
Em seguida, você aprenderá:
- Como enxaguar um dente doente para se livrar da dor de dente o mais rápido possível;
- Qual é o mecanismo para aliviar a dor ao enxaguar a boca e como ela é implementada na prática;
- Regras importantes para o enxágüe eficaz, que permitirão obter um efeito positivo e, ao mesmo tempo, não prejudicar sua saúde;
- E também que tipo de soluções e decocções podem e não podem ser usadas para lavar a boca com dor de dente.
Muitas vezes, a dor de dente aparece no momento mais inoportuno - por exemplo, durante as férias ou em uma viagem, quando entrar em contato com um dentista imediatamente para obter ajuda pode ser muito problemático. E, talvez, a primeira coisa que uma pessoa faça em tal situação seja tentar enxaguar um dente doente na esperança de se livrar de sensações desagradáveis o mais rápido possível (a segunda abordagem comum é tomar pílulas para dor de dente, embora muitas vezes as duas opções sejam ativamente combinadas).

Antes de tudo, vale a pena notar que, em alguns casos, os enxágües bucais são realmente capazes de aliviar significativamente a dor de dente, se você abordar o procedimento corretamente. No entanto, como mostra a prática, quando uma pessoa sofre de dor de dente severa, muitas vezes são usados os enxaguamentos mais inofensivos - eles enxaguam a boca literalmente com qualquer coisa: álcool, vodka, peróxido de hidrogênio, uma solução forte de permanganato de potássio e até gasolina. Escusado será dizer que, sem entender os princípios do alívio da dor, enxaguando um dente doente, uma pessoa tem todas as chances de causar mais danos a si mesma do que obter benefícios.
Portanto, vamos descobrir como enxaguar adequadamente a boca para aliviar a dor de dente, reduzir realmente a intensidade e não se machucar.
É interessante
A primeira menção dos benefícios de enxaguar a boca ocorre na medicina chinesa e ayurvédica em quase 3000 aC. Mais tarde, Hipócrates escreveu sobre o uso de uma mistura de vinagre, alume e sal para tratar gengivas.
Hoje, um grande número de enxaguatórios bucais especiais são produzidos, incluindo aqueles usados para tratar estomatite, úlceras orais, gengivite e também prescritos após algumas intervenções odontológicas.

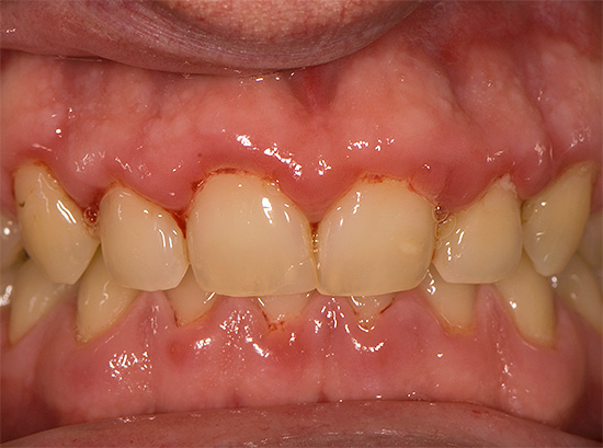
Para começar, deve-se ter em mente que os dentes podem ficar doloridos por várias razões e, em termos simples, as causas mais comuns são as seguintes:
- A cárie destruiu uma parte do dente e agora as terminações nervosas presentes na dentina reagem a vários estímulos que caem na cavidade cariosa (os restos de alimentos ácidos, doces, picantes etc.);
- Ou as bactérias chegaram à câmara pulpar do dente e causaram inflamação do chamado "nervo dental" - a polpa. Aqui, no espaço confinado da câmara pulpar, o feixe neurovascular incha, é espremido por um exsudato seroso ou purulento, que provoca dor intensa quando uma pessoa literalmente não encontra lugar para si mesma. No futuro, a pulpite pode evoluir para periodontite - nesta fase, a bochecha já pode estar com um bom terço da face, geralmente a temperatura aumenta;
- Os dentes também podem doer (choramingar) devido a afinamento ou danos ao esmalte - por exemplo, após um procedimento de clareamento no ambiente ou devido ao uso prolongado de creme dental branqueador, após ingestão de alimentos ácidos, etc.
Às vezes, uma pessoa pode pensar que seus dentes estão doendo, mas na verdade o problema está nas gengivas.

Comentários:
“Recentemente também sofri, à noite meus dentes começaram a doer muito, pensei que fosse cárie. Toda vez que doíam a noite toda. Mas acabou que o problema não estava neles, mas nas gengivas. O médico receitou gotas para minhas gengivas, eu as criei e as enxaguei por uma semana, imediatamente ficou melhor ... "
Oksana, São Petersburgo
Mecanismo de alívio para bochechos
Pelo exposto, fica claro como exatamente enxaguatórios bucais podem aliviar a condição de um dente doente:
- Se você lavar a boca, isso ajudará a remover resíduos alimentares irritantes e bactérias putrefativas da cavidade, o que geralmente elimina a dor de dente no menor tempo possível (desde que o motivo tenha sido exatamente nesses resíduos muito irritantes). A propósito, lavando a boca, é útil simplesmente encaixar uma cavidade profunda na cavidade por um tempo com um pedaço de algodão, para que, ao comer, os restos de comida não voltem a entrar nela e causem fortes dores.

- Com pulpite e periodontite, quando o processo inflamatório ocorre, enxaguar o dente doente também pode aliviar a dor, embora geralmente o efeito ocorra lentamente e nem sempre seja muito pronunciado. Nesse caso, enxaguar a boca será útil para aumentar o fluxo sanguíneo no local da inflamação e, como resultado, acelerar a remoção de toxinas e produtos de degradação tecidual. Se a cavidade cariosa no dente doente se comunicar com a câmara pulpar, essas lavagens contribuirão ainda mais para a saída de pus a partir dele.

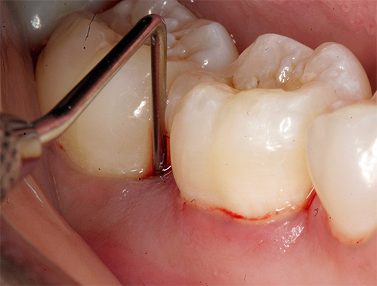
Como observado anteriormente, a “dor de dente” pode ser causada pela doença gengival, e não pela cárie dentária devido à cárie dentária. Ou seja, uma pessoa pode pensar que seu dente dói, mas, na realidade, há inflamação da gengiva, por exemplo, devido ao acúmulo de restos de comida no chamado bolso da gengiva (no local em que a gengiva fica ao lado do dente).
As bactérias que se multiplicam ativamente aqui no decorrer de sua vida podem não apenas levar à inflamação da gengiva, mas também danificar os tecidos dos dentes duros - por exemplo, causar cáries nas raízes dos dentes, embora a parte da coroa pareça absolutamente saudável.

Em todos esses casos, os enxaguatórios bucais também têm um efeito muito positivo, ajudando a remover os restos de comida e bactérias dos bolsos das gengivas.
Comentários
“... Um bom remédio para enxaguar a boca é o Listerin, isso me ajuda muito com dor de dente. Uma solução tão especial, ainda é prescrita por dentistas para aqueles cujo esmalte dentário é fraco. Quando um dente dói, eu faço o seguinte: depois de comer, escovo os dentes, depois lavo a boca primeiro com água pura e depois com Listerina. E é tudo, depois que essa solução de goma mastiga um pouco e a dor de dente se acalma. ”
Ivan, Volgograd
No entanto, ainda mais frequentemente a dor de dente é uma consequência de cárie ou pulpite - aqui falaremos mais sobre esses casos com mais detalhes. Além disso, para obter um efeito positivo, é importante não apenas saber qual é a melhor maneira de enxaguar um dente doente, mas também como fazê-lo corretamente para que o efeito seja máximo.
Regras para lavagem eficaz
Para eliminar a dor de dente enxaguando a boca, deve-se levar em consideração várias regras importantes, cuja observância permitirá obter o efeito desejado e, ao mesmo tempo, não prejudicar sua saúde.

Essas regras simples são:
- Não lave a boca com uma solução muito quente. A temperatura ideal é de 37 a 45 ° C, mas não mais alta. Os fãs de enxaguar um dente doente com caldo quente não só podem queimar as membranas mucosas da boca, mas também a polpa dentro de um dente completamente vivo, o que levará posteriormente à sua necrose.
- Quanto mais lavagens ocorrerem, melhor. Idealmente, um dente e gengivas doentes devem ser lavados regularmente com uma solução fresca. Na prática, na maioria dos casos, basta lavar a boca uma vez por hora ou duas por cerca de 15 a 20 minutos por procedimento.
- Você não pode aquecer um dente doente do lado de fora - por exemplo, uma almofada de aquecimento ou aconchegar-se a um fogão ou a uma bateria de aquecimento (houve casos assim). A partir desta bochecha pode inchar muito. Além disso, não se deve dormir no lado da face onde está localizado o dente doente.

São essas recomendações que os dentistas geralmente dão a seus pacientes, que pedem conselhos por telefone para suportar o próprio tratamento (bem, a menos que possam recomendar adicionalmente analgésicos para dor de dente).Além disso, quanto mais doloroso é o dente e mais pronunciada é a inflamação, geralmente mais determinado o paciente está a todo custo e para se livrar do problema o mais rápido possível - é importante, neste caso, não ir ao extremo e não esquecer o bom senso (não aquecer a solução para ferver na esperança de que quanto mais quente e doloroso o enxágue, mais útil é: não suba a bochecha inchada na casa de banho, expulsando a "doença odiada" com uma vassoura; etc.).
Nota
Às vezes, você pode ouvir que, para remover o pus dos bolsos purulentos, recomenda-se enxaguar a boca com água quente - portanto, isso não significa que você precise derramar água fervente na boca. Estamos falando de soluções e decocções com temperatura de cerca de 45 ° C. De qualquer forma, o enxágüe não deve queimar ou causar dor intensa: se você tiver pulpite e uma solução com temperatura de 45 ° C causar um aumento acentuado da dor, não será necessário se atormentar - enxágüe o dente afetado com uma solução de temperatura entre 36 e 37 graus.

Na maioria dos casos, a lavagem mais eficaz de um dente doente é assim:
- Uma lavagem quente é coletada no recipiente - cerca de um litro ou meio;
- Uma tigela vazia é preparada se o enxágüe não for realizado acima da pia;
- Cerca de metade da solução é coletada na boca e a cavidade bucal é enxaguada por 20 a 30 segundos. Além disso, é necessário fazer isso para que o dente doente seja irrigado com a solução de maneira especialmente intensa.
- Após o enxágue, a solução cospe em uma tigela, então uma nova porção é recrutada e o processo se repete. E assim por diante até a exaustão de toda a solução preparada, o que deve levar de 15 a 20 minutos. Após algumas horas, todo o procedimento pode ser repetido.
Importante!
Mas se você tiver um dente removido e a gengiva doer (depois que a ação da anestesia tiver passado), será necessário aproximar a boca da lavagem com muito cuidado. É importante aqui não danificar o coágulo de sangue protetor que se formou no orifício do dente e protegê-lo de maneira confiável contra infecções. Muitos cirurgiões maxilofaciais geralmente não recomendam enxaguar a boca no primeiro dia após a extração dentária. No segundo e nos dias subsequentes, os enxaguantes ativos também não são aceitáveis, mas os banhos orais são bastante adequados - eles marcaram uma solução na boca, os mantiveram em um local dolorido e cuspiram.

Como enxaguar: selecionamos a solução mais eficaz
Pode parecer estranho, mas a composição da solução para enxaguar um dente doente é, em geral, secundária - muito mais importante é a maneira como o procedimento é realizado. Se o procedimento for realizado corretamente, o efeito máximo pode ser alcançado com água morna simples.
No entanto, aditivos individuais podem aumentar a eficácia das medidas tomadas:
- Sal ou refrigerante - eles são adicionados na quantidade de uma colher de chá por copo de água (você pode limitar-se a apenas sal). Essa solução hipertônica fornece a remoção do pus do local da inflamação, e um aumento da temperatura da solução promove o fluxo sanguíneo para a área afetada.

- Camomila com efeitos anti-inflamatórios e antimicrobianos. Eles simplesmente fazem uma decocção, despejam duas colheres de sopa de flores secas em um litro de água fervente, deixam a solução esfriar até a temperatura desejada, filtram e enxaguam.

- Sábio, cujas propriedades são bastante semelhantes às da camomila. Podemos dizer que enxaguar a boca com um caldo de sálvia é um clássico, e muitos dentistas frequentemente recomendam essa opção. As lavagens com sálvia são realizadas da mesma maneira que com uma decocção de camomila, e a decocção é preparada de acordo com a mesma receita, com a única diferença de que, em vez de camomila, são retiradas folhas de sálvia.

- Também vale mencionar a casca de carvalho, conhecida por suas propriedades antibacterianas e anti-inflamatórias.

Nos casos em que todos esses fundos não estejam disponíveis, lave a boca com água morna ou mesmo chá (sem açúcar). É importante apenas que o líquido não esteja frio.
Então NÃO é recomendável enxaguar a boca com dor de dente:
- Peróxido de hidrogênio - tão rapidamente ganha uma queimadura química das mucosas da boca; além disso, se a cavidade estiver em comunicação com a câmara pulpar, uma solução de peróxido de hidrogênio poderá fluir para dentro dessa câmara e começar a se decompor nela com a liberação de bolhas de oxigênio. Um aumento acentuado da pressão na câmara pulpar pode causar um aumento significativo da dor;

- Com uma solução forte de permanganato de potássio - também pode causar queimaduras (se você já deseja enxaguar com permanganato de potássio - você deve usar uma solução levemente rosada a 0,1%);

- Gasolina e querosene - nenhum efeito (que não seja um risco para a saúde) que tais lavagens não proporcionam;

- Álcool - sim, é um bom anti-séptico, mas ao mesmo tempo queima tecidos moles. Com o contato prolongado com um dente com uma cárie profunda, o etanol pode se difundir na câmara pulpar e levar à necrose pulpar.

Comentários
"Enxaguar pessoalmente com sal muitas vezes me salvou da dor de dente, nem preciso tomar pílulas. Quando sinto que estou com dor, despejo um terço de uma colher de sopa de sal de mesa em um copo de água quente, misturo, lavo a boca e tudo passa. É claro que isso só funciona se você cuidar dos dentes. Então minha irmã levou tudo à inflamação, depois caminhou com a bochecha no ombro ... "
Veronika, Orenburg
Quando o enxágue não ajuda na dor de dente
É importante entender que os enxágue bucal não permitem curar um dente ruim: o esmalte corroído pela cárie não crescerá com isso e uma polpa meio morta não ganhará vida. Tais lavagens aliviarão a dor apenas por um curto período de tempo; portanto, na primeira oportunidade, você precisará consultar um dentista.

Em alguns casos, o enxágue ajuda mal ou não ajuda - depende muito das características fisiológicas da pessoa e da patologia específica que levou ao aparecimento de dor de dente.
Às vezes, enxaguar a boca pode até prejudicar, especialmente se você não se apressar para marcar uma consulta com um médico. Por exemplo, com dentição difícil, pode ocorrer uma inflamação grave do tecido gengival ao seu redor, e os enxágües bucais quentes e mesmo nem sempre realizados corretamente podem, em casos raros, apenas agravar o processo inflamatório.
Seja como for, tentar enxaguar uma dor de dente para não ir ao médico pode ser muito perigoso. Portanto, use essa técnica com sabedoria e apenas como uma medida de economia temporária.
Se você já conseguiu aliviar a dor de dente enxaguando a boca, deixe seu comentário na parte inferior desta página: como você o enxaguou, ajudou e, em caso afirmativo, com que rapidez?
Vídeo útil sobre como aliviar a dor de dente em casa sem o uso de comprimidos
Maneira extrema de aliviar a dor de dente com alho (não recomendado)











Meu dente de leite dói, estou afrouxando, mas ainda não funciona.
A cada meia hora, três dentes começam a doer ao mesmo tempo. Eu tentei de tudo, mas não ajuda. Agora coloquei álcool em um copo e o diluí com água morna. Parece ajudar ...
Uma vez me disseram que tenho uma periodontite forte e que o dente precisa ser removido. Mas eu não concordei e o tratei) Lavado: por 200 gramas de água morna 1 colher de chá de refrigerante e sal, mais 2-3 gotas de iodo. Sim, sim, foi com isso que eu curei meu dente! )
Imediatamente após a remoção, é melhor não enxaguar, os médicos não aconselham. Você pode aplicar pomadas, géis. Nós irmã esfregamos gel de gel periodontal para remover a inflamação. Novamente, se o dente dói por causa das gengivas, você pode enxaguar, mas se o próprio dente dói, não é necessário enxaguar, mas vá ao médico.
Todos os meus dentes doíam ao mesmo tempo. Preparou uma colher de sopa de sálvia em um copo de água fervente. Apenas deixe a solução esfriar até a temperatura do corpo. Após o primeiro enxágüe, tudo foi completamente removido.
Enxágüe um dente com sal. Isso ajuda muito.
Fiquei atormentado com um dente, reli todos os tipos de lavagens e compressas, metade não ajudou, e em um local li sobre peróxido, mas ele deve ser diluído com água. Mas como o dente me levou a tal ponto que a paciência explodiu, eu gotejava concentrado, ele ficou doente duas vezes mais forte que cerca de três horas e agora quase um ano não me incomoda. Parece que o nervo finalmente ardeu)) Agora, penso em remover e inserir um novo. Eu não aconselho fazer isso, experimentei na minha própria pele, foi apenas uma medida extrema. Nesse caso, todos terão uma chance quando for impossível recorrer à clínica.
Após a extração do dente, minha gengiva doía muito. Em seguida, ajudou a enxaguar com doença periodontal. Este é um remédio que comprei em uma farmácia. Com base nos componentes das plantas (óleos e extratos de sálvia, hortelã e cravo). Lavado duas vezes por dia, mas com mais frequência.
Lavei a Miramistin com um dente estragado, não ajudou ... Assisti a um vídeo sobre alho - e eis que! Após cerca de 10 minutos, a dor foi embora, mesmo com alegria eu pude comer)) Só que eu não piquei, mas cortei um pedaço e coloquei em um dente doente, pressionando o alho. Não senti a dor do erro, como dizia o vídeo. A dor de dente era aparentemente mais forte ...
A solução de sal ajudou: 1 colher de chá de sal por 1 litro de água morna. E amanhã, urgentemente ao médico))
O álcool é realmente melhor não enxaguar. O dente doeu, como na pulpite (eu sei, porque o nervo foi removido repetidamente dos dentes). Um amigo aconselhou analgésicos bastante fortes. Bem, eu os bebi por 3 dias, realmente ajudou - por 6-7 horas a dor desapareceu. Então me cansei e decidi experimentar o bom e velho método - lavar o dente com álcool. Meia hora depois, senti que as gengivas começaram a inchar, e não perto do dente doente, mas perto do vizinho. Andei assim por uma semana - a dor de dente aguda desapareceu, mas as gengivas começaram a inchar por quase toda a cavidade oral inferior esquerda e pela bochecha. Agora, alguém terá que ir ao médico, só que agora acho que seria melhor se o dente doesse, ou eu fosse imediatamente ao dentista ou enxaguasse com um pouco de refrigerante. Porque, provavelmente, ele pegou algo mais sério do que simples pulpite. Portanto, mais uma vez, um conselho (de repente, será útil): não enxágüe com álcool. Talvez ajude - mas de vez em quando.
Enxágüe com camomila e casca de carvalho, supostamente se sinta melhor - até você se cansar e ainda precisar ir ao médico.
Dissolvi uma colher de chá de refrigerante (sem escorrega) em meio copo de água à temperatura ambiente, enxaguei a boca, concentrando-me em um dente estragado. Após 20 minutos, a dor não desapareceu, mas diminuiu 70%.
Lavar com refrigerante e água quente (45 graus) ajuda muito bem com o fluxo, de modo que o pus é lavado. Eu aconselho a todos. E, de acordo com o dentista, as pessoas também compartilham essas ferramentas. Mas! Um dentista deve ser consultado, agora o progresso foi longe.Não é como nos anos 90, é assustador lembrar!
A vodka com pimenta vermelha me ajudou, mesmo quando cetanas, no-shpa e outros analgésicos com soluções de sal e refrigerantes não ajudaram. Isso tudo é besteira com fortes dores de tiro quando você pensa que vai perder a cabeça. Vodka com pimenta vermelha sempre me ajuda, às vezes é apenas vodka.
Na pulpite, esse remédio ajuda a: misturar suco de limão com 3% de peróxido de hidrogênio (50/50), mergulhar um algodão nessa mistura, espremer levemente e colocar um dente estragado. A dor desapareceu em um minuto.