médico e antes do próximo dente ruim alguém derramar essa tintura ou beber. Uma vez eu usei algo semelhante com minha avó na vila. Bem, bebi um pouco, é mais fácil, mas a cárie não vai a lugar algum. No dia seguinte, o dente ainda doía, e com ele a cabeça ... ”
Sergey, Kaluga
Compressa de alho no pulso
A princípio, pode parecer que aplicar alho no pulso em caso de dor de dente é algo completamente sem sentido, uma espécie de método "babkin" de nível de conspirações e orações.Também é chamado de siberiano, e fica assim: um dente de alho é pressionado até que uma pasta seja obtida (às vezes é cortada pela metade), que é aplicada ao interior do pulso, onde o pulso é sentido e cuidadosamente pressionado com um curativo denso. Além disso, se o dente dói à direita, recomenda-se aplicar um curativo na mão esquerda e vice-versa.

Os apologistas deste método de aliviar a dor de dente apelam para a conexão de vários pontos na superfície do corpo com os nós nervosos, e acreditam que tratar o alho com um ponto desse tipo no pulso pode interromper o fluxo de impulsos dolorosos para o cérebro. Essa justificativa não tem nenhuma base de evidências, mas hoje eles usam essa técnica apenas em aldeias, por falta de analgésicos mais eficazes.
Enquanto isso, camaradas menos odiosos formulavam um princípio diferente de alho quando aplicado no pulso: uma forte queimação da pele na mão distrai uma pessoa de um dente doente, como resultado do qual a dor de dente não parece mais tão insuportável. Bem, a abordagem é ambígua, e cabe ao próprio homem decidir o que é melhor para ele: apenas um dente dói, ou um dente e um pulso ao mesmo tempo ...

Comentários
“Era uma vez que o dente doía repentinamente, e no quintal de sábado, até o centro do distrito, cinquenta quilômetros. Ou seja, só vou ver um médico em dois dias no jantar. Fui a uma avó herbalista local para me ajudar com pelo menos alguma coisa. Ela amarrou um dente de alho picado no meu pulso e o enfaixou para que ele começasse a esmagar. Ela disse que se eu sentir uma forte sensação de queimação, tudo está bem, o processo está em andamento. Ainda fiquei surpresa que o dente doesse à esquerda e ela amarrasse o alho à direita. Minha mão ardia sem piedade, mas aguentei toda a força que já estava suando. Então ela ainda não agüentou, removeu o curativo, a pele por baixo estava vermelha, como câncer. O dente não passou, mas enquanto a mão estava queimando, eu não percebi dessa maneira ... "
Olga, Khabarovsk
A segurança do alho, ou por que você precisa chamar um médico primeiro
Antes de tudo, deve-se lembrar que o uso do alho para aliviar a dor de dente de maneira alguma pode substituir uma visita ao dentista. É tão "acabado" que, se um dente fica doente e, além disso, dói regularmente, ele não será curado e, mesmo sem atendimento odontológico, ficará pior.

Quanto ao alho, as breves conclusões são as seguintes:
- A aplicação em um dente não reduz a dor de dente - pelo contrário, a dor na maioria dos casos só se intensifica, especialmente no caso de uma cárie profunda;
- As tentativas de mastigar freneticamente o alho e aplicá-lo nas gengivas estão repletas de queimaduras graves e muito desagradáveis;
- A recepção de tintura de alho na vodka no interior não é mais eficaz do que apenas "ficar bêbado", e enxaguar com uma tintura da cavidade oral não é mais eficaz do que enxaguar com uma decocção quente de camomila ou sálvia;
- Colocar um dente de alho no pulso, na melhor das hipóteses, distrairá a dor de dente com uma forte sensação de queimação no pulso, mas, caso contrário, não faz sentido.
Com dores de dente severas, tentativas regulares de automedicação, seja alho ou analgésicos, podem levar a complicações graves, algumas das quais com risco de vida. Portanto, a primeira coisa a fazer com a dor de dente é marcar uma consulta com o médico. E alho ... coloque-o melhor na sopa, para que traga muito mais benefícios.
(Se você também costumava usar alho para dor de dente - deixe seu comentário na parte inferior desta página!)
Vídeo útil sobre como aliviar rapidamente a dor de dente em casa sem pílulas
Como agir quando ocorre uma dor de dente: aconselhamento de um dentista


No outro dia, a gengiva no topo do dente estava inchada, a dor não era muito forte, mas desagradável, era impossível tocar o dente com a língua, sem mencionar a mastigação. Ele pegou um dente de alho picado finamente, pegou um curativo e colocou o alho ali. Em seguida, a zaragatoa resultante foi aplicada à goma doente. Ele segurou por meia hora. Fui para a cama. De manhã, realmente, não houve dor, o tumor diminuiu e, com um dente que você não pode tocar à noite, pode morder as nozes. Anteriormente, eu não acreditava em todos esses métodos de "avó". Mas eu tentei e ... acreditei. Não fique doente!
Eu concordo 2 comprimidos não ajudaram e o alho aliviou a dor em 10 minutos.
Não sei como é prejudicial aplicar alho. Hoje eu coloquei, cortando ao meio, até a gengiva, e dormi a noite toda. E de manhã o tumor foi embora.
Sempre que sinto dor de dente, coloco alho no pulso, e isso sempre me ajuda. E aqueles que escrevem que o alho não ajuda - basta ganhar dinheiro com remédios (
No total, concordo com você, carreguei por um dia, agora fiz de novo - sem queima, sem queima, a temperatura era 38 e agora é normal. E repito por segurança.
Eu concordo! Muito surpreendente, mas realmente ajuda. É verdade que meu dente não dói, mas a gengiva está inchada e com coceira enquanto o preenchimento temporário está. Metade do alho aliviou instantaneamente a dor e a coceira. A auto-hipnose pode, é claro, mas estou feliz com isso - nenhum medicamento e analgésico ajudou.
Bochecha inchada e lábio inferior. A dor é insuportável, mesmo analgésicos fortes não ajudaram, ela não conseguiu abrir a boca. Fim de semana ... Só me inscrevi para um médico na segunda-feira. Cortei um dente de alho ao meio, coloquei metade na direção do dente doente e a segunda na direção do lábio. Fiz isso duas vezes por dia, o tumor desapareceu, quase não há dor, agora não posso apenas tocar minha bochecha, mas também atingir um dente ruim. Até comeu sem lágrimas)
Só tenho uma dor de dente. Buraco, cárie. Coloque o alho por 2 minutos, a dor se foi. Isso ajudou.
Lembre-se da velha sabedoria de que um medicamento pode ser tanto veneno quanto medicamento - depende da dose. Eu acrescentaria: e a partir do momento da aplicação. Se você aplicar o alho por 5-20 minutos (retirando com uma queima forte, naturalmente), não haverá danos. Se será útil depende da causa da dor e da gravidade do processo. As pílulas analgésicas também não eliminam a causa, portanto o desaparecimento da dor do alho ou de outros meios não exclui uma visita ao dentista. Mas muitas vezes é necessário esperar por isso, e então é bem possível usar remédios populares (sem fanatismo: fica pior - pare com isso!).
Eu próprio sou clínico geral e penso que é necessário combinar a medicina tradicional e a farmácia com sabedoria. meios. Para dores nos bolsos das gengivas, uso uma mistura de um terço de uma colher de chá de mingau de alho, a mesma quantidade de mel e sal. Um pedaço de curativo deve ser dobrado em uma tira de oito camadas e, em seguida, aberto para que, de um lado, haja duas camadas de curativo (na gengiva) e do outro - seis (no lábio). Coloque a mistura dentro (para que não ultrapasse as bordas do curativo) e coloque-a entre a bochecha e a gengiva (onde dói). Segure por 15-25 minutos (retire com queimação severa, lave bem a boca). Marque uma consulta com o dentista.
Estávamos de férias, um dente subitamente adoeceu e houve uma temperatura. Os analgésicos apenas aliviam a dor por 2 horas e depois não completamente. Depois de 2 dentes de alho (mastigados com um dente estragado, cuspidos), ficou imediatamente mais fácil. Mastigou de novo à noite, a dor desapareceu, de manhã ainda para prevenção, não havia mais dor. Então, apenas alho economizado. Analgésicos não ajudaram. Só podíamos tratar um dente por uma taxa, e não se sabe como. Graças ao alho.
Depois de um minuto, a dor de dente diminuiu, depois de meia hora eu já comi carne de frango. Não encontrei como isso afeta o dente através do pulso na Internet; com a pele sensível é possível através de um pano, mas o efeito na dor de dente é mais forte. Ketanov trabalha mais devagar + depois dele, você não sente nada, mas aqui está a mesma pessoa. E você não precisa tentar métodos populares, eles têm centenas de anos e suas pílulas e suas contra-indicações ... Em geral, alho é poder, eu tento comigo mesmo.
O artigo é claramente personalizado. Todo mundo precisa de dinheiro, eles não dão a mínima para os pacientes. Dentistas e dentes saudáveis são tratados.
Alho é poder. Antibiótico natural, não há necessidade de culpá-lo. A natureza criou para o homem. Seja saudável!
Um dente ficou doente, nem mesmo um dente, e só a raiz permaneceu ali. Todo o lado do dente ficou doente, a dor doía, persistente - terrível! Ela colocou analgin no dente, ao redor da bochecha um pouco dormente, e o dente doía e doía. De manhã, lembrei-me do alho, corte uma fatia e um dente. Um pouco mais tarde, a dor começou a passar! Então, ainda à noite, ela ficou um pouco doente, largou tudo de novo e, afinal!
Eu não acreditava em alho. Sempre enxágue com sal, refrigerante e iodo, ou beba remédios. Hoje está tão distorcido que pelo menos um uivo. E nada ajuda. Ela começou a mastigar alho - em um minuto ficou mais fácil.
Agora vou tentar, depois vou cancelar a inscrição sem mentiras. O artigo é claramente personalizado ...
Ajudou e com alho ligeiramente seco. Então ele correu em busca de alho suculento, arrancou mais tecido ao redor do dente e o próprio dente passou. Antes disso, ele se separou e ficou doente por alguns dias.
Minha filha chorou dia de peso. Somente à noite me lembrei do alho, coloquei-o no dente e, depois de um minuto, olhei - minha filha já havia adormecido. Portanto, o alho é o melhor remédio para dor de dente.
Eu tentei um monte de ferramentas, isso não ajuda. Vou experimentar o alho. Cancelar inscrição ...
Eu quase enlouqueci à noite com dor. Uma dor aguda no dente do siso, gritando como um louco - sem alho até a manhã, eu não teria sobrevivido simplesmente.
O fluxo foi inflado na metade da bochecha. Estou de olho, o dentista é algo da categoria de ficção científica. Na segunda noite, ele estava prestes a romper o abscesso, tomou uma garrafa de vodka como anestésico. Coloque o alho na pasta para o pulso - um abscesso irrompeu em 15 minutos. Meia hora de lavagem com desinfetantes. Sento-me em prostração, porque acreditei no alho por último.
Ajuda, mesmo alho seco (seco). Cortei um dente ao meio, envolvi-o com um curativo (e não é necessário enrolá-lo com força para que ele pressione diretamente). Isso ajuda muito.
Compressa de alho no pulso - várias vezes me ajudou com dor intensa. Você só precisa lubrificar o local da aplicação com óleo de girassol para não queimar a pele.
Olá. Li o artigo e amarrei o alho na mão esquerda, onde o pulso (dor de dente no lado direito), na esperança de que a dor desapareça à noite. A dor não desapareceu, mas de manhã também queimava a escova ((para quem, mas o alho não me ajudou).
Obrigado pelos comentários deixados) Graças a eles, meu dente se acalmou. Muito bem.
O artigo é competente, mas por incrível que pareça, o alho realmente ajuda! Ainda assim, os remédios populares governam! Ainda ajuda o caldo de lilases, mas cresce apenas na primavera.
Isso ajuda muito. À noite, ela o colocava no pulso, dormia como uma mulher assassinada. A dor passou de manhã.
O milagre do alho! Durante toda a semana atormentada pela dor de um dente do siso, os analgésicos agiram apenas por uma hora, e depois não até o fim.Hoje eu coloquei alho em um dente ruim, cinco minutos - e a dor foi embora, como se não doesse. No início, no entanto, houve uma forte dor ao tocar assim que eu a apliquei, mas depois tudo foi embora.
Olá Receio que seja muito cedo para se acalmar. Nesse caso, a razão mais provável para o desaparecimento da dor é a morte do "nervo" no interior do dente devido aos efeitos agressivos do suco de alho. Se o dente apresentava cárie, a aplicação de alho causava a penetração de substâncias ativas na câmara pulpar. De fato, ocorreu necrose do feixe neurovascular, como resultado no futuro próximo (se nada for feito), vale a pena esperar pelo desenvolvimento de periodontite, e a única questão é qual será o formato: com uma fístula, com ou sem cisto.
De qualquer forma, essas ações que usam a medicina tradicional excluem apenas o efeito (dor), e não a causa. Portanto, apesar do desaparecimento da reação à dor, recomendo que você consulte um médico em um futuro próximo para tratar o problemático dente do siso intracanal, em vez de esperar o que acontece a seguir.
Eu tenho um buraco no meu dente. O alho é um milagre, eu aconselho a todos.